时间:2023-02-20 04:23:04


1、单项选择题 切取活检的部位()
	A.肿瘤中心表层组织
	B.肿瘤边缘和正常组织交界处
	C.肿瘤边缘组织
	D.肿瘤中心深层组织
	E.肿瘤基底部分组织
2、单项选择题
	颌下腺导管开口于()
	A.舌系带
	B.舌下皱襞
	C.颌舌沟
	D.伞襞
	E.舌下肉阜
3、单项选择题
	下牙槽阻滞麻醉时,注射针往后外方与中线所成角度为()
	A.15°
	B.30°
	C.45°
	D.60°
	E.75°
4、单项选择题 髁突颈部骨折常伴有()
	A.上颌骨骨折
	B.下颌角区骨折
	C.下颌升支部骨折
	D.对侧颏孔区或颏部骨折
	E.咬合关系错乱
5、单项选择题 关于急诊病史书写要求,错误的是()
	A.急诊病案封面项目应逐项填写
	B.就诊时必须填写就诊时间和应诊科室
	C.抢救患者必须记录抢救时间、病情演变、抢救经过及参加抢救医师姓名
	D.危、急重患者抢救前必须先完成病史
	E.危重患者应记录与家属谈话情况
6、单项选择题 由于牙痛,面部肿胀流脓在颊部形成窦道,反复流脓,经久不愈,可能为以下的哪一种诊断()
	A.下颌骨边缘性骨髓炎
	B.慢性智牙冠周炎
	C.腮腺腺体瘘伴感染
	D.下颌骨癌继发感染
	E.颊部异物伴感染
7、单项选择题 在上颌尖牙腭侧组织中有神经交叉分布或吻合的是()
	A.上牙槽前神经与上牙槽中神经
	B.鼻腭神经与腭中神经
	C.腭前神经与腭中神经
	D.腭中神经与腭后神经
	E.腭前神经与鼻腭神经
8、单项选择题
	进行单侧唇裂(如图)整复术最适合的年龄为()
	A.出生后即刻
	B.1~2个月
	C.3~6个月
	D.6~12个月
	E.1~2岁
9、单项选择题 有关双膦酸盐性颌骨坏死,错误的是()
	A.患者正在或曾经有双膦酸盐治疗史
	B.非含氮类双膦酸盐才可导致双膦酸盐性颌骨坏死
	C.多有拔牙、颌骨手术史
	D.颌骨坏死并无好转持续8周以上
	E.头颈部无放疗史
10、单项选择题 中央性下颌骨骨髓炎最常发生的部位是()
	A.体部
	B.升支
	C.角部
	D.喙突
	E.髁突
11、单项选择题 唾液腺结石病多发生于()
	A.下颌下腺
	B.腮腺
	C.舌下腺
	D.唇部小唾液腺
	E.腭部小唾液腺
12、单项选择题 在分牙时,沟槽磨的太浅会导致分牙时()
	A.患牙牙根折断
	B.患牙牙冠折断
	C.损伤邻牙
	D.损伤周围软组织
	E.损伤周围骨组织
13、单项选择题 下列有关颞间隙感染错误的是()
	A.可因化脓性中耳炎或乳突炎等扩散导致
	B.因有坚厚的颞肌阻隔,一般不易导致颞骨骨髓炎
	C.因有坚厚的颞肌被盖,深部间隙不易触及波动感
	D.颞深间隙感染一旦成脓,应及时切开,充分引流
	E.颞间隙感染可向下扩散至颞下间隙和翼下颌间隙
14、单项选择题 临床上一般不用于浸润麻醉的药物是()
	A.丁卡因
	B.利多卡因
	C.布比卡因
	D.普鲁卡因
	E.阿替卡因
15、单项选择题 行颈外动脉结扎术时,鉴别颈外动脉和颈内动脉哪一项是错误的()
	A.颈外动脉有分支
	B.颈内动脉无分支
	C.阻断颈内动脉,颞浅动脉无搏动
	D.阻断颈外动脉,颞浅动脉无搏动
	E.颈内动脉位于颈外动脉的深面
16、单项选择题 边缘性颌骨骨髓炎死骨刮除术应在急性炎症后()
	A.2~4周
	B.4~6周
	C.6~8周
	D.2个月以上
	E.半年以上
17、单项选择题 女性,46岁,近二月来左舌腹部溃疡不愈,伴有疼痛,行抗炎治疗,局部喷涂冰硼散及三三粉无效,对上述情况,应选用何法检查()
	A.影像学检查
	B.穿刺检查
	C.脱落细胞检查
	D.切取活检
	E.吸取活检
18、单项选择题
	患者男性,62岁,发现右上牙龈菜花样肿物2个月,约2m×2m大小,活检报告“高分化鳞癌”。X线片示局部牙槽突骨质未见破坏,颌面颈部未触及肿大淋巴结。该患者最佳治疗方案为()
	A.病变区上颌骨区域性扩大切除+根治性淋巴清扫
	B.病变区上颌骨区域性扩大切除+功能性颈淋巴清扫
	C.病变区上颌骨区域性扩大切除,定期复查,密切注意颈部淋巴结情况
	D.病变侧上颌骨次全切除+功能性颈淋巴清扫
	E.病变侧上颌骨全切除+功能性颈淋巴清扫
19、单项选择题 结核性淋巴结炎()
	A.自行破溃后可形成经久不愈的窦道
	B.多见于体弱的老年人群
	C.炎症波及周围组织时.可导致表面皮肤的红肿热痛
	D.应早期切开引流
	E.当累及多个淋巴结时,可变硬并伴明显疼痛
20、单项选择题 眼鼻唇舌的组织由于咬伤、撕脱伤造成组织游离,在最大径小于多少时经处理后可缝回原位()
	A.<3cm
	B.>3cm
	C.>2cm
	D.<2cm
	E.2~3cm
21、单项选择题
图为一神经鞘瘤患者,下面的描述不正确的是()
	
	A.生长缓慢,包膜完整
	B.肿瘤不可沿神经长轴移动
	C.大多为良性,少数为恶性
	D.穿刺可能抽出血样液体且凝固
	E.治疗以外科手术为主
22、单项选择题
	有关舌解剖的描述,下列哪项是错误的()
	A.舌前2/3为舌体部
	B.舌后1/3为舌根部
	C.舌体活动度小而舌根活动度大
	D.舌体部与舌根部以人字沟为界
	E.人字沟尖端凹陷称舌盲孔
23、单项选择题
	男性患者,50岁,发现口内粘膜黑色肿物两年,近期生长迅速,且破溃,出血,伴疼痛,有颌下淋巴肿大。外观如图示。最可能的诊断为()
	A.海绵状血管瘤
	B.复发性溃疡
	C.舌下腺囊肿
	D.恶性黑色素瘤
	E.颊粘膜癌
24、单项选择题 咬肌起始或附着的骨不包括()
	A.上颌骨
	B.颧骨
	C.蝶骨
	D.颞骨
	E.下颌骨
25、单项选择题 用切割钻分根时,需在患牙冠部磨出沟槽,沟槽深度达到何处为宜()
	A.冠1/2处
	B.冠2/3处
	C.冠3/4处
	D.根分叉处
	E.牙槽骨
26、单项选择题
	于唇癌(如图)的描述以下哪项是错误的()
	A.唇癌主要是鳞状细胞癌
	B.唇癌多发于上唇
	C.唇癌较其他口腔癌不易发生淋巴结转移
	D.唇癌常发生于唇中外1/3间的唇红缘部粘膜
	E.下唇癌常向颏下及颌下淋巴结转移
27、单项选择题 颞下颌关节可复性盘前移位的主要症状为()
	A.疼痛
	B.关节弹响
	C.张口受限
	D.开口型异常
	E.关节区肿胀
28、单项选择题 口腔颌面部脓肿切开引流的原则中错误的是()
	A.切口尽量在脓肿最低位
	B.尽可能选择口内切口
	C.切口越小越好
	D.切口应尽量与皮纹方向一致
	E.切口选择应尽量避免重要的解剖结构
29、单项选择题 舍格伦综合征的唾液腺受累表现不包括()
	A.腺体肿大
	B.与周围组织粘连
	C.常发于腮腺
	D.导管口很少分泌
	E.可发生逆行性感染
30、单项选择题
颞下颌关节急性不可复性盘前移位(如示意图)的主要症状是()
	
	A.张口受限
	B.疼痛
	C.关节弹响
	D.开口型异常
	E.关节区肿胀
31、单项选择题 气管切开的部位多在()
	A.第1气管软骨环
	B.第1~3气管软骨环
	C.第2~4气管软骨环
	D.第3~5气管软骨环
	E.低于第5气管软骨环
32、单项选择题 断根拔除前的准备工作中可不包括()
	A.拔除前必须拍摄X线片
	B.向病员做必要的解释
	C.必须准备合适的器械
	D.必须了解断根的数目、大小、部位
	E.必须准备动力系统
33、单项选择题 关于血源性感染下列正确的是()
	A.由于输入不洁净的血液而造成的感染
	B.某些血液病患者抵抗力低下易于发生感染
	C.由于大量失血机体抵抗力下降而造成的感染
	D.机体其他部位化脓感染经血液循环致颌面部感染
	E.由于输液、取血等操作发生的感染
34、单项选择题 口腔颌面手术中,皮肤、肌肉、筋膜缝合一般采用()
	A.间断缝合法
	B.双圈式缝合法
	C.反缝法
	D.连续缝合法
	E.褥式缝合法
35、单项选择题 乳牙的萌出时间一般是()
	A.2~3个月始萌,1岁左右完成
	B.4~6个月始萌,1.5岁左右完成
	C.6~8个月始萌,2岁左右完成
	D.8~10个月始萌,2.5岁左右完成
	E.1岁左右始萌,3岁左右完成
36、单项选择题 颌面部间隙感染的病原菌()
	A.以金黄色葡萄球菌为主
	B.以溶血性链球菌为主
	C.以混合性细菌感染为主
	D.以厌氧菌感染为主
	E.以特异性感染为主
37、单项选择题 患者,女性,17岁,上唇部肿胀3天,伴全身发热。查:体温38.2℃,上唇肿胀明显,可见多个脓头,其局部治疗的方法正确的是()
	A.切开引流
	B.挤出脓头
	C.挑破脓头
	D.高渗盐水持续湿敷
	E.红外线理疗
38、单项选择题 患者左下颌阻生智齿为三根,拔除过程中远中舌根折断约3mm根尖无病变,此时应采取的最佳治疗方案是()
	A.根钳拔除
	B.根挺拔除
	C.翻瓣去骨拔除
	D.延期拔除
	E.不予拔除暂观察
39、单项选择题 牙拔除过程中最常见的软组织损伤为()
	A.唇
	B.舌
	C.腭
	D.口底
	E.牙龈
40、单项选择题 干槽症症状常在拔牙后多长时间出现()
	A.拔除的当日
	B.拔除术的次日
	C.术后3~4天
	D.术后5~7天
	E.术后一周以后
41、单项选择题 无论使用气动式还是电动手机,必须满足的条件不包括以下哪项()
	A.手机顶部不能有气体喷入
	B.能避免污物和碎屑进入伤口深部
	C.冷却水呈柱状直接喷在切割钻上
	D.冷却水呈雾状喷在患牙上
	E.能避免皮下气肿发生
42、单项选择题 气动式外科专用切割手机的机头部呈()
	A.45°仰角
	B.60°仰角
	C.75°仰角
	D.80°仰角
	E.85°仰角
43、单项选择题
	慢性中央性颌骨骨髓炎的治疗应()
	A.及早拔除病灶牙
	B.切开引流
	C.死骨刮除、病灶牙拔除
	D.大剂量抗生素控制感染
	E.全身支持疗法
44、单项选择题 舌神经阻滞麻醉后将出现()
	A.舌不能上抬
	B.舌活动不对称
	C.舌后1/3味觉消失
	D.舌后1/3感觉消失
	E.舌前2/3感觉及味觉消失
45、单项选择题 关于牙挺使用中应遵循的原则,下列哪项是错误的()
	A.使用中必须以手指保护防止滑脱
	B.拔除上颌智齿阻力较小,可以健康的邻牙为支点
	C.龈缘水平处的舌侧骨板不应作为支点
	D.龈缘水平处的颊侧骨板不应作为支点
	E.使用中注意力量的控制不可使用过大力量
46、单项选择题 咬肌间隙感染切开引流时应注意避免损伤()
	A.腮腺导管
	B.面神经
	C.舌下神经
	D.舌动脉
	E.面静脉
47、单项选择题 通常所说的颞下颌"关节强直"指的不是()
	A.真性关节强直
	B.关节内强直
	C.关节外纤维性黏连
	D.关节内骨性黏连
	E.颌间挛缩
48、单项选择题 以下哪种情况应暂缓拔牙()
	A.妊娠4、5、6月
	B.糖尿病的血糖150mg/dl尿糖(+)无酸中毒
	C.急性智齿冠周炎伴嚼肌间隙感染
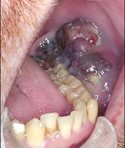
	D.甲状腺功能亢进治疗后心率低于100次/分
	E.高血压血压控制在160/100mmHg
49、单项选择题 患者女性,66岁,下颌牙完全缺失,颊系带附着牙槽嵴顶,义齿进食时固位不佳,此时最佳处理方法是()
	A.重新镶牙
	B.牙槽嵴加高术
	C.颊系带矫正术
	D.牙槽突修整术
	E.调磨义齿进行缓冲
50、单项选择题 髁突颈部骨折,髁突移位的方向多为()
	A.向前
	B.向下
	C.向内
	D.向前内
	E.向外
51、单项选择题
患儿男性,7岁,2天前出现右耳下疼痛,伴发热,后出现以右耳垂为中心肿胀。查血象,白细胞5.7×109/L,淋巴分类占60%,最可能的诊断是()
	A.急性化脓性腮腺炎
	B.慢性复发性腮腺炎
	C.急性腮腺淋巴结炎
	D.流行性腮腺炎
	E.嚼肌间隙感染
52、单项选择题 吸入性窒息的急救措施是()
	A.清除口、鼻及咽喉部堵塞物
	B.将舌牵出口外
	C.使病员头偏一侧或采取俯卧位
	D.立即行气管切开,通过气管导管吸出堵塞物
	E.立即插入口咽导管
53、单项选择题 舌系带矫正术的主要方法()
	A."Z"成形术
	B."V-Y"成形术
	C.横切纵缝
	D.呈三角形切除
	E.口底黏膜延长术
54、单项选择题 种植体旋入的扭力()视为早期固位良好
	A.≥0.15N·m
	B.≥0.25N·m
	C.≥0.35N·m
	D.≥0.45N·m
	E.≥0.55N·m
55、单项选择题 拔牙后多长时间仍有明显出血称为拔牙后出血()
	A.120分钟
	B.90分钟
	C.60分钟
	D.45分钟
	E.30分钟
56、单项选择题
	眼睑不能闭合提示受损的面神经分支是()
	A.颞支
	B.颧支
	C.颊支
	D.下颌缘支
	E.颈支
57、单项选择题
	支配额肌的主要运动神经是()
	A.颞深神经
	B.面神经颞支
	C.面神经颧支
	D.面神经颊支
	E.面神经下颌缘支
58、单项选择题 关于刮匙的作用,下列哪项是错误的()
	A.探查拔牙窝
	B.刮处异物
	C.刮除根尖炎性肉芽
	D.搔刮根尖瘘管
	E.刮净根尖脓肿脓液
59、单项选择题 修复前对口腔软组织的处理,正确的是()
	A.当口腔黏膜有溃疡、白色损害等黏膜病时,必须先做治疗
	B.当舌系带位置影响义齿的固位和功能时,应进行外科修整
	C.修复前,对严重的松软牙槽嵴应切除
	D.口腔内瘢痕组织对义齿的固位稳定有影响时,可考虑切除
	E.以上都对
60、单项选择题 诊断口腔颌面部肿瘤中含有液体的肿瘤宜用何法检查()
	A.X线检查
	B.穿刺检查
	C.脱落细胞检查
	D.切取或钳取活检
	E.吸取活检
61、单项选择题 当颏部下颌正中联合骨折时,还应注意什么部位骨折()
	A.下颌旁正中骨折
	B.下颌角部骨折
	C.下颌骨升支部骨折
	D.下颌髁突骨折
	E.下颌冠突骨折
62、单项选择题 下列哪项不是化脓性口底蜂窝织炎的常见临床表现()
	A.全身发热,白细胞总数升高
	B.下唇麻木,感觉异常
	C.口底高度肿胀,舌体抬高,影响呼吸
	D.双侧颈上皮脓肿胀,下颌下缘消失
	E.可见下颌牙根尖周化脓性炎症
63、单项选择题 关于颧骨颧弓骨折的外科治疗,哪一项是不对的()
	A.可采用半冠状切口及口内切口入路
	B.颧蝶缝对骨折复位无意义
	C.骨折固定最少要达到三点
	D.可采用多个局部小切口入路
	E.采用微型钛板和小钛板固定
64、单项选择题 如已确诊为成釉细胞瘤,为防止复发,其治疗原则为()
	A.放射治疗
	B.手术彻底刮除肿瘤
	C.下颌骨切除加颈淋巴清扫术
	D.下颌骨方块切除
	E.以上均不正确
65、单项选择题
	男,18岁,右颌下区反复肿胀半年,2天前再次发作,病程进展快,出现张口受限。X线片示右下颌角区沿颌骨长轴有单囊阴影,包绕右下颌第三磨牙牙冠。该病人最可能的诊断是()
	A.右下颌造釉细胞瘤
	B.右下颌角化囊肿继发感染
	C.右下颌骨含牙囊肿
	D.右下颌骨中央性癌
	E.右下颌骨骨髓炎
66、单项选择题 患者女性,62岁,下颌无牙牙合,双侧下颌尖牙区舌侧有一骨隆突,轻度压痛,此时最佳处理办法是()
	A.观察,无需处理
	B.局部按摩
	C.局部理疗
	D.行牙槽突修整术
	E.修复时加大基托
67、单项选择题 下列情况哪一项是皮脂腺囊肿所特有的表现()
	A.常见于面部
	B.生长缓慢
	C.囊壁与皮肤粘连、中央可有一色素点
	D.质软、境界清
	E.无压痛
68、单项选择题 放射性颌骨骨髓炎,下列正确的说法为()
	A.死骨分离时间较快
	B.病变与正常组织之间无明显界限
	C.患者全身症状明显,伴发热、寒战、白细胞总数升高
	D.一般倾向于积极治疗,早期切除坏死的软、硬组织
	E.无需手术,单纯高压氧治疗效果较佳
69、单项选择题 组织瓣翻起后,要将颊拉钩或骨膜分离器头部始终抵在()
	A.粘骨膜瓣与手术区域间的骨面
	B.翻起的组织瓣上
	C.术区颊侧黏膜上
	D.术区前方黏膜上
	E.术区后方黏膜上
70、单项选择题 海绵窦化脓性血栓性静脉炎常并发于()
	A.颞间隙感染
	B.上唇痈
	C.智牙冠周炎
	D.颊间隙感染
	E.颏下间隙感染
71、单项选择题 拔除下颌阻生第三磨牙时,用钻在患牙何处磨出沟槽而达到增隙目的()
	A.近中颊部骨壁
	B.舌侧和远中骨壁
	C.颊侧和近中骨壁
	D.颊侧和远中骨壁
	E.舌侧和近中骨壁
72、单项选择题
	急性智齿冠周炎初起时,主要表现症状是()
	A.患侧磨牙后区肿痛不适
	B.局部红肿、反射性跳痛
	C.张口受限
	D.饮食、咀嚼、吞咽困难
	E.畏寒、发热、头痛、全身不适
73、单项选择题
	下颌骨外侧的结构是()
	A.下颌小舌
	B.下颌舌骨线
	C.颏棘
	D.颏结节
	E.下颌下腺窝
74、单项选择题 有明显呼吸抑制的全麻药物是()
	A.芬太尼
	B.依托咪酯
	C.地西泮
	D.异丙酚
	E.以上都不是
75、单项选择题
	不属于舌神经阻滞麻醉范围的是()

	A.同侧的舌侧牙龈
	B.同侧的舌侧骨膜
	C.同侧的口底粘膜
	D.同侧的舌前2/3粘膜
	E.同侧的颊粘膜
76、单项选择题 关于医源性感染,下列正确的说法是()
	A.在医院内发生的传染病
	B.医生得的传染病
	C.医务人员进行有创的操作后造成的继发感染
	D.由于医务人员用药不当造成的二重感染
	E.医源性感染的发生不易控制
77、单项选择题 牙槽嵴过度吸收,导致义齿固位较差,可以采用的方法不包括()
	A.前庭沟加深术
	B.生物材料增高牙槽嵴
	C.骨隆突修整术
	D.自体骨移植重建牙槽嵴
	E.改变黏膜和肌肉的附着位置
78、单项选择题 颏部软组织损伤时应注意什么部位骨折()
	A.下颌骨颏部
	B.下颌骨体部
	C.下颌骨升支部
	D.下颌骨髁状突
	E.上颌骨牙槽突
79、单项选择题 面部整复手术皮肤缝合进针点一般是()
	A.距创缘0.5mm,针距1mm
	B.距创缘1mm,针距2mm
	C.距创缘1.5mm,针距2.5mm
	D.距创缘2mm,针距3mm
	E.距创缘2~3mm,针距3~5mm
80、单项选择题 患者拔牙后3个月局部愈合尚可,但有一骨棱压痛明显,此时应()
	A.观察,局部不进行处理
	B.局部按摩
	C.舌系带延长术
	D.牙槽突修整术
	E.上颌结节修整术
81、单项选择题 判断窒息最有力的依据是()
	A.烦躁不安
	B.呼吸急促
	C.吸气时锁骨上窝、肋间隙、剑突下出现凹陷
	D.出冷汗、脉速
	E.血压下降
82、单项选择题 患有下列疾病的患者在拔牙前后应给予抗生素以预防并发症,但不包括()
	A.糖尿病
	B.先天性心脏病
	C.慢性肝炎
	D.风湿性心脏病
	E.曾做过房间隔缺损修补术的患者
83、单项选择题 无论使用气动式还是电动手机,必须满足的条件是()
	A.手机顶部不能有气体喷入
	B.能避免污物和碎屑进入伤口深部
	C.冷却水呈柱状直接喷在切割钻上
	D.以上全是
	E.以上均错误
84、单项选择题 舌系带过短时,主要表现为()
	A.伸舌偏向一侧
	B.舌前伸时舌尖呈"W"形
	C.舌腭音发音障碍
	D.大脑发育不全
	E.开口受限
85、单项选择题
	甲状舌管囊肿(见图)好发部位是颈中线的()
	A.舌骨上部
	B.舌骨下部
	C.舌骨上、下部
	D.舌根部
	E.胸骨切迹上
86、单项选择题 唇颊沟加深术适用于,除了()
	A.牙槽嵴过度萎缩,下颌颏肌或颊肌附丽过高
	B.上颌唇颊部肌肉附丽过低,影响义齿固位
	C.下颌骨切除植骨后所致牙槽嵴缺损,义齿固位困难者
	D.颜面部外伤所致牙槽嵴部分缺损及前庭沟瘢痕形成,无法行义齿修复者
	E.牙槽嵴完全缺损,颌骨骨量明显不足
87、单项选择题 口腔颌面部因炎症而引起的囊肿主要是()
	A.根尖囊肿
	B.黏液囊肿
	C.舌下腺囊肿
	D.始基囊肿
	E.牙龈囊肿
88、单项选择题 病员出现张口受限,三叉神经第三分支分布区域持续疼痛,下唇麻木,上颌后部口腔前庭触及肿块,首先应考虑()
	A.颞下凹肿瘤
	B.颞颌关节紊乱综合征
	C.三叉神经痛
	D.咀嚼肌痉挛
	E.上颌磨牙根尖囊肿
89、单项选择题 舍格伦综合征患者腺体肿大多见于()
	A.腮腺
	B.下颌下腺
	C.舌下腺
	D.唇腺
	E.磨牙后腺
90、单项选择题 预防下颌阻生智齿拔除后肿胀,常用药物为()
	A.抗菌药物
	B.泼尼松
	C.酚磺乙胺
	D.碘仿海绵
	E.阿司匹林
91、单项选择题 关于眶下间隙感染,下列说法错误的是()
	A.眶下间隙内的面静脉与海绵窦相通
	B.感染来自上颌前牙根尖感染
	C.临床表现以眶下区红肿热痛最明显
	D.可直接扩散蔓延导致下颌下间隙感染
	E.脓肿形成时,应及时切开引流
92、单项选择题
凿骨进入上颌窦的手术途径是()
	


	A.眶下孔
	B.切牙孔
	C.切牙凹
	D.颧牙槽嵴
	E.尖牙凹
93、单项选择题 伤口缝合时,防止内卷和过度外翻的目的是()
	A.无张力
	B.防止感染
	C.加快缝合速度
	D.减轻瘢痕
	E.防止出血
94、单项选择题 男性,34岁,下颌前份唇侧牙龈出现黑色斑块状肿物半年余,其黑色斑块渐扩大,遂双侧出现颌下区域淋巴结肿大,查X线示,肿块破坏下颌骨,且累及唇侧骨板。对于该患者,最不宜采用检查的方法是()
	A.切取活检
	B.冷冻活检
	C.CT检查
	D.MR检查
	E.穿吸活检
95、单项选择题 拔牙时发现牙根进入上颌窦,首先应该做的是()
	A.冲洗上颌窦
	B.上颌窦开窗取除牙根
	C.从穿孔处掏根
	D.服用抗生素
	E.拍X线片
96、单项选择题 颌骨骨折的重要治愈标准是()
	A.骨性愈合
	B.纤维性愈合
	C.骨折线上的牙齿不松动
	D.恢复原有咬合关系
	E.无感染发生
97、单项选择题 在颌骨骨髓炎中哪一种可以出现多个牙松动及下唇麻木()
	A.急性中央性
	B.慢性化脓性
	C.边缘性
	D.放线菌病骨髓炎
	E.新生儿骨髓炎
98、单项选择题 造成对颌牙损伤的主要原因是()
	A.牙钳选择不当
	B.牙钳夹持位置不当
	C.拔牙时用力方向不当
	D.拔牙时用力无控制
	E.对颌牙健康状况不良
99、单项选择题 患者上颌无牙?,左上颌结节存在倒凹,右侧正常此时应()
	A.观察,局部不进行处理
	B.局部按摩
	C.舌系带延长术
	D.牙槽突修整术
	E.上颌结节修整术
100、单项选择题 采用外科微动力方法拔牙,在操作时需要()
	A.颊拉钩
	B.吸引器
	C.分离器
	D.橡胶咬合垫
	E.以上均需要
101、单项选择题 上齿槽后神经阻滞麻醉后即出现患侧面部肿胀的可能原因是()
	A.感染
	B.腮腺导管阻塞
	C.局麻药过敏
	D.翼静脉丛损伤
	E.局麻药注射过量
102、单项选择题 下列肿瘤类型中对放射治疗最敏感的是()
	A.舌鳞癌
	B.腭部腺癌
	C.脂肪肉瘤
	D.纤维肉瘤
	E.何杰金氏恶性淋巴瘤
103、单项选择题 急性智牙冠周炎治疗方法中应排除()
	A.局部冲洗上药
	B.切开引流
	C.配合口服抗生素
	D.拔除患牙
	E.使用漱口液,保持口腔清洁
104、单项选择题 唇痈的治疗方案中,哪项是错误的()
	A.局部高渗盐水持续湿敷
	B.全身运用抗生素
	C.加强营养,增强抵抗力
	D.唇部局部减少活动
	E.早期挑破或切开引流
105、单项选择题 上颌第一磨牙拔除术,采用的局部麻醉方法是()
	A.上牙槽后神经及眶下神经阻滞麻醉
	B.上牙槽后神经及腭前神经阻滞麻醉
	C.上牙槽后神经阻滞麻醉及近中颊根局部浸润麻醉
	D.上牙槽后神经阻滞麻醉+近中颊根局部浸润麻醉+眶下神经阻滞麻醉
	E.上牙槽后神经阻滞麻醉+近中颊根局部浸润麻醉+腭前神经阻滞麻醉
106、单项选择题 面颊部软组织出血时,应该压迫哪支动脉临时止血()
	A.上下唇动脉
	B.颌外动脉
	C.颌内动脉
	D.舌动脉
	E.耳后动脉
107、单项选择题 婴幼儿颌骨骨髓炎主要感染来源()
	A.血源性
	B.牙源性
	C.医源性
	D.腺源性
	E.损伤性
108、单项选择题 拔牙术中下列何种情况不是引起牙根折断的原因()
	A.牙钳未与牙长轴平行
	B.用力过猛
	C.钳喙紧贴于牙面
	D.用力方向不当
	E.牙钳选择不当
109、单项选择题 黏液囊肿好发于()
	A.下唇及舌尖腹
	B.上颚
	C.磨牙后垫处
	D.腮腺
	E.下颌下腺
110、单项选择题
关于舌癌(如图)淋巴结转移的叙述,哪项是错误的()
	
	A.舌癌常发生早期颈部淋巴结转移
	B.因舌体有丰富的淋巴管和血液循环,故易发生淋巴结转移
	C.因舌的机械运动频繁,故易发生淋巴结转移
	D.舌癌多向对侧颈淋巴结转移
	E.舌癌的颈淋巴结转移常在一侧
111、单项选择题 腮腺造影在涎瘘诊断中的应用,错误的是()
	A.腮腺导管口萎缩时,可从瘘口注入造影剂
	B.腺体瘘者可见腺体某处有造影剂外溢,而导管系统显示良好
	C.导管瘘者可见主导管某处有造影剂外溢,在其后方可见导管扩张
	D.腮腺损伤伴急性化脓性感染时,不可行腮腺造影检查
	E.颜面部纵裂伤患者,常规应行腮腺造影检查
112、单项选择题 拔牙后出现口腔上颌窦瘘,但穿孔不大时()
	A.必须做瘘口修补术
	B.使拔牙创充满血块
	C.冲洗拔牙创
	D.填塞明胶海绵
	E.行上颌窦根治
113、单项选择题 上颌妨碍义齿戴入的软组织缺陷是()
	A.上唇系带附着过低
	B.上唇外翻肥大
	C.颊脂垫肥大
	D.颊肌附着点过高
	E.上唇切牙肌附着点过高
114、单项选择题 下列关于脓肿切开引流正确的是()
	A.翼下颌间隙切开引流的口内切口位于翼下颌皱襞内侧2cm处
	B.咬肌间隙切开引流时,应同时探查下颌升支表面,以明确有无死骨
	C.下颌下间隙切开引流时,应在口内外同时作切口,以免感染扩散和口底肿胀
	D.眶下间隙的切开引流常导致颅内的逆行感染,故宜保守治疗
	E.唇痈的切开引流是减少颅内和全身并发症的重要方法
115、单项选择题 缝合舌组织时,进针点一般距离创缘()
	A.2~3mm
	B.3~5mm
	C.4~5mm
	D.6~8mm
	E.10mm
116、单项选择题 以下对于牙槽嵴上的骨尖和骨突的描述,错误的是()
	A.由于患者喜欢咀嚼过硬的食物而造成
	B.拔牙时造成牙槽嵴骨折又未能及时复位所引起
	C.拔牙后骨质吸收不均而引起
	D.若不修整可能影响义齿摘戴
	E.可手术切除
117、单项选择题
图为一淋巴管瘤患儿,关于此病的说法错误的是()
	
	A.是一种恶性肿瘤
	B.可以分为3型
	C.常见儿童与青年
	D.治疗以外科手术为主
	E.好发于舌、唇、颊、及颈部
118、单项选择题
	自腮腺下缘穿出的面神经分支是()
	A.颞支
	B.颧支
	C.颊支
	D.下颌缘支
	E.颈支
119、单项选择题 疖痈的临床特点中,错误的是()
	A.疖一般无明显全身症状
	B.疖痈是皮肤毛囊及其附件发生的急性化脓性炎症
	C.位于"危险三角"区的疖痈,如处理不当可引起海绵窦化脓性血栓性静脉炎
	D.痈以上唇为多见,全身中毒症状明显
	E.面部疖痈一旦确诊,应及时切开或挑破引流
120、单项选择题 颌骨骨髓炎临床上通常是何种细菌感染()
	A.金黄色葡萄球菌
	B.溶血性链球菌
	C.肺炎双球菌
	D.大肠杆菌
	E.混合性细菌
121、单项选择题 种植体旋入的扭力()视为早期固位良好
	A.≥0.15N·m
	B.≥0.25N·m
	C.≥0.35N·m
	D.≥0.45N·m
	E.≥0.55N·m
122、单项选择题 新生儿颌骨骨髓炎的临床特点中,错误的是()
	A.多为牙源性感染
	B.主要发生在上颌骨
	C.病原菌多为金黄色葡萄球菌、链球菌
	D.多为化脓性中央性颌骨骨髓炎
	E.发病突然、发展快
123、单项选择题 下颌智牙冠周脓肿可循下颌骨外斜线前行扩散而导致()
	A.颊间隙感染
	B.翼下颌间隙感染
	C.咬肌间隙感染
	D.咽旁间隙感染
	E.下颌第一磨牙颊侧黏膜下脓肿或瘘管
124、单项选择题 用牙挺取出断根时,应从牙根断面斜面()
	A.高的一侧插入
	B.低的一侧插入
	C.近中插入
	D.远中插入
	E.以上均可
125、单项选择题 关于拔牙器械的描述哪项是正确的()
	A.牙挺由挺刃和柄两部分组成
	B.牙挺工作原理包括杠杆原理和轮轴原理两种
	C.使用牙挺各种工作原理应单独使用避免综合使用而造成严重损伤
	D.牙钳由钳喙、钳柄和关节构成
	E.使用牙钳拔牙因力量易控制,故无需进行保护
126、单项选择题 属于闭合式引流的是()
	A.片状引流
	B.纱条引流
	C.负压引流
	D.管状引流
	E.半管状引流
127、单项选择题 患儿2周岁,舌系带短,伸舌时出现舌尖切迹,对语言进食无明显影响,此时应选择的方法()
	A.观察,局部不进行处理
	B.局部按摩
	C.舌系带延长术
	D.牙槽突修整术
	E.上颌结节修整术
128、单项选择题 牙挺使用时()
	A.可代替牙钳且更有效
	B.可代替骨凿用于增隙
	C.牙钳使用不奏效时
	D.拔残根时不宜使用
	E.保护不当,易造成邻近组织损伤
129、单项选择题 关于舌下腺囊肿的治疗中以下不正确的是()
	A.必须完整彻底切除囊壁
	B.全部切除舌下腺
	C.手术中应注意保护下颌下腺导管及舌神经
	D.对全身不耐受的患儿可做袋形缝合术
	E.术后创口不宜过紧过密
130、单项选择题 关于阻生智牙哪项是错误的()
	A.可造成三叉神经痛
	B.可造成颞下颌关节紊乱综合征
	C.可引起邻牙龋坏
	D.可因冠周炎造成间隙感染
	E.可引起快速进展型牙周炎
131、单项选择题 舍格伦综合征的口腔表现不包括()
	A.味觉异常
	B.义齿固位力差
	C.慢性颌骨骨髓炎
	D.镜面舌
	E.猖獗龋
132、单项选择题 对口腔颌面部有张力创口处理的方法中,错误的是()
	A.充分潜行分离
	B.减张缝合
	C.辅助减张
	D.附加切口
	E.拉拢缝合
133、单项选择题 咬肌间隙感染未及时切开引流,在X线片上能看见边缘性骨髓炎的最早时间是发病后()
	A.1周
	B.1~2周
	C.2~4周
	D.4~8周
	E.8~12周
134、单项选择题
黏液表皮样癌(如组图)以下哪种说法不正确()
	


	A.多发生在腮腺
	B.一般分为高分化和低分化两类
	C.高分化者少见颈淋巴结转移
	D.低分化者常见颈淋巴转移
	E.各型治疗原则相同
135、单项选择题 对于诊断为“第Ⅱ类近中位颊侧移位下颌阻生智牙”下列描述错误的是()
	A.阻生下颌第三磨牙大部分位于下颌升支内
	B.阻生下颌第三磨牙的长轴向近中倾斜
	C.阻生下颌第三磨牙的最高点低于合平面
	D.阻生下颌第三磨牙的最高点高于第二磨牙颈部
	E.阻生下颌第三磨牙偏向正常牙列中线的颊侧
136、单项选择题 下列关于口腔颌面部感染错误的是()
	A.口腔颌面部血运丰富,有利于炎症的吸收和愈合
	B.口腔颌面部部分静脉无瓣膜,感染易向颅内扩散引起严重并发症
	C.口腔颌面部有众多的潜在筋膜间隙,是控制感染发展的有效屏障
	D.口腔颌面部有多数体腔与外界相通,其表面的常驻菌是感染的易发因素
	E.口腔颌面部感染最常见的原因是牙源性感染
137、单项选择题 拔除下颌阻生第三磨牙需分根时,切割针的方向与牙长轴()
	A.垂直
	B.呈45°倾斜
	C.呈60°倾斜
	D.平行
	E.以上均可
138、单项选择题 大面积静脉渗血应采用()
	A.温热盐水纱布压迫止血
	B.荷包式缝合
	C.碘仿纱条填塞止血
	D.骨蜡填塞止血
	E.邻近组织覆盖加压止血
139、单项选择题 以下哪种情况应暂缓拔牙()
	A.妊娠4、5、6月
	B.糖尿病的血糖150mg/dl尿糖(+)无酸中毒
	C.急性智齿冠周炎伴嚼肌间隙感染
	D.甲状腺功能亢进治疗后心率低于100次/分
	E.高血压血压控制在160/100mmHg
140、单项选择题 以下关于结核性淋巴结炎的说法正确的是()
	A.自行破溃后可形成经久不愈的窦道
	B.多见于体弱的老年人群
	C.炎症波及周围组织时,可导致表面皮肤的红肿热痛
	D.应早期切开引流
	E.当累及多个淋巴结时,可变硬并伴明显疼痛
141、单项选择题 下列类型阻生牙是根据阻生牙长轴与第二磨牙的关系而分类的,但不包括()
	A.垂直阻生
	B.倒置阻生
	C.中位阻生
	D.近中阻生
	E.舌向阻生
142、单项选择题 下面那一项不属于坚固内固定范畴()
	A.颌间固定
	B.重建接骨板
	C.加压接骨板
	D.皮质骨螺钉
	E.锁定接骨板
143、单项选择题 关于口腔颌面部感染的叙述,错误的是()
	A.牙源性感染是最多见的感染来源
	B."危险三角区"的感染处理不当可致严重颅内并发症
	C.口腔颌面部组织抗感染的能力较其他部位低
	D.腺源性感染在儿童多见
	E.上呼吸道的感染,可引起区域性的淋巴结炎
144、单项选择题 Kuttner瘤是指()
	A.腮腺腺淋巴瘤
	B.慢性硬化性下颌下腺炎
	C.多形性腺瘤
	D.良性腮腺肥大
	E.黏液瘤
145、单项选择题 患者男性,40岁,因"右颊部刀割伤术后伴创口清亮液体流出1个月"入院。诉进食时液体流出量增多,颊部肿胀加重。探查见腮腺导管断裂,导管断端近口腔侧,挤压右侧腮腺可有清亮液体流出。以下处理正确的是()
	A.行局部加压包扎术
	B.行右腮腺切除术
	C.行右腮腺导管改道术
	D.行右腮腺导管结扎术
	E.行切开引流术
146、单项选择题 关于口腔颌面部间隙的正确描述为()
	A.正常情况下,颌面部各组织之间存在的间隙
	B.颌面部肌肉和涎腺之间存在的间隙
	C.正常情况下,颌面部各组织之间解剖结构上的潜在间隙
	D.颌面部各间隙之间无沟通
	E.颌面部间隙感染不易扩散
147、单项选择题 对于松软牙槽嵴的认识,下列正确的是()
	A.由于长期缺牙,骨质大量吸收引起
	B.该组织对于义齿有很好的支持作用
	C.该组织在修复前不必切除
	D.该组织受压后不会产生炎症和疼痛
	E.该组织是由于牙槽嵴压迫性吸收形成
148、单项选择题 牙槽嵴修整适宜时间在拔牙后()
	A.2~3个月
	B.1~2个月
	C.0.5~1个月
	D.3~4个月
	E.4~5个月
149、单项选择题 颌面部最容易并发颅内感染的间隙是()
	A.翼下颌间隙
	B.颊间隙
	C.咽旁间隙
	D.颞浅间隙
	E.眶下间隙
150、单项选择题 以下心脏病人除了何种情况外应禁忌拔牙()
	A.心功能一级
	B.心功能四级
	C.近期心肌梗死
	D.心绞痛频繁发作
	E.心脏病并高血压
151、单项选择题 下列哪个部位的骨折最易引起呼吸道阻塞()
	A.正中联合部线状骨折
	B.一侧颏孔区骨折
	C.双侧髁突骨折
	D.下颌角部骨折
	E.双侧颏孔区骨折
152、单项选择题 最易发生恶性变化的色素痣是()
	A.皮内痣
	B.复合痣
	C.交界痣
	D.雀斑样色素痣
	E.毛痣
153、单项选择题
慢性复发性腮腺炎腮腺造影(如图)显示()
	
	A.末梢导管无明显改变
	B.末梢导管边缘毛糙呈葱皮样或花边样改变
	C.末梢导管呈点状、球状扩张
	D.末梢导管呈“腊肠状”改变
	E.末梢导管阻塞
154、单项选择题 换药的主要目的是()
	A.清洁伤口
	B.常规换药
	C.保持敷料整洁
	D.促进伤口愈合
	E.满足患者要求
155、单项选择题 拔牙创充满血液后至形成血凝块而封闭伤口约需()
	A.60分钟
	B.40分钟
	C.30分钟
	D.10分钟
	E.5分钟
156、单项选择题 下列哪些间隙属于面侧深区的范围()
	A.颞下间隙及翼下颌间隙
	B.颞下间隙及翼腭间隙
	C.颞下间隙及咽旁间隙
	D.翼下颌间隙及咽旁间隙
	E.翼下颌间隙及翼腭间隙
157、单项选择题 髁突颈部骨折后髁突常向前内方移位是由于患侧()
	A.颞肌的作用
	B.咬肌的作用
	C.翼内肌的作用
	D.翼外肌的作用
	E.下颌升支变短
158、单项选择题
	腭裂(如图)的手术原则不包括()
	A.封闭裂隙
	B.延伸软腭
	C.将移位的组织结构复位
	D.切除多余组织
	E.重建良好的腭咽闭合功能
159、单项选择题 局部麻醉后数周神经支配区麻木可能原因是()
	A.注射区血肿
	B.注射区肿瘤
	C.神经损伤
	D.注射针折断
	E.注射区有水肿
160、单项选择题
	面下部是指()

	A.口裂平行线以下的部分
	B.眉弓联线以下的部分
	C.口裂平行线与舌骨平行线之间的区域
	D.口裂平行线与甲状软骨水平之间的区域
	E.口裂平行线与锁骨之间的区域
161、单项选择题 下列关于牙根拔除方法,错误的是()
	A.对于高过牙龈的高位残根可用根钳拔除
	B.对于牙钳无法夹住的低位残根应使用牙挺
	C.使用牙挺时注意不应以颊侧骨板为支点
	D.牙挺挺刃的大小宽窄应与牙根相适应
	E.某些低位残根在去除少许牙槽骨壁后也可用牙钳拔除
162、单项选择题 单独采用下颌骨骨折颌间结扎固定,一般时间为()
	A.1周
	B.2~3周
	C.4~6周
	D.7~8周
	E.8周以上
163、单项选择题 以下哪一个是皮样、表皮样囊肿所独有的特征()
	A.生长缓慢
	B.多见于儿童、青年
	C.触诊似面团样坚韧而有弹性
	D.境界清
	E.一般无自觉症状
164、单项选择题 人体组织中最硬的组织是()
	A.牙釉质
	B.牙本质
	C.牙骨质
	D.颅骨内板
	E.颅骨外板
165、单项选择题 造成骨折延期愈合或愈合不良的原因是()
	A.未能及时复位固定
	B.复位不准确,固定不牢靠
	C.过早拆除固定装置
	D.清创不充分,预防感染措施不得力
	E.以上均是原因
166、单项选择题 口腔颌面部手术切口的选择,错误的说法是()
	A.考虑重要解剖结构的正常行径,并尽量与之平行,以减少损伤和避免不必要的牺牲
	B.切口应选择在病变区之上或其邻近
	C.考虑面部功能及美观的特殊要求,面部切口长度应尽可能短
	D.面部切口应尽量与皮纹一致,或选择天然皱褶部
	E.下颌下切口沿下颌下缘1.5cm左右,以避免损伤面神经下颌缘支
167、单项选择题 腮腺肿瘤切除术后局部加压常采用()
	A.交叉十字绷带
	B.螺旋形绷带
	C.单眼交叉绷带
	D.颈部绷带
	E.颈腋"8"字绷带
168、单项选择题 下颌下区手术后包扎常用()
	A.四头带
	B.面部绷带
	C.交叉十字绷带
	D.颈部绷带
	E.颈腋绷带
169、单项选择题 急性冠周炎时,应主要()
	A.全身药物治疗
	B.保持口腔清洁
	C.局部冲洗上药
	D.局部处理结合抗生素治疗
	E.拔除病灶牙
170、单项选择题 LeFortⅡ型骨折是指()
	A.颧弓上骨折
	B.锥形骨折
	C.水平骨折
	D.纵形骨折
	E.矢状骨折
171、单项选择题 下唇麻木是哪种神经阻滞麻醉注射成功的主要标志()
	A.上牙槽后神经
	B.下牙槽神经
	C.腭前神经
	D.鼻腭神经
	E.颊神经
172、单项选择题 心脏病人拔牙使用局麻药中去甲肾上腺素的总剂量应当控制在()
	A.4ml以内
	B.1ml以内
	C.0.04mg以内
	D.1mg以内
	E.1:1000以内
173、单项选择题
下列关于黏液表皮样癌(如图)的叙述,不正确的是()
	
	A.约2/3的黏液表皮样癌发生在腮腺
	B.有的无包膜而向周围组织浸润
	C.低分化型常见颈淋巴结转移
	D.血行转移多见,且多转移至肝
	E.高分化型生长慢,转移率低,预后较佳
174、单项选择题 发生于下颌下、颏下区的腐败坏死性蜂窝织炎的临床特点中,错误的是()
	A.局部广泛性肿胀,可触及捻发音
	B.易造成中毒性休克
	C.病情发展可引起呼吸困难
	D.病情严重者,体温明显升高,可高达40℃以上
	E.切开后有大量咖啡色、稀薄恶臭、混有气泡的分泌物
175、单项选择题
图示是鳃裂囊肿患者的CT检查结果,关于此病的描述错误的是()
	
	A.无自觉症状
	B.大小不定,生长缓慢
	C.可继发感染
	D.触之有搏动感
	E.可形成瘘
176、单项选择题 间隙感染中何种最易导致呼吸困难()
	A.眶下间隙
	B.翼下颌间隙
	C.咬肌间隙
	D.下颌下间隙
	E.口底蜂窝织炎
177、单项选择题
	颈鞘内包裹的组织不包括()
	A.颈内静脉
	B.颈内动脉
	C.迷走神经
	D.颈外动脉
	E.颈总动脉
178、单项选择题 下颌智牙冠周炎沿下颌支外侧面向后可形成()
	A.翼下颌间隙感染
	B.咽旁间隙感染
	C.下颌下间隙感染
	D.口底蜂窝织炎
	E.咬肌间隙感染
179、单项选择题 颌间结扎固定作为下颌骨骨折坚固内固定术后维持咬合关系时,一般在术后多久可去除()
	A.2周
	B.3周
	C.4周
	D.2~3天
	E.5周
180、单项选择题 下列哪种情况不是放置引流的适应证()
	A.可能发生感染的污染创口
	B.较浅小的无菌创口
	C.留有死腔的创口
	D.止血不全的创口
	E.脓肿切开的创口
181、单项选择题 口腔腺源性感染主要发生在()
	A.下颌下间隙
	B.腮腺区
	C.舌下间隙
	D.咬肌间隙
	E.咽旁间隙
182、单项选择题 关于牙钳使用,下列正确的是()
	A.钳喙应尽量向根方夹持
	B.夹持不可太紧,否则易断根
	C.多个牙拔除时尽量选用万能牙钳
	D.手掌握持时应尽量靠近牙钳关节
	E.使用牙钳只能唇(颊)舌(腭)向摇动,否则易断根
183、单项选择题 阻生牙拍X线片的目的不包括()
	A.了解与邻牙关系
	B.了解牙根形态
	C.了解软组织阻力大小
	D.了解周围骨质情况
	E.了解与下颌管关系
184、单项选择题 预防干槽症下列错误的是()
	A.减少手术创伤
	B.尽量延长局部压迫止血时间
	C.注意无菌操作
	D.注意口腔卫生
	E.保护拔牙创内血凝块
185、单项选择题 使用涡轮钻拔牙时,下列哪项是不必要的()
	A.保护软组织
	B.水冷钻针
	C.生理盐水冲洗术后创口
	D.消毒钻针和手机
	E.应用止血剂
186、单项选择题 当出现后牙早接触,前牙开合,侧合运动受限时表示()
	A.颏部骨折
	B.单侧髁状突骨折
	C.双侧髁状突骨折
	D.颏孔区骨折
	E.下颌角骨折
187、单项选择题 颌骨骨折最常见的重要临床体征是()
	A.咬合错乱
	B.张口受限
	C.骨折段活动异常
	D.局部肿痛
	E.骨摩擦音
188、单项选择题
	行眶下神经孔口外法麻醉时,进针方向是()
	A.后外
	B.后内
	C.后上内
	D.后上外
	E.垂直向后
189、单项选择题 下列论述哪一项是错误的()
	A.口角位于口裂两端,正常位置相当于尖牙和第一前磨牙之间
	B.唇红为上下唇的游离缘,是皮肤粘膜的移行区
	C.唇弓为全部唇红呈弓背状,故名
	D.唇红缘为唇红和皮肤的交界处
	E.唇峰为唇弓最高点
190、单项选择题
以下关于上颌窦癌(见图)的叙述,哪项是错误的()
	
	A.以鳞状细胞癌为最常见
	B.早期无症状而不易发觉
	C.肿瘤发生部位不同可出现不同临床症状(如鼻塞、复视、张口受限等)
	D.早期即有明显的骨质破坏
	E.远处转移较少见
191、单项选择题 新生儿20天,检查发现舌系带附着于下齿槽嵴顶部,你认为应给()
	A.立即手术
	B.必要时6个月时手术
	C.待学龄前手术
	D.必要时1~2岁以后手术
	E.根本不用手术
192、单项选择题 下牙槽神经阻滞麻醉是将局麻药注入()
	A.咬肌间隙
	B.翼下颌间隙
	C.颊间隙
	D.翼腭间隙
	E.咽旁间隙
193、单项选择题
下颌骨易发生骨折的薄弱部位不包括()
	
	A.正中联合
	B.颏孔区
	C.下颌角
	D.乙状切迹
	E.髁状突颈部
194、单项选择题
	以下关于舌癌(如图)的叙述,哪项是错误的()
	A.以鳞状细胞癌多见
	B.多发生于舌缘,恶性程度高
	C.常发生早期颈部淋巴结转移
	D.舌根部癌可向茎突后及咽后部的淋巴转移
	E.转移途径多为直接浸润和种植转移
195、单项选择题 阻生牙拔除时的阻力不包括()
	A.软组织阻力
	B.冠部骨阻力
	C.根部骨阻力
	D.对?牙阻力
	E.邻牙阻力
196、单项选择题 涎瘘患者常用的胆碱能受体抑制剂为()
	A.卡巴胆碱
	B.去甲肾上腺素
	C.多巴胺
	D.卡马西平
	E.阿托品
197、单项选择题 更换手术刀片常用的器械是()
	A.有齿镊
	B.平镊
	C.持针器
	D.组织镊
	E.蚊式血管钳
198、单项选择题 造成拔牙术中断根的原因中,错误的是()
	A.钳喙未与牙长轴平行
	B.钳喙与牙体接触面大
	C.牙根形态变异
	D.拔牙用力过大
	E.误用旋转力
199、单项选择题
	腭大孔的位置是()
	A.上中切牙的腭侧
	B.硬腭后缘后0.5cm,腭中缝至第二磨牙外中1/3
	C.硬腭后缘0.5cm,腭中缝至上颌第二磨牙外中2/3
	D.硬腭后缘前0.5cm,腭中缝至第二磨牙外中1/3
	E.硬腭后缘前0.5cm,腭中缝至第二磨牙外中2/3
200、单项选择题 拔除下颌双尖牙采用的麻醉方法是()
	A.下牙槽神经阻滞麻醉
	B.下牙槽神经及舌神经阻滞麻醉
	C.颊神经及舌神经阻滞麻醉
	D.下牙槽神经及颊神经阻滞麻醉
	E.舌神经阻滞麻醉
201、单项选择题 安放牙钳时下述何种方法是错误的()
	A.正确选用拔牙钳
	B.钳喙应与牙长轴平行
	C.钳喙应置于牙冠釉质上并与之贴紧
	D.安放时钳喙应沿颊腭部侧插入
	E.安放好牙钳后应再次核对牙位
202、单项选择题 下颌下腺导管堵塞发生最常见的原因是()
	A.唾液腺结石病
	B.导管先天性狭窄
	C.外源性肿瘤压迫
	D.邻近组织瘢痕导致
	E.异物
203、单项选择题 颌面外伤清创时下述哪项是错误的()
	A.尽量保留软组织,以免造成畸形
	B.去除已坏死的组织、异物和污染物
	C.基本离体的组织,即使没有感染也应去除
	D.应注意探查有无面神经损伤
	E.应注意探查有无骨折发生
204、单项选择题 长期戴用义齿可引起最常见的硬组织病变是()
	A.牙槽突堵生
	B.牙槽骨萎缩
	C.牙槽骨炎
	D.牙槽骨乳突样增生
	E.牙槽骨损伤
205、单项选择题 临床上边缘性颌骨骨髓炎,常继发于()
	A.颊间隙感染
	B.下颌下间隙感染
	C.咬肌间隙感染
	D.颞间隙感染
	E.翼腭间隙感染
206、单项选择题 青霉素作用机制是()
	A.干扰细菌蛋白质合成
	B.抑制细菌核酸代谢
	C.抑制细菌酶活性
	D.破坏细胞壁中肽聚糖
	E.破坏细胞膜
207、单项选择题 上颌体分为四壁一腔,其四壁是指()
	A.前壁、后壁、上壁、内壁
	B.前壁、后壁、上壁、下壁
	C.内壁、外壁、上壁、下壁
	D.前壁、侧壁、上壁、内壁
	E.前壁、侧壁、上壁、下壁
208、单项选择题 口腔局部麻醉的并发症包括()
	A.晕厥
	B.过敏反应
	C.血肿
	D.暂时性面瘫
	E.以上都是
209、单项选择题 最易并发颅底骨折或颅脑损伤的颌骨骨折是()
	A.上颌骨LeFortⅠ型骨折
	B.上颌骨LeFortⅡ型骨折
	C.上颌骨LeFortⅢ型骨折
	D.下颌骨髁状突骨折
	E.下颌骨正中骨折
210、单项选择题 下列哪项不是颞深间隙脓肿切开引流的原则()
	A.应作多个切口或作弧形切口
	B.切口方向必须和肌纤维方向一致
	C.切口一律呈横行
	D.发现有骨髓炎应及早作死骨清除术
	E.引流应充分
211、单项选择题 下面哪一项临床表现与舌下间隙感染不符合()
	A.语言障碍
	B.声音嘶哑
	C.吞咽疼痛,进食困难
	D.舌运动受限
	E.口底黏膜充血,水肿,口底抬高
212、单项选择题 皮肤创口缝合后创缘过度外翻的原因是()
	A.进针过深
	B.收结过紧
	C.皮肤进针间距大于皮下间距
	D.皮肤进针间距小于皮下间距
	E.两侧进针深度不一致
213、单项选择题
	60岁男性,左耳垂下无痛性肿物缓慢长大四年,局部有胀感。检查见肿块位于腮腺后下极,表面光滑,质中偏软,不可压缩,与皮肤无黏连。影像检查结果如图。最可能的诊断是()
	A.腮腺多形性腺瘤
	B.腮腺沃辛瘤
	C.腮腺内淋巴结炎
	D.腮腺血管瘤
	E.腮腺囊肿
214、单项选择题
进行双侧唇裂(如图)整复术最适合的年龄为()
	
	A.出生后即刻
	B.1~2个月
	C.3~6个月
	D.6~12个月
	E.1~2岁
215、单项选择题 关于干槽症病因学说中,不包括()
	A.感染学说
	B.创伤学说
	C.免疫学说
	D.解剖因素学说
	E.纤维蛋白溶解学说
216、单项选择题 颞下凹肿瘤作活检宜用何种方法()
	A.切取
	B.钳取
	C.吸取
	D.冰冻切片
	E.脱落细胞检查
217、单项选择题 不属于拔牙适应证的情况是()
	A.恶性肿瘤放射治疗前口内的残根
	B.腭侧错位牙,食物嵌塞,形成深龋
	C.滞留乳牙,无松动,恒牙无先天缺失
	D.下磨牙远中、?面、颊面大面积龋坏达龈下2mm
	E.上前牙冠折1/3合并根折
218、单项选择题
	松动的乳牙拔除宜采用的麻醉方法是()


	A.表面麻醉
	B.浸润麻醉
	C.阻滞麻醉
	D.基础麻醉
	E.静脉复合麻醉
219、单项选择题
	以下哪个囊肿X线检查无改变()
	A.根尖囊肿
	B.球上颌囊肿
	C.正中囊肿
	D.鼻唇囊肿
	E.鼻腭囊肿
220、单项选择题 术前医生可以通过X线片来确定拔除患牙的最小去骨量,一般来说,只需用钻去除患牙()
	A.颊侧骨质
	B.覆盖牙冠的骨质
	C.远中骨质
	D.以上骨质均需去除
	E.近中骨质
221、单项选择题
口角正常的位置在()
	
	A.位于外眦垂直线上
	B.位于内眦垂直线上
	C.位于侧切牙与尖牙之间
	D.位于尖牙与第一前磨牙之间
	E.第一前磨牙与第二前磨牙之间
222、单项选择题 哪种脉管瘤听诊可有吹风样杂音()
	A.静脉畸形
	B.微静脉畸形
	C.动静脉畸形
	D.淋巴管畸形
	E.混合型脉管畸形
223、单项选择题 复视是哪一个骨折的表现()
	A.颧骨K-NⅠ、Ⅱ型骨折
	B.颧上颌骨骨折
	C.上颌骨LeFortⅠ骨折
	D.眶底骨折
	E.上颌骨LeFortⅡ骨折
224、单项选择题 血友病患者允许拔牙的指征,是其第Ⅷ凝血因子应至少达到正常的()
	A.20%
	B.30%
	C.40%
	D.50%
	E.60%
225、单项选择题 下列颌面部间隙中最容易并发颌骨骨髓炎的是()
	A.颊间隙
	B.咬肌间隙
	C.颞深间隙
	D.颞浅间隙
	E.下颌下间隙
226、单项选择题
	颌骨的血供主要来自于()
	A.舌动脉
	B.面动脉
	C.甲状腺上动脉
	D.颌内动脉
	E.颞浅动脉
227、单项选择题 牙龈瘤的组织来源于()
	A.牙槽骨
	B.牙龈上皮
	C.颌骨骨皮质
	D.牙周膜
	E.牙周膜及牙槽突的结缔组织
228、单项选择题 患者男性48岁,3天前出现左上前牙持续剧烈跳痛,昨日疼痛缓解,但下睑至上唇、鼻旁颧部肿胀明显,皮肤充血,皮温升高,此时应诊断为()
	A.急性上颌窦炎
	B.眶下间隙感染
	C.上颌中央性骨髓炎
	D.上唇痈
	E.眶下淋巴结炎
229、单项选择题 拔除过程中可使用旋转力的牙齿是()
	A.上颌前磨牙
	B.上颌第二磨牙
	C.下颌中切牙
	D.下颌前磨牙
	E.下颌第三磨牙
230、单项选择题
	关于腺样囊性癌(如图)的描述不正确的是()
	A.可分为腺样和(或)管状型及实质型
	B.最常见于下颌下腺
	C.应手术切除
	D.术后常需配合放疗
	E.又叫圆柱瘤
231、单项选择题 局麻药中加入肾上腺素浓度一般是()
	A.1:(1000~3000)
	B.1:(3000~10000)
	C.1:(10000~30000)
	D.1:(50000~200000)
	E.1:(500000~2000000)
232、单项选择题
组图为口内纤维瘤的外观,关于此病的描述不正确的是()
	


	A.主要由纤维组织构成
	B.生长一般较缓慢
	C.肿瘤边界清楚
	D.手术后不易复发
	E.有可能恶变
233、单项选择题
位于上颌侧切牙与尖牙之间的非牙源性囊肿(影像检查如图)是()
	
	A.球上颌囊肿
	B.鼻腭囊肿
	C.正中囊肿
	D.鼻唇囊肿
	E.角化囊肿
234、单项选择题
发现下前牙变色,唇侧牙龈一肿物一月余,经X线检查,结果如图。最可能的诊断是()
	
	A.根尖囊肿
	B.牙龈瘤
	C.根尖脓肿
	D.成釉细胞瘤
	E.牙骨质瘤
235、单项选择题 颌面部感染后出现下颌支及下颌角部肿胀,张口极度困难,诊断多为()
	A.颊间隙感染
	B.咬肌间隙感染
	C.翼下颌间隙感染
	D.咽旁间隙感染
	E.颞下间隙感染
236、单项选择题
图为牙骨质瘤的X线表现,关于此病描述不正确的是()
	
	A.来源于牙胚的牙囊或牙周膜
	B.肿瘤紧贴牙根部,可单发或多发
	C.牙髓活力测试是阴性的
	D.生长缓慢,一般无自觉症状
	E.X线显示根尖周围有不透光的阴影
237、单项选择题 黏液表皮样癌最多见部位()
	A.舌下腺
	B.腭腺
	C.颌下腺
	D.磨牙后腺
	E.腮腺
238、单项选择题 触诊怀疑下颌下腺导管较前部的涎石,应该首选以下哪种检查方法()
	A.下颌横断He片
	B.下颌下腺侧位片
	C.全景片
	D.MRI
	E.唾液腺造影
239、单项选择题 拔牙创上皮覆盖愈合的时间差异很大,上皮开始向血凝块生长时间,在术后()
	A.3~4天
	B.8~9天
	C.2周左右
	D.3周左右
	E.4周左右
240、单项选择题 某5岁先天Ⅲ°腭裂患儿(如图),于全麻下接受腭裂修复术,为便发音和讲话接近正常,术后应()
	A.进行语音训练
	B.长期佩戴腭护板
	C.调整饮食习惯
	D.正畸矫治错牙
	E.局部理疗
241、单项选择题 下列叙述正确的是()
	A.遗留牙槽窝中时间较久的牙根为断根
	B.拔牙术中折断的牙根为残根
	C.即使断根很小且无炎症,也必须取出
	D.各种断根皆应在拔牙的同时取出
	E.病员体质弱且掏根手术复杂时,可延期拔除断根
242、单项选择题 关于翼下颌间隙感染下列说法错误的是()
	A.感染少数是医源性感染
	B.临床首先表现为张口受限
	C.翼下颌间隙周围肌肉多而厚实,感染不易扩散
	D.口内翼下颌皱襞肿胀、压痛
	E.可从口内作切开引流
243、单项选择题 颌面部放疗引起放射性颌骨坏死的照射剂量最小为()
	A.30Gy
	B.40Gy
	C.50Gy
	D.60Gy
	E.70Gy
244、单项选择题 口底腐败坏死性感染治疗中错误的是()
	A.早期广泛切开引流
	B.广泛分离每个间隙
	C.3%过氧化氢液及盐水冲洗
	D.盐水纱条引流
	E.加压包扎,消灭死腔
245、单项选择题
	面神经颅外段的分支哪一个不正确()
	A.颞支
	B.颧支
	C.颊支
	D.下颌支
	E.颈支
246、单项选择题 某患者不慎摔倒,颊部着地,无明显开放性损伤。但伤后出现两侧后牙早接触,前牙开,两侧颞下颌关节区疼痛;最可能的诊断是()
	A.双侧翼外肌痉挛
	B.双侧咬肌痉挛
	C.双侧髁状突颈部骨折
	D.双侧颞下颌关节前脱位
	E.下颌骨颏部骨折
247、单项选择题 关于翻瓣去骨拔除断根的方法,下列哪项是错误的()
	A.瓣的基底部应宽以提供充足的血运
	B.翻瓣时应将骨膜保留在骨面以防术后骨感染
	C.瓣应足够大,使视野清楚
	D.保证足够去骨间隙,防止去骨损伤软组织
	E.缝合后应保证切口下方有骨支持
248、单项选择题 上颌骨横断骨折或颅面分离骨折紧急处理时,常用()
	A.单颌牙弓夹板固定
	B.切开复位,骨间固定
	C.带钩牙弓夹板颌间固定
	D.颅颌固定
	E.黏片颌间固定
249、单项选择题 关于分离牙龈正确的说法()
	A.可减少拔牙时软组织阻力
	B.应分离至釉牙骨质界
	C.乳牙拔除时可不用分离牙龈
	D.分离牙龈的目的是避免牙钳夹伤牙龈
	E.4|4正畸减数时可不用分离牙龈
250、单项选择题 上颌骨骨折诊断中最有决定意义的症状是()
	A.几个牙齿折断或错位
	B.鼻孔大出血
	C.面部肿胀
	D.上颌骨出现动度和错
	E.脑震荡
251、单项选择题 关于拔牙时患者的体位下列哪项是错误的()
	A.在拔牙过程中应使患者处于一种自然舒适的体位
	B.拔除下颌牙时患者张口时下颌牙平面应与地面平行
	C.拔除下颌牙时,患者下颌应与术者肘关节在同一高度或稍低
	D.拔除上颌牙时患者头稍后仰,上颌牙面与地面呈45°
	E.拔除上颌智齿时患者头尽量后仰,上颌牙面与地面呈60°
252、单项选择题 以下病原菌中,哪种引起的是非特异性感染()
	A.放线菌
	B.大肠杆菌
	C.结核杆菌
	D.破伤风梭菌
	E.梅毒螺旋体
253、单项选择题 男,32岁,右颌下区无痛性渐增性肿块发现4年,肿块触诊质软,压缩感(±),体位试验(±),无口角歪斜及伸舌右偏。穿刺出5ml不凝血性液体,最可能的诊断是()
	A.海绵型血管瘤
	B.舌下腺囊肿口外型
	C.颌下腺囊肿
	D.淋巴血管瘤
	E.腮裂囊肿
254、单项选择题 颌面部外伤清创时哪些组织不需要切除()
	A.已坏死的组织
	B.严重污染的组织
	C.游离的小碎骨片
	D.离体的组织
	E.严重损伤的神经组织
255、单项选择题 急性化脓性腮腺炎的致病菌主要是()
	A.金黄色葡萄球菌
	B.化脓性链球菌
	C.肺炎链球菌
	D.流感(嗜血)杆菌
	E.文森螺旋体
256、单项选择题 引起颌面部炎症反复发作经久不愈的根本原因是()
	A.抗生素用量不足
	B.感染细菌的抗药性强
	C.未及时清除病灶
	D.引流不通畅
	E.病人全身抵抗力差
257、单项选择题
	翼外肌的功能是()
	A.开口功能
	B.闭口功能
	C.开口和闭口功能
	D.肌肉收缩时牵引下颌骨向同侧运动
	E.牵引下颌骨前伸和侧方运动
258、单项选择题 影响下颌骨骨折段移位的因素不包括()
	A.咀嚼肌牵引的力量
	B.出血、软组织肿胀及颌骨本身的重量
	C.骨折线方向和角度
	D.外力的大小和作用方向
	E.开口肌的作用
259、单项选择题 慢性下颌智牙冠周炎可并发面颊瘘其常见位置相当于下颌()
	A.第三磨牙
	B.第二磨牙
	C.第一磨牙
	D.第二前磨牙
	E.第一前磨牙
260、单项选择题 关于拔除牙的检查及拔牙创的处理,下列错误的是()
	A.检查拔除牙根是否完整
	B.牙龈有无撕裂
	C.过高牙槽间隔应待其自行吸收
	D.刮除拔牙窝内残留物
	E.牙槽窝压迫复位
261、单项选择题
	肺结核患者发现双侧腮腺区肿块3个月,缓慢增大,无明显症状。查体腮腺区可触及局限性肿块,边界清,质软,可活动,轻压痛。CT检查结果图示。首先考虑的诊断为()
	A.腮腺囊肿
	B.腮腺多形性腺瘤
	C.腮腺结核
	D.慢性腮腺炎
	E.腮腺腺样囊性癌
262、单项选择题 牙拔除过程中最常使用的力为()
	A.扭转力
	B.摇动力
	C.杠杆力
	D.楔力
	E.轮轴力
263、单项选择题 糖尿病患者,无酸中毒症状时可考虑拔牙的血糖最高值是()
	A.150mg/dl
	B.160mg/dl
	C.170mg/dl
	D.180mg/dl
	E.190mg/dl
264、单项选择题
	女,32岁,右下后牙龈向外膨隆,后牙渐松动3个月。X线片(如图)示右下颌磨牙区颌骨呈蜂房样改变,病变区牙根呈锯齿状吸收。该病人最可能的诊断是()
	A.右下颌骨角化囊肿
	B.右下颌骨骨巨细胞瘤
	C.右下颌骨骨肉瘤
	D.右下颌骨成釉细胞瘤
	E.右下颌骨中央性颌骨癌
265、单项选择题 下列哪项不属于口腔器官()
	A.牙齿
	B.涎腺
	C.扁桃体
	D.颌骨
	E.唇、颊、腭、舌、口底组织
266、单项选择题 检查开口度时,应以()间的距离为标准
	A.上下颌牙槽嵴
	B.上下颌中切牙龈缘
	C.上下颌中切牙切缘
	D.上下颌前牙切缘
	E.上下颌侧切牙切缘
267、单项选择题
	以下关于黏液表皮样癌(如图)的叙述中,哪项是错误的()
	A.女性多于男性,发生于腮腺者居多
	B.高分化黏液表皮样癌很少发生颈淋巴结转移
	C.低分化黏液表皮样癌淋巴结转移率高
	D.高分化和低分化者均应作选择性颈清
	E.高分化黏液表皮样癌较低分化黏液表皮样癌常见
268、单项选择题 女性,32岁,右颈上部无痛性渐大性肿块10月。检查:右颈上区扪及6cm×4cm大小肿物,质中,界清,边缘光滑,可左右推动,但上下活动度较差。B超提示实质性肿块。最可能的诊断是()
	A.腮腺混合瘤
	B.颌下腺良性肥大
	C.神经鞘膜瘤
	D.鳃裂囊肿
	E.囊性水瘤
269、单项选择题 舍格伦综合征明确诊断时可做活体组织学检查,取活检部位常为()
	A.腮腺
	B.下颌下腺
	C.舌下腺
	D.唇腺
	E.磨牙后腺
270、单项选择题
	患牙拔除时适宜使用旋转力的牙是()

	A.上颌双尖牙
	B.下颌磨牙
	C.上颌中切牙
	D.下颌中切牙
	E.上颌磨牙
271、单项选择题 哪项不是骨凿法上颌窦底提升技术的适应证()
	A.牙槽嵴宽度不足
	B.个别牙种植
	C.需要提升的高度<5mm
	D.窦底剩余骨>5mm
	E.牙槽嵴有足够宽度
272、单项选择题 以下对于骨隆突的描述,错误的是()
	A.骨隆突就是正常骨骼上的骨性隆起
	B.如修复前发现双侧上颌结节均肥大,则一般只需手术修整单侧肥大的上颌结节
	C.下颌前磨牙舌侧处常出现骨隆突
	D.无论是否影响义齿摘戴,出现骨隆突即应手术修整
	E.从组织学上来说骨隆突与正常骨组织无区别
273、单项选择题 哪种口腔颌面部的肿瘤容易发生早期肺部转移()
	A.牙龈癌
	B.舌癌
	C.黏液表皮样癌
	D.颊癌
	E.腺样囊性癌
274、单项选择题
黏液表皮样癌(如组图)以下哪种说法不正确()
	


	A.多发生在腮腺
	B.一般分为高分化和低分化两类
	C.高分化者少见颈淋巴结转移
	D.低分化者常见颈淋巴转移
	E.各型治疗原则相同
275、单项选择题
一患者拔下后牙后出现渐进性张口受限,颌下淋巴结肿大,除下颌支后缘稍丰满压痛外,其余未见明显特征,你认为以下哪一诊断是正确的()
	



	A.眶下间隙感染
	B.咬肌间隙感染
	C.下颌下间隙感染
	D.翼颌间隙感染
	E.颊间隙感染
276、单项选择题 患者男性46岁左上第一磨牙残根,患有慢性乙型肝炎20年关于此类患者拔牙,下列说法错误的是()
	A.肝炎急慢性期皆可拔牙
	B.术前应进行肝功检查
	C.肝功损害严重者术后易出血
	D.拔牙前应检查凝血酶原时间
	E.注意防治牙源性交叉感染
277、单项选择题 患者女性,52岁,左上第二磨牙残冠,高血压病史十余年服药控制在150/90mmHg,近半月出现劳累后出现心前区疼痛症状,下列叙述哪项是错误的()
	A.此患者目前应禁忌拔牙
	B.拔牙可能诱发心绞痛
	C.拔牙可能诱发心梗
	D.拔牙可能诱发心内膜炎
	E.应内科治疗后再拔牙
278、单项选择题 成釉细胞瘤为临界瘤的原因为()
	A.来源于牙源性上皮
	B.瘤体内牙根吸收
	C.压迫三叉神经引起相应部位麻木
	D.长的特别大
	E.有局限性浸润生长
279、单项选择题 下列何种情况下阻生齿可暂不拔除()
	A.阻生牙反复发生冠周炎
	B.阻生牙近中出现食物嵌塞
	C.完全骨埋伏阻生齿临床无症状
	D.正畸科要求拔除
	E.阻生牙大面积龋坏
280、单项选择题
	可出现大块分界不清的死骨为()


	A.急性中央性骨髓炎
	B.慢性化脓性骨髓炎
	C.边缘性骨髓炎
	D.放射性骨髓炎
	E.婴幼儿骨髓炎
281、单项选择题
	表情肌的止点在()
	A.皮肤
	B.皮下组织
	C.筋膜浅层
	D.粘膜
	E.骨膜
282、单项选择题 冠周炎冲洗洁净并擦干后,局部应涂以何种药物以促进炎症消退()
	A.红汞
	B.甲紫
	C.高锰酸钾
	D.樟脑酚
	E.碘甘油
283、单项选择题 外科专用切割钻与传统裂钻相比,有以下特点,除了()
	A.钻更长
	B.钻孔能力好
	C.切割能力强
	D.缩短手术时间
	E.减少手术创伤
284、单项选择题 在口腔黏膜上出现的病损呈黄色小疱状突,同时其中也夹杂有红色小疱,周界不清楚,常发生于舌背腹者,可诊断为()
	A.毛细管型淋巴管瘤
	B.海绵型淋巴管瘤
	C.囊肿型淋巴管瘤
	D.混合型淋巴管瘤
	E.淋巴血管瘤
285、单项选择题 中央性骨髓炎死骨切除术应在急性炎症后()
	A.2周
	B.3~4周
	C.2个月
	D.3~4个月
	E.6个月以上
286、单项选择题
	颈外动脉的终末支是()
	A.舌动脉
	B.面动脉
	C.甲状腺上动脉
	D.颈内动脉
	E.颞浅动脉
287、单项选择题 关于黏液囊肿的治疗,以下说法正确的是()
	A.小唾液腺囊肿治疗以手术切除为常见,和囊肿相连的腺体应与囊肿一并切除,以防复发
	B.根治舌下腺囊肿的方法是切除囊肿,尽量保存正常腺体,但不可残留囊壁
	C.舌下腺摘除术中如损伤下颌下腺导管,其术后可自然愈合
	D.对于口外型舌下腺囊肿,则应在下颌下区做切口摘除囊肿
	E.对于已行袋形缝合术的舌下腺囊肿,则不必进行舌下腺切除
288、单项选择题 关于放射性颌骨坏死的临床特点,哪项是错误的()
	A.发病期剧痛
	B.死骨分离缓慢,但死骨与正常骨界限清楚
	C.病程缓慢,可在放疗后十余年后才出现症状
	D.可形成口腔和面颊部的洞穿缺损
	E.骨面暴露部位长期溢脓、久治难愈
289、单项选择题
	某患者一侧下颌磨牙区、下颌角及升支部渐进性膨大,按之有乒乓球感。X线片(如图)示多房性密度减低影,分房大小相差悬珠,分隔清晰锐利、阴影边缘呈切迹状,阴影内牙根尖有不规则吸收。该病最可能的诊断是()
	A.成釉细胞瘤
	B.牙源性角化囊肿
	C.牙源性纤维瘤
	D.成骨肉瘤
	E.颌骨血管瘤
290、单项选择题 关于放射性颌骨骨髓炎病因下列说法错误的是()
	A.受大剂量放射线照射血管内皮损伤
	B.被照射的骨组织处于缺氧状态
	C.肿瘤转移
	D.牙周炎和猖獗龋
	E.口腔黏膜溃疡、创伤
291、单项选择题 下颌第三磨牙根尖感染向舌侧穿破,最常引起下列哪个间隙感染()
	A.颏下间隙
	B.翼下颌间隙
	C.咽旁间隙
	D.下颌下间隙
	E.咬肌间隙
292、单项选择题 带蒂皮瓣的断蒂手术一般在第一次手术后多久实施()
	A.7天
	B.7~14天
	C.14~21天
	D.21~30天
	E.30~40天
293、单项选择题 口腔颌面部感染来源最常见的是()
	A.血源性
	B.医源性
	C.牙源性
	D.腺源性
	E.损伤性
294、单项选择题 化脓性感染形成脓肿后,外科治疗的基本原则是()
	A.全身加大抗生素剂量
	B.改用其他抗生素
	C.加用肾上腺皮质激素
	D.局部配合物理疗法
	E.立即切开引流
295、单项选择题 牙拔除术结束前使用刮匙的首要作用是()
	A.清理拔牙窝
	B.去除肉芽组织
	C.去除残根
	D.探查拔牙窝
	E.刮除残片
296、单项选择题 拔除断根应在下列情况下进行.但不包括()
	A.专用的诊椅
	B.清楚的视野
	C.良好的照明
	D.合适的器械
	E.良好的止血
297、单项选择题
	发现左侧舌缘溃疡一月余,迅速增大,进食困难,检查外形见图,颈部淋巴结肿大,最先考虑的疾病应是()
	A.溃疡
	B.蔓状血管瘤
	C.舌癌
	D.舌下腺囊肿
	E.小黏液腺瘤
298、单项选择题 关于下牙槽神经的损伤,下列叙述错误的是()
	A.大多数神经损伤可自行恢复
	B.应用氢化可的松对神经恢复有帮助
	C.使用神经营养药物可促进恢复
	D.局部理疗也有一定效果
	E.避免用损伤咀嚼,防止损伤加重
299、单项选择题
	关于牙龈癌(如图)的叙述,哪项是错误的()
	A.多为鳞状细胞癌
	B.男性多于女性,以溃疡型多见
	C.早期向牙槽突及颌骨浸润
	D.下牙龈癌发病率高于上牙龈癌
	E.上牙龈癌比下牙龈癌转移早
300、单项选择题 关于阻生牙的概念错误的是()
	A.阻力来源于邻牙
	B.阻力来源于骨组织
	C.阻力来源于牙龈
	D.常见部位为下颌第三磨牙及上颌第一磨牙
	E.只能部分萌出或完全不能萌出