时间:2023-02-15 01:31:31


1、多项选择题 骨转移瘤最多见于()
A.骨盆
B.膝以下
C.脊柱
D.肘以下
E.颅骨
2、判断题 黏多糖贮积症Ⅱ型,面容拟似古代建筑物上的狮身面像。
3、多项选择题 骨附属组织发生的肿瘤,指起源于()
A.血管
B.神经
C.脂肪
D.骨髓
E.骨
4、单项选择题 下列疾病不属于骨关节肿瘤的是()
A.关节内骨软骨瘤病
B.动脉瘤样骨囊肿
C.骨软骨瘤
D.骨囊肿
E.腱鞘巨细胞瘤
5、单项选择题 下列关于肾盂积水的描述,错误的是()
A.先天性者多见
B.先天性者是小儿腹部肿块常见原因
C.可找不到明确的梗阻原因
D.肾功能不同程度降低
E.妊娠晚期可有肾盂积水
6、单项选择题
女,5岁,左踝疼痛,结合图像,最可能的诊断是()
A.创伤性关节炎
B.退行性骨关节病
C.神经性关节病
D.风湿性关节炎
E.痛风
7、单项选择题 人体最重要的排泄器官是()
A.皮肤
B.肺
C.消化道
D.肾
E.唾液腺
8、判断题 炎症性狭窄范围较广泛且边缘不整齐,而肿瘤性狭窄范围较局限且边缘较整齐。
9、单项选择题 男性,50岁。有动脉粥样硬化病史。突然感到剧烈刀割样胸痛2小时,向背部放射。查体发现主动脉瓣区可闻及舒张期杂音。考虑为主动脉夹层可能。下列哪一项是其常见的胸片表现()
A.主动脉弓部和降主动脉上部影增宽
B.主动脉影狭小
C.主动脉影外形不规则
D.主动脉影位置改变
E.主动脉搏动增强
10、单项选择题 静脉尿路造影第一张照片的摄影时间为()
A.对比剂注射完毕后约3分钟
B.对比剂注射完毕后约7分钟
C.对比剂注射完毕后约10分钟
D.对比剂注射完毕后约15分钟
E.对比剂注射完毕后约20分钟
11、问答题 如何鉴别肺门、纵隔淋巴结肿大?
12、多项选择题 软组织基本病变X线表现为()
A.软组织肿胀
B.软组织肿块
C.软组织内气体
D.肌肉萎缩
E.软组织内钙化和骨化
13、单项选择题 肾盂积水的影像改变,最早出现在()
A.肾盂
B.肾柱
C.肾小盏穹隆部
D.肾小盏杯口
E.肾大盏
14、单项选择题 下列中央型肺癌引起肺不张的X线征象,错误的是()
A.新月征
B.双翼征
C.八字胡征
D.高脚杯征
E.心影转位征
15、单项选择题 不属于直接引入法造影的是()
A.胃肠钡餐造影
B.钡灌肠造影
C.逆行肾盂造影
D.静脉肾盂造影
E.子宫输卵管造影
16、配伍题 周围型肺癌()肺平滑肌瘤()肺错构瘤()肺段隔离症()
A.左下叶后基底段肿块,上下径较长,增强CT显示主动脉分支供血
B.左上叶孤立性结节,类圆形,无分叶和毛刺,CT增强后明显强化
C.右上叶前段孤立结节,有分叶,细短毛刺,内部有空泡
D.左下叶孤立结节,浅分叶,内有爆米花样钙化
E.右上叶后段结节,边缘光整,CT增强后无强化
17、单项选择题
关于X线物理效应的说法,哪项是正确的()
a.穿透作用
b.电离作用
c.荧光作用
d.热作用
e.干涉与衍射作用
A.a,b,c
B.a,b,e
C.a,d,e
D.b,c,d
E.a~e全部
18、单项选择题 “蓬发心”是哪种疾病的特征影像()
A.结核性心包炎
B.石棉肺
C.心肌病
D.尿毒症
E.心包积液
19、单项选择题 白星是指星状形中央的肿块影,常见于()
A.乳腺纤维瘤透明变性
B.乳腺硬化性导管增生
C.乳腺浸润性导管癌
D.乳腺术后瘢痕
E.乳腺脓肿
20、单项选择题 有关胸腔内生殖细胞瘤,错误的是()
A.多见于20~40岁
B.多起源于胸腺
C.多位于中纵隔
D.可见有脂肪信号
E.可见有囊性信号
21、单项选择题 下列检查技术的相应选项,错误的是()
A.手指:近距离摄影
B.乳腺:软组织摄影
C.肺:高千伏摄影
D.心血管:连续摄影
E.消化道:双重造影
22、名词解释 乳腺Cooper韧带
23、单项选择题 管电压超过下述哪个值时,需使用滤线栅()
A.55kV
B.60kV
C.65kV
D.70kV
E.75kV
24、单项选择题 关于“早期胃癌”概念,正确的是()
A.肿瘤范围小于1cm
B.肿瘤局限于粘膜和粘膜下层
C.肿瘤位于胃小弯近胃角处
D.无远处淋巴结转移
E.肿瘤表面光整
25、单项选择题 KerleyB线的范围为()
A.长2~3cm,宽1mm
B.长5~6cm,宽0.5~1mm
C.长1cm,宽0.5mm
D.长10cm,宽1mm以上
E.长0.5~1cm,宽0.5~1mm
26、判断题 任何关节疾病造成关节破坏后均能发生病理性脱位。
27、单项选择题
女,39岁,右上腹部隐痛,有慢性胆囊炎史,曾经做过口服胆囊造影,胆囊显影差,X线检查如图,最可能的诊断是()

A.急性胆囊炎
B.慢性胆囊炎
C.胆囊结石
D.瓷样胆囊
E.胆囊结核
28、名词解释 三叉手畸形
29、问答题 胸腔积液的X线表现为?
30、单项选择题 “表浅溃疡和粘膜斑”见于下述哪种疾病()
A.克罗恩病
B.Behcet病
C.假膜性结肠炎
D.肠结核
E.结肠癌
31、单项选择题 扁平足,常用的摄影体位是()
A.足侧位
B.足轴位
C.足斜位
D.足负重水平侧位
E.双曝光全足正位
32、单项选择题 下列疾病与“Zollinger Ellison综合征”无关的是()
A.胃窦胃泌素瘤
B.可有转移性肝肿瘤
C.空肠溃疡
D.支气管肺癌
E.空肠皱襞增厚
33、多项选择题 下列良性骨肿瘤呈多发性表现的是()
A.血管瘤
B.骨软骨瘤
C.骨样骨瘤
D.软骨瘤
E.神经末梢瘤
34、单项选择题 静止阳极X线管,下列哪个是错误的()
A.真空度
B.灯丝
C.阳极轴承
D.集射罩
E.阳极靶角度
35、问答题 在排泄性尿路造影中各器官的正常X线所见有哪些?
36、单项选择题 在柯氏位上,正常上颌窦的形态为()
A.正方形
B.倒三角形
C.梯形
D.正三角形
E.长方形
37、问答题 膈下脓肿的X线表现有哪些?
38、单项选择题 不属于脑颅骨的是()
A.颞骨
B.顶骨
C.上颌骨
D.额骨
E.蝶骨
39、单项选择题 腮腺良性肿瘤中以哪种最多见()
A.腮腺淋巴瘤
B.腮腺混合瘤
C.腮腺血管瘤
D.腮腺脂肪瘤
E.沃辛瘤
40、配伍题 进行X线摄片检查是利用什么作用()测试辐射量的闪烁晶体是利用什么作用制成的()
A.穿透作用
B.荧光作用
C.电离作用
D.感光作用
E.着色作用
41、单项选择题 两肺血减少,肺动脉段突出,左侧肺动脉大于右侧,属于下述哪种疾病改变()
A.法洛四联征
B.动脉导管未闭
C.肺动脉瓣狭窄
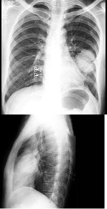
D.高位室间隔缺损
E.以上都不是
42、名词解释 疲劳骨折
43、配伍题 PTA可治疗()动脉化疗可治疗()血管动脉栓塞可治疗()非血管介入治疗()
A.胰腺癌动脉化疗
B.下腔静脉支架置入
C.脾动脉栓塞
D.前列腺支架置入
E.空肠造瘘
44、判断题 左室增大时相反搏动点多上移,右室增大时相反搏动点多下移。
45、问答题 骨结核的X线表现有哪些?
46、单项选择题
男,65岁,咳嗽,右胸痛,痰中带血丝1周。胸部后前位片示:右肺门影增大,右上肺大片状致密影,水平裂呈反“S”样改变。
被阻塞的支气管()
A.右主支气管
B.右肺上叶支气管
C.右肺上叶前段支气管
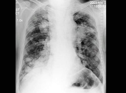
D.右肺中叶支气管
E.右肺上叶尖后段支气管
47、多项选择题 肺不张的范围可以是()
A.一侧性
B.双侧性
C.肺叶性
D.肺段性
E.小叶性
48、单项选择题 关于对比剂的叙述,错误的是()
A.分阴性和阳性对比剂两类
B.可显示组织器官的形态
C.非离子型对比剂属于盐类物质
D.非离子型对比剂毒性较小
E.与周围器官能形成密度差别
49、判断题 滑膜肉瘤大多部分合并周围骨结构侵犯。
50、填空题 肺炎性假瘤是由__________、_________、____________、__________、____________及_____________等组成的肉芽肿。
51、单项选择题 胶片特异性曲线不能反映胶片的()
A.感光度
B.本底灰雾
C.感色性
D.最大密度
E.反差系数
52、单项选择题 单手正位摄片,中心线应垂直对准()
A.第2掌骨头
B.第3掌骨头
C.第3掌骨头基底部
D.第4掌骨头
E.第5掌骨基底部
53、单项选择题 关于X线照片质量客观评价方法的叙述,错误的是()
A.MTF——调制传递函数
B.LSF——点扩散函数
C.WS——维纳频谱
D.ACF——自相关函数
E.DQE——量子检出效率
54、单项选择题 男,40岁,右眼外突1月。CT示:球后肿块,内有斑点状钙化,强化明显,最可能的诊断是()
A.海绵状血管瘤
B.胶质瘤
C.炎性假瘤
D.恶性肿瘤
E.甲状腺性突眼
55、填空题 胃非上皮性肿瘤包括___________、_____________、________和__________等。
56、单项选择题 儿童短管骨结核最具特征性的X线表现是()
A.单纯骨皮质破坏
B.骨质增生硬化
C.骨气鼓
D.死骨及窦道形成
E.以上都不是
57、单项选择题 构成照片影像的要素中,属于几何因素的是()
A.密度
B.对比度
C.锐利度
D.颗粒度
E.失真度
58、多项选择题 骨髓瘤好发于下列哪些部位()
A.肱骨
B.脊椎
C.肋骨
D.骨盆
E.胸骨
59、名词解释 肺栓塞
60、单项选择题 类风湿性关节炎的晚期表现为()
A.关节变形
B.边缘性骨侵蚀
C.关节间隙变窄或骨性强直
D.关节脱位或半脱位
E.以上都是
61、单项选择题 钡餐示“食管远端鸟嘴样狭窄”,则可除外()
A.贲门失弛缓症
B.食管裂孔疝
C.消化性溃疡
D.胃底贲门癌
E.食管静脉曲张
62、单项选择题
男,28岁,摔伤后肩部疼痛,活动受限,结合影像学表现,最可能的诊断是()
A.柯莱斯骨折
B.肱骨头骨折
C.肱骨外科颈骨折
D.加莱阿齐骨折
E.蒙泰贾骨折
63、单项选择题
男,29岁,腹胀,恶心呕吐1年,加重半月。体检:下腹部压痛,结合图像,最可能的诊断为()

A.正常表现
B.胃炎
C.胃溃疡
D.胃窦炎
E.胃癌
64、名词解释 掌骨指数
65、单项选择题 下述先天性肺囊肿知识,错误的是()
A.单发囊肿多为液性囊肿
B.可有气液面
C.孤立性囊肿多位于下叶
D.多发性囊肿多为气囊肿
E.常为不均匀厚度的厚壁空腔
66、配伍题 属于肠系膜上动脉分支的有()属于肠系膜下动脉分支的有()
A.胃左动脉
B.腰动脉
C.肾动脉
D.左结肠动脉
E.右结肠动脉
67、单项选择题 X线信息影像转换成可见密度影像的介质,不含()
A.屏-片系统
B.影像增强系统
C.电影胶片
D.观片灯
E.荧光屏
68、填空题 肺吸虫病的X线表现为_____________、______________、____________________和____________________。
69、单项选择题
女,45岁,结合图像,最可能的诊断是()
A.类风湿关节炎
B.痛风
C.假痛风
D.牛皮癣性关节炎
E.神经性关节病
70、名词解释 骺线早闭
71、单项选择题 胸片上KerleyB线是指()
A.宽0.5~1mm,多见于上叶的条状影
B.宽约1mm,位于肋膈角上方水平行走线影
C.肺野内细而短的条状影
D.宽约0.5~1mm,肺中野横行条状影
E.以上都不是
72、单项选择题 肥厚型心肌病的X线征象中,下列哪项错误()
A.心脏多数不大或仅有轻度增大
B.肺动脉段明显突出
C.肺血管纹理正常或有轻度肺淤血
D.心脏搏动正常或增强
E.少数病例心脏可高度增大
73、单项选择题 下列关于眼眶肌锥内肿瘤描述中,其早期X线表现是()
A.眶外侧壁受压
B.眶内侧壁受压
C.眶底壁受压
D.眶顶壁受压
E.眶骨吸收破坏
74、单项选择题 肺水肿的原因,下列哪项是正确的()
A.肺静脉回流受阻
B.肺动脉血流量增加
C.肺动脉血流量减少
D.肺毛细血管通透性增加
E.肺循环压力增高
75、多项选择题 韩-薛-柯病的X线表现为()
A.病变呈边界清楚的溶骨性破坏区
B.可相互融合,呈不规则地图样颅骨缺损
C.严重者如象牙镂空或雕刻样改变
D.牙槽骨破坏可致牙齿歪斜或呈悬浮状
E.肺门增大、肺纹理增多、紊乱
76、单项选择题
男,24岁,低热2周,咳少量痰。胸片示右上肺不均密度增高影,其中有空洞形成,血沉45mm/h。
最可能的诊断是()
A.右上肺炎
B.右上肺结核
C.右上肺癌
D.右上肺囊肿
E.右上肺脓肿
77、单项选择题 下述哪种为厌骨转移性肿瘤()
A.前列腺癌
B.子宫癌
C.肾癌
D.甲状腺癌
E.乳癌
78、填空题 最常见的三种小肠恶性肿瘤是________、_____________和____________,其发生部位与__________有关。
79、单项选择题
如图,在正常胸部X线影像图像上,该英文字母所代表的肺段为()

A.尖段
B.后段
C.尖后段
D.舌叶上段
E.前段
80、单项选择题 肝脓肿X线平片检查主要的征象为()
A.肝区含气或液平的脓腔影
B.右膈肌膨隆
C.右下肺盘状肺不张
D.右胸膜肥厚
E.胸腔少量积液
81、单项选择题 “骨龄延迟”可见于()
A.垂体性侏儒
B.肾上腺皮质增生
C.松果体瘤
D.Albright综合征
E.以上都不对
82、单项选择题
男,23岁,左侧胸壁刺伤3小时,呼吸窘迫,结合胸片检查,最可能的诊断()

A.肺气肿
B.气胸
C.纵隔气肿
D.肺挫伤
E.胸腔积液
83、单项选择题 高血压心脏病心影呈()
A.主动脉型心
B.靴形心
C.梨形心
D.滴状心
E.横位心
84、单项选择题 有关髋关节前后位摄片的叙述,正确的是()
A.双足内收20°
B.双足外旋20°
C.双足尖垂直向上
D.双下肢稍外展,足尖内旋并拢
E.双足跟并拢,足尖自然外旋
85、单项选择题 骨皮质旁肉瘤在X线片上沿骨干与肿瘤之间出现狭窄透亮间隙的原因是()
A.肿瘤界限清楚呈分叶状
B.肿瘤周围有由瘤软组织形成的假包膜
C.包膜与瘤骨紧密相连,其纤维深入瘤骨内部
D.骨外膜夹在瘤骨与正常皮质之间
E.瘤骨超越基底紧密地悬在皮质外面周围
86、单项选择题 对于腕三角骨撕脱性骨折,下列哪个体位观察最好()
A.正位
B.侧位
C.前斜位
D.后斜位
E.轴位
87、单项选择题 骨转移瘤最常来自于()
A.腺癌
B.肉瘤
C.皮肤癌
D.食管癌
E.以上都不是
88、问答题 鼻咽部恶性肿瘤的X线表现有哪些?
89、单项选择题 ERCP的正确说法是()
A.逆行肾盂造影
B.逆行性内镜胆胰管造影
C.经皮肝穿胆道造影术
D.静脉法胆道造影
E.口服法胆囊造影
90、多项选择题 常见的空、回肠恶性肿瘤有哪些()
A.腺癌
B.恶性淋巴瘤
C.平滑肌肉瘤
D.类癌
E.纤维肉瘤
91、单项选择题
男,28岁,右肱骨上段肿痛1月,疼痛以夜间明显,如图所示,最可能的诊断是()
A.溶骨性骨肉瘤
B.成骨性骨肉瘤
C.皮质旁骨肉瘤
D.软骨肉瘤
E.以上均不是
92、多项选择题 成人幽门梗阻的常见病因有哪些()
A.幽门管溃疡
B.胃窦癌
C.胃粘膜脱垂
D.十二指肠球部溃疡
E.成人幽门肌肥大
93、单项选择题 肺循环阻力增高性肺动脉高压与高流量性肺动脉高压主要不同点在于前者()
A.肺动脉段凸出
B.肺门动脉增粗
C.肺动脉截断征
D.右心室增大
E.肺血管搏动增强
94、问答题 简述正常乳腺导管造影所见?
95、单项选择题 曝光时间大于0.5s,测量管电流的最佳仪表是()
A.V表
B.A表
C.kV表
D.mV表
E.mA表
96、单项选择题 关于“胃癌”钡餐造影表现,下列哪项不对()
A.胃壁局限性僵硬
B.线状溃疡
C.病变周围粘膜皱襞中断、破坏
D.底部凹凸不平的浅大溃疡
E.表面凹凸不平的充盈缺损
97、单项选择题 下列组合,错误的是()
A.棘突——肩胛骨
B.乳突——颞骨
C.翼状突——蝶骨
D.剑突——胸骨
E.横突——椎骨
98、填空题 肠套叠压力整复脱套成功的标准是___________________、_________________、___________________、__________________及_____________。
99、多项选择题 自发性纵隔气肿可见于()
A.婴儿呼吸窘迫综合征
B.哮喘
C.糖尿病酮症酸中毒
D.肺不张
E.成人贲门失弛缓症
100、单项选择题 下列先天性心脏病循环特征描述,哪项不对()
A.主动脉瓣狭窄:肺血正常的无紫绀先天性心脏病
B.肺动脉瓣闭锁:伴肺血减少的紫绀性先天性心脏病
C.完全性大血管转位:伴肺血增多的紫绀性先天性心脏病
D.佛氏窦瘤破入右心室:伴肺血增多的无紫绀先天性心脏病
E.动脉导管未闭:伴肺血增多的紫绀性先天性心脏病
101、单项选择题 冠状动脉瘤最常见于()
A.Marfan综合征
B.川崎病
C.动脉粥样硬化
D.风湿性心脏病
E.梅毒性心脏病
102、单项选择题
女,4岁,根据影像图像,最可能的诊断是()

A.肺癌
B.胸骨后甲状腺肿
C.胸腺瘤
D.神经源性肿瘤
E.淋巴瘤
103、单项选择题 引起右心房增大的病因有()
A.三尖瓣关闭不全
B.右心室衰竭
C.三尖瓣狭窄或闭锁
D.三尖瓣下移
E.以上都是
104、单项选择题 下列哪种疾病可致血清酸性磷酸酶升高()
A.畸形性骨炎
B.骨纤维异常增殖症
C.前列腺癌骨转移
D.骨肉瘤
E.以上都不是
105、多项选择题 椎体缺血坏死可出现以下哪些X线表现()
A.椎体变扁呈厚薄一致的致密扁盘状
B.椎体前后径及横径均增大
C.椎间隙正常或稍增宽
D.多侵及椎弓根
E.腰大肌边缘模糊
106、单项选择题
女,23岁,上腹部疼痛半月,消化不良,X线检查如图,可能的诊断为()

A.十二指肠球部溃疡
B.十二指肠憩室
C.胃窦炎
D.十二指肠癌
E.十二指肠淤积症
107、单项选择题 胸部摄片高千伏摄影是指()
A.≥90kV
B.≥100kV
C.≥110kV
D.≥120kV
E.≥130kV
108、判断题 曲菌球为肺真菌病的特征性X线表现。
109、配伍题 胃癌的好发部位为()胃溃疡的好发部位在()哪个部位见到的溃疡性病变应疑为癌()十二指肠溃疡好发于()
A.小弯
B.大弯
C.胃角
D.胃窦
E.十二指肠球部
110、单项选择题 骨内膨胀性病变无周围硬化性边缘,是下述哪一疾病的X线征象之一()
A.软骨黏液样纤维瘤
B.动脉瘤样骨囊肿
C.囊性骨纤维异样增殖症
D.骨巨细胞瘤
E.骨囊肿
111、单项选择题
女,49岁,常感胸前区隐痛,X线检查如图,最可能的诊断是()

A.畸胎瘤
B.胸腺瘤
C.淋巴瘤
D.左肺肿瘤
E.胸内甲状腺肿
112、单项选择题
如图,在正常胸部X线影像图像上,该英文字母所代表的肺段为()

A.尖段
B.后段
C.尖后段
D.舌叶上段
E.前段
113、单项选择题 CR系统影像信息具有的动态范围是()
A.1:10
B.1:100
C.1:1000
D.1:10000
E.1:100000
114、判断题 膈膨升主要表现为膈肌矛盾运动和膈的升高。
115、单项选择题 大剂量静脉尿路造影,肾盏、肾盂、输尿管达到饱和程度的时间是注射开始后()
A.6~10分钟
B.10~15分钟
C.15~30分钟
D.45分钟
E.30~60分钟
116、单项选择题 膝关节髁间凹后前位片,髁间凹呈()
A.正位投影
B.侧位投影
C.斜位投影
D.轴位投影
E.切线位投影
117、配伍题 错构瘤可见于()矽肺可见于()肺泡微石症可见于()
A.爆米花样钙化
B.分叶征、脐凹征
C.蝶翼征
D.伪足征
E.肺周边壳状钙化
118、单项选择题 下列组合,无关的是()
A.颅前窝——筛骨板
B.颅前窝——嗅神经
C.颅前窝——前筛骨神经
D.颅前窝——前筛骨动静脉
E.颅前窝——视神经管
119、单项选择题 下列哪项不是脊柱结核的X线表现()
A.相邻椎体破坏
B.椎间隙变窄、消失、椎体融合
C.边缘性、虫蚀样骨质破坏
D.腰大肌肿胀,可有钙化
E.骨赘、骨桥形成
120、单项选择题 IVP示肾盂呈杵状,则可排除下列哪项()
A.肾乳头坏死
B.慢性肾盂肾炎
C.肾结石
D.肾盂积水
E.肾盂肿瘤
121、单项选择题
女,42岁,双下肢疼痛,结合图像,最可能的诊断是()
A.Paget病
B.内生软骨瘤
C.非骨化性纤维瘤
D.骨巨细胞瘤
E.骨纤维异常增殖症
122、名词解释 3字征
123、多项选择题 正常腹主动脉造影可显示腹主动脉及其分支,分支包括哪几部分()
A.腹腔动脉
B.肠系膜上动脉
C.肠系膜下动脉
D.两侧肾动脉
E.睾丸动脉
124、单项选择题 1895年,伦琴将X线首次应用于人体的哪个系统()
A.心血管系统
B.骨骼系统
C.神经系统
D.消化系统
E.呼吸系统
125、单项选择题 影响X线照片清晰度的观察条件,不包括()
A.观片灯亮度
B.照明用电源电压
C.肉眼的MTF
D.室内照明条件
E.环境明暗程度
126、单项选择题 软骨瘤的主要成分是()
A.透明软骨
B.钙化的软骨
C.退化软骨所形成的假囊肿
D.骨化的软骨
E.骨细胞
127、配伍题 颧骨弓()胸骨()肺底积液()
A.立位+卧位
B.立位或水平位
C.侧位+斜位
D.倒立正侧位
E.轴位
128、单项选择题 关于头颅侧位摄片,中心线应对准()
A.听眦线中点
B.听眦线前中1/3处
C.外耳孔前上各2.5cm处
D.外耳孔前2.5cm处
E.外耳孔上2.5cm处
129、多项选择题 下列哪些疾病腹部立位片不能进行诊断的是()
A.肠梗阻
B.肠憩室
C.肠套叠
D.肠穿孔
E.肠扭转
130、单项选择题 有关X线片密度对比度、锐利度的关系的描述,错误的是()
A.密度是对比度锐利度的基础
B.对比度可随密度的改变而改变
C.锐利度与对比度无直接关系
D.观片灯的亮度影响照片对比度的视觉效果
E.高密度下对比度小的物体影像难以辨认
131、多项选择题 关节根据其活动程度可分为()
A.活动关节
B.少动关节
C.不动关节
D.骨缝
E.椎间隙
132、单项选择题 下述肺放线菌病的特点中,错误的是()
A.痰中可有硫磺颗粒
B.下叶居多,呈节段性分布
C.不会出现脓胸或胸膜肥厚
D.侵犯胸壁易引起肋骨骨髓炎和胸壁窦道
E.早期肺泡浸润、空洞形成
133、名词解释 腹腔脓肿
134、单项选择题 结核杆菌最主要通过哪种途径进入骨或关节部位()
A.直接扩散
B.淋巴系统
C.开放性损伤
D.血液循环
E.以上都不是
135、单项选择题
男,63岁,进行性吞咽困难1月。食管钡餐示:食管下段粘膜不规则充盈缺损,管腔狭窄,贲门扩张欠佳。
发现肝内转移,则转移途径为()
A.直接浸润
B.淋巴转移
C.种植转移
D.血行转移
E.消化道粘膜下浸润
136、单项选择题 孕妇需避免X线检查,是因为()
A.X线的光化学效应
B.X线的荧光作用
C.X线的生物作用
D.X线的感光效应
E.以上都不是
137、单项选择题 胎儿出生前受X线照射,引起智力低下的主要时期是()
A.5~7周
B.8~15周
C.16~20周
D.21~25周
E.26~30周
138、多项选择题 关于肺放射损伤,下述观点哪些不对()
A.放疗后1月内损伤最重
B.主要累及肺叶及支气管
C.晚期形成肺纤维化
D.损伤程度与照射剂量成直线形正比关系
E.肺血灌注无改变
139、单项选择题 便携式X线机的管电流一般小于()
A.5mA
B.10mA
C.50mA
D.100mA
E.200mA
140、判断题 瓷器样胆囊是由于胆囊急性炎症所致。
141、单项选择题 关于正常肾脏大体解剖,下列说法哪项不正确()
A.肾外形呈蚕豆状
B.左肾比右肾略小
C.长:10~12cm
D.宽:5~6cm
E.厚:3~4cm
142、单项选择题 X线表现:肺血少、左肺门大于右肺门,肺动脉段直立状突起,最可能的诊断是()
A.主动脉狭窄
B.高血压性心脏病
C.肺动脉狭窄
D.肺心病
E.动脉导管未闭
143、多项选择题 系统性红斑狼疮的X线表现有()
A.斑点或片状浸润性阴影
B.网状或结节状阴影
C.绒毛状或蝴蝶状实变阴影
D.胸腔积液或胸膜增厚
E.心脏阴影增大
144、单项选择题 下列哪项无肺内多发空洞()
A.肺结核
B.肺泡细胞癌
C.转移性肺癌
D.肺吸虫病
E.韦格肉芽肿
145、单项选择题 关于大量心包积液,下列描述哪项不对()
A.球形心
B.肺淤血
C.肺血减少
D.多为结核性
E.心脏搏动度减弱
146、多项选择题 右心室增大常见于()
A.二尖瓣狭窄
B.肺源性心脏病
C.肺动脉狭窄
D.肺动脉高压
E.法洛四联征
147、填空题 颌骨血管瘤可分为_____________、______________及______________。
148、判断题 X线检查没有游离气腹征象,也不能排除胃肠穿孔的可能。
149、单项选择题 下列发育异常性疾病中,哪种罕有先天性心脏病()
A.Marfan综合征
B.Klinefelter综合征
C.Pfaundler-Hurler病
D.Ehlers-Danlos综合征
E.脆骨症
150、名词解释 骨瘤样病变
151、多项选择题 好发于下叶的肺病变有()
A.支气管扩张
B.念珠菌病
C.继发性肺结核
D.肺隔离症
E.支原体肺炎
152、单项选择题
输尿管的生理狭窄部位是()
a.肾盏与输尿管移行部
b.与髂总动脉交叉处
c.膀胱入口处
d.与尿道交叉处
e.肾盂与肾盏交叉处
A.a+b+c
B.a+d+e
C.a+d+e
D.b+c+d
E.c+d+e
153、判断题 颈动脉造影,颈内动脉分支显影早于颈外动脉。
154、单项选择题
照片影像仅在某一部分出现模糊,最大的可能性是()
a.散射线
b.硫酸钡的流动性
c.胶片乳剂厚度
d.增感屏荧光体颗粒形态
e.半影
A.被照体移动
B.增感屏与胶片接触不良
C.摄片时间长
D.检查床台面颤动
E.暗盒漏光
155、单项选择题 关于“十二指肠溃疡”的描述,错误的是()
A.激惹征,提示活动性溃疡
B.球部发生率最高
C.龛影平均直径1cm以上
D.常导致球部变形
E.球后溃疡多位于球后部内侧缘
156、单项选择题 矽肺最常见的死因是()
A.慢性肺源性心脏病
B.结核
C.呼吸道感染
D.自发性气胸
E.呼吸功能衰竭
157、名词解释 肺-肾综合征
158、单项选择题 胸骨后前位摄影条件正确的选择是()
A.低千伏高毫安长曝光时间
B.高千伏高毫安长曝光时间
C.低千伏低毫安短曝光时间
D.高千伏高毫安短曝光时间
E.低千伏低毫安长曝光时间
159、多项选择题 肺内少见的良性肿瘤有()
A.错构瘤
B.软骨瘤
C.纤维瘤
D.平滑肌瘤
E.脂肪瘤
160、判断题 正常骨膜在X线片上显示一层平行于骨干的条状阴影。
161、判断题 急腹症患者宜首选立位腹部平片检查。
162、多项选择题 肾区内高密度钙化影常见于()
A.肾积水
B.肾盂肾盏结石
C.肾脏钙质沉着病
D.肾癌
E.肾动脉瘤
163、单项选择题 骨髓瘤的X线表现中错误的是()
A.好发于颅骨、脊椎、骨盆、肋骨等部位
B.骨质普广泛疏松
C.颅骨呈多发性穿凿状破坏
D.椎弓根破坏
E.肋骨呈膨胀性分房状骨破坏
164、单项选择题
男,5岁,髋部疼痛乏力伴跛行5个月,结合图像,最可能的诊断是()
A.髋关节结核
B.骨肉瘤
C.股骨头骨骺缺血坏死
D.骨囊肿
E.软骨肉瘤
165、填空题 腕骨骨折以_______最多见,脱位以_______最多见。
166、单项选择题 返流性食管炎的主要病因,不包括哪项()
A.食管下端括约肌功能减弱
B.膈肌裂孔钳闭作用减弱
C.食管胃之间锐角(His角)变钝或消失
D.食管排空功能及食管粘膜防御机制下降
E.吞服或误服腐蚀剂造成的损伤
167、单项选择题 人体骨数最多的时期为()
A.新生儿期
B.婴幼儿期
C.青春期
D.青春期到骨发育成熟期前
E.骨发育成熟期
168、单项选择题
患者上腹胀满、厌食,查体脾大,腹水征阳性。腹部超声,肝硬化,脾大,腹水。
介入治疗方法()
A.脾动脉化疗
B.TIPSS
C.食管支架
D.肝动脉栓塞
E.PTCD
169、单项选择题 婴幼儿间质性肺炎急性阶段的重要X线表现是()
A.肺实变
B.肺膨胀
C.肺不张
D.支气管扩张
E.间质纤维化
170、判断题 结节病约半数患者纵隔、肺门淋巴结肿大为唯一的异常表现。
171、单项选择题 X线诊断心包积液较可靠方法是()
A.左前斜位X线片看室间沟深浅
B.心影是否呈烧瓶样
C.右前斜位吞钡食管压迹有无加深
D.透视下心脏搏动情况
E.以上都不是
172、单项选择题
男,38岁,因左髋关节疼痛跛行1年半,经治疗症状无明显好转,双髋关节正位片摄片如图所示,最可能诊断是()
A.左髋关节结核
B.左股骨头坏死(早期)
C.左股骨头坏死(活动期)
D.左股骨头坏死(稳定期)
E.左髋关节退变
173、名词解释 克氏(Klinefelter)综合征
174、名词解释 Von Hippel-Lindau综合征
175、多项选择题 乳腺纤维腺瘤X线表现为()
A.多呈圆形或椭圆形
B.偶可略为分叶状
C.边缘光整,密度较高且均匀
D.可伴有晕征
E.有时肿瘤内可见钙化
176、问答题 胸腹裂孔疝的X线表现有哪些?
177、单项选择题 过敏性肺炎的X线特征是()
A.密度较低的云雾状影
B.病变可见与其重叠的肺纹理
C.病变不按肺段分布
D.病灶具有散在性和游走性
E.呈结节状和粟粒状
178、单项选择题
男,68岁,患“胃炎”20余年,因突然出现全腹剧烈疼痛,病人被动屈曲位,初体温正常,后出现最高体温38.5℃,脉搏110次/分,查体:腹式呼吸减弱,腹肌紧张不明显,全腹压痛、反跳痛,以上腹部为重;X线立位平片示小肠普遍胀气,并见小液气平面,膈下见游离气体。
病人需手术绝对指征是()
A.肠胀气明显
B.膈下见游离气体
C.发热高达38.5℃
D.全腹压痛及反跳痛
E.以上都不是
179、多项选择题 骨盆X线片上,强直性脊柱炎与致密性髂骨炎主要鉴别点为()
A.强直性脊柱炎,关节间隙及双侧关节面不受累
B.致密性髂骨炎,关节间隙及双侧关节面不受累
C.致密性髂骨炎仅累及髂骨,骶骨骨质正常
D.强直性脊柱炎,关节间隙及双侧关节面均受累
E.致密性髂骨炎,关节间隙及双侧关节面均受累
180、单项选择题 诊断肺隔离症的影像学表现是()
A.病变多位于下叶后基底段
B.若不充气,表现为膈上椎旁实性密度病变
C.若与支气管交通,表现囊性病变,内有液平面
D.增强扫描显示来自体循环动脉的血管进入病变区具有特征性
E.以上都是
181、判断题 AIDS患者绝大多数并发大量的胸腔积液。
182、填空题 骨折合并症和后遗症有_______________、______________、_________、_____________、_____________、___________、_____________和____________。
183、填空题 肺原发性肉瘤包括______________、_____________、________________及__________等。
184、多项选择题 泌尿系统结核影像学的典型表现为()
A.肾盏呈虫蚀样破坏,并且累及多个肾盏
B.输尿管的不规则狭窄和扩张呈串珠状
C.膀胱容积缩小,扩张度差
D.膀胱内可见充盈缺损
E.膀胱增大
185、名词解释 Dyggve-Melchior-Clausen综合征
186、单项选择题 X线产生过程中,电子高速运动所需能量主要取决于()
A.靶物质原子序数
B.管电流
C.管电压
D.旋转阳极转速
E.灯丝焦点大小
187、问答题 双侧肺门影增大常见于哪些疾病?
188、问答题 慢性肺炎的X线表现有哪些?
189、单项选择题 视神经孔后前轴位摄片,矢状面与台面呈()
A.33°
B.43°
C.53°
D.63°
E.73°
190、单项选择题 上消化道钡餐检查应检查至哪一部位()
A.食管
B.胃
C.十二指肠
D.空肠
E.回肠
191、单项选择题 头颅平片用来确定颅内压增高的主要依据是()
A.颅骨骨质吸收,脑回压迹增多
B.蝶鞍改变,颅骨骨质吸收
C.颅缝增宽,脑回压迹增多、增宽
D.颅缝增宽,蝶鞍改变,脑回压迹增多、增宽
E.颅缝增宽,颅骨骨质吸收
192、单项选择题 关于对比度的叙述,错误的是()
A.低电压摄片技术能提高乳腺各组织间的对比
B.骨骼照片有良好的对比
C.离体的肺组织照片,具有很高的对比
D.消化道必须通过对比剂,才能形成组织对比
E.高电压摄片的照片,对比度降低
193、单项选择题 对脊柱结核的检查,CT优于X线平片在于显示()
A.椎间隙变窄
B.钙化
C.骨质增生
D.骨质破坏
E.椎管内脓肿
194、多项选择题 哪些是肝癌肝动脉造影时的表现()
A.肿瘤供血的肝动脉扩张
B.肿瘤湖征
C.肝血管受压拉直、移位或被肿瘤包绕
D.肿瘤内显示异常瘤血管
E.动静脉瘤
195、单项选择题 下列为同一类骨的是()
A.肱骨、尺骨、胸骨
B.三角骨、手舟骨、月骨
C.颅骨、肋骨、锁骨
D.椎骨、下颌骨、跟骨
E.舟骨、椎骨、上颌骨
196、单项选择题 CR中可记录与读出X线影像信息的载体是()
A.胶片
B.磁盘
C.成像板
D.荧光屏
E.平板探测器
197、单项选择题 脐上3cm与哪个椎体同一平面()
A.第12胸椎
B.第1腰椎
C.第2腰椎
D.第3腰椎
E.第4腰椎
198、单项选择题 动脉导管未闭出现右心室肥厚时提示()
A.肺动脉高压
B.心力衰竭
C.肺梗死
D.肺静脉高压
E.肺水肿
199、判断题 肿瘤样钙盐沉着病病变钙化多呈结节状或巨大菜花状,密度不均匀,但边缘较模糊不清。
200、单项选择题 早期中耳癌的X线摄影以何种位置摄影最佳()
A.汤氏位摄影
B.伦氏位摄影
C.斯氏位摄影
D.头颅前后位摄影
E.颅底摄影
201、问答题 单纯性小肠梗阻的X线表现有哪些?
202、单项选择题 下列关于心脏左前斜位的描述,错误的是()
A.又称第二斜位
B.可观察左心室
C.可观察右心房
D.可观察右心室
E.可观察左主支气管位置
203、单项选择题
男,64岁,咳嗽、高热数日,无痰中带血,X线检查如图,最可能的诊断是()

A.右侧胸腔积液
B.右侧胸腔积液并肺脓肿
C.右肺炎
D.右肺不张
E.气胸
204、多项选择题 下列可引起食管远端梗阻的病变有()
A.食管癌
B.贲门失弛缓症
C.食管憩室
D.返流性食管炎
E.贲门部良性肿瘤
205、单项选择题 急性化脓性骨髓炎发病后2周内X线片上可见()
A.新生骨形成
B.骨小梁模糊消失
C.骨骼无明显变化
D.出现死骨
E.骨膜增生
206、单项选择题
男,19岁,咳嗽、发热1周余,X线检查如图,最可能的诊断是()

A.左下肺不张
B.左侧胸膜肥厚
C.左下肺炎症
D.左侧胸腔积液
E.左下肺结核
207、名词解释 家族性结肠息肉综合征
208、单项选择题
男,30岁,右膝关节酸胀,疼痛不适5个月,X线检查如图所示,最可能的诊断是()
A.骨巨细胞瘤
B.骨囊肿
C.骨血管瘤
D.动脉瘤样骨囊肿
E.以上均不正确
209、单项选择题 下列哪项是诊断肺癌敏感性最高的检查方法()
A.X线平片
B.CT检查
C.体层摄影
D.MRI检查
E.CT导向经皮穿刺活检
210、判断题 怀疑患骨质疏松时,X线检查应包括吸气胸椎侧位像、腰椎侧位像、股骨、骨盆及双手正位像。
211、单项选择题 十二指肠淤滞症的常见病因是()
A.胰腺肿瘤
B.十二指肠炎性狭窄
C.十二指肠肿瘤
D.肠系膜上动脉压迫
E.十二指肠粘连
212、单项选择题
女,72岁,吞咽不适2月余。体检:咽红,结合图像,最可能的诊断为()

A.食管癌
B.食管溃疡
C.食管憩室
D.食管走行迂曲
E.贲门失弛缓
213、单项选择题 下述神经性关节病的X线表现中,哪项不正确()
A.最早的X线表现为关节囊肿胀,轻微半脱位
B.关节间隙逐渐变窄,骨性关节面硬化及侵蚀破坏
C.关节骨端碎裂,并被吸收,以持重骨多见
D.关节腔内出现大量积液和多数游离体
E.不会出现骨质疏松和骨膜反应
214、单项选择题 关于乳腺癌的X线征象,下列错误的是()
A.肿块,呈毛刺状
B.成簇的钙化
C.皮肤呈橘皮样改变
D.乳头凹陷
E.肿块边缘光滑,见透明晕
215、多项选择题
男,1岁零8个月,生长发育差,易患呼吸道感染,心悸气促,心脏正、侧位片检查如图所示,正确的描述和诊断是()

A.正位示心影向两侧扩大,心尖左移
B.肺纹理增多
C.侧位示心前间隙变窄,心后食管前三角间隙消失
D.房间隔缺损
E.室间隔缺损
216、单项选择题 在正位胸部X线片上,青年、儿童右心缘上部是()
A.上腔静脉
B.升主动脉
C.奇静脉
D.无名动脉
E.右心房
217、名词解释 抱球征
218、多项选择题 四肢长管状骨骨折的临床表现为()
A.患肢功能障碍
B.患肢缩短
C.保护性姿势
D.骨折局部肿痛、变形
E.活动患肢可听到磨擦音
219、单项选择题 下列关于恶性泪腺肿瘤的X线表现中,错误的是()
A.泪腺窝骨壁结构模糊、吸收
B.局部眶部变薄、边缘光滑
C.病灶边缘模糊
D.不规则虫蚀样破坏
E.眼眶轻度普遍性扩大
220、单项选择题 下列描述,错误的是()
A.保护剂防止显影剂氧化
B.保护剂防止照片污染
C.促进剂稳定显影液pH值
D.促进剂促进显影剂的电离
E.促进剂促使乳剂层收缩
221、单项选择题 下列关于系统性硬皮病影像表现,错误的是()
A.早期,双下肺网状结节影
B.晚期,蜂窝肺
C.双肺门淋巴结明显增大
D.可有肺动脉高压
E.可合并肺泡癌
222、多项选择题 肺部病灶检查的常规X线摄片体位是()
A.后前位
B.前后位
C.左前斜位
D.右前斜位
E.侧位
223、单项选择题 滑膜型关节结核的X线表现哪项不对()
A.骨端骨质疏松
B.周围肌肉萎缩
C.骨质破坏先从非承重关节开始
D.关节软骨破坏较晚
E.关节软骨破坏较早
224、单项选择题 对于结肠病变的诊断,应首选以下哪项()
A.立位腹部平片
B.CT
C.单对比灌肠检查
D.气钡双对比灌肠检查
E.卧位腹部平片
225、单项选择题
男,69岁,咳嗽,胸痛2月余,胸片检查如图,最可能的诊断为()

A.血行播散型肺结核
B.肺转移瘤
C.两肺炎症
D.细支气管肺泡癌
E.结节病
226、单项选择题 有关静脉滴注肾盂造影的禁忌证,错误的是()
A.严重的心血管疾患
B.甲状腺功能亢进
C.严重肝病者
D.碘过敏者
E.腹部有巨大肿块者
227、判断题 胸部结节病患者出现肺部病变,多发生在淋巴结病变之前。
228、名词解释 轨道征
229、判断题 矽结节为直径约3mm左右,轮廓清楚,致密孤立的结节阴影。
230、多项选择题 上叶分布为主的肺纤维化见于()
A.过敏性支气管肺曲菌病
B.石棉肺
C.博莱霉素肺部反应
D.系统性硬皮病
E.结节病
231、多项选择题 关于X线球管的特性,错误的是()
A.灯丝加热为定值时,管电压增加,管电流增加
B.管电压增高,空间电荷减少,管电流减小
C.管电压相同,灯丝电流增加,管电流增加
D.管电压相同,灯丝电流增加,管电流减小
E.管电流相同,管电压高的灯丝加热电流低
232、单项选择题 在病理状态下,才能见到的X线影像是()
A.营养血管沟
B.骨松质
C.骨皮质
D.骨膜
E.以上都是
233、单项选择题 长骨纵径的生长进行于()
A.骨骺板
B.骨膜
C.骨干
D.干骺端
E.骨骺
234、名词解释 霍纳(Horner)综合征
235、单项选择题 椎体一次化骨中心缺血坏死的特征性X线表现是()
A.多个椎体压缩似薄骨板,密度增高
B.脊柱呈圆驼状后突畸形
C.单个椎体前缘呈阶梯状改变
D.单个椎体显著变扁,呈钱币样
E.多个椎体前缘呈阶梯状改变
236、多项选择题 肱骨外科颈骨折,正确的摄片体位是()
A.肱骨上端正位
B.肱骨上端侧位
C.肱骨上端正侧位
D.肱骨上端斜位
E.肱骨上端穿胸位
237、单项选择题
女,31岁,胸片体检如图,最可能的诊断是()

A.左肺炎性假瘤
B.左肺结核瘤
C.纵隔肿瘤
D.左肺癌
E.胸膜间皮瘤
238、单项选择题 骨组织属于下述哪一种()
A.致密结缔组织
B.胶原纤维
C.弹力纤维
D.嗜银纤维
E.疏松结缔组织
239、单项选择题 风湿性心脏瓣膜病二尖瓣狭窄在X线平片上表现为()
A.肺血增多,右心房、室增大,主动脉结小
B.肺血增多,左、右心室增大,主动脉结正常
C.肺血减少,右心房、室增大,主动脉结小
D.肺淤血,左心房、右心室增大,主动脉结小
E.肺淤血,右心房、左心室增大,主动脉结正常
240、单项选择题 左心房增大最早出现的X线征象是()
A.轻度肺淤血
B.左心房耳部突出
C.左前斜位左主支气管抬高
D.心脏右缘出现双房影
E.吞钡检查见食管局限性压迹
241、单项选择题 返流性食管炎常继发()
A.食管癌
B.食管裂孔疝
C.食管静脉曲张
D.食管溃疡
E.食管憩室
242、单项选择题 下述几种纵隔肿瘤的组织来源中哪项不正确()
A.神经源性肿瘤—起源于神经组织
B.支气管囊肿—起源于胚胎期气管芽突
C.恶性淋巴瘤—起源于淋巴组织
D.胸内甲状腺—起源于异位甲状腺或颈部甲状腺
E.胸腺瘤—起源于残留胚胎组织
243、单项选择题 下列哪项对溶骨型骨转移瘤的X线表现描述不正确()
A.多呈虫蚀状、鼠咬状骨质破坏
B.可单骨或多骨发病
C.骨膜反应常见
D.可并发病理性骨折
E.可合并软组织肿块
244、单项选择题
男,52岁,体检胸片如图,最可能的诊断是()

A.肺不张
B.胸膜肥厚
C.包裹性积液
D.肺炎
E.气胸
245、单项选择题 呼吸系统X线检查的正确顺序是()
A.CT-血管造影-胸片
B.血管造影-胸片-CT
C.胸片-CT-血管造影
D.CT-胸片-血管造影
E.胸片-血管造影-CT
246、判断题 颞颌关节前间隙最宽、下间隙次之、后间隙最窄。
247、单项选择题 下列哪项不是先天性肺囊肿的特点()
A.可有气液平
B.单发囊肿多为液性囊肿
C.多发性囊肿多为气囊肿
D.孤立性囊肿多位于下叶
E.常为不均匀厚度的厚壁空腔
248、单项选择题 下列胸片所见,哪项与法洛四联征无关()
A.漏斗征
B.心腰凹陷
C.肺血减少
D.肺门影增大
E.心尖圆钝,微上翘
249、单项选择题 老年人较特征的食管生理性压迹是()
A.主动脉弓压迹
B.左主支气管压迹
C.降主动脉压迹
D.左心房压迹
E.以上都不是
250、单项选择题
男,19岁,感胸闷、胸前区隐痛,X线检查如图,最可能的诊断是()

A.胸膜肥厚
B.肺部炎症
C.前纵隔肿瘤
D.中纵隔肿瘤
E.后纵隔肿瘤
251、单项选择题
男,72岁,喉部异物感2~3天。体检:咽喉部慢性充血,结合图像,最可能的诊断为()

A.正常表现
B.会厌征
C.颈椎退变
D.食管型颈椎病
E.以上都不是
252、判断题 Kerley线的出现可作为诊断间质性肺水肿的依据。
253、问答题 四肢长管骨急性化脓性骨髓炎的X线表现有哪些?
254、单项选择题 关节囊内骨折最多见于()
A.膝关节
B.踝关节
C.肘关节
D.肩关节
E.髋关节
255、单项选择题 结核杆菌最多通过什么途径进入骨或关节部位()
A.直接扩散
B.淋巴系统
C.开放性损伤
D.血液循环
E.呼吸道传播
256、填空题 椎间盘突出应与_______________________、_______________、________和________________作鉴别诊断。
257、单项选择题
女,56岁,进行性吞咽困难2月,伴胸骨后针刺感入院,结合图像,最可能的诊断为()

A.正常表现
B.食管静脉曲张
C.食管上段癌
D.食管中段癌
E.食管下段癌
258、多项选择题 关节外伤脱位常发生在()
A.肘关节
B.肩关节
C.踝关节
D.腕关节
E.胸椎
259、判断题 畸胎类肿瘤在胎儿期即存在,故出生后即可。
260、判断题 胃底静脉曲张常呈串珠状或蚯蚓状充盈缺损,管壁柔软边缘不规则。
261、名词解释 白血病带
262、单项选择题 腹部平片检查,对哪种“急腹症”诊断价值不高()
A.输尿管结石
B.小肠低位机械性肠梗阻
C.消化道穿孔
D.急性阑尾炎
E.肾结石
263、单项选择题 关于腰椎正位标准片的说法,下列哪项不妥()
A.第1~5腰椎,腰骶关节、两侧骶髂关节对称显示
B.第3腰椎位于照片正中,棘突序列位于椎体正中
C.除第3腰椎各缘呈切线显示外,其余椎体均呈双边显示
D.除腰椎结核外,腰椎正位照片可不包括两侧腰大肌
E.各椎体及其附件结构易于分辨,骨纹理清晰显示
264、多项选择题 马方(Marfan)综合征病变主要侵犯()
A.肺
B.眼
C.心血管
D.骨骼
E.神经
265、问答题 心力衰竭的X线表现有哪些?
266、单项选择题 下列哪种病理类型的肺癌预后最差()
A.鳞癌
B.腺癌
C.小细胞癌
D.细支气管肺泡癌
E.大细胞癌
267、单项选择题 下列肺结核分型中,错误的是()
A.Ⅰ型肺结核:原发性肺结核
B.Ⅱ型肺结核:血行播散型肺结核
C.Ⅲ型肺结核:继发型肺结核
D.Ⅳ型肺结核:空洞型肺结核
E.Ⅴ型肺结核:其他肺外结核
268、单项选择题 下列“骨巨细胞瘤”的描述,哪项错误()
A.多见于股骨、胫骨
B.多见于老年患者
C.平片可呈囊样透亮区
D.病变不跨越关节面
E.局部骨皮质变薄、向外膨隆
269、多项选择题 关于X线强度的叙述,正确的是()
A.KVP代表X线的质
B.X线强度指的是管电压的高低
C.靶物质的原子序数越高,X线强度越大
D.X线强度与管电压成正比
E.脉冲电压越接近峰值,X线强度越大
270、单项选择题 腹腔积气立位透视可见()
A.膈下新月形气体影
B.无明显异常
C.胃肠腔内积气
D.腹内高密度影
E.腹部密度普遍增高
271、单项选择题 腹部X线平片上,肠梗阻特征影像表现始于发病后()
A.1~5小时
B.2~4小时
C.5小时
D.6~8小时
E.8~12小时
272、名词解释 骨刺征
273、单项选择题 视神经管位(Rhees’s)摄片,正确的定位是()
A.听眉线垂直于台面
B.听眦线垂直于台面
C.听眶线垂直于台面
D.听鼻线垂直于台面
E.听口线垂直于台面
274、单项选择题 新生儿有几个囟门()
A.4个
B.2个
C.5个
D.6个
E.7个
275、多项选择题 石棉肺的胸膜改变有()
A.胸膜斑形成
B.胸膜纤维化
C.胸腔积液
D.胸膜间皮瘤
E.胸膜斑钙化
276、单项选择题 胃癌大体形态可分为()
A.浸润型
B.蕈伞型
C.溃疡型
D.以上都是
E.以上都不是
277、单项选择题 下列说法,哪项是正确的()
A.胃与十二指肠相连的部分为幽门
B.附着于骨骼,起着运动作用的肌肉是平滑肌
C.大肠、小肠均有肠系膜
D.在甲状腺前方有二块甲状旁腺
E.视神经管在眼眶外侧壁
278、多项选择题 下列胸部疾患摄影位置,正确的是()
A.少量胸腔积液——侧卧水平正位或斜位
B.肺下积液——单纯后前位
C.包裹性积液——切线位
D.慢性支气管炎——常规正位深吸气与深呼气位对照
E.肺癌——常规正侧,体层摄影
279、判断题 头颅平片为诊断颅骨损伤的有效方法,所以,颅脑外伤患者不论其病情轻重,应首先摄头颅平片。
280、单项选择题 与椎骨有关的是()
A.横突
B.翼状突
C.髁状突
D.后床突
E.喙状突
281、单项选择题 在正位胸部X线片上,老年人右心缘上部是()
A.上腔静脉
B.升主动脉
C.奇静脉
D.无名动脉
E.右心房
282、单项选择题 肠腔扩张的标准是()
A.小肠≥3cm,左半结肠≥5cm,右半结肠≥7cm
B.小肠≥3cm,左半结肠≥7cm,右半结肠≥5cm
C.小肠≥4cm,左半结肠≥7cm,右半结肠≥5cm
D.小肠≥4cm,左半结肠≥5cm,右半结肠≥7cm
E.小肠≥5cm,左半结肠≥7cm,右半结肠≥9cm
283、填空题 肥大性骨关节病临床表现主要为__________、_________和_____________引起的症状
284、单项选择题 与CT比较,MRI用于心脏的检查,具有下列优势,哪项除外()
A.可获得标准的三维图像和斜位图像
B.对心脏形态、结构和病变的显示能力更高
C.改变扫描序列可提高病变的识别和鉴别能力
D.检查的时间更短
E.无X线的副作用
285、单项选择题 纵隔向健侧移位见于()
A.张力性气胸
B.肺不张
C.蜂窝肺
D.一侧肺切除
E.大叶性肺炎
286、单项选择题 下列关于“胃窦炎”描述,错误的是()
A.胃窦粘膜粗大
B.粘膜皱襞斜行、横行或交叉排列紊乱
C.肩胛征
D.胃窦张力增高
E.充盈像时,胃窦轮廓呈细齿状
287、单项选择题 左肺下叶分为四段,与右肺下叶不同的是()
A.前外基底段
B.外后基底段
C.外内基底段
D.内前基底段
E.以上都不是
288、单项选择题 所谓近距离摄影,是指焦-片距为()
A.15~20cm
B.25~30cm
C.35~50cm
D.55~60cm
E.65~70cm
289、单项选择题 髋关节蛙式位,大粗隆与股骨颈重叠的原因是()
A.股骨外翻角度较大
B.股骨外翻角度较小
C.股骨内翻角度较大
D.股骨内翻角度较小
E.股骨倾斜角度较大
290、单项选择题 下列有关乳腺癌的描述中,不属X线特征的是()
A.漏斗征
B.酒窝征
C.彗星尾征
D.晕圈征
E.帐篷征
291、单项选择题 慢性支气管炎早期X线表现为()
A.肺纹理改变
B.肺气肿征象
C.肺动脉高压征象
D.肺部炎症
E.气管剑鞘状改变
292、单项选择题 继发性胆脂瘤多发生于()
A.鼓窦入口
B.外耳道
C.上鼓室
D.中鼓室
E.下鼓室
293、单项选择题 关于X线影像信息的形成与传递的叙述,下述错误的是()
A.X线管射出的X线强度分布是均匀的
B.X线透过被照体后就形成了X线信息影像
C.被照体是信息源
D.X线是信息源
E.可见光透过照片后在视网膜形成视觉影像
294、单项选择题 输卵管全长8~14cm,由内向外分为()
A.间质部、壶腹部、伞部、峡部
B.间质部、峡部、壶腹部、伞部
C.壶腹部、间质部、峡部、伞部
D.峡部、壶腹部、间质部、伞部
E.伞部、间质部、峡部、壶腹部
295、单项选择题 有关成骨和破骨活动的说法中,哪项错误()
A.成骨就是骨基质的形成和骨盐沉积于骨基质的过程
B.破骨是骨质吸收和消失的过程,为破骨活动的结果
C.骨细胞生成后可以进行无数次的分裂增殖活动
D.在成年期成骨和破骨活动保持相对平衡
E.生长发育期成骨占优势,而在老年期破骨活动占优势
296、单项选择题 “麻风病”骨改变特点为是()
A.早期即出现骨质改变
B.主要累及脊柱
C.末节指、趾骨骨质吸收
D.广泛性骨质增生硬化
E.骨气鼓
297、单项选择题
男,37岁,出现多处骨折,结合图像,最可能的诊断是()
A.石骨症
B.成骨不全
C.畸形性骨炎
D.转移性骨肿瘤
E.氟骨症
298、单项选择题
男,6岁,身材矮小,关节畸形,血钙磷化验异常,如图,最可能的诊断为()
A.坏血病
B.肾性佝偻病
C.粘多糖病
D.克汀病
E.脂质沉积病
299、多项选择题 下列哪些是十二指肠溃疡的间接X线征象()
A.龛影
B.球部变形
C.龛影局部压痛
D.幽门痉挛
E.激惹征
300、问答题 胃癌复发的X线表现有哪些?