时间:2023-02-14 02:10:31


1、判断题 Crohn病好发生于回盲部,亦可发生于空、回肠。
2、配伍题 石棉肺可见于()婴幼儿胸腺可见于()新生儿纵隔气肿可见于()
A.胸膜斑
B.液弧线
C.船帆征
D.三角帆征
E.胸膜皱缩征
3、单项选择题 左心室增大常见的原因是()
A.高血压病
B.主动脉瓣病变
C.二尖瓣关闭不全
D.动脉导管未闭
E.以上都是
4、单项选择题 在平片上,哪种病理变化可使骨的密度增高()
A.骨质软化
B.骨膜增生
C.骨质疏松
D.骨质破坏
E.骨膨胀性改变
5、单项选择题 胸片肋膈角变平变钝积液量约为()
A.50ml
B.150ml
C.200ml
D.300ml
E.400ml
6、单项选择题 X线表现的严重程度与临床症状不相称,为下述哪种肿瘤骨转移的特征()
A.乳癌骨转移
B.肾癌骨转移
C.前列腺癌骨转移
D.鼻咽癌骨转移
E.甲状腺癌骨转移
7、配伍题 属于肠系膜上动脉分支的有()属于肠系膜下动脉分支的有()
A.胃左动脉
B.腰动脉
C.肾动脉
D.左结肠动脉
E.右结肠动脉
8、单项选择题 下列哪项不是“火器伤骨折”的特点()
A.感染少见
B.常有异物存留
C.愈合慢,常有畸形愈合或骨不连
D.常为多发性骨折
E.多为粉碎性骨折
9、单项选择题 静脉尿路造影第一张照片的摄影时间为()
A.对比剂注射完毕后约3分钟
B.对比剂注射完毕后约7分钟
C.对比剂注射完毕后约10分钟
D.对比剂注射完毕后约15分钟
E.对比剂注射完毕后约20分钟
10、单项选择题 慢性化脓性骨髓炎的基本X线表现是()
A.软组织肿胀和(或)窦道形成
B.骨轮廓粗大变形
C.骨质破坏与增生同时存在,并可有死骨
D.病理骨折
E.继发性化脓性关节炎
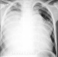
11、单项选择题
男,11岁。自出生后出现活动后憋喘、口唇发紫。检查如图所示。最可能的诊断是()

A.完全性肺静脉异位引流-心下型
B.完全性肺静脉异位引流-心上型
C.完全性肺静脉异位引流-心内型
D.完全性肺静脉异位引流-混合型
E.法洛四联症
12、单项选择题 额窦摄片,常规位置是()
A.柯氏位(CaldWell’s)
B.瓦氏位(Water’s)
C.斯氏位(Stenever’S)
D.劳氏位(LaW’s)
E.瑞氏位(Rhees’S)
13、单项选择题 哪种疾病属肺血增多并有发绀者()
A.房间隔缺损
B.部分型肺静脉异位引流
C.动脉导管未闭
D.心内膜垫缺损
E.完全型大动脉转位
14、多项选择题 肺内少见的良性肿瘤有()
A.错构瘤
B.软骨瘤
C.纤维瘤
D.平滑肌瘤
E.脂肪瘤
15、多项选择题 组成腕关节的骨有()
A.豌豆骨
B.舟骨
C.月骨
D.三角骨
E.桡骨
16、单项选择题 心脏最大径是指()
A.心影左侧最突出点至中线的垂直距离
B.心影右侧最突出点至中线的垂直距离
C.心影左右两侧最突出点间距离
D.右心缘上下部交界点至心尖部之间距离
E.心影左侧最突出点至中线的距离与右心缘最突出点至中线距离之和
17、多项选择题 医学影像学发展的三个阶段指的是()
A.X线诊断学
B.X线的临床应用
C.放射诊断学的形成
D.整体放射学的建立
E.医学影像学的建立
18、填空题 肾小管性骨病骨质软化表现的主要X线征象为__________________、______________和___________等。
19、判断题 腔静脉裂孔与主动脉裂孔对膈疝发病无重要意义。
20、多项选择题 有关冠状面的叙述,错误的是()
A.冠状面与地面平行
B.冠状面与矢状面垂直
C.冠状面将人体左右等分
D.冠状面与横断面垂直
E.冠状面将人体前后等分
21、单项选择题 主肺动脉窗层面不包括哪一解剖结构()
A.升主动脉和降主动脉
B.降主动脉,气管
C.上腔静脉
D.奇静脉弓通常也位于此层面
E.头臂静脉
22、单项选择题 骨囊肿的好发部位()
A.长骨干骺端
B.长骨骨端
C.长骨骨干
D.扁骨
E.不规则骨
23、单项选择题 食管粘膜一般有几条粘膜皱襞()
A.2~4条
B.3~4条
C.3~5条
D.2~5条
E.4~5条
24、单项选择题 划分左、右肝叶的解剖标志是()
A.肝动脉
B.门静脉
C.肝中静脉
D.肝左静脉
E.肝右静脉
25、单项选择题 关于腰椎侧位片显示的叙述,错误的是()
A.全部腰椎呈侧位显示在片内
B.椎间孔投影于照片正中
C.腰大肌影像清晰
D.椎体后缘无双边征
E.椎间隙显示清晰
26、多项选择题 成软骨细胞瘤应与下述哪些疾病变相鉴别()
A.骨巨细胞瘤
B.内生软骨瘤
C.软骨粘液样纤维瘤
D.多发性骨软骨瘤
E.骨骺、干骺结核
27、多项选择题 骨肉瘤的基本X线表现为()
A.肿瘤钙化
B.骨质破坏
C.骨膜反应
D.软组织肿块
E.肿瘤新生骨
28、单项选择题 男,57岁,上腹痛3个月,大便潜血(+)。钡餐显示胃窦向心性狭窄,蠕动消失,未见龛影,粘膜皱襞紊乱、破坏,低张造影局部胃壁无扩张。最可能的X线诊断是()
A.胃痉挛
B.慢性胃窦炎性挛缩
C.胃窦癌
D.胃外肿瘤压迫
E.慢性胃窦溃疡所致挛缩
29、判断题 寰椎前结节后缘与枢椎齿状突前缘的距离成人大于4mm,儿童大于2mm则说明有横韧带的撕裂。
30、单项选择题
如图,在正常胸部X线影像图像上,该英文字母所代表的肺段为()

A.尖段
B.后段
C.尖后段
D.舌叶上段
E.舌叶下段
31、单项选择题 引起右心房增大的病因有()
A.三尖瓣关闭不全
B.右心室衰竭
C.三尖瓣狭窄或闭锁
D.三尖瓣下移
E.以上都是
32、单项选择题 膝关节侧位摄片,中心线应对准()
A.髌骨下缘与腘窝折线中点
B.髌骨上缘
C.髌骨下缘
D.髌骨后缘
E.髌骨中点
33、判断题 乳腺腺体随年龄的增长在X线片上无明显差异。
34、单项选择题
女,10岁,高热、咳嗽一天,血象:中性多形核粒细胞高度增多及核左移,血沉加速,痰中查到大量结核杆菌。结合图片,最可能的诊断是()

A.右上肺干酪性肺炎
B.大叶性肺炎
C.支气管扩张
D.小叶性肺炎
E.葡萄球菌性肺炎
35、问答题 慢性支气管炎的X线表现有哪些?
36、单项选择题 最常见的椎管内神经源性肿瘤是()
A.神经鞘瘤
B.神经节细胞瘤
C.神经纤维肉瘤
D.神经纤维瘤
E.神经节母细胞瘤
37、单项选择题
女,2岁,发现蓝色巩膜、听力障碍,四肢畸形等,结合图像,最可能诊断是()
A.维生素D缺乏病
B.维生素C缺乏症
C.软骨发育不全
D.呆小病
E.成骨不全
38、单项选择题
男,15岁,右肩疼痛1月余,结合图像,最可能的诊断是()
A.嗜酸性肉芽肿
B.动脉瘤样骨性囊肿
C.骨样骨瘤
D.血管瘤
E.以上都不是
39、单项选择题 放射工作条件在年有效剂量当量有可能超过15mSv/年时,定为()
A.乙种工作条件
B.丙种工作条件
C.戊种工作条件
D.甲种工作条件
E.丁种工作条件
40、多项选择题 肠系膜下动脉分支有哪些()
A.右结肠动脉
B.左结肠动脉
C.中结肠动脉
D.直肠上动脉
E.乙状结肠动脉
41、单项选择题 下列哪种检查无法显示左房黏液瘤的大小及形状()
A.CT
B.MRI
C.X线平片
D.心血管造影
E.超声心动图
42、单项选择题 溃疡型胃癌的X线特点中,哪项是错误的()
A.龛影位于胃轮廓之外,边缘隆起、质硬
B.胃癌向壁内生长,中心形成大溃疡
C.与正常相邻胃壁境界清楚
D.粘膜纠集但中断于环堤外
E.龛影多呈半月形,外缘平直,内缘不整齐
43、名词解释 脊椎滑脱
44、多项选择题 X线影像变形的叙述,正确的是()
A.被照体平行胶片时,放大变形最小
B.被照体接近中心线时,位置变形较小
C.中心线过被照体部位且垂直胶片,形状变形最小
D.被照体接近中心线时,位置变形较大
E.中心线过被照体部位且垂直胶片,放大变形最小
45、判断题 两肺弥漫性均匀性实变是典型卡氏肺囊虫单一作用所致的X线表现。
46、单项选择题 下列关于“慢性膀胱炎”的影像表现,错误的是()
A.膀胱体积缩小、表面不平
B.逆行造影可有“膀胱-输尿管返流”
C.全膀胱弥漫分布小憩室
D.CT增强扫描,膀胱壁明显强化
E.可合并膀胱结石
47、单项选择题 下列关于"外伤性主动脉瘤"的描述,错误的是()
A.常见于突然速伤
B.上纵隔影增宽
C.多伴心脏挫伤
D.好发于降主动脉处
E.是主动脉假性动脉瘤常见原因
48、单项选择题 旋转阳极X线管阳极倾角一般在()
A.5°~8°
B.15°~28°
C.25°~28°
D.5°~28°
E.12°~19°
49、多项选择题 肾小管性骨病的主要X线表现为()
A.骨质密度普遍性降低
B.骨关节畸形
C.假骨折
D.骨质硬化
E.继发性甲状旁腺功能亢进表现
50、多项选择题 关于乳腺癌治疗的说法哪些正确()
A.手术、化疗、放疗、内分泌治疗均是综合治疗的重要部分
B.术前化疗可以使肿瘤缩小,使更多的患者获得保乳机会
C.术前化疗应选择敏感性化疗方案
D.细针穿刺细胞涂片见到恶性细胞即行术前化疗
E.手术范围越大,乳腺癌的治疗效果越好
51、单项选择题 胸片上,正常肺门位于()
A.第1~3前肋内带
B.第2~4前肋内带
C.第4~6前肋内带
D.第5~7前肋内带
E.第7~9前肋内带
52、单项选择题 关于奇叶描述错误的是()
A.只见于右肺上叶纵隔侧
B.没有独立的支气管
C.奇叶的叶间裂共有四层胸膜
D.可以独立为一个肺叶
E.由右肺尖走向右肺门上方的奇静脉分隔形成
53、单项选择题 眼眶增大的诊断标准为()
A.眼眶上下壁间宽度≥1.5cm
B.眼眶上下壁间宽度≥2.0cm
C.眼眶上下壁间宽度≤2.0cm
D.眼眶上下壁间宽度≤1.5cm
E.眼眶上下壁间宽度≥3.0cm
54、单项选择题 退行性骨关节病中软骨被侵蚀破坏,在X线片上表现为()
A.骨端硬化
B.关节间隙变窄、消失
C.关节变形及排列不良
D.关节内骨性游离体形成
E.边缘性骨赘形成
55、单项选择题 左前斜位上,心脏后下缘明显突出,提示()
A.左心房增大
B.右心房增大
C.左心室增大
D.右心室增大
E.主动脉增宽,迂曲
56、单项选择题 男,40岁,右眼外突1月。CT示:球后肿块,内有斑点状钙化,强化明显,最可能的诊断是()
A.海绵状血管瘤
B.胶质瘤
C.炎性假瘤
D.恶性肿瘤
E.甲状腺性突眼
57、单项选择题 有关骨发育的描述,下列哪项错误()
A.颅盖诸骨、面骨和盆骨属于软骨内化骨
B.躯体和四肢属于软骨内化骨
C.锁骨和下颌骨兼有膜内化骨和软骨内化骨两种骨化形式
D.骨骼的发育主要是以成骨和破骨的形式进行
E.骨的代谢与钙磷代谢有关
58、单项选择题
男,35岁,发热、贫血、血尿,有副鼻窦炎,结合X线图像,最可能的诊断是()

A.肺脓肿
B.周围型肺癌
C.肺转移瘤
D.肺结核
E.韦格肉芽肿
59、填空题 肺隔离症分为两型,__________和__________。
60、单项选择题 下面结节病的X线表现中,错误的是()
A.可见指骨囊性病变
B.肺门淋巴结也肿大
C.有时纵隔淋巴结也肿大
D.在肺野可见索条、颗粒、斑状阴影,呈离心分布
E.多两肺受累
61、单项选择题 将PACS各组成部分连成一体的是()
A.存储系统
B.显示设备
C.数据库系统
D.通讯网络系统
E.图像采集装置
62、单项选择题 肾自截的X线征象表现为()
A.肾盂呈虫蚀样破坏,并累及几个肾盂
B.肾小盏扩大,显影变淡
C.肾功能丧失,静脉尿路造影不显像,肾实质钙化
D.肾轮廓明显增大
E.以上均可
63、判断题 肺结核病的转归取决于治疗和机体的免疫力。
64、单项选择题 有关乳腺摄影的叙述,错误的是()
A.需要加压
B.使用单乳剂胶片
C.使用高速增感屏
D.常规摄取轴位和侧斜位
E.依发育期确定曝光条件
65、单项选择题
女,2岁半,突然哭闹3小时,急性面容,腹部触诊上腹区似可扪及包块,行钡灌肠检查,如图所示,最可能的诊断为()

A.肠套叠
B.先天性巨结肠
C.结肠扭转
D.结肠炎
E.结肠癌
66、名词解释 肋骨切迹
67、单项选择题 类风湿关节炎早期病变主要在()
A.邻近软组织
B.骨组织
C.关节韧带
D.滑膜组织
E.关节软骨
68、名词解释 角征
69、名词解释 假性骨折
70、单项选择题
在X线摄片中,下列解剖部位哪些能投影于眼眶当中()
a.内听道
b.上颌窦
c.蝶鞍
d.视神经孔
e.颞颌关节
A.a,b,c
B.a,d,e
C.a,b,d
D.b,c,d
E.c,d,e
71、填空题 肺栓塞的主要X线征象为________、_____________、____________和_________。
72、单项选择题 幼儿胸部正位摄片的叙述,下列哪项是错误的()
A.不用滤线器
B.抓时机瞬间曝光
C.眼睛及性腺不受辐射
D.照射野不超出使用胶片的面积
E.使用低毫安
73、多项选择题 在婴儿腹部立位片上见不到“双泡征”的疾病有()
A.环状胰腺
B.胎粪性肠梗阻
C.肥大性幽门狭窄
D.肠旋转不良
E.先天性十二指肠闭锁
74、单项选择题 下列“十二指肠”解剖特点,错误的是()
A.憩室好发于降部
B.十二指肠各段均为羽毛状皱襞
C.球部蠕动为整体性收缩
D.十二指肠乳头位于十二指肠降部内侧
E.岬部位于降部内侧
75、单项选择题 脊椎骨折预后可能比较严重的是()
A.棘突骨折
B.椎体压缩骨折,骨性椎管完整
C.骨折片进入椎管内
D.横突骨折
E.单纯上关节突骨折
76、单项选择题
男,8岁,胸闷、气急1月余,查体见颈静脉显露,胸片如图,最可能的诊断是()

A.心包积液
B.心肌炎
C.淋巴瘤
D.房间隔缺损
E.肺静脉异位引流
77、单项选择题 肩关节脱位最常见的方向是()
A.前下方
B.前上方
C.后下方
D.后上方
E.后方
78、单项选择题
女,5岁,左踝疼痛,结合图像,最可能的诊断是()
A.创伤性关节炎
B.退行性骨关节病
C.神经性关节病
D.风湿性关节炎
E.痛风
79、多项选择题 腕部标准后前位片,当腕关节桡偏时()
A.头状骨轴线倾斜
B.钩骨长轴倾斜,舟骨变长
C.三角间隙扩大
D.三角间隙变窄
E.钩骨长轴变直,舟骨变长
80、多项选择题 腹腔脓肿的主要X线表现有()
A.脓肿有气体时可见气液空腔或气泡征象
B.脓腔无气体时表现软组织肿块
C.脓肿相邻器官受压移位
D.脓肿周围炎性浸润
E.炎症扩散时呈腹膜炎改变
81、单项选择题 膈肌升高的病人,出现肺底部横线条影时,首先考虑()
A.肺部炎症
B.肺水肿
C.胸膜肥厚
D.肺纤维化
E.盘状肺不张
82、多项选择题 退变性脊椎滑脱症需与椎弓根性脊椎滑脱症鉴别,后者的特点是()
A.滑脱程度常较重
B.常伴有椎间盘突出
C.椎弓根峡部的单侧或双侧断裂
D.椎管前后径常有明显增宽
E.椎管前缘与棘突后缘间距增大
83、单项选择题 X线透视的优点,错误的是()
A.可直接观察器官的运动功能
B.可任意旋转病人的体位,多方位进行观察
C.可观察身体组织的细微变化
D.操作简单,立即可得结果
E.费用低廉
84、单项选择题 “子宫输卵管造影”后24小时摄片,主要是为了观察()
A.盆腔内造影剂弥散情况
B.输卵管结构
C.子宫腔形态
D.阴道结构
E.以上都对
85、单项选择题 特发性骨质溶解症主要指发生于下述哪个部位的缓慢进行性骨质吸收()
A.跖趾
B.远侧指关关节
C.远侧距间关节
D.腕掌
E.掌指
86、单项选择题 不适于做膀胱造影的对比剂是()
A.碘化钠
B.复方碘化钠
C.泛影葡胺
D.碘化油
E.过滤空气
87、单项选择题 十二指肠球后狭窄的最常见原因为()
A.结核
B.胰头肿瘤
C.局限性炎症
D.球后溃疡
E.良性肿瘤
88、单项选择题 升主动脉扩张一般不见于()
A.动脉导管未闭
B.继发孔型房间隔缺损
C.主动脉瓣狭窄
D.梅毒性主动脉炎
E.Marfan综合征
89、多项选择题 腹部平片可用于下列哪些疾病的检查()
A.胆囊结石
B.消化道穿孔
C.胃溃疡
D.肠结核
E.乙状结肠扭转
90、单项选择题 下面肺脓肿的描述中,错误的是()
A.肺脓肿分急性、慢性两种
B.血源性肺脓肿常多发,一般为单侧
C.急性肺脓肿形成的空洞,壁厚,不规则,空洞内常有液平面
D.急性肺脓肿炎症阶段X线片上呈片絮状阴影,浓密较均匀
E.慢性肺脓肿阴影浓密,空洞可长时间无变化
91、单项选择题 骨折远侧断端向侧方或前后方移位,此为()
A.断端嵌入
B.重叠移位
C.分离移位
D.旋转移位
E.横向移位
92、单项选择题 主要由柯氏位摄片显示的是哪项()
A.乳突、中耳气房
B.视神经孔、后组筛窦
C.内听道、蝶鞍、枕骨
D.额窦、眼眶周围骨质
E.上颌窦、筛窦、额窦
93、单项选择题 X线球管中的阴极产生大量的自由电子是通过()
A.高电压、小电流
B.低电压、大电流
C.只需电流
D.低电压、小电流
E.高电压、大电流
94、多项选择题 下列造影检查中能用碘化钠作对比剂的是()
A.胆囊造影
B.膀胱造影
C.逆行肾盂造影
D.静脉肾盂造影
E.子宫输卵管造影
95、单项选择题 肺结核病灶是否属开放性的主要依据是()
A.胸部X线摄片见干酪样病灶及空洞
B.肺结核空洞伴反复咯血
C.痰中找到结核菌
D.结核菌素试验为强阳性
E.肺结核已有血行播散
96、单项选择题 经皮肺穿刺活检术最常见的并发症是()
A.气胸
B.出血
C.沿穿刺道种植转移
D.刺破大血管或心脏
E.感染
97、多项选择题 房间隔缺损在左、右前斜位可见的X线征象有()
A.肺动脉段隆起
B.心前间隙缩小
C.左心房不大
D.右心室段延长或隆起
E.心前缘与胸骨接触面增加
98、名词解释 马方(Marfan)综合征
99、单项选择题
女,根据其正常骨盆影像图像,判断其最可能的年龄()
A.28岁左右
B.18岁左右
C.38岁左右
D.78岁左右
E.58岁左右
100、单项选择题 房间隔缺损第2孔型的血流动力学改变中,下列哪项不正确()
A.右心房血流量减少
B.右心室血流量增加
C.左心房血流量增加
D.肺动脉血流量增加
E.左心室血流量减少
101、单项选择题 下列缩窄性心包炎征象,哪项不对()
A.盔甲心
B.上纵隔影增宽
C.心脏搏动减弱
D.心影明显增大
E.部分患者可有胸腔积液
102、单项选择题 慢性化脓性骨髓炎的X线表现中,哪项不对()
A.广泛软组织肿胀
B.骨柩形成
C.虫蚀状、小片状骨质破坏
D.长条状死骨
E.骨质增生、硬化
103、单项选择题
新生儿,出生后呼吸困难、颜面青紫,经对症治疗,病情改善不明显,结合其胸片,最可能的诊断为()

A.食道裂孔疝
B.膈疝-后外侧疝
C.膈疝-胸骨旁疝
D.膈膨升
E.以上都不是
104、填空题 局限性骨化性肌炎病理改变在镜下具有特征性分带现象:中央带为___________________________、中间带为_____________、外围带为_______________。
105、判断题 X线片是二维图像,在这种图像上人体的各种结构互相重叠难于准确观察。
106、名词解释 软组织肿瘤钙化
107、多项选择题 慢性铅中毒的主要临床表现为()
A.便秘
B.腹绞痛
C.贫血
D.末梢神经炎
E.铅中毒性脑病
108、判断题 大脑后动脉为基底动脉的终支,向后分出颞支和顶支。
109、单项选择题 如疑似大骨节病的病人,最佳投照体位是()
A.双侧第一跖趾骨正、斜位
B.双侧膝关节正位片
C.双手正位及双踝关节正侧位
D.双侧手腕外展位
E.腰椎正侧位片
110、填空题 肺结核基本病变的性质可分为_____________、______________和_______________。
111、单项选择题 下列有关骨巨细胞瘤说法正确的是()
A.可出现“蛋壳陷落征”
B.骨膜反应
C.可借助动脉造影区分骨巨细胞瘤和骨囊肿
D.椎体巨细胞瘤不累及邻近椎体
E.病灶周围有明显的硬化缘
112、单项选择题 恶性肿瘤钙化的特点为()
A.钙化比较分散
B.钙化的密度比较一致
C.钙化的边界清楚
D.钙化一般位于肿块内
E.钙化形态比较规则
113、多项选择题 关于恶性骨肿瘤描述正确的有()
A.生长快,常侵及邻近组织
B.可发生肺部或骨转移
C.骨皮质或髓腔有破坏缺损区
D.与正常组织无明显界限,边界不清
E.骨膜常受累,呈葱皮状、针样、放射状、三角形
114、单项选择题 下列关于转移性骨肿瘤的描述哪项是不正确的()
A.溶骨性骨转移骨体积可略增大
B.溶骨型病灶较广泛可伴软组织肿块影
C.成骨性骨转移血清碱性磷酸酶常增高
D.脊柱是骨转移好发部位之一
E.膝、肘关节以下骨骼极少发生转移
115、多项选择题 先天性主动脉缩窄常合并()
A.动脉导管未闭
B.房间隔缺损
C.主动脉双瓣畸形伴关闭不全
D.主动脉畸形
E.三尖瓣下移畸形
116、判断题 乳腺腺体随年龄的增长在X线片上无明显区别。
117、单项选择题 上纵隔肿块在透视下可见扩张性搏动,应考虑为()
A.胸腺瘤
B.甲状腺瘤
C.胸主动脉瘤
D.纵隔淋巴结肿大
E.以上都不是
118、单项选择题 右主支气管与正中矢状面成多少度角()
A.15°~25°
B.20°~35°
C.0°~30°
D.30°~40°
E.40°~50°
119、单项选择题
哪几项属于腹腔内脏器()
a.肝
b.脾
c.肾
d.胰
e.胃
A.a,b,c
B.a,b,e
C.a,d,e
D.b,c,d
E.c,d,e
120、单项选择题 指(趾)骨化脓性骨髓炎的X线表现中,下列哪项是错误的()
A.可涉及指(趾)骨的一侧或整块指(趾)骨,并出现小死骨
B.大多发生于末节指(趾)骨
C.一般由皮下感染直接蔓延而来
D.骨气鼓
E.无骨膜反应
121、单项选择题 有关脊索瘤的好发部位和X线主要特点的描述中,不正确的是()
A.肿瘤好发于脊柱两端,居中线部位
B.常为膨胀性溶骨性破坏,其中可残存碎骨片或小梁间隔
C.病变周围可出现软组织肿块影
D.50%患者可有钙化
E.绝大多数患者可有骨膜反应
122、判断题 化脓性胸膜炎包括结核性脓胸及其他致病菌引起的脓胸。
123、单项选择题 下列哪项不是肺切除术后的影像表现()
A.患侧胸腔“气液面”逐渐升高
B.术后24h内,纵隔位置应居中位
C.“健肺”胸片正常,也不能除外肺不张
D.胸腔内气体完全吸收需数周时间
E.患侧胸腔“气液面”逐渐下降,幅度超过2cm
124、单项选择题 容易发生脑膜或脑膜脑膨出的囟门是()
A.前囟
B.后囟
C.前外侧囟
D.后外侧囟
E.副囟
125、名词解释 卫星病灶
126、判断题 钼铑双金属靶面的乳腺X线机对较致密的乳腺有较好的穿透力,为诊断提供更多的诊断信息。
127、配伍题 男婴儿尿道梗阻的重要原因()成人尿道梗阻最常见原因()输尿管梗阻最常见的原因是()
A.结石
B.结核
C.肿瘤
D.狭窄
E.先天性后尿道瓣膜
128、单项选择题 在结缔组织疾病中,哪种较易侵犯肺部和胸膜()
A.系统性红斑狼疮
B.干燥综合征
C.类风湿关节炎
D.结节性多动脉炎
E.硬皮病
129、单项选择题 正常发育期胫骨结节可表现为()
A.数个排列规整、间隙匀称和边缘光滑的骨块
B.胫骨前软组织肿胀
C.膝关节脱位
D.半月板钙化
E.疲劳骨折
130、名词解释 赖特(Reiter)综合征
131、判断题 黏多糖贮积症Ⅱ型,面容拟似古代建筑物上的狮身面像。
132、单项选择题 下列哪种疾病不引起胸椎旁软组织肿胀()
A.胸椎结核
B.胸椎肿瘤
C.强直性脊柱炎
D.嗜酸性肉芽肿
E.以上都不是
133、单项选择题
女,71岁,左肩痛,系统性红斑狼疮服用高剂量的类固醇半年,结合图像,最可能的诊断是()
A.化脓性关节炎
B.类风湿关节炎
C.骨纤维肉瘤
D.肱骨头缺血坏死
E.肩关节结核
134、单项选择题 骨肉瘤的好发年龄为()
A.20~30岁
B.11~21岁
C.10岁以下
D.21~40岁
E.50岁以上
135、单项选择题 下述二尖瓣狭窄影像,哪项不对()
A.间质性肺水肿
B.肺门影增大
C.梨形心
D.双房影
E.主动脉结增大
136、单项选择题 保持感光效应不变,摄片距离增加一倍后管电流量应为原来的()
A.1倍
B.2倍
C.3倍
D.4倍
E.5倍
137、名词解释 肺泡蛋白沉积症
138、单项选择题 发生在肺间质和肺实质的炎症为()
A.放射性肺炎
B.大叶性肺炎
C.小叶性肺炎
D.过敏性肺炎
E.间质性肺炎
139、单项选择题 肺循环血量增多,而左心室和体循环血流减少的是()
A.法洛四联征
B.肺动脉狭窄
C.房间隔缺损
D.室间隔缺损
E.动脉导管未闭
140、单项选择题 下列中央型错构瘤影像特点,错误的是()
A.肺内肿块
B.局限性肺不张
C.局限性阻塞性肺炎
D.支气管腔内半球形肿块
E.支气管壁不增厚
141、填空题 Looser带常见部位包括________、_______、_______、________及_______等。
142、单项选择题 原发综合征的典型表现为()
A.位于上叶的片状阴影
B.由病变区伸向肺门的条状模糊影
C.肺门气管支气管淋巴结肿大
D.原发灶、肺门淋巴结及结核性淋巴管炎组成的哑铃状影
E.两肺散在斑点状密度增高影
143、单项选择题
女,49岁,常感胸前区隐痛,X线检查如图,最可能的诊断是()

A.畸胎瘤
B.胸腺瘤
C.淋巴瘤
D.左肺肿瘤
E.胸内甲状腺肿
144、单项选择题 肾结石的X线平片中,不透光性结石占()
A.75%
B.50%
C.90%
D.30%
E.40%
145、多项选择题 在正常腹平片上,不能显影的软组织影是()
A.肾脏
B.肝脏
C.肾上腺
D.腰大肌线
E.胰腺
146、单项选择题 双侧膈肌抬高,较少见于()
A.过度肥胖
B.妊娠
C.大量腹水
D.双侧膈下脓肿
E.肝脏肿瘤
147、判断题 病灶迁移现象只有过敏性肺炎才可以见到。
148、单项选择题 正常气管隆突的分叉角度约为()
A.45°~75°
B.55°~85°
C.65°~90°
D.60°~85°
E.60°~75°
149、单项选择题 下列哪种疾病,无嗜酸细胞增多表现()
A.蛔虫病
B.结节性大动脉炎
C.曲菌病
D.嗜酸细胞肉芽肿
E.呋喃妥英治疗
150、单项选择题 创伤性心包出血()
A.X线胸片呈肺野磨玻璃样变或面纱征
B.X线胸片呈多发边缘锐利、密度均匀高密度影
C.X线胸片呈一侧胸腔一片致密均匀阴影,纵隔向健侧移位
D.X线胸片呈纵隔气肿,大量气胸
E.X线胸片呈心影明显增大,心脏各弧消失
151、单项选择题 男,50岁,慢性支气管炎病史10余年,近3个月来病情加重,痰中找到硫磺颗粒,右胸壁出现瘘管,胸片示右下叶片状阴影,累及局部胸膜、胸壁,最可能合并了()
A.肺放线菌病
B.肺吸虫病
C.肺曲菌病
D.肺隐球菌病
E.包虫病
152、单项选择题 青年男性,无任何诱因突发胸痛、气急1小时。听诊右肺呼吸音消失,胸片示右侧肺纹理消失,内带有软组织肿块影,纵隔向左移位,应首先()
A.右肺局限性肺气肿
B.右肺上叶肺不张
C.右肺下叶实变
D.右侧大量自发性气胸
E.右侧大量液气胸
153、单项选择题 下列关于X线的本质的描述,正确的是()
A.只有X线球管才能产生X线
B.凡是X线都可用于影像诊断
C.X线是一种波长很短的电磁波
D.比红外线波长长
E.波长范围为5~10nm
154、名词解释 Jones-Thompson方程
155、判断题 慢性胆囊炎的影像学检查以为USG主,以CT和MRI为辅。
156、判断题 胰腺癌绝大多数起源于腺泡细胞,少部分起源于胰管上皮细胞。
157、多项选择题 “肝内胆管积气”见于下列哪些疾病()
A.胆管消化道瘘
B.Oddi括约肌功能不全
C.Budd-Chiari综合征
D.小肠系膜扭转
E.肠系膜血管栓塞
158、单项选择题
男,12岁,大腿下部间歇性疼痛,劳累后加重,结合图像,最可能的诊断是()
A.纤维性骨皮质缺损
B.干骺端结核
C.骨样骨瘤
D.邻皮质软骨瘤
E.非骨化性纤维瘤
159、单项选择题 肺充血是()
A.肺动脉血流量增加
B.肺静脉血流量增加
C.肺动脉血流量减少
D.肺静脉血流量减少
E.以上均不是
160、单项选择题 在纵隔肿瘤中位置最高者为()
A.胸腺瘤
B.恶性淋巴瘤
C.胸内甲状腺肿
D.支气管囊肿
E.囊性畸胎瘤
161、名词解释 Bennet骨折
162、单项选择题 眶壁的内壁构成中,哪项不正确()
A.上颌骨额突
B.泪骨
C.筛骨纸板
D.蝶骨小翼
E.上颌骨眶面
163、单项选择题 早发先天性骨梅毒的X线表现中,哪项错误()
A.常累及骨骺
B.Wimberger征
C.骨膜炎
D.干骺炎
E.先期钙化带增宽增浓
164、名词解释 米利兹(Mirrizzi)综合征
165、判断题 肺动脉狭窄所致的肺循环改变为肺淤血。
166、单项选择题 横突骨折最常见的部位()
A.颈椎
B.胸椎
C.腰椎
D.颈胸椎
E.骶椎
167、问答题 支气管扩张X线平片有哪些表现?
168、单项选择题 肺部急性炎症反应主要病理改变是()
A.钙化
B.渗出
C.增殖
D.纤维化
E.空洞
169、单项选择题 正常肾脊角的角度应为()
A.15°~25°
B.10°~15°
C.20°~25°
D.15°~40°
E.10°~30°
170、问答题 肾结石有何X线表现?需与哪些阴影鉴别?
171、名词解释 耳腭指综合征
172、单项选择题 患者4岁,高热、咳嗽、气喘7天。听诊两肺水泡音,实验室检查WBC:24×10/L,X线平片示:右肺中下野呈多发致密片状阴影,气管纵隔向左移位。最可能的诊断为()
A.肺炎支原体肺炎
B.麻疹肺炎
C.腺病毒肺炎
D.肺炎链球菌肺炎
E.金黄色葡萄球菌肺炎
173、单项选择题 下列关于梅毒性心脏病的描述,错误的是()
A.主动脉起始部瘤样扩张
B.主动脉根部搏动增强
C.左心室增大
D.心尖闻及舒张期杂音
E.胸主动脉迂曲、延长
174、单项选择题 胰头癌与壶腹癌的鉴别要点是()
A.十二指肠肿块
B.胆胰管扩张
C.肿块内的回声
D.胆道是否一致性扩张
E.病理组织学检查
175、单项选择题 诊断先天性肥厚型幽门狭窄,最可靠的X线征象是()
A.胃逆蠕动增强
B.胃蠕动频繁,波形加深
C.胃潴留胃扩张
D.幽门部的软组织影
E.幽门前区“双肩”征,幽门管细长呈线样改变
176、判断题 膈的圆顶偏内侧及前方,所以呈外高内低,后高前低。
177、名词解释 垂柳征
178、单项选择题
该病例临床上有持续性足部疼痛,结合图像,最可能的诊断为()
A.骨样骨瘤
B.疲劳骨折
C.尤文氏瘤
D.正常结构
E.骨软骨瘤
179、单项选择题
根据如图影像图像,最可能的诊断是()
A.压缩性骨折
B.腰椎退变
C.腰椎结核
D.强直性脊柱炎
E.骨囊肿
180、问答题 气胸的X线表现有哪些?
181、单项选择题
男,根据其正常骨盆影像图像,判断其最可能的年龄()
A.1岁左右
B.4岁左右
C.7岁左右
D.10岁左右
E.13岁左右
182、单项选择题 房间隔缺损在X线平片上表现为()
A.肺血增多,右心房、室增大,主动脉结小
B.肺血增多,左、右心室增大,主动脉结正常
C.肺血减少,右心房、室增大,主动脉结小
D.肺淤血,左心房、右心室增大,主动脉结小
E.肺淤血,右心房、左心室增大,主动脉结正常
183、单项选择题
患者,女,46岁,胸闷气短1月,伴全身乏力,咳嗽,发热。胸片示:中上纵隔增宽,右缘呈波浪状改变。白细胞:8.5×10/L。
为明确诊断,进一步做哪项检查()
A.胸部增强CT扫描
B.血沉
C.食管钡餐造影
D.痰细胞学检查
E.胸部MRI检查
184、单项选择题
女,58岁,咳嗽、咳痰2周余,结合CT图像最可能的诊断是()

A.双侧胸腔积液、右下肺炎
B.双侧胸腔积液
C.右下肺炎并右侧胸腔积液
D.双侧胸膜肥厚
E.肺癌并胸水形成
185、单项选择题
有关胸部X线解剖的组合,哪一个错误的()
a.左第Ⅰ弓——主动脉弓
b.左第Ⅱ弓——肺动脉
c.左第Ⅳ弓——左心房
d.右第Ⅰ弓——肺静脉
e.右第Ⅱ弓——右心房
A.a,b,c
B.a,b,e
C.a,d,e
D.b,c,d,
E.c,d
186、单项选择题 “胸部前弓位”的突出优势是()
A.观察前心膈角病变
B.观察胸骨病变
C.观察后肋膈角病变
D.观察肺尖病变
E.观察右斜裂病变
187、配伍题 完全性肺静脉畸形引流可见于()大动脉炎可见于()动脉导管未闭可见于()
A.漏斗征
B.主动脉球征
C.主动脉球缩征
D.降主动脉内收征
E.“8”字形心脏
188、多项选择题 急性腹膜炎的X线表现有()
A.小肠、大肠充气和淤张
B.腹脂线增宽、密度增高或消失
C.肠壁增厚与肠管活动受限
D.腹肌松弛
E.腹腔积液
189、单项选择题 髋关节后前斜位(谢氏位)用于检查股骨头()
A.向上脱位
B.向下脱位
C.向前脱位
D.向后脱位
E.向外侧脱位
190、判断题 早期棉尘肺患者胸片即表现为慢性支气管炎征象。
191、名词解释 游走脾
192、单项选择题 肺脓肿通常形成的空洞多为()
A.厚壁空洞
B.不规则偏心空洞
C.薄壁空洞
D.薄壁空腔
E.空洞壁厚伴有液平面
193、单项选择题
女,26岁,骶髂部疼痛2年余,间歇发作,结合图像,最可能诊断是()
A.致密性髂骨炎
B.化脓性髂骨炎
C.结核性髂骨炎
D.强直性脊柱炎
E.骶髂关节退行性变
194、单项选择题 下列组合,哪项是错误的()
A.腹腔内游离气体——十二指肠溃疡穿孔
B.胃粘膜下肿瘤——平滑肌瘤
C.结肠息肉——家族性因素
D.闭塞性肠绞痛——大肠癌
E.食管静脉曲张——胰腺癌
195、单项选择题 关于X线照片质量客观评价方法的叙述,错误的是()
A.MTF——调制传递函数
B.LSF——点扩散函数
C.WS——维纳频谱
D.ACF——自相关函数
E.DQE——量子检出效率
196、单项选择题
女,45岁,胸片检查如图,最可能的诊断为()

A.右膈下脓肿
B.右侧胸膜肥厚
C.右侧游离性胸腔积液
D.右侧肺底积液
E.右下肺不张
197、多项选择题 不属于摄片体位内容的是()
A.摄片距离
B.肢体体位
C.胶片位置
D.中心线入射方向
E.滤线器
198、单项选择题 全尿路摄片应包括的范围是()
A.上界包括第9胸椎,下界达耻骨联合
B.上界包括第10胸椎,下界达耻骨联合
C.上界包括第11胸椎,下界达耻骨联合
D.上界包括第12胸椎,下界达耻骨联合
E.上界包括第1腰椎,下界达耻骨联合
199、多项选择题 下列哪些属于过敏性结肠炎X线表现()
A.钡剂通过迅速,0.5~6小时钡剂可达盲肠
B.小肠呈张力增高、痉挛、变细,结肠袋明显增多、增深
C.若结肠内积液较多时,钡剂可呈线样征
D.若结肠内有大量液体时,结肠壁呈“双层肠壁状”
E.钡剂排出的粘膜皱襞呈卵石样改变
200、填空题 椎弓裂包括___________、________、___________和__________。
201、判断题 克氏综合征患者骨骺骨化中心出现和愈合均正常,唯掌骨征阳性。
202、单项选择题 对于碘过敏反应的说法,下列哪项不对()
A.用同一批号含碘造影剂做碘过敏实验
B.碘过敏试验阴性则不会发生碘过敏反应
C.检查室应备抢救设备和药品
D.造影前用抗过敏药可避免碘过敏发生
E.多见于血管内给予含碘造影剂
203、判断题 Wolfe认为在P2和DY型的乳腺,其乳腺癌发病率明显高于NoP1型。
204、单项选择题 观察外耳道闭锁的最佳摄片体位是()
A.头颅正位(经眶位)
B.颅底顶颌位
C.汤氏位
D.梅氏位
E.许氏位
205、名词解释 狭颈征
206、单项选择题 特发性肺间质纤维化好发于()
A.上叶尖后段或下叶背段
B.胸膜下区
C.双下肺
D.肺门附近
E.双肺弥漫分布
207、配伍题 关于化脓性关节炎的骨质破坏描述正确的是()关于关节结核的骨质破坏描述正确的是()关于风湿性关节炎的骨质破坏描述正确的是()
A.发展迅速,从关节承重面开始,骨质缺损与正常骨质分界不清
B.发展缓慢,从关节承重面开始,骨质缺损与正常骨质分界不清
C.发展缓慢,从关节边缘开始,有虫蚀状骨质破坏
D.发展缓慢,从关节边缘开始,为穿凿样破坏,常累及多个关节
E.发展迅速,从关节边缘开始,为穿凿样破坏,常累及多个关节
208、单项选择题
男,58岁,进食梗阻感,结合图像,最可能的诊断为()

A.正常食管
B.食管静脉曲张
C.食管平滑肌瘤
D.食管上段癌
E.食管下段癌
209、单项选择题
关于X线物理效应的说法,哪项是正确的()
a.穿透作用
b.电离作用
c.荧光作用
d.热作用
e.干涉与衍射作用
A.a,b,c
B.a,b,e
C.a,d,e
D.b,c,d
E.a~e全部
210、单项选择题 关于肝局灶性结节增生的病理改变,下列描述哪项是错的()
A.以星状纤维瘢痕组织为核心
B.纤维组织分隔呈辐射状、形成分房状结构
C.纤维分隔内有血管腔及增生的胆管
D.肿块与周围组织分界较清
E.有包膜
211、单项选择题 按波长由短到长排列顺序,下列哪组正确()
A.红外线,紫外线,可见光,无线电波,X线
B.紫外线,可见光,红外线,无线电波,X线
C.无线电波,X线,红外线,可见光,紫外线
D.可见光,红外线,无线电波,紫外线,X线
E.X线,紫外线,可见光,红外线
212、多项选择题 下列良性胃溃疡征象有()
A.环堤
B.狭颈征
C.半月征
D.项圈征
E.裂隙征
213、单项选择题 中心线与被照体局部边缘相切为()
A.前后方向
B.后前方向
C.切线方向
D.冠状方向
E.轴方向
214、单项选择题 下列哪项关于肾筋膜的描述是错误的()
A.上方与膈下筋膜融合
B.前后肾筋膜融合成吉氏筋膜
C.侧方与侧锥筋膜融合
D.下方与髂筋膜融合
E.后方内侧与腰大肌融合
215、单项选择题 法洛三联症的病理畸形是指()
A.肺动脉狭窄、右心室肥厚、主动脉骑跨
B.肺动脉狭窄、右心室肥厚、高位室间隔缺损
C.肺动脉狭窄、右心室肥厚、低位室间隔缺损
D.肺动脉狭窄、右心室肥厚、卵圆孔未闭或房间隔缺损
E.肺动脉狭窄、右位主动脉弓、卵圆孔未闭或房间隔缺损
216、单项选择题 X线吸收量主要取决于()
A.待检组织的密度
B.待检组织的厚度
C.待检组织的形状
D.待检组织的范围
E.靶片距
217、单项选择题 关于成骨细胞瘤的MRI影像中,下列哪项错误()
A.肿瘤内的非钙化、骨化部分在TWI上为低到中等信号,TWI上呈高信号
B.肿瘤的骨化、钙化部分在各扫描序列上均呈低信号
C.病灶周围的骨髓和软组织内出现反应性充血性水肿,表现为短T1、短T2信号
D.可清楚显示骨壳中断和局部软组织肿胀
E.发生于脊椎的病变如向椎管内扩展,可显示硬膜外肿块和脊髓受压
218、单项选择题 透视主要利用了X线的()
A.光学作用
B.生物作用
C.穿透作用
D.电离作用
E.荧光作用
219、单项选择题 以下选项中,哪项不能提高“图像清晰度”()
A.加大物片距
B.加大焦片距
C.小焦点技术
D.缩短曝光时间
E.使用滤线器、遮光器
220、单项选择题 绿色瘤见于下列哪种病()
A.骨髓瘤
B.白血病
C.淋巴瘤
D.组织细胞增生症X
E.镰状细胞贫血
221、单项选择题
女,42岁,双下肢疼痛,结合图像,最可能的诊断是()
A.Paget病
B.内生软骨瘤
C.非骨化性纤维瘤
D.骨巨细胞瘤
E.骨纤维异常增殖症
222、单项选择题 胎儿受X线照射的主要危害不包括()
A.智力低下
B.皮炎
C.畸形
D.胚胎死亡
E.诱发癌症
223、单项选择题 局限性纤维化的常见原因为()
A.结缔组织病
B.硬皮病
C.类风湿病
D.慢性肺炎
E.尘肺
224、判断题 胰岛细胞瘤影像学检查的目的在于明确肿瘤发生的部位、肿瘤有无向周围扩散以及有无周围淋巴结和肝转移等。
225、多项选择题 引起成人股骨头缺血坏死的常见原因为()
A.外伤
B.皮质激素治疗
C.酒精中毒
D.减压病
E.肾移植
226、单项选择题 十二指肠溃疡最常见的部位是()
A.水平部
B.球部
C.降部
D.球后部
E.小弯侧
227、单项选择题 强直性脊柱炎的特征性X线表现是()
A.脊柱骨质破坏
B.关节表面破坏
C.关节面硬化
D.关节半脱位
E.椎旁韧带钙化骨化呈竹节样改变
228、填空题 内分泌系统由许多内分泌腺组成,其中_______、_________、__________、_________、________和________等的异常,均可引起骨骼系统病变。
229、问答题 胃溃疡愈合有哪些X线表现?
230、多项选择题 引起阻塞性肺不张常见疾病有()
A.支气管异物
B.支气管肺癌
C.炎性肉芽肿
D.支气管内膜结核
E.血块及痰栓
231、判断题 出血聚集在纵隔组织间隙即形成纵隔血肿。
232、单项选择题 以下选项中,乳突许氏位投照时,球管中心线应()
A.向足侧倾斜35°
B.向足侧倾斜25°~30°
C.向足侧倾斜35°~45°
D.向足侧、面侧各倾斜15°
E.向头侧倾斜35°~45°
233、单项选择题
男,52岁,胸痛、体重下降2月余,结合胸片,最可能的诊断()

A.包裹性胸腔积液
B.胸膜肥厚
C.化脓性胸膜炎
D.肺癌
E.胸膜间皮瘤
234、单项选择题
女,50岁,手指关节肿痛,晨僵,结合图像,最可能诊断是()
A.关节结核
B.牛皮癣性关节炎
C.痛风性关节炎
D.类风湿关节炎
E.Reiter综合征
235、判断题 木屑、竹刺和玻璃屑等部分吸收X线,形成密度较淡阴影。
236、多项选择题 关于X线影像重叠的叙述,正确的是()
A.用前后和左右几个方向的摄片表现人体结构
B.胸片中看不到胸骨影像,是大物体(纵隔)密度大于小物体
C.膝关节正位照片中髌骨影像,是大小物体组织密度相等
D.肺野中的肋骨阴影很明显,是大小物体组织密度相等
E.以上都是
237、单项选择题
男,63岁,进行性吞咽困难1月。食管钡餐示:食管下段粘膜不规则充盈缺损,管腔狭窄,贲门扩张欠佳。
病变侵及食管的()
A.粘膜层
B.粘膜下层
C.肌层
D.外膜
E.粘膜肌层
238、多项选择题 诊断恶性骨肿瘤的诊断依据是()
A.浸润性骨质破坏
B.有骨膜反应
C.有软组织肿块
D.破坏区内有死骨
E.Codman三角
239、单项选择题 关于“骨囊肿”的描述,不包括哪项()
A.不跨越骺板
B.股骨、肱骨、跟骨好发
C.可为单房或多房囊肿
D.局部骨皮质变薄,但不向外膨隆
E.易发生病理性骨折
240、单项选择题 典型急性肺水肿X线征象()
A.是肺纹理模糊
B.出现间隔线
C.胸膜少量积液
D.肺门旁蝶翼状影
E.含气支气管征
241、单项选择题
患者输液过程中突发胸闷、气急、咳痰,胸片如图,最可能的诊断为()

A.矽肺合并感染
B.中央型肺水肿
C.真菌感染
D.间质性肺水肿
E.腺病毒肺炎
242、问答题 骨折的基本X线表现有哪些?
243、名词解释 骨折片陷落征
244、单项选择题 静脉注射碘过敏试验,注药后观察反应的常规时间是()
A.3分钟
B.5分钟
C.15分钟
D.25分钟
E.35分钟
245、单项选择题 喉肉芽肿的早期X线表现为()
A.喉腔狭窄
B.喉内结构不规则增厚
C.喉内结构弥漫肿胀、增厚
D.会厌破坏缺损
E.喉内结构粘连变形
246、配伍题 摄照胸骨后前位时()腹部平片摄片时()膈上肋骨后前位时()头颅平面摄片()心脏平片摄片()
A.平静呼吸下屏气
B.深吸气后屏气
C.深吸气再呼出后屏气
D.缓慢连续呼吸
E.平静呼吸不屏气
247、名词解释 髋臼角
248、多项选择题 胆脂瘤可发生于下列哪些部位()
A.上鼓室
B.乳突窦入口
C.乳突窦
D.乳突
E.中鼓室
249、判断题 小肠憩室是指小肠壁局限性突出呈囊袋状。
250、多项选择题 当肾盂积水时,静脉肾盂造影的表现为()
A.肾盂、肾盏呈囊状扩大
B.肾盏变成杆状,肾盂扩大
C.肾小盏杯口圆钝
D.肾小盏杯口锐利
E.肾盂、肾盏缩小
251、多项选择题 肺结核病可以见到的空洞为()
A.厚壁空洞
B.薄壁空洞
C.虫蚀样空洞
D.空洞内有球形内容物
E.偏心性空洞
252、单项选择题
男,24岁,低热2周,咳少量痰。胸片示右上肺不均密度增高影,其中有空洞形成,血沉45mm/h。
下列哪项检查对诊断最有意义()
A.血常规
B.痰细菌培养
C.纤维支气管镜
D.痰抗酸杆菌检查
E.血沉
253、单项选择题 骨囊肿的X线表现中,哪项应除外()
A.囊肿一般为单发,很少多发
B.病灶大多为卵圆形,长径与骨长轴一致
C.囊肿向外膨胀性生长
D.膨胀的程度一般不超过干骺端的宽度
E.囊内可见明显骨嵴
254、填空题 乳腺主要构成基础是_______,它是由_______及_______等构成,有_______个乳腺叶。
255、单项选择题
女,79岁,双手肿块,疼痛,结合图像,最可能的诊断是()
A.骨脓肿
B.骨囊肿
C.骨结核
D.原发性肿瘤样钙质沉着症
E.骨肉瘤
256、多项选择题 X线经被照体形成X线信息影像,其质量决定于()
A.被照体的厚度与密度
B.被照体的原子序数
C.X线的散射状况
D.被照体的形状
E.X线的量
257、单项选择题 下列哪一项不是骨囊肿的特点()
A.好发股骨、肱骨的骨干或干骺端
B.横径大于骨骺板宽度
C.男多于女,11~20岁好发
D.常合并病理性骨折
E.长轴与骨干纵轴一致
258、多项选择题 下列脊椎结核的X线表现有()
A.椎体破坏
B.椎间隙变窄
C.椎旁软组织阴影增宽
D.椎旁韧带钙化
E.脊柱后突畸形
259、单项选择题 坐位或俯卧位,下颏前伸,头颅水平面与胶片呈45°,矢状面垂直胶片,中心线通过鼻前棘垂直胶片,是哪个摄片位置()
A.Water's氏位
B.Mayer's氏位
C.Schuller's氏位
D.汤氏位
E.Rhese's位
260、单项选择题 心脏右前斜位摄片,服钡的目的是观察()
A.右心房压迫食管情况
B.右心室压迫食管情况
C.左心房压迫食管情况
D.左心室压迫食管情况
E.全心压迫食管情况
261、单项选择题 左心房增大的方向依次是()
A.向右、向后、向左、向上
B.向后、向上、向左、向右
C.向后、向右、向上、向左
D.向左、向后、向右、向上
E.向后、向上、向右、向左
262、单项选择题 可复性食管裂孔疝的定性征象是()
A.胃、食管返流
B.膈上出现胃粘膜
C.食管胃环出现在膈上
D.胃、食管前庭段增宽
E.以上都不是
263、判断题 食管胃环在膈上出现是诊断可恢复性食管裂孔疝的关键性征象。
264、单项选择题 下列疾病不属于骨关节肿瘤的是()
A.关节内骨软骨瘤病
B.动脉瘤样骨囊肿
C.骨软骨瘤
D.骨囊肿
E.腱鞘巨细胞瘤
265、单项选择题 下述疾病对骨化中心的出现及愈合均具有促进作用,但除外()
A.甲状腺功能亢进
B.性腺功能亢进
C.肾上腺皮质肿瘤
D.骨纤维异常增殖症
E.伸舌样痴呆
266、填空题 淋巴管瘤在镜下可分3型,即_______________、____________________和________________。
267、单项选择题
男,13岁,胸痛胸闷2月余,胸部检查如图,最可能的诊断为()

A.心力衰竭并右侧胸腔积液
B.纵隔占位
C.先天性心脏病,房间隔缺损
D.先天性心脏病,动脉导管未闭
E.右侧胸腔大量积液
268、单项选择题 孕妇需避免X线检查,是因为X线的()
A.穿透作用
B.荧光作用
C.生物作用
D.电离作用
E.光化学作用
269、判断题 对诊断早期肾结核,USG、CT和MRI检查优于尿路造影。
270、单项选择题 下述哪种征象可作为直接诊断主动脉瓣狭窄的依据()
A.升主动脉中下段局限性扩张
B.左心室搏动增强
C.左心室肥厚
D.心影呈"主动脉型"
E.主动脉瓣区钙化
271、多项选择题 二尖瓣狭窄或(和)关闭不全时,胸片可见到的表现有()
A.肺内无结节状影
B.肺内含铁血黄素沉着
C.间隔线
D.上肺静脉增粗,下肺静脉变细
E.肺动脉段凹陷
272、单项选择题 X线机机房墙壁主防护厚度应达到的铅当量是()
A.1mmpb
B.2mmpb
C.3mmpb
D.4mmpb
E.5mmpb
273、单项选择题 下列哪种疾病,无"肺血减少"表现()
A.法洛四联征
B.三尖瓣闭锁
C.房间隔缺损
D.永存动脉干
E.大血管转位
274、单项选择题 构成肺门阴影的最主要结构是()
A.肺动脉
B.肺静脉
C.支气管
D.神经
E.淋巴组织
275、单项选择题 关于软X线的叙述,错误的是()
A.波长较短
B.波长较长
C.能量较低
D.穿透物质的能力较弱
E.适于软组织摄片
276、单项选择题 下列属于颈椎病X线表现的有()
A.可伴有小关节面硬化
B.椎体边缘骨质增生、硬化
C.椎间孔狭窄
D.椎间隙变窄
E.以上都是
277、单项选择题 腐蚀性食管炎的亚急性期通常为()
A.1~10天
B.1~5天
C.11~20天
D.3周
E.3~5周
278、多项选择题 关于X线管阳极的叙述,错误的是()
A.乳腺机X线管的阳极使用钼靶
B.旋转阳极靶盘直径越大管容量越大
C.靶盘覆以钼石墨层,以增加阳极热容量
D.X线管容量是指阳极热容量
E.旋转阳极管的X线发生效率高于固定阳极管
279、配伍题 摄照胸骨后前位时()腹部平片摄片时()膈上肋骨后前位时()头颅平面摄片()心脏平片摄片()
A.平静呼吸下屏气
B.深吸气后屏气
C.深吸气再呼出后屏气
D.缓慢连续呼吸
E.平静呼吸不屏气
280、单项选择题 经腋窝中点的垂直线称为()
A.腋前线
B.腋中线
C.腋后线
D.锁骨中线
E.连接线
281、单项选择题
患者上腹胀满、厌食,查体脾大,腹水征阳性。腹部超声,肝硬化,脾大,腹水。
最可能的诊断()
A.腹膜结核
B.肝炎
C.肝硬化,门脉高压征
D.肝癌
E.胃炎
282、单项选择题 下列哪项不是后纵隔的结构()
A.食管
B.胸导管中下段
C.半奇静脉
D.内脏大神经
E.迷走神经
283、单项选择题 食管中下段局限性不规则收缩,称为()
A.第1蠕动波
B.第2蠕动波
C.第3蠕动波
D.第4蠕动波
E.以上都不是
284、名词解释 粘膜线
285、名词解释 指压迹
286、判断题 乳腺的皮肤厚度一般为0.5~2.5mm。
287、问答题 肺不张的X线表现有哪些?
288、名词解释 胸膜外征
289、单项选择题 下列X线征象中,诊断肺底积液较可靠的是()
A.肋膈角变钝,肋间隙增宽
B.横膈抬高,最高点位于横膈外1/3处
C.横膈抬高,最高点位于横膈内1/3处
D.纵隔心影向对侧移位
E.纵隔心影向同侧移位
290、判断题 长钩形胃的位置、张力中等,胃角明显。
291、单项选择题 原发性支气管肺癌常见组织类型()
A.鳞癌
B.腺癌
C.未分化癌
D.混合癌
E.以上都不是
292、单项选择题 胆囊造影脂肪餐后首次摄片时间应为()
A.5分钟
B.10分钟
C.15分钟
D.30分钟
E.60分钟
293、单项选择题 下列关于乳腺摄影技术中不正确的是()
A.不用或只用单面增感屏
B.低电压
C.只需拍侧位片
D.低电流
E.钼靶
294、配伍题 肘关节提携角()腕关节腕骨角()腕关节前倾角()股骨颈前倾角()
A.5°~20°
B.9°~20°
C.13°~20°
D.15°~20°
E.平均130°
295、单项选择题 人体最重要的排泄器官是()
A.皮肤
B.肺
C.消化道
D.肾
E.唾液腺
296、判断题 煤矽肺的病理改变往往兼有煤肺尘埃沉着病和硅沉着病两种病理特征。
297、单项选择题 下列肺部病变好发部位的描述,错误的是()
A.支气管肺炎:双下肺
B.肺结核:上叶尖后段或下叶背段
C.特发性肺间质纤维化:胸膜下区
D.中央型肺癌:肺门附近
E.肺隔离症:右肺上叶
298、单项选择题 颞骨骨折后出现眩晕、感音性耳聋、自发性眼震和面瘫,其最可能的骨折类型为()
A.凹陷性骨折
B.纵行骨折
C.横行骨折
D.Y形骨折
E.青枝骨折
299、单项选择题 急性化脓性骨髓炎发病后2周内X线片上可见()
A.新生骨形成
B.骨小梁模糊消失
C.骨骼无明显变化
D.出现死骨
E.骨膜增生
300、多项选择题 关于“尿路血吸虫病”的特点,错误的是()
A.输尿管下段钙化比上段更常见
B.输尿管中段钙化最常见
C.输尿管结构正常
D.早期就有膀胱壁钙化
E.输尿管扩张,提示梗阻