医学影像技术(医学高级):X线必看考点(每日一练)

时间:2023-02-13 02:40:07

微信搜索关注"91考试网"公众号,领30元,获取事业编教师公务员等考试资料40G
题库试看结束后微信扫下方二维码即可打包下载完整版《★医学影像技术(医学高级)》题库
手机用户可保存上方二维码到手机中,在微信扫一扫中右上角选择“从相册选取二维码”即可。
题库试看结束后微信扫下方二维码即可打包下载完整版《医学影像技术(医学高级):X线》题库,分栏、分答案解析排版、小字体方便打印背记!经广大会员朋友实战检验,此方法考试通过率大大提高!绝对是您考试过关的不二利器
手机用户可保存上方二维码到手机中,在微信扫一扫中右上角选择“从相册选取二维码”即可。

1、名词解释  内骨痂


点击查看答案


2、单项选择题  立位片上,腹部游离气体的典型影为()

A.不规则形
B.球形
C.新月形
D.半球形,有“气液面”
E.与胸腔间距>15mm


点击查看答案


3、单项选择题  特发性肺间质纤维化好发于()

A.上叶尖后段或下叶背段
B.胸膜下区
C.双下肺
D.肺门附近
E.双肺弥漫分布


点击查看答案


4、单项选择题  

男,78岁,吞咽困难,梗阻感1年,结合图像,最可能的诊断为()

A.正常食管下段
B.食管癌
C.贲门失弛缓
D.贲门癌
E.胃癌


点击查看答案


5、多项选择题  诊断良性骨肿瘤的X线诊断依据是()

A.骨质膨胀破坏,骨皮质亦破坏
B.破坏区边界清楚
C.无软组织肿块
D.无骨膜反应
E.并发病理性骨折时,可有骨膜增生


点击查看答案


6、单项选择题  膈上肋骨摄影,采用的呼吸方式为()

A.浅呼吸后屏气
B.深呼气后屏气
C.深吸气后屏气
D.平静呼吸后屏气
E.腹式呼吸后屏气


点击查看答案


7、填空题  外耳和中耳均由_________发育而来,内耳由________发育而来。


点击查看答案


8、单项选择题  

女,69岁,摔伤后左髋部疼痛,活动受限8小时,结合影像学检查,最可能的诊断是()

A.股骨头骨折
B.肱骨骨折
C.蒙泰贾骨折
D.骨盆骨折
E.股骨颈骨折


点击查看答案


9、单项选择题  

男,根据其正常骨盆影像图像,判断其最可能的年龄()

A.6岁左右
B.30岁左右
C.12岁左右
D.18岁左右
E.24岁左右


点击查看答案


10、单项选择题  辐射的生物效应分为()

A.致癌效应和皮肤效应
B.遗传效应和致癌效应
C.非随机性效应和随机性效应
D.胚胎死亡效应和致癌效应
E.遗传效应和皮肤效应


点击查看答案


11、单项选择题  霍纳综合征最常见于()

A.肺泡细胞癌
B.肺上沟癌
C.肺底癌
D.瘢痕癌
E.结核瘤


点击查看答案


12、单项选择题  

男,阴囊下坠不适,胀痛,平卧症状缓解。查体:阴囊下垂松弛,并可触及结节状静脉曲张。

继发病变是()

A.男性不育
B.门脉高压
C.疝气
D.前列腺肥大
E.髂动脉狭窄


点击查看答案


13、单项选择题  

男,65岁,咳嗽,右胸痛,痰中带血丝1周。胸部后前位片示:右肺门影增大,右上肺大片状致密影,水平裂呈反“S”样改变。

阻塞的支气管()

A.右主支气管
B.右肺上叶支气管
C.右肺上叶前段支气管
D.右肺中叶支气管
E.右肺上叶尖后段支气管


点击查看答案


14、判断题  间质性肺水肿病变在1~2天或数小时内可有明显的变化,其动态变化较快。


点击查看答案


15、名词解释  骺线早闭


点击查看答案


16、填空题  肺转移瘤需与_________、________、_________、_________、__________和__________等鉴别。


点击查看答案


17、问答题  十二指肠球部溃疡愈合的X线表现有哪些?


点击查看答案


18、单项选择题  食管平滑肌瘤的特征性X线表现是()

A.粘膜紊乱
B.充盈缺损
C.管腔变形
D.环行征
E.浅分叶


点击查看答案


19、单项选择题  下列关于“恶性骨肿瘤”好发年龄中,哪项是错误的()

A.成骨肉瘤:10~25岁
B.多发性骨髓瘤:20~30岁
C.网状细胞肉瘤:30~40岁
D.转移性骨肿瘤:40岁以上
E.继发性软骨肉瘤:40岁以上


点击查看答案


20、单项选择题  下列哪种疾病,没有龛影表现()

A.食管憩室
B.胃溃疡
C.胃癌
D.食管癌
E.肠结核


点击查看答案


21、单项选择题  与CT比较,MRI用于心脏的检查,具有下列优势,哪项除外()

A.可获得标准的三维图像和斜位图像
B.对心脏形态、结构和病变的显示能力更高
C.改变扫描序列可提高病变的识别和鉴别能力
D.检查的时间更短
E.无X线的副作用


点击查看答案


22、多项选择题  绞窄性肠梗阻的X线征象为()

A.小跨度卷曲肠袢
B.假肿瘤征
C.咖啡豆征
D.空回肠换位征
E.长液面征


点击查看答案


23、单项选择题  早期胃癌的分型依肉眼形态为()

A.2型和4亚型
B.3型和3亚型
C.3型和4亚型
D.4型和3亚型
E.5型和2亚型


点击查看答案


24、单项选择题  中肺野是指上肺野以下至()

A.第四肋骨下缘的水平线以上
B.第四肋骨前缘下缘水平线
C.第四肋骨下缘的最低点
D.第四肋骨前端下缘的最低点
E.第四肋骨前端下缘的最低点水平线


点击查看答案


25、单项选择题  “麻风病”骨改变特点为是()

A.早期即出现骨质改变
B.主要累及脊柱
C.末节指、趾骨骨质吸收
D.广泛性骨质增生硬化
E.骨气鼓


点击查看答案


26、单项选择题  法洛四联征患者的心影,多数()

A.明显增大
B.缩小
C.进行性增大
D.雪人征
E.正常或轻度增大


点击查看答案


27、单项选择题  肺门舞蹈征最多见于哪种先天性心脏病()

A.动脉导管未闭
B.室间隔缺损
C.房间隔缺损
D.法洛四联征
E.艾森曼格综合征


点击查看答案


28、多项选择题  膝关节前后正位摄片要求清晰可见的结构是()

A.股骨远端骨小梁
B.胫骨近端骨小梁
C.膝关节周围软组织
D.髌骨
E.半月板


点击查看答案


29、单项选择题  采用计算机和远程通讯技术的医疗信息传输系统总称为()

A.远程会诊
B.远程诊断
C.远程教育
D.远程医疗系统
E.远程放射学系统


点击查看答案


30、单项选择题  风湿性心脏病最常见瓣膜病变是()

A.右房室瓣狭窄
B.左房室瓣狭窄
C.左房室瓣关闭不全
D.主动脉瓣关闭不全
E.右房室瓣关闭不全


点击查看答案


31、单项选择题  下列哪种疾病,充盈缺损表现不明显()

A.增生型胃癌
B.胃粘膜下平滑肌瘤
C.结肠息肉
D.溃疡性食管癌
E.增殖型肠结核


点击查看答案


32、单项选择题  目前公众个人全身受照射的年剂量应低于()

A.0.5mSv
B.1mSv
C.2mSv
D.5mSv
E.10mSv


点击查看答案


33、判断题  骨折临床愈合期一般在骨折4~6周。


点击查看答案


34、单项选择题  胸部摄片常规体位是()

A.站立位
B.仰卧位
C.俯卧位
D.坐位
E.侧卧位


点击查看答案


35、单项选择题  

女,57岁,胸痛,咳嗽1月余,不发热,咳白色痰,无痰中带血,X线检查如图,最可能的诊断是()

A.右侧肺不张
B.右肺炎症
C.纵隔肿瘤
D.右肺肿瘤
E.右肺结核


点击查看答案


36、判断题  右中叶肺不张侧位呈底向前壁尖向肺门的三角形阴影。


点击查看答案


37、单项选择题  同轴高压电缆由内向外排列正确的是()

A.芯线→绝缘层→屏蔽层→半导体层→保护层
B.芯线→绝缘层→半导体层→屏蔽层→保护层
C.芯线→半导体层→绝缘层→屏蔽层→保护层
D.芯线→屏蔽层→绝缘层→半导体层→保护层
E.芯线→绝缘层→半导体层→保护层→屏蔽层


点击查看答案


38、单项选择题  关于心房黏液瘤的描述,错误的是()

A.临床可有体温上升、体温下降、贫血
B.30~60岁多见
C.常有室上性心动过速表现
D.体循环、肺循环栓塞
E.左心房者占3/4


点击查看答案


39、单项选择题  关于胸部外伤,下列描述错误的是()

A.常有多发肋骨骨折
B.易并发皮下气肿、气胸
C.创伤性膈疝,右侧多见
D.常有肺不张
E.可有肺出血


点击查看答案


40、单项选择题  下列哪项在头颅平片上不能显示()

A.前床突
B.垂体
C.后床突
D.鞍结节
E.蝶鞍


点击查看答案


41、单项选择题  “心脏局部出现矛盾运动”是下列哪种疾病的特点()

A.心肌炎
B.心包积液
C.室壁瘤
D.克山病
E.缩窄性心包炎


点击查看答案


42、单项选择题  维生素D缺乏症的早期最早出现X线表现是()

A.胫骨远侧干骺端
B.桡骨近侧干骺端
C.肋骨胸骨端
D.尺骨远侧干骺端
E.以上都不是


点击查看答案


43、配伍题  胃癌的好发部位为()
胃溃疡的好发部位在()
哪个部位见到的溃疡性病变应疑为癌()
十二指肠溃疡好发于()

A.小弯
B.大弯
C.胃角
D.胃窦
E.十二指肠球部


点击查看答案


44、单项选择题  

男,63岁,咳嗽、发热1月余,消廋、乏力明显,有肺结核史,X线检查如图,最可能的诊断是()

A.右肺炎
B.右肺结核Ⅲ型
C.右肺结核Ⅳ型
D.右肺脓肿
E.右肺上沟瘤


点击查看答案


45、单项选择题  良性胃溃疡好发于()

A.贲门区
B.胃底
C.胃小弯近胃角切迹处
D.胃窦
E.胃体


点击查看答案


46、单项选择题  关于“慢性肾盂肾炎”的造影表现,下列说法错误的是()

A.肾影大小正常、表面不光滑
B.肾功能减低
C.杵状肾盏
D.肾实质变薄
E.肾盂、肾盏轻度扩大


点击查看答案


47、判断题  曲菌球为肺真菌病的特征性X线表现。


点击查看答案


48、单项选择题  下述肺动脉狭窄(瓣膜下型)的X线表现,错误的是()

A.靴形心
B.右心室增大
C.肺动脉段突出
D.肺动脉段平直或凹陷
E.肺血管纹理纤细


点击查看答案


49、判断题  膀胱输尿管反流常常会引起输尿管、膀胱的变化。


点击查看答案


50、单项选择题  

患者女,6岁,左下肢跛行三年,直立时臀部后耸,结合骨盆平片,正确的诊断是()

A.左髋内翻畸形
B.左髋结核
C.左先天性髋关节脱位
D.左股骨头缺血坏死
E.左髋关节炎


点击查看答案


51、单项选择题  下列有关乳腺结构不良的X线表现中,描述不妥的是()

A.乳腺实质内多发或弥漫性不规则结节影
B.病变严重者常难分辨正常乳腺腺体结构
C.有时可在其内见纤维条索影,边缘模糊
D.乳腺实质内无钙化影
E.少数患者乳腺内可见新月形钙化影


点击查看答案


52、单项选择题  标准立位胸片,气胸线位于肺野外1/4处,提示患肺压缩率为()

A.10%
B.25%
C.50%
D.75%
E.93%


点击查看答案


53、多项选择题  下列哪几项属于乳腺恶性肿瘤的X线征象()

A.肿块边缘模糊
B.密度较均匀
C.肿块呈类圆形
D.密度增高
E.边缘有长或短毛刺


点击查看答案


54、名词解释  Brodie脓肿


点击查看答案


55、单项选择题  

男,9岁,左肘外伤,结合图像,最可能的诊断为()

A.左肱骨内上髁骨骺1度分离
B.左肱骨内上髁骨骺2度分离
C.左肱骨内上髁骨骺3度分离
D.左肱骨内上髁骨骺4度分离
E.左肱骨内上髁骨骺5度分离


点击查看答案


56、单项选择题  肺癌最常见的转移途径是()

A.血行转移
B.直接蔓延
C.支气管播散
D.淋巴转移
E.以上都不是


点击查看答案


57、单项选择题  关于腰椎侧位片显示的叙述,错误的是()

A.全部腰椎呈侧位显示在片内
B.椎间孔投影于照片正中
C.腰大肌影像清晰
D.椎体后缘无双边征
E.椎间隙显示清晰


点击查看答案


58、多项选择题  可使脑膜中动脉压迹异常增粗、迂曲者()

A.血管瘤
B.颅骨恶性肿瘤
C.转移瘤
D.星型胶质细胞瘤
E.脑膜瘤


点击查看答案


59、多项选择题  X线质的表示方法主要有()

A.半价层
B.管电压
C.管电流
D.管电流量
E.阳极靶面物质原子序数


点击查看答案


60、单项选择题  乳突双15°侧位,亦称为()

A.劳氏位(LaW位)
B.许氏位(Schuller位)
C.伦氏位(Runstrom位)
D.梅氏位(Mayer位)
E.斯氏位(Stenever位)


点击查看答案


61、单项选择题  肺动脉高压诊断要点为()

A.肺纹理增粗,结构清晰
B.肺纹理增粗,结构模糊
C.多继发于左心衰
D.肺野透亮度减低
E.出现间隔线


点击查看答案


62、单项选择题  "泪囊肿瘤"首选的X线检查体位是()

A.柯氏位
B.眼眶正位
C.头颅正位
D.视神经孔位
E.华氏位


点击查看答案


63、名词解释  粘膜皮肤色素沉着综合征


点击查看答案


64、多项选择题  有关肿瘤性钙化的说法中下列哪些正确()

A.颅咽管瘤钙化呈带状
B.少突胶质瘤钙化呈点状、片状
C.星形细胞瘤钙化呈堆状
D.脑膜瘤钙化呈团块状
E.室管膜瘤钙化呈分散状


点击查看答案


65、单项选择题  

女,45岁,咽喉不适,异物感。体检:仅见慢性咽炎改变,结合图像,最可能的诊断为()

A.正常表现
B.会厌征
C.颈椎退变
D.食管型颈椎病
E.以上都不是


点击查看答案


66、单项选择题  以下选项中,当颅底位投照时,X线中心线应()

A.与听鼻线垂直
B.与听眦线垂直或呈105°角 
C.与听口线平行 
D.与听口线垂直 
E.与听眶线平行


点击查看答案


67、判断题  早期胃癌全部能在优质的双重对比造影片上显示出来。


点击查看答案


68、单项选择题  室间隔缺损血流动力学的改变首先引起()

A.右心房增大
B.右心室增大
C.左心房增大
D.主动脉扩张
E.肺动脉隆起


点击查看答案


69、多项选择题  自发性纵隔气肿可见于()

A.婴儿呼吸窘迫综合征
B.哮喘
C.糖尿病酮症酸中毒
D.肺不张
E.成人贲门失弛缓症


点击查看答案


70、判断题  胸椎旁线是一条与胸椎平行的中等密度线样影,以左侧的较常见。


点击查看答案


71、单项选择题  

女,3岁,身高不增,智力正常,结合图像,最可能的诊断是()

A.维生素D缺乏症
B.肾性骨病
C.黏多糖贮积症IV型
D.黏多糖贮积症I型
E.MPSII型


点击查看答案


72、单项选择题  胸片上双侧肺门影增大可见于()

A.大叶性肺炎
B.慢性肺源性心脏病
C.慢性纤维空洞型肺结核
D.法洛四联征
E.肺隔离症


点击查看答案


73、单项选择题  口服钡剂通过小肠到达回盲部时间过缓的诊断标准是()

A.>3小时
B.>4小时
C.>5小时
D.>6小时
E.>7小时


点击查看答案


74、判断题  甲状旁腺功能亢进患者多数有骨骼病变,主要表现为骨质疏松。


点击查看答案


75、单项选择题  关于肺泡蛋白沉着症的有关叙述中错误的是()

A.弥漫密集分布的粟粒样致密影
B.肺门周围蝶翼形阴影
C.局限性肺气肿及肺不张
D.弥漫分布的网织、结节影
E.自限性疾病预后良好


点击查看答案


76、填空题  肺栓塞的主要X线征象为________、_____________、____________和_________。


点击查看答案


77、单项选择题  胸部后前位片上出现双心房影,提示()

A.右心室增大
B.右心房增大
C.左心室增大
D.左心房增大
E.主动脉增宽,迂曲


点击查看答案


78、多项选择题  一般摄片用X线胶片种类包括()

A.感蓝胶片
B.感绿胶片
C.乳腺摄片用正色胶片
D.清洁用胶片
E.高清晰度摄片用胶片


点击查看答案


79、单项选择题  

男,阴囊下坠不适,胀痛,平卧症状缓解。查体:阴囊下垂松弛,并可触及结节状静脉曲张。

最可能的诊断是()

A.鞘膜积液
B.血管瘤
C.肿瘤
D.精索静脉曲张
E.感染


点击查看答案


80、单项选择题  有关胸部摄片标准化的条件,哪个是错误的()

A.常规胸部正位,应取腹式深吸气后屏气曝光
B.胸部正位摄片距离要固定
C.胸部摄片,X线中心线应对准第6胸椎高度
D.胸部正位中心线射入点为第11胸椎高度
E.胸部摄片应取高电压摄片技术


点击查看答案


81、单项选择题  气管分叉上移,夹角大于90°,见于()

A.右心房增大
B.左心房增大
C.左心室增大
D.肺源性心脏病
E.膈肌上移


点击查看答案


82、单项选择题  肺源性心脏病最常见的原因是()

A.慢性支气管炎
B.肺结核
C.机化性肺炎
D.支气管扩张
E.胸膜增厚粘连


点击查看答案


83、单项选择题  不属于医用胶片种类的是()

A.一般摄影用X线胶片
B.多幅相机和激光相机成像胶片
C.影像增强器记录胶片
D.X线特种胶片
E.彩色电影胶片


点击查看答案


84、判断题  右心室增大时则使心脏逆时针旋转,使右心室完全在心脏的前方。


点击查看答案


85、单项选择题  食管造影通常可见到下列压迹,除了()

A.主动脉弓压迹
B.左支气管压迹
C.降主动脉压迹
D.左心室压迹
E.左心房压迹


点击查看答案


86、问答题  何谓Wolfe乳腺分型。


点击查看答案


87、问答题  阐述骨巨细胞瘤的X线表现?


点击查看答案


88、填空题  引起膈麻痹的原因较多,如_________、__________、_______、______、_______和__________等。


点击查看答案


89、多项选择题  

女,49岁,进食上腹痛,腹部肠胀气近2天,今肛门已排气,大便已解,结合图像,最可能的诊断为()

A.正常表现
B.慢性胃炎
C.胃溃疡
D.球部溃疡
E.胃粘膜脱垂


点击查看答案


90、单项选择题  下述哪种肺炎好发于右心隔角处()

A.支气管肺炎
B.支原体肺炎
C.流感病毒性肺炎
D.腺病毒肺炎
E.麻疹肺炎


点击查看答案


91、判断题  烧伤患者的骨质疏松可最早在伤后1个月出现。


点击查看答案


92、单项选择题  

如图,在正常胸部X线影像图像上,该英文字母所代表的肺段为()

A.尖段
B.后段
C.尖后段
D.舌叶上段
E.前段


点击查看答案


93、多项选择题  判断对比剂过敏的依据,正确的是()

A.休克
B.便秘
C.打嗝
D.恶心呕吐
E.以上都是


点击查看答案


94、判断题  早期周围型肺癌是指瘤体直径≤2cm,并且无转移者。


点击查看答案


95、单项选择题  在常规后前位胸片上不能完全显示影像的左肺段为()

A.内基底段
B.前基底段
C.外基底段
D.后基底段
E.背(尖)段


点击查看答案


96、配伍题  肠套叠()
新生儿胃穿孔()
先天性肥厚型幽门狭窄()
先天性十二指肠闭锁()

A.足球征
B.弹簧圈表现
C.双泡征
D.肩样征
E.单泡征


点击查看答案


97、单项选择题  上胸椎侧位摄片条件选用,错误的是()

A.使用滤线器
B.阴极端对肩部
C.平静呼吸中屏气
D.阳极端对肩部
E.中心线对远台侧腋中线


点击查看答案


98、单项选择题  大剂量静脉尿路造影,肾盏、肾盂、输尿管达到饱和程度的时间是注射开始后()

A.6~10分钟
B.10~15分钟
C.15~30分钟
D.45分钟
E.30~60分钟


点击查看答案


99、单项选择题  关于过敏性上颌窦炎,下列影像表现哪项错误()

A.多个鼻窦受累
B.窦壁骨质硬化
C.上颌窦息肉
D.鼻甲粘膜增厚
E."气液面"较少见


点击查看答案


100、单项选择题  滑膜型关节结核的X线表现哪项不对()

A.骨端骨质疏松
B.周围肌肉萎缩
C.骨质破坏先从非承重关节开始
D.关节软骨破坏较晚
E.关节软骨破坏较早


点击查看答案


101、单项选择题  

男,24岁,低热2周,咳少量痰。胸片示右上肺不均密度增高影,其中有空洞形成,血沉45mm/h。

病灶好发部位是()

A.右肺上叶前段
B.右肺上叶尖后段
C.右肺上叶尖段
D.右肺上叶后段
E.右肺下叶背段


点击查看答案


102、单项选择题  诊断小肠克罗恩病较为特征性的X线表现是()

A.多发生于回肠远端
B.“卵石征”
C.“跳跃征”
D.管腔狭窄
E.纵行溃疡


点击查看答案


103、单项选择题  影像增强管输入屏的结构不包括()

A.铝基板
B.荧光体层
C.隔离层
D.光电转换层
E.屏蔽层


点击查看答案


104、判断题  早发先天性骨梅毒患者的骨骼改变与临床症状常相一致。


点击查看答案


105、多项选择题  于后前位胸片上可见到哪些正常软组织结构()

A.胸大肌
B.女性乳腺及乳头
C.胸锁乳突肌
D.锁骨上皮肤皱褶
E.伴随阴影


点击查看答案


106、问答题  急性粟粒型肺结核的X线特点是什么?


点击查看答案


107、单项选择题  髋关节蛙式位,大粗隆与股骨颈重叠的原因是()

A.股骨外翻角度较大
B.股骨外翻角度较小
C.股骨内翻角度较大
D.股骨内翻角度较小
E.股骨倾斜角度较大


点击查看答案


108、单项选择题  罕有单侧肺门影增大的病变是()

A.中央型肺癌
B.肺动脉瓣狭窄
C.肺动静脉畸形
D.组织胞浆菌病
E.淋巴瘤


点击查看答案


109、多项选择题  盲肠扭转的X线表现为()

A.充气扩张的小肠位于扩张盲肠的左侧
B.盲肠内侧或外侧可见“V”形切迹,为回盲瓣
C.鸟嘴状狭窄
D.扩张小肠以盲肠为中心呈放射状纠集扩张
E.充气扩张的小肠位于扩张盲肠的右侧


点击查看答案


110、单项选择题  胸骨角位于哪个连接处()

A.胸骨柄与剑突
B.胸骨体与剑突
C.胸骨柄与胸骨体
D.锁骨与胸骨柄
E.以上都不是


点击查看答案


111、单项选择题  "脊柱转移瘤"典型影像特征是()

A.椎骨溶骨性破坏,椎旁软组织肿胀
B.椎体膨胀性破坏
C.椎管内外哑铃状肿块,椎间孔扩大
D.椎体呈栅栏状
E.椎体破及椎间盘破坏、椎间隙变窄


点击查看答案


112、单项选择题  关于腹部仰卧前后位摄片的描述,错误的是()

A.患者仰卧于检查床上
B.人体正中矢状面垂直于床面
C.中心线对准剑突与耻骨联合连线中点
D.片号及摄片日期标记应反放
E.必须做‘左右方位’标记


点击查看答案


113、单项选择题  肺气肿的X线表现,错误的是()

A.桶状胸,肋间隙增宽
B.肺野透亮度增高
C.两侧膈肌升高
D.两肺纹理稀疏
E.心影呈滴状


点击查看答案


114、单项选择题  肾结核最早发生在()

A.肾盂内
B.肾乳头部
C.肾小球内
D.肾小管内
E.肾盏内


点击查看答案


115、单项选择题  原发性良性肺肿瘤,下列描述哪项不对()

A.球形肿块,边缘光整,可有浅分叶
B.空洞少见
C.可有斑点状或结节状钙化
D.肺门、纵隔淋巴结正常
E.常有细短毛刺


点击查看答案


116、判断题  动脉导管未闭时左右心室可以增大,有时可见漏斗征。


点击查看答案


117、单项选择题  减少和排除散射线的方法中,下列哪项错误()

A.缩小照射野
B.用金属后背盖的暗盒
C.用遮线筒或缩光器来
D.选择高电压摄影的方法
E.使用滤线栅


点击查看答案


118、判断题  葫芦胃或哑铃胃系胃溃疡的一种X线征象。


点击查看答案


119、多项选择题  眶距过窄,常见于下列哪些疾病()

A.额缝早闭
B.冠状缝早闭
C.矢状缝早闭
D.先天愚型
E.端脑发育异常


点击查看答案


120、单项选择题  前纵隔不常见的肿瘤是()

A.恶性淋巴瘤
B.恶性畸胎瘤
C.胸骨后甲状腺
D.胸腺瘤
E.皮样囊肿


点击查看答案


121、多项选择题  胃粘膜脱垂的X线表现有哪些()

A.在十二指肠球底部有凹陷,呈伞状、蕈状或菜花状
B.当脱入球部的粘膜偏于幽门一侧时,球底部的透光区可偏于一侧
C.本病不合并胃窦炎及十二指肠炎
D.左前斜卧位检查时阳性发现率较高
E.尚可见幽门管呈长而宽,管内有纵行粗大胃粘膜像


点击查看答案


122、单项选择题  影响X线照片清晰度的观察条件,不包括()

A.观片灯亮度
B.照明用电源电压
C.肉眼的MTF
D.室内照明条件
E.环境明暗程度


点击查看答案


123、单项选择题  风湿性心脏瓣膜病二尖瓣狭窄在X线平片上表现为()

A.肺血增多,右心房、室增大,主动脉结小
B.肺血增多,左、右心室增大,主动脉结正常
C.肺血减少,右心房、室增大,主动脉结小
D.肺淤血,左心房、右心室增大,主动脉结小
E.肺淤血,右心房、左心室增大,主动脉结正常


点击查看答案


124、单项选择题  观察左心房大小的最佳检查方法是()

A.后前位吞钡
B.左前斜位吞钡
C.右前斜位吞钡透视或摄片
D.右侧位
E.左侧位


点击查看答案


125、多项选择题  多发性骨软骨瘤出现哪些表现况时应高度怀疑恶变()

A.瘤体内出现透亮区
B.软骨帽增厚,发生于长骨者超过1cm
C.钙化软骨帽密度变淡,边界不清
D.远处出现转移性病灶
E.30岁以上的患者生长迅速,疼痛加剧


点击查看答案


126、单项选择题  胸片检查中,下列结构,哪种显示率最低()

A.锁骨
B.锁骨上皮肤皱褶
C.胸锁乳突肌
D.男性乳头
E.女性乳房


点击查看答案


127、判断题  若肺透亮度及心影等均正常,可完全排除气管内异物的存在。


点击查看答案


128、判断题  成骨不全的基本X线征象为多发骨折、骨皮质菲薄和骨密度减低。


点击查看答案


129、单项选择题  直径为多少的眶内铁质异物平片可显示()

A.1mm以上
B.0.5mm以上
C.0.8mm以上
D.1.2mm以上
E.0.3mm以上


点击查看答案


130、单项选择题  

女,48岁,车祸致右胫腓骨骨折,外固定术后两年复查,如图所示,最可能的诊断是()

A.右胫骨愈合延迟
B.右胫骨假关节形成
C.右胫骨骨折愈合好,有大量骨痂形成
D.右胫骨断端不连
E.以上均不正确


点击查看答案


131、单项选择题  

女,51岁,胸闷、咳嗽、咳痰2月余,3年前被确诊为子宫平滑肌肉瘤,结合胸片,最可能的诊断是()

A.粟粒型肺结核
B.肺转移瘤
C.结节病
D.胶原病
E.真菌病


点击查看答案


132、单项选择题  下列骨肿瘤的叙述正确的是()

A.骨肿瘤病人常出现碱性磷酸酶增高
B.恶性肿瘤的血沉常加快
C.骨髓瘤常出现异常免疫球蛋白
D.良性肿瘤的血尿检查均正常
E.以上都是


点击查看答案


133、单项选择题  下列有关乳腺癌的描述中,不属X线特征的是()

A.漏斗征
B.酒窝征
C.彗星尾征
D.晕圈征
E.帐篷征


点击查看答案


134、填空题  胃非上皮性肿瘤包括___________、_____________、________和__________等。


点击查看答案


135、单项选择题  精原细胞瘤与下述何种疾病均属生殖细胞类肿瘤()

A.神经源性肿瘤
B.脂肪瘤
C.间皮囊肿
D.畸胎瘤
E.淋巴瘤


点击查看答案


136、单项选择题  

男,22岁,膝部酸痛、肿胀,结合图像,最可能的诊断是()

A.纤维性骨皮质缺损
B.嗜酸性肉芽肿
C.非骨化性纤维瘤
D.软骨黏液样纤维瘤
E.骨样骨瘤


点击查看答案


137、问答题  肺错构瘤的X线表现有哪些?


点击查看答案


138、单项选择题  关于胸骨后甲状腺的描述,错误的是()

A.包括甲状腺肿、腺瘤和囊肿
B.伴有颈部甲状腺肿大
C.在前纵隔肿瘤中,其位置最高
D.有气管受压移位
E.胸骨后甲状腺无恶性病变


点击查看答案


139、填空题  膈上食管憩室多发生在膈肌上_______cm一段,常见于食管的_______,常与___________和____________并存。


点击查看答案


140、判断题  进行性骨化肌炎在急性期常有典型的X线、CT征象。


点击查看答案


141、单项选择题  关于腰椎正位标准片的说法,下列哪项不妥()

A.第1~5腰椎,腰骶关节、两侧骶髂关节对称显示
B.第3腰椎位于照片正中,棘突序列位于椎体正中
C.除第3腰椎各缘呈切线显示外,其余椎体均呈双边显示
D.除腰椎结核外,腰椎正位照片可不包括两侧腰大肌
E.各椎体及其附件结构易于分辨,骨纹理清晰显示


点击查看答案


142、单项选择题  成人食管全长约()

A.1~40cm
B.5~20cm
C.15~30cm
D.20~30cm
E.40~50cm


点击查看答案


143、单项选择题  食管静脉曲张是下列哪种疾病的重要并发症()

A.食管癌
B.贲门癌
C.肝癌
D.肝硬化
E.胰腺癌


点击查看答案


144、单项选择题  支气管扩张的X线平片表现,下列哪项对诊断价值大()

A.肺纹理改变
B.肺内炎症
C.肺不张
D.囊状或蜂窝状影
E.局限性胸膜增厚粘连


点击查看答案


145、单项选择题  肺大泡的胸片表现特点是()

A.云絮状浅淡模糊影
B.条索状密度增高影
C.边缘清楚致密影,密度比肋骨低
D.边缘清楚致密影,密度比肋骨高
E.肺透亮度增加,局部肺纹理缺如


点击查看答案


146、单项选择题  50岁男性,咳嗽、痰中带血3月余。胸片示右肺门区4cm圆形肿块,右上肺不张,痰查癌细胞阴性,最可能的诊断是()

A.右上肺中央型肺癌
B.右上肺周围型肺癌
C.右上肺慢性纤维空洞型肺结核
D.过敏性肺炎
E.肺隔离症


点击查看答案


147、单项选择题  

男,62岁,左膝疼痛、活动不便,结合图像,最可能的诊断是()

A.髌骨软化症
B.粉碎性骨折
C.膝关节结核
D.退行性骨关节病
E.风湿性关节炎


点击查看答案


148、填空题  绞窄性肠梗阻的常见原因有哪些__________、_____________和_________。


点击查看答案


149、单项选择题  肺部X线表现为锁骨下区纤维条索状阴影,属于哪一型肺结核()

A.原发性肺结核
B.血行播散型肺结核
C.浸润型肺结核
D.慢性纤维空洞型肺结核
E.以上都不是


点击查看答案


150、单项选择题  下列组合,错误的是()

A.髌骨骨折--侧位及轴位
B.膝内翻--正位及双侧对照
C.膝关节副韧带损伤--正位及双侧对照
D.胫骨结节骨软骨炎--双侧胫骨结节侧位对照
E.小儿髋关节脱位--双髋正位


点击查看答案


151、单项选择题  男,5岁,腹痛,黏液便并偶带血10余天。钡灌肠见乙状结肠远端有1×1cm大小圆形充盈缺损,边缘光滑锐利,有一定活动度。首先考虑的诊断为()

A.结肠息肉
B.结肠息肉恶变
C.结肠癌
D.结肠憩室
E.结肠炎


点击查看答案


152、单项选择题  腹部平片上,小肠分六组,十二指肠属于第几组()

A.第一组
B.第二组
C.第三组
D.第四组
E.第五组


点击查看答案


153、多项选择题  在乳腺钼靶X线上,可见以下哪些结构()

A.皮肤
B.脂肪
C.乳头
D.乳腺实质
E.淋巴结


点击查看答案


154、单项选择题  

如图,在正常胸部X线影像图像上,该英文字母所代表的肺段为()

A.内基底段
B.前基底段
C.外基底段
D.后基底段
E.背段


点击查看答案


155、单项选择题  

男,阴囊下坠不适,胀痛,平卧症状缓解。查体:阴囊下垂松弛,并可触及结节状静脉曲张。

属精索静脉变异的是()

A.汇入肾静脉
B.汇入肝静脉
C.双精索静脉
D.汇入腹腔静脉
E.汇入下腔静脉


点击查看答案


156、单项选择题  局限性胸腔积液,不包括()

A.包裹性积液
B.叶间积液
C.肺底积液
D.支气管囊肿
E.纵隔包裹性积液


点击查看答案


157、单项选择题  神经源性肿瘤好发部位是()

A.前下纵隔
B.中纵隔下部
C.中纵隔上部
D.后纵隔脊柱旁沟内
E.前上纵隔


点击查看答案


158、判断题  腰方肌起于第11肋骨,向下延伸至髂嵴,出现率高于腰大肌。


点击查看答案


159、单项选择题  

男,23岁,根据影像图像,最可能的诊断是()

A.骨髓炎
B.骨硬化症
C.骨囊肿
D.骨脓肿
E.骨结核


点击查看答案


160、单项选择题  当掌心向下平放在暗盒垂直投照时,显示的是以下哪项()

A.拇指后前位
B.拇指侧位 
C.拇指斜位 
D.拇指前后位 
E.拇指切线位


点击查看答案


161、多项选择题  骨缺血性坏死常见于()

A.股骨颈骨折
B.股骨干骨折
C.距骨骨折
D.月骨骨折
E.腕舟骨骨折


点击查看答案


162、多项选择题  骨肉瘤基本X线表现包括()

A.骨质破坏
B.肿瘤骨
C.肿瘤软骨钙化
D.软组织肿块
E.骨膜增生和Codman三角


点击查看答案


163、多项选择题  含气支气管像或细支气管像多见于()

A.鳞状上皮癌
B.鳞腺癌
C.细支气管肺泡癌
D.腺癌
E.大细胞癌


点击查看答案


164、填空题  脊索瘤其特点是由富含空泡的________________与_________________构成。


点击查看答案


165、单项选择题  患者10岁,足痛、触痛1月余,最可能诊断为()

A.尤文肉瘤
B.疲劳骨折
C.骨髓炎
D.正常结构
E.骨软骨瘤


点击查看答案


166、单项选择题  

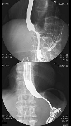
男,49岁,进行性吞咽困难1月,结合图像,最可能的诊断为()

A.正常食管
B.食管炎
C.食管癌
D.食管静脉曲张
E.胃炎


点击查看答案


167、单项选择题  下列有关放射性肺炎的描述,错误的是()

A.15Gy,胸片就可有异常发现
B.几个月后出现慢性间质纤维化
C.胸片异常始于放疗6~12周后
D.早期以间质性肺水肿为主
E.抗生素治疗无效


点击查看答案


168、单项选择题  关于“软X线技术”的描述,下列哪项不对()

A.用钨靶球管 
B.用于乳腺、阴囊等软组织 
C.管电压40kV左右 
D.投照时通常不用双面高速增感屏 
E.为减少散射线,X线管窗口通常加薄铜板或铝板


点击查看答案


169、填空题  继发性肺结核的X线表现多种多样,如____________、___________、____________、___________、__________、_________和_____________等都可以见到。


点击查看答案


170、单项选择题  软骨的构成是()

A.软骨细胞
B.软骨细胞和基质
C.细胞、基质和纤维
D.软骨细胞和软骨母细胞
E.钙化软骨和软骨细胞


点击查看答案


171、多项选择题  经肾脏排泄的对比剂在尿中浓度与哪些因素有关()

A.肾脏的大小
B.肾脏的形态
C.肾脏的功能
D.对比剂的剂量
E.对比剂的浓度


点击查看答案


172、单项选择题  一般不引起右心房增大的是()

A.心肌病
B.风湿性心脏病,左房室瓣狭窄
C.先天性心脏病,房间隔缺损
D.风湿性心脏病,左房室瓣关闭不全
E.以上都是


点击查看答案


173、单项选择题  十二指肠球后狭窄的最常见原因为()

A.结核
B.胰头肿瘤
C.局限性炎症
D.球后溃疡
E.良性肿瘤


点击查看答案


174、单项选择题  硅酸盐肺中较常见者为()

A.矽肺
B.煤工尘肺
C.棉尘肺
D.铝尘肺
E.石棉肺


点击查看答案


175、单项选择题  十二指肠降部位于哪几个脊椎的右缘()

A.第11~12胸椎
B.第1~3腰椎
C.第10~11胸椎
D.第2~5腰椎
E.第4~5腰椎


点击查看答案


176、单项选择题  

女,17岁,有支气管炎,蛋白尿(++++),结合图片,最可能的诊断()

A.特发性含铁血黄素沉着
B.韦格肉芽肿
C.肺梗死
D.特发性肺间质纤维化
E.肺-肾综合征


点击查看答案


177、单项选择题  男,19岁,右股骨上段骨折行股骨髁上牵引时摄片发现:髁上内后侧骨皮质缺损,边缘清楚硬化,缺损区内呈不规则斑片骨化影。追问病史,局部无任何不适,最可能的诊断是()

A.骨纤维异常增殖症
B.纤维性皮质骨缺损
C.骨化性纤维瘤
D.非骨化性纤维瘤
E.骨结核


点击查看答案


178、单项选择题  皮样囊肿最好发的部位是()

A.前上纵隔
B.中下纵隔
C.中上纵隔
D.后纵隔
E.前下纵隔


点击查看答案


179、单项选择题  X线管阳极靶面材料的特点不包括下列哪项 ( )

A.原子序数高
B.X线发生效率高
C.熔点高
D.焦点小
E.金属蒸发率低


点击查看答案


180、填空题  肝血色素沉着病三大临床特点是_________、_______________和__________。


点击查看答案


181、单项选择题  滑膜关节在X线片上哪项难以见到()

A.关节间隙
B.骨性关节面
C.关节软骨
D.关节囊及韧带
E.关节内外脂肪层


点击查看答案


182、填空题  胃扭转根据扭转方式不同,可分为__________________、___________________和_______________三型。


点击查看答案


183、多项选择题  不属于生理排泄的造影检查是()

A.消化道钡餐造影
B.静脉肾盂造影
C.口服胆囊造影
D.子宫输卵管造影
E.四肢静脉造影


点击查看答案


184、单项选择题  

男,24岁,低热2周,咳少量痰。胸片示右上肺不均密度增高影,其中有空洞形成,血沉45mm/h。

下列哪项检查对诊断最有意义()

A.血常规
B.痰细菌培养
C.纤维支气管镜
D.痰抗酸杆菌检查
E.血沉


点击查看答案


185、单项选择题  放射工作人员全身均匀照射时,防止随机性效应的年剂量当量限值是()

A.10mSv/年
B.20mSv/年
C.30mSv/年
D.40mSv/年
E.50mSv/年


点击查看答案


186、单项选择题  胸部后前位定位摄片的原因中,哪一项是不正确的()

A.后前位肋骨间隙增宽、肺野展现宽广
B.后前位心脏放大率小,被纵隔掩盖的部分少
C.后前位肩胛骨投影在肺野之外
D.后前位肺组织更易靠近胶片,影像清晰
E.能正确反映出胸部脏器的确切形态,且能观察液气平面的改变


点击查看答案


187、单项选择题  下列关于“胃小区”影像描述,错误的是()

A.正常胃小区小于10mm
B.胃窦部胃小区多为多角形
C.胃体部胃小区以圆形、椭圆形者居多
D.萎缩性胃炎患者难以显示胃小区
E.胃小区显示率与操作技术和所用钡剂特性关系密切


点击查看答案


188、单项选择题  下列哪项是阴性造影剂()

A.空气 
B.40%碘化油 
C.钡剂 
D.5%碘化钠溶液 
E.泛影葡胺


点击查看答案


189、单项选择题  下列有关摄影体位命名原则的描述,错误的是()

A.依被照体的摄影部位
B.依被照体摄影时的体位
C.依X线入射被照体时的方向
D.依被照体与摄影床的位置关系
E.依被照体与胶片所处的位置关系


点击查看答案


190、单项选择题  

女,27岁,双侧髋部疼痛,肿胀2月余,有髋部外伤史,结合图像,最可能的诊断是()

A.股骨颈骨折
B.股骨头骨折
C.慢性骨髓炎
D.慢性骨脓肿
E.骨结核


点击查看答案


191、单项选择题  成人肾脏测量中,哪项正确()

A.长径10~12cm,宽径5~6cm
B.长径12~14cm,宽径6~8cm
C.长径12~13cm,宽径5~6cm
D.长径10~15cm,宽径6~8cm
E.长径12~13cm,宽径8~10cm


点击查看答案


192、单项选择题  右肺门角是哪两种结构的夹角()

A.右中叶静脉和右下肺动脉
B.右下肺动脉干和右主支气管
C.右上叶下后静脉干和右下肺动脉
D.右上叶下后静脉干和气管
E.右上叶下后静脉和右主支气管


点击查看答案


193、单项选择题  作为小儿髋关节摄片,哪一项技术措施是不正确的()

A.两侧髋关节应在一张胶片上同时摄片
B.对生殖腺要进行防护
C.两侧髋关节及股骨的位置一定要对称
D.应使用锐利度较高的低速增感屏
E.肢体左右铅号标记要正确


点击查看答案


194、填空题  小于_____cm的单发结节,或2个结节直径之和不超过_____cm的肝细胞癌为小肝癌。


点击查看答案


195、填空题  骨肉瘤据瘤骨多少可分为__________、________和_________。也可据肿瘤性骨样组织、肿瘤性软骨组织和纤维组织以及血腔的有无及多少分为_________、___________、____________、__________和______________。


点击查看答案


196、问答题  骨折的基本X线表现有哪些?


点击查看答案


197、判断题  寰椎前结节后缘与枢椎齿状突前缘的距离成人大于4mm,儿童大于2mm则说明有横韧带的撕裂。


点击查看答案


198、单项选择题  观察左侧乳房时,常将其分为若干象限,下述哪种说法不正确()

A.时钟12~3点为外上象限
B.时钟3~6点为外下象限
C.时钟6~9点为内下象限
D.时钟9~12点为内上象限
E.乳头及乳晕区属外上象限


点击查看答案


199、单项选择题  

男,65岁。走路时,不慎摔倒。查体:左下肢缩短,外旋50°畸形。 

该患者最可能的诊断为()

A.左粗隆间骨折
B.左股骨颈骨折
C.左髋关节脱位
D.左髋软组织挫伤
E.左髋臼骨折


点击查看答案


200、单项选择题  下列哪种心脏病不引起两肺门影增大()

A.房间隔缺损
B.室间隔缺损
C.肺动脉狭窄
D.肺源性心脏病
E.动脉导管未闭


点击查看答案


201、多项选择题  以下哪项对脂肪肝的描述是正确的()

A.肝脏的脂肪肝含量>5%
B.过量的脂肪蓄积于肝细胞内
C.过多的脂肪浸润在肝细胞间隙
D.过多的脂肪主要是甘油三酯
E.轻度脂肪肝多无自觉症状


点击查看答案


202、问答题  根周病有哪些X线表现?


点击查看答案


203、单项选择题  影响照片颗粒性的因素,不包括()

A.噪声(斑点)
B.焦-片距
C.胶片对比度
D.增感屏荧光体尺寸和分布
E.胶片卤化银颗粒的尺寸和分布


点击查看答案


204、多项选择题  下列叙述正确的是()

A.正常股骨头应在Perrin方格的内上象限
B.腕骨征阳性见于马德隆畸形
C.月骨正常为不等边四边形,若为三角形,表示月骨脱位
D.腕骨颈与股骨干在内方的颈干角约为125°
E.足内弓的正常值为115°~150°


点击查看答案


205、单项选择题  下列有关X线的描述正确的是()

A.X线的硬度大→频率高→穿透力强
B.X线的硬度大→波长长→穿透力强
C.X线的硬度大→频率高→穿透力弱
D.X线的硬度大→波长长→穿透力弱
E.X线的硬度大→HVL小→穿透力强


点击查看答案


206、单项选择题  腹部仰卧前后位摄片应用最多的是检查()

A.急腹症
B.腹部肿块
C.腹部脏器形态
D.泌尿系结石
E.泌尿系囊肿


点击查看答案


207、单项选择题  肾结核感染途径为下列哪种()

A.血行
B.淋巴
C.直接蔓延
D.以上均可
E.以上均不可


点击查看答案


208、单项选择题  呼吸系统X线检查的正确顺序是()

A.CT-血管造影-胸片
B.血管造影-胸片-CT
C.胸片-CT-血管造影
D.CT-胸片-血管造影
E.胸片-血管造影-CT


点击查看答案


209、单项选择题  X线穿过均匀物体时,其强度呈下列哪种方式衰减()

A.对数关系
B.指数关系
C.线性关系
D.无任何关系
E.以上都不是


点击查看答案


210、判断题  中央型肺癌阻塞性肺炎与支气管扩张往往同时存在,并合并肺膨胀不全。


点击查看答案


211、单项选择题  下列有关尤文肉瘤的叙述中,错误的是()

A.病变好发生于长骨的骨干或干骺端
B.骨髓腔内出现斑片状骨质破坏
C.骨膜呈葱皮样改变
D.破坏区周围常有反应性骨质增生硬化
E.十分少见


点击查看答案


212、单项选择题  

女,6岁半,咳嗽发热3天,体温39℃,胸片如图,最可能的诊断是()

A.右肺细菌性炎症
B.右肺结核
C.右侧胸腔积液
D.右肺脓肿
E.右下肺不张


点击查看答案


213、单项选择题  男,45岁,20年前患过肺结核,3月来有咳嗽,痰偶带血丝,X线检查:右上肺有3cm×2.5cm之阴影,边缘模糊、毛糙,内有钙化点,余肺野清晰,3次查痰找癌细胞阴性,最可能的诊断是()

A.肺结核
B.肺脓肿
C.肺囊肿
D.肺癌
E.肺良性肿瘤


点击查看答案


214、单项选择题  关于肺动脉高压的描述,错误的是()

A.右心室增大
B.肺动脉段突出,肺门增大
C.右下肺动脉干直径>15mm
D.肺动脉收缩压>3.99kPa
E.主动脉结增大


点击查看答案


215、单项选择题  

男,36岁,胸痛、发热2周余,X线检查如图,最可能的诊断是()

A.右下肺炎症
B.右肺肿瘤
C.右下肺不张
D.右肺中叶综合征
E.右侧气胸


点击查看答案


216、填空题  网膜囊脓肿最常见的病因为_______________和________________。


点击查看答案


217、单项选择题  有关库欣(Cushing)综合征合并病理骨折的描述,哪项是错误的()

A.好发于椎体和肋骨
B.骨折后骨痂形成良好
C.骨痂X线表现多显示为绒毛状
D.骨折愈合时间延迟
E.多合并骨质疏松


点击查看答案


218、单项选择题  下述“溃疡性结肠炎”早期征象,错误的是()

A.苹果核征
B.无名沟、无名小区模糊、粗糙
C.“腔壁线”毛糙
D.肠壁表面针尖样钡影
E.无名沟宽度超过1.0mm


点击查看答案


219、单项选择题  下列关于转移性骨肿瘤的描述哪项是不正确的()

A.溶骨性骨转移骨体积可略增大
B.溶骨型病灶较广泛可伴软组织肿块影
C.成骨性骨转移血清碱性磷酸酶常增高
D.脊柱是骨转移好发部位之一
E.膝、肘关节以下骨骼极少发生转移


点击查看答案


220、单项选择题  

男,11岁,左肘外伤,根据所示图像,最可能的诊断是()

A.左肱骨内上髁骨骺Ⅰ度分离
B.左肱骨内上髁骨骺Ⅱ度分离
C.左肱骨内上髁骨骺Ⅲ度分离
D.左肱骨内上髁骨骺Ⅳ度分离
E.左肱骨内上髁骨骺Ⅴ度分离


点击查看答案


221、名词解释  大骨节病


点击查看答案


222、多项选择题  副鼻窦病变常见的异常X线征象有()

A.窦腔混浊、密度增加
B.粘膜肥厚
C.窦腔内软组织块影
D.窦腔内液平面
E.窦腔增大或缩小


点击查看答案


223、单项选择题  

女,根据其正常手的影像图像,判断其最可能的年龄()

A.67岁左右
B.57岁左右
C.17岁左右
D.47岁左右
E.37岁左右


点击查看答案


224、单项选择题  正常情况下,子宫腔和输卵管内对比剂应在多少时间内排空()

A.12h
B.24h
C.36h
D.48h
E.48h~60h


点击查看答案


225、单项选择题  不支持纵隔肿瘤诊断的是()

A.透视下转动病人,肿块基底部及边缘与纵隔不能分离
B.深呼吸时肿块随呼吸上、下移动
C.纵隔肿块有宽的基底与纵隔相连
D.肿块的边缘与纵隔边缘之夹角为钝角
E.肿块最大上下径在纵隔内


点击查看答案


226、名词解释  椎间盘真空征


点击查看答案


227、多项选择题  十二指肠炎的影像特征是()

A.球部激惹征
B.球部龛影
C.球部痉挛
D.球部变形
E.球部无明显变形


点击查看答案


228、多项选择题  支原体肺炎需与下述哪种病变鉴别()

A.肺炎性假瘤
B.细菌性肺炎
C.继发性肺结核
D.过敏性肺炎
E.病毒性肺炎


点击查看答案


229、单项选择题  在静脉快速注入对比剂后的几分钟正常肾实质显影()

A.0.5分钟
B.1分钟
C.2分钟
D.3分钟
E.4分钟


点击查看答案


230、名词解释  Luschka关节


点击查看答案


231、单项选择题  慢性化脓性骨髓炎的X线表现中,哪项不对()

A.广泛软组织肿胀
B.骨柩形成
C.虫蚀状、小片状骨质破坏
D.长条状死骨
E.骨质增生、硬化


点击查看答案


232、单项选择题  

女,2岁,发现蓝色巩膜、听力障碍,四肢畸形等,结合图像,最可能诊断是()

A.维生素D缺乏病
B.维生素C缺乏症
C.软骨发育不全
D.呆小病
E.成骨不全


点击查看答案


233、单项选择题  骨皮质内2/3的供血主要来源于()

A.滋养动脉
B.骨骺动脉
C.干骺动脉
D.骨膜动脉
E.骨内小动脉


点击查看答案


234、单项选择题  不属于脊柱退行性改变的征象是()

A.椎间隙陕窄
B.椎小关节骨质增生
C.韧带增厚
D.椎旁软组织肿胀
E.椎间盘脱出


点击查看答案


235、单项选择题  孕妇需避免X线检查,是因为()

A.X线的光化学效应
B.X线的荧光作用
C.X线的生物作用
D.X线的感光效应
E.以上都不是


点击查看答案


236、单项选择题  立位滤线器主要用于()

A.四肢摄影
B.胸部透视
C.胸部摄影
D.骨盆摄影
E.肾盂造影


点击查看答案


237、配伍题  前列腺增生起源于()
前列腺癌起源于()

A.中央带
B.移行带
C.外围带
D.前纤维基质区
E.射精管


点击查看答案


238、单项选择题  下列哪种疾病,无嗜酸细胞增多表现()

A.蛔虫病
B.结节性大动脉炎
C.曲菌病
D.嗜酸细胞肉芽肿
E.呋喃妥英治疗


点击查看答案


239、单项选择题  男,57岁,上腹痛3个月,大便潜血(+)。钡餐显示胃窦向心性狭窄,蠕动消失,未见龛影,粘膜皱襞紊乱、破坏,低张造影局部胃壁无扩张。最可能的X线诊断是()

A.胃痉挛
B.慢性胃窦炎性挛缩
C.胃窦癌
D.胃外肿瘤压迫
E.慢性胃窦溃疡所致挛缩


点击查看答案


240、单项选择题  非闭襻性结肠扭转的病理特点是()

A.溃疡形成
B.闭袢形成
C.循环障碍
D.肠腔狭窄
E.炎性浸润


点击查看答案


241、判断题  镰刀状细胞阻塞血管,可引起骨与软骨的缺血性坏死。


点击查看答案


242、多项选择题  弥漫性肺间质纤维化常见于下列哪些疾病()

A.肺类风湿病
B.系统性红斑狼疮
C.皮肌炎
D.系统性硬皮病
E.风湿性肺炎


点击查看答案


243、问答题  肺叶外型肺隔离症的X线表现有哪些?


点击查看答案


244、单项选择题  下列骨髓瘤的X线表现中,错误的是()

A.好发于颅骨、脊柱、骨盆和肋骨等部位
B.骨质普遍稀疏
C.骨呈多发性穿凿样骨质破坏
D.椎弓根破坏
E.骨质破坏周边常无硬化


点击查看答案


245、单项选择题  慢性肺炎的X线表现中,错误的是()

A.肺纹理增多、紊乱
B.规则圆形,边缘光整的肿块影
C.肺门增大影
D.蜂窝状阴影
E.局限性或弥漫性肺气肿


点击查看答案


246、名词解释  肺泡蛋白沉积症


点击查看答案


247、多项选择题  哪些征象与良性胃溃疡有关()

A.激惹征
B.胃空腹滞留液较多
C.胃排空速度减慢
D.袖口征
E.肩胛征


点击查看答案


248、单项选择题  逆行肾盂造影的术前准备,不包括()

A.碘过敏试验
B.清洁肠道
C.麻醉剂过敏试验
D.检查当日禁食
E.有关膀胱镜检查准备


点击查看答案


249、单项选择题  在下列哪种疾病中,肾盂内无充盈缺损的是()

A.肾乳头坏死
B.肾包膜下血肿
C.肾盂癌
D.肾盂结石
E.肾盂内血块


点击查看答案


250、判断题  物质的密度高,吸收的X线量少,影像在图像上呈黑影。


点击查看答案


251、单项选择题  引起回盲瓣肥厚的最常见原因是()

A.Crohn病
B.回盲瓣粘膜脱垂
C.单纯性回盲瓣肥厚
D.回盲瓣结核
E.回盲瓣肿瘤侵犯


点击查看答案


252、名词解释  Lutembacher综合征


点击查看答案


253、单项选择题  下列哪种囊肿不发生在纵隔内()

A.支气管囊肿
B.食管囊肿
C.肺囊肿
D.心包囊肿
E.皮样囊肿


点击查看答案


254、单项选择题  

进展期胃癌引起胃窦狭窄、壁僵硬、粘膜皱襞固定,X线分型应属于()

A.溃疡型
B.蕈伞型
C.浸润型
D.浅表型
E.混合型


点击查看答案


255、填空题  慢性肺脓肿的三大特征是____________、___________和__________。


点击查看答案


256、多项选择题  下列属于扁骨者为()

A.颅骨
B.肩胛骨
C.脊椎骨
D.颞骨
E.跗骨


点击查看答案


257、判断题  肺泡蛋白沉积症除肺泡局限性病变,尚有全身各系统受累的症状。


点击查看答案


258、多项选择题  可引起支气管狭窄及闭塞的是()

A.异物
B.支气管癌
C.支气管周围肿瘤压迫
D.由感染造成的肉芽肿、瘢痕
E.支气管腺癌


点击查看答案


259、单项选择题  关于碘对比剂的叙述,错误的是()

A.阳性对比剂X线不易透过
B.分有机碘化物和无机碘化物
C.硫酸钡可用于消化道造影
D.离子型对比剂带有电荷
E.非离于型对比剂不带有电荷


点击查看答案


260、填空题  弥漫性肝病包括________、____________、____________、__________、_______________、______________、_____________或_____________________等。


点击查看答案


261、名词解释  掌骨指数


点击查看答案


262、单项选择题  下述哪项对诊断系统性红斑狼疮具有特殊的诊断价值()

A.抗核抗体阳性
B.白细胞减少
C.血γ球蛋白增加
D.血沉加速
E.SLE细胞阳性


点击查看答案


263、单项选择题  关于骨骼摄影条件的选择,错误的是()

A.尽可能使用小焦点
B.管电压超过60kV时,应使用滤线栅
C.胶片尺寸不宜过小,应包括周围软组织
D.远端四肢关节摄影可选用乳腺摄影胶片
E.急性化脓性骨髓炎应增加摄影条件


点击查看答案


264、配伍题  胃癌的好发部位为()
胃溃疡的好发部位在()
哪个部位见到的溃疡性病变应疑为癌()
十二指肠溃疡好发于()

A.小弯
B.大弯
C.胃角
D.胃窦
E.十二指肠球部


点击查看答案


265、单项选择题  下述类风湿关节炎的X线表现错误的是()

A.关节肿胀
B.骨质疏松
C.关节间隙变窄
D.皮下组织钙化
E.以上都不是


点击查看答案


266、判断题  食管前庭段是一低压区,有防止胃内容物反流的重要作用。


点击查看答案


267、单项选择题  关于贫血性心脏病,下列表现哪项不对()

A.肺动脉段突出
B.左心房明显增大
C.双心室增大,以左心室为著
D.肺血正常或轻度增多
E.贫血纠正后,部分患者心影可恢复正常


点击查看答案


268、单项选择题  

患者,男,3岁,突发左侧胸痛伴呼吸困难3小时入院,如图所示,最可能的诊断为()

A.左侧肺气肿
B.左侧气胸
C.左肺门淋巴结结核
D.右肺小叶性肺炎
E.以上都不正确


点击查看答案


269、单项选择题  CR系统影像信息具有的动态范围是()

A.1:10
B.1:100
C.1:1000
D.1:10000
E.1:100000


点击查看答案


270、判断题  乳腺导管扩张症,皮肤可呈橘皮状,伴有乳头凹陷或位置异常。


点击查看答案


271、单项选择题  寰枢椎脱位的主要依据是()

A.寰椎前弓后缘与齿突前缘之关节间隙增宽
B.脊椎椎管前后缘连线错位
C.齿突与寰椎侧块的关节异常
D.合并齿突骨折
E.张口位上齿突偏位


点击查看答案


272、单项选择题  下列特发性肺间质纤维化特点,错误的是()

A.进行性呼吸困难,咳嗽、痰多
B.又名Hamman-Rich综合征
C.急性型多见,慢性型少见
D.可能与免疫性疾病或遗传有关
E.胸部影像与其他弥漫性肺间质纤维化病变难以鉴别


点击查看答案


273、单项选择题  肘关节脱位中,哪种脱位最少见()

A.后外方脱位
B.侧方脱位
C.后方脱位
D.后内方脱位
E.以上都是


点击查看答案


274、单项选择题  

男,76岁,长久站立时左膝关节疼痛,可扪及捏发音,结合图像,最可能的诊断是()

 A.退行性骨关节病
B.畸形性骨炎
C.神经性关节病
D.创伤性关节炎
E.肥大性骨关节病


点击查看答案


275、判断题  X线管焦点越小,空间分辨力也就愈小


点击查看答案


276、单项选择题  ERCP的正确说法是()

A.逆行肾盂造影
B.逆行性内镜胆胰管造影
C.经皮肝穿胆道造影术
D.静脉法胆道造影
E.口服法胆囊造影


点击查看答案


277、单项选择题  10月婴儿,发热、咳嗽、气喘1周,查体:嗜睡,皮肤有猩红热样皮疹,呼吸急促,鼻扇及三凹征(+),两肺散在中小水泡音。实验室检查:WBC25×10/L,N0.85,X线胸片示:两肺点片状阴影,右肺第4后肋以下呈致密片状阴影,气管向左侧移位,考虑诊断为()

A.肺炎双球菌肺炎
B.金黄色葡萄球菌肺炎
C.腺病毒肺炎
D.合胞病毒肺炎
E.肺炎支原体肺炎


点击查看答案


278、判断题  钼铑双金属靶面的乳腺X线机对较致密的乳腺有较好的穿透力,为诊断提供更多的诊断信息。


点击查看答案


279、单项选择题  

男,17岁,来右前臂疼痛,肿胀近2年,2周前疼痛加剧,查体右前臂压痛明显,皮肤稍显红肿,结合图像,最可能诊断是()

A.骨囊肿
B.骨巨细胞瘤
C.动脉瘤样骨囊肿
D.软骨瘤
E.骨血管球瘤


点击查看答案


280、单项选择题  中心型肺癌最早出现征象是()

A.黏液嵌塞征
B.局限性肺气肿
C.段或叶肺不张
D.阻塞性肺炎
E.肺门阴影增浓


点击查看答案


281、多项选择题  关于类风湿性关节炎,正确的是()

A.多见于中年女性
B.对称性梭形软组织肿胀常见于近侧指间关节
C.对称性梭形肿胀常见于远侧指间关节
D.关节间隙增宽
E.关节间隙狭窄


点击查看答案


282、单项选择题  用于胃肠道造影的对比剂是()

A.硫化钡
B.氯化钡
C.碳酸钡
D.硫酸钡
E.氰化铂钡


点击查看答案


283、单项选择题  关于骨纤维结构不良的X线表现,哪项除外()

A.骨性狮面
B.单房或多房性囊状透光区
C.囊内有磨砂玻璃样钙化
D.胫骨囊性病变周围常有骨硬化
E.囊性病变见于颅面骨


点击查看答案


284、单项选择题  USG检查适用于下列哪项()

A.原发综合征
B.干性胸膜炎
C.干酪样肺炎
D.渗出性胸膜炎
E.胸内淋巴结结核


点击查看答案


285、单项选择题  下列“脊柱结核”发病特点中,哪项正确()

A.溶骨性破坏为主
B.中心型,是最常见类型,腰椎多见
C.边缘型,胸椎多见
D.韧带下型,始于后纵韧带
E.附件型少见


点击查看答案


286、单项选择题  对肺部肿块良恶性的鉴别要点,下述哪项是错误的()

A.良性肿块的边缘常较光整
B.毛刺征对肿块良恶性鉴别价值不大
C.恶性肿瘤钙化率较低
D.4cm以上肿块以恶性的可能性较大
E.空泡征多提示为肺癌


点击查看答案


287、判断题  系统性红斑狼疮在发病早期,即可见明显的X线征象。


点击查看答案


288、多项选择题  肺静脉高压的常见X线影像有()

A.间质性肺水肿
B.肺泡性肺水肿
C.肺门减小
D.左房增大
E.含铁血黄素沉着


点击查看答案


289、单项选择题  第1斜位又称为()

A.右后斜位   
B.左后斜位
C.左侧位     
D.右前斜位
E.左前斜位


点击查看答案


290、单项选择题  正常肺纹理,主要由哪种结构构成()

A.支气管
B.淋巴管
C.肺泡
D.肺间质
E.肺血管


点击查看答案


291、单项选择题  X线明确显示骨折愈合,最早始于()

A.成骨性肉芽组织形成期
B.纤维性骨痂形成期
C.骨性骨痂形成期
D.塑形期
E.骨折后24小时


点击查看答案


292、多项选择题  以下可以见到钙化的疾病是()

A.错构瘤
B.淋巴结结核
C.周围型肺癌
D.中央型肺癌
E.肺泡微石症


点击查看答案


293、单项选择题  在胸部正位取后前立位的原因中,无关的是()

A.立位能正确反映胸部脏器的确切形态
B.立位能观察到产生气液面的病理改变
C.后前位肺组织更靠近胶片,影像清晰
D.后前位肩胛骨易于投影在肺野之外
E.后前位心脏放大率小


点击查看答案


294、问答题  怎样诊断椎弓崩裂和脊椎滑脱?


点击查看答案


295、单项选择题  下列属于颈椎病X线表现的有()

A.可伴有小关节面硬化
B.椎体边缘骨质增生、硬化
C.椎间孔狭窄
D.椎间隙变窄
E.以上都是


点击查看答案


296、多项选择题  下述哪些属硅酸盐肺()

A.石棉肺
B.滑石肺
C.矽肺
D.农民肺
E.棉尘肺


点击查看答案


297、单项选择题  下列畸形,与“Klippel-Feil综合征”无关的是()

A.脊髓空洞症
B.Sprengel畸形
C.“颈椎间盘突出”发病率升高
D.颈椎融合畸形
E.融合处椎间孔闭合


点击查看答案


298、单项选择题  增感屏结构中,吸收层的作用是()

A.提高发光效率
B.提高清晰度
C.改善颗粒度
D.控制量子斑点
E.提高对比度


点击查看答案


299、单项选择题  

男,2岁,关节肿胀,结合图像,最可能的诊断是()

A.肾性骨病
B.黏多糖贮积症
C.维生素D缺乏症
D.维生素C缺乏症
E.维生素D过多症


点击查看答案


300、单项选择题  经皮肺穿刺活检术最常见的并发症是()

A.气胸
B.出血
C.沿穿刺道种植转移
D.刺破大血管或心脏
E.感染


点击查看答案


题库试看结束后微信扫下方二维码即可打包下载完整版《★医学影像技术(医学高级)》题库
手机用户可保存上方二维码到手机中,在微信扫一扫中右上角选择“从相册选取二维码”即可。
题库试看结束后微信扫下方二维码即可打包下载完整版《医学影像技术(医学高级):X线》题库,分栏、分答案解析排版、小字体方便打印背记!经广大会员朋友实战检验,此方法考试通过率大大提高!绝对是您考试过关的不二利器
手机用户可保存上方二维码到手机中,在微信扫一扫中右上角选择“从相册选取二维码”即可。

微信搜索关注"91考试网"公众号,领30元,获取公务员事业编教师考试资料40G