医学影像技术(医学高级):X线必看题库知识点(强化练习)

时间:2023-02-10 01:05:58

微信搜索关注"91考试网"公众号,领30元,获取事业编教师公务员等考试资料40G
题库试看结束后微信扫下方二维码即可打包下载完整版《★医学影像技术(医学高级)》题库
手机用户可保存上方二维码到手机中,在微信扫一扫中右上角选择“从相册选取二维码”即可。
题库试看结束后微信扫下方二维码即可打包下载完整版《医学影像技术(医学高级):X线》题库,分栏、分答案解析排版、小字体方便打印背记!经广大会员朋友实战检验,此方法考试通过率大大提高!绝对是您考试过关的不二利器
手机用户可保存上方二维码到手机中,在微信扫一扫中右上角选择“从相册选取二维码”即可。

1、单项选择题  人体组织的自然对比,按密度由高至低排列,下列哪组正确()

A.骨骼、脂肪软组织、体液、气体
B.骨骼、脂肪体液、软组织、气体
C.骨骼、体液、软组织、气体、脂肪
D.骨骼、体液、脂肪、软组织、气体
E.骨骼、软组织、体液、脂肪、气体


点击查看答案


2、填空题  一侧肺不发育时,两侧胸廓基本对称,因为_________________________,此点可与_______________作鉴别。


点击查看答案


3、单项选择题  法洛四联征患者的心影,多数()

A.明显增大
B.缩小
C.进行性增大
D.雪人征
E.正常或轻度增大


点击查看答案


4、名词解释  环形征


点击查看答案


5、单项选择题  下列说法,哪个正确()

A.小肠始于幽门,止于盲肠
B.通常,膈肌左侧高于右侧
C.肾静脉注入门脉
D.通常,左肾高于右肾
E.髂外动脉供应盆腔内脏器的营养


点击查看答案


6、单项选择题  X线片示右上纵隔有一梭形肿块影,边缘呈波浪状,内含钙化斑块影,气管受压被推向左侧,随吞咽动作上下移动,首先应考虑的是()

A.胸腺瘤
B.畸胎瘤
C.甲状腺肿瘤
D.支气管囊肿
E.恶性淋巴瘤


点击查看答案


7、单项选择题  “膈倒转”常见于哪种疾病()

A.膈肿瘤
B.横膈疝
C.横膈麻痹
D.两下肺实变
E.大量胸腔积掖


点击查看答案


8、填空题  组织学上胸腺瘤分为___________、______________及_________,目前认为良恶性难以明确分界,故提倡分为_________和___________。


点击查看答案


9、名词解释  颈眼听综合征


点击查看答案


10、单项选择题  关于肠内气体叙述正确的是()

A.十二指肠球部的气体位置不固定
B.右下腹出现固定的小气液平面有病理意义
C.各部小肠内均不应充气
D.大肠内总是有些气体
E.以上都不对


点击查看答案


11、单项选择题  

男,32岁,因车祸致右髋关节肿痛,活动受限摄片如图示,最可能的诊断是()

A.骨盆Ⅰ型骨折
B.骨盆Ⅱ型骨折
C.骨盆Ⅲ型骨折
D.骨盆Ⅳ型骨折
E.以上均不是


点击查看答案


12、单项选择题  肺间质性病变的X线表现是()

A.肺实变
B.片状或腺泡结节阴影
C.蜂窝状透光改变
D.肺不张
E.表现为线状、网状、条索状及粟粒状阴影


点击查看答案


13、单项选择题  透视检查的缺点是()

A.多角度进行观察
B.价格低廉
C.可进行动态观察
D.可观察细微结构
E.可立即获取检查结果


点击查看答案


14、填空题  脊椎结核依骨质最先破坏的部位,可分为____________、___________、____________和_________。


点击查看答案


15、单项选择题  关于头颅应用解剖的叙述,错误的是()

A.头颅骨可分为脑颅骨和面颅骨
B.大多数头颅骨借骨缝连接
C.前后径为眉间至枕骨最远点的距离
D.横径是两侧颞鳞缝上缘间的距离
E.鼻窦位于脑颅中部


点击查看答案


16、判断题  特发性含铁血黄素沉着症患者痰中有吞噬含铁血黄素的巨噬细胞,血清抗基底膜抗体为阳性。


点击查看答案


17、单项选择题  心脏病最重要的病理征象是()

A.心力衰竭
B.心脏和大血管搏动异常
C.心脏增大
D.大血管改变
E.肺部血循环异常改变


点击查看答案


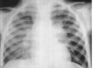
18、单项选择题  

女,48岁,咳嗽2月余,胸片检查如图,最可能的诊断为()

A.右上肺胸膜肥厚
B.右上肺结核
C.右上肺不张
D.右上肺肿块
E.肺上沟瘤


点击查看答案


19、单项选择题  

男,阴囊下坠不适,胀痛,平卧症状缓解。查体:阴囊下垂松弛,并可触及结节状静脉曲张。

最可能的诊断是()

A.鞘膜积液
B.血管瘤
C.肿瘤
D.精索静脉曲张
E.感染


点击查看答案


20、判断题  空气支气管征可见于阻塞性肺炎的实变区。


点击查看答案


21、多项选择题  骨转移瘤最多见于()

A.骨盆
B.膝以下
C.脊柱
D.肘以下
E.颅骨


点击查看答案


22、填空题  胸膜间皮瘤起源于胸膜的_____________与___________,病理上可分为__________、_________和_________。


点击查看答案


23、单项选择题  疲劳骨折的最好发于()

A.股骨
B.跟骨
C.第二跖骨
D.耻骨
E.以上都不是


点击查看答案


24、单项选择题  

女,9岁,呼吸困难半月余,结合图像,最可能的诊断是()

A.气胸
B.胸腔积液
C.肺大泡
D.液气胸
E.肺气肿


点击查看答案


25、单项选择题  胸片上,肺静脉高压最早出现的影像为()

A.下肺静脉收缩
B.间质性肺水肿
C.上肺静脉扩张
D.下肺静脉收缩
E.上、下肺静脉均收缩


点击查看答案


26、单项选择题  下列关于肺气肿的描述,不正确的是()

A.上叶肺血增加
B.可有肺大泡
C.胸片正常就可除外肺气肿
D.膈顶变平
E.少数正常人也可出现肺气肿类似表现


点击查看答案


27、单项选择题  

女,11岁,低热,夜间盗汗,咳嗽1月余,结合图像,最可能的诊断是()

A.支气管肺炎
B.肺结核
C.肺癌
D.过敏性肺炎
E.大叶性肺炎


点击查看答案


28、单项选择题  

女,12岁,咳嗽、低热2月余,结合胸片,最可能的诊断是()

A.血行播撒型肺结核
B.两肺含铁血黄素沉着
C.间质性肺炎
D.支气管肺炎
E.风心二狭


点击查看答案


29、单项选择题  

左侧主支气管长约 ( )

A.1.5~2cm
B.5~6cm
C.4~7cm
D.10~13cm
E.7~8cm


点击查看答案


30、单项选择题  局限性胸腔积液,不包括()

A.包裹性积液
B.叶间积液
C.肺底积液
D.支气管囊肿
E.纵隔包裹性积液


点击查看答案


31、单项选择题  马蹄肾的两肾长轴()

A.自上内向下外排列
B.自上外向下内排列
C.两肾长轴垂直平行排列
D.两肾长轴横位在同一平面
E.两肾长轴排列没有规律


点击查看答案


32、单项选择题  正确维护增感屏的方法中,错误的是()

A.防高温防潮湿
B.防阳光曝晒
C.防止水或药液溅入
D.发现灰尘即用口吹清除
E.暗盒应直立放置,避免重压变形


点击查看答案


33、单项选择题  关于“肾血管平滑肌脂肪瘤”描述,错误的是()

A.孤立性肿瘤多见于女性
B.双侧多发者,常有皮脂腺瘤
C.DSA,肿瘤血供丰富
D.可伴发微小动脉瘤
E.常转移至肺


点击查看答案


34、单项选择题  关于食管静脉曲张与食管癌,最主要的鉴别点是()

A.无溃疡
B.无隆起
C.管壁柔软
D.粘膜规整
E.无梗阻


点击查看答案


35、填空题  脾囊肿主要压迫的器官有_____、______或________。


点击查看答案


36、单项选择题  下述有关骨软骨缺血坏死的命名组合中,哪项错误()

A.跗舟骨缺血坏死——Kōhler病
B.跖骨头骨骺骨缺血坏死——Freiberg病
C.腕舟状骨缺血坏死——Kienbōck病
D.胫骨结节缺血坏死——Osgood-schlatter病
E.股骨头骨骺缺血坏死——Legg-Perthes病


点击查看答案


37、单项选择题  肺动静脉瘘特征性临床表现为()

A.呼吸困难
B.红细胞增多症
C.颜面血管扩张
D.心外性杂音
E.咯血


点击查看答案


38、单项选择题  下列哪项不是肺癌组织学分型之中的肿瘤类型()

A.鳞癌
B.小细胞癌
C.透明细胞癌
D.腺癌
E.大细胞癌、腺鳞癌、类癌等


点击查看答案


39、判断题  舌癌多发生于舌缘,以腺癌更为多见。


点击查看答案


40、多项选择题  

女,80岁,胃胀痛20多天,体检:剑突下有压痛,结合图像,最可能的诊断为()

A.食管憩室
B.食管癌
C.胃炎
D.胃下垂
E.球部溃疡


点击查看答案


41、多项选择题  X线质的表示方法主要有()

A.半价层
B.管电压
C.管电流
D.管电流量
E.阳极靶面物质原子序数


点击查看答案


42、单项选择题  肾结石的X线平片中,不透光性结石占()

A.75%
B.50%
C.90%
D.30%
E.40%


点击查看答案


43、单项选择题  风湿性心脏病最易侵犯的瓣膜是()

A.主动脉瓣
B.肺动脉瓣
C.二尖瓣
D.三尖瓣
E.二尖瓣+主动脉瓣


点击查看答案


44、多项选择题  胃肠道异常的基本X线表现包括()

A.胃肠道轮廓改变
B.粘膜皱襞的改变
C.功能性改变
D.位置及移动度改变
E.管腔大小的改变


点击查看答案


45、单项选择题  儿童患者,消化道扭转的好发部位在()

A.胃
B.小肠
C.横结肠
D.结肠肝曲
E.乙状结肠


点击查看答案


46、单项选择题  关于正常肾脏大体解剖,下列说法哪项不正确()

A.肾外形呈蚕豆状
B.左肾比右肾略小
C.长:10~12cm
D.宽:5~6cm
E.厚:3~4cm


点击查看答案


47、单项选择题  下列大叶性肺炎诊断要点,哪项不对()

A.早期:表现先于影像改变
B.吸收期:临床表现迟于影像改变
C.临床多以亚段肺炎形成出现
D.少数可转化为机化性肺炎、肺脓肿、脓胸等
E.典型影像为边缘模糊、密度均匀的片状致密影


点击查看答案


48、名词解释  爆裂骨折


点击查看答案


49、单项选择题  气管分叉上移,夹角大于90°,见于()

A.右心房增大
B.左心房增大
C.左心室增大
D.肺源性心脏病
E.膈肌上移


点击查看答案


50、单项选择题  眼眶异物定位时,金属标记不应放置在角膜的哪个方位上()

A.3点钟
B.6点钟
C.9点钟
D.10点钟
E.12点钟


点击查看答案


51、单项选择题  缩窄性心包炎最常见的原因是()

A.类风湿疾病
B.纵隔病变放疗后
C.结核
D.尿毒症
E.转移性肿瘤


点击查看答案


52、单项选择题  食管癌X线表现为()

A.管腔狭窄
B.粘膜皱襞中断
C.腔内充盈缺损
D.不规则龛影
E.以上都是


点击查看答案


53、单项选择题  

有外伤史,结合图像,最可能诊断是()

A.Smith骨折
B.尺骨骨折
C.未见异常
D.Colles骨折
E.腕关节脱位


点击查看答案


54、单项选择题  X线束的最短波长取决于()

A.毫安
B.时间
C.千伏
D.毫安秒
E.靶物质


点击查看答案


55、单项选择题  肾盂积水的影像改变,最早出现在()

A.肾盂
B.肾柱
C.肾小盏穹隆部
D.肾小盏杯口
E.肾大盏


点击查看答案


56、多项选择题  下列哪些是进展性结肠癌的X线表现()

A.粘膜皱襞迂曲
B.粘膜皱襞破坏
C.充盈缺损
D.龛影
E.环形狭窄


点击查看答案


57、单项选择题  腕骨脱位中,以哪一种骨的脱位较多见()

A.舟骨
B.月骨
C.豆骨
D.大多角骨
E.小多角骨


点击查看答案


58、填空题  肠套叠分为_________、_________和_________三型。


点击查看答案


59、单项选择题  

男,28岁,右上臂肿胀、疼痛,结合图像,最可能的诊断是()

A.骨肉瘤
B.成骨性骨转移瘤
C.化脓性骨髓炎
D.滑膜肉瘤
E.骨巨细胞瘤


点击查看答案


60、单项选择题  眼眶壁一致性骨质疏松常见于()

A.邻近眶窝的颅内病变
B.生长较久的眶内占位病变
C.眶周病变
D.眶转移瘤
E.泪腺肿瘤


点击查看答案


61、名词解释  橘皮样变


点击查看答案


62、单项选择题  输尿管结核病变早期的表现为()

A.管腔狭窄甚至闭塞
B.管壁增厚
C.粘膜破坏,管腔扩张
D.输尿管发生钙化
E.管壁僵直


点击查看答案


63、单项选择题  腹部平片对下述哪种病变价值最低()

A.尿路结石
B.肾结核
C.膀胱癌
D.了解节育环位置
E.肾萎缩


点击查看答案


64、名词解释  多发溃疡


点击查看答案


65、单项选择题  下列组合,哪项是错误的()

A.腹腔内游离气体——十二指肠溃疡穿孔
B.胃粘膜下肿瘤——平滑肌瘤
C.结肠息肉——家族性因素
D.闭塞性肠绞痛——大肠癌
E.食管静脉曲张——胰腺癌


点击查看答案


66、判断题  颅锁骨发育不全为全身性骨发育障碍,属常染色体隐性遗传。


点击查看答案


67、单项选择题  下列哪项不是过敏性肺炎的诊断要点()

A.症状轻或无症状
B.血嗜酸性细胞增多
C.病灶具有迁移性
D.病灶易形成空洞
E.病变短期内吸收


点击查看答案


68、单项选择题  指(趾)骨化脓性骨髓炎的X线表现中,下列哪项是错误的()

A.可涉及指(趾)骨的一侧或整块指(趾)骨,并出现小死骨
B.大多发生于末节指(趾)骨
C.一般由皮下感染直接蔓延而来
D.骨气鼓
E.无骨膜反应


点击查看答案


69、多项选择题  颞颌关节紊乱综合征X线平片检查可以显示哪些结构()

A.关节盘及关节囊的改变
B.关节间隙的改变
C.髁状突运动度的变化
D.关节骨质的改变
E.关节凹、关节结节的改变


点击查看答案


70、多项选择题  有关头颅正位摄片的叙述,错误的是()

A.病人呈俯卧姿势
B.听眦线垂直台面
C.矢状面平行台面
D.下颌内收,靠近台面
E.两外耳孔到台距等高


点击查看答案


71、单项选择题  胸片示肺动脉段凹陷,可除外下述哪种疾病()

A.主动脉缩窄
B.Ebstein畸形
C.法洛四联征
D.三尖瓣闭锁
E.肺动脉漏斗部狭窄


点击查看答案


72、单项选择题  关于矽肺结节的描述,哪项不正确()

A.早期即发生于整个肺野
B.直径在0.3~0.8cm
C.排列成“玫瑰花”样
D.其形状不易与碳末沉着病区别
E.随病变的发展矽结节逐渐增大增多靠拢重叠


点击查看答案


73、填空题  食管裂孔疝依其形态可分为四型,分别为__________________、__________________、___________________,___________________。


点击查看答案


74、单项选择题  

男,58岁,右大腿酸痛,弯曲变形,有外伤史,右股骨摄片如图所示,最可能的诊断是()

A.硬化性骨纤维结构不良
B.慢性化脓性骨髓炎
C.骨质软化症
D.慢性硬化性骨髓炎
E.以上均不正确


点击查看答案


75、多项选择题  二尖瓣狭窄后前位可见的X线征象有()

A.右心缘双心房影
B.主动脉结略小或正常
C.肺淤血
D.左心缘出现第3心缘
E.左下心缘平直,心尖上翘


点击查看答案


76、单项选择题  

男,65岁,咳嗽,右胸痛,痰中带血丝1周。胸部后前位片示:右肺门影增大,右上肺大片状致密影,水平裂呈反“S”样改变。

被阻塞的支气管()

A.右主支气管
B.右肺上叶支气管
C.右肺上叶前段支气管
D.右肺中叶支气管
E.右肺上叶尖后段支气管


点击查看答案


77、单项选择题  

男,67岁,脊髓痨患者,右下肢麻木,右膝关节肿胀,结合图像,最可能的诊断是()

A.创伤性关节炎
B.退行性骨关节病
C.神经性关节病
D.风湿性关节炎
E.痛风


点击查看答案


78、单项选择题  采用计算机和远程通讯技术的医疗信息传输系统总称为()

A.远程会诊
B.远程诊断
C.远程教育
D.远程医疗系统
E.远程放射学系统


点击查看答案


79、单项选择题  

男,66岁,咳嗽、发热2周余,无痰中带血,X线检查如图,最可能的诊断是()

A.细支气管肺泡癌
B.血行播散型肺结核
C.左肺浸润型肺结核
D.左肺炎症
E.肺转移瘤


点击查看答案


80、单项选择题  肺部X线表现为锁骨下区纤维条索状阴影,应属于()

A.原发性肺结核
B.血行播散型肺结核
C.浸润型肺结核
D.结核性胸膜炎
E.慢性纤维空洞型肺结核


点击查看答案


81、单项选择题  以下选项中,“子宫输卵管造影”的最佳时机为()

A.月经前第3天 
B.月经前第10天 
C.月经期
D.月经后第3天 
E.月经后第7天


点击查看答案


82、判断题  回肠胀气扩张的特点为粘膜皱襞排列稀疏或皱襞消失,呈光滑的管状。


点击查看答案


83、单项选择题  较常见的支气管扩张类型是()

A.囊状扩张
B.柱状扩张
C.混合型扩张
D.局限性梭形扩张
E.以上都不是


点击查看答案


84、判断题  Kerley线的出现可作为诊断间质性肺水肿的依据。


点击查看答案


85、单项选择题  解除因腹部加压引起迷走神经反应的最有效措施是()

A.抗休克措施
B.注射阿托品
C.注射肾上腺素
D.立即解除压迫
E.输液加速对比剂的排泄


点击查看答案


86、多项选择题  心脏造影所见的异常主要包括()

A.体积异常
B.交通异常
C.形态异常
D.瓣膜异常
E.位置异常


点击查看答案


87、问答题  儿童骨折有哪些X线特点?


点击查看答案


88、单项选择题  关于异位肾的表现,下列说法错误的是()

A.肾脏位于盆腔内
B.肾脏位于髂窝内
C.立卧位肾脏位置不变
D.肾脏位于胸12与腰3之间
E.常伴输尿管过短或过长


点击查看答案


89、名词解释  代谢性骨病


点击查看答案


90、单项选择题  

男,63岁,进行性吞咽困难1月。食管钡餐示:食管下段粘膜不规则充盈缺损,管腔狭窄,贲门扩张欠佳。

最可能的诊断是()

A.食管下段炎症
B.食管下段溃疡侵及贲门
C.食管下段癌侵及贲门
D.食管下段静脉曲张
E.以上都不对


点击查看答案


91、单项选择题  X线诊断大叶性肺炎最主要的影像依据是()

A.肺大叶性阴影
B.含气支气管像
C.两肺多发大片影
D.肺纹理模糊增多
E.横膈运动受限


点击查看答案


92、判断题  膈的圆顶偏内侧及前方,所以呈外高内低,后高前低。


点击查看答案


93、多项选择题  肺隔离症在诊断时需与以下哪些疾病鉴别()

A.肺脓肿
B.多房性肺囊肿
C.阻塞性肺不张
D.周围型肺癌
E.阻塞性肺炎


点击查看答案


94、判断题  腰椎管矢状径<18mm,即为腰椎管狭窄。


点击查看答案


95、单项选择题  特发性肺间质纤维化好发于()

A.上叶尖后段或下叶背段
B.胸膜下区
C.双下肺
D.肺门附近
E.双肺弥漫分布


点击查看答案


96、单项选择题  升主动脉扩张一般不见于()

A.动脉导管未闭
B.继发孔型房间隔缺损
C.主动脉瓣狭窄
D.梅毒性主动脉炎
E.Marfan综合征


点击查看答案


97、单项选择题  以间质改变为主的肺炎是()

A.支原体肺炎
B.肺炎球菌性肺炎
C.支气管肺炎
D.葡萄球菌性肺炎
E.放射性肺炎


点击查看答案


98、单项选择题  不属于胸部摄片位置的是()

A.后前位
B.轴位
C.斜位
D.侧位
E.前弓位


点击查看答案


99、单项选择题  梗阻上端有鸟嘴状狭窄,狭窄处粘膜呈回旋状的是()

A.单纯性小肠梗阻
B.绞窄性小肠梗阻
C.单纯性结肠梗阻
D.结肠扭转
E.肠套叠


点击查看答案


100、单项选择题  原发性纵隔肿瘤种类很多,它们的共同点为纵隔内占位病变,一般不包括()

A.食管、心脏内肿瘤
B.食管、气管及心脏内肿瘤
C.食管、气管,主支气管及心脏内的肿瘤,但包括囊肿
D.气管、主支气管内肿瘤
E.气管、心脏内肿瘤,但包括囊肿


点击查看答案


101、单项选择题  下列颅骨缝隙,呈锯齿状的是()

A.成人颅缝
B.骨折线
C.幼儿颅缝
D.血管压迹
E.蛛网膜颗粒压迹


点击查看答案


102、填空题  食管憩室按其发生原理不同分为____________、____________和______________;按其发生部位又可分为_____________、______________和________________。


点击查看答案


103、单项选择题  下述哪项对诊断系统性红斑狼疮具有特殊的诊断价值()

A.抗核抗体阳性
B.白细胞减少
C.血γ球蛋白增加
D.血沉加速
E.SLE细胞阳性


点击查看答案


104、单项选择题  球形增大的肝右叶下段称为()

A.尾状叶
B.利德尔叶
C.獭尾肝
D.右前叶
E.右后叶


点击查看答案


105、单项选择题  下列哪种肱骨骨折多见于儿童,且为肘部最常见骨折()

A.肱骨外科颈骨折
B.肱骨骨干骨折
C.肱骨髁上骨折
D.肱骨远端全骨骺分离
E.肱骨头骨骺分离


点击查看答案


106、判断题  结肠双对比造影片上一般均能够见到无名沟。


点击查看答案


107、单项选择题  骨折不愈合的X线征象是()

A.两骨折端移位
B.两骨折端分离
C.两骨折端骨质硬化
D.两骨折端成角
E.两骨折端重叠


点击查看答案


108、单项选择题  关节脱位发生率从高到低排列的次序为()

A.肩关节>足关节>肘关节>髋关节>踝关节>腕关节>膝关节
B.肘关节>膝关节>腕关节>踝关节>髋关节>足关节>肩关节
C.肘关节>肩关节>足关节>髋关节>踝关节>腕关节>膝关节
D.髋关节>膝关节>腕关节>踝关节>足关节>肩关节>肘关节
E.踝关节>腕关节>膝关节>肘关节>肩关节>足关节>髋关节


点击查看答案


109、单项选择题  关于碘过敏反应的描述错误的是 ( )

A.检查室应备足抢救设备和药品
B.造影前用抗过敏药可减少碘过敏发生
C.碘过敏试验阴性则不会发生碘过敏反应
D.多见于血管内给予含碘造影剂
E.用同一批号含碘造影剂也要做碘过敏试验


点击查看答案


110、单项选择题  

男,阴囊下坠不适,胀痛,平卧症状缓解。查体:阴囊下垂松弛,并可触及结节状静脉曲张。

最可能的诊断是()

A.鞘膜积液
B.血管瘤
C.肿瘤
D.精索静脉曲张
E.感染


点击查看答案


111、单项选择题  下列选项中,表示X线量的是()

A.半值层
B.靶物质
C.kV
D.mAs
E.电压波形


点击查看答案


112、多项选择题  以下可以见到钙化的疾病是()

A.错构瘤
B.淋巴结结核
C.周围型肺癌
D.中央型肺癌
E.肺泡微石症


点击查看答案


113、名词解释  地方病


点击查看答案


114、单项选择题  上颌窦摄影,常规位置是()

A.柯氏位
B.瓦氏位
C.斯氏位
D.劳氏位
E.瑞氏位


点击查看答案


115、判断题  骨外骨肉瘤是起源于骨外的、分化程度较高的恶性成骨性骨肿瘤。


点击查看答案


116、单项选择题  胃扭转的X线表现是()

A.幽门高于十二指肠球部,胃呈蜷虾状
B.胃呈瀑布状
C.膈上见B环
D.大弯侧呈弧形压迹,胃向左移
E.葫芦状胃


点击查看答案


117、判断题  逆行尿路造影检查时,如发现有狭窄段,应考虑为病理所致。


点击查看答案


118、单项选择题  无紫绀先天性心脏病中,肺血减少的是()

A.房间隔缺损
B.室间隔缺损
C.主动脉口狭窄
D.动脉导管未闭
E.先天性二尖瓣狭窄


点击查看答案


119、单项选择题  颅骨骨折的直接征象是()

A.乳突气房消失
B.颅内积气
C.软组织肿胀
D.骨折线
E.蝶窦积气-液平面


点击查看答案


120、单项选择题  近年来,下列肿瘤中呈增加趋势的是()

A.皮肤癌
B.骨肉瘤
C.子宫癌
D.结肠癌
E.肺癌


点击查看答案


121、单项选择题  

男,11岁。自出生后出现活动后憋喘、口唇发紫。检查如图所示。最可能的诊断是()

A.完全性肺静脉异位引流-心下型
B.完全性肺静脉异位引流-心上型
C.完全性肺静脉异位引流-心内型
D.完全性肺静脉异位引流-混合型
E.法洛四联症


点击查看答案


122、填空题  骨盆骨折常有________、________、________、________和____________并发症。


点击查看答案


123、判断题  肺动脉狭窄所致的肺循环改变为肺淤血。


点击查看答案


124、单项选择题  慢性支气管炎后期的肺部X线表现,错误的是()

A.病人胸片正常
B.膈肌低平
C.肺野透光度增高
D.肋间隙增宽
E.两肺纹理增粗紊乱


点击查看答案


125、多项选择题  关于膝关节前后正位片显示标准,正确的是()

A.片包括股骨远端胫骨近端骨骼
B.关节面位于照片下1/3处显示
C.关节间隙内外两侧等距
D.腓骨小头与胫骨仅有小部分重叠
E.腓骨小头与胫骨不应有重叠


点击查看答案


126、多项选择题  常为一侧肾影增大的疾病()

A.肾静脉血栓
B.肾细胞癌
C.多囊肾
D.肾动脉狭窄症
E.肾硬变


点击查看答案


127、单项选择题  最常见的女性生殖系统结核是下列哪种()

A.子宫内膜结核
B.子宫颈结核
C.输卵管结核
D.卵巢结核
E.盆腔结核


点击查看答案


128、判断题  结肠憩室只发生于乙状结肠,不发生于其他部位。


点击查看答案


129、单项选择题  剥脱性骨软骨炎好发于()

A.股骨内外侧髁
B.肱骨小头
C.跖骨
D.股骨头
E.距骨滑车


点击查看答案


130、单项选择题  成人正常视神经孔直径约为()

A.0.3cm
B.0.5cm
C.0.7cm
D.0.6cm
E.0.2cm


点击查看答案


131、单项选择题  椎体与椎弓愈合的时间,一般为()

A.2~3岁
B.4~8岁
C.8~13岁
D.14~16岁
E.16~25岁


点击查看答案


132、多项选择题  关于胶片对比度的叙述,正确的是()

A.胶片对射线对比度的放大能力,称胶片对比度
B.照片影像对比度与射线对比度之比,称反差系数
C.反差系数是直线部分的斜率
D.平均斜率也称曲线的最大斜率
E.平均斜率等于反差系数


点击查看答案


133、单项选择题  先天性支气管囊肿的主要并发症是()

A.继发感染
B.肺大泡
C.癌变
D.胸膜炎
E.支气管扩张


点击查看答案


134、单项选择题  肺动静脉瘘的X线表现中,以哪项诊断价值最大()

A.异常血管影
B.单发或多发结节状影
C.瘤囊搏动
D.大小可改变
E.肋骨下缘压迹


点击查看答案


135、单项选择题  腹部透视诊断肠梗阻的主要依据是()

A.膈下游离气体
B.间位结肠
C.肠腔气液平
D.肠壁钙化
E.肠管扩张


点击查看答案


136、多项选择题  系统性红斑狼疮致死的主要原因为()

A.肾功能衰竭
B.神经系统并发症
C.心血管系统并发症
D.感染
E.囊性肺纤维化


点击查看答案


137、多项选择题  下列哪些不是早期食管癌的X线征象()

A.粘膜增粗、消失
B.浅小溃疡
C.小的充盈缺损
D.管壁广泛性僵硬
E.管腔明显狭窄


点击查看答案


138、单项选择题  肺隔离症的诊断要点是()

A.X线检查发现下叶后段实性或囊性阴影
B.病人年轻无症状或有肺炎反复发作史
C.约有30%的病人合并一侧膈疝
D.主动脉造影发现供血血管
E.可合并支气管与食管或胃相连通畸形


点击查看答案


139、单项选择题  坐位或俯卧位,下颏前伸,头颅水平面与胶片呈45°,矢状面垂直胶片,中心线通过鼻前棘垂直胶片,是哪个摄片位置()

A.Water's氏位
B.Mayer's氏位 
C.Schuller's氏位
D.汤氏位
E.Rhese's位


点击查看答案


140、单项选择题  前纵隔不常见的肿瘤是()

A.恶性淋巴瘤
B.恶性畸胎瘤
C.胸骨后甲状腺
D.胸腺瘤
E.皮样囊肿


点击查看答案


141、单项选择题  下列哪种疾病,胸片无肋骨下缘切迹()

A.肺动脉闭锁
B.主动脉缩窄
C.上腔静脉阻塞
D.类风湿关节炎
E.神经纤维瘤病


点击查看答案


142、单项选择题  骨皮质外1/3的血供主要来源于()

A.骨膜动脉
B.滋养动脉升支
C.滋养动脉降支
D.干骺动脉
E.骨骺动脉


点击查看答案


143、单项选择题  成人脊柱结核好发于()

A.颈椎
B.骶椎
C.腰椎
D.胸椎
E.以上都是


点击查看答案


144、单项选择题  下列关于X线的本质的描述,正确的是()

A.只有X线球管才能产生X线
B.凡是X线都可用于影像诊断
C.X线是一种波长很短的电磁波
D.比红外线波长长
E.波长范围为5~10nm


点击查看答案


145、判断题  血管造影仍是诊断腹膜后病变的唯一准确方法。


点击查看答案


146、多项选择题  下列引起局限性颅骨增生的疾病有()

A.脑膜瘤
B.慢性骨髓炎
C.陈旧性骨折
D.石骨症
E.骨瘤


点击查看答案


147、名词解释  龛影


点击查看答案


148、判断题  眼眶正位眶内上缘显影淡,考虑为骨质破坏。


点击查看答案


149、单项选择题  早期中耳癌的X线摄影以何种位置摄影最佳()

A.汤氏位摄影
B.伦氏位摄影
C.斯氏位摄影
D.头颅前后位摄影
E.颅底摄影


点击查看答案


150、多项选择题  左心房增大多见于下述哪些疾病()

A.二尖瓣病变
B.主动脉病变
C.动脉导管未闭
D.室间隔缺损
E.左心衰竭


点击查看答案


151、多项选择题  有关解剖学方位的叙述,正确的是()

A.近身体腹侧为前面
B.近身体腹侧为后面
C.近皮肤为浅层
D.近头侧为下
E.近心脏侧为近端


点击查看答案


152、配伍题  PTA可治疗()
动脉化疗可治疗()
血管动脉栓塞可治疗()
非血管介入治疗()

A.胰腺癌动脉化疗
B.下腔静脉支架置入
C.脾动脉栓塞
D.前列腺支架置入
E.空肠造瘘


点击查看答案


153、多项选择题  先天性肛门闭锁腹部倒立位摄片,主要目的是()

A.提供手术指征
B.观测直肠的气体
C.观察腹部胀气情况
D.观察肛门闭锁情况
E.测量直肠末端到肛门间的距离


点击查看答案


154、单项选择题  扩张型心肌病最常累及()

A.左心室
B.左心房
C.右心室
D.右心房
E.房室瓣环


点击查看答案


155、判断题  乳腺的皮肤厚度一般为0.5~2.5mm。


点击查看答案


156、单项选择题  衡量防护材料防护性能的铅当量单位为()

A.伦琴
B.拉德
C.Gy
D.居里
E.毫米


点击查看答案


157、单项选择题  以下选项中,可提高“图像对比度”的因素是()

A.管电压过高 
B.使用滤线器
C.被照物体太厚,密度过大 
D.使用遮光器 
E.胶片过期


点击查看答案


158、单项选择题  关于CR系统的影像板,以下说法不正确的是()

A.影像板上的信息可永久保存
B.影像板上的信息为模拟信号
C.自影像板上读出的信息为数字信息
D.影像板可反复使用
E.影像板代替胶片保存X线影像


点击查看答案


159、问答题  骨转移性肿瘤的X线表现有哪些?


点击查看答案


160、单项选择题  下述结核瘤的特点,错误的是()

A.较高密度,可有钙化
B.可有偏心的小空洞形成
C.常有卫星灶,胸壁侧可有粗大毛刺
D.为2cm以下片状影
E.边缘清晰,可有浅分叶


点击查看答案


161、问答题  【背景材料】某设备监理单位承接了某安装工程项目监理工作。业主要求设备监理单位在监理合同书限定时间内提交监理规划。设备监理单位立即着手监理规划的编制工作。 一、收集制订编制设备监理规划的依据资料: 1.安装工程承包合同资料; 2.有关该项目的规范和标准; 3.该项目承包单位和设计单位的资料。 二、计划编制的设备监理规划的基本内容如下: 1.设备工程项目概况; 2.设备监理工作范围和工作内容; 3.设备监理工作的目标; 4.设备监理规划交底; 5.设备监理工作程序和工作制度; 6.安装设计单位和安装单位之间的协调。 一般情况下,设备监理规划应由谁来组织编制?


点击查看答案


162、单项选择题  X线自枕部经额部垂直射入胶片的摄片体位是()

A.前后位
B.下上轴位
C.上下轴位
D.顶颌位
E.后前位


点击查看答案


163、多项选择题  骨盆X线片上,强直性脊柱炎与致密性髂骨炎主要鉴别点为()

A.强直性脊柱炎,关节间隙及双侧关节面不受累
B.致密性髂骨炎,关节间隙及双侧关节面不受累
C.致密性髂骨炎仅累及髂骨,骶骨骨质正常
D.强直性脊柱炎,关节间隙及双侧关节面均受累
E.致密性髂骨炎,关节间隙及双侧关节面均受累


点击查看答案


164、单项选择题  膈肌食管裂孔位于第几胸椎水平()

A.第8胸椎
B.第9胸椎
C.第10胸椎
D.第11胸椎
E.第12胸椎


点击查看答案


165、单项选择题  对于CR描述,错误的是()

A.对骨骼的细微结构显示良好
B.对肺结节性病变检出率高于传统X线成像
C.对肺间质与肺泡病变不及传统X线成像
D.对胃小区、肠粘膜微小病变显示优于传统X线造影
E.易于显示纵隔结构


点击查看答案


166、多项选择题  在乳腺钼靶X线上,可见以下哪些结构()

A.皮肤
B.脂肪
C.乳头
D.乳腺实质
E.淋巴结


点击查看答案


167、单项选择题  疑胃溃疡患者,最先用的检查方法是()

A.X线平片摄影
B.口服钡剂造影
C.MRI
D.CT
E.B超


点击查看答案


168、问答题  静脉尿路造影一侧不显影常见于哪些病变?


点击查看答案


169、配伍题  胃癌的好发部位为()
胃溃疡的好发部位在()
哪个部位见到的溃疡性病变应疑为癌()
十二指肠溃疡好发于()

A.小弯
B.大弯
C.胃角
D.胃窦
E.十二指肠球部


点击查看答案


170、单项选择题  关于头颅后前位摄片的叙述,错误的是()

A.被检者俯卧于检查床上
B.正中矢状面垂直于台面
C.听眦线垂直于台面
D.暗盒竖放
E.暗盒上缘平颅顶


点击查看答案


171、名词解释  Luschka关节


点击查看答案


172、多项选择题  关于X线管阳极的叙述,错误的是()

A.乳腺机X线管的阳极使用钼靶
B.旋转阳极靶盘直径越大管容量越大
C.靶盘覆以钼石墨层,以增加阳极热容量
D.X线管容量是指阳极热容量
E.旋转阳极管的X线发生效率高于固定阳极管


点击查看答案


173、单项选择题  下列组合中,哪项不妥()

A.内听道——多轨道迹体层摄片
B.全泌尿系——全景摄片
C.关节腔——双重造影
D.甲状腺——软组织摄片
E.喉——高电压摄片


点击查看答案


174、单项选择题  

女,3岁,低热、咳嗽2月余,结合胸片,最可能的诊断为()

A.原发综合征
B.肺门淋巴结核
C.淋巴瘤
D.支原体肺炎
E.间质性肺炎


点击查看答案


175、填空题  来自支气管表面上皮的肺癌有_____________、_________、_________和___________。


点击查看答案


176、多项选择题  韦格肉芽肿的胸部影像包括()

A.肺门淋巴结对称性明显增大
B.两肺大小相等结节影
C.小片状阴影
D.可有厚壁或薄壁空洞,空洞内壁不规则
E.少量胸腔积液


点击查看答案


177、单项选择题  一般不引起右心房增大的是()

A.心肌病
B.风湿性心脏病,左房室瓣狭窄
C.先天性心脏病,房间隔缺损
D.风湿性心脏病,左房室瓣关闭不全
E.以上都是


点击查看答案


178、单项选择题  下列关于上肢摄影的注意事项中,错误的是()

A.至少包括一个关节
B.幼儿骨关节应摄取双侧
C.必须使用滤线设备
D.焦-片距一般为75~100cm
E.注意X线防护


点击查看答案


179、单项选择题  下列大叶性肺炎早期影像,哪项不对()

A.局限性肺纹理稍多
B.支气管气相
C.患肺透亮度略减低
D.发生于下叶者,邻近膈肌动度减低
E.大叶性肺炎早期,影像表现缺乏特征性


点击查看答案


180、单项选择题  正确选择乳突梅氏位的摄影角度,应是()

A.双25°
B.双35°
C.双45°
D.双55°
E.双65°


点击查看答案


181、多项选择题  肺间质包含下述哪些成分()

A.肺泡间隔
B.小叶间隔
C.肺泡管
D.肺泡壁
E.支气管及血管的周围组织


点击查看答案


182、单项选择题  原发综合征的典型表现为()

A.位于上叶的片状阴影
B.由病变区伸向肺门的条状模糊影
C.肺门气管支气管淋巴结肿大
D.原发灶、肺门淋巴结及结核性淋巴管炎组成的哑铃状影
E.两肺散在斑点状密度增高影


点击查看答案


183、单项选择题  下列关于乳腺摄影技术中不正确的是()

A.不用或只用单面增感屏 
B.低电压
C.只需拍侧位片 
D.低电流 
E.钼靶 


点击查看答案


184、单项选择题  外伤性关节脱位常见于()

A.髋关节
B.肘关节
C.肩关节
D.腕关节
E.踝关节


点击查看答案


185、单项选择题  关于气胸下列哪项是错误的()

A.CT检查的目的是发现少量气胸及少见部位的气胸
B.所有气胸都有加重发展成张力性气胸的可能
C.胸片大多能明确诊断
D.少量气胸时,胸部平片不易发现
E.气胸不引起纵隔气肿


点击查看答案


186、判断题  长骨骨折两断段成角的尖端所指的方向即为成角的方向。


点击查看答案


187、名词解释  肺隔离症


点击查看答案


188、问答题  行钡餐检查前如何准备胃肠道?


点击查看答案


189、单项选择题  石棉肺较少见的并发症是()

A.肺间质纤维化
B.肺结核
C.支气管扩张
D.节段性肺不张
E.胸膜间皮瘤


点击查看答案


190、名词解释  肺泡蛋白沉积症


点击查看答案


191、多项选择题  关于室间隔缺损的X线表现,正确的是()

A.低位小缺损,胸片可正常
B.高位大缺损,肺血常增多
C.左心房常增大
D.右心房常增大
E.可有肺门舞蹈


点击查看答案


192、名词解释  穿透性溃疡


点击查看答案


193、单项选择题  

女,12岁,咳嗽一天,无畏寒、发热,如图所示,最可能的诊断为()

A.肺静脉异位引流
B.畸胎瘤
C.正常胸腺
D.右中肺不张
E.以上均不正确


点击查看答案


194、单项选择题  肝脓肿X线平片检查主要的征象为()

A.肝区含气或液平的脓腔影
B.右膈肌膨隆
C.右下肺盘状肺不张
D.右胸膜肥厚
E.胸腔少量积液


点击查看答案


195、判断题  纵隔血肿量少时无异常表现,量多时可见对称性纵隔增宽。


点击查看答案


196、问答题  黏多糖贮积症Ⅰ型的X线表现有哪些?


点击查看答案


197、判断题  选择性肾动脉造影对肾癌的诊断没有决定意义,但可显示肿瘤的部位和性质。


点击查看答案


198、多项选择题  食管裂孔疝的间接X线征象有()

A.食管返流
B.食管胃环
C.食管胃角变钝
D.食管下段迂曲增宽
E.消化性食管炎


点击查看答案


199、单项选择题  

患者女,6岁,左下肢跛行三年,直立时臀部后耸,结合骨盆平片,正确的诊断是()

A.左髋内翻畸形
B.左髋结核
C.左先天性髋关节脱位
D.左股骨头缺血坏死
E.左髋关节炎


点击查看答案


200、单项选择题  下列哪一征象不支持纵隔肿瘤的诊断()

A.透视下见肿块随呼吸变形
B.透视下见肿块随呼吸上下移动
C.肿块最大径在纵隔内
D.肿块压迫气管
E.肿块外缘与纵隔交角呈钝角


点击查看答案


201、单项选择题  PACS正确的涵义是()

A.图像存储系统
B.图像传输系统
C.图像网络系统
D.图像通讯系统
E.图像存储与传输系统


点击查看答案


202、单项选择题  

男,19岁,咳嗽、发热1周余,X线检查如图,最可能的诊断是()

A.左下肺不张
B.左侧胸膜肥厚
C.左下肺炎症
D.左侧胸腔积液
E.左下肺结核


点击查看答案


203、单项选择题  

如图,在正常胸部X线影像图像上,该英文字母所代表的肺段为()

A.内基底段
B.前基底段
C.外基底段
D.后基底段
E.背段


点击查看答案


204、单项选择题  胸膜粘连最常见的部位是()

A.肺尖部胸膜
B.肋隔角处
C.心膈角处
D.纵隔胸膜
E.以上都不是


点击查看答案


205、单项选择题  

男,19岁,感胸闷、胸前区隐痛,X线检查如图,最可能的诊断是()

A.胸膜肥厚
B.肺部炎症
C.前纵隔肿瘤
D.中纵隔肿瘤
E.后纵隔肿瘤


点击查看答案


206、判断题  慢性胆囊炎的影像学检查以为USG主,以CT和MRI为辅。


点击查看答案


207、单项选择题  

男,29岁,体检胸片如图,最可能的诊断是()

A.右上肺炎症
B.右上肺炎性假瘤
C.右上肺结核瘤
D.右上肺肿瘤
E.结节病


点击查看答案


208、单项选择题  膈下肋骨摄片,采用的呼吸方式为()

A.浅呼吸屏气
B.深呼气后屏气
C.深吸气后屏气
D.平静呼吸屏气
E.深吸深呼后屏气


点击查看答案


209、名词解释  假性骨折


点击查看答案


210、判断题  乳腺癌的特征性钙化为不规则细微钙化。


点击查看答案


211、多项选择题  铅线易发生部位有()

A.尺桡骨远端
B.胫骨两端
C.股骨远端
D.肱骨近端
E.中部肋骨前端


点击查看答案


212、单项选择题  X线自被检者的前方射向后方为()

A.前后方向
B.后前方向
C.冠状方向
D.轴方向
E.切线方向


点击查看答案


213、名词解释  Robinow综合征


点击查看答案


214、判断题  肾癌典型的临床表现是无痛性血尿和腹部肿块。


点击查看答案


215、单项选择题  下列限时器中限时最不精确的是()

A.电子管限时器
B.晶体管限时器
C.机械式限时器
D.集成电路限时器
E.同步电机式限时器


点击查看答案


216、判断题  寰椎前结节后缘与枢椎齿状突前缘的距离成人大于4mm,儿童大于2mm则说明有横韧带的撕裂。


点击查看答案


217、单项选择题  正位胸片上,胸锁关节相当于()

A.第二后肋水平
B.第四后肋水平
C.第四胸椎水平
D.气管分叉水平
E.左心耳水平


点击查看答案


218、单项选择题  “表浅溃疡和粘膜斑”见于下述哪种疾病()

A.克罗恩病
B.Behcet病
C.假膜性结肠炎
D.肠结核
E.结肠癌


点击查看答案


219、单项选择题  水痘病毒性肺炎的影像特征()

A.数天内仅见双肺纹理增粗、毛糙
B.病理、影像表现演变快
C.伴弥漫性肺气肿的广泛间质性炎症改变
D.呈典型的支气管肺炎表现
E.间质纤维化伴肺大泡


点击查看答案


220、单项选择题  中心线以外的射线称()

A.平行线
B.垂直线
C.轴线
D.斜射线
E.中心线


点击查看答案


221、配伍题  中纵隔最常见的肿瘤是()
前纵隔最常见的肿瘤是()
后纵隔最常见的肿瘤是()

A.畸胎瘤
B.胸腺瘤
C.淋巴瘤
D.神经源性肿瘤
E.甲状腺瘤


点击查看答案


222、多项选择题  X线检查,室间隔缺损可表现为()

A.低位小缺损,胸片可正常
B.高位大缺损,肺血常增多
C.右心房常增大
D.可有肺门舞蹈
E.左心房常增大


点击查看答案


223、单项选择题  胃肠道穿孔最常见于()

A.外伤性
B.肿瘤性
C.溃疡性
D.感染性
E.医源性


点击查看答案


224、配伍题  肘关节提携角()
腕关节腕骨角()
腕关节前倾角()
股骨颈前倾角()

A.5°~20°
B.9°~20°
C.13°~20°
D.15°~20°
E.平均130°


点击查看答案


225、判断题  Sprengel畸形高位肩胛常有骨、软骨或纤维组织与颈椎、上胸椎连接。


点击查看答案


226、多项选择题  骨折的愈合过程可分为()

A.肉芽组织修复期
B.原发骨痂连接期
C.骨性愈合期
D.塑形期
E.假关节形成期


点击查看答案


227、单项选择题  影响照片影像密度的各种因素中,下列哪项错误()

A.正常曝光时,密度与曝光量成正比
B.正常条件下,管电压增加,照片密度增加
C.照片密度随被照体厚度密度的增加而增加
D.焦-片距增大,密度降低
E.与照片的显影加工条件有关


点击查看答案


228、判断题  长钩形胃的位置、张力中等,胃角明显。


点击查看答案


229、判断题  动力性和血运性肠梗阻在临床上最为常见。


点击查看答案


230、单项选择题  贲门癌是指源于贲门口中心周围多少厘米以内的胃癌()

A.1.0~3.0cm
B.0.5~1.0cm
C.2.5~3.0cm
D.2.0~2.5cm
E.1.5~3.5cm


点击查看答案


231、单项选择题  胆管囊状扩张分为5种类型,其中I型为()

A.胆总管囊肿
B.肝内多发性囊肿
C.壁内段胆总管囊状膨出
D.多发性肝内、外囊肿
E.胆总管憩室


点击查看答案


232、判断题  维生素A缺乏可致明显的骨质疏松。


点击查看答案


233、单项选择题  

男,阴囊下坠不适,胀痛,平卧症状缓解。查体:阴囊下垂松弛,并可触及结节状静脉曲张。

属精索静脉变异的是()

A.汇入肾静脉
B.汇入肝静脉
C.双精索静脉
D.汇入腹腔静脉
E.汇入下腔静脉


点击查看答案


234、单项选择题  下列哪种肾形态无临床意义是()

A.马蹄肾
B.驼峰肾
C.油灰肾
D.海绵肾
E.多囊肾


点击查看答案


235、单项选择题  

男婴,4月。腹部涨满,如图所示。最可能的诊断为()

A.小肠闭锁
B.坏死性小肠结肠炎
C.十二指肠闭锁
D.肠套叠
E.肠穿孔


点击查看答案


236、名词解释  轨道征


点击查看答案


237、单项选择题  关于冠状动脉解剖的描述哪项不正确()

A.心脏正位片上左冠窦向左膨出,右冠窦向右膨出,无冠窦位于两窦之间的前壁
B.左冠状动脉主干走行于肺动脉干和左心耳之间,至左房室沟处分为两支
C.左前降支阻塞时,由斜角支建立侧支循环由右冠状动脉供血给左室
D.右冠状动脉窦房结支通常为第2分支,走向后上方,供血给心脏系统的重要部位
E.约18%的人右冠状动脉远侧段缺如


点击查看答案


238、单项选择题  充盈良好的胃CT像,胃的哪一部分最厚()

A.胃体前壁
B.胃体后壁
C.贲门区
D.胃窦部
E.胃底大弯侧


点击查看答案


239、填空题  绞窄性肠梗阻的常见原因有哪些__________、_____________和_________。


点击查看答案


240、多项选择题  容易引起肋骨切迹的有()

A.肺静脉异位引流
B.动脉导管未闭
C.引流术后的法洛四联征
D.主动脉缩窄
E.腹主动脉血栓


点击查看答案


241、单项选择题  小细胞肺癌最常见的转移途径是()

A.淋巴转移
B.血行播散
C.直接蔓延
D.支气管播散
E.以上都不是


点击查看答案


242、单项选择题  

男,24岁,低热2周,咳少量痰。胸片示右上肺不均密度增高影,其中有空洞形成,血沉45mm/h。

最可能的诊断是()

A.右上肺炎
B.右上肺结核
C.右上肺癌
D.右上肺囊肿
E.右上肺脓肿


点击查看答案


243、单项选择题  男,60岁,吞咽不适半年,近1个多月不能进固体食物,消瘦明显,最可能的诊断为()

A.食管静脉曲张
B.食管平滑肌瘤
C.胃癌
D.胃底贲门癌侵及食管下端
E.贲门失弛缓症


点击查看答案


244、问答题  小叶性肺炎的X线表现有哪些?


点击查看答案


245、单项选择题  以下除哪种造影外,都能了解胆管结构()

A.PTC 
B.IVU 
C.ERCP 
D.术中胆道造影
E.T型管造影


点击查看答案


246、单项选择题  关于肘关节结核的表现中,下列哪项不正确()

A.肘关节结核较为多见,在上肢结核中占首位
B.结核病灶多在鹰嘴突和肱骨内外髁骨组织开始,桡骨小头少见
C.易形成脓肿,穿破皮肤而产生窦道,合并继发感染
D.邻近关节的骨骼可有骨质疏松
E.病灶周围无骨膜反应


点击查看答案


247、多项选择题  可进行功能位检查的是哪些部位()

A.颈椎
B.下颌关节
C.胰腺
D.颞骨
E.胆囊


点击查看答案


248、单项选择题  

新生儿出生后出现气急、口吐白沫,呼吸微弱。床边X光片检查如图,最可能的诊断为()

A.新生儿肺炎
B.新生儿肺出血
C.新生儿白肺
D.新生儿心肌炎
E.先心病


点击查看答案


249、单项选择题  输尿管生理狭窄区中最窄的部位是()

A.肾盂起始部
B.输尿管起始部
C.跨过髂总动脉处
D.跨过骨盆入口处
E.进入膀胱壁处


点击查看答案


250、多项选择题  X线检查中对被检者防护,应采取的措施()

A.提高国民对放射防护的知识水平
B.正确选用X线检查的适应证
C.做好非检查部位的屏蔽防护
D.采用恰当的X线质
E.严格控制照射量


点击查看答案


251、单项选择题  农民肺的X线表现中,错误的是()

A.临床症状出现后相当长的时间才出现X线表现
B.早期肉芽肿病变显示为肺内弥散的颗粒状或小结节状影
C.患者脱离接触有害灰尘后肺部改变继续加重
D.农民肺患者的肺门阴影一般不增大
E.慢性期肺部主要表现为弥散性间质性纤维改变


点击查看答案


252、单项选择题  下述对慢性胃炎粘膜糜烂描述错误的是()

A.一般多发
B.胃体及胃窦部多见
C.愈合后不留瘢痕
D.病变仅侵及粘膜肌层
E.钡餐造影不易发现


点击查看答案


253、多项选择题  关于乳腺癌治疗的说法哪些正确()

A.手术、化疗、放疗、内分泌治疗均是综合治疗的重要部分
B.术前化疗可以使肿瘤缩小,使更多的患者获得保乳机会
C.术前化疗应选择敏感性化疗方案
D.细针穿刺细胞涂片见到恶性细胞即行术前化疗
E.手术范围越大,乳腺癌的治疗效果越好


点击查看答案


254、单项选择题  

男,74岁,进行性吞咽困难半年,结合图像,最可能的诊断为()

A.正常表现
B.食管静脉曲张
C.食管上段癌
D.食管中段癌
E.食管下段癌


点击查看答案


255、问答题  肺结核并发肺癌时应注意如何鉴别诊断?


点击查看答案


256、单项选择题  克氏(Klinefelter)综合征的X线表现中,应除外()

A.骨骺骨化中心出现和愈合均延迟
B.髋外翻、膝内翻畸形
C.头颅较小,额窦不发育,小蝶窦
D.桡骨骨融合或错位
E.掌骨征阴性


点击查看答案


257、单项选择题  下述肺炎中能明确分期的是()

A.支气管肺炎
B.支原体肺炎
C.过敏性肺炎
D.金葡菌肺炎
E.大叶性肺炎


点击查看答案


258、单项选择题  

男,65岁。走路时,不慎摔倒。查体:左下肢缩短,外旋50°畸形。

该患者最可能的诊断为()

A.左粗隆间骨折
B.左股骨颈骨折
C.左髋关节脱位
D.左髋软组织挫伤
E.左髋臼骨折


点击查看答案


259、单项选择题  肝脏增大不会引起下列哪种胸部改变()

A.龟背征
B.胸腔积液
C.胸膜增厚、钙化
D.节段性肺不张
E.下叶肺炎


点击查看答案


260、多项选择题  无肺门增大而只表现为肺门密度增高者()

A.百日咳
B.麻疹肺炎
C.慢性支气管炎
D.中央型肺癌
E.心肺病变


点击查看答案


261、单项选择题  下列哪种疾病不表现双肺弥漫粟粒样阴影()

A.血源播散型肺结核
B.肺转移瘤
C.支气管肺炎
D.结节病
E.矽肺


点击查看答案


262、单项选择题  感光原理是()

A.光水解反应
B.光分解反应
C.光合作用
D.光合成反应
E.以上都不是


点击查看答案


263、单项选择题  

女,30岁,右膝关节酸胀,疼痛不适5月,X线检查如图所示,下列描述正确的是()

A.骨质呈膨胀性破坏
B.骨质呈肥皂泡样破坏
C.骨质呈横向偏心性破坏
D.以上均正确
E.以上均不正确


点击查看答案


264、问答题  浸润型肺结核的X线表现有哪些?


点击查看答案


265、单项选择题  逆行肾盂造影的术前准备,不包括()

A.碘过敏试验
B.清洁肠道
C.麻醉剂过敏试验
D.检查当日禁食
E.有关膀胱镜检查准备


点击查看答案


266、单项选择题  矢状面与胶片平行的摄影体位有()

A.胸部正位
B.RAO位
C.乳突轴位
D.腕关节正位
E.心脏左侧位


点击查看答案


267、名词解释  外骨痂


点击查看答案


268、多项选择题  间质性肺水肿的X线表现有()

A.肺纹理和肺门血管阴影模糊
B.支气管袖口征
C.蝶翼征
D.胸膜下水肿
E.两上肺静脉分支增粗


点击查看答案


269、单项选择题  下列摄片体位选择,哪个是不正确的()

A.胫骨粗隆骨软骨炎--膝关节正侧位
B.踝关节韧带撕裂--内旋60°位
C.膝内翻--双膝站立正位
D.胫骨慢性骨髓炎--胫腓骨全长正侧位,加滤线栅
E.膝关节半月板损伤--MR扫描


点击查看答案


270、单项选择题  方形椎体可见于()

A.维生素D缺乏症
B.脊柱结核
C.强直性脊柱炎
D.巨人症
E.转移瘤


点击查看答案


271、名词解释  骨骺损伤


点击查看答案


272、名词解释  不完全骨折


点击查看答案


273、填空题  包虫囊肿破入胸腔引起____________和_________,破入支气管时咳出大量_________。


点击查看答案


274、单项选择题  

男,56岁,发现右足第一跖趾关节反复突发性红、肿、热、剧痛5年,行右足摄片,如下图示,最可能的诊断是()

A.类风湿关节炎
B.退行性骨关节病
C.踇外翻滑囊炎
D.痛风
E.骨结核


点击查看答案


275、单项选择题  关于“Peutz-Jeghers综合征”,错误的是()

A.偶有结肠多发息肉
B.胃肠多发息肉
C.口唇粘膜色素沉着
D.空肠恶变
E.易套叠、出血


点击查看答案


276、单项选择题  

男,68岁,因左胸部外伤摄片,结合图像,最可能的诊断是()

A.镜面右位心
B.纵隔疝
C.右侧胸腔积液
D.右肺占位
E.右侧肺不张


点击查看答案


277、单项选择题  人体骨数最多的时期为()

A.新生儿期
B.婴幼儿期
C.青春期
D.青春期到骨发育成熟期前
E.骨发育成熟期


点击查看答案


278、填空题  肺转移瘤的转移途径有___________、_____________和_____________。


点击查看答案


279、多项选择题  关于黄韧带的断层解剖,正确的是()

A.宽度不超过5mm
B.黄韧带位于关节突和椎板的内侧缘
C.呈尖端向后的“V”形线条影
D.黄韧带后缘紧贴椎管内缘
E.前方与硬膜囊之间隔以低密度的脂肪组织


点击查看答案


280、单项选择题  下列有关“骨气鼓”特点,哪项错误()

A.常见于小儿患者
B.患骨梭形膨大,密度增高
C.见于骨结核
D.指骨、趾骨等短管状骨多见
E.骨膜反应不明显


点击查看答案


281、单项选择题  X线平片上,肾结石可以表现为()

A.圆形
B.卵圆形
C.桑椹形
D.鹿角形
E.以上都可


点击查看答案


282、单项选择题  纵隔肿瘤没有钙化的是()

A.胸骨后甲状腺瘤
B.胸腺瘤
C.畸胎类肿瘤
D.神经源性肿瘤
E.支气管囊肿


点击查看答案


283、单项选择题  下列新生儿正常胸片影像错误的是()

A.“船帆征”提示有胸腺瘤
B.心胸比例比成人大
C.左膈常比右膈高
D.外带无肺纹理
E.心尖不明显


点击查看答案


284、单项选择题  向上倾斜指的是()

A.中心线向肢侧倾斜
B.中心线向内侧倾斜
C.中心线向足侧倾斜
D.中心线向头侧倾斜
E.中心线向地面倾斜


点击查看答案


285、名词解释  铅线


点击查看答案


286、填空题  椎弓裂包括___________、________、___________和__________。


点击查看答案


287、单项选择题  下述“新生儿胸腹膜裂孔疝”描述,错误的是()

A.左侧居多
B.可伴肺发育不全
C.常有肠梗阻
D.左肾可疝入胸腔
E.比胸骨旁疝发生率低


点击查看答案


288、判断题  X线管焦点越小,空间分辨力也就愈小


点击查看答案


289、问答题  怎样判断管状骨骨折的移位情况?


点击查看答案


290、单项选择题  下列关于“胃小区”影像描述,错误的是()

A.正常胃小区小于10mm
B.胃窦部胃小区多为多角形
C.胃体部胃小区以圆形、椭圆形者居多
D.萎缩性胃炎患者难以显示胃小区
E.胃小区显示率与操作技术和所用钡剂特性关系密切


点击查看答案


291、单项选择题  

左膝关节酸胀不适,摄片发现左胫骨上段局限性骨质改变如图示,最可能的诊断是()

A.非骨化性纤维瘤
B.骨化性纤维瘤
C.内生软骨瘤
D.骨软骨瘤
E.以上均不正确


点击查看答案


292、名词解释  漏斗征


点击查看答案


293、多项选择题  根据作用力的方式和骨折本身的情况,将骨折分为()

A.创伤性骨折
B.疲劳性骨折
C.病理性骨折
D.不稳定性骨折
E.稳定性骨折


点击查看答案


294、判断题  小肠良性肿瘤的X线表现为圆形或椭圆形充盈缺损,表面光滑,境界清晰,少数可呈分叶状,肠壁柔软无僵硬。


点击查看答案


295、单项选择题  下列先天性心脏病循环特征描述,哪项不对()

A.主动脉瓣狭窄:肺血正常的无紫绀先天性心脏病
B.肺动脉瓣闭锁:伴肺血减少的紫绀性先天性心脏病
C.完全性大血管转位:伴肺血增多的紫绀性先天性心脏病
D.佛氏窦瘤破入右心室:伴肺血增多的无紫绀先天性心脏病
E.动脉导管未闭:伴肺血增多的紫绀性先天性心脏病


点击查看答案


296、多项选择题  肾囊肿的影像表现为()

A.尿路造影可显示肾盏受压伸长,分开和变形,压迹呈弧形,边缘光整
B.肾动脉造影可见肾动脉受压、移位、拉直,实质期可见低密度的囊肿区
C.CT可示肾脏内圆形低密度区,转廓光滑
D.肾盏受压拉长,边缘呈虫蚀样破坏
E.肾静脉栓塞


点击查看答案


297、单项选择题  下列关于“食管憩室”的描述错误的是()

A.本病多为后天性
B.病因分内压性、牵引性两种
C.牵引性憩室口部较宽
D.内压性憩室呈圆形或乳头状
E.憩室表面无粘膜皱襞


点击查看答案


298、单项选择题  

女,65岁,进行性吞咽困难半年,消瘦,钡餐检查如图,最可能的诊断是()

A.贲门失弛缓症
B.食管静脉曲张
C.食管鳞状(上皮)细胞癌
D.贲门癌
E.返流性食管炎


点击查看答案


299、多项选择题  肾先天性发育异常包括()

A.肾数目异常
B.肾位置异常
C.肾形态异常
D.肾旋转异常
E.肾发育不全


点击查看答案


300、单项选择题  下列哪项是诊断肺癌敏感性最高的检查方法()

A.X线平片
B.CT检查
C.体层摄影
D.MRI检查
E.CT导向经皮穿刺活检


点击查看答案


题库试看结束后微信扫下方二维码即可打包下载完整版《★医学影像技术(医学高级)》题库
手机用户可保存上方二维码到手机中,在微信扫一扫中右上角选择“从相册选取二维码”即可。
题库试看结束后微信扫下方二维码即可打包下载完整版《医学影像技术(医学高级):X线》题库,分栏、分答案解析排版、小字体方便打印背记!经广大会员朋友实战检验,此方法考试通过率大大提高!绝对是您考试过关的不二利器
手机用户可保存上方二维码到手机中,在微信扫一扫中右上角选择“从相册选取二维码”即可。

微信搜索关注"91考试网"公众号,领30元,获取公务员事业编教师考试资料40G