医学影像技术(医学高级):X线考试资料(题库版)

时间:2023-02-01 01:20:34

微信搜索关注"91考试网"公众号,领30元,获取事业编教师公务员等考试资料40G
题库试看结束后微信扫下方二维码即可打包下载完整版《★医学影像技术(医学高级)》题库
手机用户可保存上方二维码到手机中,在微信扫一扫中右上角选择“从相册选取二维码”即可。
题库试看结束后微信扫下方二维码即可打包下载完整版《医学影像技术(医学高级):X线》题库,分栏、分答案解析排版、小字体方便打印背记!经广大会员朋友实战检验,此方法考试通过率大大提高!绝对是您考试过关的不二利器
手机用户可保存上方二维码到手机中,在微信扫一扫中右上角选择“从相册选取二维码”即可。

1、名词解释  软骨骨生成障碍


点击查看答案


2、填空题  小儿铅中毒时,除X线显示铅线外,还可表现为:_________________、______________、_____________及____________________等。


点击查看答案


3、单项选择题  除第几掌骨的骨骺位于基底部外,其余的均位于远端()

A.第1掌骨
B.第2掌骨
C.第3掌骨
D.第4掌骨
E.第5掌骨


点击查看答案


4、单项选择题  放射工作人员全身均匀照射时,防止随机性效应的年剂量当量限值是()

A.10mSv/年
B.20mSv/年
C.30mSv/年
D.40mSv/年
E.50mSv/年


点击查看答案


5、单项选择题  下列哪种疾病,无嗜酸细胞增多表现()

A.蛔虫病
B.结节性大动脉炎
C.曲菌病
D.嗜酸细胞肉芽肿
E.呋喃妥英治疗


点击查看答案


6、单项选择题  脾肿大最常见于哪种病变()

A.寄生虫、肿瘤
B.炎症
C.肿瘤、门静脉高压
D.炎症、寄生虫
E.门静脉高压


点击查看答案


7、单项选择题  肺源性心脏病主要表现是()

A.左心房、右心室增大
B.左心房,右心室增大
C.右心房增大
D.左心室增大
E.右心室肥大


点击查看答案


8、单项选择题  对钼靶X线管,叙述正确的是()

A.钼靶产生X线的效率比钨靶高
B.软组织摄片时,主要利用钼产生的连续X线
C.相同灯丝加热电流和相同管电压下,钼靶管比钨靶管获得管电流小
D.钼靶X线管的极间距离比钨靶管的小
E.钼靶产生的X线主要对密度高


点击查看答案


9、单项选择题  下列畸形,与“Klippel-Feil综合征”无关的是()

A.脊髓空洞症
B.Sprengel畸形
C.“颈椎间盘突出”发病率升高
D.颈椎融合畸形
E.融合处椎间孔闭合


点击查看答案


10、多项选择题  下列中的哪些部位,不适合高电压摄片()

A.纵隔
B.喉
C.胸骨
D.乳腺
E.胸部


点击查看答案


11、多项选择题  以下属于软骨内化骨者的是()

A.锁骨两端
B.脊柱
C.躯干
D.面骨
E.四肢骨


点击查看答案


12、单项选择题  下列肺部炎症中哪项不易见到胸膜反应()

A.大叶性肺炎
B.化脓性肺炎
C.机化性肺炎
D.支原体肺炎
E.过敏性肺炎


点击查看答案


13、单项选择题  前组鼻窦指()

A.额窦+上颌窦
B.额窦+前组筛窦+上颌窦
C.额窦+筛窦+上颌窦+蝶窦
D.额窦+筛窦+上颌窦
E.额窦+前组筛窦


点击查看答案


14、单项选择题  典型急性粟粒型肺结核的患者,发病初期的X线征象是()

A.肺纹理增强
B.肺纹理稀疏
C.“三均匀”现象
D.肺野透光度降低
E.胸膜反应


点击查看答案


15、判断题  骨嗜酸性肉芽肿病变与周围界限模糊,边缘不清。


点击查看答案


16、单项选择题  慢性化脓性中耳乳突炎单纯型X线表现中,下列说法哪项错误()

A.乳突窦及其周围骨质硬化增生
B.锤骨或砧骨骨质破坏
C.乳突气房透光度减低
D.气房间隔骨质增厚、结构模糊
E.乳突气房外围骨质有明显增生


点击查看答案


17、名词解释  Eisenmenger综合征


点击查看答案


18、单项选择题  早期胃癌的分型依肉眼形态为()

A.2型和4亚型
B.3型和3亚型
C.3型和4亚型
D.4型和3亚型
E.5型和2亚型


点击查看答案


19、判断题  骨松质和骨密质的结构基本一致,都有哈弗斯系统。


点击查看答案


20、多项选择题  胸片上,肺内孤立性结节见于()

A.错构瘤
B.肺转移瘤
C.肺结核
D.小叶性肺炎
E.原发性肺癌


点击查看答案


21、单项选择题  肥厚型心肌病的X线征象中,下列哪项错误()

A.心脏多数不大或仅有轻度增大
B.肺动脉段明显突出
C.肺血管纹理正常或有轻度肺淤血
D.心脏搏动正常或增强
E.少数病例心脏可高度增大


点击查看答案


22、单项选择题  心脏左前斜位摄片,身体冠状面与胶片夹角为()

A.20~25°
B.30~35°
C.40~45°
D.50~60°
E.60~70°


点击查看答案


23、单项选择题  以下选项中,“子宫输卵管造影”的最佳时机为()

A.月经前第3天 
B.月经前第10天 
C.月经期
D.月经后第3天 
E.月经后第7天


点击查看答案


24、判断题  结节状阴影构成为肺吸虫引起的肺内出血及组织破坏所致。


点击查看答案


25、配伍题  周围型肺癌()
肺平滑肌瘤()
肺错构瘤()
肺段隔离症()

A.左下叶后基底段肿块,上下径较长,增强CT显示主动脉分支供血
B.左上叶孤立性结节,类圆形,无分叶和毛刺,CT增强后明显强化
C.右上叶前段孤立结节,有分叶,细短毛刺,内部有空泡
D.左下叶孤立结节,浅分叶,内有爆米花样钙化
E.右上叶后段结节,边缘光整,CT增强后无强化


点击查看答案


26、单项选择题  一般不引起肺血管变化的心脏病是()

A.房间隔缺损
B.风湿性心脏病二尖瓣狭窄
C.法洛四联征
D.冠心病
E.室间隔缺损


点击查看答案


27、单项选择题  女性,40岁。劳累后心悸、气促。体检:心尖区闻及舒张期隆隆样杂音。胸部正位摄片:心影呈梨形,中度增大。下列哪项是其典型的影像表现()

A.单纯左心房增大
B.左心房,左心室增大
C.左心房、右心房增大
D.左心房、右心室增大
E.左心室、右心室增大


点击查看答案


28、单项选择题  下列通过内听道的神经是哪项()

A.动眼神经
B.三叉神经
C.颜面神经
D.迷走神经
E.舌下神经


点击查看答案


29、单项选择题  有关静脉肾盂造影腹部压迫的叙述,错误的是()

A.防止对比剂流入膀胱
B.压迫点为脐下方两侧
C.压迫球呈正八字形放置
D.压力为5.3~8.0kPa
E.观察全尿路时解除压迫


点击查看答案


30、多项选择题  下列组合,正确的是()

A.骶椎-向头侧倾斜15~20°角
B.尾椎-向足侧倾斜15°角
C.骶椎-向头侧倾斜5~15°角
D.腰骶关节-向头侧倾斜15~20°角
E.骶髂关节-向头侧倾斜5~10°角


点击查看答案


31、单项选择题  “贲门失弛缓症”的造影表现,哪项不正确()

A.食管明显扩张,并迂曲、延长
B.食管蠕动减弱、消失
C.钡剂通过障碍,服解痉剂可缓解
D.食管末端截断性狭窄、表面不平
E.引起食管炎改变


点击查看答案


32、单项选择题  寰枢椎脱位的主要依据是()

A.寰椎前弓后缘与齿突前缘之关节间隙增宽
B.脊椎椎管前后缘连线错位
C.齿突与寰椎侧块的关节异常
D.合并齿突骨折
E.张口位上齿突偏位


点击查看答案


33、单项选择题  病人仰卧,影像增强器转至病人右前方的摄影方向称()

A.左前斜位
B.右前斜位
C.足头位
D.头足位
E.肝腋位


点击查看答案


34、填空题  晚发先天性骨梅毒临床上常见有_________、______、________、________、__________和___________等。


点击查看答案


35、单项选择题  下述原发综合征特点,错误的是()

A.哑铃状病灶
B.原发灶:多位于上肺下部和下肺上部
C.原发灶:圆形、类圆形或片絮状
D.肺门淋巴结炎吸收比肺内病灶快
E.原发灶周围可有片状模糊影


点击查看答案


36、单项选择题  心脏右前斜位片反映右心室增大的早期征象是()

A.肺动脉圆锥部膨凸
B.心前缘膨隆
C.心前下间隙缩小
D.膈面延长
E.无特异性


点击查看答案


37、填空题  根据跟骨骨折是否波及距骨下关节分为两大类,即_________________和________________。此外,还有________________、_____________、___________和_________________等不同类型。


点击查看答案


38、单项选择题  以下哪种情况是“尿路造影”时,最少出现的逆流形式()

A.肾盂、肾窦逆流 
B.肾周逆流 
C.静脉逆流
D.肾小管逆流  
E.淋巴管逆流


点击查看答案


39、单项选择题  畸胎类肿瘤的好发部位是()

A.前纵隔中下部,心脏与升主动脉交界处
B.前纵隔中部紧贴心底
C.前纵隔下部心膈角区
D.中纵隔上部气管旁
E.中纵隔肺门区


点击查看答案


40、单项选择题  通常所说的肺内肿块性病灶,直径应()

A.≥2cm
B.≥4cm
C.≥6cm
D.≥7cm
E.≥8cm


点击查看答案


41、单项选择题  

男,7岁,肘部外伤,根据所示图像,最可能的诊断是()

A.尺骨中上段骨折
B.桡骨小头脱位
C.孟氏骨折
D.盖氏骨折
E.以上均不正确


点击查看答案


42、单项选择题  系统性红斑狼疮患者在颜面部可出现蝶形红斑,但出现率不超过()

A.20%
B.25%
C.50%
D.80%
E.60%


点击查看答案


43、单项选择题  胃癌最常见的部位是()

A.胃窦部
B.胃体部
C.胃底部
D.胃小弯
E.胃大弯


点击查看答案


44、单项选择题  Eisenmenger综合征的X线表现中,应除外()

A.肺动脉主干及肺门动脉显著扩张
B.肺外围的动脉纤细
C.心脏明显增大
D.心脏大小可基本正常或轻度增大
E.肺门处出现了残根状表现


点击查看答案


45、单项选择题  以下对比剂的描述,哪项不正确()

A.低密度对比剂称为“阴性”对比剂 
B.高密度对比剂称为“阳性”对比剂
C.非离子型对比剂的渗透压比离子型的低
D.非离子型对比剂比离子型安全
E.欧乃派克、优维显是常用的离子型对比剂


点击查看答案


46、单项选择题  鼻窦不包括下列哪项()

A.蝶窦
B.直窦
C.上颌窦
D.额窦
E.筛窦


点击查看答案


47、问答题  早期食管癌的X线表现有哪些?


点击查看答案


48、多项选择题  下列会引起肾盏肾盂破坏的疾病为()

A.肾囊肿
B.肾血肿
C.肾结核
D.肾盂癌
E.肾癌


点击查看答案


49、单项选择题  关于胸部正位的摄片目的,哪项是错误的()

A.观察肺部病灶
B.了解心及大血管的形态和大小
C.观察胸膜病灶
D.观察胸椎序列
E.观察纵隔肿瘤


点击查看答案


50、单项选择题  下列十二指肠各段命名,错误的是()

A.球部
B.降部
C.斜部
D.升部
E.水平部


点击查看答案


51、单项选择题  下列关于关节滑膜结核的X线表现,错误的是()

A.持续性关节软组织肿胀
B.骨质稀疏
C.关节面非持重面部分骨破坏
D.晚期关节间隙变窄
E.早期关节间隙变窄


点击查看答案


52、单项选择题  

男,52岁,胸痛、体重下降2月余,结合胸片,最可能的诊断()

A.包裹性胸腔积液
B.胸膜肥厚
C.化脓性胸膜炎
D.肺癌
E.胸膜间皮瘤


点击查看答案


53、单项选择题  60岁以上老年人按脊椎各段结核发病率的不同,由高到低的顺序排列为()

A.胸腰椎、颈椎、腰骶椎、胸椎、腰椎
B.颈椎、胸椎、胸腰椎、腰椎、腰骶椎
C.腰椎、胸椎、胸腰椎、腰骶椎、颈椎
D.腰椎、腰骶椎、胸椎、胸腰椎、颈椎
E.颈椎、胸椎、胸腰椎、腰骶椎、腰椎


点击查看答案


54、单项选择题  下列哪项不属于乳腺良性肿块的X线征象()

A.肿块多呈圆形或类圆形
B.肿块界限不清
C.肿块边缘光滑清晰
D.肿块密度较均匀
E.肿块有时可见透明晕圈


点击查看答案


55、单项选择题  原发性纵隔肿瘤中最常见的是()

A.恶性淋巴瘤
B.神经源性肿瘤
C.胸腺瘤
D.畸胎类肿瘤
E.胸内甲状腺肿


点击查看答案


56、多项选择题  慢性支气管炎的表现有()

A.不伴有支气管扩张
B.由于支气管壁及周围组织纤维化的结果,可见“轨道征”
C.很少有肺气肿
D.慢性支气管炎,两个肺野变化多明显
E.一般在两肺野散在索条状或网状影,进一步表示出现小结节状阴影


点击查看答案


57、单项选择题  “骨中骨”征象出现于()

A.骨嗜酸性肉芽肿
B.尼曼-皮克病
C.勒-雪病
D.韩-薛-柯病
E.石骨症


点击查看答案


58、单项选择题  腰椎间盘疝可以形成椎间盘游离体,下列关于游离体的描述中,哪项错误()

A.游离体与椎间盘可以在同一层面上
B.游离体可以在椎间盘以上或以下层面
C.游离体密度一般高于硬膜囊
D.游离体密度一般低于硬膜囊
E.游离体一般不增强


点击查看答案


59、多项选择题  引起膈肌改变的疾病中,包括()

A.纵隔病变
B.腹腔病变
C.肝脏病变
D.肺毁损
E.膈肌本身病变


点击查看答案


60、单项选择题  下列说法不妥的是()

A.潜影的本质是银集团
B.感光中心是在乳剂的制备过程中形成的微量银质点
C.显影中心是接受光点后形成的影像银质点
D.无数显影中心所组成的银离子群即为影像
E.感光中心多,显影中心也多


点击查看答案


61、填空题  引起继发性骨质疏松的常见原因包括____________、______________、__________、__________、_________________、____________、__________和________。


点击查看答案


62、单项选择题  关于肺内空洞性球形病灶最常见于()

A.肺癌
B.转移性肿瘤
C.良性肿瘤
D.结核球
E.炎性假瘤


点击查看答案


63、单项选择题  

男,8岁,右髋疼痛,活动受限,结合图像,最可能的诊断是()

A.股骨头骨骺缺血坏死
B.髋关节结核
C.剥脱性骨软骨炎
D.退行性骨关节病
E.骨纤维异常增殖症


点击查看答案


64、单项选择题  发生在肺间质和肺实质的炎症为()

A.放射性肺炎
B.大叶性肺炎
C.小叶性肺炎
D.过敏性肺炎
E.间质性肺炎


点击查看答案


65、单项选择题  肾上腺常用的检查方法为()

A.X线平片
B.选择性肾上腺动脉造影
C.子宫输卵管造影
D.盆腔动脉造影
E.精囊输精管造影


点击查看答案


66、单项选择题  “肺动脉段缩小”最常见于()

A.房间隔缺损
B.法洛四联征
C.三尖瓣闭锁
D.动脉导管未闭
E.Esenmenger综合征


点击查看答案


67、名词解释  Dyggve-Melchior-Clausen综合征


点击查看答案


68、单项选择题  常规胸片,对哪种结构显示最差()

A.肋骨
B.肋软骨
C.锁骨
D.横膈
E.胸椎


点击查看答案


69、多项选择题  可引起眶窝小的疾病有()

A.无眼球、小眼球
B.筛窦粘膜囊肿
C.婴儿期眼球摘除术后
D.骨瘤
E.眼球肿瘤


点击查看答案


70、单项选择题  X线摄片某处对入射光线吸收率为90%,此处的光学密度值为()

A.0.1
B.0.9
C.1.0
D.2.0
E.3.0


点击查看答案


71、单项选择题  上部胸椎侧位摄片,下述方法哪项错误()

A.取侧卧位
B.近台侧上肢屈曲上举
C.远台侧上肢置身体后下方
D.中心线向头侧倾斜15°角
E.平静呼吸中屏气曝光


点击查看答案


72、判断题  急性化脓性骨髓炎,骨膜反应的范围一般同骨的病变范围一致。


点击查看答案


73、单项选择题  新生儿有几个囟门()

A.4个
B.2个
C.5个
D.6个
E.7个


点击查看答案


74、判断题  肺类风湿病可出现两上肺纤维化且合并空洞形成,与肺结核病有时难以区别。


点击查看答案


75、单项选择题  下述除哪项外均为影响骨骼钙代谢的主要因素()

A.血清中钙磷含量的高低
B.体内维生素B含量的高低
C.小肠中钙、磷吸收的多少
D.甲状旁腺毒性与维生素D的比例关系
E.肾脏对Ca的再吸收与排泄作用


点击查看答案


76、单项选择题  关于支气管肺癌,下列描述错误的是()

A.鳞癌多见
B.起源于支气管粘膜上皮
C.周围型肺癌可钙化
D.周围型和中央型肺癌都易出现肺气肿、肺不张
E.周围型肺癌起源于段及段以下支气管


点击查看答案


77、填空题  包虫囊肿破入胸腔引起____________和_________,破入支气管时咳出大量_________。


点击查看答案


78、单项选择题  下列组合中,关系最密切的是()

A.甲状旁腺——脑室
B.松果体——蝶鞍
C.泪腺——上颌窦
D.晶状体——基底核
E.脑垂体——蝶骨


点击查看答案


79、单项选择题  经纬仪安置时,对中的目的是使仪器的()。

A.仪器中心与测站点的标志中心在同一铅垂线上
B.水准管气泡居中
C.竖盘指标处于正确位置
D.仪器中心与测站点的标志中心在同一铅垂线上


点击查看答案


80、单项选择题  下列哪项不是食管贲门失弛缓症的征象()

A.狭窄段管壁僵硬
B.食管内有液平面现象
C.蠕动减弱或消失
D.钡剂通过缓慢
E.食管下段狭窄,上方扩张明显


点击查看答案


81、填空题  先天性心脏病按X线片肺血情况分为__________、__________、___________。


点击查看答案


82、单项选择题  膝关节髁间凹后前位片,髁间凹呈()

A.正位投影
B.侧位投影
C.斜位投影
D.轴位投影
E.切线位投影


点击查看答案


83、单项选择题  指出下列摄片技术中,不正确的是()

A.柯氏位可显示筛窦的前后两组影
B.眼眶肿物应选择柯氏位、瑞氏位和眶缘切线位
C.上颌窦肿瘤取瓦特位外,还应摄取颅底减角位(半轴位)
D.瓦特位,两侧密度不一致(非病变所致)的原因,主要是中心线偏斜或滤线栅侧向倾斜造成的切割效应
E.眶下裂摄片采用取头颅后前正位,中心线向头侧倾斜20°


点击查看答案


84、单项选择题  关于肺透明膜病,下列观点错误的是()

A.多见于早产儿
B.与母亲患尿崩症无关
C.双肺透亮度增高
D.早期,肺纹理增多,呈网状细颗粒样
E.晚期,支气管气相 


点击查看答案


85、判断题  氟骨症骨质软化经常合并骨质疏松,并与硬化混和。


点击查看答案


86、多项选择题  关于结肠癌的X线表现,哪些是正确的()

A.腔内不规则龛影
B.腔内充盈缺损
C.肠腔狭窄,局限于一侧或呈环形
D.龛影周围宽窄不一的环堤
E.病变肠壁僵硬


点击查看答案


87、单项选择题  下述“少年结肠息肉”特点,错误的是()

A.孤立性息肉发病率最高
B.孤立性息肉恶变率最高
C.6个以上息肉:少年结肠息肉病
D.居儿童结肠肿瘤发病首位
E.婴儿型发病率最低


点击查看答案


88、单项选择题  哪个部位的化脓性骨髓炎最易形成的脓肿()

A.手指骨
B.髂骨
C.股骨干骺端
D.胫骨下端
E.脊柱


点击查看答案


89、单项选择题  

女,28岁,反复骨骼疼痛,结合图像,最可能的诊断是()

A.地中海贫血
B.镰状细胞贫血
C.白血病
D.脊椎退行性变
E.椎间盘突出


点击查看答案


90、多项选择题  关于气胸下列哪项正确()

A.胸部平片不易发现微量气胸
B.所有气胸都有加重甚至发展为张力性气胸的可能
C.气胸在胸部平片上大多能得到明确诊断
D.CT检查的目的是发现少量气胸及少见部位的气胸
E.检查微量气胸时,宜用呼气相扫描


点击查看答案


91、判断题  主-肺动脉间隔缺损以右心增大为主,主动脉结常缩小。


点击查看答案


92、多项选择题  肺间质包含下述哪些成分()

A.肺泡间隔
B.小叶间隔
C.肺泡管
D.肺泡壁
E.支气管及血管的周围组织


点击查看答案


93、多项选择题  乳腺纤维腺瘤X线表现为()

A.多呈圆形或椭圆形
B.偶可略为分叶状
C.边缘光整,密度较高且均匀
D.可伴有晕征
E.有时肿瘤内可见钙化


点击查看答案


94、单项选择题  下列关于结核性冷脓肿的描述,正确的是()

A.脓肿的弧度越大,密度越高,常提示具有活动性
B.脊柱周围的梭形软组织影
C.冷脓肿常见于脊椎结核
D.脓肿内为干酪样坏死
E.以上都是


点击查看答案


95、单项选择题  

女,51岁,胸闷、咳嗽、咳痰2月余,3年前被确诊为子宫平滑肌肉瘤,结合胸片,最可能的诊断是()

A.粟粒型肺结核
B.肺转移瘤
C.结节病
D.胶原病
E.真菌病


点击查看答案


96、单项选择题  盘状肺不张的影像特征是()

A.近肺底的横行条状致密
B.尖端指向肺门的三角形致密影
C.弥漫分布斑片状影
D.一侧肺致密影伴纵隔向患侧移位
E.3~5cm大小肿块影,伴“彗星尾”征


点击查看答案


97、单项选择题  12岁,男性,胸片示左下肺3cm肿块,肿块表面光滑、质地均匀,CT平扫为软组织密度,CT增强明显强化,最可能的诊断是()

A.左下肺结核瘤
B.左下隔离肺
C.左下肺支气管扩张
D.左下肺周围型肺癌
E.类风湿肺改变


点击查看答案


98、单项选择题  下列有关左心房增大影像表现,哪项不对()

A.后前位,右心缘"双房影"
B.后前位,支气管分叉角度增大
C.左前斜位,左下叶支气管后移
D.左前斜位,心前间隙缩小甚至消失
E.侧位示心后缘上部突出、食管受压


点击查看答案


99、填空题  颞骨骨折按骨折线与岩锥长轴的关系可分为________、___________和____________。


点击查看答案


100、判断题  过敏性肺炎患者化验检查嗜酸性粒细胞计数减低。


点击查看答案


101、单项选择题  慢性铅中毒时,若铅摄入停止,几年内铅线将逐渐消失()

A.6年
B.7年
C.8年
D.4年
E.9年


点击查看答案


102、单项选择题  周围型肺癌是指肿瘤发生在()

A.两肺野内
B.段以上支气管
C.段及段以上支气管
D.段以下支气管
E.叶及叶以下支气管


点击查看答案


103、单项选择题  乳突双15°侧位,亦称为()

A.劳氏位(LaW位)
B.许氏位(Schuller位)
C.伦氏位(Runstrom位)
D.梅氏位(Mayer位)
E.斯氏位(Stenever位)


点击查看答案


104、单项选择题  风湿性心脏病左房室瓣关闭不全的主要表现是()

A.左心房、右心室增大
B.右心室肥大
C.左心室增大
D.左心房、左心室增大
E.右心房增大


点击查看答案


105、单项选择题  “骨龄延迟”可见于()

A.垂体性侏儒
B.肾上腺皮质增生
C.松果体瘤
D.Albright综合征
E.以上都不对


点击查看答案


106、单项选择题  下列哪种病变一般不表现为单侧肾影缩小()

A.肾梗死
B.肾结核
C.肾血管平滑肌脂肪瘤
D.肾动脉狭窄
E.肾发育不良


点击查看答案


107、单项选择题  关于正常肺纹理描述不妥的是()

A.肺动静脉构成,以肺动脉为主
B.自肺门出发向肺外围走行呈树枝状影
C.有时支气管、淋巴管亦显影
D.主要分布于肺内中带
E.动脉性肺纹理细而致密,走行清晰而直


点击查看答案


108、单项选择题  胸膜斑最好发于()

A.肺尖部胸膜
B.后胸壁胸膜
C.纵隔胸膜
D.侧胸壁和膈肌胸膜部分
E.前胸壁胸膜


点击查看答案


109、多项选择题  缩窄性心包炎的X线征象为()

A.心影增大
B.心影边缘不规则
C.上纵隔阴影增宽
D.心包钙化
E.胸膜增厚、粘连


点击查看答案


110、单项选择题  

男,24岁,低热2周,咳少量痰。胸片示右上肺不均密度增高影,其中有空洞形成,血沉45mm/h。

下列哪项检查对诊断最有意义()

A.血常规
B.痰细菌培养
C.纤维支气管镜
D.痰抗酸杆菌检查
E.血沉


点击查看答案


111、填空题  Judet分类法将髋臼骨折分为3型,即Ⅰ型为_____________;Ⅱ型为_____________;Ⅲ型为____________。


点击查看答案


112、名词解释  黏多糖贮积症(MPS)


点击查看答案


113、单项选择题  下列除哪项外均为肌源性肉瘤()

A.平滑肌肉瘤
B.血管外皮细胞瘤
C.纤维平滑肌肉瘤
D.横纹肌肉瘤
E.癌肉瘤


点击查看答案


114、多项选择题  消化道粘膜的改变包括()

A.粘膜皱襞增粗、扭曲
B.龛影
C.粘膜破坏
D.粘膜皱襞纠集
E.微皱襞的改变


点击查看答案


115、判断题  慢性支气管炎影像学表现无特征性,故此类患者做影像学检查毫无价值。


点击查看答案


116、名词解释  肺-肾综合征


点击查看答案


117、配伍题  位于乙状结肠直肠连接部的是()
位于降结肠乙状结肠交界处的是()
位于脾曲的是()

A.Payr~Strauss括约肌
B.Cannm括约肌
C.Bakki括约肌
D.Rossi括约肌
E.Mouttier括约肌


点击查看答案


118、单项选择题  肺结核的并发症中,哪项较少见到()

A.肺结核并肺癌
B.肺结核并发肺气肿
C.肺结核并发支气管结核
D.肺结核并发支气管扩张
E.肺结核并发肺不张


点击查看答案


119、单项选择题  下列关于急性肺脓肿的描述,不正确的是()

A.葡萄球菌、肺炎链球菌为常见致病菌
B.常有高热、寒战、大量脓痰
C.邻近胸膜增厚,甚至脓胸形成
D.多数急性空洞为薄壁空洞
E.急性空洞常有“液平面”


点击查看答案


120、填空题  肺真菌病影像学表现的病理基础有__________、___________、_____________、_______________、_______________和_____________。


点击查看答案


121、名词解释  染色体病


点击查看答案


122、单项选择题  

男,28岁,从高处坠落后双足疼痛1月余,结合影像学检查,最可能的诊断是()

A.跟骨骨折
B.骰骨骨折
C.距骨骨折
D.舟状骨骨折
E.楔骨骨折


点击查看答案


123、单项选择题  法洛四联征的心影,多表现为()

A.明显增大
B.进行性增大
C.缩小
D.正常或轻度增大
E.雪人征


点击查看答案


124、单项选择题  

女,13岁,发热、乏力数天,X线检查如图,最可能的诊断是()

A.胸腺瘤
B.淋巴瘤
C.畸胎瘤
D.间皮囊肿
E.神经源性肿瘤


点击查看答案


125、单项选择题  支气管扩张的正确表现为()

A.后天病因有肺炎、慢性支气管炎
B.看不到气液平面
C.有支气管扩张的肺叶膨胀
D.可发生于各个肺叶,但上叶最多见
E.可有囊状扩张、柱状扩张


点击查看答案


126、单项选择题  

男,65岁。走路时,不慎摔倒。查体:左下肢缩短,外旋50°畸形。

该患者最可能的诊断为()

A.左粗隆间骨折
B.左股骨颈骨折
C.左髋关节脱位
D.左髋软组织挫伤
E.左髋臼骨折


点击查看答案


127、单项选择题  左心房增大最早出现的X线征象是()

A.轻度肺淤血
B.左心房耳部突出
C.左前斜位左主支气管抬高
D.心脏右缘出现双房影
E.吞钡检查见食管局限性压迹


点击查看答案


128、单项选择题  小肠出血确诊的主要依据为()

A.钡餐透视
B.双重造影
C.CT
D.B型超声
E.血管造影


点击查看答案


129、单项选择题  下述哪种心脏病不引起两肺门增大()

A.房间隔缺损
B.室间隔缺损
C.肺源性心脏病
D.肺动脉狭窄
E.动脉导管未闭


点击查看答案


130、单项选择题  下列关于乳腺摄影技术中不正确的是()

A.不用或只用单面增感屏 
B.低电压
C.只需拍侧位片 
D.低电流 
E.钼靶 


点击查看答案


131、名词解释  重叠移位


点击查看答案


132、单项选择题  脾脏最常见的原发恶性肿瘤是()

A.转移性肿瘤
B.恶性淋巴瘤
C.网织细胞肉瘤
D.纤维肉瘤
E.血管肉瘤


点击查看答案


133、多项选择题  胸部内脏平片检查主要包括()

A.锁骨平片检查
B.胸骨平片检查
C.肺的平片检查
D.心及大血管的平片检查
E.胸椎的平片检查


点击查看答案


134、单项选择题  软线摄影的管电压范围为()

A.25kV
B.25~40kV
C.40~100kV
D.40~60kV
E.100~200kV


点击查看答案


135、名词解释  狭颈征


点击查看答案


136、单项选择题  关于“子宫输卵管造影”禁忌证,错误的是()

A.不孕症
B.分娩、流产、清宫术后6周内
C.内生殖器急性炎症
D.妊娠
E.碘过敏


点击查看答案


137、判断题  夏科关节最早的X线表现是关节囊肿胀,轻微半脱位。


点击查看答案


138、单项选择题  下列哪一项临床表现对骨髓瘤的诊断最有价值()

A.50岁以上的男性
B.尿中出现本—周蛋白
C.进行性贫血
D.病理性骨折
E.血清钙及球蛋白升高


点击查看答案


139、单项选择题  钡餐示“食管远端鸟嘴样狭窄”,则可除外()

A.贲门失弛缓症
B.食管裂孔疝
C.消化性溃疡
D.胃底贲门癌
E.食管静脉曲张


点击查看答案


140、多项选择题  哪些属半透异物()

A.钢
B.铝
C.矿砂
D.石片
E.玻璃屑


点击查看答案


141、单项选择题  下述类风湿关节炎的X线表现错误的是()

A.关节肿胀
B.骨质疏松
C.关节间隙变窄
D.皮下组织钙化
E.以上都不是


点击查看答案


142、单项选择题  在胸部平片上,可见圆形或类圆形的孤立性结节影的是()

A.结节病
B.结核球
C.慢性支气管炎
D.肺泡蛋白沉积症
E.肺不张


点击查看答案


143、多项选择题  十二指肠炎的影像特征是()

A.球部激惹征
B.球部龛影
C.球部痉挛
D.球部变形
E.球部无明显变形


点击查看答案


144、单项选择题  下列哪项不是诱发泌尿系感染的危险因素()

A.糖尿病
B.妊娠
C.前列腺肥大
D.泌尿道结石
E.直肠超声探头检查


点击查看答案


145、单项选择题  下述“骨样骨瘤”诊断要点中,哪项错误()

A.夜间痛明显
B.低密度病灶内常有钙化
C.多数患者小于30岁
D.长骨干骺端多见
E.伴广泛骨质增生、硬化的皮质内密度减低区


点击查看答案


146、多项选择题  影响X线照片密度因素的叙述,正确的是()

A.影像密度的大小取决于照射量因素
B.密度决定于胶片对其照射量的反应特性
C.低电压技术摄片管电压对照片密度的影响小
D.高电压摄片时,摄片条件选择的通融性小
E.低电压摄片时,宽容度大


点击查看答案


147、填空题  房间隔缺损,按缺损部位分为__________、__________、__________。


点击查看答案


148、单项选择题  关于桡腕关节的描述正确的是()

A.由桡骨下端的腕关节面构成关节窝
B.属椭圆关节
C.由近侧副腕骨构成关节头
D.伸蜘宙度大于屈,外展的幅度大于内收
E.舟骨、月骨、三角骨、钩状骨均参与构成


点击查看答案


149、单项选择题  下列球形病灶的钙化特征中,哪项是不正确的()

A.结核球-斑点状或环层状钙化
B.肺炎性假瘤-粗钙化斑点
C.肉芽肿-成层形钙化
D.错构瘤-爆米花样钙化
E.矽肺-蛋壳样钙化


点击查看答案


150、单项选择题  关于胸椎摄影,下列选项中正确的是()

A.上腰椎或下颈椎 
B.只需摄待检胸椎局部正侧位片 
C.下颈椎 
D.上腰椎 
E.以上都不对


点击查看答案


151、填空题  最常见的三种小肠恶性肿瘤是________、_____________和____________,其发生部位与__________有关。


点击查看答案


152、单项选择题  有关前列腺肥大的描述,正确的是()

A.CT检查价值不大
B.多发生在侧叶及中叶
C.X线平片检查有较大价值
D.主要症状为发热、尿频
E.青少年发病率较高


点击查看答案


153、单项选择题  关于膈肌矛盾运动透视表现,正确的是()

A.吸气时,健侧膈肌下降,病侧上升
B.吸气时,健侧膈肌上升,病侧下降
C.呼气时,健侧膈肌上升,病侧下降
D.呼气时,健侧膈肌下降,病侧上升
E.以上描述都不是 


点击查看答案


154、单项选择题  膀胱造影的术前准备,不包括()

A.排尿
B.清洁肠道
C.备好导尿管
D.将对比剂加热至体温
E.检查前12小时禁水


点击查看答案


155、单项选择题  下述哪项属肺实质()

A.肺泡
B.肺泡间隔
C.小叶间隔
D.支气管周围组织
E.血管周围组织


点击查看答案


156、单项选择题  腐蚀性食管炎病变较重者的X线表现中,应除外()

A.可侵及全部食管
B.早期食管明显痉挛与不规则收缩
C.食管边缘呈锯齿状与串珠状
D.食管粘膜正常或增粗扭曲
E.狭窄段常起于主动脉弓下方,呈向心性


点击查看答案


157、名词解释  C-E角


点击查看答案


158、单项选择题  下列哪种表现只见于“脊柱化脓性骨髓炎”,而不见于“脊柱结核”()

A.椎体融合
B.椎间隙变窄
C.椎体骨质破坏
D.骨质硬化
E.椎旁脓肿


点击查看答案


159、单项选择题  骨质增生由下述哪种原因引起()

A.骨动脉或静脉栓塞及血栓形成
B.肿瘤组织形成的肿瘤骨
C.成骨细胞活动形成新生骨或软骨内成骨
D.软骨细胞活动形成新生骨
E.以上都不是


点击查看答案


160、单项选择题  肺门舞蹈征最多见于哪种先天性心脏病()

A.动脉导管未闭
B.室间隔缺损
C.房间隔缺损
D.法洛四联征
E.艾森曼格综合征


点击查看答案


161、判断题  膈膨升主要表现为膈肌矛盾运动和膈的升高。


点击查看答案


162、单项选择题  生长缓慢,表面光滑的乳腺单发性无痛性肿块,应首先考虑为()

A.乳腺癌
B.乳腺囊性增生病
C.乳腺纤维腺瘤
D.急性乳腺炎
E.以上都不对


点击查看答案


163、单项选择题  

女,39岁,左下肺叶切除术后。体检:左下肺呼吸音弱,行胸腔闭式引流术,引流出脓性分泌物。结合图像,最可能的诊断为()

A.正常表现
B.会厌征
C.食管憩室
D.食管溃疡
E.食管下段胸腔瘘


点击查看答案


164、判断题  骨间板中有血管通道,因此不易发生缺因坏死。


点击查看答案


165、判断题  肺动静脉瘘有两种病理类型,在临床都可出现青紫。


点击查看答案


166、单项选择题  后前位胸片于右主支气管角部可见小椭圆形致密影,这是()

A.气管旁淋巴结
B.无名静脉
C.奇静脉
D.钙化灶
E.半奇静脉


点击查看答案


167、单项选择题  骨样骨瘤由以下哪两部分组成()

A.瘤巢和周围骨质硬化区
B.瘤巢和周围骨质破坏区
C.砂粒样物质和周围骨质破坏区
D.砂粒样物质和周围骨质硬化区
E.瘤巢和砂粒样物质


点击查看答案


168、单项选择题  肺挫伤为()

A.X线胸片呈肺野磨玻璃样变或面纱征
B.X线胸片呈多发边缘锐利、密度均匀高密度影
C.X线胸片呈一侧胸腔一片致密均匀阴影,纵隔向健侧移位
D.X线胸片呈纵隔气肿,大量气胸
E.X线胸片呈心影明显增大,心脏各弧消失


点击查看答案


169、单项选择题  关于膝关节正位、侧位的标准片所见,哪项是错误的()

A.膝关节正位片包括股骨两髁、胫骨两髁及腓骨小头
B.膝关节正位关节呈平行等距,位于照片正中
C.膝关节正位腓骨小头与胫骨应分开5cm
D.膝关节侧位股骨两髁相重叠,关节位于照片正中
E.膝关节侧位髌骨呈侧位显示,与股骨间隙分离明确,关节面无双边


点击查看答案


170、名词解释  项圈征


点击查看答案


171、单项选择题  浸润型肺结核是指()

A.原发综合征
B.胸内淋巴结结核
C.结核性胸膜炎
D.以上均是
E.以上均不是


点击查看答案


172、名词解释  骨龄


点击查看答案


173、多项选择题  椎体外伤性压缩骨折的X线表现有()

A.相邻椎体骨质破坏
B.椎间隙正常
C.椎旁冷脓肿形成
D.椎体压缩呈楔形 
E.椎体后突畸形


点击查看答案


174、名词解释  充盈缺损


点击查看答案


175、单项选择题  单侧肾绞痛伴血尿者,腹部平片无异常,静脉肾盂造影不显影,而逆行肾盂造影显示正常,应首先考虑()

A.结石
B.急性尿路感染
C.肾动脉感染
D.肾静脉栓塞
E.输尿管肿瘤


点击查看答案


176、单项选择题  慢性化脓性骨髓炎的基本X线表现是()

A.软组织肿胀和(或)窦道形成
B.骨轮廓粗大变形
C.骨质破坏与增生同时存在,并可有死骨
D.病理骨折
E.继发性化脓性关节炎


点击查看答案


177、单项选择题  与形成X线照片影像的要素无关的是()

A.照片密度
B.照片的对比度
C.照片的锐利度
D.照片的颗粒度
E.照片的几何精度


点击查看答案


178、单项选择题  

男,35岁,发热、贫血、血尿,有副鼻窦炎,结合X线图像,最可能的诊断是()

A.肺脓肿
B.周围型肺癌
C.肺转移瘤
D.肺结核
E.韦格肉芽肿


点击查看答案


179、单项选择题  腰椎在斜位X线片上显像似一只狗的样子,下列叙述不正确的是()

A.横突为“狗嘴”
B.主要观察椎弓峡部
C.下关节突为“狗前腿”
D.对侧横突为“狗后腿”
E.椎弓根为“狗眼”


点击查看答案


180、多项选择题  下列关于肾癌的影像,正确的为()

A.肾影局限性增大
B.IVP正常也不能完全除外肾癌
C.肾盂、肾盏移位
D.均有肾盂积水、肾功能降低
E.肾盂内可有充盈缺损


点击查看答案


181、单项选择题  X线平片上可见部分骨小梁与压力方向一致,部分与张力方向一致者为()

A.股骨干
B.股骨近端
C.肱骨干
D.胫骨近端
E.髂骨


点击查看答案


182、判断题  肋骨的外伤可不表现为骨折,而表现为脱位。


点击查看答案


183、单项选择题  

骨盆是由哪几部分构成的()
a.股骨
b.耻骨
c.坐骨
d.髂骨
e.距骨

A.a,b,c
B.a,b,e
C.a,d,e
D.b,c,d
E.c,d,e


点击查看答案


184、单项选择题  

男,6岁。经常咳嗽、憋喘,呼吸急促、口唇青紫,进行性加重。X线检查如图,最可能的诊断为()

A.先天性PDA
B.先天性VSD
C.先天性ASD
D.法洛氏四联症
E.先天性肺动静脉瘘


点击查看答案


185、单项选择题  X线管的靶面材料通常是()

A.铁
B.钨
C.金
D.铜
E.锌


点击查看答案


186、判断题  早期结肠癌的最佳检查方法是钡剂灌肠。


点击查看答案


187、单项选择题  关于膝关节描述正确的是()

A.是人体X线片上最大的关节间隙
B.股骨和胫骨不在一条轴线上
C.腓骨小头位于腓肠肌内侧头肌腱内
D.成人膝关节间隙为6~8mm
E.以上都不正确


点击查看答案


188、单项选择题  下列关于恶性泪腺肿瘤的X线表现中,错误的是()

A.泪腺窝骨壁结构模糊、吸收
B.局部眶部变薄、边缘光滑
C.病灶边缘模糊
D.不规则虫蚀样破坏
E.眼眶轻度普遍性扩大


点击查看答案


189、填空题  后纵隔神经源性肿瘤主要分_____________与______________两大类。


点击查看答案


190、单项选择题  下列关于肾脏X线解剖描述错误的是()

A.KUB片上肾脏位于第12胸椎到第2~3腰椎两侧
B.侧位片上肾脏影一般在脊柱前缘的后方
C.肾内缘较外缘靠前
D.KUB片上可观察到肾周围的脂肪组织
E.正常情况下,肾上下左右均有一定的移动度


点击查看答案


191、多项选择题  副鼻窦病变常见的异常X线征象有()

A.窦腔混浊、密度增加
B.粘膜肥厚
C.窦腔内软组织块影
D.窦腔内液平面
E.窦腔增大或缩小


点击查看答案


192、单项选择题  散射线量与有关因素的关系,正确的是()

A.与mA成反比
B.kV升高,散射线量增加
C.与肢体厚度成反比
D.与距离成正比
E.以上都不是


点击查看答案


193、单项选择题  结核杆菌最多通过什么途径进入骨或关节部位()

A.直接扩散
B.淋巴系统
C.开放性损伤
D.血液循环
E.呼吸道传播


点击查看答案


194、多项选择题  有关消化道疾病的描述,正确的是()

A.静脉曲张只见于食管,胃部见不到
B.食管癌中以鳞癌多见
C.对比造影在胃癌诊断上是重要的
D.十二指肠球部溃疡较升段者多
E.小弯侧较大弯侧的胃溃疡发生率高


点击查看答案


195、单项选择题  关于动脉导管未闭,胸片见不到()

A.漏斗征
B.主动脉结缩小
C.主动脉结增大
D.肺动脉段突出
E.肺门影增大,结构清晰


点击查看答案


196、单项选择题  人体最重要的排泄器官是()

A.皮肤
B.肺
C.消化道
D.肾
E.唾液腺


点击查看答案


197、多项选择题  病理性骨折的全身性病变见于()

A.骨质软化
B.骨肿瘤
C.骨肿瘤样病变
D.骨发育障碍
E.骨质疏松


点击查看答案


198、多项选择题  克罗恩(Crohn)病发生的常见部位是()

A.十二指肠
B.胃
C.回肠
D.食管
E.结肠


点击查看答案


199、单项选择题  

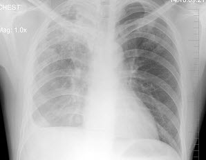
男,65岁,呼吸困难伴胸闷1月余,胸片如图,最可能的诊断为()

A.气胸
B.肺结核
C.慢性支气管炎并肺气肿
D.肺部感染
E.支气管扩张


点击查看答案


200、单项选择题  关于胸部钝伤,下列知识哪项不对()

A.正位胸片正常就可除外肋骨骨折
B.胸骨骨折常合并心脏、大血管伤
C.食管破裂多发生于食管下1/3段
D.肺挫裂伤常见于有肋骨骨折者
E.气胸常见于不伴肋骨骨折的胸部钝伤


点击查看答案


201、单项选择题  慢性支气管炎早期X线表现为()

A.肺纹理改变
B.肺气肿征象
C.肺动脉高压征象
D.肺部炎症
E.气管剑鞘状改变


点击查看答案


202、单项选择题  可造成纵隔向患侧移位的是()

A.一侧性肺气肿
B.气胸
C.胸腔积液
D.广泛性胸膜肥厚
E.较大肺肿瘤


点击查看答案


203、单项选择题  

女,16岁,左臀部疼痛伴发热2个月,摄片如图所示,最可能的诊断是()

A.左髂骨成骨肉瘤
B.左髂骨急性化脓性骨髓炎
C.左髂骨软骨肉瘤
D.左髂骨网状细胞肉瘤
E.以上均不正确


点击查看答案


204、单项选择题  关于右肺中叶不张的X线表现,下列错误的是()

A.后前位胸片上右下野中内带呈底向右心缘之三角形阴影
B.右心缘模糊
C.斜裂向上向前移位
D.水平裂下移
E.前弓位置显示该叶不明显


点击查看答案


205、名词解释  多发溃疡


点击查看答案


206、单项选择题  有关骨质增生的描述不妥的是()

A.骨质增生硬化就是骨量的增多
B.大多数机体代偿反应
C.骨质增生硬化是成骨增多
D.骨质增生硬化是破骨减少
E.骨质增生硬化是成骨增多、破骨减少


点击查看答案


207、单项选择题  骨盆的常规摄片位置()

A.前后位
B.后前位
C.侧位
D.斜位
E.轴位


点击查看答案


208、单项选择题  肺部急性炎症反应主要病理改变是()

A.钙化
B.渗出
C.增殖
D.纤维化
E.空洞


点击查看答案


209、单项选择题  下述二尖瓣关闭不全的诊断要点,错误的是()

A.心尖区闻及收缩期杂音
B.肺充血
C.支气管分叉角扩大
D.间隔线
E.心后间隙缩小


点击查看答案


210、填空题  泌尿系统结石依其发生部位分为_______、_____________、__________和____________。


点击查看答案


211、单项选择题  

男,6岁,来自干旱地区,腰背疼痛四肢关节酸痛,结合图像,最可能的诊断是()

A.氟骨症
B.畸形性骨炎
C.石骨症
D.髋关节结核
E.甲状旁腺功能亢进


点击查看答案


212、多项选择题  有关胃肠道粘膜的说法中,哪些正确()

A.空肠粘膜皱襞常显示为羽毛状影像
B.十二指肠球部粘膜皱襞为纵向、彼此平行的条纹
C.胃粘膜皱襞呈条纹状影
D.食管粘膜皱襞为纤细条纹状阴影
E.大肠粘膜皱襞为纵、横、斜3种方向交划结合的纹理


点击查看答案


213、多项选择题  关于X线球管的特性,错误的是()

A.灯丝加热为定值时,管电压增加,管电流增加
B.管电压增高,空间电荷减少,管电流减小
C.管电压相同,灯丝电流增加,管电流增加
D.管电压相同,灯丝电流增加,管电流减小
E.管电流相同,管电压高的灯丝加热电流低


点击查看答案


214、多项选择题  肾囊肿的影像表现为()

A.尿路造影可显示肾盏受压伸长,分开和变形,压迹呈弧形,边缘光整
B.肾动脉造影可见肾动脉受压、移位、拉直,实质期可见低密度的囊肿区
C.CT可示肾脏内圆形低密度区,转廓光滑
D.肾盏受压拉长,边缘呈虫蚀样破坏
E.肾静脉栓塞


点击查看答案


215、名词解释  维生素C缺乏症线


点击查看答案


216、单项选择题  关于连续X线光子能量的叙述,错误的是()

A.X线是一束混合能谱
B.能量大X线波长长
C.能量决定于电子的能量
D.能量决定于核电荷
E.能量决定于电子接近核的情况


点击查看答案


217、判断题  小肠憩室是指小肠壁局限性突出呈囊袋状。


点击查看答案


218、判断题  立位腹部平片对诊断急腹症无价值,必须行CT和超声检查。


点击查看答案


219、单项选择题  以下除哪种造影外,都能了解胆管结构()

A.PTC 
B.IVU 
C.ERCP 
D.术中胆道造影
E.T型管造影


点击查看答案


220、判断题  肺部真菌中绝大多数都可引起肺部病变。


点击查看答案


221、多项选择题  容易引起肋骨切迹的有()

A.肺静脉异位引流
B.动脉导管未闭
C.引流术后的法洛四联征
D.主动脉缩窄
E.腹主动脉血栓


点击查看答案


222、多项选择题  骨折的愈合过程可分为()

A.肉芽组织修复期
B.原发骨痂连接期
C.骨性愈合期
D.塑形期
E.假关节形成期


点击查看答案


223、单项选择题  X线诊断矽肺的肯定依据是()

A.团块阴影
B.结节阴影
C.网状阴影
D.边缘性肺气肿
E.肺门淋巴结蛋壳样钙化


点击查看答案


224、单项选择题  我国的放射卫生防护标准叙述,错误的是()

A.辐射实践正当化为放射防护的综合原则
B.我国放射卫生防护标准是GB4792
C.放射防护水平最优化为放射防护的综合原则
D.以剂量当量限值或最大充许剂量为唯一指标
E.个人剂量当量限值为放射防护的综合原则


点击查看答案


225、问答题  行钡餐检查前如何准备胃肠道?


点击查看答案


226、填空题  胃肉瘤以_________多见,其次为_________,少见者有_________、__________、_____________及________等。


点击查看答案


227、名词解释  shenton线


点击查看答案


228、问答题  软骨黏液样纤维瘤的X线表现有哪些?


点击查看答案


229、单项选择题  胸腔积液可为()

A.血性
B.脓性
C.乳糜性
D.以上都可以
E.以上都不是


点击查看答案


230、单项选择题  

男,28岁,近2月感乏力、食欲不佳,常有午后低热,有时盗汗,胸片如图,最可能的诊断为()

A.两肺细菌性炎症
B.原发性肺结核
C.继发性肺结核
D.肺脓肿
E.肺转移瘤


点击查看答案


231、单项选择题  子宫输卵管造影的禁忌证是()

A.子宫输卵管慢性炎症
B.子宫输卵管结核
C.子宫输卵管良性肿瘤
D.子宫输卵管位置形态异常
E.子宫输卵管出血


点击查看答案


232、单项选择题  

男,18岁,右股骨肿瘤术后,出现大腿中段疼痛,夜间尤甚,结合CT图像,最可能的诊断是()

A.骨纤维肉瘤
B.尤文肉瘤
C.骨肉瘤
D.成骨性骨转移瘤
E.化脓性骨髓炎


点击查看答案


233、填空题  十二指肠憩室多发生在____________________,其次为__________________。多数学者认为本病可能与________________、__________________有关。


点击查看答案


234、单项选择题  下列关于,高血压心脏病的描述错误的是()

A.心尖向左下延长
B.主动脉弓迂曲、上移
C.晚期可有肺淤血
D.晚期有肺水肿
E.左心缘反向搏动点不移


点击查看答案


235、判断题  木屑、竹刺和玻璃屑等部分吸收X线,形成密度较淡阴影。


点击查看答案


236、单项选择题  呼吸道合胞病毒性肺炎的影像特征()

A.数天内仅见双肺纹理增粗、毛糙
B.病理、影像表现演变快
C.伴弥漫性肺气肿的广泛间质性炎症改变
D.呈典型的支气管肺炎表现
E.间质纤维化伴肺大泡


点击查看答案


237、单项选择题  

男,41岁,中上腹腹痛,如图所示,最可能的诊断是()

A.溃疡型胃癌
B.胃溃疡
C.胃肉瘤
D.胃间质瘤
E.胃淋巴瘤


点击查看答案


238、多项选择题  下列叙述正确的是()

A.正常股骨头应在Perrin方格的内上象限
B.腕骨征阳性见于马德隆畸形
C.月骨正常为不等边四边形,若为三角形,表示月骨脱位
D.腕骨颈与股骨干在内方的颈干角约为125°
E.足内弓的正常值为115°~150°


点击查看答案


239、单项选择题  颈椎侧位片显示,齿状突和椎体间有横行透光线,边界光滑,局部无错位及骨质增生硬化,最大可能是()

A.齿状突陈旧性骨折
B.寰、枢椎半脱位及齿状突骨折
C.正常变异
D.齿状突横行透亮线为伪影
E.以上都不是


点击查看答案


240、单项选择题  脊椎骨折可出现()

A.脊椎后突成角
B.棘突撕脱骨折
C.棘突间隙增宽
D.截瘫
E.以上均可


点击查看答案


241、单项选择题  关于胶片γ值的叙述错误是()

A.γ值指胶片的反差系数
B.γ值大的胶片影像对比度小
C.γ值大的胶片宽容度小
D.γ值指的是直线部的斜率
E.X线胶片的γ值在2.5~3.0之间


点击查看答案


242、单项选择题  

男,56岁,踝关节肿胀,有糖尿病史,结合图像,最可能的诊断是()

A.创伤性关节炎
B.退行性关节病
C.痛风
D.类风湿关节炎
E.神经性关节病


点击查看答案


243、单项选择题  

女,30岁,右膝关节酸胀,疼痛不适5月,X线检查如图所示,下列描述正确的是()

A.骨质呈膨胀性破坏
B.骨质呈肥皂泡样破坏
C.骨质呈横向偏心性破坏
D.以上均正确
E.以上均不正确


点击查看答案


244、单项选择题  关于慢性支气管炎,下列影像错误的是()

A.X线表现常缺乏特征性
B.很少发生肺气肿
C.急性发作时,肺内可有斑片状影
D.病变多分布在中下肺野
E.肺纹理增多


点击查看答案


245、单项选择题  房间隔缺损第2孔型的血流动力学改变中,下列哪项不正确()

A.右心房血流量减少
B.右心室血流量增加
C.左心房血流量增加
D.肺动脉血流量增加
E.左心室血流量减少


点击查看答案


246、单项选择题  四肢长管状骨摄片时至少应包括()

A.长骨的两端
B.邻近两个关节
C.长骨的上端或下端
D.长骨的软组织
E.邻近一个关节


点击查看答案


247、多项选择题  下列引起局限性颅骨增生的疾病有()

A.脑膜瘤
B.慢性骨髓炎
C.陈旧性骨折
D.石骨症
E.骨瘤


点击查看答案


248、单项选择题  

女,1岁半,发热伴咳嗽5天,如图所示,最可能的诊断为()

A.支气管炎
B.肺门结核
C.支气管肺炎
D.肺隔离症
E.以上均不正确


点击查看答案


249、多项选择题  关于膝关节前后正位片显示标准,正确的是()

A.片包括股骨远端胫骨近端骨骼
B.关节面位于照片下1/3处显示
C.关节间隙内外两侧等距
D.腓骨小头与胫骨仅有小部分重叠
E.腓骨小头与胫骨不应有重叠


点击查看答案


250、名词解释  成角


点击查看答案


251、单项选择题  下列“脊柱结核”发病特点中,哪项正确()

A.溶骨性破坏为主
B.中心型,是最常见类型,腰椎多见
C.边缘型,胸椎多见
D.韧带下型,始于后纵韧带
E.附件型少见


点击查看答案


252、多项选择题  韩-薛-柯病的X线表现为()

A.病变呈边界清楚的溶骨性破坏区
B.可相互融合,呈不规则地图样颅骨缺损
C.严重者如象牙镂空或雕刻样改变
D.牙槽骨破坏可致牙齿歪斜或呈悬浮状
E.肺门增大、肺纹理增多、紊乱


点击查看答案


253、问答题  颞颌关节强直分几种?有何X线表现?


点击查看答案


254、判断题  左心房增大常伴有肺静脉高压。


点击查看答案


255、单项选择题  严重烧伤引起的骨损伤最主要的X线表现是()

A.肢体末端骨质坏死、炭化
B.骨质疏松
C.指(趾)骨骨膜炎
D.软组织钙化
E.骨生长发育异常


点击查看答案


256、判断题  慢性血行播散型肺结核为继发性肺结核的一种重要类型。


点击查看答案


257、判断题  胰腺癌首选的检查方法是X线平片检查。


点击查看答案


258、单项选择题  

男,38岁,因左髋关节疼痛跛行1年半,经治疗症状无明显好转,双髋关节正位片摄片如图所示,最可能诊断是()

A.左髋关节结核
B.左股骨头坏死(早期)
C.左股骨头坏死(活动期)
D.左股骨头坏死(稳定期)
E.左髋关节退变


点击查看答案


259、名词解释  横板征


点击查看答案


260、单项选择题  下列哪项是“逆行肾盂造影”的绝对禁忌证()

A.肝功能损害 
B.过敏体质 
C.肾功能损害 
D.老年体弱
E.下尿路感染


点击查看答案


261、多项选择题  

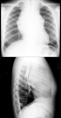
男,1岁零8个月,生长发育差,易患呼吸道感染,心悸气促,心脏正、侧位片检查如图所示,正确的描述和诊断是()

A.正位示心影向两侧扩大,心尖左移
B.肺纹理增多
C.侧位示心前间隙变窄,心后食管前三角间隙消失
D.房间隔缺损
E.室间隔缺损


点击查看答案


262、多项选择题  头颅侧位摄片,不能显示()

A.内听道
B.颅内钙化
C.枕骨大孔
D.视神经孔
E.蝶鞍侧位形态


点击查看答案


263、单项选择题  椎体与椎弓愈合的时间,一般为()

A.2~3岁
B.4~8岁
C.8~13岁
D.14~16岁
E.16~25岁


点击查看答案


264、填空题  椎间盘突出应与_______________________、_______________、________和________________作鉴别诊断。


点击查看答案


265、单项选择题  霉菌球是哪种疾病的影像特征()

A.曲菌病
B.隐球菌病
C.组织胞浆菌病
D.奴卡菌病
E.放线菌病


点击查看答案


266、单项选择题  肺结核病灶是否属开放性的主要依据是()

A.胸部X线摄片见干酪样病灶及空洞
B.肺结核空洞伴反复咯血
C.痰中找到结核菌
D.结核菌素试验为强阳性
E.肺结核已有血行播散


点击查看答案


267、问答题  黏多糖贮积症Ⅰ型的X线表现有哪些?


点击查看答案


268、单项选择题  

女,12岁,右小腿肿胀,疼痛,发热3月余,摄片如图所示,下列征象哪项是错误的()

A.骨质呈溶骨性破坏
B.骨质增生硬化
C.骨膜呈层状增生不明显
D.可见软组织肿块
E.软组织肿胀


点击查看答案


269、单项选择题  下列组合中,哪项不妥()

A.内听道——多轨道迹体层摄片
B.全泌尿系——全景摄片
C.关节腔——双重造影
D.甲状腺——软组织摄片
E.喉——高电压摄片


点击查看答案


270、单项选择题  正常肺腺泡直径为()

A.6~8mm
B.15mm
C.10mm
D.20mm
E.25mm


点击查看答案


271、单项选择题  X线胶片长轴与摄影床长轴平行称()

A.竖向
B.横向
C.立向
D.斜向
E.交叉向


点击查看答案


272、问答题  盔甲心


点击查看答案


273、单项选择题  跖骨头骨骺缺血坏死好发部位是()

A.第一跖骨头
B.第二跖骨头
C.第三跖骨头
D.第四跖骨头
E.第五跖骨头


点击查看答案


274、判断题  骨外骨肉瘤是起源于骨外的、分化程度较高的恶性成骨性骨肿瘤。


点击查看答案


275、单项选择题  选择防护材料时,不需考虑的因素是()

A.防护性能
B.运输安全
C.结构性能
D.稳定性能
E.经济成本


点击查看答案


276、配伍题  输尿管长约()
输精管长约()

A.15~20cm
B.30~45cm
C.25~30cm
D.2~8cm
E.10~12cm


点击查看答案


277、单项选择题  

男,61岁,进行性吞咽困难40天,体重减轻5kg,结合图像,最可能的诊断为()

A.外压改变
B.食管癌
C.食管平滑肌瘤
D.食管静脉曲张
E.贲门癌


点击查看答案


278、单项选择题  下列不同类型“肠梗阻”影像描述,哪项是错误的()

A.粘连性肠梗阻,假肿瘤征
B.小肠高位梗阻,消化管无明显积气、扩张
C.绞窄性肠梗阻,空回肠换位征
D.不完全性肠梗阻,结肠内可见到少量气体影
E.麻痹性肠梗阻,全消化道不同程度积气、扩张


点击查看答案


279、单项选择题  头颅侧位片,下列正常蝶鞍形态中,哪项不正确()

A.圆形
B.椭圆形
C.扁圆形
D.双鞍底
E.桥形蝶鞍


点击查看答案


280、单项选择题  骨髓瘤的X线表现中错误的是()

A.好发于颅骨、脊椎、骨盆、肋骨等部位
B.骨质普广泛疏松
C.颅骨呈多发性穿凿状破坏
D.椎弓根破坏
E.肋骨呈膨胀性分房状骨破坏


点击查看答案


281、单项选择题  关于X线照片质量客观评价方法的叙述,错误的是()

A.MTF——调制传递函数
B.LSF——点扩散函数
C.WS——维纳频谱
D.ACF——自相关函数
E.DQE——量子检出效率


点击查看答案


282、单项选择题  下述肺血减少的X线影像,可不出现的是()

A.肺纹理纤细、减少
B.肺门搏动减弱
C.肺门影缩小
D.肺透亮度增加
E.心腰凹陷


点击查看答案


283、配伍题  完全性肺静脉畸形引流可见于()
大动脉炎可见于()
动脉导管未闭可见于()

A.漏斗征
B.主动脉球征
C.主动脉球缩征
D.降主动脉内收征
E.“8”字形心脏


点击查看答案


284、单项选择题  

男,23岁,膝关节疼痛,结合图像,最可能的诊断是()

A.骨脓肿
B.骨样骨瘤
C.骨肉瘤
D.骨软骨瘤
E.骨囊肿


点击查看答案


285、判断题  肺泡蛋白沉积症除肺泡局限性病变,尚有全身各系统受累的症状。


点击查看答案


286、判断题  畸胎类肿瘤增强扫描呈强化不均匀,瘤灶一过性显著强化常提示恶性可能性大。


点击查看答案


287、单项选择题  摄四肢长管状骨X线片至少应包括()

A.患骨全程 
B.不必拍正位片 
C.邻近两个关节 
D.不必包括关节 
E.邻近一个关节


点击查看答案


288、单项选择题  肾动脉沿以下规律分布()

A.肾动脉一肾段动脉一弓形动脉一叶间动脉
B.肾动脉一肾段动脉一叶间动脉一叶间动脉一弓形动脉
C.肾动脉一肾段动脉一弓形动脉一叶间动脉一叶间动脉
D.肾动脉一肾段动脉一叶间动脉一弓形动脉一小叶间动脉
E.肾动脉一肾段动脉一叶间动脉一叶间动脉一弓形动脉一叶间动脉


点击查看答案


289、单项选择题  关于组织细胞增生症X线检查的描述,下列错误的是()

A.胸腔积液较少见
B.肺门淋巴结肿大
C.早期,弥漫分布网状结节影
D.晚期,蜂窝肺
E.骨骼系统病变


点击查看答案


290、多项选择题  关于“ERCP”的禁忌证,下列正确的是()

A.严重胆管感染 
B.慢性胰腺炎 
C.急性胰腺炎 
D.胆管肿瘤
E.慢性胰腺炎急性发作


点击查看答案


291、多项选择题  属于功能性胰岛细胞肿瘤的有哪些()

A.胰岛素瘤
B.胃泌素瘤
C.舒血管肠肽瘤
D.胰高血糖素瘤
E.生长抑素瘤


点击查看答案


292、多项选择题  腕部标准后前位片,当腕关节桡偏时()

A.头状骨轴线倾斜
B.钩骨长轴倾斜,舟骨变长
C.三角间隙扩大
D.三角间隙变窄
E.钩骨长轴变直,舟骨变长


点击查看答案


293、单项选择题  慢性肺炎的X线表现中,错误的是()

A.肺纹理增多、紊乱
B.规则圆形,边缘光整的肿块影
C.肺门增大影
D.蜂窝状阴影
E.局限性或弥漫性肺气肿


点击查看答案


294、单项选择题  下列组合,哪项是错误的()

A.腹腔内游离气体——十二指肠溃疡穿孔
B.胃粘膜下肿瘤——平滑肌瘤
C.结肠息肉——家族性因素
D.闭塞性肠绞痛——大肠癌
E.食管静脉曲张——胰腺癌


点击查看答案


295、单项选择题  

男,45岁,车祸后左膝部剧痛,活动受限2小时,结合影像学检查,最可能的诊断是()

A.股骨颈骨折
B.股骨下端骨折
C.柯莱斯骨折
D.胫骨骨折
E.腓骨骨折


点击查看答案


296、问答题  试述甲状旁腺功能亢进骨骼病变的常见X线表现?


点击查看答案


297、单项选择题  骨肉瘤主要转移途径为()

A.消化道转移
B.淋巴结转移
C.跳跃性转移
D.种植播散
E.血行转移


点击查看答案


298、单项选择题  下列关于淋巴瘤的描述,不正确的是()

A.恶性淋巴瘤常侵犯胸部
B.非霍奇金淋巴瘤侵犯纵隔者较少
C.淋巴瘤的淋巴结肿大常为对称性肿大
D.淋巴瘤的淋巴结肿大内可见出血坏死状
E.淋巴瘤可累及肺、心包


点击查看答案


299、单项选择题  下述“Peutz-Jegher综合征”病理特点,哪项正确()

A.结肠息肉呈弥漫性分布
B.小肠息肉,腺瘤居多
C.结肠内息肉,易恶变
D.没有胃息肉
E.常有结肠梗阻


点击查看答案


300、多项选择题  以下哪些骨肿瘤常见钙化()

A.骨瘤
B.骨肉瘤
C.骨巨细胞瘤
D.软骨瘤
E.软骨肉瘤


点击查看答案


题库试看结束后微信扫下方二维码即可打包下载完整版《★医学影像技术(医学高级)》题库
手机用户可保存上方二维码到手机中,在微信扫一扫中右上角选择“从相册选取二维码”即可。
题库试看结束后微信扫下方二维码即可打包下载完整版《医学影像技术(医学高级):X线》题库,分栏、分答案解析排版、小字体方便打印背记!经广大会员朋友实战检验,此方法考试通过率大大提高!绝对是您考试过关的不二利器
手机用户可保存上方二维码到手机中,在微信扫一扫中右上角选择“从相册选取二维码”即可。

微信搜索关注"91考试网"公众号,领30元,获取公务员事业编教师考试资料40G