医学影像技术(医学高级):X线考试资料(每日一练)

时间:2023-01-30 02:06:06

微信搜索关注"91考试网"公众号,领30元,获取事业编教师公务员等考试资料40G
题库试看结束后微信扫下方二维码即可打包下载完整版《★医学影像技术(医学高级)》题库
手机用户可保存上方二维码到手机中,在微信扫一扫中右上角选择“从相册选取二维码”即可。
题库试看结束后微信扫下方二维码即可打包下载完整版《医学影像技术(医学高级):X线》题库,分栏、分答案解析排版、小字体方便打印背记!经广大会员朋友实战检验,此方法考试通过率大大提高!绝对是您考试过关的不二利器
手机用户可保存上方二维码到手机中,在微信扫一扫中右上角选择“从相册选取二维码”即可。

1、单项选择题  

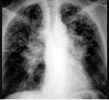
女,17岁,背部和正中胸部急性疼痛和带状疱疹感染,结合图像,最可能的诊断是()

A.镰状细胞贫血
B.地中海贫血
C.系统性红斑狼疮
D.类风湿关节炎
E.白血病


点击查看答案


2、单项选择题  关于“Colles骨折”,下列哪项不对()

A.桡骨远侧3cm以内骨折
B.骨折远端向背侧移位
C.骨折远端向尺侧移位并旋转
D.可合并尺骨茎突骨折和下尺桡关节脱位
E.手腕呈“勺状”畸形


点击查看答案


3、判断题  在正侧位片上均可见到水平裂和斜裂。


点击查看答案


4、单项选择题  长管状骨急性化脓性骨髓炎发病率从高到低的次序是()

A.胫骨>肱骨>股骨>桡骨
B.股骨>胫骨>肱骨>桡骨
C.肱骨>桡骨>胫骨>股骨
D.桡骨>肱骨>股骨>胫骨
E.胫骨>股骨>肱骨>桡骨


点击查看答案


5、单项选择题  女,41岁,上腹部不适、胀痛月余,经超声检查诊断为肝血管瘤,血管瘤瘤体较小,应选择哪种治疗()

A.手术治疗
B.介入栓塞治疗
C.穿刺注硬化剂
D.放疗
E.定期复查


点击查看答案


6、单项选择题  右肋缘下扪及肿块最常见原因是()

A.膈下脓肿
B.肿大的肝脏
C.肿大的胆囊
D.肝曲肿瘤
E.下垂的右肾


点击查看答案


7、单项选择题  下列哪项为骨骼摄片的最佳距离()

A.150cm
B.100cm
C.80cm
D.60cm
E.50cm


点击查看答案


8、多项选择题  判断对比剂过敏的依据,正确的是()

A.休克
B.便秘
C.打嗝
D.恶心呕吐
E.以上都是


点击查看答案


9、填空题  胆管癌多数为_______,少数为_________。肿瘤的生长方式可分为_________、_________和___________。


点击查看答案


10、单项选择题  从X线被照体→潜影→可见光→数字影像,这一程序转换的是()

A.I.I.TV
B.成像板
C.闪烁体+CCD摄像机阵列
D.直接转换平板探测器
E.间接转换平板探测器


点击查看答案


11、单项选择题  中年女性,咳嗽、胸痛、胸闷1月余。立位胸片示右下边缘模糊致密影,阴影上缘位于第四前肋水平,外高内低,患侧横膈显示不清,应首先考虑()

A.右侧自发性气胸
B.右下肺实变
C.右下肺不张
D.右侧大量胸腔积液
E.右侧中等量胸腔积液


点击查看答案


12、多项选择题  骨关节结核的主要X线表现是()

A.骨质增生
B.骨质破坏
C.骨质软化
D.骨质疏松
E.骨骼增粗变形


点击查看答案


13、单项选择题  肺转移病灶主要表现多发性、无钙化、边缘清楚的球形阴影,其原发灶是指()

A.乳腺癌
B.骨肉瘤
C.恶性甲状腺肿瘤
D.前列腺癌
E.绒毛膜上皮癌


点击查看答案


14、单项选择题  胸部摄片高千伏摄影是指()

A.≥90kV
B.≥100kV
C.≥110kV
D.≥120kV
E.≥130kV


点击查看答案


15、单项选择题  最容易观察颈椎结核椎旁脓肿的体位是()

A.正位X线片
B.侧位X线片
C.左斜位X线片
D.右斜位X线片
E.前屈侧位X线片


点击查看答案


16、单项选择题  维生素D缺乏病初期最早出现X线改变的部位是()

A.肋骨胸骨端
B.胫骨远侧干骺端
C.桡骨近侧干骺端
D.尺骨远侧干骺端
E.肱骨远侧干骺端


点击查看答案


17、单项选择题  IVP示单侧肾不显影,可能为()

A.马蹄肾
B.输尿管结石
C.肾下垂
D.驼峰肾
E.肾盂、输尿管重复畸形


点击查看答案


18、单项选择题  关于鼻窦恶性肿瘤,其病理上以下列哪种类型多见于()

A.腺癌
B.鳞状细胞癌
C.囊腺癌
D.未分化癌
E.肉瘤


点击查看答案


19、单项选择题  

女,根据其正常肘关节影像图像,判断其最可能的年龄()

A.17岁左右
B.27岁左右
C.67岁左右
D.37岁左右
E.57岁左右


点击查看答案


20、多项选择题  骨肉瘤基本X线表现包括()

A.骨质破坏
B.肿瘤骨
C.肿瘤软骨钙化
D.软组织肿块
E.骨膜增生和Codman三角


点击查看答案


21、单项选择题  原发性纵隔肿瘤中最常见的是()

A.恶性淋巴瘤
B.神经源性肿瘤
C.胸腺瘤
D.畸胎类肿瘤
E.胸内甲状腺肿


点击查看答案


22、单项选择题  儿童最常见的"左向右分流"先天性心脏病是()

A.房间隔缺损
B.室间隔缺损
C.房间隔缺损加室间隔缺损
D.动脉导管未闭
E.法洛四联征


点击查看答案


23、单项选择题  28岁,男性,咳嗽,胸闷1月余,持续2周,胸片示右下肺浅淡片状影,肺纹理增多,最可能的诊断是()

A.慢性纤维空洞型肺结核
B.慢性肺脓肿
C.自发性气胸
D.大叶性肺炎
E.支原体肺炎


点击查看答案


24、名词解释  骨折


点击查看答案


25、单项选择题  观察下列哪种结构,需用人工对比()

A.上颌窦
B.含气肺组织
C.肩关节
D.肾盂
E.骨盆


点击查看答案


26、单项选择题  

关于碘对比剂的叙述,哪个是正确的()
a.作为副作用之一可引起便秘
b.它是阳性对比剂
c.应用于泌尿系统造影
d.它分离子型和非离子型
e.可以不做碘过敏试验

A.a,b
B.a,e
C.b,c,d
D.c,d
E.d,e


点击查看答案


27、单项选择题  白星是指星状形中央的肿块影,常见于()

A.乳腺纤维瘤透明变性
B.乳腺硬化性导管增生
C.乳腺浸润性导管癌
D.乳腺术后瘢痕
E.乳腺脓肿


点击查看答案


28、单项选择题  病人在出现明显症状以前,X线片就能显示转移的是()

A.鼻咽癌
B.乳腺癌
C.肾癌
D.前列腺癌
E.胃癌


点击查看答案


29、单项选择题  

男,14岁。左大腿下段疼痛,伴高热,体温达39℃。查体:左股骨下段深压痛。

为明确诊断,首先应进行的辅助检查为()

A.B超检查
B.X线检查
C.核素骨显像
D.血管造影
E.MRI检查


点击查看答案


30、单项选择题  

早产儿,男,生后6小时,于生后2小时出现呼吸困难,如图,最可能的诊断为()

A.新生儿肺炎
B.新生儿湿肺
C.新生儿肺出血
D.新生儿呼吸窘迫综合症
E.胎粪吸入综合征


点击查看答案


31、问答题  良性骨肿瘤的X线表现有哪些?


点击查看答案


32、单项选择题  下列关于肺泡微石症的描述,错误的是()

A.血钙浓度正常
B.家族性
C.胸片呈“蜂窝状”影
D.结石成分与骨类似
E.两肺胸膜下区分布细小钙化影


点击查看答案


33、单项选择题  关于胸骨后甲状腺的描述,错误的是()

A.包括甲状腺肿、腺瘤和囊肿
B.伴有颈部甲状腺肿大
C.在前纵隔肿瘤中,其位置最高
D.有气管受压移位
E.胸骨后甲状腺无恶性病变


点击查看答案


34、多项选择题  胃溃疡特殊表现包括()

A.胃窦部溃疡
B.线形溃疡
C.巨大型溃疡
D.胼胝性溃疡
E.穿透性溃疡


点击查看答案


35、单项选择题  关于胸部外伤,下列描述错误的是()

A.常有多发肋骨骨折
B.易并发皮下气肿、气胸
C.创伤性膈疝,右侧多见
D.常有肺不张
E.可有肺出血


点击查看答案


36、单项选择题  显示心脏四个腔隙最佳的体位是()

A.后前位
B.左侧位
C.右侧位
D.左前斜位
E.右前斜位


点击查看答案


37、单项选择题  下列哪项类型的积液可出现外高内低的弧线()

A.游离性胸膜腔积液
B.包裹性胸膜腔积液
C.肺底积液
D.肺囊肿
E.肺脓肿


点击查看答案


38、单项选择题  

男,14岁,偶然发现双膝部肿块1天,双膝关节摄片如图,最可能的诊断是()

A.骨瘤
B.骨软骨瘤
C.局限性骨皮质增厚
D.软骨肉瘤
E.以上均不正确


点击查看答案


39、单项选择题  热容量的单位J和HU的换算关系是()

A.1HU=1.414J
B.1HU=0.4J
C.1HU=0.9J
D.1HU=0.71J
E.1HU=1.0J


点击查看答案


40、名词解释  椎体融合


点击查看答案


41、单项选择题  

男,3岁,咳嗽、低热2周余,不咯血、咳痰,X线检查如图,最可能的诊断是()

A.左肺炎症
B.左肺结核(Ⅰ型)
C.左肺结核(Ⅱ型)
D.左肺结核(Ⅲ型)
E.肺癌


点击查看答案


42、单项选择题  二尖瓣狭窄的心影X线表现为()

A.靴形
B.球形
C.烧瓶形
D.梨形
E.普大形


点击查看答案


43、单项选择题  关于足正位摄片,下列哪项错误()

A.为常规投照体位
B.可清晰显示距骨及跟骨
C.足底平踏暗盒
D.足趾应包括在胶片内
E.中心线可对准舟骰关节入射


点击查看答案


44、单项选择题  强直性脊柱炎的特征性X线表现是()

A.脊柱骨质破坏
B.关节表面破坏
C.关节面硬化
D.关节半脱位
E.椎旁韧带钙化骨化呈竹节样改变


点击查看答案


45、单项选择题  关于奇叶描述错误的是()

A.只见于右肺上叶纵隔侧
B.没有独立的支气管
C.奇叶的叶间裂共有四层胸膜
D.可以独立为一个肺叶
E.由右肺尖走向右肺门上方的奇静脉分隔形成


点击查看答案


46、单项选择题  

男,63岁,进行性吞咽困难1月。食管钡餐示:食管下段粘膜不规则充盈缺损,管腔狭窄,贲门扩张欠佳。

最可能的诊断是()

A.食管下段炎症
B.食管下段溃疡侵及贲门
C.食管下段癌侵及贲门
D.食管下段静脉曲张
E.以上都不对


点击查看答案


47、多项选择题  常可发生少血管型肝转移的是()

A.平滑肌肉瘤
B.甲状腺癌
C.胃癌
D.肾癌
E.恶性淋巴瘤


点击查看答案


48、单项选择题  贲门失弛缓症较具特征的X线表现是()

A.食管下端边缘呈锯齿状
B.食管下端不规则充盈缺损
C.食管下端狭窄,边缘光整,粘膜正常
D.食管下端狭窄,局部僵硬,不能扩张
E.以上都不是


点击查看答案


49、单项选择题  下列胸腔积液影像,哪项不对()

A.正位片,100ml积液即可有肋膈角变钝、消失
B.立位片,中等量胸腔积液时不能显示患侧膈肌
C.正位片,后胸壁包裹性积液为边缘模糊致密影
D.切线位,包裹性积液为梭形致密影
E.正位片,斜裂叶间积液为片状模糊影


点击查看答案


50、问答题  婴幼儿肺炎的X线胸片有哪些特点?


点击查看答案


51、问答题  阐述骨巨细胞瘤的X线表现?


点击查看答案


52、单项选择题  肺静脉高压在胸片上最早表现为()

A.上肺静脉扩张
B.下肺静脉扩张
C.上肺静脉收缩
D.下肺静脉收缩
E.间质性肺水肿


点击查看答案


53、单项选择题  “消化道恶性肿瘤”,钡餐检查不能显示的是()

A.管壁僵硬
B.管腔狭窄
C.粘膜破坏、消失
D.腔内充盈缺损
E.狭颈征


点击查看答案


54、单项选择题  先天性膈疝中,最常见的是()

A.前胸腹膜孔疝
B.主动脉裂孔疝
C.食管裂孔疝
D.后胸腹膜孔疝
E.腔静脉裂孔疝


点击查看答案


55、单项选择题  上胸椎侧位摄片条件选用,错误的是()

A.使用滤线器
B.阴极端对肩部
C.平静呼吸中屏气
D.阳极端对肩部
E.中心线对远台侧腋中线


点击查看答案


56、单项选择题  下列描述与大量心包积液X线征象不符合的是()

A.心脏普遍增大,心缘各弧消失
B.心脏搏动减弱或消失
C.肺淤血改变
D.卧位透视时见心底阴影增宽
E.心影大小短期内可明显改变


点击查看答案


57、多项选择题  关于结肠癌的X线表现,哪些是正确的()

A.腔内不规则龛影
B.腔内充盈缺损
C.肠腔狭窄,局限于一侧或呈环形
D.龛影周围宽窄不一的环堤
E.病变肠壁僵硬


点击查看答案


58、问答题  避孕环移入腹腔和坠入宫颈管有何X线表现?


点击查看答案


59、多项选择题  地中海贫血骨骼主要X线表现为()

A.骨质增生
B.骨生长紊乱
C.病理性骨折
D.铁晶体异常沉积
E.髓外造血


点击查看答案


60、单项选择题  

男,67岁,脊髓痨患者,右下肢麻木,右膝关节肿胀,结合图像,最可能的诊断是()

A.创伤性关节炎
B.退行性骨关节病
C.神经性关节病
D.风湿性关节炎
E.痛风


点击查看答案


61、单项选择题  膝关节正位摄片,中心线应对准()

A.髌骨上缘
B.髌骨中心
C.髌骨下缘1cm
D.髌骨上缘1cm
E.髌骨下缘2cm


点击查看答案


62、名词解释  反柯莱斯(reversedColles)骨折


点击查看答案


63、填空题  乳腺癌X线间接征象有_______、_______、_______和_______。


点击查看答案


64、单项选择题  关于肺隔离症的描述,下列哪项正确()

A.右侧比左侧常见
B.与支气管树相通较常见
C.如发生于叶内,通常见于婴儿
D.上叶与下叶的发生率相等
E.绝大多数血供来自腹主动脉


点击查看答案


65、填空题  急性腹膜炎时腹腔内积气的X线表现为__________、_____________、_______________、_______________、______________、_______________和_________________。


点击查看答案


66、单项选择题  在下列病变中,对“输尿管移位”特点描述,错误的是()

A.肾上极肿瘤,输尿管可不移位
B.腹膜后纤维化:输尿管中段向内移位
C.恶性淋巴瘤:输尿管中段向外移位
D.子宫肌瘤:输尿管下段向外移位
E.肾旋转不良:输尿管上段向内移位


点击查看答案


67、填空题  石骨症分两型,即轻型为_____________,重型为_____________。


点击查看答案


68、单项选择题  “恶性骨肿瘤”最常见的转移的部位是()

A.脑
B.骨骼
C.肺
D.脊椎
E.肝脏


点击查看答案


69、单项选择题  

女,1天早产儿,呼吸困难、发绀,结合图像,最可能的诊断是()

A.呼吸窘迫综合征
B.新生儿肺炎
C.法洛四联征
D.新生儿支气管炎
E.肺不张


点击查看答案


70、单项选择题  下列与左心室扩大不符的征象是()

A.可呈"靴形心"
B.心尖圆钝、上抬
C.心尖向左下方延长
D.左前斜位,心后间隙变小、消失
E.右前斜位示心前间隙缩小


点击查看答案


71、单项选择题  骨转移瘤最常来自于()

A.腺癌
B.肉瘤
C.皮肤癌
D.食管癌
E.以上都不是


点击查看答案


72、单项选择题  关于X线强度分布的叙述,正确的是()

A.与靶面倾斜角度无关
B.阴极端X线强度弱
C.照射野内分布均匀
D.X线管短轴方向两侧对称
E.与靶面状况无关


点击查看答案


73、单项选择题  关于恶性胸膜间皮瘤,下列诊断要点哪项不对()

A.约50%患者胸水为淡黄色
B.胸膜结节可均匀强化
C.胸廓可变形,纵隔可移位
D.胸膜弥漫性、结节样增厚
E.胸膜局限性肿块


点击查看答案


74、单项选择题  

男,38岁,因左髋关节疼痛跛行1年半,经治疗症状无明显好转,双髋关节正位片摄片如图所示,最可能诊断是()

A.左髋关节结核
B.左股骨头坏死(早期)
C.左股骨头坏死(活动期)
D.左股骨头坏死(稳定期)
E.左髋关节退变


点击查看答案


75、单项选择题  椎体压缩性骨折多为()

A.单个椎体
B.椎间隙破坏
C.椎间隙变窄
D.相邻两个椎体
E.椎间隙变宽


点击查看答案


76、多项选择题  下列哪些是十二指肠溃疡的间接X线征象()

A.龛影
B.球部变形
C.龛影局部压痛
D.幽门痉挛
E.激惹征


点击查看答案


77、单项选择题  儿童脊柱结核好发于()

A.骶椎
B.胸椎
C.腰椎
D.颈椎
E.以上都是


点击查看答案


78、名词解释  颈动脉体瘤


点击查看答案


79、单项选择题  右肺下动脉干宽度正常值是()

A.5mm
B.<l5mm
C.10mm
D.3mm
E.20mm


点击查看答案


80、单项选择题  肩关节脱位多见于()

A.儿童
B.向下、外脱位
C.后脱位
D.前脱位
E.以上都是


点击查看答案


81、单项选择题  可用于静脉肾盂造影的对比剂是()

A.碘化油
B.碘苯酯
C.泛影葡胺
D.碘化钠
E.胆影葡胺


点击查看答案


82、单项选择题  大叶性肺炎的蔓延途径是()

A.肺泡孔
B.肺泡腔内的浆液
C.肺动脉
D.肺泡壁
E.肺静脉


点击查看答案


83、判断题  肋骨前段常用作胸腔积液的定位标志。


点击查看答案


84、填空题  1976年Wolfe等根据乳腺实质和脂肪所占比例与发生乳腺癌的危险性关系将乳腺分为_______、_______、_______和_______4型。


点击查看答案


85、单项选择题  女,35岁,右肺上叶后段薄壁空洞,直径3cm,内有较小的液面,空洞周围肺内有渗出病变,右下叶及左肺中下野有多发斑片状渗出影,最可能的诊断是()

A.肺结核病(干酪性肺炎)
B.肺脓肿
C.血源性肺脓肿
D.空洞型肺癌
E.肺霉菌病


点击查看答案


86、单项选择题  有关乳腺摄片配套设备的叙述,错误的是()

A.使用单页增感屏
B.只用后屏
C.高分辨率胶片
D.特制或自动压迫装置
E.铝质暗盒


点击查看答案


87、名词解释  半月征


点击查看答案


88、单项选择题  易与胰头肿块混淆的是()

A.门腔淋巴结
B.右肾上腺
C.右侧膈肌脚
D.十二指肠
E.胃幽门管


点击查看答案


89、单项选择题  

男,67岁,咳嗽、胸痛2月余,痰中带血,不发热,X线检查如图,最可能的诊断是()

A.右侧胸膜肥厚
B.右上肺不张
C.右肺癌并右上肺不张
D.右侧包裹性积液
E.肺上沟瘤


点击查看答案


90、单项选择题  过敏性肺炎的X线特征是()

A.密度较低的云雾状影
B.病变可见与其重叠的肺纹理
C.病变不按肺段分布
D.病灶具有散在性和游走性
E.呈结节状和粟粒状


点击查看答案


91、多项选择题  泌尿系统结核的主要X线检查方法是()

A.静脉肾盂造影
B.逆行肾盂造影
C.腹部平片
D.B超
E.DSA


点击查看答案


92、单项选择题  下列中央型肺癌引起肺不张的X线征象,错误的是()

A.新月征
B.双翼征
C.八字胡征
D.高脚杯征
E.心影转位征


点击查看答案


93、单项选择题  下列关于脊柱肿瘤描述错误的是()

A.室管膜瘤是成人最常见的脊髓肿瘤
B.星形细胞瘤是儿童最常见的脊髓肿瘤
C.脂肪瘤是椎管内最常见的髓外肿瘤
D.血管瘤是最常见的椎体良性肿瘤
E.转移瘤是最常见的椎体恶性肿瘤


点击查看答案


94、单项选择题  锁骨上皮肤皱褶的宽度一般为()

A.2~3cm
B.3~5mm
C.2~3mm
D.5~6mm
E.3~5cm


点击查看答案


95、单项选择题  照片产生反转的原因是()

A.显影液pH值太高
B.显影液温度太低
C.定影液衰老
D.X线胶片过期
E.由于潜影溴化的结果


点击查看答案


96、单项选择题  非骨化纤维瘤的好发部位是()

A.胫骨近端及股骨远端
B.脊椎骨
C.肱骨近端
D.颅顶骨
E.胫骨远端及股骨近端


点击查看答案


97、判断题  肺动静脉瘘有两种病理类型,在临床都可出现青紫。


点击查看答案


98、单项选择题  

男,16岁,突感呼吸困难,大汗淋漓,胸片检查如图,最可能的诊断是()

A.右侧肺气肿
B.右侧肺部肿块
C.右侧气胸
D.右侧肺大泡
E.右侧肺挫伤


点击查看答案


99、单项选择题  对于腕三角骨撕脱性骨折,下列哪个体位观察最好()

A.正位
B.侧位
C.前斜位
D.后斜位
E.轴位


点击查看答案


100、多项选择题  系统性红斑狼疮致死的主要原因为()

A.肾功能衰竭
B.神经系统并发症
C.心血管系统并发症
D.感染
E.囊性肺纤维化


点击查看答案


101、多项选择题  肾结石的形态典型表现为()

A.桑椹状
B.分层状
C.鹿角状
D.三角形
E.类圆形


点击查看答案


102、单项选择题  关于“间质性膀胱炎”描述,下列哪项是错误的()

A.好发于中年女性
B.免疫、神经内分泌功能异常者发病率较高
C.活检和尿培养常有阳性发现
D.多位于膀胱前壁和顶部
E.造影表现与单纯性膀胱炎类似


点击查看答案


103、单项选择题  绞窄性肠梗阻的可靠征象是()

A.假肿瘤征
B.足球征
C.空肠换位征
D.肠管双壁征
E.肠曲截断征


点击查看答案


104、单项选择题  女,33岁,吞咽困难1年,钡餐检查示食管明显扩张,蠕动减弱,食管远端鸟嘴状,表面尚光整,饮水后,造影剂部分进入胃内,最可能的诊断为()

A.食管下端平滑肌瘤
B.食管下端癌
C.贲门失弛缓症
D.食管下端静脉曲张
E.返流性食管炎


点击查看答案


105、单项选择题  Ⅱ型肺结核是指()

A.原发性肺结核
B.血行播散型肺结核
C.慢性纤维空洞型肺结核
D.结核性胸膜炎
E.浸润型肺结核


点击查看答案


106、单项选择题  “上消化道”指的是()

A.食管全程
B.食管+胃
C.食管+胃+十二指肠
D.食管+胃+十二指肠+空肠
E.食管+胃+十二指肠+空肠+回肠


点击查看答案


107、多项选择题  慢性肺气肿常见的X线征象是()

A.血管影细长、稀疏
B.两横膈上升
C.由于肺通气及循环障碍易引起肺源性心脏病
D.两肺野透过度增高
E.胸部膨隆,肋间隙增宽


点击查看答案


108、多项选择题  下列关于肾癌的影像,正确的为()

A.肾影局限性增大
B.IVP正常也不能完全除外肾癌
C.肾盂、肾盏移位
D.均有肾盂积水、肾功能降低
E.肾盂内可有充盈缺损


点击查看答案


109、单项选择题  侧位胸片上,右叶中央型肺癌伴有右中叶、右下叶不张时,形成的征象称为()

A.饼征
B.双翼征
C.膈上半月征
D.龟背征
E.膈角移位征


点击查看答案


110、单项选择题  骨膜增生的病因包括()

A.肿瘤
B.骨膜下出血
C.炎症或外伤
D.血管性病变
E.以上都是


点击查看答案


111、配伍题  四肢管状骨干骨折常见于()
颅骨骨折常见于()
椎体骨折常见于()
骨端关节内松质骨骨折常见于()

A.“T”形、“Y”形或嵌压骨折线
B.塌陷或星状骨折线
C.压缩变形
D.横行、纵行、斜行、螺旋形或粉碎性等
E.不规则形


点击查看答案


112、单项选择题  吸收X线能力最强的组织结构是()

A.肌肉
B.脂肪
C.骨骼
D.肺组织
E.肝脏


点击查看答案


113、名词解释  .Hoeve三联征


点击查看答案


114、多项选择题  影响影像锐利度的因素是()

A.几何模糊
B.移动模糊
C.物体吸收模糊
D.屏/片系统模糊
E.影像密度


点击查看答案


115、单项选择题  下列关于眼眶肌锥内肿瘤描述中,其早期X线表现是()

A.眶外侧壁受压
B.眶内侧壁受压
C.眶底壁受压
D.眶顶壁受压
E.眶骨吸收破坏


点击查看答案


116、单项选择题  食管平滑肌瘤的特征性X线表现是()

A.粘膜紊乱
B.充盈缺损
C.管腔变形
D.环行征
E.浅分叶


点击查看答案


117、单项选择题  

男,5岁,临床考虑先心病室间隔缺损,结合图像,下列描述正确的是()

A.肺淤血
B.正常肺
C.肺泡性肺水肿
D.间质性肺水肿
E.肺充血


点击查看答案


118、多项选择题  眶距过宽,常见于下列哪些疾病()

A.骨性狮面
B.冠状缝晚闭
C.自发性高钙血症
D.鼻肿瘤
E.生长期脑积水


点击查看答案


119、单项选择题  食管造影通常可见到下列压迹,除了()

A.主动脉弓压迹
B.左支气管压迹
C.降主动脉压迹
D.左心室压迹
E.左心房压迹


点击查看答案


120、单项选择题  第二斜位又称为()

A.右前斜位
B.左前斜位
C.左后斜位
D.右后斜位
E.侧位


点击查看答案


121、名词解释  哺乳期乳腺


点击查看答案


122、单项选择题  曲面体层摄影常用于检查()

A.颧骨
B.筛骨
C.颌骨
D.颞骨
E.蝶骨


点击查看答案


123、多项选择题  韩-薛-柯氏病的临床表现包括()

A.颅骨缺损
B.肝脾肿大
C.尿崩症
D.皮疹及贫血
E.突眼


点击查看答案


124、单项选择题  原发性肺结核典型X线征象()

A.肺内浸润阴影
B.肺门淋巴结肿大
C.双极征
D.肺空洞形成
E.胸腔积液


点击查看答案


125、单项选择题  影响骨基质代谢的因素中,应除外()

A.生长激素
B.甲状腺激素
C.性激素
D.肾上腺皮质激素
E.甲状旁腺素


点击查看答案


126、单项选择题  充血性心肌病的典型X线表现是()

A.右心房和右心室增大
B.右心室增大
C.左心室、右心室增大
D.左心室增大
E.左心房和右心室增大


点击查看答案


127、单项选择题  下述“Down综合征”骨改变特点,哪项不正确()

A.骨狭小,颅板变薄
B.眶间距增宽
C.鼻窦腔不发达
D.第五指骨中节短小
E.髂骨下移,髋臼角减小


点击查看答案


128、单项选择题  关于肝肿瘤的叙述,不正确的是()

A.常见的良性肝肿瘤是海绵状血管瘤
B.肝转移癌是常见恶性肿瘤
C.肝肿瘤包括良性和恶性肿瘤
D.胆管细胞癌是多血供型肿瘤
E.肝细胞癌是成人常见原发性恶性肿瘤


点击查看答案


129、单项选择题  关于胸部正位摄片的叙述,正确的是()

A.后前位比前后位心脏放大率大
B.RAO称第二斜位
C.主动脉弓投影于右上肺野
D.吸气时膈肌上升
E.胸锁关节在后前位,与第四后肋相重


点击查看答案


130、单项选择题  投照条件对解像力有影响的是()

A.实际焦点与解像力成正比 
B.焦-片距与解像力成反比 
C.显影液配方和显影温度不影响解像力 
D.使用增感屏可提高解像力 
E.物片距与解像力成反比


点击查看答案


131、判断题  骨嗜酸性肉芽肿病变与周围界限模糊,边缘不清。


点击查看答案


132、单项选择题  动脉导管未闭出现右心室肥厚时提示()

A.肺动脉高压
B.心力衰竭
C.肺梗死
D.肺静脉高压
E.肺水肿


点击查看答案


133、填空题  急性小肠梗阻的典型X线表现为_____________、___________________和________________。


点击查看答案


134、名词解释  胸膜凹陷征


点击查看答案


135、单项选择题  消除呼吸运动模糊正确的方法是()

A.延长时间曝光
B.增加管电压
C.屏气后曝光
D.增大物-片距
E.应用滤线栅


点击查看答案


136、单项选择题  溃疡型食管癌的典型表现是()

A.牵引性憩室
B.食管节段性环行狭窄
C.食管内充盈缺损
D.龛影
E.食管全程扩张,末端呈鼠尾状


点击查看答案


137、单项选择题  下列关于胸部摄影技术的分析,哪个是正确的()

A.胸部后前位片胸廓不对称是中心线不对
B.肺野内出现局限性高密度影,肯定是肺内病变
C.气管不居中,肯定是位置不正
D.优质片肯定是条件合适
E.胸片上影像模糊,肯定是患者移动


点击查看答案


138、名词解释  Bennet骨折


点击查看答案


139、单项选择题  下述纵隔病变知识,错误的是()

A.急性纵隔炎,多继发于食管穿孔
B.慢性肉芽肿性纵隔炎,多位于前上1/4纵隔
C.纵隔炎症可致纵隔影增宽
D.慢性硬化性纵隔炎,多位于后下1/4纵隔
E.自发性纵隔气肿,与间质性肺气肿关系密切


点击查看答案


140、单项选择题  肾自截的X线征象表现为()

A.肾盂呈虫蚀样破坏,并累及几个肾盂
B.肾小盏扩大,显影变淡
C.肾功能丧失,静脉尿路造影不显像,肾实质钙化
D.肾轮廓明显增大
E.以上均可


点击查看答案


141、单项选择题  女性,40岁。劳累后心悸、气促。体检:心尖区闻及舒张期隆隆样杂音。胸部正位摄片:心影呈梨形,中度增大。下列哪项是其典型的影像表现()

A.单纯左心房增大
B.左心房,左心室增大
C.左心房、右心房增大
D.左心房、右心室增大
E.左心室、右心室增大


点击查看答案


142、单项选择题  哪一型进展期胃癌X线表现为胃窦狭窄,壁僵硬、粘膜皱襞固定()

A.浅表型
B.浸润型
C.混合型
D.蕈伞型
E.溃疡型


点击查看答案


143、单项选择题  “多发性骨软骨瘤”诊断要点是()

A.病变局部骨骼增宽
B.无软组织肿胀
C.终生缓慢生长
D.好发于干骺端肌骺线旁
E.属遗传性疾病


点击查看答案


144、单项选择题  

女,12岁,咳嗽、低热2月余,结合胸片,最可能的诊断是()

A.血行播撒型肺结核
B.两肺含铁血黄素沉着
C.间质性肺炎
D.支气管肺炎
E.风心二狭


点击查看答案


145、单项选择题  成人颅内压增高时,蝶鞍的骨质吸收最早发生于()

A.前床突
B.鞍底
C.蝶鞍下部
D.后床突及鞍背
E.鞍结节


点击查看答案


146、单项选择题  类风湿性关节炎病变最初是发生在()

A.关节内韧带
B.关节软骨
C.关节滑囊
D.关节囊纤维层
E.关节骨关节面


点击查看答案


147、名词解释  先天性巨肢症


点击查看答案


148、判断题  颅内血管畸形,一般不引起正常脑血管的移位,这是同恶性肿瘤的区别点之一。


点击查看答案


149、单项选择题  下列哪项不能作为食管癌的早期征象()

A.粘膜皱襞增粗、迂曲、中断
B.局限浅在的充盈缺损
C.狭窄段上方食管扩张
D.管壁局限性僵硬
E.小溃疡


点击查看答案


150、判断题  早期周围型肺癌是指瘤体直径≤2cm,并且无转移者。


点击查看答案


151、单项选择题  通常所说的肺内结节性病灶,直径应为()

A.≤0.5cm
B.≤1cm
C.1~4cm
D.4~6cm
E.≥6cm


点击查看答案


152、问答题  晚发先天性骨梅毒的X线表现有哪些?


点击查看答案


153、单项选择题  延迟愈合或不愈合少见于()

A.股骨颈
B.胫骨上1/3
C.胫骨下1/3
D.舟骨
E.距骨


点击查看答案


154、判断题  膈的圆顶偏内侧及前方,所以呈外高内低,后高前低。


点击查看答案


155、填空题  肝血色素沉着病三大临床特点是_________、_______________和__________。


点击查看答案


156、单项选择题  逆行肾盂造影示自肾小盏中央开始向皮质呈放射状或肩状阴影,属于()

A.肾盂静脉周围逆流
B.肾盂肾窦逆流
C.肾盂淋巴管逆流
D.肾盂静脉逆流
E.肾小管逆流


点击查看答案


157、判断题  肺泡蛋白沉积症除肺泡局限性病变,尚有全身各系统受累的症状。


点击查看答案


158、单项选择题  关于肺癌的国际分期,错误的是()

A.国际按TNM分期
B.T是指原发肿瘤
C.N是指区域淋巴结的情况
D.M是指远处转移
E.T2表示肿瘤最长径<3cm,肿瘤边界距隆突2cm以内


点击查看答案


159、单项选择题  乳突许氏位(Schuller’s)摄片,中心线应为()

A.向头侧倾斜15°
B.向足侧倾斜15°
C.向头侧倾斜25°
D.向足侧倾斜25°
E.垂直投射


点击查看答案


160、问答题  痛风的X线表现有哪些?


点击查看答案


161、单项选择题  一般不引起右心房增大的是()

A.心肌病
B.风湿性心脏病,左房室瓣狭窄
C.先天性心脏病,房间隔缺损
D.风湿性心脏病,左房室瓣关闭不全
E.以上都是


点击查看答案


162、单项选择题  关于肝局灶性结节增生的病理改变,下列描述哪项是错的()

A.以星状纤维瘢痕组织为核心
B.纤维组织分隔呈辐射状、形成分房状结构
C.纤维分隔内有血管腔及增生的胆管
D.肿块与周围组织分界较清
E.有包膜


点击查看答案


163、单项选择题  

咳嗽伴气喘,如图所示,最可能的诊断为()

A.间质性肺炎
B.结节病
C.肺淋巴瘤
D.肺结核
E.肺癌


点击查看答案


164、单项选择题  在风湿性的心脏瓣膜损害中,哪项最多见()

A.主动脉瓣
B.二尖瓣
C.三尖瓣
D.肺动脉瓣
E.联合瓣膜


点击查看答案


165、单项选择题  法洛四联征,不包括下列哪项()

A.室间隔缺损
B.主动脉骑跨
C.肺动脉狭窄
D.动脉导管未闭
E.右心室肥厚


点击查看答案


166、名词解释  Dyggve-Melchior-Clausen综合征


点击查看答案


167、填空题  椎间盘突出应与_______________________、_______________、________和________________作鉴别诊断。


点击查看答案


168、判断题  乳腺癌的特征性钙化为不规则细微钙化。


点击查看答案


169、填空题  类风湿肺病的影像学表现主要为__________________、____________及_______________。


点击查看答案


170、单项选择题  水痘病毒性肺炎的影像特征()

A.数天内仅见双肺纹理增粗、毛糙
B.病理、影像表现演变快
C.伴弥漫性肺气肿的广泛间质性炎症改变
D.呈典型的支气管肺炎表现
E.间质纤维化伴肺大泡


点击查看答案


171、单项选择题  脾脏最常见的原发恶性肿瘤是()

A.转移性肿瘤
B.恶性淋巴瘤
C.网织细胞肉瘤
D.纤维肉瘤
E.血管肉瘤


点击查看答案


172、问答题  胸腔积液的X线表现为?


点击查看答案


173、单项选择题  扩张型心肌病最常累及()

A.左心室
B.左心房
C.右心室
D.右心房
E.房室瓣环


点击查看答案


174、单项选择题  X线胶片长轴与摄影床长轴平行称()

A.竖向
B.横向
C.立向
D.斜向
E.交叉向


点击查看答案


175、多项选择题  副鼻窦病变常见的异常X线征象有()

A.窦腔混浊、密度增加
B.粘膜肥厚
C.窦腔内软组织块影
D.窦腔内液平面
E.窦腔增大或缩小


点击查看答案


176、单项选择题  下列哪种疾病,无"肺动脉高压"表现()

A.肺心病
B.Ebstein畸形
C.二尖瓣狭窄
D.二尖瓣关闭不全
E.进行性全腺泡性肺气肿


点击查看答案


177、单项选择题  全尿路摄片应包括的范围是()

A.上界包括第9胸椎,下界达耻骨联合
B.上界包括第10胸椎,下界达耻骨联合
C.上界包括第11胸椎,下界达耻骨联合
D.上界包括第12胸椎,下界达耻骨联合
E.上界包括第1腰椎,下界达耻骨联合


点击查看答案


178、单项选择题  指出骨麻风病特异性的X线表现()

A.囊样或膨胀性改变
B.骨营养孔扩大
C.密集性骨吸收
D.出现夏科氏关节
E.继发骨膜炎和骨髓炎


点击查看答案


179、单项选择题  下列组合,错误的是()

A.髌骨骨折--侧位及轴位
B.膝内翻--正位及双侧对照
C.膝关节副韧带损伤--正位及双侧对照
D.胫骨结节骨软骨炎--双侧胫骨结节侧位对照
E.小儿髋关节脱位--双髋正位


点击查看答案


180、单项选择题  结核杆菌最主要通过哪种途径进入骨或关节部位()

A.直接扩散
B.淋巴系统
C.开放性损伤
D.血液循环
E.以上都不是


点击查看答案


181、多项选择题  肾小管性骨病的主要X线表现为()

A.骨质密度普遍性降低
B.骨关节畸形
C.假骨折
D.骨质硬化
E.继发性甲状旁腺功能亢进表现


点击查看答案


182、单项选择题  可复性食管裂孔疝的典型征象是()

A.膈上出现胃粘膜
B.食管下括约肌上升和收缩
C.食管胃环上升出现在膈上
D.部分胃底位于膈上
E.胃食管前庭管腔增宽


点击查看答案


183、单项选择题  属静脉肾盂造影禁忌证的是()

A.肾盂结石
B.膀胱结石
C.尿道狭窄
D.肾动脉狭窄
E.严重血尿


点击查看答案


184、多项选择题  不属于生理排泄的造影检查是()

A.消化道钡餐造影
B.静脉肾盂造影
C.口服胆囊造影
D.子宫输卵管造影
E.四肢静脉造影


点击查看答案


185、判断题  腹膜肿瘤很少合并局限性腹腔积液。


点击查看答案


186、判断题  脾淋巴管瘤病理上可表现为毛细血管状、海绵状和囊状。


点击查看答案


187、单项选择题  

男,62岁,咳嗽发热2天,痰中带血,胸片检查如图,最可能的诊断是()

A.左下肺炎症
B.左肺癌伴阻塞性肺炎
C.左肺结核
D.左侧胸膜炎
E.左侧错构瘤


点击查看答案


188、单项选择题  在X线检查中,对被检者的防护措施错误的是()

A.避免操作失误
B.选用多种X线检查方法
C.采用恰当的X线质和量
D.严格控制照射量
E.做好非检查部位的屏蔽防护


点击查看答案


189、单项选择题  小儿腹部平片出现“双泡”征,最可能的诊断为()

A.正常变异
B.胃扭转
C.幽门肌肥大
D.十二指肠梗阻
E.小肠旋转不良


点击查看答案


190、判断题  颅内非病理性钙化多见于松果体、基底核等。


点击查看答案


191、多项选择题  下列那些疾病可能发生乳头溢液()

A.乳腺纤维腺瘤
B.乳腺囊性增生
C.导管内乳头状瘤
D.浆细胞性乳腺炎
E.乳腺癌


点击查看答案


192、多项选择题  肺动脉段突出可见于()

A.主动脉瓣狭窄
B.瓣膜型肺动脉狭窄
C.漏斗型肺动脉狭窄
D.高血压心脏病
E.肺源性心脏病 


点击查看答案


193、判断题  先天性肛门直肠畸形临床症状出现的早晚与畸形的类型有关。


点击查看答案


194、单项选择题  肺淤血的早期X线征象是()

A.上肺静脉扩张似鹿角状
B.肺间质纤维化
C.肺门阴影增大模糊
D.肺野透明度减低如磨砂玻璃状
E.肺血管纹理增多增粗


点击查看答案


195、单项选择题  22岁,男性,在体检时发现胸骨左缘第3、4肋间隙有一响亮而尖锐的收缩期杂音,上胸壁有震颤,但无杂音传导,X线检查时可见:左室轻度扩大,结合上述病史最可能的诊断是()

A.动脉导管未闭
B.法洛四联征
C.主动脉缩窄
D.室间隔缺损(Roger病)
E.以上都不是


点击查看答案


196、单项选择题  肺源性心脏病主要表现是()

A.左心房右心室增大
B.右心室肥大
C.右心房肥大
D.左心室增大
E.右心房左心室增大


点击查看答案


197、多项选择题  下列属于X线管的固有滤过部分的是()

A.靶面
B.灯丝
C.玻璃壳
D.绝缘油
E.X线窗口


点击查看答案


198、单项选择题  有关人体水平面的叙述,正确的是()

A.两眼眶下缘连线为水平面
B.水平面与冠状面相平行
C.水平面与矢状面相互垂直
D.水平面与矢状面相互平行
E.水平面只有一个


点击查看答案


199、单项选择题  下列哪种尘肺,不属于职业病范畴()

A.矽肺
B.蔗尘肺
C.煤肺
D.石棉肺
E.滑石尘肺


点击查看答案


200、单项选择题  支气管囊肿最常位于()

A.右下肺
B.左上肺
C.隆突下
D.左下肺
E.气管旁


点击查看答案


201、单项选择题  正常髋臼角的大小为()

A.10~15°
B.20~30°
C.30~40°
D.40~50°
E.50~60°


点击查看答案


202、单项选择题  “黄色肉芽肿性肾盂肾炎”的诊断要点,下述哪项错误()

A.反复尿路感染
B.双侧多见
C.变形杆菌感染所致
D.尿检发现泡沫细胞
E.肾窦脂肪堆积


点击查看答案


203、单项选择题  无壁空洞最常见于()

A.周围型肺癌
B.干酪性肺炎
C.肺脓肿
D.肺转移瘤
E.浸润型肺结核


点击查看答案


204、单项选择题  疑胃溃疡患者,最先用的检查方法是()

A.X线平片摄影
B.口服钡剂造影
C.MRI
D.CT
E.B超


点击查看答案


205、单项选择题  

男,5岁,低热,盗汗,咳嗽2月余,结合图像,最可能的诊断是()

A.肺癌
B.大叶性肺炎
C.支气管肺炎
D.肺结核
E.过敏性肺炎


点击查看答案


206、单项选择题  

男,78岁,进行性吞咽困难1月余,结合图像,最可能的诊断为()

A.正常压迹
B.食管平滑肌瘤
C.食管癌
D.食管憩室
E.食管静脉曲张


点击查看答案


207、单项选择题  胸椎摄片时应包括()

A.上腰椎或下颈椎
B.锁骨
C.肋骨
D.胸骨
E.骨盆


点击查看答案


208、单项选择题  增殖型肠结核的X线表现主要为()

A.跳跃征
B.肠腔扩张
C.肠管收缩
D.肠壁增厚
E.以上都是


点击查看答案


209、单项选择题  上消化道钡餐检查应检查至哪一部位()

A.食管
B.胃
C.十二指肠
D.空肠
E.回肠


点击查看答案


210、多项选择题  乳腺X线摄片线质的特点是()

A.波长较短
B.波长较长
C.X线能量低
D.X线穿透力较强
E.X线穿透力较弱


点击查看答案


211、单项选择题  

男,23岁,跛行,外展受限,两下肢不等长,结合图像,最可能的诊断是()

A.髋关节中心脱位
B.髋关节后脱位
C.髋关节前脱位
D.先天性髋内翻
E.髋关节结核


点击查看答案


212、多项选择题  无肺门增大而只表现为肺门密度增高者()

A.百日咳
B.麻疹肺炎
C.慢性支气管炎
D.中央型肺癌
E.心肺病变


点击查看答案


213、判断题  左侧肾脊角比右侧略大,女性者又较男性略大。


点击查看答案


214、多项选择题  肺血流受下述哪些因素影响()

A.右心搏出量
B.全心搏出量
C.肺血管阻力
D.肺泡内压
E.肺弹力


点击查看答案


215、单项选择题  维生素D缺乏症的早期最早出现X线表现是()

A.胫骨远侧干骺端
B.桡骨近侧干骺端
C.肋骨胸骨端
D.尺骨远侧干骺端
E.以上都不是


点击查看答案


216、单项选择题  下面哪种病可以看到KerleyB线()

A.胸膜炎
B.病毒性肺炎
C.慢性支气管炎
D.肺水肿
E.肺脓肿


点击查看答案


217、单项选择题  下列组合,哪项是不正确的()

A.松果体-性腺发育
B.食道-蠕动运动
C.甲状腺-调节基础代谢
D.肾上腺-调节血压
E.小肠-胆汁分泌


点击查看答案


218、多项选择题  下列哪些属于过敏性结肠炎X线表现()

A.钡剂通过迅速,0.5~6小时钡剂可达盲肠
B.小肠呈张力增高、痉挛、变细,结肠袋明显增多、增深
C.若结肠内积液较多时,钡剂可呈线样征
D.若结肠内有大量液体时,结肠壁呈“双层肠壁状”
E.钡剂排出的粘膜皱襞呈卵石样改变


点击查看答案


219、单项选择题  除下列哪种疾病外,其余均可出现"肺血流再分配"现象()

A.肺动脉高压
B.二尖瓣狭窄
C.肺结核
D.左房黏液瘤
E.基底段支气管扩张


点击查看答案


220、单项选择题  下列组合中,哪项不对()

A.碳酸钠-中和剂
B.亚硫酸钠-保护剂
C.明矾-坚膜剂
D.苛性钠-促进剂
E.硫代硫酸钠-定影剂


点击查看答案


221、单项选择题  指出下列摄片技术中,不正确的是()

A.柯氏位可显示筛窦的前后两组影
B.眼眶肿物应选择柯氏位、瑞氏位和眶缘切线位
C.上颌窦肿瘤取瓦特位外,还应摄取颅底减角位(半轴位)
D.瓦特位,两侧密度不一致(非病变所致)的原因,主要是中心线偏斜或滤线栅侧向倾斜造成的切割效应
E.眶下裂摄片采用取头颅后前正位,中心线向头侧倾斜20°


点击查看答案


222、问答题  肺内空洞有何特点?


点击查看答案


223、单项选择题  大叶性肺炎的病理改变分期,顺序正确的是()

A.红色肝样变期、灰色肝样变期、充血期、消散期
B.红色肝样变期、充血期、灰色肝样变期、消散期
C.灰色肝样变期、红色肝样变期、充血期、消散期
D.充血期、红色肝样变期、灰色肝样变期、消散期
E.灰色肝样变期、充血期、红色肝样变期、消散期


点击查看答案


224、多项选择题  肾区内高密度钙化影常见于()

A.肾积水
B.肾盂肾盏结石
C.肾脏钙质沉着病
D.肾癌
E.肾动脉瘤


点击查看答案


225、判断题  对于肾实质内肿瘤的显示和定性及对泌尿系统恶性肿瘤的分期,常规X线检查常有重要价值。


点击查看答案


226、单项选择题  下列选项中,表示X线量的是()

A.半值层
B.靶物质
C.kV
D.mAs
E.电压波形


点击查看答案


227、单项选择题  下列颅骨缝隙,呈锯齿状的是()

A.成人颅缝
B.骨折线
C.幼儿颅缝
D.血管压迹
E.蛛网膜颗粒压迹


点击查看答案


228、多项选择题  先天性主动脉缩窄的X线表现为()

A.肋骨切迹
B.3字征
C.升主动脉扩张
D.上纵隔阴影增宽
E.降主动脉上段的狭窄后扩张


点击查看答案


229、单项选择题  

男,24岁,低热2周,咳少量痰。胸片示右上肺不均密度增高影,其中有空洞形成,血沉45mm/h。

下列哪项检查对诊断最有意义()

A.血常规
B.痰细菌培养
C.纤维支气管镜
D.痰抗酸杆菌检查
E.血沉


点击查看答案


230、多项选择题  中耳继发性胆脂瘤的并发症为()

A.脑脓肿
B.乳突皮下脓肿
C.水平半规管瘘
D.乙状窦周围脓肿
E.乙状窦栓塞


点击查看答案


231、名词解释  Klipple-Feil综合征


点击查看答案


232、单项选择题  关于过敏性上颌窦炎,下列影像表现哪项错误()

A.多个鼻窦受累
B.窦壁骨质硬化
C.上颌窦息肉
D.鼻甲粘膜增厚
E."气液面"较少见


点击查看答案


233、单项选择题  儿童骨折特点是()

A.骺线增宽
B.斜行骨折
C.粉碎性骨折
D.嵌入性骨折
E.旋转骨折


点击查看答案


234、单项选择题  迷走右锁骨下动脉在食管后方的压迹是()

A.由右侧向左上的螺旋形的压迹
B.由右侧向右上的螺旋形的压迹
C.由左侧向左上的螺旋形的压迹
D.由左侧向右上斜行的螺旋形压迹
E.以上都不是


点击查看答案


235、多项选择题  纤维性骨皮质缺损的特点包括()

A.多见于6~15岁儿童,男多于女
B.有家庭发病倾向
C.病变常多发、对称性
D.呈囊状或片状皮质缺损区,有硬化边
E.多于2~4年内自行消失


点击查看答案


236、单项选择题  下列关于急性肺泡性肺水肿的描述,错误的是()

A.早期小结节状影,迅速融合呈大片状
B.肺门旁蝶形浓密影
C.胸腔积液
D.由中、下肺内带向上肺及外带发展
E.经有效治疗,病变可于数周后完全消散


点击查看答案


237、单项选择题  肺小叶由几个呼吸小叶构成()

A.1~2个
B.4~6个
C.3~5个
D.8~10个
E.4~8个


点击查看答案


238、单项选择题  X线由德国科学家伦琴发现于()

A.1800年
B.1840年
C.1890年
D.1895年
E.1900年


点击查看答案


239、单项选择题  矽肺最常见的死因是()

A.慢性肺源性心脏病
B.结核
C.呼吸道感染
D.自发性气胸
E.呼吸功能衰竭


点击查看答案


240、单项选择题  

头颅部位的摄片中,正中矢状面垂直于台面的位置有哪些()
a.Mayer位
b.Schuller位
c.stenver位
d.Water位
e.ToWne位

A.a,b
B.a,e
C.b,c
D.c,d
E.d,e


点击查看答案


241、单项选择题  ERCP的适应证()

A.急性胰腺炎
B.重度胆管感染
C.慢性胰腺炎急性发作
D.肝内胆管炎
E.以上都不是


点击查看答案


242、单项选择题  

女,30岁,右膝关节酸胀,疼痛不适5月,X线检查如图所示,下列描述正确的是()

A.骨质呈膨胀性破坏
B.骨质呈肥皂泡样破坏
C.骨质呈横向偏心性破坏
D.以上均正确
E.以上均不正确


点击查看答案


243、单项选择题  Morquro综合征在长管骨的X线表现中,哪项错误()

A.倾向于变短、增粗,骨皮质变薄
B.干骺增大,不规整,可有缺损区
C.骨骺骨化中心出现提前,常有分节现象
D.骨骺骨化中心出现延迟,与骨干融合时间也延迟
E.关节间隙增宽,或有脱位及畸形


点击查看答案


244、单项选择题  肺段隔离症影像学表现为()

A.肺内孤立结节,无分叶,边缘有毛刺,发病前有发热史
B.肺内孤立结节,内有爆米花样钙化
C.右上叶后段结节,边缘光整,周围有卫星灶,增强扫描结节无强化
D.肺内孤立结节,有分叶和毛刺,远端有胸膜凹陷征
E.左下叶后基底段肿块,CT增强扫描示胸主动脉分支进入肿块


点击查看答案


245、单项选择题  X线在体内各部穿透力,由大到小排列有以下几种,正确的是()

A.气体,液体及软组织,脂肪,骨骼
B.骨骼,脂肪,液体及软组织,气体
C.气体,脂肪,液体及软组织,骨骼
D.脂肪,气体,液体及软组织
E.骨骼,软组织及液体,脂肪,气体


点击查看答案


246、多项选择题  眶距过窄,常见于下列哪些疾病()

A.额缝早闭
B.冠状缝早闭
C.矢状缝早闭
D.先天愚型
E.端脑发育异常


点击查看答案


247、单项选择题  下列不可复性食管裂孔疝的征象中,错误的是()

A.膈上幕状粗大粘膜较固定
B.心后区出现含液平面之囊状影,且固定存在
C.钡餐检查示部分胃疝入胸腔,固定存在
D.可伴有食管缩短现象
E.疝囊于立位片上显示不清


点击查看答案


248、判断题  正常软组织内可有少量气体存在。


点击查看答案


249、单项选择题  心脏左前斜位,暗盒应与身体成多少夹角()

A.45°~55°
B.55°~65°
C.75°~85°
D.65°~75°
E.35°~45°


点击查看答案


250、单项选择题  肾盂积水的影像改变,最早出现在()

A.肾盂
B.肾柱
C.肾小盏穹隆部
D.肾小盏杯口
E.肾大盏


点击查看答案


251、单项选择题  心脏病最重要的病理征象是()

A.心力衰竭
B.心脏和大血管搏动异常
C.心脏增大
D.大血管改变
E.肺部血循环异常改变


点击查看答案


252、单项选择题  

患者,女,46岁,胸闷气短1月,伴全身乏力,咳嗽,发热。胸片示:中上纵隔增宽,右缘呈波浪状改变。白细胞:8.5×10/L。

最可能的诊断是()

A.胸内甲状腺
B.胸腺瘤
C.右侧中心型肺癌
D.淋巴瘤
E.畸胎瘤


点击查看答案


253、多项选择题  用立位滤线器摄片的体位是()

A.站立位
B.仰卧位
C.俯卧位
D.侧卧位
E.坐立位


点击查看答案


254、名词解释  军刀腿


点击查看答案


255、单项选择题  下列白血病胸部影像,错误的是()

A.双侧肺门、纵隔淋巴结对称性肿大
B.网状结节影
C.粟粒、结节样影
D.大叶实变
E.胸腔积液


点击查看答案


256、填空题  地中海贫血的临床特点包括__________、_______、________、_________、___________和___________等。


点击查看答案


257、判断题  尼曼-皮克病急进型的早期即可见较广泛的骨骼病变。


点击查看答案


258、问答题  肺部基本病变的X线表现包括哪些?


点击查看答案


259、单项选择题  皮革胃是属于下列哪种类型胃癌()

A.蕈伞型胃癌
B.溃疡型胃癌
C.浸润型胃癌
D.混合型胃癌
E.平坦型胃癌


点击查看答案


260、单项选择题  关于胸部摄片的描述,错误的是()

A.左前斜位,冠状面与暗盒成40~45°
B.右前斜位,冠状面与暗盒成45~55°
C.胸正位——冠状面平行暗盒
D.胸侧位——冠状面垂直暗盒
E.前凸位——胸部冠状面与暗盒不小于45°


点击查看答案


261、单项选择题  下列正常肺纹理的表现,哪项是错误的()

A.上肺纹理细,下肺纹理粗
B.肺纹理呈树枝状,越分越细
C.右下肺纹理比左下肺纹理明显
D.两上肺纹理相比,右上比左上多
E.肺纹理向下伸延,可与肝影重叠


点击查看答案


262、单项选择题  影响空间分辨率因素中,受人为因素制约的是()

A.X射线扇形束的角度
B.空间采样频率
C.探测器孔径的大小
D.图像重建算法
E.采样间距


点击查看答案


263、单项选择题  下列哪种肱骨骨折多见于儿童,且为肘部最常见骨折()

A.肱骨外科颈骨折
B.肱骨骨干骨折
C.肱骨髁上骨折
D.肱骨远端全骨骺分离
E.肱骨头骨骺分离


点击查看答案


264、单项选择题  下列关于X线的本质的描述,正确的是()

A.只有X线球管才能产生X线
B.凡是X线都可用于影像诊断
C.X线是一种波长很短的电磁波
D.比红外线波长长
E.波长范围为5~10nm


点击查看答案


265、单项选择题  中央型肺癌的间接X线征象是()

A.肺门区肿块
B.支气管狭窄闭塞或中断
C.支气管腔内充盈缺损
D.支气管壁不规则或残缺
E.阻塞性肺炎


点击查看答案


266、单项选择题  胆管囊状扩张分为5种类型,其中I型为()

A.胆总管囊肿
B.肝内多发性囊肿
C.壁内段胆总管囊状膨出
D.多发性肝内、外囊肿
E.胆总管憩室


点击查看答案


267、名词解释  支气管扩张


点击查看答案


268、多项选择题  胆脂瘤可发生于下列哪些部位()

A.上鼓室
B.乳突窦入口
C.乳突窦
D.乳突
E.中鼓室


点击查看答案


269、单项选择题  对于碘过敏反应的说法,下列哪项不对()

A.用同一批号含碘造影剂做碘过敏实验 
B.碘过敏试验阴性则不会发生碘过敏反应
C.检查室应备抢救设备和药品 
D.造影前用抗过敏药可避免碘过敏发生
E.多见于血管内给予含碘造影剂


点击查看答案


270、多项选择题  剥脱性骨软骨炎的X线表现为()

A.关节内游离体
B.关节软骨钙化
C.关节内大量积脓
D.远离骨性关节面的骨质破坏
E.包括关节面在内的局限性骨质缺损


点击查看答案


271、单项选择题  产生连续X线,是由于高速电子作用于()

A.原子核,使之分裂
B.原子内层轨道电子,使之脱出
C.原子外层轨道电子,使之脱出
D.原子的核电场,损失能量而减速
E.靶物质中的自由电子,使之改变方向


点击查看答案


272、单项选择题  下列关于“胃窦炎”描述,错误的是()

A.胃窦粘膜粗大
B.粘膜皱襞斜行、横行或交叉排列紊乱
C.肩胛征
D.胃窦张力增高
E.充盈像时,胃窦轮廓呈细齿状


点击查看答案


273、单项选择题  胸部照片中肺纹理的影像,主要形成组织是下列哪一个()

A.血管
B.支气管
C.淋巴管
D.肺泡
E.胸膜


点击查看答案


274、单项选择题  易与胰头肿块混淆的是()

A.门腔淋巴结
B.右肾上腺
C.右侧膈肌脚
D.十二指肠
E.胃幽门管


点击查看答案


275、单项选择题  关于纵隔肿瘤,下列知识哪项不对()

A.多数纵隔肿瘤都有其好发部位
B.前纵隔:多为胎生性囊肿和胸腺瘤
C.中纵隔:多为恶性淋巴瘤
D.转移瘤:纵隔影常对称性增宽
E.胸片难以区分胸腺瘤和畸胎瘤


点击查看答案


276、单项选择题  

男,65岁,胸痛,胸片检查如图,下列诊断中最可能的是()

A.右肺胸膜肥厚
B.右肺不张
C.右侧胸腔积液
D.右肺炎症
E.以上都不对


点击查看答案


277、填空题  软组织肿瘤钙化常见于_____________、___________、__________、___________________和____________等。


点击查看答案


278、单项选择题  下列属于肾的正常变异有()

A.马蹄肾
B.海绵肾
C.驼峰肾
D.多囊肾
E.油灰肾


点击查看答案


279、名词解释  横板征


点击查看答案


280、单项选择题  下列有关食管造影描述,错误的是()

A.食管粘膜皱襞呈纵行
B.钡剂通过正常贲门时无分流现象
C.为了解胃底结构,应常规服发泡剂
D.充盈缺损不仅见于食管新生物
E.正位充盈像未见异常就可除外食管癌


点击查看答案


281、单项选择题  

早产儿,男,生后4小时,生后出现呼吸困难,如图,最可能的诊断为()

A.新生儿肺炎
B.新生儿湿肺
C.新生儿肺出血
D.新生儿特发性呼吸窘迫综合症
E.胎粪吸入综合征


点击查看答案


282、单项选择题  X线束的最短波长取决于()

A.毫安
B.时间
C.千伏
D.毫安秒
E.靶物质


点击查看答案


283、填空题  骨转移瘤的X线表现可分为__________、________和__________,以_________多见。


点击查看答案


284、单项选择题  双侧膈肌抬高,较少见于()

A.过度肥胖
B.妊娠
C.大量腹水
D.双侧膈下脓肿
E.肝脏肿瘤


点击查看答案


285、多项选择题  下述哪些属硅酸盐肺()

A.石棉肺
B.滑石肺
C.矽肺
D.农民肺
E.棉尘肺


点击查看答案


286、单项选择题  下列哪项胎儿时期即已出现二次骨化中心()

A.股骨头
B.股骨远端
C.肱骨远端
D.髋关节
E.跟骨


点击查看答案


287、单项选择题  寰枢椎脱位的主要依据是()

A.寰椎前弓后缘与齿突前缘之关节间隙增宽
B.脊椎椎管前后缘连线错位
C.齿突与寰椎侧块的关节异常
D.合并齿突骨折
E.张口位上齿突偏位


点击查看答案


288、多项选择题  关于囊形包虫病的描述哪些正确()

A.囊壁分三层
B.子囊由内囊生发层长出
C.子囊头节源自母囊生发层
D.外囊为纤维组织,壁厚,可钙化
E.应避免穿刺活检


点击查看答案


289、多项选择题  肺部病灶检查的常规X线摄片体位是()

A.后前位
B.前后位
C.左前斜位
D.右前斜位
E.侧位


点击查看答案


290、多项选择题  产生X线必须具备的条件是()

A.光电管
B.电子源
C.旋转阳极
D.适当的障碍物(靶面)
E.高压电场和真空条件下产生的高速电子流


点击查看答案


291、单项选择题  黏多糖贮积症Ⅳ型,下述哪个部位可以正常()

A.骨盆
B.脊柱
C.颅骨
D.手部
E.腕部


点击查看答案


292、单项选择题  

女,35岁,摔伤后左髋部剧痛,活动受限6小时,结合影像学检查,最可能的诊断是()

A.股骨颈骨折
B.股骨头骨折
C.骨盆骨折
D.加莱阿奇骨折
E.肱骨骨折


点击查看答案


293、单项选择题  骨瘤的好发部位是()

A.短骨
B.长骨
C.颜面骨
D.椎骨
E.肋骨


点击查看答案


294、单项选择题  膝部病变最佳投照体位,下述哪项错误()

A.膝关节内侧副韧带损伤:双膝强力外展正位
B.膝外翻:双膝关节正立位 
C.膝内翻:双膝关节正立位 
D.髌骨骨折:膝关节侧位、轴位 
E.胫骨粗隆骨软骨炎:常规正位


点击查看答案


295、填空题  引起脾肿大的病因很多,主要有________、__________、________、_________、___________和__________。


点击查看答案


296、判断题  奇副裂呈细线状,自右肺尖部向内、下走行至右肺门上方。


点击查看答案


297、单项选择题  横断面CT扫描,正常成人肝脏上下径为()

A.5~10cm
B.9~12cm
C.13~15cm
D.16~20cm
E.≥20cm


点击查看答案


298、多项选择题  胸片上,空洞可见于下列哪些疾病()

A.转移性肺癌
B.原发性肺癌
C.韦格肉芽肿
D.原发性肺结核
E.嗜酸性肉芽肿


点击查看答案


299、单项选择题  

男,29岁,腹胀,恶心呕吐1年,加重半月。体检:下腹部压痛,结合图像,最可能的诊断为()

A.正常表现
B.胃炎
C.胃溃疡
D.胃窦炎
E.胃癌


点击查看答案


300、单项选择题  儿童长骨分为四部分,下列哪项不在其内()

A.骨骺
B.骨骺板
C.骨端
D.骨干
E.干骺端


点击查看答案


题库试看结束后微信扫下方二维码即可打包下载完整版《★医学影像技术(医学高级)》题库
手机用户可保存上方二维码到手机中,在微信扫一扫中右上角选择“从相册选取二维码”即可。
题库试看结束后微信扫下方二维码即可打包下载完整版《医学影像技术(医学高级):X线》题库,分栏、分答案解析排版、小字体方便打印背记!经广大会员朋友实战检验,此方法考试通过率大大提高!绝对是您考试过关的不二利器
手机用户可保存上方二维码到手机中,在微信扫一扫中右上角选择“从相册选取二维码”即可。

微信搜索关注"91考试网"公众号,领30元,获取公务员事业编教师考试资料40G