时间:2023-01-12 08:46:44


1、单项选择题 结核结节主要由以下哪项组成()。
A.纤维母细胞
B.Ashoff细胞
C.类上皮细胞和Langhans巨细胞
D.淋巴细胞
E.巨噬细胞
2、问答题 试比较大叶性肺炎充血水肿期和慢性肺淤血时肺部的病理变化。
3、单项选择题 下列哪种类型的肺气肿累及呼吸性细支气管()
A.肺大泡
B.腺泡周围型
C.全腺泡型
D.不规则型
E.间质性肺气肿
4、填空题 支气管黏膜上皮炎症修复时受到反复的长时间刺激可发生_______化生。
5、单项选择题
患者,男,45岁,咳嗽伴阵发性心动过速、皮肤潮红3个月,胸片示左侧肺门一圆形巨大阴影,直径5cm。
有关该肿瘤的叙述,错误的是()
A.在肺癌中的恶性度最高
B.具有神经内分泌功能
C.多发生在肺的周边部
D.癌细胞可围绕小血管排列成假菊形团结构
E.对放化疗敏感
6、单项选择题 鼻咽癌最早侵犯的淋巴结是()
A.颈浅淋巴结
B.颈深上淋巴结
C.锁骨上淋巴结
D.咽后壁淋巴结
E.咽外侧壁淋巴结
7、单项选择题
死者,女性,65岁,尸检见两肺缩小、变硬,肺组织呈蜂窝状改变,下叶脏层胸膜显著增厚,壁层胸膜出现纤维斑和广泛纤维化。
如图示胸膜壁层,镜下观分别如图(HE染色)、如图(铁染色),正确的诊断是()
A.肺结核
B.石棉肺
C.硅肺
D.肺纤维化
E.结节病
8、名词解释 硅结节(silicotic nodule)
9、单项选择题 下列哪一项不符合鼻咽癌的特性()
A.发生于鼻咽部柱状上皮
B.最常见于鼻咽的顶部
C.常破坏颅底骨并侵入颅内
D.癌组织有迅速向深部浸润生长的倾向
E.晚期常经淋巴道及血道转移至颈部淋巴结及肺、骨、肝等处
10、单项选择题 肺癌中最常见的组织学类型是()。
A.腺癌
B.鳞状细胞癌
C.细支气管肺泡癌
D.小细胞癌
E.大细胞癌
11、多项选择题 关于肺癌的叙述,哪些是错误的()
A.肺癌的发生都与吸烟有关
B.鳞状细胞癌是最常见的类型
C.肺癌多数起源于肺泡上皮
D.肺癌的早期症状有助于诊断
E.肺癌的肺外症状易造成误诊
12、判断题 小叶性肺炎属于急性化脓性炎。
13、填空题 肺肉质变是由于________肺炎的________期纤维蛋白原渗出过________或中性粒细胞渗出过_________所致。
14、单项选择题 结核结节属于()。
A.异物肉芽肿
B.感染性肉芽肿
C.炎性肿瘤
D.炎性息肉
E.脓肿
15、多项选择题 下列关于鼻咽癌的特点叙述正确的是()
A.最常发生于鼻咽前壁
B.以低分化鳞状细胞癌最为多见
C.向上蔓延时,常引起第Ⅶ~Ⅹ脑神经损伤
D.未分化癌多来自黏膜上皮的嗜银细胞
E.往往早期发生淋巴结转移
16、填空题 鼻咽癌的颈部淋巴结转移首先发生在病变的______,继而发展为______。
17、单项选择题 发现患儿两肺密布灰白色粟粒大小结节,同时肝、脾、肾亦见同样病变,脑膜渗出物呈毛玻璃样外观。推测本例患儿最可能的诊断是()。
A.急性粟粒性肺结核
B.全身粟粒性结核伴结核性脑膜炎
C.慢性粟粒性肺结核
D.脓毒败血症伴化脓性脑膜炎
E.全身粟粒性结核
18、单项选择题 脑血管意外引起呼吸衰竭的机制为()。
A.肺顺应性降低
B.胸廓顺应性降低
C.呼吸肌收缩减弱
D.肺泡回缩力降低
E.肺泡膨胀稳定性增强
19、单项选择题
患者,女,25岁,长期慢性咳嗽伴大量脓臭痰,反复咯血。手术切除病变肺叶,巨检如图,镜检如图所示,确切的诊断是()

A.慢性支气管炎
B.支气管扩张症
C.肺结核
D.肺脓肿
E.弥漫性泛支气管炎
20、单项选择题 支气管扩张症引起肺源性心脏病的原因主要是()。
A.支气管腺体肥大、增生,粘膜上皮杯状细胞增多
B.急、慢性细支气管炎及细支气管周围炎
C.支气管壁因炎症而遭破坏
D.慢性阻塞性细支气管炎
E.肺组织高度纤维化
21、单项选择题
女尸,65岁,因进行性呼吸衰竭死亡。
尸检时见胸腔前后径增大,双肺灰白色,柔软而弹性差(如图)。镜检如图。有关肺组织的正确诊断为()
A.肺气肿
B.肺水肿
C.支气管扩张
D.肺淤血
E.肺脓肿
22、单项选择题 造成阻塞性通气不足的原因是()。
A.呼吸肌活动障碍
B.胸廓顺应性降低
C.肺顺应性降低
D.气道阻塞或狭窄
E.弥散障碍
23、单项选择题 关于支气管哮喘下列哪项是不正确的()
A.病变由炎症介质引起
B.支气管壁平滑肌痉挛
C.属Ⅰ型超敏反应性疾病,IgE抗体介导
D.支气管壁大量肥大细胞及嗜碱性粒细胞浸润
E.病变支气管壁充血、水肿及黏液分泌增加
24、单项选择题 慢性阻塞性肺气肿的发生主要是由于()。
A.支气管壁腺体肥大、增生,粘膜上皮内杯状细胞增多
B.急、慢性细支气管炎及细支气管周围炎
C.支气管壁因炎症而遭破坏
D.慢性阻塞性细支气管炎
E.肺组织高度纤维化
25、多项选择题 下列能引起肺气肿的疾病有()
A.慢性支气管炎
B.支气管扩张症
C.支气管哮喘
D.大叶性肺炎
E.小叶性肺炎
26、单项选择题 下列哪项符合硅肺的特点()
A.硅结节是一种肉芽肿性病变
B.早期病变出现于两肺下叶和背侧
C.硅肺性空洞是合并结核病的结果
D.吸入的二氧化硅尘粒越大,密度越高致病力越强
E.以上都不是
27、单项选择题 限制性或阻塞性通气不足发生呼吸衰竭的中心环节是()。
A.肺顺应性降低
B.小气道阻塞
C.肺组织弹性下降
D.总肺泡通气量不足
E.气道阻力增加
28、单项选择题 下列哪项不符合肺硅沉着病的病理变化()。
A.硅结节团块中央可发生坏死,并有空洞形成
B.硅结节由同心圆状胶原纤维组成
C.胸膜广泛增厚
D.硅结节直径不小于5mm
E.肺间质纤维化
29、单项选择题 大叶性肺炎患者,明显的发绀症状常出现在哪一期()
A.充血水肿期
B.红色肝样变期
C.灰色肝样变期
D.溶解消散期
E.病变恢复期
30、单项选择题 关于肺癌的肉眼类型下列不正确的是()。
A.中央型肺癌起源于主支气管和叶支气管
B.周围型肺癌起源于段以下支气管
C.弥漫型肺癌起源于细支气管
D.弥漫性肺癌也可起源于肺泡上皮
E.中央型肺癌早期就有淋巴结转移
31、单项选择题 慢性支气管为粘膜上皮容易发生的化生是()。
A.粘液上皮化生
B.移行上皮化生
C.鳞状上皮化生
D.杯状上皮化生
E.肠上皮化生
32、填空题 硅肺常见的并发症为_______和_______。
33、单项选择题 慢性阻塞性肺病最常见于()。
A.支气管扩张
B.支气管哮喘
C.慢性支气管炎
D.肺结核球
E.肺脓肿
34、单项选择题 1岁,高热头痛、呕吐周余,体检脑膜刺激征阳性,脑脊液中查到抗酸杆菌。考虑患哪种疾病可能性最大()。
A.流行性脑脊髓膜炎
B.流行性乙型脑炎
C.霉菌性脑膜炎
D.沙门杆菌脑膜炎
E.结核性脑膜炎
35、单项选择题 慢性支气管炎的病变性质是()
A.慢性特异性炎症
B.慢性非特异性炎症
C.浆液性炎症
D.卡他性炎症
E.化脓性炎症
36、填空题 在能引起副肿瘤综合征的肺肿瘤中,最常见的是________。
37、单项选择题 小叶性肺炎的合并症为()。
A.肺心病
B.肺脓肿
C.纤维素性胸膜炎
D.肺气肿
E.以上都不是
38、单项选择题 关于小叶性肺炎的叙述,下列哪项是不正确的()。
A.严重者形成融合性支气管肺炎
B.细支气管和肺泡的化脓性炎
C.两肺散在病灶,以上肺多见
D.病灶周围肺组织充血
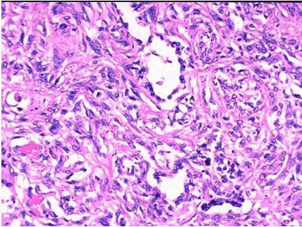
E.可并发肺脓肿及脑脓肿
39、单项选择题
患者,男,8岁,进行性声嘶4天,喉镜见声门区乳头状肿物三枚,淡红色,约0.2cm×0.5cm×0.6cm至1.4cm×1cm×0.8cm,基底部较宽,摘除活检,镜下如图所示,该患儿的正确诊断是()
A.声带小结
B.喉血管瘤
C.喉神经纤维瘤
D.喉纤维瘤
E.喉乳头状瘤
40、多项选择题 肺硅沉着症引起肺源性心脏病主要的主要机制是()
A.肺间质弥漫性纤维化
B.硅结节形成
C.硅肺性空洞形成
D.呼吸障碍造成缺氧
E.阻塞性支气管炎
41、单项选择题 引起肺气肿的最重原因是()。
A.吸烟
B.空气污染
C.小气道感染
D.慢性阻塞性细支气管炎
E.肺尘埃沉着病
42、单项选择题 下列哪项不是慢性阻塞性肺病的共同特征()
A.呼气阻力增加
B.肺组织实变
C.肺实质受损害
D.小气道受损害
E.肺功能不全
43、单项选择题
患者,女,25岁,持续性鼻塞、闭塞性鼻音、睡眠时打鼾,鼻腔镜检查见多个表面光滑、淡红色的半透明肿物堵塞鼻腔。
有关该病的叙述错误的是()
A.增生的组织表面被覆假复层纤毛柱状上皮,可鳞化
B.部分上皮可出现重度异型
C.间质中肉芽组织增生,淤血,水肿
D.间质中数量不等的慢性炎细胞浸润
E.有时亦可见多量嗜酸性粒细胞浸润
44、单项选择题 在我国引起肺源性心脏病最常见的疾病是()
A.肺结核
B.硅沉着症
C.支气管哮喘
D.支气管扩张症
E.慢性支气管炎伴肺气肿
45、填空题 大叶性肺炎患者在_______期咳铁锈色痰,而在_______期咳黏液脓性痰。
46、单项选择题
患者,男,55岁,每年冬春季节均会出现反复发作的咳嗽、咳痰等症状,至少持续3个月以上。胸片示肺纹理增粗,紊乱。
纤支镜取活检镜下如图所示,该患者正确的诊断是()
A.慢性支气管炎
B.肺结核
C.肺癌
D.支气管哮喘
E.支气管扩张
47、问答题
患儿,女,5岁。发热、咳嗽、咳痰8天,加重并憋气2天急症入院。患者于8天前受凉后发热、咳嗽、咳黏液脓性痰,近2天症状加重,呼吸困难。体格检查:体温39℃,脉搏156次/分,呼吸24次/分。患儿急性病容,呼吸急促,面色苍白,口唇发绀,精神萎靡,鼻翼扇动,颈软。双肺散在中、小水泡音。心音低钝,心率156次/分,心律齐。化验检查:白细胞20×10/L,其中中性粒细胞0.78,淋巴细胞0.17。X线检查:左、右肺下叶均见散在分布的灶状阴影。入院后经治疗病情仍未减轻,并逐渐加重,抢救无效死亡。临床诊断:支气管肺炎,急性心力衰竭。尸检主要所见:左、右肺下叶背侧,于肺表面和切面均见分布的实变病灶,灰黄色,约粟粒至蚕豆大小,形状不规则,部分区域有融和成片现象。镜下:实变病灶中可见细支气管壁充血、水肿、中性粒细胞浸润,管腔内有大量脓性渗出物,其周围肺泡腔中可见浆液和中性粒细胞渗出。
死者曾患有哪些疾病?其诊断依据是什么?48、问答题 慢性支气管炎、小叶性肺炎和大叶性肺炎患者咳黏液脓性痰,病变基础分别是什么?
49、单项选择题
患者,男,40岁,声嘶1周,喉镜见左侧声带前1/3和后2/3交界处有一黄白色圆形肿物,约1.3cm×1cm×0.7cm大小,活检镜下如图,该患者的正确诊断是()
A.声带息肉
B.声带小结
C.喉纤维瘤
D.喉血管瘤
E.声带癌
50、判断题 慢性阻塞性肺病包括慢性支气管炎,肺气肿,支气管哮喘以及肺尘埃沉着症。
51、单项选择题 患者,男,58岁,咳嗽,咯痰带血四月余,近日胸闷,气短,食欲不振,明显消瘦伴低热而入院。既往身体健康,吸烟37年。胸部X线示左肺门处有一6cm×5cm大小的不规则占位性病变,其最可能诊断为()。
A.结核球
B.肺脓肿
C.炎性假瘤
D.肺癌
E.肺内的转移癌
52、多项选择题 麻疹病毒肺炎早期可见()
A.肺间质纤维化
B.胞浆内和核内包涵体
C.肺间质淋巴细胞浸润
D.浆液渗出较多,肺泡透明膜形成
E.细支气管及肺泡上皮增生,多核巨细胞形成
53、单项选择题 恶性肿瘤晚期患者,出现发热、咳嗽、呼吸困难等症状,胸透见两肺下叶散在分布、边缘不清的小灶性阴影,最可能的病变是()。
A.大叶性肺炎
B.小叶性肺炎
C.干酪样肺炎
D.转移性肿瘤
E.间质性肺炎
54、多项选择题 大叶性肺炎并发肺肉质变是由于()
A.中性粒细胞渗出过多
B.中性粒细胞渗出过少
C.巨噬细胞渗出过多
D.巨噬细胞渗出过少
E.纤维蛋白原渗出过多
55、单项选择题 慢性支气管炎典型病变中没有()。
A.粘膜上皮鳞化
B.支气管腺体和杯状细胞增生
C.支气管内有多量泡沫细胞
D.支气管壁有大量慢性炎症细胞浸润
E.支气管软骨变性、萎缩
56、多项选择题 下列哪些是吸烟引起慢性支气管炎症状加重的机制()
A.支气管黏膜上皮纤毛倒伏和脱失
B.引起细致气管炎
C.弹性蛋白酶活性增高
D.支气管平滑肌麻痹
E.支气管黏膜上皮增生及腺体肥大,分泌亢进
57、单项选择题
二氧化碳潴留,PaCO2超过以下哪项可引起“二氧化碳麻醉”症状()。
A.40mmHg
B.50mmHg
C.60mmHg
D.70mmHg
E.80mmHg
58、单项选择题
患者,女,23岁,咳嗽伴发热、食欲减退、体重减轻1年,X线检查显示双侧肺门及纵隔淋巴结对称肿大,行纤支镜活检。
镜下如图所示,正确的诊断是()

A.肺结核
B.肺癌
C.肺门淋巴结转移性癌
D.淋巴瘤
E.硅肺
59、配伍题 麻疹病毒感染能引起()葡萄球菌感染能引起()吸入含高温放射线菌的粉尘能引起()结核杆菌感染能引起()石棉粉尘能引起()
A.脱屑性间质性肺炎
B.巨细胞肺炎
C.干酪样肺炎
D.过敏性肺泡炎
E.小叶性肺炎
60、问答题 哪些疾病肺组织中有明显的纤维组织增生,试举例说明。
61、判断题 红色肝样变期缺氧症状较灰色肝样变期轻。
62、单项选择题 肺硅沉着病的特征性病变是()。
A.肺门淋巴结肿大
B.肺质地变硬
C.胸膜纤维化
D.肺气肿
E.硅结节
63、单项选择题 大叶性肺炎最严重的并发症是()。
A.中毒性休克
B.肺脓肿
C.肺肉质变
D.亚急性感染性心内膜炎
E.化脓性脑膜炎
64、单项选择题
患者,6个月,持续高热,咳嗽,呼吸困难至呼吸衰竭而死亡。尸检见肺组织散在多个小实变区,小支气管上皮坏死脱落,小支气管周围肺泡腔内有炎性渗出物。
下列哪项不是上述疾病的并发症()
A.脓胸
B.肺脓肿
C.脓毒败血症
D.肺肉质变
E.心力衰竭
65、单项选择题
1cm×1cm×0.5cm大小的结节。
该患者所患疾病与下列哪种病毒关系密切()
A.HPV
B.HTLV-1
C.HIV
D.EBV
E.HBV
66、填空题 _________是导致肺心病发病的基础原因。
67、配伍题 小叶性肺炎是()大叶性肺炎是()
A.淋巴细胞渗出为主的炎症
B.纤维蛋白渗出为主的炎症
C.浆液渗出为主的炎症
D.单核巨噬细胞渗出为主的炎症
E.中性粒细胞渗出为主的炎症
68、名词解释 Kartagener综合征(Kartagener syndrome)
69、单项选择题 成年男性患者,气短呼吸困难,心浊音界缩小,肝浊音界下降,近日出现头痛,烦躁不安,昏迷。最大可能是()。
A.脑出血
B.肺心病
C.脑栓塞
D.精神异常
E.肺气肿并发肺性脑病
70、单项选择题 下列哪项不符合急性细支气管炎的特点()
A.常见于婴幼儿
B.是管径<2mm的细支气管的急性炎症
C.由流感杆菌、葡萄球菌等细菌感染引起
D.突出的症状是喘憋性呼吸困难
E.可转为慢性并导致弥漫性肺气肿
71、填空题 肺硅沉着症的基本病理变化是________和________。
72、单项选择题 当患者出现明显缺氧、紫绀症状,表明大叶性肺炎病变正处于()
A.充血水肿期
B.红色肝样变期
C.灰色肝样变期
D.溶解消散期
E.合并肺脓肿期
73、单项选择题 下列各项均符合矽肺病变,除了()。
A.矽结节是肺巨噬细胞聚积形成
B.矽结节不是一种肉芽肿病变
C.矽结节的形成可分为三个阶段
D.矽结节融合成团块,继而可在中央形成空洞
E.可形成弥漫性间质纤维化
74、问答题
患儿,女,5岁。发热、咳嗽、咳痰8天,加重并憋气2天急症入院。患者于8天前受凉后发热、咳嗽、咳黏液脓性痰,近2天症状加重,呼吸困难。体格检查:体温39℃,脉搏156次/分,呼吸24次/分。患儿急性病容,呼吸急促,面色苍白,口唇发绀,精神萎靡,鼻翼扇动,颈软。双肺散在中、小水泡音。心音低钝,心率156次/分,心律齐。化验检查:白细胞20×10/L,其中中性粒细胞0.78,淋巴细胞0.17。X线检查:左、右肺下叶均见散在分布的灶状阴影。入院后经治疗病情仍未减轻,并逐渐加重,抢救无效死亡。临床诊断:支气管肺炎,急性心力衰竭。尸检主要所见:左、右肺下叶背侧,于肺表面和切面均见分布的实变病灶,灰黄色,约粟粒至蚕豆大小,形状不规则,部分区域有融和成片现象。镜下:实变病灶中可见细支气管壁充血、水肿、中性粒细胞浸润,管腔内有大量脓性渗出物,其周围肺泡腔中可见浆液和中性粒细胞渗出。
分析疾病的发生、发展及其演变过程,以及临床病理联系。75、填空题 肺癌的组织学类型,最常见的是________,恶性度最高的是__________。
76、单项选择题 一婴儿出现发热,咳嗽,咳痰气喘,胸透见双肺下叶散在分布着边界不清的阴影。最可能患的是()。
A.大叶性肺炎
B.干酪样肺炎
C.间质性肺炎
D.小叶性肺炎
E.肺脓肿
77、多项选择题 小气道是指细支气管、终末细支气管,其特点是()
A.管腔细小
B.管壁薄
C.纤毛上皮细胞减少
D.无平滑肌支撑
E.缺乏软骨
78、单项选择题 大叶性肺炎铁锈色痰产生的主要原因是痰内含有()。
A.大量红细胞
B.红细胞破坏后释放的含铁血黄素
C.大量黏液
D.纤维素与红细胞结合的产物
E.大量肺泡巨噬细胞
79、问答题 简述早期肺癌的分型及特点。
80、多项选择题 下列均为慢性支气管炎患者咳痰的病变基础,但除外()
A.支气管黏膜鳞状上皮化生
B.支气管黏膜上皮内杯状细胞增多
C.支气管黏膜上皮细胞变性、坏死脱落
D.支气管壁腺体肥大、增生,浆液腺的黏液化
E.气管壁充血、水肿、淋巴细胞和浆细胞浸润
81、单项选择题 易并发肺肉质变的肺部疾病是()
A.间质性肺炎
B.大叶性肺炎
C.小叶性肺炎
D.病毒性肺炎
E.干酪样肺炎
82、填空题 支气管扩张症扩张的支气管可呈______、_______和______扩张。
83、单项选择题 大叶性肺炎合并肺肉质变的机制是()
A.病变范围太广
B.纤维素渗出太多
C.吞噬细胞渗出太少
D.肺组织结构被炎症破坏
E.病程太长
84、单项选择题 肺气肿是指病变发生在()。
A.气管
B.支气管
C.呼吸性细支气管以远肺组织
D.管径<2mm的小支气管
E.肺泡
85、判断题 支气管扩张症发生部位常是右肺多于左肺,下叶多于上叶。
86、名词解释 慢性阻塞性肺病(chronic obstructive pulmonary disease,COPD)
87、单项选择题 下列哪种疾病不会引起肺气肿()
A.慢性支气管炎
B.支气管扩张症
C.支气管哮喘
D.大叶性肺炎
E.小叶性肺炎
88、多项选择题 硅肺的并发症有()
A.支气管扩张
B.硅肺性空洞
C.肺心病
D.肺结核病
E.肺气肿
89、单项选择题
患者,男,55岁,每年冬春季节均会出现反复发作的咳嗽、咳痰等症状,至少持续3个月以上。胸片示肺纹理增粗,紊乱。
该疾病的主要病理变化应除外哪一项()
A.支气管黏液腺肥大、增生
B.支气管黏膜上皮纤毛脱落、倒伏
C.支气管管壁淋巴细胞、浆细胞浸润
D.支气管黏膜上皮鳞状细胞化生
E.支气管黏膜上皮细胞重度异型增生
90、单项选择题 常引起肺源性心脏病的是()。
A.慢性阻塞性肺气肿
B.肺结核球
C.周围型肺癌
D.大叶性肺炎
E.急性支气管炎
91、单项选择题 慢性阻塞性肺病常见于()
A.支气管哮喘
B.支气管扩张
C.肺脓肿
D.肺结核球
E.慢性支气管炎
92、多项选择题 下列硅肺的描述,说法不正确的是()
A.以5μm大小的硅尘致病能力最强
B.硅肺的致病因子是二氧化硅尘粒
C.吸入到肺泡内硅尘量多的部位导致硅结节形成,量少则引起弥漫纤维化
D.病变以肺组织下叶及背侧为明显
E.晚期导致肺门淋巴结的病变
93、单项选择题 慢性支气管炎的主要病变有()。
A.粘膜上皮纤毛脱落、倒伏
B.上皮鳞状细胞化生
C.粘液腺肥大
D.管壁淋巴细胞、浆细胞浸润
E.以上都包括
94、单项选择题 下列哪种肺部不易导致肺纤维化、肺动脉高压()
A.硅肺
B.石棉肺
C.肺结核
D.间质性肺炎
E.支气管扩张症
95、单项选择题 下列哪项不属于肺癌的肺外症状()
A.肌无力综合征
B.类癌综合征
C.Horner综合征
D.肺性骨关节病
E.类Cushing综合征
96、多项选择题 易导致肺间质纤维化、肺动脉高压的肺部疾病有()
A.肺结核
B.间质性肺炎
C.支气管扩张症
D.肺肉质变
E.肺尘埃沉着症
97、单项选择题 关于结核病,下列哪项是错误的()。
A.对人致病的结核杆菌主要为人型及牛型
B.可经呼吸道及消化道感染
C.增生为主的病变见于抵抗力低下、菌量多时
D.类上皮细胞由巨噬细胞转变而来
E.干酪样坏死物中大都含有一定量的结核杆菌
98、单项选择题
患者,男,18岁,鼻塞、鼻出血,鼻腔镜检查见一鲜红色圆形肿物凸向鼻腔,约2cm×1cm×0.5cm大小,表面光滑,活检如图1、2所示,正确的诊断是()


A.鼻息肉
B.鼻腔内翻性乳头状瘤
C.鼻腔纤维肉瘤
D.鼻腔淋巴瘤
E.鼻腔纤维血管瘤
99、填空题 根据组成成分的不同,硅结节可有________结节、_______结节和____________结节。
100、配伍题 属于肺癌的特殊类型且40%为腺癌的为()常见于被动吸烟患者且多为腺癌的为()肺小细胞癌多为()肺癌中最常见的类型为()
A.中央型肺癌
B.周围型肺癌
C.弥漫型肺癌
D.肺瘢痕癌
E.肺转移癌
101、单项选择题 慢性支气管炎患者出现阻塞性通气障碍、缺氧的主要环节是()
A.支气管壁组织因炎症而破坏
B.支气管壁腺体增生、肥大
C.病变引起小气道狭窄或阻塞
D.肺组织高度纤维化
E.急、慢性细支气管炎及细支气管周围炎
102、单项选择题 关于小叶性肺炎下列哪一项是错误的()
A.细支气管和肺泡的化脓性炎
B.可并发肺脓肿和脑脓肿
C.严重者病灶发生融合
D.病灶周围肺组织充血
E.病灶散在于两肺,以上肺多见
103、单项选择题
死者,女性,65岁,尸检见两肺缩小、变硬,肺组织呈蜂窝状改变,下叶脏层胸膜显著增厚,壁层胸膜出现纤维斑和广泛纤维化。
下述该疾病的常见并发症不包括()
A.恶性胸膜间皮瘤
B.肺结核
C.肺源性心脏病
D.宫颈癌
E.肺结核
104、问答题 比较大叶性肺炎红色肝样变期和灰色肝样变期的病理改变的异同,并解释灰色肝样变期患者缺氧症状减轻的原因?
105、单项选择题 慢性支气管炎患者咳粘痰的病理基础是()。
A.呼吸上皮细胞变性
B.粘膜腺体增生和粘液腺化生
C.呼吸上皮细胞鳞化
D.支气管壁硬化
E.呼吸上皮细胞坏死
106、多项选择题 关于肺癌的特点哪些是正确的()
A.鳞癌的痰涂片检查阳性率最高
B.肺癌又称支气管癌
C.腺癌易被纤维支气管镜检查发现
D.燕麦细胞癌多属周围型
E.大细胞癌可引起肺外症状
107、单项选择题 大叶性肺炎合并肺肉质变的机制为()。
A.中性粒细胞渗出过多
B.纤维素渗出过多
C.病变范围太广
D.吞噬细胞渗出太少
E.以上都不对
108、填空题 小叶性肺炎常见于_______、_______、________者。
109、单项选择题
患者,男,60岁,右侧胸痛2年,胸片示右下肺云雾状不均匀高密度阴影,界限不清,行肿块切除术。
有关该肿瘤的叙述不正确的是()
A.多为周围型,位于胸膜下
B.肺泡间隔大多保存完整
C.常沿肺泡壁、肺泡管壁生长
D.大多可见细胞间桥及癌巢结构
E.常形成乳头结构凸向肺泡腔
110、单项选择题 肺癌的淋巴道转移最先发生于()。
A.纵隔淋巴结
B.锁骨上淋巴结
C.颈淋巴结
D.肺门淋巴结
E.腋窝淋巴结
111、单项选择题
患者,男,45岁,咳嗽伴阵发性心动过速、皮肤潮红3个月,胸片示左侧肺门一圆形巨大阴影,直径5cm。
该肿瘤可能起源于()
A.支气管腺体
B.主支气管黏膜上皮
C.Ⅱ型肺泡上皮细胞
D.嗜银细胞
E.小支气管黏膜上皮
112、问答题
男性患者,68岁,因反复咳嗽、咳痰20年,伴心悸、气短4年,双下肢浮肿5年,腹胀5月,加重10天入院。
患者20年前因多次感冒、发热、咳嗽,后经常出现咳嗽、咳白色粘痰,有时呈黄色脓性,尤以冬季较重,并逐年加重。近年来,自觉心慌、气短,胸闷,活动后加重。5年前开始出现双下肢浮肿,休息后可缓解。近5个月感觉腹胀。10天前因受凉发热、病情加重,不能平卧,急诊入院。体格检查:体温37.8℃,脉搏98次/分,呼吸28次/分,血压120/85mmHg。患者神志尚清,端坐呼吸,口唇发绀,颈静脉怒张,吸气时锁骨上窝明显凹陷。桶状胸,双肺叩过清音,双肺散在干、湿啰音,心音遥远,心率98次/分,心律齐,心浊音界缩小。腹部膨隆,叩移动性浊音,肝脏下缘在右肋缘下7.2cm。双下肢凹陷性水肿。化验检查:血红蛋白98g/L,白细胞8.6×10/L,其中中性粒细胞占0.88、淋巴细胞0.11,动脉血氧分压9.8kPa(74mmHg),动脉血二氧化碳分压8.0kPa(60mmHg)。入院后经治疗病情仍未缓解,24小时前患者出现抽搐、烦躁不安,继而神志不清,心率加快至152次/分,血压下降,抢救无效死亡。
尸检主要所见:老年男性,双下肢凹陷性水肿,腹腔积液1800ml、淡黄色、透明、比重1.011。双肺体积增大,充气膨胀,表面见肋骨压痕,表面及切面均可见散在灶状实变病灶,呈灰黄色与灰红色,以下叶病变较重。镜检:双肺肺泡扩张,肺泡壁变窄、部分断裂。灶状实变病灶中见细支气管腔和肺泡腔内有浆液、中性粒细胞渗出,部分支气管黏膜上皮细胞坏死脱落,黏膜内杯状细胞增多,局部鳞状上皮化生,部分支气管腔内见黏液栓,管壁黏液腺增生、肥大,软骨灶性钙化,纤维组织增生、淋巴细胞及中性粒细胞浸润。肺小动脉壁增厚。心脏重480g,右心室壁厚0.55cm,右心腔明显扩张,乳头肌及肉柱显著增粗,肺动脉圆锥膨隆,左心及各瓣膜未见明显异常。肝脏体积增大,质硬,淤血,呈淤血性肝硬化。脾脏体积增大,淤血。
113、名词解释 慢性肺源性心脏病(chronic cor pulmonale)
114、单项选择题 下列慢性粟粒性肺结核病的描述,哪项不对()。
A.多见于成年人
B.肺内原发综合征多已钙化痊愈
C.患者多因结核性脑膜炎死亡
D.由肺门淋巴结干酪样坏死破入颈内静脉发生血行播散引起
E.肺内形成新旧不等的病变
115、多项选择题 慢性肺源性心脏病可由下列哪些疾病演变而来()
A.支气管哮喘
B.支气管扩张症
C.慢性支气管炎
D.肺硅沉着症
E.肺结核病
116、单项选择题 间质性肺炎的主要病变特点是()
A.间质充血水肿、单核细胞和淋巴细胞浸润
B.间质充血水肿、淋巴细胞浸润
C.间质充血水肿、中性粒细胞浸润
D.间质充血水肿及出血现象
E.间质充血水肿及结缔组织增生
117、单项选择题 大叶性肺炎的病变性质是()
A.浆液性炎症
B.化脓性炎症
C.纤维素性炎症
D.卡他性炎症
E.增生性炎症
118、单项选择题 下列肺炎中,不属于小叶性肺炎者为()。
A.手术后肺炎
B.吸入性肺炎
C.麻疹后肺炎
D.坠积性肺炎
E.巨细胞肺炎
119、单项选择题 病毒性肺炎的主要诊断依据是()。
A.淋巴细胞、单核细胞浸润
B.间质性肺炎
C.透明膜形成
D.肺泡性肺炎
E.上皮细胞内的病毒包涵体
120、单项选择题 患者30岁,两年来经常腹痛、腹泻、便血、食欲不振,体重减轻。查体:体温37.6℃,结核菌素试验阳性,结肠镜发现,回盲部粘膜多个溃疡,其长轴与肠轴垂直,应诊断为()。
A.肠伤寒
B.肠结核
C.细菌性痢疾
D.肠癌
E.阿米巴痢疾
121、判断题 大叶性肺炎是一种纤维素性炎。
122、单项选择题 大叶性肺炎红色肝样变期的主要病变为()
A.大量的浆液渗出
B.大量的中性粒细胞渗出
C.大量的纤维素渗出
D.大量的红细胞渗出
E.大量的巨噬细胞渗出
123、单项选择题 小叶性肺炎不会出现的并发症是()
A.肺脓肿
B.呼吸衰竭
C.支气管扩张
D.肺肉质变
E.心力衰竭
124、单项选择题 下列不属于小叶性肺炎临床特点的是()
A.多发生于青壮年
B.可由多种细菌所致
C.起病隐匿
D.实变体征不明显
E.患者预后差
125、单项选择题 男性患者,尸检见肺组织散在多个小实变区。小支气管上皮坏死脱落,管腔内有炎性渗出物,以中性粒细胞为主,小支气管周围肺泡腔内也见上述渗出物。病理诊断为()。
A.大叶性肺炎
B.小叶性肺炎
C.间质性肺炎
D.病毒性肺炎
E.支原体肺炎
126、多项选择题 慢性支气管炎可以引起()
A.管腔狭窄
B.支气管扩张症
C.支气管哮喘
D.阻塞性肺气肿
E.慢性肺心病
127、问答题 哪些肺部疾病可以导致肺源性心脏病?机制如何?
128、单项选择题 大叶性肺炎主要由下列哪种病原微生物感染引起()。
A.腺病毒
B.肺炎支原体
C.大肠杆菌
D.肺炎杆菌
E.肺炎球菌
129、单项选择题 慢性支气管炎并发肺气肿通常是()
A.腺泡中央型肺气肿
B.全腺泡型肺气肿
C.肺泡远端型肺气肿
D.代偿性肺气肿
E.间质性肺气肿
130、单项选择题 引起支气管哮喘典型症状的主要机制是()
A.管壁大量炎性细胞浸润
B.支气管壁平滑肌痉挛
C.腔内黏液栓阻塞
D.黏膜水肿、基膜增厚
E.黏膜上皮杯状细胞增多、黏液腺增生
131、单项选择题 关于慢性支气管炎的描述,下列哪项是错误的()。
A.中年以上男性多见
B.常反复咳嗽、咳痰
C.发作性呼气性呼吸困难
D.可伴喘息症状
E.可进展为肺心病
132、多项选择题 呼吸衰竭引起肺性脑病的发病机制是()。
A.缺氧与酸中毒使脑血管扩张
B.缺氧和酸中毒损伤脑血管内皮细胞,引起脑间质水肿
C.缺氧致细胞ATP生成减少,影响Na+-K+泵功能而形成脑细胞水肿
D.PaCO2升高使脑血流量增加
E.脑脊液pH降低,神经细胞发生酸中毒
133、单项选择题
死者,女性,65岁,尸检见两肺缩小、变硬,肺组织呈蜂窝状改变,下叶脏层胸膜显著增厚,壁层胸膜出现纤维斑和广泛纤维化。
该疾病的病变特点错误的是()
A.病变以两肺下部为重
B.弥漫性纤维化肺组织中可见大量胆固醇结晶
C.肺间质弥漫性纤维化
D.常在脏层胸膜处形成胸膜斑
E.肺组织中可见石棉小体
134、单项选择题 患者,男,45岁,20年吸烟史。5年前每当气候转凉即开始咳嗽,咯白色黏痰,直至天气转暖后好转;近1年来咳嗽发作频繁,但干咳少痰,其可能原因为()。
A.支气管扩张
B.支气管哮喘
C.长期慢支引起支气管黏膜和腺体萎缩
D.肺癌广泛转移
E.肺气肿合并慢性肺心病
135、单项选择题 大叶性肺炎的病变实质是()。
A.化脓性炎症
B.出血性炎症
C.肺的肉质变
D.肺泡的纤维素性炎症
E.以上都不是
136、单项选择题
患者,男,27岁,鼻塞、流涕、头痛、咽干一年,该症状在冬季比较明显,鼻腔镜下黏膜粗糙,取活检镜下如图所示,该患者的可能的疾病是()

A.急性鼻炎
B.慢性鼻炎
C.慢性萎缩性鼻炎
D.干酪样鼻炎
E.鼻咽癌
137、判断题 肺鳞状细胞癌和小细胞癌均多发生于肺中央部。
138、多项选择题 慢性支气管炎常见的并发症是()。
A.支气管扩张症
B.慢性阻塞性肺气肿
C.肺源性心脏病
D.肺褐色硬化
E.肺肉质变
139、单项选择题 矽肺常出现以下合并症,除了()。
A.结核病
B.继发肺部细菌或病毒感染
C.肺气肿
D.自发性气胸
E.肺癌
140、单项选择题 男,50岁,30年吸烟史,支气管镜活检可见鳞状上皮和支气管腺体。此种病理变化属于()。
A.支气管黏膜化生
B.支气管黏膜肥大
C.支气管黏膜萎缩
D.支气管鳞状细胞癌
E.支气管腺癌
141、单项选择题 下列哪一种疾病不会引起肺门淋巴结肿大()
A.支气管肺炎
B.支气管扩张症
C.肺癌
D.肺结核
E.肺硅沉着症
142、多项选择题 大叶性肺炎产生的并发症有()。
A.肺肉质变
B.中毒性休克
C.败血症
D.肺脓肿
E.肺心病
143、单项选择题
1cm×1cm×0.5cm大小的结节。
活检镜下如图所示,该患者正确的诊断是()

A.鼻咽鳞状细胞癌
B.Burkitt淋巴瘤
C.鼻咽血管纤维瘤
D.鼻咽腺癌
E.鼻咽泡状核细胞癌
144、名词解释 严重急性呼吸综合征(severe acute respiratory syndrome, SARS)
145、判断题 青少年常是小叶性肺炎的好发人群。
146、名词解释 大叶性肺炎(lobar pneumonia)
147、单项选择题 性阻塞性肺气肿最主要的并发症鼍()。
A.肺源性心脏病
B.肺肉质变
C.肺脓肿
D.纤维素性肺炎
E.肺萎陷
148、单项选择题 引起大叶性肺炎最常见的致病菌是()
A.肺炎杆菌
B.肺炎链球菌
C.金黄色葡萄球菌
D.流感杆菌
E.溶血性链球菌
149、单项选择题
患者,女,35岁,大学教师,声嘶三天,喉镜下双侧声带分别可见灰白色圆形肿物一枚,约0.7cm×0.6cm×0.5cm至1cm×0.5cm×0.4cm大小(如图),活检镜下如图所示,最佳的诊断是()
A.声带息肉
B.声带小结
C.喉纤维瘤
D.喉血管瘤
E.声带癌
150、名词解释 肺气肿(pulmonary emphysema)
151、单项选择题 限制性通气不足的产生是由于()。
A.中央气道阻塞
B.外周气道阻塞
C.肺泡扩张受限制
D.肺泡通气血流比例失调
E.肺泡膜面积减少、厚度增加
152、单项选择题 大叶性肺炎患者的铁锈色痰变成黏液脓痰是在()
A.充血水肿期
B.红色肝样变期
C.灰色肝样变期
D.溶解消散期
E.病变恢复期
153、单项选择题 小叶性肺炎的病变为()。
A.支气管的急性卡他性炎
B.增生性炎
C.纤维素性炎
D.肺泡出血性炎
E.支气管和肺泡的化脓性炎
154、多项选择题 慢性支气管炎导致阻塞性肺气肿的因素有()
A.管壁结构炎性破坏
B.伴发细支气管周围炎
C.腔内炎性渗出物或分泌物聚积
D.闭塞性动脉内膜炎
E.管壁充血水肿及炎性细胞浸润
155、问答题 简述慢性支气管炎的病理变化和并发症。
156、判断题 肺瘢痕癌多为鳞状细胞癌。
157、多项选择题 呼吸衰竭导致机体各系统代谢和功能变化的始动因素是()。
A.低氧血症
B.高碳酸血症
C.呼吸性酸中毒
D.代谢性酸中毒
E.高钾低氯血症
158、单项选择题 Ⅲ期硅肺的病变特征是()。
A.硅结节散在分布
B.病变范围不超过1/3
C.病变仅在肺门周围
D.密集团块状病变中央有空洞
E.肺硬度无明显变化
159、单项选择题 下列哪一项符合支原体肺炎的病变特点()
A.包涵体形成
B.可引起干酪性肺炎
C.病灶呈阶段性分布
D.肺的纤维素性炎症
E.以细支气管为中心的化脓性炎症
160、填空题 小叶性肺炎的病变是以_______为中心,以______为单位的_______炎症。
161、单项选择题 死腔样通气是指()。
A.部分肺泡血流不足
B.部分肺泡通气不足
C.肺泡通气不足而血流正常
D.肺泡血流不足而通气正常
E.肺A-V短路开放
162、名词解释 肺硅沉着症(silicosis)
163、单项选择题 下列哪种疾病无肺透明膜形成()
A.流感病毒肺炎
B.成人呼吸窘迫综合征
C.大叶性肺炎
D.腺病毒肺炎
E.新生儿呼吸窘迫综合征
164、多项选择题 慢性肺源性心脏病的特点有()
A.凡是能够导致肺循环阻力增加的疾病都可引慢性肺心病
B.慢性支气管炎是最常见的原发疾病
C.间质性肺炎引起肺间质纤维化可并发慢性肺心病
D.慢性肺心病发生的关键环节是肺动脉高压
E.右心肥大、扩张是其病变特点
165、单项选择题 下列除哪一项以外,大叶性肺炎时均可发生()
A.肺肉质变
B.脓气胸
C.感染性休克
D.蜂窝肺
E.纤维素性胸膜炎
166、判断题 鼻咽前壁常是鼻咽癌的好发部位。
167、名词解释 新生儿呼吸窘迫综合征(neonatal respiratory distress syndrome, NRDS)
168、单项选择题 喉癌最常见的部位是()
A.喉室
B.会厌
C.室带
D.声带
E.假声带
169、多项选择题 鼻咽癌的特点有()
A.可能与病毒感染有关
B.对放射治疗敏感
C.以高分化鳞状细胞癌为多见
D.大多数发生自鼻咽黏膜单层扁平上皮
E.早期可经淋巴道转移至颈部淋巴结
170、填空题 慢性阻塞性肺病主要包括_______、________、_______和_______等疾病。
171、单项选择题 慢性支气管炎最常见的并发症是()
A.支气管扩张症
B.大叶性肺炎
C.肺气肿
D.小叶性肺炎
E.肺脓肿
172、单项选择题 渗出液中检出大量肺炎链球菌可提示大叶性肺炎病变处于()
A.合并肺肉质变期
B.充血水肿期及红色肝样变期
C.灰色肝样变期
D.溶解消散期
E.合并肺脓肿阶段
173、多项选择题 下列哪些疾病可导致小气道通气功能降低()
A.慢性支气管炎
B.支气管哮喘
C.支气管扩张症
D.大叶性肺炎
E.小叶性肺炎
174、单项选择题 慢性支气管炎患者通气和换气功能障碍的病变基础是()
A.支气管黏膜上皮细胞变性、坏死脱落
B.支气管壁腺体增生、肥大
C.支气管壁充血、水肿、淋巴细胞和浆细胞浸润
D.急、慢性细支气管炎及细支气管周围炎
E.支气管管壁平滑肌束断裂,萎缩
175、单项选择题 下列哪一种病变能反映大叶性肺炎的本质()
A.肺泡的化脓性炎症
B.肺泡的出血性炎症
C.肺泡的纤维素性炎症
D.肺的肉质变
E.以上都不是
176、多项选择题 小叶性肺炎的并发症有()
A.肺脓肿
B.支气管扩张
C.肺心病
D.心力衰竭
E.纤维素性胸膜炎
177、问答题 试述慢性支气管炎、肺气肿、肺心病三者之间的内在联系及其演变过程。
178、单项选择题 病理诊断慢性支气管炎的主要病变指标是()
A.支气管黏膜上皮细胞变性、坏死脱落
B.支气管壁黏液腺体增生、肥大
C.支气管壁充血、水肿、炎细胞浸润
D.支气管黏膜鳞状上皮化生
E.支气管壁平滑肌、软骨破坏
179、单项选择题 急性细支气管炎出现呼吸困难的主要病变基础是()
A.管壁炎性细胞浸润及管腔内炎性渗出物
B.肺萎缩
C.细支气管平滑肌痉挛
D.急性阻塞性肺气肿
E.细支气管上皮坏死脱落及上皮再生
180、单项选择题 造成限制性通气不足的原因是()。
A.呼吸中枢抑制
B.肺泡壁厚度增加
C.气道阻力增高
D.肺内膜V/Q比例失调
E.肺泡膜面积减少
181、单项选择题 下列哪项符合矽肺的病变特点()。
A.Ⅰ期矽结节主要局限在淋巴系统
B.Ⅰ期矽肺时肺重量、体积明显改变
C.Ⅱ期矽肺总的病变范围超过全肺的1/3
D.Ⅱ期矽肺全肺入水后下沉
E.Ⅲ期矽肺矽结节融合,分布少于四个肺区
182、多项选择题 慢性支气管炎的主要病理变化有()
A.黏膜上皮纤毛粘连、倒伏及脱失
B.上皮鳞状细胞化生
C.黏液腺肥大、增生
D.管壁淋巴细胞、浆细胞浸润
E.管壁平滑肌束断裂、萎缩
183、多项选择题 下列哪几项是支气管哮喘的发病因素()
A.过敏
B.呼吸道感染
C.精神因素
D.饮食因素
E.以上都可以
184、单项选择题 以下有关慢性支气管炎发病因素的描述中,哪项最正确()。
A.与吸烟有关
B.机体抵抗力低下时易发病
C.与大气污染有关
D.反复呼吸道病毒、细菌感染
E.以上都包括
185、单项选择题 下列哪项不是肺腺癌的特点()。
A.多位于肺周边部
B.无血行转移
C.女性多见
D.常有肺门淋巴结转移
E.常见于被动吸烟者
186、多项选择题 大叶性肺炎的合并症有()
A.肺肉质变
B.肺癌
C.肺气肿
D.败血症
E.感染性休克
187、单项选择题
患者,男,70岁,慢性支气管炎伴阻塞性肺气肿20余年,加重一年伴心力衰竭而死亡,尸检见双肺体积增大,充气膨胀,表面见肋骨压痕。右心壁厚0.6cm,右心腔明显扩张,乳头肌及肉柱显著增粗,肺动脉圆锥膨隆,左心及各瓣膜未见明显病变。
有关该疾病的叙述不正确的是()
A.慢性支气管炎是其最常见的原发疾病
B.常引起右心室肥大
C.临床主要表现为呼吸功能衰竭和左心衰竭
D.肺血管疾病如多发性小动脉栓塞及肺小动脉炎也可并发该病
E.该病发生最关键环节是肺动脉高压形成
188、单项选择题 慢性肺源性心脏病的主要发病因素不包括()
A.肺循环阻力增加
B.体循环阻力增加
C.肺动脉高压
D.肺组织减少
E.气道阻塞
189、单项选择题 青年男性患者,发热胸痛,咳红褐色痰,呼吸困难,X线检查:右肺上叶大片致密阴影,边界模糊。该患者最可能的诊断是()。
A.肺结核
B.病毒性肺炎
C.干酪样肺炎
D.大叶性肺炎
E.小叶性肺炎
190、单项选择题
患者,男,60岁,右侧胸痛2年,胸片示右下肺云雾状不均匀高密度阴影,界限不清,行肿块切除术。
术后病检镜下如图所示,肿瘤细胞沿肺泡壁,肺泡管壁生长,单层或多层排列,似呈腺样结构。该患者正确的诊断是()

A.肺腺癌
B.细支气管肺泡癌
C.瘢痕癌
D.肺小细胞肺癌
E.肺鳞状细胞癌
191、多项选择题 慢性阻塞性肺病包括以下哪几种疾病()
A.肺气肿
B.慢性支气管炎
C.支气管哮喘
D.支气管扩张症
E.慢性肺源性心脏病
192、填空题 地铁基坑开挖应按设计进行分____分____,限时开挖;当支撑应力损失时应及时复加支撑预应力。
193、判断题 恶性胸膜间皮瘤常是肺硅沉着症的并发症。
194、名词解释 支气管扩张症(bronchiectasis)
195、单项选择题
患者,男,60岁,咳嗽,痰中带血,胸片示右侧肺门一类圆形阴影,边缘毛糙。术中见右肺门区一肿块包绕支气管,界不清。
该病变可能起源于()
A.支气管腺体
B.主支气管黏膜上皮
C.小支气管黏膜上皮
D.嗜银细胞
E.Ⅱ型肺泡上皮细胞
196、单项选择题 下列哪项不是肺硅沉着症常见的并发症()
A.阻塞性肺气肿
B.自发性气胸
C.肺结核病
D.肺肉质变
E.肺源性心脏病
197、多项选择题 支气管扩张症的发病机制与哪些因素有关()
A.先天性因素
B.病变范围
C.病程长短
D.病变程度
E.起病时年龄的大小
198、单项选择题 慢性支气管炎患者咳痰的病变基础是()
A.黏膜上皮细胞变性、坏死、脱落
B.管壁充血、水肿
C.黏膜上皮纤毛倒伏、脱失
D.细支气管周围炎
E.黏液腺肥大、增生,分泌亢进,浆液腺黏液化
199、判断题 肺腺癌的痰脱落细胞学检查阳性率最高。
200、单项选择题 慢性支气管炎最常见并发症是()。
A.肺炎
B.肺脓肿
C.支气管扩张症和肺源性心脏病
D.肺气肿和肺源性心脏病
E.肺结核和肺源性心脏病
201、单项选择题 病毒性肺炎特点中不包括()
A.常是上呼吸道病毒感染向下蔓延所致
B.细胞内可检见包涵体
C.病变严重者,肺泡内可出现脓性渗出物
D.肺组织内出现灶状坏死
E.炎症从支气管、细支气管开始沿肺间质发展
202、多项选择题 关于小叶性肺炎的叙述,以下哪些是正确的()
A.大多由细菌感染引起
B.病变是以细支气管为中心的化脓性炎
C.多发生于小儿及年老体弱者
D.X线片示肺部散在小灶状致密阴影
E.可并发心力衰竭
203、单项选择题 病毒性肺炎的主要病理诊断依据是()
A.间质性肺炎
B.肺泡性肺炎
C.透明膜形成
D.病毒包涵体
E.单核细胞和淋巴细胞浸润
204、单项选择题 老年男性患者,尸检见肺组织内有同心圆排列的玻璃样变的胶原纤维,类上皮细胞,多核巨细胞及淋巴细胞构成的结节。该患者最后诊断为()。
A.肺结核
B.硅沉着症
C.肺纤维化
D.石棉肺
E.硅沉着症结核病
205、填空题 镜下检见________是病理学诊断病毒性肺炎的重要依据。
206、单项选择题
患者,女,50岁,咳嗽伴左侧胸痛。胸片示左肺靠近胸膜处有一圆形高密度影,边缘清楚分叶状,大小1cm×3cm×4cm。
术后病检镜下如图所示。该患者最可能的诊断是()

A.大细胞癌
B.瘢痕癌
C.肺鳞状细胞癌
D.肺腺癌
E.肺小细胞癌
207、单项选择题 下列哪项不符合支气管扩张症的特点()
A.多发生于叶及段等大支气管
B.常并发肺脓肿和肺气肿
C.支气管壁的炎症损伤是主要发病基础
D.可导致肺心病
E.临床表现咳大量脓痰及反复咯血
208、多项选择题 属于间质性肺炎者有()
A.肺炎杆菌性肺炎
B.腺病毒肺炎
C.巨细胞肺炎
D.支原体肺炎
E.羊水吸入性肺炎
209、单项选择题 男性,50岁,因咳嗽及右侧胸痛到医院查体。X线片示左肺下叶云雾状不均匀密度增高影,界限不清,经用抗生素治疗不见好转。痰脱落细胞学检查见可疑癌细胞。该患者最有可能的诊断是()
A.肺腺癌
B.小叶性肺炎
C.间质性肺炎
D.细支气管肺泡癌
E.肺鳞状细胞癌
210、单项选择题 一男性患者35岁,3天前受凉后头痛,畏寒,继而高热,咳嗽,咳铁锈色痰,左侧胸痛,气急不能平卧,X线检查:左肺下叶可见大片阴影。应诊断为()。
A.肺转移瘤
B.肺出血肾炎综合征
C.肺癌继发感染
D.大叶性肺炎
E.支气管扩张症
211、问答题 论述波士顿矩阵模型。
212、单项选择题 下列哪一项符合小叶性肺炎的特点()
A.能引起急性支气管炎的细菌,病毒均能引起小叶性肺炎
B.肺内散布多数病灶,病灶均在小叶范围内
C.肺内各病灶病变表现不一致
D.病变愈复后可以导致肺肉质变
E.以上都不是
213、判断题 病毒包涵体常是病理组织学诊断病毒性肺炎的重要依据。
214、单项选择题 下列哪项疾病不出现肺透明膜()。
A.腺病毒性肺炎
B.大叶性肺炎
C.新生儿呼吸窘迫综合征
D.流感病毒性肺炎
E.急性呼吸窘迫综合征
215、单项选择题 肺气肿的病变部位发生在()
A.肺泡
B.支气管
C.呼吸性细支气管以远肺组织
D.管径<2mm的小支气管
E.终末细支气管
216、判断题 Horner综合征属于副肿瘤综合征范畴。
217、单项选择题
患者,男,60岁,右侧胸痛2年,胸片示右下肺云雾状不均匀高密度阴影,界限不清,行肿块切除术。
该肿瘤可能起源于()
A.支气管腺体
B.嗜银细胞
C.肺泡上皮细胞
D.主支气管黏膜上皮
E.小支气管黏膜上皮
218、填空题 肺鳞状细胞癌的肉眼类型以_____多见,与_____关系密切,多见于_____。
219、填空题 根据肺气肿的发病机制和形态学改变,肺气肿分为______、_____、_____和________。
220、多项选择题 支气管扩张症可合并()
A.肺脓肿
B.脓气胸
C.肺气肿
D.肺心病
E.胸膜炎
221、单项选择题
死者,男性,58岁,尸检时见两肺竖立不倒,质硬,全肺入水下沉,切开时阻力大,有砂粒感。
如图所示,正确的诊断是()

A.肺结核
B.石棉肺
C.硅肺
D.肺纤维化
E.结节病
222、名词解释 灰色肝样变(gray hepatization)
223、单项选择题 关于肺小细胞癌的发生部位,下列哪项是正确的()。
A.中央型多见
B.周围型多见
C.弥漫型多见
D.发生于Ⅰ型肺泡上皮
E.发生于胸膜
224、名词解释 小叶性肺炎(1obular pneumonia)
225、单项选择题 成人呼吸窘迫综合征早期最有诊断意义的病理组织学变化是()
A.部分肺泡萎陷
B.肺泡壁充血水肿
C.肺泡腔充满水肿液
D.透明膜形成
E.毛细血管内中性粒细胞聚集
226、单项选择题 关于慢性支气管炎的说法下列哪项是错误的()
A.40岁以上男性多见
B.可伴喘息症状
C.常见反复咳嗽、咳痰
D.可进展为肺心病
E.常伴发作性呼气性呼吸困难
227、名词解释 交感神经麻痹综合征(Horner’s syndrome)
228、单项选择题 引起肺气肿的原因除阻塞性通气障碍及细支气管支撑组织破坏外,还有()。
A.粘液腺肥大、增生
B.肺组织纤维素性炎
C.中、小型支气管软骨变性、萎缩
D.α-抗胰蛋白酶缺乏
E.肺组织微循环障碍
229、单项选择题 下列叙述哪项不符合小叶性肺炎()。
A.病变多局限于一个小叶
B.属于化脓性炎
C.可并发心力衰竭和呼吸衰竭
D.常是某些疾病的并发症
E.多发生于小儿和年老体弱者
230、单项选择题 患者,女,60岁,咳嗽,咳痰10多年。体格检查:可平卧,桶状胸,两肺少量湿啰音,剑突下可见收缩期搏动,三尖瓣区可听见收缩期杂音,肝脾不大,下肢无水肿。其诊断可能为()。
A.慢性支气管炎
B.慢性支气管炎、肺气肿
C.慢性支气管炎、肺气肿、肺源性心脏病代偿期
D.慢性支气管炎、肺源性心脏病、右心衰竭
E.慢性支气管炎、支气管扩张症
231、多项选择题 以下哪些为慢性阻塞性肺疾病引起肺动脉高压的机制()
A.肺血管床减少
B.肺小动脉收缩
C.肺无效腔增大
D.肺小动脉壁增厚
E.胸膜腔为正压环境
232、单项选择题 下列不会导致支气管扩张症的疾病是()
A.肺结核
B.慢性支气管炎
C.小叶性肺炎
D.大叶性肺炎
E.肺囊性纤维化
233、名词解释 红色肝样变(red hepatization)
234、单项选择题 以下哪一项描述不符合硅肺的病变特点()
A.Ⅰ期硅肺以淋巴结内引起硅结节为特点
B.硅结节可融合成团
C.胸膜可有纤维组织增生、肥厚
D.易合并恶性胸膜间皮瘤
E.可形成胸膜胼胝
235、单项选择题 下列哪种肺部炎症易引起肺泡内透明膜形成()。
A.大叶性肺炎
B.小叶性肺炎
C.肺脓肿
D.病毒性肺炎
E.支原体肺炎
236、单项选择题 结核病时的变态反应是()。
A.Ⅰ型变态反应
B.Ⅳ型变态反应
C.Ⅰ型和Ⅱ型变态反应
D.Ⅲ型变态反应
E.Ⅱ型变态反应
237、填空题 引起支气管扩张症的常见肺疾病有_______、_______、________。
238、多项选择题 小叶性肺炎的病变特点包括以下几项()
A.可由多种细菌引起
B.病变多局限于一个小叶
C.病变为化脓性炎症
D.可导致支气管扩张
E.可并发阻塞性肺气肿
239、单项选择题 并发肺肉质变最主要的原因是()
A.含铁血黄素沉积
B.细菌毒力过强
C.单核细胞浸润过多
D.中性粒细胞渗出过少
E.纤维蛋白渗出过多
240、多项选择题 以下能引起肺透明膜变的疾病包括()
A.病毒性肺炎
B.小叶性肺炎
C.大叶性肺炎
D.呼吸窘迫综合征
E.支原体肺炎
241、单项选择题 支气管扩张症引起慢性肺源性心脏病的主要原因是()
A.慢性阻塞性细支气管炎
B.炎症破坏支气管壁结构
C.细支气管炎及其周围炎
D.肺组织高度纤维化
E.支气管壁腺体肥大、增生
242、单项选择题 对肺癌早期诊断最有价值的检查是()。
A.血液学检查
B.X线检查
C.纤维支气管镜活体组织检查
D.CT检查
E.临床早期症状的发现
243、单项选择题
糖尿病患者,男,56岁,反复刺激性咳嗽,咳棕黄色痰半年,纤支镜取活检,镜下如图所示,正确的诊断是()


A.肺念珠菌病
B.硅肺
C.石棉肺
D.肺放线菌病
E.肺曲菌病
244、单项选择题 下列关于肺癌的扩散转移,哪项是不对的()。
A.肺鳞状细胞癌常侵及纵隔及心包
B.小细胞癌生长迅速,转移较早
C.血道转移以脑、骨及肾上腺多见
D.周围型肺腺癌可直接侵犯胸膜
E.无肺内淋巴管转移
245、单项选择题
患者,女,50岁,咳嗽伴左侧胸痛。胸片示左肺靠近胸膜处有一圆形高密度影,边缘清楚分叶状,大小1cm×3cm×4cm。
关于上述疾病下列说法不正确的是()
A.与吸烟关系密切
B.未分化腺癌癌细胞高度异型,可呈肉瘤样形态
C.病变常累及胸膜
D.早期症状有助于诊断
E.占肺癌的80%
246、单项选择题 下列哪一项不符合肺动脉高压形成的机制()
A.缺氧引起肺小动脉痉挛
B.长期、反复痉挛导致肺小动脉玻璃样变
C.肺内无肌性细动脉肌化
D.肺纤维化及肺气肿可引起肺动脉高压
E.肌型小动脉中膜肥厚,内膜下出现纵形肌束
247、单项选择题 下列哪项不符合病毒性肺炎()。
A.常见病因是流感病毒
B.间质性肺炎
C.以中性粒细胞浸润为主
D.上皮细胞内可见病毒包涵体
E.透明膜形成
248、多项选择题 支气管扩张症引起慢性肺源性心脏病的机制()
A.炎症破坏支气管壁结构
B.支气管壁腺体肥大、增生
C.慢性阻塞性细支气管炎
D.肺组织高度纤维化
E.细支气管炎及其周围炎
249、单项选择题 成年女性患者,咳嗽,喘息10年,心悸三、四年。颈静脉怒张,双肺呼吸音粗糙,肝肋缘下2指,下肢水肿。其原因最可能是()。
A.急性肾炎
B.硅沉着症
C.急性呼吸窘迫综合征
D.肺心病致右心衰竭
E.二尖瓣狭窄致右心衰竭
250、单项选择题
患者,女,23岁,咳嗽伴发热、食欲减退、体重减轻1年,X线检查显示双侧肺门及纵隔淋巴结对称肿大,行纤支镜活检。
有关该病病变特点叙述错误的是()
A.是一种肉芽肿性疾病
B.常侵犯肺及双侧肺门淋巴结
C.也可侵犯肠,卵巢输卵管等部位
D.预后差
E.镀银染色呈阳性
251、单项选择题 下列哪种类型为不累及肺泡的肺气肿()
A.全腺泡型
B.腺泡中央型
C.腺泡周围型
D.不规则型
E.间质性肺气肿
252、单项选择题 最容易引起皮肤潮红、水泻、心动过速、支气管哮喘等症状的肺癌类型是()
A.大细胞癌
B.黏液癌
C.类癌
D.未分化腺癌
E.低分化鳞状细胞癌
253、单项选择题 肺硅沉着症的特征性病变是()
A.肺门淋巴结肿大
B.肺间质纤维化
C.硅结节形成
D.胸膜纤维化
E.肺气肿
254、填空题 慢性肺源性心脏病最常见的原因是________并发_______引起的________和_______。
255、填空题 大叶性肺炎是病变起始于_______并扩展至_________的_________炎症。
256、单项选择题
患者,男,70岁,慢性支气管炎伴阻塞性肺气肿20余年,加重一年伴心力衰竭而死亡,尸检见双肺体积增大,充气膨胀,表面见肋骨压痕。右心壁厚0.6cm,右心腔明显扩张,乳头肌及肉柱显著增粗,肺动脉圆锥膨隆,左心及各瓣膜未见明显病变。
肺组织镜检见间质中小动脉壁增厚纤维化(如图),综合所见,正确的诊断是()
A.冠心病
B.风湿性瓣膜病
C.扩张性心肌病
D.慢性肺源性心脏病
E.小叶性肺炎
257、单项选择题 大叶性肺炎患者灰色肝样变期与红色肝样变期的临床表现不同在于()
A.胸痛消失
B.咳铁锈色痰
C.缺氧状况有所好转
D.重新出现啰音
E.开始出现肺实变体征
258、单项选择题 以下哪一项不是矽肺的病变特点()。
A.游离二氧化硅是矽肺的致病因子
B.以1~2μm的矽尘微粒引起的病变最重
C.早期以肺门淋巴结病变为主
D.吸入肺泡内的矽尘直接引起矽结节形成
E.只有当肺内淋巴道阻塞后才发生矽肺病变
259、单项选择题 慢性支气管炎合并肺气肿的病理基础是()。
A.细支气管炎及其肺泡炎
B.支气管炎细胞浸润
C.支气管上皮细胞坏死
D.支气管上皮细胞纤毛脱落
E.支气管粘膜上皮鳞化
260、填空题 支气管扩张症常见的并发症有_______、_______、_______等。
261、单项选择题 Ⅱ型呼吸衰竭引起的酸碱平衡紊乱是()。
A.呼吸性酸中毒
B.代谢性酸中毒
C.呼吸性碱中毒
D.代谢性碱中毒
E.呼吸性酸中毒合并代谢性碱中毒
262、单项选择题 大叶性肺炎最常见于()。
A.久病卧床患者
B.年老体弱者
C.学龄前儿童
D.恶性肿瘤晚期患者
E.青壮年
263、单项选择题 下列哪项不是大叶性肺炎的并发症()。
A.肺脓肿
B.肺褐色硬化
C.感染性休克
D.肺肉质变
E.败血症
264、单项选择题
患者,男,27岁,近日来声嘶伴吞咽疼痛,喉镜见声门上区有一灰白色囊状物,约1cm×0.6cm×0.5cm大小,活检镜下如图所示,正确的诊断是()

A.甲状舌骨囊肿
B.声带息肉
C.会厌囊肿
D.喉纤维瘤
E.喉神经纤维瘤
265、单项选择题 男性,55岁,30年吸烟史,刺激性干咳6个月。查体X线片示右肺门处不规则分叶状巨大阴影,边界不清。最有可能的诊断是()
A.肺鳞状细胞癌
B.大叶性肺炎
C.小叶性肺炎
D.原发性肺结核
E.慢性纤维空洞型肺结核
266、填空题 病理诊断慢性肺源性心脏病的形态标准是肺动脉瓣下________处右心室肌壁超过_________。
267、名词解释 间质性肺气肿(interstitial emphysema)
268、单项选择题 咳铁锈色痰常见于大叶性肺炎病程的()
A.充血水肿期
B.红色肝样变期
C.灰色肝样变期
D.溶解消散期
E.合并肺肉质变期
269、单项选择题 新生儿呼吸窘迫综合征的主要病变特征是()
A.肺透明膜形成
B.肺淤血水肿
C.羊水吸入
D.肺不张
E.毛细血管内微血栓形成
270、多项选择题 大叶性肺炎的特点是()。
A.病变特征为纤维素性炎症
B.病变累及一个肺段至整个大叶
C.咯铁锈色痰为一个临床特征
D.90%以上由肺炎链球菌引起
E.多见于男性青壮年
271、单项选择题 关于肺外器官结核病的描述哪项正确()。
A.肠结核以横结肠为其好发部位
B.肠结核性溃疡呈带状,其长径与肠轴平行
C.结核性脑膜炎侵犯蛛网膜
D.肾结核均为双侧性
E.肾结核病变开始于肾盂
272、单项选择题 硅肺最早的病变出现在()
A.两肺上叶
B.肺门淋巴结
C.两肺下叶
D.胸膜面
E.右肺中叶
273、单项选择题 肺肉质变主要可发生于下列哪种疾病的并发症()
A.大叶性肺炎
B.小叶性肺炎
C.病毒性肺炎
D.支原体性肺炎
E.干酪样肺炎
274、单项选择题 下列病变除了哪项外均是肺源性心脏病的病变()。
A.肺小气道慢性炎
B.肺小动脉、无肌性细动脉肌化
C.左心室肥厚、心腔扩张
D.右心室肥厚、心腔扩张
E.心肌纤维肥大
275、单项选择题 下列哪项不是肺硅沉着症引起肺源性心脏病的原因()
A.硅结节形成
B.硅肺性空洞形成
C.呼吸障碍造成缺氧
D.肺血管破坏、减少
E.肺间质弥漫性纤维化
276、单项选择题 大叶性肺炎不会出现的并发症是()
A.肺褐色硬化
B.脓胸
C.败血症
D.肺脓肿
E.肺肉质变
277、单项选择题 患者,男,62岁,干咳,痰中带少许血丝1年多。患者自幼吸烟,每天2~3盒。体格检查:左胸廓饱满,左胸腔穿刺抽出血性胸腔积液57.3ml。X线示左下肺周边有一3cm×5cm大小、边界毛糙的致密阴影。其诊断最可能的是()。
A.肺结核
B.肺脓肿
C.支气管扩张症
D.周围型肺癌
E.肺动脉栓塞症
278、单项选择题
患者,男,20岁,每年春季都会出现反复发作性咳嗽、呼吸困难且伴有哮鸣音等症状。
纤支镜活检如图所示,该患者最可能的诊断是()
A.慢性支气管炎
B.支气管扩张
C.肺癌
D.肺结核
E.支气管哮喘
279、单项选择题 成人呼吸窘迫综合征发病机制中最关键的因素是()
A.血氧含量下降
B.微血管内血栓形成
C.呼吸膜损伤
D.肺泡活性物质合成和分泌减少
E.小动脉壁纤维蛋白样坏死
280、单项选择题 引起肺气肿的最重要原因是()
A.吸烟
B.空气污染
C.小气道感染
D.肺尘埃沉着症
E.慢性阻塞性细支气管炎
281、单项选择题 鼻咽癌的好发部位是位于鼻咽的()
A.顶部
B.前壁
C.外侧壁
D.咽隐窝
E.顶部和侧壁
282、单项选择题
患者,6个月,持续高热,咳嗽,呼吸困难至呼吸衰竭而死亡。尸检见肺组织散在多个小实变区,小支气管上皮坏死脱落,小支气管周围肺泡腔内有炎性渗出物。
大体及镜检如图所示,病理诊断为()

A.大叶性肺炎
B.小叶性肺炎
C.支原体肺炎
D.间质性肺炎
E.病毒性肺炎
283、名词解释 燕麦细胞癌(ort cell carcinoma)
284、名词解释 副肿瘤综合征(paraneoplasic syndrome)
285、填空题 大叶性肺炎红色肝样变期,肺泡内有大量______、______和少量______、_______。
286、问答题 简述中晚期肺癌的肉眼类型、组织学类型及其他们之间的关系。
287、判断题 肺肉质是小叶性肺炎的常见并发症。
288、单项选择题 慢性阻塞性肺疾病发生呼吸衰竭的中心环节是()。
A.肺顺应性下降
B.支气管黏膜水肿
C.有效肺泡通气量减少
D.小气道阻塞
E.肺组织弹性下降
289、单项选择题 痰涂片阳性检出率最高的肺癌是()
A.大细胞癌
B.小细胞癌
C.腺癌
D.鳞状细胞癌
E.细支气管肺泡癌
290、单项选择题 血气分析判断呼吸衰竭的标准是()。
A.PaO2<50mmHg,PaCO2>50mmHg
B.PaO2<60mmHg,PaCO2>50mmHg
C.PaO2<80mmHg,PaCO2>60mmHg
D.PaO2<60mmHg,PaCO2>60mmHg
E.PaO2<50mmHg,PaCO2>70mmHg
291、单项选择题
患者,6个月,持续高热,咳嗽,呼吸困难至呼吸衰竭而死亡。尸检见肺组织散在多个小实变区,小支气管上皮坏死脱落,小支气管周围肺泡腔内有炎性渗出物。
下列病菌均可引起上述疾病,但除外()
A.肺炎球菌
B.葡萄球菌
C.嗜血流感杆菌
D.大肠杆菌
E.结核杆菌
292、单项选择题 间质性肺炎的特点不包括()
A.好发于儿童和青年
B.主要由肺炎支原体和病毒引起
C.一般无肺实变体征
D.预后大多较差
E.肺间质淋巴细胞和单核细胞浸润
293、单项选择题 下述哪项不是继发性肺结核病的病变特点()。
A.病变多从肺尖部开始
B.患者对结核杆菌有一定免疫力
C.肺内形成新旧不等的病变
D.全身性粟粒性结核病极少见
E.肺内病变主要通过淋巴管蔓延
294、单项选择题
老年男性,曾是一名石棉矿矿工,尸检见胸膜腔内有一肿块,约5cm×4cm×3cm大小,如图所示,应首先考虑的诊断为()

A.胸膜斑
B.胸腺转移瘤
C.毛细血管内皮瘤
D.恶性胸膜间皮瘤
E.恶性淋巴瘤
295、判断题 声带是喉癌的好发部位,鳞状细胞癌则是其常见的组织学类型。
296、单项选择题 关于慢性肺源性心脏病,下列哪一项是错误的()
A.凡是能够导致肺循环阻力增加的疾病都可引慢性起肺心病
B.慢性支气管炎是最常见的原发疾病
C.间质性肺炎引起肺间质纤维化可并发慢性肺心病
D.慢性肺心病发生的关键环节是肺动脉高压
E.右心肥大、扩张是其病变特点
297、单项选择题
女尸,65岁,因进行性呼吸衰竭死亡。
该疾病通常可分为哪些类型()

A.局灶性和弥漫性
B.中央型和周围型
C.肺泡性和间质性
D.急性和慢性
E.以上都不是
298、判断题 慢性肺心病是因慢性肺疾病,肺血管及胸廓病变而引起的以左心室扩大的心脏病。
299、填空题 鼻咽癌的组织类型有_________、__________、__________。
300、单项选择题 患者,男,60岁,多年吸烟史,刺激性干咳半年。查体:X线片示右肺门处不规则分叶状巨大阴影,边界不清。最可能的诊断为()。
A.大叶性肺炎
B.小叶性肺炎
C.原发性肺结核
D.慢性纤维空洞型肺结核
E.肺鳞状细胞癌