时间:2022-09-19 01:52:06


1、单项选择题
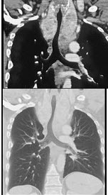
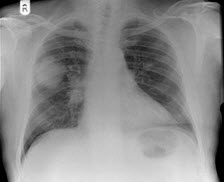
男,68岁,右侧胸痛伴右上臂麻木1周,胸部CT、MRI扫描如图,最可能的诊断为()
A.右上肺硬化性血管瘤
B.右上肺肉瘤并纵隔淋巴转移
C.右上肺不张
D.右上肺中央型肺癌并右上肺不张,纵隔淋巴转移
E.右上肺周围型肺癌并纵隔淋巴转移
2、单项选择题
男,48岁。咳嗽、咯血伴右侧胸疼3周,临床和影像学诊断右下叶中央型肺癌。
经检查确诊为小细胞肺癌,首先选择的治疗应是()
A.手术
B.化学治疗
C.放射治疗
D.手术+术后化学治疗
E.生物学治疗
3、单项选择题 男性,60岁,咳嗽、咯血丝痰3周,发热、咯脓痰2天,WBC14×10/L,中性粒细胞比例80%,X线胸片示右肺门阴影伴偏心空洞,下列哪一项检查暂不考虑()
A.支气管镜检查
B.痰脱落细胞检查
C.胸部CT
D.痰细菌培养
E.胸部B超
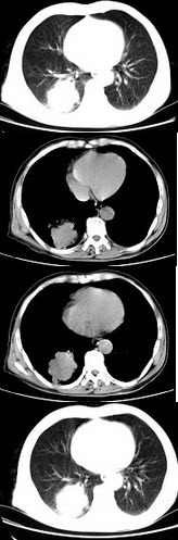
4、单项选择题
男,68岁,胸闷,咳痰,咯血2月余,胸部CT如图,最可能的诊断为()
A.右上肺不张
B.右肺中央型肺癌
C.右上肺炎
D.右上肺肉瘤
E.肺炎性假瘤
5、单项选择题
56岁男性,咳嗽发热半月,支气管镜如图,可能的诊断是()
A.气管骨化症
B.肺癌
C.肺结核
D.肺脓肿
E.结节病
6、单项选择题
男,37岁,咳嗽,咯血2月余,偶尔咳出钙化物,请结合影像学检查,选出最可能的诊断()
A.畸胎瘤
B.肺癌
C.胸腺瘤
D.淋巴管瘤
E.淋巴瘤
7、单项选择题
女,52岁,曾患有鼻窦炎,最近发现咳嗽发热,影像学检查如图,最可能的诊断为()
A.多发性肺脓肿
B.浸润型肺结核并空洞形成
C.韦格肉芽肿
D.结节病
E.肺转移瘤
8、单项选择题 男性,45岁,咳嗽、咯大量黏液痰3个月,发热、咳脓痰3天,伴进行性呼吸困难,X线胸片示右肺大小不等的结节状播散病灶和网状阴影。诊断应考虑()
A.急性粟粒型肺结核
B.特发性肺间质纤维化
C.血源性肺脓肿
D.支气管扩张
E.细支气管肺泡细胞癌
9、单项选择题
女,45岁,胸部隐痛伴四肢无力3月余,请结合影像学检查图,选出最可能的诊断()
A.纵隔畸胎瘤
B.淋巴瘤
C.胸骨内甲状腺肿
D.胸腺囊肿
E.肺癌
10、问答题 支气管镜检查的临床适应证有哪些?
11、单项选择题 男性,71岁。吸烟史40年,3个月来出现咳嗽,以高亢的干咳为特点,伴有呼吸困难,最可能的诊断()
A.气管炎
B.肺脓肿
C.肺癌
D.哮喘
E.肺炎
12、单项选择题
女性,51岁,胸痛数月,痰血2天,X线检查见图,最可能的诊断是()
A.左肺癌
B.左侧炎性假瘤
C.左侧纵隔肿瘤
D.左肺转移瘤
E.支气管扩张
13、单项选择题
男,57岁,体检时发现肺部占位,CT检查如图,请选出最可能的诊断()
A.肺错构瘤
B.周围型肺癌
C.肺结核
D.肺转移瘤
E.肺曲菌病
14、单项选择题 男性,63岁,有咳嗽、痰中带血1个月,伴消瘦、乏力、全身骨痛,X线胸片示右上肺阴影,核素骨扫描示全身骨骼多发性核素浓聚病灶,主要的治疗措施为()
A.手术
B.手术+放疗
C.姑息治疗
D.根治性放疗
E.手术+化疗
15、问答题 肺癌的治疗原则是什么?
16、单项选择题
女,64岁,胸背疼痛1周,CT检查如图,最可能的诊断为()
A.左上肺结核球
B.左上肺周围型肺癌
C.左上肺炎性假瘤
D.左上肺单发性转移癌
E.左上肺错构瘤
17、单项选择题
男性,43岁,胸闷、胸痛10余天,不咳嗽不发热,X线检查如图,最合理的诊断是()
A.原发性肺癌
B.肺转移瘤
C.炎性假瘤
D.结核瘤
E.支气管扩张
18、单项选择题
男性,9岁,常年咳嗽,无其他自觉症状,X线检查如图所示,最可能的诊断是()
A.结核瘤
B.原发性肺癌
C.炎性假瘤
D.纵隔肿瘤
E.支气管扩张
19、单项选择题 男性,38岁。咳嗽、咯血2周。X线检查发现左下叶后基底段肺不张。支气管镜检查和活检证实为小细胞未分化癌。CT示肺门淋巴结不肿大。下列治疗措施哪项是不适当的()
A.手术切除或手术后加用化学治疗
B.化学治疗
C.化学治疗基础上联合放射治疗
D.化学治疗基础上选择性手术
E.配合免疫或中医中药治疗
20、单项选择题
男,57岁,胸部隐痛2月余,请结合影像学检查,选出最可能的诊断()
A.纵隔畸胎瘤
B.淋巴瘤
C.支气管囊肿
D.胸内甲状腺肿
E.胸腺瘤
21、单项选择题
男性,63岁,痰中带血2天,不发热,X线检查如图,最可能的诊断是()
A.左肺上沟瘤
B.左上肺癌
C.左肺炎性假瘤
D.左肺结核瘤
E.左肺炎症
22、多项选择题 入肺病学的常用技术包括()
A.经支气管针吸活检术
B.经皮针吸和肺活检术
C.经支气管镜介导的微波及激光治疗等
D.气管、支气管内支架
E.内科胸腔镜
23、填空题 原发性支气管肺癌按组织病理学分类可分为__________和__________两类。
24、单项选择题 女性,55岁,无吸烟史,刺激性咳嗽伴左眼睑下垂、额部汗少1月,发热、咳黏痰1周,X线胸片示左上肺阴影,抗生素治疗无效。最可能的诊断为()
A.肺结核
B.肺脓肿
C.肺部真菌感染
D.支气管扩张
E.Pancoast癌
25、问答题 小细胞未分化癌特点是什么?
26、问答题 肺癌的治疗效果与肺癌的早期诊断密切相关,如何加强肺癌的早期诊断?
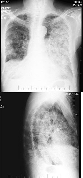
27、单项选择题
女,71岁,咳嗽,咳痰,胸部隐痛2月余,请结合影像学检查,选出最可能的诊断()
A.肺癌
B.肺结核
C.肺错构瘤
D.结节病
E.肺转移瘤
28、单项选择题 男性,65岁。咳嗽、咳痰、痰中带血丝4月,吸烟史50年。体检:左上肺呼吸音低,胸部CT示左肺门团块影,考虑肺癌。为明确诊断,首选的检查是()
A.痰脱落细胞检查
B.经皮肺穿刺活检
C.纤维支气管镜检查
D.磁共振显像
E.血常规
29、单项选择题 男性,65岁。咳嗽、咯血丝痰、气促2周,吸烟40年,每30支,X线胸片示右肺门阴影合并右肺上叶不张,为与肺炎鉴别,应选择下列哪一项检查()
A.胸部CT
B.支气管镜检查
C.痰细菌培养
D.血CEA检查
E.经胸壁细针穿刺活检
30、填空题 非小细胞肺癌的治疗早期以__________为主,小细胞肺癌的治疗以__________主.
31、问答题 肺癌的发病与什么因素有关?
32、问答题 按细胞分化程度和形态特征,肺癌分哪几型?
33、单项选择题
男,67岁,无明显症状,胸片检查发现病变,进一步行CT检查如图,其最可能的诊断为()
A.右下肺炎性假瘤
B.右下肺周围型肺癌
C.右下肺错构瘤
D.后纵隔神经源性肿瘤
E.右侧胸膜间壁瘤
34、问答题 简述周围型肺癌的X线特点。
35、单项选择题 男性,69岁,胸闷气急2周。检查发现右侧大量胸腔积液,胸腔积液为血性。有助于诊断的影像学检查应首选()
A.体层摄影
B.CT扫描
C.抽胸腔积液后常规胸片
D.高千伏胸部摄片
E.磁共振成像
36、问答题 按解剖学部位,肺癌如何分类?临床分期依据哪些因素?
37、单项选择题
男,42岁,肝区痛1月余,最近2周咯血丝痰,胸部CT如图,最可能的诊断为()
A.葡萄球菌肺炎
B.过敏性肺炎
C.结节病
D.肺转移瘤
E.韦格肉芽肿
38、单项选择题 位于肺尖部的肺癌压迫颈部交感神经引起的临床表现称为()
A.上腔静脉阻塞综合征
B.布-加综合征
C.副癌综合征
D.Horner综合征
E.类癌综合征
39、单项选择题
患者胸痛胸闷,CT如图,最可能的诊断为()
A.良性胸腺瘤
B.恶性畸胎瘤
C.侵袭性胸腺瘤
D.表皮样囊肿
E.淋巴瘤
40、单项选择题
60岁,男,有长期抽烟史,左声带麻痹、声音嘶哑2个月,请结合胸片和CT图,选出最可能的诊断()
A.肺癌
B.肺结核
C.尘肺
D.肺炎
E.肺结节病
41、单项选择题
男,35岁,发热,贫血,血尿,既往有副鼻窦炎,结合X线图像,最可能的诊断是()
A.肺脓肿
B.周围型肺癌
C.肺转移瘤
D.肺结核
E.韦格肉芽肿
42、单项选择题 女性,68岁,左胸钝痛、胸闷、气促2周,无发热;查体:气管右移,左侧胸廓饱满,肋间隙增宽,左肺叩诊实音,左侧呼吸音消失。X线胸片示左侧大量胸腔积液,胸穿抽液检查提示血性胸液。WBC8×10/L,中性粒细胞比例60%,最可能的诊断为()
A.结核性胸膜炎
B.类肺炎性胸腔积液
C.癌性胸腔积液
D.充血性心力衰竭合并胸腔积液
E.脓胸
43、单项选择题
男,33岁,背部不适,无发热,结合CT图像,选择最可能的诊断是()
A.椎旁脓肿
B.神经源性肿瘤
C.脑脊膜膨出
D.食管囊肿
E.淋巴瘤
44、单项选择题
男,48岁。咳嗽、咯血伴右侧胸疼3周,临床和影像学诊断右下叶中央型肺癌。
本例患者需进一步确定和评价的项目中最重要的应是()
A.组织学类型和分期
B.免疫状态
C.血细胞计数
D.肝肾功能
E.生命质量
45、单项选择题
男,45岁,咳嗽,咯血2月余,有20余年吸烟史,请结合影像学检查,选出最可能的诊断()
A.肺结核
B.小细胞肺癌
C.肺脓肿
D.肺囊肿
E.肺错构瘤
46、单项选择题
67岁,女,咳嗽1周,有甲状腺癌史,请结合胸片,选出最可能的诊断()
A.甲状腺癌肺转移
B.粟粒性肺结核
C.尘肺
D.结节病
E.肺炎
47、单项选择题
21岁,女,颈部淋巴结肿大,无压痛,请结合CT检查,选出最可能的诊断()
A.淋巴瘤
B.淋巴结核
C.结节病
D.转移性淋巴结肿大
E.间皮囊肿
48、单项选择题 肺癌空洞的X线表现是()
A.薄壁空洞,内壁光滑
B.薄壁空洞,内壁凹凸不平
C.厚壁空洞,内有液平
D.厚壁空洞,内壁凹凸不平
E.以上都不是
49、单项选择题
男性,62岁,咳嗽发热2天,痰中带血,胸片检查如图,最合理的诊断是()
A.左下肺炎症
B.左肺癌伴阻塞性肺炎
C.细支气管肺泡癌
D.左侧胸膜炎
E.胸腔积液
50、配伍题 男,60岁,刺激性咳嗽,晨起痰中带血,胸片无异常,有高血压、冠心病史,可行()女,21岁,干咳,低热,咯血,可行()
A.胸部CT
B.支气管镜检查
C.血气分析
D.肺功能
E.胸部X线检查
51、单项选择题 伴癌综合征不包括()
A.高镁血症
B.Cushing综合征
C.利尿激素分泌不当综合征
D.神经肌肉综合征
E.肥大性肺性骨关节病
52、单项选择题
68岁男性,咳嗽流涕1周入院,临床诊断为肺中叶综合征。支气管镜见多发结节状突起,从气管前壁伸入至右肺下叶支气管如图,影像检查如图。可能的诊断是()
A.肺结核
B.支气管肺癌
C.原发性气管支气管淀粉样变
D.肺炎
E.支气管内膜结核
53、单项选择题 关于肺癌的放射治疗,哪一种病理类型的放射剂量最大()
A.腺癌
B.鳞状细胞癌
C.小细胞癌
D.大细胞癌
E.类癌
54、单项选择题 关于肺癌的病因和发病机制,下列哪一种说法不正确()
A.结核是肺癌的发病因素之一
B.非小细胞肺癌中常见ras族基因的过度表达
C.石棉有致癌作用
D.吸纸烟者比吸雪茄、烟斗者肺癌患病率低
E.被动吸烟易引起肺癌
55、单项选择题 关于肺癌的病理和分类,下列哪一种说法不正确()
A.发生在段支气管至主支气管的癌肿称为中央型肺癌
B.发生在段支气管以下的癌肿称为周围型肺癌
C.中央型肺癌以鳞状细胞癌和大细胞癌多见
D.燕麦细胞癌可能起源于Ku1chitsky细胞
E.周围型肺癌以腺癌较为多见
56、多项选择题 下列属于支气管肺泡灌洗的适应证的是()
A.不明原因的肺部肿块
B.肺部弥漫性病变
C.需要冲洗呼吸道内滞留物质
D.研究支气管-肺的发病机制
E.持续性肺不张
57、单项选择题
女,55岁,胸痛伴咯血丝痰1周,胸部CT如图,最可能的诊断为()
A.转移性肺癌
B.左侧周围型肺癌并肺内转移
C.左侧中央型肺癌并肺内转移
D.多发性肺脓肿
E.结节病
58、单项选择题
女性,63岁,感胸痛、呼吸困难2个月,咳嗽、发热2天,曾有肺癌手术史,X线检查如图,最可能的诊断是()
A.细支气管肺泡癌
B.肺转移瘤
C.肺水肿
D.两肺炎症
E.支气管扩张
59、单项选择题
男,76岁,气喘数年,胸痛1个月余,结合影像图像,选择最可能的诊断()
A.右上肺结核球
B.肺间质纤维化
C.右上肺瘢痕癌
D.右上肺错构瘤
E.右上肺肉瘤
60、单项选择题
56岁男性,咯血3月余,支气管镜见左肺B3b+c处结节状突起肿瘤阻塞,纵向皱襞呈增厚压缩状,延伸至肿瘤如图,可能的诊断是()
A.肺结核
B.肉芽肿
C.肺癌
D.错构瘤
E.支气管脂肪瘤
61、单项选择题
女性,31岁,既往体健,胸片如图,最可能的诊断是()
A.左肺炎性假瘤
B.左肺结核瘤
C.纵隔肿瘤
D.左肺癌
E.左肺炎症
62、单项选择题
14岁,男,胸闷咳嗽1个月,曾咳出过毛发,CT检查如图,请选择最可能的诊断()
A.纵隔血肿
B.胸内甲状腺肿
C.胸腺囊肿
D.畸胎瘤
E.食管囊肿
63、单项选择题
男性,61岁,痰中带血就诊,X线检查如图,最可能的诊断是()
A.结节病
B.右肺癌
C.右肺淋巴结肿大
D.肺转移瘤
E.支气管扩张
64、单项选择题
女,48岁,胸痛1周,结合影像图像选择最可能的诊断为()
A.肺转移瘤
B.韦格肉芽肿
C.肺类风湿病
D.多发性肺脓肿
E.肺癌
65、单项选择题
男,68岁,咳嗽,胸痛,呼吸困难伴四肢无力半月余,请结合影像学检查,选出最可能的诊断()
A.肺癌
B.肺结核
C.淋巴瘤
D.纵隔畸胎瘤
E.恶性胸腺瘤
66、多项选择题 中央型肺癌的X线表现是()
A.肺叶或肺段不张征像
B.可见“S”征
C.肺门不规则肿块
D.转移至胸膜,可引起胸腔积液
E.段或叶的局限性肺气肿
67、单项选择题
51岁,女,胸闷、咳嗽、咳痰,3年前被确诊为子宫平滑肌肉瘤,请结合胸片,选出最可能的诊断()
A.粟粒性肺结核
B.肺转移瘤
C.结节病
D.胶原病
E.真菌病
68、单项选择题 男性,64岁,有慢性支气管炎史4年,有吸烟史。咳嗽加重2个月,已确诊为左肺上叶中分化鳞状细胞癌,伴左侧纵隔淋巴结肿大。主要的治疗措施为()
A.手术治疗
B.放疗+化疗
C.中医中药治疗
D.辅助化疗+手术治疗+放疗
E.以化疗为主,辅以手术和(或)放疗
69、判断题 小细胞肺癌的治疗原则为:以放疗为主,辅以手术和(或)化疗。
70、问答题 肺癌由原发肿瘤及肿瘤局部扩展引起的症状和体征分别有哪些?
71、多项选择题 支气管腺癌的特点是()
A.多见于女性
B.与吸烟关系不明显
C.多为周围型肺癌
D.易发生转移
E.首选手术治疗
72、多项选择题 小细胞肺癌的肺外表现有()
A.血小板减少性紫癜
B.皮肌炎
C.神经肌肉综合征
D.高钙血症
E.水样腹泻
73、填空题 癌性空洞的X线征像有__________、__________、__________和__________.
74、多项选择题 支气管鳞状上皮细胞癌的特点是()
A.生长较快转移较早
B.与吸烟关系密切
C.大多数发生在叶段支气管
D.多见于老年男性
E.早期首选手术切除
75、单项选择题
男,41岁,体检X线提示纵隔增宽,CT检查如图,请选出最可能的诊断()
A.淋巴瘤
B.纵隔畸胎瘤
C.胸腺瘤
D.间皮囊肿
E.胸内甲状腺肿
76、单项选择题
男,28岁,胸闷、右肺呼吸音减弱,请结合影像图像,选择最可能的诊断()
A.畸胎瘤
B.胸腺瘤
C.肺癌
D.先天性囊性腺瘤样畸形
E.支气管囊肿
77、单项选择题
女,34岁,气喘伴呼吸困难1个月并加重,CT如图,最可能的诊断为()
A.多发性肺囊肿
B.肺淋巴管肌瘤病
C.小叶性肺气肿
D.金葡菌感染并肺气囊形成
E.支气管扩张
78、判断题 非小细胞癌的治疗原则为:Ⅰ~Ⅲa期采用以手术为主的综合治疗,Ⅲb期放疗为主的综合治疗,Ⅳ期化疗为主。
79、单项选择题
男,13岁,胸痛胸闷2个月,胸部检查如图,最可能的诊断为()
A.心力衰竭并右侧胸腔积液
B.纵隔占位
C.先天性心脏病,房缺
D.先天性心脏病,动脉导管未闭
E.右侧胸腔大量积液
80、单项选择题
65岁男性,咳嗽、胸痛半年,支气管镜如图,可能的诊断是()
A.肺结核
B.肉芽肿
C.支气管内膜结核
D.错构瘤
E.气管癌
81、单项选择题
女,24岁,HCG阳性,咯血2天,行胸部CT扫描如图,其最可能的诊断为()
A.转移性绒癌
B.肺部感染
C.肺结核
D.肺血管瘤
E.肺淋巴管肌瘤
82、单项选择题
男性,36岁,半年前因痰中带血就诊,发现有肺癌,近几天感胸痛、咳嗽,X线检查如图,最可能的诊断是()
A.血行播散型肺结核
B.细支气管肺泡癌
C.肺转移瘤
D.正常胸片
E.肺炎
83、单项选择题 中心性肺癌与肺门淋巴结结核鉴别,最好的手段是()
A.支气管镜检查
B.有无浅表淋巴结肿大
C.结核菌素试验
D.X线胸片
E.支气管造影
84、填空题 被称作东方威尼斯的是()
85、单项选择题
女性,13岁,发热、乏力数天,X线检查见图,最可能的诊断是()
A.胸腺瘤
B.淋巴瘤
C.畸胎瘤
D.间皮囊肿
E.肺癌
86、单项选择题
男性,70岁,因胸痛就诊,不咳嗽、发热,X线检查如图,最可能的诊断是()
A.左肺结核瘤
B.左侧叶间积液
C.左肺癌
D.左肺炎性假瘤
E.支气管扩张
87、单项选择题
女性,52岁,感胸痛2个月,发热,X线检查如图,最可能的诊断是()
A.细支气管肺泡癌
B.两肺炎症
C.亚急性血行播散型肺结核
D.肺转移瘤
E.炎性假瘤
88、单项选择题
男,74岁,咳嗽,咳痰1月余,咯血丝痰1周伴胸痛,胸片如图所示,最可能的诊断为()
A.右上肺浸润型肺结核
B.右上肺不张
C.右侧中央型肺癌并右上肺不张
D.右侧包裹性积液
E.右肺上沟瘤
89、单项选择题
女性,68岁,进行性乏力,间断痰中带血10个月。近3个月来晨起干咳,咳少量暗红色痰,胸片示左肺门阴影。既往吸烟史30年。
进一步的检查应首选()
A.血沉
B.胸部超声波
C.胸部CT
D.支气管镜
E.分层摄片
90、单项选择题 确诊肺癌的检查不包括以下哪一项()
A.痰脱落细胞检查
B.支气管镜检查
C.胸腔镜检查
D.开胸肺活检
E.胸部CT
91、单项选择题
男性,62岁,咳嗽、胸痛1月,X线检查如图,最佳的诊断是()
A.右下肺炎症
B.右下肺不张
C.右肺癌
D.右肺转移瘤
E.右胸腔积液
92、单项选择题 哪种类型肺癌对化疗敏感()
A.鳞癌
B.腺癌
C.小细胞癌
D.大细胞癌
E.鳞腺混合癌
93、名词解释 原发性支气管肺癌
94、单项选择题
女性,68岁,进行性乏力,间断痰中带血10个月。近3个月来晨起干咳,咳少量暗红色痰,胸片示左肺门阴影。既往吸烟史30年。
该患者最可能的诊断是()
A.慢性支气管炎
B.支气管扩张
C.肺脓肿
D.肺结核
E.支气管肺癌
95、单项选择题
女,45岁,抑郁嗜睡1个月,实验室检查血钙3mml/L,CT图像如图,最可能的诊断为()
A.正常
B.用存上腔静脉干
C.胸内甲状旁腺瘤
D.胸内甲状腺瘤
E.囊性胸腺瘤
96、单项选择题
男,66岁,胸痛1月,胸部CT如图,最可能的诊断是()
A.右下肺周围型肺癌
B.右下肺动静脉瘘
C.右下肺肉瘤
D.右下肺错构瘤
E.右侧炎性假瘤
97、单项选择题
78岁男性,胸片见右下叶块影,支气管镜如图,可能的诊断是()
A.错构瘤
B.肺结核
C.肺癌
D.肉芽肿
E.支气管脂肪瘤
98、单项选择题 易引起Horner’ssyndrome肺癌为()
A.中心型肺癌
B.周围型肺癌
C.肺上沟癌
D.小细胞癌
E.细支气管肺泡癌
99、单项选择题 肺癌中最常见的类型是()
A.小细胞未分化癌
B.鳞状上皮细胞癌
C.腺癌
D.大细胞未分化癌
E.Pancoast癌
100、多项选择题 男性,40岁,有长期吸烟史。出现下列哪种情况要高度怀疑肺癌的可能()
A.双下肺湿啰音
B.单侧局限性哮鸣音,不因咳嗽而改变
C.反复同一部位的肺炎,特别是段性肺炎
D.X线示段、叶肺不张
E.原来慢性呼吸道疾病,咳嗽性质改变
101、单项选择题
47岁男性,咳嗽、胸痛、痰中带血、消瘦4个月,支气管镜、CT如图,可能的诊断是()
A.肺结核
B.肉芽肿
C.支气管脂肪瘤
D.错构瘤
E.气管癌
102、问答题 简述中心型肺癌的X线特点。
103、单项选择题
男,58岁,有高血压病史,突发胸背剧痛,CT扫描如图,其最可能的诊断为()
A.主动脉瘤
B.主动脉假性动脉瘤
C.主动脉窦瘤破裂
D.高安氏病
E.主动脉夹层动脉瘤
104、单项选择题
女性,53岁,胸闷乏力数月,偶感胸痛,不发热,X线检查如图,最可能的诊断是()
A.原发性肺癌
B.亚急性血行播散型肺结核
C.肺转移瘤
D.细支气管肺泡癌
E.胸腔积液
105、单项选择题
男,33岁,颈部包块半年余,可随吞咽上下移动,请结合影像学检查,选出最可能的诊断()
A.胸腺瘤
B.淋巴瘤
C.纵隔畸胎瘤
D.淋巴管瘤
E.胸骨后甲状腺肿
106、单项选择题
男性,56岁,因痰中带血,X线检查如图,最可能的诊断是()
A.两肺炎症
B.肺转移瘤
C.血行播散型肺结核
D.细支气管肺泡癌
E.支气管扩张
107、单项选择题
男,76岁,胸痛伴咳嗽,咯血低热1个月,CT检查如图,最可能的诊断为()
A.右下肺脓肿
B.右下肺癌伴空洞形成
C.右下肺囊肿
D.右下肺包虫病
E.右侧包裹性积液
108、单项选择题 周围性肺癌最常见的组织学类型是()
A.鳞状上皮细胞癌
B.腺癌
C.未分化癌
D.肺泡细胞癌
E.转移癌
109、单项选择题 男性,50岁,左侧胸痛1个月。有吸烟史20年。胸片示左侧胸腔积液左肺门阴影增大。胸腔积液检查:血性,比重1.020,蛋白30g/L,白细胞0.8×10/L,多核0.72,单核0.28,最可能的诊断是()
A.结核性胸膜炎
B.淋巴瘤合并胸腔积液
C.肺癌合并胸腔积液
D.病毒性肺炎合并胸腔积液
E.肺炎合并反应性胸腔积液
110、单项选择题 男性,57岁,咳嗽、咯血丝痰2周,水样腹泻、喘鸣、皮肤潮红、阵发性心悸1周,有吸烟史。下列哪一项检查对诊断意义最大()
A.痰涂片找抗酸杆菌
B.X线胸片
C.大便细菌培养
D.肺功能激发试验
E.24小时动态心电图
111、单项选择题
男性,45岁,胸痛,痰中带血就诊,胸片检查如图,最合理的诊断是()
A.右肺结核瘤
B.右肺不张
C.右肺癌
D.右肺炎性假瘤
E.右侧胸膜肥厚
112、单项选择题 女性,68岁。咳嗽、咯血1月余。X线检查拟诊右下叶中心性肺癌,痰病理细胞检查阴性。进一步检查首选()
A.经皮穿刺肺活检
B.磁共振检查
C.支气管镜检查
D.CT扫描
E.核素扫描
113、多项选择题 关于肺癌引起的呼吸困难的机制可为()
A.肺癌转移到肺门淋巴结而引起隆突受压
B.肺癌转移到胸膜而发生大量胸腔积液
C.肺癌坏死组织引起气道高反应性
D.膈麻痹
E.上腔静脉阻塞综合征
114、判断题 鳞癌生长缓慢,转移晚,手术切除的机会相对多,5年生存率较高,对放疗、化学药物治疗不如小细胞未分化癌敏感。
115、单项选择题
40岁,女,发现颈部肿块,随吞咽上下移动,触之无搏动,咳嗽、气喘1周,请结合CT,检查选择最可能的诊断()
A.胸腺瘤
B.胸内甲状腺瘤
C.无名动脉瘤
D.无名动脉伸展扭曲
E.淋巴瘤
116、单项选择题 早期支气管肺癌最好的治疗方法是()
A.化疗
B.放疗
C.手术切除
D.中医治疗
E.免疫疗法
117、名词解释 Pancoast癌(肺上沟癌)
118、单项选择题
女,34岁,咳嗽,咯血半月余,请结合影像学检查,选出最可能的诊断()
A.纵隔畸胎瘤
B.淋巴瘤
C.胸腺瘤
D.神经源性肿瘤
E.肺癌
119、单项选择题
男性,66岁。4个月前起刺激性咳嗽,右上胸痛,进行性加重。近2周来疼痛沿右肩向右上臂及前臂放射,并出现右额部不出汗、右眼难以睁开。体检:右侧瞳孔缩小,眼球内凹上睑下垂。右上肺叩浊音,听诊呼吸音降低。X线示右肺尖团块影,边缘不清。
患者面部征像是由于()
A.肿块压迫三叉神经
B.肿块压迫脑神经
C.肿块压迫面神经
D.肿块压迫动眼神经
E.肿块压迫颈交感神经
120、配伍题 女性,65岁,刺激性干咳、右胸痛2周,伴喘鸣、阵发性心动过速、腹泻、皮肤潮红。本例最可能的原因为()男性,72岁,咳嗽、咯血丝痰2周,伴右侧眼睑下垂、瞳孔缩小、眼球内陷。吸烟40年,每天15支。本例最可能的原因为()男性,68岁,咳嗽、咳痰、气促1个月,伴头痛、颜面及上肢水肿、胸前部静脉曲张。本例最可能的原因为()
A.Horner综合征
B.类癌综合征
C.血管升压素分泌失调综合征
D.Cushing综合征
E.上腔静脉阻塞综合征
121、问答题 肺癌的肺外表现有哪些?
122、单项选择题
男性,69岁,咳嗽,胸痛2个月,胸片检查如图,最佳诊断为()
A.血行播散型肺结核
B.肺转移瘤
C.两肺炎症
D.细支气管肺泡癌
E.支气管扩张
123、判断题 中央型肺癌是发生在段支气管以上至主支气管的癌,约占3/4,以鳞状上皮细胞癌和腺癌较多见。
124、单项选择题
女,72岁,咳嗽,胸闷,呼吸困难1月余,1年前行结肠癌根治术,CT检查如图,请选择最可能的诊断()
A.肺癌
B.肺转移瘤
C.尘肺
D.间质性肺炎
E.粟粒型肺结核
125、单项选择题
男性,66岁。4个月前起刺激性咳嗽,右上胸痛,进行性加重。近2周来疼痛沿右肩向右上臂及前臂放射,并出现右额部不出汗、右眼难以睁开。体检:右侧瞳孔缩小,眼球内凹上睑下垂。右上肺叩浊音,听诊呼吸音降低。X线示右肺尖团块影,边缘不清。
该例诊断首先应考虑()
A.右肺尖结核
B.右上肺慢性炎症
C.右肺上沟癌(Pancoast癌)
D.右上肺结核球
E.右上肺转移性肿瘤
126、单项选择题
男,59岁,咳嗽,咳痰,痰中带血2月余,CT检查如图,请选出最可能的诊断()
A.肺结核
B.中央型肺癌
C.硅沉着病
D.肺炎
E.肺错构瘤
127、填空题 癌细胞为类圆形,胞浆少,类似淋巴细胞,胞浆内含有神经内分泌颗粒,可以分泌许多生物介质,应属于__________肺癌的可能性大。
128、单项选择题
女,18岁,自感胸闷,X光检查见纵隔占位,CT检查如图,最可能的诊断为()
A.纵隔畸胎瘤
B.上纵隔胸腺瘤
C.胸内甲状腺瘤
D.淋巴瘤
E.下纵隔胸腺瘤
129、名词解释 副癌综合征
130、单项选择题
47岁,男,腹泻、体重下降,伴有重症肌无力,请结合胸片和CT图,选择最可能的诊断()
A.胸腺增生
B.胸腺瘤
C.淋巴瘤
D.纵隔血肿
E.错构瘤
131、单项选择题
女,56岁,乳腺癌手术后,未行化疗,结合CT图像,选择最可能的诊断是()
A.肺转移癌
B.肺结核
C.间质性肺炎
D.肺结节病
E.肺曲菌病
132、多项选择题 下列哪些是可疑肺癌的表现()
A.反复发作的同一部位的肺炎
B.反复发作呼气性呼吸困难
C.原因不明的四肢关节疼痛及杵状指
D.慢性咳嗽性质改变
E.原因不明的肺脓肿
133、单项选择题
女,35岁,心前区不适,无发热及呼吸困难,请结合CT图像,提出最可能的诊断()
A.脂肪肉瘤
B.脂肪瘤
C.心包憩室
D.心包囊肿
E.心包脂肪垫
134、多项选择题 下列哪些是肺癌诊断的可疑线索()
A.男性40岁以上,有长期吸烟史
B.咳嗽治疗无效或持续痰中带血
C.反复发作的阻塞性肺炎
D.肺内类圆形阴影或肺门阴影增宽
E.双肺广泛哮鸣音
135、名词解释 肥大性肺性骨关节病
136、单项选择题
男,26岁,自觉肌无力2周,胸片检查见纵隔增宽,CT检查如,最可能的诊断为()
A.上纵隔畸胎瘤
B.胸内甲状腺瘤
C.中纵隔胸腺瘤侵犯血管
D.淋巴瘤侵犯血管
E.下纵隔畸胎瘤
137、单项选择题
女性,32岁,感胸闷、胸痛,X线检查如图,最可能的诊断是()
A.畸胎瘤
B.胸腺瘤
C.淋巴瘤
D.胸内甲状腺肿大
E.胸腔积液
138、单项选择题
女性,56岁,痰中带血,X线检查如图,最合理的诊断是()
A.右肺癌
B.右肺转移瘤
C.右肺结核瘤
D.右肺炎性假瘤
E.右胸腔积液
139、单项选择题
71岁,男,消瘦、咳嗽、胸痛,请结合胸片和CT,选出最可能的诊断()
A.脂肪肉瘤
B.心包脂肪垫
C.脂肪蓄积症
D.胸腺脂肪瘤
E.胸腺囊肿
140、问答题 肺部几种常见的空洞X线特点。
141、填空题 原发性支气管肺癌按解剖部分为__________和__________。
142、多项选择题 Horner综合征具有下列哪几项表现()
A.病侧瞳孔缩小
B.头面部水肿
C.病侧眼球内陷
D.病侧额部汗少
E.病侧上眼睑下垂
143、单项选择题 支气管镜活检证实为小细胞未分化癌,最适宜的治疗方案是()
A.放疗+化疗
B.手术+化疗
C.手术+放疗
D.单纯手术
E.单纯放疗
144、单项选择题
女,57岁,咳嗽,胸闷,胸痛2月余,5年前被确诊为子宫绒毛膜癌,请结合影像学检查,选出最可能的诊断()
A.肺癌
B.肺结核
C.肺转移瘤
D.结节病
E.硅沉着病
145、单项选择题
72岁,男,呼吸急促、气喘4个月,请结合胸片,选出最可能的诊断()
A.肺癌
B.错构瘤
C.肺结核
D.韦格肉芽肿
E.支气管腺瘤
146、单项选择题
男,64岁,咳嗽半月,咯血1天,不发热,结合影像图像,选择最可能的诊断()
A.金葡菌肺炎
B.肺转移性瘤
C.肺结核
D.结节病
E.组织胞浆菌病
147、单项选择题
女,52岁,左侧背痛1月,胸部CT如图,最可能的诊断为()
A.左肺中央型肺癌
B.左肺周围型肺癌
C.左肺感染
D.左肺炎性假瘤
E.肺隔离征
148、单项选择题 男性,73岁,有吸烟史,5年前发现右上肺结核,予规范化、足疗程的抗结核治疗后复查X线胸片示右肺中叶纤维增殖灶。2周前开始出现咳嗽、痰中带血,伴右胸部钝痛,无发热,X线胸片示右肺中叶阴影,呈分叶状,有切迹和毛刺。最可能的诊断为()
A.肺结核
B.支气管扩张
C.肺癌
D.细菌性肺炎
E.肺脓肿
149、问答题 男性,57岁,体检发现双肺弥漫性粟粒样病灶1天,无畏寒、发热,无潮热、盗汗,无胸痛、咳嗽、咯血,无明显呼吸困难。既往无结核病史及其他慢性疾病史,无长期粉尘接触史,无吸烟史。查体:生命体征正常,右侧锁骨上扪及一黄豆大小淋巴结,质硬、无压痛,双肺呼吸音清晰,未闻及啰音。入院后辅助检查结果:血常规WBC6.5×10/L,N72%,HB11g/L;血沉105mm/L,1小时末痰找抗酸杆菌6次阴性;痰脱落细胞5次阴性。问题:(1)该患者最可能的诊断是什么?需要和什么疾病鉴别?提出诊断和鉴别诊断依据。(2)选择进一步检查措施(要求价值大,损伤较小)。
150、单项选择题
21岁,男,1个月前触及颈部淋巴结肿大,现有上腔静脉综合征,请结合胸片和CT,选出最可能的诊断()
A.结节病
B.淋巴结核
C.转移性淋巴结肿大
D.淋巴瘤
E.胸腺瘤
151、配伍题 神经肌肉综合征多见于()杵状指(趾)或肥大性骨关节病多见于()生长较慢,转移较晚,手术切除术高的是()内分泌紊乱综合征多见于()
A.大细胞未分化癌
B.肺泡细胞癌
C.小细胞未分化癌
D.腺癌
E.鳞状上皮细胞癌
152、多项选择题 肺癌的伴癌综合征可表现为()
A.重症肌无力
B.高钠血症
C.小脑皮质变性
D.高钙血症
E.肥大性骨关节病
153、单项选择题
女,33岁,咳嗽,乏力,低热,皮肤有结节,结合CT图像,最可能的诊断是()
A.肺结核
B.霍奇金病
C.非霍奇金病
D.结节病
E.肺癌
154、单项选择题
女性,68岁,进行性乏力,间断痰中带血10个月。近3个月来晨起干咳,咳少量暗红色痰,胸片示左肺门阴影。既往吸烟史30年。
患者既往检查曾发现高血钙症,低钠血症,并间断出现腹泻,最可能的解释是()
A.伴癌综合征
B.异位内分泌综合征
C.肌无力综合征
D.上腔静脉压迫综合征
E.胰岛细胞瘤
155、单项选择题
女性,47岁,偶感胸闷,体检胸片如图,最可能的诊断是()
A.右肺肿瘤
B.胸腺瘤
C.畸胎瘤
D.淋巴瘤
E.支气管扩张
156、单项选择题 关于评估肺癌患者能否耐受手术治疗,肺功能的条件为()
A.用力肺活量超过1.51,且第1秒用力呼气容积占用力肺活量的40%以上
B.用力肺活量超过1.51,且第1秒用力呼气容积占用力肺活量的50%以上
C.用力肺活量超过1.51,且第1秒用力呼气容积占用力肺活量的60%以上
D.用力肺活量超过21,且第1秒用力呼气容积占用力肺活量的60%以上
E.用力肺活量超过21,且第1秒用力呼气容积占用力肺活量的50%以上
157、多项选择题 周围型肺癌的特点是()
A.多见于女性
B.与吸烟关系不明
C.以腺癌最常见
D.易转移至肝、脑、胸膜
E.化疗效果最好
158、单项选择题
男,33岁,车祸后10余天,请结合影像学检查,选出最可能的诊断()
A.纵隔畸胎瘤
B.胸内甲状腺肿
C.胸腺瘤
D.淋巴瘤
E.纵隔血肿
159、填空题 中央型肺癌典型的X线征像是__________,中央型肺癌间接X线征像有__________、__________和__________。
160、判断题 小细胞未分化癌是肺癌中恶性程度最高的一种,占原发性肺癌的10%~15%。
161、单项选择题
33岁,男,咳嗽1周,有骨肉瘤病史,请结合胸片和CT图,选出最可能的诊断()
A.肺梗死
B.粟粒性肺结核
C.骨肉瘤转移
D.结节病
E.错构瘤
162、配伍题 男,52岁。刺激性咳嗽8个月,近2个月痰中带血。胸片示右肺下叶背段块影,肺门和纵隔淋巴结不大。支气管镜检右下叶背段开口处新生物,呈菜花样()女,43岁。干咳两月,近2周左侧胸痛、气急、胸闷。胸片示左上叶前段2cm×2.5cm块影,边缘短毛刺,肺门增大,左侧胸腔积液()女,52岁。咳嗽3月,近来痰液明显增多,每日水样痰液约300ml。气急进行性加重。胸片提示双侧弥漫性微结节状阴影,部分融合()
A.肺鳞癌
B.肺小细胞未分化癌
C.肺腺癌
D.肺泡细胞癌
E.肺大细胞未分化癌
163、单项选择题 男性,54岁,刺激性咳嗽、咯血丝痰2周,伴双肘关节、膝关节疼痛,吸烟30年,每天20支;查体:双肘关节、膝关节肿胀、压痛,无畸形或活动障碍。最可能的原因为()
A.肺癌骨转移
B.类风湿关节炎
C.肥大性肺性骨关节病
D.骨肿瘤
E.多发性骨髓瘤
164、单项选择题 男性,50岁,刺激性干咳,持续痰中带血2个月。无发热及咳脓痰史。查体无发绀,但杵状指(趾)明显。最可能的诊断是()
A.支气管扩张
B.慢性肺脓肿
C.支气管肺癌
D.浸润型肺结核
E.肺炎球菌肺炎
165、判断题 腺癌包括腺泡状、乳头状、细支气管-肺泡癌和实体瘤伴黏液形成,与吸烟关系大,在中央型肺癌中以腺癌最为常见。
166、单项选择题 男性,57岁,咳嗽、痰中带血、气促、颜面及双上肢水肿1月,有吸烟史;查体:胸前部淤血、静脉曲张,双上肢水肿,双下肢无水肿。考虑为下列哪一种情况()
A.肝硬化(失代偿期)
B.Horner综合征
C.心功能不全
D.上腔静脉阻塞综合征
E.慢性肾功能不全(尿毒症期)
167、单项选择题
男,30岁,右下腹稍隆起,CT检查如图,最可能的诊断为()
A.右膈下脓肿
B.间位结肠
C.右膈下脂肪瘤
D.右下肺肺大疱
E.右下肺炎
168、单项选择题
男性,56岁,胸痛两月,最近感右臂疼痛、活动受限,胸片如图,最佳的诊断是()
A.右肺癌
B.右上肺不张
C.右肺上沟瘤
D.右侧胸膜肥厚
E.支气管扩张
169、单项选择题
56岁,男,意识错乱情绪不稳定1周,请结合胸片和CT图,选出最可能的诊断()
A.肺癌
B.错构瘤
C.胸内甲状腺肿
D.韦格肉芽肿
E.胸腺瘤
170、配伍题 与周围型肺癌应鉴别的是()与中央型肺癌应鉴别的是()与弥漫型肺泡细胞癌应鉴别的是()与癌性胸腔积液应鉴别的是()与癌性空洞应鉴别的是()
A.粟粒性肺结核
B.结核性空洞
C.结核球
D.结核性胸腔积液
E.淋巴瘤
171、单项选择题
54岁,男性,咳嗽咳痰,有时痰中带血丝,胸痛,近2个月明显,消廋乏力,有抽烟史30余年,胸片如图,最可能的诊断是()
A.左肺结核瘤
B.肺转移瘤
C.炎性假瘤
D.原发性肺癌
E.肺炎
172、单项选择题 男性,55岁,进行性对称性四肢近端肌无力伴咳嗽、气促,血清肌酶增高,肌电图示肌源性损害,X线胸片示右肺门阴影伴右上肺不张,伴厚壁空洞,内壁凹凸不平。最可能的诊断是()
A.间质性肺炎
B.肺癌
C.肺脓肿
D.狼疮肺炎
E.结节病
173、多项选择题 原发性支气管肺癌的致病因素有()
A.吸烟
B.大气污染
C.结核瘢痕
D.物理化学因素刺激
E.饮酒
174、配伍题 男性,72岁,干咳伴血痰3个月,右胸痛1个月,胸片示右肺门旁2cm×3cm块影,分叶状有毛刺,最有可能的诊断是()女性,52岁,咳嗽咳痰2个月,右胸痛1个月,胸片示右下肺圆形阴影2cm×2cm,右侧肋骨有骨质破坏,最可能的诊断是()女性,67岁,咳嗽5月,大量泡沫痰,痰中带血2个月,胸片示双肺多发小结节影,最有可能的诊断是()
A.肺癌(中央型)
B.周围型肺癌
C.细支气管-肺泡细胞癌
D.肺脓肿
E.肺结核球
175、单项选择题
50岁,男性,右侧胸痛、咳嗽、咯血3个月,请结合图像选择最可能的诊断()
A.纵隔肿瘤
B.肺结核
C.肺癌
D.胸膜间皮瘤
E.韦格肉芽肿
176、单项选择题
男,64岁,胸部隐痛伴眼睑下垂2月余,请结合影像学检查,选出最可能的诊断()
A.淋巴瘤
B.胸腺瘤
C.胸内甲状腺肿
D.纵隔畸胎瘤
E.间皮囊肿
177、单项选择题
男,17岁,发现颈部肿块1个月,胸片检查、CT检查如图,最可能的诊断为()
A.胸腺瘤
B.畸胎瘤
C.淋巴瘤
D.胸内甲状腺瘤
E.囊状淋巴管瘤
178、单项选择题
男,38岁,咳嗽,咳痰,关节疼痛,外周淋巴结肿大,结合CT图像,最可能的诊断是()
A.肺泡蛋白沉积症
B.肺间质病
C.结节病
D.肺结核
E.霍奇金病
179、名词解释 类癌综合征
180、名词解释 伴癌综合征
181、判断题 鳞状上皮细胞癌是肺癌最常见的类型,包括梭形细胞,约占原发性肺癌的40%~50%。
182、问答题 试述肺癌的鉴别诊断?
183、单项选择题
女,68岁,咳嗽伴胸痛胸闷1个月,CT检查如图,最可能的诊断为()
A.左上肺不张
B.左上肺周围型肺癌伴胸膜转移
C.左上肺血管瘤
D.左上肺软骨肉瘤伴胸膜转移
E.左上肺结核
184、单项选择题
女,33岁,气短伴咳嗽2周,CT检查如图,最可能的诊断为()
A.肺间质纤维化
B.肺淋巴管肌瘤病
C.慢性支气管炎并感染
D.硅沉着病
E.肺囊肿并感染
185、单项选择题
男性,72岁,感胸痛就诊,胸片检查如图,最可能的诊断是()
A.细支气管肺泡癌
B.血行播散型肺结核
C.肺转移瘤
D.结核瘤
E.胸腔积液
186、单项选择题 男性,54岁。近2个月来刺激性咳嗽、痰中带血、伴胸闷和右胸隐痛。X线胸片无异常发现。为明确诊断应首选哪项辅助检查()
A.痰细胞学检查
B.磁共振检查
C.放射性核素扫描
D.超声波检查
E.剖胸探查
187、单项选择题 男性,70岁,咳嗽2周,咯血丝痰1周,X线胸片示右肺门阴影,为明确诊断,应首选下列哪一项检查()
A.胸部CT
B.经胸壁细针穿刺活检
C.纤维支气管镜检查
D.开胸肺活检
E.胸部磁共振显像
188、单项选择题
男,67岁,呼吸困难半余余,请结合影像学检查,选出最可能的诊断()
A.胸骨后甲状腺肿
B.淋巴瘤
C.间皮囊肿
D.纵隔畸胎瘤
E.胸腺瘤
189、单项选择题
20岁,男,左胸痛伴压迫感,咳嗽1个月,请结合CT,检查选出最可能的诊断()
A.胸腺瘤
B.纵隔血肿
C.畸胎瘤
D.脂肪瘤
E.淋巴瘤
190、问答题 肺癌的检查有哪些?
191、单项选择题
男,56岁,咳嗽,咯血1月余,有吸烟史30余年,结合CT检查图,选出最可能的诊断()
A.肺结核
B.肺炎
C.结节病
D.肺错构瘤
E.中央型肺癌
192、单项选择题
64岁男性,CT见右下叶块影,支气管镜如图1,可能的诊断是()
A.肺癌
B.肺结核
C.错构瘤
D.肺炎
E.肺脓肿
193、单项选择题
男,45岁,胸骨后隐痛伴四肢无力3月余,请结合影像学检查图,选出最可能的诊断()
A.胸内甲状腺肿
B.纵隔畸胎瘤
C.胸腺瘤
D.淋巴瘤
E.间皮囊肿
194、单项选择题
75岁,男性,胸痛,咳嗽半年,气逼,多年前曾因黑色素瘤手术,胸片如图,最可能的诊断是()
A.原发性肺癌
B.肺结核瘤
C.黑色素瘤肺转移
D.炎性假瘤
E.胸腔积液
195、单项选择题 肺癌发病的最重要的危险因素是()
A.电离辐射
B.职业致癌因素
C.空气污染
D.长期大量吸烟
E.饮食和营养
196、单项选择题
7岁,男,发热、消瘦,数月前触及颈部淋巴结肿大,CT和MR检查如图,请选择最可能的诊断()
A.淋巴瘤
B.结节病
C.淋巴结核
D.转移性淋巴肿大
E.胸腺瘤
197、单项选择题 男性,63岁。咳嗽1个月,咯血丝痰2周,伴消瘦,无发热、胸闷、气促,吸烟50年,每天20支。该例应首选下列哪一项检查()
A.痰涂片找抗酸杆菌
B.肺功能检查
C.支气管镜检查
D.肿瘤标记物检查
E.胸部X线检查
198、判断题 小细胞未分化癌,癌细胞生长快,侵袭力强,远处转移早,患者年龄较轻,多在40~50岁左右。
199、配伍题 头面部、颈部和上肢水肿以及胸前部淤血和静脉曲张,可伴有头痛、头昏或眩晕()病侧眼睑下垂、瞳孔缩小、眼球内陷,同侧额部与胸壁无汗或少汗()癌肿作用于其他系统引起的肺外表现,包括内分泌、神经肌肉、结缔组织、血液系统和血管的异常改变()
A.Cushing综合征
B.Horner综合征
C.Budd-Chari综合征
D.上腔静脉阻塞综合征
E.副癌综合征
200、问答题 咯血的原因有哪些?
201、单项选择题
女,26岁,全身不适,发热,咳嗽,咯血,有吸毒史,结合CT图像,最可能的诊断是()
A.卡波济肉瘤
B.肺癌
C.肺转移癌
D.肺结节病
E.肺结核
202、单项选择题 男性,68岁,有吸烟史,声音嘶哑、咳嗽、咳白色黏液痰2月,喉镜检查示左侧声带活动欠佳,未见新生物,X线胸片示左肺上叶中、内带片状阴影,边缘模糊。最可能的诊断为()
A.肺炎
B.声带息肉
C.声带癌伴肺转移
D.肺癌伴声带转移
E.肺癌伴喉返神经受压迫
203、单项选择题
男性,61岁,胸痛数月,近两天痰中带血,X线检查如图,最可能的诊断是()
A.右肺结核瘤
B.右侧炎性假瘤
C.右肺癌
D.肺转移瘤
E.支气管扩张
204、单项选择题
女性,63岁,痰中带血2天,不咳嗽发热,X线检查如图,最可能的诊断是()
A.右上肺结核
B.右上肺炎症
C.右上肺不张
D.右上肺癌
E.右上肺脓肿
205、单项选择题 关于肺癌的治疗原则,下列哪一项说法不正确()
A.早期患者以手术治疗为主
B.鳞癌与小细胞癌的治疗原则不同
C.小细胞肺癌以放疗为主,辅以手术和(或)化疗
D.Ⅲa期患者可采取辅助化疗+手术治疗和(或)放疗
E.远处转移患者以姑息治疗为主
206、单项选择题
12岁,女,咳嗽、咯血1个月,咳出毛发、钙化物,请结合图片,选择最可能的诊断()
A.肺间质纤维化
B.肺曲菌病
C.肺结核
D.畸胎瘤
E.肺癌
207、单项选择题
女性,57岁,因胸痛,咳嗽1个月就诊,不发热,咳白色痰,无痰中带血,X线检查见图,最可能的诊断是()
A.右侧肺不张
B.右肺炎症
C.纵隔肿瘤
D.右肺肿瘤
E.间质性肺疾病
208、单项选择题
67岁,男,胸痛、咯血、体重下降,请结合CT,检查选出最可能的诊()
A.肺结核
B.肺上沟瘤
C.错构瘤
D.胸膜间皮瘤
E.神经鞘瘤
209、配伍题 肺结核表现为()肺癌表现为()肺脓肿表现为()
A.X线大片状阴影,呈肺叶和肺段分布
B.X线呈大片状阴影,内有空洞伴液平
C.X线右上空洞,周围有斑片状阴影
D.X线右下偏心空洞,内壁凸凹不平
E.X线左下单个薄壁空腔阴影
210、单项选择题
男,42岁,轻度咳嗽,胸部隐痛2月余,请结合CT检查,选出最可能的诊断()
A.食管囊肿
B.淋巴管囊肿
C.淋巴管瘤
D.支气管囊肿
E.神经源性肿瘤
211、单项选择题 肺癌中恶性程度最高的是()
A.腺癌
B.大细胞未分化癌
C.小细胞未分化癌
D.鳞状上皮细胞癌
E.Pancoast癌
212、单项选择题
女,57岁,咳嗽,胸闷,胸痛2月余,5年前被确诊为子宫绒毛膜癌,请结合影像学检查,选出最可能的诊断()
A.肺癌
B.肺结核
C.肺转移瘤
D.结节病
E.硅沉着病
213、多项选择题 下列属于支气管肺泡灌洗禁忌证的是()
A.一月前发生心肌梗死
B.新近大咯血
C.活动性肺结核未经治疗
D.急性左心衰
E.偶发室早
214、多项选择题 肺癌转移性病变可导致()
A.高血钙
B.肥大性骨关节病
C.周围性神经病变
D.颅内高压症状
E.上腔静脉综合征
215、单项选择题
男,68岁,声音嘶哑半个月,行MRI检查如图,其最可能的诊断为()
A.右上肺癌
B.左上肺结核球
C.左上肺炎性假瘤
D.左上肺癌
E.左上肺动静脉瘤
216、单项选择题 男性,52岁,有吸烟史,咳嗽、痰中带血半个月,胸部CT示右肺上叶阻塞并阻塞性肺炎,未发现淋巴结肿大。支气管镜活检示高分化鳞状细胞癌。主要的治疗措施为()
A.支气管镜下电刀切割肿瘤
B.镇咳、止血治疗
C.化疗
D.放疗
E.手术治疗
217、单项选择题 男性,62岁。因骨关节疼痛2月就诊。X线胸片检查发现右上肺2.5×3.0cm大小肿块,为进一步确诊,需进行哪项检查()
A.CT扫描
B.支气管动脉造影
C.经皮或经支气管穿刺肺活检
D.肿瘤标志物检测
E.磁共振检查
218、单项选择题
男,67岁,胸痛半个月,胸片检查如图,最可能的诊断为()
A.左上肺结核球
B.左上肺周围型肺癌
C.左上肺炎性假瘤
D.左上肺球形不张
E.左上肺脓肿
219、单项选择题
男性,38岁,咳嗽、胸痛、咯血1天,X线检查如图,最可能的诊断是()
A.炎性假瘤
B.原发性肺癌
C.肺结核球
D.肺转移瘤
E.胸腺瘤
220、问答题 肺癌按组织病理学如何分类?各种类型的临床特点有哪些?
221、单项选择题
男,68岁,呼吸困难、轻度吞咽困难3月余,请结合CT,选择最可能的诊断()
A.气管乳头状瘤
B.气管脓肿
C.气管炎性假瘤
D.食管癌
E.甲状腺癌
222、多项选择题 肺癌的早期症状有()
A.声嘶
B.刺激性咳嗽
C.咽下困难
D.显著消瘦
E.持续性痰中带血
223、单项选择题
男,45岁,HBV阳性10年,胸痛1个月伴咳嗽,咯血1天,胸片如图,选择最可能的诊断()
A.肺多发性脓肿
B.肺韦格肉芽肿
C.HBV病毒肺部转移
D.金葡菌感染
E.肺转移癌
224、单项选择题
男性,66岁。4个月前起刺激性咳嗽,右上胸痛,进行性加重。近2周来疼痛沿右肩向右上臂及前臂放射,并出现右额部不出汗、右眼难以睁开。体检:右侧瞳孔缩小,眼球内凹上睑下垂。右上肺叩浊音,听诊呼吸音降低。X线示右肺尖团块影,边缘不清。
假如2个月后患者出现面部水肿,右颈部及右上臂肿胀,颈静脉及胸壁静脉充盈,右侧明显,这是由于()
A.肿块压迫右腋静脉
B.肿块压迫右锁骨下静脉
C.肿块压迫右颈静脉
D.肿块压迫右头臂静脉
E.肿块压迫上腔静脉
225、单项选择题
女,39岁,咳嗽伴轻微胸痛,CT检查如图,最可能的诊断是()
A.右下肺节段性不张
B.右下肺脓肿
C.右下肺周围型肺癌
D.右下肺炎性假瘤
E.右下肺肺泡细胞癌
226、单项选择题
根据所提供的图像,选择最可能的诊断()
A.肺内软骨肉瘤
B.胸膜间皮瘤
C.球形肺炎
D.机化性肺炎
E.局限性不张
227、单项选择题
62岁,女,咳嗽胸闷咯血1天,1年前行宫颈癌手术,请结合CT检查图,选出最可能的诊断()
A.错构瘤
B.肺转移瘤
C.结节病
D.淋巴结核
E.真菌病
228、单项选择题
男性,67岁,咳嗽、胸痛2个月,痰中带血,不发热,X线检查如图,最可能的诊断是()
A.右上肺胸膜肥厚
B.右上肺不张
C.右肺癌并右上肺不张
D.右侧包裹性积液
E.肺水肿
229、问答题 述支气管镜检查的并发症及其防治。
230、单项选择题
18岁,男,咳嗽头晕1个月,请结合胸片和CT检查图,选出最可能的诊断()
A.胸腺瘤
B.淋巴瘤
C.畸胎瘤
D.胸内甲状腺瘤
E.神经源性肿瘤
231、单项选择题
女,25岁,胸背痛2周,胸片如图,最可能的诊断为()
A.左上肺不张
B.左上肺炎
C.纵隔肿瘤
D.左上肺癌
E.左上肺炎性假瘤
232、单项选择题 男性,64岁,有吸烟史,刺激性咳嗽、咳少量白色黏液痰3周,咳嗽加重呈高调金属音、伴咯脓痰、发热2天。查体右下肺可闻及局限性哮鸣音,杵状指(+)。WBC15×10/L,中性粒细胞比例85%。X线胸片示右下肺密度均匀阴影,边缘模糊。抗生素治疗2周后,胸片示阴影无明显吸收。最可能的诊断为()
A.肺脓肿
B.肺结核
C.肺炎
D.肺癌并阻塞性肺炎
E.支气管扩张
233、单项选择题
男,8岁,胸闷,气急,查体见颈静脉显露,胸片如图,最可能的诊断是()
A.心包积液
B.心肌炎
C.淋巴瘤
D.房间隔缺损
E.肺静脉异位引流
234、单项选择题
56岁女性,咯血2个月,支气管镜如图,可能的诊断是()
A.结节病
B.错构瘤
C.肺癌
D.支气管异物
E.肺结核
235、单项选择题
58岁,男,咳嗽、气促3个月,抽烟20余年,请结合胸片图,选择最可能的诊断()
A.肺癌
B.胸膜间皮瘤
C.肺结核
D.错构瘤
E.结节病
236、单项选择题
60岁男性,咳嗽半个月,支气管镜见右肺上叶(B3)处被一光滑、平坦的肿瘤阻塞如图,可能的诊断是()
A.支气管脂肪瘤
B.支气管肺癌
C.肺结核
D.肉芽肿
E.肺炎