时间:2022-08-10 02:35:35


1、单项选择题
女性,31岁,近1年来闭经。查体:发育营养正常,心、肺、腹未见明显异常
如果PRL正常,下列检查最有助于催乳素瘤诊断的是()
A.垂体X线检查
B.ACTH刺激试验
C.多巴胺抑制试验
D.PRL分泌节律
E.TRH兴奋试验
2、问答题 简述SIADH的主要诊断依据。
3、单项选择题 患者,女性,25岁,因原发性闭经就诊,幼时智力尚可,以后学习逐渐落后,初中为毕业辍学,查:身高1.4m,体形匀称,有颈蹼,乳房、生殖器幼稚型。 此时患者闭经的原因可能为()。
A.精神因素
B.垂体功能低下
C.下丘脑病变
D.卵巢发育不全
E.甲状腺功能减退
4、单项选择题 患者女,28岁,因“头痛、闭经6个月”来诊。妇科查体:子宫、双附件、阴道未见异常。实验室检查:尿妊娠试验(-)。 患者有口渴、多饮、多尿症状,查空腹血糖8.0mmol/L,空腹胰岛素31mU/L。该患者诊断应考虑()。
A.2型糖尿病
B.GH增高引起的继发性糖尿病
C.应激性糖尿病
D.葡萄糖耐量减低
E.应行OGTT明确诊断
5、单项选择题 嗜铬细胞瘤有意义的诊断试验是()。
A.高渗氯化钠溶液试验
B.螺内酯试验
C.饥饿试验
D.酚妥拉明试验
E.肾小球磷再吸收试验
6、单项选择题 尿崩症最常见的病因为()
A.下丘脑-神经垂体部位的肿瘤
B.头部创伤
C.脑部感染性疾病
D.脑血管病变
E.1angerhans组织细胞增生症
7、单项选择题 下列情况应考虑SIADH的是()。
A.高血糖伴低钠血症
B.Edison病伴低钠血症
C.高脂血症伴低钠血症
D.胃癌伴低钠血症
E.肺癌伴低钠血症
8、单项选择题 患者,14岁。身高132cm,体重24kg,形体均匀矮小,头颅无畸形,智力发育一般。 检查后考虑可能为拉伦侏儒症(Larondwarf-ism),下列结果支持此项诊断的是()。
A.GH降低,骨龄延迟,ACTH水平正常
B.GH降低,骨龄延迟,ACTH水平稍低
C.GH升高,骨龄延迟,ACTH水平正常
D.GH正常,骨龄延迟,ACTH水平正常
E.GH下降,骨龄正常,ACTH水平增高
9、多项选择题 关于低促性腺激素性腺功能减退症的人绒毛膜促性腺激素兴奋试验,叙述正确的有()。
A.采用HCG作为试验药物
B.采用HMG作为试验药物
C.取血测定睾酮水平
D.反应睾丸Ledig细胞储备功能
E.取血测定LH、FSH水平
10、多项选择题 患者男,15岁,身高154cm,近2年身高每年增长3.0cm。体形微胖,体重58kg。母亲偏矮。出生时否认有难产史。否认有外伤史。 患者ITT阳性,下列措施中正确的是()。
A.立即用重组生长激素治疗
B.选择精氨酸刺激试验进一步确诊GHD
C.如果确诊有其他垂体激素缺乏,可以立即用重组生长激素和相关垂体激素替代
D.染色体检查进一步确定GHD原因
E.观察一段时间再决定是否用生长激素治疗
F.立即给予钙剂+维生素D
11、单项选择题 关于肢端肥大症的放疗,正确的是()。
A.放疗的效果肯定
B.放疗的不良反应少
C.放疗可迅速使肿瘤缩小,视力恢复
D.放疗可作为首选
E.长期放疗可致腺垂体功能减退
12、问答题 试述生长激素缺乏性侏儒症与呆小病的鉴别诊断。
13、单项选择题 垂体瘤发展压迫下列哪一项可引起颞侧偏盲()
A.视神经交叉
B.动眼神经
C.滑车神经
D.三叉神经
E.展神经
14、单项选择题 最能反应GH分泌状态的IGF结合蛋白是()。
A.IGFBP-1
B.IGFBP-3
C.IGFBP-4
D.IGFBP-5
E.IGFBP-2
15、填空题 替代治疗Sheehan综合征过程中,应先补______激素,然后再补充甲状腺激素,以防_____危像的发生。
16、单项选择题 有关垂体瘤的占位性病变的阐述,错误的是()。
A.压迫鞍隔引起严重头痛
B.影响下丘脑而有尿崩症、睡眠食欲异常、性腺功能亢进
C.压迫脑神经引起睑下垂、眼外肌麻痹和复视
D.压迫脑神经引起神经麻痹、感觉异常
E.压迫视交叉出现视力减退,视野缺损
17、单项选择题 不属于低促性腺激素性腺功能减退症的是()。
A.Klifelter综合征
B.Kallmann综合征
C.先天性肾上腺发育不良
D.Preder-Willi综合征
E.GnRH基因缺陷症
18、单项选择题 患者,女性,25岁,因原发性闭经就诊,幼时智力尚可,以后学习逐渐落后,初中为毕业辍学,查:身高1.4m,体形匀称,有颈蹼,乳房、生殖器幼稚型。 为明确诊断应做()。
A.GH水平测定
B.TRH兴奋实验
C.GHRH兴奋实验
D.染色体核型检查
E.ACTH兴奋实验
19、单项选择题 有关腺垂体功能减退症的药物治疗,错误的是()。
A.激素替代治疗需要长期、甚至终身维持治疗
B.应激情况下需要适当增加糖皮质激素剂量
C.治疗过程中先补充甲状腺激素,然后补给糖皮质激素
D.甲状腺激素宜从小剂量开始,缓慢递增剂量
E.一般不必补充盐皮质激素
20、单项选择题 下面关于肢端肥大症正确的是()。
A.肢端肥大症患者常由于IGF-1增多而出现低血糖
B.肢端肥大症患者常出现皮肤粗糙增厚,色素沉着,皮质溢出及骨关节症,较少有器官及内脏增大
C.由于GH分泌过多,可使骨骼增粗,软组织过度生长,而使患者产生典型容貌
D.肢端肥大症有生长激素分泌过多,也有TRH、ACTH、PRL分泌不足出现功能亢进与减退混杂的情况
E.肢端肥大症患者起病缓慢,多见于31~50岁的男性,临床表现取决于垂体瘤的生长速度
21、单项选择题 患者女,35岁,已婚,因“月经周期不规则伴头痛6个月”来诊。无生育史。实验室检查:血清PRL467.90ng/ml(正常值1.90~25.00ng/ml),TT30.55nmol/L(正常值0.89~2.44nmol/L),TT448.43nmol/L(正常值62.68~150.80nmol/L),TSH1.57μU/ml(正常值0.500~4.940μU/ml),GH0.035ng/ml(正常值0~10ng/ml)。鞍区MRI:鞍内7mm×5mm×3mm延迟强化影。 目前最可能的诊断是()。
A.高泌乳素血症
B.垂体泌乳素侵袭性巨大腺瘤
C.甲状腺功能减退症伴垂体病理性增生
D.颅咽管瘤
E.生长激素缺乏
F.垂体泌乳素微腺瘤
22、单项选择题 生长激素激发试验的主要目的是()。
A.诊断体质性矮小症
B.了解IGF-1的水平
C.鉴别诊断下丘脑疾病与垂体疾病
D.了解生长激素在外周的脂溶作用
E.了解生长激素分泌潜能
23、单项选择题 患者:男性,16岁,因颅咽管瘤术后出现口渴、饮水较多、尿多。禁水后血压下降,不能耐受,尿比重1.006。 此患者的诊断()。
A.术后尿崩症
B.永久性尿崩症
C.遗传性尿崩症
D.完全性尿崩症
E.三相性尿崩症
24、判断题 Turner综合征为一先天性性分化异常疾病,其典型病例染色体核型为47,XXY。
25、判断题 处理垂体危像时应立即同时补充甲状腺激素和肾上腺皮质激素
26、单项选择题 垂体微腺瘤是指()
A.直径<10cm的肿瘤
B.直径<10μm的肿瘤
C.直径<5cm的肿瘤
D.直径<10mm的肿瘤
E.直径<5mm的肿瘤
27、填空题 GH缺乏性侏儒症的诊断,不能依靠GH的基值,需作__________________,包括____________、__________、_________、________________等。
28、单项选择题 患者:男性,40岁,近1年来多饮,多尿,尿量6~12L/日。近1周来睡眠不好,轻度乏力,血压110/80mmHg,测血钾4.1mmol/L,血糖4.8mmol/L。 为明确诊断应进一步检查()。
A.尿渗透压
B.视野检查
C.肾动脉血管造影
D.皮质醇测定
E.血钠测定
29、单项选择题 患者,男性,28岁,一年前因行颅咽管手术后出现疲乏无力,食欲不振,头晕,性功能减退。三天前感冒后出现高热40.2℃,恶心、呕吐,神志不清,血压:80/60mmHg,血糖2.5mmol/L,未引出病理征。 为明确诊断可进行()。
A.靶激素测定
B.头颅CT
C.胸部X线
D.心电图
E.细菌培养
30、问答题 简述垂体危像的处理。
31、单项选择题 患者男,35岁,因“口渴、多饮、多尿1个月”来诊。空腹尿相对密度偏低。 下列疾病可不予考虑的是()。
A.完全性中枢性尿崩症
B.部分性中枢性尿崩症
C.肾性尿崩症
D.原发性醛固酮增多症
E.慢性肾炎肾功能不全
32、单项选择题 关于尿崩症错误的是()。
A.遗传性尿崩症为常染色体显性遗传
B.特发性尿崩症无明确病因
C.遗传性尿崩症多为中枢性尿崩症
D.特发性尿崩症多为暂时性尿崩症
E.继发性尿崩症都有明确的病因
33、单项选择题
患者女性,38岁,10年前土法接生产下一子。之后常感乏力、嗜睡、食欲不振。3天前以头晕、恶心、呕吐就诊。检查:BP70/50mmHg.HR50次/分。FT、FT、sTSH均降低。
下列哪项处理是错误的?()
A.24-尿游离皮质醇测定
B.可做TRH兴奋试验了解垂体储备功能
C.垂体性甲状腺功能减退症诊断明确,应立即补充甲状腺激素
D.应先补充肾上腺皮质激素
E.应给予高热量高维生素饮食
34、单项选择题
女性,31岁,近1年来闭经。查体:发育营养正常,心、肺、腹未见明显异常
体检重点()
A.皮肤色泽、毛发分布
B.突眼、心率快慢
C.触发溢乳
D.肥胖程度、脂肪分布
E.视力、视野
35、单项选择题 生长激素是腺垂体生长激素细胞分泌的由191个氨基酸组成的蛋白质分子。关于生长激素,叙述错误的是()。
A.人生长激素基因组经克隆定位于染色体17q22-24
B.人类生长激素的晶体结构包含4个α螺旋
C.22kDhGH是人体内含量最多的、最主要的生长激素
D.Ghrelin可以与生长激素促泌素受体结合,通过下丘脑反射抑制生长激素释放
E.GH受体(GHR)普遍分布于机体各组织中,在肝脏表达量较高,在肌肉及脂肪等外周组织也有中等量表达
36、多项选择题 鞍区主要指以蝶鞍为中心的解剖范围,主要包括()。
A.鞍下方的蝶窦,鞍上方的视交叉、下丘脑
B.鞍旁(两侧)的海绵窦,鞍后方的斜坡上段骨质,鞍前方的眶尖
C.垂体柄通过鞍隔孔将下丘脑正中隆起与垂体相连,下丘脑位于垂体上方
D.垂体位于鞍内,下丘脑前方为视交叉,后方为乳头体,下底部为灰结节
E.筛窦和上鼻甲
37、判断题 1aron侏儒症血浆GH水平严重降低。
38、单项选择题 下列关于腺垂体功能减退症的说法不正确的是()
A.Sheehan综合征患者临床表现常为全垂体功能减退症
B.腺垂体功能减退症时,血浆皮质醇浓度降低,节律正常
C.腺垂体功能减退症时,血清总T、游离T均降低,而总T游离T可正常或降低
D.进行腺垂体分泌激素测定时宜相隔15~20min连续抽取等量血液3次,相混后送检
E.腺垂体功能减退症采用相应靶腺激素替代治疗能取得满意效果,但需要长期、甚至终身维持治疗
39、单项选择题 不是腺垂体疾病的是()。
A.肢端肥大症
B.巨人症
C.尿崩症
D.高泌乳素血症
E.泌乳素瘤
40、单项选择题 下列不符合Sheehan综合征的表现和实验室检查的是()。
A.血中T3、T4下降
B.血中皮质醇下降
C.视野狭窄
D.闭经,腋毛、阴毛脱落
E.常有产后大出血史
41、填空题 下丘脑激素包括______、____、____、_____、_____和_____六种。
42、单项选择题 GH缺乏性侏儒症患者的骨龄一般落后实际年龄至少()。
A.1年
B.4年
C.2年
D.3年
E.5年
43、单项选择题 长激素瘤的治疗,首选()。
A.手术
B.放射治疗
C.替代治疗
D.溴隐亭
E.奥曲肽
44、单项选择题 形成血浆胶体渗透压的主要物质是()。
A.NaCI
B.清蛋白
C.球蛋白
D.纤维蛋白
E.血红蛋白
45、单项选择题 加压素(抗利尿激素)的下述作用,正确的是()。
A.使肾远曲小管和集合管对水的通透性增加,促进水的重吸收
B.调节体内水总量,使血浆渗透压增高
C.加压素在生理状态上参与机体血压调节
D.临床上常用加压素来提高血压、治疗休克
E.肾性尿崩症可用加压素治疗
46、单项选择题 鉴别尿崩症与精神性多饮、多尿的试验是()。
A.高渗氯化钠溶液试验
B.螺内酯试验
C.饥饿试验
D.酚妥拉明试验
E.肾小球磷再吸收试验
47、单项选择题
男性,20岁,半年前车祸,头部受伤昏迷。近3个月来,多尿,多饮,每日尿量超过6000ml16.
预计这种异常表现在()
A.空腹血糖高
B.甲状腺功能亢进
C.尿比重低于1.005
D.血肌酐升高
E.肝酶升高
48、填空题 禁水试验结果:正常人禁水后,尿量____________,尿比重超过____________,尿渗透超过___________不出现__________。尿崩症患者禁水后尿量___________,尿比重一般不超___________尿渗透压不过__________。部分性尿崩症患者,禁水后尿比重可超过_______,但小于___________,渗透压可超过_________。但与正常人相比__________。
49、单项选择题 女性,30岁。产后大出血后闭经5年。畏寒,头晕伴乏力半年,恶心、呕吐2周就诊。体检:贫血貌,颜面水肿,皮肤干燥,心率60次/分钟,律齐,血压50/40mmHg,脉搏细弱。 患者经诊断后,立即补充甲状腺片每日60mg,2天后,恶心、呕吐症状加重。此时最可能的解释是()。
A.诊断错误
B.甲状腺片替代过量
C.应改用盐皮质激素替代
D.可能出现了低钾血症
E.由于首先补充甲状腺激素,诱发肾上腺危象
50、单项选择题 降钙素的分泌部位是()。
A.垂体
B.下丘脑
C.甲状腺滤泡细胞
D.甲状腺滤泡旁细胞
E.甲状旁腺主细胞
51、配伍题 催乳素瘤最常用的药物()ACTH瘤最常用的药物()垂体性侏儒症最佳选用()席汉综合征最常选用的药物()GH瘤可选用()
A.溴隐亭
B.噻庚啶
C.奥曲肽
D.生长激素
E.醋酸可的松
52、多项选择题 患者男,57岁,因“视力下降伴头痛加重1周”来诊。患者已确诊垂体侵袭性泌乳素瘤8年,分别进行经蝶手术2次与开颅手术1次,术后每年鞍区MRI复查随访1次,多次复查血清泌乳素均未降至正常(>300ng/ml)。常头痛,全身乏力,食欲不振,逐渐出现阳痿等症状。既往服溴隐亭15mg/d治疗1年,血清泌乳素下降不明显。实验室检查:血清PRL>1000ng/ml(正常值1.90~25.00ng/ml),TT30.51nmol/L(正常值0.89~2.44nmol/L),TT458.43nmol/L(正常值62.68~150.80nmol/L),TSH0.173μU/ml(正常值0.500~4.940μU/ml),GH0.003ng/ml(正常值0~10ng/ml),血浆皮质醇<10ng/ml(8AM),睾酮0.93ng/ml(成年男性正常值3.50~8.60ng/ml)。 实际加重患者低钠血症的因素是(提示:入院第2周接受化疗和肠外营养等治疗,数日后患者出现意识错乱,急查血清钠为107mmol/L。)()。
A.环磷酰胺(CTX)
B.长春新碱
C.进食差
D.阿糖胞苷
E.脂肪乳
F.输入高糖
53、填空题 肢端肥大症手术治愈标准为基础血浆GH_______,葡萄糖负荷后GH______。
54、单项选择题 常服用多潘立酮(吗丁啉)等药物治疗。实验室检查:血清PRL46.90ng/ml(正常值1.90~25.00ng/ml),TT31.35nmol/L(正常值0.89~2.44nmol/L),TT498.43nmol/L(正常值62.68~150.80nmol/L),TSH2.57μU/ml(正常值0.50~4.94μU/ml),GH0.785ng/ml(正常值0~10ng/ml)。鞍区MRI:饱满,强化欠均匀。 首选处理措施是()。
A.经蝶窦微创手术治疗
B.γ刀立体定向外科治疗
C.多巴胺激动剂治疗
D.定期随访复查血清PRL与鞍区MRI
E.生长激素替代治疗
55、单项选择题 可引起临床症状时,腺垂体的最低受损程度()。
A.75%
B.60%
C.25%
D.95%
E.50%
56、单项选择题 已婚女性,40岁,10年前生育一子后闭经、体力差,每因感染而脱水,血压偏低,需住院输液治疗,有时需要用糖皮质激素方可恢复,此次情况同前,目前查体:神清合作,心、肺、腹未见异常。 以下检查中最可能出现异常的是()。
A.血脂分析
B.尿17-羟皮质类固醇
C.地塞米松抑制试验
D.心电图
E.肝肾功能
57、单项选择题 垂体瘤经手术治疗后,较少复发是因为()。
A.多为转移瘤
B.多为功能性瘤
C.瘤细胞增生少见
D.瘤体较小
E.瘤细胞增生明显
58、单项选择题 中枢下丘脑性尿崩症需要加压素治疗,从药物作用时间、给药途径和副作用等方面考虑,首选的加压素形式为()。
A.去氨加压素
B.赖氨酸加压素
C.鞣酸加压素
D.神经垂体提取物
E.加压素水剂
59、填空题 生长激素分泌过多在骨骺闭合之前引起_______________,而在骨骺闭合之后引起___________________。
60、单项选择题 功能性垂体腺瘤中最常见的疾病是()。
A.泌乳素瘤
B.生长激素瘤
C.促甲状腺素瘤
D.促性腺激素瘤
E.促肾上腺皮质激素瘤
61、单项选择题 关于垂体催乳素瘤的叙述,下列哪项不正确?()
A.男女均可发病
B.催乳素瘤细胞中的胞浆颗粒为垂体前叶细胞胞浆颗粒中最大者
C.女性催乳素瘤患者有闭经溢乳症状
D.血浆泌乳素基础水平常高于200μg/L
E.常有视神经交叉压迫症状
62、多项选择题 低促性腺激素性腺功能减退症的治疗措施包括()。
A.促性腺激素治疗
B.外周性激素治疗
C.GnRH脉冲治疗
D.心理咨询
E.肺功能检查
63、问答题 试述肢端肥大症的治疗。
64、单项选择题 抗利尿激素分泌是来源于()。
A.漏斗柄
B.腺垂体
C.下丘脑的视上核和室旁核
D.神经垂体
E.垂体的中间部
65、单项选择题 关于成人腺垂体功能减退症的替代治疗,正确的是()。
A.补充的肾上腺皮质激素以可的松为最佳,并从小剂量逐渐加量
B.女性采用人工周期治疗,男性可用睾酮治疗
C.肾上腺素的补充应先于甲状腺激素,无明显皮质醇低下者可以例外
D.甲状腺激素应从小量开始,每日分多次服
E.靶腺激素替代治疗应终身治疗,应激时也不能停药,反而要增加肾上腺皮质激素等
66、单项选择题 患者:女性,18岁,原发性闭经乳房不发育,近三年来头痛,视力下降,乏力就诊,查身高1.95m,血糖9.3mmoL/L,垂体CT示增大向鞍上发展,诊断:巨人症,垂体生长激素瘤。 进行经额手术治疗,最常见的术后并发症是()。
A.脑膜炎
B.鼻窦炎
C.尿崩症
D.低血糖
E.视力损伤
67、单项选择题 女性,28岁,已婚。1年来月经稀发,不孕,就诊时闭经2个月。尿妊娠试验(-),B超显示子宫、双侧卵巢均无异常。 蝶鞍MRI证实为垂体微腺瘤,应首选下列药物是()。
A.多巴胺受体抑制剂
B.5-HT(5-羟色胺)激动剂
C.多巴胺受体激动剂
D.β受体阻滞剂
E.H2受体拮抗剂
68、单项选择题 腺垂体功能减退症常最早出现的临床表现是()。
A.皮肤色素沉着
B.泌乳-闭经
C.继发性糖尿病
D.产后无乳汁,长期闭经不育
E.直立性头晕,低血压
69、单项选择题 垂体性侏儒症的诊断下列错误的是()。
A.要做左旋多巴兴奋试验,GH水平不能达到5~10μg/L
B.不能靠GH基础值诊断
C.明确诊断至少需做2种兴奋试验,以免假阴性反应
D.血清生长激素介素C又称胰岛素样生长因子-1,多数无改变
E.CRFI兴奋试验有助于鉴别是否为下丘脑性
70、多项选择题 患者女,32岁,已婚5年,因“闭经3年伴溢乳,头痛与视力下降2周”来诊。院外反复就诊于妇产科与中医科门诊治疗不孕症。查体无特殊发现。 欲明确诊断,尚需要鉴别的疾病包括()。
A.药物原因导致的闭经与溢乳
B.妇产科疾病导致的不孕症
C.病理性原因导致的闭经与溢乳
D.特发性高泌乳素血症
E.宫外孕
F.颅咽管瘤
71、填空题 对于特发性GH缺乏性侏儒症,GHRH兴奋后血清GH大于5μg/L为________,GH小于5μg/L为_______。
72、问答题 试述禁水-加压素试验。
73、单项选择题 下列说法错误的是一项是()。
A.肢端肥大症多为垂体生长激素腺瘤所致
B.巨人症多为生长激素细胞增生所致
C.巨人症的长骨增长增大
D.肢端肥大症的长骨不增长
E.巨人症和肢端肥大症不可能发生于同一个人
74、问答题 垂体瘤的治疗目标及治疗原则?
75、单项选择题 对于生长激素缺乏性侏儒症伴有甲状腺功能减退的治疗,下列说法正确的是()
A.先予GH,待起效后再给予甲状腺激素
B.同时给予GH和甲状腺激素
C.先给予甲状腺激素,再给予GH治疗
D.只需给予GHRH治疗
E.补足生长激素后,甲状腺功能自然好转
76、判断题 下丘脑含有重要的神经核,具有神经分泌细胞的功能,可以合成、释放激素和抑制激素。
77、多项选择题 患者女,29岁,已婚,结婚4年未孕,因“反复出现月经周期不规则伴头痛2年”来诊。实验室检查:血清PRL257.30ng/ml(正常值1.90~25.00ng/ml),TT30.97nmol/L(正常值0.89~2.44nmol/L),TT498.13nmol/L(正常值62.68~150.80nmol/L),TSH2.57μU/ml(正常值0.500~4.940μU/ml),GH0.035ng/ml(正常值0~10ng/ml)。鞍区MRI:鞍内5mm×6mm×3mm延迟强化影。 结合该病例,如患者妊娠,下列措施错误的是()。
A.女性患者泌乳素瘤妊娠后可常规复查CT与MRI
B.每2~3个月眼科视野检查与脑神经功能评价1次
C.因已服多巴胺激动剂药物治疗,须人工流产终止妊娠
D.每2~3个月复查垂体激素与靶腺激素
E.妊娠后眼科视野检查发现出现轻微颞侧偏盲,定期随访
F.妊娠后眼科视野检查发现出现颞侧偏盲较妊娠前明显加重后不予处理
78、单项选择题 枢性尿崩症患者控制多尿最适宜的药物是()。
A.垂体加压素水剂
B.油剂鞣酸加压素(长效尿崩停)
C.去氨加压素(弥凝)
D.氢氯噻嗪(双氢克尿塞)
E.氯磺丙脲
79、单项选择题 关于成人腺垂体功能减退症,正确的是()。
A.靶腺激素替代治疗应终身治疗,应激时也不能停药,可适当减少肾上腺皮质激素等
B.当有感染引起败血症时,应抗感染治疗,并加大糖皮质激素剂量
C.当患者出现高热,谵妄,烦躁不安时,可给予巴比妥类安眠药
D.根据病情全面补充各种垂体激素
E.当患者出现垂体危象,有低体温时,应及时保温,并给大量甲状腺激素
80、判断题 除催乳素瘤一般首先采用药物治疗外,所有垂体瘤尤其大腺瘤和功能性肿瘤均宜考虑手术治疗。
81、判断题 限制水摄入对控制血管升压素分泌失调综合征(SIADH)症状十分重要。
82、多项选择题 下列何种药物可引起高泌乳素血症和溢乳()
A.氯丙嗪
B.甲氧氯普胺(胃复安)
C.雌激素
D.甲基多巴
E.组胺
83、单项选择题 侏儒症是由于()
A.儿童期生长激素缺乏或不敏感
B.成人期生长激素缺乏或不敏感
C.儿童期甲状腺激素分泌不足
D.成人期甲状腺素分泌不足
E.以上都不是
84、单项选择题 在以下血管升压素不适当分泌综合征的病因中哪项最常见()
A.小细胞型肺癌
B.淋巴肉瘤
C.胰腺癌
D.胸腺癌
E.前列腺癌
85、多项选择题 下列哪些疾病可引起高血糖()
A.糖尿病
B.甲亢
C.皮质醇增多症
D.席汉综合征
E.肢端肥大症
86、单项选择题 患儿男,11岁。因“身材矮小”来诊。父母身高中等。否认家族遗传性疾病史,否认有头颅外伤史及放射治疗史。 患儿首先应进行的检查是()。
A.GHD家系调查
B.确认是否有矮小与生长速度缓慢:低于同地区、同年龄、同性别平均身高-2SD
C.ITT试验
D.2个GHPS试验
E.生长速度曲线
87、单项选择题 下述表现与巨人症不符的是()。
A.蝶鞍可扩大
B.身体高大
C.可合并糖尿病
D.可出现视神经交叉受压症状
E.四肢尤其是下肢特别长
88、单项选择题 患者:男性,40岁,近1年来多饮,多尿,尿量6~12L/日。近1周来睡眠不好,轻度乏力,血压110/80mmHg,测血钾4.1mmol/L,血糖4.8mmol/L。 如上述诊断明确,为明确病因可进行()。
A.靶腺激素测定
B.血浆ADH测定
C.蝶鞍X片
D.垂体激素测定
E.骨髓涂片
89、问答题 女,35岁,已婚,闭经1年伴溢乳,性欲减退半年,阴道分泌物减少,但无寒战、头痛、腹痛、水肿、视力障碍。既往体健,上环避孕8年。查体:T6℃,P81次/分,R23次/分,BP112/70mmHg,神志清楚,无水肿征,头颅五官无异常,双乳对称,无肿块及压痛,挤压双乳头有白色分泌物流出,量不多,心肺叩听无异常,腹平软,肝脾不大,无压痛,神经系统未引出病理征。辅助检查:三大常规、肝肾功能、电解质、心电图、胸片均无异常,头颅CT正常,垂体MRI见垂体柄向左偏斜,垂体向右侧有一小类圆形的信号灶,血FT7.2mmol/L,FT18.4mmol/L,TSH4.2mIU/L,PRL315μg/L,LH12IU/L,FSH9IU/L,E294pg/L,T29ng/L。请分析:(1)请作出初步诊断并写出诊断依据。(2)应该与哪些疾病做鉴别。(3)尚需完善哪些检查?(4)治疗原则是什么?
90、填空题 神经垂体贮存_______和_____,分别由下丘脑_______和_____分泌。
91、单项选择题 患者:女性,18岁,原发性闭经乳房不发育,近三年来头痛,视力下降,乏力就诊,查身高1.95m,血糖9.3mmoL/L,垂体CT示增大向鞍上发展,诊断:巨人症,垂体生长激素瘤。 关于患者的情况,下列错误的是()。
A.高血糖对胰岛素反应良好
B.血生长激素升高
C.TRH兴奋试验可使生长激素升高
D.血钙正常
E.血磷升高
92、单项选择题 垂体瘤目前最常用的分类方法是根据()
A.按病理分类
B.按肿瘤的染色分类
C.按细胞的分泌功能分类
D.按肿瘤的大小分类
E.按细胞分泌激素的性质和细胞来源分类
93、填空题 垂体瘤临床表现有两种,一为___________,二是___________。具体治疗措施有______________。
94、单项选择题
女性,40岁,10年前生育一子后闭经,体力差,常因为感染脱水,血压低
最有效的治疗是()
A.静脉滴注ACTH
B.输入盐水加胰岛素
C.输入糖盐水加氢化可的松
D.输入糖盐水加地塞米松
E.输入葡萄糖加抗生素
95、单项选择题 患者女性,18岁,平素喜饮水,近来饮水量明显增加,每天10L左右,多尿。测尿比重1.002,CT检查垂体及蝶鞍区无异常,心电图正常。禁水后尿比重1.003,注射加压素后尿量不减。 如上述诊断明确,则此患者多尿的原因是()。
A.AVP-NPⅡ基因突变所致
B.垂体分泌AVP减少所致
C.精神因素所致
D.AVP2受体基因突变所致
E.血钾过低所致
96、单项选择题 以下有关垂体危象的临床突出表现,错误的是()。
A.高热、循环衰竭、休克
B.恶心、呕吐
C.呼吸急促
D.神志不清、谵妄
E.抽搐、昏迷
97、判断题 sheehan综合征患者多因围生期大出血休克而致全垂体功能减退症。
98、单项选择题 患者男,47岁,鼻咽癌放疗后逐渐出现性欲减退、阳痿、怕冷、乏力、懒言少语、记忆力下降、体重增加。 确定诊断最重要的实验室检查是()。
A.血钠、血钾、血糖
B.FSH、LH、TSH、FT4、睾酮
C.T3、T4、FT3、FT4、皮质醇
D.FSH、LH、TSH
E.ACTH、FT4、睾酮
99、多项选择题 患者男,57岁,因“视力下降伴头痛加重1周”来诊。患者已确诊垂体侵袭性泌乳素瘤8年,分别进行经蝶手术2次与开颅手术1次,术后每年鞍区MRI复查随访1次,多次复查血清泌乳素均未降至正常(>300ng/ml)。常头痛,全身乏力,食欲不振,逐渐出现阳痿等症状。既往服溴隐亭15mg/d治疗1年,血清泌乳素下降不明显。实验室检查:血清PRL>1000ng/ml(正常值1.90~25.00ng/ml),TT30.51nmol/L(正常值0.89~2.44nmol/L),TT458.43nmol/L(正常值62.68~150.80nmol/L),TSH0.173μU/ml(正常值0.500~4.940μU/ml),GH0.003ng/ml(正常值0~10ng/ml),血浆皮质醇<10ng/ml(8AM),睾酮0.93ng/ml(成年男性正常值3.50~8.60ng/ml)。 需要进一步检查的项目是()。
A.鞍区MRI
B.前列腺B超
C.性腺功能的评价
D.鞍区CT平扫
E.眼科视野检查与脑神经功能评价
F.复查垂体激素与靶腺激素
100、单项选择题 巨人症是由于下列哪种激素分泌过多所致()。
A.促性腺激素
B.生长激素释放激素
C.生长抑素
D.促甲状腺激素
E.生长激素
101、单项选择题 患者女,47岁,因“左胸痛8个月,加重伴发作性恶心、呕吐2个月”来诊。吸烟史20余年。查体:BP100/70mmHg;慢性病面容,反应迟钝,无其他特殊发现。实验室检查:血清钠115mmol/L,血清氯80mmol/L,BUN1.7mmol/L,尿钠72mmol/L,24h尿量1100ml,血渗透压245mmol/kg,尿渗透压310mmol/kg。给予1000ml水负荷后,5h排尿量<500ml(<50%),期间血浆渗透压(Posm)由试验前242mmol/kg降至5h的226mmol/kg,尿渗透压(Uosm)由380mmol/kg(试验前)降至最低225mmol/kg(负荷后3h),空腹血浆AVP60ng/L[正常值(13.4±9.6)ng/L]。胸部X线片:左肺门分叶状肿物,左下肺有片状阴影。2次查痰癌细胞均为小细胞未分化肺癌。纤维支气管镜:活检病理为小细胞未分化肺癌。 最可能的诊断是哪一个()。
A.小细胞未分化肺癌
B.小细胞未分化肺癌伴低渗性脱水
C.小细胞未分化肺癌伴低钠血症
D.小细胞未分化肺癌伴低渗透压综合征
E.小细胞未分化肺癌合并低钠血症(SIADH)
102、判断题 血管升压素分泌失调综合征(SIADH)血清钠降低,常低于130mmol/L。
103、多项选择题 泌乳素瘤的临床表现因性别而有所差异,但主要有()。
A.女性患者表现为溢乳、闭经和不孕
B.男性患者表现为勃起功能障碍、性欲减退与不育
C.头痛、视野缺损和其他脑神经压迫症状
D.癫痫发作、脑脊液鼻漏等
E.发热
104、多项选择题 关于ACTH的分泌,叙述正确的有()。
A.应激情况下分泌增加
B.受下丘脑分泌的CRH调节
C.存在清晨渐低午夜增高的昼夜节律
D.受皮质醇的负反馈调节
E.存在脉冲式分泌(阵发性)
105、单项选择题 下列垂体瘤,应首选药物治疗的是()。
A.促性腺激素瘤
B.生长激素瘤
C.催乳素瘤
D.促肾上腺皮质激素瘤
E.促甲状腺激素瘤
106、单项选择题 肢端肥大症患者手术治愈的标准()。
A.血浆生长激素增多的临床症状消失
B.术后视力恢复正常
C.术后垂体CT正常
D.术后血浆生长激素小于10μg/L,葡萄糖负荷后血浆生长激素小于2μg/L
E.术后血浆生长激素小于5μg/L,葡萄糖负荷后血浆生长激素小于2μg/L
107、多项选择题 下列情况中可引起SIADH的有()
A.恶性肿瘤
B.肺结核
C.脑脓肿
D.二尖瓣分离术后
E.环磷酰胺
108、多项选择题 患者女,42岁,已婚,工人,因“视力下降1周伴剧烈头痛、恶心、呕吐1h”急诊入院。无生育史。5年前鞍区MRI扫描示鞍内39mm×15mm×11mm占位。既往不规律间断服溴隐亭治疗约6个月。已超过2年未到医院复查与治疗。 此时进一步处理措施是()。
A.立即静脉滴注5%葡萄糖氯化钠溶液500ml+地塞米松10mg
B.或者静脉滴注5%葡萄糖氯化钠溶液500ml+氢化可的松200mg
C.急诊鞍区MRI薄层扫描+动态增强
D.急诊检测全垂体激素+靶腺激素
E.急诊检测血常规、电解质、肝功能、肾功能
F.密切监测生命体征
109、单项选择题
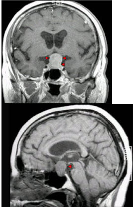
男,47岁,视物模糊数月,头痛、恶心、呕吐3天,行MRI检查如图,最可能的诊断为()
A.颅咽管瘤
B.脑膜瘤
C.垂体瘤并出血
D.蛛网膜囊肿
E.表皮样囊肿
110、单项选择题 患者女,20岁,因“颅咽管瘤术后闭经伴乏力、嗜睡,食欲减退,怕冷3年,恶心、呕吐3d”来诊。查体:T36.8℃,P50次/min,BP90/55mmHg。实验室检查:FT4、FT3降低,TSH水平为正常参考值的低限,血钠130mmol/L。 该患者最佳的治疗方法是()。
A.靶腺激素替代
B.垂体促激素刺激靶腺
C.应用促激素释放激素
D.补充靶腺激素调节物质
E.腺垂体皮下移植治疗
111、多项选择题 患者男,51岁,因“咳嗽、痰中带血丝伴消瘦3个月”来诊。患者吸烟20余年。查体:BP110/80mmHg;身高172cm,体重51kg;消瘦,精神不振,反应迟钝;颈部、心、肺及腹部检查正常。实验室检查:FBG5.5mmol/L,血清钠117mmol/L,血清氯83mmol/L,血钾3.4mmol/L,BUN4.1mmol/L,Scr75μmol/L。胸部X线片:左肺中部中间带有一约3cm×2cm实性占位,边界不整。 为初步诊断应进行的检查包括()。
A.痰找癌细胞
B.痰找TB菌
C.胸部CT和(或)MRI
D.甲状腺功能检测
E.24h尿离子排量
F.肾上腺功能检测
112、单项选择题 判断生长激素瘤手术治愈的标准是()。
A.术后随机GH较正常值下降1/3~1/2
B.TRH兴奋试验GH无反应性增高
C.血清IGF-1升高
D.术后随机GH<2μg/L,葡萄糖负荷试验后GH>5μg/L
E.术后葡萄糖负荷试验后GH<1μg/L
113、多项选择题 有助于确诊GHD的有()。
A.身材矮小,生长速度延缓
B.身高低于同性别、同年龄平均身高的-2SD
C.ITT激发试验GH峰值<10μg/L
D.3岁至青春期的生长速度为每年身高增长<4cm
E.中心性肥胖
114、单项选择题 患者女,28岁,因“头痛、闭经6个月”来诊。妇科查体:子宫、双附件、阴道未见异常。实验室检查:尿妊娠试验(-)。 垂体MRI:1.8cm×1.6cm腺瘤,向鞍上生长。实验室检查:PRL180μg/L,GH40μg/L,ACTH<0.1pmol/L。该患者的诊断可能是()。
A.泌乳素瘤
B.生长激素瘤
C.库欣病
D.继发性肾上腺皮质功能减退症
E.垂体卒中
115、单项选择题 男性,14岁。严重口干,多饮、多尿伴遗尿2个月就诊。体检:身高132cm,体重26kg。 初诊时下列检查最能迅速协助筛选的是()。
A.血糖、血酮
B.尿糖、尿酮
C.尿糖、尿比重
D.血糖、血浆渗透压
E.OGTT
116、问答题 简述尿崩症的诊断要点。
117、判断题 肢端肥大症可引起继发性糖尿病。
118、多项选择题 患者男,15岁,身高154cm,近2年身高每年增长3.0cm。体形微胖,体重58kg。母亲偏矮。出生时否认有难产史。否认有外伤史。 对诊断与鉴别诊断最有价值的检查是()。
A.测定生化、血常规评价整体营养状况
B.IGF-1
C.ITT试验
D.垂体MRI
E.骨龄评价
F.免疫功能测定
119、多项选择题 下列关于尿崩症的说法正确的有()
A.尿崩症可发生于任何年龄,但以青少年为多见
B.尿崩症的发病无明显性别差异,男女之比约为1:1
C.当尿崩症合并腺垂体功能不全时,尿崩症症状反而会减轻,糖皮质激素替代治疗后症状再现或加重
D.禁水试验的结果是诊断尿崩症的可靠指标
E.禁水-加压素试验可用来鉴别中枢性尿崩症和肾性尿崩症
120、判断题 约80%血管升压素分泌失调综合征(SIADH)由肺燕麦细胞癌引起。
121、单项选择题
肢端肥大症筛选和疾病活动性指标是()
A.IGF↑
B.SS↑
C.GnRH↑
D.GHRH↑
E.GH↑
122、问答题 生长激素瘤治疗的目标是什么?
123、单项选择题 关于Laron侏儒症错误的是()。
A.被称为假性GH过低症
B.血清中IGF-1正常
C.患者有GH严重缺乏的表现,但血浆GH却升高
D.与GH受体功能异常有关
E.对外源性GH有耐药性
124、单项选择题
下列哪个部位的病变可引起暂时性尿崩症()
A.排尿中枢
B.正中隆突以下的垂体柄至神经垂体
C.下丘脑正中隆突以上部位
D.第三脑室
E.脑干
125、名词解释 垂体卒中
126、名词解释 肢端肥大症
127、单项选择题
男性,20岁,半年前车祸,头部受伤昏迷。近3个月来,多尿,多饮,每日尿量超过6000ml16.
下列检查可能出现异常的是()
A.血糖
B.尿比重
C.甲状腺功能
D.肾功能
E.肝功能
128、判断题 腺垂体就是垂体前叶,神经垂体就是垂体后叶。
129、多项选择题 需要与生长激素缺乏性侏儒症相鉴别的有()。
A.黏多糖综合征
B.骨软骨发育不良
C.社会心理性侏儒
D.特发性矮小症
E.营养障碍
130、问答题 试述生长激素缺乏性侏儒症的诊断依据。
131、单项选择题 刺激生长激素分泌的最强的代谢因素是()
A.低血糖
B.高血糖
C.低血脂
D.高血脂
E.低蛋白
132、单项选择题 以下不符合垂体危象临床类型的是()。
A.低温型
B.低血糖型
C.高热型
D.高血糖型
E.混合型
133、单项选择题 常服用多潘立酮(吗丁啉)等药物治疗。实验室检查:血清PRL46.90ng/ml(正常值1.90~25.00ng/ml),TT31.35nmol/L(正常值0.89~2.44nmol/L),TT498.43nmol/L(正常值62.68~150.80nmol/L),TSH2.57μU/ml(正常值0.50~4.94μU/ml),GH0.785ng/ml(正常值0~10ng/ml)。鞍区MRI:饱满,强化欠均匀。 患者还需要进一步治疗,首选()。
A.经蝶窦微创手术治疗
B.γ刀立体定向外科治疗
C.性激素替代治疗
D.糖皮质激素与甲状腺素替代治疗
E.生长激素替代治疗
134、问答题 简述肢端肥大症的肺部表现。
135、单项选择题 垂体瘤手术切除标本通过免疫染色法,发生率依次为()。
A.无功能瘤>PRL瘤>GH瘤>ACTH瘤
B.无功能瘤>PRL瘤>ACTH瘤>GH瘤
C.PRL瘤>无功能瘤>GH瘤>ACTH瘤
D.PRL瘤>GH瘤>ACTH瘤>无功能瘤
E.PRL瘤>ACTH瘤>GH瘤>无功能瘤
136、填空题 SIADH患者血清钠一般低于______,尿钠排出相对______,一般______。血浆渗透压低于______,而尿渗透压______血浆渗透压。
137、判断题 血管升压素分泌失调综合征(SIADH)血浆渗透压常升高。
138、多项选择题 患者男,15岁,身高154cm,近2年身高每年增长3.0cm。体形微胖,体重58kg。母亲偏矮。出生时否认有难产史。否认有外伤史。 患者的治疗目标是()。
A.取得较高的终身身高
B.提高生活质量
C.减肥
D.预防骨质疏松
E.预防低血糖发作
F.预防糖尿病发生
139、单项选择题 对催乳素瘤引起的不育,首选哪种药物治疗()。
A.炔诺酮
B.黄体酮
C.克罗米酚
D.嗅隐亭
E.绒毛膜促性腺激素
140、单项选择题 有关激素水平测定正确的是()。
A.使用放免和酶免法,随时可取血测定
B.24小时尿中激素浓度的测定受影响更少
C.激素水平高于或低于正常一定提示功能异常
D.早餐前取血为了解基础激素水平的分泌
E.激素分泌与体位无关
141、单项选择题 引起血管升压素分泌最敏感的因素是()。
A.循环血量减少
B.血浆晶体渗透压增高
C.血浆胶体渗透压增高
D.动脉血压降低
E.疼痛刺激
142、单项选择题
由下丘脑视上核与室旁核分泌的激素是()
A.醛固酮
B.降钙素
C.精氨酸加压素
D.泌乳素
E.生长抑素
143、判断题 禁水试验可鉴别精神性多饮和尿崩症。
144、单项选择题 患者女,28岁,因“头痛、闭经6个月”来诊。妇科查体:子宫、双附件、阴道未见异常。实验室检查:尿妊娠试验(-)。 首选的治疗方案是()。
A.经额开颅切除腺瘤
B.经蝶显微外科手术切除腺瘤
C.γ刀治疗
D.奥曲肽治疗
E.溴隐亭治疗
145、配伍题 目前治疗尿崩症的首选药物为()主要用于脑损伤或手术时出现的尿崩症的药物为()应用2年左右可因产生抗体而减效的药物为()可引起严重低血糖,也可引起水中毒的药物为()长期服用可引起低血钾、高尿酸血症的药物为()
A.去氨加压素
B.鞣酸加压素注射液
C.垂体后叶素水剂
D.氢氯噻嗪
E.氯磺丙脲
146、问答题 生长激素分泌瘤的治疗措施有哪些?
147、单项选择题 患者男,35岁,因“口渴、多饮、多尿1个月”来诊。空腹尿相对密度偏低。 为确诊此患者是否存在尿崩症,下列检查首选()。
A.禁水试验
B.测量每日尿总量
C.禁水-加压素联合试验
D.测血浆渗透压
E.测尿渗透压
148、单项选择题 下列哪项可以肯定PRL瘤的诊断()
A.PRL>300μg/L
B.PRL>250μg/L
C.PRL>150μg/L
D.PRL>200μg/L
E.PRL>100μg/L
149、单项选择题 催乳素瘤的首选治疗药物是()
A.赛庚啶
B.溴隐亭
C.酮康唑
D.奥曲肽
E.米托坦
150、单项选择题 女性,30岁,停经1年余,疑诊催乳素瘤而进行血清催乳素检查,其值为多少可确诊()
A.<200μg/L
B.>200μg/L
C.>300μg/L
D.<300μg/L
E.<100μg/L
151、单项选择题 对垂体催乳素瘤的治疗大多采用药物治疗,溴隐停属于哪一类()
A.多巴胺受体激动剂
B.多巴胺受体拮抗剂
C.5-羟色胺再摄取抑制剂
D.5-羟色胺能受体拮抗剂
E.H-受体拮抗剂
152、问答题 35岁女性患者,因腹泻、呕吐1天急诊入院,入院查体:T5℃,BP80/50mmHg,乳房萎缩,心肺及腹部检查未见异常。追问病史,5年前足月产,胎盘前置伴大出血,产后一直闭经,查血糖2.3mmol/L,Na126mmol/L。请问该患者最可能的诊断及处理措施?
153、单项选择题 患者,14岁。身高132cm,体重24kg,形体均匀矮小,头颅无畸形,智力发育一般。 如确诊为拉伦侏儒症,应选择的治疗方案是()。
A.大剂量生长激素
B.大剂量生长激素加甲状腺激素
C.小剂量生长激素加甲状腺激素
D.胰岛素样生长因子-1(IGF-1)
E.垂体放射治疗
154、单项选择题 血管升压素由下列哪一部位分泌()
A.垂体前叶
B.漏斗柄
C.下丘脑的视上核
D.垂体后叶
E.垂体柄
155、单项选择题 低促性腺激素性腺功能减退症的临床表现不包括()。
A.青春期无启动
B.两性畸形
C.生殖功能减退
D.类宦官样体型
E.骨龄延迟
156、填空题 垂体瘤的治疗方法有____、____和____三种。
157、单项选择题 患者男,45岁,半年前因“视物模糊”来诊,检查发现颅咽管瘤,立即行颅咽管瘤手术治疗。但2个月后肿瘤复发,再次入院行γ刀治疗。此次治疗后一直乏力、食欲减退、恶心,并有经常性的发热,没有明确的感染病灶。第3次入院检查发现垂体ACTH、皮质醇、生长激素、甲状腺素及睾酮水平下降,ITT峰值<5ng/L。 该患者的激素替代治疗应最先选用()。
A.ACTH
B.皮质醇
C.甲状腺素
D.雄激素
E.生长激素+IDF-1
F.钙剂+维生素D
158、单项选择题 垂体瘤手术切除标本用免疫染色法,肿瘤发生率最高为()
A.无功能瘤
B.GH瘤
C.PRL瘤
D.ACTH瘤
E.TSH瘤
159、单项选择题 患者,女性,25岁,因原发性闭经就诊,幼时智力尚可,以后学习逐渐落后,初中为毕业辍学,查:身高1.4m,体形匀称,有颈蹼,乳房、生殖器幼稚型。 最可能的诊断是()。
A.呆小症
B.Turner综合征
C.垂体性侏儒
D.幼年型黏液性水肿
E.青春期延迟
160、填空题 贷记卡与准贷记卡最大的区别就是()透支消费不具备免息功能,不论透支消费多少金额,多长时间都必须支付利息。
161、判断题 血管升压素是由垂体后叶合成分泌的。
162、单项选择题 患者男,45岁,半年前因“视物模糊”来诊,检查发现颅咽管瘤,立即行颅咽管瘤手术治疗。但2个月后肿瘤复发,再次入院行γ刀治疗。此次治疗后一直乏力、食欲减退、恶心,并有经常性的发热,没有明确的感染病灶。第3次入院检查发现垂体ACTH、皮质醇、生长激素、甲状腺素及睾酮水平下降,ITT峰值<5ng/L。 如果该患者用重组人生长激素治疗,监测治疗效果的指标是()。
A.骨密度
B.肌力
C.清晨8点血清生长激素
D.IGF-1和IGFBP-3
E.血清瘦素
F.空腹胰岛素
163、单项选择题 闭经妇女,疑有垂体催乳素瘤,CT示蝶鞍可疑。下列哪项检查对确诊最有意义()
A.血生长激素20μg/L
B.泌乳素20μg/L
C.血生长激素10μg/L
D.促卵泡激素10μg/L
E.以上都不是
164、单项选择题 下列有关使用溴隐亭治疗PRL瘤的叙述中,错误的是()。
A.使用溴隐亭治疗的疗效优于手术
B.溴隐亭使血中催乳素水平降至正常
C.溴隐亭不会影响肿瘤的大小
D.溴隐亭应用迄今未发现胎儿畸形,对妊娠影响较小
E.停药后可再现高催乳素血症,故需长期服用
165、单项选择题 下列哪项不是垂体瘤术后的并发症()
A.暂时性尿崩症
B.脑脊液鼻漏
C.腺垂体功能减退
D.糖尿病
E.感染
166、单项选择题 患者男,39岁,因“反复头痛伴视力下降1年加重10d”来诊。近1年来常有头痛,性欲下降,逐渐出现阳痿等症状。实验室检查:血清PRL>1000ng/ml(正常值1.90~25.00ng/ml),TT30.48nmol/L(正常值0.89~2.44nmol/L),TT441.43nmol/L(正常值62.68~150.80nmol/L),TSH1.173μU/ml(正常值0.500~4.940μU/ml),GH0.003ng/ml(正常值0~10ng/ml)。血浆皮质醇<10ng/ml(8AM)。睾酮水平0.56ng/ml(成年男性正常值3.5~8.6ng/ml),鞍区MRI:31mm×19mm×16mm占位,包裹左侧海绵窦2/3以上。 目前最可能的诊断是()。
A.生长激素缺乏
B.颅咽管瘤
C.甲状腺功能减退症伴垂体病理性增生
D.泌乳素侵袭性大腺瘤
E.高泌乳素血症
167、单项选择题 患者:女性,18岁,原发性闭经乳房不发育,近三年来头痛,视力下降,乏力就诊,查身高1.95m,血糖9.3mmoL/L,垂体CT示增大向鞍上发展,诊断:巨人症,垂体生长激素瘤。 最适合的治疗方法()。
A.溴隐亭治疗
B.促性腺激素治疗
C.放射治疗
D.手术治疗
E.降血糖治疗
168、多项选择题 患者男,18岁,因“青春期发育延迟”来诊。既往嗅觉障碍。查体:身高168cm,臂展超过身长,皮肤无色素沉着,无胡须和喉结,无乳腺发育,无腋毛,阴毛少许,睾丸容量约3ml,质软,阴茎长约4cm。B超:左肾缺如。 为明确诊断应进行的检查项目包括()。
A.外周性激素测定
B.垂体MRI
C.促性腺激素测定
D.染色体核型
E.血生化
F.动脉血气分析
169、填空题 催乳素瘤患者血清PRI>_______可肯定诊断。
170、判断题 垂体性侏儒症是指在出生后或儿童期起病,因生长激素缺乏或不敏感而导致生长缓慢。
171、单项选择题 生长激素缺乏性侏儒症的常见病因是()。
A.先天性卵巢发育不全
B.营养不良
C.特发性GHD与器质性GHD
D.肾衰竭
E.心理社会性侏儒
172、单项选择题
男,37岁,视力模糊,部分视野缺失,伴有头痛、恶心数月,MRI检查如图,最可能的诊断为()
A.颅咽管瘤
B.脑膜瘤
C.蛛网膜囊肿
D.垂体瘤
E.表皮样囊肿
173、单项选择题
患者男性,30岁,主诉口渴、多饮、多尿1个月,空腹尿比重偏低。
在用以鉴别完全性与部分性中枢性尿崩症的禁水-加压素联合试验中,下列指标最具鉴别诊断意义的是()
A.禁水后的尿渗透压测量
B.禁水后的尿比重
C.禁水后尿量减少程度
D.注射垂体加压素后尿比重与禁水后最高尿比重增加的百分比
174、判断题 下丘脑是间脑最下部的一对称性结构,构成第三脑室下壁。
175、单项选择题 产后大出血患者引起垂体功能减退症最早的症状是()
A.闭经
B.性欲减退
C.无乳
D.性腺萎缩
E.生育能力丧失
176、单项选择题 下列哪种药物不能用于治疗尿崩症()
A.氢氯噻嗪
B.呋噻米
C.去氨加压素
D.卡马西平
E.氯磺丙脲
177、单项选择题 腺垂体功能减退症危像处理禁用()
A.氯丙嗪
B.氢化可的松
C.保暖
D.高渗葡萄糖
E.甲状腺激素
178、单项选择题 缺乏何种激素时,能引起成人胰岛素敏感性增强和低血糖()。
A.生长激素
B.胰岛素
C.催乳素
D.促甲状腺激素
E.促肾上腺皮质激素
179、单项选择题 成人腺垂体功能减退症最常见的原因是()
A.垂体缺血坏死
B.垂体瘤
C.下丘脑肿瘤
D.蝶鞍区手术
E.蝶鞍区放射治疗
180、单项选择题 患者男,43岁,因“视力下降伴头痛3年加重1周”来诊。近3年来常有头痛症状,全身乏力,食欲不振,逐渐出现阳痿等症状。实验室检查:血清PRL>3000ng/ml(正常值1.90~25.00ng/ml),TT30.35nmol/L(正常值0.89~2.44nmol/L),TT438.43nmol/L(正常值62.68~150.80nmol/L),TSH0.173μU/ml(正常值0.500~4.940μU/ml),GH0.123ng/ml(正常值0~10ng/ml);血浆皮质醇昼夜节律:<10ng/ml(8AM),<10ng/ml(4PM),<10ng/ml(0AM);睾酮0.83ng/ml(成年男性3.5~8.6ng/ml);精液常规:精子质量下降,其中精子A级0,B级0,C级25%,D级75%。鞍区MRI:42mm×29mm×31mm占位,向上压迫视交叉并突入第三脑室,包裹右侧海绵窦2/3以上。 目前最可能的诊断是()。
A.生长激素缺乏
B.垂体泌乳素侵袭性巨大腺瘤
C.甲状腺功能减退症伴垂体病理性增生
D.颅咽管瘤
E.高泌乳素血症
F.勃起功能障碍
181、单项选择题 下列不能用于抢救腺垂体功能减退症引起的垂体危象患者的是()。
A.静推50%葡萄糖
B.静滴氢化可的松
C.小剂量甲状腺素治疗
D.注意保温
E.可用镇静安眠药
182、多项选择题 治疗生长激素瘤的药物包括()。
A.溴隐亭
B.卡麦角林
C.奥曲肽
D.米托坦
E.兰乐肽
183、判断题 氢氯噻嗪可减少尿崩症患者的尿量。
184、多项选择题 患者女,35岁,已婚,因“月经周期不规则伴头痛6个月”来诊。无生育史。实验室检查:血清PRL467.90ng/ml(正常值1.90~25.00ng/ml),TT30.55nmol/L(正常值0.89~2.44nmol/L),TT448.43nmol/L(正常值62.68~150.80nmol/L),TSH1.57μU/ml(正常值0.500~4.940μU/ml),GH0.035ng/ml(正常值0~10ng/ml)。鞍区MRI:鞍内7mm×5mm×3mm延迟强化影。 还需要进一步检查与随访的项目是()。
A.鞍区MRI薄层扫描+动态增强
B.双侧卵巢与乳腺B超
C.性腺功能的评价
D.每2个月复查垂体激素与靶腺激素
E.眼科视野检查与脑神经功能评价
F.每3~6个月复查鞍区MRI
185、单项选择题 患者男,17岁,因“无青春期发育”来诊。查体:身高175cm,臂展超过身长,皮肤无色素沉着,无胡须和喉结,无乳腺发育,无腋毛,阴毛少许,睾丸容量约4ml,质软,阴茎长约4cm。 确诊的检查依据是()。
A.外周性激素和促性腺激素测定
B.HCG兴奋试验
C.垂体MRI
D.左手X线正位片评价骨龄
E.GnRH兴奋试验
186、单项选择题 女性,24岁,1个月来闭经,乳房胀,TRH兴奋试验无明显变化。可能为()
A.早孕
B.甲亢
C.催乳素瘤
D.结核
E.继发闭经
187、填空题 特发性GH缺乏性侏儒症患者,生长速度极为缓慢,即3岁以下低于每年______,3岁至青春期不超过每年________,成年身高一般不超过_________。
188、单项选择题 肢端肥大症筛查和判断疾病活动性的指标是()。
A.IGF-1升高
B.SS升高
C.GnRH升高
D.GHRH升高
E.GH升高
189、单项选择题 者男,30岁,因“烦渴、多饮、多尿2个月”来诊。尿量8000ml/d,禁饮水7h时血浆渗透压305mmol/L,尿量110ml/h,尿渗透压250mmol/L,尿相对密度1.006。皮下注射垂体加压素3mg后,第2小时尿量25ml,尿渗透压480mmol/L,尿相对密度1.012,诊断为完全性中枢性尿崩症。首选的处理是()。
A.限制饮水量
B.去氨加压素(弥凝)治疗
C.鞍区MRI
D.垂体功能检查
E.测定血电解质水平
190、单项选择题 在腺垂体功能减退症的病因中,最常见的是()。
A.垂体瘤
B.空泡蝶鞍
C.垂体卒中
D.下丘脑病变
E.垂体缺血性怀死
191、多项选择题 可有助于生长激素瘤诊断的有()
A.基础血浆GH测定
B.葡萄糖负荷后GH测定
C.IGF-1测定
D.TRH兴奋试验
E.影像学检查
192、单项选择题 垂体微腺瘤是指瘤体直径()。
A.<10mm
B.<16mm
C.<14mm
D.<12mm
E.<18mm
193、单项选择题 下丘脑激素调节腺垂体促激素分泌,是通过()。
A.下丘脑垂体神经束
B.神经递质
C.激素第二信使
D.下丘脑激素代谢产物
E.垂体门脉系统
194、多项选择题 下列关于血管升压素分泌失调综合征的说法,正确的有()
A.部分肺燕麦细胞癌患者有SIADH的表现,但X线检查可以正常
B.将可疑患者每天摄水量限制为0.6~0.81,如在2~3天内体重下降2.3kg,低钠血症与低渗血症被纠正,尿钠排出明显降低,则对SIADH有诊断意义
C.SIADH是否消失可作为肿瘤治疗是否彻底的佐证
D.严重SIADH患者伴有神志错乱、惊厥或昏迷时,可静脉输注3%的高渗氯化钠溶液迅速纠正低钠血症以缓解症状
E.地美环素可以用来治疗SIADH
195、单项选择题 患者女,33岁,因“突发多尿2周”来诊。明显口渴,多饮,每日饮水6~7L。既往体健。初步考虑尿崩症。 下列症状或体征中,与尿崩症无关的是()。
A.周期性麻痹
B.头痛
C.可有精神症状
D.高钠血症
E.乏力
196、单项选择题 目前可明确有遗传引起的GH缺乏性侏儒症,有()。
A.7种
B.6种
C.8种
D.3种
E.4种
197、多项选择题 患者男,26岁,因“头痛、发热、恶心、呕吐3d”来诊。查体:T38.2℃,P100次/min,BP84/60mmHg;热病容,眼窝略凹陷;颈强(±);心、肺、腹部检查无特殊发现。实验室检查:WBC1.3×109/L,N0.73;血清钠123mmol/L,血清氯87mmol/L,BUN13mmol/L,Scr123mmol/L;尿钠87mmol/L,24h尿量700ml。入院第3天经腰椎穿刺CSF检查证实为“流行性脑脊髓膜炎”。 可能与本例患者低钠血症有关的因素(或异常)是()。
A.低张性脱水
B.脑性耗盐综合征
C.低血容量性低钠血症
D.氯化钠摄入不足
E.经胃肠丢失氯化钠过多
F.血浆AVP增多
198、填空题 对鉴别原发性和继发性腺垂体功能减退症具有重要意义的检查是_______。
199、单项选择题 垂体瘤直径达到多大即可压迫鞍隔而引起严重头痛()
A.>0.1cm
B.>0.5cm
C.>1cm
D.>2cm
E.>3mm
200、单项选择题 正常成年人垂体重量为()。
A.0.5~1g
B.3.5~4g
C.2.5~3g
D.1.5~2g
E.4.5~5g
201、单项选择题
关于巨人症不正确的是()
A.常始于幼年
B.身高可达2m或以上
C.骨骺不闭合则可持续长高
D.软组织增生
E.心、肺、肝、肾等不增大
202、单项选择题 患儿男,11岁。因“身材矮小”来诊。父母身高中等。否认家族遗传性疾病史,否认有头颅外伤史及放射治疗史。 诊单纯性GHD需要()。
A.生长曲线有生长缓慢
B.IFG-1水平低
C.生长激素昼夜分泌节律紊乱
D.2项生长激素刺激试验GH降低
E.新生儿黄疸时间延长
203、单项选择题 患者,男,18岁。身高135cm,因身材矮小来诊。体检:形体均匀,智力基本正常。骨龄延迟,相当于10岁。生长激素水平明显增高,诊断为侏儒症,以下哪项治疗是正确的()
A.胰岛素皮下注射
B.口服1,25(OH)D
C.生长激素替代治疗
D.生长激素+雄激素替代治疗
E.IGF-1
204、名词解释 中枢性尿崩症
205、多项选择题 席汉综合征可能有下列哪些临床表现?()
A.内生殖器官萎缩
B.皮肤粘液性水肿
C.产后乳汁缺少或缺如
D.皮肤色素加深
E.胡萝卜素色素沉着
206、填空题 腺垂体功能减退症采用_______治疗能取得满意的效果。
207、多项选择题 患者女,29岁,已婚,结婚4年未孕,因“反复出现月经周期不规则伴头痛2年”来诊。实验室检查:血清PRL257.30ng/ml(正常值1.90~25.00ng/ml),TT30.97nmol/L(正常值0.89~2.44nmol/L),TT498.13nmol/L(正常值62.68~150.80nmol/L),TSH2.57μU/ml(正常值0.500~4.940μU/ml),GH0.035ng/ml(正常值0~10ng/ml)。鞍区MRI:鞍内5mm×6mm×3mm延迟强化影。 结合该病例,下列叙述正确的是()。
A.每年须复查鞍区MRI检查1~2次
B.每2~3个月复查垂体激素与靶腺激素
C.考虑生育,如果多巴胺激动剂不耐受可选择经蝶手术治疗
D.如果发现HCG强阳性,考虑生育,应立即停服溴隐亭,可继续妊娠
E.必须每年眼科视野检查与脑神经功能评价
F.必须每1个月复查鞍区MRI
208、单项选择题 患者女,20岁,因“颅咽管瘤术后闭经伴乏力、嗜睡,食欲减退,怕冷3年,恶心、呕吐3d”来诊。查体:T36.8℃,P50次/min,BP90/55mmHg。实验室检查:FT4、FT3降低,TSH水平为正常参考值的低限,血钠130mmol/L。 该患者最可能的诊断是()。
A.恶性肿瘤晚期
B.严重结核病
C.腺垂体功能减退症危象
D.中毒性肠炎、感染性休克
E.黏液性水肿昏迷
209、单项选择题
女性,40岁,10年前生育一子后闭经,体力差,常因为感染脱水,血压低
预计可能的疾病是()
A.交感性低血糖
B.继发闭经
C.Addison病
D.Sheehan病
E.以上都不是
210、多项选择题 为明确诊断GH缺乏性侏儒症,需做的兴奋试验有()
A.胰岛素低血糖兴奋试验
B.精氨酸兴奋试验
C.左旋多巴兴奋试验
D.可乐定兴奋试验
E.GHRH兴奋试验
211、判断题 垂体性侏儒症智力一般正常。
212、单项选择题
患者男性,30岁,主诉口渴、多饮、多尿1个月,空腹尿比重偏低。
下列药物中哪项不能用于治疗尿崩症?()
A.氯磺丙脲
B.垂体后叶素
C.安妥明
D.双氢克尿塞
E.安体舒通
213、单项选择题 生长激素的检测方法有很多局限性,下列叙述错误的是()。
A.24hGH持续检测法在诊断儿童GH缺乏症的可靠性方面还存在争议
B.24hGH持续检测法在青年健康受试者与垂体功能减退患者中GH的整体水平可发生相互重叠
C.尿GH免疫测定法经体重或肌酐排泄率进行标化后可以作为GHD的确诊指标
D.生长激素激发试验的主要目的是评价生长激素的分泌潜能
E.刺激高峰浓度<10μg/L可以诊断GHD,胰岛素耐量试验是最敏感的
214、单项选择题 患者男,19岁,未婚,大学生,因“发现乳腺发育3~4年”来诊。患者体态偏胖。实验室检查:血清PRL>1000ng/ml(正常值1.90~25.00ng/ml),睾酮1.23ng/ml(成年男性正常值3.50~8.60ng/ml)。鞍区MRI:19mm×12mm×15mm占位。 目前最可能的诊断是()。
A.垂体泌乳素微腺瘤
B.颅咽管瘤
C.甲状腺功能减退伴垂体病理性增生
D.垂体泌乳素大腺瘤
E.高泌乳素血症
215、判断题 腺垂体功能减退治疗过程中应先补给甲状腺激素,然后再补充糖皮质激素。
216、单项选择题 对于肢端肥大症论述,下列不正确的是()。
A.血中生长激素升高
B.典型的外貌
C.血磷值升高
D.继发性高血糖对胰岛素治疗反应良好
E.可伴有甲状腺肿大
217、单项选择题
患者男性,30岁,主诉口渴、多饮、多尿1个月,空腹尿比重偏低。
为确诊此病人有无尿崩症,下列试验首选()
A.禁水试验
B.测每日尿量
C.禁水-加压素联合试验
D.测血浆渗透性
E.测尿渗透压
218、单项选择题 目前已发现的IGF结合蛋白共有()。
A.7种
B.4种
C.8种
D.6种
E.5种
219、单项选择题
生长激素缺乏性侏儒症最常见的原因是()
A.特发性生长激素缺乏性侏儒症
B.遗传性生长激素缺乏性侏儒症
C.颅咽管瘤
D.神经纤维瘤
E.原发性GH不敏感综合征
220、多项选择题 患者男,45岁,半年前因“视物模糊”来诊,检查发现颅咽管瘤,立即行颅咽管瘤手术治疗。但2个月后肿瘤复发,再次入院行γ刀治疗。此次治疗后一直乏力、食欲减退、恶心,并有经常性的发热,没有明确的感染病灶。第3次入院检查发现垂体ACTH、皮质醇、生长激素、甲状腺素及睾酮水平下降,ITT峰值<5ng/L。 在垂体前叶激素替代治疗的前提下,用重组生长激素治疗可能会出现的不良反应包括()。
A.促进肿瘤再次复发
B.发生继发性糖尿病
C.负重关节肿痛
D.乳房增大
E.颅内高压
F.低血糖
221、单项选择题 下列何种表现不是希恩综合征的表现()
A.内生殖器官萎缩
B.皮肤黏液性水肿
C.产后乳汁缺少或缺如
D.皮肤色素加深
E.胡萝卜素色素沉着
222、单项选择题 以下有关垂体瘤放射治疗的阐述,错误的是()。
A.常规放射治疗可缩小肿瘤,减少激素分泌作用
B.对迅速解除对邻近组织结构的压迫症状效果满意
C.随时间迁延,可依次引起GH、Gn、ACTH和TSH缺乏
D.放射剂量<45Gy一般比较安全
E.手术治疗后行放疗更易引起腺垂体功能减退
223、多项选择题 腺垂体功能减退症时最早表现为下列哪些激素缺乏()
A.促性腺激素
B.生长激素
C.催乳素
D.促甲状腺激素
E.促肾上腺皮质激素
224、单项选择题 已婚女性,40岁,10年前生育一子后闭经、体力差,每因感染而脱水,血压偏低,需住院输液治疗,有时需要用糖皮质激素方可恢复,此次情况同前,目前查体:神清合作,心、肺、腹未见异常。 最可能的疾病是()。
A.慢性肝肾疾患
B.继发闭经
C.Addison病
D.Sheehan病
E.卵巢早衰
225、单项选择题 患者,女,38岁。因婚后3年不孕,伴月经稀少、继而闭经3个月就诊。尿妊娠试验阴性。在常规体格检查时,哪一项检查最不可忽略()
A.双下肢是否水肿
B.扁桃体是否肿大
C.挤压双侧乳房是否有乳汁溢出
D.面肌叩击试验
E.皮肤划痕试验
226、单项选择题 一般诊断明确的Sheehan综合征患者,最先给予的治疗药物是()
A.左旋甲状腺素
B.甲状腺片
C.氢化可的松
D.妊马雌酮
E.甲羟孕酮
227、填空题 诊断Sheehan综合征的重要临床线索是产后______、______。
228、单项选择题 下列哪种是类固醇激素()
A.催乳素
B.胰岛素
C.甲状腺激素
D.降钙素
E.雌二醇
229、单项选择题 患者女,28岁,已婚,因“月经周期不规律,反复出现闭经伴不孕4~5年”来诊。患者长期就诊于妇产科生殖医学门诊。查体:体态丰满,BMI:31kg/m2,颈后皮肤颜色较深,体毛比同龄同性别稍多。实验室检查:血清PRL67.32ng/ml(正常值1.90~25.00ng/ml),睾酮1.35ng/ml(成年女性正常值≤0.6ng/ml),空腹血浆胰岛素32.93μU/ml(正常值0.00~17.50μU/ml)。鞍区MRI薄层扫描:垂体稍饱满。 欲进一步明确病因诊断,最重要的检查是()。
A.双侧卵巢B超
B.性腺功能评价
C.甲状腺功能检查
D.鞍区CT平扫
E.鞍区MRI薄层扫描+动态增强
230、单项选择题 继发性尿崩症最常见的病因是()。
A.下丘脑-神经垂体部位的肿瘤
B.头部创伤
C.脑部感染性疾病
D.脑血管病变
E.朗格汉斯细胞(Langerhanscell)增生
231、单项选择题 患者男,35岁,因“口渴、多饮、多尿1个月”来诊。空腹尿相对密度偏低。 在用以鉴别完全性与部分性中枢性尿崩症的禁水-加压素联合试验中,下列指标最具鉴别诊断意义的是()。
A.禁水后的尿渗透压测定
B.禁水后的尿相对密度
C.禁水后尿量减少程度
D.注射垂体加压素后尿相对密度比禁水后最高尿相对密度增加的百分率
E.注射垂体加压素后尿渗透压升高超过9%
232、单项选择题 哪种疾病不是腺垂体的疾病()
A.巨人症
B.肢端肥大症
C.尿崩症
D.高泌乳素血症
E.催乳素瘤
233、单项选择题 患者男,57岁,因“视力下降伴头痛加重1周”来诊。患者已确诊垂体侵袭性泌乳素瘤8年,分别进行经蝶手术2次与开颅手术1次,术后每年鞍区MRI复查随访1次,多次复查血清泌乳素均未降至正常(>300ng/ml)。常头痛,全身乏力,食欲不振,逐渐出现阳痿等症状。既往服溴隐亭15mg/d治疗1年,血清泌乳素下降不明显。实验室检查:血清PRL>1000ng/ml(正常值1.90~25.00ng/ml),TT30.51nmol/L(正常值0.89~2.44nmol/L),TT458.43nmol/L(正常值62.68~150.80nmol/L),TSH0.173μU/ml(正常值0.500~4.940μU/ml),GH0.003ng/ml(正常值0~10ng/ml),血浆皮质醇<10ng/ml(8AM),睾酮0.93ng/ml(成年男性正常值3.50~8.60ng/ml)。 结合该病例,可尝试用的治疗措施是()。
A.生长抑素受体的新人工合成配体
B.视黄酸受体与PPAR-γ配体
C.针对雌激素与雌激素受体的药物治疗
D.细胞毒药物替莫唑胺(temozolomidE.试验性治疗
E.分子病因学治疗
F.褪黑素及其他治疗
234、单项选择题 有关肢端肥大症的描述,下列哪项不正确()
A.既有生长激素分泌增加,又可有促性腺激素、促甲状腺激素、促肾上腺皮质激素分泌不足
B.可伴有催乳素分泌增加
C.葡萄糖负荷后可呈糖耐量减低或糖尿病曲线
D.常见的原因是垂体瘤,且多数系微腺瘤,用药物治疗效果好
E.可有1,25(OH)D3水平增加,引起肠道钙吸收增加和尿结石增加
235、多项选择题 患者女,42岁,已婚,工人,因“视力下降1周伴剧烈头痛、恶心、呕吐1h”急诊入院。无生育史。5年前鞍区MRI扫描示鞍内39mm×15mm×11mm占位。既往不规律间断服溴隐亭治疗约6个月。已超过2年未到医院复查与治疗。 患者目前的诊断可能为()。
A.垂体瘤卒中
B.颅内压增高
C.急性胆囊炎
D.腺垂体功能减退伴垂体危象
E.急性胰腺炎
F.脑膜炎
236、判断题 垂体瘤根据肿瘤大小可分为微腺瘤、大腺瘤和巨大腺瘤。
237、单项选择题 垂体泌乳素瘤的叙述,下列不正确的是()。
A.泌乳素瘤占垂体瘤的1/3以上
B.男女均可发病
C.女性泌乳素瘤患者有闭经泌乳症状
D.血清PRL>200μg/L
E.常有视神经交叉压迫症状
238、单项选择题 患者,男性,28岁,一年前因行颅咽管手术后出现疲乏无力,食欲不振,头晕,性功能减退。三天前感冒后出现高热40.2℃,恶心、呕吐,神志不清,血压:80/60mmHg,血糖2.5mmol/L,未引出病理征。 此时患者应首先进行的治疗是()。
A.给予升压药
B.抗生素治疗
C.抗惊厥药
D.静推50%葡萄糖
E.补充靶激素
239、填空题 催乳素瘤常见的临床表现,女性为_____、_____;男性为____、____。
240、单项选择题 患者女,33岁,因“突发多尿2周”来诊。明显口渴,多饮,每日饮水6~7L。既往体健。初步考虑尿崩症。 初诊时筛查,应该首选的检查是()。
A.测定血钠浓度
B.测定尿相对密度
C.测定血浆渗透压
D.测定尿渗透压
E.测定血浆AVP水平
241、问答题 腺垂体功能减退症如何检查?
242、单项选择题 GH缺乏性侏儒症最常继发于()。
A.垂体瘤
B.脑膜炎
C.空泡蝶鞍
D.鼻咽癌放疗后
E.颅咽管瘤
243、单项选择题
患者,男性。28岁.头颅为高空坠物砸伤昏迷.手术治疗后患者清醒.但患者出现尿量增多.每日达8000~10000ml,尿比重1.002,烦渴,每日饮水约5000ml。
患者可能存在()
A.糖尿病
B.中枢性尿崩症
C.精神性多饮
D.急性肾衰竭
E.肾性尿崩症
244、单项选择题 患者:女性,25岁,3个月来闭经,乳房胀,TRH兴奋实验无明显变化。 下面哪项催乳素检查结果可帮助确诊()。
A.150μg/L
B.200μg/L
C.250μg/L
D.300μg/L
E.350μg/L
245、多项选择题 患者女,33岁,因“产后无乳、闭经、性欲减退,伴乏力、嗜睡、食欲减退、体位性头晕6年”来诊。患者6年前分娩时有大出血史。查体:P58次/min,BP92/64mmHg;毛发稀疏,双乳房萎缩。 为进一步判断腺垂体储备功能,可行的功能试验是()。
A.TSH兴奋试验
B.胰岛素耐受性试验
C.CRH兴奋试验
D.LHRH兴奋试验
E.TRH兴奋试验
F.小剂量地塞米松抑制试验
246、单项选择题 垂体瘤中最常见的是()。
A.生长激素瘤
B.促肾上腺皮质激素瘤
C.催乳素瘤
D.促性腺激素瘤
E.无功能瘤
247、多项选择题 关于多尿,正确的是()
A.假如禁水试验正常就是精神性的
B.对ADH有反应的尿崩症是垂体性的
C.对ADH无反应的尿崩症是肾性的
D.糖尿病性多尿是由于尿糖导致渗透性利尿
E.原醛症的多尿是因为AT-Ⅱ浓度降低所致
248、单项选择题 患者女,47岁,因“左胸痛8个月,加重伴发作性恶心、呕吐2个月”来诊。吸烟史20余年。查体:BP100/70mmHg;慢性病面容,反应迟钝,无其他特殊发现。实验室检查:血清钠115mmol/L,血清氯80mmol/L,BUN1.7mmol/L,尿钠72mmol/L,24h尿量1100ml,血渗透压245mmol/kg,尿渗透压310mmol/kg。给予1000ml水负荷后,5h排尿量<500ml(<50%),期间血浆渗透压(Posm)由试验前242mmol/kg降至5h的226mmol/kg,尿渗透压(Uosm)由380mmol/kg(试验前)降至最低225mmol/kg(负荷后3h),空腹血浆AVP60ng/L[正常值(13.4±9.6)ng/L]。胸部X线片:左肺门分叶状肿物,左下肺有片状阴影。2次查痰癌细胞均为小细胞未分化肺癌。纤维支气管镜:活检病理为小细胞未分化肺癌。 本例患者,最支持诊断的改变是()。
A.血清钠低,尿钠反常性增多
B.血渗透压低,尿渗透压反常性高
C.血浆BUN水平低
D.水负荷排出障碍
E.水负荷后虽Posm明显下降,但Uosm仍明显>100mmol/kg
249、单项选择题 关于禁水试验,错误的是()。
A.禁水期间每2小时排尿一次
B.禁水期间每1小时测体重血压
C.禁水前测体重血压、尿量、尿比重
D.禁水时间8~12小时
E.禁水时间12~24小时
250、问答题 简述应与GH缺乏性侏儒症相鉴别的主要疾病?
251、单项选择题 患者因库欣病行垂体腺瘤切除术后1年,定期随访疾病是否复发,需要定期随访疗效的指标是()
A.131I吸收率
B.T3、T4水平
C.尿17羟、尿17酮水平
D.全天血糖监测
E.血浆皮质醇节律
252、配伍题 腺垂体缺血性坏死()儿童期下丘脑-腺垂体功能减退引起()儿童期腺垂体分泌生长激素过多引起()成人期腺垂体分泌生长激素过多()下丘脑-神经垂体功能减退引起()
A.巨人症
B.肢端肥大症
C.垂体性侏儒
D.希恩综合征
E.尿崩症
253、单项选择题 患者男,39岁,因“反复头痛伴视力下降1年加重10d”来诊。近1年来常有头痛,性欲下降,逐渐出现阳痿等症状。实验室检查:血清PRL>1000ng/ml(正常值1.90~25.00ng/ml),TT30.48nmol/L(正常值0.89~2.44nmol/L),TT441.43nmol/L(正常值62.68~150.80nmol/L),TSH1.173μU/ml(正常值0.500~4.940μU/ml),GH0.003ng/ml(正常值0~10ng/ml)。血浆皮质醇<10ng/ml(8AM)。睾酮水平0.56ng/ml(成年男性正常值3.5~8.6ng/ml),鞍区MRI:31mm×19mm×16mm占位,包裹左侧海绵窦2/3以上。 还需要进一步检查的首选项目是()。
A.双侧睾丸与前列腺B超
B.性腺功能评价
C.眼科视野检查与脑神经功能评价
D.鞍区CT平扫
E.鞍区MRI薄层扫描+动态增强
254、问答题 试述血管升压素分泌失调综合征的鉴别诊断。
255、单项选择题 患者男,16岁,身高202cm,面部粗糙,手脚肥大,无第二性征发育,垂体发现一腺瘤。 患者无第二性征发育是因为()。
A.促性腺激素分泌减少或缺乏
B.GH使GnRH作用减弱
C.GH使促性腺激素的作用减弱
D.甲状腺激素异常
E.染色体异常
256、多项选择题 下列关于生长激素缺乏性侏儒症的说法正确的有()
A.躯体生长迟缓,成年身高一般不超过130cm
B.成年后多保持童年体形和外貌,常有营养不良的表现
C.成年后常有性器官不发育或第二性征缺乏
D.智力多无异常,但常有心理精神方面的障碍
E.X线摄片可见骨龄幼稚,骨化中心发育迟缓,骨骺久不融合
257、单项选择题 常服用多潘立酮(吗丁啉)等药物治疗。实验室检查:血清PRL46.90ng/ml(正常值1.90~25.00ng/ml),TT31.35nmol/L(正常值0.89~2.44nmol/L),TT498.43nmol/L(正常值62.68~150.80nmol/L),TSH2.57μU/ml(正常值0.50~4.94μU/ml),GH0.785ng/ml(正常值0~10ng/ml)。鞍区MRI:饱满,强化欠均匀。 目前最可能的诊断是()。
A.生长激素缺乏
B.颅咽管瘤
C.甲状腺功能减退症伴垂体病理性增生
D.垂体泌乳素微腺瘤
E.高泌乳素血症
258、单项选择题
患者,男性。28岁.头颅为高空坠物砸伤昏迷.手术治疗后患者清醒.但患者出现尿量增多.每日达8000~10000ml,尿比重1.002,烦渴,每日饮水约5000ml。
该症的治疗为()
A.胰岛素
B.透析治疗
C.DDAVP肌注
D.限制每日饮水量小于1000ml
E.脱水剂
259、单项选择题 患者女,20岁,因“颅咽管瘤术后闭经伴乏力、嗜睡,食欲减退,怕冷3年,恶心、呕吐3d”来诊。查体:T36.8℃,P50次/min,BP90/55mmHg。实验室检查:FT4、FT3降低,TSH水平为正常参考值的低限,血钠130mmol/L。 下列处理错误的一项是()。
A.补充0.9%氯化钠溶液
B.血皮质醇测定
C.甲状腺功能减退诊断明确,立即补充甲状腺激素
D.予以高热量、高维生素食物
E.先补充肾上腺皮质激素
260、单项选择题 男性,14岁。严重口干,多饮、多尿伴遗尿2个月就诊。体检:身高132cm,体重26kg。 应用加压素进行深部肌内注射过程中,应警惕下列情况的出现()。
A.切勿过量引起水中毒
B.内脏血管收缩及平滑肌收缩引起腹痛
C.高血压
D.肝损害
E.白细胞减少
261、单项选择题 患者男,39岁,因“反复头痛伴视力下降1年加重10d”来诊。近1年来常有头痛,性欲下降,逐渐出现阳痿等症状。实验室检查:血清PRL>1000ng/ml(正常值1.90~25.00ng/ml),TT30.48nmol/L(正常值0.89~2.44nmol/L),TT441.43nmol/L(正常值62.68~150.80nmol/L),TSH1.173μU/ml(正常值0.500~4.940μU/ml),GH0.003ng/ml(正常值0~10ng/ml)。血浆皮质醇<10ng/ml(8AM)。睾酮水平0.56ng/ml(成年男性正常值3.5~8.6ng/ml),鞍区MRI:31mm×19mm×16mm占位,包裹左侧海绵窦2/3以上。 首选处理措施是()。
A.经蝶窦微创手术治疗
B.γ刀立体定向外科治疗
C.多巴胺激动剂治疗
D.定期随访复查血清PRL与鞍区MRI
E.生长激素替代治疗
262、单项选择题 为确诊此患者有无尿崩症,下列试验首选()
A.测量24小时尿量
B.测血浆渗透压
C.测尿渗透压
D.禁水-加压素试验
E.禁水试验
263、多项选择题 患者男,18岁,因“青春期发育延迟”来诊。既往嗅觉障碍。查体:身高168cm,臂展超过身长,皮肤无色素沉着,无胡须和喉结,无乳腺发育,无腋毛,阴毛少许,睾丸容量约3ml,质软,阴茎长约4cm。B超:左肾缺如。 患者LH水平显著低于正常,如为诊断和治疗提供依据,应考虑进行的检查是()。
A.超声心动图
B.HCG兴奋试验
C.GnRH兴奋试验
D.其他垂体激素测定
E.精液常规
F.心脏MRI
264、单项选择题 患者,男性,28岁,一年前因行颅咽管手术后出现疲乏无力,食欲不振,头晕,性功能减退。三天前感冒后出现高热40.2℃,恶心、呕吐,神志不清,血压:80/60mmHg,血糖2.5mmol/L,未引出病理征。 最可能的诊断是什么()。
A.颅咽管瘤手术后复发
B.感染性休克
C.低血糖休克
D.垂体危象
E.脑出血
265、问答题 在治疗生长激素缺乏性侏儒症时生长激素如何使用?
266、单项选择题 垂体瘤放射治疗的安全剂量是()。
A.35~80Gy
B.<45Gy
C.35~100Gy
D.<100Gy
E.50~100Gy
267、单项选择题 垂体功能减退症替代治疗中首先应使用的是()。
A.TSH
B.ACTH
C.性激素,女性则行人工周期
D.甲状腺素
E.肾上腺皮质激素
268、单项选择题 患者女,33岁,因“突发多尿2周”来诊。明显口渴,多饮,每日饮水6~7L。既往体健。初步考虑尿崩症。 为了鉴别中枢性尿崩症和肾性尿崩症,应选择的检查是()。
A.水利尿试验
B.高钠试验
C.低钠试验
D.禁水-加压素试验
E.血、尿渗透压联合测定
269、单项选择题
十二岁男孩,初生时正常,智力良好,家庭环境尚好,家长发现自幼生长慢于其他儿童.最近与同班同学相比差异更大。查体:身高110cm。体重20kg,心、肺、腹(-),双睾丸较同龄人小,声音细脆
预计这种异常最可能的疾病是()
A.甲状腺功能减退症
B.21羟化酶缺乏症
C.性腺发育障碍
D.垂体性侏儒症
E.青春期延迟
270、多项选择题 下列符合Sheehan综合征的表现和实验室检查有()
A.血中T,T下降
B.血皮质醇下降
C.视野狭窄
D.闭经、腋毛、阴毛脱落
E.常有产后大出血史
271、多项选择题 下列关于巨人症的说法正确的是()
A.常始于幼年
B.若缺乏促性腺激素,性腺不发育,骨骺不闭合,生长激素可持续加速长高
C.可表现为面部粗糙,手脚增厚增大,心肺、内脏增大
D.若原有糖尿病可自然缓解
E.升高的GH水平可为糖负荷所抑制
272、单项选择题 低促性腺激素性腺功能减退症的实验室检查结果不包括()。
A.血LH、FSH水平低于正常
B.HCG激发试验后血睾酮水平可>1ng/ml
C.GnRH激发试验显示可激发
D.血睾酮水平低于正常
E.染色体核型为47,XXY
273、单项选择题 患者:女性,25岁,3个月来闭经,乳房胀,TRH兴奋实验无明显变化。 最可能的诊断是()。
A.早孕
B.甲亢
C.泌乳素瘤
D.结核
E.继发性闭经
274、单项选择题 就细胞内外水的分布而言,有效溶质不包括()。
A.钠离子
B.氯离子
C.尿素
D.钙离子
E.葡萄糖
275、单项选择题 诊断GH缺乏性侏儒症时,身高的年均生长率应小于()。
A.5cm
B.6cm
C.4cm
D.3cm
E.2cm
276、多项选择题 患者男,26岁,因“头痛、发热、恶心、呕吐3d”来诊。查体:T38.2℃,P100次/min,BP84/60mmHg;热病容,眼窝略凹陷;颈强(±);心、肺、腹部检查无特殊发现。实验室检查:WBC1.3×109/L,N0.73;血清钠123mmol/L,血清氯87mmol/L,BUN13mmol/L,Scr123mmol/L;尿钠87mmol/L,24h尿量700ml。入院第3天经腰椎穿刺CSF检查证实为“流行性脑脊髓膜炎”。 不支持患者合并SIADH的是()。
A.低钠血症
B.尿钠浓度相对高
C.血BUN、Scr高
D.输入等张氯化钠溶液后血钠不升高
E.输入等张氯化钠溶液后血钠明显升高
F.低血容量,低血压
277、单项选择题 患者,男,45岁。因自己发现双侧乳房增大就诊。医生询问病史发现其性欲降低约3年余,近2年出现性功能下降、阳痿。为了明确诊断,该医师给患者做了有关检查,但该医师少做了一项检查,而使疾病未得到明确诊断,你认为该医师未做的检查最有可能是下列哪一项()
A.血浆ACTH水平
B.血浆PRL水平
C.血浆胰岛素水平
D.血浆PTH水平
E.血浆肾素-血管紧张素-醛固酮水平测定
278、多项选择题 患者男,43岁,因“视力下降伴头痛3年加重1周”来诊。近3年来常有头痛症状,全身乏力,食欲不振,逐渐出现阳痿等症状。实验室检查:血清PRL>3000ng/ml(正常值1.90~25.00ng/ml),TT30.35nmol/L(正常值0.89~2.44nmol/L),TT438.43nmol/L(正常值62.68~150.80nmol/L),TSH0.173μU/ml(正常值0.500~4.940μU/ml),GH0.123ng/ml(正常值0~10ng/ml);血浆皮质醇昼夜节律:<10ng/ml(8AM),<10ng/ml(4PM),<10ng/ml(0AM);睾酮0.83ng/ml(成年男性3.5~8.6ng/ml);精液常规:精子质量下降,其中精子A级0,B级0,C级25%,D级75%。鞍区MRI:42mm×29mm×31mm占位,向上压迫视交叉并突入第三脑室,包裹右侧海绵窦2/3以上。 若上述处理措施效果差,进一步综合治疗可选择()。
A.经蝶窦微创手术治疗
B.γ刀立体定向外科治疗
C.性激素替代治疗
D.糖皮质激素与甲状腺素替代治疗
E.多巴胺激动剂卡麦角林治疗
F.开颅手术治疗
279、单项选择题 腺垂体功能减退症患者的实验室检查结果不会出现()。
A.雌二醇水平降低
B.FSH、LH、TSH、ACTH、GH、PRL均减少
C.24h尿17-羟皮质类固醇及游离皮质醇水平降低
D.血浆皮质醇水平降低,节律消失
E.血清总T4、游离T4均降低,总T3、游离T正常
280、单项选择题 患者男,16岁,身高202cm,面部粗糙,手脚肥大,无第二性征发育,垂体发现一腺瘤。 进一步确诊需行的检查是()。
A.随机GH与葡萄糖负荷后GH
B.骨关节X线片
C.性激素
D.ITT试验
E.PRL
281、单项选择题 垂体疾病所致甲减鉴别试验是()
A.血清TSH
B.血清FT3
C.血清FT4<
D.TT3<
E.TT4<
282、多项选择题 患者男,57岁,因“视力下降伴头痛加重1周”来诊。患者已确诊垂体侵袭性泌乳素瘤8年,分别进行经蝶手术2次与开颅手术1次,术后每年鞍区MRI复查随访1次,多次复查血清泌乳素均未降至正常(>300ng/ml)。常头痛,全身乏力,食欲不振,逐渐出现阳痿等症状。既往服溴隐亭15mg/d治疗1年,血清泌乳素下降不明显。实验室检查:血清PRL>1000ng/ml(正常值1.90~25.00ng/ml),TT30.51nmol/L(正常值0.89~2.44nmol/L),TT458.43nmol/L(正常值62.68~150.80nmol/L),TSH0.173μU/ml(正常值0.500~4.940μU/ml),GH0.003ng/ml(正常值0~10ng/ml),血浆皮质醇<10ng/ml(8AM),睾酮0.93ng/ml(成年男性正常值3.50~8.60ng/ml)。 为明确诊断,安全可行的检查是(提示:若患者尿钠67mmol/L,痰检3次,2次报告为小细胞未分化癌。)()。
A.水负荷试验
B.测定血浆AVP
C.水负荷试验测血浆AVP
D.水负荷试验测尿钠浓度
E.纤维支气管镜活检
F.检测尿渗透压
283、单项选择题 患者:女性,30岁,4年前分娩时失血过多,伴晕厥、产后无乳。闭经两年多、怕冷,经常头晕、心慌,身体瘦弱,毛发稀,双乳房萎缩。血压:90/60mmHg,血雌二醇、皮质醇降低,B超显示子宫体积缩小。 最可能的诊断是()。
A.神经性厌食症
B.原发性腺功能减退
C.希恩综合征
D.甲状腺功能减退
E.Schmidt综合征
284、单项选择题 患者:男性,20岁,因隐睾就诊,出生时正常,智力正常,初中毕业,因身材矮小(身高1.25m),常有自卑感,不和群。查:营养一般,皮肤细腻,无胡须,肝脾未及;血压:100/70mmHg,心率:78次/分钟。 若GH测不出,经兴奋实验GH<5μg/L,则该患者骨骼X片可见()。
A.骨骺过早愈合
B.骨龄大于实际年龄
C.长骨短小,短骨增宽
D.骨龄小于实际年龄
E.骨质疏松
285、问答题 简述肢端肥大症对血糖、血脂代谢的影响?
286、单项选择题
男性,20岁,半年前车祸,头部受伤昏迷。近3个月来,多尿,多饮,每日尿量超过6000ml16.
患者有效的治疗方案为()
A.胰岛素
B.去氨加压素
C.保肝治疗
D.保肾治疗
E.抗甲状腺治疗
287、判断题 垂体是联系神经系统和内分泌系统的枢纽,也受中枢神经系统其他各部位的调控。
288、多项选择题 患者男,18岁,因“青春期发育延迟”来诊。既往嗅觉障碍。查体:身高168cm,臂展超过身长,皮肤无色素沉着,无胡须和喉结,无乳腺发育,无腋毛,阴毛少许,睾丸容量约3ml,质软,阴茎长约4cm。B超:左肾缺如。 目前应主要考虑的疾病有()。
A.低促性腺激素性腺功能减退症
B.先天性肾上腺皮质增生症
C.Kallmann综合征
D.左肾缺如
E.Turner综合征
F.Kelinefelter综合征
289、单项选择题 患儿男,11岁。因“身材矮小”来诊。父母身高中等。否认家族遗传性疾病史,否认有头颅外伤史及放射治疗史。 特发性矮小是指()。
A.找不到原因的GHD缺乏
B.比同龄人身高低1.5SD
C.先天性营养不良
D.佝偻病
E.排除先天性、营养、代谢与内分泌原因后,身高比同性别、同年龄儿童平均身高小2SD
290、单项选择题 患者:女性,30岁,4年前分娩时失血过多,伴晕厥、产后无乳。闭经两年多、怕冷,经常头晕、心慌,身体瘦弱,毛发稀,双乳房萎缩。血压:90/60mmHg,血雌二醇、皮质醇降低,B超显示子宫体积缩小。 为纠正腺体功能低下,首选哪种治疗方法()。
A.补充促激素刺激靶腺
B.用促激素释放激素
C.靶腺激素替代
D.补充营养改善全身状况
E.补充靶腺激素代谢物
291、多项选择题 儿童生长激素缺乏性侏儒症,用生长激素治疗的目标包括()。
A.使儿童身高达到正常
B.使儿童尽早发育
C.调节儿童的代谢与人体组成成分
D.增强儿童的自信心
E.诊断性治疗
292、单项选择题 治疗催乳素瘤首选的方法是()
A.手术治疗
B.放射治疗
C.药物治疗
D.替代治疗
E.手术+放射治疗
293、单项选择题 下列关于催乳素瘤,正确的是()。
A.催乳素瘤应首选药物治疗
B.催乳素瘤应首选手术治疗
C.催乳素瘤的药物治疗效果欠佳
D.大多数催乳素微腺瘤可发展成为大腺瘤
E.术后复发率较高
294、单项选择题 下列不是腺垂体功能减退症病因的是()。
A.垂体瘤
B.垂体缺血坏死
C.蝶鞍区手术、放疗和创伤
D.下丘脑病变
E.脑动脉硬化
295、单项选择题 下述药物,均可用于部分性尿崩症治疗,除外()。
A.氯贝丁酯
B.氯磺丙脲
C.卡马西平
D.氢氯噻嗪
E.螺内酯
296、多项选择题 患者男,43岁,因“视力下降伴头痛3年加重1周”来诊。近3年来常有头痛症状,全身乏力,食欲不振,逐渐出现阳痿等症状。实验室检查:血清PRL>3000ng/ml(正常值1.90~25.00ng/ml),TT30.35nmol/L(正常值0.89~2.44nmol/L),TT438.43nmol/L(正常值62.68~150.80nmol/L),TSH0.173μU/ml(正常值0.500~4.940μU/ml),GH0.123ng/ml(正常值0~10ng/ml);血浆皮质醇昼夜节律:<10ng/ml(8AM),<10ng/ml(4PM),<10ng/ml(0AM);睾酮0.83ng/ml(成年男性3.5~8.6ng/ml);精液常规:精子质量下降,其中精子A级0,B级0,C级25%,D级75%。鞍区MRI:42mm×29mm×31mm占位,向上压迫视交叉并突入第三脑室,包裹右侧海绵窦2/3以上。 首选处理措施是()。
A.经蝶窦微创手术治疗
B.γ刀立体定向外科治疗
C.多巴胺激动剂溴隐亭治疗
D.定期随访复查血清PRL与鞍区MRI
E.生长激素替代治疗
F.糖皮质激素与甲状腺素替代治疗
297、配伍题 促甲状腺激素瘤()催乳素瘤()促性腺激素瘤()
A.GH
B.β-MSH
C.糖蛋白激素的α亚单位
D.PRL
E.TSH
298、单项选择题
患者,男性。28岁.头颅为高空坠物砸伤昏迷.手术治疗后患者清醒.但患者出现尿量增多.每日达8000~10000ml,尿比重1.002,烦渴,每日饮水约5000ml。
为明确诊断行下列何种检查()
A.OGTT
B.禁水加压试验
C.头颅CT
D.肾穿刺
E.双肾CT
299、单项选择题 女性,28岁,已婚。1年来月经稀发,不孕,就诊时闭经2个月。尿妊娠试验(-),B超显示子宫、双侧卵巢均无异常。 经测定发现:泌乳素(PRL)3.08mmol/L(77ng/ml),在诊断垂体PRL微腺瘤之前,必须除外()。
A.甲状腺功能亢进
B.糖尿病
C.原发性甲状腺功能减退
D.垂体功能减退
E.嗜铬细胞瘤
300、名词解释 腺垂体功能减退症