时间:2022-08-10 02:28:12


1、单项选择题 下丘脑与哪种功能有关()
A.瞳孔
B.膀胱及肛门括约肌
C.内脏
D.糖、水、盐、脂肪代谢和体温、睡眠、呼吸、血压调节
E.记忆
2、填空题 自主神经中枢部分包括__________、__________、__________、__________。
3、多项选择题 有关红斑肢痛症错误的是()
A.多见于中青年男女
B.症状以肢端,尤双足最常见
C.无剧烈疼痛
D.因为没有局部感染,所以没有红、肿、热、痛症状
E.皮肤发红、皮温增高、血管扩张、轻度肿胀、多汗
4、填空题 丘脑有自主神经代表区,前区为:__________,后区为__________。
5、填空题 神经源性体位性低血压,卧位时血压__________,站立时血压下降__________。
6、单项选择题 多系统萎缩通常包括的3个疾病是()
A.纹状体-黑质变性、散发性橄榄脑桥小脑萎缩、Shy-Drager综合征
B.Alzheimer病、帕金森病、Shy-Drager综合征
C.Alzheimer病、散发性橄榄脑桥小脑萎缩、Shy-Drager综合征
D.Alzheimer病、帕金森病、纹状体-黑质变性
E.纹状体-黑质变性、Alzheimer病、Shy-Drager综合征
7、单项选择题 下列哪项不是交感神经系统的作用()
A.瞳孔散大
B.血压升高
C.呼吸加快
D.支气管平滑肌痉挛
E.胃肠蠕动和分泌抑制
8、单项选择题 直立性低血压的最有效治疗是()
A.紧身衣裤
B.美芬丁胺(恢压敏)
C.食盐疗法
D.头高位平卧加食盐疗法
E.米多君加食盐疗法
9、单项选择题 岛叶与哪种功能有关()
A.瞳孔
B.膀胱及肛门括约肌
C.内脏活动
D.糖、水、盐、脂肪代谢和体温、睡眠、呼吸、血压调节
E.记忆
10、填空题 Shy-Drager综合征早期对体姿的调整包括__________,__________,__________。
11、单项选择题 以下最符合Shy-Drager综合征的临床诊断依据是()
A.皮肤划痕试验消失、小脑共济失调、帕金森病症状
B.小脑共济失调、帕金森病症状
C.锥体束损害征、小脑共济失调、帕金森病症状
D.直立性低血压、小脑共济失调、帕金森病症状
E.直立性低血压、自主神经功能失调症状
12、多项选择题 不属于自主神经系统疾病的有()
A.雷诺病
B.不安腿综合征
C.红斑肢痛症
D.偏侧萎缩症
E.发作性睡病
13、配伍题 以阵发性出现四肢肢端对称性疼痛性间歇发白、潮红与发绀为特征的疾病是()肢端出现阵发性红、肿、热、痛症状,并有受热时疼痛加剧,局部冷敷可使症状减轻的疾病是()起身站立或久站后反复发生晕厥,直立位收缩压下降达40mmHg以上的疾病是()
A.雷诺病
B.血栓闭塞性动脉炎
C.Shy—Drager综合征
D.红斑肢痛症
E.遗传性冷指症
14、单项选择题 雷诺病预防发作应()
A.注意保暖,防止肢体受凉
B.使用妥拉苏林等扩血管药物
C.使用尼莫地平等钙离子拮抗剂
D.使用利血平等儿茶酚胺耗竭剂
E.使用复方丹参注射液
15、单项选择题 雷诺病发作特点是()
A.双侧对称性以手指为主
B.不对称地发生于下肢
C.不能自行缓解
D.多见于男性
E.肢端出现阵发性红、肿、热、痛
16、单项选择题 旁中央小叶与哪种功能有关()
A.瞳孔
B.膀胱及肛门括约肌
C.内脏
D.体温、睡眠、呼吸、血压调节
E.记忆
17、多项选择题 Shy-Drager综合征的诊断()
A.起身站立或久站后反复发生晕厥
B.测量卧立位血压时,直立位收缩压可下降40mmHg以上,并出现临床症状
C.无其他引起血压降低的原因
D.伴有阳痿、无汗及膀胱直肠功能障碍,或出现锥体外系功能损害
E.头颅MRI有助鉴别
18、单项选择题 副交感神经的作用是()
A.心率加快
B.内脏及皮肤血管收缩
C.膀胱与直肠收缩促进排泄
D.血糖升高
E.机体消耗增加
19、多项选择题 有关Shy-Drager综合征正确的是()
A.起病隐袭,大多病程进展缓慢
B.一般无心率改变和晕厥常见的先兆症状
C.测量卧立位血压时,直立位收缩压可下降20~40mmHg或更多
D.可有其他自主神经功能损害
E.是一种多见的特发性多系统变性病
20、填空题 自主神经系统支配和调节肌体各__________、__________、__________和__________的活动和分泌。
21、配伍题 雷诺病的治疗可选择()关于红斑肢痛症的治疗方法中不可选的是()
A.钙离子拮抗剂
B.局部冷敷
C.卧床休息
D.抬高患肢
E.肾上腺皮质激素
22、多项选择题 雷诺病的预防发作措施为()
A.注意保暖,防止受凉
B.药物治疗
C.戒烟
D.避免情绪激动
E.清淡饮食
23、问答题 简述交感神经系统的功能及兴奋时的临床表现。
24、名词解释 Parasympathetic nervous system
25、单项选择题 副交感神经系统下列哪项正确()
A.使器官活动增强,机体耗能增加
B.支气管扩张
C.呼吸加快
D.与交感神经起拮抗作用
E.与交感神经起协同作用
26、填空题 Shy-Drager综合征患者,检查发现皮肤划痕试验__________,Valsalva动作试验在正常人出现血压__________、心率__________,Shy-Drager综合征患者无反应。
27、填空题 雷诺病表现为__________、__________、__________。
28、名词解释 红斑肢痛症(erythromelalgia)
29、填空题 Shy-Drager综合征的药物治疗包括__________,__________,__________,__________。
30、单项选择题 关于交感神经系统,错误的是()
A.脉搏减慢,血压降低
B.瞳孔扩大
C.心跳加快,血压升高
D.呼吸加快
E.脉搏加快,血压升高
31、问答题 雷诺病如何防治?
32、填空题 红斑肢痛症患者检查时可发现__________、__________、__________、__________、__________。
33、填空题 雷诺病缺血期持续__________、缺氧期持续__________。
34、问答题 简述Shy-Drager综合征需注意与哪些疾病鉴别。
35、名词解释 autonomic nervous system
36、单项选择题 交感神经兴奋时哪项正确()
A.内脏和皮肤血管收缩
B.瞳孔缩小
C.心跳减慢
D.血压降低
E.内脏和皮肤血管舒张
37、单项选择题 关于自主神经系统,下列哪项正确()
A.自主神经系统中枢部分包括大脑皮质、下丘脑、脑干的交感神经及副交感神经核团、以及脊髓各节段侧角区
B.大脑皮质没有自主神经的代表区
C.自主神经系统不参与糖、水、盐、脂肪代谢
D.自主神经系统不参与体温、睡眠、呼吸、血压调节
E.自主神经系统不受大脑皮质支配
38、多项选择题 自主神经系统胆碱能神经纤维包括()
A.交感神经节前纤维
B.副交感神经节前纤维
C.副交感神经节后纤维
D.支配血管扩张、汗腺和子宫的交感神经节后纤维
E.支配心脏、肠管、血管收缩的交感神经节后纤维
39、单项选择题 关于雷诺病,错误的是()
A.肢端小动脉异常痉挛
B.病因清楚
C.血管神经功能紊乱
D.多发生于女性
E.和自身免疫因素有关
40、单项选择题 雷诺病的常见诱因为()
A.饥饿
B.劳累
C.寒冷
D.高碳水化合物
E.月经
41、多项选择题 关于雷诺病()
A.具有性别、年龄、诱因的特点
B.具有阵发性、对称性、疼痛性特点
C.根据临床特点和临床表现诊断
D.根据病理结果诊断
E.没有典型的分期
42、多项选择题 有关Shy-Drager综合征,错误的是()
A.病因不清
B.自主神经功能异常是其最具特征性的临床特点
C.起病隐袭,大多病程进展缓慢
D.不伴其他系统的损害
E.是一种多见的特发性多系统变性病
43、填空题 胆碱能神经包括__________、__________、__________、__________。
44、单项选择题 诊断直立性低血压的标准是()
A.直立位舒张压下降达10mmHg以上
B.直立位收缩压下降达20mmHg
C.直立位舒张压下降达30mmHg以上
D.直立位收缩压下降达40mmHg以上
E.直立位收缩压下降达50mmHg以上
45、配伍题 Shy-Drager综合征病因是()红斑肢痛症病因是()雷诺病病因是()
A.小动脉痉挛
B.中小动脉痉挛
C.小动脉扩张
D.脊髓侧角细胞变性
E.交感神经节变性
46、填空题 肾上腺素能纤维包括支配__________、__________、__________的__________纤维。
47、单项选择题 自主神经系统是由()
A.交感神经系统组成
B.交感及副交感神经系统组成
C.胆碱能神经和肾上腺素能神经组成
D.副交感神经系统组成
E.以上均不是
48、名词解释 偏侧萎缩症
49、单项选择题
患者,女,27岁,时常情绪激动后出现阵发性、对称性肢端皮肤苍白、发绀,随后皮肤发红,伴有疼痛。
此种疾病的病理表现不包括以下哪项()

A.疾病早期或病情轻者小动脉壁病理改变不明显
B.后期及病情重者可见动脉内膜增生、中层纤维化
C.后期及病情重者指、趾小动脉管腔缩小
D.后期及病情重者由于血栓形成及机化过程导致管腔闭塞
E.后期及病情重者可见指、趾静脉痉挛狭窄和扩张充血
50、填空题 Shy-Drager综合征的病理改变,包括__________、__________、__________、__________、__________。
51、单项选择题 枕叶与哪种功能有关()
A.瞳孔
B.膀胱及肛门括约肌
C.内脏
D.糖、水、盐、脂肪代谢
E.记忆
52、填空题 大脑皮质有自主神经代表区,枕叶与__________,岛叶与__________有关。
53、填空题 大脑皮质有自主神经代表区,旁中央小叶与__________和__________功能有关。
54、填空题 交感神经兴奋时引起机体消耗__________,器官功能活动__________。
55、多项选择题 有关红斑肢痛症的诊断()
A.肢端出现阵发性红、肿、热、痛症状
B.受热时疼痛加剧
C.局部冷敷可使症状减轻
D.需排除局部感染性炎症
E.局部热敷可使症状减轻
56、问答题 试述Shy-Drager综合征的临床表现。
57、单项选择题 肾上腺素能纤维包括()
A.交感神经节前纤维
B.副交感神经节前纤维
C.副交感神经节后纤维
D.支配心脏、肠管、血管收缩的交感神经节后纤维
E.支配血管扩张、汗腺和子宫的交感神经节后纤维
58、多项选择题
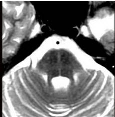
患者,男,55岁,渐起出现直立时头昏,直立性低血压2年,近半年出现眼球震颤、构音困难、步态不稳、共济失调、震颤及精神异常等症状,头颅MRI如图示,可采用的治疗方法为()

A.平卧时适当抬高头部
B.床上坐起或下地时应快速
C.穿弹力紧身衣裤和弹力长袜
D.使用α受体拮抗剂盐酸米多君
E.使用钙离子拮抗剂尼莫地平等
59、填空题 自主神经系统,又称__________,是由__________和__________两部分组成。
60、多项选择题 有关红斑肢痛症,正确的是()
A.需与骨髓增生性疾病、痛性多发性神经病鉴别
B.没有疗效肯定的治疗方法
C.休息和药物治疗可缓解症状
D.病因明确
E.因为没有局部感染,所以没有红、肿、热、痛症状
61、填空题 Shy-Drager综合征的治疗目的是__________、__________。
62、单项选择题 红斑肢痛症发病时可能使症状加重的是()
A.高温
B.寒冷
C.月经
D.饥饿
E.平卧
63、配伍题 雷诺病为()Shy-Drager综合征为()
A.肢端小动脉异常扩张性疾病
B.肢端小动脉异常痉挛性疾病
C.两者均有
D.两者均无
64、单项选择题
患者,女,25岁,常于受寒后出现四肢肢端对称性疼痛性间歇发白、发绀与潮红,如图所示,采用的治疗方法哪项不妥()

A.注意保暖,防止肢体受凉
B.使用妥拉苏林等扩血管药物
C.使用尼莫地平等钙离子拮抗剂
D.不能使用利血平等儿茶酚胺耗竭剂
E.使用复方丹参注射液
65、单项选择题 关于交感神经系统下列哪项正确()
A.抑制机体耗损
B.增加贮能
C.使器官活动增强,机体耗能增加
D.与副交感神经起协调作用
E.使器官活动减弱,机体耗能减少
66、问答题 雷诺病的临床表现是什么?
67、填空题 神经源性体位性低血压,是一种少见的特发性多系统变性病,其最具特征性的临床特点是__________,还可有__________、__________、__________、__________。
68、填空题 自主神经功能调节有助于维持机体功能的__________、__________和__________,使机体适应内外环境变化。
69、多项选择题 Shy-Drager综合征,除自主神经功能损害外,还可有()
A.小脑性共济失调
B.帕金森综合征
C.锥体束征
D.肌肉萎缩
E.眼球震颤
70、填空题 神经源性体位性低血压,又称__________,是由Shy(1961)和Drager(1962)分别描述,故也__________。
71、问答题 简述如何鉴别血栓闭塞性动脉炎与雷诺病。
72、多项选择题 有关红斑肢痛症急性期的治疗()
A.卧床休息
B.抬高患肢
C.局部冷敷
D.避免使用引起血管扩张的刺激
E.抗生素治疗有效
73、多项选择题 神经源性体位性低血压()
A.是一种少见的特发性多系统变性病
B.测量卧立位血压时,直立位收缩压下降20mmHg可确诊
C.病因明确
D.不伴其他系统的损害
E.病因不明确多伴其他系统的损害
74、多项选择题 交感神经兴奋时引起支配器官普遍的功能增高,表现为()
A.瞳孔散大
B.心跳加快
C.内脏和皮肤血管扩张
D.血压升高
E.呼吸加快
75、填空题 自主神经按其终末产生递质的不同而分为__________、__________。
76、多项选择题 关于Shy-Drager综合征,哪些不正确()
A.皮肤划痕试验减弱或消失
B.Valsalva动作试验,无反应
C.测量卧立位血压,每分钟1次,连续5~10分钟
D.自主神经功能损害与体位有关
E.是一种多见的特发性多系统变性病
77、多项选择题 雷诺病患者每次发作包括下列哪三期()
A.发凉期
B.缺血期
C.缺氧期
D.充血期
E.疼痛期
78、多项选择题 有关Shy-Drager综合征,需鉴别的疾病是()
A.晕厥
B.颈静脉综合征
C.神经系统、内分泌代谢疾病、低血容量贫血所致直立性低血压
D.药物所致直立性低血压
E.帕金森病
79、填空题 红斑肢痛症是一种病因不明的__________。
80、填空题 副交感神经兴奋可__________机体耗损,__________贮能,与交感神经起相__________作
81、填空题 __________的侧角神经元节前纤维变性,可导致直立性低血压。
82、多项选择题 雷诺病的诊断,根据()
A.起病年龄
B.性别
C.诱因
D.肢体远端相继出现苍白、青紫及潮红的皮肤改变
E.发病天气
83、名词解释 Shy-Drager综合征
84、单项选择题 直立性低血压是由于()
A.脊髓颈段的侧角神经元节前纤维变性
B.脊髓颈段的侧角神经元节后纤维变性
C.脊髓胸段的侧角神经元节前纤维变性
D.脊髓胸段的侧角神经元节后纤维变性
E.脊髓骶段的侧角神经元节前纤维变性
85、填空题 红斑肢痛症患者在肢端出现阵发性__________、__________、__________、__________。
86、问答题 简述自主神经系统中枢部分的组成和作用。
87、填空题 红斑肢痛症急性期一般治疗包括__________、__________、__________。
88、问答题 简述如何鉴别遗传性冷指症与雷诺病。
89、单项选择题
患者,男,23岁,常见足趾或足底红、肿、热、痛,疼痛呈阵发性,如图示,可持续数分钟、数小时或数日,为剧烈烧灼痛,夜间明显且发作次数较多。
对于此患者的处理哪项是正确的()
A.急性期应卧床休息,抬高患肢
B.急性期局部热敷或将肢体置于热水中减轻疼痛
C.急性期后应避免任何引起血管收缩的局部刺激
D.血小板增高性红斑肢病症可用大剂量阿司匹林口服
E.肾上腺皮质激素短期冲击治疗无效
90、单项选择题
患者,男,23岁,常见足趾或足底红、肿、热、痛,疼痛呈阵发性,如图示,可持续数分钟、数小时或数日,为剧烈烧灼痛,夜间明显且发作次数较多。
关于此患者查体所见哪项是错误的()

A.患肢皮色发红、皮温增高、血管扩张、轻度肿胀和多汗
B.轻压患肢可使红色暂时消退
C.患肢足背动脉搏动异常
D.患肢无运动、反射及感觉障碍
E.患者晚期出现营养障碍,肢端皮肤与指甲变厚、溃破甚至坏疽
91、单项选择题
根据图示,红斑肢痛症的临床特征为()

A.肢端相继出现苍白、青紫与潮红
B.肢端出现红肿或青紫
C.肢端出现阵发性红、肿、热、痛
D.肢端出现苍白、发绀及麻木
E.足背动脉搏动微弱或消失
92、多项选择题 常需与雷诺病相鉴别的疾病是()
A.血栓闭塞性动脉炎
B.硬皮病
C.遗传性冷指症
D.冻疮
E.系统性红斑狼疮
93、填空题 与Shy-Drager综合征相鉴别的疾病包括__________、__________、__________、__________。
94、填空题 预防雷诺病发作的措施是__________、__________、__________。
95、多项选择题 有关Shy-Drager综合征的治疗()
A.选择性外周交感神经系统α1-受体拮抗剂
B.拟交感神经药
C.食盐疗法
D.激素
E.抗生素
96、问答题 红斑肢痛症的病因是什么?红斑肢痛症有何临床表现?
97、填空题 雷诺病是__________功能紊乱,引起__________。
98、问答题 简述神经源性体位性低血压的病因和治疗。
99、多项选择题 关于雷诺病,正确的是()
A.多发生于女性
B.20~30岁缓慢起病
C.与寒冷、情绪紧张有关
D.每次发作可分三期
E.目前病因清楚
100、填空题 在大脑皮质影响下的自主神经功能调节,有助于维持机体功能的__________、__________、__________,使机体适应内外环境的变化。
101、问答题 简述神经源性体位性低血压的临床表现。
102、多项选择题 有关红斑肢痛症的药物治疗()
A.β-受体阻滞剂
B.5-羟色胺拮抗剂
C.阿司匹林
D.激素
E.抗生素
103、填空题 神经源性体位性低血压的诊断包括__________、__________、__________。
104、填空题 自主神经系统参与调节__________、__________、__________和__________代谢,以及__________、__________和__________等。
105、单项选择题 关于副交感神经系统,错误的是()
A.心跳加快,血压升高
B.瞳孔缩小
C.唾液分泌增加
D.膀胱和直肠收缩
E.心跳减慢,血压降低
106、单项选择题
患者,女,27岁,时常情绪激动后出现阵发性、对称性肢端皮肤苍白、发绀,随后皮肤发红,伴有疼痛。
此种疾病反复发作,最不可能的表现为()
A.多见于中青年男女
B.肢端相继出现苍白、发绀与潮红
C.肢端出现阵发性红、肿、热、痛症状
D.肢端出现红肿或发绀
E.有受热时疼痛加剧,局部冷敷可使疼痛减轻。
107、填空题 雷诺病发作分为三期__________、__________、__________。
108、问答题 试述Shy-Drager综合征的治疗。
109、问答题 简述如何鉴别冻疮与雷诺病。
110、名词解释 雷诺病(Raynauddisease)
111、多项选择题 雷诺病充血期的治疗()
A.B族维生素
B.小剂量甲状腺素
C.理疗
D.中药
E.抗生素
112、填空题 交感神经节前纤维胞体起于__________。
113、单项选择题 雷诺病的典型临床表现顺序为()
A.充血期、缺血期、缺氧期
B.缺血期、充血期、缺氧期
C.缺氧期、缺血期、充血期
D.充血期、缺氧期、缺血期
E.缺血期、缺氧期、充血期
114、单项选择题 雷诺病是因血管神经功能紊乱引起的()
A.肢端小动脉异常扩张性疾病
B.肢端小动脉异常痉挛性疾病
C.肢端中动脉异常痉挛性疾病
D.肢端大动脉异常痉挛性疾病
E.肢端中动脉异常扩张性疾病
115、填空题 红斑肢痛症的鉴别诊断包括__________、__________。
116、多项选择题 雷诺病血管痉挛期的药物治疗()
A.血管扩张剂
B.钙离子拮抗剂
C.儿茶酚胺耗竭剂
D.甲状腺素
E.抗生素
117、单项选择题 Shy-Drager综合征最特征性的临床特点是()
A.自主神经功能异常
B.小脑性共济失调
C.帕金森综合征
D.锥体束征
E.肌肉萎缩
118、多项选择题
患者,女,31岁,常于受寒后出现四肢肢端对称性疼痛性间歇发白、青紫与潮红,如图可采用的治疗方法为()
A.注意保暖,防止肢体受凉
B.使用妥拉苏林等扩血管药物
C.使用尼莫地平等钙离子拮抗剂
D.使用利血平等儿茶酚胺耗竭剂
E.使用复方丹参注射液
119、名词解释 Sympathetic nervous system
120、多项选择题 有关Shy-Drager综合征()
A.可彻底治愈
B.可缓解症状,提高生活质量
C.严重者需长期卧床
D.可出现精神异常
E.是一种多见的特发性多系统变性病
121、填空题 雷诺病血管痉挛期的治疗是__________、__________、__________。
122、填空题 需与雷诺病相鉴别的疾病是:__________、__________、__________、__________。
123、问答题 简述如何鉴别硬皮病与雷诺病。
124、问答题 简述副交感神经系统的功能及兴奋时的临床表现。
125、填空题 丘脑有自主神经代表区,下丘脑与__________、__________、__________、__________调节有关。
126、单项选择题 雷诺病的临床特征为()
A.足背动脉搏动微弱或消失
B.肢端出现苍白、发绀及麻木
C.肢端出现阵发性红、肿、热、痛
D.肢端出现红肿或青紫
E.肢端出现阵发性对称性疼痛性间歇发白、潮红与发绀
127、问答题 体姿
128、单项选择题 红斑肢痛症的主要表现为()
A.双足红肿、疼痛
B.双足缺血苍白、疼痛,无神经系异常
C.双足缺血苍白、疼痛,有神经系异常
D.双足红肿、疼痛,无神经系异常
E.双足红肿、疼痛,有神经系异常
129、单项选择题 副交感神经兴奋时哪项正确()
A.心跳加快
B.瞳孔缩小
C.血压升高
D.内脏和皮肤血管收缩
E.瞳孔扩大
130、问答题 简述雷诺病的可能病因。
131、填空题 心血管系统及其他内脏器官均受交感和副交感神经双重支配,两者既相互拮抗,又相互协调活动时__________起主要作用,休息时__________起主要作用。
132、单项选择题 雷诺病表现为()
A.好发于男性,足背动脉减弱或消失
B.受热时症状加重
C.好发于女性,分缺血、缺氧、充血期
D.好发于上肢、面、胸、颈部
E.记忆障碍
133、填空题 雷诺病发病时,肢体远端相继出现__________、__________、__________的皮肤改变。