时间:2022-08-03 02:08:04


1、单项选择题
两个月患儿如图所示,该病例诊断最可能是()

A.主动脉弓扩张
B.主动脉弓狭窄
C.升主动脉扩张
D.主动脉粥样斑块
E.以上都不是
2、单项选择题
患者,男,高热,右上腹痛,肝区扣击痛。结合超声声像图,诊断为()
A.肝血管瘤
B.肝脓肿
C.肝癌
D.脂肪肝
E.肝囊肿
3、单项选择题
该病例最有可能诊断()

A.肺动脉内径增宽
B.动脉导管未闭
C.肺动脉瓣狭窄
D.肺动脉瓣关闭不全
E.右室流出道狭窄
4、单项选择题 青蛙无()。
A.下颌骨
B.胸骨
C.肋骨
D.尾椎骨
5、单项选择题 下列数字扫描变换器(DSC)所实现的功能哪个是错误的()
A.将超声模拟信号转换成电视制式信号
B.比较容易的实现图像放大
C.完成线性内插补并实现丰富的灰阶
D.实现字符显示及图像存储
E.增强了滤波器性能
6、单项选择题 采用聚焦技术的主要目的是()
A.抑制旁瓣效应
B.改善横向和侧向分辨率
C.提高帧频
D.减少超声伪像
E.改善超声的指向性
7、单项选择题 妇科恶性肿瘤的血流频谱特点是()
A.低速低阻
B.低速高阻
C.高速高阻
D.高速低阻
E.以上都不是
8、单项选择题 干扰肾上腺显示的因素是()
A.脾肿大
B.肝肿大
C.间位结肠
D.脂肪肝
E.胃切除
9、单项选择题 超声检测所能发现的肾上腺异常是下列哪项()
A.肾上腺体积增大
B.肾上腺腺体分泌增多
C.肾解剖学变异
D.肾上腺腺体萎缩
E.以上均是
10、单项选择题 羊水过多的声像图是()
A.羊水量少
B.脐带漂浮在羊水内
C.羊水量超过正常
D.胎儿脑积水
E.胎盘早剥
11、填空题 腹主动脉内径大于______即可认为是腹主动脉瘤。
12、单项选择题 下列关于卵巢巧克力囊肿的描述,错误的是()
A.半数以上累及双侧卵巢
B.囊肿直径多>5cm
C.单发或多发囊肿
D.病理为黄体囊肿
E.囊肿常与邻近结构粘连
13、单项选择题 下列关于声衰减的说法中,不正确的是()
A.声波在介质中传播过程中,声能随距离增加而减弱,是衰减
B.衰减与超声传播的距离有关
C.衰减与超声的频率无关
D.衰减的原因主要有吸收、散射和声束扩散
E.蛋白质成分是人体组织声衰减的主要因素
14、单项选择题 精原细胞瘤声像图表现为()
A.单个小的囊性肿块
B.超声无法探测
C.实质均匀性肿块
D.大而多个囊性肿块
E.以上都不是
15、单项选择题 下列哪一项不是诊断前置胎盘的条件()
A.膀胱适度充盈
B.显示子宫颈内口
C.观察胎头与子宫颈内口的位置关系
D.显示胎盘下缘
E.观察胎盘下缘与子宫颈内口的位置关系
16、单项选择题 能量多普勒在移植肾排异的声像图特点()
A.显示移植肾血管树丰富完整,肾皮质内小叶间动脉可显示
B.显示移植肾血管异常丰富,肾皮质内小叶间动脉显示异常清晰
C.移植肾内血流信号明显减少,血流断续呈星点状或斑块状
D.移植肾血管树显示完整,皮质内小叶间动脉显示不清晰
E.移植肾内血管信号丰富
17、单项选择题 左心腔造影,从末梢静脉注入造影剂其原理是()
A.微气泡直径大于红细胞,进入右心再经肺循环入左心
B.微气泡较大(比红细胞直径大数倍)从腔静脉入右心再到左心
C.造影剂进入右心,经肺循环进入左心腔
D.微气泡直径大于10μm,经肺循环进入左心
E.微气泡密度明显大于血液
18、单项选择题 功能失调性子宫出血的特点是()①由于调节生殖的神经内分泌机制失常引起的异常子宫出血②临床表现是不规则子宫出血、月经量多、贫血③超声表现为子宫均匀性增大,子宫内膜增厚④卵巢一般多萎缩、变小、功能下降
A.①
B.①②
C.①②③
D.①②③④
E.②④
19、单项选择题 经腹壁胃肠超声检查前准备,下列哪一项是错误的()
A.检查应安排在X线钡剂检查之后
B.检查前1天晚餐宜进流食
C.禁食8小时-12小时
D.大肠检查不必禁食
E.胃内潴留物较多时可考虑洗胃
20、单项选择题 子宫内膜癌的临床与超声表现,下列哪项是错误的()
A.绝经期出血
B.多为老年妇女
C.阴道排液
D.超声表现宫腔积液
E.常合并卵巢囊肿
21、单项选择题
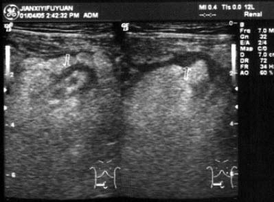
男,63岁,因左侧腰部疼痛不适伴无痛血尿1月余就诊,B超显示左肾集合系统分离3.9cm,如图所示,最可能的诊断为()
A.左输尿管结石
B.左输尿管癌
C.左输尿管炎性狭窄
D.左输尿管畸形
E.左输尿管血块
22、单项选择题 子宫先天性发育异常常伴有哪个器官异常()
A.肾脏
B.消化道
C.颅脑
D.心脏
E.脊柱
23、填空题 腹膜后具有水平分隔线(脂-液平面)回声的肿块为_____________________的特征;实质性肿块内有大片液性无回声区,多为____________________的表现。
24、多项选择题 下述哪些属死胎的声像图表现()
A.胎儿各生长参数小于孕周预计值
B.胎心搏动、胎动均消失
C.胎儿颅骨变形,颅缝重叠
D.胎儿全身水肿,皮肤呈双层改变
E.内脏结构紊乱清楚
25、单项选择题 下列哪一项与葡萄胎超声鉴别无关()
A.过期流产
B.子宫肌瘤变性
C.子宫腺肌病
D.子宫内膜癌
E.子宫颈囊肿
26、单项选择题
某患者左侧阴囊下部疼痛不适3天,曾患前列腺炎,无外伤史,无结核病史,超声声像图如下,最可能的诊断为()
A.睾丸肿瘤
B.附睾尾炎性包块
C.睾丸炎
D.附睾结核
E.附睾肿瘤
27、单项选择题 患者28岁,为室间隔缺损,左向右分流,用彩色多普勒技术检查分流血流,对仪器的调节,下述哪一项是错误的()
A.低通滤波
B.高频(7MHz以上)电子相控阵探头
C.电子线阵探头(5MHz以上)
D.高速档速度标尺(高脉冲重复频率)
E.彩色图选用两色彩图
28、单项选择题 Rh不合的胎盘声像图特点是()①胎盘增大②胎盘减小③胎盘变薄
A.①
B.①②
C.③
D.②③
E.①②③
29、单项选择题 茎的栓内层细胞常含有叶绿体,又称为()。
A.复表皮
B.绿皮层
C.初生皮层
D.次生皮层
30、单项选择题 超声容易显示的侧支循环是()①胃左静脉、胃静脉、食管静脉②脐静脉③脾静脉、肾静脉④后腹膜静脉⑤肠系膜上静脉
A.①
B.①②
C.②③⑤
D.①③④⑤
E.①②③④⑤
31、单项选择题 羊水穿刺前超声检查的注意事项是()
A.确定有无胎盘早剥或前置胎盘
B.确定胎位
C.确定脐带位置
D.寻找羊水最多,避免穿刺时损伤胎盘和脐带的部位
E.确定胎数
32、单项选择题 子宫肌瘤的声像图表现是()①子宫增大,局限性隆起②子宫表面不平③子宫内膜线移位④膀胱受压变形
A.①
B.①②
C.①②③
D.①②③④
E.②
33、单项选择题 下列肝脏疾病哪个不会产生复杂声像图()
A.先天性囊肿
B.血肿
C.出血性囊肿
D.感染性囊肿
E.脓肿
34、单项选择题 为了调节灰阶超声仪器的工作条件达到最佳状况,下列哪项内容不重要()
A.提高空间分辨力
B.提高时间分辨力
C.选择适当的图像前后处理及动态范围
D.调节M型的扫描速度
E.选择适宜的灰阶数
35、问答题 胚胎停止发育的声像图表现有哪些?
36、单项选择题 对从外周血管行左心腔超声造影原理的叙述,哪一项是正确的()
A.经股动脉注入造影剂
B.造影剂经腔静脉直接进入左心
C.造影剂微气泡的直径小于10μm
D.造影剂微气泡直径大于10μm
E.必须用白蛋白包裹空气的造影剂
37、单项选择题 胎儿肾脏最常见畸形是()
A.多囊肾
B.肾脏缺如
C.游走肾
D.肾多发囊肿
E.肾发育不良
38、单项选择题 孕几周后仍为0级胎盘,则应疑有妊娠糖尿病、母子Rh因子不合引起胎盘成熟延迟()
A.20周
B.24周
C.28周
D.32周
E.26周
39、单项选择题
该病例最可能的诊断()

A.矫正型大动脉转位
B.右室双出口
C.完全性大动脉转位
D.主动脉骑跨
E.单心室
40、单项选择题 下列哪种眼疾病声像图表现为凹面向前的“V”字形膜状回声()
A.完全性视网膜脱离
B.部分性视网膜脱离
C.脉络膜脱离
D.玻璃体后脱离
E.玻璃体机化膜
41、单项选择题
如图,正常甲状腺中部横切面的超声声像图,中央气管环状软骨前方组织为()
A.甲状腺峡部
B.皮下组织
C.甲状旁腺
D.淋巴结
E.以上均不对
42、单项选择题 羊水量少于多少毫升称羊水过少()
A.300~400ml
B.1000ml
C.15000ml
D.2000ml
E.1500ml
43、单项选择题 正常成人妇女乳腺通常不包括的组成内容是()
A.平滑肌
B.腺叶
C.小叶
D.腺泡
E.导管
44、单项选择题 用彩色多普勒血流成像技术检测末端小动脉血流时,下列哪项调节正确()
A.较大的取样容积
B.高通滤波器
C.高速度标尺
D.彩色图选用两色图
E.减低多普勒增益
45、单项选择题 以下哪种肝脏肿块在囊肿内有子囊()
A.多囊肝
B.包囊虫病
C.肝癌
D.肝血管瘤
E.肝脓肿
46、单项选择题 单发右位心(右旋心)的二维超声检查主要所见是()
A.心房、心室位置正常,心尖朝左
B.心房、心室位置正常,心尖在右胸腔
C.心房反位,心室右袢(正常位置),心尖朝右
D.心房正位,心室左袢(反位),心尖朝右
47、判断题 慢性泪腺炎USG显示泪腺呈杏核状增大,边界清楚,内回声中等或较弱。
48、单项选择题 关于彩色多普勒血流显像下列哪项是错误的()
A.血流朝向探头,显示红色
B.血流背向探头,显示蓝色
C.能量显示为混合色
D.出现紊流为混合色
E.血流速度高显示彩色亮度大
49、单项选择题 患儿,男性,2岁,因腹部包块超声检查示左上腹巨大实性肿块,边界尚清,回声不均,见不规则的透声区,与肾脏关系密切,其上残存肾脏积水,最可能诊断是()
A.肾上腺肿瘤
B.肾癌
C.肾盂癌
D.肾母细胞瘤
E.腹膜后肿瘤
50、问答题 胎盘早剥的声像图表现有哪些?
51、单项选择题 5MHz表示()
A.每秒50万周
B.每秒5千万周
C.每秒5千周
D.每秒5百万周
E.每秒5万周
52、单项选择题 多普勒超声是指()
A.振幅调制型
B.辉度调制型
C.彩色血流显像
D.多普勒频谱显示
E.以上都不是
53、多项选择题
超声示意图为一患者剑突下横切图,显示了肝脾叠影图像,下列哪些患者最可能出现这种现象()
A.慢性活动性肝炎
B.慢性粒细胞白血病
C.急性乙型肝炎
D.肝脓肿
E.胃癌
54、单项选择题
此为哪种疾病的超声解剖示意图()
A.法四
B.右室憩室
C.左心发育不良综合征
D.心内膜垫缺损
E.以上都不对
55、单项选择题 除下列哪项外均可发生急性鞘膜积液()
A.肿瘤
B.睾丸及附睾的感染
C.外伤
D.睾丸扭转
E.以上都不是
56、单项选择题 以下哪项不是诊断急性胆囊炎的标准()
A.胆囊结石
B.Murphy征阳性
C.胆囊壁厚<3mm
D.胆囊积液
E.胆囊内胆泥淤积
57、问答题 超声如何判断肾积水的严重程度?
58、单项选择题 肺动脉高压时肺动脉血流频谱特点不包括下列哪一项()
A.频谱流速峰值前移
B.加速时间缩短
C.加速度加快
D.射血时间(ET)缩短
E.射血前期(PEP)缩短
59、单项选择题 下列哪些结构超声不易显示()①闭孔内肌②梨状肌③髂腰肌④髂窝三角
A.①
B.①②
C.①②③
D.①②③④
E.②③④
60、单项选择题 超声辐射剂量与下列哪项无关()
A.受辐射时间长短
B.声束发射功率大小
C.发射声束的频率高低
D.声束在组织中的传播速度大小
E.超声束横截面积大小
61、单项选择题 下列哪一项不符合完全型大血管转位()
A.心房正位
B.心室右袢
C.二维超声示:肺动脉位与主动脉左前方
D.主动脉与右心室连接
E.二维超声示:主动脉位于肺动脉右前方
62、单项选择题 肾上腺神经细胞瘤声像图表现中,哪项描述不正确()
A.腹部巨大实质性肿块
B.直径10cm以上
C.轮廓不清楚
D.边缘不规则或呈结节状
E.内部回声杂乱
63、单项选择题 位于肝圆韧带内的血管是()
A.胃左静脉
B.门脉左内分支
C.左肝动脉分支
D.脐静脉
E.左肝静脉
64、单项选择题 软组织肿瘤来自()①脂肪②纤维③平滑肌④横纹肌⑤血管⑥淋巴⑦间皮⑧滑膜⑨组织细胞⑩软骨
A.①②③④⑤⑥
B.①②③④⑤⑥⑦
C.①②③④⑤⑥⑦⑧
D.①②③④⑤⑥⑦⑧⑨
E.以上各项均是
65、单项选择题 双胎间输血综合征声像图特点是()①受血儿小,心脏小,羊水少,羊膜囊间隔膜薄,仅见两条脐血管②受血儿大,1/4胎儿有水肿,10%~25%胎儿有胸腹水,心包积液,多数肌张力低,羊水多③供血儿大,1/4胎儿有水肿,10%~25%胎儿有胸腹水,心包积液,多数肌张力低,羊水多④供血儿小,心脏小,羊水少,羊膜囊间隔膜薄,仅见两条脐血管
A.①②
B.②④
C.①④
D.②③
E.①②④
66、单项选择题 下列哪一项不是典型腮腺囊肿的声像图表现()
A.形态不规则,呈多边形
B.囊后方回声增强
C.轮廓完整,界限清晰
D.有时可见轮廓线
E.囊内为均匀无回声,透声性良好
67、问答题 子宫内膜增生的声像图表现有哪些?
68、单项选择题 下列哪项表现与结节性甲状腺肿无关()
A.甲状腺不规则,非对称性增大
B.实质回声增粗,内呈多个中等偏强回声结节
C.结节内可见液性暗区、强光点
D.CDFI显示血流丰富,血流呈花环状包绕结节,并有细小分支伸入结节内
E."冲洗征"
69、单项选择题 超声的纵向分辨率是分辨前后两个点最小距离的能力,其理论计算值应是()
A.1/4λ(λ波长)
B.1/3λ
C.1/2λ
D.1λ
E.>1λ
70、单项选择题 含液性病变的声像图特点中,下列哪项是错误的()
A.外形呈圆形或椭圆形
B.边缘光滑、整齐
C.内部低回声或强回声
D.后方回声增强
E.侧方声影有内收
71、单项选择题 以下哪项不符合扩张型心肌病超声表现()
A.左室明显扩大
B.二尖瓣活动幅度增大
C.EPSS增大
D.室壁活动减弱
E.各瓣口血流速度减慢
72、多项选择题 胆囊癌的USG可分为哪些类型()
A.小结节型
B.蕈伞型
C.厚壁型
D.混合型
E.实块型
73、单项选择题 下列关于卵巢滤泡囊肿的描述,哪项不对()
A.单侧卵巢发病
B.囊壁菲薄
C.囊液水样密度
D.直径多>5cm
E.可自行消失
74、单项选择题 关于眼球赤道部扫查的描述,正确的是()
A.眼球尽量向上看,探头与眼球赤道平行扫查,可检出晶体、角膜、玻璃体腔、球壁、球后脂肪
B.眼球尽量向下看,探头与眼球赤道平行扫查,可检出玻璃体腔、球壁、球后脂肪
C.眼球尽量向前看,探头与眼球赤道平行扫查,仅可检出玻璃体腔
D.眼球尽量向下看,探头与眼球赤道平行扫查,仅可检出玻璃体腔
E.以上各项均是
75、单项选择题 刘某,女,18岁,尿毒症,肾功能衰竭。超声发现颈前部甲状腺背侧有多个低回声结节。最可能的诊断是()
A.颈淋巴结肿大
B.甲状腺腺瘤
C.结节性甲状腺肿
D.甲状旁腺增生
E.甲状旁腺腺瘤
76、单项选择题
如图切面称为哪种超声心动图切面()

A.心尖四腔
B.心尖短轴
C.左室长轴
D.心尖二腔
E.大动脉短轴
77、单项选择题 腹部超声特定断面扫查时可遇到棱镜伪像,如:肠系膜上动脉或宫内胎囊出现重复图像,下列哪个腹部断面可能出现()
A.正中矢状断面
B.正中旁矢状断面
C.横断面
D.斜断面
E.冠状断面
78、单项选择题 两个或两个以上界面之间的多个反射造成的假回声信号称()
A.折射
B.多重反射
C.排斥
D.散射
E.衍射
79、单项选择题 鉴别巨大卵巢囊肿与腹水,下列哪种检查方法是禁忌的()
A.超声检查
B.腹部X线平片
C.胃肠道造影
D.腹腔镜检查
E.检测腹部移动性浊音
80、单项选择题 关于实性肿瘤声像图特征,下列哪项是错误的()
A.边界回声可光滑、整齐或不规则
B.外形常呈圆形、椭圆形或不规则
C.内部有回声
D.后方回声均有衰减
E.侧方声影可有可无
81、单项选择题 赵某,男,50岁,颈前偏右有一实性结节,质硬。2周后发现声音嘶哑,超声显示:甲状腺右叶单发,境界不清,低回声结节,内有细点状强回声,伴有右颈部淋巴结肿大,最可能的诊断是()
A.甲状腺腺瘤
B.甲状腺癌
C.甲状腺囊肿
D.结节性甲状腺肿
E.桥本病
82、单项选择题
如图,根据胎儿颈部声像图,最可能的诊断是()
A.脊柱裂
B.脑膜膨出
C.淋巴管囊肿
D.单脐动脉
E.正常图像
83、单项选择题 彩色多普勒血流显像图最常用于哪一些部位病变()
A.肝
B.胰
C.血管性病变
D.肿瘤
E.囊肿
84、单项选择题
图中标记处为()
A.肝左外上叶占位
B.肿大淋巴结
C.肝尾状叶
D.肝内占位性病变
E.肿大淋巴结
85、单项选择题 中年女性,突发右腰部及右下腹部剧痛,伴恶心。超声显示右肾轻度积水,最可能的诊断是()
A.阑尾炎
B.右侧附件炎
C.右输尿管结石
D.右输尿管肿瘤
E.膀胱结石、膀胱炎
86、单项选择题
患者男17岁,右下腹痛2天,体检:右下腹压痛及叩击痛(+)。B超检查如图所示,根据超声声像图,诊断为()
A.急性阑尾炎
B.回盲部肿瘤
C.肠套叠
D.肠穿孔
E.肠结核
87、单项选择题 除哪一项外均为肝硬化晚期的的超声表现()。
A.肝脏缩小,形态失常
B.实质弥漫性增强,光点增粗,可有结节样回声
C.肝静脉走行及管腔无异常改变
D.胆囊壁呈双边影样增厚
E.门静脉扩张,脾大,腹水
88、单项选择题 Doppler技术,可应用于()
A.检测血流类型
B.检测血流类型、血流方向和流速
C.检测血流类型、血流方向和流速、许多动静脉系统的病变
D.检测血流类型、许多动静脉系统的病变
E.血流方向和流速
89、多项选择题 识别超声伪像可以()
A.辅助临床诊断
B.避免误诊或漏诊
C.提高分辨率
D.增加图像质量
E.提高诊断正确率
90、单项选择题 骨巨细胞瘤恶变的特征性超声表现是()
A.骨质破坏、偏心性增大
B.均匀低或蜂窝状低回声间有斑点状强回声
C.瘤内及其周边均见丰富彩色血流
D.坏死囊变的低或无回声,伴后方回声增强
E.骨皮质中断嵌顿的病理骨折
91、单项选择题 下述肾先天性发育异常中,哪项可致腰腹部疼痛,腰部触诊可及一移动性肿块()
A.孤立肾
B.单纯异位肾
C.游走肾
D.马蹄肾
E.肾旋转异常
92、单项选择题 关于卵巢浆液性囊腺癌,下列哪一项是错误的()
A.成人最常见的卵巢恶性肿瘤
B.肿瘤生长很快,常伴出血坏死
C.多为部分囊性,部分实性
D.经阴道彩色多普勒血流显像,乳头内可显示较丰富血流
E.90%为单侧性
93、单项选择题 膝关节前交叉韧带损伤的声像图表现()
A.股骨外侧髁处滑膜增厚、增强、不规则
B.内侧副韧带肿胀增厚,回声不均匀减低
C.内侧副韧带肿胀边界模糊不清
D.韧带回声中断或缺如
E.韧带分离,出现低回声裂隙
94、单项选择题
根据胎儿四维成像技术,图中结构为()
A.胎儿颜面部
B.胎儿上肢及背部
C.胎儿臀部
D.胎儿下肢
E.胎儿胸部
95、单项选择题
晚孕胎儿脑部声像图,最可能的诊断是()
A.正常声像图
B.淋巴管囊肿
C.脑膜膨出
D.脑积水
E.露脑畸形
96、单项选择题 反映心室舒张功能减低不包括哪项()
A.IVRT
B.EPSS
C.E峰流速
D.E/A
E.△D%
97、单项选择题 关于卵巢囊性畸胎瘤,下列哪一项是错误的()
A.可产生声影
B.也称为皮样囊肿
C.最常见于青年女性
D.脂肪层浮在液体上方,可见脂液平面
E.经阴道彩色多普勒血流显像囊壁常显示丰富低阻血流
98、单项选择题 M型超声的特点哪项是错误的()
A.单声束取样获得界面回声
B.Y轴代表界面深浅
C.X轴可另加时基扫描线
D.可用于心脏功能的测量计算
E.也可同时用于Z轴上显示的回波
99、单项选择题 一患者心脏检查数据如下:SV86ml,EF0.61,FS30%,E峰流速60cm/s,A峰流速112cm/s,DTE200ms,IVRT144ms,据此,你初步判定该患者心功能属于()
A.心脏收缩和舒张功能正常
B.心脏收缩功能正常
C.心脏收缩功能异常
D.心脏舒张功能正常
E.心脏舒张功能异常
100、单项选择题 三尖瓣闭锁的超声所见特点是()
A.左室增大
B.肺动脉增宽
C.右房室口处有肌性隔膜
D.三尖瓣二尖瓣化
E.左室变小
101、单项选择题 声像图的纵向分辨力与什么有关()
A.信号的频率
B.声阻抗
C.组织密度
D.声速的大小
E.以上都不对
102、单项选择题 视神经全长多少毫米,分几段,超声检测可显示哪几段()
A.<33mm,3段,各段
B.33~55mm,4段,球壁、眶内段
C.33~55mm,4段,球壁、眶内、管内段
D.55mm,4段,球壁、眶内、颅内段
E.60mm,4段,球壁、眶内、颅内段
103、单项选择题 下面哪项不是二维超声心动图基本切面?()
A.胸骨旁主动脉短轴切面图
B.胸骨旁二尖瓣短轴切面
C.主动脉弓长轴切面
D.四腔心切面图
E.胸骨旁左心长轴切面
104、单项选择题 彩色血流频移大于1/2PRF(脉冲重复频率)时出现折返,这称为()
A.Nyquist(内奎斯特)极限
B.快速傅立叶变换
C.运动目标显示器(MTI)
D.自相关技术
E.彩色血流显像的滤波
105、单项选择题 正常眼动脉的多谱勒血流频谱形态是()
A.高阻力频谱
B.低阻力频谱
C.三相血流频谱
D.三峰双谷血流频谱
E.宽频毛刺样频谱
106、单项选择题 男性,血尿时伴尿中断,最可能的诊断为()
A.膀胱血块
B.膀胱结石
C.膀胱肿瘤
D.膀胱憩室
E.膀胱壁钙化
107、单项选择题 下列哪一项不是早孕超声观察的内容()
A.妊娠囊
B.胎芽
C.胎儿搏动
D.胎儿心脏结构
E.卵黄囊
108、单项选择题
男,56岁,上腹部经常剧烈疼痛不适,皮肤巩膜黄染,加重1周。声像图如图所示,诊断为()
A.肝内胆管蛔虫
B.肝内胆管胆汁淤积
C.肝内钙化灶
D.肝内胆管多发性结石
E.肝内血管瘤
109、问答题 超声对于“无功能肾”的检查有何临床意义?
110、单项选择题
患者,男,23岁,发现睾丸内无痛性肿块1月余。透光试验阳性。结合超声图像,最可能的诊断是()
A.睾丸囊肿
B.精索鞘膜积液
C.附睾结核
D.精液囊肿
E.附睾囊肿
111、单项选择题 基波成像指下列哪种波()
A.以低频发射的波
B.凸阵探头发射的波
C.线阵探头发射的波
D.发射频率与接受频率相同的波
E.以上都不对
112、单项选择题 VTI的中文意思是指血流速度积分,其单位是()
A.米
B.秒
C.米/秒
D.米/秒2
E.千克
113、单项选择题 超声检测诊断法洛四联征,应有哪些声像图改变()①主动脉骑跨②室间隔缺损③肺动脉狭窄④右心室肥厚
A.①
B.③④
C.②③
D.①②③④
E.①②③
114、单项选择题
结合超声图像,该病例肾结石为哪一部位()
A.下极肾盏
B.中极肾盏
C.上极肾盏
D.肾门
E.肾乳头处
115、单项选择题 血管内径减少多少是区分颈动脉狭窄为轻度或中度的指标()
A.≥30%
B.≥40%
C.≥50%
D.≥60%
E.≥70%
116、单项选择题
女,28岁,经常上腹不适。声像图如图所示,诊断为()
A.胆囊蛔虫
B.胆囊结石
C.胆囊腺瘤
D.胆囊内胆汁淤积
E.胆囊癌
117、单项选择题 Crucial三角的三个边由哪三个部分构成()
A.膀胱壁、颅骨光环的一部分、部分绒毛板
B.膀胱壁、颅骨光环的一部分、后壁胎盘下缘
C.膀胱壁、颅骨光环的一部分、前壁胎盘下缘
D.后壁胎盘下缘、子宫内口、部分绒毛板
E.以上都不是
118、单项选择题
患者低热,咽喉肿痛1周。发现甲状腺肿大,左侧局部压痛,结合超声声像图,最可能的诊断是()
A.结节性甲状腺肿
B.亚急性甲状腺炎
C.甲状腺瘤
D.甲状腺癌
E.甲状腺功能亢进
119、单项选择题 乳房良性肿瘤的声像图表现()
A.包膜完整
B.包膜完整,内部回声均匀
C.包膜完整,内部回声均匀,后方回声衰弱
D.包膜完整,内部回声均匀,后方回声可增强也可不增强
E.内部回声均匀,后方回声衰减
120、单项选择题 关于腮腺管结石(涎石病)的超声表现的描述,哪一项是错误的()
A.腮腺大小、形态正常
B.腮腺内可探及致密强回声斑点或斑块
C.较大结石可引起导管阻塞
D.腮腺导管无扩张
E.较大结石后方伴声影
121、单项选择题 四肢血管正常的多谱勒频谱是()
A.单相波
B.双相波、单相波
C.双相波
D.三相波
E.单相波、三相波
122、单项选择题 葡萄胎声像图表现()
A.子宫明显增大,宫腔内无妊娠囊
B.子宫明显增大,宫腔内无妊娠囊,宫腔内见雪片状回声
C.子宫明显增大,宫腔内见雪片状回声,子宫两侧见黄素囊肿
D.子宫明显增大,宫腔内无妊娠囊,宫腔内见雪片状回声,子宫两侧见黄素囊肿
E.子宫明显增大,宫腔内见雪片状回声
123、单项选择题 关于眼眶肿瘤的描述,错误的是()
A.良性肿瘤膨胀性生长,有包膜
B.良性肿瘤多呈圆形和椭圆形
C.良性肿瘤边缘清楚、锐利,可见肿瘤声晕
D.恶性肿瘤浸润性发展,有包膜
E.恶性肿瘤形态不规则,边界不清楚
124、单项选择题 胎儿十二指肠闭锁的特征性声像图显示()
A.声像图不能显示胃
B.双泡征
C.胃移位至胎儿右侧腹部
D.胃腔明显增大
E.胃下移至盆腔
125、单项选择题 裂腹畸形的正确描述是()①胎儿真性腹壁缺损,从脐部裂开,内脏通过裂孔脱出②脱出内容物既无疝囊,又无皮肤覆盖③脱出物外包裹一透明膜④胎儿横膈有缺损
A.①
B.①②
C.①②③
D.①②③④
E.①③④
126、单项选择题 在使用CDFI过程中,下列何者不妥()
A.根据所检测血流速度高低来选择Scale
B.对高速正向血流应将Baseline下调
C.对高速负向血流应将Baseline上调
D.选择适宜的Filter
E.取样框应尽可能大,以充分显示血流情况
127、单项选择题 男,37岁,既往有肝炎史,超声发现脾脏显著肿大,肝表面不光滑,肝实质回声不均匀。右肝可见3cm的圆形病变,边缘整齐光滑,有弱回声晕,内部为均匀低回声,诊断最可能是()
A.慢性肝炎
B.慢性肝炎合并肝硬化
C.肝硬化合并肝囊肿
D.肝硬化合并肝肿瘤
E.肝硬化合并门静脉高压
128、单项选择题 排卵延迟的早孕,胚胎尚未出现,发生先兆流产,应注意与下面哪项鉴别()①不全流产②难免流产③枯萎孕囊④宫外孕
A.①
B.①②
C.①②③
D.①②③④
E.④
129、单项选择题
超声引导下经皮经肝穿刺胆管造影应注意()
①需做碘过敏试验
②穿刺日禁食、水
③常用>16G细针
④常用20-23GPTC针
⑤穿刺成功后抽取胆汁送细菌培养及细胞学检查
⑥抽液后直接注入造影剂
⑦抽液后更换注射器缓注入造影剂
⑧术后卧床12小时
⑨术后卧床24小时
A.①②③⑤⑥⑧
B.①②④⑤⑥⑧
C.①②④⑤⑦⑨
D.①②③⑤⑦⑨
E.②③⑤⑦⑨
130、单项选择题
女,38岁,上腹部经常疼痛,加重2天。声像图如图所示,诊断为()
A.左肝内胆管多发性结石
B.左肝血管瘤
C.左肝钙化灶
D.左肝内胆管蛔虫
E.左肝内胆管积气
131、单项选择题 下列哪项与甲状腺腺瘤无关()
A.圆形或椭圆形肿物,边缘光滑,有包膜,周围有晕征
B.内部为实性低回声、增强回声、等回声
C.囊性变或出血时呈混合性回声,甚至无回声,乳头状囊腺瘤的囊壁可见乳头状或团块状突起
D.肿物后方回声明显衰减
E.肿物周边声晕处可见丰富的动静脉血流,内部乳头上可见少量血流分布
132、单项选择题 异位妊娠破裂出血<100ml时,局限性积液的部位是()①子宫直肠窝②结肠旁隐窝③肝下间隙④双侧髂窝
A.①
B.①②
C.①②③
D.①②③④
E.②③④
133、单项选择题
女,54岁。反复便秘,腹泻就诊。PE:左中腹可扪及一肿块,质硬,结节状,OB(Ⅱ),结合超声声像图,诊断为()
A.左肾
B.结肠癌
C.肠系膜淋巴结
D.腹膜后肿块
E.肠结核
134、单项选择题 下列关于反射系数的描述中,错误的是()
A.两种介质声阻抗相同时,反射系数为0
B.两种介质声阻抗相差很大时,反射系数大
C.两种介质声阻抗只要有1‰的差异就会产生反射回波
D.声束垂直于界面入射时可得到最佳反射效果
E.当一种介质声阻抗值很小时,反射系数总是很小
135、问答题 肾母细胞瘤的声像图表现有哪些?
136、填空题 正常胎儿心血管超声表现为:____________________、_____________________、______________________、_____________________和____________________________。
137、单项选择题 Dicom3.0的作用是()
A.医学数字图像进行规范化交换与传输
B.超声图像进行数字编辑处理
C.病历资料查询检索
D.医院信息联网管理
E.诊断波报告存贮打印
138、单项选择题 在异位妊娠中超声显示宫内假性胎囊占()
A.60%
B.50%
C.40%
D.20%
E.10%
139、单项选择题 颈动脉-海绵窦瘘USG的主要表现为()
A.眼上静脉扩张
B.用探头压迫眼球时搏动消失
C.眶脂体扩大
D.眼外肌肥厚
E.泪腺肿大
140、单项选择题
男性,阴囊肿大,于右侧腹股沟见一混杂回声光团,探头压可回纳腹腔。如图所示,考虑为()
A.隐睾
B.腹股沟斜疝
C.精原细胞瘤
D.睾丸脓肿
E.以上都不是
141、单项选择题 子宫内膜异位症声像图特征是()①子宫增大,形态饱满②子宫肌壁回声粗糙不均匀,与宫壁无明显界限③子宫内膜线移位④易与子宫肌瘤相混淆
A.①
B.①②
C.①②③
D.①②③④
E.①③④
142、单项选择题
右肝肋缘下向上扫查时常可见到镜面伪像,下列哪项是错误的()
A.正常肝脏:膈下为肝脏实像,膈上为肝脏虚像
B.肝内肿瘤:膈下、膈上各有一个对称的肿瘤,前者为实像,后者是伪像
C.肝内囊肿:膈下、膈上各有一个对称性肿瘤,前者为实像,后者是伪像
D.右侧胸腔积液时,以上镜面伪像更明显
E.右侧胸腔积液时,以上镜面伪像消失
143、单项选择题
女性,32岁,因停经42天行超声检查,经阴道超声检查提示,初步判断为()
A.宫颈妊娠
B.宫颈囊肿
C.黄体囊肿
D.葡萄胎
E.以上都不对
144、单项选择题
该病例最有可能诊断是()

A.左房黏液瘤
B.左房巨大血栓
C.左房恶性肿瘤
D.左房转移瘤
E.以上都不是
145、单项选择题 异位妊娠发生于输卵管妊娠的百分率是()
A.30%
B.50%
C.70%
D.80%
E.95%
146、单项选择题 超声换能器将________能转换成_________能()
A.机械,声
B.电,机械能
C.热,声
D.任意能,电
E.电,热
147、单项选择题 乳腺纤维腺瘤的超声特征是()
A.边界光滑、有包膜、回声均匀、后方多增强
B.边界不光滑、有包膜、回声均匀、后方多增强
C.边界光滑、无包膜、回声均匀、后方多增强
D.边界光滑、有包膜、回声不均、后方多增强
E.边界光滑、有包膜、回声均匀、后方不增强
148、单项选择题 睾丸急性炎症的超声特点是()①睾丸明显增大,表面光滑②睾丸减小,表面不光滑③睾丸回声呈均匀或点片状低回声④睾丸回声明显不均匀,呈增强回声⑤CDFI:睾丸内血流信号明显增多,PW:Vmax增快,RI<0.5⑥CDFI:睾丸内血流信号减少,PW:Vmax减低,RI>0.5
A.①③⑤
B.②④⑥
C.①④⑥
D.②③⑤
E.①③⑥
149、单项选择题
男、30岁,体检时发现脾门处光团,根据超声声像图诊断为()
A.副脾
B.淋巴结
C.转移癌
D.脾脓肿
E.左肾上腺肿瘤
150、单项选择题
某患者,既往有肾炎病史。因头晕,无尿三日入院,根据其肝右叶-右肾声像图,最可能的诊断为()
A.慢性肾衰
B.急性肾炎
C.肾结核
D.尿路结石
E.慢性肾炎
151、单项选择题 脐疝和腹裂的鉴别点是()
A.胎儿腹壁缺陷位于胎儿脐部
B.膨出物内有肝脏、肠管
C.膨出物外包裹一透明膜
D.伴羊水过多
E.以上都不是
152、单项选择题
女,38岁。根据超声声像图,可诊断为()
A.肝脓肿
B.肝血管瘤
C.肝癌
D.局限性脂肪肝
E.肝内钙化灶
153、单项选择题 有关主动脉,以下哪项不对()
A.主动脉根部与左室相连
B.主动脉根部膨大称为主动脉窦,又称乏氏窦
C.主动脉窦分为右前窦、右后窦及左后窦
D.三个窦内各有一支冠状动脉开口
E.冠状动脉开口于窦壁中部
154、单项选择题 从移动的发射体获得的多普勒频移()
A.当多普勒入射角接近0°时最大
B.是发射和接收频率之和
C.多普勒角度为90°时最强
D.多普勒角度小于90°时为负向频移
E.是频率的平方根
155、单项选择题 主动脉弓离断的临床及超声表现不包括()
A.主动脉弓部以下连续中断
B.动脉导管连接肺动脉与降主动脉
C.常合并室间隔缺损
D.常不伴有肺动脉高压
E.可无导管未闭的杂音
156、单项选择题 早孕期间经阴道超声检查不能诊断的是()
A.异位妊娠
B.鉴别正常与异常的宫内孕
C.前置胎盘
D.确定早期宫内孕的孕龄
E.鉴别附件包块性质
157、单项选择题 胎囊的双囊可能是()①双胎妊娠②流产受阻或植入性出血③枯萎卵④两层蜕膜之间的无回声区
A.①
B.①②
C.①②③
D.①②③④
E.②③④
158、单项选择题 镜面反射通常出现在下列哪一组织周围()
A.肝脏
B.胆囊
C.脾脏
D.膈肌
E.胰腺
159、单项选择题 眼部超声检查的频率应选择()
A.2.5MHz
B.3.5MHz
C.5.0MHz
D.大于或等于7.5MHz
E.以上都不对
160、单项选择题 单纯性囊肿的诊断标准错误的是()
A.内部为无回声
B.壁薄而光滑
C.后壁回声清晰
D.后方回声增强
E.较厚的分隔
161、单项选择题 当进行彩色多普勒检查时,如彩色血流显示不佳,有许多辅助调节,下列哪一项是重要的调节()
A.调节监视器的亮度
B.调节监视器的对比度
C.调节灰阶图像的动态范围
D.调节灰阶图像的前后处理
E.调节多普勒的增益
162、单项选择题 超声诊断软组织肿瘤的局限性表现在哪个方面()
A.显示肿瘤的大小和形态
B.判定肿瘤的部位及其与相邻组织的关系
C.鉴别肿瘤的物理性质是囊性或实性
D.确定肿瘤的病理性质是良性或恶性
E.了解相邻骨骼是否受到侵犯
163、单项选择题 频谱多普勒技术检测多普勒血流时,下列哪项做法无意义()
A.屏住呼吸
B.调节滤波
C.速度标尺
D.取样容积大小
E.超声入射角校正
164、问答题 二维超声心动图常用基本切面的图像有哪些?
165、单项选择题 用于探测频移的仪器称()
A.多普勒仪
B.实时仪
C.B型仪
D.静态扫描仪
E.A型仪
166、单项选择题 下列哪项是葡萄胎灰阶图像的特征()
A.暴风雪状
B.小囊状
C.斑点状
D.钙化
E.以上全部
167、单项选择题 交通支静脉是()
A.下肢静脉与盆腔静脉的交通静脉
B.小腿静脉与大腿静脉的交通静脉
C.慢性静脉疾病时的侧支静脉
D.浅静脉和深静脉的交通静脉
E.曲张的静脉
168、判断题 超声引导肌肉和软组织穿刺活检,用于脓肿、血肿等含液性病变能确定其病理性质。
169、单项选择题 甲状腺炎声像图表现是()
A.甲状腺缩小,回声增强
B.弥漫性甲状腺肿大回声无改变
C.甲状腺内多个无回声
D.弥漫性甲状腺肿大回声减低
E.甲状腺体积增大,回声增强
170、单项选择题 孕几周以前胎盘实质呈均匀点状回声,基底层无增强回声()
A.29周
B.32周
C.36周
D.38周
E.40周
171、单项选择题 半月板损伤的特异声像图是()
A.半月板内的线状、带状及斑块状强回声
B.边缘局限性回声增强
C.向周边移位与韧带分离
D.关节腔内的无回声
E.独立光团的软骨剥离
172、单项选择题 以下哪项不符合肥厚型心肌病超声表现()
A.左心室扩大
B.室间隔增厚,常>15mm
C.SAM现象
D.左室流出道湍流频谱
E.主动脉瓣收缩中期关闭现象
173、单项选择题 伴有前列腺增生的前列腺结石是哪种()
A.成堆小结石
B.成堆小结石,弧形结石型
C.弧形结石型,散在小结石
D.弧形结石型
E.散在小结石,单个大结石
174、问答题 肾结核的声像图表现有哪些?
175、单项选择题
该病例最可能的诊断()

A.真性室壁瘤
B.假性室壁瘤
C.室壁憩室
D.扩张型心肌病
E.膜部瘤
176、单项选择题 关于声强的表述中,不正确的是()
A.声强指超声束在单位时间内通过单位截面积的能量
B.声强的单位可用瓦特每cm表示
C.空间峰值脉冲平均声强大于最大声强
D.最大瞬间声强大于最大声强
E.空间峰值时间平均值声强与脉冲持续时间和脉冲重复频率有关
177、问答题 卵巢赘生性囊肿有哪些?声像图表现如何?
178、单项选择题 关于卵巢无性细胞瘤,下列哪一项是错误的()
A.卵巢恶性生殖细胞实性肿瘤
B.常见于儿童及青年妇女
C.肿瘤彩色多普勒血流显像可显示丰富血流
D.卵巢实性良性肿瘤
E.卵巢少见肿瘤
179、单项选择题 评价超声指向性优劣的指标是()
A.近场长度和扩散角
B.声束大小
C.声束形状
D.探头频率
E.聚焦程度
180、单项选择题
男,60岁,胆囊结石病史多年,脾大小正常,有疫区接触史。结合超声声像图,诊断为()
A.肝血管瘤
B.血吸虫肝
C.肝癌
D.肝硬化
E.脂肪肝
181、单项选择题 异位妊娠时,人类绒毛膜促性腺激素(HCG)滴度一般是()
A.比正常宫内妊娠稍高
B.比正常宫内妊娠低
C.比正常宫内妊娠高50%
D.比正常宫内妊娠高100%
E.与正常宫内妊娠相同
182、单项选择题 超声诊断睾丸扭转的主要依据是()
A.睾丸缩小
B.睾丸肿大
C.睾丸内血流丰富
D.睾丸内无血流信号
E.睾丸周围积液
183、单项选择题
女,51岁,肛门停止排便排气1天。腹痛、无呕吐,有乙状结肠手术史。结合超声声像图,诊断为()
A.肠梗阻
B.输卵管积液
C.肠套叠
D.盆腔积液
E.结肠癌
184、单项选择题 下列对乳腺恶性实质性肿块的USG表现描述错误的是()
A.后壁回声清晰完整
B.内部回声不均匀
C.边缘粗糙,轮廓不规则
D.肿块后多有回声衰减
E.皮肤及周围组织被浸润
185、多项选择题 关于通常所说的DCS系统,下列说法错误的是()。
A、可编程逻辑控制器
B、紧急停车系统
C、分散控制系统
D、安全联锁系统
186、单项选择题 关于肾脏炎症性肿块的症状,错误的是()
A.低血糖
B.胁腹部痛
C.寒战
D.发热
E.血尿
187、单项选择题 对肺动脉高压的肺血流频谱的叙述错误的是()
A.ACT(加速时间)缩短
B.ACT/RPEP(右室射血前期时间)比值增大
C.RPEP延长
D.RVET(射血时间)缩短
E.ACT/RVET比值变小
188、单项选择题 葡萄胎的声像图特征是()
A.结中结征
B.半岛征
C.牛眼征
D.蜂窝状
E.火海征
189、单项选择题 试述左心血液循环的主要途径()
A.血液从外周动脉到毛细血管,再经外周静脉回主动脉
B.血流从左心到主动脉再到外周动脉、毛细血管网、静脉系统、最后经腔静脉回右心房
C.血流从腔静脉到右心房再到右心室
D.血流从肺动脉到肺静脉
E.血流从右心房到左心房到肺动脉
190、单项选择题 下列哪种超声检测方法诊断宫内死胎最可靠()
A.多参数实时扫查
B.多普勒
C.M型
D.音频数据
E.二维超声
191、单项选择题
女,42岁,上腹部经常疼痛不适,加重1周。声像图如图所示,结合超声声像图,诊断为()
A.左肝内胆管多发性结石
B.左肝内胆管蛔虫
C.左肝内胆管癌
D.左肝钙化灶
E.左肝内血管瘤
192、单项选择题 凸阵扫描探头,临床常用于何部位的检查()
A.腹部
B.乳房
C.睾丸
D.甲状腺
E.头颅
193、单项选择题 关于界面反射的描述,正确的是()
A.第二种介质的声阻抗大小决定反射声能的大小
B.反射角大于入射角
C.折射角小于入射角
D.折射的产生是入射角过小的缘故
E.声强反射系数为零时,超声将全部透射过界面
194、单项选择题 超声检测前列腺的意义在于()
A.前列腺声像图不能确定小肿瘤
B.经直肠探测,对可疑病变区活检
C.除非活检它不能区别良恶性
D.A及C二者
E.A和B
195、单项选择题 主动脉缩窄最常发生在哪个部位()
A.主动脉起始部
B.升主动脉
C.腹主动脉
D.主动脉峡部
E.主动脉弓
196、问答题 三维超声在产科临床的应用价值有多大?
197、单项选择题 女,40岁,间断无痛性血尿1年,声像图示右肾中下部6cm×5cm中等偏低回声肿块,边界清楚,内部回声欠均匀,肿块向肾表面隆起,并推挤肾窦,右肾静脉内实填。考虑诊断是()
A.肾血管平滑肌脂肪瘤
B.肾母细胞瘤
C.肾细胞癌
D.肾盂癌
E.肾腺瘤
198、单项选择题 下列哪一项不是卵巢实质性恶性肿瘤()
A.绒毛膜上皮癌
B.纤维上皮瘤
C.无性细胞瘤
D.内胚窦瘤
E.肉瘤
199、单项选择题 风心病二尖瓣狭窄B超诊断主要表现,下列哪项是错误的()。
A.二尖瓣增厚,纤维化,钙化,腱索粘连,缩短
B.二尖瓣口开放幅度减小及瓣口面积变小
C.前叶瓣尖运动消失,瓣体活动正常或幅度减,呈“圆顶状”
D.左房扩大,肺静脉扩张
E.二尖瓣关闭时留有缝隙
200、单项选择题 彩色多普勒技术对检测脏器肿瘤的用途是()
A.检测肿瘤大小
B.判断肿瘤的物理性质
C.检测肿瘤有无包膜
D.检测肿瘤的血供丰富与否及血供特点
E.检测肿瘤的回声分布
201、单项选择题 双胎间输血综合征主要发生于下列哪种情况()
A.单卵双胎,两胎儿共用胎盘中血管,有血管吻合
B.双卵双胎,两胎儿共用胎盘中血管,有血管吻合
C.单卵双胎,两胎儿不共用胎盘中血管,无血管吻合
D.双卵双胎,两胎儿不共用胎盘中血管,无血管吻合
E.以上都不是
202、单项选择题 肝脏炎性假瘤不正确的说法是()
A.低回声结节
B.等回声结节
C.中心部常见高回声斑点
D.彩超显示放射状分布的血流信号
E.内部回声不均匀
203、单项选择题
图示7所指部位()
A.脾静脉
B.胃
C.胰尾
D.第二肝门
E.左肾上腺
204、单项选择题
女,27岁,下腹部疼痛数月,体检:右侧附件区增厚、增大,B超检查如图所示,最可能的诊断为()
A.右侧卵巢囊肿
B.右侧输尿管扩张
C.右侧输卵管积液
D.盆腔积液
E.以上都不是
205、单项选择题 彩色多普勒及频谱多普勒显示下腔静脉血流并测速的方法,以下哪项不正确()
A.使声束与血管长轴垂直
B.使声束勿与血管长轴垂直
C.选择适当的血流速度标尺(scale)
D.彩色血流取样框尽可能地缩小
E.使取样容积放置在静脉中央,血流与取样线夹角θ<60°
206、单项选择题 前列腺结石有哪几种类型()①散在小结石无声影②弧形结石多无声影③成堆小结石④单个大结石伴声影⑤散在小结石伴声影⑥弧形结石多伴声影⑦单个大结石不伴声影
A.①②③④
B.②③④⑤
C.③④⑤⑥
D.④⑤⑥⑦
E.③⑤⑥
207、单项选择题 下列诊断法中属于辉度调节型的是()
A.B超声诊断法
B.A超声诊断法
C.M超声诊断法
D.超声频移诊断法
E.多普勒诊断法
208、单项选择题 晚孕时测量双顶径8.6cm(35周)、头围32.5cm(36周)、腹围32.7cm(37周)、股骨长7.3cm(38周),经多参数测量孕龄是多少周()
A.36周
B.36.5周
C.37周
D.37.5周
E.38周
209、单项选择题 下列哪种肿瘤与麦格综合征有关()
A.子宫肌瘤
B.子宫体癌
C.卵巢纤维瘤
D.输卵管癌
E.库肯勃瘤
210、单项选择题
图示5所指部位()
A.脾静脉
B.腹主动脉
C.胰头
D.下腔静脉
E.肠系膜上静脉
211、单项选择题 哪一项最可能引起后部回声增强()
A.实性肿物
B.液性肿物
C.钙化性肿物
D.胆结石
E.体内异物
212、单项选择题
接收器的功能包括()
①检波
②压缩
③排斥
④放大
A.②③④
B.①②③④
C.②④
D.①②
E.①②③
213、单项选择题 如果总增益降低,那么()
A.施加于患者的能量降低
B.所有回声的强度都降低相同水平
C.探头频率降低
D.仅远场的回声亮度降低
E.分辨力降低
214、单项选择题 正常时胎儿膀胱每隔多长时间排空一次()
A.10~25分钟
B.30~45分钟
C.50分钟~1小时
D.1.5~2小时
E.3小时
215、单项选择题 亚急性甲状腺炎的临床及超声表现是()
A.初期咽痛、低热、有上呼吸道症状
B.实验室T、T增高,白细胞上升,血沉快
C.甲状腺中度增大,内有均质稀疏弱回声点
D.彩色多谱勒血流显像显示血流较丰富或不丰富
E.以上都是
216、单项选择题
男,57岁,慢性乙肝多年,现上腹痛,纳差,AFP>500,结合超声声像图,诊断为()

A.肝血管瘤
B.肝脓肿
C.结节性肝硬化
D.弥漫性肝癌
E.脂肪肝
217、单项选择题
男性,45岁,因出现无痛性血尿半月余就诊,根据超声声像图提示,最可能的诊断是()
A.肾细胞癌
B.肾结核
C.肾囊肿
D.肾脓肿
E.肾结石
218、单项选择题
图中肝脏图像最长的管道为()
A.肝右静脉
B.肝中静脉
C.门静脉右支
D.下腔静脉肝段
E.门脉左支
219、单项选择题 区分左、右肝叶的标志有()①肝正中裂②肝中静脉③静脉韧带④镰状韧带
A.①
B.①②
C.③
D.③④
E.④
220、单项选择题
男,64岁,右上腹反复疼痛不适数10年,加重5天。声像图如图所示,诊断为()
A.肝内钙化带
B.胆囊充满型结石并萎缩性胆囊炎
C.胆囊蛔虫
D.肠襻回声
E.胆囊癌
221、单项选择题 超声检测肾脏时,病人通常取什么体位()①站立②侧卧③俯卧④仰卧
A.①②
B.②③
C.②③④
D.①②③④
E.①③④
222、单项选择题 一般在妊娠多少周才能清楚显示胎头光环()
A.8周
B.8~9周
C.10周
D.11周
E.12周
223、单项选择题
该食管超声心动图箭头所示为()

A.左心耳血栓
B.左房黏液瘤
C.左房梳状肌
D.以上都不是
E.左房赘生物
224、单项选择题
女,现在正在行肺癌放疗治疗。结合超声声像图,诊断为()
A.转移性癌
B.脾血肿
C.脾梗死
D.脾脓肿
E.脾血管瘤
225、单项选择题
超声引导下肾活检穿刺适应证有()
①弥漫性肾小球肾炎、肾病的鉴别诊断和分型
②原因不明性血尿、急性肾衰原因不明者
③累及肾脏的系统性疾病.
④肾结核
⑤移植肾排异或复发性肾病
⑥肾不典型肿块
⑦孤立肾
⑧萎缩肾
A.①②③④⑤
B.①②③④⑤⑥
C.①②③④⑤⑥⑦
D.①②⑤⑥
E.⑤⑥⑦
226、单项选择题 用彩色多普勒血流成像技术检测手指末端小动脉,下列哪项调节是错误的()
A.用低的速度标尺
B.彩色图选用两色图
C.小的取样容积
D.低通滤波器
E.高通滤波器
227、单项选择题 为安全起见大于3个月的胎儿除什么部位外不作定点的长时间辐射()
A.脑
B.眼
C.生殖系
D.心脏
E.四肢
228、问答题 经阴道超声检查有哪些优缺点?
229、问答题 肾上腺皮质腺瘤的声像图表现有哪些?
230、单项选择题 门脉是由下列哪些静脉汇合构成的()
A.肠系膜上、下静脉
B.肠系膜上静脉和脾静脉
C.肠系膜上静脉和胃静脉
D.脾静脉和胰静脉
E.脾静脉和肝静脉
231、单项选择题 鉴别囊肿与实性肿瘤最可靠的依据是()
A.边界光滑,整齐与否
B.外形是否圆形或椭圆形
C.内部无回声或有回声
D.后方回声增强与否
E.边界回声、外形、内部回声、后方回声综合分析
232、单项选择题 下面叙述中错误的是()
A.声波在不同组织中传播速度相同
B.组织硬度越大,声速越大
C.组织密度越低,声速越小
D.空气中声速低于骨组织中声速
E.医用超声诊断设备均以软组织中的声速作为校正标准
233、单项选择题 超声波是由波源振动而产生,其最低振动频率不小于()。
A、3000次/秒
B、5000次/秒
C、15000次/秒
D、18000次/秒
E、20000次/秒
234、单项选择题
男,近视,四肢细长,行超声检查心脏如图,最可能诊断为()

A.正常心脏图像
B.高血压心脏病
C.马方综合征
D.以上均不是
E.以上均是
235、单项选择题 恶性病变的声像图特点中,应除外()
A.形态较规则
B.边缘不光滑或断续
C.内部回声低弱或增强
D.后方回声衰减明显
E.周围组织呈浸润性改变
236、单项选择题 常用的压电材料不包括()
A.石墨
B.钛酸钡
C.锆钛酸铅
D.天然石英晶体
E.PVDF
237、问答题 纯性肾囊肿的声像图表现有哪些?
238、问答题 肾积水超声声像图表现?
239、单项选择题
该图蓝色血流信号表示()

A.动脉血
B.静脉血
C.血流方向背离探头
D.血流方向朝向探头
E.以上均不是
240、单项选择题 对子宫内膜癌手术范围选择及预后判断重要的超声表现是()
A.肿瘤血流丰富
B.肿瘤大小
C.肿瘤形态
D.肿瘤内回声不均质
E.肿瘤浸润子宫肌层大于50%
241、名词解释 探头
242、单项选择题 人体中不会产生多普勒效应的是()
A.胎心
B.瓣膜
C.正常的心肌组织
D.静止不动的肝组织
E.血流
243、单项选择题 下列哪项不符合胎儿肺声像图的特点()
A.呈中等回声
B.随妊娠增长回声逐渐增强
C.足月妊娠肺回声比肝脏回声强
D.超声能显示含有空气并呈静止状态的胎肺回声
E.呈无回声
244、单项选择题 颈内动脉血流频谱形态为()
A.低阻力频谱
B.高阻力频谱
C.舒张期三峰频谱
D.宽频毛刺样频谱
E.窄频三峰递减型频谱
245、单项选择题 在进行多普勒检查时哪项不须特别关注()
A.血流方向
B.血流信号的特征
C.有无血流
D.多普勒增益
E.利用彩色多普勒测量血管宽度
246、单项选择题 如果用颈内动脉速度/颈总动脉速度作为诊断近端颈内动脉狭窄的指标,以下哪个收缩期峰值流速比值,提示颈内动脉管径狭窄率超过70%()
A.1.5
B.2.0
C.4.0
D.5.0
E.5.5
247、单项选择题
某患者右侧阴囊根部可触及小包块,超声声像图如下,最可能的诊断为()
A.精索鞘膜积液
B.睾丸鞘膜积液
C.附睾囊肿
D.睾丸肿瘤
E.附睾血肿
248、单项选择题 子宫位置有()①前倾位②后倾位③水平位④后倾后屈位
A.①
B.①②
C.①②③
D.①②③④
E.②③
249、单项选择题
患者,暴饮暴食,血淀粉酶升高,超声见胰腺体积增大,边界不清,如图所示,考虑为()
A.胰腺癌
B.胰腺炎
C.胰腺囊肿
D.胰腺脓肿
E.以上都不是
250、单项选择题 彩色多普勒血流显像仪的性能,下列哪项与之无关()
A.空间分辨力,速度分辨力,动态分辨力
B.细小血管低速血流检测灵敏度
C.图像及血流彩色均匀性
D.彩色血流的充盈度
E.彩色标图的形状
251、单项选择题 超声波是如何发生的()
A.换能器的逆压电效应
B.换能器的压电效应
C.换能器向人体发送电信号
D.换能器的热效应
E.换能器的磁效应
252、单项选择题 哪种疾病可完全由超声检查发现()
A.肝肿瘤
B.肝脓肿
C.胆管梗阻
D.肝转移
E.肝炎
253、单项选择题 下列乳腺癌中哪一种癌在超声显示上有特征性()
A.黏液癌
B.导管内乳头状癌
C.未分化癌
D.腺癌
E.以上都不是
254、单项选择题 下列哪项肿瘤的声像图呈实性回声()
A.子宫肌瘤玻璃样变
B.畸胎瘤
C.卵巢囊腺癌
D.卵巢纤维瘤
E.卵巢囊腺瘤
255、单项选择题
男28岁,胸部疼痛1周余,神清,心律齐,超声心动图如下,根据图片应提示()

A.单心室
B.心内膜垫缺损
C.三尖瓣上移
D.三尖瓣下移
E.三尖瓣狭窄
256、单项选择题 心脏原发性肿瘤最常见者为()
A.横纹肌瘤
B.纤维瘤
C.脂肪瘤
D.间皮瘤
E.黏液瘤
257、单项选择题
该病例最可能的诊断()

A.三房心
B.部分性肺静脉畸形引流
C.完全性肺静脉畸形引流
D.瓣上环
E.部分型心内膜垫缺损
258、单项选择题 关于卵巢黏液性囊腺瘤声像图表现的描述,下列哪项不正确()
A.囊壁均匀性增厚
B.无回声区内有细小点状回声
C.少数有乳头状物
D.直径多在10cm以上
E.增厚的囊壁可向周围浸润
259、单项选择题 患者于肝右前叶下段与左内叶交界处发现低回声不均匀实性肿块,边缘欠清,其内见多个强回声团伴声影,胆囊腔内无回声区消失,最可能诊断为()
A.胆囊癌实块型
B.肝细胞肝癌
C.炎性假瘤
D.胆管细胞肝癌
E.肝腺瘤
260、问答题 肾外伤的声像图表现有哪些?
261、单项选择题 盆腔腹膜反折位于阴道后穹窿水平,从子宫的后面到直肠的前面称为()①子宫直肠陷窝②Dauglas腔③膀胱子宫陷窝④膀胱直肠陷窝
A.①
B.②
C.①②
D.①②③
E.①②③④
262、单项选择题 肾的异常声像图表现中,错误的是()
A.肾盂结石:肾窦内有强回声光团伴后方声影
B.肾盂积水:肾窦分离,强回声肾窦一部分或全部为液性暗区替代
C.肾盂肿瘤:肾窦分离,内有低回声区,其后方回声无增强
D.多囊肾:肾实质内单发或多发边缘光滑的液体无回声区,后方回声增强内收
E.较大肾癌:肾实质内低回声肿块,边界较清,后方回声增强
263、单项选择题 下列关于肾外伤的描述中,哪一项不正确()
A.血尿是肾损伤的主要症状之一,血尿程度与伤情完全一致
B.超声可显示肾周围和肾组织破裂处有无血肿形成
C.声像图表现为肾周或局部实质有血肿暗区存在
D.陈旧性血肿,血块软化,回声增加,可呈类实性改变
E.合并肝脾破裂者,肝区或睥区有血肿暗区,腹盆腔内亦可有暗区
264、单项选择题 中孕,胎儿两大腿之间超声显示下列哪种图像可以肯定是男胎()①阴茎②阴囊③睾丸④前列腺
A.①
B.①②
C.①②③
D.①②③④
E.③④
265、单项选择题 下列哪种界面可产生“彗星尾征”伪像()
A.肝-胆界面
B.肌肉-骨界面
C.组织-气体界面
D.气-液界面
E.脂肪-骨界面
266、单项选择题
女,19岁,有淋巴瘤病史。结合超声声像图,诊断为()
A.脾淋巴瘤
B.脾血管瘤
C.脾结核
D.脾错构瘤
E.脾脓肿
267、单项选择题 在心底短轴不能显示冠脉的哪一支()
A.左主干
B.左前降支
C.右后降支
D.右主干
E.左旋支
268、名词解释 腹膜后肿块
269、单项选择题 为检查肝细胞癌的病灶内血流,用哪一种多普勒技术最简便有效()
A.M型彩色多普勒
B.彩色多普勒血流显像
C.多普勒能量图
D.彩色多普勒能量图与超声造影并用
E.以上都不是
270、单项选择题
彩色血流信号“溢出”血管外的原因是()
①取样容积过大
②滤波器频率过低
③增益过高
④对高速血流使用过低速度标尺
A.①
B.①②
C.①②③
D.①②③④
E.②③④
271、单项选择题 人体中不同组织和体液回声强度通常的分级是()
A.强回声,中等回声,低回声,无回声
B.强回声,中等回声,无回声
C.强回声,无回声
D.强回声,低回声
E.中等水平回声,无回声
272、多项选择题 囊性和实性肿瘤的声像图之间相互比较包括()
A.外形和边界
B.大小
C.内部回声
D.后方回声增强
E.侧边声影
273、单项选择题 关于多普勒频移与角度的关系,下列描述中错误的是()
A.声束与血流方向夹角为0度时,可测得最大正向频移。
B.声束与血流方向夹角为60度时,可测得正向频移。
C.声束与血流方向夹角为90度时,可测得最佳频移。
D.声束与血流方向夹角为120度时,可测得负向频移。
E.声束与血流方向夹角为180度时,可测得最大负向频移
274、单项选择题 双胎间输血综合征主要发生在()
A.双卵双胎
B.单卵双胎
C.A和B均是
D.A和B均不是
E.以上都不是
275、单项选择题 对镜面反射体而言()
A.入射角等于反射角
B.入射角大于反射角
C.不取决于声束的角度
D.入射角等于透射角
E.入射角等于折射角
276、单项选择题 左肝管与右肝管汇合形成肝总管常见于()
A.肝门部
B.肝实质内
C.胰腺水平
D.胆囊窝
E.壶腹部
277、问答题 膀胱憩室的声像图表现有哪些?
278、问答题 先天性肾畸形的声像图表现有哪些?
279、单项选择题 边缘性前置胎盘的声像图特点是()
A.胎盘下缘部分覆盖子宫颈内口
B.胎盘完全将子宫颈内口覆盖
C.胎盘下缘抵达子宫颈内口,但未覆盖宫颈内口
D.胎盘部分在子宫下段,距宫颈内口约5cm
E.胎盘部分在子宫下段,距宫颈内口约7cm
280、单项选择题 适当缩小取样框对彩色多普勒血流显像的主要作用是()
A.防止血流信号“外溢”到血管外
B.即使血流速度过高也不出现信号混叠现象
C.提高彩色信号灵敏度,提高帧频
D.可使血流速度随意增大
E.可减低血流速度
281、单项选择题 彩色多普勒成像时不影响帧频的因素是()
A.角度大小
B.深度
C.探头频率
D.滤波器
E.脉冲重复频率
282、单项选择题 至妊娠几周,卵黄囊缩小并入脐带()
A.7周
B.8周
C.9周
D.10周
E.11周
283、填空题 腹膜后肿块在USG上可分为4种表现类型,即___________________、________________、________________和_______________。
284、单项选择题 赫兹(Hz)表示()
A.密度
B.毫瓦每平方厘米
C.米每秒
D.周每秒
E.速度
285、单项选择题 从心尖部可检查哪个心脏超声切面图()
A.大动脉短轴切面图
B.上腔静脉长轴切面图
C.主动脉弓长轴切面图
D.四腔心切面图
E.主肺动脉短轴切面图
286、单项选择题 以下何者不是右心容量超荷的超声表现()
A.右心腔扩大
B.三尖瓣运动幅度增大
C.室间隔运动平坦
D.右室流出道及肺动脉增宽
E.左心腔扩大
287、判断题 变换体位进行检查,肿块内有可活动的水平分隔线是腹膜后皮肤囊肿和畸胎瘤的表现特征。
288、单项选择题 下列哪一项临床或声像图表现与子宫发育畸形无关()
A.原发性闭经
B.不孕
C.习惯性流产
D.难产
E.子宫内膜增厚
289、单项选择题 探头的维护和保养措施中,不正确的是()
A.避免探头撞击、落地
B.用酒精擦拭清洁探头
C.探头消毒时不可采用高温蒸煮
D.探头电缆线避免用力牵拉、扭曲
E.禁用液体石蜡做耦合剂
290、单项选择题
患者,女性,甲状腺肿大。探及多个结节状的强回声光团,其内可见暗区。如图所示,最可能的诊断为()
A.甲状腺功能亢进
B.甲状腺腺瘤
C.甲状腺炎
D.结节性甲状腺肿
E.甲状腺癌
291、名词解释 过隔血流
292、单项选择题
淋巴结反应性增生的声像图特点是()
①淋巴结体积增大,长轴(L)/短轴(S)>2
②淋巴结体积增大,长轴(L)/短轴(S)<1
③淋巴结呈椭圆形,有完整强回声包膜,皮质呈均匀低回声,髓质回声稍强
④淋巴结呈类圆形,有完整中等回声包膜,皮质呈中等回声,髓质回声低
⑤淋巴结内血流量、流速均增加,呈高速低阻血流
⑥淋巴结内血管形态分布正常
A.①③⑤⑥
B.②④⑥
C.②③⑤⑥
D.①④⑤
E.①③⑥
293、单项选择题 胎囊平均径线是1cm,胎龄大约是()
A.4~5周
B.5~6周
C.7周
D.8周
E.9周
294、判断题 异位妊娠绝大部分发生在卵巢和宫颈。
295、单项选择题 青春期前子宫停止发育;青春后期宫颈比宫体长;宫体小,前后径<2cm。符合下列哪项诊断()
A.幼稚子宫
B.单角子宫
C.先天性无子宫
D.始基子宫
E.正常子宫
296、单项选择题 正常心肌背向散射积分的最大值在()
A.舒张末期
B.收缩末期
C.舒张早期
D.收缩早期
E.以上都不对
297、单项选择题 双胎妊娠最常见的胎位是()
A.双胎均为头位
B.双胎均为臀位
C.一个头位和一个臀位
D.一个头位和一个横位
E.双胎均为横位
298、填空题 胎儿畸形包括__________、__________、___________、_____________、_____________、__________________、__________________、______________或___________等。
299、单项选择题 女性,24岁,葡萄胎刮宫术3个月,血β-HCG121U/L。对该病例病情判断,下列哪项是错误的()
A.再次妊娠
B.葡萄组织宫内残留
C.绒毛膜癌
D.侵蚀性葡萄胎
E.术后血β-HCG正常下降过程
300、单项选择题
男性,60岁,排尿不适,无痛性血尿,膀胱声像图如图,根据图中表现及所标志的体位,最可能的超声诊断为()
A.膀胱息肉
B.膀胱结石
C.膀胱癌
D.膀胱血块
E.前列腺癌