时间:2022-07-08 03:06:10


1、单项选择题 男性患者67岁,半月来在爬楼梯时常感心前区疼痛,痛为压迫样,并向左肩、左上肢放射,持续1~2分钟,休息后能缓解。近五天来在工作时上述症状常出现,尤其工作较为紧张时发作为多,含服硝酸甘油疼痛能迅速缓解。有高血压病病史三年,无冠心病史及药物过敏史。嗜烟,无嗜酒。父母有高血压病史。查体:T36℃、R20次/分、P78次/分、BP180mmHg/100mmHg,一般情况尚可。心界不大,心率78次/分,律整,未闻病理性杂音。双肺叩诊清音,未闻干湿啰音。腹软,肝脾未扪及。双下肢无水肿。 本病的诊断是()。
A.(1)冠心病、不稳定型心绞痛(2)高血压病Ⅲ期、极高危
B.(1)冠心病、稳定型心绞痛(2)高血压病Ⅲ期、极高危
C.(1)夹层动脉瘤(2)高血压病Ⅲ期、极高危
D.(1)急性肺栓塞(2)高血压病Ⅲ期、极高危
E.(1)冠心病、稳定型心绞痛(2)高血压病Ⅱ期、高危
2、单项选择题 患者,男性,67岁,渐进性劳累后呼吸困难5年,加重伴双下肢水肿半月入院。患者5年前开始出现胸闷、气短,尤以上楼和活动时为甚。常常夜间憋醒,不能平卧,咯少量白黏痰。无胸痛等不适。近半月来出现颜面和双下肢水肿,尿少、腹胀。既往有高血压史10年,血压在170~200mmHg/100~120mmHg,无进行治疗。无肝肾疾病史,无肺结核史,无嗜酒,有吸烟史。无糖尿病史。查体:T36.7℃、R20次/分、P101次/分、BP180mmHg/100mmHg、神清、检查合作,半坐卧位,嘴唇轻度紫绀。巩膜无黄染,颈静脉怒张,气管居中,甲状腺不大。双肺叩诊清音,双肺未闻干湿啰音。心界向两侧扩大,心率101次/分,心率快慢不一,脉搏短绌。心前区可闻Ⅲ级收缩期杂音。腹软,肝于肋下3cm,轻触痛,肝颈静脉征阳性,脾未扪及,移动浊音(-),肠鸣音正常。双下肢明显凹陷性水肿。实验室检查肝肾正常,血尿常规正常。 对轻、中、重度心力衰竭均有效,可作为治疗慢性心力衰竭第一线药物的血管扩张剂是()。
A.硝普钠
B.转换酶抑制剂
C.钙拮挤剂
D.硝酸甘油
E.多巴胺
3、单项选择题 36岁女性患者,引产1周后发热伴腹痛2天。体查:全腹软,少量阴道血性分泌物,宫颈举痛(+),子宫增大如孕3个月,宫体压痛,双附件增厚压痛,T39℃,WBC18×109/L,中性粒细胞90%。 本病例考虑诊断是()。
A.急性盆腔炎
B.急性宫颈炎
C.输卵管卵巢脓肿
D.败血症
E.以上都不是
4、多项选择题 患儿,男,6岁,发热3天,体温38.5℃左右,伴头痛、肌痛,左耳垂下肿大、疼痛,张口时疼痛加重。血常规检查WBC4×10g/L,淋巴细胞0.7,约3周前曾探望有相同症状的表哥。 对于本病的健康指导不正确的是()。
A.只需要在儿童1岁时进行一次麻风腮三联疫苗免疫接种
B.使用腮腺炎减毒活疫苗进行常规接种
C.在流行季节,室内要经常通风换气,减少集体活动
D.定期开展对托幼园所、学校等集体单位的预防流行性腮腺炎知识宣传
E.所有病人均须在传染病医院隔离治疗
F.呼吸道隔离至病后7日
5、多项选择题 女,8个月(冬季出生),因不思饮食、易惊和间断性短暂抽搐而求治,吃喝量少,生后用牛奶和米粉喂养,6个月后以粥为主食,用过4盒维生素AD制剂,服过半年糖钙片(具体不详)。母孕期小腿偶有抽筋。体查:37℃,面色黄,站不很稳,方颅、枕区发稀,牙3枚,胸骨凹陷,肋串珠明显,呈纯圆形,心正常,腹胀,肝肋下一指,双腿呈"O"形,佛氏征阳性,陶氏征可疑。化验:白细胞及分类下降。 此病人应采取下列哪些治疗措施()。
A.先服三天10%氯化钙,每天三次,每次10ml,然后再加一般钙制剂
B.钙与维生素D同时开始口服
C.先注射维生素D,再服钙剂
D.病儿每天宜服维生素D5000IU以上
E.病儿每天宜服钙500~800mg
6、多项选择题 患者男性,50岁。因旅游途中进食海鲜后1天出现右足趾及趾跖关节剧烈疼痛,伴红肿,有发热。既往发作过两次,每次发作一周左右可自行缓解,曾用过青霉素治疗效果不明显。查体:痛苦面容,呻吟。体温39.2℃,右足趾及趾跖关节红肿、压痛,局部皮温增高。血白细胞11.4×109/L,中性粒细胞0.88,血尿酸630μmol/L。 对本病进行一般治疗时,正确的是()。
A.控制总热量
B.适当运动
C.控制体重
D.限制饮水
E.慎用噻嗪类药物
F.积极治疗相关疾病
7、多项选择题 患者。男性,40岁,曾为长途车司机,有野游史。近3年有静脉吸毒,因发热1个月余、加重伴咳嗽、咳血痰2周收治。近年渐出现消瘦,体重下降10kg;近1个月余出现不规则发热,以下午低热为多,有盗汗;近2周出现高热,渐出现咳嗽,咳血痰,经规律抗菌药物治疗无效。查体:T39.0℃,R32次/分,BP100/65mmHg,无皮疹,皮肤无黄染,颈部、腋下、腹股沟可扪及多个1cm×1cm至1cm×1.5cm淋巴结,右上肺叩诊实音,右肺底可闻及湿啰音,心律齐,腹乎软。 需考虑哪几种病的可能()。
A.艾滋病
B.肺炎
C.传染性单核细胞增多症
D.肺结核
E.肺癌
F.食管癌
8、多项选择题 男性患者,65岁。反复腹胀纳差疲乏30年,腹痛腹泻1周,发热尿少3天而入院。30年前因反复出现腹胀纳差疲乏而被确诊为乙肝。近1年来自感易疲乏,体力下降,时感腹胀,消瘦。1周前因进食不洁饮料出现腹泻、腹痛,服药后腹泻好转;但近3天出现发热,明显腹痛、腹胀,尿黄,尿量明显减少。家人反映近日患者有轻度性格和行为异常。入院后查体:意识尚清,但烦躁多语。慢性肝病面容,巩膜轻度黄染,肝掌明显,颈部及上胸部可见蜘蛛痣数枚。心肺无明显异常;腹部膨隆,脐下有压痛,轻度反跳痛,腹水征阳性。急诊化验:血常规:WBC10.8×10g/L,N0.89;电解质K+3.1mmol/L,Na+134mmol/L,Cl-98mmol/L,血氨为96μmol/L。 入院后应尽快完成的检查包括()。
A.肝、肾功能,凝血酶原活动度
B.胃镜了解食管静脉情况
C.腹腔穿刺,化验腹水性质
D.血气分析
E.B超了解腹部情况
F.大便常规
9、单项选择题 男性患者,65岁。反复腹胀纳差疲乏30年,腹痛腹泻1周,发热尿少3天而入院。30年前因反复出现腹胀纳差疲乏而被确诊为乙肝。近1年来自感易疲乏,体力下降,时感腹胀,消瘦。1周前因进食不洁饮料出现腹泻、腹痛,服药后腹泻好转;但近3天出现发热,明显腹痛、腹胀,尿黄,尿量明显减少。家人反映近日患者有轻度性格和行为异常。入院后查体:意识尚清,但烦躁多语。慢性肝病面容,巩膜轻度黄染,肝掌明显,颈部及上胸部可见蜘蛛痣数枚。心肺无明显异常;腹部膨隆,脐下有压痛,轻度反跳痛,腹水征阳性。急诊化验:血常规:WBC10.8×10g/L,N0.89;电解质K+3.1mmol/L,Na+134mmol/L,Cl-98mmol/L,血氨为96μmol/L。 肝性脑病前驱期的主要表现为()。
A.意识模糊
B.精神失常
C.性格行为改变
D.呼吸时有肝臭
E.腱反射亢进
10、单项选择题 患者,男性,25岁。因肺炎静滴新型青霉素I,1天后出现关节痛、皮疹、尿量减少。尿常规示:蛋白(++),白细胞3~6个/HP,红细胞5~8个/HP。血常规:血红蛋白108g/L,白细胞4.7×109/L;白细胞分类:中性粒细胞0.62,淋巴细胞0.28,嗜酸性粒细胞0.10;血小板120×109/L。 临床诊断首先考虑()。
A.狼疮肾炎
B.急性肾小球肾炎
C.慢性肾小球肾炎
D.急性间质性肾炎
E.急性肾盂肾炎
F.急性膀胱炎
G.多发性骨髓瘤
H.类风湿关节炎
11、多项选择题 患者,女性,30岁。因尿频、尿急伴腰区痛3天,寒战、高热6小时急诊。既往体健,目前妊娠6个月,无手术外伤史。查体:T39.6℃,P118次/分,BP120/70mmHg,急性热病容,双眼睑无水肿,心肺正常,腹平软,上输尿管点轻度压痛,双肾区明显叩击痛,双下肢轻度水肿。 治疗尿路感染的抗生素选用原则有哪些()。
A.根据不同部位的尿路感染确定治疗方案
B.选用对致病菌敏感的抗生素
C.如无药敏结果,宜选用对革兰阴性杆菌有效的抗生素
D.抗菌药物在尿中及肾内的浓度要高
E.选用对肾损害小的抗生素
F.选用半衰期长的抗生素
G.选用广谱抗生素
12、单项选择题 患者,女,32岁,婚后5年未孕,痛经3年。平素月经规律,近3年出现经期腹痛,并呈进行性加重。男方精液检查未见明显异常。妇科检查:外阴、阴道、宫颈未见异常;子宫后倾后屈位,大小正常,后壁颈峡部可及触痛性结节;右侧附件区可触及一囊肿,大小约8cm×5cm,活动差。左侧附件未触及明显异常。 着手术治疗,最佳的方案为()。
A.腹腔镜下剥除右侧卵巢囊肿+输卵管通液术,术后内分泌治疗
B.腹腔镜下剥除右侧卵巢囊肿
C.经腹右侧卵巢囊肿剥除术
D.腹腔镜下右侧附件切除术
E.经腹右侧附件切除术
13、多项选择题 患儿,男,6岁,发热3天,体温38.5℃左右,伴头痛、肌痛,左耳垂下肿大、疼痛,张口时疼痛加重。血常规检查WBC4×10g/L,淋巴细胞0.7,约3周前曾探望有相同症状的表哥。 对本患儿需注意下列哪些并发症()。
A.脑膜炎
B.喉、气管、支气管炎
C.败血症
D.睾丸炎
E.心肌炎
F.支气管肺炎
14、单项选择题 患者,男性,25岁。因肺炎静滴新型青霉素I,1天后出现关节痛、皮疹、尿量减少。尿常规示:蛋白(++),白细胞3~6个/HP,红细胞5~8个/HP。血常规:血红蛋白108g/L,白细胞4.7×109/L;白细胞分类:中性粒细胞0.62,淋巴细胞0.28,嗜酸性粒细胞0.10;血小板120×109/L。 对该患者治疗的关键是()。
A.停用致敏药物
B.使用激素
C.使用细胞毒药物
D.血液透析
E.纠正贫血
F.使用抗生素
15、多项选择题 患者,男性,25岁。因肺炎静滴新型青霉素I,1天后出现关节痛、皮疹、尿量减少。尿常规示:蛋白(++),白细胞3~6个/HP,红细胞5~8个/HP。血常规:血红蛋白108g/L,白细胞4.7×109/L;白细胞分类:中性粒细胞0.62,淋巴细胞0.28,嗜酸性粒细胞0.10;血小板120×109/L。 进一步确诊还需做哪些检查()。
A.腹部X线平片
B.尿查抗酸杆菌
C.肾活检
D.逆行肾盂造影
E.中段尿培养
F.尿嗜酸性细胞计数
G.肾脏B超
H.静脉肾盂造影
I.血尿素氮、血肌酐测定
16、多项选择题 患者,女性,32岁。因纳差3天、发热伴咳嗽2天、意识模糊、烦躁半天急诊入院。现妊娠36周。有慢性乙肝病史10年。体检:R28次/分,P88次/分,BP120/75mmHg。神志恍惚;巩膜中度黄染,有肝掌,颈部可见散在分布的蜘蛛痣;右下肺闻及湿啰音,心脏听诊无明显异常;腹软。血红蛋白90g/L,白细胞11×109/L,N0.80;血糖7.0mmol/L,尿糖(+),尿镜检(-),血气分析正常。 患者的丈夫经检验乙肝五项:抗-HBs阳性,余阴性,则其可能为()。
A.乙肝恢复期
B.HBV既往感染
C.乙肝疫苗接种后
D.HBV复制期
E.HBV感染早期
F.HBV复制减少期
G.HBV患者
17、多项选择题 患者,女,32岁,婚后5年未孕,痛经3年。平素月经规律,近3年出现经期腹痛,并呈进行性加重。男方精液检查未见明显异常。妇科检查:外阴、阴道、宫颈未见异常;子宫后倾后屈位,大小正常,后壁颈峡部可及触痛性结节;右侧附件区可触及一囊肿,大小约8cm×5cm,活动差。左侧附件未触及明显异常。 为明确诊断,应进一步做何种检查()。
A.腹腔镜检查
B.超声检查
C.内分泌检查
D.输卵管碘油造影
E.血CA125测定
18、多项选择题 患者,女性,30岁。因尿频、尿急伴腰区痛3天,寒战、高热6小时急诊。既往体健,目前妊娠6个月,无手术外伤史。查体:T39.6℃,P118次/分,BP120/70mmHg,急性热病容,双眼睑无水肿,心肺正常,腹平软,上输尿管点轻度压痛,双肾区明显叩击痛,双下肢轻度水肿。 急诊应先进行哪些化验检查()。
A.外周血白细胞计数及分类
B.尿常规
C.双肾及膀胱B超
D.尿素氮及血肌酐
E.清洁中段尿培养及菌落计数和药敏试验
F.静脉肾盂造影
G.尿沉渣涂片作革兰氏染色
19、多项选择题 女,8个月(冬季出生),因不思饮食、易惊和间断性短暂抽搐而求治,吃喝量少,生后用牛奶和米粉喂养,6个月后以粥为主食,用过4盒维生素AD制剂,服过半年糖钙片(具体不详)。母孕期小腿偶有抽筋。体查:37℃,面色黄,站不很稳,方颅、枕区发稀,牙3枚,胸骨凹陷,肋串珠明显,呈纯圆形,心正常,腹胀,肝肋下一指,双腿呈"O"形,佛氏征阳性,陶氏征可疑。化验:白细胞及分类下降。 下列血检结果,哪些正确()。
A.血清钙、磷均低
B.血清碱性磷酸酶高
C.血清1,25-(OH)2D2低
D.血清25-OH-D3高
E.血清25-OH-D3低
20、多项选择题 患者,男性,50岁。无吸烟史,既往体健,因发热、咳嗽、胸痛7天就诊,咳少量黄白色黏痰。查体:T37.8℃,神志清,呼吸平顺,唇甲无发绀,气管居中,右中下肺叩诊呈浊音,右中下肺呼吸音明显减弱,右下肺可闻及少许细湿性啰音。 患者应首先完善以下哪些资料()。
A.血常规
B.尿常规
C.血气分析
D.血培养
E.痰培养
F.胸片
G.胸部CT
21、多项选择题 患者,女性,32岁。因纳差3天、发热伴咳嗽2天、意识模糊、烦躁半天急诊入院。现妊娠36周。有慢性乙肝病史10年。体检:R28次/分,P88次/分,BP120/75mmHg。神志恍惚;巩膜中度黄染,有肝掌,颈部可见散在分布的蜘蛛痣;右下肺闻及湿啰音,心脏听诊无明显异常;腹软。血红蛋白90g/L,白细胞11×109/L,N0.80;血糖7.0mmol/L,尿糖(+),尿镜检(-),血气分析正常。 患者的母亲即婴儿的外祖母为"慢性病毒性肝炎",但分型不详。如果化验检查可能为如下结果()。
A.抗-HAV-IgG阳性,抗-HAV-IgM阴性
B.抗-HEV-IgG阳性,抗-HEV-IgM阳性
C.HEV-IgG阳性,抗-HEV-IgM阴性
D.HBsAg阳性,HBeAg阳性
E.HBsAg阳性,抗-HBc-IgM阳性,抗-HBe阳性
F.抗-HCV阳性
G.抗-HDV阳性
22、多项选择题 患者。男性,40岁,曾为长途车司机,有野游史。近3年有静脉吸毒,因发热1个月余、加重伴咳嗽、咳血痰2周收治。近年渐出现消瘦,体重下降10kg;近1个月余出现不规则发热,以下午低热为多,有盗汗;近2周出现高热,渐出现咳嗽,咳血痰,经规律抗菌药物治疗无效。查体:T39.0℃,R32次/分,BP100/65mmHg,无皮疹,皮肤无黄染,颈部、腋下、腹股沟可扪及多个1cm×1cm至1cm×1.5cm淋巴结,右上肺叩诊实音,右肺底可闻及湿啰音,心律齐,腹乎软。 首先应进行哪些检查()。
A.胸片
B.痰液培养
C.痰找抗酸杆菌
D.血常规
E.HIV特异性病原学检查
F.血气分析
G.骨髓穿刺
H.痰找癌细胞
23、多项选择题 某医院护士,23岁。因发热伴咽痛、轻微干咳2天就诊。发病时间是传染性非典型肺炎(SARS)流行期间。查体:T39.5℃,R27次/分,BP110/65mmHg,P87次/分,无皮疹,皮肤无黄染,双肺呼吸音粗,未闻及啰音,余未见异常,心律齐。 患者当日查血常规,WBC4×109/L,N:0.55,1:0.45。X线胸片检查:双肺纹理增粗,余未见异常。应进行哪些处置()。
A.按医学观察病例处理
B.2小时内进行网络直报
C.暂不用网络直报
D.6小时内对患者居所采取消毒措施
E.12小时内对患者居所采取消毒措施
F.隔1~2天复查胸片
24、单项选择题 患者男性,50岁。因旅游途中进食海鲜后1天出现右足趾及趾跖关节剧烈疼痛,伴红肿,有发热。既往发作过两次,每次发作一周左右可自行缓解,曾用过青霉素治疗效果不明显。查体:痛苦面容,呻吟。体温39.2℃,右足趾及趾跖关节红肿、压痛,局部皮温增高。血白细胞11.4×109/L,中性粒细胞0.88,血尿酸630μmol/L。 目前治疗的首选药物是()。
A.氢氯噻嗪
B.秋水仙碱
C.丙磺舒
D.别嘌呤醇
E.苯溴马隆
F.布洛芬
25、多项选择题 患者,男性,52岁。有慢性乙型肝炎病20余年,近半年感觉恶心,食欲不振,乏力伴肝区疼痛,消瘦约5kg。体检:巩膜轻度黄染,胸部蜘蛛痣一个,肝肋下约2cm,剑突下4cm,质硬,边缘钝,脾肋下2cm,上腹部可听到血管杂音。ALT120U/L,AST250U/L,AKP65U/L,T-Bili32μmol/L,D-Bili17μmol/L,A18g/L,G25g/L,Hb100g/L,WBC3.7×109/L,PLT90×109/L。 下列哪种肝病最有可能()。
A.乙肝后肝硬化
B.原发性肝癌
C.慢性活动性肝炎
D.血吸虫病性肝硬化
E.胆汁性肝硬化
F.肝脓肿
26、多项选择题 患者,男性,50岁。无吸烟史,既往体健,因发热、咳嗽、胸痛7天就诊,咳少量黄白色黏痰。查体:T37.8℃,神志清,呼吸平顺,唇甲无发绀,气管居中,右中下肺叩诊呈浊音,右中下肺呼吸音明显减弱,右下肺可闻及少许细湿性啰音。 患者行血常规示:WBC21×109/L,N94%,L7%;胸片示右中下肺可见大片状高密度阴影,边缘尚清。目前可能的诊断为()。
A.肺炎
B.肺结核
C.肺癌
D.肺梗死
E.脓胸
F.急性肺水肿
27、多项选择题 患者,男性,25岁,不慎从4米高处跌下,半小时后被送入急诊室。体检:血压30/15mmHg,神清,气促,面色苍白,四肢发凉,脉细弱,左侧胸压痛明显、胸廓塌陷、有骨擦感及反常呼吸征,左胸见一2cm×2.5cm创口,可听到气体出入创口响声,左侧呼吸音消失,右侧呼吸音减低。 体格检查时,还应重点检查哪些项目()。
A.瞳孔
B.气管
C.胸壁
D.心、肺
E.肝、脾
F.脊柱
G.四肢
H.膝腱反射
I.病理反射
J.颈静脉
28、多项选择题 女,8个月(冬季出生),因不思饮食、易惊和间断性短暂抽搐而求治,吃喝量少,生后用牛奶和米粉喂养,6个月后以粥为主食,用过4盒维生素AD制剂,服过半年糖钙片(具体不详)。母孕期小腿偶有抽筋。体查:37℃,面色黄,站不很稳,方颅、枕区发稀,牙3枚,胸骨凹陷,肋串珠明显,呈纯圆形,心正常,腹胀,肝肋下一指,双腿呈"O"形,佛氏征阳性,陶氏征可疑。化验:白细胞及分类下降。 需与哪些疾病相鉴别()。
A.肾性佝偻病
B.肝脏疾病所致佝偻病
C.抗维生素D佝偻病
D.小儿癫痫病
E.脑性瘫痪
29、单项选择题 患者男性,50岁。因旅游途中进食海鲜后1天出现右足趾及趾跖关节剧烈疼痛,伴红肿,有发热。既往发作过两次,每次发作一周左右可自行缓解,曾用过青霉素治疗效果不明显。查体:痛苦面容,呻吟。体温39.2℃,右足趾及趾跖关节红肿、压痛,局部皮温增高。血白细胞11.4×109/L,中性粒细胞0.88,血尿酸630μmol/L。 该患者最可能的诊断是()。
A.急性痛风性关节炎
B.类风湿关节炎
C.骨关节炎
D.风湿性关节炎
E.化脓性关节炎
F.反应性关节炎
G.感染性关节炎
30、多项选择题 患者,男性,72岁。因胸骨后不适,进食时有滞留感一年就诊,滞留感常在进食固体食物时出现,无呕吐,无明显消瘦,有进食热粥50余年。查体:皮肤黏膜未见黄染、出血点,锁骨上淋巴结未扪及,心肺听诊无异常,腹平软,肝脾肋下未触及。 患者需首先进行的检查是()。
A.食管黏膜脱落细胞检查
B.食管X线检查
C.内镜检查与活检组织检查
D.食管CT检查
E.食管MRI检查
F.食管超声内镜检查
G.胸部X线片
31、多项选择题 患者,男性,25岁。因肺炎静滴新型青霉素I,1天后出现关节痛、皮疹、尿量减少。尿常规示:蛋白(++),白细胞3~6个/HP,红细胞5~8个/HP。血常规:血红蛋白108g/L,白细胞4.7×109/L;白细胞分类:中性粒细胞0.62,淋巴细胞0.28,嗜酸性粒细胞0.10;血小板120×109/L。 如果做肾穿刺活检,可能出现的病理改变是()。
A.肾小管受损
B.新月体形成
C.肾间质细胞浸润
D.肾间质水肿
E.肾血管坏死
F.肾小球轻度增生,部分肾小球有节段性硬化,肾小管萎缩
32、多项选择题 某医院护士,23岁。因发热伴咽痛、轻微干咳2天就诊。发病时间是传染性非典型肺炎(SARS)流行期间。查体:T39.5℃,R27次/分,BP110/65mmHg,P87次/分,无皮疹,皮肤无黄染,双肺呼吸音粗,未闻及啰音,余未见异常,心律齐。 首先要为该患者进行哪些检查()。
A.咽拭子培养
B.血常规
C.心电图
D.心肌酶、肝肾功能
E.血气分析
F.胸部X线照片
33、多项选择题 患者,女性,32岁。因纳差3天、发热伴咳嗽2天、意识模糊、烦躁半天急诊入院。现妊娠36周。有慢性乙肝病史10年。体检:R28次/分,P88次/分,BP120/75mmHg。神志恍惚;巩膜中度黄染,有肝掌,颈部可见散在分布的蜘蛛痣;右下肺闻及湿啰音,心脏听诊无明显异常;腹软。血红蛋白90g/L,白细胞11×109/L,N0.80;血糖7.0mmol/L,尿糖(+),尿镜检(-),血气分析正常。 化验检查:肝功能:ALT870U/L,AST680U/L,T-Bill156.5μmol/L,抗-HAV-IgG阳性,抗-HAV-IgM阴性,HBsAg阳性,HBeAg阳性,抗-HBc-IgM阳性,凝血酶原活动度(PTA)<40%,ANA(-),血氨高。B超示:肝脏及脾脏肿大。对此患者应进行哪些处置()。
A.禁食蛋白质
B.口服乳果糖
C.补充支链氨基酸
D.精氨酸静滴
E.肥皂水灌肠
F.确诊2天后报传染病卡
G.待病情稍稳定后尽快娩出胎儿
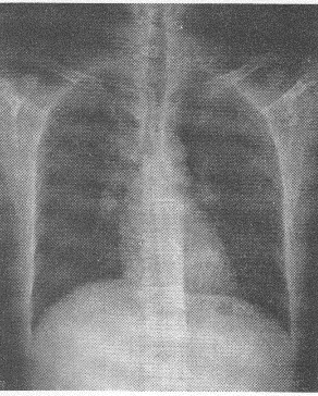
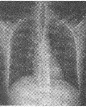
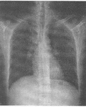
34、多项选择题
男,20岁,因"发热、咳嗽21天"入院。查WBC4.47×10/L,中性粒细胞45%。体查:体温37.6℃,双肺呼吸音粗,未闻及干湿啰音(图22-3)。
A.细支气管肺泡癌
B.支气管肺炎
C.吸入性肺炎
D.肺脓肿
E.过敏性肺炎
35、单项选择题 患者,女,32岁,婚后5年未孕,痛经3年。平素月经规律,近3年出现经期腹痛,并呈进行性加重。男方精液检查未见明显异常。妇科检查:外阴、阴道、宫颈未见异常;子宫后倾后屈位,大小正常,后壁颈峡部可及触痛性结节;右侧附件区可触及一囊肿,大小约8cm×5cm,活动差。左侧附件未触及明显异常。 如超声提示右侧卵巢巧克力囊肿可能性大,应如何处理()。
A.药物治疗
B.期待妊娠
C.根治术
D.根治术,术后内分泌治疗
E.保守手术,术后内分泌治疗
36、单项选择题 36岁女性患者,引产1周后发热伴腹痛2天。体查:全腹软,少量阴道血性分泌物,宫颈举痛(+),子宫增大如孕3个月,宫体压痛,双附件增厚压痛,T39℃,WBC18×109/L,中性粒细胞90%。 如本病例妇科检查发现盆腔左侧有一6cm×6cm×5cm类圆形囊性包块,与子宫壁粘连紧密,压痛阳性,考虑最可能的诊断是()。
A.败血症
B.输卵管卵巢脓肿
C.急性盆腔腹膜炎
D.急性子宫内膜炎
E.急性子宫肌炎
37、多项选择题 患者。男性,40岁,曾为长途车司机,有野游史。近3年有静脉吸毒,因发热1个月余、加重伴咳嗽、咳血痰2周收治。近年渐出现消瘦,体重下降10kg;近1个月余出现不规则发热,以下午低热为多,有盗汗;近2周出现高热,渐出现咳嗽,咳血痰,经规律抗菌药物治疗无效。查体:T39.0℃,R32次/分,BP100/65mmHg,无皮疹,皮肤无黄染,颈部、腋下、腹股沟可扪及多个1cm×1cm至1cm×1.5cm淋巴结,右上肺叩诊实音,右肺底可闻及湿啰音,心律齐,腹乎软。 应进行哪些防护措施()。
A.对患者的血液、分泌物、排泄物等进行消毒
B.隔离患者
C.杜绝不洁注射
D.医务人员应实行标准防护
E.加强AIDS的宣传教育
F.隔离密切接触患者的人员
38、单项选择题 女孩,4岁。发热伴咳嗽3~4天,今出皮疹,住外院拟诊"药物疹",口服阿司咪唑(息斯敏),回家后病情变化,咳加剧,来院就诊。体检:体温39℃,气急,鼻扇动,唇周青紫,两睑结膜红,口腔黏膜粗糙,心率每分钟160次,心音低钝,两肺背闻及细湿啰音,腹软,肝肋下3.5cm,剑下4cm,头面和躯干可见红色斑丘疹。附近地区有类似出疹小儿。 若该患儿出疹时高热,伴有抽搐,下列除哪项外,应怀疑此患儿并发脑炎()。
A.头痛、呕吐
B.嗜睡,意识蒙眬或昏迷
C.抽搐后呼吸节律不规则
D.瞳孔两侧等大,对光反应较迟钝
E.吸气性呼吸困难
F.四肢肌张力异常
39、单项选择题 患者,男性,72岁。因胸骨后不适,进食时有滞留感一年就诊,滞留感常在进食固体食物时出现,无呕吐,无明显消瘦,有进食热粥50余年。查体:皮肤黏膜未见黄染、出血点,锁骨上淋巴结未扪及,心肺听诊无异常,腹平软,肝脾肋下未触及。 患者电子内镜结果示距门齿33cm见一1cm×2cm溃疡,活检示高分化鳞癌,首选的治疗是()。
A.放疗
B.化疗
C.综合治疗
D.保守治疗
E.内镜治疗
F.放疗+化疗
40、多项选择题 患者,女性,46岁。突发上腹痛14小时,频繁呕吐胃内容物,疼痛阵发性加剧,向右肩放射2小时后发热伴腹胀,无寒战、腹泻。既往有上腹饱胀5年,按"胃痛"治疗后,偶有好转。查体:T:38.5℃,P:101次/分,BP:95/40mmHg,P:23次/分。心肺无异常,腹胀明显,腹部尚软,上腹压痛,肝脾未触及,腹部无移动性浊音。 本例主要诊断是()。
A.急性心肌梗死
B.急性胃肠炎
C.食管裂孔疝
D.急性胰腺炎
E.急性肠梗阻
F.消化性溃疡并急性穿孔
G.胆石症
H.急性胆囊炎
I.急性病毒性肝炎
J.缺血性结肠炎
41、单项选择题 患者,男性,67岁,渐进性劳累后呼吸困难5年,加重伴双下肢水肿半月入院。患者5年前开始出现胸闷、气短,尤以上楼和活动时为甚。常常夜间憋醒,不能平卧,咯少量白黏痰。无胸痛等不适。近半月来出现颜面和双下肢水肿,尿少、腹胀。既往有高血压史10年,血压在170~200mmHg/100~120mmHg,无进行治疗。无肝肾疾病史,无肺结核史,无嗜酒,有吸烟史。无糖尿病史。查体:T36.7℃、R20次/分、P101次/分、BP180mmHg/100mmHg、神清、检查合作,半坐卧位,嘴唇轻度紫绀。巩膜无黄染,颈静脉怒张,气管居中,甲状腺不大。双肺叩诊清音,双肺未闻干湿啰音。心界向两侧扩大,心率101次/分,心率快慢不一,脉搏短绌。心前区可闻Ⅲ级收缩期杂音。腹软,肝于肋下3cm,轻触痛,肝颈静脉征阳性,脾未扪及,移动浊音(-),肠鸣音正常。双下肢明显凹陷性水肿。实验室检查肝肾正常,血尿常规正常。 本病的诊断是()。
A.(1)高血压心脏病心脏扩大心功能不全、心功能Ⅳ级心房颤动(2)高血压病Ⅲ期、极高危
B.(1)冠心病心功能不全(2)高血压病Ⅲ期、极高危
C.(1)扩张型心肌病心肌(2)高血压病Ⅲ期、极高危
D.(1)风湿性心脏病、二尖瓣关闭不全(2)高血压Ⅱ期、高危
E.(1)肺源性心脏病心功能不全、心功能Ⅳ级心律失常(2)高血压病
42、单项选择题 女孩,4岁。发热伴咳嗽3~4天,今出皮疹,住外院拟诊"药物疹",口服阿司咪唑(息斯敏),回家后病情变化,咳加剧,来院就诊。体检:体温39℃,气急,鼻扇动,唇周青紫,两睑结膜红,口腔黏膜粗糙,心率每分钟160次,心音低钝,两肺背闻及细湿啰音,腹软,肝肋下3.5cm,剑下4cm,头面和躯干可见红色斑丘疹。附近地区有类似出疹小儿。 下一步应该怎么办()。
A.立即行胸部摄片
B.做心电图检查
C.做血常规检查
D.痰标本送细菌培养
E.立即住院进行抢救
F.居家观察
43、单项选择题
男,20岁,因"发热、咳嗽21天"入院。查WBC4.47×10/L,中性粒细胞45%。体查:体温37.6℃,双肺呼吸音粗,未闻及干湿啰音(图22-3)。
A.渗出病变为主
B.纤维性病灶为主
C.增殖性病灶为主
D.钙化型病灶为主
E.混合性病灶为主
44、单项选择题 1岁小儿,女孩,4天前开始发热、咳嗽、流涕,今晨发现耳后、发际浅红色斑丘疹,两眼泪汪汪,咽喉充血,眼结膜充血,口腔黏膜红,精神萎靡,肺呼吸音粗。 下列哪些项检查有助于早期诊断()。
A.血常规
B.血、尿、鼻咽分泌物组织培养检查病原体
C.鼻咽分泌物检查发现多核巨细胞
D.双份血清抗体检测
E.X线胸片
F.血清病毒分离
45、单项选择题 患者,男性,52岁。有慢性乙型肝炎病20余年,近半年感觉恶心,食欲不振,乏力伴肝区疼痛,消瘦约5kg。体检:巩膜轻度黄染,胸部蜘蛛痣一个,肝肋下约2cm,剑突下4cm,质硬,边缘钝,脾肋下2cm,上腹部可听到血管杂音。ALT120U/L,AST250U/L,AKP65U/L,T-Bili32μmol/L,D-Bili17μmol/L,A18g/L,G25g/L,Hb100g/L,WBC3.7×109/L,PLT90×109/L。 患者B超示右肝实质性暗区10cm×5cm,AFP1080μg/ml。患者进行下列哪项治疗较合适()。
A.手术治疗
B.放疗
C.全身化疗
D.肝动脉栓塞化疗
E.中医治疗
F.生物治疗
G.免疫治疗
46、单项选择题
男,20岁,因"发热、咳嗽21天"入院。查WBC4.47×10/L,中性粒细胞45%。体查:体温37.6℃,双肺呼吸音粗,未闻及干湿啰音(图22-3)。
A.原发性肺结核
B.慢性纤维空洞型肺结核
C.浸润性肺结核
D.血行播散型肺结核
E.结核性胸膜炎
47、单项选择题 36岁女性患者,引产1周后发热伴腹痛2天。体查:全腹软,少量阴道血性分泌物,宫颈举痛(+),子宫增大如孕3个月,宫体压痛,双附件增厚压痛,T39℃,WBC18×109/L,中性粒细胞90%。 首选的治疗方案是()。
A.支持治疗
B.立即剖腹探查
C.中药治疗
D.静滴广谱抗生素
E.口服广谱抗生素
48、多项选择题 患者,女性,32岁。因纳差3天、发热伴咳嗽2天、意识模糊、烦躁半天急诊入院。现妊娠36周。有慢性乙肝病史10年。体检:R28次/分,P88次/分,BP120/75mmHg。神志恍惚;巩膜中度黄染,有肝掌,颈部可见散在分布的蜘蛛痣;右下肺闻及湿啰音,心脏听诊无明显异常;腹软。血红蛋白90g/L,白细胞11×109/L,N0.80;血糖7.0mmol/L,尿糖(+),尿镜检(-),血气分析正常。 应尽快行哪些辅助检查()。
A.胸片检查
B.腹部CT
C.腹部B超
D.血氨测定
E.肝功能检查
F.电解质检查
G.头颅CT
49、单项选择题 患者汽车撞伤4小时,右上腹痛。查血压80/40mmHg,脉搏120次/分,右肋部皮肤擦伤,右上腹压痛明显,全腹轻度肌紧张,移动性浊音阳性,肠音弱,尿色正常。 首先应做的检查是()。
A.腹部CT
B.腹部B超
C.腹部X线片
D.尿常规
E.腹腔穿刺
50、多项选择题 患者,男性,25岁,不慎从4米高处跌下,半小时后被送入急诊室。体检:血压30/15mmHg,神清,气促,面色苍白,四肢发凉,脉细弱,左侧胸压痛明显、胸廓塌陷、有骨擦感及反常呼吸征,左胸见一2cm×2.5cm创口,可听到气体出入创口响声,左侧呼吸音消失,右侧呼吸音减低。 询问伤情时还应重点了解哪些情况()。
A.受伤体位
B.搬动方式
C.咯血
D.小便
E.伤前健康状况
F.呕吐
G.昏迷
H.家族遗传病史
51、多项选择题 患者,女性,32岁。因纳差3天、发热伴咳嗽2天、意识模糊、烦躁半天急诊入院。现妊娠36周。有慢性乙肝病史10年。体检:R28次/分,P88次/分,BP120/75mmHg。神志恍惚;巩膜中度黄染,有肝掌,颈部可见散在分布的蜘蛛痣;右下肺闻及湿啰音,心脏听诊无明显异常;腹软。血红蛋白90g/L,白细胞11×109/L,N0.80;血糖7.0mmol/L,尿糖(+),尿镜检(-),血气分析正常。 患者于病情稳定后经剖宫产娩出一女婴。此婴儿HBsAg阴性。应尽快对此婴儿作哪些处理()。
A.出生24小时内尽早注射乙肝免疫球蛋白(HBIG),剂量应≤100IU
B.出生12小时内尽早注射乙肝免疫球蛋白(HBIG),剂量应≥100IU
C.出生24小时内免费接种重组乙肝疫苗10μg,需缴纳注射费
D.出生24小时内免费接种重组乙肝疫苗10μg,不需缴纳注射费
E.间隔1和6个月分别接种第2和第3针乙肝疫苗
F.绝对禁止母乳喂养G禁止母亲接触婴儿
52、单项选择题 女孩,4岁。发热伴咳嗽3~4天,今出皮疹,住外院拟诊"药物疹",口服阿司咪唑(息斯敏),回家后病情变化,咳加剧,来院就诊。体检:体温39℃,气急,鼻扇动,唇周青紫,两睑结膜红,口腔黏膜粗糙,心率每分钟160次,心音低钝,两肺背闻及细湿啰音,腹软,肝肋下3.5cm,剑下4cm,头面和躯干可见红色斑丘疹。附近地区有类似出疹小儿。 此时最佳的处理是()。
A.口服中药,发表透疹
B.肌内注射退热剂
C.应用抗生素和洋地黄类强心剂
D.超声气雾止咳化痰
E.氧气吸入
F.居家观察
53、多项选择题 36岁女性患者,引产1周后发热伴腹痛2天。体查:全腹软,少量阴道血性分泌物,宫颈举痛(+),子宫增大如孕3个月,宫体压痛,双附件增厚压痛,T39℃,WBC18×109/L,中性粒细胞90%。 本病例的鉴别诊断有()。
A.急性阑尾炎
B.异位妊娠
C.子宫内膜异位症
D.卵巢囊肿蒂扭转
E.黄体破裂
54、单项选择题 患者,女性,58岁,1小时前打麻将时突然出现言语困难,右侧肢体无力,血压180/90mmHg,右侧鼻唇沟浅,右上肢Ⅱ级,右下肢肌力Ⅲ级,右侧巴氏征阳性,心电图示房颤。 该患者最可能的诊断是()。
A.脑血栓形成
B.腔隙性脑梗死
C.脑栓塞
D.蛛网膜下腔出血
E.脑膜炎
55、单项选择题 女孩,4岁。发热伴咳嗽3~4天,今出皮疹,住外院拟诊"药物疹",口服阿司咪唑(息斯敏),回家后病情变化,咳加剧,来院就诊。体检:体温39℃,气急,鼻扇动,唇周青紫,两睑结膜红,口腔黏膜粗糙,心率每分钟160次,心音低钝,两肺背闻及细湿啰音,腹软,肝肋下3.5cm,剑下4cm,头面和躯干可见红色斑丘疹。附近地区有类似出疹小儿。 上述病例应考虑()。
A.中毒型猩红热
B.药物疹
C.传染性单核细胞增多症
D.麻疹并发肺炎、心力衰竭
E.风疹并发心肌炎
F.荨麻疹并发肺炎
56、多项选择题 患者,男性,50岁。无吸烟史,既往体健,因发热、咳嗽、胸痛7天就诊,咳少量黄白色黏痰。查体:T37.8℃,神志清,呼吸平顺,唇甲无发绀,气管居中,右中下肺叩诊呈浊音,右中下肺呼吸音明显减弱,右下肺可闻及少许细湿性啰音。 患者经抗生素治疗后病情稳定、好转,发热、咳嗽、咳痰、胸痛消失,复查血常规未见异常,胸片示右中下肺病灶大部分吸收。目前诊断为()。
A.社区获得性肺炎
B.医院获得性肺炎
C.大叶性肺炎
D.小叶性肺炎
E.间质性肺炎
F.细菌性肺炎
G.病毒性肺炎
57、单项选择题 患者,女性,30岁。因尿频、尿急伴腰区痛3天,寒战、高热6小时急诊。既往体健,目前妊娠6个月,无手术外伤史。查体:T39.6℃,P118次/分,BP120/70mmHg,急性热病容,双眼睑无水肿,心肺正常,腹平软,上输尿管点轻度压痛,双肾区明显叩击痛,双下肢轻度水肿。 对该患者应采取哪项治疗措施()。
A.复方新诺明口服
B.氧氟沙星口服
C.碳酸氢钠口服
D.氨苄西林静滴
E.庆大霉素肌注
F.万古霉素静滴
58、多项选择题 患者,男性,52岁。有慢性乙型肝炎病20余年,近半年感觉恶心,食欲不振,乏力伴肝区疼痛,消瘦约5kg。体检:巩膜轻度黄染,胸部蜘蛛痣一个,肝肋下约2cm,剑突下4cm,质硬,边缘钝,脾肋下2cm,上腹部可听到血管杂音。ALT120U/L,AST250U/L,AKP65U/L,T-Bili32μmol/L,D-Bili17μmol/L,A18g/L,G25g/L,Hb100g/L,WBC3.7×109/L,PLT90×109/L。 患者首先应进行哪些检查()。
A.肝B超
B.肝CT
C.肝MRI
D.AFP
E.放射性核素肝显像
F.肝穿刺活检
G.剖腹探查
59、多项选择题 患者,男性,25岁,不慎从4米高处跌下,半小时后被送入急诊室。体检:血压30/15mmHg,神清,气促,面色苍白,四肢发凉,脉细弱,左侧胸压痛明显、胸廓塌陷、有骨擦感及反常呼吸征,左胸见一2cm×2.5cm创口,可听到气体出入创口响声,左侧呼吸音消失,右侧呼吸音减低。 “反常呼吸征”的胸廓改变是()。
A.吸气时受伤胸廓塌陷
B.吸气时受伤胸廓隆起
C.吸气时受伤胸廓无改变
D.呼气时受伤胸廓塌陷
E.呼气时受伤胸廓隆起
F.呼气时受伤胸廓无改变
60、单项选择题 患者,女,32岁,婚后5年未孕,痛经3年。平素月经规律,近3年出现经期腹痛,并呈进行性加重。男方精液检查未见明显异常。妇科检查:外阴、阴道、宫颈未见异常;子宫后倾后屈位,大小正常,后壁颈峡部可及触痛性结节;右侧附件区可触及一囊肿,大小约8cm×5cm,活动差。左侧附件未触及明显异常。 该病例引起不孕的原因最有可能为()。
A.输卵管阻塞
B.子宫内膜异位症
C.排卵功能障碍
D.免疫因素
E.内分泌因素
61、多项选择题 某医院护士,23岁。因发热伴咽痛、轻微干咳2天就诊。发病时间是传染性非典型肺炎(SARS)流行期间。查体:T39.5℃,R27次/分,BP110/65mmHg,P87次/分,无皮疹,皮肤无黄染,双肺呼吸音粗,未闻及啰音,余未见异常,心律齐。 应进行哪些防控措施()。
A.对患者住过的房间应及时进行空气消毒和物体表面的消毒
B.对患者住过的楼层走道的墙壁、地面和所有公共电梯、楼梯用有效氯为1000~2000mg/L的含氯消毒剂擦拭
C.对患者使用过的会议室、娱乐室及大厅、走道等场所应尽可能长时间地开窗通风换气。必要时可用过氧乙酸进行空气和物体表面消毒
D.对可能受污染的床上用品、毛巾可用有效氯为250~500mg/L的含氯消毒剂溶液浸泡30分钟
E.对家具、日常用品等物体的表面可用有效氯为1000~2000mg/L的含氯消毒剂溶液擦拭消毒
F.对患者穿过的衣服全部焚烧处理
62、多项选择题 患者,女性,46岁。突发上腹痛14小时,频繁呕吐胃内容物,疼痛阵发性加剧,向右肩放射2小时后发热伴腹胀,无寒战、腹泻。既往有上腹饱胀5年,按"胃痛"治疗后,偶有好转。查体:T:38.5℃,P:101次/分,BP:95/40mmHg,P:23次/分。心肺无异常,腹胀明显,腹部尚软,上腹压痛,肝脾未触及,腹部无移动性浊音。 应采取哪些主要措施()。
A.吗啡肌内注射
B.输血
C.葡萄糖盐水静滴
D.毛花苷丙静注
E.升压药静滴
F.禁食
G.胃肠减压
H.抗生素
63、多项选择题 女,8个月(冬季出生),因不思饮食、易惊和间断性短暂抽搐而求治,吃喝量少,生后用牛奶和米粉喂养,6个月后以粥为主食,用过4盒维生素AD制剂,服过半年糖钙片(具体不详)。母孕期小腿偶有抽筋。体查:37℃,面色黄,站不很稳,方颅、枕区发稀,牙3枚,胸骨凹陷,肋串珠明显,呈纯圆形,心正常,腹胀,肝肋下一指,双腿呈"O"形,佛氏征阳性,陶氏征可疑。化验:白细胞及分类下降。 下列尿检结果,哪些正确()。
A.钙排出量低
B.磷排出量低
C.新鲜尿液pH大于7则应考虑肾小管酸中毒所致佝偻病
D.尿常规显示肾病改变宜考虑肾性佝偻病
E.钠排出量增加
64、多项选择题 某医院护士,23岁。因发热伴咽痛、轻微干咳2天就诊。发病时间是传染性非典型肺炎(SARS)流行期间。查体:T39.5℃,R27次/分,BP110/65mmHg,P87次/分,无皮疹,皮肤无黄染,双肺呼吸音粗,未闻及啰音,余未见异常,心律齐。 对患者所在医院的职工应进行哪些健康教育()。
A.养成良好的个人卫生习惯,勤洗手,提高个人卫生素质
B.搞好环境、室内卫生,特别是保持良好的通风
C.经常到户外活动,呼吸新鲜空气,增强体质
D.应重视个人防护,预防上呼吸道感染,少到人群聚集场所
E.注意手的清洁和消毒
F.注意平衡膳食
65、单项选择题 患者男性,50岁。因旅游途中进食海鲜后1天出现右足趾及趾跖关节剧烈疼痛,伴红肿,有发热。既往发作过两次,每次发作一周左右可自行缓解,曾用过青霉素治疗效果不明显。查体:痛苦面容,呻吟。体温39.2℃,右足趾及趾跖关节红肿、压痛,局部皮温增高。血白细胞11.4×109/L,中性粒细胞0.88,血尿酸630μmol/L。 目前抑制尿酸合成的药物主要是()。
A.苯溴马隆
B.丙磺舒
C.别嘌醇
D.磺吡酮
E.糖皮质激素
F.吲哚美辛
66、多项选择题 女,8个月(冬季出生),因不思饮食、易惊和间断性短暂抽搐而求治,吃喝量少,生后用牛奶和米粉喂养,6个月后以粥为主食,用过4盒维生素AD制剂,服过半年糖钙片(具体不详)。母孕期小腿偶有抽筋。体查:37℃,面色黄,站不很稳,方颅、枕区发稀,牙3枚,胸骨凹陷,肋串珠明显,呈纯圆形,心正常,腹胀,肝肋下一指,双腿呈"O"形,佛氏征阳性,陶氏征可疑。化验:白细胞及分类下降。 请指导正确的预防措施()。
A.孕母补钙,防止维生素D缺乏
B.生后1~2周开始服维生素D
C.混合喂养儿加用钙剂量应多于母乳喂养儿
D.每日加元素钙1g以上
E.即时开始日光浴,每天1~2小时
67、多项选择题 患者,女性,32岁。因纳差3天、发热伴咳嗽2天、意识模糊、烦躁半天急诊入院。现妊娠36周。有慢性乙肝病史10年。体检:R28次/分,P88次/分,BP120/75mmHg。神志恍惚;巩膜中度黄染,有肝掌,颈部可见散在分布的蜘蛛痣;右下肺闻及湿啰音,心脏听诊无明显异常;腹软。血红蛋白90g/L,白细胞11×109/L,N0.80;血糖7.0mmol/L,尿糖(+),尿镜检(-),血气分析正常。 可能的诊断是()。
A.尿毒症
B.肺部感染
C.肝性脑病
D.糖尿病酮症酸中毒
E.高渗性非酮症糖尿病昏迷
F.缺铁性贫血
G.慢性乙型肝炎
68、单项选择题 1岁小儿,女孩,4天前开始发热、咳嗽、流涕,今晨发现耳后、发际浅红色斑丘疹,两眼泪汪汪,咽喉充血,眼结膜充血,口腔黏膜红,精神萎靡,肺呼吸音粗。 该患儿最应警惕的并发症是()。
A.支气管肺炎
B.心肌炎
C.喉炎
D.脑炎
E.营养不良
F.淋巴结炎
69、多项选择题
患者男性,50岁。因旅游途中进食海鲜后1天出现右足趾及趾跖关节剧烈疼痛,伴红肿,有发热。既往发作过两次,每次发作一周左右可自行缓解,曾用过青霉素治疗效果不明显。查体:痛苦面容,呻吟。体温39.2℃,右足趾及趾跖关节红肿、压痛,局部皮温增高。血白细胞11.4×109/L,中性粒细胞0.88,血尿酸630μmol/L。
此患者出院时,对其进行健康教育,告知下列食品哪种可以食用()。
A.啤酒
B.海蟹
C.豆腐
D.苹果
E.猪肝
F.鸡蛋
G.牛奶
H.马铃薯
70、多项选择题 患者。男性,40岁,曾为长途车司机,有野游史。近3年有静脉吸毒,因发热1个月余、加重伴咳嗽、咳血痰2周收治。近年渐出现消瘦,体重下降10kg;近1个月余出现不规则发热,以下午低热为多,有盗汗;近2周出现高热,渐出现咳嗽,咳血痰,经规律抗菌药物治疗无效。查体:T39.0℃,R32次/分,BP100/65mmHg,无皮疹,皮肤无黄染,颈部、腋下、腹股沟可扪及多个1cm×1cm至1cm×1.5cm淋巴结,右上肺叩诊实音,右肺底可闻及湿啰音,心律齐,腹乎软。 HIV抗体阳性,痰未找到癌细胞,痰涂片发现抗酸杆菌,考虑需进行哪些治疗()。
A.异烟肼
B.予抗病毒治疗
C.利福平
D.予糖皮质激素治疗
E.祛痰止咳治疗
F.链霉素
71、单项选择题 患者,女性,58岁,1小时前打麻将时突然出现言语困难,右侧肢体无力,血压180/90mmHg,右侧鼻唇沟浅,右上肢Ⅱ级,右下肢肌力Ⅲ级,右侧巴氏征阳性,心电图示房颤。 对该患者进行二级预防应首选()。
A.阿司匹林
B.波利维
C.华法林
D.阿司匹林+波立维
E.阿司匹林+波立维+华法林
72、单项选择题 患儿,女孩,7岁,全身水肿、尿少4天入院,体查:神清,双眼睑水肿明显,双下肢非凹陷性水肿,血压140/90mmHg,心肺无异常。 该患儿最可能的诊断是()。
A.急性泌尿系感染
B.急性肾小球肾炎
C.急进性肾炎
D.肾炎性肾病
E.单纯性肾病
73、单项选择题 年轻女性,30岁,月经规律,结婚两年未孕,因停经50天,无诱因阴道出血一天,少于月经量,无腹痛,就诊。 应做的下一步处理是()。
A.继续保胎治疗
B.绝对卧床休息
C.继续观察,不用任何药物
D.静滴止血药物
E.立即行吸刮宫术
F.静滴缩宫素引产
G.口服硫酸舒喘灵
74、单项选择题 患者,女性,58岁,1小时前打麻将时突然出现言语困难,右侧肢体无力,血压180/90mmHg,右侧鼻唇沟浅,右上肢Ⅱ级,右下肢肌力Ⅲ级,右侧巴氏征阳性,心电图示房颤。 为尽早明确诊断,最有价值的检查是()。
A.DSA
B.MRI
C.TCD
D.SEPCT
E.脑电图
75、单项选择题 男性患者,65岁。反复腹胀纳差疲乏30年,腹痛腹泻1周,发热尿少3天而入院。30年前因反复出现腹胀纳差疲乏而被确诊为乙肝。近1年来自感易疲乏,体力下降,时感腹胀,消瘦。1周前因进食不洁饮料出现腹泻、腹痛,服药后腹泻好转;但近3天出现发热,明显腹痛、腹胀,尿黄,尿量明显减少。家人反映近日患者有轻度性格和行为异常。入院后查体:意识尚清,但烦躁多语。慢性肝病面容,巩膜轻度黄染,肝掌明显,颈部及上胸部可见蜘蛛痣数枚。心肺无明显异常;腹部膨隆,脐下有压痛,轻度反跳痛,腹水征阳性。急诊化验:血常规:WBC10.8×10g/L,N0.89;电解质K+3.1mmol/L,Na+134mmol/L,Cl-98mmol/L,血氨为96μmol/L。 该患者治疗成败的关键在于()。
A.能否进行肝移植
B.广谱、足量、联合抗感染的效果
C.放腹水治疗
D.保肝、退黄和支持治疗措施的得当
E.人工肝支持治疗的时机
F.利尿消肿治疗
76、多项选择题 男性患者,65岁。反复腹胀纳差疲乏30年,腹痛腹泻1周,发热尿少3天而入院。30年前因反复出现腹胀纳差疲乏而被确诊为乙肝。近1年来自感易疲乏,体力下降,时感腹胀,消瘦。1周前因进食不洁饮料出现腹泻、腹痛,服药后腹泻好转;但近3天出现发热,明显腹痛、腹胀,尿黄,尿量明显减少。家人反映近日患者有轻度性格和行为异常。入院后查体:意识尚清,但烦躁多语。慢性肝病面容,巩膜轻度黄染,肝掌明显,颈部及上胸部可见蜘蛛痣数枚。心肺无明显异常;腹部膨隆,脐下有压痛,轻度反跳痛,腹水征阳性。急诊化验:血常规:WBC10.8×10g/L,N0.89;电解质K+3.1mmol/L,Na+134mmol/L,Cl-98mmol/L,血氨为96μmol/L。 治疗措施包括()。
A.联合抗感染
B.利尿,改善肾血液循环,保护肾功能
C.保肝,退黄
D.人工肝治疗
E.稳定内环境,腹水浓缩回输
F.维持水、电解质平衡
77、多项选择题 患者,男性,50岁。无吸烟史,既往体健,因发热、咳嗽、胸痛7天就诊,咳少量黄白色黏痰。查体:T37.8℃,神志清,呼吸平顺,唇甲无发绀,气管居中,右中下肺叩诊呈浊音,右中下肺呼吸音明显减弱,右下肺可闻及少许细湿性啰音。 为明确致病菌,进行痰细菌学检查。合格痰标本有何要求()。
A.漱口后留痰
B.唾液
C.深部痰液
D.2小时内送检
E.延迟送检标本应置于6℃保存
F.保存标本应在48小时内处理
78、单项选择题 36岁女性患者,引产1周后发热伴腹痛2天。体查:全腹软,少量阴道血性分泌物,宫颈举痛(+),子宫增大如孕3个月,宫体压痛,双附件增厚压痛,T39℃,WBC18×109/L,中性粒细胞90%。 如静滴抗生素3天后,患者持续高热,复查B超显示盆腔左侧包块6cm×7cm×5cm,下一步的处理为()。
A.继续静滴广谱抗生素
B.口服广谱抗生素
C.立即剖腹探查
D.中药治疗
E.理疗
79、多项选择题 患者,男性,25岁。因肺炎静滴新型青霉素I,1天后出现关节痛、皮疹、尿量减少。尿常规示:蛋白(++),白细胞3~6个/HP,红细胞5~8个/HP。血常规:血红蛋白108g/L,白细胞4.7×109/L;白细胞分类:中性粒细胞0.62,淋巴细胞0.28,嗜酸性粒细胞0.10;血小板120×109/L。 确立初步诊断的条件包括()。
A.用药史
B.尿量减少
C.蛋白(++)
D.关节痛、皮疹
E.血嗜酸性粒细胞0.10
F.血红蛋白108g/L
G.血小板120×109/L
80、多项选择题 患者。男性,40岁,曾为长途车司机,有野游史。近3年有静脉吸毒,因发热1个月余、加重伴咳嗽、咳血痰2周收治。近年渐出现消瘦,体重下降10kg;近1个月余出现不规则发热,以下午低热为多,有盗汗;近2周出现高热,渐出现咳嗽,咳血痰,经规律抗菌药物治疗无效。查体:T39.0℃,R32次/分,BP100/65mmHg,无皮疹,皮肤无黄染,颈部、腋下、腹股沟可扪及多个1cm×1cm至1cm×1.5cm淋巴结,右上肺叩诊实音,右肺底可闻及湿啰音,心律齐,腹乎软。 其可能感染HIV的途径是()。
A.粪-口传播
B.飞沫传播
C.性接触传播
D.母婴传播
E.血液传播
F.皮肤接触传播
81、多项选择题 男性患者,65岁。反复腹胀纳差疲乏30年,腹痛腹泻1周,发热尿少3天而入院。30年前因反复出现腹胀纳差疲乏而被确诊为乙肝。近1年来自感易疲乏,体力下降,时感腹胀,消瘦。1周前因进食不洁饮料出现腹泻、腹痛,服药后腹泻好转;但近3天出现发热,明显腹痛、腹胀,尿黄,尿量明显减少。家人反映近日患者有轻度性格和行为异常。入院后查体:意识尚清,但烦躁多语。慢性肝病面容,巩膜轻度黄染,肝掌明显,颈部及上胸部可见蜘蛛痣数枚。心肺无明显异常;腹部膨隆,脐下有压痛,轻度反跳痛,腹水征阳性。急诊化验:血常规:WBC10.8×10g/L,N0.89;电解质K+3.1mmol/L,Na+134mmol/L,Cl-98mmol/L,血氨为96μmol/L。 该患者的诊断包括()。
A.急性腹膜炎
B.感染性腹泻
C.慢性乙型肝炎
D.肝炎肝硬化
E.肝性脑病
F.食物中毒
82、多项选择题 患者男性,50岁。因旅游途中进食海鲜后1天出现右足趾及趾跖关节剧烈疼痛,伴红肿,有发热。既往发作过两次,每次发作一周左右可自行缓解,曾用过青霉素治疗效果不明显。查体:痛苦面容,呻吟。体温39.2℃,右足趾及趾跖关节红肿、压痛,局部皮温增高。血白细胞11.4×109/L,中性粒细胞0.88,血尿酸630μmol/L。 本病在急性关节炎期,治疗上正确的是()。
A.绝对卧床休息
B.放低患肢
C.必要时用夹板固定制动
D.必要时发病24小时内可用冰敷
E.发病24小时后可用热敷
F.注意药物的不良反应