时间:2022-07-02 02:14:12


1、单项选择题
患者,男,38岁,江西南昌人,被狗咬伤五天后出现怕水恐光,来我院就诊。
本病最可能的诊断为()
A.破伤风
B.狂犬病
C.假性恐水症
D.病毒性脑炎
E.格林-巴利综合征
2、配伍题 狂犬病()乙肝()传染性单核细胞增多症()艾滋病()
A.内基小体
B.HBsAg
C.嗜异性凝集试验
D.抗-HIV抗体
E.病毒分离
3、问答题 狂犬病毒细胞培养疫苗用于暴露前预防接种的主要对象有哪些?
4、单项选择题 狂犬病的临床表现不包括()
A.心律失常
B.畏光流泪
C.疲乏无力
D.声音嘶哑
E.幻视幻听
5、单项选择题 下列哪项最有助于狂犬病的诊断()
A.脑组织中找到内氏小体
B.出现恐惧不安和恐水
C.曾被可疑动物咬伤
D.血清中和抗体阳性
E.脑脊液细胞数偏高
6、填空题 狂犬病除狂躁型表现外,尚有以___________损害为主的___________。
7、单项选择题 有关狂犬病传染源的叙述,下列哪项是错误的()
A.发达国家狂犬病的传染源主要是野生动物
B.部分外貌健康的犬也可传播狂犬病
C.我国狂犬病的传染源主要是病犬
D.死亡的病犬不会传播狂犬病
E.病犬通过咬伤而传播疾病
8、问答题 有哪些因素对人被狗咬伤后是否发病有影响?
9、名词解释 固定毒株
10、单项选择题 狂犬病的病变部位主要在()
A.咽喉部
B.口腔黏膜
C.中枢神经系统
D.咬伤的部位
E.周围神经系统
11、问答题 试述狂犬病的治疗原则。
12、单项选择题 下列哪项不是狂犬病的临床表现()
A.发热流涎
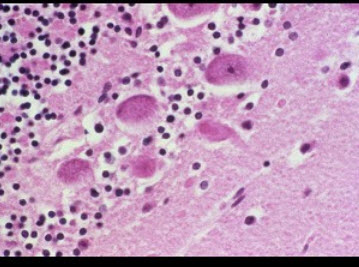
B.发热
C.血压升高
D.恐惧不安
E.角弓反张
13、问答题
张××,男,46岁,因疲乏、发热2天后行为异常1天入院。
病人于3天前无明显诱因出现疲乏无力,发热(未测体温),无畏寒,伴头晕、头痛,能忍受,未予重视。1天前发热停止,病人出现咽部不适,随处吐口水,不愿进食,害怕与人见面,且不听家人的劝阻,遂来院就诊。病人起病以来无咳嗽、腹痛,大小便基本正常。2个月前曾被野犬咬伤过而未做特殊处理。既往及家族无特殊病史。
体格检查:T37℃,P86次/分,R20次/分,BP136/80mmHg;神志清楚,瞳孔等大等圆,对光反应存在,颈稍有抵抗感;心、肺、腹部无异常发现;四肢活动正常,克、布氏征(-),未引出病理征。病人一直在不停地吐口水。
血常规:WBC10.8×10/L,N0.78,L0.22。
14、填空题 狂犬病毒感染的致病过程可分3个阶段:①_______;②__________和③_______。
15、单项选择题 下列哪项最有助于狂犬病与破伤风的鉴别()
A.野外劳动外伤史
B.躁动不安
C.发热
D.恐水
E.抽搐
16、单项选择题 有关狂犬病疫苗,下列哪项不正确()
A.现使用的是以细胞培养疫苗为主
B.可于暴露前或暴露后注射
C.暴露后必须及时使用
D.人和动物均可用疫苗
E.疫苗只需注射1次
17、单项选择题 被病犬咬伤后是否发病取决于下列因素,但除外()
A.咬伤的程度
B.咬伤的部位
C.病人的免疫状况
D.咬伤后伤口的处理情况
E.病人的年龄和性别
18、填空题 经美国FDA批准和广泛使用的狂犬病毒细胞培养疫苗有_______、_________和_______;国内主要采用________。
19、单项选择题 下列哪项是狂犬病最具特征性的临床表现()
A.烦躁不安
B.恶心呕吐
C.胡言乱语
D.恐水
E.发热
20、名词解释 内氏小体
21、单项选择题 对狂犬病传染源的管理不包括()
A.对进口动物进行必要的检疫
B.焚毁或深埋病死犬
C.禁止食用犬肉
D.对家犬定期免疫
E.捕杀野犬
22、问答题 被病犬咬伤后是否发病与哪些因素有关?
23、单项选择题 狂犬病主要的病理变化是()
A.急性弥漫性脑脊髓炎
B.肺毛细血管出血
C.周围神经炎
D.脑垂体病变
E.眼结膜炎
24、问答题 人被可疑动物咬伤后的伤口处理。
25、单项选择题 下列哪种动物不是狂犬病的主要传染源()
A.蝙蝠
B.犬
C.猫
D.狼
E.猪
26、填空题 狂犬病的潜伏期长短不一,_________日至________年,一般为_________。
27、单项选择题
如图,有关狂犬病病毒的特征,下列哪项是错误的()

A.属于弹状病毒科
B.病毒中心为双链DNA
C.加热2分钟可杀死病毒
D.病毒外含有脂蛋白和糖蛋白
E.可从受感染的动物角膜分离病毒
28、问答题 如何应用抗狂犬病毒免疫球蛋白和免疫血清?
29、判断题 狂犬病只能通过狂犬传播。
30、问答题 美国推荐的检测狂犬病毒中和性抗体的方法是什么?其抗体阳性有何临床意义?
31、名词解释 街毒株
32、多项选择题 人狂犬病的诊断依据()
A.有与狂犬患者接触史
B.患者出现恐水、怕风,躁动,大量流涎等症状
C.患者脑脊液检查发现白细胞及蛋白增高,糖及氯化物减少
D.咬人动物已断定有狂犬病
E.荧光抗体法检查分泌物中的病毒抗原
33、单项选择题
患者,男,38岁,江西南昌人,被狗咬伤五天后出现怕水恐光,来我院就诊。
本病的确诊依赖()
A.分离出病毒
B.酶联免疫技术检测狂犬病毒抗原
C.血常规
D.活检
E.脑CT
34、问答题 被病犬咬伤后的早期处理原则是什么?
35、填空题 狂犬病的病变部位主要在_________,其病理变化主要是___________。
36、单项选择题
患者,男,38岁,江西南昌人,被狗咬伤五天后出现怕水恐光,来我院就诊。
下一步应予何处理()
A.隔离,对症处理
B.大剂量免疫拮抗剂
C.抗毒血清
D.多联抗生素
E.抗病毒治疗
37、多项选择题 常引起周围血白细胞升高的疾病包括()
A.疟疾
B.乙脑
C.狂犬病
D.伤寒
E.急性病毒性肝炎
38、单项选择题 被病犬咬伤后的伤口处理,下列哪项不正确()
A.立即用20%肥皂水和新洁尔灭冲洗伤口
B.注射免疫血清于伤口周围
C.必要时注射破伤风抗毒素
D.用力去除狗涎和淤血
E.敞开伤口
39、填空题 内格里小体为__________,最常见于___________和_____________细胞中。
40、填空题 可取狂犬病病人的________、________、_________、________接种进行病毒分离。
41、填空题 狂犬病典型的临床经过包括_________、_________、___________共3期。
42、单项选择题 狂犬病毒可在下列部位查找,但除外()
A.角膜印片
B.唾液
C.血液
D.脑脊液
E.脑组织
43、填空题 狂犬病病毒含有_______、________、__________、磷蛋白和膜蛋白等5种主要的蛋白成分。
44、判断题 只有狂犬病病人才会出现恐水症。
45、填空题 狂犬病的兴奋期的主要表现为___________、__________、____________。
46、单项选择题
如图,有关狂犬病的内氏小体,下列哪项否正确()
A.常见于海马旁回和小脑
B.主要位于神经细胞核内
C.是一种嗜酸性包涵体
D.对狂犬病有诊断价值
E.是狂犬病毒的集落
47、填空题 狂犬病病毒包括致病力强的_________和致病力弱的____________。
48、问答题
张××,男,46岁,因疲乏、发热2天后行为异常1天入院。
病人于3天前无明显诱因出现疲乏无力,发热(未测体温),无畏寒,伴头晕、头痛,能忍受,未予重视。1天前发热停止,病人出现咽部不适,随处吐口水,不愿进食,害怕与人见面,且不听家人的劝阻,遂来院就诊。病人起病以来无咳嗽、腹痛,大小便基本正常。2个月前曾被野犬咬伤过而未做特殊处理。既往及家族无特殊病史。
体格检查:T37℃,P86次/分,R20次/分,BP136/80mmHg;神志清楚,瞳孔等大等圆,对光反应存在,颈稍有抵抗感;心、肺、腹部无异常发现;四肢活动正常,克、布氏征(-),未引出病理征。病人一直在不停地吐口水。
血常规:WBC10.8×10/L,N0.78,L0.22。
49、多项选择题 对狂犬病病人可采取以下哪些治疗措施()
A.维持水、电解质平衡
B.必要时给予镇静药
C.环境保持安静
D.单独隔离
E.大剂量抗生素
50、填空题 带病毒的动物是狂犬病的传染源,家畜中以_____为主,其次为______、____和_______、________等;野生动物,如_______、________、_______、_______、_____等。
51、单项选择题 有关狂犬病的免疫学检查,下列哪项不正确()
A.注射狂犬疫苗后,血清中可检测到中和抗体
B.血清中特异性抗体主要用于流行病学调查
C.血清中和抗体具有保护作用
D.脑脊液中和抗体有助于诊断
E.血清中检测到中和抗体可确定诊断
52、单项选择题 有关狂犬病的临床表现,下列哪项是错误的()
A.狂犬病的临床表现包括狂躁型和麻痹型
B.狂犬病的潜伏期多为1~3个月
C.狂犬病只要治疗及时,大多可以治愈
D.狂犬病的病程一般为6天
E.狂犬病病人大多神志清楚
53、问答题 狗咬伤后如何进行疫苗接种。
54、多项选择题 人被可疑狂犬咬后的正确处理()
A.立即击毙病犬并取其脑组织作检查,同时对被咬伤者接种疫苗
B.先观察被捕获的病犬取其脑组织作检查,经证实为狂犬病,再行接种狂犬疫苗
C.伤口深,有合并感染或污染时,给予破伤风注射及适当的抗菌药物
D.被咬伤口配以肥皂水和0.1%苯扎溴铵彻底冲洗
E.缝合包扎伤口
55、单项选择题 有关狂犬病病毒的蛋白成分,下列哪项是错误的()
A.其固定毒株可供制备疫苗
B.核蛋白是荧光检测的靶抗原
C.核蛋白能刺激机体产生保护性抗体
D.糖蛋白决定了病毒的嗜神经性
E.狂犬病病毒含有5种主要的蛋白成分
56、单项选择题 下列哪项最有助于狂犬病与狂躁型精神病的鉴别()
A.恐惧不安
B.胡言乱语
C.幻视幻听
D.曾被病犬咬伤而未做特殊处理
E.心率增快
57、填空题 狂犬病的病理变化主要为__________,以___________、___________和________损害最为明显。
58、填空题 狂犬病的典型临床经过分为3期,分别是__________,________和_________。