时间:2022-05-27 03:12:19


1、多项选择题 布氏杆菌病的主要临床特征为()
A.关节疼痛
B.出汗多、大量出汗可致虚脱
C.长期发热
D.肝、脾肿大
E.慢性化后关节畸形
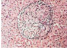
2、单项选择题
图为布氏杆菌病所致肝脏病变的病理图片,下列说法错误的是()

A.该病变是布氏杆菌及其毒素和变态反应不同程度起作用的结果
B.该病变是布氏杆菌病的急性期表现
C.该病变是单核吞噬细胞系统受累所致
D.是由上皮样细胞、巨细胞、浆细胞、淋巴细胞等组成的肉芽肿
E.布氏杆菌可以寄生于内,在一定情况下大量繁殖,再次冲破寄生细胞,引起复发
3、问答题 简述布氏杆菌病急性期与慢性期分别应与哪些疾病鉴别。
4、单项选择题 关于布氏杆菌病的流行病学特点,错误的是()
A.病后可获较强的免疫力,各型之间无交叉免疫
B.国内以羊为主,其次为牛、猪
C.传播途径以皮肤为主
D.人群普遍易感,牧区感染率最高
E.传染源主要为病畜
5、单项选择题
患者,男,45岁,牧民,主因发热、多汗、关节痛1个月于2001年6月26日入院,为不规则热,且高热时无明显不适,体温下降后自觉症状加重,常有出汗,与发热无关,肩关节有针刺样疼痛。查体,体温37.5℃,腋下淋巴结肿大无压痛,皮肤黏膜未见瘀点、瘀斑及皮疹,自服扑热息痛无明显好转。
该患者最可能诊断是()
A.风湿热
B.伤寒
C.结核病
D.布氏杆菌病
E.类风湿
6、单项选择题 布氏杆菌病的实验室检查能快速准确作出诊断的是()
A.PCR检测布氏杆菌DNA
B.血培养
C.骨髓培养
D.凝集试验
E.血常规
7、单项选择题 布氏杆菌病病原治疗的最佳疗程为()
A.4周
B.5周
C.7周
D.6周
E.3周
8、单项选择题 布氏杆菌含有20多种蛋白抗原和脂多糖,其中在致病中起重要作用的是()
A.外毒素
B.蛋白抗原
C.内毒素
D.坏死因子
E.黏附因子
9、单项选择题 布氏杆菌病可通过多种途径传播,其中最主要的途径为()
A.经皮肤、黏膜传播
B.经淋巴液传播
C.经消化道传播
D.经呼吸道传播
E.经血液传播
10、单项选择题 关于布氏杆菌病的预后,错误的是()
A.经抗生素治疗可使病程缩短
B.死亡原因为心内膜炎
C.患者不治疗大多会导致死亡
D.严重的神经系统并发症可引起死亡
E.部分可遗留关节病变
11、单项选择题 布氏杆菌病损伤的器官很广泛,其中以哪种器官为主()
A.脾脏
B.肝脏
C.睾丸
D.骨关节系统
E.脑膜炎
12、问答题
患者,男性,32岁,主因不规则发热,乏力,关节痛一年余入院,曾明确诊断为布氏杆菌病未规律治疗,为低热,肩、膝、髋关节有固定的反复发作的持续性钝痛伴周围肌肉痛,乏力失眠,常有抑郁,注意力不集中。血象:白细胞9×10/L,淋巴细胞0.5×109/L,PCR检查布氏杆菌DNA阳性。
如诊断成立,对该患者的治疗原则是?13、单项选择题
患者,男,45岁,牧民,主因发热、多汗、关节痛1个月于2001年6月26日入院,为不规则热,且高热时无明显不适,体温下降后自觉症状加重,常有出汗,与发热无关,肩关节有针刺样疼痛。查体,体温37.5℃,腋下淋巴结肿大无压痛,皮肤黏膜未见瘀点、瘀斑及皮疹,自服扑热息痛无明显好转。
进一步检查最有意义的是()
A.血常规
B.取血或骨髓作培养
C.凝集试验
D.ELISA法
E.肩关节X线片及胸片
14、填空题 布氏杆菌病病程长于___者为慢性期,慢性期又可分为__________和__________2型。
15、填空题 布氏杆菌病初期病理改变为_____________,____________、______。亚急性和慢性期病理改变是________、部分患者发生_________________________。
16、多项选择题 布氏杆菌病慢性期应用菌苗疗法原因为()
A.致病的T淋巴细胞是引起机体损害的基础
B.菌苗疗法没有不良反应
C.多次注射布氏杆菌抗原,可使机体产生抗体
D.增加网状内皮系统的吞噬能力
E.多次注射布氏杆菌抗原使致敏T细胞少量多次释放细胞因子,可以避免激烈的组织损伤
17、单项选择题 致病力最强的布氏杆菌是()
A.犬布氏杆菌
B.牛布氏杆菌
C.猪布氏杆菌
D.羊布氏杆菌
E.绵羊附睾布氏杆菌
18、单项选择题 关于布氏杆菌病的发病机制,叙述错误的是()
A.细菌和毒素以及变态反应均不同程度地在发病中起作用
B.不易复发
C.慢性期以变态反应引起的病变为主
D.病原菌可以多次进入血流引起临床症状反复加重
E.急性期以细菌及毒素起作用为主
19、填空题 引起布氏杆菌病复发的原因是_____________、逃脱了________和________的清除,在一定的情况下_________________________所致。
20、单项选择题 布氏杆菌病为人畜共患性传染病,其主要传染源为()
A.患者
B.带菌者
C.病马
D.病猪
E.病羊
21、填空题 布氏杆菌病发病机制主要由于________,________以及____________参与。
22、单项选择题 布氏杆菌病有多种症状,其中典型症状为()
A.淋巴结肿大
B.多汗
C.关节疼痛
D.坐骨神经痛
E.波浪热
23、单项选择题 布氏杆菌病的病原治疗,多选用哪两种抗生素联合应用()
A.多西环素+利福平
B.土霉素+利福平
C.四环素+链霉素
D.红霉素+阿米卡星
E.头孢类抗生素
24、单项选择题 布氏杆菌病急性期的特点,错误的是()
A.高热时伴有明显中毒症状
B.关节痛主要在大关节,呈游走性
C.典型热型为波浪型
D.主要为大神经的神经根、神经干病变
E.半数患者有肝、脾肿大和肝区病变
25、单项选择题 关于布氏杆菌病的病理特点,错误的是()
A.病理变化极为广泛,几乎所有的组织和器官均被侵犯
B.最常见的病变部位是单核吞噬细胞系统
C.其组织细胞的基本病变为化脓性病变
D.骨关节的病变是关节炎滑膜液中可分离出布氏杆菌
E.牛布氏杆菌感染者肝损害为非特异性肝炎或肉芽肿
26、名词解释 波浪热
27、问答题 简述布氏杆菌病复发的机制。
28、多项选择题 布氏杆菌病病原治疗应注意()
A.选择能进入细胞内的药物
B.以四环素族为主,联合其他药物
C.长疗程
D.多疗程疗法
E.应联合用药
29、填空题 布氏杆菌病复发率约有________,复发常发生于急性感染后________________。
30、配伍题 间日疟典型热型()伤寒极期典型热型()布氏杆菌病典型热型()恶性疟典型热型()
A.波浪热
B.稽留热
C.弛张热
D.回归热
E.不规则热
31、判断题 布氏杆菌病的主要传染源是病畜,包括羊、牛、猪,其他动物如狗、鹿、马、骆驼亦可为传染源。
32、单项选择题 慢性布氏杆菌病的临床特征主要为()
A.间断低热
B.精神抑郁
C.失眠
D.固定的关节和肌肉疼痛
E.脾大
33、判断题 布氏杆菌对常用消毒剂和热敏感,在自然环境中生活力弱,在奶及乳制品、冻肉中生存时间短。