时间:2022-05-27 03:02:29


1、单项选择题 克山病时心脏的病变特点是()
A.心肌出现严重的灶状变性、坏死
B.弥漫性间质纤维化
C.心肌坏死灶分布与冠状动脉无关
D.心壁内膜无附壁血栓形成
E.以上都不是
2、单项选择题 动脉瘤是指()
A.动脉发生的良性肿瘤
B.动脉血管破裂形成的血肿
C.动脉内血栓形成并机化
D.血管壁的局部扩张
E.动脉发生的恶性肿瘤
3、填空题 风湿病病变发展过程可分为______,______及______三期。
4、单项选择题 高输出量性心力衰竭血流动力学的特点是()。
A.心输出量比心衰前有所增加,稍高于正常休息时水平
B.心输出量比心衰前有所降低,但高于或接近正常休息时水平
C.心输出量比心衰前有所增加,但低于正常水平
D.心输出量比心衰前有所降低,但低于正常水平
E.心输出量比心衰前明显增加
5、多项选择题 风湿性心内膜炎所形成赘生物的特点是()。
A.位于瓣膜闭锁缘
B.白色血栓
C.不易机化
D.容易脱落
E.反复发作可造成瓣膜增厚、变形
6、多项选择题 心肌梗死肉眼形态描述哪些是正确的()
A.梗死灶呈楔形
B.梗死后6小时肉眼可辨认
C.梗死灶8~9小时后呈典型凝固性坏死
D.梗死后第4天后周边出现充血带
E.梗死灶2~3周后肉芽组织长入呈红色
7、名词解释 原发性高血压(primary or essential hypertension)
8、单项选择题 下述哪种病变不会出现冠状动脉粥样硬化时()
A.心肌的变性和坏死
B.心肌内糖原沉积
C.心肌间质出血
D.心肌的代偿性肥大
E.心肌内纤维化
9、多项选择题 急进型高血压病的特点有()。
A.好发于中老年人
B.小动脉呈增生性动脉内膜炎
C.细动脉壁发生纤维素样坏死
D.血压急剧升高,舒张压常大于130mmHg
E.病变以脑小动脉最为严重
10、单项选择题 风湿病常侵犯部位中病变最严重的是()。
A.关节
B.血管
C.心脏
D.大脑
E.皮肤
11、单项选择题 关于扩张性心肌病的叙述中,哪一项是错误的()
A.20~50岁多见
B.女性多于男性
C.进行性心脏肥大
D.心肌收缩力下降
E.心腔扩张
12、单项选择题 心肌梗死室壁瘤形成最多发生哪个部位()
A.右心室
B.左心室后壁
C.室间隔
D.左心室前壁近心尖处
E.左心室侧壁
13、单项选择题 二尖瓣关闭不全时,心尖部听诊常出现()。
A.收缩期吹风样杂音
B.舒张期吹风样杂音
C.收缩期隆隆样杂音
D.舒张期隆隆样杂音
E.双期吹风样杂音
14、单项选择题 慢性风湿性瓣膜病常见的联合瓣膜病变是()
A.二尖瓣和三尖瓣
B.二尖瓣、主动脉瓣和三尖瓣
C.主动脉瓣和三尖瓣
D.二尖瓣和主动脉瓣
E.主动脉瓣和肺动脉瓣
15、单项选择题 风湿病时,链球菌的何种成分与结缔组织发生反应()
A.链球菌溶血素“O”
B.链球菌多糖
C.链球菌透明质酸
D.胞壁C抗原
E.胞壁M抗原
16、名词解释 高血压性脑病(hypertensive encephalopathy)
17、填空题 心肌梗死根据发生部位不同,病理上分为______和_______两种类型。
18、名词解释 风湿性心肌炎(rheumatic myocarditis)
19、单项选择题 心内膜下心肌梗死的常见并发症是()。
A.心脏破裂
B.室壁瘤
C.附壁血栓形成
D.纤维素性心包炎
E.以上都不是
20、多项选择题 脑动脉粥样硬化发病特点()。
A.发生较冠状动脉粥样硬化为早
B.常累及大脑中动脉和Willis环
C.脑组织可发生萎缩
D.斑块处可继发血栓形成
E.动脉壁呈闭塞性动脉内膜炎改变
21、多项选择题 右冠状动脉阻塞引起心肌梗死的区域是()
A.左室后壁
B.左室侧壁
C.右心室
D.心尖部
E.间隔后1/3
22、单项选择题 高血压病的特征性的病理改变是()。
A.中等动脉闭塞性血管炎
B.心脏的肥大
C.主动脉硬化
D.肾动脉狭窄
E.以上都不是
23、单项选择题 高血压病脑出血最常见的部位是()。
A.豆状核和丘脑
B.内囊和基底节
C.蛛网膜下腔
D.侧脑室
E.大脑皮层
24、单项选择题 右冠状动脉阻塞引起的梗死区域为()
A.右心房、室
B.左心室侧壁及右心室
C.室间隔前2/3、心尖及右心室
D.左心室后壁、室间隔后1/3及右心室
E.室间隔后2/3及右心房、室
25、单项选择题 急性感染性心内膜炎不存在以下特点()
A.常发生于原来已有病变的心瓣膜上
B.常是致病力强的化脓菌引起的脓毒血症的并发症之一
C.可致瓣膜糜烂、穿孔或破裂
D.主要侵犯二尖瓣或主动脉瓣
E.瓣膜表面常形成巨大的、松脆的含细菌的赘生物
26、多项选择题 心肌梗死的镜下所见有()
A.肌纤维肌浆凝集和核消失
B.坏死灶周围中性白细胞浸润
C.肉芽组织长入梗死灶内
D.变成瘢痕组织
E.坏死灶周围淋巴细胞浸润
27、单项选择题 原发性良性高血压的基本病变是()
A.细、小动脉痉挛
B.细、小动脉硬化
C.细、小动脉纤维素样坏死
D.小动脉粥样硬化
E.以上都不是
28、单项选择题 原发性良性高血压时,左心室向心性肥大属于下列哪种改变()
A.肥大
B.增生
C.化生
D.再生
E.变性
29、单项选择题 亚急性细菌性心内膜炎常有下述哪种合并症()。
A.心肌梗死
B.心瓣膜穿孔
C.脓毒败血症
D.反复栓塞现象
E.心脏肥大
30、单项选择题 风湿性心内膜炎的后期病变不包括()
A.心内膜下纤维化
B.腱索增粗和缩短
C.瓣叶之间发生粘连
D.心室壁肉柱变扁平
E.瓣膜增厚、卷曲、缩短及钙化
31、多项选择题 与动脉粥样硬化密切相关的脂蛋白有()
A.TG
B.LP
C.HDL
D.LDL
E.VLDL
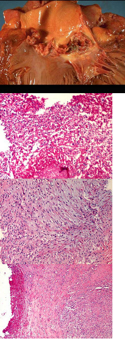
32、单项选择题 风湿性心内膜炎最常累及()。
A.主动脉瓣
B.肺动脉瓣
C.二尖瓣
D.三尖瓣
E.二尖瓣+主动脉瓣
33、单项选择题 高血压病时原发性颗粒性固缩肾的形成主要是由于()。
A.肾间质结缔组织增生
B.肾小球纤维化
C.肾小管坏死
D.肾小球入球小动脉硬化所致的肾单位萎缩
E.肾小球代偿性肥大
34、单项选择题 下列关于风湿病的病因和发病机制的叙述哪项是错误的()
A.本病多始发于儿童
B.患者血清抗链球菌抗体滴度明显升高
C.多见于热带地区
D.发病前多先有急性扁桃体炎和咽峡炎
E.抗生素的广泛应用,降低了风湿病的发病率
35、单项选择题 下列疾病哪种属于原发性心脏病()
A.动脉粥样硬化性心脏病
B.高血压性心脏病
C.风湿性心脏病
D.肺源性心脏病
E.克山病
36、多项选择题 风湿性皮下结节成分有()
A.纤维素样坏死
B.Anitschkow细胞
C.干酪样坏死
D.巨噬细胞
E.炎细胞
37、单项选择题 冠状动脉粥样硬化,最常受累的动脉分支是哪条()。
A.右冠状动脉主干
B.左冠状动脉主干
C.右冠状动脉回旋支
D.左冠状动脉回旋支
E.左冠状动脉前降支
38、单项选择题 关于心肌梗死的叙述,下列哪项是错误的()。
A.多发生于左前降支供血区
B.梗死灶多呈不规则地图状
C.心脏破裂常发生于梗死后1~2周内
D.心肌梗死最常见表现为出血性梗死
E.大梗死灶机化修复需4~6周
39、单项选择题 亚急性细菌性心内膜炎的特点除外下列哪项()
A.赘生物单个或多个,呈息肉状或菜花状
B.多发生于原有病变的瓣膜上
C.镜下表面有细菌团
D.赘生物脱落引起动脉栓塞和血管炎
E.外观污秽,质松软、灰黄、易脱落
40、填空题 风湿病皮肤病变表现为______和______。
41、名词解释 室壁瘤(ventricular aneurysms)
42、单项选择题 急性心肌梗死时,大量中性粒细胞浸润的时间是()。
A.在梗死开始形成的6小时以内
B.在梗死形成24小时的终末
C.在发生梗死的第二天
D.在发生梗死的第四天左右
E.在发生梗死的第一星期的终末
43、单项选择题 高血压脑出血最易发生的部位是()
A.大脑白质
B.小脑
C.丘脑区域
D.桥脑
E.内囊及基底节区域
44、单项选择题 动脉粥样硬化的继发性病变中最危险的是()
A.钙化
B.斑块内出血
C.斑块破裂
D.动脉瘤形成
E.粥样瘤性溃疡
45、单项选择题 动脉粥样硬化的早期病变中,下列哪种细胞最早迁入内膜()。
A.平滑肌细胞
B.淋巴细胞
C.单核细胞
D.中性粒细胞
E.纤维母细胞
46、单项选择题
原发性高血压病患者进入晚期,即内脏病变期后,心脏受累严重。仔细比较正常心脏和病变心脏变化。
此种改变表明心脏仍处于何种状态()
A.正常状态
B.代偿状态
C.失代偿状态
D.心衰状态
E.以上都不是
47、名词解释 心绞痛(angina pectoris)
48、单项选择题
严重维生素B1缺乏引起心力衰竭的主要机制是()。
A.兴奋-收缩耦联障碍
B.心肌能量储存障碍
C.心肌能量利用障碍
D.心肌能量生成障碍
E.心肌收缩蛋白大量破坏
49、单项选择题 一般不出现在亚急性感染性心内膜炎的病变是()。
A.低热、脾大
B.器官小灶状梗死
C.皮肤环形红斑
D.心瓣膜赘生物
E.皮下Osler小结
50、单项选择题 下述有关心肌梗死的叙述哪项是错误的()。
A.全层性心肌梗死多是由于冠状动脉粥样硬化伴有血栓形成而引起的
B.心肌梗死多发生于冠状动脉前降支所供血的区域
C.心肌梗死是一种出血性梗死
D.心脏破裂多见于梗死发作后一周左右
E.梗死后形成的心室壁病变继发附壁血栓形成
51、配伍题 贫血()主动脉瓣狭窄()二尖瓣狭窄()风湿性心包炎()二尖瓣关闭不全()
A.球形心
B.梨形心
C.靴形心
D.绒毛心
E.虎斑心
52、判断题 高血压主要造成细动脉硬化。
53、多项选择题 风湿病的基本病理变化是()
A.风湿性肉芽肿形成
B.结缔组织的淀粉样变化
C.结缔组织的黏液样变性
D.结缔组织的纤维素样变性
E.浆膜的浆液性和(或)纤维素性炎症
54、单项选择题 高血压脑病发生的主要机制是()。
A.突发脑出血
B.血压突然升高而致脑水肿
C.一时性脑血管痉挛
D.脑血流量突然减少
E.脑组织缺血坏死
55、单项选择题 患者,男,60岁。有多年的高血压病史,12小时前被自行车撞倒,即感左侧肢体无力,不能上抬,送医院后病情加重,出现左侧肢体瘫痪,昏迷,抢救无效死亡。尸体解剖所见病变中 其中哪种病变与死亡有关()。
A.原发性颗粒性固缩肾
B.右侧大脑内囊区出血
C.冠状动脉粥样硬化
D.左心室肥大、扩张
E.脑基底动脉粥样硬化
56、判断题 心包炎分为浆液性和纤维素性(浆液纤维素性)。
57、单项选择题
冠状动脉粥样硬化常常伴发动脉痉挛,从而易导致动脉血栓形成。
如图为冠状动脉腔内新鲜血栓形成的大体观(如图)和镜下观(如图),该动脉病变处于哪一级()
A.Ⅰ级
B.Ⅱ级
C.Ⅲ级
D.Ⅳ级
E.以上都不对
58、单项选择题 风湿细胞来自()
A.平滑肌细胞
B.肌细胞
C.成纤维细胞
D.组织细胞
E.淋巴细胞
59、名词解释 恶性高血压(malignant hypertension)
60、单项选择题 主动脉粥样硬化病变最严重的部位是()。
A.胸主动脉
B.升主动脉
C.主动脉弓
D.腹主动脉
E.主动脉根部
61、单项选择题 动脉粥样硬化脂纹病变中主要的细胞成分是()
A.单核细胞
B.T淋巴细胞
C.泡沫细胞
D.平滑肌细胞
E.中性粒细胞
62、单项选择题 下述关于风湿病的叙述哪项是错误的()。
A.抗生素的广泛应用,降低了风湿病的发病率
B.抗O滴度升高提示本病是由于溶血性链球菌直接作用所致
C.多见于寒冷地区
D.早期咽部培养,溶血性链球菌阳性率高达70%~90%
E.是一种结缔组织病
63、多项选择题 二尖瓣狭窄引起的后果包括()。
A.左心室肥大、扩张
B.左心房肥大、扩张
C.右心室肥大、扩张
D.右心房及体静脉淤血
E.肺淤血、水肿
64、单项选择题 风湿病的特异性病理变化是指()
A.风湿小结形成
B.结缔组织的黏液变化
C.胶原纤维的变性、坏死
D.病灶中发生的纤维素样坏死
E.病灶内出现梭形小瘢痕
65、单项选择题 关于主动脉粥样硬化的叙述,下列哪项是错误的()。
A.多发生于主动脉后壁和其分支开口处
B.主动脉弓及胸主动脉病变最严重
C.可继发溃疡、出血及血栓形成
D.可引起钙化性主动脉瓣狭窄
E.可形成主动脉瘤,多位于腹主动脉
66、单项选择题 下列哪项不属于扩张性心肌病心肌组织的镜下特点()
A.核大、深染
B.心肌细胞呈均匀性肥大
C.核形不整,出现沟裂
D.胞质空泡变性、嗜酸性变
E.小灶性硬化性肌溶解
67、单项选择题 血压病最严重的病变是()。
A.左心室肥大
B.颗粒性固缩肾
C.脑软化
D.脑出血
E.视网膜出血
68、单项选择题 有一年青妇女,主诉劳动后出现心悸气短,三年前患有风湿性关节炎。查体,慢性病容,半坐位,四肢末端及口唇发绀,心尖区可闻及舒张期杂音,双肺水泡音。根据上述病情本患者的疾病是()。
A.风湿性心脏病伴二尖瓣狭窄和左心衰竭
B.风湿性心脏病伴二尖瓣狭窄
C.主动脉关闭不全
D.先心病伴心衰
E.冠心病伴心衰
69、多项选择题 急性感染性心膜炎的病理变化有()
A.瓣膜溃疡、穿孔
B.常累及多个瓣膜
C.引起肾、脾动脉栓塞及贫血性梗死
D.疣状物大而松软,易脱落
E.治愈率高,瘢痕形成后导致慢性心瓣膜病
70、单项选择题 心肌间质小血管周围有风湿小体形成,应诊断为风湿性()。
A.心肌炎变质渗出期
B.心肌炎增生期
C.心内膜炎增生期
D.心外膜炎增生期
E.心肌炎硬化期
71、名词解释 心肌梗死(myocardial infarction)
72、多项选择题 左冠状动脉前降支阻塞引起心肌梗死的区域为()
A.心尖部
B.室间隔前2/3
C.左室前壁
D.左室后壁
E.室间隔1/3
73、单项选择题 冠状动脉粥样硬化症最多见于()。
A.左冠状动脉主干
B.右冠状动脉主干
C.左冠状动脉前降支
D.右冠状动脉后支
E.左冠状动脉旋支
74、单项选择题 动脉粥样硬化的典型病变是()。
A.白色血栓
B.脂纹脂斑
C.纤维斑块
D.粥样斑块
E.粥样溃疡
75、单项选择题 风湿性心包炎时心包脏层病变属于()
A.肉芽肿性炎
B.纤维素性炎
C.化脓性炎
D.浆液、纤维素性炎
E.特异性增生性炎
76、填空题 良性高血压脑病中,______是最严重的并发症,常发生于______及______,供应该区的______直接从______呈直角分出。
77、单项选择题 主动脉瓣狭窄的描述中下列哪一项是错误的()
A.心室代偿性肥大
B.左心房失代偿性扩张
C.肺淤血水肿
D.右心代偿性肥大
E.主动脉瓣区收缩期杂音
78、单项选择题 下述哪项符合限制性心肌病()。
A.心内膜及心内膜下心肌纤维化
B.心肌间质纤维化
C.心肌细胞呈旋涡状排列
D.心肌细胞变性坏死
E.心肌间质内淋巴细胞浸润
79、名词解释 细菌性心肌炎(bacterial myocarditis)
80、填空题 冠心病主要包括______,______,_______3种类型。
81、名词解释 动脉粥样硬化(atherosclerosis)
82、多项选择题 可形成附壁血栓的心脏疾病是()
A.高血压性心脏病
B.克山病
C.原发性心肌病
D.风湿性心瓣膜病
E.冠状动脉性心脏病
83、单项选择题 关于高血压小动脉病变叙述中,下列哪一项是错误的()
A.中膜平滑肌细胞肥大和增生
B.膜内胶原和弹性纤维增多
C.内膜弹性纤维增多
D.内膜内血浆蛋白渗入,发生玻璃样变
E.内弹力膜分裂
84、配伍题 脂性肾病()急性感染性心内膜炎()急性肾小球肾炎()动脉粥样硬化性固缩肾()原发性颗粒性固缩肾()先天性心脏病()急性细菌性心内膜炎()慢性心瓣膜病()风湿性心内膜炎()亚急性细菌性心内膜炎()
A.膜穿孔
B.室间隔缺损
C.瓣膜增厚粘连卷曲
D.瓣膜闭锁缘粟粒状赘生物
E.在已有病变的瓣膜上形成污秽、易脱落的赘生物
85、判断题 恶性高血压特征性的病变是增生性小动脉硬化和坏死性细动脉炎。
86、名词解释 离心性肥大(eccentric hypertrophy)
87、单项选择题 患者,女,50岁,风湿性心脏病反复发作12年。近1月来低热、无力、左上腹痛、腰痛、左侧肢体瘫痪,皮肤及黏膜见点状出血,听诊发现心杂音性质和强度改变 患者现患主要疾病为()。
A.风湿性心内膜炎
B.亚急性感染性心内膜炎
C.心瓣膜病
D.急性感染性心内膜炎
E.病毒性心肌炎
88、多项选择题 心绞痛的发病与下列相关的有()。
A.由心脏急性暂时性缺血缺氧所致
B.以阵发性胸骨后压迫性疼痛为特点
C.疼痛常向左上肢放射
D.疼痛可持续数十分钟
E.疼痛与心肌内酸性代谢产物及多肽类物质堆积有关
89、单项选择题 下述有关主动脉粥样硬化的叙述中,哪一项错误()。
A.病变多位于主动脉后壁和各分支开口处
B.可引起夹层动脉瘤
C.可引起主动脉瓣病变
D.胸主动脉病变最重
E.可继发溃疡、钙化、出血、血栓形成
90、判断题 心肌梗死合并症包括心力衰竭、心脏破裂,室壁瘤,附壁血栓形成等。
91、单项选择题 缓进型高血压病后期可引起()。
A.继发性颗粒状固缩肾
B.原发性细颗粒固缩肾
C.瘢痕形成性固缩肾
D.动脉粥样硬化性固缩肾
E.淤血性肾硬化
92、单项选择题 风湿性心内膜炎疣状赘生物的本质是()。
A.白色血栓
B.风湿小体
C.细菌团块
D.肉芽颗粒
E.以上都不是
93、名词解释 向心性肥大(concentric hypertrophy)
94、单项选择题 最易发生心肌离心性肥大的疾病是()。
A.高血压病
B.主动脉瓣关闭不全
C.主动脉瓣狭窄
D.肺动脉高压
E.肺动脉狭窄
95、填空题 病理上动脉粥样硬化的复合病变包括______,______,______,______,______及______等。
96、填空题 动脉粥样硬化时血管壁的钙化属于______性的钙化。
97、单项选择题 发生心肌离心性肥大的主要机制是()。
A.心脏收缩期阻力过大
B.心输出量增加
C.心率加快
D.冠脉血流量增加
E.舒张末期心室内容量过多
98、单项选择题
原发性高血压病患者,肾功能受损。晚期双肾对称性缩小,质地变硬,表面弥漫细小颗粒,切面见皮质变薄。
此种肾脏称()
A.AS性固缩肾
B.原发性颗粒性固缩肾
C.继发性颗粒性固缩肾
D.萎缩性肾病
E.终末肾
99、名词解释 附壁血栓(mural thrombus)
100、单项选择题 脑动脉粥样硬化最常见的部位是()
A.大脑中动脉
B.大脑前动脉
C.大脑后动脉
D.大脑中动脉及Willis环
E.基底动脉及大脑后动脉
101、名词解释 风湿病(rheumatism)
102、单项选择题 动脉粥样硬化主要累及大中动脉的()。
A.全层
B.中膜
C.内膜
D.外膜
E.中膜和外膜
103、单项选择题 动脉粥样硬化合并血栓形成的最主要的机制是()
A.血流涡流形成
B.局部血流缓慢
C.内膜受损、胶原纤维暴露
D.局部血液凝固性增高
E.以上都不是
104、填空题 良性高血压,开始表现为全身细、小动脉______,呈间继性,血压亦处于______;其后细、小动脉硬化,血压呈______;晚期可因______、______或______致死。
105、名词解释 原发性心肌病(primary cardiomyopathy)
106、多项选择题 与动脉粥样硬化形成有关的因素有()。
A.肾炎综合征
B.肺动脉高压
C.吸烟
D.高血压
E.高胆固醇血症
107、单项选择题
仔细观察主动脉粥样硬化大体的改变,判断病变发展变化
如图所示,该部位可见何种病变()

A.脂纹
B.纤维斑块
C.粥样斑块
D.纤维斑块伴钙化
E.粥样斑块伴破裂
108、单项选择题 动脉粥样硬化合并血栓形成的主要原因是()。
A.局部血流缓慢
B.局部血液凝固性增高
C.内膜溃疡
D.血流旋涡形成
E.局部前列环素增高
109、单项选择题 粥样斑块没有下列哪种成分()
A.泡沫细胞
B.胆固醇结晶
C.淋巴细胞
D.中性粒细胞
E.纤维组织伴玻璃样变性
110、填空题 风湿性心内膜炎主要累及______,风湿性心肌炎主要累及______,风湿性心外膜炎主要累及心包______层,风湿性关节炎常累及______。
111、单项选择题 动脉粥样硬化时,下述哪种病变不出现()
A.动脉内膜脂质浸润,形成脂纹
B.动脉内膜胶原纤维增多和玻璃样变
C.粥样斑块内可发生钙化
D.病变严重处可出现中膜平滑肌萎缩和弹力板断裂
E.病变部位发生纤维素样坏死
112、填空题 根据动脉瘤的结构不同,可分为______,_____和______三种。
113、单项选择题 亚急性细菌性心内膜炎常并发于()。
A.败血症
B.先天性心脏病
C.冠状动脉性心脏病
D.高血压性心脏病
E.以上都不是
114、多项选择题 高血压病脑组织可出现的病变是()
A.脑出血
B.蛛网膜下腔出血
C.脑软化
D.软脑膜的炎性渗出
E.细动脉或小动脉的微动脉瘤
115、多项选择题 风湿性关节炎的特点有()。
A.多累及小关节
B.呈游走性、对称性疼痛
C.病变不侵犯关节软骨
D.关节腔内有浆液和纤维素渗出
E.常造成关节变形
116、单项选择题 可能造成致命大出血的动脉粥样硬化复合病变是()。
A.血管腔狭窄
B.动脉瘤
C.粥瘤性溃疡
D.附壁血栓形成
E.斑块破裂
117、填空题 冠状动脉粥样硬化最好发部位为______,其余依次为______、______或______、______。
118、单项选择题 风湿病变累及全身结缔组织,其中最严重的器官是()
A.脑
B.血管
C.心脏
D.皮肤
E.关节
119、单项选择题 下列关于动脉粥样硬化的危险因素的描述中,哪一项错误()。
A.血浆低密度脂蛋白(LDL)水平持续升高
B.血浆高密度脂蛋白(HDL)水平持续升高
C.大量吸烟
D.高血压
E.糖尿病
120、单项选择题 下列哪项因素与动脉粥样硬化发生关系最为密切()
A.吸烟
B.高脂血症
C.高血压
D.肥胖
E.遗传因素
121、多项选择题 属于结缔组织疾病的有()
A.风湿病
B.克山病
C.Burger病
D.系统性红斑狼疮
E.类风湿关节炎
122、单项选择题 动脉粥样硬化脂纹的特点中下述哪项是错误的()
A.黄色斑点
B.病因去除后也不能完全消退
C.泡沫细胞聚集形成
D.可隆起内膜
E.黄色条纹
123、单项选择题 下列哪种病理过程不属于动脉粥样硬化()
A.血栓形成
B.纤维素性坏死
C.玻璃样变
D.出血
E.钙化
124、多项选择题 左心衰竭时,肺淤血引起呼吸困难的机制是()。
A.肺顺应性降低
B.肺间质水肿
C.气道阻力增加
D.肺毛细血管旁感受器受刺激
E.神经反射敏感性增高
125、单项选择题 左心室前壁发生心肌梗死,可能发生血液中断的冠状动脉是()。
A.右主干
B.左旋支
C.右后降支
D.右旋支
E.左前降支
126、名词解释 粥样斑块(atheromatous plaque)
127、填空题 二尖瓣狭窄时发生的血流动力学及形态改变主要有______和______。
128、名词解释 环形红斑(erythema annulare)
129、问答题 试述良性高血压时心、肾和脑的病理变化及临床病理联系。
130、填空题 风湿病侵犯小儿患者的中枢神经系统,肢体出现不自主的运动称______。
131、名词解释 小舞蹈症(chorea minor)
132、单项选择题 下列关于心肌梗死的描述哪项是错误的()
A.梗死灶呈楔形
B.多为贫血性梗死
C.梗死灶呈灰黄色周围有充血带
D.相应心内膜可以附壁血栓形成
E.相应心外膜可有纤维蛋白渗出
133、单项选择题 心肌梗死发生多长时间后开始有肉芽组织增生()
A.6小时
B.8小时
C.第4天
D.第7天后
E.5周后
134、单项选择题 引起冠状动脉性心脏病的最常见的原因是()。
A.冠状动脉痉挛
B.冠状动脉粥样硬化
C.梅毒性冠状动脉炎
D.结节性动脉周围炎
E.风湿性主动脉炎
135、单项选择题
死者,女性,22岁,发热,进行性贫血,脾肿大1年,既往有风湿性心脏病10余年。
尸检时心脏如图所示,病变瓣膜镜下观如图,确切的诊断为()

A.风湿性心瓣膜病
B.风湿性心脏病
C.急性感染性心内膜炎
D.高血压性心脏病
E.亚急性感染性心内膜炎
136、多项选择题 急性心肌梗死导致猝死的原因是()
A.心包填塞
B.大循环动脉栓塞
C.充血性心力衰竭
D.纤维素性心包炎
E.左心室乳头肌断裂
137、单项选择题 高血压最严重的并发症是()
A.左心室肥大
B.颗粒性固缩肾
C.脑软化
D.脑出血
E.慢性心衰
138、单项选择题 二尖瓣狭窄患者咯血多发生在()。
A.左心房代偿期
B.左心房失代偿期
C.左心室代偿期
D.左心室失代偿期
E.右心室失代偿期
139、名词解释 风湿性心包炎(rheumatic pericarditis)
140、单项选择题 冠状动脉粥样硬化病变的特点是()。
A.斑块呈新月形,血管腔偏心性狭窄
B.可合并出血
C.可发生粥样溃疡
D.有三期病变
E.血管腔狭窄
141、单项选择题 良性高血压的基本病变是()。
A.增生性细小动脉炎
B.细小动脉的纤维素样坏死
C.细小动脉痉挛
D.肉芽肿性小动脉炎
E.细动脉玻璃样变性
142、单项选择题 下列关于病毒性心肌炎的叙述哪一项是错误的()
A.依患者年龄不同,其病变有所不同
B.晚期可伴有代偿性心肌肥大
C.柯萨奇病毒B组感染最为常见
D.心肌细胞坏死和免疫反应无关
E.成人病毒性心肌炎,主要为坏死性心肌炎
143、单项选择题 原发性颗粒性固缩肾的肉眼形态描述中,哪一项是错误的()
A.双肾表面呈细小颗粒状
B.两肾对称性缩小
C.切面小动脉壁增厚、变硬、口哆开
D.切面肾皮质变薄
E.肾表面可见多数小出血点
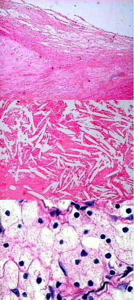
144、单项选择题
动脉粥样硬化粥样斑块形成后,病灶内成分往往复杂。仔细观察该病变不同部位镜下观。
引起该病变最重要的始动因素是()
A.高血压
B.吸烟
C.年龄因素
D.遗传因素
E.血脂沉积于内膜下
145、单项选择题 二尖瓣狭窄不会引起()
A.心房增大
B.心房增大
C.右心室增大
D.左心室增大
E.肺动脉高压
146、多项选择题 高血压病脑出血最常发生的部位是()。
A.基底节
B.大脑
C.小脑
D.内囊
E.脑桥
147、单项选择题 患者,男,60岁。有多年的高血压病史,12小时前被自行车撞倒,即感左侧肢体无力,不能上抬,送医院后病情加重,出现左侧肢体瘫痪,昏迷,抢救无效死亡。尸体解剖所见病变中 下列除哪项外,均可以是患者的尸解病理诊断()。
A.原发性颗粒性固缩肾
B.右侧大脑内囊区出血
C.冠状动脉痉挛
D.左心室肥大、扩张
E.脑基底动脉粥样硬化
148、单项选择题 引起右心衰竭最常见的原因是()。
A.二尖瓣狭窄
B.高血压病
C.冠心病
D.主动脉狭窄
E.主动脉关闭不全
149、填空题 二尖瓣狭窄通常分为______和______两型。
150、单项选择题 关于风湿病,下列哪一项是错误的()
A.与A组乙型溶血性链球菌感染有关
B.是一种结缔组织病
C.以形成风湿小体为病变特征
D.风湿性关节炎常可导致关节畸形
E.皮下结节和环形红斑对临床诊断风湿病有帮助
151、单项选择题 下列关于二尖瓣关闭不全的描述中,哪一项是错误的()
A.左心室肥大、扩张
B.右心肥大、扩张
C.心尖区可闻及舒张期隆隆样杂音
D.左心房肥大、扩张
E.右心房肥大、扩张
152、多项选择题 扩张性心肌病病理形态有()
A.心内膜增厚
B.附壁血栓形成
C.各心腔明显扩张
D.心脏重量增加
E.瓣膜无器质病变
153、单项选择题 良性高血压脑出血最主要的原因是()
A.脑细、小动脉痉挛
B.脑细、小动脉硬化
C.脑小动脉粥样硬化
D.脑内微小动脉瘤破裂
E.脑细、小动脉壁变性、坏死
154、单项选择题 中年女性,患高血压病,心前区不适感,与其夫吵架后,出现头痛晕厥,急送医院途中死亡,家属拒绝解剖,引起死亡的可能病变是()。
A.心肌梗死
B.胰腺炎
C.脑出血
D.服毒
E.心力衰竭
155、名词解释 心瓣膜病(valvular vitium of the heart)
156、多项选择题 亚急性感染性心内膜炎所形成的赘生物的特点有()。
A.较大,呈息肉状
B.质松软易破碎
C.赘生物内常见细菌菌团
D.赘生物内有纤维素、血小板
E.脱落后可造成多脏器梗死
157、单项选择题 下列关于风湿性心内膜炎的描述中,哪一项是正确的()。
A.瓣膜赘生物内有细菌
B.赘生物与瓣膜粘连不牢固
C.受累瓣膜容易发生穿孔、断裂
D.三尖瓣最常受累
E.瓣膜赘生物由血小板和纤维素组成
158、多项选择题 冠状动脉性心脏病的原因有()
A.冠状动脉痉挛
B.狭窄性冠状动脉硬化
C.冠状动脉栓塞
D.高安动脉炎累及冠状动脉
E.梅毒性主动脉炎所致的冠状动脉口狭窄
159、单项选择题 引起心肌炎最常见的原因是()
A.酗酒
B.细菌感染
C.免疫发应
D.药物中毒
E.柯萨奇B组病毒
160、多项选择题 亚急性感染性心内膜炎的病理变化有()
A.瓣膜溃疡穿孔
B.引起各器官栓塞及多发性小脓肿
C.疣赘物大而松脆,易脱落
D.不会引起脾肿大
E.引起细菌性动脉瘤
161、单项选择题 急性感染性心内膜炎的最常见的病原体是()
A.金黄色葡萄球菌
B.白色念珠菌
C.肠球菌
D.溶血性链球菌
E.草绿色链球菌
162、单项选择题
风湿性心脏病最易累及瓣膜,使瓣膜增厚、卷曲、变形或者粘连,导致瓣膜病的发生。图1示正常瓣膜,图2示急性期瓣膜病变,有关其病变叙述错误的是()


A.以二尖瓣最为多见
B.病变主要发生在瓣膜的闭锁缘
C.肉眼观瓣膜上赘生物呈粟粒大小,灰白色,半透明
D.镜下实质为混合血栓
E.赘生物与瓣膜粘连紧密,不易脱落
163、单项选择题 纯性二尖瓣狭窄的病变不易发生()。
A.左心房肥厚
B.左心房扩张
C.右心室肥厚
D.左心室肥厚
E.心脏呈梨形
164、问答题 比较二尖瓣狭窄和关闭不全时血流动力学改变和相应心脏病变的异同。
165、单项选择题 关于二尖瓣关闭不全的叙述中,下列哪一项是错误的()。
A.左心室肥大、扩张
B.右心室肥大、扩张
C.左心房肥大、扩张
D.右心室肥大、扩张
E.心尖区可闻及舒张期隆隆样杂音
166、填空题 风湿病主要累及______,最好发于______,______及______,其中以______病变最为严重。
167、名词解释 McCallum斑(McCallum’s patch)
168、单项选择题 在下列描述中,哪一项不符合高血压的病理变化()。
A.细小动脉硬化
B.左心室肥大
C.肾脏大瘢痕性萎缩
D.脑出血
E.视乳头水肿、出血
169、多项选择题 下列哪些不是风湿热的临床表现()
A.风湿性关节炎
B.皮下结节及环行红斑
C.动脉炎
D.常形成缩窄性心包炎
E.抗“O”阳性
170、单项选择题 无主女尸,剖检发现死者两肾体积缩小,重量减轻各为100g,质地硬,皮质变薄,表面呈颗粒状,肾切片观察,均有细动脉透明变性,肾小球纤维化等改变。此患者生前可能患的疾病是()。
A.肾盂肾炎
B.高血压病
C.肾小球肾炎
D.药物中毒
E.以上都不是
171、单项选择题 左心衰竭时,发生呼吸困难的主要原因是()。
A.肺动脉高压
B.肺淤血、肺水肿
C.平卧时静脉回流加速
D.平卧时胸腔容积减少
E.迷走神经紧张性增高
172、单项选择题 下列符合恶性高血压特征性病理变化的是()。
A.肾入球小动脉玻璃样变性
B.肾细动脉壁纤维素样坏死
C.肾动脉粥瘤
D.肾小球毛细血管内透明血栓
E.肾小球纤维化
173、单项选择题 心肌梗死最常发生的部位()。
A.室间隔后1/3
B.左心室后壁
C.右心室
D.左心室前壁
E.左心室侧壁
174、单项选择题
动脉粥样硬化患者腹主动脉出现一巨大肿物,巨检如图所示,镜下见瘤壁由萎缩的动脉内、中、外膜构成,该病变最确切的名称是()
A.血肿
B.假性动脉瘤
C.真性动脉瘤
D.夹层动脉瘤
E.以上均不是
175、单项选择题 高血压病时的肾脏病理变化表现为()
A.颗粒性固缩肾
B.肾脏单发性贫血性梗死
C.肾动脉动脉瘤形成
D.肾的多发性大瘢痕凹陷
E.肾脏瘀血
176、单项选择题 风湿病的特征性病变是()。
A.纤维素样坏死
B.风湿小体形成
C.心肌变性、坏死
D.心外膜纤维素渗出
E.心瓣膜纤维组织增生
177、填空题 儿童中多见的在皮肤形成的_______及在_______附近的伸侧面皮下形成的_______均对急性风湿病有诊断意义。
178、单项选择题 患者,40岁,曾患风湿性心内膜炎,近日发热,白细胞增高,皮肤粘膜有出血点,住院治疗,医嘱绝对卧床休息。今晨病人自行起床,突感头痛,呕吐,左下肢麻木,倒地死亡。该患者最可能的死因是()。
A.心肌梗死
B.脑出血
C.肺动脉栓塞
D.肺炎
E.脑动脉栓塞
179、单项选择题 高血压的发病与哪项因素关系不大()
A.遗传因素
B.肾因素
C.社会心理应激
D.每日饮食摄盐量过多
E.患动脉粥样硬化
180、单项选择题 最符合心力衰竭的概念是()。
A.静脉回心血量超过心输出量
B.心脏每搏输出量降低
C.心输出量减少,不能满足机体代谢需要
D.心功能障碍引起大小循环充血
E.心泵功能下降伴肺水肿或肝脾肿大
181、多项选择题 关于心肌梗死的叙述正确的是()。
A.最常见于左冠状动脉旋支供血区
B.梗死灶多呈不规则地图状
C.心脏破裂最常见于梗死两周内
D.光镜下呈出血性梗死
E.梗死灶需2~8周机化形成瘢痕
182、单项选择题 引起低输出量性心力衰竭的疾病是()。
A.甲状腺功能亢进
B.高血压病
C.严重贫血
D.维生素B1缺乏症
E.动-静脉瘘
183、多项选择题 下列哪几种疾病不会引起慢性心瓣膜病()
A.风湿病
B.高血压
C.急性细菌性心内膜炎
D.亚急性细菌性心内膜炎
E.动脉粥样硬化
184、单项选择题 脑动脉粥样硬化时下列哪项不易发生()
A.引起脑萎缩
B.动脉瘤形成
C.引起延髓性麻痹
D.继发脑血栓形成
E.大脑中动脉病变最重
185、单项选择题 McCallum斑多位于()。
A.右心房后壁
B.右心室前壁
C.左心房后壁
D.左心室前壁
E.二尖瓣口
186、单项选择题 可致右心室压力负荷过重的疾病为()。
A.高血压病
B.心肌梗死
C.肺动脉瓣狭窄
D.严重贫血
E.主动脉瓣关闭不全
187、问答题 试述风湿性心内膜炎病变特点及其对机体的影响。
188、多项选择题 风湿病的病理变化常有()
A.皮下结节
B.环形红斑
C.动脉炎
D.化脓性关节炎
E.脊椎炎
189、单项选择题 关于肥厚性心肌病特征的叙述,下列哪项是错误的()
A.心脏肥大
B.心腔扩张
C.左心室流出道受阻
D.室间隔不匀称肥厚
E.舒张期充盈异常
190、配伍题 心肌梗死()心肌脂肪变性()
A.肌间质淋巴细胞浸润
B.心肌细胞脂肪组织浸润
C.心肌肉眼呈红、黄相间的条纹
D.心肌细胞空泡变性
E.心肌组织凝固性坏死
191、单项选择题 动脉粥样硬化的早期病变中,最早迁入内膜的细胞是()
A.单核细胞
B.淋巴细胞
C.平滑肌细胞
D.成纤维细胞
E.中性粒细胞
192、单项选择题 高血压病脑出血死亡患者,心脏重550克,左心室壁厚1.6cm,乳头肌和肉柱增粗,心腔不扩张,应诊断为()。
A.肥厚性心肌病
B.心脏肥大(代偿期)
C.心脏肥大(失代偿期)
D.心脏脂肪变性
E.心肌脂肪组织浸润
193、单项选择题 下列有关风湿病的描述,错误的是()。
A.属于变态反应性疾病
B.发病与溶血性链球菌感染有关
C.以心脏病变的后果最为严重
D.风湿性关节炎常导致关节畸形
E.皮下结节和环形红斑有助于临床诊断
194、单项选择题
仔细观察主动脉粥样硬化大体的改变,判断病变发展变化
有关该病变叙述错误的是()
A.为动脉粥样硬化的早期改变
B.最早可出现于儿童
C.通常具可逆性
D.所有病变都必然进一步发展严重
E.镜下仅见内皮下泡沫细胞聚集
195、单项选择题 疣状赘生物是指()。
A.心内膜增生物
B.心内膜上的新生物
C.心瓣膜纤维化
D.心瓣膜上的附壁血栓
E.心瓣膜钙化
196、单项选择题 主动脉粥样硬化的好发部位()
A.升主动脉
B.主动脉弓
C.胸主动脉
D.腹主动脉
E.腹主动脉后壁和其分支开口处
197、单项选择题 风湿性瓣膜病最常见的联合瓣膜病变是()。
A.二尖瓣和三尖瓣
B.二尖瓣和主动脉瓣
C.三尖瓣和主动脉瓣
D.三尖瓣和肺动脉瓣
E.主动脉瓣和肺动脉瓣
198、配伍题 由外伤引起()动脉粥样硬化所致()局部感染所致的动脉炎()梅毒性主动脉炎()慢性空洞性肺结核所致()
A.假性动脉瘤
B.腹主动脉动脉瘤
C.主动脉弓动脉瘤
D.主动脉壁分离
E.侵蚀性动脉瘤
199、判断题 Aschoffbody是风湿病特征性病变,具有诊断意义。
200、多项选择题 动脉粥样硬化的形成与下列哪些因素有关()
A.高胆固醇血症
B.吸烟
C.高血压
D.糖尿病
E.肾病综合征
201、单项选择题 高血压心脏向心性肥大下述描述中,哪一项是错误的()
A.左心室壁增厚
B.左心室乳头肌和肉柱增粗
C.左心室扩张
D.镜下心肌纤维肥大
E.心脏重量增多
202、单项选择题 患者,女,50岁,风湿性心脏病反复发作12年。近1月来低热、无力、左上腹痛、腰痛、左侧肢体瘫痪,皮肤及黏膜见点状出血,听诊发现心杂音性质和强度改变 患者现出现的症状主要为何种原因引起()。
A.风湿性心内膜炎赘生物脱落
B.亚急性感染性心内膜炎赘生物脱落
C.心瓣膜病赘生物脱落
D.急性感染性心内膜炎赘生物脱落
E.病毒性心肌炎赘生物脱落
203、多项选择题 恶性高血压常见的死亡原因是()
A.心力衰竭
B.心肌梗死
C.尿毒症
D.脑出血
E.脑软化
204、填空题 光镜下,风湿小体中心为_____,周围由_____,_____,_____围绕成梭形小体。
205、单项选择题 关于主动脉瓣口狭窄的描述中,下列哪一项是错误的()。
A.左心室肥大
B.右心肥大、扩张
C.主动脉瓣区吹风样收缩期杂音
D.脉压差增大
E.心绞痛
206、填空题 引起急性感染性心内膜炎的最常见菌为______;引起亚急性感染性心内膜炎的最常见菌为_________,其多感染已有______的瓣膜。
207、单项选择题 一般认为阿少夫细胞来源于()。
A.心肌间质巨噬细胞
B.心肌细胞
C.成纤维细胞
D.淋巴细胞
E.泡沫细胞
208、单项选择题 高血压病心脏代偿性病变特征是()。
A.左心室肌源性扩张
B.左心室向心性肥大
C.左心室乳头肌萎缩
D.左心室不扩张或缩小
E.右心室肌源性扩张
209、填空题 原发性心肌病分为______,______及______三型。
210、单项选择题 下列关于高血压病脑出血的叙述中,哪一项是错误的()。
A.以基底节、内囊部多见
B.脑小动脉痉挛、通透性增加,引起漏出性出血
C.微小动脉瘤形成、破裂
D.小动脉壁坏死,发生破裂性出血
E.出血灶小,症状不明显
211、多项选择题 阿少夫细胞的形态特点有()。
A.细胞体积大,核大
B.胞浆丰富,核膜清晰
C.染色质集中于核中央呈细丝状向核膜放射
D.核如枭眼状或呈毛虫状
E.似心肌细胞
212、单项选择题 动脉粥样硬化病变主要发生在()。
A.细动脉内膜
B.动脉内膜
C.微动脉内膜
D.大、中型动脉内膜
E.小动脉内膜
213、单项选择题 二尖瓣狭窄首先引起()
A.左心房肥大扩张
B.心室肥大扩张
C.肺淤血水肿
D.肺动脉高压
E.右心衰竭
214、多项选择题 二尖瓣关闭不全的临床表现有()。
A.心尖区收缩期吹风样杂音
B.球形心
C.呼吸困难
D.右心室萎缩
E.左心室轻度缩小
215、单项选择题 高血压病脑出血最好发的血管是()。
A.大脑中动脉
B.基底动脉
C.豆纹动脉
D.大脑前动脉
E.大脑后动脉
216、名词解释 Wegener 肉芽肿(Wegener granuloma)
217、单项选择题
一高血压病患者男性,45岁,心脏破裂突发死亡,大体如图所示,该患者最可能合并的疾病为()

A.脑动脉粥样硬化
B.冠状动脉粥样硬化伴透壁性心肌梗死
C.冠状动脉粥样硬化伴心内膜下心肌梗死
D.心脏黏液瘤
E.主动脉粥样硬化
218、名词解释 心内膜下心肌梗死(subendocardial myocardial infarction)
219、填空题 主动脉粥样硬化主要见于其______壁及______处;腹主动脉处最严重,其次是______和______,再次是______。
220、多项选择题 亚急性感染心内膜炎在临床上可表现()
A.血培养阳性
B.眼底出血
C.贫血
D.偏瘫
E.瓣膜病
221、单项选择题 急进型高血压时,增生性小动脉硬化及坏死性细动脉炎主要发生于()
A.大脑
B.肾
C.心
D.肾上腺
E.脾
222、名词解释 环状梗死(circumferential infarction)
223、填空题 高血压第三期常累及以下脏器:①_______,其主要病变是______;②_______,其主要病变是______;③_______,其主要是______,______,和______。
224、填空题 心肌梗死最常见的原因是在冠状动脉______的基础上并发______,______,或冠状动脉______导致冠状动脉______。
225、单项选择题 关于慢性风湿性瓣膜病的叙述中,下述哪一项是错误的()。
A.瓣膜硬化
B.瓣膜相互粘连
C.腱索增粗
D.瓣膜增厚卷曲
E.瓣膜穿孔,腱索断裂
226、多项选择题 心内膜下心肌梗死的病变特点是()
A.主要累及左心室心壁内层
B.常见到一支冠状动脉狭窄或闭塞
C.附壁血栓形成
D.梗死部位与病变的冠状动脉供血区域一致
E.常表现为凝固性坏死
227、单项选择题
原发性高血压病患者进入晚期,即内脏病变期后,心脏受累严重。仔细比较正常心脏和病变心脏变化。
如图为正常心脏,则图2心脏发生了什么改变()

A.左心室离心性肥大
B.右心室离心性肥大
C.左心室向心性肥大
D.右心室向心性肥大
E.全心肥大
228、单项选择题 关于脑动脉粥样硬化的叙述,下列哪项是错误的()。
A.发生较迟,一般40岁后才出现斑块
B.可继发血栓和小动脉瘤形成
C.病变以Willis环和大脑前动脉最显著
D.可引起脑萎缩、脑软化
E.延髓的软化灶可引起延髓性呼吸、循环中枢麻痹
229、多项选择题 阿少夫小体的形态特点有()。
A.多呈梭形或圆形结节状
B.主要由阿少夫细胞组成
C.中央常有干酪样坏死
D.伴有淋巴细胞浸润
E.最后演变为纤维瘢痕
230、单项选择题 动脉粥样硬化可引起()。
A.原发性颗粒性固缩肾
B.瘢痕性固缩肾
C.大红肾
D.脓肿肾
E.大白肾
231、单项选择题 最常引起区域性心肌梗死的原因是()
A.在狭窄性冠状动脉粥样硬化的基础上,因体力活动造成心脏过度负荷
B.冠状动脉痉挛
C.冠状动脉栓塞
D.冠状动脉粥样硬化并发血栓形成
E.梅毒性主动脉炎所致的冠状动脉口狭窄或闭塞
232、问答题 简述风湿病的基本病变及其一般所持续的时间。
233、单项选择题 急性细菌性心内膜炎无关的病变是()。
A.脾肿大
B.肾梗死
C.皮肤环形红斑
D.心瓣膜赘生物
E.皮肤黏膜出血点
234、单项选择题
冠状动脉粥样硬化常常伴发动脉痉挛,从而易导致动脉血栓形成。
发病率最高的是哪一分支()
A.左前降支
B.右主干
C.左旋支
D.后降支
E.后室间支
235、填空题 心绞痛分为_______,______,和_______三种类型。
236、判断题 动脉粥样硬化,主要累及中小动脉,基本病变包括动脉内膜的脂质沉积、内膜灶状纤维化、粥样斑块形成。
237、单项选择题
主动脉粥样硬化巨检如图,镜下观如图所示,该病变最佳名称为()
A.脂纹
B.纤维斑块
C.粥样斑块
D.粥瘤性溃疡
E.动脉瘤形成
238、名词解释 区域性心肌梗死(regional myocardial infarction)
239、名词解释 动脉瘤(aneurysm)
240、单项选择题 急进型高血压患者死于尿毒症的主要原因是()
A.肾动脉血栓形成
B.肾细小动脉纤维素样坏死
C.肾小球纤维化
D.肾小管坏死
E.肾间质出血
241、单项选择题 动脉粥样硬化病变最为严重的部位是()
A.降主动脉
B.升主动脉
C.腹主动脉
D.胸主动脉
E.主动脉弓
242、填空题 心肌梗死的合并症有______,______,______,______及______。
243、多项选择题 高血压病后期患者常见的脏器改变有()。
A.细颗粒性固缩肾
B.肥厚性心肌病
C.向心性心肌肥大
D.脑出血和脑水肿
E.二尖瓣狭窄
244、单项选择题 高血压性心脏病代偿期的特征是()
A.左心室扩张
B.心壁肉柱扁平
C.左心室向心性肥大
D.弥漫性心肌纤维化
E.以上都不是
245、单项选择题 有一城市病人的心脏标本,肉眼观察,心脏明显增大呈球形,心脏扩张,乳头肌肉柱扁平,细看心室壁可见灰色小的瘢痕,有附壁血栓。请分析此心脏病标本病变最可能是()。
A.扩张型心肌病
B.限制型心肌病
C.慢性克山病
D.风湿性心脏病
E.高血压心脏病
246、单项选择题 下列哪项为动脉粥样硬化早期的病理变化()
A.纤维帽形成
B.由于氧化LDL的毒性作用使泡沫细胞坏死
C.血液单核细胞迁入内膜并形成泡沫细胞
D.中膜平滑肌细胞迁入内膜并增生
E.以上都不是
247、单项选择题 引起亚急性感染性心内膜炎最常见的病原体是()。
A.金黄色葡萄球菌
B.草绿色链球菌
C.大肠杆菌
D.绿脓杆菌
E.β溶血性链球菌
248、填空题 动脉粥样硬化时,内膜中的泡沫细胞由______细胞及______细胞吞噬______而形成。
249、单项选择题 急性感染性心内膜炎中瓣膜赘生物中,不具有的成分是()
A.大量细菌大量
B.大量肉芽组织
C.大量中性粒细胞
D.坏死组织
E.大量血小板和纤维蛋白
250、单项选择题 二尖瓣关闭不全不会导致()
A.右心房增大
B.右心室增大
C.左心房增大
D.左心室增大
E.血管枪击音
251、单项选择题 在动脉粥样硬化的病理过程中,下列哪一种病变不存在()。
A.玻璃样变性
B.纤维素样变性
C.出血
D.血栓形成
E.钙化
252、问答题
病史:患者,女,34岁。心悸、气急、不能平卧半年,症状加重一周。
患者幼时扁桃体经常发炎,发热。10岁时出现两膝关节红肿疼痛,以后其他大关节游走性疼痛,反复发作,伴发热。检查抗“O”增高,血沉加快。二周后又出现心悸,活动后加重,经治疗有所好转。但时好时坏,近3个月来出现夜间端坐呼吸,不能平卧,一周前心悸、气促加剧,伴少尿,双下肢浮肿入院。体检:半卧位,两颊暗红,发绀,P105次/分,R30次/分,Bp105mmHg/60mmHg,体温正常,两下肢浮肿,右下肢为甚,且右下肢呈暗红色。心尖搏动在左锁骨中线第五肋间外2.5cm处,心前区闻及Ⅲ级收缩期杂音和Ⅱ级舒张期杂音,两肺下叶闻及湿性啰音,以左下叶为甚。肝右肋下5cm,质地中等,有压痛。入院2天突然气急、发绀加重,并发生休克,抢救无效死亡。
尸检所见:①二尖瓣狭窄及关闭不全,左右心均扩大;②左心房后壁心内膜粗糙,有瘢痕;③左肺见多处楔形实变区(灰红色);④肺动脉主干的左分支内有4.5cm长,直径0.8cm的血栓;⑤右肾有一楔形灰白色凹陷病灶;⑥右下肢股静脉血栓形成;⑦肝、脾、肺淤血。
253、单项选择题 关于动脉粥样硬化的危险因素中下述哪一项是错误的()
A.遗传因素是动脉粥样硬化的危险因素
B.高血压患者,动脉粥样硬化发病较早,病变较重
C.吸烟是引起动脉粥样硬化的因素之一
D.高脂血症,特别是血浆高密度脂蛋白(HDL)水平持续升高与动脉粥样硬化的发病率呈正相关
E.雌激素可降低血浆胆固醇水平,因此,绝经前女性比同年龄男性动脉粥样硬化发病率低
254、单项选择题
原发性高血压病患者进入晚期,即内脏病变期后,心脏受累严重。仔细比较正常心脏和病变心脏变化。
此种改变表明心脏处于何种状态()
A.正常状态
B.代偿状态
C.失代偿状态
D.心衰状态
E.以上都不是
255、单项选择题 亚急性细菌性心内膜炎最常见的病原体是()。
A.金黄色葡萄球菌
B.草绿色链球菌
C.β溶血性链球菌
D.大肠杆菌
E.绿脓杆菌
256、单项选择题 有一病人,心悸气短,有风湿病史,近半年症状加重,查体左心界扩大,心率120次/分,胸骨左缘2~3肋间可闻到舒张期杂音,脉为水冲脉,本患者的疾病最大可能是()。
A.风湿性心脏病二尖瓣关闭不全
B.风湿性心脏病主动脉瓣狭窄
C.风湿性心脏病主动脉瓣关闭不全
D.风湿性心脏病二尖瓣窄
E.三尖瓣狭窄
257、单项选择题 性感染性心内膜炎好发于原先有损害的瓣膜,最常见于()。
A.风湿性心脏病二尖瓣病变
B.三尖瓣先天性畸形
C.动脉粥样硬化累及主动脉瓣
D.心力衰竭
E.肺心病
258、单项选择题 下列疾病最易发生心肌向心性肥大的是()。
A.主动脉瓣关闭不全
B.严重贫血
C.甲状腺功能亢进
D.高血压病
E.维生素B1乏症
259、填空题 区域性心肌梗死又称_______,大多发生在_______区病变多累及心室壁_______组织。
260、配伍题 风湿性心内膜炎()风湿性心肌炎()亚急性感染性心内膜炎皮肤表现()急性风湿热皮肤表现()
A.Osler结节
B.Negri小体
C.Aschoff小体
D.环形红斑
E.McCallum斑
261、多项选择题 下列关于脑动脉粥样硬化说法错误的是()
A.病变以豆纹动脉多见
B.可形成脑小动脉瘤
C.可形成脑软化
D.脑出血严重
E.可形成脑萎缩
262、单项选择题 动脉粥样硬化最易合并动脉瘤形成的部位是()。
A.下肢动脉
B.肾动脉
C.腹主动脉
D.心冠状动脉
E.大脑中动脉
263、单项选择题 有一病人近年来劳累时,心前区经常疼痛,并向左肩部放射,因病情不缓解,住院治疗。心电图显示系统性心肌缺血,入院后逐渐加重,在治疗过程中,夜间突然死亡。该患者死亡原因最可能是()。
A.冠心病合并心肌梗死
B.心肌硬化合并心衰
C.心肌病合并心衰
D.高血压心脏病合并心衰
E.以上都不是
264、单项选择题 下列描述中,哪一项是错误的()。
A.风湿性心内膜炎最常累及二尖瓣和主动脉瓣
B.疣状心内膜炎赘生物不易脱落
C.风湿性心肌炎可导致心肌纤维化
D.风湿性心外膜炎可导致心包粘连
E.风湿性关节炎不会导致关节畸形
265、单项选择题 有一病人年轻时患过风湿性关节炎,后又患肾炎数年,而且反复发作加重病情,近来出现头晕、头痛、多尿以及夜尿等症状,查体呈慢性病容,皮肤有尿素霜,心前区听到心包摩擦音,尿蛋白(+),NPN增高。本患者的心包摩擦音产生原因可能是()。
A.风湿性心外膜炎
B.尿毒症性心外膜炎
C.结核性心外膜炎
D.感染性心外膜炎
E.毛霉菌性心外膜炎
266、单项选择题
动脉粥样硬化粥样斑块形成后,病灶内成分往往复杂。仔细观察该病变不同部位镜下观。
如图所示,该病变不包括以下哪一项()

A.斑块表面被覆纤维帽
B.斑块内可见胆固醇结晶
C.可见大量泡沫细胞
D.可见红染无结构坏死组织
E.可见钙化灶
267、名词解释 急性感染性心内膜炎(acute infective endocarditis )
268、单项选择题 患者,男,58岁,6年来有典型心绞痛史。曾因心肌梗死入院治疗,以后转为陈旧性心肌梗死。本次因出现心力衰竭、室性早搏、肺水肿等症状入院。住院过程中突然心脏停搏,抢救无效死亡。尸体解剖见到右冠状动脉主干有Ⅲ级斑块,并被新鲜血栓阻塞。该患者最可能的心脏病变是()。
A.左心室侧壁心肌梗死
B.左心房后壁心肌梗死
C.右心室心肌梗死
D.心尖部心肌梗死
E.左心室前壁心肌梗死
269、单项选择题 下述有关高血压病的叙述中,哪一项是错误的()。
A.常引起左心肥大
B.脑出血是主要死因
C.引起颗粒性肾固缩
D.引起视乳头水肿
E.常引起下肢坏疽
270、多项选择题 主动脉瓣关闭不全在临床上可有()
A.主动脉瓣区可闻及舒张期杂音
B.主动脉瓣区可闻及收缩期杂音
C.舒张压下降
D.收缩压下降
E.左心室肥大
271、单项选择题 下列哪项不属于风湿性心脏病的陈旧性病变()
A.McCallum斑形成
B.心包脏壁两层的纤维素性粘连
C.心肌间质内形成小瘢痕
D.二尖瓣增厚、缩短、变形
E.二尖瓣和主动脉瓣的增厚、缩短、变形
272、单项选择题 高血压病最常见的死亡原因是()。
A.心力衰竭
B.肾功能衰竭
C.脑血栓形成
D.脑出血
E.高血压脑病
273、填空题 心肌梗死时一些酶可释入血中,其中以______的升高对临床诊断有帮助。
274、名词解释 阿少夫小体(Aschoff body)
275、单项选择题 对风湿病具有诊断意义的病变是()。
A.淋巴细胞浸润
B.浆液渗出
C.Aschoff小体
D.纤维素样坏死
E.粘液样变性
276、多项选择题 动脉粥样硬化,粥样斑块的成分包括()
A.胆固醇结晶
B.泡沫细胞
C.无定形坏死组织
D.玻璃样变性的纤维帽
E.淋巴细胞
277、单项选择题 慢性风湿性心脏病左心室、左心房同时扩大时,常说明()。
A.主动脉瓣关闭不全
B.二尖瓣狭窄
C.二尖瓣关闭不全
D.主动脉瓣狭窄
E.以上都不是
278、单项选择题 关于动脉粥样硬化的描述,哪项是正确的()。
A.主动脉脂纹仅见于中年以上人群
B.粥瘤内泡沫细胞均来自单核细胞
C.脂纹以主动脉前壁多见
D.氧化低密度脂蛋白(ox-IDL)具有细胞毒性
E.粥瘤内胶原由成纤维细胞产生
279、填空题 恶性高血压以______发生______为主要病变特征。
280、单项选择题 急性风湿病最常见的致死原因是()
A.风湿性心内膜炎
B.风湿性肺炎
C.风湿性心包炎
D.风湿性脑动脉炎
E.风湿性心肌炎
281、单项选择题 动脉粥样硬化最好发的部位是()。
A.主动脉
B.冠状动脉
C.肾动脉
D.脑动脉
E.四肢动脉
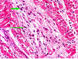
282、单项选择题
风湿性心肌炎是一种结缔组织的变态反应性疾病,作用于心肌间质。
病变镜下观如图所示,特征性病变为()

A.心肌间质中血管扩张充血
B.纤维结缔组织增生
C.心肌细胞萎缩
D.风湿小体形成
E.淋巴细胞浸润
283、多项选择题 风湿性心内膜炎常侵犯的心瓣膜是()
A.二尖瓣及左房内膜
B.二尖瓣及肺动脉瓣
C.二尖瓣及腱索
D.三尖瓣
E.二尖瓣及三尖瓣和主动脉瓣
284、多项选择题 光镜下粥样瘤内可见()。
A.无定形坏死物
B.胆固醇结晶
C.较多中性粒细胞
D.玻璃样变性的纤维帽
E.泡沫细胞
285、单项选择题 心冠状动脉粥样硬化最常受累的动脉分枝是()
A.右冠状动脉主干
B.左冠状动脉主干
C.右冠状动脉后降支
D.左冠状动脉回旋支
E.左冠状动脉前降支
286、判断题 脑AS常于Willis环处形成动脉瘤。可破裂引起脑出血。
287、问答题 冠状动脉粥样硬化、主动脉瓣关闭不全均可导致心绞痛,两者在发病机制上有何不同?
288、多项选择题 风湿性心肌炎多见于()
A.左心室
B.左心房
C.右心室
D.右心房
E.左心耳
289、多项选择题 引起心脏左心室肥厚的疾病有()
A.良性高血压
B.主动脉瓣狭窄
C.冠状动脉性心脏病
D.风湿性心肌炎
E.二尖瓣关闭不全
290、单项选择题
患者男性,42岁,无诱因间歇性头昏,视物模糊1年,查体血压135/95mmHg,眼底镜检查如图所示:图①为正常图像,图②、③为病变图像。初步考虑为“原发性高血压”,此时应处于哪一期()

A.机能紊乱期
B.细动脉硬化期
C.肌型小动脉硬化期
D.弹力肌型和弹力型动脉硬化期
E.内脏病变期
291、单项选择题 肥厚性心肌病的病变特点()
A.两侧心室肥大,4个心腔扩张
B.常伴有附壁血栓形成
C.心肌细胞异常肥大,排列方向紊乱
D.弥漫性心肌间质纤维化
E.以上都不是
292、多项选择题 动脉粥样硬化脂纹脂斑中的泡沫细胞来源于()。
A.血液中中性粒细胞
B.血液中单核巨噬细胞
C.内膜内皮细胞
D.中膜平滑肌细胞
E.结缔组织成纤维细胞
293、多项选择题 粥样斑块的继发性病变包括()。
A.内膜溃疡形成
B.斑块内钙盐沉积
C.附壁血栓形成
D.斑块内出血
E.斑块吸收,内膜修复正常
294、单项选择题 风湿病变性的描述,哪项是错误的()
A.肉芽肿性炎
B.渗出性炎
C.化脓性炎
D.变质性炎
E.浆液性炎
295、单项选择题 有一农村年轻妇女,婚后出现心悸2年,1个月前牙痛拔牙后,开始发热,全身乏力,检查,皮肤有出血点。脾大,心尖区可闻及双期杂音。本患者最大可能的疾病是()。
A.风湿病活动期
B.感冒肺部轻微感染
C.亚急性感染性心内膜炎
D.风湿性心瓣膜病
E.流行性出血热
296、单项选择题 马氏斑(McCllum’spatch)位于()
A.左心房
B.左心室
C.右心房
D.右心室
E.心外膜
297、多项选择题 与高血压病有关的叙述是()。
A.可引起左心室向心性肥大
B.脑出血是最严重的并发症
C.晚期可发生原发性细颗粒性固缩肾
D.出现严重间歇性跛行症状
E.晚期可出现弥漫性心肌梗死
298、单项选择题 关于主动脉粥样硬化的叙述中下列哪一项是错误的()
A.病变多位于主动脉后壁和各分支开口处
B.可引起动脉血流障碍
C.可引起主动脉瓣膜病
D.可引起夹层动脉瘤
E.可继发溃疡及血栓形成
299、单项选择题 粥样斑块最危险的并发症是()
A.斑块内出血
B.粥样瘤性溃疡
C.斑块破裂
D.钙化
E.动脉瘤形成
300、单项选择题 下列哪项不引起右心室肥大()
A.二尖瓣狭窄
B.主动脉瓣狭窄
C.三尖瓣狭窄
D.二尖瓣关闭不全
E.主动脉瓣关闭不全