时间:2022-05-10 01:10:08


1、单项选择题 人无形体病的传播媒介是()
A.软蜱
B.硬蜱
C.体虱
D.鼠蚤
E.鼠虱
2、多项选择题 患者女,36岁,因“发热、头痛6d,伴皮疹1d”于10月17日来诊。6d前开始发热,体温达40℃,伴头痛及咽部不适;在单位医院按上呼吸道感染治疗2d,效果不佳;1d前发现皮疹,无明显瘙痒。查体:T39.6℃,BP80/50mmHg;意识清楚,精神极差,急性发热病容,充血外貌;躯干、四肢可见散在的充血性斑丘疹,球结膜充血;心、肺未见异常;腹平软,无压痛及反跳痛,肝、脾肋下未及,肾区无叩痛,肠鸣音正常。 此时的治疗包括(提示血常规:WBC6.7×10/L,N0.62,PLT78×10/L;尿蛋白(++);肾综合征出血热(流行性出血热)抗体(-),麻疹抗体(-);外-斐反应:OX191∶320以上。)()
A.物理降温
B.补足液量及热量
C.给予四环素
D.给予多西环素
E.给予氟喹诺酮类抗生素
F.给予磺胺类抗生素
G.镇痛、镇静
3、判断题 焦痂附近的淋巴结肿大对恙虫病的诊断具有重要价值。
4、判断题 在我国已经证实能传播恙虫病的数十种恙螨中,以地里纤恙螨和红纤恙螨为主要传播媒介。
5、单项选择题 可用外-斐反应来辅助诊断的疾病是()
A.伤寒
B.回归热
C.斑疹伤寒
D.钩端螺旋体病
E.梅毒
6、单项选择题 男,34岁,东北籍,高热、头痛6天,谵妄、皮疹1天,于2005年1月入院,发病前二周曾经出差,坐火车拥挤有许多民工带铺盖等行李。体检:T41℃,P112次/分,BP120/80mmHg,躯干、四肢满布充血性皮疹,浅表淋巴结未触及,心肺未见异常,腹软,肝脏不大,脾肋下可及2cm,质软,生理反射存在,病理反射未引出。实验室检查:Hb15g/L,WBC4.9×109/L,PLT120×109/L。 对该病例应进一步做哪一检查以协助诊断()
A.立克次体凝集反应
B.骨髓培养
C.血培养
D.外-斐反应
E.皮疹处刺破取组织液直接涂片染色
7、单项选择题 哪项不是恙虫病焦痂或溃疡特点()
A.可见于70%~100%患者
B.圆形或椭圆形,多为单个
C.边缘突起,呈堤围状
D.伴有化脓
E.多见于腋窝,外生殖器,腹股沟会阴等处
8、单项选择题 关于恙虫病流行病学的叙述,错误的是()
A.恙螨是此病的传播媒介
B.人群普遍易感
C.病后有巩固的免疫力,不会再次感染
D.多发生于夏秋季
E.多为散发
9、单项选择题 立克次体病的病理变化主要是()
A.小血管炎及血管周围炎
B.急性出血性坏死性炎症
C.单核巨噬细胞系统增生
D.急性假膜性炎症
E.干酪样坏死
10、单项选择题 男,35岁,因发热,头痛1周,全身性皮疹2天于10月5日入院,体温为39℃,查体;结膜充血,双肺底可闻湿性啰音,以右肺底明显。腹股沟淋巴结肿大,如蚕豆大小,伴疼痛,压痛,右侧阴囊可见一个8mm大小皮损,无痛不痒,表面无渗出物,躯干,四肢暗红色斑丘疹,压之退色,血常规:白细胞5.6×10/L,中性0.72,淋巴0.28。尿蛋白+,BUN6.5mmol/L。 病原治疗应选用()
A.氯霉素
B.青霉素G
C.头孢霉素
D.丁胺卡那
E.利巴伟林
11、单项选择题 关于恙虫病的病理改变,叙述错误的是()
A.全身小血管炎、血管周围炎及单核吞噬细胞增生
B.肝、脾因充血和单核吞噬细胞增生而增大
C.局灶性或弥漫性心肌炎
D.嗜酸粒细胞显著增生浸润
E.出血性肺炎和间质性肾炎
12、单项选择题 关于恙虫病的描述,下述哪项是错误的()
A.恙虫病又称丛林斑疹伤寒
B.是由恙虫病东方体所致
C.属自然疫源性传染病
D.临床上以发热、焦痂(或溃疡)、淋巴结肿大及皮疹为特征
E.外斐反应阴性
13、单项选择题
如图所示,恙虫病的传播媒介是()

A.鼠类
B.恙螨
C.患者
D.体虱
E.鼠蚤
14、单项选择题 有些立克次体与某些变形杆菌有共同抗原,因此诊断立克次体疾病常作变形杆菌凝集试验。此试验又称为()
A.显凝试验
B.肥达反应
C.嗜异凝集试验
D.SPA凝集试验
E.外斐反应
15、多项选择题 恙虫病的体征包括()
A.焦痂或溃疡
B.肝、脾大
C.淋巴结肿大
D.结膜充血
E.皮疹
16、单项选择题 常用于诊断流行性斑疹伤寒的外斐反应中所用的变形杆菌是()
A.OX1
B.OX2
C.OX17
D.OX19
E.Oxk
17、问答题 请简述恙虫病的诊断和主要鉴别诊断。
18、多项选择题 有关立克次体病的特点,以下叙述错误的是()
A.感染后免疫力短暂
B.节肢动物常为传播媒介
C.在细胞内以复制方式繁殖
D.所致疾病多为自然疫源性疾病
E.对所有抗生素及磺胺类药物敏感
19、单项选择题 关于恙虫病发病机制,下列哪项不正确()
A.基本病理变化为全身性小血管炎,血管周围炎
B.焦痂是因恙虫病东方体在局部繁殖造成的皮肤损害
C.发病机制类似败血症
D.病原体局部繁殖,释放毒素引起全身性病变
E.严重者可导致全身多脏器病变
20、单项选择题 患者男,48岁,农民,因“发热5d,尿量减少并牙龈出血1d”于11月4日来诊。14d前可疑被“草蜱”咬伤右踝关节,局部红肿、发痒,外用激素涂抹;11d前曾清理和清洗被老鼠污染的衣物;5d前出现发热、头痛、头晕、全身关节痛、乏力等症状;1d前尿量减少,牙龈出血。查体:T39.5℃;相对缓脉。 初步诊断可能为(提示动态监测血常规,白细胞和血小板进行性下降,最后一次血常规:WBC2.1×109/L,N比例减少,可见异形细胞,PLT30×109/L。尿常规:蛋白(+)。)()
A.肾综合征出血热(流行性出血热)少尿期
B.人单核细胞埃立克体病
C.恙虫病
D.伤寒
E.钩端螺旋体病
F.人粒细胞无形体病
G.粒细胞减少症
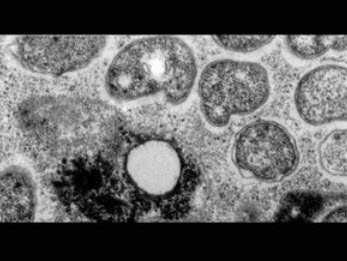
21、单项选择题 女,83岁,因蜱叮咬10余天,发热6天,皮疹4天于2012年5月16日入院。入院时查体:体温38.0℃,脉搏78次/分,呼吸24次/分,血压116/80mmHg。神志清晰,周身皮肤散在分布大小不等、形态不一的淡红色斑疹,压之不退色,疹间皮肤正常,前胸部及双下肢可见大小不等暗红色瘀点、瘀斑,部分融合成片,四肢肌力及肌张力正常,脑膜刺激征阴性。血常规:白细胞14.19×109/L,中性粒细胞百分比0.88,血小板24×109/L。尿素氮30.81mmol/l,肌酐127μmol/L。心肌酶:乳酸脱氢酶509U/L,α-羟丁酸脱氢酶394U/L。凝血常规:凝血酶原时间37.9秒,凝血酶原活动度20%,纤维蛋白原1.90g/L。 为了明确最可能疾病的诊断还需要做哪项检查()
A.血细菌培养
B.肥达反应
C.间接免疫荧光抗体(IFA.检测
D.骨髓穿刺涂片检查
E.出血热抗体
22、配伍题 流行性斑疹伤寒的传播媒介()黑热病的传播媒介()恙虫病的传播媒介()登革热的传播媒介()地方性斑疹伤寒的传播媒介()
A.体虱
B.鼠蚤
C.恙螨
D.伊蚊
E.白蛉
23、问答题 请简述流行性斑疹伤寒的发病机制。
24、多项选择题 恙虫病的诊断依据有()
A.发病前3周到过流行区,有户外工作、露天野营或草丛休息史
B.起病急、发热、焦痂或特异性溃疡、淋巴结肿大、皮疹、肝脾肿大
C.外斐反应阳性
D.作小鼠接种分离病原体
E.血培养阳性
25、单项选择题
地方性斑疹伤寒的主要传播媒介是()

A.体虱
B.鼠蚤
C.猪
D.蚊虫
E.猫
26、问答题 请简述恙虫病的主要临床表现。
27、判断题 目前,立克次体病的共同特点之一就是治疗棘手,抗生素治疗无效。
28、多项选择题 患者男,48岁,农民,因“发热5d,尿量减少并牙龈出血1d”于11月4日来诊。14d前可疑被“草蜱”咬伤右踝关节,局部红肿、发痒,外用激素涂抹;11d前曾清理和清洗被老鼠污染的衣物;5d前出现发热、头痛、头晕、全身关节痛、乏力等症状;1d前尿量减少,牙龈出血。查体:T39.5℃;相对缓脉。 此时应该给予的治疗是(提示下午3时49分,患者突然出现意识障碍、抽搐,少量便血。)()
A.物理降温
B.药物降温
C.应补充足够的液体和电解质
D.利尿
E.输血
F.可给予胃肠营养
G.粒细胞集落刺激因子
29、单项选择题
如图所示,流行性斑疹伤寒的主要传播媒介是()

A.体虱
B.蚊虫
C.家鼠
D.狗
E.猫
30、单项选择题
根据图中所示的焦痂体征分析,最可能的诊断是()
A.伤寒
B.流行性出血热
C.恙虫病
D.血吸虫病
E.细菌性痢疾
31、单项选择题 男,35岁,因发热,头痛1周,全身性皮疹2天于10月5日入院,体温为39℃,查体;结膜充血,双肺底可闻湿性啰音,以右肺底明显。腹股沟淋巴结肿大,如蚕豆大小,伴疼痛,压痛,右侧阴囊可见一个8mm大小皮损,无痛不痒,表面无渗出物,躯干,四肢暗红色斑丘疹,压之退色,血常规:白细胞5.6×10/L,中性0.72,淋巴0.28。尿蛋白+,BUN6.5mmol/L。 入院后第一周,出现心率增快,第一心音低钝,心电图示ST平坦,下降,AST明显升高。此时可能是伴发()
A.消化道出血
B.中毒性心肌炎
C.中毒性肝炎
D.低钾血症
E.代谢性酸中毒
32、填空题 流行性斑疹伤寒病原为_______,通过_____途径传播。
33、多项选择题 立克次体病的共同特点是()
A.主要通过媒介生物传播
B.可通过外斐反应确诊
C.立克次体毒素是重要的致病因素
D.病理变化主要是小血管炎及血管周围炎
E.广谱抗生素治疗效果好
34、单项选择题 人无形体病的致病机制哪项是不正确的()
A.主要是通过受体介导的内吞途径进入细胞
B.细胞免疫在机体的组织损伤中也发挥着重要作用
C.抗原抗体复合物的形成
D.细胞毒反应
E.无形体感染粒细胞后可影响宿主细胞基因转录、细胞凋亡
35、多项选择题 典型斑疹伤寒主要特征()
A.多于第4~5病日开始出疹
B.1~2d内皮疹由躯干遍及全身,尤以面部为多
C.皮疹开始为鲜红色充血性斑丘疹,以后转为暗红色,亦可为出血性皮疹
D.皮疹多于1周左右消退
E.常遗留有色素沉着
36、单项选择题 关于流行性斑疹伤寒的临床表现,下列哪项是不正确的()
A.发热
B.皮疹
C.中枢神经系统症状
D.肝脾肿大
E.嗜酸性粒细胞增加
37、单项选择题 关于恙虫病,叙述正确的是()
A.通过鼠排泄物传播
B.常见白细胞增高
C.发热期溃疡分泌物或淋巴结穿刺涂片染色可找到恙虫病东方体
D.发热持续时间短,多于1周内退热
E.血培养是确诊的方法
38、单项选择题 患者男,30岁,因“高热伴皮疹3d”来诊。查体:T39~40℃,呈不规则热,乏力,全身酸痛;结膜充血;全身充血性皮疹,左腹股沟处可见一椭圆形焦痂,直径约6mm,周围有红晕,同侧腹股沟淋巴结肿大;肝、脾大。 对本病没有确诊依据的检查是()
A.外-斐反应
B.患者血做小白鼠腹腔接种,分离病原体
C.溃疡分泌物涂片染色找恙虫病东方体
D.淋巴结穿刺涂片染色找恙虫病东方体
E.肥达反应
39、判断题 普氏立克次体侵入人体后,主要在小血管和毛细血管内皮细胞内繁殖,引起血管病变。
40、判断题 地方性斑疹伤寒白细胞总数及分类多正常,少数于病程早期出现血小板减少。
41、单项选择题 立克次体与细菌的主要区别是()
A.有细胞壁和无核糖体
B.含有DNA和RNA两种核酸
C.以二分裂方式繁殖
D.严格的细胞内寄生
E.对抗生素敏感
42、名词解释 焦痂(eschar)
43、问答题
患者,男,30岁,农民,因“寒战、高热伴剧烈头痛10天”入院。
查体:体温39.6℃,烦躁,头面及颈胸皮肤潮红,左腋窝有1焦痂,左腋窝淋巴结肿大,有触痛,眼结膜充血,双侧瞳孔等大等圆,对光反射存在,颈软,心肺无异常。克氏征阴性,布氏征阴性,巴氏征阴性。
胸透:心肺正常;肝功能ALT120U/L;尿检:蛋白(+);血常规:血红蛋白100g/L,白细胞5.4×109/L,中性0.72,淋巴0.28;外斐反应:OXK1:160。
44、单项选择题 患者男,30岁,因“高热伴皮疹3d”来诊。查体:T39~40℃,呈不规则热,乏力,全身酸痛;结膜充血;全身充血性皮疹,左腹股沟处可见一椭圆形焦痂,直径约6mm,周围有红晕,同侧腹股沟淋巴结肿大;肝、脾大。 首先考虑的诊断是()
A.恙虫病
B.地方性斑疹伤寒
C.流行性斑疹伤寒
D.钩端螺旋体病
E.炭疽
45、多项选择题 患者男,40岁,农民,因“发热3d”来诊。患者3d前受凉后畏寒、发热,体温最高达40℃,伴剧烈头痛,四肢酸痛,恶心,呕吐2次胃内容物,咳嗽,咳痰。用青霉素治疗3d,未见好转。查体:T39℃,P106次/min,R24次/min,BP130/84mmHg;急性病容;右下肺可闻及少许湿性啰音;腹软,无压痛。 诊断为恙虫病,其依据有(予四环素治疗,2d后热消退。)()
A.发病急,高热不退
B.焦痂
C.肝、脾大
D.经用青霉素、头孢地嗪等抗生素治疗无效,予四环素治疗有效
E.躯干和四肢散在暗红色斑丘疹
F.淋巴结肿大
G.血常规示中性粒细胞增高
H.肥达反应(-),外-斐反应(-)
46、单项选择题 男,43岁,三周前去河北农村探亲,一周前开始寒战、发热、体温高达40℃,伴头痛,无恶心、呕吐,身上曾经起过红疹。体检及实验室检查:P110次/分,面色红,胸腹部少数斑疹,颈软,双肺呼吸音清,腹软,肝肋下未及,脾侧位可及,凯尔尼格征阴性,巴宾斯基征阴性。血WBC4.5×109/L,中性粒细胞75%,外-斐反应OX191:160(+)。 对该病例应进一步做哪一检查以鉴别诊断()
A.Widal-s反应
B.骨髓培养
C.血培养
D.豚鼠阴囊试验
E.皮疹处刺破取组织液直接涂片染色
47、单项选择题 流行性斑疹伤寒的皮疹一般出现于热程的第几天()
A.第1天
B.第2天
C.第3天
D.第5天
E.第10天
48、单项选择题 恙虫病的主要传染源是()
A.鼠类
B.恙螨
C.鼠蚤
D.体虱
E.患者
49、多项选择题 典型流行性斑疹伤寒皮疹的主要特征有()
A.多于第4~5病日开始出疹
B.1~2d内皮疹由躯干遍及全身,尤以面部为多
C.皮疹开始为鲜红色充血性斑丘疹,后转为暗红色,亦可为出血性皮疹
D.皮疹多于1周左右消退
E.常遗留有色素沉着
50、单项选择题
患者男,26岁,农民,因“高热、头痛10天”入院。查体:体温38.9℃,烦躁,头面及颈胸皮肤潮红,左腹股沟有1焦痂,左腹股沟淋巴结肿大,有触痛,眼结膜充血,双侧瞳孔等大等圆,颈软,心肺无异常,神经系统检查:克氏征阴性,布氏征阴性,巴氏征阴性。胸部CT:心肺正常;肝功能ALT150U/L;尿常规:蛋白(+);血常规:血红蛋白98g/L,白细胞5.8×109/L,中性0.75,淋巴0.25。
确诊首选的检查是()
A.头颅CT
B.血培养
C.肾功能检测
D.外斐反应
E.出、凝血时间测定
51、单项选择题 人无形体病的病原治疗可选择()
A.利巴韦林
B.强力霉素
C.阿昔洛韦
D.干扰素
E.拉米夫定
52、单项选择题 恙虫病的流行病学特点,下列哪项是错的()
A.鼠类是主要传染源
B.恙螨是主要传播媒介
C.从事野外工作者发病率高
D.多发生在夏秋季,北方以秋冬季多见
E.病后有持续免疫,不会再次感染
53、单项选择题
男,35岁,因发热,头痛1周,全身性皮疹2天于10月5日入院,体温为39℃,查体;结膜充血,双肺底可闻湿性啰音,以右肺底明显。腹股沟淋巴结肿大,如蚕豆大小,伴疼痛,压痛,右侧阴囊可见一个8mm大小皮损,无痛不痒,表面无渗出物,躯干,四肢暗红色斑丘疹,压之退色,血常规:白细胞5.6×109/L,中性0.72,淋巴0.28。尿蛋白+,BUN6.5mmol/L。
为明确诊断,最为主要的检查方法是()
A.血培养+药敏
B.外-斐反应
C.登革热抗体
D.小鼠接种病原分离
E.病毒分离
54、单项选择题 关于立克次体的叙述,正确的是()
A.比病毒更低级的微生物
B.生存不依赖细胞环境
C.无细胞壁结构
D.在细胞内生长和繁殖
E.只有RNA一种核酸
55、单项选择题
图中所示的焦痂是属于下列何种疾病的特征性体征()
A.霍乱
B.流行性出血热
C.恙虫病
D.白喉
E.细菌性痢疾
56、单项选择题
患者男,26岁,农民,因“高热、头痛10天”入院。查体:体温38.9℃,烦躁,头面及颈胸皮肤潮红,左腹股沟有1焦痂,左腹股沟淋巴结肿大,有触痛,眼结膜充血,双侧瞳孔等大等圆,颈软,心肺无异常,神经系统检查:克氏征阴性,布氏征阴性,巴氏征阴性。胸部CT:心肺正常;肝功能ALT150U/L;尿常规:蛋白(+);血常规:血红蛋白98g/L,白细胞5.8×109/L,中性0.75,淋巴0.25。
最可能的诊断是()
A.伤寒
B.钩体病
C.流行性出血热
D.败血症
E.恙虫病
57、单项选择题
如图所示,下列哪项不属于流行性斑疹伤寒的皮疹特点()

A.开始为鲜红色充血性斑丘疹,继而变成暗红色或瘀点
B.多孤立存在,不融合
C.一般1周左右消退,瘀点样疹可持续至2周
D.常遗留色素沉着或脱屑
E.常遗留焦痂
58、单项选择题 关于恙虫病,叙述错误的是()
A.是由恙虫病东方体所致的自然疫源性疾病
B.鼠类是主要传染源
C.又称丛林斑疹伤寒
D.临床起病急,出现发热、皮疹、焦痂、淋巴结肿大,肝、脾大
E.变形杆菌OX19凝集反应(+)
59、填空题 地方性斑疹伤寒的病原体有别于流行性斑疹伤寒的病原的特征之一是将其接种雄性豚鼠可引起阴囊及睾丸______。
60、单项选择题 诊断依据哪项不正确()
A.流行病资料:发病前3周到过流行区,有户外工作、露天野营或草丛休息史
B.临床表现:起病急、发热、焦痂或特异性溃疡、淋巴结肿大、皮疹、肝脾肿大
C.必要时可作小鼠接种分离病原体
D.血培养阳性
E.外斐反应阳性
61、单项选择题 地方性斑疹伤寒的传染源是()
A.患者
B.体虱
C.家鼠
D.猫
E.猪
62、名词解释 Brill-Zinsser病
63、单项选择题 患者男,31岁,农民,因“发热(最高体温39.5℃)伴头痛4d,皮疹1d”来诊。查体:T39℃;结膜充血,皮肤散在充血性斑丘疹。外-斐反应变形杆菌OX19凝集试验(+),出血热抗体试验(-)。 根据病情对该患者选用抗生素治疗,不应选用()
A.四环素
B.多西环素
C.氯霉素
D.磺胺类抗生素
E.氟喹诺酮类抗生素
64、问答题
请试述流行性斑疹伤寒与地方性斑疹伤寒的鉴别要点。
65、单项选择题 患者男,30岁,因“高热伴皮疹3d”来诊。查体:T39~40℃,呈不规则热,乏力,全身酸痛;结膜充血;全身充血性皮疹,左腹股沟处可见一椭圆形焦痂,直径约6mm,周围有红晕,同侧腹股沟淋巴结肿大;肝、脾大。 入院第1周,出现心率增快,第一心音低钝;AST明显升高;ECG:ST段平坦、下降。此时考虑伴发()
A.心肌炎
B.消化道出血
C.中毒性肝炎
D.低钾血症
E.代谢性酸中毒
66、问答题 请简述流行性斑疹伤寒的病理变化。
67、判断题 立克次体的生物特性介于细菌和原虫之间,但与原虫更接近。
68、多项选择题 患者男,40岁,农民,因“发热3d”来诊。患者3d前受凉后畏寒、发热,体温最高达40℃,伴剧烈头痛,四肢酸痛,恶心,呕吐2次胃内容物,咳嗽,咳痰。用青霉素治疗3d,未见好转。查体:T39℃,P106次/min,R24次/min,BP130/84mmHg;急性病容;右下肺可闻及少许湿性啰音;腹软,无压痛。 为明确诊断,应首先考虑的检查是()
A.肥达反应
B.外-斐反应
C.血培养
D.颅脑CT
E.登革热抗体
F.血常规
G.胸部X线片
H.腹部B型超声
I.消化道钡剂造影
69、多项选择题
如图所示,恙虫病的皮疹特点是()

A.多出现于病程的第4~6d
B.常为充血性的暗红色斑丘疹,少数呈出血性
C.散发于躯干和四肢,面部很少
D.皮疹持续3~7d后消失
E.可遗留少许色素沉着
70、判断题 皮疹多出现于恙虫病病程的第4~6d,常为充血性暗红色斑丘疹。
71、单项选择题 发现停留在皮肤上的蜱时下述处理哪项是正确的()
A.用力撕拉
B.用烟头等涂在蜱头部待蜱自然从皮肤上落下
C.如蜱虫口器断入皮内不应取出
D.用尖头镊子尽可能贴近皮肤表面向上将蜱虫从皮肤里拔出
E.以上都不正确
72、单项选择题 流行性斑疹伤寒最有效的治疗措施是()
A.应用皮质激素
B.口服四环素类抗生素
C.静滴氨基糖甙类抗生素
D.肌注干扰素
E.以对症支持疗法为主
73、填空题 流行性斑疹伤寒的病原治疗药物可选择_____或_____。
74、单项选择题
患者女,26岁,因“畏寒、发热2d”来诊。患者9d前可疑被“草蜱”咬伤后,局部有红肿、发痒等症状,7d后出现畏寒、发热、恶心、食欲减退、腹泻(黄色水样粪),头痛、头晕、全身关节痛、乏力。血常规:Hb110g/L,RBC3.46×1012/L,WBC3.3×109/L,N0.29,L0.20,PLT18×109/L。单份血清抗体1︰64,并检出粒细胞内包涵体。
首选的抗生素是()
A.四环素
B.喹诺酮类
C.利福平
D.磺胺类
E.强力霉素
75、单项选择题 外斐反应常用于诊断恙虫病,在此反应中所用的变形杆菌是()
A.OX1
B.OX2
C.OX16
D.OX19
E.Oxk
76、单项选择题 恙虫病简便且特异性尚可的实验室检查是()
A.肥达试验
B.尿常规检查
C.外斐反应
D.血培养
E.血常规检查
77、单项选择题 患者女,36岁,因“发热、头痛6d,伴皮疹1d”于10月17日来诊。6d前开始发热,体温达40℃,伴头痛及咽部不适;在单位医院按上呼吸道感染治疗2d,效果不佳;1d前发现皮疹,无明显瘙痒。查体:T39.6℃,BP80/50mmHg;意识清楚,精神极差,急性发热病容,充血外貌;躯干、四肢可见散在的充血性斑丘疹,球结膜充血;心、肺未见异常;腹平软,无压痛及反跳痛,肝、脾肋下未及,肾区无叩痛,肠鸣音正常。 考虑的诊断是(提示患者体温持续39.0~40.0℃,剧烈头痛,全身斑丘疹增多,一般状况差,血压(75~80)/(50~55)mmHg。)()
A.麻疹
B.药疹
C.肾综合征出血热(流行性出血热)
D.流行性斑疹伤寒
E.伤寒
F.急性肠道病毒感染
78、问答题
患者,男,30岁,农民,因“寒战、高热伴剧烈头痛10天”入院。
查体:体温39.6℃,烦躁,头面及颈胸皮肤潮红,左腋窝有1焦痂,左腋窝淋巴结肿大,有触痛,眼结膜充血,双侧瞳孔等大等圆,对光反射存在,颈软,心肺无异常。克氏征阴性,布氏征阴性,巴氏征阴性。
胸透:心肺正常;肝功能ALT120U/L;尿检:蛋白(+);血常规:血红蛋白100g/L,白细胞5.4×109/L,中性0.72,淋巴0.28;外斐反应:OXK1:160。
79、单项选择题 女,83岁,因蜱叮咬10余天,发热6天,皮疹4天于2012年5月16日入院。入院时查体:体温38.0℃,脉搏78次/分,呼吸24次/分,血压116/80mmHg。神志清晰,周身皮肤散在分布大小不等、形态不一的淡红色斑疹,压之不退色,疹间皮肤正常,前胸部及双下肢可见大小不等暗红色瘀点、瘀斑,部分融合成片,四肢肌力及肌张力正常,脑膜刺激征阴性。血常规:白细胞14.19×109/L,中性粒细胞百分比0.88,血小板24×109/L。尿素氮30.81mmol/l,肌酐127μmol/L。心肌酶:乳酸脱氢酶509U/L,α-羟丁酸脱氢酶394U/L。凝血常规:凝血酶原时间37.9秒,凝血酶原活动度20%,纤维蛋白原1.90g/L。 最可能的诊断是()
A.肾综合征出血热
B.伤寒
C.莱姆病
D.人无形体病
E.森林脑炎
80、单项选择题 对嗜吞噬细胞无形体的描述正确的是()
A.属立克次体目无形体科
B.曾被命名为"人粒细胞埃立克体"
C.革兰染色阴性
D.专性细胞内寄生菌
E.以上都是
81、单项选择题 男,35岁,因十二指肠球部溃疡行胃大部切除术后6年,出现上腹部不适、反酸。可以除外下列哪项诊断()
A.溃疡复发
B.反流性胃炎
C.应激性溃疡
D.残胃慢性胃炎
E.残胃癌
82、单项选择题 下列选项中流行性斑疹伤寒的病原为()
A.莫氏立克次体
B.伤寒沙门菌
C.普氏立克次体
D.回归热包柔体
E.钩端螺旋体
83、名词解释 外斐反应(Weil-Felixreaction)
84、多项选择题 对立克次体病的描述下述哪些是正确的()
A.是由立克次体引起的急性传染病
B.立克次体是介于细菌与病毒之间的微生物
C.四环素与氯霉素等能抵制其繁殖而可治愈患者
D.有些立克次体分别与变形杆菌(OX19、OX2或Oxk)有共同抗原,故可与患者血清发生凝集,此即外斐反应
E.立克次体能在普通无细菌的培养基上生长
85、问答题 请简述恙虫病的发病机制与病理解剖。
86、多项选择题 恙虫病东方体的特征是()
A.吉姆萨染色呈紫蓝色
B.呈双球状,在细胞浆内靠近核旁成堆排列
C.革兰染色呈蓝色
D.以细龄小鼠的致病力强
E.在发热期间,可从患者的血液、淋巴结、焦痂、骨髓等分离出病原体
87、填空题 恙虫病的主要传染源是____,主要传播媒介是____。
88、单项选择题 下列选项中流行性斑疹伤寒的传播媒介为()
A.恙螨
B.虱子
C.跳蚤
D.蚊
E.鼠类
89、单项选择题 治疗恙虫病的特效药物为()
A.四环素
B.罗红霉素
C.氯霉素
D.SMZ
E.诺氟沙星
90、单项选择题 下列哪项临床表现对诊断恙虫病无重要价值()
A.焦痂与溃疡
B.发热
C.肝脾肿大
D.皮疹
E.焦痂附近的淋巴结肿大
91、多项选择题 下列哪些疾病的主要传染源是鼠类()
A.流行性乙型脑炎
B.流行性出血热
C.流行性斑疹伤寒
D.地方性斑疹伤寒
E.恙虫病
92、单项选择题 患者男,30岁,因“高热伴皮疹3d”来诊。查体:T39~40℃,呈不规则热,乏力,全身酸痛;结膜充血;全身充血性皮疹,左腹股沟处可见一椭圆形焦痂,直径约6mm,周围有红晕,同侧腹股沟淋巴结肿大;肝、脾大。 有助于诊断的实验室检查是()
A.变形杆菌OXk凝集反应(外-斐反应)
B.肥达反应
C.血培养
D.焦痂渗出物细菌涂片
E.血常规
93、多项选择题 关于恙虫病的实验室检查,叙述正确的有()
A.外-斐反应最早可于第6病日出现阳性,效价1∶80或以上有诊断意义
B.补体结合试验阳性率较高,特异性较强
C.特异性IgG检测有早期诊断价值
D.ELISA与EIA可做各种血清型恙虫病东方体的特异性IgM或IgG检测
E.周围白细胞减少或正常
94、填空题 流行性斑疹伤寒应鉴别的疾病有_____、_____、_____、______。
95、多项选择题 立克次体的特点有()
A.需寄生于活细胞内
B.有类似于细菌的细胞壁结构
C.繁殖方式类似于病毒
D.对于四环素类广谱抗生素敏感
E.可在光学显微镜下直接观察
96、问答题 请问如何治疗恙虫病?
97、单项选择题 关于人无形体病哪项是错误的()
A.是经蜱传播的人兽共患自然疫源性疾病
B.呈世界性分布
C.病原体为嗜吞噬细胞无形体
D.各年龄组均可发病
E.直接接触危重患者的血液等体液不会导致本病传播
98、配伍题 专性细胞内寄生,二分裂繁殖()专性细胞内寄生,形成特殊包涵体()专性细胞内寄生,复制产生子代()可以独立生存的最小的微生物()可以独立生存,也可以寄生于胞内的细胞生物()
A.病毒
B.细菌
C.立克次体
D.衣原体
E.支原体
99、配伍题 恙虫病主要传染源()流行性斑疹伤寒传染源()地方性斑疹伤寒传染源()流行性斑疹伤寒主要传播媒介()恙虫病主要传播媒介()
A.鼠类
B.患者
C.家鼠
D.体虱
E.恙螨
100、单项选择题 流行性斑疹伤寒的传染源是()
A.患者
B.体虱
C.家鼠
D.狗
E.猫
101、单项选择题 地方性斑疹伤寒的主要传染源是()
A.家鼠
B.野鼠
C.鼠蚤
D.蚊
E.人
102、单项选择题 患者男,40岁,农民,因“发热3d”来诊。患者3d前受凉后畏寒、发热,体温最高达40℃,伴剧烈头痛,四肢酸痛,恶心,呕吐2次胃内容物,咳嗽,咳痰。用青霉素治疗3d,未见好转。查体:T39℃,P106次/min,R24次/min,BP130/84mmHg;急性病容;右下肺可闻及少许湿性啰音;腹软,无压痛。 本例最容易误诊为()
A.细菌性肺炎
B.伤寒
C.胸膜炎
D.心肌炎
E.败血症
F.斑疹伤寒
G.钩端螺旋体病
H.登革热
103、填空题 治疗恙虫病的特效药物包括_____和_______。
104、判断题 流行性斑疹伤寒中,病人是主要传染源,潜伏期末即有传染性,病后第一周传染性最强,一般不超过3周。
105、单项选择题
患者女,26岁,因“畏寒、发热2d”来诊。患者9d前可疑被“草蜱”咬伤后,局部有红肿、发痒等症状,7d后出现畏寒、发热、恶心、食欲减退、腹泻(黄色水样粪),头痛、头晕、全身关节痛、乏力。血常规:Hb110g/L,RBC3.46×10<sup>12</sup>/L,WBC3.3×10<sup>9</sup>/L,N0.29,L0.20,PLT18×10<sup>9</sup>/L。单份血清抗体1︰64,并检出粒细胞内包涵体。
最可能的诊断是()
A.人单核细胞埃立克体病
B.肾综合征出血热(流行性出血热)
C.钩端螺旋体病
D.人粒细胞无形体病
E.伤寒
106、问答题
患者,男,30岁,农民,因“寒战、高热伴剧烈头痛10天”入院。
查体:体温39.6℃,烦躁,头面及颈胸皮肤潮红,左腋窝有1焦痂,左腋窝淋巴结肿大,有触痛,眼结膜充血,双侧瞳孔等大等圆,对光反射存在,颈软,心肺无异常。克氏征阴性,布氏征阴性,巴氏征阴性。
胸透:心肺正常;肝功能ALT120U/L;尿检:蛋白(+);血常规:血红蛋白100g/L,白细胞5.4×109/L,中性0.72,淋巴0.28;外斐反应:OXK1:160。
请提出治疗措施。

107、多项选择题 下列疾病中,哪些好发于冬春季()
A.水痘
B.乙型肝炎
C.流行性乙型脑炎
D.流行性斑疹伤寒
E.地方性斑疹伤寒
108、填空题 恙虫病东方体吉姆萨染色呈____。
109、填空题 恙虫病患者血清可与变形杆菌____发生凝集反应。
110、单项选择题
如图所示,恙虫病最具特征性的临床表现是()

A.弛张热
B.淋巴结肿大
C.神经系统症状
D.暗红色斑丘疹
E.焦痂与溃疡
111、单项选择题
如图所示,恙虫病的病原体是()

A.普氏立克次体
B.莫氏立克次体
C.罗氏立克次体
D.立氏立克次体
E.恙虫病东方体
112、单项选择题 与流行性斑疹伤寒相比,地方性斑疹伤寒()
A.病情较重
B.皮疹较少
C.抗生素治疗效果较差
D.神经系统症状明显
E.预后不好
113、单项选择题 下列哪个是人无形体病的传播途径()
A.垂直传播
B.器官移植
C.输血传播
D.性传播
E.虫媒传播
114、判断题 Brill-Zinsser病的临床表现同恙虫病,但病情重,病程长,病死率高。
115、多项选择题 对诊断恙虫病有价值的特征性体征是()
A.焦痂与溃疡
B.发热
C.焦痂附近淋巴结肿大
D.皮疹
E.肝脾肿大
116、单项选择题 患者男,31岁,农民,因“发热(最高体温39.5℃)伴头痛4d,皮疹1d”来诊。查体:T39℃;结膜充血,皮肤散在充血性斑丘疹。外-斐反应变形杆菌OX19凝集试验(+),出血热抗体试验(-)。 治疗至体温正常后,停药时间是()
A.继续用药1~2d
B.继续用药3~4d
C.继续用药7~10d
D.继续用药1~2周
E.体温正常即可停药
117、多项选择题 典型斑疹伤寒的临床表现有哪些()
A.发热
B.皮疹,约90%以上有皮疹
C.中枢神经系统症状
D.肝脾肿大,约90%患者脾肿大,少数患者肝轻度肿大
E.均有脉搏加快
118、填空题 立克次体的血清学检查包括____、____、____、____、____。
119、多项选择题 关于外斐反应,下列哪一项是正确的()
A.恙虫病患者血清可与变形杆菌Oxk发生凝集反应
B.最早可于第4病日出现阳性
C.第4周开始效价下降
D.一般凝集效价在1:160以上才有意义
E.可作为确诊依据
120、填空题 对恙虫病有诊断价值的特征性表现有____、____、____及____。
121、单项选择题 流行性斑疹伤寒多于何时出现皮疹()
A.第1病日
B.第2~3病日
C.第4~5病日
D.第8~10病日
E.第11~14病日
122、单项选择题 对该病例应进一步做哪一检查以协助诊断()
A.立克次体凝集反应
B.骨髓培养
C.血培养
D.外-斐反应
E.皮疹处刺破取组织液直接涂片染色
123、单项选择题
患者男,26岁,农民,因“高热、头痛10天”入院。查体:体温38.9℃,烦躁,头面及颈胸皮肤潮红,左腹股沟有1焦痂,左腹股沟淋巴结肿大,有触痛,眼结膜充血,双侧瞳孔等大等圆,颈软,心肺无异常,神经系统检查:克氏征阴性,布氏征阴性,巴氏征阴性。胸部CT:心肺正常;肝功能ALT150U/L;尿常规:蛋白(+);血常规:血红蛋白98g/L,白细胞5.8×109/L,中性0.75,淋巴0.25。
首选下列哪种病原治疗方法()
A.氯霉素
B.氨芐青霉素
C.头孢唑啉
D.氧氟沙星
E.红霉素
124、填空题 恙虫的发育周期包括____、____、____及成虫,其中只有____为寄生性。
125、单项选择题 人粒细胞无形体病的病原体属于()
A.病毒
B.细菌
C.支原体
D.螺旋体
E.无形体
126、单项选择题 流行性斑疹伤寒多发生于()
A.夏季
B.秋季
C.冬春季
D.雨季
E.无明显季节分布
127、单项选择题 患者男,31岁,农民,因“发热(最高体温39.5℃)伴头痛4d,皮疹1d”来诊。查体:T39℃;结膜充血,皮肤散在充血性斑丘疹。外-斐反应变形杆菌OX19凝集试验(+),出血热抗体试验(-)。 最可能的诊断是()
A.肾综合征出血热(流行性出血热)
B.地方性斑疹伤寒
C.伤寒
D.钩端螺旋体病
E.恙虫病
128、单项选择题 百合花是一种用途很广的球根花卉,下列()组说法不符合百合。
A.地下部分具有无皮鳞茎
B.有些品种有珠芽可以用来繁殖
C.有短日照习牲
D.有低温春化习性
129、填空题 地方性斑疹伤寒病原为_______,通过_____途径传播。
130、单项选择题 关于恙虫病,下列哪项是正确的()
A.通过鼠排泄物传播
B.白细胞增多常见
C.急性自然疫然性疾病
D.发热持续时间短,多于1周内退热
E.血培养是确诊的方法
131、单项选择题 恙虫病患者周围血常规检查可见()
A.红细胞增多
B.血小板减少
C.红细胞减少
D.白细胞正常或减少
E.中性粒细胞增多
132、多项选择题 患者男,48岁,农民,因“发热5d,尿量减少并牙龈出血1d”于11月4日来诊。14d前可疑被“草蜱”咬伤右踝关节,局部红肿、发痒,外用激素涂抹;11d前曾清理和清洗被老鼠污染的衣物;5d前出现发热、头痛、头晕、全身关节痛、乏力等症状;1d前尿量减少,牙龈出血。查体:T39.5℃;相对缓脉。 明确诊断后给予的治疗药物是(提示血清肾综合征出血热(流行性出血热)免疫荧光抗体IgG(-);血涂片检出白细胞内包涵体;核酸检测:无形体嗜粒细胞埃立克体(+),序列分析:与无形体16SrRNA序列100%同源。)()
A.强力霉素
B.激素
C.磺胺类抗生素
D.左氧氟沙星
E.利福平
F.四环素
133、填空题 恙虫病外斐反应(OXk)凝集反应最早____出现阳性,____开始效价下降,一般凝集效价在____以上才有意义,只能做____诊断。
134、单项选择题 女,83岁,因蜱叮咬10余天,发热6天,皮疹4天于2012年5月16日入院。入院时查体:体温38.0℃,脉搏78次/分,呼吸24次/分,血压116/80mmHg。神志清晰,周身皮肤散在分布大小不等、形态不一的淡红色斑疹,压之不退色,疹间皮肤正常,前胸部及双下肢可见大小不等暗红色瘀点、瘀斑,部分融合成片,四肢肌力及肌张力正常,脑膜刺激征阴性。血常规:白细胞14.19×109/L,中性粒细胞百分比0.88,血小板24×109/L。尿素氮30.81mmol/l,肌酐127μmol/L。心肌酶:乳酸脱氢酶509U/L,α-羟丁酸脱氢酶394U/L。凝血常规:凝血酶原时间37.9秒,凝血酶原活动度20%,纤维蛋白原1.90g/L。 对于该患者不需与哪个疾病相鉴别()
A.莱姆病
B.斑点热
C.疟疾
D.斑疹伤寒
E.新型布尼亚病毒感染引起的发热伴血小板减少综合征
135、名词解释 恙虫病
136、多项选择题 患者男,48岁,农民,因“发热5d,尿量减少并牙龈出血1d”于11月4日来诊。14d前可疑被“草蜱”咬伤右踝关节,局部红肿、发痒,外用激素涂抹;11d前曾清理和清洗被老鼠污染的衣物;5d前出现发热、头痛、头晕、全身关节痛、乏力等症状;1d前尿量减少,牙龈出血。查体:T39.5℃;相对缓脉。 为明确诊断应进一步检查的项目包括()
A.血常规
B.尿常规
C.血清淀粉酶
D.肝功能
E.腹部X线片
F.末梢血涂片镜检
G.血培养
137、单项选择题 关于外斐反应,下列哪一项是不正确的()
A.恙虫病患者血清可与变形杆菌Oxk发生凝集反应
B.第4周开始效价下降
C.最早可于第4病日出现阳性
D.操作繁琐,但特异性好
E.一般凝集效价在1:160以上才有意义
138、单项选择题 关于恙虫病东方体,叙述错误的是()
A.抵抗力较强,易保存,在液氯中可保存1年以上
B.对各种消毒方法都很敏感
C.在0.5%苯酚溶液中或加热至56℃10min即死亡
D.对氯霉素、四环素和红霉素均敏感
E.能耐受青霉素类、头孢菌素及氨基糖苷类抗生素
139、填空题 恙虫病的基本病变为____、____、及____。
140、单项选择题 恙虫病皮疹特点是()
A.病程第4~6天出疹
B.暗红色,出血性斑丘疹
C.瘙痒明显
D.多分批出现
E.类似麻疹,多扩散至面部,手掌足底部
141、填空题 恙虫病的实验室检查,周围血液可发现_________,外斐反应____阳性。
142、单项选择题 人感染嗜吞噬细胞无形体后的临床表现()
A.大多数表现为重度
B.非自限性疾病
C.是非特异的
D.所有患者均需抗生素治疗
E.无皮疹
143、单项选择题 预防流行性斑疹伤寒流行的关键措施是()
A.治疗患者
B.隔离患者
C.讲究个人卫生,灭虱
D.提高人群免疫力
E.输液
144、单项选择题 恙虫病焦痂或溃疡的特点不包括()
A.直径多为4~10mm
B.圆形或椭圆形,多为单个
C.边缘突起,呈围堤状
D.伴有化脓
E.多见于腋窝、外生殖器、腹股沟和会阴处
145、填空题 恙虫病患者在发热期间,可从患者的____、____、____、____等分离出病原体。
146、单项选择题 女,83岁,因蜱叮咬10余天,发热6天,皮疹4天于2012年5月16日入院。入院时查体:体温38.0℃,脉搏78次/分,呼吸24次/分,血压116/80mmHg。神志清晰,周身皮肤散在分布大小不等、形态不一的淡红色斑疹,压之不退色,疹间皮肤正常,前胸部及双下肢可见大小不等暗红色瘀点、瘀斑,部分融合成片,四肢肌力及肌张力正常,脑膜刺激征阴性。血常规:白细胞14.19×109/L,中性粒细胞百分比0.88,血小板24×109/L。尿素氮30.81mmol/l,肌酐127μmol/L。心肌酶:乳酸脱氢酶509U/L,α-羟丁酸脱氢酶394U/L。凝血常规:凝血酶原时间37.9秒,凝血酶原活动度20%,纤维蛋白原1.90g/L。 可选用哪种药物进行治疗()
A.喹诺酮类药物
B.强力霉素
C.三代头孢菌素
D.利巴韦林
E.青霉素
147、单项选择题 患者男,30岁,4d前突然高热,体温39℃,结膜充血,皮肤散在充血性斑丘疹,变形杆菌OX19凝集试验(+),初步诊断为地方性斑疹伤寒。首选药物是()
A.青霉素
B.氯霉素
C.磺胺类抗生素
D.四环素
E.喹诺酮类抗生素
148、单项选择题
如图所示,地方性斑疹伤寒的病原体是()

A.普氏立克次体
B.莫氏立克次体
C.罗氏立克次体
D.立氏立克次体
E.加拿大立克次体
149、多项选择题 患者女,36岁,因“发热、头痛6d,伴皮疹1d”于10月17日来诊。6d前开始发热,体温达40℃,伴头痛及咽部不适;在单位医院按上呼吸道感染治疗2d,效果不佳;1d前发现皮疹,无明显瘙痒。查体:T39.6℃,BP80/50mmHg;意识清楚,精神极差,急性发热病容,充血外貌;躯干、四肢可见散在的充血性斑丘疹,球结膜充血;心、肺未见异常;腹平软,无压痛及反跳痛,肝、脾肋下未及,肾区无叩痛,肠鸣音正常。 为明确诊断应完善的相关检查包括()
A.血常规
B.尿常规
C.肥达反应
D.外-斐反应
E.麻疹抗体
F.出血热荧光抗体
150、多项选择题 恙虫病的流行病学特点包括()
A.本病的流行以东南亚多见
B.鼠类是传染源,恙螨是本病的传播媒介
C.人对本病普遍易感
D.发病后获得永久性免疫力,不会再次感染本病
E.一般为散发,南方每年的6~8月为发病高峰期,北方每年的10月为高峰期
151、单项选择题 下列选项中地方性斑疹伤寒的传播媒介为()
A.恙螨
B.虱子
C.蝶
D.蚊
E.鼠蚤
152、单项选择题 患者男,30岁,因“高热伴皮疹3d”来诊。查体:T39~40℃,呈不规则热,乏力,全身酸痛;结膜充血;全身充血性皮疹,左腹股沟处可见一椭圆形焦痂,直径约6mm,周围有红晕,同侧腹股沟淋巴结肿大;肝、脾大。 对于本病的治疗,无效的药物是()
A.氯霉素
B.四环素
C.红霉素
D.第3代头孢菌素
E.多西环素
153、多项选择题 下列疾病中,主要通过生物媒介传播的有()
A.登革热
B.流行性出血热
C.流行性斑疹伤寒
D.地方性斑疹伤寒
E.恙虫病
154、多项选择题 关于恙虫病东方体,叙述正确的有()
A.呈球形或球杆形,专性细胞内寄生
B.革兰染色(+)
C.分为10个血清型,我国约50%为Gilliam血清型
D.与变形杆菌OXk株有交叉免疫原性
E.对氯霉素、四环素和红霉素均敏感
155、单项选择题 男,34岁,东北籍,高热、头痛6天,谵妄、皮疹1天,于2005年1月入院,发病前二周曾经出差,坐火车拥挤有许多民工带铺盖等行李。体检:T41℃,P112次/分,BP120/80mmHg,躯干、四肢满布充血性皮疹,浅表淋巴结未触及,心肺未见异常,腹软,肝脏不大,脾肋下可及2cm,质软,生理反射存在,病理反射未引出。实验室检查:Hb15g/L,WBC4.9×109/L,PLT120×109/L。 该病例的诊断考虑为()
A.莱姆病
B.钩端螺旋体病
C.伤寒
D.斑疹伤寒
E.布鲁菌病
156、问答题 机组大修化学监督检查报告包括哪些内容?
157、单项选择题 治疗流行性斑疹伤寒的首选药物是()
A.四环素
B.青霉素
C.头孢菌素
D.氯霉素
E.罗红霉素
158、单项选择题 恙虫病病原体分离的方法为()
A.取标本血培养,涂片染色鉴定
B.取标本骨髓培养,涂片染色鉴定
C.取标本大便培养,涂片染色鉴定
D.取标本小便培养,涂片染色鉴定
E.取标本接种于小白鼠腹腔内,涂片染色鉴定
159、单项选择题 对恙虫病临床诊断最为重要的体征是()
A.焦痂或溃疡
B.肝脾大
C.淋巴结肿大
D.结膜充血
E.充血性皮疹
160、多项选择题 恙虫病常见的并发症有()
A.胸膜炎
B.肺炎
C.心肌炎
D.脑炎
E.肾炎
161、单项选择题 患者男,40岁,农民,因“发热3d”来诊。患者3d前受凉后畏寒、发热,体温最高达40℃,伴剧烈头痛,四肢酸痛,恶心,呕吐2次胃内容物,咳嗽,咳痰。用青霉素治疗3d,未见好转。查体:T39℃,P106次/min,R24次/min,BP130/84mmHg;急性病容;右下肺可闻及少许湿性啰音;腹软,无压痛。 根据本例特点,应首先考虑的诊断是()
A.急性上呼吸道感染
B.肺炎
C.恙虫病
D.伤寒
E.败血症
F.斑疹伤寒
G.登革热
H.钩端螺旋体病
162、单项选择题 恙虫病发热的特点是()
A.缓慢起病
B.稽留热型
C.持续较长,类似伤寒
D.寒战少见
E.头痛,全身酸痛等毒血症状少而轻
163、多项选择题 对恙虫病的描述下列正确的有()
A.恙虫病又称丛林斑疹伤寒
B.是由恙虫病东方体所致
C.属自然疫源性传染病
D.外斐反应阳性
E.临床上以发热、焦痂(或溃疡)、淋巴结肿大及皮疹为特征
164、判断题 立克次体在形态学上呈明显的多形性,革兰染色阴性,吉姆萨染色呈紫红色,两端浓染。
165、判断题 地方性斑疹伤寒主要通过鼠蚤的叮咬传播,鼠蚤叮咬人主要是直接将莫氏立克次体注入人体内。
166、单项选择题 恙虫病的病原体属于()
A.细菌
B.病毒
C.立克次体属
D.东方体
E.衣原体
167、多项选择题 预防地方性斑疹伤寒的措施有()
A.主要是灭鼠灭蚤
B.对患者及早隔离治疗
C.预防注射
D.灭虱
E.注意饮食卫生
168、单项选择题
如图所示,流行性斑疹伤寒的病原体是()

A.普氏立克次体
B.莫氏立克次体
C.罗氏立克次体
D.立氏立克次体
E.加拿大立克次体
169、多项选择题 人粒细胞无形体病应禁用或慎用的药物是()
A.强力霉素
B.激素类药物
C.利福平
D.磺胺类药物
E.四环素