时间:2022-03-03 01:04:00


1、填空题 急性脊髓炎的病因是________或___________后引起的自身免疫反应。
2、填空题 脊髓亚急性联合变性与_____________有关。
3、多项选择题 不引起呼吸肌麻痹的疾病包括()
A.周期性瘫痪
B.上升性脊髓炎
C.上位颈髓肿瘤
D.急性炎症性脱髓鞘性多发性神经病
E.脊髓蛛网膜炎
4、填空题 对脊髓起固定作用的是__________和_________。
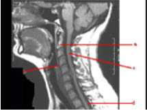
5、单项选择题
如图所示脊髓后1/3由脊髓哪根血管供血()

A.冠状动脉
B.脊髓后动脉
C.沟连合动脉
D.脊髓前动脉
E.根前动脉
6、单项选择题
患者,女性,60岁,既往有萎缩性胃炎。因双下肢无力、行走不稳3月来诊。表现精神不振,轻度贫血,双下肢不完全痉挛瘫痪,振动觉、位置觉障碍,行颈髓MRIT项出现如图所示病变。最可能的诊断是()

A.重症肌无力
B.急性脊髓炎
C.脊髓亚急性联合变性
D.急性脊髓灰质炎
E.脊髓压迫症
7、填空题 慢性脊髓压迫症可分为三期,分别为______________、____________和__________期。
8、名词解释 脊髓亚急性联合变性
9、填空题 脊髓的血液供应主要来自_________、_________和_________;在脊髓的主要动脉缺血时常在相邻动脉的交界区发生供血不足,最常见的部位是______和_______。
10、问答题 脊神经有多少对及马尾由哪几对脊神经根组成?
11、单项选择题
女,34岁,发热,腰部局限性疼痛、活动受限半月余,查体有压痛、叩痛,MRI检查如图,最可能的诊断为()

A.神经纤维瘤
B.脊髓内脓肿
C.神经鞘瘤
D.脊髓空洞
E.蛛网膜囊肿
12、问答题 试述急性脊髓炎的临床表现及治疗措施是什么?
13、问答题 试述慢性脊髓髓内损害与脊髓硬膜下髓外损主要区别点是什么?
14、问答题 简述什么是上升性脊髓炎?
15、问答题 简述脊髓压迫症的病因。
16、单项选择题 下列传导束中含有下行纤维的是()
A.薄束
B.楔束
C.脊髓小脑后束
D.脊髓丘脑束
E.皮质脊髓束
17、问答题 简述脊髓圆锥受损的临床表现。
18、问答题 试述脊髓节段与脊椎相对应的关系如何?
19、单项选择题 椎管内出血最常见的原因是()
A.脊髓动静脉畸形
B.外伤
C.脊髓肿瘤
D.血液系统疾病
E.亚急性联合变性
20、问答题 简述脊髓压迫症的代偿机制。
21、问答题 何谓脊髓休克及急性脊髓炎的病因可能是?
22、单项选择题 脊髓后动脉供应脊髓横断面的哪些区域()
A.后2/5
B.后1/4
C.后2/3
D.后1/3
E.后4/5
23、问答题
如图所示a、b分别为脊髓的哪个部位,试述两部位的损害主要区别点是什么?

24、问答题 简述颈膨大和腰膨大的组成结构。
25、单项选择题
如图患者脊髓后索、后角出现病损常见于下例哪种疾病()

A.急性脊髓炎
B.亚急性联合变性
C.脊髓肿瘤
D.脊髓前动脉综合征
E.脊髓
26、多项选择题 影响维生素B12障碍的常见因素为()
A.萎缩性胃炎
B.胃大部分切除术后
C.内因子分泌的先天性缺陷
D.小肠原发性吸收不良及回肠切除
E.血液中运转氨蛋白缺乏
27、单项选择题 患者,男性,40岁,左侧腰背痛1年,右下肢麻木逐渐向上发展7个月,左下肢无力进行性加重5个月。查体:左下肢肌力4级,左膝、踝反射亢进,Babinski征(+),左侧平脐有一痛觉过敏带;右腹股沟水平以下痛、温觉减退。第7胸椎棘突轻度压痛。腰穿有椎管梗阻。最可能的诊断是()
A.脊髓亚急性联合变性
B.髓外硬膜内肿瘤
C.脊髓粘连性蛛网膜炎
D.髓内肿瘤
E.髓外硬膜外肿瘤
28、问答题 脊髓马尾受损的临床表现有哪些?
29、单项选择题 下述有关运动神经元病的表述中不正确的是()
A.上、下运动神经元损害可同时并存
B.家族性少见
C.锥体束变性从高位脊髓向下或向上发展
D.括约肌功能通常受影响
E.可出现延髓麻痹
30、名词解释 Beevor征
31、填空题 _________损害出现膈肌瘫痪,_________损害出现肱二头肌反射消失,_______损害可出现Beevor征阳性,_______受损时膝反射消失。
32、多项选择题 可以引起呼吸肌麻痹的疾病包括()
A.急性炎症性脱髓鞘性多发性神经病
B.脊髓亚急性联合变性
C.上位颈髓肿瘤
D.重症肌无力
E.上升性脊髓炎
33、单项选择题 急性横贯性脊髓炎最好发的部位是()
A.圆锥
B.颈膨大
C.胸髓
D.高颈髓
E.腰膨大
34、判断题 MRI是脊髓空洞症首选的确诊手段。()
35、配伍题 急性起病,病前数日或1~2周有前驱症状和诱因。首发症状多为双下肢麻木无力、病变节段束带感或根痛,进而发展为脊髓完全性横贯性损害,胸髓最常受累。描述的疾病是()典型临床表现为节段性分离性感觉障碍、病变节段支配区肌萎缩及营养障碍。描述的疾病是()起病急骤,病变在数小时或1~2天内迅速上升,瘫痪由下肢迅速波及上肢或延髓支配肌群,甚至导致死亡。描述的疾病是()维生素B缺乏导致的神经系统变性疾病,病变主要累及脊髓后索、侧索及周围神经。临床表现双下肢深感觉缺失、感觉性共济失调、痉挛性截瘫及周围性神经病变等。描述的疾病是()
A.急性上升性脊髓炎
B.急性脊髓炎
C.脊髓压迫症
D.脊髓亚急性联合变性
E.脊髓空洞症
36、单项选择题 楔束中包括下列何种纤维()
A.传递识别性触觉的纤维
B.传递痛觉的纤维
C.传递温觉的纤维
D.自主神经纤维
E.运动神经纤维
37、判断题 骶髓相当于第3~5腰椎水平。()
38、单项选择题 脊髓前动脉综合征最容易发生的两个节段是()
A.T和L
B.C和T
C.C和C
D.T和L
E.T和L
39、填空题
如图为脊髓失状面MRI T1加权像请标出a___________b___________c_____________d______________。

40、单项选择题
患者,女性,30岁,1年半前出现右胸背部疼痛,1年前右下肢无力,左下肢痛温觉迟钝,近8个月双下肢无力,上楼困难,排尿困难和便秘4个月,不能行走1个月。查体:双上肢正常,双下肢肌力2~3级,肌张力增高,膝反射亢进,双Babinski征(+)。
该患者最可能的诊断是()
A.脊髓压迫症
B.脊髓蛛网膜炎
C.脊髓空洞症
D.脊髓亚急性联合变性
E.脊髓炎
41、多项选择题 脊髓空洞症与髓内肿瘤的鉴别要点是,前者()
A.节段性分离性感觉障碍
B.病情进展较慢
C.皮肤及关节营养障碍
D.尿便障碍、瘫痪及椎管梗阻早期出现
E.脊髓MRI检查可显示空洞
42、单项选择题 脊髓压迫症最多见的原因为()
A.肿瘤
B.炎症
C.外伤
D.退行性变
E.出血
43、配伍题 脊髓空洞症损害脊髓中的主要解剖结构是()Friedreich共济失调损害脊髓中的主要解剖结构是()进行性脊肌萎缩损害脊髓中的主要解剖结构是()脊髓亚急性联合变性损害脊髓中的主要解剖结构是()肌萎缩侧索硬化损害脊髓中的主要解剖结构是()
A.脊髓前角细胞
B.脊髓前角细胞和锥体束
C.后索和锥体束
D.脊髓小脑束、锥体束和后索
E.脊髓中央管附近结构和前连合
44、单项选择题
患者,男,20岁,鼻塞、发热、头痛、周身酸痛,4天后好转。7天后先觉双下肢无力,次日双下肢完全瘫痪,尿便障碍。自T水平以下深、浅感觉丧失。腰穿、压颈通畅,脑脊液化验正常。
该病最常损害的节段是()
A.颈膨大部
B.T~L节段
C.T节段
D.腰膨大部
E.圆锥部
45、填空题
如图为脊髓横断面静脉血供图请标出a___________b___________c____________d______________e____________f______________g_________________。

46、单项选择题
男,27岁,常有手、臂的自发性疼痛、麻木、蚁走等感觉异常,结合MRI检查选择最可能的诊断()

A.脊髓软化
B.脊髓空洞症
C.脊髓内胶质瘤
D.脊髓内室管膜瘤
E.神经鞘膜瘤
47、单项选择题 脊髓的交感中枢位于()
A.C~T侧角
B.C~L侧角
C.C~C侧角
D.C~T侧角
E.T~L侧角
48、单项选择题 脊髓半切损害综合征最常见于()
A.髓外硬脊膜内肿瘤
B.脊柱结核
C.硬脊膜外肿瘤
D.髓内肿瘤
E.脊髓粘连性蛛网膜炎
49、单项选择题 关于脊髓空洞症错误的是()
A.发病年龄通常在20~30岁
B.延髓空洞症常单独出现
C.常见有夏科关节和皮肤营养障碍
D.起病进展缓慢
E.常合并脊髓其它畸形
50、多项选择题 运动神经元病常需和下列疾病鉴别()
A.脊髓肌萎缩症
B.特发性震颤
C.脊髓空洞症
D.颈椎病
E.良性肌束震颤
51、单项选择题
患者,女性,30岁,1年半前出现右胸背部疼痛,1年前右下肢无力,左下肢痛温觉迟钝,近8个月双下肢无力,上楼困难,排尿困难和便秘4个月,不能行走1个月。查体:双上肢正常,双下肢肌力2~3级,肌张力增高,膝反射亢进,双Babinski征(+)。
该患者的病变部位可能在()
A.高颈段脊髓
B.颈膨大
C.胸段脊髓
D.腰膨大
E.周围神经
52、单项选择题 脊髓亚急性联合变性最有效的治疗是()
A.激素
B.维生素B
C.神经营养因子
D.输血
E.叶酸
53、配伍题 骶髓节段相对于脊椎数是()T脊髓节段水平相对于胸椎数是()C脊髓节段水平相对于颈椎数是()C脊髓节段水平相对于颈椎数是()T脊髓节段水平相对于胸椎数是()
A.C
B.T
C.T~L
D.C
E.T
54、配伍题 鱼际肌萎缩,膝反射亢进()胸部束带感,膝反射亢进()会阴部感觉缺失伴尿失禁,四肢运动可()四肢呈上运动神经元瘫痪,伴呼吸困难()膝反射消失()
A.高颈髓
B.颈膨大
C.胸髓
D.腰膨大
E.脊髓圆锥
55、单项选择题
患者,男,20岁,鼻塞、发热、头痛、周身酸痛,4天后好转。7天后先觉双下肢无力,次日双下肢完全瘫痪,尿便障碍。自T水平以下深、浅感觉丧失。腰穿、压颈通畅,脑脊液化验正常。
该患者诊断应考虑()
A.急性硬脊膜外脓肿
B.格林—巴利综合征
C.脊椎转移瘤
D.脊髓出血
E.急性脊髓炎
56、单项选择题 下列传导中属于上行纤维的是()
A.锥体束
B.楔束
C.网状脊髓束
D.顶盖脊髓束
E.红核脊髓束
57、判断题 脊髓压迫症仅见于脊髓肿瘤。()
58、判断题 脊髓亚急性联合变性的治疗不宜单独应用叶酸,否则会导致症状的加重。()
59、多项选择题 关于运动神经元病()
A.常累及括约肌
B.可同时有上和下运动神经元受损的体征
C.可有肌无力和肌萎缩
D.侵犯运动神经元和锥体束
E.颈髓前角细胞是最常受累的部位
60、多项选择题 脊髓血管疾病常见病因包括()
A.维生素B缺乏
B.严重低血压
C.血管畸形
D.血液病
E.外伤
61、问答题 简述脊髓亚急性联合变性的临床表现。
62、单项选择题 关于深感觉传导束()
A.第二级神经元在脊髓后角
B.由内向外依次来自颈、胸、腰、骶
C.薄束在楔束的外侧
D.受损易出现昂伯症阳性
E.在脊髓前联合交叉
63、单项选择题 中女性患者,既往有淋巴瘤3年,病情稳定。1月来出现双下肢疼痛,行走困难,胸部束带感伴有尿潴留和性功能障碍,该患者最应考虑的疾病是()
A.肿瘤椎体转移
B.神经根神经炎
C.营养不良性贫血
D.肿瘤脊髓转移
E.肿瘤盆腔转移
64、问答题 脊髓腰膨大受损的临床表现有哪些?
65、问答题
如图所示a为脊髓的哪根血管,试述其供血范围及缺血的临床症状?

66、多项选择题 脊髓空洞症的诊断()
A.磁共振是确诊的首选方法
B.脑脊液检查多正常
C.X线可发现夏科关节
D.如合并其它先天性积畸形更支持诊断
E.延迟CT扫描可显示空洞影像
67、判断题 腰髓相当于第10~12胸椎水平。()
68、单项选择题
如图患者脊髓后索、侧索出现病损常见于下例哪种疾病()

A.急性脊髓炎
B.亚急性联合变性
C.脊髓肿瘤
D.脊髓前动脉综合征
E.脊髓外伤
69、配伍题

A.胸段脊髓
B.颈段脊髓
C.骶段脊髓
D.腰段脊髓
E.尾段脊髓
70、名词解释 夏科(Charcot)关节
71、名词解释 上升性脊髓炎
72、判断题 腰膨大的病变可以导致双下肢上运动神经元瘫痪和二便功能障碍。()
73、多项选择题 急性脊髓炎急性期可出现()
A.脊髓休克
B.出现尿便障碍
C.多数可发生椎管梗阻
D.损伤平面以下分离性感觉障碍
E.截瘫或四肢瘫
74、单项选择题
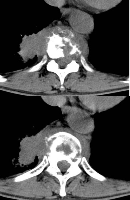
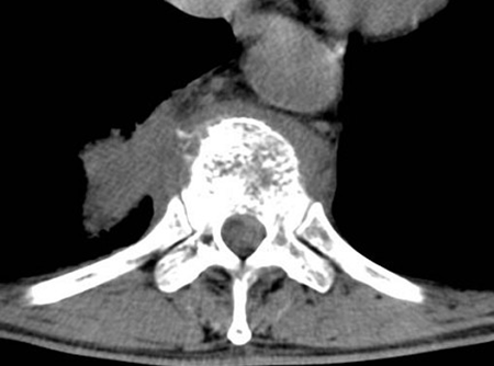
男,32岁,低热、乏力,背痛,活动受限,结合CT检查选择最可能的诊断()



A.化脓性脊柱炎
B.脊柱转移瘤
C.椎体压缩骨折
D.椎体结核
E.类风湿关节炎
75、名词解释 病毒性脊髓炎
76、填空题 分离性感觉障碍易出现于____________。
77、单项选择题 胸锁乳突肌肌电图阳性率最高的为何种疾病()
A.重症肌无力
B.周围神经病
C.运动神经元病
D.颈椎病
E.肌炎
78、多项选择题 脊髓内肿瘤的症状体征特点包括()
A.截瘫及锥体束征较晚出现
B.尿便障碍早期出现
C.根性痛少见
D.皮肤营养改变
E.出现分离性感觉障碍
79、多项选择题 脊髓血管疾病的临床表现()
A.间歇性跛行和下肢远端发作性无力是脊髓TIA的典型表现
B.脊髓前动脉综合征以腰段受累最常见
C.出血性疾病常见脊髓横贯性损伤的表现
D.血管畸形常为突然发病
E.脊髓表面的血管破裂可只有背痛而无受压表现
80、单项选择题 脊髓表面的纵行沟裂有()
A.3条
B.4条
C.5条
D.6条
E.8条
81、问答题 试阐述慢性脊髓压迫症的髓外硬膜内和硬膜外病变的临床鉴别点?
82、多项选择题 急性脊髓炎的护理包括()
A.褥疮的防治
B.尿潴留的处理
C.预防呼吸道感染
D.防止肢体与关节挛缩
E.控制泌尿道感染
83、多项选择题 下列治疗措施适于急性脊髓炎急性期的是()
A.激素
B.维生素
C.抗生素
D.免疫球蛋白
E.褥疮护理
84、单项选择题 脊髓空洞症早期最常见的症状是()
A.一侧Horner征
B.双上肢和胸部节段性分离性感觉障碍
C.一侧上肢或胸部自发性疼痛和痛觉缺失
D.一或双侧手肌萎缩
E.以上都不对
85、单项选择题 患者,60岁,女性,1天前清晨因双侧季肋部疼痛而醒来,发现双下肢不能活动,T以下痛觉消失和束带感,深感觉正常,尿潴留。最可能的诊断是()
A.急性脑血管病
B.脊髓前动脉综合征
C.急性脊髓炎
D.脊髓压迫症
E.重症肌无力
86、名词解释 马鞍回避
87、单项选择题 急性截瘫伴尿潴留最常见于()
A.急性脊髓炎
B.急性炎症性脱髓鞘性多发性神经病
C.脊髓蛛网膜炎
D.硬膜外脓肿
E.脊柱结核
88、问答题 试述脊髓的血液供应。
89、问答题 简述脊髓节段与脊椎的关系。
90、单项选择题 急性脊髓炎早期表现为肌张力低,反射低,病理征阴性,最可能的原因是()
A.合并周围神经病
B.脊髓休克
C.合并糖尿病
D.患者不合作
E.查体不准确
91、单项选择题 脊髓的副交感中枢位于()
A.S侧角
B.L~S侧角
C.T~L侧角
D.S侧角
E.S侧角
92、单项选择题 不出现脊髓空洞症的疾病是()
A.先天性脊髓内神经胶质增生坏死
B.视神经脊髓炎
C.脊髓肿瘤囊变
D.脊髓缺血软化
E.扁平颅底伴小脑扁桃体下疝
93、单项选择题 诊断脊髓压迫症的正确步骤应为()
A.确定存在脊髓压迫,然后确定病因
B.确定脊髓受压部位和平面,最后CT/MRI的脊髓检查
C.确定存在脊髓压迫,确定脊髓受压部位和平面,最后确定病因
D.确定存在脊髓压迫,然后确定脊髓受压部位和平面,最后CT/MRI的脊髓检查
E.确定脊髓受压部位和平面,最后确定病因
94、单项选择题 下列不符合典型的急性脊髓炎的特点是哪个()
A.外观无色透明
B.压力正常
C.压力明显高
D.细胞正常或轻度升高
E.蛋白正常或轻度升高
95、单项选择题 平肋缘水平属下列哪个脊髓节段支配()
A.C脊髓节段
B.T脊髓节段
C.T脊髓节段
D.T脊髓节段
E.T脊髓节段
96、问答题 急性脊髓炎的特点有哪些?
97、单项选择题 关于脊髓的描述下列哪项表述是错误的()A.脊髓全长42~45cm,占椎管上2/3
B.L~S节段构成腰膨大部
C.C~T节段组成颈膨大部
D.脊髓可分成30个节段
E.马尾由L~尾节10对神经根组成
98、问答题 脊髓空洞症的诊断与鉴别诊断是什么?
99、填空题 脊髓血管病变分为_______________、_____________及__________________三类。
100、判断题 多数脊髓炎患者病前有感染、腹泻的病史。()
101、填空题 脊髓血管疾病包括缺血性疾病、__________和__________三类;其中缺血性疾病又包括________和___________两类。
102、单项选择题 急性脊髓炎最常见的受累部位在()
A.T
B.C
C.L
D.T
E.L
103、填空题 运动神经元病临床特征:_______________,___________。
104、单项选择题 患者外伤后突然出现剧烈背痛、截瘫、括约肌功能障碍、病变水平以下感觉缺失,该患者最可能的诊断为()
A.重症肌无力
B.脊髓肿瘤
C.脊髓梗死
D.脊髓外伤后出血
E.脊髓空洞症
105、单项选择题 女性,45岁。右下肢肌无力3月余,进行性加重,左下半身麻木。体检:左侧乳头水平以下痛、温度觉减退,右下肢腱反射亢进,右侧Babinski征阳性,右侧髂前上嵴以下音叉振动觉减退,右足趾位置觉减退。脊髓损害的部位是()
A.左侧T水平半侧损害
B.右侧T水平后索损害
C.T水平横贯性损害
D.右侧T水平半侧损害
E.右侧T水平侧索损害
106、配伍题 中腹壁反射消失提示胸段脊髓损害位于()上腹壁反射消失提示胸段脊髓损害位于()下腹壁反射消失提示胸段脊髓损害位于()
A.T~T
B.T~T
C.T~T
D.T~T
E.T~T
107、单项选择题 关于急性脊髓炎错误的是下列哪项()
A.散在发病、多见于青壮年
B.早期一般不出现脊髓休克现象
C.可先有病灶相应部位的背痛
D.急性发生脊髓横贯损害症状
E.病前可有上呼吸道感染症状
108、单项选择题 关于脊髓亚急性联合变性正确的是()
A.常由叶酸缺乏所致
B.以皮质脊髓束和脊髓丘脑束受损为主
C.括约肌障碍出现较晚
D.常累及脑神经
E.极少出现精神症状
109、单项选择题 急性严重脊髓横贯性损害可出现脊髓休克,其表现为()
A.受损节段下感觉障碍、弛缓性瘫、病理征阴性、大小便障碍
B.受损节段下感觉障碍、弛缓性瘫、病理征阳性、大小便障碍
C.受损节段下瘫痪、肌张力低、病理征阴性、腱反射消失
D.受损节段下感觉障碍、痉挛性瘫、大小便障碍
E.受损节段下感觉障碍、痉挛性瘫、病理征阴性、大小便障碍
110、问答题 脊髓压迫性病变常见的有哪些?
111、多项选择题 急性脊髓炎与急性硬膜外脓肿鉴别在于后者()
A.如腰穿可显示椎管梗阻
B.常伴根痛、脊柱叩痛
C.可出现脊髓横贯性损害
D.存在化脓性病灶
E.尿便障碍明显
112、单项选择题 下列何种情况禁止做腰穿()
A.严重高颅压,有脑疝危险的
B.腰椎间盘突出
C.高龄
D.发热
E.癫痫
113、填空题 髓半切综合征的主要特点是:________、__________、____________。
114、问答题 简述马尾的组成结构。
115、单项选择题
患者,女性,30岁,1年半前出现右胸背部疼痛,1年前右下肢无力,左下肢痛温觉迟钝,近8个月双下肢无力,上楼困难,排尿困难和便秘4个月,不能行走1个月。查体:双上肢正常,双下肢肌力2~3级,肌张力增高,膝反射亢进,双Babinski征(+)。
下列哪项辅助检查没有意义()
A.脊柱X线平片
B.脑CT
C.腰穿和脑脊液检查
D.脊髓MRI检查
E.脊髓造影
116、单项选择题 脊髓前动脉供应脊髓横断面的哪些区域()
A.前1/3
B.前2/3
C.后1/4
D.后2/3
E.前4/5
117、填空题 脊髓空洞症的典型临床表现是__________、________和________。
118、问答题 脊髓哪些节段是供血薄弱区?
119、问答题 脊髓圆锥(S3-5)和尾节横贯性损害的临床表现有哪些?
120、多项选择题 脊髓空洞症的下列哪些表述是错误的()
A.是一种缓慢进行性脊髓炎症性疾病
B.脊髓内空洞形成是其病理特征
C.节段性分离性感觉障碍是早期特征性体征
D.空洞常起自一侧颈膨大后角基底部
E.不发生肌萎缩和皮肤关节营养障碍
121、判断题 脊髓圆锥的病变没有下肢瘫痪和锥体束征。()
122、判断题 脊髓梗死以中胸段和下胸段多见。()
123、问答题 脊髓半侧损害的主要特点是什么?
124、单项选择题 急性脊髓炎的治疗在急性期最应该采用()
A.大量维生素
B.激素
C.中药
D.抗生素
E.血管扩张药物
125、单项选择题 患者,女性,23岁,4个月前无明显诱因出现左胸电击样疼痛,夜间明显。先后出现双下肢进行性无力及排尿困难。查体:双上肢正常,左下肢肌力2级、右下肢3级,肌张力增高,腱反射亢进,双Babinski征(+),T以下感觉减退。最可能的诊断是()
A.急性脊髓炎
B.脊髓压迫症
C.重症肌无力
D.急性脊髓灰质炎
E.多发性神经病
126、问答题 简述脊髓节段与脊椎的关系。
127、判断题 马尾的病变多见根性疼痛,二便障碍可不明显。()
128、填空题 运动神经元病是一种病因未明,选择性侵犯________、__________、__________、______________的慢性进行性疾病,临床上兼有____________和/或__________的体征,表现为___________、__________和_________的不同组合,________和___________一般不受影响。
129、单项选择题 急性脊髓横贯性损害的鉴别主要包括下列疾病,除了()
A.多发性硬化
B.急性硬膜外脓肿
C.脊髓转移性肿瘤
D.脊髓血管病
E.急性脊髓炎
130、问答题 运动神经元病的病因及发病机制是什么?
131、单项选择题
患者,女性,23岁,11天前出现发热、头痛和全身酸痛,近两天出现颈背疼痛,四肢无力,查体四肢肌张力低,腱反射消失,病理征(-),C平面以下痛觉减退,尿潴留,行颈髓MRIT2加权像出现如图所示病变。最可能的诊断是()

A.多发性神经病
B.急性脊髓灰质炎
C.急性脊髓炎
D.脊髓肿瘤
E.格林—巴利综合征
132、问答题 脊髓亚急性联合变性的病因及发病机制是什么?
133、配伍题 高位颈髓(颈1~颈4)病变出现吞咽困难、饮水呛咳、共济失调、眩晕及眼球震颤,甚至波及延髓血管运动和呼吸中枢时,可能为()高位颈髓(颈1~颈4)病变出现胸锁乳突肌和斜方肌肌力减退和肌萎缩,转颈和耸肩困难时,可能为()高位颈髓(颈1~颈4)病变出现呃逆,或膈肌麻痹、呼吸困难时,可能为()
A.累及副神经
B.累及膈神经
C.脊髓后索受损
D.病变波及后颅窝
E.累及小脑
134、问答题 脊髓损害的主要临床表现。
135、判断题 脊髓空洞症多发生在颈胸段,不会累及延髓。()
136、单项选择题 可出现弥散的有诊断意义的肌束颤动现象的严重疾病是()
A.运动神经元病
B.脊髓肿瘤
C.脊髓空洞症
D.良性肌束震颤
E.亚急性联合变性
137、单项选择题 脊髓外硬膜内肿瘤最常为()
A.各种转移瘤
B.胶质瘤和髓母细胞瘤
C.神经鞘瘤和脊膜瘤
D.淋巴瘤和白血病
E.囊肿和血管瘤
138、名词解释 脊髓白质
139、多项选择题 脊髓亚急性联合变性治疗原则包括()
A.一旦确诊或拟诊本病,即应开始大剂量维生素B治疗
B.贫血患者可用铁剂
C.胃液中缺乏游离胃酸者可服用胃蛋白酶合剂或饭前服稀盐酸合剂
D.不可单独应用叶酸
E.给予营养丰富,特别是富含B族维生素的食物
140、单项选择题 肌萎缩性侧索硬化主要发生于哪类人群()
A.儿童
B.青少年
C.没有年龄分布特征
D.老年女性
E.40岁以上男性
141、配伍题

如图a所示为脊髓和神经根()
如图b所示为脊髓和神经根()
如图c所示为脊髓和神经根()
如图d所示为脊髓和神经根()
如图e所示为脊髓和神经根()
A.脊神经节
B.白质
C.灰质
D.后根
E.前根
142、填空题
如图为脊髓横断面示意图请标出a___________b___________c_____________d______________e____________f______________g_________________。

143、名词解释 腰膨大
144、配伍题

A.后正中沟
B.脊髓圆锥
C.马尾
D.终丝
E.前正中裂
145、单项选择题 脊髓蛛网膜炎的感觉障碍特点是()
A.传导束型
B.袜套样
C.根性、节段性或斑块状不规则分布
D.不常见
E.游走性,不恒定
146、名词解释 Lhermitte征
147、单项选择题
患者,男,20岁,鼻塞、发热、头痛、周身酸痛,4天后好转。7天后先觉双下肢无力,次日双下肢完全瘫痪,尿便障碍。自T水平以下深、浅感觉丧失。腰穿、压颈通畅,脑脊液化验正常。
该病急性期治疗,下列哪项是不必要的()
A.皮质类固醇激素
B.选用适当抗生素
C.大剂量脱水药物
D.处理排尿障碍、防治尿路感染及防治褥疮
E.早期康复训练
148、多项选择题 脊髓后动脉闭塞的表现包括()
A.急性根痛
B.浅感觉缺失
C.深感觉缺失
D.括约肌障碍
E.感觉性共济失调
149、名词解释 Morvon征
150、填空题 脊髓由三层结缔组织被膜包裹,最外层为_____________,中间层为____________,最内层为____________。
151、问答题 脊髓梗死的临床表现有哪些?
152、填空题 脊髓血管畸形绝大多数为________,多见于_______,其次_______,_________少见。
153、填空题 急性横贯性脊髓炎需要与____________、________、____________鉴别。
154、名词解释 分离性感觉障碍
155、多项选择题 髓内肿瘤的临床表现特点包括()
A.神经根刺激征状少见或无
B.脊髓症状多为双侧性
C.感觉障碍常呈下行性进展
D.尿便障碍早期出现
E.椎管梗阻出现较晚、较轻
156、多项选择题 肌萎缩性侧索硬化()
A.多在40岁以后起病,男多于女
B.首发症状常为手指不灵活和力弱
C.双上肢可同时受累也可前后相隔数月
D.少数患者从下肢起病,延及上肢
E.无麻木感,痛感
157、多项选择题 脊髓压迫症的患者常可以出现()
A.无运动障碍
B.传导束性感觉障碍
C.反射改变
D.神经根损害症状
E.自主神经障碍
158、单项选择题 楔束出现在以下哪一节段以上()
A.T
B.T
C.T
D.C
E.T
159、单项选择题 25岁,男性患者,病程4年,双上肢自发性疼痛伴有温度觉缺失,有明显的双手肌肉萎缩,皮肤营养障碍。该患者最应该做的检查是()
A.颈椎MRI
B.颈椎X光片
C.胸椎MRI
D.肌电图
E.诱发电位
160、单项选择题 脊髓压迫症和急性脊髓炎鉴别最有价值的是()
A.起病缓急
B.有无脊髓休克
C.症状的轻重
D.脑脊液的改变
E.压颈试验通畅
161、问答题 什么是脊髓亚急性联合变性?
162、单项选择题
如图所示脊髓前2/3由脊髓哪根血管供血()

A.脊髓前动脉
B.脊髓后动脉
C.沟连合动脉
D.冠状动脉
E.根后动脉
163、多项选择题 急性脊髓炎与Guillain-Barré综合征的鉴别是,前者有()
A.传导束型感觉障碍
B.脑神经麻痹
C.严重的尿便障碍
D.脑脊液蛋白—细胞分离
E.多表现双下肢瘫
164、判断题 脊髓血管畸形多发生在胸腰段,儿童多见。()
165、单项选择题 右侧C水平脊髓半切损害,表现为()
A.双侧C下肢体痉挛性瘫痪振动觉消失,痛觉消失
B.右侧C下肢体痉挛性瘫痪振动觉消失,左侧略低于C下痛觉消失
C.右侧C下肢体痉挛性瘫痪痛觉消失,左侧振动觉消失
D.左侧C下肢体痉挛性瘫痪振动觉消失,右侧略低于C下痛觉消失
E.左侧C下肢体痉挛性瘫痪痛觉消失,右侧振动觉消失
166、填空题 急性横贯性脊髓炎的典型表现是:__________、__________、__________。
167、名词解释 脊髓休克
168、问答题 颈膨大受损的临床表现有哪些?
169、填空题 脊髓空洞症可以合并哪些畸形__________,__________,__________,_____________等。
170、多项选择题 急性脊髓炎与脊髓肿瘤鉴别在于前者表现()
A.瘫痪呈进行性加重
B.感觉障碍两侧不对称
C.尿便障碍明显
D.腰穿显示椎管无梗阻
E.脑脊液蛋白含量正常或轻度增高
171、名词解释 脊髓半切综合征(Brown-Sequardsyndrome)
172、单项选择题
患者,女性,30岁,1年半前出现右胸背部疼痛,1年前右下肢无力,左下肢痛温觉迟钝,近8个月双下肢无力,上楼困难,排尿困难和便秘4个月,不能行走1个月。查体:双上肢正常,双下肢肌力2~3级,肌张力增高,膝反射亢进,双Babinski征(+)。
该患者最重要的治疗是()
A.良好的护理
B.早期应用激素
C.病因治疗
D.适量的抗生素
E.中医中药
173、多项选择题 脊髓外肿瘤临床特点是()
A.明显的根痛
B.感觉障碍呈下行性发展
C.早期出现括约肌障碍
D.椎管梗阻出现较早
E.脑脊液蛋白明显升高
174、判断题 脊髓各节段位置比相应脊椎高。()
175、填空题 亚急性联合变性主要累及__________、____________及__________。
176、单项选择题 患者,男性,50岁,双下肢无力伴下背部疼痛1周来诊。查体双下肢肌力3级,肌张力下降,膝、踝腱反射消失,病理征(-),尿潴留。病变位于()
A.颈膨大
B.胸髓段
C.腰膨大
D.脊髓圆锥
E.周围神经
177、名词解释 Froin征
178、填空题 急性脊髓炎可累及脊髓的任何阶段,以________________最常见,其次为__________和_______________。
179、填空题
如图为脊髓横断面动脉血供图请标出1___________2___________3______________4______________5____________6______________。

180、单项选择题
女,68岁,头部剧痛伴左上肢无力半月余,近两天发展为双下肢截瘫,请结合影像学检查,选出最可能的诊断()




A.脊髓空洞症
B.椎管内血肿
C.硬膜外脓肿
D.脊膜膨出
E.脊膜瘤
181、问答题 髓外硬脊膜内肿瘤的临床特点是什么?
182、问答题 如何诊断脊髓压迫症?
183、问答题 髓外硬脊膜外肿瘤的临床特点有哪些?
184、单项选择题 椎管内有占位的脊髓压迫症,要迅速减压或切除占位。急性脊髓压迫症减压应在()
A.24h内
B.18h内
C.12h内
D.6h内
E.3h内
185、填空题
如图为脊髓横断面示意图请标出a___________b___________c_____________d______________e____________f______________g_________________。

186、单项选择题 膝反射消失可能受损的部位是()
A.T
B.T
C.S
D.L
E.S
187、单项选择题 鉴别髓外肿瘤和髓内肿瘤最可靠的体征为()
A.有无腱发射亢进
B.有无分离性感觉障碍
C.有无夏科关节
D.有无截瘫
E.有无大小便失禁
188、多项选择题 关于脊髓空洞症()
A.目前尚无特效治疗,一般予对症处理
B.放射治疗常用131I
C.张力性空洞可行空洞-蛛网膜下隙分流术
D.进展缓慢,但预后较好
E.空洞较大,伴有椎管梗阻者可行手术治疗
189、填空题 自发性脊髓出血多见于:_________,_______,__________,__________,_______。
190、单项选择题 通常不损害脊髓后索的疾病是()
A.亚急性联合变性
B.脊髓结核
C.Friedreich共济失调
D.糖尿病性脊髓病
E.肌萎缩侧索硬化症
191、填空题 脊髓空洞症需要与____________,__________,_____________鉴别。
192、问答题 简述脊髓横贯性损害的临床表现。
193、填空题 脊髓空洞症病变多位于_______________,__________,亦可累及___________。典型表现为___________、__________、_____________。
194、填空题 颈膨大相当于_________水平,腰膨大相当于__________水平。
195、多项选择题 脊髓亚急性联合变性的临床特点是()
A.括约肌功能障碍较早出现
B.常伴贫血或胃肠道疾病
C.常见深感觉障碍、感觉性共济失调及手套袜套型感觉障碍
D.可见锥体束征,下肢常重于上肢
E.多为中年发病,亚急性或慢性起病
196、名词解释 自主神经反射异常
197、填空题 颈膨大的病变导致双上肢___________,双下肢___________。
198、问答题 试述运动神经元病的鉴别诊断。
199、单项选择题
某患者逐渐出现左上肢放射性疼痛4个月,伴左胸部疼痛。查体:左上肢肌力3级弱,右上肢5级,双下肢4级,排尿困难,双膝、踝反射活跃,脑电图正常,腰穿压颈试验不通畅。
A.周围神经
B.胸段脊髓
C.后颅窝
D.高颈段脊髓
E.颈膨大
200、问答题 试述颈段脊髓受损的临床表现。
201、名词解释 脊髓前动脉综合征
202、填空题 延髓空洞通常呈____状,多为单侧,空洞可阻断______交叉纤维,累及_______和_________。
203、单项选择题 脊髓出血的最常见病因是()
A.血液病
B.脊髓炎
C.脊髓外伤
D.脊髓肿瘤
E.变性病
204、填空题 运动神经元病分为四型:_______、__________、________、___________。
205、单项选择题 分离性感觉障碍易出现于()
A.脊髓空洞症
B.脊神经炎
C.脊髓灰质炎
D.髓外肿瘤
E.格林—巴利综合征
206、多项选择题 脊髓空洞症的病因可能有()
A.先天性发育异常
B.遗传所致
C.脊髓血液循环异常
D.机械因素
E.自身免疫性原因
207、多项选择题 关于脊髓血管疾病,正确的是()
A.脊髓前动脉供血的脊髓灰质对缺血的耐受性比白质差
B.脊髓对缺血的耐受性较好
C.脊髓后动脉供血区更易发生缺血性损害
D.轻度间歇性供血不足会对脊髓造成明显的病理损害
E.脊髓缺血后的病理改变与脑缺血相似
208、单项选择题 患者,女,53岁,左上肢疼痛9个月,咳嗽时加重,开始左上、下肢渐进性无力,右下肢麻木逐渐向上扩展,左上肢下运动神经元性瘫,肌力4级,左下肢呈上运动神经元性瘫,肌力3~4级,左上肢深感觉障碍,右T水平以下痛、温觉缺失。病变部位在()
A.左侧颈膨大及上胸髓
B.左侧颈膨大
C.双侧颈膨大
D.右侧颈膨大及上胸髓
E.右侧颈膨大
209、问答题 简述髓内与髓外压迫性病变感觉障碍的特点?
210、单项选择题 患者睁眼能站稳,闭目则难以站立是由于()
A.脊髓后索受损
B.中央后回受损
C.小脑病变
D.视觉中枢受损
E.前庭神经受损
211、填空题 马尾是由____________~尾节共____________对脊神经根组成。
212、多项选择题 下列哪些文件中无需载明当事人依法享有的陈述权和申辩权()。
A.催告书
B.冻结决定书
C.行政强制执行决定书
D.查封、扣押决定书
213、填空题 脊髓全长______________cm,分为______________节段。
214、名词解释 脊髓空洞症
215、单项选择题 下列哪个药物治疗运动神经元病可能有效()
A.维生素
B.烟酸
C.力鲁唑(rilzole)
D.神经营养因子
E.中药
216、单项选择题 Charcot关节出现于何种疾病()
A.脊髓空洞症
B.运动神经元病
C.亚急性联合变性
D.糖尿病性脊髓病
E.脊髓压迫症
217、单项选择题 关于脊髓压迫症的下列哪项表述是错误的()
A.肿瘤最多见
B.良性肿瘤引起的脊髓压迫症以室管膜瘤最常见
C.脊柱疾病所致者最常见脊椎外伤、脊椎结核
D.硬脊膜内病变多为原发性良性肿瘤
E.脊髓压迫症包括脊柱、脊膜、脊髓和神经根病变
218、填空题 进行性脊肌萎缩症运动神经元变性仅累及_________,进行性延髓麻痹则累及了_______和____运动神经核。
219、判断题 脊髓亚急性联合变性不会出现精神症状。()
220、单项选择题 压颈实验(Queckenstedt-test)的目的是()
A.证明蛛网膜下隙有无出血
B.证明压力是否高
C.证明椎管是否通畅
D.证明操作是否正确
E.可以代替测压
221、单项选择题 一进行性加重的痉挛性截瘫患者,检查发现感觉障碍在脐肋缘水平,上腹壁反射消失。MRI检查的主要摄片部位按椎体算首选在()
A.C~C
B.T~T
C.T~T
D.L~L
E.整个胸腰椎
222、问答题 脊髓短暂性缺血发作的临床表现有哪些?
223、单项选择题 成人腰髓相当于哪段脊椎水平()
A.T水平
B.T水平
C.T水平
D.L水平
E.L水平
224、判断题 激素治疗在急性脊髓炎患者如果没有禁忌证,是首选的治疗药物。()
225、单项选择题 脊髓压迫症患者,最重要的治疗是()
A.早期应用激素
B.良好的护
C.病因治疗
D.按摩
E.适量的抗生素
226、单项选择题 通常不损害脊髓后索的疾病是()
A.亚急性联合变性
B.脊髓结核
C.Friedreich共济失调
D.糖尿病性脊髓病
E.肌萎缩侧索硬化症
227、单项选择题 脊髓的圆锥构成的节段是()
A.L~S的脊髓
B.尾髓
C.S~S
D.S~S和尾髓
E.S~S和尾髓
228、单项选择题 一脐下截瘫患者,令其仰卧用力抬头抵抗阻力时可见脐孔被明显牵拉向上移动,此体征称为()
A.Beevor征
B.Brown-Sequard综合征
C.Brudziski征
D.Rossolimo征
E.Babinski征
229、填空题 脊髓空洞症的病因与发病机制有:__________,__________,___________。
230、问答题 急性脊髓炎的鉴别诊断有哪些?
231、填空题 腰膨大的病变导致双下肢__________、____________、___________。
232、单项选择题 脊髓完全缺血多少时间会造成脊髓不可逆损害()
A.4min
B.10min
C.15min
D.30min
E.40min
233、名词解释 急性横贯性脊髓炎
234、单项选择题 脊髓半切综合征不正确的是()
A.对侧痛温觉缺乏
B.对侧深感觉缺乏
C.同侧损害平面以下的上运动神经元受损
D.最常见的是髓外硬膜内肿瘤
E.同侧相应节段感觉过敏和根性疼痛
235、填空题 急性脊髓炎是脊髓白质______或_____所致的急性横贯性损害。
236、填空题 霍纳征是由____________~____________节段侧角受损时产生的症状。
237、单项选择题 患者,男,40岁,双下肢活动不灵、大小便障碍1周入院。查体双下肢上运动神经元性瘫、双侧T水平以下深浅感觉障碍。病变位于哪个椎体()
A.第4胸椎
B.第5胸椎
C.第7胸椎
D.第8胸椎
E.第10胸椎
238、问答题 试述髓内、髓外、硬膜内、髓外硬膜外病变的鉴别。
239、单项选择题 最易发现脊髓空洞症的检查是()
A.脊髓MRI
B.脊髓碘水造影
C.PET扫描
D.脊髓X线片
E.脊柱放射性核素扫描
240、名词解释 脱髓鞘性脊髓炎
241、判断题 脊髓空洞症常合并神经系统的其他畸形,与先天发育异常有关。()
242、判断题 脊髓的MRI检查可以代替临床查体。()
243、单项选择题 脊髓空洞症的最好发部位是()
A.延髓
B.高颈髓
C.腰髓
D.中、下胸髓
E.下颈、上胸髓
244、判断题 与高碳钢相比低碳钢的可焊性较差。
245、单项选择题
某患者逐渐出现左上肢放射性疼痛4个月,伴左胸部疼痛。查体:左上肢肌力3级弱,右上肢5级,双下肢4级,排尿困难,双膝、踝反射活跃,脑电图正常,腰穿压颈试验不通畅。
A.脊髓造影
B.脊柱X线平片
C.体感诱发电位
D.脊髓MRI检查
E.腰穿和脑脊液检查
246、问答题 运动神经元病的主要治疗原则是什么?
247、配伍题 脊髓丘脑前束主要传导()脊髓丘脑侧束主要传导()
A.痛、温觉
B.触觉
C.本体觉
D.痛、温觉加本体觉
E.精细触觉
248、多项选择题 急性脊髓炎临床表现是()
A.急性起病,多见于青壮年,无性别差异
B.出现运动、感觉及尿便障碍
C.病前多无感染史
D.脑脊液正常或蛋白与细胞数轻度增高
E.病变多累及腰段脊髓
249、配伍题 脊髓圆锥损害的感觉障碍的体表标志位于()T脊髓节段损害的感觉障碍的体表标志位于()T脊髓节段损害的感觉障碍的体表标志位于()T脊髓节段损害的感觉障碍的体表标志位于()T脊髓节段损害的感觉障碍的体表标志位于()
A.脐水平
B.乳头下水平
C.剑突水平
D.腹股沟水平
E.肛门周围及会阴
250、单项选择题 急性脊髓炎不应出现的症状体征是()
A.压颈试验通畅
B.急性脊髓横贯性损害
C.脑脊液蛋白增高
D.眼球震颤
E.脊髓休克
251、单项选择题
某患者逐渐出现左上肢放射性疼痛4个月,伴左胸部疼痛。查体:左上肢肌力3级弱,右上肢5级,双下肢4级,排尿困难,双膝、踝反射活跃,脑电图正常,腰穿压颈试验不通畅。
A.Guillain-Barré综合征
B.多发性神经病
C.急性脊髓炎
D.急性脊髓灰质炎
E.脊髓压迫症
252、单项选择题 脊髓亚急性联合变性的临床表现除了下列哪个症状一般没有()
A.双下肢深感觉缺失
B.高颅压
C.痉挛性截瘫
D.周围神经病变
E.感觉性共济失调
253、多项选择题 由于审计环境的变化,注册会计师的审计方法一直随着审计环境的变化而变化,审计方法包括()
A.报表基础审计
B.制度基础审计
C.风险导向审计
D.账项基础审计
254、判断题 急性脊髓炎是一种脊髓白质脱髓鞘或坏死所致的脊髓横贯性损害。()
255、问答题 试述髓外硬脊膜内肿瘤的临床特点?
256、单项选择题 少年男性,接种疫苗后发热一周,热退后出现双下肢无力伴尿潴留,查体见T以下感觉减退,双下肢瘫,双侧病理征阳性,该患者最应该做的检查是()
A.腰穿
B.血常规
C.胸片
D.尿常规
E.颈段MRI
257、填空题 脊髓梗死因发生闭塞的供血动脉不同而表现不同的综合征:______________、________________、________________。
258、名词解释 马尾
259、多项选择题 临床上推断脊髓病变节段可根据()
A.神经根刺激征状
B.感觉障碍水平
C.棘突压痛和叩击痛
D.肌萎缩的部位
E.反射的改变
260、名词解释 总体反射
261、问答题 非典型的运动神经元病应与哪些疾病鉴别?
262、名词解释 颈膨大
263、填空题 脊髓压迫症的主要症状有:___________、__________、__________、_________、______________、___________。
264、单项选择题 原发性侧索硬化主要选择性地损害()
A.锥体束
B.周围神经
C.感觉传导通路
D.脊髓前角细胞
E.锥体外系
265、单项选择题 急性脊髓炎的病因以哪个最常见()
A.中毒
B.外伤
C.感染
D.接种疫苗
E.遗传
266、问答题 急性脊髓炎如何预防褥疮发生?
267、判断题 脊髓炎患者脊髓MRI典型改变是病变部位脊髓增粗,病变节段有异常信号,但MRI正常者不能排除本病。()
268、问答题 简述脊髓空洞症可合并哪些畸形?
269、单项选择题 马尾由多少对神经根组成()
A.8
B.9
C.10
D.11
E.12
270、填空题 _______侧角发出的交感纤维一部分沿颈内动脉壁进入颅内,支配同侧眼眶肌、________和___________,另一部分支配同侧面部的________和_________。