时间:2022-01-07 03:03:27


1、单项选择题
男,39岁,民工,于11月30日就诊,高热、头痛、腰痛、呕吐、腹泻4天,在当地医院注射安痛定并输液无好转,早晨突然昏倒在厕所,立即测血压为75/40mmHg,急送上级医院。
经快速、适量补充血容量后,血压升至正常,但次日突感呼吸困难,端坐呼吸,双肺可闻及湿啰音,呼吸34次/分,脉搏128次/分,应急诊检查()
A.BUN
B.出凝血时间
C.支气管镜检
D.胸部CT
E.血气分析
2、问答题 简述流行性出血热的诊断及鉴别诊断。
3、名词解释 移行期
4、单项选择题 流行性出血热引起急性肾功能不全的最主要原因是()
A.肾小球滤过率下降和缺血性肾小管变性、坏死
B.肾小球微血栓形成和缺血性坏死
C.肾小管中管型形成
D.肾间质水肿压迫肾小管
E.肾素、血管紧张素的激活
5、填空题 汉坦病毒属__________病毒,其基因可分为__________、__________和__________3个片段,分别编码__________、__________和__________。
6、名词解释 流行性出血热
7、单项选择题
男,48岁,农民,因发热、腰痛3天,于11月11日就诊。伴恶心、呕吐,查体:神志清楚,体温40.8℃,血压75/50mmHg,急性重病容,双侧眼睑浮肿,球结膜明显充血水肿,上腭可见4~5个出血点,双腋下可见抓痕样出血点。实验室检查:Hb156g/L,WBC16.0×109/L,N0.80,L0.20,尿蛋白+++。
下列处理哪项是错误的()
A.物理降温
B.液体疗法
C.多潘立酮止吐
D.大剂量强烈发汗退热药
E.短期应用肾上腺皮质激素
8、单项选择题
男,48岁,农民,因发热、腰痛3天,于11月11日就诊。伴恶心、呕吐,查体:神志清楚,体温40.8℃,血压75/50mmHg,急性重病容,双侧眼睑浮肿,球结膜明显充血水肿,上腭可见4~5个出血点,双腋下可见抓痕样出血点。实验室检查:Hb156g/L,WBC16.0×109/L,N0.80,L0.20,尿蛋白+++。
根据现有资料该病例分型应属于()
A.轻型
B.中型
C.重型
D.危重型
E.非典型
9、单项选择题
男,20岁,江西高安人,发热,伴头痛乏力。体检:体温39℃,血压75/60mmHg,球结膜充血,颜面及胸前皮肤潮红,肝于肋下1cm、脾于侧位肋下无触及。周围血液白细胞数为25×109/L,N0.83,L0.14,血小板为61.1×109/L,尿蛋白+++。本病例的诊断最可能是()
A.流行性脑脊髓膜炎
B.钩端螺旋体病
C.败血症
D.伤寒
E.流行性出血热
10、问答题 简述流行性出血热少尿期的治疗原则。
11、单项选择题 男,26岁,农民,急起畏寒、发热、全身酸痛5天,元月上旬入院,伴恶心、呕吐,近日解洗肉水样小便200ml,查体:体温39.6℃,眼睑浮肿,腋下可见搔痕样小出血点,双臀部见5cm×4.5cm大小瘀斑,血常规:Hb160g/L,WBC64×10/L,幼稚细胞0.14,N0.66,L0.20,PLT80×10/L,最可能的诊断是()
A.慢性粒细胞白血病
B.血小板减少性紫癜
C.急性肾小球肾炎
D.流行性出血热
E.肾脓肿
12、单项选择题
男,43岁,农民,急起发热、头痛、全身乏力6天,查体:体温37℃,脉搏122次/分,血压70/60mmHg,神清,呈“酒醉貌”,眼结膜充血,球结膜可见片状出血,注射部位可见大片瘀斑,肺部未闻及异常。
首要的检查是()
A.骨髓培养
B.血培养
C.肝功能检测
D.血、尿常规检查
E.出、凝血时间测定
13、单项选择题 关于流行性出血热少尿期,下列哪项是错误的()
A.可与低血压休克期重叠
B.仅为重型患者的表现
C.出现酸中毒和水电解质紊乱
D.可出现高血容量综合征
E.可使用放血疗法
14、单项选择题 流行性出血热的确诊是通过()
A.临床上表现有“三痛”和“三红”
B.血象中出现异型淋巴细胞和血小板减少
C.尿中可见膜状物
D.临床上有三大主征:发热,充血出血、肾损害
E.特异性IgM抗体1:20以上
15、多项选择题 下列疾病的休克不是由内毒素引起的有()
A.流行性脑脊髓膜炎暴发休克型
B.中毒性细菌性痢疾
C.革兰阴性败血症
D.流行性出血热
E.霍乱
16、单项选择题
男性,20岁,农民,因高热伴头痛腰痛3天,无尿2天,于12月入院。查体:体温39.6℃,血压75/45mmHg,神清,颈软,结膜充血,软腭散在针尖样出血点。周围血液白细胞数为16.2×109/L,N0.80,L0.16,可见异型淋巴细胞。尿蛋白++++,血小板为7.3×109/L。
目前病人不适宜下列哪项治疗措施()
A.抗病毒治疗
B.抗休克治疗
C.庆大霉素防治感染
D.血液透析
E.预防DIC治疗
17、问答题
女,32岁,农民,因急起发热伴腰痛4天于2004年11月18日急诊入院。
病人于11月14日起畏寒、发热(体温不详)、全身酸痛、腰痛,17日体温下降,但双侧腰痛加重而入我院。入院前24小时尿量为600ml。
体格检查:T37.8℃,BP90/60mmHg,面部潮红,眼结膜水肿,有片状出血;腹平软,有压痛和反跳痛,双肾区轻叩击痛。
血常规:Hb130g/L,WBC14×109/L,N0.84,L0.08,异型淋巴细胞0.08,PLT71×109/L。尿常规:尿中有膜状物,尿蛋白(+++),RBC(+++)。
18、单项选择题 关于流行性出血热多尿期,下列哪项是错误的()
A.一般出现在病程的9~14d
B.血中BUN和Cr迅速下降
C.多尿早期尿毒症症状加重
D.每日尿量可多达15000ml
E.可发生休克
19、问答题
女,33岁,农民。于2005年12月10日就诊,发热、头痛、腰痛、腹泻6天,在当地卫生院注射柴胡,无好转,3天前突然昏倒于厕所,后经补液后恢复,近2天来24小时尿量150ml。体格检查:T37.2℃,P90次/分,BP100/70mmHg。急性重病容,神志清楚,结膜明显充血、水肿,胸部发现散在出血点,注射处大块瘀斑(如图),颈软,双肺(-),腹平软,轻压痛,无反跳痛。实验室检查:Hb120g/L,WBC12×109/L,N0.80,L0.20,PLT51×109/L;尿蛋白(+++)。
该病人的治疗原则是什么?

20、单项选择题
患者25岁,男性,农民,发热伴头痛、全身疼痛5天,尿少1天于11月18日来诊。查体体温39.6℃,脉搏125次/分,呼吸36次/分,血压75/45mmHg,上胸部皮肤可见皮下出血点,肺部听诊闻少许啰音。周围血液白细胞数为15.3×109/L,N0.83,L0.17,血小板为61.1×109/L,尿蛋白+++。
有助于明确诊断的检查是()
A.作血清肥达反应
B.血液培养细菌
C.检测血清中钩端螺旋体的IgM抗体
D.脑脊液培养细菌
E.检测血清中流行性出血热病毒的IgM抗体
21、单项选择题 下列哪项说法是正确的()
A.流行性出血热的传染源主要是猪和黑线姬鼠
B.流行性出血热的传播途径仅为虫媒接触和消化道传播
C.流行性出血热疫区中流行特点为自然疫源性、散发性、边缘性和暴发性
D.流行性出血热的预防关键是灭鼠和疫苗注射
E.伴有肾病综合征的出血热是我国流行性出血热最常见的类型
22、单项选择题
男,39岁,民工,于11月30日就诊,高热、头痛、腰痛、呕吐、腹泻4天,在当地医院注射安痛定并输液无好转,早晨突然昏倒在厕所,立即测血压为75/40mmHg,急送上级医院。
下列的治疗措施,哪项是错误的()
A.输入纯葡萄糖液
B.复方醋酸钠液
C.5%碳酸氢钠
D.20%白蛋白
E.低分子右旋糖酐
23、单项选择题 流行性出血热的“三痛”是指()
A、头痛、全身痛和腰痛
B、头痛、关节痛和腰痛
C、头痛、腹痛和腰痛
D、头痛、眼眶痛和腰痛
24、多项选择题 关于流行性出血热,下列说法正确的是()
A.我国是以黑线姬鼠和褐家鼠为主要宿主动物和传染源
B.预防流行性出血热的关键措施是防鼠、灭鼠
C.不同人群发病的多少与接触传染源的机会多少有关
D.与病人的密切接触是本病的主要传播途径
E.流行高峰季节为姬鼠型3~5月,家鼠型11月至次年1月
25、名词解释 类白血病反应
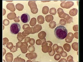
26、单项选择题
如图所示,血中异型淋巴细胞增多见于下列哪种疾病()

A.流行性出血热
B.猩红热
C.疟疾
D.弓形虫病
E.日本血吸虫病
27、问答题
女,32岁,农民,因急起发热伴腰痛4天于2004年11月18日急诊入院。
病人于11月14日起畏寒、发热(体温不详)、全身酸痛、腰痛,17日体温下降,但双侧腰痛加重而入我院。入院前24小时尿量为600ml。
体格检查:T37.8℃,BP90/60mmHg,面部潮红,眼结膜水肿,有片状出血;腹平软,有压痛和反跳痛,双肾区轻叩击痛。
血常规:Hb130g/L,WBC14×109/L,N0.84,L0.08,异型淋巴细胞0.08,PLT71×109/L。尿常规:尿中有膜状物,尿蛋白(+++),RBC(+++)。
28、单项选择题 下列哪项不是流行性出血热的常见并发症()
A.肺水肿及心肌损害
B.中枢神经系统合并症
C.继发感染
D.肾囊肿
E.腔道出血
29、判断题 EHF常见并发症有腔道出血、肺水肿和中枢神经系统并发症。
30、判断题 EHF的传染源主要是啮齿类动物如黑线姬鼠、大林姬鼠、褐家鼠等。
31、单项选择题 流行性出血热少尿的主要原因是()
A.肾血管内弥散性血管内凝血
B.合并肾结石、肾盂积水
C.肾小管重吸收亢进
D.肾小球滤过率下降和缺血性肾小管坏死
E.继发性醛固酮增多
32、单项选择题 流行性出血热大出血的主要原因不包括()
A.血小板减少和功能障碍
B.肝素类物质增加
C.血管壁损伤
D.DIC所致凝血机制异常
E.并发再障
33、判断题 EHF常见并发症有腔道出血、肺水肿和中枢神经系统并发症。
34、多项选择题 关于流行性出血热的处理,下列哪些是错误的()
A.有无消化道出血均可导泻治疗合并高血容量综合征者
B.低血压休克期补液应晶胶结合,胶体溶液常用低分子右旋糖酐、全血和白蛋白
C.防治感染忌用对肾有毒性作用的抗生素
D.发热期高热以物理降温为主
E.出现高血容量综合征需透析治疗
35、单项选择题 流行性出血热的基本病变是()
A.全身小动脉坏死
B.血管和淋巴管内皮细胞损害及急性出血
C.微血管的内皮细胞损伤
D.小血管周围炎性细胞浸润
E.小血管(包括小动脉、小静脉和毛细血管)内皮细胞肿胀、变性和坏死
36、单项选择题
男,39岁,民工,于11月30日就诊,高热、头痛、腰痛、呕吐、腹泻4天,在当地医院注射安痛定并输液无好转,早晨突然昏倒在厕所,立即测血压为75/40mmHg,急送上级医院。
下列导致患者休克的疾病中,哪种可能性小()
A.流行性乙型脑炎
B.流行性出血热
C.细菌性痢疾
D.流行性脑脊髓膜炎
E.败血症
37、单项选择题
男,43岁,农民,急起发热、头痛、全身乏力6天,查体:体温37℃,脉搏122次/分,血压70/60mmHg,神清,呈“酒醉貌”,眼结膜充血,球结膜可见片状出血,注射部位可见大片瘀斑,肺部未闻及异常。
下列治疗欠妥当的是()
A.低分子右旋糖酐
B.血管活性药物
C.抗生素治疗
D.血液透析
E.激素应用
38、问答题
女,32岁,农民,因急起发热伴腰痛4天于2004年11月18日急诊入院。
病人于11月14日起畏寒、发热(体温不详)、全身酸痛、腰痛,17日体温下降,但双侧腰痛加重而入我院。入院前24小时尿量为600ml。
体格检查:T37.8℃,BP90/60mmHg,面部潮红,眼结膜水肿,有片状出血;腹平软,有压痛和反跳痛,双肾区轻叩击痛。
血常规:Hb130g/L,WBC14×109/L,N0.84,L0.08,异型淋巴细胞0.08,PLT71×109/L。尿常规:尿中有膜状物,尿蛋白(+++),RBC(+++)。
39、填空题 流行性出血热发热期处理原则是__________、__________、__________和预防__________。
40、多项选择题 不符合典型流行性出血热的是()
A.发热消退症状减轻
B.血小板减少
C.病人为主要传染源
D.中性粒细胞减少
E.多使用庆大霉素抗感染
41、单项选择题 某女,47岁,发热、头痛7天,无尿1天入院,入院时神志清,结合膜充血、水肿,皮肤有瘀点、瘀斑,血压130/90mmHg,血常规:WBC28.0×10/L,异型淋巴细胞20%,Hb110g/L,PLT42×10/L。尿蛋白++,住院第2天突然出现失语,左侧肢体偏瘫,抽搐、昏迷,血压190/120mmHg,左侧巴氏征阳性,经积极抢救无效死亡,下列哪项诊断可能性大()
A.急性肾炎并发高血压脑病
B.流行性出血热并发脑水肿、脑疝形成
C.流行性出血热并发颅内出血
D.流行性出血热并发心力衰竭
E.肾小球肾炎并急性肾衰和败血症
42、单项选择题 流行性出血热病人病程第6天,每天尿量80ml,血压180/120mmHg,脉洪大,面部浮肿,体表静脉充盈,两肺底有散在湿啰音,该病人应采用下列何组最佳措施()
A.采用平衡盐液、降血压、利尿及导泻
B.采用小剂量肝素抗凝
C.纠正酸中毒,降压及利尿
D.严格控制输液量,高效利尿剂及透析疗法
E.采用高渗葡萄糖液降压及利尿
43、单项选择题 关于流行性出血热,下列哪项是正确的()
A.猫类是其重要传染源
B.其发病机制和基本病变是弥散性血管内凝血
C.高血容量综合征多发生于少尿期
D.大量补充血容量是解决尿毒症的好方法
E.不属于自然疫源性疾病
44、问答题
女,33岁,农民。于2005年12月10日就诊,发热、头痛、腰痛、腹泻6天,在当地卫生院注射柴胡,无好转,3天前突然昏倒于厕所,后经补液后恢复,近2天来24小时尿量150ml。体格检查:T37.2℃,P90次/分,BP100/70mmHg。急性重病容,神志清楚,结膜明显充血、水肿,胸部发现散在出血点,注射处大块瘀斑(如图),颈软,双肺(-),腹平软,轻压痛,无反跳痛。实验室检查:Hb120g/L,WBC12×109/L,N0.80,L0.20,PLT51×109/L;尿蛋白(+++)。
该病人还需做哪些检查以确诊?45、多项选择题 关于流行性出血热的实验室检查,下列正确的是()
A.第1~第2病日可有异型淋巴细胞,血小板降低及第2病日可出现大量尿蛋白
B.第3~第4病日可有白细胞计数升高,尿素氮和肌酐多数在低血压休克期开始升高
C.血清钠、氯和钙在本病过程中均降低,少尿期血清钾可增高,也可降低
D.休克期血红蛋白升高作为休克补充血容量的指标
E.发热期血气分析以代谢性酸中毒为主
46、单项选择题 流行性出血热的临床五期经过是指()
A.发热期→低血压休克期→多尿期→少尿期→恢复期
B.发热期多尿期→低血压休克期→少尿期→恢复期
C.发热期→低血压休克期→少尿期→多尿期→恢复期
D.发热期→中毒期→低血压休克期→少尿期→恢复期
E.发热期→出疹期→少尿期→多尿期→恢复期
47、名词解释 尿膜状物
48、填空题 流行性出血热发热期临床症状表现的“三痛”是__________、__________、__________。
49、单项选择题
男,48岁,农民,因发热、腰痛3天,于11月11日就诊。伴恶心、呕吐,查体:神志清楚,体温40.8℃,血压75/50mmHg,急性重病容,双侧眼睑浮肿,球结膜明显充血水肿,上腭可见4~5个出血点,双腋下可见抓痕样出血点。实验室检查:Hb156g/L,WBC16.0×109/L,N0.80,L0.20,尿蛋白+++。
本例最可能的诊断是()
A.伤寒
B.钩体病
C.败血症
D.流行性出血热
E.上呼吸道感染
50、配伍题 血液白细胞增多、血小板明显减少多见于()血液白细胞增多、昏迷多见于()血液白细胞增多、异型淋巴细胞高于白细胞总数的10%多见于()
A.伤寒
B.败血症
C.流行性乙型脑炎
D.恙虫病
E.流行性出血热
51、名词解释 ARDS
52、填空题 确诊流行性出血热的依据为_______________________________________________。
53、填空题 我国流行性出血热家鼠型的病原体是__________,主要传染源是__________:姬鼠型的病原体是__________,主要传染源是__________。
54、单项选择题
男性,20岁,农民,因高热伴头痛腰痛3天,无尿2天,于12月入院。查体:体温39.6℃,血压75/45mmHg,神清,颈软,结膜充血,软腭散在针尖样出血点。周围血液白细胞数为16.2×109/L,N0.80,L0.16,可见异型淋巴细胞。尿蛋白++++,血小板为7.3×109/L。
本例病原治疗方法是()
A.禁用
B.早期用
C.中期用
D.晚期用
E.暂无病原治疗药物
55、配伍题 流行性出血热早期休克的主要措施是()流行性出血热发热期的病原治疗可用()流行性出血热各期中应禁忌的措施是()流行性出血热高血容量综合征()
A.应用庆大霉素防治感染
B.扩充血容量
C.肾上腺皮质激素
D.血液透析
E.病毒唑
56、填空题 流行性出血热的基本病变是_______________________________________________。
57、单项选择题 男,38岁,工人,因发热、腰痛5天,无尿2天,以“流行性出血热”入院,入院后经过利尿、对症等处理未见好转,并出现烦躁不安,眼睑浮肿,脸潮红,脉洪大,体表静脉充盈,血压180/96mmHg,心率120次/分、律齐,应考虑()
A.尿毒症
B.高血压脑病
C.肺部感染
D.高血容量综合征
E.高钠血症、高钾血症
58、问答题
女,32岁,因畏寒发热,头痛,身痛3天,于2004年12月22日急症抬送入院。
患者于12月19日突起畏寒、发热,体温38.5~39.5℃,伴有全身疼痛,腰痛,当地医院按上感治疗,服用银翘解毒丸病情无好转,22日上厕所时昏倒1次,病后食量减少,卧床休息,大便稀水样,未见粘液,2~4次/天,伴脐周隐痛,无里急后重,小便量减少。
病前健康,当地有类似患者。
查体:体温38.5℃,脉搏98次/分,呼吸20次/分,血压60/50mmHg,急性病容,神清,球结合膜充血,颈软,腋下皮肤可见数个出血点,咽部充血,心律齐,98次/分,未闻及杂音,肺(-),腹软,肝脾未扪及,脐周轻压痛,克、布氏征(-),膝腱反射正常。
实验室检查:血常规:血红蛋白156g/L,白细胞12.0×109/L。,中性粒细胞0.80,淋巴细胞0.20,血小板70×109/L;尿常规:(++++)镜检正常;粪常规:黄稀镜检WBC0~1/HP。
问题:
59、单项选择题
男性,20岁,农民,因高热伴头痛腰痛3天,无尿2天,于12月入院。查体:体温39.6℃,血压75/45mmHg,神清,颈软,结膜充血,软腭散在针尖样出血点。周围血液白细胞数为16.2×109/L,N0.80,L0.16,可见异型淋巴细胞。尿蛋白++++,血小板为7.3×109/L。
对本例诊断有意义的实验室检查是()
A.头颅CT检查
B.肌电图检查
C.肥达反应
D.血液培养细菌
E.检测血清中流行性出血热的IgM抗体
60、单项选择题 流行性出血热属于()
A.无肾综合征的动物源性出血热
B.有肾综合征的动物源性出血热
C.蚊传性出血热
D.蜱传性出血热
E.传播途径不明性出血热
61、单项选择题 男,39岁,农民,高热、头痛5天入院,死于顽固性休克,死后经尸体解剖见垂体前叶明显充血、出血坏死,右心房出血,肾脏肿大,间质极度水肿、充血,全身小血管内膜细胞肿胀,以后腹膜、纵隔水肿为主要损害,根据尸解所见,本例应诊断为()
A.败血症
B.暴发型流脑
C.中毒型菌痢
D.伤寒
E.流行性出血热
62、多项选择题 高度近视患者黄斑区可出现()
A.出血
B.裂孔
C.漆裂纹
D.Fuchs斑
E.新生血管
63、判断题 流行性出血热病毒是环状双股DNA病毒,不耐热和不耐酸。
64、单项选择题
患者25岁,男性,农民,发热伴头痛、全身疼痛5天,尿少1天于11月18日来诊。查体体温39.6℃,脉搏125次/分,呼吸36次/分,血压75/45mmHg,上胸部皮肤可见皮下出血点,肺部听诊闻少许啰音。周围血液白细胞数为15.3×109/L,N0.83,L0.17,血小板为61.1×109/L,尿蛋白+++。
该病例的诊断最可能是()
A.伤寒
B.败血症
C.钩端螺旋体病
D.流行性脑脊髓膜炎
E.流行性出血热
65、多项选择题 下列符合流行性出血热诊断的临床表现是()
A.突然发病
B.头痛腰痛
C.热退症状加重
D.出血性皮疹
E.球结膜出血
66、单项选择题 关于流行性出血热少尿期治疗原则,下列哪项是错误的()
A.稳定内环境
B.促进利尿
C.透析疗法
D.无消化道出血时可进行导泻疗法
E.宜高糖、高维生素、高蛋白饮食
67、单项选择题 关于流行性出血热发热期的治疗,哪一项是错误的()
A.纠正酸中毒
B.强烈发汗退热剂
C.补液
D.纠正电解质紊乱
E.高热中毒症状重者可用肾上腺皮质激素
68、问答题 简述流行性出血热出现意识障碍的原因。
69、问答题 简述典型流行性出血热的临床表现要点。
70、配伍题 体温39℃以下,中毒症状轻,除出血点外无其他出血现象,肾损害轻,无休克和少尿()体温39~40℃,中毒症状较重,有明显的球结膜水肿,有明显出血和少尿,出现休克,尿蛋白+++()体温≥40℃,中毒症状及渗出症状严重,有皮肤瘀斑和腔道出血,出现休克、少尿,持续5日以内或无尿2日以内()体温在38℃以下,皮肤粘膜可有散在出血点,尿蛋白±,血、尿特异性抗原或抗体阳性者()
A.轻型
B.中型
C.重型
D.危重型
E.非典型
71、单项选择题
男,39岁,民工,于11月30日就诊,高热、头痛、腰痛、呕吐、腹泻4天,在当地医院注射安痛定并输液无好转,早晨突然昏倒在厕所,立即测血压为75/40mmHg,急送上级医院。
查体:体温40℃,脉搏110次/分,血压90/70mmHg,急性重病容,神志清,颜面浮肿,眼结膜充血、水肿,软腭可见数个针尖样出血点,颈软,双肺清,血象:Hb148g/L,WBC36.0×109/L,N0.82,L0.18,尿蛋白+++。诊断为哪种疾病的可能性最大()
A.伤寒
B.钩体病
C.败血症
D.中毒性菌痢
E.流行性出血热
72、问答题
男,38岁,发热4天,无尿1天,于3月16日入院。患者于3月12日突起畏寒发热,体温38~39℃,伴头痛、全身不适,咽喉痛,经青霉素及退热药治疗,病情无好转,15日晨上厕所时昏倒,即送当地县医院,当时BP60/40mmHg,WBC19.0×109/L,N0.87,L0.13,拟诊为“败血症”,给予青霉素及卡那霉素并用升压药后血压回升,体温降至正常,但仍未解出小便,以“感染性休克”,“急性肾衰”转来我院治疗。
既往体健,当地有类似病患者。
查体:体温37.2℃,脉搏102次/分,呼吸22次/分,血压130/86mmHg,重病容,神志尚清,颈软,双结膜充血,胸前可见数个皮疹,压之不褪色,手臂及臀部注射处有多块成片瘀斑,双肺清晰,心率102次/分,律齐,腹部轻压痛,反跳痛,肝肋下1.0cm,质中等,脾未扪及,克、布氏征阴性。
实验室检查:
血常规:血红蛋白134g/L,白细胞26.0×109/L,中性粒细胞0.79,淋巴细胞0.15,异淋0.06;血小板50×109/L。
尿常规:蛋白(+++),红细胞(+),白细胞0~2/HP。
大便隐血试验:阳性。
73、名词解释 高血容量综合征
74、单项选择题
男性,20岁,农民,因高热伴头痛腰痛3天,无尿2天,于12月入院。查体:体温39.6℃,血压75/45mmHg,神清,颈软,结膜充血,软腭散在针尖样出血点。周围血液白细胞数为16.2×109/L,N0.80,L0.16,可见异型淋巴细胞。尿蛋白++++,血小板为7.3×109/L。
本病目前最紧急的治疗是()
A.抗休克
B.脱水
C.强心
D.透析
E.降温
75、问答题
女,32岁,农民,因急起发热伴腰痛4天于2004年11月18日急诊入院。
病人于11月14日起畏寒、发热(体温不详)、全身酸痛、腰痛,17日体温下降,但双侧腰痛加重而入我院。入院前24小时尿量为600ml。
体格检查:T37.8℃,BP90/60mmHg,面部潮红,眼结膜水肿,有片状出血;腹平软,有压痛和反跳痛,双肾区轻叩击痛。
血常规:Hb130g/L,WBC14×109/L,N0.84,L0.08,异型淋巴细胞0.08,PLT71×109/L。尿常规:尿中有膜状物,尿蛋白(+++),RBC(+++)。
该病人如何处理?

76、单项选择题 流行性出血热早期休克的主要原因是()
A.肺水肿
B.继发严重感染
C.心肌损害
D.腔道大出血
E.小血管通透性增加,血浆外渗,血容量锐减
77、单项选择题
如图所示,在我国流行性出血热最主要的传染源是()

A.家鼠
B.黑线姬鼠
C.棕背鼠
D.田鼠
E.红背鼠
78、问答题
女,33岁,农民。于2005年12月10日就诊,发热、头痛、腰痛、腹泻6天,在当地卫生院注射柴胡,无好转,3天前突然昏倒于厕所,后经补液后恢复,近2天来24小时尿量150ml。体格检查:T37.2℃,P90次/分,BP100/70mmHg。急性重病容,神志清楚,结膜明显充血、水肿,胸部发现散在出血点,注射处大块瘀斑(如图),颈软,双肺(-),腹平软,轻压痛,无反跳痛。实验室检查:Hb120g/L,WBC12×109/L,N0.80,L0.20,PLT51×109/L;尿蛋白(+++)。
该病人可能性最大的诊断是什么?并说明诊断依据。79、填空题 流行性出血热临床上三大主征是___________、____________、_____________;五期经过是___________、____________、_____________、____________、______________。
80、问答题 试述流行性出血热的发病机制和休克、出血与急性肾衰竭的原因。
81、多项选择题 关于流行性出血热病原学,下列哪些是正确的()
A.宿主感染后核蛋白抗体出现最早,有利于早期诊断
B.汉坦病毒是DNA病毒,其基因可分为大、中、小3个片段
C.引起人类流行性出血热为Ⅰ型、Ⅱ型、Ⅲ型和Ⅳ型
D.在我国流行的是Ⅰ型和Ⅱ型
E.目前认为I型感染者重于Ⅱ型感染者,可能与病毒毒力较强有关
82、问答题 简述流行性出血热患者发生出血现象的机制是什么?
83、单项选择题 流行性出血热患者病程第5天,未进食,呕吐频繁,感乏力,四肢松软,腱反射迟钝,腹胀,肠鸣音减低,心律不齐,心电图T波低平,可见U波,ST段降低,此时应给予()
A.输氯化钠
B.输葡萄糖酸钙
C.输葡萄糖
D.输氯化钾
E.输白蛋白
84、填空题 流行性出血热有明显高峰季节,其中黑线姬鼠传播者以__________________为高峰,以__________为小高峰;家鼠传播者以___________为高峰。
85、判断题 行性出血热原发性休克指的是血管通透性增加、血浆外渗。
86、多项选择题 关于流行性出血热重型的诊断标准,下列哪些是正确的()
A.体温≥40℃,有中毒性神经精神症状
B.少尿持续5天以上或无尿2天以上
C.腔道出血
D.尿蛋白(+++)
E.球结膜水肿
87、单项选择题 男,40岁,发热腰痛5天,无尿2天入院。目前患者烦躁不安,眼睑水肿,体表静脉充盈,心率130次/分,血压170/100mmHg,解柏油样大便,量中等,此病人的治疗哪项最有效()
A.积极补液
B.用止血剂
C.青霉素加庆大霉素
D.血液透析
E.硫酸镁导泻
88、单项选择题 男,24岁,发热3天,无尿1天,查体:体温:37.2℃,神清,结合膜水肿严重,上胸部可见数个出血点,全腹压痛明显,双肾区叩击痛,血常规:WBC32×10/L,N0.60,L0.40,PLT60×10/L,下列处理哪项是错误的()
A.严格控制入水量
B.大剂量速尿静脉推注
C.快速静脉推注甘露醇
D.血液透析
E.导泻疗法
89、填空题 流行性出血热继发性休克主要是由___________、____________、____________所致。
90、问答题
女,33岁,农民。于2005年12月10日就诊,发热、头痛、腰痛、腹泻6天,在当地卫生院注射柴胡,无好转,3天前突然昏倒于厕所,后经补液后恢复,近2天来24小时尿量150ml。体格检查:T37.2℃,P90次/分,BP100/70mmHg。急性重病容,神志清楚,结膜明显充血、水肿,胸部发现散在出血点,注射处大块瘀斑(如图),颈软,双肺(-),腹平软,轻压痛,无反跳痛。实验室检查:Hb120g/L,WBC12×109/L,N0.80,L0.20,PLT51×109/L;尿蛋白(+++)。
该病需要与哪些疾病相鉴别?91、问答题 流行性出血热少尿期能否发生低血钾?并说明理由。
92、单项选择题 42岁的流行性出血热患者,在病程第8天出现心律失常,心率减慢,心电图示T波高尖,QRS波增宽,本例治疗下列哪项是绝对禁忌的()
A.葡萄糖酸钙
B.速尿
C.氯化钠
D.氯化钾
E.葡萄糖加胰岛素
93、单项选择题
如图所示,流行性出血热的病原体属于()

A.细菌
B.立克次体
C.病毒
D.螺旋体
E.衣原体
94、单项选择题
如图所示,流行性出血热早期出血的原因主要为()

A.类肝素物质增多
B.尿毒症致凝血功能异常
C.血管壁脆性增加及血小板减少
D.弥散性血管内凝血(DIC)
E.血管因子消耗缺乏
95、判断题 EHFV其基因RNA可分为L(大)、M(中)、S(小)3个片段,它们分别编码聚合酶膜蛋白和核衣壳蛋白。
96、配伍题 流行性出血热DIC低凝阶段多见于()重型流行性出血热最早在哪一期可发生DIC()
A.发热期
B.低血压期
C.少尿期
D.多尿期
E.恢复期
97、单项选择题 男,44岁,林业工人,因发热、腰痛6天,于元月6日就诊。查体:体温36℃,软腭有少许点状出血,血压120/70mmHg,肝右肋下0.5cm,血常规:WBC23.0×10/L,N0.65,L0.23,异型淋巴细胞0.12,最可能的诊断是()
A.钩体病
B.流行性出血热
C.败血症
D.伤寒
E.暴发型流脑
98、问答题
女,32岁,因畏寒发热,头痛,身痛3天,于2004年12月22日急症抬送入院。
患者于12月19日突起畏寒、发热,体温38.5~39.5℃,伴有全身疼痛,腰痛,当地医院按上感治疗,服用银翘解毒丸病情无好转,22日上厕所时昏倒1次,病后食量减少,卧床休息,大便稀水样,未见粘液,2~4次/天,伴脐周隐痛,无里急后重,小便量减少。
病前健康,当地有类似患者。
查体:体温38.5℃,脉搏98次/分,呼吸20次/分,血压60/50mmHg,急性病容,神清,球结合膜充血,颈软,腋下皮肤可见数个出血点,咽部充血,心律齐,98次/分,未闻及杂音,肺(-),腹软,肝脾未扪及,脐周轻压痛,克、布氏征(-),膝腱反射正常。
实验室检查:血常规:血红蛋白156g/L,白细胞12.0×109/L。,中性粒细胞0.80,淋巴细胞0.20,血小板70×109/L;尿常规:(++++)镜检正常;粪常规:黄稀镜检WBC0~1/HP。
问题:
99、单项选择题 有关流行性出血热低血压期血象变化,下列哪项是正确的()
A.白细胞总数减少
B.血小板增多
C.血红蛋白下降
D.中性粒细胞减少
E.出现异型淋巴细胞
100、问答题 简述流行性出血热透析疗法的指征。
101、单项选择题
男,58岁,干部,因发热7天,少尿1天于2003年12月22日入院。同年11月去江西高安出差,当地有类似发热病流行,12月中旬返南昌。体检:体温36.6℃,血压90/60mmHg,脉搏110次/分,呼吸28次/分,重病容,神志尚清,全身散在瘀斑,软腭针尖样出血点,两腋下搔抓样出血,球结膜水肿、充血,血象:WBC20.5×10/L,异形淋巴细胞30%,PLT89×10/L。尿蛋白+++,诊断应首先考虑()

A.败血症
B.伤寒
C.钩体病
D.急性肾盂肾炎
E.流行性出血热
102、配伍题 以呼吸道为入侵门户的传染病是()以消化道为入侵门户的传染病是()通过吸血节肢动物传播的传染病是()通过输血、血液制品传播的传染病是()
A.流行性脑脊髓膜炎
B.疟疾
C.丙型病毒性肝炎
D.伤寒
E.钩虫病
103、判断题 流行性出血热的并发症成人呼吸窘迫综合征是由于高血容量或心肌受损所引起,主要是肺泡内渗出。
104、填空题 流行性出血热发热期出现的“三红”体征指的是_________、__________、_________。
105、多项选择题 关于流行性出血热,下列哪些是正确的()
A.是一种RNA病毒引起的自然疫源性疾病
B.汉坦病毒对人体呈泛嗜性感染,能引起多器官损害
C.内毒素血症是休克的主要原因
D.本病的免疫病理损伤主要是Ⅰ型超敏反应所致
E.基本病变是全身毛细血管感染中毒性损伤
106、名词解释 Hantavirus
107、多项选择题 关于流行性出血热原发性休克的主要原因,下列哪些是错误的()
A.小血管通透性增加
B.内脏大出血
C.继发性细菌感染
D.水、电解质平衡失调
E.内毒素
108、问答题
女,32岁,因畏寒发热,头痛,身痛3天,于2004年12月22日急症抬送入院。
患者于12月19日突起畏寒、发热,体温38.5~39.5℃,伴有全身疼痛,腰痛,当地医院按上感治疗,服用银翘解毒丸病情无好转,22日上厕所时昏倒1次,病后食量减少,卧床休息,大便稀水样,未见粘液,2~4次/天,伴脐周隐痛,无里急后重,小便量减少。
病前健康,当地有类似患者。
查体:体温38.5℃,脉搏98次/分,呼吸20次/分,血压60/50mmHg,急性病容,神清,球结合膜充血,颈软,腋下皮肤可见数个出血点,咽部充血,心律齐,98次/分,未闻及杂音,肺(-),腹软,肝脾未扪及,脐周轻压痛,克、布氏征(-),膝腱反射正常。
实验室检查:血常规:血红蛋白156g/L,白细胞12.0×109/L。,中性粒细胞0.80,淋巴细胞0.20,血小板70×109/L;尿常规:(++++)镜检正常;粪常规:黄稀镜检WBC0~1/HP。
问题:
109、单项选择题
患者25岁,男性,农民,发热伴头痛、全身疼痛5天,尿少1天于11月18日来诊。查体体温39.6℃,脉搏125次/分,呼吸36次/分,血压75/45mmHg,上胸部皮肤可见皮下出血点,肺部听诊闻少许啰音。周围血液白细胞数为15.3×109/L,N0.83,L0.17,血小板为61.1×109/L,尿蛋白+++。
下列哪项措施不宜用于本病例的治疗()
A.用氨基糖甙类抗生素
B.用冰敷作物理降温
C.早期应用抗病毒治疗
D.适当静脉补充液体
E.速尿促进利尿
110、问答题 简述流行性出血热的治疗措施。
111、问答题
男,38岁,发热4天,无尿1天,于3月16日入院。患者于3月12日突起畏寒发热,体温38~39℃,伴头痛、全身不适,咽喉痛,经青霉素及退热药治疗,病情无好转,15日晨上厕所时昏倒,即送当地县医院,当时BP60/40mmHg,WBC19.0×109/L,N0.87,L0.13,拟诊为“败血症”,给予青霉素及卡那霉素并用升压药后血压回升,体温降至正常,但仍未解出小便,以“感染性休克”,“急性肾衰”转来我院治疗。
既往体健,当地有类似病患者。
查体:体温37.2℃,脉搏102次/分,呼吸22次/分,血压130/86mmHg,重病容,神志尚清,颈软,双结膜充血,胸前可见数个皮疹,压之不褪色,手臂及臀部注射处有多块成片瘀斑,双肺清晰,心率102次/分,律齐,腹部轻压痛,反跳痛,肝肋下1.0cm,质中等,脾未扪及,克、布氏征阴性。
实验室检查:
血常规:血红蛋白134g/L,白细胞26.0×109/L,中性粒细胞0.79,淋巴细胞0.15,异淋0.06;血小板50×109/L。
尿常规:蛋白(+++),红细胞(+),白细胞0~2/HP。
大便隐血试验:阳性。
112、问答题
男,38岁,发热4天,无尿1天,于3月16日入院。患者于3月12日突起畏寒发热,体温38~39℃,伴头痛、全身不适,咽喉痛,经青霉素及退热药治疗,病情无好转,15日晨上厕所时昏倒,即送当地县医院,当时BP60/40mmHg,WBC19.0×109/L,N0.87,L0.13,拟诊为“败血症”,给予青霉素及卡那霉素并用升压药后血压回升,体温降至正常,但仍未解出小便,以“感染性休克”,“急性肾衰”转来我院治疗。
既往体健,当地有类似病患者。
查体:体温37.2℃,脉搏102次/分,呼吸22次/分,血压130/86mmHg,重病容,神志尚清,颈软,双结膜充血,胸前可见数个皮疹,压之不褪色,手臂及臀部注射处有多块成片瘀斑,双肺清晰,心率102次/分,律齐,腹部轻压痛,反跳痛,肝肋下1.0cm,质中等,脾未扪及,克、布氏征阴性。
实验室检查:
血常规:血红蛋白134g/L,白细胞26.0×109/L,中性粒细胞0.79,淋巴细胞0.15,异淋0.06;血小板50×109/L。
尿常规:蛋白(+++),红细胞(+),白细胞0~2/HP。
大便隐血试验:阳性。
113、多项选择题 关于流行性出血热,下列哪些是错误的()
A.典型病例病程有5期经过
B.临床上以发热、低血压、出血和肾损害为特征
C.进入多尿期后氮质血症很快缓解
D.轻型病例可出现前3期重叠,重型病例可出现越期现象
E.热退后症状加重