时间:2021-10-22 04:53:32


1、填空题 钻头出现匿报后,其现象一般是钻速突然(),泵压()。
2、填空题 治疗囊尾蚴病首选_______________。
3、多项选择题 以下关于囊尾蚴病的治疗正确的是()
A.首选阿苯达唑
B.必须住院治疗
C.有痴呆、幻觉和性格改变的晚期患者尤其主张用吡喹酮治疗
D.颅内压增高者,须先降颅压治疗
E.眼囊尾蚴病禁止杀虫治疗
4、判断题 猪肉绦虫病与牛肉绦虫病首选吡喹酮治疗。
5、单项选择题 脑囊尾蚴病临床表现复杂多样,其中最常表现为()
A.脑水肿
B.脑积水
C.截瘫
D.癫痫
E.慢性脑膜炎
6、单项选择题 脑囊尾蚴病最常见的临床类型是()
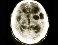
A.脑实质型
B.软脑膜型
C.脑室型
D.脊髓型
E.混合型
7、问答题
患者,女,42岁,农民,广西玉林人。因反复抽搐、晕厥、头痛3年,再发1天入院。
患者于3年前无明显诱因出现四肢抽搐,伴晕厥、轻度头痛,每次持续约数分钟后自行缓解。曾到过当地医院就诊,诊断为“原发性癫痫”,一直服用“大伦丁”治疗,效果欠佳。此后反复出现上述症状,间隔期长短不一。昨天下午再次出现上述症状,今为明确诊断转来本院治疗。起病以来,无精神行为异常,体重无明显减轻,大小便正常。
既往无高血压、心脏病、颅脑外伤史。起病前半年大便中曾排过“白色节片”。
查体:神志清,一般情况好,病人胸前、腰背部及四肢均可扪及多个黄豆至花生米大小的皮下结节,无压痛,无粘连。心肺听诊正常,腹平软,肝脾肋下未触及。神经系统检查无异常。
化验检查:外周血象:白细胞7.2×109/L,嗜中性粒细胞58%,嗜酸性粒细胞5%。腰穿:脑脊液压力20.64mmHg,白细胞、糖及氯化物均正常,蛋白轻度增高。脑电图检查示:广泛中度异常脑电图。
8、问答题 简述脑囊尾蚴病的临床表现。
9、问答题
患者,女,42岁,农民,广西玉林人。因反复抽搐、晕厥、头痛3年,再发1天入院。
患者于3年前无明显诱因出现四肢抽搐,伴晕厥、轻度头痛,每次持续约数分钟后自行缓解。曾到过当地医院就诊,诊断为“原发性癫痫”,一直服用“大伦丁”治疗,效果欠佳。此后反复出现上述症状,间隔期长短不一。昨天下午再次出现上述症状,今为明确诊断转来本院治疗。起病以来,无精神行为异常,体重无明显减轻,大小便正常。
既往无高血压、心脏病、颅脑外伤史。起病前半年大便中曾排过“白色节片”。
查体:神志清,一般情况好,病人胸前、腰背部及四肢均可扪及多个黄豆至花生米大小的皮下结节,无压痛,无粘连。心肺听诊正常,腹平软,肝脾肋下未触及。神经系统检查无异常。
化验检查:外周血象:白细胞7.2×109/L,嗜中性粒细胞58%,嗜酸性粒细胞5%。腰穿:脑脊液压力20.64mmHg,白细胞、糖及氯化物均正常,蛋白轻度增高。脑电图检查示:广泛中度异常脑电图。
10、单项选择题 猪肉绦虫病的传染源是()
A.鼠
B.猪
C.牛
D.患者
E.蚤类
11、配伍题 脑室型脑囊虫病()脊髓型脑囊虫病()脑实质型脑囊虫病()软脑膜型脑囊虫病()
A.表现为癫痫大发作
B.表现为活瓣综合征
C.表现为头痛、呕吐、颈强直、共济失调等症状
D.表现为截瘫、感觉障碍、大小便潴留
E.表现为视力减退
12、单项选择题 关于囊尾蚴病血象变化的叙述,正确的是()
A.嗜酸性粒细胞多增加
B.淋巴细胞计数增加
C.中性粒细胞总数增加
D.白细胞总数常增高
E.血象大多正常
13、单项选择题
患者,男性,43岁,农民,广东潮阳人。病人于8个月前无明显诱因出现轻度头痛,四肢抽搐、两眼上翻、意识不清,持续约1分钟后自行缓解。当时无发热。此后反复发作3次。曾在当地按“癫痫”治疗效果不好。体格检查:体温36.9℃,神志清,颈软,心肺听诊(-),肝脾肋下未触及,在头部及躯干可扪及多个皮下结节,椭圆形,大小为0.5~1cm,质韧,无压痛,无粘连。脑膜刺激征和病理反射(-)。颅脑MRI检查发现颅内多个直径<1cm的占位病变。
本病例的诊断首先考虑的是()
A.脑出血
B.脑脓肿
C.结核性脑膜炎
D.脑囊尾蚴病
E.脑肿瘤
14、单项选择题
如图所示,诊断绦虫病最有意义的检查是()

A.妊娠节片检查
B.粪便中找虫卵
C.血清免疫学检查
D.腹部B超检查
E.腹部CT检查
15、名词解释 葡萄状囊尾蚴
16、单项选择题 囊尾蚴最常寄生在()
A.眼
B.皮下组织
C.大脑皮质
D.脊髓
E.侧脑室
17、多项选择题
参考下图,猪囊尾蚴寄生于人脑部可引起脑囊尾蚴病。依据临床表现的不同,脑囊尾蚴病可以分为()

A.脑实质型
B.脑室型
C.软脑膜型
D.小脑型
E.脊髓型
18、名词解释 肠绦虫病
19、问答题 阿苯达唑治疗囊尾蚴病时可出现哪些严重副作用?
20、单项选择题
如图所示,人常因食用“米猪肉”而感染猪肉绦虫病,“米猪肉”其实是()

A.含活六钩蚴的猪肉
B.含绦虫虫卵的猪肉
C.含绦虫妊娠节片的猪肉
D.含活囊尾蚴的猪肉
E.含绦虫成虫的猪肉
21、填空题 脑实质型囊尾蚴病临床表现以最_____________为常见,约半数患者表现为_________。
22、配伍题 皮肌型囊尾蚴病()肠绦虫病()眼囊尾蚴病()脑囊尾蚴病癫痫频繁发作者()
A.首选喹诺酮治疗
B.首选吡喹酮治疗
C.首选阿苯达唑治疗
D.先进行降低颅内压治疗
E.必须手术治疗
23、判断题 猪肉绦虫病与牛肉绦虫病患者最初的症状为腹痛腹泻。
24、单项选择题
如图所示,囊尾蚴病的传染源是()

A.猪肉绦虫患者
B.牛肉绦虫患者
C.以上两者均可
D.猪
E.吸血节肢动物
25、单项选择题 关于囊尾蚴病治疗措施,错误的是()
A.均应住院治疗
B.皮肤型囊尾蚴病患者通常症状较轻,可院外治疗
C.颅内压增高者,应先进行降颅压治疗,再行病原学治疗
D.眼囊尾蚴病是病原学治疗的禁忌证
E.怀疑脑室孔堵塞者,应进行手术治疗
26、填空题 猪肉绦虫病与牛肉绦虫病惟一的传染源是__________。
27、单项选择题 关于脑实质型囊尾蚴病错误的是()
A.临床表现以癫痫最为常见
B.占脑囊尾蚴病的80%以上
C.弥散性脑实质受累者常引起颅内压增高或器质性精神病
D.癫痫发作频度高,1个月可发作数次
E.严重者可导致痴呆
28、问答题
患者,女,42岁,农民,广西玉林人。因反复抽搐、晕厥、头痛3年,再发1天入院。
患者于3年前无明显诱因出现四肢抽搐,伴晕厥、轻度头痛,每次持续约数分钟后自行缓解。曾到过当地医院就诊,诊断为“原发性癫痫”,一直服用“大伦丁”治疗,效果欠佳。此后反复出现上述症状,间隔期长短不一。昨天下午再次出现上述症状,今为明确诊断转来本院治疗。起病以来,无精神行为异常,体重无明显减轻,大小便正常。
既往无高血压、心脏病、颅脑外伤史。起病前半年大便中曾排过“白色节片”。
查体:神志清,一般情况好,病人胸前、腰背部及四肢均可扪及多个黄豆至花生米大小的皮下结节,无压痛,无粘连。心肺听诊正常,腹平软,肝脾肋下未触及。神经系统检查无异常。
化验检查:外周血象:白细胞7.2×109/L,嗜中性粒细胞58%,嗜酸性粒细胞5%。腰穿:脑脊液压力20.64mmHg,白细胞、糖及氯化物均正常,蛋白轻度增高。脑电图检查示:广泛中度异常脑电图。
29、单项选择题
猪肉和牛肉绦虫病通常症状较轻微,多数情况下,如图所示最初和惟一出现的症状是()

A.磨牙
B.失眠
C.腹泻
D.大便带血
E.粪便中出现节片
30、单项选择题 我国中东部地区最常见的绦虫感染是()
A.短膜壳绦虫病
B.牛肉绦虫病
C.猪肉绦虫病
D.长膜壳绦虫病
E.阔节裂头绦虫病
31、单项选择题
患者,男性,43岁,农民,广东潮阳人。病人于8个月前无明显诱因出现轻度头痛,四肢抽搐、两眼上翻、意识不清,持续约1分钟后自行缓解。当时无发热。此后反复发作3次。曾在当地按“癫痫”治疗效果不好。体格检查:体温36.9℃,神志清,颈软,心肺听诊(-),肝脾肋下未触及,在头部及躯干可扪及多个皮下结节,椭圆形,大小为0.5~1cm,质韧,无压痛,无粘连。脑膜刺激征和病理反射(-)。颅脑MRI检查发现颅内多个直径<1cm的占位病变。
下列哪项检查有助于明确本病的诊断()
A.脑电图检查
B.取皮下结节活体组织检查
C.脑脊液常规及细菌培养
D.脑血管造影
E.血细菌培养
32、填空题 囊尾蚴病的传播途径有_____________和________________。
33、多项选择题 感染人体的肠绦虫有多种,其中以人为终宿主的是()
A.短膜壳绦虫
B.长膜壳绦虫
C.猪肉绦虫
D.牛肉绦虫
E.阔节裂头绦虫
34、单项选择题
治疗图中所示的生物引起的囊尾蚴病的首选药物是()

A.呋喃唑酮
B.吡喹酮
C.阿苯达唑
D.甲硝唑
E.葡萄糖酸锑钠