时间:2021-06-15 01:54:21


1、单项选择题
如图所示,肠阿米巴病典型的病变是()

A.肠粘膜弥漫性充血、水肿、浅表溃疡与大量渗出物
B.肠粘膜水肿增厚散在浅表溃疡
C.弥漫性纤维蛋白渗出性炎症
D.粘膜广泛充血、水肿和溃疡,触之易出血
E.正常粘膜上散在的孤立而颜色较淡的小脓肿,破溃后形成边缘不整、口小底大的烧瓶样溃疡
2、填空题 溶组织阿米巴生活史包括_____、_____和_____;其中_____是其传播型。
3、单项选择题 下列能找到包囊的标本是()
A.阿米巴瘤
B.非痢疾样大便
C.痢疾样大便
D.阿米巴肝脓肿脓液
E.结肠镜检查时溃疡边缘部分活检
4、单项选择题
男,52岁,持续发热35天,体温37.5~39℃,伴右季肋部疼痛,食欲下降,出汗,体重减轻5kg,曾在卫生院注射青霉素,口服诺氟沙星10天,近日疼痛加重,查体:Hb12g/L,WBC12.0×109/L,N0.88。
住院当晚12时患者突感心前区剧痛,呼吸急促,烦躁不安,心率130次/分。患者病情突然加重原因可能性最大的是()
A.心肌梗死
B.感染性休克
C.阿米巴肝脓肿向胸腔穿破
D.阿米巴肝脓肿向腹腔穿破
E.阿米巴肝脓肿向心包穿破
5、单项选择题
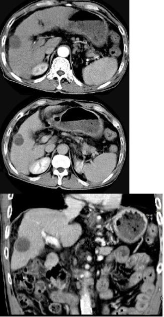
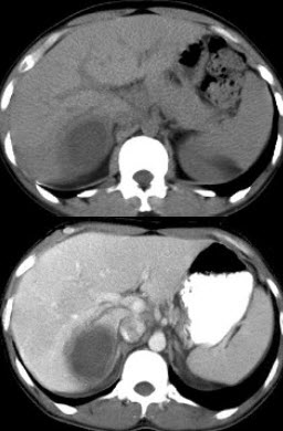
男,63岁,肝区疼痛不适一个月,皮肤巩膜无黄染,AFP高于正常,CT所见如图,最可能的诊断是()

A.肝血管瘤
B.肝转移瘤
C.阿米巴肝脓肿
D.不典型肝癌
E.胆管细胞癌
6、单项选择题
男,48岁,持续发热30天,体温37.6~39.2℃,伴右季肋部疼痛,纳差、盗汗,体重下降约8kg,曾在当地注射青霉素10天,服诺氟沙星10天,无明显好转,近日疼痛加剧,坐卧不安。
上述病例住院当天晚上突感心前区剧痛,呼吸困难,面色苍白,烦躁不安,发绀,心率134次/分。该病人病情加重的原因最可能是()
A.心肌梗死
B.感染性休克
C.阿米巴肝脓肿向腹腔穿破
D.阿米巴肝脓肿向肠腔穿破
E.阿米巴肝脓肿向心包穿破
7、单项选择题
男,56岁,持续发热,右季肋部胀痛1月,体温37~39℃,盗汗消瘦明显,5天前突然出现咳嗽,吐咖啡色痰,每天100~200ml,2天来咯痰渐停止,体温38.5℃,脉搏90次/分,慢性病容,皮肤、巩膜无黄染,右下胸稍隆起,局部有水肿,压痛明显,右下肺呼吸音减弱,可闻及细湿啰音,肝右肋下2cm,质中等,明显触痛,血象:Hb112g/L,WBC13.2×109/L,N0.78,L0.22,胸透:右膈抬高,活动受限,右侧胸腔积液。
最可能的诊断为()
A.结核性胸膜炎
B.支气管扩张并感染
C.肝癌肺部转移
D.细菌性肝脓肿并向胸腔肺穿破
E.阿米巴肝脓肿并胸膜-肺-支气管瘘
8、填空题 阿米巴肝脓肿穿破并发症中向_____和_____穿破为多见,也可向腹腔穿破,向_____穿破是阿米巴肝脓肿的严重并发症。
9、填空题 肠阿米巴肠道并发症有_____、____、阑尾炎和结肠病变等。
10、单项选择题 阿米巴肝脓肿穿刺抽脓时所抽脓液量要求()
A.不超过500ml
B.不超过1000ml
C.不超过2000ml
D.抽取送检的量即可
E.尽可能抽出所有脓液
11、问答题
男,32岁,已婚,因畏寒发热半月,于2005年9月8日入院。
半月前因“感冒”后,开始出现畏寒,发热,但无寒战,发热不规则,每日体温波动在37~39℃之间,偶有少量出汗,伴有右下胸疼痛,曾用青霉素加氨苄青霉素治疗,但无缓解。病后食欲减退,日益消瘦,大便稀,1~2/天,小便正常。
既往体健,否认胃病,肝炎、肺结核病史。
查体:体温38.5℃,脉搏90次/分,呼吸22次/分,血压105/75mmHg,发育正常,营养差,重病容,消瘦,皮肤无失水及皮疹。巩膜无黄染,五官无特殊,颈软,胸部对称,心界不大,心音规则,无杂音。肺清晰,腹平软。肝于右肋下3cm,剑突下5cm,质地中等,有明显压痛,肝区有叩击痛,右肋间隙无水肿或压痛,脾未扪及,移动性浊音阴性,脊柱四肢无特殊。
血常规:血色素132g/L,白细胞17.3×109/L,中性粒细胞0.70,淋巴细胞0.14,嗜酸性粒细胞0.16。尿常规:正常。粪常规:黄稀,镜检:白细胞O~2/HP。胸部透视:心肺正常:膈肌升高,运动受限。肝功能检查:正常。
12、问答题
男,48岁,农民,因慢性腹泻10年,不规则发热及右上腹痛3个月,咳棕色痰10天,于2004年8月15日入院。
病人于10年前开始腹泻,每隔1~3月发作1次,每次历时10余天,发作时每天大便数次,带血粘液,其中血液多,呈暗红色或鲜红色,无发热、腹痛及里急后重,前几年服“氯霉素”、“土霉素”可缓解,近几年来发作频繁,服上药无效,近3个月来有不规则畏寒、发热(未测体温)、盗汗,并有右上腹痛,呈持续性,不放射。1个月来双下肢水肿。近10年来咳棕色痰,约300ml,大便2~4次/d,有血便,无里急后重,食欲差,消瘦明显,卧床不起,在当地诊断为“胸膜炎,包裹性胸腔积液,肝癌”而转来我院。
既往体健,无肝炎、结核史,无血吸虫疫水接触史。
体格检查:T38℃,P110次/分,R20次/分,BP98/60mmHg,慢性消耗病容,面色苍白,神清,无黄疸,淋巴结不大,颈软,右侧下胸部肋间隙饱满,凹陷性水肿,有明显压痛点,叩诊右第4肋以下为实音,右下肺呼吸音低,未闻啰音,心率110次/分,无杂音,腹稍胀,肝在肋下3cm,质较硬,无结节感,有压痛及明显叩痛,无腹水征,肠鸣音正常,双下肢凹陷性水肿,无病理征。
实验室检查:血常规示Hb60g/L,WBC14×109/L,N0.80,L0.20;久放的大便检查为稀便带粘液血,镜检示RBC(++),WBC0~9个/HP,未见阿米巴原虫。
13、单项选择题 男,52岁,农民,腹泻18天,大便6~8次/天,呈暗红色糊状,量多,有腥臭味,无明显发热及里急后重,当地给予诺氟沙星治疗7天,无明显好转。大便常规:暗红色,含血及粘液,WBC(+)/HP,RBC(+)/HP,发现夏一雷结晶。下列哪项处理较为妥当()
A.灭滴灵
B.灭滴灵+喹碘仿
C.依米丁
D.依米丁+喹碘仿
E.喹碘仿
14、问答题
如何鉴别细菌性痢疾与阿米巴痢疾?
15、单项选择题 肝阿米巴病的临床表现与脓肿的位置有关,左叶肝脓肿常表现为()
A.肩部放射痛
B.腰痛
C.肾周围脓肿
D.胆囊绞痛
E.类似溃疡病症状
16、单项选择题
男,60岁,持续发热,右季肋部胀痛1个月,体温37~39℃,盗汗、消瘦明显,2天前突起咳嗽,咳咖啡色痰,200ml/d。体格检查:T38.5℃。P90次/分;慢性重病容,皮肤巩膜无黄染;右下胸隆起,局部有水肿,压痛明显;右下肺呼吸音减弱,可闻及湿啰音;肝肋下3cm,质地中等;脾未扪及。血常规:Hb102g/L,WBC10×109/L,N0.75,L0.25。胸片:右膈升高,活动受限,右侧胸腔可见积液。该病人最可能的诊断是()
A.肝癌肺转移
B.细菌性肝脓肿,向胸腔、肺穿破
C.阿米巴肝脓肿,向胸腔、肺穿破
D.阿米巴肺脓肿
E.结核性胸膜炎
17、问答题
男,32岁,已婚,因畏寒发热半月,于2005年9月8日入院。
半月前因“感冒”后,开始出现畏寒,发热,但无寒战,发热不规则,每日体温波动在37~39℃之间,偶有少量出汗,伴有右下胸疼痛,曾用青霉素加氨苄青霉素治疗,但无缓解。病后食欲减退,日益消瘦,大便稀,1~2/天,小便正常。
既往体健,否认胃病,肝炎、肺结核病史。
查体:体温38.5℃,脉搏90次/分,呼吸22次/分,血压105/75mmHg,发育正常,营养差,重病容,消瘦,皮肤无失水及皮疹。巩膜无黄染,五官无特殊,颈软,胸部对称,心界不大,心音规则,无杂音。肺清晰,腹平软。肝于右肋下3cm,剑突下5cm,质地中等,有明显压痛,肝区有叩击痛,右肋间隙无水肿或压痛,脾未扪及,移动性浊音阴性,脊柱四肢无特殊。
血常规:血色素132g/L,白细胞17.3×109/L,中性粒细胞0.70,淋巴细胞0.14,嗜酸性粒细胞0.16。尿常规:正常。粪常规:黄稀,镜检:白细胞O~2/HP。胸部透视:心肺正常:膈肌升高,运动受限。肝功能检查:正常。
18、单项选择题
如图所示,下列关于肠阿米巴病的说法错误的是()

A.溶组织内阿米巴的生活史有滋养体和包囊两个期
B.主要传染源为粪便中持续排出包囊的人群
C.经口感染是主要的传染途径
D.主要病变部位在近端结肠和盲肠
E.滋养体是溶组织内阿米巴的感染型
19、单项选择题 对某食品制售人员进行便培养,发现其为带菌者后,暂时将其调离原工作岗位,需达到下述哪项指标方可恢复工作()
A.完全痊愈后
B.血象恢复正常
C.血清抗体检测阳性
D.大便性状正常
E.纤维肠镜检查正常
20、单项选择题
男,41岁,发热、右季肋部疼痛十余天,请根据CT图像,选择最可能的诊断()
A.肝癌
B.阿米巴肝脓肿
C.肝结核
D.肝囊肿
E.肝包虫病
21、单项选择题 关于阿米巴痢疾的临床表现,下列错误的是()
A.无症状型为感染后最多的一型
B.肠阿米巴病的确诊依赖粪便中找到病原体
C.暴发型抢救不及时,可于2周内因毒血症或并发症而死亡
D.慢性型久病者常伴有贫血、消瘦、肝肿大及神经衰弱等
E.肠外并发症的发生与病变的轻重有关
22、判断题 肠阿米巴病的病变在结肠,依次多见于盲肠、升结肠、直肠、乙状结肠、阑尾和回肠末端。
23、问答题
细菌性肝脓肿与阿米巴肝脓肿如何鉴别?
24、单项选择题 暴发型肠阿米巴病发生的直接原因是()
A.感染原虫的数量多
B.机体免疫功能低下
C.机体对原虫过敏反应
D.虫株毒力强
E.继发细菌感染,粘膜发生广泛急性炎症改变
25、单项选择题 关于阿米巴痢疾的病理特点,下列错误的是()
A.滋养体侵入粘膜下层,形成粘膜下脓肿
B.结肠粘膜下可见散在的、深切的、大小不等的溃疡
C.慢性病例结肠粘膜可呈弥漫性浅表性溃疡
D.临床表现与并发症的发生率和肠道病变的严重程度不一定成平衡关系
E.滋养体侵袭结肠组织,先粘附于结肠上皮,借其溶解性的破坏作用,使上皮细胞溶解
26、单项选择题 肠阿米巴病最常见的重要并发症是()
A.肠出血
B.肠穿孔
C.阿米巴肝脓肿
D.结肠肉芽肿
E.阑尾炎
27、单项选择题 一患者慢性腹泻1年,腹泻便秘时常交替出现,大便曾查出溶组织阿米巴包囊,可能引起的并发症是()
A.肾功能不全
B.阑尾炎及肝脓肿
C.关节炎
D.脑膜炎
E.循环衰竭
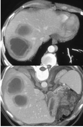
28、单项选择题
如图所示,溶组织内阿米巴原虫侵入肝脏最主要的途径是()

A.穿透结肠壁直接入肝
B.经胆道逆行入肝
C.经门静脉入肝
D.经肝静脉入肝
E.经局部淋巴管入肝
29、单项选择题
男,48岁,持续发热30天,体温37.6~39.2℃,伴右季肋部疼痛,纳差、盗汗,体重下降约8kg,曾在当地注射青霉素10天,服诺氟沙星10天,无明显好转,近日疼痛加剧,坐卧不安。
该病人发热原因可能性最小的是()
A.原发性肝癌
B.阿米巴肝脓肿
C.细菌性肝脓肿
D.伤寒
E.结核
30、单项选择题
男,52岁,持续发热35天,体温37.5~39℃,伴右季肋部疼痛,食欲下降,出汗,体重减轻5kg,曾在卫生院注射青霉素,口服诺氟沙星10天,近日疼痛加重,查体:Hb12g/L,WBC12.0×109/L,N0.88。
此患者发热属哪种疾病的可能性最小()
A.原发性肝癌
B.细菌性肝脓肿
C.阿米巴肝脓肿
D.伤寒
E.结核
31、单项选择题 肠阿米巴病最常见的病变部位是()
A.盲肠、升结肠
B.乙状结肠、空肠
C.空肠、回肠
D.盲肠、回肠
E.直肠、乙状结肠
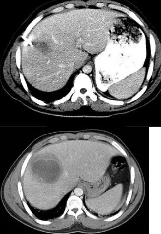
32、单项选择题
关于图中所示的阿米巴肝脓肿,下列说法错误的是()

A.80%阿米巴肝脓肿见于肝右叶
B.约10%肝脓肿位于左叶
C.脓肿多为单个,亦可以多个
D.脓液中除细胞,脂肪及夏科-雷登结晶外可见阿米巴滋养体
E.慢性脓肿,脓液中发现滋养体机会少,但可发现包囊
33、单项选择题 关于阿米巴肝脓肿和细菌性肝脓肿的鉴别诊断,最重要的指标是()
A.起病缓急
B.脓液的颜色
C.毒血症状轻重
D.脓肿的个数和大小
E.局部症状的轻重
34、名词解释 阿米巴肝脓肿
35、单项选择题 关于阿米巴原虫,下列错误的是()
A.小滋养体在肠腔内寄生,对外界抵抗力强,具有感染性
B.大滋养体有致病力,为组织致病型
C.包囊对外界抵抗力较强,具有感染性
D.溶组织内阿米巴有致病株与非致病株二类
E.生活史有二期
36、名词解释 溶组织内阿米巴包囊
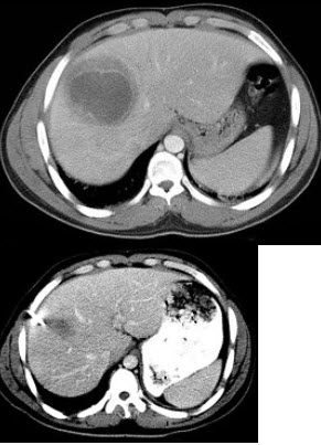
37、单项选择题
如图所示的肝阿米巴病的病理解剖,下列说法错误的是()

A.肝脓肿通常为单个大脓肿
B.肝脓肿大多位于肝右叶顶部
C.肝脓肿中央为坏死呈巧克力色
D.肝脓肿有薄壁
E.肝脓肿壁上一般会附着包囊
38、单项选择题 阿米巴肝脓肿手术治疗的适应证应除外()
A.穿破腹腔或邻近内脏、引流不畅者
B.右叶巨大肝脓肿、有穿破危险者
C.左叶肝脓肿、穿刺危险性较大者
D.经抗阿米巴药物治疗及穿刺引流失败者
E.多发脓肿、穿刺引流失败,或继发感染、药物不能控制者
39、单项选择题 阿米巴肝脓肿继发细菌感染时,脓液颜色的变化是()
A.由黄色变为黄褐色
B.由黄色变为黄绿色
C.由黄绿色变为巧克力色
D.由巧克力色变为深红色
E.由巧克力色变为黄绿色
40、多项选择题 符合阿米巴痢疾粪便检查的是()
A.粪便呈暗红色果酱状,腥臭、粪质多,含血及粘液
B.镜检见大量聚团状红细胞,少量白细胞和夏科-莱登结晶
C.检到伸展伪足活动,吞噬红细胞的阿米滋养体具有确诊意义
D.慢性病人的成形粪便可直接涂片查找包囊
E.粪便标本必须新鲜,无尿液混杂,保温保鲜,可提高滋养体检出率
41、单项选择题 肝阿米巴病各种穿破性并发症,最多见的是发生于()
A.肾脏
B.胃肠
C.腹腔
D.心包
E.胸腔和肺
42、单项选择题 阿米巴肝脓肿的发病机制,下列不正确的是()
A.阿米巴大滋养体能通过肠壁直接侵入肝脏
B.脓肿病人既往一定患过急性阿米巴痢疾
C.大滋养体可通过淋巴系统到达肝脏肝
D.肠腔中大滋养体可借其侵力从门静脉系统进入肝脏
E.抵达肝内的阿米巴原虫大多数被消灭,仅少数可存活并在肝脏繁殖
43、单项选择题 肝阿米巴病各种穿破性并发症,最危险的是发生于()
A.肾脏
B.心包
C.腹腔
D.胸腔和肺
E.胃、十二指肠
44、单项选择题 经阴道扫查,最早妊娠几周可显示妊娠囊结构()
A.3周
B.4周
C.5周
D.6周
E.7周
45、判断题 米巴阑尾炎症状与一般阑尾炎症状相似,但一般难以发生穿孔或形成溃疡。
46、单项选择题 肠阿米巴病最常见的肠外并发症是()
A.肺脓肿
B.肝脓肿
C.脑脓肿
D.心包积液
E.胸腔积液
47、多项选择题 关于阿米巴原虫,下列哪些是正确的()
A.小滋养体在肠腔内寄生对外界抵抗力强,具有感染性
B.大滋养体有致病力,为组织致病型
C.包囊对外界抵抗力较差,不具有感染性
D.溶组织内阿米巴有致病株与非致病株2类
E.生活史有3期
48、单项选择题 关于肝阿米巴病穿刺引流,正确的是()
A.应于确诊后立即进行
B.应于抗阿米巴药治疗2~4天后进行
C.应一次大量彻底引流,无须重复引流
D.对于有穿破可能的病人,应仔细检查,避免穿刺
E.直径<1cm且位置较深的脓肿应手术切除
49、问答题
男,48岁,农民,持续发热,右上腹疼痛20天,于2002年7月10日入院。病人于6月21日无明显诱因出现发热,服退热药无明显作用,体温持续在37~39℃,晚上出汗后热退。一周后住当地卫生院,给予青霉素、庆大霉素治疗,仍无明显好转,并出现右上腹疼痛,近日出现咳嗽、咳脓痰而转本院。病人食欲较差,大小便正常,体重明显减轻。
既往体健,否认血吸虫疫水接触史,有腹泻史。
体格检查:T37.7℃,P92次/分,BP100/70mmHg。发育正常,营养不良,慢性病容,贫血貌,神清合作。全身皮肤巩膜无黄染、出血点,睑结膜无充血,胸廓对称,右下胸无局限性隆起,肋间皮肤无水肿,右下胸语颤减弱,右腋前线第7肋间明显压痛,右下肺背部叩呈浊音,呼吸音消失,右下胸可闻及少许细湿啰音;左肺(-),心界不大,腹平软,肝右肋下3cm,质中,有触痛,脾(-);肝上界在右锁骨中线第4肋间,肝区叩痛(+),双下肢无水肿。
实验室检查:血常规示Hb94g/L,WBC13.9×109/L,N0.80.L0.20;大便常规(-),尿常规(-)。
50、名词解释 溶组织内阿米巴滋养体
51、配伍题 对阿米巴肝脓肿有效,对肠阿米巴病无效()对组织内滋养体有直接杀灭作用,但毒性较大()对肠内阿米巴包囊有作用()对肠内外阿米巴滋养体均有杀灭作用()
A.灭滴灵
B.氯喹
C.依米丁
D.喹碘仿
E.卡巴胂
52、多项选择题 用氯喹治疗阿米巴病,下列正确的是()
A.用于无症状带包囊者
B.对组织内阿米巴滋养体效果好,对肠腔阿米巴效果不显著
C.对阿米巴滋养体有较强的杀灭作用,适用于各型阿米巴病
D.肝内药物浓度较血浆中高数百倍,可用于肝阿米巴病
E.对肠内和组织内阿米巴滋养体均有杀灭作用
53、单项选择题 男,35岁,腹泻20天,大便5~8次/日,呈暗红糊状,有腥臭味,伴右下腹隐痛,无明显发热及里急后重感,在当地予“氟哌酸”治疗7天,无明显好转。大便常规:WBC(+)/HP,RBC(+++)/HP,发现夏科-莱登结晶。下列哪项处理较为妥当()
A.灭滴灵
B.喹碘方
C.依米丁+灭滴灵
D.依米丁+喹碘方
E.灭滴灵+喹碘方
54、单项选择题 下列各项中不是肠阿米巴病并发症的是()
A.肠出血
B.肠穿孔
C.阑尾炎
D.结肠癌
E.结肠肉芽肿
55、名词解释 夏科-莱登结晶
56、单项选择题
下列图像的最佳诊断是()

A.阿米巴肝脓肿
B.原发性肝癌
C.肝硬化
D.脂肪肝
E.肝囊肿
57、多项选择题 关于某些传染病的主要病变部位,正确的是()
A.血吸虫的主要病变部位是直肠、乙状结肠和降结肠
B.溶组织内阿米巴的主要病变部位是盲肠、升结肠
C.细菌性痢疾的主要病变部位是直肠、乙状结肠
D.伤寒的主要病变部位是回盲部
E.霍乱的主要病变部位是小肠
58、问答题
男,35岁,因反复腹泻,血性粘液便1年多,于2004年10月28日入院。
1年前开始腹泻,初为稀便带少量粘液,日数次,伴轻度里急后重及下腹隐痛,以后渐显红色血粘液稀便,每次量不多,曾间歇服用过“氯霉素”,“诺氟沙星”等药物,症状有时可以缓解,但仍间断腹泻血性粘液便,病后无畏寒、发热。体重减轻3kg,易疲乏。
既往史:生长于农村,否认其他传染病史。家中及同事中无类似患者。
查体:慢性病容,消瘦,贫血貌,心肺无异常,腹平软,未见肠型,左下腹轻压痛未扪及包块,肝在右肋缘下1cm,质中等,无触痛,脾(-),肠鸣音无特殊。
血常规:血色素94g/L,白细胞7.0×109/L,中性粒细胞0.72,淋巴细胞0.28。粪检:血性粘液便,镜检:红细胞(++),白细胞(+),脓球5~7/HP,可见夏-雷结晶,未见阿米巴原虫,粪细菌培养2次均阴性。经用抗生素系统治疗疗效均不显著。
59、单项选择题 急性阿米巴病治疗时,为防止复发常需加用()
A.干扰素
B.肠内杀包囊药
C.调节肠道菌群药物
D.组织内杀阿米巴药
E.喹诺酮类药物
60、问答题 我国的职业培训法规要求是什么?
61、问答题
男性,35岁,农民。因发热半月,肝区疼痛10天而入院。
患者于半月前着凉开始发热,稍感发冷,在当地卫生院就诊,按“上感”治疗,但症状不见好转,近10天来肝区疼痛明显,并逐渐加重而来院检查。患者于2月前曾患“痢疾”。
体检:T39℃,BP120/80mmHg,慢性病容,发育中等,营养稍差,神志清醒。巩膜无明显黄染,咽部无红肿,心肺未发现异常,腹部稍胀,肝脏在右侧肋缘下3cm,中等硬度,右侧有明显的局限性压痛,肝区有明显叩击痛,脾脏未能触及。
血常规检查:白细胞数9.8×109/L,分类:多核细胞74%,嗜酸粒细胞2%,淋巴细胞24%,红细胞沉降率30mm/1h。肝功能:ALT80U/L。
入院后第2天行肝脓肿穿刺,抽出巧克力色脓液80ml,镜检找到溶组织内阿米巴滋养体。患者于确诊后开始接受甲硝唑治疗,每日3次,每次0.8g,连服10天为一疗程。服药后第3天患者体温恢复正常,肝区疼痛明显减轻。
62、单项选择题
男,56岁,持续发热,右季肋部胀痛1月,体温37~39℃,盗汗消瘦明显,5天前突然出现咳嗽,吐咖啡色痰,每天100~200ml,2天来咯痰渐停止,体温38.5℃,脉搏90次/分,慢性病容,皮肤、巩膜无黄染,右下胸稍隆起,局部有水肿,压痛明显,右下肺呼吸音减弱,可闻及细湿啰音,肝右肋下2cm,质中等,明显触痛,血象:Hb112g/L,WBC13.2×109/L,N0.78,L0.22,胸透:右膈抬高,活动受限,右侧胸腔积液。
确诊最重要的方法是()
A.CT扫描
B.B超检查
C.肝穿刺抽脓
D.抗阿米巴诊断性治疗
E.阿米巴血清学检查
63、填空题 阿米巴肝脓肿外科手术引流指征:___________和__________。
64、单项选择题 下列不属于非典型肠阿米巴病的表现的是()
A.阿米巴肠炎
B.阿米巴瘤
C.阿米巴性阑尾炎
D.暴发性结肠炎
E.轻型肠阿米巴病
65、多项选择题 关于阿米巴痢疾的临床表现正确的是()
A.潜伏期一般为3周
B.典型肠阿米巴病(普通型)凭临床表现便可诊断
C.重型病例肠道症状重而全身症状轻
D.慢性型久病者常伴有贫血、消瘦及神经衰弱等
E.肠外并发症的发生与病变的轻重有关
66、单项选择题 关于肠阿米巴病的溃疡病变,下列不符合的是()
A.弥散分布
B.溃疡间粘膜正常
C.呈口小底宽的烧瓶样
D.溃疡边缘部分涂片及活检可发现包囊
E.见于约2/3的有症状病例
67、单项选择题 关于阿米巴肝脓肿,下列错误的是()
A.早期发热,以间歇热及弛张热居多
B.易发生黄疸,转氨酶多明显升高
C.局部症状明显,肝区疼痛、叩痛,局部水肿
D.临床多为单个脓肿,80%位于右叶
E.脓液呈棕褐色,镜检白细胞不多,可发现阿米巴滋养体
68、单项选择题 阿米巴病组织损伤主要是由什么引起的()
A.继发感染
B.迟发型变态反应
C.溶组织内阿米巴释放的毒素
D.溶组织内阿米巴的机械性损伤
E.溶组织内阿米巴的接触性溶解细胞作用及水解酶使组织破坏
69、单项选择题
图中所示的阿米巴肝脓肿脓液中可发现下列各种成分,除外()

A.红细胞
B.白细胞
C.阿米巴滋养体
D.阿米巴包囊
E.夏科-莱登晶体
70、多项选择题 关于阿米巴病,下列描述正确的是()
A.阿米巴病可分为肠阿米巴病和肠外阿米巴病
B.临床症状以腹痛、腹泻、脓血便为主
C.囊前期为其过渡型
D.肝阿米巴病的常见并发症为肠穿孔和肠出血
E.肠阿米巴病的治疗包括一般性治疗、病原性治疗和并发症的治疗
71、多项选择题 阿米巴肝脓肿外科手术引流的指征是()
A.脓肿有可能破溃
B.内科治疗疗效欠佳
C.脓肿穿破引起化脓性腹膜炎
D.脓肿靠近体表且体积较大
E.一经确诊为肝阿米巴脓肿,均应立即手术治疗
72、配伍题 发热、肝痛、阿米巴血清学检查阴性()肝穿刺获典型棕褐色脓液,发现阿米巴滋养体()无腹泻,大便发现溶组织内阿米巴包囊()间歇性腹泻半年,大便发现溶组织内阿米巴滋养体和包囊()
A.确诊阿米巴肝病
B.排除阿米巴肝病
C.阿米巴原虫携带
D.肠阿米巴病普通型
E.肠阿米巴病慢性型
73、单项选择题
男,48岁,持续发热30天,体温37.6~39.2℃,伴右季肋部疼痛,纳差、盗汗,体重下降约8kg,曾在当地注射青霉素10天,服诺氟沙星10天,无明显好转,近日疼痛加剧,坐卧不安。
上述病例经治疗后,病情好转。关于该病人的病原治疗,可交替应用下列药物,除外()
A.灭滴灵
B.吐根碱
C.氯喹
D.喹碘方
E.伯氨喹啉
74、多项选择题 肝内阿米巴病常见的并发症有()
A.腹膜炎
B.肝硬化
C.心脏压塞
D.肝-肺-支气管瘘
E.继发细菌感染
75、单项选择题 阿米巴接触性杀伤机制不包括()
A.变形、活动
B.粘附、吞噬
C.细胞毒作用
D.趋化
E.酶溶解
76、填空题 阿米巴病可分为_____和_____。
77、单项选择题
男,48岁,持续发热30天,体温37.6~39.2℃,伴右季肋部疼痛,纳差、盗汗,体重下降约8kg,曾在当地注射青霉素10天,服诺氟沙星10天,无明显好转,近日疼痛加剧,坐卧不安。
上述病例经给氧、镇静、静脉输液等处理,呼吸困难进行性加重,血压下降,此时最重要的处理是()
A.肝穿刺抽脓
B.手术治疗
C.抗阿米巴治疗
D.抗菌治疗
E.血管活性药
78、单项选择题 男,28岁,持续发热、右下胸胀痛1个月,体温37~39℃,盗汗、消瘦,2天前突起咳嗽,吐咖啡色痰200ml/天,查体:体温38.5℃,脉搏92/分,皮肤巩膜无黄染,右下胸隆起,局部有水肿,压痛明显,右下肺呼吸音减弱,可闻湿啰音,肝肋下3cm,质地中等,有触痛,脾未及。血象:Hb110g/L,N0.75,L0.25。X线检查:右膈升高,活动受限,右侧胸腔有积液。最可能的诊断是()
A.肝癌,肺部转移
B.阿米巴肺脓肿
C.阿米巴肝脓肿,向胸腔、肺穿破
D.细菌性肝脓肿,向胸腔、肺穿破
E.结核性胸膜炎
79、单项选择题 男,29岁,发热36d,体温37~38℃,伴右上腹疼痛,盗汗,消瘦明显。查体:右下肺呼吸音减弱,局部皮肤水肿,肝肋下3cm,有压痛及叩痛。血象:Hb100g/L,WBC12×10/L,N0.80,L0.20。3年前有慢性腹泻史。最可能的诊断是()
A.阿米巴肝脓肿
B.细菌性肝脓肿
C.肺脓肿
D.肝癌
E.肺结核
80、多项选择题 对于肠内和组织内阿米巴均有杀伤作用的药物是()
A.依米丁
B.氯喹
C.替硝唑
D.甲硝唑
E.二氯尼特
81、多项选择题 肠阿米巴的发病机制为()
A.机械性操作与吞噬作用
B.接触溶解作用
C.细胞毒素作用
D.细菌作用
E.免疫抑制与逃避
82、单项选择题 引起肠阿米巴病出现腹痛、腹泻的病原是()
A.溶组织内阿米巴大滋养体
B.溶组织内阿米巴小滋养体
C.溶组织阿米巴包囊
D.结肠阿米巴包囊
E.结肠阿米巴滋养体
83、配伍题 溶组织内阿米巴的致病型()溶组织内阿米巴的感染型()
A.大滋养体
B.小滋养体
C.包囊
D.裂殖体
E.配子体
84、单项选择题 男,25岁,持续发热、右上腹痛18天。B超检查发现肝内一直径3~5cm的脓肿,疑阿米巴脓肿,予甲硝唑治疗,7天后体温正常;10天后复查B超,脓肿缩小。对于病因诊断最有意义的是()
A.x线检查
B.肝脏扫描显影
C.AFP检查
D.血培养
E.血清学方法检查阿米巴抗体
85、问答题 阿米巴肝脓肿的临床表现有哪些?
86、填空题 阿米巴肝脓肿抗阿米巴药物治疗可选用_____、_____和_____。
87、单项选择题 阿米巴肝脓肿的主要临床表现是()
A.发热,黄疸,肝痛
B.发热,贫血,肝肿大
C.贫血,黄疸,肝肿大
D.发热,肝肿大,肝区疼痛
E.发热,黄疸,肝肿大
88、单项选择题
男,52岁,持续发热35天,体温37.5~39℃,伴右季肋部疼痛,食欲下降,出汗,体重减轻5kg,曾在卫生院注射青霉素,口服诺氟沙星10天,近日疼痛加重,查体:Hb12g/L,WBC12.0×109/L,N0.88。
为明确诊断,应重点询问的病史是()
A.烟酒嗜好和不洁饮食史
B.血吸虫疫水接触史
C.慢性咳嗽史
D.慢性腹泻史
E.慢性肝病史
89、单项选择题 肝阿米巴病临床表现以下列哪项为主()
A.腹痛、腹泻
B.呕吐
C.排脓血便
D.消瘦、食欲不振
E.发热、肝区疼痛、肝脏肿大并有压痛
90、单项选择题
下列图像最佳诊断是什么()

A.阿米巴肝脓肿
B.原发性肝癌
C.肝转移瘤
D.肝硬化
E.脂肪肝
91、单项选择题
男,36岁,持续高热25天,伴畏寒,出汗,腹泻2~3/天,查体:慢性病容,贫血貌,消瘦明显,肝于肋下3cm,质地中等有压痛,脾未及,血白细胞16×109/L,中性粒细胞0.72,淋巴细胞0.28,胸透:右膈升高,右肋膈角少量积液,肝功能:ALT40U/L,血清总胆红素18.7μmol/L,AFP25μg/ml,应考虑为()
A.急性无黄疸型肝炎
B.原发性肝癌
C.败血症
D.结核性胸膜炎
E.阿米巴肝脓肿
92、问答题
男,35岁,因反复腹泻,血性粘液便1年多,于2004年10月28日入院。
1年前开始腹泻,初为稀便带少量粘液,日数次,伴轻度里急后重及下腹隐痛,以后渐显红色血粘液稀便,每次量不多,曾间歇服用过“氯霉素”,“诺氟沙星”等药物,症状有时可以缓解,但仍间断腹泻血性粘液便,病后无畏寒、发热。体重减轻3kg,易疲乏。
既往史:生长于农村,否认其他传染病史。家中及同事中无类似患者。
查体:慢性病容,消瘦,贫血貌,心肺无异常,腹平软,未见肠型,左下腹轻压痛未扪及包块,肝在右肋缘下1cm,质中等,无触痛,脾(-),肠鸣音无特殊。
血常规:血色素94g/L,白细胞7.0×109/L,中性粒细胞0.72,淋巴细胞0.28。粪检:血性粘液便,镜检:红细胞(++),白细胞(+),脓球5~7/HP,可见夏-雷结晶,未见阿米巴原虫,粪细菌培养2次均阴性。经用抗生素系统治疗疗效均不显著。
93、单项选择题
男,52岁,持续发热35天,体温37.5~39℃,伴右季肋部疼痛,食欲下降,出汗,体重减轻5kg,曾在卫生院注射青霉素,口服诺氟沙星10天,近日疼痛加重,查体:Hb12g/L,WBC12.0×109/L,N0.88。
此时首选的处理方式是()
A.手术治疗
B.扩容治疗
C.抗菌治疗
D.抗阿米巴治疗
E.肝穿刺抽脓
94、单项选择题 治疗急性肠阿米巴患者,首选药物是()
A.二氯散糠酸脂
B.甲硝唑
C.双碘羟基喹啉
D.巴龙霉素
E.诺氟沙星
95、问答题 阿米巴肝脓肿与原发性肝癌如何鉴别?
96、单项选择题 下列说法与阿米巴痢疾粪便性状相符的是()
A.暗红色果酱样便,腥臭味
B.便后滴鲜血,血与便不混合
C.大量黄绿色稀水样便有膜状物
D.米泔水样便
E.粘液血便
97、单项选择题 男,35岁,间歇性腹泻脓血便2年,乙状结肠镜插入13cm处见到3~5mm大小边缘不整的溃疡多处,较深,溃疡面覆盖灰白色苔状物,溃疡间粘膜正常,下列哪种诊断的可能性最大()
A.慢性细菌性痢疾
B.慢性阿米巴痢疾
C.慢性非特异性溃疡性结肠炎
D.血吸虫病
E.结肠癌
98、单项选择题
女,25岁,上腹疼痛不适,低热,有阿米巴痢疾病史,CT检查发现肝右叶低密度病变,如图,最可能的诊断是()

A.原发性肝癌
B.肝血管瘤
C.肝错构瘤
D.阿米巴肝脓肿
E.肝转移瘤
99、填空题 急性肠阿米巴病首选_______治疗,慢性阿米巴病及无症状的带虫者选用_______。
100、单项选择题 关于阿米巴痢疾的分布特点,下述错误的是()
A.以热带和亚热带地区流行最为严重
B.我国属于中度流行区
C.本病以冬春季多见
D.分布遍及全球
E.人群感染率与卫生条件优劣、生活习惯的好坏密切相关
101、判断题 肠阿米巴病常见的肠道并发症是肠穿孔和肠出血。
102、多项选择题 阿米巴病的主要传染源()
A.症状明显的患者
B.受感染的动物
C.恢复期患者
D.无症状包囊携带者
E.慢性患者
103、单项选择题 肠阿米巴病确诊的依据是()
A.腹泻腹痛全身症状轻,抗菌药物治疗无效
B.右下腹压痛明显
C.大便镜检发现溶组织内阿米巴滋养体
D.大便镜检发现结肠阿米巴包囊
E.糊状暗红色大便,有腥臭
104、单项选择题 关于阿米巴肝脓肿,下列哪项是正确的()
A.好发于肝右叶
B.好发于肝左叶
C.脓肿以小型多个多见
D.脓液中发现夏科-莱登晶体可作为确诊的依据
E.脓液中找不到包囊,但一定可发现滋养体
105、单项选择题
关于图中所示的阿米巴肝脓肿,下列哪项是错误的()

A.长期发热,以间歇热及弛张热型居多
B.易发生黄疸,转氨酶多升高
C.临床多为单个脓肿,80%位于右叶
D.局部症状明显:肝区疼痛、叩痛、局部皮肤水肿
E.脓液呈棕褐色,镜检白细胞不多,可发现阿米巴滋养体
106、单项选择题 农民,2周前出现腹泻,为果酱样大便,日达7~10次,伴右下腹部压痛,无发热,无里急后重,大便常规发现夏-雷晶体,诊断是()
A.急性菌痢普通型
B.霍乱
C.病毒性肠炎
D.普通型阿米巴痢疾
E.伤寒
107、填空题 肠阿米巴病病变在结肠,依次多见于_____、____、直肠、乙状结肠、阑尾和回肠末端。
108、单项选择题 关于阿米巴肝脓肿,下列哪项是正确的()
A.阿米巴肝脓肿仅发生于肝右叶
B.阿米巴肝脓肿患者均有痢疾史
C.阿米巴肝脓肿多为单个,可为多个
D.阿米巴原虫可经胆道逆行进入肝脏
E.阿米巴肝脓肿的脓液可发现滋养体和包囊
109、多项选择题 关于阿米巴肝脓肿脓液检查,正确的是()
A.脓液中常可找到包囊
B.脓液内可能有从脓肿壁脱落的滋养体
C.当合并感染时,可见黄白色脓液伴恶臭
D.典型脓液为棕褐色如巧克力糊状,粘稠带腥味
E.滋养体检出的阳性率很高
110、单项选择题
男,48岁,持续发热30天,体温37.6~39.2℃,伴右季肋部疼痛,纳差、盗汗,体重下降约8kg,曾在当地注射青霉素10天,服诺氟沙星10天,无明显好转,近日疼痛加剧,坐卧不安。
上述病例体格检查:T38.5℃,P90次/分,巩膜无黄染,右下胸隆起,右下肺呼吸音减低,肝肋下3cm,肝区明显叩痛和挤压痛,脾未及。血常规:WBC10×109/L,N0.75,L0.25,Hb110g/L。对于确定诊断最重要的检查是()
A.B超检查
B.CT检查
C.肝穿刺抽脓
D.阿米巴血清学检查
E.抗阿米巴诊断治疗
111、判断题 阿米巴肝脓肿是真正的脓肿。
112、单项选择题 关于肝阿米巴病的特点,下列哪项是错误的()
A.通常为单个大脓肿
B.自原虫入侵到脓肿形成需超过1个月
C.脓肿大多位于肝右叶顶部
D.胆碱酯酶活力多正常
E.典型阿米巴肝脓液呈巧克力色
113、填空题 阿米巴病的病原体是_______,它有____和____2期,其感染型是_____,其侵袭型是_____。
114、单项选择题 男,35岁,农民,腹痛、腹泻半个月,大便4~9次/天,量多,暗红色,有腥臭,肉眼可见血液及粘液,无发热,左下腹隐痛。大便镜检:WBC2~3个/HP,RBC(+++)/HP。该病人最可能的诊断是()
A.血吸虫病
B.急性菌痢
C.弯曲菌肠炎
D.阿米巴痢疾
E.慢性非特异性溃疡性结肠炎
115、单项选择题 男,32岁,农民,腹痛、腹泻半个月,大便4~8次/天,量多,暗红色,有腥臭,肉眼可见血液及粘液,无发热,右下腹隐痛。大便镜检:WBC(+)/HP,RBC(+++)/HP。最可能的诊断是()
A.血吸虫病
B.急性菌痢
C.弯曲菌肠炎
D.阿米巴痢疾
E.慢性非特异性溃疡性结肠炎
116、单项选择题
男,56岁,持续发热,右季肋部胀痛1月,体温37~39℃,盗汗消瘦明显,5天前突然出现咳嗽,吐咖啡色痰,每天100~200ml,2天来咯痰渐停止,体温38.5℃,脉搏90次/分,慢性病容,皮肤、巩膜无黄染,右下胸稍隆起,局部有水肿,压痛明显,右下肺呼吸音减弱,可闻及细湿啰音,肝右肋下2cm,质中等,明显触痛,血象:Hb112g/L,WBC13.2×109/L,N0.78,L0.22,胸透:右膈抬高,活动受限,右侧胸腔积液。
下面处理不正确的是()
A.抗生素
B.灭滴灵治疗
C.氯喹
D.肝穿刺抽脓
E.立即手术引流
117、填空题 典型肠阿米巴病的病变在_____,表现_____样症状,肠外阿米巴病变在肠外,表现为各脏器的_____,以_____最常见。
118、问答题 简述肠阿米巴病的并发症。