时间:2021-03-11 01:50:50


1、单项选择题 普通型肺炎球菌肺炎的治疗最主要的是()
A.卧床休息,补液
B.选用敏感抗菌药物
C.退热止痛
D.祛痰止咳
E.鼻导管给氧
2、单项选择题 女性,30岁。突起高热、胸痛,咳铁锈色痰,左下肺实变征,X线胸片左下肺炎,大剂量青霉素静脉滴注后仍不退热,且左下胸饱满,呼吸音消失。下列检查哪一项最重要()
A.支气管镜检查
B.X线胸片
C.多次痰培养
D.胸腔超声波检查
E.血培养
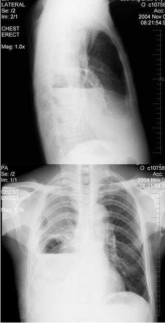
3、单项选择题
患者输液过程中突发胸闷,气急,咳痰,胸部正侧位片如图,最可能的诊断为()
A.硅沉着病合并感染
B.中央型肺水肿
C.真菌感染
D.间质性肺水肿
E.腺病毒肺炎
4、单项选择题 肺炎球菌肺炎与其他肺炎鉴别,下列哪项是最主要的()
A.起病急促,寒战,高热
B.口角和鼻周出现单纯性疱疹
C.血液免疫学检查
D.肺部实变征
E.咳嗽,咳铁锈色痰
5、单项选择题 下列药物较易导致过敏性肺炎的是()
A.抗肿瘤药物
B.泼尼松(泼尼松)
C.胺碘酮
D.普萘洛尔(心得安)
E.磺胺
6、单项选择题 女,24岁,1周前左脚脓疖,前天开始发热伴寒战、咳嗽并咳脓痰及痰中带血,胸痛。血常规:WBC22×10/L,NO.90。胸片两肺有散在密度较淡的圆形阴影,内有透光区及可疑空气液平面。应考虑为()
A.支气管扩张伴感染
B.金黄色葡萄球菌肺炎
C.多发性肺囊肿并感染
D.肺炎球菌肺炎
E.克雷白杆菌肺炎
7、单项选择题
男性,72岁,既往有糖尿病和COPD病史,3天前受凉后出现咳嗽、咳黄痰,伴有低热,最高体温为37.8℃,入院后查体:双肺均可闻及细湿啰音,胸部X线示双肺点片状阴影,血常规示WBC6.5×10/L,N76%。
在病原菌结果出来前,经验性选用抗生素是()
A.青霉素
B.红霉素
C.第三代头孢菌素
D.氨基糖苷类抗生素
E.克林霉素
8、单项选择题 早期肺脓肿易与以下哪一种疾病混淆()
A.细菌性肺炎
B.支气管扩张
C.空洞型肺结核
D.肺囊肿并感染
E.肺梗死
9、问答题 肺炎链球菌肺炎的抗生素治疗有何特点?
10、单项选择题
男性,45岁,有糖尿病史,突起寒战、高热,咳嗽,快脓性痰,伴胸痛2天,X线显示双肺实变,其中可见多个液气囊腔(如图),最可能的诊断是()
A.葡萄球菌肺炎
B.肺炎支原体肺炎
C.肺炎链球菌肺炎
D.肺炎衣原体肺炎
E.病毒性肺炎
11、判断题 医院获得性肺炎是指患者入院时不存在,而于入院72小时后在医院内发生的肺炎。
12、问答题 影响肺炎经验性治疗药物选择的因素有哪些?
13、单项选择题 肺炎链球菌肺炎的治疗,下列不正确的是()
A.卧床休息、适当支持治疗
B.首选青霉素治疗
C.青霉素过敏者可选用红霉素
D.抗菌药物的疗程一般为7~10天
E.X线胸片浸润影吸收前需不间断使用抗生素
14、单项选择题
女性,32岁。1个月前诊断为系统性红斑狼疮,经激素治疗症状稍好转。近3天发热、咳嗽、咳少许粘痰。体检:肺呼吸音粗,无啰音。胸部CT示右下肺邻近胸膜处结节影。结节影呈晕轮征(ha1osign)(如图),最可能的诊断是()
A.血源性肺脓肿
B.金黄色葡萄球菌肺炎
C.肺曲菌球
D.原发性支气管肺癌
E.Wegener肉芽肿
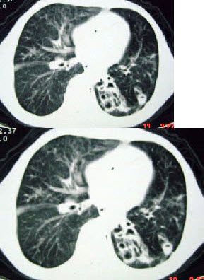
15、单项选择题
男,32岁,咳嗽,咳脓痰伴发热、胸痛一月余,抗感染治疗不见好转,PPD(-),结合CT图像,最可能的诊断是()
A.肺炎
B.肺结核
C.肺脓肿
D.肺癌
E.肺放射菌病
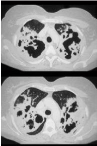
16、单项选择题 抗生素有效的情况下,影响肺脓肿疗效的主要原因是()
A.脓肿的部位
B.脓肿的数量
C.痰液引流不畅
D.脓肿的类型
E.没有长期卧床休息
17、问答题 如何使用抗生素治疗肺脓肿?
18、配伍题 肺炎球菌肺炎()克雷白杆菌肺炎()
A.粉红色泡沫痰
B.臭脓痰
C.铁锈色痰
D.粉红色粘稠乳状痰
E.棕红色粘稠胶冻状痰
19、问答题 试述重症肺炎的诊断标准和治疗。
20、判断题 传染性非典型肺炎是有SARS冠状病毒引起的具有明显传染性、可累及多个脏器的特殊肺炎,多见于老年人,青壮年少见。
21、单项选择题 有关肺脓肿的临床特征,下列哪项不正确()
A.大多数急起寒战高热
B.咳嗽、咳痰
C.先干咳后为粘液脓痰
D.全身中毒症状十分明显
E.均有大量脓臭痰
22、单项选择题 男,34岁,咳嗽、咳脓痰2个月。X线胸片示右中肺有一空洞伴液平面。诊断为急性肺脓肿,最佳治疗方案为()
A.抗生素+化痰药物
B.抗生素+支气管解痉药物
C.抗生素+支持疗法
D.抗生素+支气管镜灌洗引流
E.抗生素+体位引流
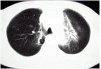
23、单项选择题
女,34岁,新月体肾炎患者,最近咳嗽咯血,第一次行胸片检查考虑为双下肺感染,抗感染治疗后无明显好转,症状加重,4天后复查并行CT检查如图,应考虑为()
A.肺泡蛋白沉着症
B.肺含铁血黄素沉着症
C.双下肺肺炎
D.肺出血肾炎综合征
E.韦格肉芽肿
24、单项选择题
壮年男性,1周前有牙痛史,继而患“感冒”,出现畏寒、寒战、高热、胸痛、咳嗽、咳脓痰。查体:体温39.5℃,呼吸窘迫,心、肺检查未发现异常。血常规:WBC19×10/L,N0.9。
为明确诊断,下列哪项检查最有价值()
A.血沉
B.痰涂片
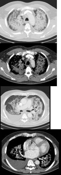
C.支气管镜检
D.胸部X线
E.B超
25、单项选择题 社区获得性肺炎中,最常见的病菌为()
A.金黄色葡萄球菌
B.肺炎链球菌
C.肺炎克雷白杆菌
D.嗜肺军团杆菌
E.绿脓杆菌
26、单项选择题 男性,25岁,10天前受凉后寒战、高热、咳嗽、咳铁锈色痰,胸片示右上肺大片实变影,治疗2天热渐退。近1周来患者无发热咳嗽,复查胸片见肺部阴影缩小、变淡,未完全吸收。目前进一步处理是()
A.改用新一代头孢菌素继续抗菌治疗
B.继续应用青霉素至病灶完全吸收
C.停用青霉素
D.改用红霉素治疗
E.胸部CT除外肺部肿瘤
27、单项选择题
女,32岁,鼻梁双颊部出现红斑伴发热咳嗽2周,肘腕关节游走性疼痛,请结合CT,选择最可能的诊断为()
A.肺部感染
B.结节病
C.肺类风湿病
D.SLE肺部浸润
E.韦格肉芽肿
28、单项选择题 在整个病理过程中没有肺泡壁和其他结构损伤的肺炎是()
A.金黄色葡萄球菌肺炎
B.克雷白杆菌肺炎
C.肺炎球菌肺炎
D.绿脓杆菌肺炎
E.流感嗜血杆菌肺炎
29、填空题 肺脓肿的治疗原则是__________和__________。
30、单项选择题 关于肺炎球菌感染患者的体温变化,下述何项不正确()
A.高热39~40℃,高峰在下午或傍晚
B.发病第5~10天体温可以自行骤降
C.稽留热与脉率不相平行
D.使用有效抗生素可使体温在24小时内恢复正常
E.使用青霉素可使体温在1~3天内恢复正常
31、单项选择题
女,24岁,突起畏寒、高热达40℃,伴咳嗽、胸痛2天;口服退热药出大汗后热退无力。查:神清,血压11.4/6.7kPa(86/50mmHg),脉搏102次/分,WBC21×10/L。胸片示右上肺大片状阴影,呈肺段分布。
首选治疗措施是()
A.抗结核治疗
B.用阿拉明抗休克
C.输液,静脉滴注青霉素
D.口服病毒唑
E.糖皮质激素应用
32、单项选择题
女性,36岁,受凉后出现高热,咳嗽,咳大量脓臭痰2周。查体:右下肺叩诊浊音,可闻及湿性啰音。查WBC20×10/L,中性粒细胞92%。胸片示右下叶背段大片阴影并有厚壁空洞。
患者经内科治疗4个月后,症状有所改善,但仍有3cm大小脓腔未闭合,进一步治疗应考虑()
A.手术治疗
B.局部给药
C.体位引流
D.继续应用抗生素
E.皮质激素
33、单项选择题
男,67岁,发热、咳嗽、咳痰4天。既往有糖尿病史6年,血糖控制欠满意。咳黄痰,呈砖红色粘痰,不易咳出。查血常规:血白细胞7.6×10/L。,N75%,胸部X线示双下肺点片状浸润影。血气分析示(不吸氧时)pH7.37,PaCO46mmHg,PaO56mmHg。
为进一步明确病原,有效的检查为()
A.痰涂片
B.痰培养+药物敏感试验
C.咽拭子细菌培养
D.血培养
E.真菌培养
34、单项选择题 诊断肺炎球菌肺炎下列哪一项最具有价值()
A.白细胞总数及中性都将增高
B.X线大片状阴影,呈肺叶或肺段分布
C.肺实变体征
D.痰培养肺炎球菌阳性
E.肺部湿啰音
35、单项选择题
男性患者,65岁,因胸痛就诊,胸片检查如图,下列诊断中最明确的是()
A.右肺胸膜肥厚
B.右肺不张
C.右侧胸腔积液
D.右肺炎症
E.右肺肺栓塞
36、问答题 肺炎合并感染性休克时应做哪些处理?
37、单项选择题
女,25岁,养鸽,咳嗽,咳痰,结合CT图像,最可能的诊断是()
A.肺泡癌
B.肺结核
C.肺隐球菌病
D.支气管肺炎
E.肺曲菌病
38、单项选择题
患者女性,48岁,咳嗽2个月,胸片检查如图,最合适的诊断为()
A.右上肺胸膜肥厚
B.右上肺结核
C.右上肺不张
D.右上肺肿块
E.右上肺隔离症
39、单项选择题 关于原发性肺脓肿,下列哪项是错误的()
A.X线胸片上可见偏心空洞,壁厚,内壁凹凸不平
B.好发于右上叶后段和两下叶背段
C.可有杵状指或肥大性肺性骨关节病
D.以厌氧菌为主的混合感染,普通细菌培养不易生长:
E.发病后10~14天咳出大量脓臭痰
40、单项选择题
男性,72岁,既往有糖尿病和COPD病史,3天前受凉后出现咳嗽、咳黄痰,伴有低热,最高体温为37.8℃,入院后查体:双肺均可闻及细湿啰音,胸部X线示双肺点片状阴影,血常规示WBC6.5×10/L,N76%。
该患者可能的诊断为()
A.军团菌肺炎
B.支原体肺炎
C.肺炎链球菌肺炎
D.肺炎克雷白杆菌肺炎
E.真菌性肺炎
41、配伍题 血源性肺脓肿首选()吸入性肺脓肿首选()耐甲氧西林的葡萄球菌感染首选()脆弱拟杆菌感染首选()
A.青霉素
B.红霉素
C.甲硝唑
D.万古霉素
E.第三代头孢菌素
42、单项选择题
男性患者,64岁,咳嗽高热多日,无痰中带血,X线检查如图,最合理的诊断是()
A.右侧胸腔积液
B.右侧胸腔积液并肺脓肿
C.右肺炎
D.右肺不张
E.右支气管扩张
43、判断题 肺炎是指终末气道、肺泡和肺间质的炎症。
44、单项选择题 男,60岁,因发热咳脓痰3个月,抗菌治疗稍有缓解。胸片示左下空洞病变,近2天突然大咯血1500ml左右。下列哪项检查最合适()
A.支气管镜检查,确定出血部位
B.请胸外科会诊
C.CT扫描
D.加照侧位胸片
E.痰中反复找癌细胞
45、单项选择题 男,53岁,劳累后高热,寒战,咳嗽,痰中带血丝。查:左肺呼吸音增粗,胸透左肺纹理增粗;WBC8×10/L,NO.8,1O.2。处理措施中,使用下列何种药物为最合适()
A.阿司匹林
B.红霉素
C.庆大霉素
D.青霉素
E.四环素
46、单项选择题 请指出最不符合传染性非典型肺炎(SARS)的表现()
A.体温常大于38℃
B.有传染给他人的病史
C.肺的实变影
D.SARS病毒可以通过患者的粪便传播
E.血白细胞常增高
47、单项选择题
男,23岁,高热,咳铁锈色痰,胸部CT扫描如图,最可能的诊断为()
A.右上肺干酪性肺炎
B.右上肺金葡菌肺炎
C.右上肺大叶性肺炎
D.右上肺中央型肺癌
E.右上肺肺结核
48、单项选择题 肺炎并感染性休克补充血容量,下列各项中除了哪一项外,其他均可以反映血容量已补足()
A.口唇红润,肢端温暖
B.收缩压>12kPa(90mmHg)
C.尿量30ml/min
D.脉压>4kPa(30mmHg)
E.心率>100次/分
49、单项选择题 肺炎球菌肺炎引起缺氧的主要原因是()
A.气道阻力增加
B.PaCO升高
C.弥漫性换气功能障碍
D.限制性通气功能障碍
E.病变处V/Q比例失调
50、配伍题 男性,41岁。1周前受凉后咳嗽,咳痰。体检:左下肺可闻及湿性啰音,胸片示左下肺炎,请问最可能的病原菌是()男性,23岁。1周前因劳累后出现咳嗽、咳痰、发热。体检:右下肺可闻及湿啰音,胸片示右下肺炎,诊断为社区获得性肺炎。请问哪项不是最主要的病原菌()
A.肺炎链球菌
B.流感嗜血杆菌
C.军团菌
D.衣原体
E.大肠埃希菌
51、单项选择题 放射性肺炎的治疗主要为()
A.中医药治疗
B.细胞毒药物
C.糖皮质激素
D.抗生素
E.支气管扩张剂
52、单项选择题 男性,24岁,受凉后突起畏寒、发热、体温39℃,伴左侧胸痛,咳少许白痰,X线胸片示左下肺大片浸润影,青霉素治疗1天后,体温接近正常,最可能的诊断是()
A.肺炎克雷白杆菌肺炎
B.金黄色葡萄球菌肺炎
C.肺炎支原体肺炎
D.病毒性肺炎
E.肺炎链球菌性肺炎
53、单项选择题 肺脓肿与空洞型肺结核的主要鉴别是()
A.发热、胸痛
B.咳嗽、脓痰
C.咯血
D.痰菌检查
E.血沉降率
54、多项选择题 男性,25岁。肺炎链球菌肺炎入院治疗,因以往用青霉素治疗肺炎疗效好,此次仍用青霉素治疗,但5天后发热不退。下列各项中除了哪一项外,其他都有可能()
A.肺炎链球菌的肺外感染
B.混合其他细菌感染
C.肺炎链球菌耐药菌株感染
D.药物热
E.以上均不是
55、单项选择题
皮肤疖痈患者因劳累后畏寒,高热,自服抗生素1周后无缓解,出现咳嗽、咳痰,伴发热。胸示片:右上肺可见大片状致密阴影,其间可见液平(如图)。该患者最可能的诊断是()
A.吸入性肺脓肿
B.细菌性肺炎
C.继发性肺脓肿
D.阿米巴肺脓肿
E.血源性肺脓肿
56、单项选择题 普通型肺炎球菌肺炎的治疗,最主要的措施是()
A.选用敏感抗生素
B.给氧
C.退热止痛
D.祛痰止咳
E.卧床休息,补液
57、单项选择题 下列哪一项提示重症肺炎的诊断()
A.肺部大片阴影
B.疲乏、无力
C.畏寒,高热
D.头痛,烦躁不安
E.血压80/50mmHg
58、单项选择题 临床上最常见的肺炎应是()
A.军团菌肺炎
B.细菌性肺炎
C.化学性肺炎
D.过敏性肺炎
E.放射性肺炎
59、单项选择题 糖尿病患者,左脚跌伤后数天不愈。突发高热,寒战,胸痛,咳嗽,痰为脓性,量多。X线显示肺段实变,有多个液气囊腔。对患者目前最重要的治疗措施是()
A.胰岛素4U皮内注射,餐前30分钟给药
B.跌打损伤膏外敷
C.复方氨基匹林2ml,肌内注射
D.万古霉素1~2g,静脉滴注
E.复方甘草合剂10ml,每天3次
60、判断题 肺炎支原体肺炎的治疗首选红霉素。
61、单项选择题 休克性肺炎最常见的病原菌是()
A.肺炎链球菌
B.金黄色葡萄球菌
C.革兰阴性杆菌
D.呼吸道病毒
E.真菌
62、单项选择题 32岁肺炎患者,查体:T35.0℃,BP8/6.7kPa(60/50mmHg),P136次/分。治疗中除控制感染外,首要的处理措施应该是()
A.使用强心剂
B.使用大剂量肾上腺皮质激素
C.使用血管活性物质
D.补充血容量
E.使用利尿剂
63、单项选择题 有关肺脓肿的治疗,下述哪项错误()
A.早期有效彻底的抗生素治疗可以治愈
B.根据病情每天青霉素剂量240万U~1000万U
C.抗生素治疗不少于8周
D.临床症状完全消失后即停药
E.可用灭滴灵
64、单项选择题 吸入性肺脓肿不易发生的部位()
A.左上叶后段
B.右上叶后段
C.双侧下叶背段
D.右上叶尖段
E.右侧下叶后基底段
65、单项选择题 在肺结核与肺炎链球菌肺炎的鉴别中,下列哪一项最有意义()
A.有无先期发热病史
B.青霉素治疗反应
C.白细胞总数和分类
D.痰细菌学检查
E.X线病灶阴影的部位与密度
66、多项选择题 吸入性金黄色葡萄球菌肺炎的病理特点是()
A.与一般细菌性肺炎病变相似
B.炎症发展迅速,呈大片分布的、广泛融合性支气管肺炎
C.炎症消散较慢,常引起胸膜炎
D.细支气管炎症阻塞可引起气囊肿
E.可引起多发性肺脓肿
67、单项选择题
男,44岁,,6天前受凉后出现发热,咳嗽,咳黄痰,2天前咳嗽加重,呼吸困难,头痛,腹泻4次,血常规白细胞14×10/L,N86%,胸部X线示左肺大片浸润影,血气分析示pH7.36,PaCO32mmHg,PaO58mmHg。
患者呼吸困难进一步加重,宜采取的措施为()
A.抗感染药物加大剂量
B.给予化痰、扩张支气管治疗
C.给予面罩吸氧
D.给予面罩,呼吸机无创通气
E.安慰患者不要太紧张
68、单项选择题 女性,55岁,有龋齿,1周来高热,咳嗽,咳黄臭痰,查体:左肺有实变体征,2天后,右侧出现胸痛,经X线证实右侧有胸腔积液,胸穿后抽出带恶臭的脓液,病原菌最可能是()
A.支原体
B.军团菌
C.金黄色葡萄球菌
D.结核分枝杆菌
E.厌氧菌
69、单项选择题
男,15岁,受凉后咽痛、干咳、低热乏力2周,近日感纳差,四肢肌肉痛。X线显示下肺部多形态的浸润影,呈节段性分布。
治疗首选药物是()
A.青霉素
B.红霉素
C.病毒唑
D.利福平
E.氨苄青霉素
70、配伍题 男性,23岁。突起畏寒发热,右胸痛2天,X线胸片示右下肺叶大片模糊影。可能诊断()女性,44岁。半月前示指被切伤后红肿,近3天来咳脓痰约80ml/d,发热,双侧中下肺野闻少量湿啰音,X线两肺野多个小片影,似有空洞。可能诊断()女性,18岁。咳嗽1周,痰少,不发热,但有头痛,全身酸痛和关节痛。WBC6.3×10/L,肺部无异常体征,X线胸片示右下肺斑片影。可能诊断()
A.肺炎链球菌肺炎
B.葡萄球菌肺炎
C.肺炎克雷白杆菌肺炎
D.铜绿假单胞菌肺炎
E.肺炎支原体肺炎
71、多项选择题 重症肺炎的治疗措施有()
A.防止心肺及肾功能衰竭
B.支持治疗
C.应用糖皮质激素
D.补充血容量,纠正休克
E.选择敏感抗生素
72、单项选择题
患者6岁半,女孩,咳嗽发热3天,体温39℃,胸片如图。最合理的诊断是()
A.右肺细菌性炎症
B.右肺结核
C.右侧胸腔积液
D.右肺脓肿
E.右肺支气管扩张
73、多项选择题 关于医院获得性肺炎的描述哪些是正确的()
A.患者入院时不存在、也不处于潜伏期的感染
B.入院72小时后在医院内发生的肺炎
C.无感染高危因素,常见病原体是肺炎链球菌
D.有感染高危因素,常见病原体是金黄色葡萄球菌
E.临床表现、实验室和影像学检查的诊断特异性低
74、单项选择题 治疗肺炎链球菌肺炎时,首选的抗菌药物是()
A.青霉素
B.卡哪霉素
C.庆大霉素
D.红霉素
E.四环素
75、单项选择题 关于肺炎胸部X线表现的描述,哪一项是正确的()
A.肺炎链球菌肺炎——肺叶或肺段大片实变影,经3~4周才能吸收完全
B.葡萄球菌肺炎——肺叶或小叶浸润,多变,易有空洞、液气囊腔形成
C.克雷白杆菌肺炎——肺叶或小叶浸润,3~4周自行吸收
D.肺炎支原体肺炎——肺部多形态浸润影,常伴液气囊腔
E.军团菌肺炎——肺小叶实变,蜂窝状脓肿,叶间隙下坠
76、多项选择题 肺炎球菌肺炎合并感染性休克时的治疗措施有()
A.补充血容量,纠正休克
B.大剂量青霉素
C.应用糖皮质激素
D.防止心、肺及肾衰
E.若合并脓胸,需置管引流
77、单项选择题
男,45岁,咳嗽3年,近来加重,咳少量脓痰偶带血丝,伴低热。胸片示双下肺纹理增多,以右下肺明显,并见片状阴影。
首先考虑的诊断是()
A.支气管肺炎
B.肺脓肿
C.慢性支气管炎并感染
D.肺结核
E.阻塞性肺炎
78、单项选择题 肺脓肿实验室检查方法的运用,下列何项错误()
A.痰细胞学检查不可靠
B.并发脓胸时,胸液致病菌培养无助于早期选用抗生素
C.并发脓胸时,胸液致病菌培养较痰菌培养可靠
D.慢性肺脓肿患者不应使用支气管造影
E.支气管镜检查在肺脓肿诊断中应列为常规
79、单项选择题 有关肺脓肿的治疗,下列哪项正确()
A.大多数厌氧菌对青霉素耐药,故其不宜使用
B.洁霉素、甲硝唑治疗无效
C.有效抗生素宜持续8~12周左右
D.有效抗生素静脉滴注1~2天可改肌内注射
E.抗生素有效持续4~6周
80、单项选择题 除使用抗生素外,肺脓肿治疗的另一项关键措施()
A.输液
B.卧床休息
C.手术治疗
D.痰液引流
E.补充营养
81、单项选择题 肺炎链球菌中毒力最强的为()
A.第1型
B.第72型
C.第3型
D.第23型
E.第5型
82、单项选择题
女,23岁,咳嗽咳痰反复发作,根据CT图像,应考虑为()
A.支气管扩张并感染
B.多发肺气囊肿
C.多发性肺囊肿并感染
D.多发性肺脓肿
E.大叶性肺炎
83、单项选择题 慢性肺脓肿大咯血的病理基础是()
A.支气管粘膜肿胀充血
B.支气管管腔壁肉芽组织血管破坏
C.支气管粘膜溃疡糜烂
D.支气管动脉血管瘤
E.支气管小静脉破裂
84、单项选择题 男性,58岁,有慢性扁桃体炎病史,近1周来发高热,咳嗽、咳黄臭痰,查体:左肺叩诊呈浊音,2天后出现左侧胸痛,胸穿抽出带有恶臭的脓液。可能性最大的病原体为()
A.支原体
B.军团菌
C.葡萄球菌
D.厌氧菌
E.结核菌
85、配伍题 吸入性肺脓肿致病菌多为()血源性肺脓肿致病菌多为()
A.葡萄球菌
B.大肠埃希菌
C.厌氧菌
D.结核分枝杆菌
E.肺炎克雷白杆菌
86、单项选择题
女性,36岁,受凉后出现高热,咳嗽,咳大量脓臭痰2周。查体:右下肺叩诊浊音,可闻及湿性啰音。查WBC20×10/L,中性粒细胞92%。胸片示右下叶背段大片阴影并有厚壁空洞。
积极抗感染治疗后停用抗生素的指征是()
A.体温恢复正常
B.停止咳嗽、咳臭脓痰
C.胸痛消失
D.胸片显示病灶消失,有纤维条索影
E.血常规恢复正常
87、单项选择题 关于肺炎杆菌性肺炎,下列不正确的是()
A.年老体弱、原有慢性肺部疾患的病人少见
B.起病急骤、寒战高热
C.咳嗽多痰、呈特征性棕红色胶冻样痰
D.肺部可见实变体征
E.治疗可首选氨基糖苷类和头孢菌素类
88、判断题 侵袭性曲霉病胸部CT早期为晕轮征,后期为新月体征。
89、单项选择题
患者轻微咳嗽,实验室检查嗜酸粒细胞升高,影像学检查如图,两次检查时间相距8小时,最可能的诊断为()
A.双下肺肺炎
B.军团菌肺炎
C.金黄色葡萄球菌肺炎
D.支原体肺炎
E.过敏性肺炎
90、单项选择题 关于休克性肺炎的治疗,下列不正确的是()
A.抗休克治疗
B.控制感染
C.慎用糖皮质激素
D.防止心肾功能不全
E.重症监护和支持治疗
91、单项选择题 男,20岁,醉酒后高热,胸痛,咳嗽痰少,痰中带血丝1天。查体:面颊绯红,皮肤干燥,体温39℃,咽有小红疹,右下肺呼吸音稍减退,无干湿啰音。血常规:WBC20×10/L,NO.84,10.16。胸片右下肺有片状淡薄阴影。下列诊断哪项可能性大()
A.急性酒精中毒
B.支气管扩张
C.急性上呼吸道感染
D.干酪性肺炎
E.右下肺炎
92、填空题 肺炎球菌肺炎自然病程为__________,经治疗后体温正常后__________天可停用抗生素。
93、单项选择题
男,67岁,发热、咳嗽、咳痰4天。既往有糖尿病史6年,血糖控制欠满意。咳黄痰,呈砖红色粘痰,不易咳出。查血常规:血白细胞7.6×10/L。,N75%,胸部X线示双下肺点片状浸润影。血气分析示(不吸氧时)pH7.37,PaCO46mmHg,PaO56mmHg。
该患者首先考虑的诊断为()
A.大叶性肺炎
B.支气管肺炎
C.间质性肺炎
D.非典型致病菌肺炎
E.真菌性肺炎
94、单项选择题 慢性肺脓肿患者,经反复用青霉素、链霉素及庆大霉素治疗,效果欠佳。为明确致病菌,合理选用抗生素,应选用下列哪项()
A.经支气管镜取痰培养
B.留晨痰作培养
C.痰涂片作革兰染色
D.环甲膜穿刺取痰作培养
E.痰真菌培养
95、单项选择题 治疗急性肺脓肿,停用抗生素的指征是()
A.已用抗生素8周
B.临床症状消失
C.胸片示病灶吸收、留有纤维条索
D.胸片示脓肿液平面消失
E.查体恢复正常
96、单项选择题 DPB常合并有哪种疾患()
A.慢性副鼻窦炎
B.哮喘
C.阿司匹林过敏
D.右位心
E.紫癜
97、多项选择题 肺炎的诊断程序包括哪些()
A.确定是上呼吸道感染还是下呼吸道感染
B.把肺炎与其他类似肺炎的疾病区别开来
C.评估严重程度
D.肺功能检测
E.确定病原体
98、配伍题 支原体肺炎首选()社区获得性肺炎链球菌肺炎首选()常与β-内酰胺类抗生素合用,对静止期细菌有杀菌作用()与茶碱合用,可升高氨茶碱的血药浓度()
A.大环内酯类
B.喹诺酮类抗菌药
C.头孢菌素类
D.青霉素
E.氨基糖苷类
99、单项选择题 肺炎球菌肺炎最主要的致病因素是()
A.细菌的外毒素
B.细菌的内毒素
C.细菌对组织的侵袭力
D.细菌有杀白细胞素
E.细菌迅速繁殖
100、单项选择题 男,31岁,上感后畏寒,发热,体温达39.8℃,伴咳嗽,痰中带血,左侧胸痛,放射至左肩部,大便次数增加。查体:左肺呼吸音稍低,无啰音。为明确诊断最有价值而简便的检查是()
A.血培养
B.血常规
C.胸部X线照片
D.痰涂片
E.CT检查
101、单项选择题 诊断肺念珠菌病哪一项最有价值()
A.连续3次痰培养有念珠菌生长
B.涂片有菌丝
C.念珠菌特异性IgE抗体测定
D.动物接种有致病力
E.组织病理检查
102、单项选择题 女性,15岁,低热37.5℃,伴干咳4天。冷凝集试验1∶64。胸片示左下肺淡片状影。首选哪项治疗()
A.丁胺卡哪霉素
B.头孢唑啉
C.青霉素
D.红霉素
E.氯霉素
103、单项选择题 男性,50岁。1周前“感冒”,3天来畏寒、高热、气促、咳嗽,痰黄带血丝,胸片示右上肺大片浸润影,其中可见数个小透亮区;血WBC24×10/L,NO.9。入院后用大剂量青霉素治疗后,体温逐渐下降;1小时前突发右胸痛,伴进行性气促,最可能的诊断是()
A.克雷白杆菌肺炎并发气胸
B.葡萄球菌肺炎并发气胸
C.肺炎链球菌肺炎并发气胸
D.肺炎链球菌肺炎并发脓胸
E.葡萄球菌肺炎并发脓胸
104、问答题 肺炎应与哪些疾病进行鉴别诊断。
105、单项选择题 在有效抗生素治疗下,影响肺脓肿疗效的主要原因是()
A.脓肿部位
B.祛痰药使用不当
C.支持疗法不力
D.细菌的种类
E.没有长期卧床休息
106、配伍题 肺炎链球菌感染患者()金黄色葡萄球菌感染患者()厌氧菌感染患者()急性左心功能不全患者()
A.铁锈色痰
B.砖红色胶冻样痰
C.脓血痰
D.粉红色泡沫样痰
E.黏脓性,伴有臭味
107、问答题 肺脓肿手术治疗的适应证如何?
108、单项选择题
男,44岁,,6天前受凉后出现发热,咳嗽,咳黄痰,2天前咳嗽加重,呼吸困难,头痛,腹泻4次,血常规白细胞14×10/L,N86%,胸部X线示左肺大片浸润影,血气分析示pH7.36,PaCO32mmHg,PaO58mmHg。
若血清学检查阳性,诊断明确,治疗时间为()
A.2周
B.3周
C.4周
D.4~6周
E.2月
109、单项选择题 男,17岁,受凉后咽痛、咳嗽、咳少许粘痰并发热、纳差、肌肉酸痛1周,用青霉素80万U肌内注射,每天2次,经4天治疗后无明显疗效。胸片显示左下肺肺段性分布浸润病灶。选择下列哪项药物治疗最合适()
A.先锋铋2g,iv,bid
B.红霉素0.3g,qid
C.环丙沙星O.5,bid
D.复方新诺明1.Og,bid
E.庆大霉素8万u,im,bid
110、多项选择题 对血源性肺脓肿的描述,下列哪些是错误的()
A.早期双肺广泛性干性啰音
B.早期呈现严重呼吸困难,咳大量臭脓痰
C.全身中毒症状不严重
D.不发生气囊肿
E.病变呈多发性,多在肺门附近
111、单项选择题
男,44岁,,6天前受凉后出现发热,咳嗽,咳黄痰,2天前咳嗽加重,呼吸困难,头痛,腹泻4次,血常规白细胞14×10/L,N86%,胸部X线示左肺大片浸润影,血气分析示pH7.36,PaCO32mmHg,PaO58mmHg。
在痰培养、血清学结果未出来之前,宜采取的抗生素治疗为()
A.单用红霉素治疗
B.使用第三代头孢菌素
C.使用青霉素类+β-内酰胺酶抑制剂
D.红霉素+第三代头孢菌素
E.使用克林霉素
112、单项选择题 有关肺脓肿的治疗,下列哪项正确()
A.大多数厌氧菌对青霉素耐药,故其不宜使用
B.洁霉素、甲硝唑治疗无效
C.有效抗生素宜持续8~12周左右
D.有效抗生素静脉滴注1~2天可改肌内注射
E.抗生素有效持续4~6周
113、单项选择题 21岁患者,近2天寒战高热、咳嗽,咳少许粘痰,略带血。因气急,发绀,休克死亡。病理切片见肺泡内充满红、白细胞和血浆,但肺泡壁尚完整。最可能的诊断为()
A.干酪性肺炎
B.肺梗塞
C.肺不张并感染
D.渗出性胸膜炎
E.肺炎球菌肺炎
114、单项选择题 男性,27岁。3g个月有受肾移植术史,1周前高热,最高达40.2℃,伴头痛、全身酸痛和疲乏,前天起气促,并进行性加重。体检:体温39.8℃,呼吸32次/分,血压120/70mmHg,脉搏120次/分,双肺未闻啰音。X线胸片显示双肺纹理增多,呈网格状,并有小片状浸润。血常规:WBC4.5×10/L,NO.75,L0.25,最可能的诊断是()
A.巨细胞病毒肺炎
B.肺炎链球菌肺炎
C.真菌性肺炎
D.左心功能衰竭
E.金黄色葡萄球菌肺炎
115、配伍题 疱疹病毒感染首选()具有广泛抗病毒作用的嘌呤核苷化合物首选()主要用于巨细胞病毒感染首选()流感病毒感染首选()
A.利巴韦林
B.阿昔洛韦
C.更昔洛韦
D.奥司他韦
E.阿糖腺苷
116、单项选择题 下列哪一项对病毒性肺炎无早期诊断的价值()
A.特异性IgG抗体
B.X线检查
C.病毒分离
D.临床症状
E.呼吸道分泌物中细胞核内的包涵体
117、单项选择题 女性,44岁。4月前有肾移植术史。10天前开始出现食欲减退,继而干咳、发热。近2天呼吸困难。体检:呼吸30次/分,发绀,双肺呼吸音粗,无啰音。X线胸片示双肺门周围弥漫性渗出,呈网状和小结节状影,次日进展成双侧肺门的蝶状影。最可能的诊断是()
A.抑制物抗宿主病
B.肺炎链球菌肺炎
C.肺炎支原体肺炎
D.卡氏肺囊虫肺炎
E.肺炎克雷白杆菌肺炎
118、单项选择题
女,24岁,咳嗽咳痰伴高热3天,如图所示,最可能的诊断为()
A.右下肺干酪性肺炎
B.右下肺大叶性肺炎
C.右中肺大叶性肺炎
D.右中叶肺脓肿
E.右下肺不张
119、单项选择题 有关肺曲霉病,以下影像学表现哪一项不是正确的()
A.侵袭性肺曲霉病——X线胸片以胸膜为基底的多发的楔形阴影或空洞
B.肺曲霉肿——慢性空洞内有一团球影,随体位改变而在空腔内移动
C.变应性支气管肺曲霉病——中央支气管扩张及壁增厚征像如“戒指征”和“轨道征”
D.侵袭性肺曲霉病——胸部CT可表现为晕轮征(ha1osign)
E.侵袭性肺曲霉病——胸部CT早期可表现为新月体征(crescentsin)
120、单项选择题 急性肺脓肿痰培养为脆弱拟杆菌生长,治疗不应选用()
A.青霉素
B.林可霉素
C.克林霉素
D.甲硝唑
E.以上都不能选用
121、单项选择题
女,6岁,胸闷,咳嗽,胸部CT如图,最可能的诊断为()
A.畸胎瘤
B.右侧液气胸
C.右肺肺大疱
D.右侧脓胸
E.支气管囊肿并感染
122、单项选择题
男,27岁,干咳,呼吸困难半月余,有艾滋病病史半年余,请结合C,选出最可能的诊断()
A.粟粒型肺结核
B.弥漫型肺癌
C.间质性肺炎
D.硅沉着病
E.卡波齐肉瘤
123、单项选择题
患者男性,58岁,咳嗽、发热1周,无痰中带血,无胸痛,血白细胞升高,X线胸片如图,最合理的诊断是()
A.右上肺不张
B.右上肺结核
C.右上肺炎症
D.右上肺胸膜肥厚
E.右上支气管扩张
124、单项选择题
女,35岁,养鸽,咳嗽、咳痰,结合CT,考虑最可能的诊断是()
A.肺隐球菌病
B.肺转移瘤
C.支气管肺炎
D.肺结核
E.肺泡癌
125、单项选择题
某老年患者,咳嗽,右胸痛,气促,咳铁锈色痰数口。查:血压8.8/5.6kPa(66/42mmHg),脉搏124次/分,发绀,神志恍惚,肢冷,右下肺可及少许湿啰音。血常规:WBC7.8×10/L,N0.85。
治疗应首选()
A.多巴胺升血压
B.红霉素注射
C.糖皮质激素应用
D.低分子右旋糖酐静脉滴注
E.给氧
126、单项选择题
根据影像图像,选择最可能的诊断()
A.右下肺不张
B.右侧肺底积液
C.右膈膨升
D.右侧心包脂肪垫
E.右下肺结核
127、单项选择题 支原体肺炎诊断的主要依据为()
A.临床表现
B.特征性X线表现
C.血或痰细菌培养阴性
D.冷凝集试验阳性,且滴度逐渐升高
E.红霉素试验治疗有效
128、单项选择题
男性,72岁,既往有糖尿病和COPD病史,3天前受凉后出现咳嗽、咳黄痰,伴有低热,最高体温为37.8℃,入院后查体:双肺均可闻及细湿啰音,胸部X线示双肺点片状阴影,血常规示WBC6.5×10/L,N76%。
若病原菌产ESBLs,抗生素应选用()
A.青霉素
B.头孢噻肟
C.头孢他啶
D.伊米配南
E.万古霉素
129、单项选择题
一养鸽女,48岁,发热,咳嗽,咳浓痰带血半月余,请结合CT,选出最可能的诊断()
A.原发性肺结核
B.肺曲菌病
C.肺癌
D.间质性肺炎
E.支气管扩张
130、单项选择题 急性肺脓肿特征性的临床表现是()
A.呼吸困难,气逼
B.急起,畏寒、发热
C.湿啰音及支气管呼吸音
D.剧烈胸痛
E.以上都不是
131、单项选择题 男性,72岁,1周前感冒后咳嗽、咳痰,量多,初为黄色脓性、粘稠,带血,后变为红棕色胶冻状。查体:气急,发绀,心律整,心率120次/分,右肺叩浊,呼吸音低,散在湿性啰音。血白细胞10.0×10/L。你认为下列哪个诊断可能正确()
A.金黄色葡萄球菌肺炎
B.干酪性肺炎
C.肺炎球菌肺炎
D.克雷白杆菌肺炎
E.支气管扩张
132、单项选择题 关于肺炎链球菌典型的临床表现,不正确的描述是()
A.寒战、高热
B.患侧胸痛
C.咳嗽、咳铁锈色痰
D.起病急骤、急性病容
E.起病早期即有明显的肺部体征
133、单项选择题 下列哪一项对诊断传染性非典型肺炎最有意义()
A.有与SARS患者密切接触史
B.胸部斑片状渗出影
C.急起高热伴呼吸道症状
D.双分血清SARS抗体升高4倍
E.病情凶险,早期出现呼吸窘迫
134、多项选择题 影响肺脓肿疗效的原因是()
A.未联合使用支气管解痉剂
B.抗生素剂量不足
C.抗生素应用时间不够
D.脓液引流不畅
E.抗生素选择不当
135、单项选择题 关于吸入性肺脓肿,下列哪项不正确()
A.发病部位常与体位有关
B.常为单发性
C.厌氧菌感染在吸入性肺脓肿中较少见
D.吸入性肺脓肿可以无吸入性诱因
E.右下叶是肺脓肿好发部位
136、单项选择题 支气管炎和肺炎的鉴别,有意义的是()
A.咳嗽轻重
B.有无痰液
C.有无固定细湿啰音
D.血常规
E.发热
137、填空题 痰定量培养分离的致病菌或条件致病菌浓度__________,可认为是肺炎致病菌;__________,则为污染菌。
138、单项选择题
男,67岁,发热、咳嗽、咳痰4天。既往有糖尿病史6年,血糖控制欠满意。咳黄痰,呈砖红色粘痰,不易咳出。查血常规:血白细胞7.6×10/L。,N75%,胸部X线示双下肺点片状浸润影。血气分析示(不吸氧时)pH7.37,PaCO46mmHg,PaO56mmHg。
若细菌培养报告提示该细菌ESBLs阳性,用下列哪种抗生素合适()
A.头孢噻肟
B.头孢他啶
C.氨基糖苷类
D.碳青霉烯类
E.红霉素
139、多项选择题 金黄色葡萄球菌肺炎在X线胸片上有哪些特征()
A.早期大片絮状、浓密不等阴影
B.脓肿形成倾向大,常伴有脓肿内液平
C.病灶可形成气囊肿,愈后可自行消失
D.常伴脓胸、气胸
E.病灶部位易变化
140、单项选择题 新近研究表明,慢性衰弱、长期接受广谱抗生素及肾上腺皮质激素治疗的病人,最易发生的感染是()
A.金黄色葡萄球菌
B.肺炎支原体
C.厌氧菌
D.结核杆菌
E.真菌及革兰阴性杆菌
141、单项选择题 男,23岁,诊断为肺炎球菌肺炎。目前口渴无尿,四肢厥冷,血压10.6/8kPa(80/60mmHg),心率120次/分,中心静脉压294Pa(30mmHO)。治疗首选()
A.血管活性药物
B.静脉滴注低分子右旋糖酐
C.静脉注射毛花苷丙
D.静脉滴注乳酸钠
E.静脉滴注肾上腺皮质激素
142、配伍题 局限性哮鸣音可出现在()广泛性哮鸣音可出现在()局限性湿啰音可出现在()上腔静脉综合征可出现在()
A.肺结核
B.肺癌
C.肺脓肿
D.支气管哮喘
E.支气管扩张
143、单项选择题 对于葡萄球菌肺炎的诊断,下列哪项最重要()
A.全身毒血症状,咳嗽、咳吐脓血痰
B.白细胞计数增高,中性粒细胞增高,核左移有毒性颗粒
C.痰的阳性细菌培养
D.胞壁酸抗体测定
E.X线显示片状阴影伴有空洞和液平面
144、单项选择题 血源性肺脓肿患者,突感右侧胸痛,继之呼吸困难,发绀,大汗、肢冷。查体:气管左移,右侧呼吸音明显减低。最可能发生的情况是()
A.急性肺水肿
B.气胸
C.肺梗塞
D.右侧肺不张
E.急性心肌梗死
145、单项选择题 男性,23岁。近2天寒战、高热、咳嗽,咳少许粘痰,带血丝。X线胸片右下肺大片浸润影,有支气管充气征。痰培养3次,1次有白念珠菌生长,对多种抗真菌药物敏感。最可能的诊断为()
A.肺不张并感染
B.肺炎链球菌肺炎
C.干酪性肺炎
D.白念珠菌肺炎
E.肺梗死
146、单项选择题 女,36岁,7天前有拔牙史,继而出现畏寒,高热,胸痛,咳嗽,咳脓痰。查体:体温39℃,呼吸迫促,呈急性重病容,心、肺检查未发现异常。血常规:WBC19×10/L,NO.85,1O.15。为明确诊断下列哪项检查最有价值()
A.血培养,
B.痰培养
C.CT检查
D.支气管镜检
E.胸部X线照片
147、单项选择题 万古霉素为下列哪一种肺炎的首选药物()
A.葡萄球菌肺炎
B.肺炎支原体肺炎
C.肺炎克雷白杆菌肺炎
D.肺炎链球菌肺炎
E.军团菌肺炎
148、单项选择题
男,60岁,嗜酒,急起高热、咳嗽、咳粘稠脓痰,量多,胸痛。胸片示右上肺叶实变,有多个蜂窝状空洞,叶间隙下坠。
下列诊断哪项可能性最大()
A.肺炎球菌肺炎
B.肺炎支原体肺炎
C.急性肺脓肿
D.病毒性肺炎
E.克雷白杆菌肺炎
149、单项选择题 左下背段肺脓肿患者,急性症状已消退,除全身应用抗生素外,拟用鼻导管经鼻腔作气管内滴注抗生素。宜选用的适当体位是()
A.左侧卧位
B.头低脚高,俯卧位偏向左侧
C.头高脚低,仰卧位稍偏向左侧
D.平卧位
E.右侧卧位
150、单项选择题 男,30岁,因受凉后高热,寒战,咳嗽,咳痰2天。查体:体温38.5℃,右上肺语颤增强、呼吸音增粗,有湿性啰音。血常规:WBC14×10/L,N0.8,L0.2。下列哪项诊断可能性最大()
A.上呼吸道感染
B.急性支气管炎
C.肺结核
D.急性肺脓肿
E.右上肺肺炎
151、单项选择题
男,67岁,发热、咳嗽、咳痰4天。既往有糖尿病史6年,血糖控制欠满意。咳黄痰,呈砖红色粘痰,不易咳出。查血常规:血白细胞7.6×10/L。,N75%,胸部X线示双下肺点片状浸润影。血气分析示(不吸氧时)pH7.37,PaCO46mmHg,PaO56mmHg。
患者出现呼吸衰竭,其可能机制为()
A.肺泡通气不足
B.弥散功能障碍
C.V/Q比例失调
D.耗氧量增加
E.痰液阻塞呼吸道
152、单项选择题 最有助于诊断肺脓肿的症状是()
A.咳大量臭脓痰
B.咳嗽、咯血
C.呼吸困难
D.畏寒高热
E.剧烈胸痛
153、单项选择题 肺炎链球菌可引起()
A.支气管肺炎
B.肺脓肿
C.大叶性肺炎(即典型肺炎)
D.支气管哮喘
E.胸膜炎
154、单项选择题
女,24岁,突起畏寒、高热达40℃,伴咳嗽、胸痛2天;口服退热药出大汗后热退无力。查:神清,血压11.4/6.7kPa(86/50mmHg),脉搏102次/分,WBC21×10/L。胸片示右上肺大片状阴影,呈肺段分布。
下列哪项诊断正确()
A.休克型肺炎
B.病毒性肺炎
C.肺脓肿
D.肺结核
E.肺炎球菌肺炎
155、单项选择题
男性,27岁,发热、咳嗽、咳痰4天,未经诊治,查体:右下肺实变体征,胸部X线示右肺大片浸润影,血气分析示pH7.36,PaO63mmHg,PaCO32mmHg。
该患者入院后应首选哪种抗生素治疗()
A.青霉素
B.氨苄西林(氨苄青霉索)
C.头孢曲松钠
D.碳青霉烯类
E.氨基糖苷类
156、单项选择题 吸入性肺脓肿的病原菌绝大多数是()
A.厌氧菌
B.肺炎链球菌
C.克雷白杆菌
D.大肠杆菌
E.金黄色葡萄球菌
157、单项选择题
男,12岁,反复咳嗽咳痰多年,CT如图3,最可能的诊断为()
A.先天性支气管囊肿
B.肺结核
C.肺发育不全
D.肺隔离症
E.肺脓肿
158、单项选择题 治疗肺曲霉病下列药物哪一种效果最不理想()
A.伊曲康唑
B.两性霉素B脂质复合体
C.伏立康唑
D.卡泊芬净
E.氟康唑
159、多项选择题 下列哪些符合我国制定的重症肺炎的标准()
A.PaO/Fi0<400
B.BP<90/60mmHg
C.胸片显示双侧或多肺叶受累,或48小时内病变扩大>50%
D.少尿
E.意识障碍
160、单项选择题 有关肺脓肿的发病原因哪项最多见()
A.骨髓炎
B.皮肤创伤感染,疖痈
C.龋齿、扁桃体炎、鼻旁窦炎分泌物被吸入下呼吸道
D.支气管扩张,支气管囊肿,空洞性结核
E.膈下脓肿,阿米巴肝脓肿
161、单项选择题
淋巴瘤患者放疗后3个月出现气急咳嗽,CT如图,应考虑为()
A.陈旧性结核
B.放射性肺炎
C.浸润型肺结核
D.瘢痕癌
E.硅沉着病结节
162、单项选择题
男性患者,19岁,咳嗽、发热1周,X线检查如图,最可能的诊断是()
A.左下肺不张
B.左侧胸膜肥厚
C.左下肺炎症
D.左侧胸腔积液
E.左下支气管扩张
163、单项选择题 肺脓肿的抗生素治疗,疗程应不短于()
A.2周
B.3周
C.4周
D.8周
E.3个月
164、单项选择题
女,36岁,发热,胸痛咳脓痰十余天,胸部正侧位如图,最可能的诊断为()
A.左下肺周围型肺癌并空洞形成
B.左下肺脓肿
C.左下肺空洞型肺结核
D.左侧包裹性液气胸
E.急性胃扩张
165、单项选择题
男性患者,36岁,胸痛、发热2周,X线检查如图,最佳诊断是()
A.右下肺炎症
B.右肺肿瘤
C.右下肺不张
D.右肺中叶综合征
E.右胸腔积液
166、填空题 痰标本采集后要用显微镜检查,当每低倍视野含鳞状上皮细胞数__________个,白细胞、__________个,或鳞状上皮细胞:白细胞__________,可认为此次标本合格接种培养。
167、问答题 试述肺脓肿的治疗。
168、单项选择题
男,36岁,胸痛半月伴发高热,胸片发现占位性病变,CT检查如图,最可能的诊断为()
A.左下肺肺脓肿
B.左下肺癌并空洞形成
C.左侧胸腔积脓
D.左下肺囊肿
E.左下肺肺炎
169、配伍题 肺结核首选()肺炎首选()肺脓肿首选()
A.痰厌氧菌培养
B.痰培养
C.痰抗酸染色
D.痰真菌培养
E.痰阿米巴培养
170、单项选择题 院内获得性肺炎,最常见的致病菌是()
A.肺炎链球菌
B.金黄色葡萄球菌
C.革兰阴性杆菌
D.白色念珠菌
E.厌氧菌
171、单项选择题 男,27岁,受凉后突起高热、胸痛1周,少量血痰。血常规:WBC25×10/L,N0.88。胸片示右下叶前段大片阴影,内有一空洞且有液平面。最可能的诊断是()
A.急性大叶性肺炎
B.肺结核
C.急性肺脓肿
D.癌性空洞
E.支气管囊肿并感染
172、单项选择题 男性,17岁。受凉后咽痛、咳嗽、咯少量黏痰并发热、纳差、肌肉酸痛5天,用青霉素80万U肌内注射,每天2次,经4天治疗后无明显疗效。胸片显示左下肺肺段性分布浸润灶。选择下列哪一项药物治疗最合适()
A.庆大霉素
B.左氧氟沙星
C.红霉素
D.复方新诺明
E.头孢哌酮
173、配伍题 肺炎克雷白杆菌肺炎首选()肺炎支原体肺炎首选()肺念珠菌病首选()
A.青霉素
B.四环素
C.氯霉素
D.氟康唑
E.丁胺卡哪霉素
174、单项选择题 有关克雷白杆菌肺炎的诊断,下列各项中最有价值的是()
A.急起高热、咳嗽、胸痛
B.痰粘稠呈砖红色胶冻状
C.上肺呼吸音低,有湿啰音
D.X线示肺叶或小叶实变
E.痰的细菌培养
175、单项选择题
男,15岁,受凉后咽痛、干咳、低热乏力2周,近日感纳差,四肢肌肉痛。X线显示下肺部多形态的浸润影,呈节段性分布。
该患者血常规:WBC6.5×10/L,N0.75,L0.25,痰培养为口腔正常菌群;冷凝集试验确定效价为1:45。诊断应为()
A.肺炎球菌肺炎
B.肺结核
C.肺炎支原体肺炎
D.军团菌肺炎
E.病毒性肺炎
176、单项选择题 肺炎球菌在肺泡内繁殖,通过哪一途径扩散而致肺段或肺叶实变()
A.经Cohn氏孔播散
B.沿支气管播散
C.经淋巴管播散
D.血行播散
E.细菌荚膜破坏肺泡壁
177、单项选择题 17岁学生,2周来感乏力,咽痛,咳嗽,咳少量粘痰,自觉发热,食欲减退。服磺胺药6天,无明显疗效。胸片示左下肺多形态的浸润影,呈节段性分布。治疗最佳的药物为()
A.青霉素
B.庆大霉素
C.红霉素
D.雷米封+链霉素
E.氟哌酸
178、单项选择题
男,15岁,受凉后咽痛、干咳、低热乏力2周,近日感纳差,四肢肌肉痛。X线显示下肺部多形态的浸润影,呈节段性分布。
还应作哪项检查最有助于诊断()
A.冷凝试验
B.肝功能
C.痰培养
D.血常规
E.OT试验
179、多项选择题 诱发吸入性肺脓肿的因素是()
A.身体其他部位感染
B.昏迷状态下呛吸感染物
C.熟睡时误吸感染性分泌物
D.口腔手术
E.肺癌
180、填空题 治疗重症肺炎应首先抢救__________、同时进行__________、__________、__________和__________的治疗。
181、配伍题 克雷白杆菌肺炎首选()肺炎支原体肺炎首选()
A.红霉素
B.青霉素
C.氯霉素
D.头孢曲松钠
E.体位引流
182、单项选择题 有关肺脓肿的看法,下列哪项是错误的()
A.70~90%为急性起病
B.多为低热,偶有高热
C.发病后10~14天咯大量痰
D.并非所有肺脓肿均为脓臭痰
E.可并发自发性气胸
183、单项选择题 关于肺炎球菌肺炎的致病菌,下列哪项是正确的()
A.非上呼吸道正常菌群
B.为革兰阳性球菌
C.感染该菌易发生感染性休克
D.该菌在干燥痰中存活时间仅几小时
E.儿童和成人属同一致病亚型
184、单项选择题 女,30岁,突起高热,胸痛,咳铁锈色痰,左下肺实变征。X线胸片左下肺炎,青霉素肌内注射每次160万U,3次/天,5天后仍不退热,且左下胸饱满,呼吸音消失。下列检查哪项最重要()
A.诊断性胸腔穿刺
B.X线胸片
C.多次痰培养
D.血培养
E.支气管镜检查
185、单项选择题 普通型肺炎链球菌肺炎的治疗最主要的是()
A.卧床休息、补液
B.鼻导管给氧
C.退热止痛
D.祛痰止咳
E.选用敏感抗菌药物
186、单项选择题 关于肺脓肿的抗菌治疗,下列哪项是正确的()
A.一般不少于8周,以免复发
B.大剂量青霉素一般对厌氧菌也敏感
C.临床症状及X线检查病变完全消失后停药
D.厌氧菌对青霉素不敏感时用甲硝唑和(或)克林霉素
E.包括以上各项
187、单项选择题 下列哪项对于肺炎球菌肺炎最有诊断价值()
A.突起畏寒,高热全身不适
B.咳嗽,胸痛,气促
C.一侧胸痛向肩部放射
D.一侧胸部叩诊浊音,有湿啰音
E.咳嗽,咳铁锈色痰
188、填空题 肺炎从病因分,可分为__________、__________、__________、__________和其他病原体肺炎以及__________。
189、单项选择题 有关肺脓肿的病理,下列哪项不正确()
A.急性期组织迅速坏死液化
B.动脉血管瘤有纤维化组织包围,不易破裂
C.脓肿位于肺周边可引起胸膜炎、胸腔积液、脓胸
D.慢性期空腔壁有成纤维细胞增生
E.组织坏死,血供不足,厌氧菌生长繁殖
190、多项选择题 严重肺炎球菌肺炎可表现()
A.神经精神症状
B.末梢循环衰竭
C.呕吐、腹泻、黄疸
D.气急、发绀
E.颈抵抗
191、单项选择题 男性,31岁。几天前曾患“感冒”,畏寒、发热,体温达39.8℃;伴咳嗽,痰中带血,左侧胸痛,放射至左肩部,大便次数增加。体检:左肺呼吸音稍低,无啰音。为明确诊断最有价值而简便的检查是()
A.血培养
B.血常规
C.胸部X线
D.痰涂片
E.CT检查
192、多项选择题 肺炎球菌肺炎可出现的并发症有()
A.末梢循环衰竭
B.肺结核
C.胸膜炎
D.肺气肿
E.肺脓肿
193、配伍题 肺炎链球菌肺炎首选()金黄色葡萄球菌肺炎首选()肺炎克雷白杆菌肺炎首选()支原体肺炎首选()
A.氨基糖苷类抗生素
B.红霉素
C.耐霉青霉素
D.青霉素
E.克林霉素
194、单项选择题
某老年患者,咳嗽,右胸痛,气促,咳铁锈色痰数口。查:血压8.8/5.6kPa(66/42mmHg),脉搏124次/分,发绀,神志恍惚,肢冷,右下肺可及少许湿啰音。血常规:WBC7.8×10/L,N0.85。
首先考虑的诊断是()
A.金黄色葡萄球菌肺炎
B.病毒性肺炎
C.肺炎支原体肺炎
D.克雷白杆菌肺炎
E.休克型肺炎
195、判断题 血源性肺脓肿常为单发,致病菌以金黄色葡萄球菌、表皮葡萄球菌常见。
196、单项选择题
男性,27岁,发热、咳嗽、咳痰4天,未经诊治,查体:右下肺实变体征,胸部X线示右肺大片浸润影,血气分析示pH7.36,PaO63mmHg,PaCO32mmHg。
为取得致病菌,下列哪项正确()
A.清晨用清水漱口
B.留取第二口痰
C.痰液在1小时内送检
D.黏稠的痰液可用溶解剂溶解,再接种
E.以上全是
197、单项选择题 女,42岁,咳嗽,咳大量脓痰伴发热1个月余,间有痰中带血。X线胸片示左上肺有一空洞伴液平面。为明确诊断,指导治疗最重要的检查是()
A.白细胞计数
B.胸部体层照片
C.支气管镜检查
D.血沉
E.痰细胞学及病理细胞学检查
198、单项选择题 关于肺炎球菌肺炎的发病机制及病理生理,下列哪项错误()
A.荚膜对组织的侵袭作用,使肺组织坏死、破坏
B.肺炎球菌含有高分子多糖体的荚膜,具有特异性抗原
C.炎症可累及几个肺段或整个肺叶
D.病变开始于肺的外周,容易累及胸膜
E.极少数患者可形成机化性肺炎
199、单项选择题 休克性肺炎的临床表现,以下描述不正确的是()
A.血压下降、脉压减小
B.面色苍白、烦躁不安
C.四肢厥冷、出冷汗
D.尿量增多
E.不发热或仅有低热
200、单项选择题 首选红霉素治疗的肺炎为()
A.肺炎支原体肺炎
B.肺炎链球菌肺炎
C.厌氧菌所致肺炎
D.葡萄球菌性肺炎
E.以上均是
201、单项选择题
男性患者,66岁,咳嗽发热2周,无痰中带血,X线检查如图,最可能的诊断是()
A.细支气管肺泡癌
B.血行播散型肺结核
C.左肺浸润型肺结核
D.E.左胸腔积液
202、单项选择题
女性,36岁,受凉后出现高热,咳嗽,咳大量脓臭痰2周。查体:右下肺叩诊浊音,可闻及湿性啰音。查WBC20×10/L,中性粒细胞92%。胸片示右下叶背段大片阴影并有厚壁空洞。
较合理的治疗应包括()
A.气管插管
B.单用青霉素
C.抗炎及体位引流
D.青霉素+甲硝唑
E.口服异烟肼、乙胺丁醇、利福平
203、单项选择题
男,32岁,外出旅游1个月后,咳嗽1周,CT检查如图,最可能的诊断为()
A.肺部真菌感染
B.肺结核
C.肺类风湿病
D.SLE肺部浸润
E.肺癌
204、多项选择题 继发性肺脓肿来源于()
A.阿米巴肝脓肿、膈下脓肿
B.金黄色葡萄球菌肺炎
C.支气管扩张
D.吸入带菌分泌物
E.菌栓血行播散
205、判断题 真菌致病的决定因素是真菌的毒力、数量与侵入途径。
206、配伍题 抗生素治疗无效()致病力与细菌产生的凝固酶有关()
A.肺炎球菌肺炎
B.金黄色葡萄球菌肺炎
C.克雷白杆菌肺炎
D.支原体肺炎
E.病毒性肺炎
207、单项选择题 对下列肺炎选用抗菌药物,哪一项是正确的()
A.肺炎支原体肺炎——红霉素
B.军团菌肺炎——四环素
C.念珠菌肺炎——磺胺类
D.铜绿假单胞菌肺炎——青霉素
E.金黄色葡萄球菌肺炎——多粘菌素
208、配伍题 肺炎()气胸()肺结核()支气管扩张()
A.急起发热、咳嗽、咳大量脓痰
B.急起发热、咽痛、流涕、鼻塞
C.缓起发热、乏力、纳差、干咳
D.急起畏寒、发热、咳嗽、胸痛
E.突起胸痛、气促
209、单项选择题 肺脓肿与肺癌空洞的鉴别最主要是()
A.胸痛、咯血
B.畏寒、发热
C.咳嗽、咳痰
D.胸部X线片
E.支气管镜活检或痰脱落细胞检查
210、单项选择题
男性患者,52岁,体检胸片如图,最明确的是()
A.右上肺不张
B.胸膜肥厚
C.包裹性积液
D.炎症
E.支气管扩张
211、配伍题 革兰阴性杆菌的主要致病机制是()肺炎链球菌的主要致病机制是()
A.产生内毒素
B.产生外毒素
C.产生溶血素
D.产生血浆凝固酶
E.荚膜对组织的侵袭作用
212、单项选择题 男性,65岁,有慢性支气管炎20余年,咳嗽伴高热4天,痰呈砖红色、胶冻状。查体:右下肺叩诊浊音,可闻及支气管呼吸音及湿啰音,胸片示右下肺大片实变影,诊断为右下肺炎。最可能的病原体是()
A.肺炎链球菌
B.军团菌
C.支原体
D.肺炎克雷白杆菌
E.白色念珠菌
213、单项选择题 肺炎克雷白杆菌肺炎的临床特点,下列哪项不符合()
A.起病急、胸痛、畏寒
B.咳嗽,咳红棕色胶冻状痰
C.白细胞正常或增加
D.对庆大霉素及第三代头孢菌素敏感
E.青壮年多见,预后良好
214、单项选择题 男性患者,急性腹痛伴高热咳嗽,咳痰,恶心,呕吐。除了考虑为急性胃肠道疾病以外,还应首先考虑下列哪种疾病()
A.心肌梗死
B.肺炎球菌肺炎
C.急性胆囊炎
D.急性胰腺炎
E.自发性气胸
215、判断题 吸入性肺脓肿常为多发,其部位与支气管解剖和体位有关,病原菌多为厌氧菌。
216、单项选择题 吸入性肺脓肿患者,经足量、多种抗生素治疗3个月,间有发热、咳脓痰。胸部X线检查:空洞壁增厚,周围有明显纤维条索影。进一步治疗宜选()
A.更换广谱抗生素+甲硝唑
B.支气管镜下吸脓+注药
C.局部穿刺脓腔内注药
D.手术治疗
E.体位引流
217、多项选择题 肺炎球菌肺炎时应用肾上腺皮质激素的适应证是()
A.常规使用
B.预防中毒性休克
C.病情严重、毒血症明显
D.休克状态经常规治疗无效
E.未使用抗生素时使用
218、单项选择题
男,40岁,化脓性胆管炎手术后3天出现高热,伴胸痛,咳嗽,CT如图,最可能的诊断为()
A.肺转移癌
B.金葡菌肺炎
C.肺淋巴瘤
D.肺多发性脓肿
E.肺组织胞浆菌病
219、单项选择题 关于肺炎链球菌肺炎,下列哪一项是正确的()
A.多发生于年老体弱或免疫功能低下者
B.易形成空洞
C.X线胸片为大片絮状阴影,以急起寒战、高热、咳嗽、咳铁锈色痰为特征
D.血白细胞增加,分类以嗜酸性粒细胞为主
E.治疗以氨基糖苷类药物为首选
220、单项选择题
男,53岁,反复咳嗽,咳痰一月余,伴胸闷,胸片如图,最可能的诊断为()
A.右中肺大叶性肺炎
B.右中肺不张
C.右中肺栓塞
D.右下肺背段不张
E.右下肺隔离症
221、单项选择题 从2002年底以来,在我国及世界范围内暴发的传染性非典型肺炎(严重急性呼吸综合征,SARS)疫情,关于其特点,下列哪一项不正确()
A.多发生于中青年
B.病死率高
C.传染性强
D.多发生于儿童
E.缺乏针对性药物
222、单项选择题 关于肺结核与肺炎球菌肺炎的鉴别,下列哪项是支持前者的主要根据()
A.有无先期发热病史
B.痰细菌学检查
C.白细胞总数和分类
D.X线病灶阴影的部位与密度
E.青霉素治疗反应
223、单项选择题
男,22岁,高热3天,伴咳嗽,胸片如图,最可能诊断是()
A.两肺结核
B.支气管肺炎
C.金葡菌肺炎
D.大叶性肺炎
E.干酪性肺炎
224、单项选择题 院外金黄色葡萄球菌肺炎首选治疗是()
A.青霉素
B.耐青霉素酶的β-内酰胺类抗生素
C.广谱半合成青霉素
D.大环内酯类抗生素
E.氨基糖苷类
225、单项选择题
男,60岁,嗜酒,急起高热、咳嗽、咳粘稠脓痰,量多,胸痛。胸片示右上肺叶实变,有多个蜂窝状空洞,叶间隙下坠。
治疗应首选()
A.足量青霉素
B.阿糖胞苷
C.红霉素
D.丁胺卡哪霉素与头孢菌素联合应用
E.糖皮质激素
226、单项选择题 男,25岁,咳嗽、咳痰、胸痛、发热3天。查体:体温39.0℃,血压16/9.3kPa(120/70mmHg),脉搏120次/分,右下肺叩诊浊音,语颤增强,可闻支气管呼吸音。胸片示右下肺片状模糊阴影。血常规:WBC16×10/L,N0.8。考虑首先选用下列哪种药物()
A.毛花苷丙
B.氨茶碱
C.泼尼松
D.青霉素
E.先锋霉素
227、单项选择题
女性,36岁,受凉后出现高热,咳嗽,咳大量脓臭痰2周。查体:右下肺叩诊浊音,可闻及湿性啰音。查WBC20×10/L,中性粒细胞92%。胸片示右下叶背段大片阴影并有厚壁空洞。
最可能的诊断()
A.肺结核
B.肺癌
C.肺囊肿
D.肺脓肿
E.支气管扩张
228、问答题 男性,45岁,平素体健,5天来感冒后出现轻度咳嗽、咳痰,3天来左上腹痛,并出现高热、寒战,自觉气短。根据上述的这些表现,为进行鉴别诊断查体应特别注意寻找哪些线索?
229、单项选择题
男性,72岁,既往有糖尿病和COPD病史,3天前受凉后出现咳嗽、咳黄痰,伴有低热,最高体温为37.8℃,入院后查体:双肺均可闻及细湿啰音,胸部X线示双肺点片状阴影,血常规示WBC6.5×10/L,N76%。
为明确诊断,下列检查有意义的是()
A.血培养
B.痰涂片
C.痰培养+药物敏感试验
D.胸部CT
E.支气管镜检查
230、单项选择题 以下哪一项不是吸入性肺脓肿手术治疗的指征()
A.积极治疗2个月无效
B.内科治疗不能闭合的厚壁空洞
C.脓腔>6cm
D.合并脓胸
E.有支气管阻塞引流不畅
231、多项选择题 急性肺脓肿痰菌培养为脆弱类杆菌且对青霉素不敏感时,应选用()
A.克林霉素
B.甲硝唑
C.红霉素
D.头孢菌素
E.林可霉素
232、单项选择题 男性,45岁,发热、咳嗽,胸透发现右上肺片状阴影,抗感染治疗好转,2个月后又类似发作一次,半年后又发热、咳嗽,胸片又发现右上肺大片致密阴影,给予抗菌治疗未见好转,查体:肺部无啰音,白细胞计数11.0×10/L,中性O.80,淋巴0.20,哪项诊断可能性最大()
A.肺炎球菌性肺炎延迟消散
B.病毒性肺炎
C.支原体肺炎
D.干酪性肺炎
E.阻塞性肺炎
233、单项选择题 关于革兰阴性杆菌所致肺炎的治疗,下列哪一项不正确()
A.肺炎克雷白杆菌肺炎首选氨基糖苷类抗生素
B.慢性肺炎克雷白杆菌肺炎患者多数需行肺叶切除术
C.铜绿假单胞菌肺炎应适当联合使用抗生素
D.流感嗜血杆菌肺炎首选氨苄青霉素
E.大肠埃希菌肺炎可联合使用氟喹诺酮和氨基糖苷类抗生素
234、多项选择题 确诊金黄色葡萄球菌肺炎的主要依据是()
A.起病急、寒战、高热、病情重
B.血白细胞增加、核左移
C.咳脓痰、肺部出现脓肿
D.痰和血培养阳性结果
E.咳铁锈色痰
235、单项选择题 下列哪种疾病最不可能是肺炎球菌肺炎的并发症()
A.DIC
B.胸膜炎
C.心律失常
D.贫血
E.肺脓肿
236、单项选择题 有感染高危因素患者的医院获得性肺炎的描述哪一项是错误的()
A.肺炎链球菌肺炎仍然是最常见
B.革兰阴性杆菌为最主要的致病菌
C.细菌耐药的发生率较高
D.多数患者是由于广泛使用抗生素所致
E.多数患者免疫功能低下
237、单项选择题 肺炎球菌肺炎患者咳吐铁锈色痰,主要见于哪一病理分期()
A.充血期
B.灰色肝变期
C.红色肝变期
D.消散期
E.慢性迁延期
238、单项选择题 男性,43岁。有支气管扩张病史20年。平时痰多,脓性。但近半月来痰少,频频咳嗽,并反复咯血。X线胸片显示右下肺有一空洞,内有团球影,其可能的诊断是()
A.肺脓肿
B.Wegener肉芽肿
C.曲霉肿
D.侵袭性曲霉病
E.球形肺炎
239、单项选择题
男,56岁,请结合影像图像,选择最可能的诊断为()
A.左上肺癌
B.左上肺结核性空洞
C.左上肺韦格肉芽肿
D.左上肺曲真菌感染
E.左上肺放线菌感染
240、填空题 肺炎从解剖分为__________、__________、__________肺炎。
241、单项选择题 男,34岁,畏寒、高热4天,咳白色粘痰。胸片示右下肺大片阴影。WBC20×10/L。下述哪项抗生素治疗是合理的()
A.青霉素480万U/d静脉注射+林可霉素1.8g/d静脉滴注
B.先锋铋4g/d+磺胺嘧啶1g静脉注射
C.青霉素160万U/d静脉推注+链霉素O.75g/d肌内注射
D.复达欣3g/d静脉注射
E.菌必治1g/d静脉注射
242、单项选择题 男,30岁,醉酒后高热、寒战、烦躁不安3小时。查体:神志模糊,血压10.6/6.7kPa(80/50mmHg),右下肺呼吸音粗糙。下列哪项处理最佳()
A.给复方氨基匹林
B.快速静脉扩容+青霉素
C.物理降温
D.给地塞米松
E.柴胡注射液肌内注射
243、单项选择题 女性,17岁。因淋雨后突起畏寒、寒战、发热、咳嗽1天多,就诊前曾咳铁锈色痰。胸片示右下肺叶大片致密影;血常规:WBC17×10/L,NO.9,L0.1。经青霉素治疗后体温降至正常,3天后又再发热。其原因应考虑()
A.诊断错误
B.未加用退热剂
C.青霉素剂量太小
D.有并发症发生
E.机体反应性太差
244、单项选择题 诊断血源性肺脓肿,下列哪项错误()
A.早期肺部可无明显体征
B.病变常发生在中、下肺野的边缘
C.病灶容易形成张力性囊肿
D.脓肿未向支气管破溃前,多无呼吸道症状
E.病灶常呈单发性
245、单项选择题 典型肺炎球菌肺炎的临床特征是()
A.胸痛、咳嗽、脓痰、呼吸困难
B.寒战、高热、咳嗽、脓痰、呼吸困难
C.寒战、高热、咳嗽、脓痰、胸膜摩擦音
D.寒战、高热、胸痛、咳嗽、咳铁锈色痰
E.发热、咳嗽、咳痰、双肺干、湿性啰音
246、填空题 脓肿的病原体常包括__________、__________和__________菌。
247、单项选择题 急性肺脓肿患者,经大量青霉素治疗后体温稍有下降,但痰量逐日增多,为脓血痰有臭味。治疗中除加用甲硝唑静脉滴注,加强支持疗法外,还应采取下列哪项措施()
A.用氯化铵或碘化钾
B.体位引流痰液
C.用必嗽平
D.支气管解痉药
E.止血药
248、单项选择题 冷凝集试验用于诊断哪些病原菌()
A.腺病毒
B.肺炎支原体
C.肺炎克雷自杆菌
D.肺炎链球菌
E.巨细胞病毒
249、单项选择题 男性,48岁,高热寒战6天,胸片为左肺大片致密阴影,近1天来少尿,查体:口唇干燥,四肢厥冷,BP:70/60mmHg,中心静脉压5cmHO。目前最重要的治疗措施为()
A.静脉滴入青霉素400万U
B.静脉滴入间羟胺
C.静脉滴入低分子右旋糖酐500ml
D.静脉滴入5%碳酸氢钠200ml
E.立即气管抽管
250、单项选择题 女性,49岁,原有糖尿病,右脚外伤后伤口经久不愈合。3天前突起高热、寒战、胸痛、咳嗽、咳脓痰、呈粉红色乳状痰,X线胸片示双肺多发片状浸润影,并有多个1~2cm大小的液气囊腔,最可能的诊断是()
A.肺炎链球菌肺炎
B.葡萄球菌肺炎
C.肺炎支原体肺炎
D.病毒性肺炎
E.肺炎克雷白杆菌性肺炎
251、单项选择题
男,51岁,呼吸困难,心悸,咳大量粉红色泡沫痰,结合CT,最可能的诊断是()
A.肺泡性肺水肿
B.间质性肺水肿
C.肺泡癌
D.肺泡蛋白沉积症
E.肺结核
252、单项选择题 有关肺炎支原体肺炎的实验室结果,下列哪项最有诊断价值()
A.周围血白细胞总数正常或稍增多,以中性粒细胞为主
B.抗支原体抗体测定(免疫荧光法)
C.链球菌MG凝集试验阳性
D.抗支原体抗体测定(酶联免疫吸附试验)
E.冷凝集试验阳性
253、单项选择题 对过敏性支气管肺曲真菌病(APBA)诊断最有提示意义的是()
A.胸闷、气急
B.血IgE增高
C.痰中可见大量嗜酸性粒细胞和曲菌菌丝
D.肺部游走性阴影
E.糖皮质激素治疗效果好
254、单项选择题
壮年男性,1周前有牙痛史,继而患“感冒”,出现畏寒、寒战、高热、胸痛、咳嗽、咳脓痰。查体:体温39.5℃,呼吸窘迫,心、肺检查未发现异常。血常规:WBC19×10/L,N0.9。
首选治疗措施为()
A.解热镇痛药
B.止咳祛痰
C.青霉素抗感染
D.氧疗
E.糖皮质激素
255、单项选择题 关于肺炎链球菌引起的肺炎的病理生理过程,不正确的说法是()
A.病变开始于肺的外周
B.先引起肺泡壁的水肿
C.原发组织坏死并空洞
D.分为充血期、红色肝变期、灰色肝变期、消散期等四期
E.经Cohn孔扩散
256、多项选择题 对有发热、胸痛、咳嗽的病人,下列哪项检查有助于肺炎与胸膜炎的鉴别()
A.语颤增加
B.呼吸急促
C.湿性啰音
D.呼吸音减低
E.病变处叩诊呈浊音
257、单项选择题
HIV患者咳嗽咳痰一月余,伴发热,结合影像图像,选择最可能的诊断()
A.机会性肺部感染
B.卡氏肺孢子菌性肺炎
C.卡波氏肉瘤
D.肺淋巴瘤
E.间质性肺炎
258、单项选择题 有关支原体肺炎临床特点,下列哪项不正确()
A.常于冬季发病,中青年居多
B.缓起、乏力、咽痛、咳嗽、发热
C.并发鼓膜炎和中耳炎
D.都有雷诺现像
E.有血小板减少和周围神经炎
259、填空题 肺炎球菌肺炎的病理过程为__________、__________、__________、__________。
260、单项选择题
男,48岁,发热,咳嗽,咳痰,咯血,PPD(-),请结合图,最可能的诊断是()
A.肺癌
B.肺曲菌病
C.肺结核
D.肺炎
E.肺脓肿
261、单项选择题 血源性肺脓肿最常见的病原菌()
A.大肠杆菌
B.金黄色葡萄球菌
C.产气杆菌
D.克雷白杆菌
E.草绿色溶血性链球菌
262、单项选择题 关于吸入性肺脓肿,下列哪一项不正确()
A.多属厌氧菌为主的混合感染,痰一般细菌培养不易生长
B.好发于右上叶后段和右或左下叶的背段
C.X线片可见空洞,其内壁凹凸不平,为偏心性的空洞
D.咳出大量脓痰,且常有恶臭
E.有效抗生素的治疗,一般不应少于8周
263、单项选择题 下列哪项不是肺炎链球菌肺炎的并发症()
A.机化性肺炎
B.风湿性心肌炎
C.急性浆液纤维蛋白性胸膜炎
D.败血症
E.化脓性心包炎
264、配伍题 在整个病理过程中无肺泡壁和其他结构破坏的肺炎是()皮肤疖肿,因挤压出现发热、肺内出现多发病灶是()合并慢性基础疾病患者易患的肺炎是()在院内获得性感染中,最常见的是()
A.金黄色葡萄球菌肺炎
B.肺炎链球菌肺炎
C.克雷白杆菌肺炎
D.铜绿假单胞杆菌肺炎
E.流感嗜血杆菌肺炎
265、单项选择题
女性患者,26岁,咳嗽发热1周,无胸痛胸闷,X线检查如图,最合理的诊断是()
A.右侧大叶性肺炎
B.右侧胸腔积液
C.右肺中叶综合征
D.右侧胸膜肥厚
E.右侧支气管扩张
266、单项选择题 男,43岁,受凉后高热寒战、咳嗽,咳大量脓痰2周,青霉素80万U肌内注射,每8小时1次,治疗10天,体温稍降低,仍咳嗽咳痰。下列治疗哪项最适合()
A.青霉素480万U,静脉滴注,每天2次
B.洁霉素1.2g,静脉滴注,每天2次,或甲硝唑O.4每天3次
C.口服大环内酯类抗生素
D.链霉素0.5g肌内注射,每天2次
E.加强静脉补液