时间:2020-12-27 02:22:29


1、名词解释 核黄疸
2、名词解释 诊断扁平颅底的重要依据?
3、填空题 小脑扁桃体下疝的临床表现主要有_________、_________、_________。
4、单项选择题
49岁,女性,有轻瘫,头痛,CT表现如图,最可能的诊断是()

A.硬膜下血肿
B.硬膜下积液
C.Dandy-Walker综合征
D.脑积水
E.蛛网膜囊肿
5、单项选择题
女,62岁,头痛,精神焦虑,CT检查如图,最可能的诊断为()

A.正常脑CT
B.苍白球钙化
C.腔隙性脑梗死
D.脑出血
E.脑萎缩
6、单项选择题
某女46岁,颈项部疼痛1年,双上肢麻木无力8个月。查体有颈部运动受限,腱反射减弱。颅颈侧位片如图示,本病最可能诊断为()

A.小脑扁桃体下疝畸形
B.扁平颅底
C.颅底凹陷症
D.颈椎病
E.椎管内肿瘤
7、判断题 腭-枕线是颅骨侧位腭后缘到枕大孔后上缘连线。()
8、问答题 什么是颅颈区畸形?包括哪些疾病?
9、填空题 颅底角大于_________度对扁平颅底有诊断意义。
10、单项选择题
男,35岁,间歇性癫痫发作20余年,CT检查如图,最可能的诊断为()
A.表皮样囊肿
B.血管母细胞瘤
C.胼胝体发育不良
D.灰质异位
E.脑囊肿
11、单项选择题
男,12岁,抽搐、学习差,智力发育低于同龄儿童,MR检查如图,选择最可能的诊断()
A.先天发育不全
B.灰质异位
C.正常颅脑
D.无脑回
E.白质异常
12、配伍题 显性脊柱裂()隐性脊柱裂()
A.椎骨缺损
B.椎管内容物膨出
C.两者均有
D.两者均无
13、单项选择题
根据图示,应诊断为何种神经系统先天性疾病()

A.颅底凹陷症
B.Litter病
C.无脑畸形
D.先天性脑积水
E.蛛网膜囊肿
14、问答题 颅底凹陷症的临床表现是什么?
15、判断题 Arnold-Chiari畸形是小脑扁桃体下疝畸形。()
16、单项选择题
患者30岁,近几年常有颈项部疼痛,颈部运动受限或不灵,头颈向一侧偏斜,查体颈部强直,双侧上肢麻木、无力及肌萎缩,腱反射减弱,病理征阴性。
该患者神经系统受损症状涉及的结构是()
A.延髓
B.上颈髓
C.颈神经根
D.小脑
E.椎动脉
17、名词解释 Litter病
18、单项选择题
根据CT表现考虑为()

A.Dandy-Walker综合征
B.Arnold-Chiari畸形
C.颅底凹陷症
D.大脑导水管狭窄
E.上矢状窦血栓形成
19、问答题 论述脑瘫的诊断标准和治疗原则。
20、填空题 脑积水患儿X线照片发现颅底部异常钙化影常提示_________的可能。
21、多项选择题 下列哪种疾病可以进行手术治疗()
A.先天性脑积水
B.Arnold-Chiari畸形
C.颅底凹陷症
D.脑瘫痉挛型
E.扁平颅底
22、单项选择题 颅底凹陷症时造成有定位诊断意义的主要临床神经系表现为累及()
A.后组颅神经、延髓、上颈髓及其神经根、颅内压增高、小脑
B.后组颅神经、延髓、上颈髓及其神经根
C.后组颅神经、延髓、上颈髓及其神经根、小脑
D.后组颅神经、延髓、上颈髓及其神经根、颅内压增高
E.后组颅神经、延髓、上颈髓、小脑
23、判断题 脑瘫的特点是婴儿期出现中枢性瘫痪。()
24、单项选择题 可同时伴有脑积水和脊柱裂的颅脑先天畸形是()
A.中脑导水管狭窄
B.Dandy-Walker畸形
C.Arnold-Chiari畸形
D.狭颅症
E.颅底陷入症
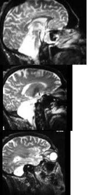
25、单项选择题
某女58岁,肢体活动不灵、吞咽困难2年。查体有腱反射亢进。MRI如图示最可能的疾病为()
A.椎管内肿瘤
B.颅内肿瘤
C.小脑扁桃体下疝畸形
D.脑积水
E.颅底凹陷症
26、单项选择题 Litter病患者步态异常表现为()
A.醉酒步态
B.跨阈步态
C.小脑性步态
D.剪刀样步态
E.感觉性共济失调步态
27、单项选择题
两个月女婴,口咽部有一肿块,行CT检查如图,请选择最可能的诊断()

A.脑积水
B.胼胝体发育不全
C.透明隔囊肿
D.前脑无裂畸形
E.Dandy-Walker综合征
28、判断题 神经系统先天性疾病就是遗传性疾病()
29、填空题 脑性瘫痪的主要鉴别诊断有_________、_________、_________。
30、问答题 论述先天性脑积水的临床表现和治疗原则。
31、单项选择题
女,1岁半,头颅迅速增大,行CT检查如图,请选出最可能的诊断()

A.积水型无脑畸形
B.硬膜外血肿
C.硬膜下血肿
D.硬膜下积液
E.脑内血肿
32、填空题 颅裂手术的目的是_________。
33、单项选择题
患者,女,16岁,四肢活动不灵半年,走路不稳2个月。行MRI检查如下图,最可能的诊断为()
A.室管膜瘤
B.血管畸形
C.Chari’s畸形(Ⅰ型)并脊髓空洞形成
D.枕大孔疝
E.未见异常
34、多项选择题 神经系统发育异常性疾病的常见病因包括()
A.感染
B.药物
C.辐射
D.孕妇患糖尿病
E.孕妇吸烟
35、单项选择题 婴儿5天大,精神倦怠、吸吮无力、昏睡、抽搐发作,查体肌张力增高,血清胆红素450mg/L。考虑哪种疾病()
A.先天性婴儿偏瘫
B.后天性婴儿偏瘫
C.脑炎
D.核黄疸
E.脑性痉挛性双侧瘫
36、单项选择题 颅底陷入症可有下列症状,但不包括()
A.共济失调
B.肌张力障碍
C.吞咽反呛
D.颅内压增高症状
E.癫痫
37、单项选择题
该头颅MRI摄片提示()

A.小脑扁桃体肿瘤
B.扁平颅底
C.Arnold-Chiari畸形
D.寰枕融合
E.无脑畸形
38、名词解释 颅颈区畸形
39、填空题 脑性瘫痪的病因分型:_________、_________、_________。
40、单项选择题
患儿,男,1岁,运动发育落后半年。生后5分钟Apgar评分5分。家族史阴性。查体:智力正常,双上肢活动正常,双下肢肌张力增高,腱反射亢进,踝阵挛阳性。CT检查如图。
本病最可能诊断为()

A.椎管内肿瘤
B.脑炎后遗症
C.遗传性痉挛性截瘫
D.脑性瘫 痪
E.Louis-Barr综合征
41、判断题 颅底角是由鼻根至蝶鞍中心连线,与蝶鞍中心向枕大孔前缘连线所形成的夹角。()
42、单项选择题
4个月,男婴,相貌怪异,请结合图片选出最可能的诊断()

A.颅缝早闭
B.脑小畸形
C.颅底陷入
D.Dany-Walker综合征
E.脑积水
43、多项选择题 关于Litter病正确的有()
A.上肢瘫痪重于下肢
B.无感觉异常
C.无括约肌功能障碍
D.可有肌张力低下
E.共济失调者可手术治疗
44、问答题 什么是颅底凹陷症?
45、名词解释 脑性瘫痪的两类特殊病理损害?
46、填空题 血清胆红素高于_________mg/L时具有中枢神经系统毒性作用,可导致神经症状
47、填空题 颅底凹陷症的X线表现为枢锥齿状突超过_________3mm或枢锥齿状突超过_________7mm
48、单项选择题
男,53岁,头部不适,结合CT检查选择最可能的诊断()

A.胶质瘤
B.透明隔囊肿
C.第五脑室形成
D.脑梗死
E.软化灶
49、单项选择题
1岁,女,头颅呈球状,颅骨透光试验阳性,请结合CT图片,选择最可能的诊断()

A.脑严重缺血
B.慢性双侧性巨大硬膜下血肿
C.水瘤
D.先天性脑积水
E.重度脑积水
50、判断题 Litter病是指颅底凹陷症。()
51、单项选择题
患儿,男,1岁,运动发育落后半年。生后5分钟Apgar评分5分。家族史阴性。查体:智力正常,双上肢活动正常,双下肢肌张力增高,腱反射亢进,踝阵挛阳性。CT检查如图。
上述疾病诊断后,当前不宜采用的治疗方法是()
A.物理疗法
B.康复训练
C.试服巴氯芬
D.口服安坦
E.选择性脊神经后根切断术
52、单项选择题 胎儿最易受内外环境影响而出现神经系先天性疾病的时期是()
A.3个月内
B.4个月内
C.5个月内
D.6个月内
E.7个月内
53、多项选择题 婴幼儿的脑积水可以表现为()
A.头痛,视乳头水肿
B.头围明显扩大,囟门张力高
C.头颅叩诊呈破罐音
D.双眼球呈落日征
E.可有智力障碍和抽搐发作
54、单项选择题
九个月男孩,头明显增大,前囟大而且鼓出,头下垂,双眼有落日征,头部叩诊有破壶音。四肢活动少,双侧Babinski征阴性,体温正常。
有效的症状治疗是()
A.脑室心房分流术
B.10%甘露醇
C.地塞米松
D.苯海索(安坦)
E.换血
55、单项选择题 颅底凹陷症患者X线平片显示枢椎齿状突超过腭枕线()
A.O.5mm以上
B.1mm以上
C.2mm以上
D.3mm以上
E.4mm以上
56、单项选择题 不引起神经系统先天性畸形的药物是()
A.泼尼松
B.雄激素
C.叶酸
D.甲状腺素片
E.地西泮
57、单项选择题
根据MRI表现,考虑是何种先天性神经系统异常的疾病是()

A.脊柱裂
B.Dandy-Walker综合征
C.前脑无裂畸形
D.灰质异位症
E.胼胝体发育不全
58、名词解释 Macewen征
59、填空题 显性颅裂根据膨出物的内容可分为________、_________、_________和_________。
60、多项选择题 高度提示脑性瘫痪的临床表现有()
A.低体重儿
B.精神运动发育迟滞
C.锥体外系症状伴双侧耳聋和上视麻痹
D.生后数小时出现黄疸,并急骤加重,伴肝脾和心脏肿大
E.睡眠不安,出汗多,可见肋缘外翻
61、单项选择题
四岁男孩,因步态不稳,构音含糊就诊。该患儿孕35周时由于胎动减少而剖宫产,出生体重2100g,Apagar评分6分,5min后评分9分。患儿9个月会坐,3岁学步。体检:足尖行走,双下肢张力增高,有踝阵挛,双侧病理征阳性。
最需要的检查是()
A.头颅X线平片
B.头颅CT平扫
C.运动诱发电位
D.智能测定
E.脑电图
62、单项选择题 神经系统先天性畸形可能的病因是()
A.感染
B.药物
C.辐射
D.严重贫血
E.以上均是
63、单项选择题
四岁男孩,因步态不稳,构音含糊就诊。该患儿孕35周时由于胎动减少而剖宫产,出生体重2100g,Apagar评分6分,5min后评分9分。患儿9个月会坐,3岁学步。体检:足尖行走,双下肢张力增高,有踝阵挛,双侧病理征阳性。
根据CT表现,最可能的诊断是()

A.小脑扁桃体下疝
B.脑性瘫痪
C.颅底凹陷症
D.扁平颅底
E.先天性脑积水
64、单项选择题 婴儿4个月大,头颅明显增大,头发稀少,精神萎靡,头皮静脉明显怒张,颅骨变薄,下列哪个体征是该病特有的()
A.落日征
B.Macewen征
C.囟门扩大
D.颅缝分离
E.外展神经麻痹
65、填空题 脊柱裂可分为_________、_________和_________。
66、单项选择题
根据图提示,先天性脑积水突出的眼征是()

A.眼肌麻痹
B.眼睑下垂
C.落日征
D.复视
E.偏盲
67、名词解释 腭枕线
68、单项选择题
根据MRI表现,考虑何种疾病是()

A.Dandy-Walker综合征
B.Arnold-Chiari畸形
C.颅底凹陷症
D.大脑导水管狭窄
E.脑彭出
69、单项选择题 造成扁平颅底临床表现的原因是由于()
A.本身疾病
B.合并颅底凹陷症
C.合并颈椎融合
D.合并寰椎枕化
E.合并寰枢椎脱位
70、名词解释 abnormalities of the Cranicocervical region
71、填空题 先天性脑积水可分为_________、_________。
72、配伍题 后发际低见于()内翻马蹄足见于()落日征见于()
A.Litter病
B.先天性脑积水
C.胼胝体发育不良
D.颅底凹陷症
E.小脑扁桃体下疝畸形
73、多项选择题 颅底凹陷症临床表现可包括()
A.多数为儿童期起病,进展缓慢
B.声音嘶哑、吞咽困难、构音障碍
C.颈部疼痛和颈强,感觉迟钝
D.体位性头晕、眩晕、恶心等
E.病理征(+)
74、问答题 什么是Arnold-Chiari畸形?
75、填空题 颅颈侧位、张口正位X线平片,测量_________位置是确诊颅底凹陷症的重要依据。超过腭枕线_________mm可确诊。
76、名词解释 脑性痉挛性双侧瘫的特点?
77、单项选择题
患者30岁,近几年常有颈项部疼痛,颈部运动受限或不灵,头颈向一侧偏斜,查体颈部强直,双侧上肢麻木、无力及肌萎缩,腱反射减弱,病理征阴性。
如果累及后组颅神经会出现的症状有()
A.声音嘶哑、吞咽困难、构音障碍和舌肌萎缩
B.眼震、共济失调
C.体位性头晕、眩晕、恶心、呕吐
D.四肢轻瘫、病理征及感觉障碍
E.头面部感觉异常
78、单项选择题
11岁,女,发育延迟,头颅巨大,CT检查如图,最可能的诊断是()

A.脑积水
B.颅后窝巨大蛛网膜囊肿
C.巨大枕大池
D.硬膜下积液
E.Dandy-Walker综合征
79、判断题 脑积水不需要手术治疗。()
80、名词解释 脑性瘫痪
81、单项选择题 下列哪项不是小脑扁桃体下疝的主要临床表现()
A.延髓受压症
B.上颈髓受压症状
C.颅高压增高症
D.继发脊髓空洞症
E.偏盲
82、填空题 颅颈区畸形包括_________、_________、_________、_________和_________等。
83、单项选择题
15岁,女,脑室动造瘘术前后的CT表现如图,请选择最可能的诊断()

A.多发性硬化
B.神经纤维瘤病
C.CHIARI畸形
D.脑膨出
E.结节性硬化
84、判断题 神经系统先天性疾病是由于自身或环境因素所致,遗传性疾病是由遗传基因决定。()
85、名词解释 颅底凹陷症
86、单项选择题 对颅底凹陷症治疗不正确的是()
A.手术是本病惟一的治疗方法
B.可以重建脑脊液循环通路
C.可以加固不稳定枕骨脊椎关节
D.手术适应证是症状严重,X线平片,MRI显示明显畸形
E.虽然症状轻微,但影像学发现畸形也可以手术
87、单项选择题
3个月男婴,头颅迅速增大,发育停滞,CT表现如图,最可能的诊断为()

A.脑严重缺血
B.慢性双侧性巨大硬膜下血肿
C.水瘤
D.先天性脑积水
E.重度脑积水
88、单项选择题 脊柱裂最好发的部位是()
A.腰骶部
B.后颅窝
C.颈部
D.腰部
E.鼻根部
89、填空题 扁平颅底需颅底角大于_________。
90、名词解释 Cerebral palsy
91、配伍题 狭颅症()小头畸形()
A.颅缝早闭
B.颅内压增高
C.两者均有
D.两者均无
92、多项选择题 小脑扁桃体下疝畸形的临床表现可有()
A.眼球震颤
B.小脑性共济失调
C.视乳头水肿
D.锥体束征阳性
E.胸背部分离性感觉障碍
93、单项选择题
出生两天的男婴,鼻根部眉间正中有一肿块,CT检查如图,请选择最可能的诊断()

A.蛛网膜囊肿
B.脑膨出
C.硬膜外囊肿
D.鼻息肉
E.鼻咽癌
94、单项选择题 颅底凹陷症的治疗原则是()
A.症状严重,MRI显示明显畸形,需手术治疗
B.症状轻微患者只要影像学发现畸形就要及早手术
C.按摩和理疗能明显缓解症状
D.长期服用非甾体类消炎药可消除症状
E.若合并小脑扁桃体下疝不宜手术
95、单项选择题 脑性瘫痪临床表现复杂多样,下列哪一种不是脑性瘫痪()
A.早产儿基质出血
B.紧张不安婴儿
C.遗传性痉挛性截瘫
D.先天性婴儿偏瘫
E.先天性舞蹈手足徐动症
96、多项选择题 造成婴儿脑积水的常见原因有()
A.产伤后颅内出血
B.颅内感染
C.蛛网膜下隙或蛛网膜颗粒粘连
D.颅脑的先天畸形
E.病因不明
97、多项选择题 神经系统发育异常性疾病常见病因包括()
A.妊娠3个月时,母亲感染风疹病毒
B.孕妇患糖尿病
C.孕妇长期服用地西泮
D.羊水过多
E.孕妇精神紧张,并吸烟
98、填空题 扁平颅底患者_________、_________、_________均向颅内凹陷,使颅底角大于_________具有诊断意义。
99、单项选择题
9岁男孩,有癫痫发作史,MR表现如图,首先考虑以下哪个疾病()

A.脑裂畸形
B.Dandy-Walker综合征
C.胼胝体发育不全
D.脑灰质异位
E.无脑回畸形
100、名词解释 先天性舞蹈手足徐动症的主要临床表现?
101、单项选择题
患儿男性,1O个月,发现头围增大6个月。查体:精神萎靡,不能独坐,头围48cm,前囟3×3cm,颅缝裂开,叩诊有破壶音,可见落日征,MRI检查如图,本病最常见的病因为()

A.颅底凹陷症
B.中脑导水管狭窄、分又及中隔形成
C.脑炎和脑膜脑炎
D.脑膜膨出
E.小脑异位
102、名词解释 hydrocephalus
103、多项选择题 下列属于脑瘫病因的是()
A.母亲妊娠早期病毒感染
B.遗传代谢病
C.生产过程造成胎儿脑缺氧
D.21三体综合征
E.母亲妊娠高血压
104、单项选择题
根据图示考虑是何种疾病()

A.中脑导水管狭窄
B.Dandy-Walker畸形
C.Arnold-Chiari畸形
D.狭颅症
E.颅底陷入症
105、单项选择题
9个月女婴,头颅迅速增大,四肢肌力下降,CT表现如图,首先考虑以下哪个疾病()
A.胼胝体发育不全
B.Dandy-Walker综合征
C.前脑无裂畸形
D.脑灰质异位
E.无脑回畸形
106、问答题 什么是先天性脑积水?临床分哪两类?
107、名词解释 Communicating hydrocephalus
108、单项选择题
70岁,男性,癫痫发作,CT检查如图,请选择最可能的诊断()

A.脑积水
B.胼胝体发育不全
C.透明隔囊肿
D.前脑无裂畸形
E.Dandy-Walker综合征
109、多项选择题 扁平颅底确诊条件是()
A.单独存在时一般不出现症状
B.颅骨侧位片颅底角大于145°
C.颅骨侧位片颅底角大于109°
D.颅中窝、颅前窝底部和颅底斜坡均向颅外凸起
E.是颅颈区常见的先天性骨畸形
110、问答题 什么是脑性瘫痪?
111、名词解释 颅底角
112、多项选择题 核黄疸的治疗可选用()
A.丙戊酸钠
B.苯巴比妥
C.紫外线照射
D.输血
E.血清白蛋白
113、单项选择题
根据MRI示最可能的诊断是()

A.胼胝体发育不良
B.脑白质软化
C.皮质萎缩或萎缩性脑叶硬化
D.脑室内出血
E.基底节钙化
114、多项选择题 脑性瘫痪的诊断标准包括有()
A.婴儿期内出现中枢性瘫痪
B.智力低下、惊厥、行为异常、感知障碍
C.除外进行性疾病所致的中枢性瘫痪
D.除外正常小儿一过性运动发育落后
E.MRI示大脑皮质萎缩和脑室扩大,或脑室周围白质软化。
115、判断题 先天性脑积水特有的眼征是“落日征”。()
116、多项选择题 脑积水的原因有()
A.脑室系统梗阻
B.基底池梗阻
C.脑脊液分泌过多
D.上矢状窦阻塞
E.脑脊液吸收障碍
117、单项选择题 颅底凹陷症确诊的依据为()
A.颅骨侧位片上,枢椎齿状突超过腭枕线1mm
B.颅骨侧位片上,枢椎齿状突超过腭枕线2mm
C.颅骨侧位片上,枢椎齿状突超过腭枕线3mm
D.颅骨侧位片上,颅底角大于12°
E.颅骨侧位片上,枢椎齿状突低于腭枕线1mm
118、多项选择题 脑性瘫痪的特殊病理改变包括()
A.室管膜下出血
B.脑白质软化
C.皮质萎缩或萎缩性脑叶硬化
D.脑室内出血
E.基底节钙化
119、填空题 颅底角是_________与_________所形成的角度。
120、单项选择题 落日征是下列哪种疾病的特征性表现()
A.小脑畸形
B.脑积水
C.颅底凹陷症
D.脑瘫
E.扁平颅底
121、名词解释 剪刀样步态
122、单项选择题
九个月男孩,头明显增大,前囟大而且鼓出,头下垂,双眼有落日征,头部叩诊有破壶音。四肢活动少,双侧Babinski征阴性,体温正常。
根据CT表现可能的诊断()

A.先天性脑积水
B.脑性瘫痪
C.颅底凹陷症
D.Litter病
E.胆红素脑病(核黄疸)
123、填空题 Arnold-Chiari畸形又称为_____________。
124、单项选择题
根据图示考虑是何种疾病()

A.小脑扁桃体肿瘤
B.扁平颅底
C.Arnold-Chiari畸形
D.小脑发育不良
E.无脑畸形
125、单项选择题
女,一岁,发育低于同龄幼儿,CT检查如图,最可能的诊断为()

A.透明隔囊肿
B.前脑无裂
C.无脑回
D.胼胝体发育不良
E.无脑回伴胼胝体发育不良
126、问答题 小脑扁桃体下疝畸形的临床表现和治疗原则是什么?
127、配伍题 小脑扁桃体下疝畸形()颅底凹陷症()
A.头痛
B.构音障碍
C.两者均有
D.两者均无
128、单项选择题
3个月男婴,头颅迅速增大,发育停滞,CT表现如图,可能的诊断为()

A.脑严重缺血
B.慢性双侧性巨大硬膜下血肿
C.水瘤
D.先天性脑积水
E.重度脑积水
129、判断题 扁平颅底颅底角小于145°。()
130、配伍题 表现为颅内压增高、延髓症状、后组颅神经症状、小脑共济失调的儿童是()表现为剪刀步态的双侧肢体痉挛性偏瘫,下肢重于上肢的儿童是()表现为锥体外系症状、智能低下或智能发育迟缓、耳聋、肌张力减低、瘫痪的儿童是()
A.胆红素脑病后遗症
B.肝豆状核变性
C.Arnold-Chiari畸形
D.胼胝体发育不全
E.Litter病
131、问答题 什么是共济失调性脑性瘫痪?
132、单项选择题
九个月男孩,头明显增大,前囟大而且鼓出,头下垂,双眼有落日征,头部叩诊有破壶音。四肢活动少,双侧Babinski征阴性,体温正常。
最必要的检查是()
A.X线头颅平片
B.脑电图
C.头颅MRI、CT
D.脑脊液
E.血清胆红素
133、名词解释 Arnold-Chiari畸形
134、单项选择题 诊断颅底凹陷症的颅颈侧位X线片的腭枕线是()
A.腭上缘到枕大孔后上缘连线
B.腭后缘到枕大孔后上缘连线
C.腭后缘到枕大孔后下缘连线
D.腭下缘到枕大孔后上缘连线
E.腭下缘到枕大孔后下缘连线
135、多项选择题 颅底凹陷症的临床表现不包括()
A.饮水呛咳
B.失语
C.眼球运动受限
D.小脑性共济失调
E.肌肉萎缩
136、单项选择题 确诊颅底凹陷症的重要依据是()
A.枢椎齿状突超过腭枕线1mm
B.枢椎齿状突超过腭枕线3mm
C.枢椎齿状突低于腭枕线2mm
D.枢椎齿状突低于腭枕线3mm
E.枢椎齿状突等于腭枕线2mm
137、配伍题 隐性颅裂()显性颅裂()
A.颅骨缺损
B.颅腔内容物膨出
C.两者均有
D.两者均无
138、单项选择题
男,36岁,头痛,CT检查如图,最可能的诊断为()

A.透明隔囊肿
B.血管母细胞瘤
C.胼胝体发育不良
D.第五脑室
E.脑软化灶
139、单项选择题
1岁,女,头颅呈球状,颅骨透光试验阳性,请结合CT图像选择最可能诊断()

A.脑严重缺血
B.慢性双侧性巨大硬膜下血肿
C.水瘤
D.先天性脑积水
E.外部性脑积水