时间:2020-11-27 02:28:27


1、问答题 何谓细胞外基质?其主要成分是什么?
2、单项选择题 电离辐射对创伤愈合的影响哪项是不正确的()
A.促进瘢痕疙瘩形成
B.损伤小血管
C.抑制组织再生
D.抑制瘢痕疙瘩形成
E.能破坏细胞
3、单项选择题 创伤一期愈合和二期愈合的差异主要是()
A.是否为手术切口
B.是否经过扩创术
C.是否有大量肉芽组织形成
D.创面是否有出血
E.创面是否有炎症反应
4、名词解释 完全再生(complete regeneration)
5、单项选择题 肉芽组织可以()
A.为细菌感染提供条件
B.造成局部皱缩、引起器官变形
C.保护创面、填补伤口
D.恢复原有组织的功能
E.无任何有利于机体的作用
6、多项选择题 就组织细胞再生能力而言,下列哪些说法是正确的()
A.低等动物比高等动物的组织细胞再生能力弱
B.低等动物比高等动物的组织细胞再生能力强
C.幼稚组织比高分化组织再生能力弱
D.幼稚组织比高分化组织再生能力强
E.平时易受损组织再生能力强
7、名词解释 溃疡(ulcer)
8、名词解释 佝偻病串珠(rachety rosary)
9、多项选择题 下列哪些是与再生有关的生长因子()
A.EGF
B.FGF
C.TNF
D.VEGF
E.PDGF
10、单项选择题 按组织再生能力的强弱比较,下列哪项是正确的()
A.结缔组织>神经细胞>肝细胞
B.软骨>腱>肾小球
C.骨组织>平滑肌组织>神经细胞
D.单层扁平上皮细胞>横纹肌>周围神经
E.肾小管上皮细胞>骨髓细胞>脂肪细胞
11、单项选择题 肉眼观察肉芽组织呈颗粒状是因为()
A.大量炎细胞灶性聚集
B.新生的毛细血管灶性聚集
C.表面的毛细血管网呈袢状弯曲
D.感染、炎性水肿引起
E.成纤维细胞灶性聚集
12、多项选择题 下列哪种情况能完全再生()
A.直径达15cm的表皮缺损
B.切除一半的肝脏
C.断裂后经缝合的肌腱
D.断裂后经缝合的较大静脉
E.断裂的神经纤维
13、名词解释 再生(regeneration)
14、单项选择题 手术切口为何选择术后5~7日拆线()
A.伤口内肉芽组织已长满
B.伤口两侧出现胶原纤维连接
C.伤口内成肌纤维细胞大量形成
D.伤口内成纤维细胞增生达高峰
E.炎症基本消失
15、填空题 腹壁切口愈合后,如果瘢痕形成薄弱,受腹腔内压的作用,愈合口可向外膨出形成________。心肌的较大瘢痕,由于长时期的血流内压,局部抵抗力弱和缺乏弹性,可以形成向外膨出,称为________瘤。
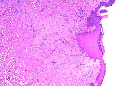
16、单项选择题
患者男性,63岁,足部溃烂3个月。于溃烂周边处区组织活检。
镜下如图所示,主要病变组成为()
A.瘢痕组织
B.肉芽组织
C.坏死组织
D.炎性渗出物
E.以上均不是
17、单项选择题 毛细血管再生的最初改变是()
A.内皮细胞游走
B.内皮细胞分裂增生形成幼芽
C.内皮细胞穿出血管壁
D.内皮细胞分泌Ⅳ型胶原
E.内皮细胞分裂增生出现毛细血管腔
18、单项选择题 瘢痕修复可见于下列哪种病变()
A.急性细菌性痢疾
B.胃黏膜糜烂
C.肝细胞点状坏死
D.子宫颈糜烂
E.十二指肠溃疡
19、单项选择题 瘢痕疙瘩的形成可能是()
A.全身营养不良
B.年龄较大
C.身体体质有关
D.局部感染较重
E.缺乏维生素C
20、单项选择题 肉芽组织中一般没有()
A.单核巨噬细胞
B.中性粒细胞
C.神经纤维
D.胶原纤维
E.外源性异物
21、多项选择题 肉芽组织中的巨噬细胞能分泌哪些生长因子()
A.PDGF
B.FGF
C.TGF-13
D.IL-1
E.TNF
22、单项选择题 决定创伤愈合后局部组织抗牵拉的因素是()
A.愈合部位胶原纤维的含量
B.愈合过程中肉芽组织的量
C.是否伴有感染
D.创面大小和深度
E.创伤愈合的过程
23、单项选择题 在再生过程中能使细胞停止生长的因素是()
A.肿瘤坏死因子
B.白介素I
C.细胞接触抑制
D.纤维连接蛋白
E.层粘连蛋白
24、单项选择题 微量元素锌能促进伤口的愈合的作用机制可能是()
A.促进肉芽组织的形成
B.促进胶原蛋白交联
C.是细胞内一些氧化酶的成分
D.促进前胶原分子合成
E.促进胶原纤维合成
25、名词解释 永久性细胞(permanent cell)
26、单项选择题 下列哪项属病理性再生()
A.血细胞的更新
B.消化道黏膜上皮的更新
C.子宫内膜的周期性再生
D.皮肤损伤后由周围的被覆上皮增生修复
E.以上均不是
27、问答题 什么叫痂下愈合?其愈合过程有何特点。
28、多项选择题 下列哪些是影响创伤愈合的局部因素()
A.局部血液循环
B.神经支配
C.年龄
D.缺乏维生素C
E.营养状况
29、多项选择题 生理状态下细胞增殖周期是由下列哪些组成()
A.G期
B.G期(DNA合成前期)
C.S期(DNA合成期)
D.G期(分裂前期)
E.M期(分裂期)
30、单项选择题 下列哪项的内容不正确()
A.心肌再生力极弱,一般都是瘢痕修复
B.毛细血管多以生芽方式再生
C.神经细胞破坏后也能再生
D.肝细胞有较强的再生能力
E.皮肤附属器如完全破坏,则出现瘢痕修复
31、问答题 简述骨折的基本愈合过程。
32、单项选择题 最易引起一侧胸腔广泛粘连的疾病是()
A.小叶性肺炎
B.大叶性肺炎
C.肺癌
D.原发性肺结核
E.继发性肺结核
33、多项选择题 组成细胞外基质主要成分有()
A.纤维连接蛋白
B.层粘连蛋白
C.蛋白多糖
D.胶原蛋白
E.纤维细胞
34、多项选择题 肉芽组织逐渐成熟的主要形态标志是()
A.间质内的水分逐渐吸收、减少
B.炎细胞逐渐增多
C.毛细血管部分改建成为小动脉、小静脉
D.胶原纤维越来越多
E.成纤维细胞逐渐演变为肌成纤维细胞
35、填空题 青少年的组织再生能力________、愈合________,老年人的组织再生能力________、愈合________。
36、单项选择题 下列哪项是形成痂皮的主要成分()
A.上皮细胞
B.纤维结缔组织
C.坏死组织
D.死骨
E.变性的细胞
37、单项选择题 不稳定细胞是指()
A.损伤后不容易完全再生的细胞
B.损伤后可以完全再生的细胞
C.损伤后不能再生的细胞
D.不容易受损伤的细胞
E.修复后细胞有化生
38、名词解释 不稳定细胞(labile cell)
39、名词解释 创伤性神经瘤(traumatic neuroma)
40、单项选择题 瘢痕修复过程最重要的细胞成分是()
A.上皮细胞
B.渗出的白细胞
C.单核巨噬细胞
D.血管内皮细胞
E.成纤维细胞
41、判断题 肉芽组织由成纤维细胞,毛细血管和一定数量的炎细胞组成。
42、名词解释 瘢痕组织(scar tissue)
43、填空题 肉芽组织是由________及________和________组成;肉眼观为:________,________,________,形似________。
44、名词解释 修复(repair)
45、单项选择题 新生的毛细血管的外膜细胞来源于()
A.血管内皮细胞
B.血管周细胞
C.未分化间叶细胞
D.纤维细胞
E.成纤维细胞
46、单项选择题 肉芽组织内能分泌多种生长因子的细胞是()
A.浆细胞
B.淋巴细胞
C.纤维细胞
D.巨噬细胞
E.中性粒细胞
47、单项选择题 维生素C在伤口愈合过程中具有催化下列哪种酶的作用()
A.氧化酶
B.羟化酶
C.交联酶
D.溶解酶
E.合成酶
48、单项选择题 关于创伤性神经瘤的形成下列哪项是正确的()
A.神经纤维细胞增生
B.神经纤维断裂变性
C.神经鞘细胞增生形成带状的合体细胞
D.再生轴突与增生的结缔组织混杂在一起卷曲成团
E.神经鞘细胞与增生的结缔组织混杂在一起卷曲成团
49、多项选择题 瘢痕疙瘩形成的机制可能是()
A.成肌纤维细胞增多有关
B.毛细血管通透性大有关
C.成纤维细胞分泌的生长因子有关
D.肥大细胞分泌的生长因子有关
E.患者体质有关
50、单项选择题 细胞外基质的主要成分中能调控细胞生长的是()
A.胶原蛋白
B.转化生长因子
C.表皮生长因子
D.生长抑素
E.肿瘤坏死因子
51、单项选择题 下列哪种病变中没有肉芽组织的存在()
A.血肿
B.血栓
C.静脉石
D.胃溃疡
E.肾脓肿
52、填空题 毛细血管以________方式再生,由毛细血管的________细胞的分裂和增生形成。
53、单项选择题 肾小球硬化中细胞外基质的主要生成细胞是()
A.肾小球上皮细胞
B.肾球囊上皮细胞
C.肾小球内皮细胞
D.肾小球系膜细胞
E.肾间质细胞
54、单项选择题 维生素C缺乏时,伤口愈合延缓是主要因为()
A.胶原纤维不能交联
B.原胶原蛋白难以形成
C.前胶原分子难以形成
D.因感染,炎症反应重
E.氧化酶不能活化
55、单项选择题 手术切口为何选择术后5~7日拆线()
A.伤口内肉芽组织已长满
B.伤口两侧出现胶原纤维连接
C.伤口内成肌纤维细胞大量形成
D.伤口内成纤维细胞增生达高峰
E.炎症基本消失
56、填空题 一期愈合见于组织缺损________、创伤边缘________、________感染及创面对合________的伤口;二期愈合见于组织缺损________、创伤边缘________、________感染及创面对合________的伤口。
57、名词解释 干细胞(stem)
58、问答题 肉芽组织的作用?
59、判断题 软骨基质转变为软骨母细胞,后者再变为软骨细胞是软骨组织的再生过程。
60、多项选择题 下列哪些是二期愈合特点()
A.伤口大
B.坏死组织多
C.形成的瘢痕大
D.愈合快
E.对局部组织、器官的功能影响小
61、多项选择题 稳定细胞是指()
A.生理情况下,这类细胞增生现象明显
B.生理情况下,这类细胞增生现象不明显
C.受损伤刺激时,这类细胞表现出较强的再生能力
D.受损伤刺激时,这类细胞没有再生能力
E.心肌细胞属于这类细胞
62、多项选择题 成纤维细胞分泌的哪些物质组成毛细血管基底膜的网板()
A.层粘连蛋白
B.纤维连接蛋白
C.Ⅲ型胶原
D.Ⅳ型胶原
E.基质
63、单项选择题
某患者,2周前手背受损,现损伤处遗留下一灰白色瘢痕,微凸出皮面,质硬韧并且缺乏弹性,取少许组织送检。
该组织对机体作用的描述,不正确的是()
A.能把损伤的创口或其他缺损长期的填补或连接起来
B.可保证机体的完整性
C.较正常皮肤抗拉性强
D.可保证组织的坚固性
E.较肉芽组织抗拉性强
64、单项选择题 为防止气态氢氰酸的聚合,设计上应加入少量()进行阻聚。
A、醋酸
B、对苯二酚
C、对苯二酚甲基醚
D、二氧化硫
65、单项选择题
某患者,2周前手背受损,现损伤处遗留下一灰白色瘢痕,微凸出皮面,质硬韧并且缺乏弹性,取少许组织送检。
镜下观如图,鳞状上皮下可见何种组织()
A.肉芽组织
B.瘢痕组织
C.结核结节
D.坏死组织
E.以上均不是
66、多项选择题 下列哪些是不稳定细胞的特点()
A.不断增殖的细胞,以替代衰亡或破坏的细胞
B.损伤后可完全再生
C.再生能力弱的细胞
D.再生能力强的细胞
E.常见于消化道黏膜被覆上皮细胞
67、问答题 肉芽组织的各种成分与其功能有何关系?
68、判断题 肉芽组织就是肉芽肿。
69、多项选择题 参与新生毛细血管基底膜的基板形成的成分有()
A.层粘连蛋白
B.纤维连接蛋白
C.Ⅲ型胶原
D.Ⅳ型胶原
E.基质
70、单项选择题 骨折部位固定不好,骨折断端活动时,常只形成()
A.软骨性骨痂
B.骨样骨痂
C.骨性骨痂
D.封闭骨痂
E.纤维性骨痂
71、问答题 简述肝脏在受到不同程度损伤的情况下,其再生修复的特点。
72、单项选择题 一般不会出现肉芽组织的病变是()
A.结核空洞
B.脓肿壁
C.化生病灶
D.动脉粥样硬化
E.陈旧性心肌梗死
73、单项选择题 肉芽组织中抗感染的主要成分是()
A.毛细血管
B.成纤维细胞
C.炎症细胞
D.细胞外基质
E.成肌纤维细胞
74、多项选择题 属于不稳定细胞的有()
A.间皮细胞
B.表皮细胞
C.淋巴造血细胞
D.心肌细胞
E.肠黏膜上皮细胞
75、填空题 已知控制细胞生长的有关基因有________基因和________基因。
76、单项选择题 骨折愈合的最终阶段应是()
A.骨性骨痂形成
B.骨改建
C.纤维性骨痂连接
D.骨样组织中有钙盐沉着
E.完成了软骨化骨过程
77、填空题 创伤愈合根据损伤情况、愈合过程及有无感染的不同,一般分为________、________和________等三种类型。
78、多项选择题 光镜下,肉芽组织内可见()
A.大量毛细血管
B.成纤维细胞
C.巨噬细胞
D.中性粒细胞
E.淋巴细胞
79、填空题 肉芽组织发生纤维化时,其细胞间液体的数量________、胶原纤维的数量________、毛细血管的数量________。
80、名词解释 骨折(fracture of bone)
81、填空题 骨折愈合过程分为________、________、________、________4个阶段。
82、单项选择题 组织损伤的修复过程起始于()
A.损伤早期
B.损伤后期
C.炎症起始期
D.炎症后期
E.炎症静止期
83、单项选择题 麻风引起的溃疡是由于哪项原因致不易愈合()
A.局部血液循环不良
B.局部神经性营养不良
C.局部形成不健康的肉芽组织
D.局部缺损较大
E.局部有感染
84、名词解释 细胞外基质(extracellular matrix)
85、填空题 肉芽组织在纤维化过程中变成色泽灰白、质地较硬、缺乏弹性的组织时,称为________。
86、单项选择题 下列哪项不是痂下愈合的特点()
A.伤口表面有黑褐色硬痂形成
B.愈合时间一般较无痂情况下为长
C.干燥的痂皮一般是造成细菌感染的条件
D.一般当上皮再生完成后痂皮才脱落
E.干燥的痂皮一般不利于细菌感染
87、单项选择题 完成瘢痕修复的物质基础是()
A.上皮组织
B.肉芽组织
C.毛细血管网
D.纤维蛋白网架
E.炎性渗出物
88、填空题 创伤愈合过程中维生素C缺乏时________难以形成,从而影响________的形成。
89、单项选择题 再生能力最弱的细胞是()
A.肝细胞
B.原始的间叶细胞
C.骨细胞
D.内分泌细胞
E.心肌细胞
90、填空题 创伤愈合是包括了:________的再生,________增生,________形成,等过程的协同作用。
91、名词解释 骨性骨痂
92、名词解释 创伤愈合(wound healing)
93、填空题 根据各种组织再生能力强弱,将各种组织的细胞分为:________细胞、________________细胞和________细胞。
94、多项选择题 骨折愈合的基本过程有()
A.血肿形成
B.纤维性骨痂形成
C.软骨性骨痂形成
D.骨性骨痂形成
E.骨痂改建或再塑
95、单项选择题 皮肤损伤后由结缔组织取代的过程()
A.化生
B.完全性再生
C.瘢痕修复
D.异型增生
E.异常增生
96、名词解释 空洞(cavity)
97、单项选择题
患者男性,63岁,足部溃烂3个月。于溃烂周边处区组织活检。
该组织镜下主要成分是()
A.纤维结缔组织
B.红染无结构物
C.新生毛细血管,纤维母细胞,炎细胞
D.厚壁小血管
E.类上皮细胞及多核巨细胞
98、名词解释 生长因子(growth factor)
99、名词解释 稳定细胞(stable cell)
100、单项选择题 下列哪种因素对再生修复不利()
A.局部感染已被控制
B.患者无血管硬化性疾病
C.局部有较明显的瘢痕组织
D.创口缝合良好
E.充足维生素C的供给
101、单项选择题 与器官硬化发生无关的描述是()
A.动脉分支阻塞的后果
B.慢性弥漫性炎症的后果
C.多种细胞因子参与纤维化形成
D.器官内细胞外基质沉积增多
E.器官内细胞外基质降解减少
102、单项选择题 关于瘢痕组织特点的叙述,下列哪项是不正确的()
A.由大量胶原纤维束组成
B.纤维束常发生玻璃样变
C.组织内血管稀少
D.纤维细胞稀少
E.纤维细胞增多并伴玻璃样变
103、单项选择题 下列哪种因素与细胞再生增生无关()
A.细胞因子
B.生长因子
C.肿瘤坏死因子
D.细胞接触抑制
E.细胞外基质
104、问答题 影响再生修复的主要因素有哪些?各举例说明。
105、单项选择题 瘢痕疙瘩的形成可能是()
A.全身营养不良
B.年龄较大
C.身体体质有关
D.局部感染较重
E.缺乏维生素C
106、多项选择题 创伤后促进残留细胞增生的因素有()
A.上皮组织断裂,失去接触抑制作用
B.残留细胞产生某种生长因子
C.新生血管内皮细胞及巨噬细胞产生某种生长因子
D.坏死组织释放某种生长因子
E.一些组织的细胞分泌抑素减少
107、问答题 简述肉芽组织的形态特点(包括肉眼与镜下)。
108、单项选择题 随着肉芽组织演变为瘢痕组织,可见到()
A.毛细血管的数量逐渐增多
B.胶原纤维的数量逐渐增多
C.成纤维细胞的数量逐渐增多
D.炎性细胞的数量逐渐增多
E.组织内水分的含量逐渐增多
109、多项选择题 以下哪种因子能促进小血管再生()
A.表皮生长因子(EGF)
B.成纤维细胞生长因子(FGF)
C.β转化生长因子(TGF-β)
D.肿瘤坏死因子(TNF)
E.血小板源性生长因子(PDGF)
110、单项选择题 下列哪种细胞是稳定细胞()
A.皮肤表皮细胞
B.移行上皮细胞
C.造血细胞
D.平滑肌细胞
E.胃、肠道黏膜上皮细胞
111、单项选择题 哪项描述符合瘢痕组织的特点()
A.细胞间有丰富的液体成分
B.组织内有大量的毛细血管
C.组织色泽鲜红、质地柔软
D.组织质地较硬、缺乏弹性
E.组织内有较多的炎性细胞
112、填空题 肉芽组织逐渐改建成熟而形成________称为瘢痕。
113、单项选择题
某患者,2周前手背受损,现损伤处遗留下一灰白色瘢痕,微凸出皮面,质硬韧并且缺乏弹性,取少许组织送检。
关于该组织对机体不利之处,描述错误的是()
A.瘢痕收缩,可使活动受限或梗阻
B.造成各器官间的纤维性粘连
C.可导致器官硬化
D.可形成瘢痕疙瘩
E.瘢痕疙瘩的形成与体质无关
114、填空题 影响再生修复的局部因素有________、________、________、________、________。
115、单项选择题 校园周围几百米以内不得开办电子游艺厅()
A.500米
B.800米
C.200米
D.300米
116、名词解释 骨痂(callus)
117、名词解释 瘢痕疙瘩(keloid)
118、填空题 皮肤创伤愈合根据损伤程度及有无感染创伤愈合可分为:________和________两种类型。
119、判断题 前列腺素E2,肝素及粒细胞,巨噬细胞集落刺激因子在再生修复中属于促增生因子。
120、多项选择题 下列哪些是成纤维细胞的特点()
A.细胞体积大,胞浆略呈嗜碱性
B.胞核大、染色淡
C.细胞成熟后可演变为纤维细胞
D.可以分泌前胶原蛋白
E.电镜下胞浆内有丰富的粗面内质网
121、判断题 骨折后应长期卧床制动以防固定不牢。
122、多项选择题 关于瘢痕组织收缩的机制可能是由于()
A.纤维细胞增多
B.纤维细胞消失
C.瘢痕内水分丧失
D.含大量成肌纤维细胞
E.炎细胞消失
123、名词解释 神经干细胞(neural stem cell)
124、单项选择题 细胞在生长过程中,如果互相接触,则生长停止,这种现象叫()
A.再生性增生
B.生长的接触抑制
C.修复
D.完全再生
E.二期愈合
125、多项选择题 关于肉芽组织的描述,哪些是正确的()
A.受伤后2~3天开始,成纤维细胞增生,并伴有胶原形成
B.受伤后2~3天开始,有肌成纤维细胞增生
C.肉眼为红色、颗粒状、触之易出血,并有痛感
D.无感染伤口的肉芽组织,也有炎性渗出
E.能分泌多种生长因子
126、名词解释 一期愈合(primary healing)
127、单项选择题 一期愈合应具备的条件是()
A.组织缺损少、创缘整齐、无感染
B.组织缺损少、创缘不整齐、有感染
C.组织缺损少、创缘不整齐、有感染
D.创缘整齐、无感染、组织缺损大
E.创缘整齐、组织缺损大、有感染
128、问答题
病史:患者女性,32岁。10年前,曾因行剖腹产术,术后刀口感染,经一个月才愈合,起初局部形成一个6cm×3cm大小的,红褐色、质地柔软、稍隆起的条索状组织;以后慢慢皱缩,质地变硬色泽逐渐呈灰白色,但刀疤中部逐渐变薄、隆起,约6cm×2cm大小,且随腹压变化明显隆起或凹陷。体查:下腹部有一长约6cm,宽约2cm刀疤;表面失去正常皮肤的色泽和纹理结构,呈光亮、较薄、无毛发生长、明显高起于周围皮肤的膨隆区。
患者的刀口出现了那种创伤愈合,分析其发生和演变过程。产生了何种并发症,为什么?129、单项选择题 创伤愈合过程中2~3日后伤口收缩的主要原因是()
A.纤维细胞的作用
B.水分的吸收
C.胶原纤维的作用
D.肌成纤维细胞的作用
E.胶原纤维玻璃样变
130、多项选择题 影响骨折愈合的因素有()
A.全身营养状况
B.年龄
C.及时正确的复位
D.骨折断端牢靠固定
E.早进行全身和局部功能锻炼,保持局部血液供应
131、问答题 简述肉芽组织向瘢痕组织演化的过程。
132、判断题 瘢痕组织的形成对机体都是有利的。
133、单项选择题 瘢痕组织逐渐缩小、软化的主要原因是()
A.毛细血管逐渐减少
B.肌成纤维细胞的作用
C.水分被吸收
D.胶原酶的作用
E.机体抵抗力增强
134、名词解释 骨髓间充质干细胞(marrow mesenchymal stem cell)
135、单项选择题 软骨再生时最开始的改变是()
A.软骨膜的增生
B.软骨母细胞
C.软骨细胞
D.软骨基质
E.软骨陷窝的形成
136、单项选择题 关于血管内皮生长因子的叙述哪项是不正确的()
A.最初是从肿瘤组织中分离提纯的
B.对肿瘤血管的形成有促进作用
C.能促进创伤愈合时血管的增生
D.血管内皮细胞上有其受体
E.对成纤维细胞的促进作用是直接的
137、单项选择题
患者男性,63岁,足部溃烂3个月。于溃烂周边处区组织活检。
该组织在组织损伤修复过程中的作用不包括下列哪项()
A.抗感染保护创面
B.填补创口及其他组织缺损
C.机化
D.包裹坏死、血栓及炎性渗出物及其他异物
E.增强机体抵抗力
138、单项选择题 肉芽组织的基本成分是()
A.毛细血管和炎性细胞
B.成纤维细胞和炎性细胞
C.淋巴细胞和纤维细胞
D.成纤维细胞和毛细血管
E.肌成纤维细胞和毛细淋巴管
139、单项选择题 下列哪项不属于机化()
A.疖破溃、脓液流出后愈合形成瘢痕
B.大叶性肺炎后合并的肺肉质变
C.肾梗死瘢痕的形成
D.闭塞性心包炎的发生
E.糖衣脾的形成
140、单项选择题 关于胶原纤维的形成,下列叙述哪项正确的()
A.由胶原纤维分裂增生形成的
B.由成纤维细胞固缩后形成的
C.在成纤维细胞内合成胶原纤维,分泌到细胞外集合而成
D.在成纤维细胞内合成前胶原蛋白,分泌到细胞外经过交联而成
E.由纤维细胞融合而成
141、判断题 营养不良会影响骨折的愈合。
142、单项选择题 下列哪项条件易产生二期愈合()
A.组织缺损大、创缘整齐、创面对合紧密
B.组织缺损少、创缘整齐、创面对合紧密
C.组织缺损大、无感染、创缘整齐
D.创缘整齐、创面对合紧密、有感染
E.创缘不整齐、创面对合不紧密、有感染
143、多项选择题 下列哪些属于稳定细胞()
A.鳞状上皮细胞
B.肝细胞
C.黏膜柱状上皮细胞
D.原始间叶细胞
E.骨细胞
144、多项选择题 肉芽组织的主要功能有()
A.抗感染
B.保护创面
C.填平创
D.机化坏死组织
E.机化形成瘢痕
145、名词解释 肉芽组织(granulation tissue)
146、单项选择题 再生能力最强的细胞是()
A.胃、肠道黏膜上皮细胞
B.软骨细胞
C.心肌细胞
D.涎液腺
E.神经细胞
147、填空题 由于瘢痕组织的收缩,在关节附近能致关节运动________,在胃、肠等腔、室器官引起________。
148、单项选择题 下列哪种损伤不能发生完全再生()
A.骨折
B.肝细胞坏死但网状支架未塌陷
C.腺体及基膜都受损
D.腺体仅有腺上皮受损
E.子宫内膜脱落
149、名词解释 造血干细胞(hematopietic stem cell)
150、单项选择题 胶原纤维的形成需要下列那种维生素()
A.维生素A
B.维生素B
C.维生素C
D.维生素D
E.维生素E
151、判断题 包裹是一种完全的机化。
152、填空题 损伤造成机体部分细胞和组织丧失后,机体对所形成________进行________的过程,称为修复。
153、单项选择题 在一期愈合时,瘢痕抗拉力强度达到顶峰的时间大约是()
A.5~7天
B.30天
C.60天
D.180天
E.90天
154、判断题 神经细胞,成纤维细胞,心肌细胞和骨骼肌细胞均为永久性细胞。
155、填空题 影响再生修复的全身因素有________、________、________、________。
156、单项选择题 影响创伤愈合的局部因素中下列哪项除外()
A.感染与异物
B.局部血液循环循环
C.神经支配
D.电离辐射
E.营养状况
157、单项选择题 关于永久性细胞的描述,正确的是()
A.易受损的细胞
B.损伤后不能再生,成为永久性缺损的细胞
C.损伤后能完全再生的细胞
D.不断衰亡、更新的细胞
E.修复后细胞无化生
158、名词解释 骨折愈合(healing of fracture of bone)
159、名词解释 痂下愈合
160、判断题 神经纤维不可再生修复。
161、多项选择题 在纤维组织再生过程中,成纤维细胞的来源是()
A.未分化的间叶细胞转化而来
B.静止状态的纤维细胞转变而来
C.血管内皮细胞转化而来
D.结缔组织的化生而来
E.纤维组织化生而来
162、填空题 组织缺损后由邻近健康的细胞分裂增生来完成修复的过程叫________。
163、单项选择题 在肉芽组织内具有收缩功能,又能产生基质和胶原的细胞是()
A.成肌纤维细胞
B.巨噬细胞
C.血管内皮细胞
D.成纤维细胞
E.中性粒细胞