放射医学(医学高级):X线必看考点(强化练习)

时间:2020-09-21 23:46:21

微信搜索关注"91考试网"公众号,领30元,获取事业编教师公务员等考试资料40G
题库试看结束后微信扫下方二维码即可打包下载完整版《★放射医学(医学高级)》题库
手机用户可保存上方二维码到手机中,在微信扫一扫中右上角选择“从相册选取二维码”即可。
题库试看结束后微信扫下方二维码即可打包下载完整版《放射医学(医学高级):X线》题库,分栏、分答案解析排版、小字体方便打印背记!经广大会员朋友实战检验,此方法考试通过率大大提高!绝对是您考试过关的不二利器
手机用户可保存上方二维码到手机中,在微信扫一扫中右上角选择“从相册选取二维码”即可。

1、单项选择题  在胸部右前斜位片反映右心室增大的早期征象是()

A.肺动脉圆锥部膨突
B.心前缘膨隆
C.心前下间隙缩小
D.膈面延长
E.无特异性


点击查看答案


2、多项选择题  在平片上,蝶鞍增大和(或)破坏见于下列哪种情况()

A.垂体瘤
B.蝶鞍或后组筛窦囊肿或肿瘤
C.视交叉胶质瘤
D.颅咽管瘤
E.以上都不是


点击查看答案


3、多项选择题  关于胶片特性曲线的叙述,正确的是()

A.是描绘曝光量与所产生密度之间关系的一条曲线
B.曲线可以表示出感光材料的物理性能
C.胶片特性曲线也称H-D曲线
D.曲线的横坐标为曝光量,纵坐标为密度
E.曲线的横坐标为密度,纵坐标为曝光量


点击查看答案


4、单项选择题  

女,23岁,上腹部疼痛半月,消化不良,X线检查如图,可能的诊断为()

A.十二指肠球部溃疡
B.十二指肠憩室
C.胃窦炎
D.十二指肠癌
E.十二指肠淤积症


点击查看答案


5、多项选择题  下列哪些属于过敏性结肠炎X线表现()

A.钡剂通过迅速,0.5~6小时钡剂可达盲肠
B.小肠呈张力增高、痉挛、变细,结肠袋明显增多、增深
C.若结肠内积液较多时,钡剂可呈线样征
D.若结肠内有大量液体时,结肠壁呈“双层肠壁状”
E.钡剂排出的粘膜皱襞呈卵石样改变


点击查看答案


6、单项选择题  婴幼儿镇静药用量通常为()

A.10%水合氯醛0.1ml/kg
B.10%水合氯醛0.5ml/kg
C.10%水合氯醛1.5ml/kg
D.10%水合氯醛2.0ml/kg
E.10%水合氯醛2.5ml/kg


点击查看答案


7、单项选择题  下述哪项为软骨内成骨()

A.颅盖骨
B.面骨
C.颅底
D.锁骨
E.下颌骨的一部分


点击查看答案


8、单项选择题  

男,16岁,长期的骨骼肌肉畸形,听力障碍,结合图像,最可能的诊断是()

A.马方综合征
B.成骨不全
C.肾性骨病
D.甲状旁腺功能亢进
E.维生素D缺乏症


点击查看答案


9、单项选择题  放射工作人员全身均匀照射时,防止随机性效应的年剂量当量限值是()

A.10mSv/年
B.20mSv/年
C.30mSv/年
D.40mSv/年
E.50mSv/年


点击查看答案


10、多项选择题  腹部泌尿系平片(KUB)体位显示标准是()

A.从肾脏上端至膀胱整个泌尿系统全部包括在照片内
B.腰椎序列投影于照片正中
C.两侧腹部影像对称显示
D.骨骼清晰可见
E.肾脏轮廓可见


点击查看答案


11、单项选择题  下列组合,哪一组是错误的()

A.内耳孔——颜面神经
B.卵圆孔——三叉神经
C.枕骨大孔——延髓
D.食管裂孔——食管
E.椎间孔——椎骨动脉


点击查看答案


12、单项选择题  

女,58岁,腹痛腹胀1年余,结合图像,最可能的诊断为()

A.正常十二指肠肠圈
B.十二指肠炎
C.十二指肠降段憩室
D.十二指肠水平段憩室
E.十二指肠占位


点击查看答案


13、单项选择题  类风湿关节炎易侵犯颈椎时易发生环枢关节半脱位,下列描述中哪项不是半脱位的典型表现()

A.环枢关节向前半脱位
B.齿状突向上移位
C.颈1侧块向两侧半脱位
D.颈1向上半脱位
E.环枢关节向上半脱位合并齿状突受侵蚀


点击查看答案


14、单项选择题  当瓦氏位投照时,听眦线与暗盒夹角应为()

A.0°
B.45°
C.23°
D.15°
E.37°


点击查看答案


15、多项选择题  急性肺水肿与肺炎急性期的鉴别点为()

A.肺水肿病变发生迅速、动态变化快
B.肺水肿有间隔线阴影
C.肺水肿X线表现为大片状高密度影,边缘清楚
D.肺水肿患者多有心脏及肾脏的原发病
E.肺水肿无发热等肺炎的临床表现


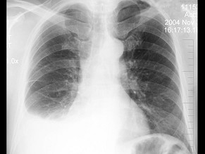
点击查看答案


16、单项选择题  关于“中耳乳突炎”,下列说法哪项错误()

A.乳突气房密度增高
B.乳突房壁增厚、结构模糊
C.气房间隔骨质破坏或硬化
D.气房内充满肉芽组织
E.急性者常有胆脂瘤形成


点击查看答案


17、单项选择题  曲面体层摄影常用于检查()

A.颧骨
B.筛骨
C.颌骨
D.颞骨
E.蝶骨


点击查看答案


18、单项选择题  化脓性骨髓炎的最早骨质破坏部位在()

A.骨皮质
B.骨干
C.干骺端松质骨
D.骨骺
E.骨髓腔


点击查看答案


19、多项选择题  绞窄性肠梗阻的X线征象为()

A.小跨度卷曲肠袢
B.假肿瘤征
C.咖啡豆征
D.空回肠换位征
E.长液面征


点击查看答案


20、单项选择题  返流性食管炎常继发()

A.食管癌 
B.食管裂孔疝 
C.食管静脉曲张 
D.食管溃疡 
E.食管憩室


点击查看答案


21、单项选择题  关于鼻咽癌,其常规X线检查体位是()

A.鼻咽侧位+颅底位
B.头颅侧位
C.颈侧位
D.颅底位
E.鼻咽侧位


点击查看答案


22、单项选择题  关于结肠正常影像描述,下列错误的是()

A.结肠粘膜皱襞有纵、横、斜三个方向
B.升结肠的结肠袋比降结肠明显
C.左半结肠粘膜皱襞以纵行为主
D.左半结肠比右半结肠粗
E.低张双对比造影可显示无名沟和无名小区


点击查看答案


23、单项选择题  X线表现的严重程度与临床症状不相称,为下述哪种肿瘤骨转移的特征()

A.乳癌骨转移
B.肾癌骨转移
C.前列腺癌骨转移
D.鼻咽癌骨转移
E.甲状腺癌骨转移


点击查看答案


24、单项选择题  诊断肠结核最主要的X线征象是()

A.左半结肠袋影消失
B.直、乙状结肠交界处狭窄
C.结肠肝区充盈缺损
D.盲肠缩短狭窄
E.回肠呈节段状腊肠状改变


点击查看答案


25、单项选择题  肺静脉高压诊断的重要指征是()

A.间隔线出现
B.上肺静脉扩张
C.胸腔少量积液
D.钙化灶
E.含铁血黄素沉着


点击查看答案


26、单项选择题  男,45岁,20年前患过肺结核,3月来有咳嗽,痰偶带血丝,X线检查:右上肺有3cm×2.5cm之阴影,边缘模糊、毛糙,内有钙化点,余肺野清晰,3次查痰找癌细胞阴性,最可能的诊断是()

A.肺结核
B.肺脓肿
C.肺囊肿
D.肺癌
E.肺良性肿瘤


点击查看答案


27、单项选择题  化脓性骨髓炎指的是什么组织的化脓性感染()

A.骨皮质和骨膜
B.骨骺和骨髓
C.骨髓、骨和骨膜
D.骨髓
E.以上都是
F.以上都不是


点击查看答案


28、单项选择题  蝶鞍位于下列哪一个骨中()

A.筛骨
B.枕骨
C.颞骨
D.蝶骨
E.额骨


点击查看答案


29、单项选择题  下列关于“食管憩室”的描述错误的是()

A.本病多为后天性
B.病因分内压性、牵引性两种
C.牵引性憩室口部较宽
D.内压性憩室呈圆形或乳头状
E.憩室表面无粘膜皱襞


点击查看答案


30、单项选择题  

男,56岁,右髋部疼痛,5年前被确诊为前列腺癌,结合图像,最可能的诊断是()

A.骨纤维异常增殖症
B.转移性骨肿瘤
C.畸形性骨炎
D.内生软骨瘤
E.非骨化性纤维瘤


点击查看答案


31、多项选择题  腹部平片可用于下列哪些疾病的检查()

A.胆囊结石
B.消化道穿孔
C.胃溃疡
D.肠结核
E.乙状结肠扭转


点击查看答案


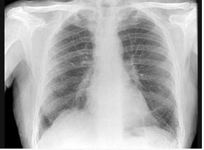
32、单项选择题  

男,66岁,咳嗽、发热2周余,无痰中带血,X线检查如图,最可能的诊断是()

A.细支气管肺泡癌
B.血行播散型肺结核
C.左肺浸润型肺结核
D.左肺炎症
E.肺转移瘤


点击查看答案


33、单项选择题  肠套叠分型不包括()

A.回盲型
B.回回型
C.空结型
D.回结型
E.结结型


点击查看答案


34、单项选择题  肾实质不显影常见于哪种疾病()

A.肾功能减退
B.尿路梗阻
C.肾结核
D.肾脓肿
E.肾血管性病变


点击查看答案


35、单项选择题  慢性化脓性骨髓炎的X线表现中,哪项不对()

A.广泛软组织肿胀
B.骨柩形成
C.虫蚀状、小片状骨质破坏
D.长条状死骨
E.骨质增生、硬化


点击查看答案


36、单项选择题  下列可出现爆米花样钙化的是()

A.肺癌
B.结核球
C.矽肺
D.胸膜间皮瘤
E.错构瘤


点击查看答案


37、多项选择题  可出现肝内局限性钙化者()

A.结核性肉芽肿
B.阿米巴性肝脓肿
C.血管瘤
D.原发性肿瘤
E.肝棘球蚴病


点击查看答案


38、单项选择题  使用碘对比剂时下列哪项不正确()

A.行碘过敏试验
B.必须备好抢救药品及器械
C.遇到严重反应应立即停止检查并实施抢救
D.检查前无需与患者及其家属解释


点击查看答案


39、单项选择题  早期胃癌浅表型(Ⅱ型)的X线表现中,哪项应除外()

A.肿瘤呈类圆形凸向胃腔,高度超过5mm
B.肿瘤表浅、平坦,沿黏膜皱襞及皱襞下层生长
C.形态不规则,多数病变边界清楚
D.三个亚型隆起与凹陷均不超过5mm
E.双重法及压迫法呈不规则颗粒状杂乱影


点击查看答案


40、单项选择题  下列“颅骨穹窿局限增厚”病因中,哪项错误()

A.营养不良性肌强直
B.软脑膜囊肿
C.地中海贫血
D.偏侧性脑萎缩
E.颅骨血管瘤


点击查看答案


41、单项选择题  胸片上,双侧肺门影增大可见于()

A.大叶性肺炎
B.慢性纤维空洞型肺结核
C.法洛四联征
D.慢性肺源性心脏病
E.肺隔离症


点击查看答案


42、单项选择题  

女,71岁,左肩痛,系统性红斑狼疮服用高剂量的类固醇半年,结合图像,最可能的诊断是()

A.化脓性关节炎
B.类风湿关节炎
C.骨纤维肉瘤
D.肱骨头缺血坏死
E.肩关节结核


点击查看答案


43、单项选择题  摄取牙片一般选择的位置是()

A.立位
B.坐位
C.仰卧位
D.俯卧位
E.侧卧位


点击查看答案


44、单项选择题  颅脑外伤时,颅缝宽度超过以下数值,其意义如线形骨折()

A.1.5mm
B.3.0mm
C.2.5mm
D.2.0mm
E.4.0mm


点击查看答案


45、多项选择题  诊断恶性骨肿瘤的诊断依据是()

A.浸润性骨质破坏
B.有骨膜反应
C.有软组织肿块
D.破坏区内有死骨
E.Codman三角


点击查看答案


46、单项选择题  心脏左前斜位摄片,身体冠状面与胶片夹角为()

A.20~25°
B.30~35°
C.40~45°
D.50~60°
E.60~70°


点击查看答案


47、单项选择题  

女,根据其正常膝关节影像图像,判断其最可能的年龄()

A.5岁左右
B.11岁左右
C.17岁左右
D.23岁左右
E.29岁左右


点击查看答案


48、单项选择题  

女,68岁,发现高血压病30年,有痔疮史。04年12月6日大便潜血(+++),结合图像,最可能的诊断为()

A.食管癌
B.食管下段憩室
C.食管裂孔疝
D.食管溃疡
E.返流性食管炎


点击查看答案


49、单项选择题  小叶旁型肺气肿主要分布在()

A.双肺上叶
B.肺内瘢痕病灶旁
C.两肺弥漫分布,以下叶为主
D.局限于胸膜下区域
E.双肺均匀分布


点击查看答案


50、单项选择题  下述鼻窦癌的诊断要点中,错误的是()

A.多位于筛窦
B.软组织肿块
C.骨质破坏无硬化
D.蝶窦癌罕见
E.常伴有鼻窦炎


点击查看答案


51、单项选择题  下列不可复性食管裂孔疝的征象中,错误的是()

A.膈上幕状粗大粘膜较固定
B.心后区出现含液平面之囊状影,且固定存在
C.钡餐检查示部分胃疝入胸腔,固定存在
D.可伴有食管缩短现象
E.疝囊于立位片上显示不清


点击查看答案


52、单项选择题  下列关于支气管动脉的解剖叙述,错误的是()

A.支气管动脉直径正常为2~3mm,当肺部有肿瘤时相应的血管可增粗
B.正常支气管动脉从纵隔向肺门方向行走,可与纵隔内动脉、肋间动脉或对侧支气管动脉相通
C.右侧支气管动脉大多为一支且与肋间动脉共干,并以与第三肋间动脉共干为最常见
D.支气管动脉起源均在胸主动脉4~9胸椎水平
E.70%~90%起自第5-6胸椎水平


点击查看答案


53、多项选择题  肺癌支气管动脉造影的异常表现是()

A.支气管动脉迂曲扩张 
B.支气管动脉分支紊乱呈网状 
C.支气管动脉闭塞 
D.支气管动脉起源异常 
E.支气管动脉与肺循环分流


点击查看答案


54、单项选择题  颅骨骨折患者通常首选的摄影体位是()

A.头颅前后位、头颅侧位
B.头颅后前位、头颅侧位
C.头颅前后位、头颅仰卧水平侧位
D.柯氏位、瓦氏位
E.汤氏位、头颅仰卧水平侧位


点击查看答案


55、多项选择题  关节外伤脱位常发生在()

A.肘关节
B.肩关节
C.踝关节
D.腕关节
E.胸椎


点击查看答案


56、单项选择题  Morquro综合征在长管骨的X线表现中,哪项错误()

A.倾向于变短、增粗,骨皮质变薄
B.干骺增大,不规整,可有缺损区
C.骨骺骨化中心出现提前,常有分节现象
D.骨骺骨化中心出现延迟,与骨干融合时间也延迟
E.关节间隙增宽,或有脱位及畸形


点击查看答案


57、多项选择题  变压器油的作用是()

A.吸收水分
B.绝缘
C.降低湿度
D.散热
E.增加重量


点击查看答案


58、单项选择题  “骨龄提前”,见于下列哪种疾病()

A.苯丙酮尿症 
B.颅咽管瘤 
C.先天性紫绀型心脏病 
D.呆小病 
E.Albright综合征


点击查看答案


59、单项选择题  氟骨症的主要X线表现为()

A.关节改变 
B.骨质疏松 
C.骨间断性生长痕 
D.骨质软化 
E.骨质硬化


点击查看答案


60、单项选择题  

男,24岁,低热、乏力数周,夜间偶有盗汗,胸片如图,最可能的诊断是()

A.细支气管肺泡癌
B.肺转移瘤
C.两肺炎症
D.血型播散型肺结核
E.结节病


点击查看答案


61、多项选择题  输尿管的三个生理狭窄包括()

A.肾盂、输尿管连接处
B.膀胱入口处
C.与髂总动脉交叉处
D.平第3腰椎处
E.输尿管与精索交叉处


点击查看答案


62、单项选择题  下列脑神经出颅途径描述,哪项是错误的()

A.圆孔:三叉神经
B.破裂孔:颅内动脉
C.颈静脉孔:舌咽神经,迷走神经,副神经
D.卵圆孔:三叉神经下颌支
E.眶上裂:面神经


点击查看答案


63、单项选择题  经肝脏排泄的口服对比剂是()

A.胆影钠
B.碘番酸
C.胆影葡胺
D.泛影葡胺
E.甲泛葡糖


点击查看答案


64、单项选择题  

女,55岁,跌倒后右手痛,结合X线平片表现,正确的诊断是()

A.柯莱斯骨折
B.蒙泰贾骨折
C.加莱阿齐骨折
D.尺桡骨骨折
E.反柯莱阿齐骨折


点击查看答案


65、多项选择题  缩窄性心包炎的X线征象为()

A.心影增大
B.心影边缘不规则
C.上纵隔阴影增宽
D.心包钙化
E.胸膜增厚、粘连


点击查看答案


66、单项选择题  下列对辐射敏感的组织不包括()

A.卵巢
B.四肢
C.眼晶状体
D.骨髓
E.睾丸


点击查看答案


67、多项选择题  优良的消化道双重对比造影钡剂,应具备的条件为()

A.弥散性好
B.流动性高
C.浓度高
D.黏稠度高
E.抗凝聚性好


点击查看答案


68、单项选择题  肺脓肿的感染途径是()

A.吸入性
B.血源性
C.邻近器官感染直接蔓延
D.以上都是
E.以上都不是


点击查看答案


69、单项选择题  关于瓦氏位摄影,以下错误的是()

A.瓦氏位是观察上颌窦的最佳体位
B.又称Water位
C.也可观察额窦和后组筛窦
D.听眦线与暗盒呈73°角
E.若怀疑有上颌窦积液,应站立位摄影


点击查看答案


70、单项选择题  

女,12岁,左前臂外翻畸形4年,摄片如图所示,最可能的诊断是()

A.奥利氏病
B.马德隆氏畸形
C.先天性干骺端发育不全
D.软骨发育不全
E.以上均不正确


点击查看答案


71、单项选择题  下列“管状骨结核”影像特点中,哪项不正确()

A.成人,骨干常膨胀、增粗
B.圆形、卵圆形、不规则形破坏区
C.多数病灶边缘锐利,有硬化缘
D.儿童短管状骨者,常双侧多发
E.儿童,骨膜反应明显


点击查看答案


72、单项选择题  X线显示成人关节间隙组成包括()

A.骨端和关节腔
B.骨端和关节软骨
C.关节软骨和关节滑液
D.关节软骨、关节腔和关节滑液
E.关节腔和关节滑液


点击查看答案


73、单项选择题  右前斜位X线摄片上食管压迹加深,提示()

A.右心室增大
B.右心房增大
C.左心室增大
D.左心房增大
E.主动脉增宽,迂曲


点击查看答案


74、单项选择题  关于视网膜母细胞瘤的影像特点,下述哪项说法是错误的()

A.肿瘤呈乳头样或扁平状,多发病灶 
B.单眼发病 
C.视神经可增粗,视神经孔可扩大 
D.砂粒样、斑块样钙化 
E.向球外生长者预后不良


点击查看答案


75、多项选择题  空、回肠肿瘤的X线表现有()

A.充盈缺损
B.肠套叠
C.龛影
D.肠袢推移
E.肠梗阻


点击查看答案


76、单项选择题  

男,86岁,干部,反复胸闷、心悸30年,心前区剧烈疼痛12小时入院。入院时心电图除aVR导联外,普遍性ST段压低,当天CPK629.7U/L,LDH635.2U/L。

查体时心脏听诊有多发性期前收缩,心电监护示多发室性早搏,有时形成短阵室速。下列治疗药物何项首选()

A.利多卡因
B.苯妥英钠
C.西地兰
D.异搏定
E.奎尼丁


点击查看答案


77、多项选择题  盲肠扭转的X线表现为()

A.充气扩张的小肠位于扩张盲肠的左侧
B.盲肠内侧或外侧可见“V”形切迹,为回盲瓣
C.鸟嘴状狭窄
D.扩张小肠以盲肠为中心呈放射状纠集扩张
E.充气扩张的小肠位于扩张盲肠的右侧


点击查看答案


78、单项选择题  急性乳腺炎脓肿形成时,下列哪一项治疗最为重要()

A.热敷抗生素
B.中药治疗
C.化疗
D.理疗
E.脓肿切开引流


点击查看答案


79、多项选择题  扩张型心肌病的病理生理改变为()

A.心室舒张功能减低
B.心房舒张功能减低
C.心脏射血分数及心排血量下降
D.心室排血受阻,导致"泵"功能不良
E.继发心肌损害,致"泵"功能不良


点击查看答案


80、单项选择题  甲状旁腺功能亢进早期骨骼改变是()

A.骨质密度减低
B.骨膜下骨质吸收
C.骨内囊状透亮区
D.病理性骨折
E.骨骼变形


点击查看答案


81、单项选择题  早期胃癌常见的是()

A.Ⅰ型
B.Ⅱa型
C.Ⅱb型
D.Ⅱc型
E.Ⅲ型


点击查看答案


82、单项选择题  正确维护增感屏的方法中,错误的是()

A.防高温防潮湿
B.防阳光曝晒
C.防止水或药液溅入
D.发现灰尘即用口吹清除
E.暗盒应直立放置,避免重压变形


点击查看答案


83、单项选择题  特殊意外情况下,在一次事件中有效剂量不得大于()

A.50mSv
B.100mSv
C.150mSv
D.200mSv
E.250mSv


点击查看答案


84、单项选择题  IVP示肾盏破坏,则可排除下列哪项()

A.肾结核
B.肾盂旁囊肿
C.肾盂肿瘤
D.肾乳头坏死
E.肾腺癌


点击查看答案


85、多项选择题  退行性骨关节病中四肢大关节的X线表现是()

A.承重区变凹变扁
B.关节面下囊肿
C.非承重区骨质增生
D.关节腔有游离体
E.关节间隙变窄


点击查看答案


86、多项选择题  肺静脉高压的常见X线影像有()

A.间质性肺水肿
B.肺泡性肺水肿
C.肺门减小
D.左房增大
E.含铁血黄素沉着


点击查看答案


87、多项选择题  关于乳腺检查中,下列哪些是正确的()

A.应两侧乳腺对比检查
B.先查健侧,后查患侧
C.触诊时采用手指掌面
D.不要用手指捏乳腺组织
E.检查时应循序对乳腺外上、内下、外下、内上各象限及中央区作全面检查


点击查看答案


88、单项选择题  锁骨上皮肤皱褶的宽度一般为()

A.2~3cm
B.3~5mm
C.2~3mm
D.5~6mm
E.3~5cm


点击查看答案


89、单项选择题  

女,31岁,左侧髋部疼痛1月余,有压痛,压之有捏乒乓球感,结合影像学检查,最可能的诊断是()

A.骨囊肿
B.骨巨细胞瘤
C.动脉瘤样骨囊肿
D.成软骨细胞瘤
E.骨结核


点击查看答案


90、单项选择题  下列病变,哪一个不适合立位摄片()

A.肠穿孔
B.胸腔积液
C.骨盆骨折
D.肠梗阻
E.脊柱侧弯症


点击查看答案


91、单项选择题  

男,66岁,近1月来感胸闷,有时低热,胸片如图,最可能的诊断为()

A.化脓性胸膜炎
B.结核性胸膜炎
C.右下肺炎症
D.右下肺不张
E.右侧胸腔积液


点击查看答案


92、单项选择题  关于对比剂,以下叙述错误的是()

A.对比剂都不能入血
B.阴性对比剂原子序数低,密度小
C.阳性对比剂原子序数高,密度大
D.阴性对比剂和阳性对比剂可混合使用
E.对比剂均无毒


点击查看答案


93、单项选择题  房间隔缺损多发生于()

A.卵圆窝
B.冠状窦口
C.腔静脉窦
D.主动脉隆突
E.室上嵴


点击查看答案


94、单项选择题  下列“阑尾炎”诊断要点,错误的是()

A.阑尾内多发充盈缺损
B.边缘毛糙
C.排空加快
D.定点压痛
E.管腔狭窄、管壁僵直


点击查看答案


95、单项选择题  弯刀征是哪种先天性疾病的X线表现()

A.肺隔离症
B.房间隔缺损
C.肺动脉瓣狭窄
D.心内膜垫缺损
E.右下肺静脉异常引流入肝静脉、门静脉或下腔静脉


点击查看答案


96、单项选择题  伦琴发现X线的日期是()

A.1895年11月8日
B.1895年8月11日
C.1901年11月8日
D.1901年8月11日
E.1985年11月8日


点击查看答案


97、单项选择题  甲种工作条件是指1年照射的有效量剂量有可能超过()

A.20mSv
B.15mSv
C.10mSv
D.5mSv
E.25mSv


点击查看答案


98、单项选择题  腰骶关节前后位摄片,中心线的投射角度是()

A.垂直投射
B.向头侧倾斜15°~20°
C.向足侧倾斜15°~20°
D.向头侧倾斜45°
E.向足侧倾斜45°


点击查看答案


99、单项选择题  肺动脉段凹陷最常见于()

A.房间隔缺损
B.室间隔缺损
C.三尖瓣闭锁
D.法洛四联征
E.动脉导管未闭


点击查看答案


100、单项选择题  下列关于“多发性骨髓瘤”错误的是()

A.常有病理骨折
B.扁骨、不规则骨多见
C.多部位、多发性病灶
D.常有广泛性骨质疏松
E.骨质以溶骨破坏为主,骨皮质无膨胀、硬化


点击查看答案


101、单项选择题  柯氏位(CaldWell’s)摄片,中心线与听眦线夹角是()

A.15°
B.23°
C.37°
D.45°
E.53°


点击查看答案


102、单项选择题  下列哪个部位具有较好的天然对比度()

A.腹部
B.足
C.头颅
D.骨盆
E.胸部


点击查看答案


103、单项选择题  可复性食管裂孔疝的典型征象是()

A.膈上出现胃粘膜
B.食管下括约肌上升和收缩
C.食管胃环上升出现在膈上
D.部分胃底位于膈上
E.胃食管前庭管腔增宽


点击查看答案


104、单项选择题  关于对比剂应具备的条件,错误的是()

A.与人体组织密度相近
B.无毒性,副作用少
C.理化性能稳定
D.易于吸收与排泄
E.使用方便


点击查看答案


105、多项选择题  二尖瓣复合体包括()

A.二尖瓣环
B.二尖瓣
C.二尖瓣腱索
D.乳头肌
E.以上都不是


点击查看答案


106、多项选择题  肺内空腔影可见于()

A.肺大泡
B.含气肺囊肿
C.肺气囊
D.周围型肺癌
E.囊状支气管扩张


点击查看答案


107、单项选择题  “黄色肉芽肿性肾盂肾炎”的诊断要点,下述哪项错误()

A.反复尿路感染
B.双侧多见
C.变形杆菌感染所致
D.尿检发现泡沫细胞
E.肾窦脂肪堆积


点击查看答案


108、多项选择题  左心房增大多见于下述哪些疾病()

A.二尖瓣病变
B.主动脉病变
C.动脉导管未闭
D.室间隔缺损
E.左心衰竭


点击查看答案


109、多项选择题  右位主动脉可伴有()

A.永存动脉干
B.主动脉缩窄
C.法洛四联症
D.房间隔缺损
E.Ebstein畸形


点击查看答案


110、单项选择题  

女,46岁,排便困难,结合图像,最可能的诊断为()

A.正常肠圈
B.球部溃疡
C.球部憩室
D.降段憩室
E.水平段憩室


点击查看答案


111、多项选择题  在尿路造影中,关于输尿管正确的表现有()

A.注入对比剂后30分钟,肾盂肾盏显示满意,松开腹压即可显示双侧输尿管
B.输尿管全长为25~30cm
C.输尿管宽3~7mm
D.输尿管分三段
E.输尿管有三个狭窄


点击查看答案


112、单项选择题  蒙泰贾(Monteggia)骨折是指()

A.尺骨上1/3骨折,合并桡骨小头脱位
B.第1掌骨基底部骨折,合并掌腕关节脱位
C.桡骨远端距远端关节面2.5cm以内的骨折,常伴远侧断段向背侧倾斜
D.桡骨远端2~3cm以内的骨折,常伴远侧断段向掌侧倾斜
E.桡骨下1/3的骨折,合并尺骨小头脱位


点击查看答案


113、单项选择题  食管癌恶性程度最高的是()

A.髓质型
B.溃疡型
C.浸润型
D.蕈伞型
E.腔内型


点击查看答案


114、单项选择题  

男,20岁,胸闷、低热1月余,突然咯血,X线检查如图,最可能的诊断是()

A.肺结核(Ⅰ型)伴右侧胸腔积液
B.肺结核(Ⅲ型)伴右侧胸腔积液
C.肺结核(Ⅱ型)伴右侧肺不张
D.肺结核(Ⅲ型)伴右侧肺不张
E.肺转移瘤伴右侧肺不张


点击查看答案


115、多项选择题  有关冠状面的叙述,错误的是()

A.冠状面与地面平行
B.冠状面与矢状面垂直
C.冠状面将人体左右等分
D.冠状面与横断面垂直
E.冠状面将人体前后等分


点击查看答案


116、单项选择题  下列哪种肿瘤通常在肺部发生转移之后才被诊断,在X线上表现为多发性、无钙化,边缘整齐的圆形病灶()

A.前列腺癌
B.恶性甲状腺肿
C.绒毛膜上皮癌
D.成骨肉瘤
E.乳癌


点击查看答案


117、单项选择题  按骨折的好发部位可将上颌骨骨折分为三型,其中的Ⅲ型,骨折线不能穿过()

A.鼻嵴
B.翼突基底部
C.上颌窦底部
D.颧骨上部
E.眼眶内外壁


点击查看答案


118、单项选择题  判断右心房增大较可靠的征象为()

A.右前斜位心房段超过心前缘的一半以上
B.右前斜位心房段超过心前缘的四分之三以上
C.左前斜位心房段超过心前缘的一半以上
D.右侧位心房段超过心前缘四分之三以上
E.以上都不是


点击查看答案


119、单项选择题  关于软骨肉瘤的表述,错误的是()

A.据肿瘤发生部位,分为中心型和周围型,前者发生于髓腔,后者发生于骨表面
B.据肿瘤起源,分为原发性和继发性,中心型多为原发性,周围型多为继发性
C.原发性多见于30岁以下,继发性多在40岁以上
D.镜下,由肿瘤性软骨细胞和软骨基质构成,常见软骨基质钙化,呈环状
E.骨盆发病者以骶骨常见


点击查看答案


120、单项选择题  所有膀胱上皮性肿瘤大部分为恶性,其细胞类型依其发病率由高到低依次为()

A.鳞癌,移行细胞癌,腺癌
B.移行细胞癌,鳞癌,腺癌
C.腺癌,鳞癌,移行细胞癌
D.移行细胞癌,腺癌,鳞癌
E.鳞癌,腺癌,移行细胞癌


点击查看答案


121、单项选择题  

男,3岁,腕部变形,胸廓畸形,应诊断为()

 

A.坏血病
B.佝偻病
C.粘多糖病
D.克汀病
E.脂质沉积病


点击查看答案


122、多项选择题  顶颏位可用于观察下列哪些结构()

A.上颌窦
B.前筛窦
C.后筛窦
D.颧弓
E.眶底


点击查看答案


123、单项选择题  喉肉芽肿的早期X线表现为()

A.喉腔狭窄
B.喉内结构不规则增厚
C.喉内结构弥漫肿胀、增厚
D.会厌破坏缺损
E.喉内结构粘连变形


点击查看答案


124、单项选择题  柯氏位摄影,中心线与听眦线夹角是()

A.15°
B.23°
C.37°
D.45°
E.53°


点击查看答案


125、单项选择题  下列哪种疾病,不伴三尖瓣关闭不全()

A.风湿性心脏病
B.肺静脉高压
C.右房黏液瘤
D.三尖瓣脱垂
E.Ebstein畸形


点击查看答案


126、单项选择题  照片产生反转的原因是()

A.显影液pH值太高
B.显影液温度太低
C.定影液衰老
D.X线胶片过期
E.由于潜影溴化的结果


点击查看答案


127、单项选择题  “口服胆囊造影”,脂餐后胆囊正常收缩率为()

A.不缩小
B.20%左右
C.40%左右
D.≥50%
E.以上都错误


点击查看答案


128、多项选择题  关于慢性化脓性骨髓炎,正确的表述是()

A.可由急性化脓性骨髓炎转化而来
B.常见死骨
C.可见骨包壳形成
D.Garre骨髓炎最初即为慢性过程
E.骨膜反应不如急性明显


点击查看答案


129、单项选择题  

男2岁,左侧胸痛、气促,如图所示,最可能的诊断为()

A.左肺肺不张
B.左侧胸腔积液
C.左侧胸膜肥厚
D.右肺肺气肿
E.以上都不正确


点击查看答案


130、单项选择题  

男,67岁,右侧股骨痛,结合图像,最可能的诊断是()

A.骨纤维结构不良
B.维生素D缺乏病
C.成骨不全
D.软骨发育不全
E.畸形性骨炎


点击查看答案


131、单项选择题  关于CR的工作原理,错误的是()

A.IP由基层荧光体层和保护层构成
B.透过人体的X线光子以潜影形式储存在荧光层的晶体内
C.透过人体的X线光子被IP转换成数字图像
D.IP在读出装置接受激光束扫描
E.激发束激发出的荧光与潜影成正比


点击查看答案


132、多项选择题  颅内生理钙化包括()

A.松果体钙化
B.脉络膜丛钙化
C.大脑镰钙化
D.蛛网膜颗粒钙化
E.后床突韧带钙化


点击查看答案


133、单项选择题  患者,发热、咳嗽、胸痛、咳痰、痰有臭味,胸片示右下肺野叶片状致密阴影,其中有透光区存在,可能的诊断为()

A.大叶性肺炎
B.支气管肺炎
C.肺脓肿
D.吸入性肺炎
E.机化性肺炎


点击查看答案


134、单项选择题  左心房增大的X线表现,下列哪项应除外()

A.左心缘出现4个弓,第3弓特别突出
B.降主动脉左移
C.双心房或双心缘阴影
D.心尖明显下移
E.左主支气管受压抬高


点击查看答案


135、多项选择题  下列属于高压部件的是()

A.X线管
B.高压硅整流器
C.灯丝加热变压器
D.高压电缆
E.高压交换闸


点击查看答案


136、多项选择题  有关胃肠道粘膜的说法中,哪些正确()

A.空肠粘膜皱襞常显示为羽毛状影像
B.十二指肠球部粘膜皱襞为纵向、彼此平行的条纹
C.胃粘膜皱襞呈条纹状影
D.食管粘膜皱襞为纤细条纹状阴影
E.大肠粘膜皱襞为纵、横、斜3种方向交划结合的纹理


点击查看答案


137、单项选择题  胃溃疡多见于()

A.胃窦部
B.胃窦幽门前区
C.幽门管
D.胃小弯与胃角附近
E.胃大弯


点击查看答案


138、单项选择题  关于肠结核的描述,正确的是()

A.平片常有“狗耳征”
B.肠结核好发于回盲部
C.通常分溃疡型、平坦型和增生型
D.病变肠段明显增宽、延长
E.原发灶以腹腔结核最常见


点击查看答案


139、单项选择题  

男,7岁,外伤后突发呼吸困难伴胸痛,结合图像,最可能的诊断是()

A.胸腔积液
B.肺大泡
C.气胸
D.液气胸
E.肺脓肿


点击查看答案


140、单项选择题  

女,5岁,左踝疼痛,结合图像,最可能的诊断是()

A.创伤性关节炎
B.退行性骨关节病
C.神经性关节病
D.风湿性关节炎
E.痛风


点击查看答案


141、单项选择题  近年来,下列肿瘤中呈增加趋势的是()

A.皮肤癌
B.骨肉瘤
C.子宫癌
D.结肠癌
E.肺癌


点击查看答案


142、单项选择题  X线诊断心包积液较可靠方法是()

A.左前斜位X线片看室间沟深浅
B.心影是否呈烧瓶样
C.右前斜位吞钡食管压迹有无加深
D.透视下心脏搏动情况
E.以上都不是


点击查看答案


143、单项选择题  下列关于骨岛的说法中,错误的是()

A.分布于密质骨内
B.边缘较清楚
C.长轴与较粗的骨小梁方向一致
D.密度均匀
E.致密性阴影


点击查看答案


144、单项选择题  神经根型颈椎病,首选的摄片体位是()

A.颈椎双斜位
B.颈椎开口位
C.颈椎过伸位
D.颈椎过屈位
E.以上都不是


点击查看答案


145、多项选择题  下列属于亲骨性肿瘤的是()

A.肾癌
B.甲状腺癌
C.食管癌
D.鼻咽癌
E.前列腺癌


点击查看答案


146、多项选择题  头颅侧位片,正常蝶鞍形态可以表现为()

A.圆形
B.椭圆形
C.扁平形
D.桥形蝶鞍
E.双鞍底


点击查看答案


147、单项选择题  下列有关软骨发育不全的X线表现中,哪项错误()

A.肱骨和股骨对称性短粗且弯曲,骨皮质增厚
B.肱骨和股骨骺板光滑或轻度不规则,并散在点状致密影
C.肱骨和股骨干骺端增宽,向两侧张开而中央凹陷
D.尺骨较桡骨长,远侧端变细,近端增宽
E.腓骨头位置较高,远端过长引起足内翻


点击查看答案


148、多项选择题  下列哪些疾病可引起视神经孔增大()

A.视神经胶质瘤
B.视神经鞘瘤
C.畸形性骨炎
D.蝶骨嵴脑膜瘤
E.颅内疾病


点击查看答案


149、单项选择题  符合MPSⅡ型(HUnter综合征)重型的特点为()

A.2~4岁发病,智力障碍及身体畸形
B.可出现进行性耳聋、腕管综合征
C.可出现髋关节退行性改变
D.患者可存活到六七十岁
E.尿内有大量DS和HS


点击查看答案


150、单项选择题  急腹症危重患者观察腹腔少量游离气体,应采用的摄片体位是()

A.立位
B.仰卧位
C.俯卧位
D.左侧卧位水平投照
E.右侧卧位水平投照


点击查看答案


151、单项选择题  下述关于“巨细胞瘤”和“动脉瘤样骨囊肿”描述中正确的是()

A.腰椎受累,常为巨细胞瘤
B.两者放疗效果均较差
C.动脉瘤样骨囊肿,只见于生长期骨骼
D.巨细胞瘤,既见于生长期也见于成熟期骨骼
E.骨骺板对动脉瘤样骨囊肿有限制作用


点击查看答案


152、单项选择题  正位胸片上()

A.女乳头投影于第4肋
B.男乳头投影于第4前肋间
C.第7~10肋软骨依次连接上位肋软骨
D.第10~12为浮肋
E.胸骨角向后平于第4胸椎体


点击查看答案


153、单项选择题  

男,41岁,腰部酸肿不适10多年,近年加重,腰部活动受限,晨僵1年,腰椎正侧位片如图,最可能的诊断是()

A.腰椎退行性变
B.弥漫性骨质增生症
C.强直性脊椎炎
D.斯梯尔综合征
E.以上均不正确


点击查看答案


154、单项选择题  输尿管结石最常见停留的部位是在()

A.肾盂漏斗部
B.输尿管起始部
C.跨过髂总动脉处
D.进入膀胱壁处
E.骨盆入口处


点击查看答案


155、单项选择题  按波长由短到长排列顺序,下列哪组正确()

A.红外线,紫外线,可见光,无线电波,X线
B.紫外线,可见光,红外线,无线电波,X线
C.无线电波,X线,红外线,可见光,紫外线
D.可见光,红外线,无线电波,紫外线,X线
E.X线,紫外线,可见光,红外线


点击查看答案


156、多项选择题  属于腹膜间位器官的有哪些()

A.盲肠
B.升结肠
C.降结肠
D.横结肠
E.乙状结肠


点击查看答案


157、单项选择题  家族性结肠息肉综合征的有关说法,哪项是错误的()

A.为常染色体显性遗传性疾病
B.左侧结肠好发
C.息肉表面粗糙不规则, 有分叶者应警惕恶性变
D.结肠无短缩,结肠粘膜常有溃疡形成
E.结肠无激惹征,结肠袋正常


点击查看答案


158、单项选择题  下列哪一种疾病,一般不出现小叶间隔线()

A.急性高原反应
B.右心衰
C.左心衰
D.肺水肿
E.风湿性二尖瓣狭窄


点击查看答案


159、多项选择题  上叶分布为主的肺纤维化见于()

A.过敏性支气管肺曲菌病
B.石棉肺
C.博莱霉素肺部反应
D.系统性硬皮病
E.结节病


点击查看答案


160、单项选择题  下列哪项不是肺结核恶化的表现()

A.干酪样坏死
B.液化及空洞
C.纤维化
D.支气管播散
E.经淋巴管蔓延


点击查看答案


161、单项选择题  关于冠状动脉解剖的描述哪项不正确()

A.心脏正位片上左冠窦向左膨出,右冠窦向右膨出,无冠窦位于两窦之间的前壁
B.左冠状动脉主干走行于肺动脉干和左心耳之间,至左房室沟处分为两支
C.左前降支阻塞时,由斜角支建立侧支循环由右冠状动脉供血给左室
D.右冠状动脉窦房结支通常为第2分支,走向后上方,供血给心脏系统的重要部位
E.约18%的人右冠状动脉远侧段缺如


点击查看答案


162、单项选择题  关于肾结核影像特点,下列哪项错误()

A.早期肾影正常
B.肾影可增大
C.早期就有肾盂破坏
D.晚期可为肾自截
E.多为一侧肾脏侵犯


点击查看答案


163、单项选择题  “肺动脉段缩小”最常见于()

A.房间隔缺损
B.法洛四联征
C.三尖瓣闭锁
D.动脉导管未闭
E.Esenmenger综合征


点击查看答案


164、单项选择题  男,52岁,右下腹痛,贫血3月,钡灌肠检查见盲肠充盈缺损,肠袋消失,粘膜中断,最可能的诊断是()

A.结肠炎性肿块 
B.淋巴瘤 
C.平滑肌瘤 
D.盲肠癌 
E.淋巴结增生症


点击查看答案


165、单项选择题  中耳癌的早期X线表现是()

A.听小骨破坏
B.中耳骨壁破坏
C.面神经管破坏
D.乳突骨质稀疏破坏
E.颅骨广泛骨质破坏


点击查看答案


166、单项选择题  下列关于“胃小区”影像描述,错误的是()

A.正常胃小区小于10mm
B.胃窦部胃小区多为多角形
C.胃体部胃小区以圆形、椭圆形者居多
D.萎缩性胃炎患者难以显示胃小区
E.胃小区显示率与操作技术和所用钡剂特性关系密切


点击查看答案


167、单项选择题  关于急性粟粒型肺结核的说法中,以下不正确的是()

A.肺内阴影与临床症状出现时间大致相同
B.病灶为渗出性或增殖性
C.“三均匀”是其特点
D.大多数病灶吸收约需16个月
E.X线阴影的改善晚于临床症状改善


点击查看答案


168、单项选择题  在股骨颈骨折并发症中,最常见的是()

A.骨感染
B.骨畸形
C.骨萎缩
D.骨缺血性坏死
E.以上都是


点击查看答案


169、单项选择题  在平片上,哪种病理变化可使骨的密度增高()

A.骨质软化
B.骨膜增生
C.骨质疏松
D.骨质破坏
E.骨膨胀性改变


点击查看答案


170、单项选择题  下列关于骨关节投照体位的选择哪项不对()

A.立位双足弓水平侧位;扁平足
B.肩关节盂前后位:肩关节间隙
C.膝关节侧位、轴位;髌骨骨折
D.腕关节内收位:舟状骨中段横行骨折
E.双肩关节后前持重位;肩锁关节有否脱位


点击查看答案


171、单项选择题  腕骨中最后骨化的是()

A.头状骨
B.舟骨
C.大、小多角骨
D.豌豆骨
E.月骨


点击查看答案


172、单项选择题  间质性肺水肿发生水肿液聚积的部位不包括()

A.肺泡间隔
B.小叶间隔
C.支气管及血管周围结缔组织
D.胸膜下结缔组织
E.肺泡导管


点击查看答案


173、单项选择题  

患者,女,46岁,胸闷气短1月,伴全身乏力,咳嗽,发热。胸片示:中上纵隔增宽,右缘呈波浪状改变。白细胞:8.5×109/L。

当病人出现声音嘶哑时,提示肿瘤已侵犯()

A.声带
B.迷走神经
C.喉上神经
D.喉返神经
E.气管隆突


点击查看答案


174、单项选择题  下列关于股骨头骨骺骨缺血坏死的X线表现中,下列哪项错误()

A.股骨头骨骺较小且扁
B.股骨头骨骺密度增高
C.股骨头骨骺节裂
D.关节间隙正常或增宽
E.髋臼边缘骨性破坏


点击查看答案


175、单项选择题  下列缩窄性心包炎征象,哪项不对()

A.盔甲心
B.上纵隔影增宽
C.心脏搏动减弱
D.心影明显增大
E.部分患者可有胸腔积液


点击查看答案


176、单项选择题  下列关于肺泡微石症的描述,错误的是()

A.血钙浓度正常
B.家族性
C.胸片呈“蜂窝状”影
D.结石成分与骨类似
E.两肺胸膜下区分布细小钙化影


点击查看答案


177、多项选择题 & nbsp;关于黄韧带的断层解剖,正确的是()

A.宽度不超过5mm
B.黄韧带位于关节突和椎板的内侧缘
C.呈尖端向后的“V”形线条影
D.黄韧带后缘紧贴椎管内缘
E.前方与硬膜囊之间隔以低密度的脂肪组织


点击查看答案


178、单项选择题  下述“骨感染性病变”特点,哪项错误()

A.骨结核:很少侵犯邻近关节
B.骨髓炎:很少侵犯邻近关节
C.骨结核:好发于骨骺附近
D.骨髓炎:增生、破坏均明显
E.骨结核:破坏为主


点击查看答案


179、多项选择题  早期食管癌分为()

A.硬化型
B.平坦型
C.溃疡型
D.凹陷型
E.隆起型


点击查看答案


180、多项选择题  肾动脉的肾外分支有()

A.膈下动脉
B.性腺动脉
C.输尿管上段动脉
D.肠系膜上动脉
E.肾上腺下动脉


点击查看答案


181、单项选择题  以下关于胸部影像表现,正确的是()

A.常规胸部CT扫描肺窗显示肺叶间裂呈乏血管带
B.常规胸部MR扫描可以显示肺叶的划分
C.条件合适的胸部X线正位片不应显示胸椎
D.胸部X线正位片上的乳头影位于第5肋间且一定为双侧对称
E.胸部X线正位片上,一般左膈面高于右膈面1~2cm


点击查看答案


182、单项选择题  肺下积液所致的“膈升高”膈顶最高点位于()

A.偏外1/3
B.偏外2/3
C.偏内1/3
D.偏内2/3
E.偏外1/2


点击查看答案


183、单项选择题  最常见的女性生殖系统结核是下列哪种()

A.子宫内膜结核
B.子宫颈结核
C.输卵管结核
D.卵巢结核
E.盆腔结核


点击查看答案


184、多项选择题  下列“无紫绀型先天性心脏病”中,哪些疾病的“肺血正常”()

A.肺动脉狭窄
B.主动脉瓣狭窄
C.主动脉缩窄
D.三尖瓣下移
E.以上均为“肺血正常”的“无紫绀型先天性心脏病”


点击查看答案


185、多项选择题  骨质破坏的原因中,正确的有()

A.良、恶性骨肿瘤
B.骨肿瘤样病变
C.甲状旁腺功能低下
D.炎症
E.肉芽肿性病变


点击查看答案


186、单项选择题  下述哪种病变,腹部平片价值最低()

A.肾结石
B.消化道穿孔
C.输尿管结石
D.原发性肝癌
E.大量腹水


点击查看答案


187、多项选择题  肺动脉高压时,可见到下列哪些X线影像()

A.肺动脉段突出
B.肺门缩小
C.肺门搏动增强
D.常伴右心室增大
E.蝶翼征


点击查看答案


188、单项选择题  关于药品服用时间,下列叙述错误的是()

A.选择适宜的服药时间可以提高药物疗效
B.选择适宜的服药时间可以降低给药剂量,节约医药资源
C.选择适宜的服药时间可以减少和规避药品不良反应
D.肾上腺皮质激素类药物宜采用早晨一次给药或隔日早晨一次给药
E.降脂药宜清晨服药


点击查看答案


189、单项选择题  关于脊椎骨折,下列哪项不正确()

A.X线上椎体压缩变扁呈楔形改变
B.多发生在活动度较大的胸椎下段和腰椎上段
C.椎间隙变窄
D.严重时常并发脊椎后突成角,侧移
E.以单个椎体多见


点击查看答案


190、单项选择题  在纵隔九分区法中,作为中后纵隔分界的是()

A.气管后壁
B.心后壁
C.食管前壁
D.食管后壁
E.降主动脉前壁


点击查看答案


191、单项选择题  在胸部后前位片上右心缘的下部是()

A.右心房
B.右心室
C.左心房
D.左心室
E.升主动脉


点击查看答案


192、单项选择题  普通X线摄片,胶片吸收的光能中,增感屏的荧光能量占()

A.75%
B.80%
C.85%
D.90%
E.95%


点击查看答案


193、单项选择题  下述骨发育知识,哪项错误()

A.源于外胚层
B.颅骨、面骨属膜内成骨
C.四肢骨、躯干骨为软骨内成骨
D.骨成形主要靠新生骨不断改建、塑形实现
E.源于中胚层


点击查看答案


194、多项选择题  有关解剖学方位的叙述,正确的是()

A.近身体腹侧为前面
B.近身体腹侧为后面
C.近皮肤为浅层
D.近头侧为下
E.近心脏侧为近端


点击查看答案


195、单项选择题  以下对于影像检查局限性的说法,哪项观点不对()

A.某些疾病,影像学无法检出
B.异病同影或同病异影
C.影像表现可与临床不同步
D.过小的病变影像检查可阴性
E.不同成像方法间无互补作用


点击查看答案


196、单项选择题  散射线量与有关因素的关系,正确的是()

A.与mA成反比
B.kV升高,散射线量增加
C.与肢体厚度成反比
D.与距离成正比
E.以上都不是


点击查看答案


197、单项选择题  下列关于主动脉病变X线表现,错误的是()

A.主动脉位置改变
B.主动脉狭小
C.主动脉外形不规则
D.主动脉增宽,伸长和迂曲
E.以上都不是


点击查看答案


198、单项选择题  下列有关乳腺癌的描述,哪项是错误的()

A.乳腺外上象限发生率最高,接近50%
B.骨转移的主要部位是肋骨
C.“橘皮征”是皮内和皮下淋巴管被癌细胞堵塞所致
D.Paget病的原发灶在乳头区的大乳管内
E.治疗方针应是尽早手术,辅以放、化疗等综合疗法


点击查看答案


199、单项选择题  日本内镜协会对早期胃癌的定义是根据()

A.肿瘤的大小
B.有无溃疡
C.有无转移
D.有无穿孔
E.肿瘤限于粘膜和粘膜下层


点击查看答案


200、单项选择题  下列“脊柱结核”发病特点中,哪项正确()

A.溶骨性破坏为主
B.中心型,是最常见类型,腰椎多见
C.边缘型,胸椎多见
D.韧带下型,始于后纵韧带
E.附件型少见


点击查看答案


201、多项选择题  四肢长管状骨骨折的临床表现为()

A.患肢功能障碍
B.患肢缩短
C.保护性姿势
D.骨折局部肿痛、变形
E.活动患肢可听到磨擦音


点击查看答案


202、单项选择题  下列有关影像检查的描述,错误的是()

A.过小的病变影像检查可呈阴性
B.不同成像方法间有互补作用
C.影像表现常与临床同步
D.异病同影或同病异影常会遇到
E.某些疾病,影像学无法检出


点击查看答案


203、单项选择题  胸部摄片,中心线经()

A.第6胸椎入射
B.第7胸椎入射
C.第8胸椎入射
D.第9胸椎入射
E.第10胸椎入射


点击查看答案


204、单项选择题  左心室增大常见的原因是()

A.高血压病
B.主动脉瓣病变
C.二尖瓣关闭不全
D.动脉导管未闭
E.以上都是


点击查看答案


205、单项选择题  肺源性心脏病时心影有时可呈()

A.梨形心
B.靴形心
C.横位心
D.悬滴状心
E.主动脉型心脏


点击查看答案


206、单项选择题  

乳腺癌TNM分期中,T2肿瘤直径不超过()
 

A.1cm
B.2cm
C.3cm
D.4cm
E.5cm


点击查看答案


207、多项选择题  以下哪些骨肿瘤常见钙化()

A.骨瘤
B.骨肉瘤
C.骨巨细胞瘤
D.软骨瘤
E.软骨肉瘤


点击查看答案


208、单项选择题  X线平片上见到颅内有病理性钙化灶可能是()

A.颅咽管瘤
B.Sturge-Weber综合征
C.畸胎瘤
D.结节性硬化
E.以上均是


点击查看答案


209、单项选择题  下列哪些疾病可以使用X线作为初步检查方法()

A.眼部阳性异物及其定位
B.眼球突出
C.眼部肿瘤
D.眼眶外伤
E.以上均可


点击查看答案


210、多项选择题  下列需与非骨化性纤维瘤鉴别的肿瘤或肿瘤样病变有()

A.骨样骨瘤
B.骨巨细胞瘤
C.纤维性骨皮质缺损
D.骨纤维结构不良
E.良性间叶瘤


点击查看答案


211、多项选择题  经眶上裂出入颅的结构有()

A.视神经
B.动眼神经
C.滑车神经
D.展神经
E.眼神经


点击查看答案


212、单项选择题  关于慢性肺脓肿空洞的X线表现,正确的是()

A.边缘较清楚
B.呈圆形或椭圆形
C.呈不规则形
D.常有液平面
E.以上全对


点击查看答案


213、单项选择题  

男,5岁,临床考虑先心病室间隔缺损,结合图像,下列描述正确的是()

A.肺淤血
B.正常肺
C.肺泡性肺水肿
D.间质性肺水肿
E.肺充血


点击查看答案


214、单项选择题  X线片上正常内听道的宽度平均约为()

A.10mm
B.15mm
C.2mm
D.12mm
E.5mm


点击查看答案


215、多项选择题  化脓性骨髓炎的X线表现有()

A.骨膜增生
B.骨质破坏
C.死骨形成
D.新生骨
E.肌间隙模糊


点击查看答案


216、单项选择题  关于干酪性肺炎不正确的描述是()

A.以渗出性和干酪性病变为主
B.好发于抵抗力极低,对结核菌素敏感性高的病人
C.X线表现为节段性实变
D.因干酪样坏死明显,故传染性低
E.病变内常见空洞形成


点击查看答案


217、单项选择题  胸部正位取后前立位摄影的原因,无关的是()

A.能正确反映胸部脏器的确切形态
B.能观察到产生气液面的病理改变
C.肺组织更靠近胶片,影像清晰
D.肩胛骨易于投影在肺野之外
E.心脏放大率小


点击查看答案


218、单项选择题  常伴“脊髓空洞症”的疾病是()

A.Moya-Moya病
B.神经鞘瘤
C.Dandy-Walker综合征
D.脊膜瘤
E.室管膜瘤


点击查看答案


219、多项选择题  中量游离性胸腔积液的渗液曲线的形成与下述哪些因素有关()

A.胸腔内的负压状态
B.液体的表面张力
C.肺组织的弹性
D.液体的重力
E.液体在胸腔内的虹吸作用


点击查看答案


220、单项选择题  单枚纵隔或肺门淋巴结测量值属于可疑病变范围的是()

A.15~25mm
B.5~8mm
C.15~20mm
D.20~25mm
E.11~14mm


点击查看答案


221、单项选择题  临床上称作卢滕巴赫(Lutembacher)综合征的先天性心脏病是房间隔缺损(二孔型)合并下列哪种疾病()

A.二尖瓣关闭不全
B.肺动脉狭窄
C.肺静脉畸形引流
D.左上腔静脉畸形发展
E.二尖瓣狭窄


点击查看答案


222、单项选择题  X线量正比于()

A.管电压值
B.曝光时间
C.焦-片距
D.物体-胶片距
E.以上都不是


点击查看答案


223、多项选择题  脊柱骨质增生可见于()

A.特发性肥大性骨关节病
B.强直性脊柱炎
C.脊柱结核愈合期
D.畸形性骨炎
E.脊柱外伤


点击查看答案


224、多项选择题  乳腺病变进行导管造影时,可见哪些X线征象()

A.导管扩张
B.导管僵直
C.导管受压移位、分支减少
D.管腔内充盈缺损
E.导管截断


点击查看答案


225、不定项选择  肺结核病的全身中毒症状有()

A.盗汗
B.咯血
C.低热
D.乏力
E.咳嗽


点击查看答案


226、单项选择题  下述“新生儿胸腹膜裂孔疝”描述,错误的是()

A.左侧居多
B.可伴肺发育不全
C.常有肠梗阻
D.左肾可疝入胸腔
E.比胸骨旁疝发生率低


点击查看答案


227、单项选择题  外伤患者头颅内发现有气体影,骨折的部位是()

A.额窦前壁骨折
B.额窦后壁骨折
C.上颌骨折
D.筛窦骨折
E.上颌窦后壁骨折


点击查看答案


228、单项选择题  后前位胸片上,心右缘的构成为()

A.右心室
B.右心房和上肺静脉
C.左心室流出道
D.上腔静脉和右心房
E.上肺静脉


点击查看答案


229、单项选择题  

男,62岁,常感胸闷、气逼,X线检查如图,最可能的诊断是()

A.右侧肺大泡
B.右侧气胸
C.右侧肺脓肿
D.右侧胸膜肥厚
E.右侧肺气肿


点击查看答案


230、多项选择题  下列中的哪些部位,不适合高电压摄片()

A.纵隔
B.喉
C.胸骨
D.乳腺
E.胸部


点击查看答案


231、单项选择题  

男,出生后2天。哭闹不止,腹胀。如图所示,最可能的诊断为()

A.肠套叠
B.肠闭锁
C.胎粪性腹膜炎
D.肠扭转
E.肠狭窄


点击查看答案


232、单项选择题  脊柱摄片时体表定位标记,哪一种不妥()

A.甲状软骨--第5颈椎 
B.剑突--第8胸椎 
C.胸骨颈静脉切迹--第3胸椎 
D.肋骨弓下缘--第3腰椎 
E.耻骨联合上缘--尾骨


点击查看答案


233、多项选择题  下列摄片用语,错误的是()

A.中心线向肢侧倾斜
B.中心线向手侧倾斜
C.中心线向足侧倾斜
D.中心线向头侧倾斜
E.中心线向地面倾斜


点击查看答案


234、单项选择题  

患者,男性,39岁,左小腿肿胀、疼痛1个月余,夜间加重。左胫腓骨正侧位片如下,最可能的诊断为()

A.成骨性转移瘤
B.骨肉瘤
C.软骨肉瘤
D.Ewing肉瘤
E.慢性硬化性骨髓炎


点击查看答案


235、单项选择题  充血性心肌病的典型X线表现是()

A.右心房和右心室增大
B.右心室增大
C.左心室、右心室增大
D.左心室增大
E.左心房和右心室增大


点击查看答案


236、单项选择题  尾骨前后位摄片时,中心线的正确投射是()

A.垂直投射
B.向头侧倾斜15°
C.向足侧倾斜15°
D.向头侧倾斜45°
E.向足侧倾斜45°


点击查看答案


237、单项选择题  下列关于“小儿套叠灌肠复位”成功标志,错误的是()

A.气体、钡剂进入小肠
B.腹部包块消失
C.钡剂进入腹腔
D.灌肠器内有时可见到粪便排出
E.症状消失,患儿安然入睡


点击查看答案


238、单项选择题  有关胸部摄片标准化的条件,哪个是错误的()

A.常规胸部正位,应取腹式深吸气后屏气曝光
B.胸部正位摄片距离要固定
C.胸部摄片,X线中心线应对准第6胸椎高度
D.胸部正位中心线射入点为第11胸椎高度
E.胸部摄片应取高电压摄片技术


点击查看答案


239、多项选择题  高千伏摄片的优点是()

A.可获得高对比的照片
B.缩短曝光时间,减少肢体移动模糊
C.X线量减少,有利于病人防护
D.改善骨组织密度不同,所致的光学密度分布不均匀
E.减小管电流,延长X线管寿命


点击查看答案


240、多项选择题  下列疾病好发于前纵隔的有()

A.胸膜心包囊肿
B.纵隔畸胎瘤
C.胸腺瘤
D.神经源性肿瘤
E.淋巴瘤


点击查看答案


241、单项选择题  

患者,男,23岁,患者自述后枕部隆起3年,枕部见一局部隆起,质硬,无活动,无明显压痛,无局部红肿热痛,拍片如下,最可能的诊断为()

A.骨样骨瘤
B.骨软骨瘤
C.骨瘤
D.颅骨纤维异常增殖症
E.血管瘤


点击查看答案


242、单项选择题  后前位胸片于右主支气管角部可见小椭圆形致密影,这是()

A.气管旁淋巴结
B.无名静脉
C.奇静脉
D.钙化灶
E.半奇静脉


点击查看答案


243、单项选择题  肩胛征常见于()

A.胃体部癌
B.胃窦癌
C.十二指肠溃疡
D.胃溃疡
E.结肠癌


点击查看答案


244、单项选择题  

男,15岁,右肩疼痛1月余,结合图像,最可能的诊断是()

A.嗜酸性肉芽肿
B.动脉瘤样骨性囊肿
C.骨样骨瘤
D.血管瘤
E.以上都不是


点击查看答案


245、单项选择题  柯雷斯骨折(Colles骨折)()

A.桡骨远端骨折
B.桡骨近端骨折
C.尺骨远端骨折
D.尺骨近端骨折
E.以上都是


点击查看答案


246、单项选择题  棘孔内通过的结构为()

A.上颌神经
B.下颌神经
C.脑膜中动脉
D.颈内动脉
E.视神经


点击查看答案


247、单项选择题  关于下肢摄影,错误的是()

A.长骨长轴应平行于胶片长轴
B.与上肢等厚部位应略增kV
C.至少应包括一端关节
D.股骨近端不用滤线器
E.焦-片距通常多采用100cm


点击查看答案


248、单项选择题  下列哪种肱骨骨折多见于儿童,且为肘部最常见骨折()

A.肱骨外科颈骨折
B.肱骨骨干骨折
C.肱骨髁上骨折
D.肱骨远端全骨骺分离
E.肱骨头骨骺分离


点击查看答案


249、单项选择题  第3~7颈椎前后位摄影时,中心线应()

A.向头侧倾斜20°
B.向头侧倾斜10°
C.垂直入射胶片
D.向足侧倾斜10°
E.向足侧倾斜20°


点击查看答案


250、多项选择题  下列恶性骨肿瘤中呈多发性表现的是()

A.软骨肉瘤
B.骨肉瘤
C.转移瘤
D.骨髓瘤
E.纤维肉瘤


点击查看答案


251、单项选择题  摄肩关节盂前后位应在常规肩关节前后位基础上()

A.身体向检测后斜25°~30°
B.身体向检侧后斜10°~20°
C.身体向检侧后斜45°
D.身体向检侧前斜45°
E.身体向检侧前斜10°~20°


点击查看答案


252、单项选择题  头颅经眶位检查的是()

A.内听道
B.枕骨
C.枕大孔
D.岩骨
E.蝶鞍


点击查看答案


253、单项选择题  提示骨折不愈合下列哪项是错误的()

A.骨折端膨大,密度增高,骨折面硬化
B.骨折端吸收,萎缩
C.骨皮质增厚,髓腔闭锁,骨折端有梭形软组织肿块
D.骨折面硬化,但无骨桥连接
E.骨折端因有血肿,软组织膨隆


点击查看答案


254、多项选择题  头颅平片可以显示()

A.前床突
B.后床突
C.脑垂体
D.鞍结节
E.蝶鞍


点击查看答案


255、单项选择题  

男,62岁,铸铁工,咳嗽、呼吸急促1月余,结合胸片,最可能的诊断()

A.粟粒型肺结核
B.肺结节病
C.尘肺
D.肺炎
E.肺淤血


点击查看答案


256、单项选择题  关于“结肠癌”的说法,错误的是()

A.约5%为多发癌
B.增生型,多位于盲肠和直肠
C.增生型最常见
D.70%发生于右半结肠
E.右半结肠癌梗阻出现较晚


点击查看答案


257、单项选择题  血管瘤多发生于()

A.长骨骨干
B.椎体和颅骨
C.短管状骨
D.骨盆
E.干骺端


点击查看答案


258、单项选择题  急腹症应首选的摄影体位是()

A.腹部站立侧位
B.腹部仰卧前后位
C.腹部站立前后位
D.腹部仰卧侧位
E.腹部侧卧后前位


点击查看答案


259、单项选择题  外伤性鼻窦积液最好发于下列哪项()

A.上颌窦
B.额窦
C.蝶窦
D.筛窦前组
E.筛窦后组


点击查看答案


260、多项选择题  关于X线质的叙述,正确的是()

A.X线的硬度
B.X线的强度
C.X线的波长越短,X线质越硬
D.常以管电压(kV)值间接表示X线质
E.常以管电流(mA.值间接表示X线质


点击查看答案


261、单项选择题  心脏左前斜位,摄片的角度是()

A.45°~55°
B.55°~65°
C.60°~70°
D.70°~80°
E.80°~85°


点击查看答案


262、单项选择题  

女,2天,口吐白沫,生后每次哺乳后均出现呕吐、呛咳。结合图像,最可能的诊断为()

A.先天性食管闭锁Ⅰ型
B.先天性食管闭锁Ⅱ型
C.先天性食管闭锁Ⅲ型
D.先天性食管闭锁Ⅳ型
E.先天性食管闭锁Ⅴ型


点击查看答案


263、单项选择题  下列溃疡性结肠炎的晚期表现中,错误的是()

A.“钮扣样”溃疡
B.结肠袋消失
C.结肠缩短
D.骶前间隙变窄
E.均匀分布的雪花样钡斑


点击查看答案


264、单项选择题  下列有关“先天性骨梅毒”影像学特征是()

A.Charcot关节
B.军刀腿
C.长骨广泛型增生、硬化,髓腔消失
D.骨膜下、皮层内局限型骨质破坏
E.Wasp-Waist征


点击查看答案


265、单项选择题  消化道管壁由内向外第三层为()

A.粘膜下层
B.外膜层
C.肌层
D.粘膜层
E.内膜层


点击查看答案


266、单项选择题  法洛四联征基本改变不包括()

A.主动脉骑跨
B.三尖瓣下移
C.右心室肥厚
D.高位室间隔缺损
E.漏斗部肺动脉狭窄


点击查看答案


267、单项选择题  KerleyB线最常见于哪种疾病()

A.肺癌
B.肺结核
C.心房间隔缺损
D.二尖瓣狭窄
E.慢性支气管炎


点击查看答案


268、单项选择题  眼眶外侧壁由下列哪些结构组成()

A.额骨眶板、蝶骨小翼
B.上颌骨额突、蝶骨和筛板
C.颧骨、颞骨
D.颧骨、蝶骨
E.额骨眶突、蝶骨大翼


点击查看答案


269、多项选择题  关于专用X线机的叙述,正确的是()

A.胃肠专用机多配用增强电视系统
B.乳腺机的仟伏调节范围一般30~40kV
C.床边专用机也采用逆变式高压发生器
D.C形臂导管床用于心血管专用机
E.牙科机即口腔全景摄片机


点击查看答案


270、多项选择题  急性粟粒性肺结核的X线表现为()

A.发病初期X线片阴性
B.分布均匀
C.大小不等
D.大小一致
E.密度相近


点击查看答案


271、多项选择题  在纵隔肿瘤中,比较常见的有()

A.胸腺瘤
B.迷走甲状腺肿
C.淋巴瘤
D.神经源性肿瘤
E.畸胎瘤


点击查看答案


272、多项选择题  肩关节前脱位常见的类型有()

A.喙突下型
B.肩胛骨下型
C.盂下型
D.肩峰下型
E.锁骨下型


点击查看答案


273、单项选择题  肺源性心脏病主要表现是()

A.右心房增大
B.左心室增大
C.右心室肥大
D.右心房、右心室增大
E.左心房、右心室增大


点击查看答案


274、单项选择题  腹部X线平片提示可能存在慢性胰腺炎的征象是()

A.胰腺区多发性小结石和钙化
B.十二指肠圈增大、淤积、充气
C.十二指肠黏膜皱襞增粗,降段内缘受压
D.结肠充气,结肠截断征
E.胸腔积液


点击查看答案


275、单项选择题  下列关于皮革状胃的X线征象,错误的是()

A.胃粘膜皱襞形态不变
B.胃腔缩小
C.幽门管多呈关闭状态
D.胃壁蠕动消失
E.食管可继发扩张


点击查看答案


276、多项选择题  周围型肺癌主要见于哪些组织学类型()

A.细支气管肺泡癌 
B.腺癌 
C.鳞状上皮癌 
D.大细胞癌 
E.类癌


点击查看答案


277、单项选择题  关于鼻真菌病的X线表现,下列哪项描述不准确()

A.鼻腔软组织肿块
B.受侵鼻窦内有结节状软组织影
C.窦壁骨质无破坏
D.鼻甲增大
E.一般窦内无积液


点击查看答案


278、单项选择题  下列组合中,错误的是()

A.肱骨与桡骨——肘关节
B.掌骨与指骨——指间关节
C.锁骨与肩峰——肩锁关节
D.锁骨与胸骨——胸锁关节
E.股骨与胫骨——膝关节


点击查看答案


279、单项选择题  不属于胃癌基本X线表现的是()

A.Garman综合征
B.胃壁僵硬、边缘不齐
C.项圈征及狭颈征
D.粘膜皱襞破坏中断
E.胃呈皮革状变形


点击查看答案


280、多项选择题  多发性骨软骨瘤出现哪些情况应高度怀疑恶变()

A.软骨帽增厚,发生于长骨者超过1cm
B.钙化软骨帽密度变淡,边界不清
C.瘤体内出现透亮区
D.远处出现转移性病灶
E.30岁以上的患者肿瘤体积突发性增大


点击查看答案


281、多项选择题  左下叶支气管的分支包括()

A.背支
B.内支和外支
C.前内基底支
D.外基底支
E.后基底支


点击查看答案


282、单项选择题  下列关于胸部右前斜位的观点,错误的是()

A.也称第一斜位 
B.可观察左心房 
C.可观察右心房 
D.可观察右心室 
E.可观察食管


点击查看答案


283、单项选择题  

女,3岁,低热、咳嗽2月余,结合胸片,最可能的诊断为()

A.原发综合征
B.肺门淋巴结核
C.淋巴瘤
D.支原体肺炎
E.间质性肺炎


点击查看答案


284、多项选择题  以下哪些是增殖型肠结核的X线表现()

A.如有粘连时可见肠管排列紊乱
B.激惹征象较明显
C.粘膜紊乱增生,呈小息肉样改变
D.病变常见于回肠末段
E.肠腔变形、缩小


点击查看答案


285、多项选择题  下述哪些疾病可出现空洞()

A.肺结核
B.肺脓肿
C.肺炎
D.真菌病
E.韦格氏肉芽肿


点击查看答案


286、单项选择题  关于大量心包积液,下列描述哪项不对()

A.球形心
B.肺淤血
C.肺血减少
D.多为结核性
E.心脏搏动度减弱


点击查看答案


287、单项选择题  下列中哪项与颈椎斜位标准片所见不符()

A.第1~7颈椎位于照片长轴正中显示
B.椎弓根投影于椎体正中
C.椎间孔呈卵圆形排列,边缘清晰锐利
D.下颌骨应与椎体重叠
E.椎体骨纹理清晰可见,椎间隙明显易分辨


点击查看答案


288、单项选择题  颅盖骨是哪种化骨()

A.软骨内化骨
B.膜内化骨
C.混合化骨
D.直接化骨
E.间接化骨


点击查看答案


289、单项选择题  额窦摄片,常规位置是()

A.柯氏位(CaldWell’s) 
B.瓦氏位(Water’s) 
C.斯氏位(Stenever’s) 
D.劳氏位(LaW’s) 
E.瑞氏位(Rhees’s)


点击查看答案


290、单项选择题  下列哪一种为非离子型对比剂()

A.硫酸钡
B.泛影葡胺
C.碘化油
D.阿米培克
E.泛影酸钠


点击查看答案


291、单项选择题  腐蚀性食管炎的亚急性期通常为()

A.1~10天
B.1~5天
C.11~20天
D.3周
E.3~5周


点击查看答案


292、单项选择题  消除呼吸运动模糊正确的方法是()

A.延长时间曝光
B.增加管电压
C.屏气后曝光
D.增大物-片距
E.应用滤线栅


点击查看答案


293、多项选择题  弥漫性颅骨增生见于()

A.骨纤维异常增殖症
B.骨肉瘤
C.肾性佝偻病
D.石骨症
E.畸形性骨炎


点击查看答案


294、单项选择题  心脏摄片,宜采用的呼吸方式为()

A.浅呼吸屏气
B.深呼气屏气
C.深吸气屏气
D.平静呼吸屏气
E.腹式呼吸屏气


点击查看答案


295、单项选择题  老年男性,刺激性干咳2月余,多次痰查癌细胞阴性,胸片除右中肺叶局限性透亮度增加外,未见其他异常,最可能的诊断是()

A.支气管结核
B.气管异物
C.早期肺癌
D.慢性支气管炎
E.急性支气管炎


点击查看答案


296、单项选择题  关于DR的描述,下列哪项是错误的()

A.较CR成像速度快
B.探测器寿命长
C.曝光量小
D.可透视
E.容易与原X线设备匹配


点击查看答案


297、单项选择题  骨关节结核最好发于()

A.脊椎
B.骶髂关节
C.腕骨
D.尺桡骨
E.胫腓骨


点击查看答案


298、单项选择题  下列肺部病变好发部位的描述,错误的是()

A.支气管肺炎:双下肺
B.肺结核:上叶尖后段或下叶背段
C.特发性肺间质纤维化:胸膜下区
D.中央型肺癌:肺门附近
E.肺隔离症:右肺上叶


点击查看答案


299、多项选择题  胸部内脏平片检查主要包括()

A.锁骨平片检查
B.胸骨平片检查
C.肺的平片检查
D.心及大血管的平片检查
E.胸椎的平片检查


点击查看答案


300、单项选择题  下列体位,检查胆脂瘤的最佳选择是()

A.梅氏位
B.柯氏位
C.瑞氏位
D.切线位
E.仰卧水平侧位


点击查看答案


题库试看结束后微信扫下方二维码即可打包下载完整版《★放射医学(医学高级)》题库
手机用户可保存上方二维码到手机中,在微信扫一扫中右上角选择“从相册选取二维码”即可。
题库试看结束后微信扫下方二维码即可打包下载完整版《放射医学(医学高级):X线》题库,分栏、分答案解析排版、小字体方便打印背记!经广大会员朋友实战检验,此方法考试通过率大大提高!绝对是您考试过关的不二利器
手机用户可保存上方二维码到手机中,在微信扫一扫中右上角选择“从相册选取二维码”即可。

微信搜索关注"91考试网"公众号,领30元,获取公务员事业编教师考试资料40G