时间:2020-08-27 00:49:51


1、单项选择题 后上型扁桃体周脓肿常发生于()。
A.扁桃体上极与腭舌弓之间
B.扁桃体下极与腭舌弓之间
C.扁桃体中部与腭舌弓之间
D.扁桃体与腭咽弓之间
E.以上均不正确
2、单项选择题 结核性咽后脓肿临床表现不包括()。
A.长期低热
B.咽痛剧烈
C.可有咽喉部阻塞感
D.颈椎X线片可见骨质破坏
E.病程较长
3、单项选择题 对结核性咽后脓肿临床表现的描述,错误的是()。
A.长期低热
B.咽痛剧烈
C.可有咽部阻塞感
D.颈椎X线片可见骨质破坏
E.病程较长
4、单项选择题 扁桃体周围脓肿穿刺抽脓时,刺入过深最易导致的并发症是()。
A.伤及颈椎横突
B.脓液抽出困难
C.咽旁隙感染
D.刺入扁桃体内
E.误伤咽旁大血管
5、单项选择题 扁桃体周脓肿诊断方法最有价值的是()。
A.血培养
B.B超
C.脓肿穿刺抽脓
D.咽部X线平片
E.咽部CT或MRl
6、单项选择题 咽后脓肿多局限于一侧是因为()。
A.咽后脓肿多较小、
B.咽壁的纤维组织在后壁正中上形成咽缝
C.咽后隙在中线处被咽缝分隔为左右两部分
D.咽后脓肿形成的脓腔较局限
E.以上均不是
7、单项选择题 扁桃体周脓肿常见并发症是()。
A.咽后壁脓肿
B.咽旁脓肿
C.智牙冠周炎
D.智牙冠周脓肿
E.以上都是
8、单项选择题 咽旁脓肿引起张口困难是因为()。
A.咽旁间隙感染累及翼外肌
B.茎突前间隙感染累及翼外肌
C.茎突前间隙感染累及翼内肌
D.茎突前间隙感染累及咬肌
E.咽后间隙感染累及翼内肌
9、单项选择题 对咽旁脓肿的描述,错误的是()。
A.致病菌多为溶血性链球菌
B.主要表现为咽痛及颈侧剧痛
C.有吞咽障碍
D.患侧颌下区及下颌角后方肿胀
E.颈部触诊均可扪及波动感
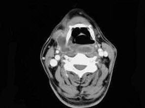
10、单项选择题
如图,出现咽旁脓肿侵蚀颈动脉可引起()。
A.Horner综合征
B.严重出血
C.张口困难
D.喉痉挛
E.血栓性静脉炎
11、单项选择题 不会致咽旁脓肿的是()。
A.邻近组织或器官的化脓性炎症
B.颌下淋巴结炎
C.咽部异物
D.经血流和淋巴系感染
E.咽部外伤
12、单项选择题 扁桃体上极与腭舌弓之间的是()。
A.扁桃体周脓肿前上型
B.扁桃体周脓肿后上型
C.咽后脓肿急性型
D.咽旁脓肿
E.咽后脓肿慢性型
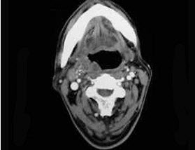
13、单项选择题
如图,如咽旁脓肿侵犯颈交感干可出现()。
A.Horner综合征
B.严重出血
C.张口困难
D.喉痉挛
E.血栓性静脉炎
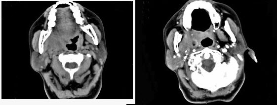
14、单项选择题
女,4岁,右侧颈部可扪及一包块约两个月,无热无痛,CT如图所示,最可能的诊断为()。
A.咽旁血管外皮瘤
B.咽旁副神经节瘤
C.咽旁脓肿
D.咽旁神经纤维瘤
E.咽旁小唾液腺混合瘤
15、单项选择题
如图,出现咽旁脓肿侵犯颈静脉可出现()。
A.Horner综合征
B.严重出血
C.张口困难
D.喉痉挛
E.血栓性静脉炎
16、单项选择题 前上型扁桃体周脓肿切开排脓的部位一般是()。
A.腭垂根部与最后磨牙连线的中间
B.腭舌弓游离缘与舌根的交点
C.腭垂根部与腭舌弓连线的交点
D.半月襞
E.三角襞
17、单项选择题 婴幼儿期较常见的疾病是()。
A.咽旁脓肿
B.急性型咽后脓肿
C.慢性型咽后脓肿
D.鼻咽纤维血管瘤
E.扁桃体周脓肿
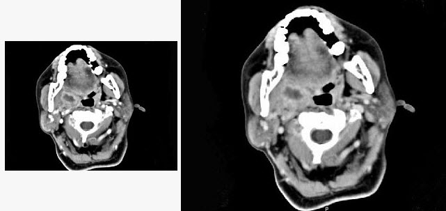
18、单项选择题
女,52岁,咽喉部疼痛半个月,伴低热,CT如图所示,可能诊断为()。

A.咽旁脓肿
B.咽部神经鞘瘤
C.鼻咽血管纤维瘤
D.咽旁淋巴瘤
E.咽旁转移癌
19、单项选择题 咽后脓肿多局限于一侧的原因是()。
A.咽后脓肿多较小
B.咽壁的纤维组织在后壁正中上形成咽缝
C.咽后隙在中线处被咽缝分隔为左右两部分
D.咽后脓肿形成的脓腔较局限
E.以上均不正确
20、单项选择题 对扁桃体周脓肿的描述,错误的是()。
A.好发于青壮年
B.与Weber腺化脓性炎症有关
C.多由细菌感染引起
D.多两侧同时发生
E.前上型较常见
21、单项选择题 颈深部的咽旁隙的化脓性炎症()。
A.扁桃体周脓肿前上型
B.扁桃体周脓肿后上型
C.咽后脓肿急性型
D.咽旁脓肿
E.咽后脓肿慢性型
22、单项选择题 导致咽旁脓肿最常见的致病菌是()。
A.金黄色葡萄球菌
B.溶血性链球菌
C.厌氧菌
D.肺炎双球菌
E.草绿色链球菌
23、单项选择题 后上型扁桃体周围脓肿切开排脓的位置在()。
A.腭舌弓垂直线与软腭水平线相交处
B.扁桃体与腭舌弓之间
C.扁桃体与腭咽弓之间
D.扁桃体上极处
E.软腭处
24、单项选择题 后上型扁桃体周脓肿切开排脓的位置应于()。
A.腭舌弓垂直线与软腭水平线相交
B.扁桃体与腭舌弓之间
C.扁桃体与腭咽弓之间
D.扁桃体上极处
E.软腭处
25、单项选择题 多因咽后隙淋巴结结核或颈椎结核形成的寒性脓肿所引起的是()。
A.扁桃体周脓肿前上型
B.扁桃体周脓肿后上型
C.咽后脓肿急性型
D.咽旁脓肿
E.咽后脓肿慢性型
26、单项选择题 后上型扁桃体周脓肿发生部位常位于()。
A.扁桃体上极与腭舌弓之间
B.扁桃体下极与腭舌弓之间
C.扁桃体中部与腭舌弓之间
D.扁桃体与腭咽弓之间
E.以上均不是
27、单项选择题 前上型扁桃体周围脓肿病变位于()。
A.扁桃体上极与腭舌弓之间
B.扁桃体上极与腭咽弓之间
C.扁桃体被膜与上隐窝之间
D.扁桃体被膜与半月襞之间
E.咽侧至一侧颈外下颌角部
28、单项选择题 关于扁桃体周脓肿不包括()。
A.发生在扁桃体周围隙的化脓性炎症
B.多发生于青壮年
C.常继发于急性扁桃体炎,尤其是慢性扁桃体炎急性发作者
D.多双侧发病
E.穿刺抽脓可明确诊断
29、单项选择题 咽旁脓肿引起张口困难的原因是()。
A.咽旁间隙感染累及翼外肌
B.茎突前隙感染累及翼外肌
C.茎突前隙感染累及翼内肌
D.茎突前隙感染累及咬肌
E.咽后间隙感染累及翼内肌
30、单项选择题 咽后脓肿切开排脓的正确体位是()。
A.坐位
B.平卧位
C.仰卧低头位
D.侧卧位
E.俯卧位
31、单项选择题 扁桃体和腭咽弓之间的是()。
A.扁桃体周脓肿前上型
B.扁桃体周脓肿后上型
C.咽后脓肿急性型
D.咽旁脓肿
E.咽后脓肿慢性型
32、单项选择题 多见于3岁以下的婴幼儿的咽后隙化脓性淋巴结炎是()。
A.扁桃体周脓肿前上型
B.扁桃体周脓肿后上型
C.咽后脓肿急性型
D.咽旁脓肿
E.咽后脓肿慢性型