时间:2020-07-28 01:13:38


1、名词解释 Lewy体
2、单项选择题
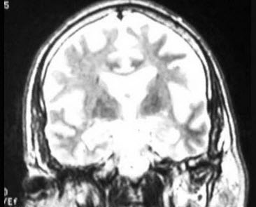
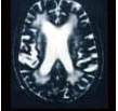
某老年男性以近事记忆障碍为早期和突出表现,余无明显不适,头颅MRI表现如图,考虑诊断为()
A.血管性痴呆
B.路易体痴呆
C.Pick病
D.Alzheimer病
E.CJD
3、单项选择题 以下符合路易体痴呆的精神症状的是()
A.行为异常、如举止不当、无进取心、冲动行为等
B.表情淡漠、少语
C.成形的视幻觉
D.片断妄想
E.忽略进食或贪食
4、问答题 何谓额颞痴呆?
5、问答题 试述Alzheimer病、血管性痴呆、Pick病和路易体痴呆智能障碍有何不同特点。
6、名词解释 Neurofibrillary tangles(NFT)
7、问答题 何谓路易体痴呆?
8、填空题 老年斑银染可分为三种类型____________、____________、____________。
9、名词解释 Dementia(痴呆)
10、单项选择题 人群中最常见的痴呆原因是()
A.癫痫
B.脑血管疾病
C.Alzheimer病
D.Parkinson病
E.颅脑外伤
11、单项选择题 不是血管性痴呆病因的是()
A.大面积皮质梗死
B.心脏病
C.既往卒中史
D.高龄
E.糖尿病
12、填空题 可导致痴呆的感染性疾病常见的有_________、_____________、_____________、________、________等。
13、填空题 阿尔茨海默病可分为____________和________二种类型。
14、填空题 Alzheimer病特征性的临床表现为____________。
15、填空题 与AD发生相关的基因有哪:_________________、__________________、_______________、____________________、_______________。
16、单项选择题 钢筋混凝土用钢热轧带肋钢筋的检测依据是()
A、GB1499.2-2007
B、GB1499.1-2007
C、GB1499.1-2008
D、GB1499.2-2008
17、名词解释 Kluver-Bucy综合征
18、填空题 路易体痴呆主要表现________、________、________等三组症状。特点是________、________和________在1年内相继出现具有诊断意义。精神症状以________为特点。
19、名词解释 神经元颗粒空泡变性
20、多项选择题 不会导致常染色体显性遗传的家族性阿尔茨海默病的突变基因有()
A.Tau蛋白基因
B.APP基因
C.ApoE基因
D.PS1基因
E.PS2基因
21、问答题 试述血管性痴呆的治疗。
22、单项选择题 关于血管性痴呆下列哪一项错误()
A.病情呈阶段性加重
B.起病较急,多有意识障碍
C.CT、MRI正常可除外诊断
D.预防重于治疗
E.缺血性和出血性脑血管病均可导致血管性痴呆
23、单项选择题 可以减缓Alzheimer病症状恶化的药物是()
A.Donepezil
B.左旋多巴
C.维生素E
D.维生素B12
E.泼尼松
24、名词解释 intelligenCe disturbanCe
25、多项选择题 Alzheimer病的认知障碍表现有()
A.掌握新知识、熟练运用语言及社交能力下降
B.主动性减少,自言自语,害怕单独留在家里
C.找词困难,命名障碍,出现错语症
D.坐立不安、不修边幅
E.完全失语
26、配伍题 有路易体的痴呆的主要组织病理表现为()血管性痴呆的主要组织病理变化为()Pick病的主要组织病理变化为()Alzheimer病的主要组织病理变化为()
A.多灶性腔隙、梗死、动脉硬化
B.老年斑,神经元纤维缠结和脱失
C.Pick小体
D.路易体
E.广泛神经元脱失、炎性细胞浸润、包涵体
27、单项选择题 关于Alzheimer病的下列哪项描述是不正确的()
A.多数患者有家族史
B.发病年龄40~90岁,多在65岁以后
C.早期记忆障碍主要表现近记忆力受损
D.患者常有行走障碍
E.神经心理学量表检查可确诊该病
28、单项选择题
患者,女,65岁,进行性加重的近记忆力减退,缓慢行走,交谈能力减退,付错钱。CT表现如图
最可能的诊断是()

A.A1zheimer病
B.帕金森病
C.抑郁症
D.轻度认知障碍
E.多发性脑梗死
29、问答题 路易体痴呆(DLB)的临床特点?
30、填空题 _______、________、________基因检测可确诊FAD。
31、单项选择题 Alzheimer病的临床诊断依据和方法是()
A.临床资料分析
B.MRI示广泛脑萎缩
C.PS-1或PS-2基因突变
D.精神量表检查
E.临床资料分析结合精神量表
32、填空题 胆碱乙酰转移酶抑制剂针对AD脑胆碱能神经元____________和____________。可轻微改善认知功能,常用的药物有____________、____________、____________、_____等。
33、问答题 简述很可能(probable)血管性痴呆的诊断要点。
34、问答题 叙述血管性痴呆的主要病因分类。
35、多项选择题 有助于痴呆病因诊断的辅助检查包括()
A.血常规
B.腰穿CSF检查
C.CT、MRI
D.肝、肾功能检查
E.血T3、T4测定
36、配伍题 APP、PS-1或PS-2基因检测可确诊()脑电图反复出现约1次/秒三相尖波多见于()脑组织活检见Pick细胞()
A.FAD
B.VD
C.DLB
D.CAJ
E.Pick病
37、名词解释 路易体痴呆
38、单项选择题 阿尔茨海默病的诊断主要依靠()
A.CSF检查
B.EEG检查
C.CT、MRI检查
D.基因诊断
E.排除诊断
39、问答题 临床诊断痴呆常用的神经心理检查量表?AD与血管性痴呆的鉴别量表?
40、单项选择题 下列引起痴呆的疾病中,肌阵挛常见于()
A.Alzheimer病
B.Creutzfeldt-Jakob病
C.血管性痴呆
D.Pick病
E.Parkinson病
41、单项选择题 下列哪些特点与Alzheimer病最符合()
A.大脑皮质神经元的缺失
B.皮层的脱髓鞘
C.小脑神经元的缺失
D.海马的退行性变
E.神经元轴突变性
42、填空题 AD的治疗原则包括:________、_______、________、________。
43、问答题 简述路易体痴呆的主要病理学改变。
44、多项选择题 对进行性多灶性白质脑病描述正确的是()
A.乳头状瘤空泡病毒感染所致、与免疫功能障碍有关
B.表现痴呆和局灶性皮质功能障碍
C.急性或亚急性病程,3~6个月死亡
D.NotCh3基因突变所致
E.多见于艾滋病淋巴瘤、白血病或器官移植后服用免疫抑制剂患者等
45、问答题 何谓Binswanger病?
46、填空题 路易体痴呆包括:__________________、______________________。
47、填空题 常用的认知功能测试量表有____________、____________、____________、________
48、单项选择题 阿尔茨海默病的主要病理特征是()
A.小脑皮质脱髓鞘
B.大脑皮质神经元丢失
C.脊髓后索变性
D.小脑皮质神经元丢失
E.海马色素变性
49、多项选择题 Alzheimer病的下列哪项描述是不正确的()
A.多数患者有家族史
B.发病率随年龄增大而增高
C.早期记忆障碍主要表现近记忆力受损
D.神经心理学量表检查可确诊该病
E.患者常有行走障碍和感觉障碍
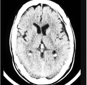
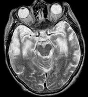
50、单项选择题
患者,女,70岁,有高血压和糖尿病史,左侧肢体活动不灵,突发外出迷路1天入院。MRI显示如图。
常见的病理改变不包括()
A.脑出血
B.脑梗死
C.脑萎缩
D.侧脑室扩张
E.血管平滑肌中层细胞嗜锇颗粒沉积
51、填空题 DLB对________及________的锥体外系不良反应特别敏感,是区别于其他类型痴呆的特点,宜不用或慎用。
52、问答题 AD的病理特点有哪些?
53、名词解释 Pick细胞
54、单项选择题 痴呆综合征患者不应该有的临床表现为()
A.妄想
B.全面智能减退
C.注意力不集中
D.有消极观念
E.有意识障碍
55、填空题 痴呆最常见的病因是____________、____________、____________。
56、单项选择题
患者,女,65岁,进行性加重的近记忆力减退,缓慢行走,交谈能力减退,付错钱。CT表现如图
为进一步排除其他疾病,所做辅助检查的描述错误的是()
A.CT和MRI检查常显示脑皮质萎缩及侧脑室扩张
B.EUsA检测脑脊液tau蛋白可升高
C.认知功能测试有助于与其他病因痴呆鉴别
D.APP、PS-1或PS-2基因检测不能确诊FAD
E.组织病理学显示老年斑和神经原纤维缠结等
57、问答题 简述Alzheimer病的诊断要点。
58、名词解释 痴呆
59、填空题 可导致痴呆的代谢性或中毒性脑病常见的有____________、____________、________、________、________等。
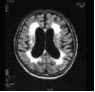
60、单项选择题
患者,50岁,高血压病史,反复出现TIA、腔隙性梗死,痴呆,MRI如图,下列哪项诊断可能最大()
A.血管性痴呆
B.路易体痴呆
C.Pick病
D.Alzheimer病
E.CJD
61、单项选择题 Alzheimer病特征性病理改变是()
A.神经原纤维缠结
B.老年斑
C.神经元丢失
D.lewy小体
E.神经元轴突变性
62、问答题 何谓老年斑?
63、填空题 MID(多发梗塞性痴呆)的鉴别诊断包括:________、________、________。
64、填空题 额颞痴呆实际上包含________、________、________等。
65、名词解释 血管性痴呆
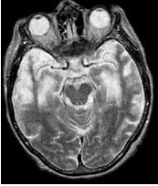
66、单项选择题
一痴呆患者有明显的人格改变和行为障碍,定向力和记忆力尚好,头颅MRIT表现如图。该患者最可能的诊断为()
A.Alzheimer病
B.抑郁症
C.Pick病
D.血管性痴呆
E.路易体痴呆
67、名词解释 Senile plaques(老年斑)
68、问答题 简述Alzheimer病的主要病理学改变。
69、问答题 痴呆应与那些病进行鉴别?
70、问答题 Pick病的定义及与AD的相似和不同点?
71、配伍题 DLB对哪种药物特别敏感,可以出现嗜睡、昏迷,宜不用或慎用()对攻击行为、易激惹和好斗等行为障碍者可审慎使用()对额颞痴呆哪种药物通常无效()
A.乙酰胆碱酯酶抑制剂
B.地西泮
C.脑代谢剂
D.选择性5-HT再摄取抑制剂
E.脑血管扩张剂
72、名词解释 Pick小体
73、单项选择题 我国最常见引起痴呆的疾病是()
A.Alzheimer病
B.Pick病
C.血管性痴呆
D.酒精性痴呆
E.脑外伤痴呆
74、问答题 叙述多梗死性痴呆的特点和诊断标准。
75、名词解释 脑白质疏松症
76、问答题 Alzheimer病与血管性痴呆临床上如何鉴别?
77、名词解释 Binswanger病
78、问答题 简述Pick病的主要病理学改变。
79、单项选择题 Alzheimer病的组织病理中不存在的结构是()
A.老年斑
B.胆碱能神经元脱失
C.神经元纤维缠结
D.路易小体
E.血管淀粉样变
80、问答题 痴呆的定义是什么?
81、单项选择题
患者,女,65岁,进行性加重的近记忆力减退,缓慢行走,交谈能力减退,付错钱。CT表现如图
病情逐渐加重,不可能出现的临床表现为()
A.主动性减少,自言自语,害怕单独留在家里
B.忽略进食或贪食,常见失眠或夜间谵妄
C.尿便失禁、痉挛、Babinski征和轻偏瘫
D.锥体外系肌强直和运动迟缓
E.脑电图反复出现约1次/秒三相尖波
82、单项选择题
根据患者MRI表现,考虑其痴呆最可能的原因是()

A.癫痫
B.血管病
C.Alzheimer病
D.Parkinson病
E.Creutzfeldt-Jakob病
83、问答题 试述Alzheimer病的治疗。
84、单项选择题 阿尔茨海默病的治疗可选用()
A.维生素B12
B.维生素E
C.泼尼松
D.卡马西平
E.左旋多巴
85、单项选择题 对高度24m以上的双排脚手架,必须采用()与建筑物可靠连接。
A.刚性连墙件
B.柔性连墙件
C.拉筋和顶撑配合使用
D.刚性或柔性连墙件
86、配伍题 Kluver-Bucy综合征多见于()有明显肌阵挛的是()波动性认识功能障碍多见于()神经元颗粒空泡变性多见于()神经元膨胀变性,胞浆内有嗜银包涵体见于()神经元胞浆内有嗜伊红圆形小体多见于()
A.阿尔茨海默病
B.血管性痴呆
C.Pick病
D.路易体痴呆
E.CJD
87、多项选择题 帕金森病的痴呆与其他痴呆不同的是()
A.早期先出现锥体外系运动障碍症状
B.表现痴呆、步态异常及尿失禁等三联征
C.多巴类治疗有效
D.认知障碍晚期出现
E.核上性眼肌麻痹
88、填空题 额颞痴呆病理特点是特征性局限性________;Pick病可见________和________。
89、名词解释 原发性进行性失语
90、单项选择题
患者,女,65岁,进行性加重的近记忆力减退,缓慢行走,交谈能力减退,付错钱。CT表现如图
患者肝功能严重异常,则最慎重应用的药物是()
A.他可林
B.安理申
C.艾斯能
D.加兰他敏
E.维生素E
91、填空题 路易体痴呆主要包括____________、________、________等三种类型。
92、名词解释 神经元纤维缠结
93、名词解释 老年斑
94、单项选择题 确诊Alzheimer病的方法是()
A.临床资料分析
B.脑CT或MRI示广泛脑萎缩,尤其是海马区
C.临床痴呆评定量表
D.病理活检
E.脑脊液tau蛋白水平增高
95、单项选择题 不支持路易体痴呆的是()
A.提示脑卒中的局灶性神经系统体征或影像学证据
B.波动性认知功能障碍
C.反复发作的视幻觉
D.同时或之后发生帕金森综合征
E.晕厥
96、单项选择题 农产品供给弹性小于需求弹性时,价格和产量的波动越来越小,这种情况下形成的蛛网称为()。
A.收敛型蛛网
B.发散型蛛网
C.封闭型蛛网
D.循环型蛛网
97、配伍题 正常老年人()阿尔茨海默病()血管性痴呆()路易体痴呆()帕金森病痴呆()
A.神经元胞浆内NFTs
B.神经元胞浆内Lewy体
C.两者均有
D.两者均无
98、多项选择题 关于痴呆患者以下正确的是()
A.早期诊断可使患者从容地计划从工作岗位退休,安排理财,与医生和家人讨论未来医疗问题
B.由经过培训的看护者给予适当的生活照顾及行为指导。
C.大多预后不良,常死于感染和褥疮等并发症
D.康复治疗和功能训练常可收到一定疗效
E.鼓励患者多与外界接触,参与一定的社交活动
99、单项选择题 以下符合路易体痴呆的精神症状的是()
A.行为异常、如举止不当、无进取心、冲动行为等
B.表情淡漠、少语
C.成形的视幻觉
D.片断妄想
E.忽略进食或贪食
100、多项选择题 下列叙述正确的是()
A.α-共核蛋白是Pick小体的主要成分
B.异常磷酸化的Tau蛋白是神经元纤维缠结(NFTs)的主要成分
C.β-淀粉样蛋白(Aβ)是老年斑(SP)的主要成分
D.神经元胞浆内Pick小体仅见于Pick病
E.脑内老年斑(SP)和神经原纤维缠结(NFTs)仅见于阿尔茨海默病
101、多项选择题 痴呆的可治性病因包括有()
A.正常压力脑积水
B.颅内占位性病变
C.维生素B12缺乏
D.甲状腺功能低下
E.神经梅毒
102、单项选择题
患者,女,70岁,有高血压和糖尿病史,左侧肢体活动不灵,突发外出迷路1天入院。MRI显示如图。
下列治疗错误的是()
A.将收缩压控制在120mmHg以下
B.抗血小板制剂如阿司匹林100mg/d
C.活血化瘀中药如三七总皂甙、金纳多静脉滴注
D.使用脑代谢剂如胞二磷胆碱、脑复康
E.康复治疗和功能训练
103、单项选择题 家族性Alzheimer病在Alzheimer病总数中约不足()
A.35%
B.25%
C.40%
D.15%
E.10%
104、多项选择题 Alzheimer病的临床特征包括以下()
A.认知障碍
B.记忆障碍
C.精神障碍
D.行为异常
E.昏迷
105、单项选择题 多梗死性痴呆最须注意与哪种疾病鉴别()
A.Binswanger病
B.Parkinson病
C.脑囊虫病
D.脑膜炎
E.脑性瘫痪
106、问答题 试述Alzheimer病的临床表现。
107、单项选择题 痴呆的下列哪项描述是正确的()
A.血管性痴呆和Pick病均属于非变性病性痴呆
B.Alzheimer病、感染性痴呆和额颞痴呆均属于变性病性痴呆
C.多梗死性痴呆(MID)不是血管性痴呆中最常见的类型
D.MID患者表现相对慢性起病脑功能缺损阶梯式进展和痴呆
E.胆碱乙酰转移酶抑制剂可以改善AD患者的认知功能
108、名词解释 CADASIL
109、配伍题 血管性痴呆()阿尔茨海默病()
A.CT示脑室周围低密度区
B.无局灶性神经缺损体征
C.两者均有
D.两者均无
110、名词解释 MMSE
111、填空题
根据如图提示,Pick病患者CT、MRI主要表现为________。

112、填空题 Alzheimer病的组织病理学特征主要是____________和____________等。
113、问答题 何谓血管性痴呆(VD)及主要特征?
114、问答题 试述Pick病的临床表现。