时间:2020-07-18 05:53:21


1、单项选择题
女性,术后4天,漏尿1天,亚甲蓝试验示阴道内流出清亮尿液。
如需进一步明确诊断漏孔部位,以制订治疗方案,应作何种检查()
A.靛胭脂试验
B.膀胱镜检查
C.B超检查
D.肾功能检查
E.剖腹探查
2、单项选择题 女性,31岁,产后6年,伴阴道脱出物,拟诊为子宫脱垂Ⅱ度轻,适宜的治疗方法是()
A.Manchester手术
B.子宫托
C.阴道前后壁修补术
D.LeFort手术
E.阴道前后壁修补术和主韧带缩短术
3、多项选择题
如何预防图中1所示的脱垂,下面说法正确的是()

A.凡头盆不称者应及早行剖宫产
B.发生会阴撕裂应立即缝合
C.产后避免过早参加重体力劳动
D.宫口未开全时产妇不得用力向下屏气
E.产后做保健操
4、填空题 尿瘘指________与________之间形成的异常通道。
5、单项选择题 40岁农村妇女,8年前曾妊娠足月难产分娩一男婴,以后发现阴道有肿物突出,平卧时能消失。经妇科检查为子宫脱垂Ⅱ度。主要是哪种组织损伤所引起的()
A.圆韧带松弛
B.子宫主韧带损伤
C.宫骶韧带损伤
D.骨盆漏斗韧带损伤
E.会阴深浅横肌及部分肛提肌损伤
6、单项选择题 女,50岁,妇科检查见阴道前壁暴露于阴道口外,其诊断应是()
A.膀胱膨出Ⅰ度
B.膀胱膨出Ⅱ度
C.膀胱膨出Ⅲ度
D.尿道膨出
E.阴道脱垂
7、多项选择题 阴道后壁修补术适应证()
A.Ⅱ度阴道前壁脱垂
B.Ⅱ度阴道后壁脱垂
C.Ⅲ度阴道前壁脱垂
D.Ⅲ度阴道壁脱垂
E.陈旧性会阴裂伤
8、单项选择题 尿瘘以哪种最多见()
A.尿道阴道瘘
B.膀胱宫颈瘘
C.膀胱阴道瘘
D.膀胱尿道阴道瘘
E.输尿管阴道瘘
9、填空题 子宫脱垂需与下列疾病相鉴别:①________;②________;③________或________;④________。
10、填空题 尿瘘一般均需______治疗;对______及______所致者应先针对病因治疗。
11、名词解释 粪瘘(fecal fistula)
12、名词解释 生殖道瘘
13、配伍题 阴道前壁Ⅲ度膨出常合并()子宫脱垂常合并()阴道后壁脱垂常伴有()
A.膀胱膨出
B.尿道膨出
C.直肠膨出
D.子宫脱垂
E.阴道前后壁脱垂
14、名词解释 压力性尿失禁(stress incontinence)
15、单项选择题 在我国大、中城市尿瘘产生的最常见原因是()
A.产伤
B.手术损伤
C.膀胱结核
D.放疗
E.恶性肿瘤
16、单项选择题 子宫脱垂的最主要原因是()
A.盆底组织发育不全
B.手术损伤
C.腹压增加
D.分娩损伤
E.盆底组织退行性变
17、多项选择题 尿瘘术前常规准备包括()
A.3~5日坐浴
B.口服雌激素半月
C.尿常规检查
D.抗生素应用
E.给予地塞米松
18、名词解释 张力性尿失禁
19、单项选择题
女,26岁,在家足月自然分娩后3天,大便自阴道排出2天。
适宜的治疗方法是()
A.立即手术修补
B.3月后修补
C.6月后修补
D.等待自然愈合
E.10天后修补
20、填空题 阴道前壁主要由________及________支持,前者起自________及________,沿________向________伸展,附着于________。
21、问答题 简述子宫脱垂临床分度标准。
22、配伍题 粪瘘的最主要原因()老年妇女子宫脱垂的主要原因()未产妇子宫脱垂的主要原因()
A.产伤
B.妇科手术
C.慢性咳嗽
D.先天发育不良
E.老年退行性变
23、填空题 子宫脱垂Ⅰ度重型为________已达处女膜缘,未超过该缘。
24、填空题 子宫脱垂者宫颈外口达________以下。
25、单项选择题
52岁妇女,绝经3年,阴道口脱出一肿物1年,休息时能还纳,近来休息后也不可还纳。外观如图,妇检:会阴Ⅱ度陈旧裂伤,阴道前壁膨出,子宫稍大,双侧附件(-)。处理为()

A.子宫托
B.曼氏手术
C.阴道纵隔形成术
D.阴道前后壁修补术
E.阴式子宫切除+阴道前后壁修手术
26、填空题 子宫脱垂Ⅱ度重型为________脱出于阴道口。
27、填空题 阴道前壁合并膀胱膨出时,尿道膀胱后角________,常导致________。
28、填空题 子宫脱垂常合并______及______。重度膀胱膨出常易有______症状;若有尿道膨出,还可发生______。
29、单项选择题 63岁妇女,孕5产3,诉阴道掉出肿物3个月,伴小便困难。查:外阴已产型,子宫萎缩状,宫颈外口及部分子宫脱出至阴道口外,阴道前壁膨出和轻度阴道后壁膨出。诊断应为()
A.子宫脱垂Ⅰ度重
B.子宫脱垂Ⅱ度轻伴阴道前后壁膨出
C.子宫脱垂Ⅲ度伴阴道前后壁膨出
D.子宫脱垂Ⅱ度重伴阴道前后壁膨出
E.宫颈延长伴阴道前后壁膨出
30、配伍题 张力性尿失禁的最主要原因()尿瘘的最主要原因()大中城市尿瘘的最主要原因是()
A.产伤
B.妇科手术
C.慢性咳嗽
D.重体力劳动者
E.先天发育不良
31、填空题 子宫脱垂的非手术治疗方法包括______、______、______。
32、填空题 子宫位于骨盆________部,其前方有________,后方有________,下方连________。子宫纵轴与阴道纵轴呈________交角,当女性生殖器官包括________和________以及________因损伤而发生撕裂,或因其他原因导致其张力减弱时,子宫及其相邻的膀胱和直肠均可发生移位,临床上分别称为________、________、________。
33、判断题 生殖道瘘有尿瘘(最多见)、粪瘘和子宫腹壁瘘(少见)。()
34、填空题 子宫脱垂的常见病因有______、______、______。
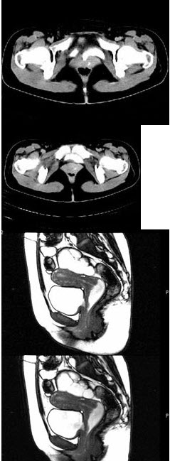
35、多项选择题
女,28岁,阴道有异常液体流下,CT和MRI扫描如图,下列说诊断正确的是()
A.CT增强示造影剂由膀胱进入阴道
B.MRI的T2加权像示宫颈阴道内有大片状高信号影
C.膀胱后下缘可见鸟嘴状突起
D.考虑为左侧输尿管异位开口
E.考虑为膀胱阴道瘘
36、多项选择题 常伴有张力性尿失禁的损伤有()
A.输尿管阴道瘘
B.阴道前壁脱垂Ⅲ度
C.尿道膨出
D.尿道阴道瘘
E.子宫脱垂Ⅲ度
37、问答题 子宫脱垂手术治疗术式及其适应证是什么?
38、单项选择题 52岁妇女,阴道口脱出肿物已1年,休息时能回纳。近半月来,经休息亦不能回纳,大笑、咳嗽时有小便流出。有尿频,每次解尿量不多,有腰酸下坠感。绝经3年,以往有3次足月产史。妇科检查:会阴Ⅱ度旧裂,阴道前壁有球形膨出,宫颈脱出于阴道外、肥大,12点钟处有1cm直径的溃疡,有渗血。子宫略小,平位,活动,两侧附件阴性,诊断为子宫脱垂。应采取的治疗措施为()
A.子宫托
B.宫颈溃疡愈合后阴道膈形成术
C.宫颈溃疡愈合阴道前壁修补术
D.Manchester手术
E.溃疡愈合后,经阴道子宫切除加阴道后壁修补
39、单项选择题
女性,40岁,子宫切除术后7天,阴道溢液
最可能的诊断是()
A.尿道阴道瘘
B.膀胱阴道瘘
C.输尿管阴道瘘
D.膀胱宫颈瘘
E.膀胱宫颈阴道瘘
40、填空题 经阴道子宫全切及阴道前后壁修补术适用于________。
41、填空题 子宫脱垂Ⅰ度轻型指宫颈外口距处女膜缘________,未达处女膜缘。
42、问答题 试述子宫脱垂的症状及体征。
43、判断题 分娩损伤和长期腹压增加是发生子宫脱垂最主要的原因。()
44、名词解释 尿道膨出(urethrocele)
45、填空题 作出子宫脱垂诊断同时需给予________、________及________程度。还应判断有无________。
46、问答题 简述压力性尿失禁的检查方法
47、填空题 POP-Q分类法中Aa、Ba代表________,Ap、Bp代表________,C、D为________,TVL________。
48、单项选择题 未产妇子宫脱垂的主要原因是()
A.分娩损伤
B.手术损伤
C.腹压增加
D.盆底组织退行性变
E.盆底组织发育不良
49、单项选择题 子宫脱垂与哪项无关()
A.陈旧性会阴裂伤
B.宫颈溃疡
C.张力性尿失禁
D.前位子宫
E.阴道前后壁膨出
50、单项选择题 尿瘘的主要原因是()
A.下尿道炎症
B.手术损伤
C.外伤
D.分娩损伤
E.盆腔肿瘤
51、填空题 子宫脱垂________为宫颈已脱出阴道口,宫体仍在阴道内。
52、单项选择题 64岁妇女,G4P3,绝经14年,无阴道出血。近3月阴道口掉出一肿物,时大时小,伴下坠、腰酸,劳累后加重。查体:子宫颈已脱出阴道口外3cm,阴道前后壁均有明显膨出;子宫萎缩,质中,双附件(-)。手术方式应选()
A.阴式子宫切除,阴道前后壁修补术
B.Manchester手术
C.开腹行子宫及+双附件切除术
D.开腹手术和阴道前后壁修补术同时进行
E.开腹行子宫及双附件切除手术+韧带悬吊+阴道后壁修补术
53、名词解释 膀胱膨出(cystocele)
54、单项选择题
女,26岁,在家足月自然分娩后3天,大便自阴道排出2天。
如修补手术失败适宜的治疗方法是()
A.立即再手术修补
B.放弃修补手术
C.10天后修补
D.期待疗法
E.应等待3~6个月再手术
55、多项选择题
对于图中1所示的脱垂,应该如何治疗()

A.无症状的轻度患者不需治疗
B.无症状的轻度患者必须及早治疗
C.有症状的但有其他慢性疾病不宜手术者,可放置子宫托缓解症状
D.严重的只要行阴道后壁修补术
E.严重的要行阴道前后壁修补术及会阴修补术
56、多项选择题 子宫脱垂应与下列哪些疾病相鉴别()
A.阴道前壁脱垂
B.阴道壁囊肿
C.子宫颈肌瘤
D.子宫粘膜下肌瘤
E.宫颈延长
57、单项选择题
女性,38岁,咳嗽,负重时小便失控3年,进行性加重。
最可能的诊断()
A.尿瘘
B.轻型子宫脱垂
C.张力性尿失禁
D.Ⅰ度阴道前壁膨出
E.Ⅲ度阴道壁膨出
58、填空题 发生泌尿生殖瘘道的原因以______和______为主。
59、填空题 子宫脱垂Ⅲ度为________出阴道口外。
60、填空题 子宫脱垂者宫颈外口达________以下。
61、单项选择题
女性,术后4天,漏尿1天,亚甲蓝试验示阴道内流出清亮尿液。
应诊断为()
A.膀胱阴道瘘
B.尿道阴道瘘
C.输尿管阴道瘘
D.膀胱宫颈瘘
E.膀胱尿道阴道瘘
62、名词解释 POP-Q分类法
63、多项选择题 用于诊断输尿管阴道瘘的辅助检查有()
A.亚甲蓝试验
B.靛胭脂试验
C.肾显像
D.膀胱镜检查
E.排泄性尿路造影
64、填空题 子宫脱垂应和______、______、______、______鉴别。
65、填空题 根据泌尿生殖瘘的发生部位,分为:________、________、________、________、________及________,临床上以________最多见。
66、单项选择题 Ⅲ度子宫脱垂患者,阴道掉出肿物的特点是()
A.呈茄子状,末端为子宫颈外口
B.有长蒂与肿物相连
C.肿物呈球形,两侧见输卵管开口
D.肿物表面呈暗红色海绵状
E.肿物呈囊性位于阴道前壁表面为阴道粘膜
67、单项选择题 患者用力屏气时,子宫颈脱出于阴道口外,而宫体仍在阴道内,临床诊断为()
A.膀胱膨出
B.子宫脱垂Ⅰ度
C.子宫脱垂Ⅱ度轻
D.子宫脱垂Ⅱ度重
E.子宫脱垂Ⅲ度
68、填空题 新鲜清洁尿瘘应________,坏死型尿瘘或瘘孔伴感染应________。瘘管修补术失败后至少应________再行手术。对月经定期来潮者月经净后________内手术。
69、填空题 子宫位于骨盆________部,其前方有________,后方有________,下方连________。子宫纵轴与阴道纵轴呈________交角,当女性生殖器官包括________和________以及________因损伤而发生撕裂,或因其他原因导致其张力减弱时,子宫及其相邻的膀胱和直肠均可发生移位,临床上分别称为________、________、________。
70、单项选择题
女,26岁,在家足月自然分娩后3天,大便自阴道排出2天。
最可能的诊断是()
A.粪瘘
B.阴道后壁脱垂
C.Ⅲ度会阴裂伤
D.泌尿生殖瘘
E.生殖器官瘘
71、填空题 阴道前后壁修补术适用于________患者。
72、单项选择题
女性,40岁,子宫切除术后7天,阴道溢液
明确诊断需作哪项检查()
A.亚甲蓝试验
B.靛胭脂试验
C.肾显像
D.B型超声
E.排泄性尿路造影
73、名词解释 子宫脱垂(uterine prolapse)
74、单项选择题
女性,38岁,咳嗽,负重时小便失控3年,进行性加重。
如合并子宫脱垂Ⅱ度应做何治疗()
A.子宫托
B.支持疗法
C.经阴道子宫切除术
D.阴道前后壁修补术
E.Manchester手术
75、配伍题 女性,26岁,G1P1产后3天开始小便失控,最可能的诊断是()女性,20岁,在家自然足月分娩后,最有可能发生()女性,39岁,农民G5P4,外阴发现肿物2年,平卧后可消失。最可能的诊断是()
A.子宫脱垂
B.阴道前壁膨出
C.阴道后壁膨出
D.粪瘘
E.阴道膀胱瘘
76、单项选择题 女性,32岁,产后3年伴稀便失禁,拟诊为会阴陈旧裂伤,并阴道后壁膨出,适宜选择的治疗方法是()
A.阴道后壁修补术
B.Manchester手术
C.LeFort手术
D.阴道前后壁修补术
E.经阴子宫全切除及阴道前后壁修补术
77、配伍题 鉴别膀胱阴道瘘()亚甲蓝试验瘘孔流出清亮液患者()诊断输尿管瘘()排除膀胱内有无炎症、结石()了解肾功能和上尿路通畅情况()
A.亚甲蓝试验
B.膀胱、输尿管镜检查
C.排泄性尿路造影
D.靛胭脂试验
E.肾显像
78、填空题 膀胱膨出合并尿道膨出、阴道前壁完全膨出,尿道后角________,腹压增加时则发生________。
79、填空题 Manchester手术范围包括________、________和________术。
80、填空题 Le Fort手术即________术。
81、单项选择题 Manchester手术适应证()
A.Ⅱ度阴道前壁脱垂者
B.Ⅲ度阴道前壁脱垂者
C.年龄较轻者
D.Ⅱ、Ⅲ度子宫脱垂者
E.宫颈延长的Ⅱ、Ⅲ度子宫脱垂者
82、配伍题 子宫脱垂的最主要原因()阴道前壁脱垂的最主要原因()阴道后壁脱垂的最主要原因()
A.产伤
B.妇科手术
C.腹压增加
D.盆底组织发育不良
E.盆底组织退行性变
83、名词解释 尿瘘(urinary fistula)
84、单项选择题
女性,术后4天,漏尿1天,亚甲蓝试验示阴道内流出清亮尿液。
明确诊断后,适宜的治疗方法是()
A.3月后手术
B.输尿管导管
C.6个月后手术
D.立刻手术修补
E.剖腹探查
85、单项选择题 子宫纵轴与阴道纵轴间一般呈几度角()
A.30°~40°
B.60°~70°
C.80°~90°
D.90°~100°
E.100°~110°
86、单项选择题
女性,38岁,咳嗽,负重时小便失控3年,进行性加重。
明确诊断前应了解有无下列哪项疾病存在()
A.子宫脱垂
B.尿瘘
C.陈旧性会阴裂伤
D.阴道后壁脱垂
E.宫颈肌瘤
87、填空题 膀胱膨出Ⅰ度为______,Ⅱ度为______,Ⅲ度者常合并______。