时间:2020-02-25 09:53:31


1、问答题 简述莱姆病的早期皮肤病理损害。
2、填空题 莱姆病血象改变为白细胞__,偶有__。
3、填空题 莱姆病第三期的临床特点为__。
4、多项选择题 莱姆病进行组织学染色时可采取下列组织标本()
A.病灶皮肤
B.脑脊液
C.脾脏
D.滑膜
E.淋巴结
5、单项选择题
患者女,主因被蜱叮咬后发热4天入院。3周前去郊外旅游后被蜱叮咬,于入院前4天出现全身肌肉疼痛,小腿部胀痛。查体:T39℃伴睾丸痛、小便困难,四肢游走性环形红斑,大小约2cm×2cm,逐渐扩大,于2001年2月入院。查体:神志清楚,双眼睑轻度水肿,双颌下可触及黄豆粒大小淋巴结,无压痛,四肢散在片状斑疹和环形皮疹,四肢肌力和肌张力正常,脑膜刺激征阴性,病理反射阴性。血象:WBC4.6×109/L,N0.65,L0.30,Hb100g/L。
为了确诊,首选哪项检测()
A.血培养
B.免疫荧光检测伯氏疏螺旋体抗体
C.肥达反应
D.外斐反应
E.显凝试验
6、单项选择题
患者女,主因被蜱叮咬后发热4天入院。3周前去郊外旅游后被蜱叮咬,于入院前4天出现全身肌肉疼痛,小腿部胀痛。查体:T39℃伴睾丸痛、小便困难,四肢游走性环形红斑,大小约2cm×2cm,逐渐扩大,于2001年2月入院。查体:神志清楚,双眼睑轻度水肿,双颌下可触及黄豆粒大小淋巴结,无压痛,四肢散在片状斑疹和环形皮疹,四肢肌力和肌张力正常,脑膜刺激征阴性,病理反射阴性。血象:WBC4.6×109/L,N0.65,L0.30,Hb100g/L。
最好的治疗措施是()
A.阿莫西林
B.氯霉素
C.诺氟沙星
D.氯喹
E.林可霉素
7、填空题 莱姆病皮肤组织病理改变以__的出现有助于诊断。
8、填空题 莱姆病传染源为__。
9、名词解释 慢性游走性红斑(erythemachronicummigrans;ECM)
10、单项选择题
患者女,主因被蜱叮咬后发热4天入院。3周前去郊外旅游后被蜱叮咬,于入院前4天出现全身肌肉疼痛,小腿部胀痛。查体:T39℃伴睾丸痛、小便困难,四肢游走性环形红斑,大小约2cm×2cm,逐渐扩大,于2001年2月入院。查体:神志清楚,双眼睑轻度水肿,双颌下可触及黄豆粒大小淋巴结,无压痛,四肢散在片状斑疹和环形皮疹,四肢肌力和肌张力正常,脑膜刺激征阴性,病理反射阴性。血象:WBC4.6×109/L,N0.65,L0.30,Hb100g/L。
患者最可能的诊断是()
A.急性血吸虫病
B.伤寒
C.莱姆病
D.钩端螺旋体病
E.流行性出血热
11、单项选择题
如图所示,莱姆病的病原体是()

A.回归热包柔体螺旋体
B.博氏包柔体螺旋体
C.东方立克次体
D.钩端螺旋体
E.杜通包柔体螺旋体
12、单项选择题 下列哪项不是莱姆病的传播途径()
A.输血传播
B.垂直传播
C.蜱叮咬传播
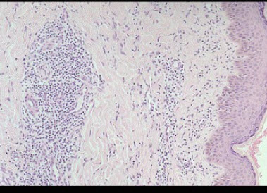
D.蚊、蝇叮咬传播
E.呼吸道传播
13、单项选择题 莱姆病的主要预防措施是()
A.个人防护
B.预防性使用抗生素
C.预防性疫苗
D.隔离病人
E.灭鼠
14、单项选择题 莱姆病第三期的临床特点为()
A.慢性游走性红斑
B.神经系统三主征
C.循环系统症状
D.关节损害
E.发热
15、填空题 莱姆病是由____引起的自然疫源性疾病。
16、判断题 莱姆病的血象检查中,白细胞多在正常范围,偶有升高伴核左移者。血沉常增快。
17、填空题 莱姆病第一期的主要临床特征是____。
18、问答题 简述莱姆病的病理解剖改变特点。
19、单项选择题
关于图中所示的莱姆病慢性游走性红斑,下列说法错误的是()

A.慢性游走性红斑是莱姆病的主要临床特征
B.首先出现斑疹或丘疹,数天或数周形成皮损
C.单个的慢性游走性红斑直径在5cm以上
D.局部有灼热感或痒、痛感
E.慢性游走性红斑仅见于胸背部
20、单项选择题
如图所示,莱姆病的主要传播媒介是()

A.蜱
B.小鼠
C.牛
D.蚊
E.狼
21、单项选择题 在停机过程中,汽缸壁最大应力危险点在()。
A、1/2壁处;
B、内壁表面;
C、外壁表面;
D、汽缸壁厚的中断面处。
22、填空题 莱姆病组织学染色取__、__、__、__等标本。
23、填空题 引起莱姆病早期免疫反应的主要组分蛋白是____。
24、填空题 莱姆病病原体的培养温度为__,约__繁殖一代。
25、问答题 简述莱姆病的治疗。
26、问答题 简述莱姆病病原体培养条件。
27、单项选择题 博氏包柔螺旋体的培养温度为()
A.10~20℃
B.20~30℃
C.37℃
D.40℃
E.60℃
28、单项选择题
图中所示的慢性游走性红斑属于莱姆病的下列哪期()

A.第一期
B.第二期
C.第三期
D.第四期
E.第五期
29、多项选择题 莱姆病进行组织学染色时可采取下列组织标本()
A.病灶皮肤
B.脑脊液
C.脾脏
D.滑膜
E.淋巴结
30、填空题 莱姆病第二期的主要症状为___和___。
31、填空题 莱姆病特异性IgM抗体在游走性红斑发生后__出现__达高峰,多于__后降至正常水平。
32、填空题 莱姆病神经系统症状三主征为__、__、__。
33、填空题 博氏包柔螺旋体革兰染色为__,吉姆萨染色呈__。
34、填空题 莱姆病的神经系统病变主要为____和____病变。
35、判断题 莱姆病呈全球分布,6月和10月为发病高峰,室外工作人员发病危险性较大。
36、填空题 莱姆病的潜伏期为__,平均为__。
37、填空题 莱姆病菌苗主要有__、__两种。
38、填空题 莱姆病的临床表现分为__期、__期和__期。
39、问答题 简述莱姆病第二期临床表现。
40、填空题 在林区人群中莱姆病的感染率平均为__。
41、单项选择题 莱姆病的主要传染源是()
A.患者
B.鼠类
C.带菌者
D.家禽
E.鸟类
42、填空题 博氏包柔螺旋体直径约__μm。
43、问答题
张某,男性,35岁,主因皮肤起红疹伴关节痛20天收住院。病人于20天前外出游玩时被蜱叮咬右小腿,后局部起红色小丘疹,轻度瘙痒。未特殊处理后皮损逐渐向外扩展成斑片,中央部分呈消退倾向,并出现全身不适和膝、踝、肘等关节疼痛,以膝关节为甚,呈游走性,活动、受冻后明显加重,予息斯敏等抗组织胺药物治疗,症状无改善。病人自发病以来无发热,纳差,二便基本正常。否认既往关节炎病史,否认肝炎、结核病史。否认曾到过疫区。
查体:一般情况尚可。全身表浅淋巴结未触及肿大,右小腿属侧(被叮咬处)见环状红斑疹,中央部分皮疹已消退,无脱屑和渗出。皮损部位触之稍硬,皮温略高。心、肺、腹及神经系统检查未见异常。四肢近端肌肉轻度压痛、膝、踝、肘等关节活动良好,浮髌试验阴性。
实验室检查:血常规:WBC6.5×109/L,N75%,L25%。血清伯氏疏螺旋体抗体:间接荧光抗体试验(IFA)IgM(+)、IgG(-)。
44、单项选择题
如图所示,莱姆病第一期的临床主要特征是()

A.淋巴结肿大
B.中枢神经系统症状
C.慢性游走性红斑
D.关节肌肉疼痛
E.发热
45、单项选择题 莱姆病潜伏期为()
A.1~2天
B.3~32天
C.40~60天
D.3月
E.6月
46、填空题 临床上的莱姆病与无症状的隐性感染两者的比例为__。
47、填空题 莱姆病病原体对__、__抵抗力较强,但对__、__和__均较敏感。
48、单项选择题
如图中所示,关于莱姆病的皮肤病变,下列哪项说法是错误的()

A.早期为非特异性的组织病理改变
B.早期可见组织充血,密集的表皮淋巴细胞浸润
C.早期还可见浆细胞、吞噬细胞,偶可见嗜酸细胞
D.晚期细胞浸润以浆细胞占优势
E.晚期皮肤静脉扩张和内皮增生极少见
49、名词解释 莱姆病
50、问答题 请问莱姆病第三期关节损害特点。
51、单项选择题 莱姆病的神经系统三主征是()
A.头痛、呕吐、颈强直
B.头痛、脑膜炎、偏瘫
C.耳聋、嗜睡、记忆力障碍
D.脑膜炎、脑神经炎及末梢神经炎
E.视神经乳头水肿、意识障碍、瘫痪
52、多项选择题 莱姆病第二期临床表现主要为()
A.神经系统症状
B.慢性游走性红斑
C.循环系统症状
D.关节炎
E.发热
53、单项选择题 能引起莱姆病早期免疫反应的主要组分蛋白是()
A.60KD
B.41KD
C.外膜蛋白A
D.外膜蛋白B
E.外膜蛋白C
54、问答题 试述莱姆病第一期临床表现。