时间:2020-01-18 02:39:59


1、多项选择题
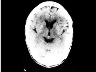
男,32岁,确诊左颞叶胶质母细胞瘤Ⅳ级,手术切除病灶,术后放疗2个月,化疗3个疗程;现距放疗结束17个月。查体:右上肢轻度乏力,骶尾部及双足麻木,排便困难;检查:MRI示左颞叶肿瘤局部复发可能。行PET/CT显像全身检查如图。最可能的诊断()。


A.左侧颞叶术后瘢痕组织改变
B.左侧颞叶肿瘤复发
C.恶性肿瘤沿椎管种植性转移
D.马尾种植性转移灶
E.以上都不是
2、单项选择题 脑断层显像所用OM线,是指()
A.前额-小脑连线
B.眼-枕骨连线
C.眼-小脑连线
D.眼-耳连线
E.垂直于身体长轴的连线
3、单项选择题 18F-FDG用于PET脑葡萄糖代谢显像,主要由于脱氧葡萄糖较葡萄糖()。
A.进入脑组织快
B.进入脑组织多
C.在脑内代谢氟脱氧葡糖-6-磷酸(FDG-6-P)能进一步代谢
D.在脑内代谢产物FDG-6-P不能进一步代谢
E.在脑内清除快
4、单项选择题
老年患者,68岁,听力减退,反应迟钝,有高血压病史14年。行99Tcm-HMPAO脑血流灌注显像如图,诊断是()。

A.多发腔隙性脑梗死
B.TIA
C.血管性痴呆
D.早老性痴呆
E.脑肿瘤
5、单项选择题 哪一项不是局部脑血流断层显像在诊断脑梗死方面的优势()。
A.可较X-CT早期诊断
B.发现病灶较X-CT大
C.发现病灶较X-CT多
D.影像较X-CT清晰
E.可发现远期效应
6、单项选择题 偏头痛病人rCBF显像常可见到()。
A.在发病时rCBF减低,症状消失后恢复正常
B.在发病时rCBF增高,症状消失后恢复正常
C.在发病时rCBF减低,症状消失后仍低于正常
D.在发病时rCBF增高,症状消失后低于正常
E.在发病时rCBF减低,症状消失后高于正常
7、单项选择题 局部脑血流断层显像(rCBF)不能对下列哪种疾病进行诊断()。
A.短暂性脑缺血发作(TIA.的诊断
B.脑梗死的诊断
C.癫痫的诊断
D.动脉瘤及动静脉血管畸形的诊断
E.偏头痛的诊断
8、单项选择题 癫痫患者中,99Tcm-ECDSPECT异常影像,同时也能在18F-FDGPET显像中()。
A.发现异常
B.不能发现异常
C.仅有少部分异常能发现
D.不能发现全部病变
E.两者之间没有关联
9、多项选择题 201Tl脑显像,阳性结果提示()。
A.弓形虫感染
B.淋巴瘤
C.放疗坏死组织
D.肿瘤复发病灶
E.脑脓肿
10、单项选择题 正常情况下,脑池显像“三叉影像”出现在注入显影剂后()。
A.1小时
B.3小时
C.6小时
D.24小时
E.48小时
11、单项选择题 脑肿瘤放疗术后坏死组织表现为
A.
B.
C.
D.
E.
12、单项选择题 99Tcm-MIBI脑显像主要为()。
A.显示脑脊液间隙
B.显示脑肿瘤
C.显示脑内炎症
D.显示脑梗死
E.显示脑脊液动为学改变
13、单项选择题 在脑灌注显像中,鉴别Alzheimer病与多发性脑梗死痴呆的影像特点为()。
A.局限性放射性分布稀疏、降低或缺损
B.局限性放射性分布浓聚、增高
C.脑结构紊乱
D.脑萎缩
E.双侧顶叶和颞叶放射性降低
14、单项选择题 SPECT在脑灌注显像中脑梗死灶显示灌注减低区范围较CT为()。
A.范围大,但发现晚
B.范围大,且发现早
C.范围小,且发现晚
D.范围小,且发现早
E.范围一样,但发现晚
15、多项选择题 男性,74岁,突发头疼、意识丧失1h,既往有高血压病史。行99Tcm-ECD脑血流断层显像横断层如图,诊断是()
A.双侧额叶脑梗死
B.左侧颞叶脑梗死
C.左侧部分顶叶脑梗死
D.右侧顶叶脑梗死
E.右侧小脑梗死
16、单项选择题 A1zheimer病SPECT脑血流灌注显像可见到()。
A.轮圈征
B.分水岭征
C.月晕征
D.新月形征
E.热鼻征
17、单项选择题 下列何种显像剂用于脑血流灌注显像()。
A.99TcmO4-
B.99Tcm-ECD
C.99Tcm-MAA
D.123I-MIBG
E.99Tcm-MIBI
18、多项选择题 理想的脑显像剂需具备哪些条件()。
A.药物在血液中清除比较快
B.病变与正常脑组织对比度好
C.所使用的放射性核素能量及半衰期适当对人体无害
D.价廉,易于获得和制备
E.半衰期越短越好
19、单项选择题 局部脑血流量的调节,通过以下方式实现()。
A.改变动脉血压
B.改变局部葡萄糖浓度
C.开放局部吻合支
D.改变小动脉阻力
E.改变局部氨基酸浓度
20、单项选择题 核素脑血管显像示双侧颈内动脉显影后3秒,大脑中动脉和大脑前动脉不显影;脑血流平面显像示颅内无灌注,脑实质未见显影,无放射性摄取,核素脑血流断层显像亦无放射性摄取。以上结果说明患者()。
A.脑死亡
B.脑梗死
C.脑瘤
D.硬膜下血肿
E.脑膜炎
21、单项选择题 在脑神经受体显像中,应具备的条件方面,下面哪一个是错。()
A.脑内的分布应与受体的部位相一致
B.高浓度拮抗剂应阻滞其结合
C.受体结合位点很多,药物浓度低时,不易饱和
D.受体结合位点很少,药物浓度低时易饱和
E.显像剂能特异地结合在神经受体上
22、单项选择题
男性患者恶性脑肿瘤术后6年复查,有放疗病史,无明显症状,行MRI及99Tcm-ECD脑血流灌注显像,后者提示局部脑血流减低,行201Tl脑显像如图,诊断是()。

A.箭头示手术瘢痕形成
B.箭头示液化坏死区
C.箭头示肿瘤复发
D.箭头示肿瘤脑转移
E.以上都不是
23、单项选择题 67Ga炎症显像时,67Ga成人常用剂量是()。
A.37MBq
B.185~370MBq
C.555~740MBq
D.740~925MBq
E.>925MBq
24、单项选择题 正常情况下,脑代谢首选何种物质()。
A.葡萄糖
B.脂肪酸
C.蛋白质
D.乳酸
E.氨基酸
25、单项选择题 用SPECT进行局部脑血流断层显像(rCBF)诊断脑梗死时,下面哪一项不是其特征表现()
A.rCBF显像表现为病灶局部放射性缺损
B.rCBF显像所显示的放射性缺损面积往往大于CT和MRI
C.病灶四周放射性异常增高
D.病灶对侧小脑的放射性减低,又称交叉性小脑失联络
E.出现多个类圆形放射性增高区
26、单项选择题 早老性痴呆及血流灌注显像示()。
A.病灶灌注减少或缺失,部分病例对侧小脑半球灌注减低
B.基底节不对称灌注减低伴大脑各叶灌注减低
C.间歇期血流灌注减低,发作期病灶处灌注增高
D.额、顶、颞叶为主的广泛血流灌注减少,表现为“分水岭”征
E.血流灌注表现各异或减低或局灶性增高,或两者现象并存
27、单项选择题 正常情况下,上矢状窦影浓集出现在显像剂注入后()。
A.1小时
B.3小时
C.6小时
D.24小时
E.48小时
28、单项选择题 用于脑灌注显像的显像剂,必须有以下特性()。
A.带正电荷
B.带负电荷
C.不带电荷
D.一端带正电荷,一端带负电荷
E.亲水端带正电,疏水端带负电荷
29、单项选择题 下列何种脑显像剂不是脑代谢显像剂()。
A.18F-FDG
B.13N-NH3
C.1502
D.11C-烷基胺类
E.123I-IMP
30、单项选择题 局部脑血流显像以水平切面中部图像最具有代表性,中部是OM线(眶-耳线)上方多少左右()。
A.20mm
B.10mm
C.40mm
D.60mm
E.5mm
31、单项选择题
女,68岁,反复头疼发作1天,有黑朦,99Tcm-HMPAO脑血流灌注显像如图,诊断是()。


A.双侧顶叶脑梗死
B.双侧颞叶脑梗死
C.TIA
D.正常的脑灌注显像
E.PD改变
32、多项选择题 SPECT脑灌注显像,正常脑断层显像中放射性较高的结构是()。
A.丘脑
B.基底节
C.大脑皮层
D.大脑白质
E.脑室
33、单项选择题 Parkinson病脑血流灌注显像示()。
A.病灶为血流灌注减少或缺失,部分病例对侧小脑半球灌注减低
B.基底节不对称血流灌注减低伴大脑各叶血流灌注减低
C.间歇期血流灌注减低,发作期病灶处血流灌注增高
D.额、顶、颞叶为主的广泛血流灌注减少,表现为“分水岭”征
E.血流灌注表现各异或减低或局灶性增高,或两者现象并存
34、单项选择题 下列何种显像剂不能用于脑灌注显像()。
A.99Tcm-HMPAO
B.99Tcm-双胱乙脂(ECD.
C.99Tcm-大颗粒聚合人血清白蛋白(MAA)
D.123I-碘代苯异丙胺(IMP)
E.123I-三甲羟甲基碘苄基丙二胺(HIPDM)
35、单项选择题 采用不通过血脑屏障显像剂的脑静态显像中脑瘤阳性率与下列关系是()。
A.与病理性质有关,与部位和大小无关
B.与部位有关,与病理性质和大小无关
C.与病灶大小有关,与病理性质和部位无关
D.与病理性质、部位和大小均有关
E.与病理性质、大小、部位均无关
36、单项选择题 检验检疫机构对出入境快件的检验检疫监管,以()检验检疫为主。
A.实验室
B.现场
C.抽样
D.全部
37、单项选择题 脑脊液鼻漏显示漏道需用下列何种检查()。
A.脑静态显像
B.SPECT脑灌注显像
C.脑池显像
D.脑室显像
E.放射性核素脑血管造影
38、单项选择题 脑外伤及其后遗症时脑SPECT可显示血流灌注缺损或减低区,其检出率()
A.高于X线CT,低于MRI
B.低于X线CT,高于MRI
C.高于X线CT和MRI
D.低于X线CT和MRI
E.高于X线CT,而与MRI相仿
39、单项选择题 采用不通过血脑屏障显像剂的脑静态显像脑病灶中心液化可表现为()。
A.热鼻征
B.过度灌注征
C.轮圈征
D.新月征
E.分水岭征
40、单项选择题 下列哪一项不是脑血流灌注显像剂的特点()。
A.良好的脂溶性
B.电中性
C.分子量小
D.体外稳定性好,在脑内贮留时间长,清除慢
E.水溶性好
41、多项选择题
男性,8岁,既往有多次抽搐病史,行99Tcm-ECD脑显像(图1),6天后复查(图2),诊断是()。

A.左侧颞叶局限性癫痫病灶
B.图A为发作期
C.图B为发作期
D.左侧顶叶癫痫病灶
E.左侧额叶癫痫病灶
42、多项选择题 SPECT脑灌注显像的正常图形中放射性高的区域是()
A.大脑灰质
B.脑白质
C.基底节
D.丘脑
E.小脑
43、单项选择题 典型癫痫灶的SPECT脑灌注显像的表现是()。
A.发作和间歇期均增高
B.发作和间歇期均减低
C.发作时增高,间歇时减低
D.发作时减低,间歇时增高
E.发作时增高,间歇时正常
44、单项选择题 交通性脑积水在脑池显像中异常的典型表现,下列哪个是错的()。
A.脑室显影
B.脑室不显影
C.24小时上矢状窦无放射性积聚
D.48小时上矢状窦无放射性积聚
E.脑脊液清除缓慢
45、单项选择题 下列哪一种显像剂可用于脑平面显像()。
A.99Tcm-ECD
B.99TcmO4-
C.99Tcm-MIBI
D.99Tcm-HMPAO
E.99Tcm-植酸盐
46、单项选择题 在TIA的诊断上,灵敏度最高的是()。
A.脑灌注显像
B.CT扫描
C.MRI显像
D.脑脊液显像
E.脑灌注显像介入试验
47、多项选择题
男,7岁,2岁时因头痛而就诊,MRI示脑积水、颅内(小脑蚓部及蝶鞍)见多发恶性肿瘤,临床诊断为髓母细胞瘤。未行手术治疗,多年来一直行放、化疗治疗,最后一次化疗1个月前结束。因腹胀、恶心、呕吐1周而就诊,CT示:双侧侧脑室充满肿瘤病灶,PET/CT全身显像如图。正确的描述是()。


A.肿瘤复发并沿双侧侧脑室弥漫性浸润
B.肿瘤同时向双侧丘脑及豆状核浸润、侵犯;蝶鞍内块状高代谢病灶,考虑为转移灶
C.脑干及颈段、胸段、上腰段脊髓内见长条状高代谢病灶,考虑为肿瘤向脑干及大部分脊髓播散、种植转移
D.正常情况下脊髓内无明显放射性浓聚,当出现椎管内肿瘤转移则可表现为18F-FDG明显浓聚,呈“辫子征”
E.以上都不是
48、单项选择题 男,70岁,反应迟钝,有高血压病史16年,行99Tcm-HMPAO脑血流灌注显像如图,诊断是()。
A.早老性痴呆
B.多发脑梗死
C.血管性痴呆
D.脑转移癌
E.PD改变
49、单项选择题 癫痫脑血流灌注显像示()。
A.病灶为灌注减少或缺失,对侧小脑半球灌注减低
B.基底节不对称灌注减低伴大脑各叶灌注减低
C.间歇期血流灌注减低,发作期病灶处灌注增高
D.额、顶、颞叶为主的广泛血流灌注减少,表现为“分水岭”征
E.血流灌注表现各异或减低或局灶性增高,或两者现象并存
50、单项选择题 癫痫在局部脑血流断层显像(rCBF)中的特征性表现为()。
A.存在大小脑失联络现象
B.大脑皮质不同部位存在rCBF低灌注区
C.大脑皮质不同部位存在rCBF高灌注区
D.发作间期,病灶区,放射性减低,发作期病灶,放射性增高
E.发作间期,病灶区的放射性增高,发作期病灶区放射性降低
51、单项选择题 Parkinson病在SPECT脑灌注显像中血流灌注改变可见到()。
A.基底节血流增高
B.基底节血流减低
C.小脑血流增高
D.枕叶血流增高
E.丘脑血流增高
52、单项选择题 用脑血流灌注显像诊断脑死亡,最特征的影像是什么()。
A.两大脑半球没有放射性分布
B.一侧大脑半球没有放射性分布
C.头皮不显影
D.两大脑半球放射性低下
E.上矢状窦显影
53、单项选择题 采用不通过血脑屏障显像剂的脑静态显像中脑梗死阳性发现多见于起病后()。
A.第1天内
B.第1周内
C.第2~4周
D.第5周后
E.第6周后
54、单项选择题 血管性头痛脑血流灌注显像示()。
A.病灶灌注减少或缺失,部分对侧小脑半球灌注减低
B.基底节不对称灌注减低伴大脑各叶灌注减低
C.间歇期血流灌注减低,发作期病灶处灌注增高
D.额、顶、颞叶为主的广泛血流灌注减少,表现为“分水岭”征
E.血流灌注表现各异或减低或局灶性增高,或两者现象并存
55、单项选择题
一颅脑外伤术后患者,颅内压升高,行99Tcm-DTPA脑池显像,6h、24h图像如图,诊断是()。

A.脑脊液鼻漏
B.脑脊液耳漏
C.蛛网膜囊肿
D.交通性脑积水
E.以上都不是
56、单项选择题 在局部脑血流断层显像中,帕金森病脑血流灌注的改变以下列哪一项为主()。
A.基底节血流增高
B.枕叶血流增高
C.丘脑血流增高
D.基底节血流减低
E.小脑血流增高
57、单项选择题 癫痫灶在18F-FDG的PET脑代谢显像中葡萄糖代谢表现为()。
A.发作期和间歇期均增高
B.发作期和间歇期均减低
C.发作期增高,间歇期减低
D.发作期减低,间歇期增高
E.发作期增高,间歇期正常
58、单项选择题 放射性核素脑血管造影常用的显像剂为()。
A.99TcmO4-
B.99Tcm-ECD
C.99Tcm-GH
D.99Tcm-DTPA
E.99Tcm-HMPAO
59、单项选择题 交叉失联络现象多见于()。
A.慢性脑血管疾病
B.癫痫
C.痴呆
D.Wilson病
E.Parkinson病
60、单项选择题 有关大脑动脉环的下列叙述中,哪一项是正确的()。
A.又称Willis环,位于大脑底面
B.有调整血供的作用
C.位于蛛网膜下腔内
D.由两侧大脑前动脉、中动脉、后动脉及前后交通动脉在脑底面吻合而成
E.以上都正确
61、单项选择题 脑脊液产生于()。
A.脑和脊髓组织
B.软脑膜
C.蛛网膜
D.脑室脉络丛
E.以上都不是
62、单项选择题
一颅脑外伤患者,颅内压增高,行99Tcm-DTPA脑池显像,3h、6h、24h图像如图,诊断是()。



A.交通性脑积水
B.梗阻性脑积水
C.蛛网膜囊肿大
D.蛛网膜鼻漏
E.非交通性脑积水
63、单项选择题
女性患者56岁,突发黑朦2h,无头疼及意识障碍,行99Tcm-ECD脑血流断层显像及CT扫描如图,诊断是()。


A.左侧额叶、顶叶脑梗死
B.左侧额叶、顶叶、颞叶TIA
C.交通性脑积水
D.左侧大脑半球癫痫
E.PD改变
64、单项选择题 脑结构紊乱最常见于()。
A.急性脑梗死
B.脑挫裂伤
C.癫痫
D.痴呆
E.偏头痛
65、单项选择题 局部脑血流断层显像(rCBF)可在急性脑梗死发生()时间内进行早期诊断。
A.48小时以上
B.72小时以内
C.3天以内
D.3~4天
E.24小时以内
66、单项选择题
一颅脑肿瘤患者,行99Tcm-DTPA脑池显像6h图像如图,诊断是()。

A.脑脊液鼻漏
B.脑脊液口腔漏
C.脑脊液耳漏
D.蛛网膜囊肿
E.以上都不是
67、多项选择题
女,72岁,突发头痛,意识丧失24h入院,行99Tcm-HMPAO脑断层显像如图,7天后复查如图,正确的诊断是()。


A.左侧顶叶脑梗死
B.左侧颞叶脑梗死
C.梗塞区7天后侧支循环较丰富
D.右侧小脑失联络
E.以上都不是
68、单项选择题 脑积水行脑室分流手术后观察分流导管通畅与否用()。
A.脑静态显像
B.SPECT脑灌注显像
C.脑池显像
D.脑室显像
E.放射性核素脑血管造影
69、单项选择题
一患者反复发作头痛半年,行99Tcm-DTPA脑池显像3、6、24h图像如图及脑CT(图),诊断是()。




A.交通性脑积水
B.梗阻性脑积水
C.蛛网膜囊肿
D.蛛网膜下腔出血
E.脑肿瘤
70、单项选择题
患儿6岁,反复发作抽搐2年,行18F-PET显像如图,诊断是()。

A.左侧颞叶癫痫病灶
B.左侧额叶癫痫病灶
C.左侧顶叶癫痫病灶
D.左侧颞叶肿瘤
E.左侧顶叶肿瘤
71、单项选择题 在SPECT脑灌注显像中,脑梗死时出现交叉性小脑失联络征,对侧小脑表现为
A.灌注增加
B.灌注减低
C.灌注不变
D.无灌注
E.外形增大
72、单项选择题 放射性核素脑血管造影系()。
A.静态显像
B.动态显像
C.断层显像
D.全身显像
E.非显像方法
73、单项选择题
一男,颅脑外伤颅骨切开术后,行99Tcm-DTPA脑池显像,1h、6h、24h图像如图,诊断是()。



A.脑脊液漏
B.脑穿通性畸形
C.交通性脑积水
D.蛛网膜囊肿
E.脑肿瘤
74、单项选择题
男性,68岁,突发头痛、意识丧失半小时,99Tcm-ECD显像横断层如图,诊断是()。

A.左侧顶叶脑梗死
B.TIA
C.左侧顶叶癫痫
D.左侧颞叶脑梗死
E.左侧小脑失联络
75、多项选择题 理想的脑灌注显像剂应具备()。
A.不能穿透血脑屏障
B.能穿透血脑屏障
C.在脑中滞留足够的时间
D.具有确定的脑区域分布
E.迅速从体内清除
76、单项选择题
男,74岁,突发头疼、意识丧失7小时,行99Tcm-HMPAO脑血流断层显像如图,最准确地诊断是()。

A.左侧TIA
B.左侧颞叶脑梗死
C.左侧顶叶癫痫灶
D.右侧小脑失联络
E.以上都不是
77、单项选择题 癫痫发作期癫痫灶表现为()。
A.局限性放射性分布稀疏、降低或缺损
B.局限性放射性分布浓聚、增高
C.脑结构紊乱
D.脑萎缩
E.异位放射性分布
78、单项选择题
女性,63岁,反复发作黑朦多次,CT、MRI阴性,行99Tcm-HMPAO脑血流断层显像如图,诊断是()。

A.左颞叶癫痫
B.左侧颞叶脑梗死
C.Alzheimer病
D.TIA
E.PD
79、单项选择题 采用不通过血脑屏障的脑显像剂进行脑静态显像阳性病灶放射性一般表现为()。
A.减低区
B.缺损区
C.增高(浓聚区)
D.正常
E.不浓聚