时间:2019-12-28 04:18:03


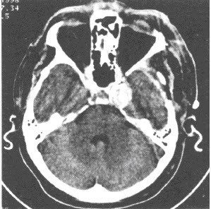
1、多项选择题 患者,女,80岁,被人发现昏迷,大小便失禁10小时入院。体格检查:血压180/100mmHg,心率约110次/分,有房颤,体温37℃,浅昏迷,右侧肢体未见自主活动,肌力增高,Babinski征阳性,GCS=E2+V1+M3=6分,有风湿性心脏病和房颤病史,既往超声检查有二尖瓣赘生物。 你的诊断依据是哪些()
A.昏迷伴大小便失禁10小时
B.CT示脑实质内大面积均匀低密度区
C.脑实质内见类圆形密度增高影,边缘见大面积低密度区
D.脑内占位性病变,瘤周水肿明显
E.脑沟、脑池增宽,密度与脑脊液密度相似
F.CT示脑实质内低密度区不强化
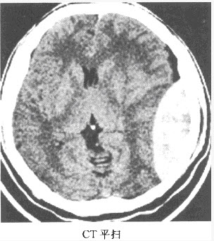
2、单项选择题 患者,女,80岁,被人发现昏迷,大小便失禁10小时入院。体格检查:血压180/100mmHg,心率约110次/分,有房颤,体温37℃,浅昏迷,右侧肢体未见自主活动,肌力增高,Babinski征阳性,GCS=E2+V1+M3=6分,有风湿性心脏病和房颤病史,既往超声检查有二尖瓣赘生物。

患者检查图像如下,你考虑何种疾病()
A.脑出血
B.脑梗死
C.脑动静脉畸形
D.脑膜炎
E.星形细胞瘤
F.脑膜瘤压迫静脉窦
3、单项选择题 患者,男,40岁,体检头颅CT发现左顶4.0cm×3.0cm囊性肿块,患者否认有外伤史,否认高血压、糖尿病病史,其他实验室检查未见明显异常,体格检查未见阳性体征。 若囊性肿块表现为类圆形,囊壁不显示,有占位效应,增强后无增强,最可能诊断为()
A.皮样囊肿
B.胆脂瘤
C.蛛网膜囊肿
D.脑囊虫病
E.脑膜瘤
F.以上均不是
4、单项选择题 按本规程规定的方法准备代表性集料试样,清洗后烘干,破碎,用研钵研磨粉碎,过()筛,称取石粉2g±0.0002g置于圆底烧瓶中.
A、1.075mm
B、0.075mm
C、3.075mm
D、2.075mm
5、单项选择题
患者,女,50岁,因头晕半年来院检查,影像检查如下图。

A.星形细胞瘤
B.少突胶质细胞瘤
C.室管膜瘤
D.脑膜瘤
E.转移瘤
F.脑囊虫病
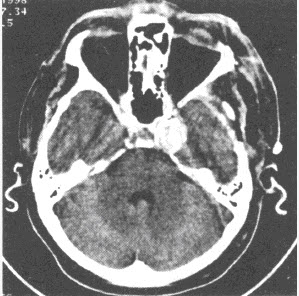
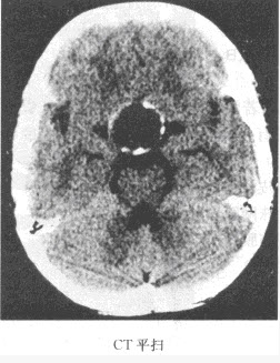
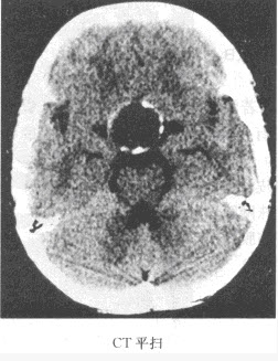
6、单项选择题
患者,男,45岁,头痛半年,CT检查如下图。

A.脑膜瘤
B.垂体瘤
C.动脉瘤
D.星形细胞瘤
E.AVM
F.以上都不是
7、单项选择题
患者,女,50岁,因头晕半年来院检查,影像检查如下图。

A.脑膜尾征
B.钙化
C.均匀强化
D.发病部位
E.周围水肿明显
F.以上都不是
8、多项选择题 患者,男,48岁。主诉为鼻塞、头痛3个月余,患者3个月前始出现鼻塞、流涕,偶有涕中带血,并伴有头痛,呈阵发性,既往体健,否认高血压、心脏病病史。实验室检查未见明显异常。 你认为应做哪些检查()
A.CT
B.MRI
C.ECT
D.X线平片
E.放射性核素骨扫描
F.PET
9、多项选择题 患者,女,80岁,被人发现昏迷,大小便失禁10小时入院。体格检查:血压180/100mmHg,心率约110次/分,有房颤,体温37℃,浅昏迷,右侧肢体未见自主活动,肌力增高,Babinski征阳性,GCS=E2+V1+M3=6分,有风湿性心脏病和房颤病史,既往超声检查有二尖瓣赘生物。 你应该做何种检查()
A.CT
B.MRI
C.ECT
D.DSA
E.IVP
F.MRA
10、单项选择题
患者,男,42岁,外伤后不省人事,2小时后清醒,后又昏迷,急诊来院。

A.出血可跨越颅缝
B.出血不跨越颅缝
C.出血不受颅缝影响
D.外伤后持续昏迷
E.慢性期会形成"盔甲脑"
F.以上都不是
11、多项选择题 患者,女,80岁,被人发现昏迷,大小便失禁10小时入院。体格检查:血压180/100mmHg,心率约110次/分,有房颤,体温37℃,浅昏迷,右侧肢体未见自主活动,肌力增高,Babinski征阳性,GCS=E2+V1+M3=6分,有风湿性心脏病和房颤病史,既往超声检查有二尖瓣赘生物。 常见的脑梗死影像学分型包括()
A.腔隙性脑梗死
B.缺血性脑梗死
C.出血性脑梗死
D.分水岭脑梗死
E.颅内静脉及静脉窦血栓形成
F.血管畸形
12、单项选择题
患者,男,42岁,外伤后不省人事,2小时后清醒,后又昏迷,急诊来院。

A.硬膜下血肿
B.蛛网膜下腔出血
C.硬膜外血肿
D.弥漫性轴索损伤
E.脑膜瘤
F.以上都不是
13、多项选择题 患者,男,48岁。主诉为鼻塞、头痛3个月余,患者3个月前始出现鼻塞、流涕,偶有涕中带血,并伴有头痛,呈阵发性,既往体健,否认高血压、心脏病病史。实验室检查未见明显异常。 参考CT图像你的诊断依据是哪些()
A.鼻咽顶后壁软组织增厚达1.5cm,密度不均匀
B.咽隐窝消失,左右两侧轮廓不对称
C.咽旁、颈部淋巴结未见明显肿大
D.颅底及附近骨质有破坏
E.MRI显示软组织及骨质较CT好
F.鼻甲肥大、鼻腔变窄
14、多项选择题 患者,女,80岁,被人发现昏迷,大小便失禁10小时入院。体格检查:血压180/100mmHg,心率约110次/分,有房颤,体温37℃,浅昏迷,右侧肢体未见自主活动,肌力增高,Babinski征阳性,GCS=E2+V1+M3=6分,有风湿性心脏病和房颤病史,既往超声检查有二尖瓣赘生物。 大面积脑梗死应该与下列哪些疾病鉴别()
A.炎症水肿
B.低级胶质细胞瘤
C.胶质瘤瘤周水肿
D.脑裂畸形
E.脑挫伤
F.蛛网膜囊肿
15、多项选择题 患者,女,80岁,被人发现昏迷,大小便失禁10小时入院。体格检查:血压180/100mmHg,心率约110次/分,有房颤,体温37℃,浅昏迷,右侧肢体未见自主活动,肌力增高,Babinski征阳性,GCS=E2+V1+M3=6分,有风湿性心脏病和房颤病史,既往超声检查有二尖瓣赘生物。 大面积脑梗死的典型表现包括()
A.梗死区域与该区动脉供血区域一致,呈扇形或楔形,同时累及灰质和白质
B.梗死发生6小时后,可见大脑中动脉水平段条形高密度影,外囊与岛叶皮层界限模糊
C.梗死区脑沟变浅
D.6~24小时部分病灶出现低密度
E.大部分病例24小时之后才出现典型的低密度改变
F.病侧脑室受压,严重时出现脑疝
16、单项选择题
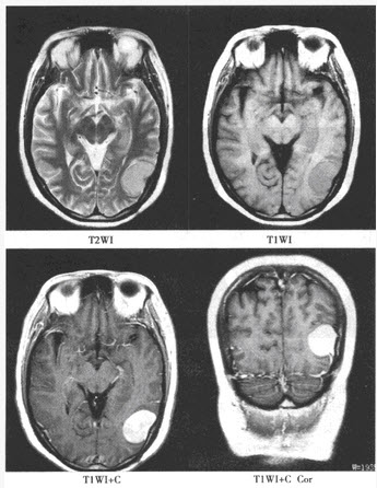
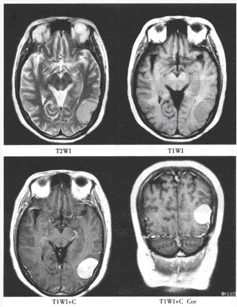
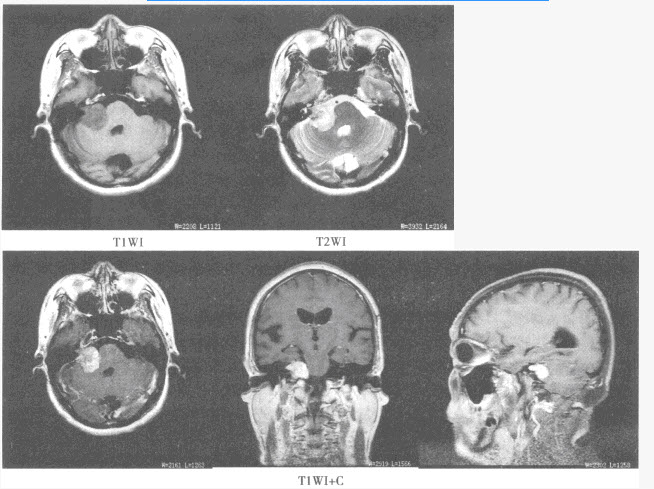
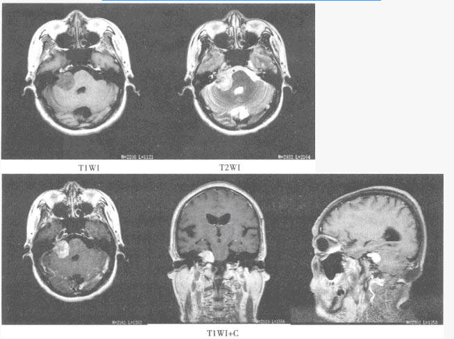
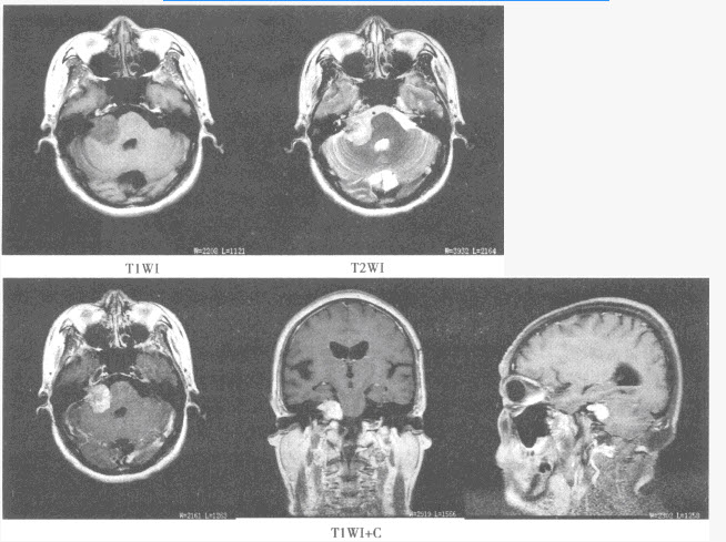
患者,男,36岁,右侧耳鸣,头晕,影像学检查如下图。

A.表皮样囊肿
B.脑膜瘤
C.三叉神经鞘瘤
D.蛛网膜囊肿
E.听神经鞘瘤
F.转移瘤
17、多项选择题 患者,男,40岁,体检头颅CT发现左顶4.0cm×3.0cm囊性肿块,患者否认有外伤史,否认高血压、糖尿病病史,其他实验室检查未见明显异常,体格检查未见阳性体征。 关于影像学分析下列哪些是正确的()
A.囊壁有无钙化有助于皮样囊肿与蛛网膜囊肿鉴别
B.占位效应有助于皮样囊肿与蛛网膜囊肿的鉴别
C.囊壁有无强化对皮样囊肿与蛛网膜囊肿的鉴别无帮助
D.周围有无水肿有助于皮样囊肿与星形细胞瘤的鉴别
E.若囊性肿块壁厚有钙化,无瘤周水肿,增强后无强化,可能为皮样囊肿
F.以上均不对
18、多项选择题
患者,男,36岁,右侧耳鸣,头晕,影像学检查如下图。

A.表皮样囊肿
B.听神经瘤
C.三叉神经瘤
D.脑膜瘤
E.蛛网膜囊肿
F.室管膜瘤
19、多项选择题 患者,男,40岁,体检头颅CT发现左顶4.0cm×3.0cm囊性肿块,患者否认有外伤史,否认高血压、糖尿病病史,其他实验室检查未见明显异常,体格检查未见阳性体征。 可能诊断为以下哪些疾病()
A.皮样囊肿
B.胆脂瘤
C.蛛网膜囊肿
D.脑囊虫病
E.脑膜瘤
F.以上均不是
20、单项选择题
患者,男,15岁,因头痛、多尿来院检查,影像学检查如下图。

A.垂体瘤
B.下丘脑胶质瘤
C.颅咽管瘤
D.生殖细胞瘤
E.脑膜瘤
F.室管膜瘤
21、单项选择题
患者,男,45岁,头痛半年,CT检查如下图。

A.脑膜瘤
B.垂体瘤
C.胶质瘤
D.神经源性肿瘤
E.转移瘤
F.以上都不是
22、单项选择题
患者,男,45岁,头痛半年,CT检查如下图。

A.MRI
B.MRA
C.增强扫描
D.DSA
E.手术切开
F.以上都不是
23、单项选择题
患者,男,15岁,因头痛、多尿来院检查,影像学检查如下图。

A.环形强化
B.蛋壳样钙化
C.脑膜尾征
D.内分泌紊乱
E.性早熟
F.少囊变
24、多项选择题
患者,男,15岁,因头痛、多尿来院检查,影像学检查如下图。

A.好发于儿童及青少年
B.肿瘤边界锐利,有纤维包膜
C.大多数为单或多房囊性,只有少数为实性或囊实混合性
D.实质部分和囊壁皆可钙化
E.主要临床表现是梗阻性脑积水导致的颅内压增高和内分泌改变(如侏儒、尿崩、肥胖)
F.以上都不是
25、单项选择题
患者,男,36岁,右侧耳鸣,头晕,影像学检查如下图。

A.跨中、后颅窝生长
B.内听道扩大
C.钻孔样生长
D.脑膜尾征
E.增强扫描不强化
F.以上都不是
26、单项选择题 患者,男,42岁,外伤后不省人事,2小时后清醒,后又昏迷,急诊来院。 你认为首先应做的检查是()
A.MRA
B.DSA
C.TCD
D.CT
E.X线平片
F.ECT