时间:2019-11-23 05:14:15


1、多项选择题 血吸虫病的肠道病变主要累及的部位是()
A.横结肠
B.降结肠
C.右侧结肠及阑尾
D.乙状结肠
E.直肠
2、问答题
男,22岁,江西波阳人,因发热20天入院。
20d前开始每晚发热,体温最高39.5℃,次晨可退热。伴畏寒、腹痛、腹泻,腹胀,反应迟钝。热退后症状明显缓解。发病前1个月曾有下水捕鱼史。查体:体温39.3℃,脉搏82次/分,血压115/75mmHg。急性病容,皮肤巩膜无黄染。两肺无啰音,心率82次/分,律齐,无杂音。腹软,肝肋缘下1cm,剑突下3cm,脾未触及,腹水征阴性。血常规:白细胞16×109/L,红细胞4.6×1012/L,血小板119×109/L,中性粒细胞0.45,淋巴细胞0.20,嗜酸性粒细胞0.35。
3、名词解释 伴随免疫
4、单项选择题 晚期血吸虫病实质上是血吸虫性肝纤维化,可出现黄疸、上消化道出血、肝性脑病、腹水等临床表现,预后较差。晚期血吸虫病与严格意义上的肝硬化相比,最根本的不同点在于()
A.无明显的假小叶形成
B.无肝功能失代偿
C.无严重的门静脉高压
D.无Ⅰ型胶原增生
E.肝脏质地软
5、单项选择题 关于急性血吸虫病重症患者,下列说法不正确的是()
A.均有发热
B.均有嗜酸粒细胞增多
C.腹部症状重
D.毒血症症状重
E.不出现贫血
6、填空题 血吸虫的雌虫在______内产卵,大多数虫卵沉积于_____和_____内,仅少数进入______排出体外。
7、问答题
男,22岁,江西波阳人,因发热20天入院。
20d前开始每晚发热,体温最高39.5℃,次晨可退热。伴畏寒、腹痛、腹泻,腹胀,反应迟钝。热退后症状明显缓解。发病前1个月曾有下水捕鱼史。查体:体温39.3℃,脉搏82次/分,血压115/75mmHg。急性病容,皮肤巩膜无黄染。两肺无啰音,心率82次/分,律齐,无杂音。腹软,肝肋缘下1cm,剑突下3cm,脾未触及,腹水征阴性。血常规:白细胞16×109/L,红细胞4.6×1012/L,血小板119×109/L,中性粒细胞0.45,淋巴细胞0.20,嗜酸性粒细胞0.35。
8、判断题 防治血吸虫病的重点措施是灭螺和普治。
9、问答题
男,52岁,江西余干人,农民,反复腹泻20余年,消瘦、腹胀3个月入院。
20年前发现慢性血吸虫病,当时用锑剂治疗1疗程,5年前又用过1疗程吡喹酮。以后仍有血吸虫疫水接触史。近20年来患者反复发作性腹痛、腹泻,泻时大便3~5次/天,稀,有黏液。近3个月来出现腹胀,腹部呈进行性胀大,伴尿量减少,体重减轻5kg。
查体:慢性病容,可见肝掌。腹部膨隆,腹壁静脉显露。肝在剑突下3cm,脾在肋下3cm,腹水征阳性。
血象:Hb100g/L,白细胞3.5×109/L,中性粒细胞0.65,淋巴细胞0.35,血小板50×109/L,肝功能ALT50U,ALB30g/L,GLO38g/L,TBIL22μmmol/L,HBsAg(+)。
10、多项选择题 由于严重的肝纤维化,晚期血吸虫病可表现为()
A.巨脾
B.全血细胞减少
C.大量腹水
D.上消化道出血
E.侏儒症
11、单项选择题 只发生在急性血吸虫病阶段的异位损害是()
A.肠道
B.肾脏
C.脑
D.肝脏
E.肺
12、单项选择题
男,20岁,1个月前放暑假,与同学数人到鄱阳湖旅游,他一人曾下水游泳1次,前日突起畏寒、发热,体温波动在37~40℃,以夜间为甚,伴有腹泻,3~5次/天。体查:体温39.5℃,左下腹压痛,肝在肋下1.5cm,剑突下3cm,质中,触痛,脾肋下未扪及,ALT178U/L,血象:WBC15×109/L,嗜酸粒细胞0.30。
首先应作哪项检查明确诊断()
A.血培养+药敏
B.肛门拭子粪便培养+药敏
C.血吸虫抗原抗体的血清免疫学试验
D.粪便镜检及浓缩孵化试验
E.甲、乙、丙型肝炎病毒血清标志物检查
13、问答题
男,52岁,江西余干人,农民,反复腹泻20余年,消瘦、腹胀3个月入院。
20年前发现慢性血吸虫病,当时用锑剂治疗1疗程,5年前又用过1疗程吡喹酮。以后仍有血吸虫疫水接触史。近20年来患者反复发作性腹痛、腹泻,泻时大便3~5次/天,稀,有黏液。近3个月来出现腹胀,腹部呈进行性胀大,伴尿量减少,体重减轻5kg。
查体:慢性病容,可见肝掌。腹部膨隆,腹壁静脉显露。肝在剑突下3cm,脾在肋下3cm,腹水征阳性。
血象:Hb100g/L,白细胞3.5×109/L,中性粒细胞0.65,淋巴细胞0.35,血小板50×109/L,肝功能ALT50U,ALB30g/L,GLO38g/L,TBIL22μmmol/L,HBsAg(+)。
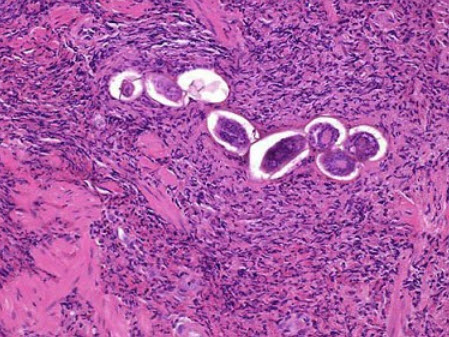
14、单项选择题
如图所示,血吸虫病的病理改变复杂多样,而其中由虫卵引起的主要病变是()

A.胆囊息肉样变
B.皮下结节
C.脑部肉芽肿病变
D.肝和肠的肉芽肿病变
E.肺部肉芽肿病变
15、单项选择题
如图所示,下列关于日本血吸虫的描述,哪项是正确的()

A.钉螺是日本血吸虫的终宿主
B.人是日本血吸虫的中间宿主
C.日本血吸虫雌雄同体
D.毛蚴在钉螺体内进行有性繁殖
E.对人具有感染性的是尾蚴
16、单项选择题
如图所示,关于慢性血吸虫病的临床表现下列哪项是错误的()

A.肝肿大以肝右叶为著
B.有症状者以腹痛、腹泻常见
C.常有肝脾肿大
D.胃与十二指肠血吸虫病甚为少见
E.以无明显症状者最多
17、单项选择题 关于急性血吸虫病的临床表现下列哪项是错误的()
A.可有相对缓脉
B.热型以稽留型最常见
C.热度高低与感染程度有关
D.血中嗜酸性粒细胞常显著增高
E.热程多为1个月左右
18、问答题 区别芽变和饰变的主要依据有哪些?
19、配伍题 血吸虫病寄生虫学检查中最简便易行,又有确诊意义的检查是()要了解血吸虫感染轻重,应采取的检查方法是()阳性率最高,但不能作为疗效考核或再次治疗的依据的检查是()确定治疗后是否重复感染最可靠的检查方法是()
A.直肠黏膜活组织检查虫卵
B.毛蚴孵化法
C.盐漂浮法集卵检查
D.粪便涂片直接检查虫卵
E.加藤集卵透明法检查虫卵
20、单项选择题 脑血吸虫病慢性型,脑CT显示病变多位于()
A.额叶
B.小脑
C.顶叶和枕叶
D.颞叶
E.岛叶
21、问答题
男,52岁,江西余干人,农民,反复腹泻20余年,消瘦、腹胀3个月入院。
20年前发现慢性血吸虫病,当时用锑剂治疗1疗程,5年前又用过1疗程吡喹酮。以后仍有血吸虫疫水接触史。近20年来患者反复发作性腹痛、腹泻,泻时大便3~5次/天,稀,有黏液。近3个月来出现腹胀,腹部呈进行性胀大,伴尿量减少,体重减轻5kg。
查体:慢性病容,可见肝掌。腹部膨隆,腹壁静脉显露。肝在剑突下3cm,脾在肋下3cm,腹水征阳性。
血象:Hb100g/L,白细胞3.5×109/L,中性粒细胞0.65,淋巴细胞0.35,血小板50×109/L,肝功能ALT50U,ALB30g/L,GLO38g/L,TBIL22μmmol/L,HBsAg(+)。
22、单项选择题 急性血吸虫病的好发季节为()
A.春季
B.夏秋季节
C.秋季
D.夏季
E.冬季
23、多项选择题 晚期血吸虫病的临床类型包括()
A.巨脾型
B.腹水型
C.侏儒型
D.肺血吸虫病
E.脑血吸虫病型
24、判断题 慢性晚期血吸虫病的免疫病理变化属于Ⅳ型超敏反应。
25、判断题 日本血吸虫的平均存活时间是3~4年。
26、单项选择题
男,20岁,1个月前放暑假,与同学数人到鄱阳湖旅游,他一人曾下水游泳1次,前日突起畏寒、发热,体温波动在37~40℃,以夜间为甚,伴有腹泻,3~5次/天。体查:体温39.5℃,左下腹压痛,肝在肋下1.5cm,剑突下3cm,质中,触痛,脾肋下未扪及,ALT178U/L,血象:WBC15×109/L,嗜酸粒细胞0.30。
该病人最可能的诊断是()
A.日本血吸虫病
B.蛲虫病
C.钩虫病
D.蛔虫病
E.姜片虫病
27、名词解释 血吸虫异位损害
28、判断题 日本血吸虫病的病理变化主要是由童虫引起的。
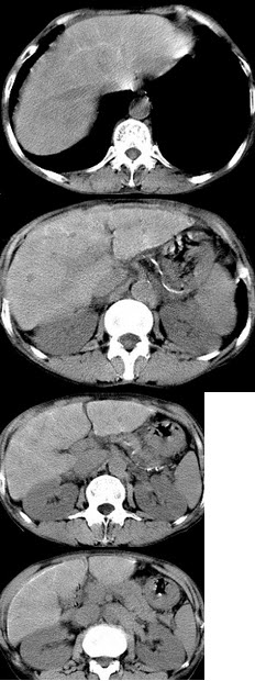
29、单项选择题
男,40岁有血吸虫感染史,腹胀不适,食欲减退,CT扫描所见如图,最可能的诊断是()

A.肝炎后肝硬化
B.血吸虫后肝硬化
C.酒精性肝硬化
D.胆汁性肝硬化
E.脂肪肝
30、填空题 日本血吸虫病是日本血吸虫寄生在_________所引起的疾病,由皮肤接触含有_______的疫水而感染,主要病变为_______,主要病变部位为_______,确诊依据是____________。
31、填空题 晚期血吸虫病出现白细胞与血小板减少的主要原因是_________。
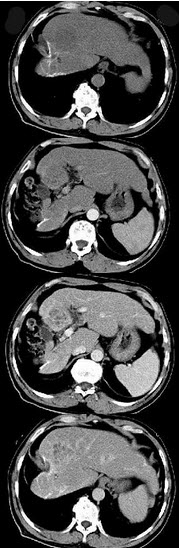
32、单项选择题
女性,56岁,腹胀、双下肢浮肿、乏力、食欲不振,影像所见如下图,最佳的诊断是()

A.酒精性肝硬化并肝血管瘤
B.血吸虫肝硬化并肝癌
C.肝炎后肝硬化并肝癌
D.局限性脂肪肝
E.原发性肝癌
33、判断题 晚期血吸虫病肝纤维化的主要并发症是上消化道出血。
34、填空题 血吸虫病传播必须具备的条件是_________、__________和____________。
35、单项选择题 蜜炙麻黄的用蜜量为()
A.5kg/100kg
B.10kg/100kg
C.15kg/100kg
D.20kg/100kg
E.25kg/100kg
36、问答题 简述血吸虫病的临床表现。
37、单项选择题 血吸虫病的实质是()
A.血吸虫吸血导致人体衰竭
B.免疫反应
C.血吸虫在体内游走导致组织损伤
D.过敏反应
E.血吸虫阻塞局部血管导致组织坏死
38、问答题
男,22岁,江西波阳人,因发热20天入院。
20d前开始每晚发热,体温最高39.5℃,次晨可退热。伴畏寒、腹痛、腹泻,腹胀,反应迟钝。热退后症状明显缓解。发病前1个月曾有下水捕鱼史。查体:体温39.3℃,脉搏82次/分,血压115/75mmHg。急性病容,皮肤巩膜无黄染。两肺无啰音,心率82次/分,律齐,无杂音。腹软,肝肋缘下1cm,剑突下3cm,脾未触及,腹水征阴性。血常规:白细胞16×109/L,红细胞4.6×1012/L,血小板119×109/L,中性粒细胞0.45,淋巴细胞0.20,嗜酸性粒细胞0.35。
39、问答题
男,22岁,江西波阳人,因发热20天入院。
20d前开始每晚发热,体温最高39.5℃,次晨可退热。伴畏寒、腹痛、腹泻,腹胀,反应迟钝。热退后症状明显缓解。发病前1个月曾有下水捕鱼史。查体:体温39.3℃,脉搏82次/分,血压115/75mmHg。急性病容,皮肤巩膜无黄染。两肺无啰音,心率82次/分,律齐,无杂音。腹软,肝肋缘下1cm,剑突下3cm,脾未触及,腹水征阴性。血常规:白细胞16×109/L,红细胞4.6×1012/L,血小板119×109/L,中性粒细胞0.45,淋巴细胞0.20,嗜酸性粒细胞0.35。
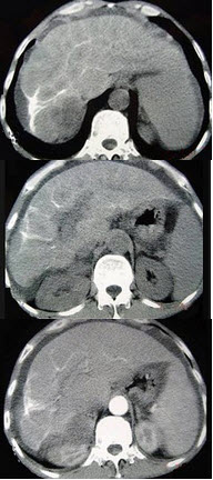
40、单项选择题
男性,63岁,腹胀、双下肢浮肿、乏力、食欲不振,影像所见如下图,最佳的诊断是()

A.酒精性肝硬化
B.血吸虫肝硬化
C.肝炎后肝硬化
D.局限性脂肪肝
E.原发性肝癌
41、多项选择题
如图所示,国内血吸虫病流行区可分为()

A.湖沼型
B.沿海型
C.水网型
D.山丘型
E.内陆型
42、单项选择题 下列哪一个不是血吸虫病的受累器官()
A.脑
B.肠
C.肝脏
D.肺
E.心脏
43、多项选择题 血吸虫病的肠道并发症有()
A.阑尾炎
B.肠腔狭窄
C.结肠肉芽肿
D.结肠癌
E.腹泻
44、配伍题 急性期血吸虫病最常见的临床特征是()有症状的慢性期血吸虫病最常见的临床特征是()晚期血吸虫病最常见的临床特征是()急性脑血吸虫病最常见的临床特点是()肺血吸虫病最常见的临床特点是()
A.巨脾、腹水或侏儒
B.左叶肝大、慢性间常轻微腹痛、腹泻
C.发热、肝大、腹泻,血中嗜酸性粒细胞增多
D.发热、腹泻伴有脑膜脑炎症状,血嗜酸性粒细胞增多
E.发热、腹泻伴呼吸道症状明显,血嗜酸性粒细胞增多
45、多项选择题 下列哪些检查对判断血吸虫病有无肝纤维化有参考价值()
A.血象
B.肝功能检查
C.肝胆脾B超
D.寄生虫学检查
E.肝脏CT扫描
46、单项选择题
如图所示,当人畜接触血吸虫疫水后,能侵入体内的是()

A.子胞蚴
B.母胞蚴
C.尾蚴
D.毛蚴
E.童虫
47、单项选择题 吡喹酮抗血吸虫有以下目的,除了()
A.使虫卵污染环境的机会减少,减少疾病的传播
B.停止虫卵进一步引起宿主组织的病变
C.杀死移行期童虫
D.使虫体迅速“肝移”,易于受到宿主的免疫攻击
E.杀死虫体