时间:2019-11-11 05:20:05


1、单项选择题 颅内最常见的血管畸形是()
A.动脉瘤
B.动静脉畸形
C.海绵状血管瘤
D.毛细血管扩张症
E.静脉畸形
2、多项选择题
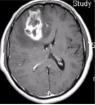
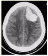
患者女,68岁。头痛、恶心2周,加重2d。头CT显示如下图。
可能的诊断是(提示头颅CT增强及CT灌注成像(脑血流量及表面渗透值明显升高)显示如下图。)()
A.脑膜瘤
B.成胶质细胞瘤
C.少枝胶质细胞瘤
D.节细胞胶质瘤
E.毛细胞星形细胞瘤
F.室管膜瘤
3、单项选择题 有关脑膨出的组织描述正确的是()
A.膨出的组织常伴有发育畸形、扭曲,但组织学正常
B.膨出的组织常无发育畸形、扭曲,组织学正常
C.膨出的组织常伴有发育畸形、扭曲,组织学异常
D.膨出的组织常不与颅内组织相连
E.CT较MRI清晰显示疝出的组织
4、单项选择题
患者女,40岁,手部麻木数年。MR显示如下图。

A.Ⅰ型,常见,可伴有脑积水,脊髓空洞,环枕区畸形
B.Ⅱ型,最常见。小脑下蚓部、桥脑下部、延髓下移、Ⅳ脑室延长。伴有脊髓脊膜膨出,腰骶部多见(3/4)
C.MR矢状位清晰显示小脑扁桃体,延髓位置及IV脑室形态、位置
D.MR可显示脑积水、脑膜膨出
E.不伴有大脑镰、天幕发育不良
5、单项选择题
女性,21岁,部分性癫痫,MR表现如下图,可能的诊断是()
A.神经纤维瘤病Ⅰ型
B.神经纤维瘤病Ⅱ型
C.结节性硬化
D.带状型灰质异位
E.颜面血管瘤综合征
6、多项选择题 Rathke囊肿,常位于()
A.鞍内
B.鞍上
C.鞍旁
D.鞍下
E.四叠体池
7、多项选择题 有关胚胎发育过程,正确的是()
A.胚胎15~17d、形成生殖板
B.20d,神经嵴、神经沟(神经褶)
C.22d,神经管
D.闭合自颈段开始→头端发育成脑部→尾端发育成脊髓部
E.4周完全形成
8、单项选择题
患者男,45岁,突发剧烈头痛伴呕吐30min。既往有高血压病史,平日血压为(190~160)/(100~110)mmHg。查体:右侧肢体肌力Ⅱ级,无颈项强直。CT表现如下图。

A.高血压出血常位于基底节区
B.动脉瘤出血多合并以动脉瘤所在部位为主的蛛网膜下腔出血
C.动静脉畸形多可见到等密度迂曲的血管
D.烟雾病多同时出现多处出血和梗死,且多为老年人
E.肿瘤合并出血多在出血周围见到等密度或低于出血的稍高密度瘤体
9、多项选择题 颅内生殖细胞瘤可发生于()
A.鞍区
B.后颅窝
C.桥小脑角
D.脑室脉络丛
E.松果体区
10、单项选择题
患者女,75岁,突发偏瘫、头痛、头晕10h。既往有高血脂、糖尿病史。MRI表现如下图。

A.6h以内
B.24h以内
C.72h以内
D.14d左右
E.2~3周
11、单项选择题
男性,20岁。恶心、呕吐3d,剧烈头痛加重1d入院。MR显示小脑下蚓部长T1、长T2信号影,病变可见结节状明显强化,如下图。


关于成血管细胞瘤与VHL的关系,错误的是()
A.25%~40%的多发HGBLS见于VHL
B.可伴有其他病变:内脏器官囊肿,肾透明细胞癌
C.家族史的小脑半球肿瘤性病变更常见于成人
D.病变无强化
E.MR强化可发现小的实性结节,VHL患者常需全脊柱MR(评价脊柱有无病变)
12、多项选择题
患者女,41岁。头痛半年,加重10d。头部MRI显示如下图。
A.MRI增强
B.FLAIR
C.DWI
D.MRA
E.MRV
F.DSA
13、多项选择题
患者女,41岁。右侧面肌抽搐。MRI显示如下图。

A.表皮样囊肿
B.蛛网膜囊肿
C.胶样囊肿
D.畸胎瘤
E.Rathke裂囊肿
F.血管周围间隙
14、单项选择题
患者男,61岁,有癫痫病史。MRI表现如图所示。

关于该病的描述,错误的是()
A.神经元由室管膜周围生发层至皮质移行中受阻或中断
B.均为先天性
C.MRI薄层高分辨T1WI显示敏感
D.可分为结节状或带状的灰质异位
E.皮层下区病变可与皮质或脑室壁相连
15、多项选择题 关于颅底孔裂,描述正确的是()
A.舌下神经管内口位于后颅窝
B.棘孔位于中颅窝
C.内耳道通过听神经
D.茎乳孔通过迷走神经
E.卵圆孔通过三叉神经第二支
16、多项选择题 关于胶质瘤,下列描述正确的是()
A.脑胶质瘤是最常见的颅内原发性脑肿瘤
B.占位效应与肿瘤恶性程度有关
C.强化程度,与恶性程度有关
D.恶性程度高的和后颅窝肿瘤病史多较短
E.星形细胞瘤成人多见于大脑半球,儿童则多发在小脑
17、多项选择题 关于单纯疱疹病毒脑炎,描述正确的是()
A.病变累及颞叶、岛叶、扣带回
B.大脑凸面、枕叶后部也可受累,基底节正常
C.双侧发生,但也可不对称
D.无强化
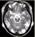
E.病程缓慢
18、多项选择题 下列颅内肿瘤容易合并出血的是()
A.多形性胶质母细胞瘤
B.转移瘤
C.脑膜瘤
D.成血管细胞瘤
E.髓母细胞瘤
19、单项选择题
患者男,45岁,突发剧烈头痛伴呕吐30min。既往有高血压病史,平日血压为(190~160)/(100~110)mmHg。查体:右侧肢体肌力Ⅱ级,无颈项强直。CT表现如下图。

A.急性脑梗死
B.急性脑血肿
C.蛛网膜下腔出血
D.脑星形细胞瘤
E.急性化脓性脑炎
20、多项选择题
肾上腺脑白质营养不良的特点是()
A.病变由后向前发展
B.病变由前向后发展
C.T2加权像病变区白质呈低信号
D.对比增强在病变的周缘区
E.对比增强在病变的中央区
21、单项选择题
患者女,60岁,头痛半月余。既往体健。腰椎穿刺检查提示脑脊液压力增高。CT及CT灌注表现如下图。

A.脑血肿
B.骨瘤
C.胶质瘤
D.脑膜瘤
E.转移瘤
22、多项选择题 关于脑内动静脉畸形诊断要点,正确的是()
A.青年人脑出血
B.斑点样钙化
C.脑水肿、占位征象明显
D.增强扫描可见到增粗、迂曲血管影
E.同一部位反复出血
23、多项选择题 患者女,25岁,闭经1年,双眼视力下降3个月。 为明确诊断,需要做的检查是()
A.血泌乳素水平
B.MR增强
C.CT增强
D.MR平扫
E.CT平扫
F.头颅平片
G.腹部B超
24、单项选择题
患者男,20岁,面部皮脂腺瘤,头CT显示如下图。

A.室管膜下结节无钙化
B.70%伴有室管膜下巨细胞星形细胞瘤
C.结节强化提示病变恶变
D.影像学首选MRI
E.50%为遗传性,常染色体显性遗传
25、单项选择题
患者女,75岁,突发偏瘫、头痛、头晕10h。既往有高血脂、糖尿病史。MRI表现如下图。

A.DWI显示异常的区域小于PWI显示异常的区域,可定义为缺血半暗带
B.DWI正常而PWI减低,提示为一过性脑缺血
C.MTT延长,CBF减低,CBV正常提示缺血前期微循环改变
D.MRS显示缺血区Lac/Cr升高,NAA/Cr降低
E.急性脑梗死区在DWI、ADC图上均呈高信号
26、单项选择题 关于髓母细胞瘤,描述正确的是()
A.Ⅳ脑室顶的细胞巢、小脑半球表面的颗粒层
B.WHOⅡ级
C.病变发现后,无需脊柱影像学检查
D.好发于第四脑室
E.病变进展迅速,晚期蛛网膜下腔播散
27、单项选择题
患者女,40岁,手部麻木数年。MR显示如下图。

A.Chiari畸形Ⅰ型
B.Chiari畸形Ⅱ型
C.脊髓空洞症
D.Dandy-walker畸形
E.VHL
28、多项选择题
患者女,41岁。右侧面肌抽搐。MRI显示如下图。

A.表皮样囊肿为CSF样囊性肿块,包绕邻近血管、神经
B.表皮样囊肿形态不规则,肿瘤沿蛛网下腔蔓延,“见缝就钻”为其特点
C.蛛网膜囊肿FLAIR、DWI低信号
D.表皮样囊肿边界清,形态规则
E.蛛网膜囊肿FLAIR、DWI高信号
F.表皮样囊肿FLAIR、DWI高信号
29、单项选择题
患者女,67岁,头痛伴呕吐1周。既往体健。MR表现如下图。



A.室管膜
B.淋巴转移
C.脑膜
D.血管周围间隙
E.也可转移至颅外
30、单项选择题
患者女,60岁,头痛半月余。既往体健。腰椎穿刺检查提示脑脊液压力增高。CT及CT灌注表现如下图。

A.恶性多见
B.病变常与颅骨关系不大
C.好发于中年男性
D.以颈外动脉供血为主
E.不发生于脑室内
31、单项选择题
患者女,60岁,头痛半月余。既往体健。腰椎穿刺检查提示脑脊液压力增高。CT及CT灌注表现如下图。

A.右侧枕部软组织肿块,边界清晰,邻近脑沟增宽
B.邻近骨质结构肥厚
C.病变内部可见钙化
D.CT灌注表面渗透图显示PS明显升高,提示新生血管内皮细胞不完整
E.CT灌注表面渗透图显示PS明显升高,提示病变无血-脑脊液屏障
32、多项选择题 部分脑内肿瘤可沿脑脊液播散,较常见的有()
A.毛细胞星形细胞瘤
B.垂体瘤
C.多形性成胶质细胞瘤
D.生殖细胞瘤
E.成髓细胞瘤
33、单项选择题
患者男,20岁,癫痫病史。头部CT显示如下图。
可能的诊断为(提示进一步MRI检查如下图。)()
A.海绵状血管瘤
B.动静脉畸形
C.发育性静脉畸形
D.发育性静脉畸形伴海绵状血管瘤
E.脑梗死
F.脑出血
34、多项选择题 胼胝体发育不良,表现为()
A.三脑室扩大、拉长
B.三脑室位置上移
C.双侧侧脑室间距缩小
D.侧脑室枕角不对称性扩大
E.冠状位侧脑室前角呈“八”字样分开
35、多项选择题 患者女,25岁,闭经1年,双眼视力下降3个月。 关于微腺瘤的描述,正确的是()
A.是颅内仅次于胶质瘤和脑膜瘤的第3位常见肿瘤
B.瘤体直径<10mm者为垂体微腺瘤
C.垂体腺癌占垂体腺瘤的比例<1%
D.垂体柄移位和局部鞍底下陷是诊断垂体微腺瘤的依据
E.垂体腺瘤强化程度高于正常垂体
F.病变常推压海绵窦
G.病变为良性,但影像学表现可为侵袭性
36、多项选择题 女,45岁,右侧听力下降半年,CT示左侧桥脑小脑角区略低密度病灶,脑干轻度受压。下列说法正确的是()
A.病灶邻近脑池的改变对鉴别诊断具有重要价值
B.病灶邻近脑池的改变对听神经瘤与脑膜瘤的鉴别有意义
C.内听道有无扩大对听神经瘤与脑膜瘤的鉴别有意义
D.表皮样囊肿也经常好发于此区域
E.有无囊变对听神经瘤与脑膜瘤的鉴别有重要意义
37、单项选择题
患者女,25岁。产后2d,头痛。产前妊高征,血压达200/130mmHg。MRI显示如下图。

A.也称为高血压性脑病,或后部可逆性脑白质病
B.病变恢复较慢
C.后部循环常见
D.也可累及基底节和脑干,少数患者也可见出血
E.对症治疗,如降血压、降颅压等
38、多项选择题 对鉴别蛛网膜囊肿与表皮样囊肿有帮助的是()
A.病变信号均匀程度
B.部位
C.DWI序列
D.病变形态
E.占位表现
39、单项选择题
患者女,25岁。产后2d,头痛。产前妊高征,血压达200/130mmHg。MRI显示如下图。

A.各种原因所引起的急性动脉性高血压,如先兆子痫或子痫,急慢性肾功能衰竭、原发性或恶性高血压或嗜铬细胞瘤等
B.脑血管收缩痉挛,引起血-脑脊液屏障破坏,间质液体堆积在皮质和皮质下白质区,导致血管源性脑水肿
C.脑血管的自身调节功能障碍时,脑血管有可能出现被动性扩张
D.血压恢复正常后,病变可恢复
E.大脑前部循环不受交感神经支配,对自身血压变化的调节较弱
40、多项选择题
患者男,37岁。癫痫发作数次。MRI显示如下图。


关于病变区与对侧正常脑实质MRS,描述正确的是(提示MRS显示如下图。)()
A.病变区NAA正常
B.病变区NAA减低
C.病变区Cho升高
D.病变区Cho未见异常
E.病变区Cr升高
F.病变区Cho减低
41、多项选择题 下列关于脑灰质异位的描述,错误的是()
A.脑异位灰质与正常灰质相同密度
B.可钙化
C.可强化
D.病变可表现为带状或结节状
E.可伴有其他脑发育异常
42、单项选择题
男性,16岁,头痛2年,加重1个月。MR检查如下图。

有关该病的描述正确的是()
A.T2WI上为高信号,占位效应明显
B.弥漫性肿瘤浸润,相应脑结构正常
C.与白质病变分界清晰
D.放化疗疗效好
E.广泛的MR表现及肿瘤浸润与组织学一致
43、多项选择题
患者女,68岁。头痛、恶心2周,加重2d。头CT显示如下图。

A.病变与脑实质边界不清,跨越大脑镰提示病变位于轴内
B.病变密度较高,提示内部伴发出血
C.病变邻近颅骨可见骨质肥厚,支持病变位于轴外
D.病变形态不规则,周围水肿明显,支持病变位于轴外
E.为进一步明确诊断,需增强检查
F.CT平扫可以评价病变与硬脑膜的关系
44、单项选择题
患者男,20岁,面部皮脂腺瘤,头CT显示如下图。

A.肾血管平滑肌脂肪瘤
B.心脏横纹肌瘤
C.其他实质器官的腺瘤、平滑肌瘤等
D.所有患者均会出现三联征
E.皮肤(面部)纤维血管瘤
45、单项选择题 螺杆式冷水机组,有一设备是为保证润滑油的黏度而设置的,这一设备是()。
A.油粗过滤器
B.油精过滤器
C.油冷却器
D.油分离器
46、单项选择题
男性,16岁,头痛2年,加重1个月。MR检查如下图。

A.大脑胶质瘤病
B.脑转移瘤
C.病毒性脑炎
D.急性脑梗死
E.多发性硬化
47、单项选择题
男性,20岁。恶心、呕吐3d,剧烈头痛加重1d入院。MR显示小脑下蚓部长T1、长T2信号影,病变可见结节状明显强化,如下图。


A.视力改变(眼球的HGBL)
B.成人常见,40~60岁发病
C.2/3的VHL相关的HGBL将发生新的肿瘤,平均2年一个新病灶
D.WHOⅠ级,10年存活率85%
E.病变进展迅速,晚期蛛网膜下腔播散
48、多项选择题
患者男,37岁。癫痫发作数次。MRI显示如下图。


A.Cho升高的程度与肿瘤的恶性程度有关
B.Cho升高的程度与肿瘤的恶性程度无关
C.胶质瘤周围水肿的Cho值可见升高
D.胶质瘤周围水肿的Cho值未见异常
E.胶质瘤内部可见lac峰
F.胶质瘤NAA升高
49、单项选择题
患者女,67岁,头痛伴呕吐1周。既往体健。MR表现如下图。



A.脑脓肿
B.转移瘤
C.成胶质胞瘤
D.少枝胶质细胞瘤
E.成髓细胞瘤
50、单项选择题
患者女,60岁,头痛半月余。既往体健。腰椎穿刺检查提示脑脊液压力增高。CT及CT灌注表现如下图。

A.矢状窦阻塞
B.水肿大小与肿瘤大小无关
C.脑皮质肿瘤细胞浸润
D.肿瘤血供
E.分泌或排泄颗粒
51、单项选择题 脑部病变在扩散加权像上呈高信号,ADC呈低信号的是()
A.肿瘤
B.炎症
C.急性脑梗死
D.变性病
E.先天畸形
52、多项选择题
患者女,48岁。渐进性肢体无力半年。MRI所示如下图。
A.询问有无高血压、糖尿病病史
B.询问有无视力异常
C.MRI增强检查
D.脊柱MRI检查
E.询问有无其他中毒病史
F.腰椎穿刺脑脊液检查
53、单项选择题 下列描述不正确的是()
A.脑囊虫破裂会出现化学性脑膜炎
B.脑囊虫退变死亡会产生脑水肿
C.活脑囊虫头节可以产生脑水肿
D.脑囊虫可发生在四脑室内
E.药物治疗后脑囊虫会缩小
54、单项选择题
男性,55岁。临床偶尔头晕,无高血压,糖尿病病史。MRI显示如下图。


A.单层或多层柔脑膜包绕
B.邻近脑实质可见胶质增生
C.临床无症状
D.3T常见,各个年龄均可见
E.位于基底节区(前联合附近),其他常见位置:中脑,白质深部
55、多项选择题
患者女,48岁。渐进性肢体无力半年。MRI所示如下图。


A.多发脑缺血
B.多发性硬化
C.脑白质稀疏
D.脑萎缩
E.脑炎
F.脑白质病变
56、多项选择题 关于Dandy-Walker综合征,下列表现不正确的是()
A.中脑导水管先天性闭锁
B.横窦、小脑幕上移
C.第四脑室、枕大池先天性囊样扩张
D.小脑蚓部发育不良
E.无脑积水
57、多项选择题
患者男,37岁。癫痫发作数次。MRI显示如下图。
A.左侧额叶肿块,边界清晰
B.左侧额叶肿块,边界不清
C.病变邻近脑沟消失,同时累及灰白质
D.病变无明显强化
E.病变累及灰质,皮层下白质正常
F.病变呈楔形
58、单项选择题
男性,25岁,车祸外伤后昏迷,X线平片与CT未见明确骨折及颅内血肿,MR表现如下图。

弥漫性轴索损伤的影像学表现,表述错误的是()
A.磁敏感加权像较GRE能发现更多的病灶
B.MRI表现为多灶性T2WI高信号,慢性期可呈低信号
C.GRET2*WI显示微小出血灶敏感,由于磁敏感效应,病变呈多发低信号
D.DWI显示病变呈高信号,ADC图呈低信号,DTI可显示白质损伤的程度
E.MRS显示NAA下降,提示神经元损伤与预后相关,Cho无变化
59、多项选择题
患者男,20岁,癫痫病史。头部CT显示如下图。
动静脉畸形的典型MRI表现是()
A.MRT2WI上显示无占位效应的“黑蠕虫”征(血管流空)
B.可发生脑、脊髓的任何部位
C.85%发生于幕上,15%后颅窝
D.病变大小不一,由增粗粗大的血管团组成
E.畸形血管团内可见正常脑组织
F.病变可自行消退
60、单项选择题
男性,25岁,车祸外伤后昏迷,X线平片与CT未见明确骨折及颅内血肿,MR表现如下图。

有关该病的描述不正确的是()
A.脑组织在创伤造成的减速运动中,因皮、髓质质量不一致产生剪力而致轴索的撕裂
B.影像学表现与临床预后不一致
C.CT检查可明确诊断
D.病变主要见于灰、白质交界区、脑干、胼胝体等部位
E.MRT2*WI可清晰显示病变,与TWI相比,T2*WI更敏感
61、单项选择题
男性,24岁。反复癫痫发作。头CT及MRI显示如下图。


A.结节性硬化
B.结节性硬化,室管膜下巨细胞星形细胞瘤
C.转移瘤
D.室管膜瘤
E.脉络丛乳头状瘤
62、单项选择题
患者女,75岁,突发偏瘫、头痛、头晕10h。既往有高血脂、糖尿病史。MRI表现如下图。

关于脑梗死影像表现,下列描述不正确的是()
A.发病24h内,CT可正常
B.发病24h内,MRI可有阳性表现
C.发病24h内,CT上强化最明显
D.对小脑、脑干病变,MRI优于CT
E.DWI序列优于常规的T1WI、T2WI
63、单项选择题
患者女,25岁。产后2d,头痛。产前妊高征,血压达200/130mmHg。MRI显示如下图。

A.静脉窦闭塞
B.高灌注脑病
C.脑梗死
D.脑炎
E.脑水肿
64、单项选择题
患者男,45岁,突发剧烈头痛伴呕吐30min。既往有高血压病史,平日血压为(190~160)/(100~110)mmHg。查体:右侧肢体肌力Ⅱ级,无颈项强直。CT表现如下图。

关于脑血肿典型的MRI表现,描述不正确的是()
A.3d以内,T1WI等信号,T2WI低信号
B.3~6d,T1WI低信号,T2WI低信号
C.6~8d,T1WI高信号,T2WI高信号
D.15d以后,T2WI上高信号的血肿周围出现低信号环
E.完全液化后,T1WI低信号,T2WI高信号
65、单项选择题
男性,20岁。恶心、呕吐3d,剧烈头痛加重1d入院。MR显示小脑下蚓部长T1、长T2信号影,病变可见结节状明显强化,如下图。


A.小脑毛细胞星形细胞瘤
B.室管膜瘤
C.脉络丛乳头状瘤
D.多发成血管细胞瘤
E.成髓细胞瘤
66、单项选择题
女性,62岁。外伤后左侧突眼。MRI显示如下图。


A.海绵状血管瘤
B.发育性静脉畸形
C.AVM
D.毛细血管扩张症
E.动脉瘤
F.左侧颈内动脉海绵窦瘘
G.moyamoya
67、单项选择题
男性,16岁,头痛2年,加重1个月。MR检查如下图。

该病的影像学表现,不正确的是()
A.T2WI显示多个脑叶的弥漫性高信号
B.DWI上呈等信号,ADC上呈高信号
C.占位效应明显
D.无边界
E.病变浸润脑实质但不破坏相应脑结构
68、单项选择题 有关脑转移瘤,下列描述错误的是()
A.脑实质转移
B.硬脑膜转移
C.软脑膜转移
D.室管膜转移
E.所有转移瘤均伴有水肿
69、单项选择题 细胞毒性脑水肿最常见的原因是()
A.炎症
B.肿瘤
C.脑缺血
D.外伤
E.脑出血
70、单项选择题 颅内动脉瘤最好发于()
A.后交通动脉起始部
B.穿支动脉
C.脉络膜前动脉
D.大脑中动脉
E.基底动脉
71、单项选择题 若蛛网膜下腔出血集中在一侧外侧裂,则常继发于()
A.前交通动脉动脉瘤破裂
B.后交通动脉动脉瘤破裂
C.大脑前动脉动脉瘤破裂
D.大脑中动脉动脉瘤破裂
E.大脑后动脉动脉瘤破裂
72、单项选择题
患者女,43岁。智力低下。MRI结果如下图所示。

A.胼胝体缺如
B.脑裂畸形
C.灰质异位
D.结节性硬化
E.Sturge-weber综合征
73、单项选择题
患者女,18岁,步态不稳。MRI显示如下图。

A.CO中毒
B.肝豆状核变性
C.肝性脑病
D.桥脑外髓鞘溶解症
E.脑梗死
F.病毒性脑炎
G.灰质异位
74、多项选择题 患者女,56岁,右侧耳鸣1年,听力下降3个月。 常见于神经纤维瘤病Ⅰ型的是()
A.牛奶咖啡斑
B.视神经胶质瘤
C.视神经脑膜瘤
D.双侧听神经鞘瘤
E.空眶征
F.外周神经纤维瘤
G.中枢神经多发脑膜瘤
75、单项选择题
患者男,20岁,面部皮脂腺瘤,头CT显示如下图。

A.少枝胶质细胞瘤
B.星形细胞瘤
C.结节性硬化
D.陈旧性血肿
E.颅面血管瘤病(Sturge-Weber)综合征
76、多项选择题
患者女,41岁。头痛半年,加重10d。头部MRI显示如下图。

A.海绵状血管瘤
B.发育性静脉畸形
C.AVM
D.毛细血管扩张症
E.动脉瘤
F.硬脑膜动静脉瘘
77、单项选择题
患者男,61岁,有癫痫病史。MRI表现如图所示。

A.少枝胶质细胞瘤
B.星形细胞瘤
C.结节性硬化
D.结节型灰质异位
E.颅面血管瘤病(Sturge-Weber)综合征
78、单项选择题
患者女,25岁,闭经1年,双眼视力下降3个月。
临床拟诊为(提示实验室检查泌乳素显著升高,MR表现如下图。)()
A.脑膜瘤
B.颅咽管瘤
C.Rathke囊肿
D.动脉瘤
E.垂体微腺瘤
F.生殖细胞瘤
G.蛛网膜囊肿
79、单项选择题 下列疾病不属于脱髓鞘病变的是()
A.桥脑中央髓鞘溶解
B.多发性硬化
C.急性播散性脑脊髓炎
D.肾上腺脑白质营养不良
E.进行性多灶性脑白质病
80、单项选择题
患者男,70岁。突发昏迷。头CT显示如下图。

A.硬膜下血肿
B.正常
C.硬膜外血肿
D.脑挫裂伤
E.脑脓肿
F.脑炎
81、多项选择题 有关脂肪瘤,描述正确的是()
A.80%位于幕上:40%~50%大脑纵裂,可累及侧脑室
B.20%位于幕下
C.CT值-50~-100HU
D.不伴有胼胝体发育不良
E.CT/MRI均可敏感显示病变
82、单项选择题
患者女,67岁,头痛伴呕吐1周。既往体健。MR表现如下图。



A.儿童青少年常见
B.好发于额、颞叶大脑灰质及白质区
C.CT平扫密度均匀
D.增强检查均匀强化
E.瘤周水肿轻微,占位效应显著
83、多项选择题 患者女,56岁,右侧耳鸣1年,听力下降3个月。 关于该肿瘤,描述正确的是()
A.多起源于前庭神经
B.多起源于蜗神经
C.早期即有内耳道的扩大
D.增强检查可明显强化
E.肿瘤较大时可囊变
F.是单侧感音性神经性耳聋最常见的病因
G.评价有无面神经迷路段受累,以区分面神经鞘瘤
84、单项选择题
患者女,60岁,头痛半月余。既往体健。腰椎穿刺检查提示脑脊液压力增高。CT及CT灌注表现如下图。

A.肿瘤内可出现钙化或脂肪组织
B.MRP:CBV轻度升高
C.恶性肿瘤与轴内肿瘤鉴别困难,MRS可提示诊断
D.MRS:Ala升高
E.MRV显示静脉窦受累
85、单项选择题
患者女,43岁。智力低下。MRI结果如下图所示。

A.常与其他畸形伴发,如前脑无裂畸形、Chiari畸形、胼胝体脂肪瘤等
B.均为全部缺如
C.矢状位显示最佳,无胼胝体结构
D.脑回放射状排列,指向侧脑室
E.影像学首选MR矢状面、冠状面
86、多项选择题 关于先天性脑穿通畸形,描述正确的是()
A.胎儿期由于脑破坏造成的脑组织局部丧失
B.胚胎发育时大脑半球内部形成空洞或囊肿
C.婴幼儿起病,临床表现较严重
D.小空洞表面可见血管形成
E.大空洞壁为胶质瘢痕,不含神经细胞
87、多项选择题
患者女,68岁。头痛、恶心2周,加重2d。头CT显示如下图。
CT、MR支持病变位于轴外的征象是()
A.病变边界清晰,形态不规则,呈分叶状
B.病变邻近的蛛网膜下腔增宽
C.病变呈等T1等T2信号影
D.大脑镰可见明显强化,CBV及PS明显升高
E.病变周围水肿明显
F.病变占位效应明显
88、单项选择题
患者男,18岁,头痛15d伴复视10d,头部CT及MRI显示如下图。


A.星形细胞瘤
B.少枝胶质细胞瘤
C.神经节细胞瘤
D.胚胎发育不良性神经上皮肿瘤
E.多形性黄色星形细胞瘤
89、多项选择题
患者女,41岁。头痛半年,加重10d。头部MRI显示如下图。

关于发育性静脉畸形的描述正确的是()
A.MR增强检查显示“海蛇头”样表现
B.常发生于侧脑室额角白质或Ⅳ脑室周围白质
C.扩张的髓静脉呈伞样汇集,经粗大的静脉引流入静脉窦或深部室管膜静脉
D.病变较小,T1WI可正常,T2WI可见血管流空
E.影像学首选MRT1C+MRV
F.T2*WI可显示出血及伴有其他血管畸形
G.15%~20%伴有海绵状血管瘤
90、单项选择题
患者女,25岁。产后2d,头痛。产前妊高征,血压达200/130mmHg。MRI显示如下图。

有关该病的影像学表现,错误的是()
A.DWI等或高信号,ADC高信号
B.CT显示对称性或不对称性皮层下区低密度影
C.病变无强化
D.FLAIR序列高信号
E.T2WI呈高信号
91、多项选择题 符合幕上良性Ⅰ、Ⅱ级星形细胞瘤影像学征象的是()
A.约1/4的病例有钙化
B.大多数表现为脑内混合密度病灶
C.肿瘤边界大多数清楚
D.增强扫描Ⅰ级星形细胞的肿瘤多无明显变化
E.发生于脑皮质多见
92、多项选择题
患者男,70岁。突发昏迷。头CT显示如下图。

A.灰白质界面内移
B.脑沟消失,脑室系统变形
C.中线结构向健侧移位
D.CT增强扫描借助于皮层染色有助于等密度硬膜下血肿的检出
E.显示病变的存在,MRI较CT敏感
F.病变可呈高密度、等密度或混杂密度影
93、单项选择题 颅裂畸形最常见于()
A.发生于中线或中线旁70%
B.枕部
C.额部
D.颞部
E.顶部
94、单项选择题 血管母细胞瘤可合并()
A.神经纤维瘤病1型
B.结节性硬化
C.Chiari畸形
D.VonHippel-Lindau病
E.神经纤维瘤病2型
95、单项选择题
患者男,35岁,肢体无力半年。头部MRI显示如下图。

A.免疫抑制剂及激素
B.降颅压
C.抗炎
D.抗血栓
E.无须特殊治疗
96、多项选择题 根据脑分裂的程度,前脑无裂畸形主要分为()
A.无脑叶型
B.半脑叶型
C.脑叶型
D.脑实质型
E.后脑发育畸形
97、单项选择题
患者女,67岁,头痛伴呕吐1周。既往体健。MR表现如下图。



胶质瘤术后放疗后复发与放射性坏死的鉴别手段是()
A.T2*
B.PWI
C.DWI
D.Gd-MRI
E.FLAIR
98、多项选择题
患者女,41岁。右侧面肌抽搐。MRI显示如下图。
关于MRI,描述正确的是()
A.右侧桥前池可见T1WI等信号及T2WI高信号
B.未见异常
C.右侧三叉神经未见异常
D.右侧三叉神经可见包绕
E.基底动脉未见异常
F.基底动脉可见包绕
99、多项选择题 患者女,25岁,闭经1年,双眼视力下降3个月。 头颅侧位片,正常蝶鞍形态为()
A.圆形
B.卵圆形
C.桥形
D.双鞍底形
E.生理扁平形
F.幼稚形
100、多项选择题
患者女,18岁,步态不稳。MRI显示如下图。

A.CO中毒
B.肝豆状核变性
C.肝性脑病
D.桥脑外髓鞘溶解症
E.脑梗死
F.病毒性脑炎
G.灰质异位
101、多项选择题 桥小脑角区听神经鞘瘤与脑膜瘤的鉴别诊断中,正确的表述有()
A.脑膜瘤是桥小脑角区最常见的肿瘤
B.内耳道增宽是诊断听神经鞘瘤的可靠征象
C.脑膜瘤表现为宽基底与脑膜相连,内耳道正常
D.脑膜瘤基底部岩椎的骨质可增生
E.神经鞘瘤很少囊变
102、单项选择题
患者女,60岁,头痛半月余。既往体健。腰椎穿刺检查提示脑脊液压力增高。CT及CT灌注表现如下图。

A.桥小脑脚区
B.眼眶壁
C.矢状窦旁
D.蝶骨嵴
E.灰白质交界区
103、单项选择题
患者男,35岁,肢体无力半年。头部MRI显示如下图。

A.多发脑缺血
B.多发性硬化
C.转移瘤
D.淋巴瘤
E.脑炎
104、多项选择题
患者男,70岁。突发昏迷。头CT显示如下图。

A.左侧额顶部硬膜下半月形混杂密度影
B.脑皮质未见异常
C.脑皮质受压内移
D.中线结构右移
E.脑实质异常密度影
F.右侧脑沟变窄
105、单项选择题
患者男,35岁,肢体无力半年。头部MRI显示如下图。
患者经过半年随访,MRI表现如下图,提示病变分型属于()
A.复发-缓解型
B.继发-进展型
C.原发-进展-复发型
D.单期相
E.快速进展型
106、多项选择题
患者男,37岁。癫痫发作数次。MRI显示如下图。
可以排除的是(提示DWI显示如下图。)()
A.星形细胞瘤
B.脑炎
C.急性脑梗死
D.脑水肿
E.静脉窦闭塞
F.移瘤
107、多项选择题 关于“獭尾肝”,下列描述哪些正确()
A.肝左叶增大,与脾脏相连
B.可见于肝肿瘤时
C.可见于正常变异
D.可见于肝叶比例失调时
E.肝尾叶增大,与胰腺相连
108、单项选择题
患者女,75岁,突发偏瘫、头痛、头晕10h。既往有高血脂、糖尿病史。MRI表现如下图。

A.急性期,DWI高信号,ADC低信号
B.亚急性期,DWI高信号,ADC等信号
C.慢性期,DWI低信号,ADC高信号
D.DWI序列可早在6h内显示病变
E.FLAIR序列较DWI序列敏感
109、单项选择题
患者女,75岁,突发偏瘫、头痛、头晕10h。既往有高血脂、糖尿病史。MRI表现如下图。

A.脑星形细胞瘤
B.脑急性血肿
C.蛛网膜下隙出血
D.脑急性梗死
E.急性化脓性脑炎
110、多项选择题
患者女,41岁。头痛半年,加重10d。头部MRI显示如下图。

关于该病的MRI描述正确的是()
A.右侧小脑半球圆形长T2信号影,病变周边可见环形低信号
B.病变周边环形低信号对病变的诊断价值不大
C.病变邻近右侧小脑半球可见一条形高信号,其对病变的诊断价值不大
D.病变邻近右侧小脑半球可见一条形高信号,其对病变的诊断价值较大
E.第四脑室受压变窄对于病变的诊断价值较大
F.病变的内部信号不均匀对病变的诊断价值较大
111、单项选择题
男性,24岁。反复癫痫发作。头CT及MRI显示如下图。


A.结节性硬化患者,癫痫加重或出现脑室梗阻症状提示SGCA
B.结节性硬化患者,孟氏孔附近增大,强化肿块,提示SGCA
C.每1~2年随访MR,评价有无新的SGCA
D.50%家族遗传(结节性硬化),常染色体显性遗传
E.结节性硬化患者,85%发生SGCA
112、多项选择题 肝豆状核变性主要累及的部位是()
A.尾状核和壳核
B.苍白球和壳核
C.小脑齿状核
D.桥脑和中脑
E.大脑皮质
113、多项选择题 关于颅咽管瘤,正确的是()
A.常见于鞍上
B.囊变者约为80%
C.好发年龄5~10岁
D.好发年龄5~10岁和60岁左右
E.常见钙化
114、单项选择题 患者女,25岁,闭经1年,双眼视力下降3个月。 最适于垂体微腺瘤诊段的影像学检查方法是()
A.增强MRI
B.平扫MRI
C.增强CT
D.动态增强MRI
E.动态增强CT
F.侧位蝶鞍点片
115、多项选择题 患者女,56岁,右侧耳鸣1年,听力下降3个月。 临床拟诊为()
A.CPA区脑膜瘤
B.CPA区听神经鞘瘤
C.三叉神经鞘瘤
D.CPA区皮样囊肿
E.CPA区表皮样囊肿
F.CPA区蛛网膜囊肿
G.面神经鞘瘤
116、单项选择题
患者男,45岁,突发剧烈头痛伴呕吐30min。既往有高血压病史,平日血压为(190~160)/(100~110)mmHg。查体:右侧肢体肌力Ⅱ级,无颈项强直。CT表现如下图。

A.CT
B.MRI
C.X线平片
D.B超
E.放射性核素
117、单项选择题
男性,55岁。临床偶尔头晕,无高血压,糖尿病病史。MRI显示如下图。


A.血管周围间隙
B.腔隙性脑梗死
C.神经上皮囊肿
D.脑囊虫
E.囊性肿瘤
118、单项选择题
患者女,68岁。头痛、恶心2周,加重2d。头CT显示如下图。
可能的诊断为(提示进一步MRI检查显示如下图。)()
A.脑膜瘤
B.成胶质细胞瘤
C.少枝胶质细胞瘤
D.节细胞胶质瘤
E.毛细胞星形细胞瘤
F.室管膜瘤
119、多项选择题
患者男,37岁。癫痫发作数次。MRI显示如下图。


A.星形细胞瘤
B.脑炎
C.急性脑梗死
D.脑水肿
E.静脉窦闭塞
F.转移瘤
120、多项选择题
女性,62岁。外伤后左侧突眼。MRI显示如下图。


A.左侧眼上静脉增粗
B.左侧海绵窦增宽
C.左侧颈内动脉增粗
D.颈内动脉变细
E.左侧眼球突出
F.右侧颈内动脉增粗
121、单项选择题
患者男,35岁,肢体无力半年。头部MRI显示如下图。
A.ADEM不累及灰质
B.两者均对称分布
C.ADEM复发常见
D.是否有病毒感染病史
E.两者均可能与病毒或自身免疫介导有关
122、多项选择题 胶质瘤术后放疗后复发与放射性坏死的鉴别技术是()
A.MRS
B.PWI
C.DWI
D.Gd-MRI
E.FLAIR
123、单项选择题
患者女,67岁,头痛伴呕吐1周。既往体健。MR表现如下图。



A.脑屏障破坏程度及肿瘤的血供
B.肿瘤大小
C.使用离子型还是非离子型对比剂
D.年龄
E.部位
124、单项选择题
患者男,45岁,突发剧烈头痛伴呕吐30min。既往有高血压病史,平日血压为(190~160)/(100~110)mmHg。查体:右侧肢体肌力Ⅱ级,无颈项强直。CT表现如下图。

A.含氧血红蛋白-正铁血红蛋白-脱氧血红蛋白-含铁血黄素
B.含氧血红蛋白-脱氧血红蛋白-正铁血红蛋白-含铁血黄素
C.含氧血红蛋白-脱氧血红蛋白-含铁血黄素-正铁血红蛋白
D.含氧血红蛋白-正铁血红蛋白-含铁血黄素-脱氧血红蛋白
E.含氧血红蛋白-含铁血黄素-脱氧血红蛋白-正铁血红蛋白
125、多项选择题 患者女,56岁,右侧耳鸣1年,听力下降3个月。 若进一步诊断明确,还需做的影像学检查是()
A.CT
B.MRI平扫
C.MRI增强
D.头颅平片
E.纯音测听
F.B超
G.HRCT
126、多项选择题
患者女,56岁,右侧耳鸣1年,听力下降3个月。
最可能的诊断为(提示CT显示内耳道增宽,如下图。)()
A.CPA区脑膜瘤
B.CPA区听神经鞘瘤
C.三叉神经鞘瘤
D.CPA区皮样囊肿
E.CPA区表皮样囊肿
F.CPA区蛛网膜囊肿
G.面神经鞘瘤
127、单项选择题
男性,25岁,车祸外伤后昏迷,X线平片与CT未见明确骨折及颅内血肿,MR表现如下图。

A.蛛网膜下隙出血
B.脑皮质挫裂伤
C.脑室出血
D.脑梗死
E.弥漫性轴索损伤
128、多项选择题 脑血管畸形包括()
A.动脉瘤
B.静脉瘤
C.海绵状血管瘤
D.动静脉畸形
E.毛细血管扩张症
129、单项选择题
患者女,48岁。渐进性肢体无力半年。MRI所示如下图。


A.多发脑缺血
B.多发性硬化
C.脑白质稀疏
D.脑萎缩
E.脑炎
F.脑白质病变
130、多项选择题 患者女,56岁,右侧耳鸣1年,听力下降3个月。
疑为小听神经瘤,首选影像学检查方法是()
A.X线平片
B.常规CT
C.HRCT
D.常规MRI
E.MRI薄层T1WI扫描
F.高分辨薄层T2WI
G.薄层T1WI强化
131、单项选择题 静脉窦血栓形成的诱因不包括()
A.血管畸形
B.妊娠
C.严重脱水
D.脑部感染
E.血液高凝状态
132、多项选择题 多发性硬化的诊断要点,描述正确的是()
A.反复发作,病灶新旧程度不一
B.脑内多发脱髓鞘病变
C.多位于侧脑室旁
D.水肿及占位效应明显
E.急性期病灶可强化
133、单项选择题 患者女,56岁,右侧耳鸣1年,听力下降3个月。 若患者发生双侧听神经鞘瘤,应考虑的诊断为()
A.结节硬化
B.Sturge-Weber综合征
C.Alexander病
D.神经纤维瘤病Ⅰ型
E.神经纤维瘤病Ⅱ型
F.Von-hinpple-Lindau综合征
134、单项选择题
患者女,56岁,右侧耳鸣1年,听力下降3个月。
病例诊断为(提示进一步MR检查结果如下图。)()
A.CPA区脑膜瘤
B.CPA区听神经鞘瘤
C.三叉神经鞘瘤
D.CPA区皮样囊肿
E.CPA区表皮样囊肿
F.CPA区蛛网膜囊肿
G.面神经鞘瘤
135、单项选择题 颈动脉三角间隙内不含有()
A.颈总动脉
B.颈内静脉
C.舌咽神经
D.迷走神经
E.副神经
136、单项选择题
患者女,41岁。头痛半年,加重10d。头部MRI显示如下图。
可能的诊断是(提示MR增强检查如下图。)()
A.海绵状血管瘤
B.发育性静脉畸形
C.AVM
D.毛细血管扩张症
E.动脉瘤
F.硬脑膜动静脉瘘
G.海绵状血管瘤伴发育性静脉畸形
137、多项选择题
女性,62岁。外伤后左侧突眼。MRI显示如下图。


A.Tolosa-Hunt综合征
B.海绵窦神经鞘瘤
C.海绵窦脑膜瘤
D.海绵窦动脉瘤
E.海绵窦AVM
F.海绵窦海绵状血管瘤
138、单项选择题
患者男,20岁,癫痫病史。头部CT显示如下图。

A.未见异常
B.左侧颞叶可疑低密度影
C.脑沟增宽
D.脑萎缩
E.脑结核
F.脑梗死
139、单项选择题
患者女,41岁。右侧面肌抽搐。MRI显示如下图。

可能的诊断是(提示下一步DWI序列显示如下图。)()
A.表皮样囊肿
B.蛛网膜囊肿
C.胶样囊肿
D.畸胎瘤
E.Rathke裂囊肿
F.血管周围间隙
140、单项选择题
单纯疱疹性脑炎的影像学特点或表现是()
A.临床症状轻微
B.病理组织学上无出血、坏死
C.双侧额叶长T1、长T2改变
D.无脑水肿
E.双侧颞叶内侧受累常见
141、单项选择题 胆脂瘤的特点不包括()
A.信号较均匀,边界较清楚
B.常呈“塑形”生长
C.易破裂引起化学性脑膜炎
D.DWI显示病变呈高信号
E.注射对比剂后病变通常无增强
142、多项选择题
患者女,48岁。渐进性肢体无力半年。MRI所示如下图。
关于MRI的描述正确的是(提示患者行脊柱MRI平扫及增强检查,显示如下图。)()
A.颈髓增粗,其内可见片状高信号影
B.胸髓可见多发片状高信号影
C.脊髓未见异常
D.MRI增强检查可见片状强化
E.脊髓空洞
F.脊髓肿胀
143、多项选择题 关于脑膜瘤的描述,正确的是()
A.肿瘤可发生于颅内任何部位,大多数居脑内
B.其好发部位与蛛网膜颗粒的分布部位一致
C.肿瘤有包膜,多为结节状或颗粒状
D.肿瘤生长快,血供不丰富
E.肿瘤除恶变者外,一般不浸润至脑实质
144、多项选择题
患者女,18岁,步态不稳。MRI显示如下图。

A.有无肝硬化
B.实验室检查血铜和尿铜
C.有无中毒史
D.有无电解质紊乱
E.有无梗死史
F.有无感染史
145、多项选择题 脑外伤后血管的并发症包括()
A.血管痉挛
B.脂肪栓塞
C.外伤性动脉瘤
D.外伤性动脉切割和内膜撕裂
E.外伤性动静脉瘘
146、单项选择题
患者男,18岁,头痛15d伴复视10d,头部CT及MRI显示如下图。


A.WHOⅡ级、Ⅲ级(20%~50%)
B.实性浸润性皮层肿块
C.50%混有其他类型肿瘤
D.额叶钙化肿块
E.30%病变可见结节状、簇状钙化
147、多项选择题 应与脑脓肿相鉴别的疾病包括()
A.星形细胞
B.脑转移癌
C.放射性脑坏死
D.脑手术后残腔
E.脑内血肿吸收期