时间:2018-10-25 01:32:25


1、多项选择题
	女,25岁,车祸伤及面部,X线及CT检查如图所示,正确的描述或诊断是()
	A.X线示左侧眶底较正常变低
	B.CT发现左侧眶底骨质断裂
	C.左侧上颌窦内见气-液面
	D.左侧眶底骨折
	E.左侧上颌窦积液
2、单项选择题 对增强扫描原理和意义的论述,错误的是()
	A.不同的组织结构对对比剂吸收数量和分布会不同
	B.不同的病变性质对对比剂吸收数量和分布会不同
	C.当两种组织对X线的吸收差加大时,图像对比减弱
	D.增强扫描会使组织密度、形态、大小显示更为突出
	E.增强扫描主要增加了组织间的人工对比
3、单项选择题 女,25岁,左乳痛7天,体温39.5~40℃,局部明显压痛、红肿。 乳腺脓肿切开引流后,下列哪项是终止哺乳的绝对指征()
	A.初产妇
	B.体温
	C.毒血症状明显
	D.引流脓液较少
	E.引流术后并发乳瘘
4、单项选择题 关于听神经瘤的CT表现,下述不正确的是()
	A.内听道可不增宽
	B.肿瘤边缘清楚
	C.可发生囊变坏死
	D.多无明显强化
	E.少数可双侧发病
5、单项选择题
	女,78岁,突然意识障碍,结合CT图像,最可能的诊断是()
	A.脑挫裂伤
	B.脑转移瘤
	C.高血压性脑出血
	D.脑膜瘤
	E.脑脓肿
6、单项选择题 CT诊断成人寰枢关节半脱位,标准是环椎前结节后缘与枢椎齿状突前缘的距离大于()
	A.1mm
	B.2mm
	C.3mm
	D.4mm
	E.5mm
7、单项选择题 鼻与鼻窦CT扫描技术正确的是()
	A.横断位扫描患者仰卧,先扫头颅正位定位像
	B.冠状位扫描对鼻窦病变的上下关系能清晰显示
	C.横断位扫描,扫描范围从硬腭至蝶窦
	D.冠状位扫描,扫描范围从蝶窦后壁起至上颌窦前壁止
	E.必须用螺旋扫描方式扫描
8、单项选择题 星形细胞瘤据其组成的细胞类型可分四型,不属于其类型为()
	A.纤维细胞型
	B.毛发细胞型
	C.原浆细胞型
	D.肥胖细胞型
	E.生殖细胞型
9、单项选择题
	女,3岁,右耳出生至今耳聋,结合图像,最可能的诊断是()


	A.外耳畸形
	B.内耳畸形
	C.中耳畸形
	D.右侧胆脂瘤
	E.未见异常
10、单项选择题 窗宽为300窗位为20时,其CT值显示的范围为()
	A.-170~130
	B.-150~150
	C.-130~170
	D.0~300
	E.-300~0
11、单项选择题 生殖细胞瘤和髓质母细胞瘤都好发于()
	A.小儿
	B.中年
	C.青壮年
	D.中老年
	E.老年
12、单项选择题 关于CT图像中伪影形成原因的叙述,下列哪项不对()
	A.放射状伪影:高密度物质所致
	B.杂乱伪影:重建过程故障所致
	C.环形伪影:数据采集系统故障所致
	D.假皮层伪影:扫描过程中患者运动所致
	E.条状伪影:CT采样过程中X线强度突然发生变化
13、多项选择题 关于鼻乳头状瘤的CT征象,正确的有()
	A.鼻腔和同侧上颌窦内见略高密度软组织肿块
	B.肿瘤内可见点条状钙化
	C.增强扫描因肿瘤血管较少,无明显或轻度强化
	D.骨壁破坏以上颌窦内侧壁为主
	E.窦腔扩大多不明显
14、单项选择题
	男,40岁,化脓性胆管炎手术后3天出现高热,伴胸痛,咳嗽,CT如图,最可能的诊断为()
	A.肺转移癌
	B.金葡菌肺炎
	C.肺淋巴瘤
	D.肺多发性脓肿
	E.肺组织胞浆菌病
15、多项选择题
	男,50岁,涕中带血半年,体检发现右侧颈部多个硬结,CT扫描如图所示,正确的描述或诊断是()
	A.右侧筛窦内见软组织块影,边缘不规则
	B.软组织影累及对侧筛窦、右侧上颌窦
	C.右侧眶内壁、上颌窦壁及颅底骨质破坏
	D.右侧筛窦黏液性囊肿
	E.右侧筛窦癌
16、单项选择题 CT显示颈椎横突孔骨折,提示()
	A.重要神经损伤
	B.脊髓损伤
	C.椎动脉损伤
	D.椎静脉损伤
	E.无重要意义
17、多项选择题
	男,47岁,腰痛、腰胀2月余伴低热、乏力,结合影像资料所示,下列哪项说法正确()
	A.右侧输尿管多发性狭窄,呈“串珠样”改变
	B.右侧输尿管多发性生理性狭窄
	C.右侧肾盂轻度积水
	D.考虑为右输尿管占位病变
	E.考虑为右输尿管结核
18、单项选择题
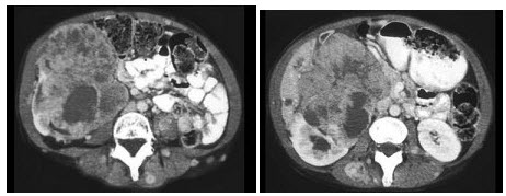
	女,43岁,右腰部疼痛不适2年余,加重3天,CT及MRI检查如图,应诊断为()

	A.右肾癌
	B.右肾错构瘤合并出血
	C.右肾脂肪瘤
	D.右肾脂肪肉瘤
	E.右肾海绵状血管瘤
19、单项选择题 下列哪项对库欣综合征描述不正确()
	A.属于肾上腺功能亢进性病变
	B.70%~85%是由于肾上腺腺瘤,15%~30%是由于肾上腺结节增生
	C.主要是由于肾上腺增生引起
	D.腺瘤体积小,密度多低于水,呈负值,少数呈等密度
	E.增强扫描腺瘤轻度强化
20、单项选择题 矩阵256×256、显示野20cm与矩阵512×512、显示野10cm,两种图像的像素大小()
	A.前者0.5mm,后者0.25mm 
	B.前者较后者大 
	C.前者lmm,后者2mm 
	D.相等 
	E.前者较后者小
21、单项选择题 球形增大的肝右叶下段称为()
	A.獭尾肝
	B.尾状叶
	C.利德尔叶
	D.右前叶
	E.右后叶
22、单项选择题 CT检查的成像技术条件,不包括的项目有()
	A.层厚
	B.层间距
	C.视野(FOV)
	D.扫描架倾斜角度
	E.存储方式
23、单项选择题 肾动脉狭窄经皮穿刺动脉成形术的禁忌症是()
	A.造影发现肾动脉中度狭窄,有临床症状者
	B.造影发现肾动脉狭窄,无临床症状者
	C.造影发现肾动脉重度狭窄,有临床症状者
	D.造影发现肾动脉重度狭窄,无有临床症状者
	E.系列影像检查发现肾体积逐渐缩小者
24、单项选择题 肝脏CT检查中,需采用窄窗的疾病是()
	A.肝腹水
	B.肝巨大恶性肿瘤
	C.肝脓肿
	D.脂肪肝
	E.肝硬化
25、多项选择题 有关Marfan综合征描述,错误的是()
	A.蜘蛛指为特征性改变
	B.常染色体显性遗传病
	C.多见于儿童
	D.硬脊膜膨出少见
	E.体型瘦长、脊柱侧弯、鸡胸
26、多项选择题
	男,73岁,无痛性全程血尿2个月余,CT检查如图所示,下列说法正确的是()
	A.右输尿管中下段可见沿输尿管走行的长约10.6cm,不规则的软组织肿块影
	B.膀胱内可见宽基底的软组织肿块影
	C.右肾及输尿管上段扩张积水
	D.考虑为右侧输尿管中下段癌合并膀胱癌
	E.考虑为右侧输尿管及膀胱结核
27、单项选择题
	男,46岁,外伤后左下颈搏动性肿块,CT如图所示,最可能的诊断是()
	A.左颈部血管瘤
	B.左颈动脉体瘤
	C.左颈静脉球瘤
	D.左颈总动脉假性动脉瘤
	E.左颈部动静脉畸形
28、单项选择题
	结合图像,最可能的诊断为()
	A.淋巴瘤
	B.胃腺癌
	C.卵巢癌
	D.间皮瘤
	E.以上都不是
29、单项选择题 CT诊断椎间盘膨出的特征性表现是()
	A.椎间盘局限性超出椎体边缘
	B.椎间盘内示气体密度影
	C.椎间盘对称性、均匀一致地超出椎体边缘
	D.椎间盘后缘出现弧形钙化
	E.椎体终板边缘骨质增生
30、单项选择题
	男,55岁,左下腹胀痛、并可触及包块,结合图像,最可能的诊断为()
	A.结肠Crohn病
	B.结肠癌
	C.结肠腺瘤
	D.肠结核
	E.慢性溃疡性结肠炎
31、多项选择题 大叶性肺炎的CT征象包括()
	A.病变呈叶或段分布
	B.支气管充气征
	C.病变密度均匀,边缘平直
	D.实变肺叶体积与正常相等
	E.病灶可完全吸收消散
32、单项选择题 对于视网膜母细胞瘤,其首选检查方法为()
	A.B超
	B.MRI
	C.CT
	D.眼眶平片
	E.眼底荧光摄影
33、单项选择题
	患者为肾肉瘤,结合图像,在肌肉上有强化的病灶是()
	A.富血供的转移癌
	B.血管瘤
	C.动静脉畸形
	D.流动伪影
	E.以上都不是
34、单项选择题 CT与常规X线体层摄片比较,最主要的不同是()
	A.采用激光机相拍照
	B.无层面外组织结构干扰
	C.X线辐射剂量较小
	D.可使用对比剂增加
	E.以上均不是
35、单项选择题
男,58岁,上腹部剑突下胀痛3个月余,近期症状加重,伴消瘦、乏力及柏油样便,无黄疸。体检发现左锁骨上两个肿大淋巴结,无压痛,可移动。肝脾肋下未触及。上腹部CT图像如下
	

	A.经淋巴结转移首先可分别转移到幽门上组、下组,胃上组或脾胰组
	B.可通过胸导管转移到肺门淋巴结或左锁骨上淋巴结
	C.通过门静脉转移到肝内十分常见
	D.肺、骨转移较常见
	E.晚期可种植于腹膜、卵巢或直肠陷凹上
36、单项选择题 女性,39岁,右眼球向外下突出3个月,伴复视。CT显示:右侧额窦扩大,腔内见软组织密度影,骨壁变薄,右眼球受压移位。最可能的诊断为()
	A.额窦黏液囊肿
	B.额窦骨纤维异常增殖症
	C.额窦黏膜下囊肿
	D.慢性额窦炎
	E.额窦癌
37、单项选择题 脑脓肿CT表现第三期脓肿壁形成早期是()
	A.4~5天
	B.5~8天
	C.8~10天
	D.10~14天
	E.14~18天
38、多项选择题
	男,35岁,1个月前开始间歇性发热,咳嗽,足部肿胀,伴颈静脉怒张,X线、CT检查如图,正确的描述或诊断是()
	A.X线示心影增大
	B.CT示心包内见软组织肿块影
	C.CT示心包弥漫性增厚,未见钙化影
	D.考虑原发性心包间皮瘤
	E.考虑为心包炎
39、单项选择题 颅咽管瘤呈囊性时,需与下列哪种疾病相鉴别()
	A.星形细胞瘤
	B.巨大动脉瘤
	C.血管母细胞瘤
	D.生殖细胞瘤
	E.蛛网膜囊肿
40、单项选择题 耳部CT冠状位扫描技术不包括()
	A.扫描体位选用颌顶位或顶颌位
	B.冠状扫描,常用70°与105°断面
	C.70°冠状位扫描,其断面平行于枕骨斜坡长轴方向,X线与听眶线夹角呈70°
	D.105°冠状扫描,其断面平行于上颌窦后缘或垂直于蝶骨平板
	E.105°冠状扫描平面与听眶线夹角呈150°
41、单项选择题
	50岁,男,右侧胸痛、咳嗽、咯血3月,结合图像,最可能的诊断是()


	A.纵隔肿瘤
	B.肺结核
	C.肺癌
	D.胸膜间皮瘤
	E.韦格肉芽肿
42、多项选择题
	女,6个月,CT扫描如图所示,下列说法正确的是()
	A.双侧肾盂积水
	B.双侧肾门朝向前内方
	C.双肾下极融合
	D.考虑为异位肾
	E.考虑为马蹄肾
43、单项选择题
	男,32岁,髋部疼痛,结合图像,最可能的诊断是()
	A.多发性骨软骨瘤
	B.转移性骨肿瘤
	C.多发性软骨瘤
	D.血管瘤
	E.骨肉瘤
44、单项选择题
	女,28岁,右侧大腿疼痛2月余,夜间加重,服用水杨酸类药物可缓解疼痛,结合影像学检查,最可能的诊断是()
	A.骨样骨瘤
	B.骨肉瘤
	C.慢性硬化性骨髓炎
	D.尤文肉瘤
	E.骨髓瘤
45、单项选择题 脑室内占位病变较为特征的CT表现为()
	A.单侧脑室扩大
	B.双侧脑室扩大
	C.脑室呈杯口状扩大
	D.脑室移位
	E.中线结构移位轻
46、单项选择题
	男,26岁,肘部红、肿、热、痛,疼痛呈搏动感,结合图像,最可能的诊断是()
	A.脂肪瘤
	B.脂肪肉瘤
	C.软组织脓肿
	D.血管瘤
	E.淋巴管瘤
47、多项选择题 慢性血吸虫肝病CT检查可发现()
	A.线状肝包膜下钙化
	B.团块状汇管区钙化
	C.地图样肝内钙化
	D.双轨样肝内钙化
	E.线状肠壁来源:91考试网 www.91exAm.org钙化
48、单项选择题
	女,34岁,右上腹痛,有发热,白细胞计数升高,CT检查如图,最可能的诊断是()
	A.胆管细胞癌
	B.肝血管瘤
	C.肝脓肿
	D.肝局灶性结节增生
	E.肝转移癌
49、单项选择题 用肺窗观察肺内病灶,常用的窗宽窗位的CT值范围应在()
A.150~200HU/40~60HU  
B.250~500HU/40~60HU  
C.700~1000HU/-50~0HU  
D.1000~2000HU/-500~-700HU  
E.3000~4000HU/-700~-1000HU
50、单项选择题 “小膀胱征”多见于()
	A.膀胱息肉
	B.膀胱结石
	C. 膀胱结核
	D.膀胱移行上皮癌
	E.急性膀胱炎
51、单项选择题
	女,59岁,右侧肩背部持续性隐痛1月余,夜间加重,结合影像学检查,最可能的诊断是()
	A.骨肉瘤
	B.骨巨细胞瘤
	C.骨转移瘤
	D.软骨肉瘤
	E.骨囊肿
52、单项选择题 多层螺旋CT的层厚最薄可达()
	A.0.5mm
	B.1mm
	C.1.5mm
	D.2mm
	E.2.5mm
53、单项选择题
女,45岁,右侧听力下降伴行走不稳2个月,根据所提供图像,最可能的诊断是()
	
	A.右侧脑膜瘤
	B.右侧胆脂瘤
	C.右侧皮样囊肿
	D.右侧神经纤维瘤
	E.右侧听神经瘤
54、多项选择题 急性咽部脓肿常表现为()
	A.椎前软组织一致性肿胀
	B.咽后壁软组织呈弧形膨隆
	C.可见骨质破坏,椎间隙变窄
	D.生理曲度变直或后突
	E.有时表现为环状强化
55、单项选择题 脑脓肿的CT表现分为四期,脓肿壁形成晚期是指发病()
	A.7天后
	B.14天后
	C.21天后
	D.28天后
	E.60天后
56、单项选择题
	如图所示,这两个时相提示()
	A.肾细胞癌
	B.动静脉瘘
	C.肾窦对比剂溢出
	D.以上都有可能
	E.以上都不是
57、单项选择题 螺旋CT扫描,在动脉增强早期,下述组织结构中,哪一项最早出现不均匀斑片状强化()
	A.胰腺
	B.脾脏
	C.肌肉
	D.肝脏
	E.腹主动脉
58、单项选择题 对于CT诊断颈椎创伤,错误的是()
A.发现横突骨折,即可诊断椎动脉损伤  
B.对于环椎骨折,CT在显示骨折片和移位方面优于X线平片  
C.对环枢椎脱位不但应注意前脱位,还应注意旋转脱位  
D.CT在显示骨折的同时,可显示硬膜囊受压的情况  
E.了解齿状突与前结节的关系,有助于判断脊髓损伤程度
59、单项选择题
	CT示房间隔见一椭圆形低密度影,CT值约为-300HU,最可能的诊断是()
	A.血栓
	B.淀粉样变
	C.脂肪瘤
	D.房间隔缺损
	E.心脏转移瘤
60、单项选择题 头颅CT所示与肿瘤无关的是下列哪项()
	A.中线结构移位
	B.脑水肿
	C.颅骨吸收或破坏
	D.脑沟增宽加深
	E.脑积水
61、多项选择题 股骨头缺血坏死的CT表现为()
	A.星状征消失
	B.点片状密度增高影
	C.球钩形
	D.双边征
	E.股骨头碎裂
62、多项选择题 下列关于假性主动脉瘤的描述,正确的为()
	A.平扫显示瘤体与主动脉关系密切
	B.瘤体可呈圆形或椭圆形
	C.瘤体较大可压迫主动脉
	D.瘤体及主动脉壁可见钙化
	E.增强扫描可见“狭颈”
63、单项选择题 腔隙性脑梗死的大小一般是()
	A.小于2mm
	B.2~15mm
	C.15~20mm
	D.20~25mm
	E.大于25mm
64、多项选择题 应与葡萄膜黑素瘤鉴别的疾病有()
	A.原始玻璃体增生症
	B.脉络膜转移瘤
	C.脉络膜剥离
	D.Coats病
	E.脉络膜血管瘤
65、单项选择题 关节感染性病变的定性诊断应依据的方法为()
	A.MRI
	B.CT
	C.关节液培养
	D.X线平片
	E.超声成像
66、单项选择题
	男,28岁,无意中发现左下颌骨较对侧隆起,CT如图所示,最可能的诊断是()
	A.下颌骨齿釉细胞瘤
	B.下颌骨巨细胞瘤
	C.下颌骨角化囊肿
	D.下颌骨根端囊肿
	E.下颌骨含牙囊肿
67、单项选择题 弥漫性脂肪肝残留的肝岛,常见于()
	A.胆囊床附近
	B.右后叶第VI、VⅡ段
	C.肝尾状叶
	D.左叶外侧段
	E.以上都不是
68、单项选择题 关于骶骨脊索瘤CT表现的描述,错误的是()
	A.溶骨性破坏
	B.囊实性混杂密度,可有钙化
	C.增强扫描肿瘤轻度至中度强化
	D.易于转移瘤鉴别
	E.向外生长形成软组织肿块
69、单项选择题 两肺血减少,肺动脉段突出,两肺动脉干不对称,左侧粗,右侧细,见于哪种心脏病()
	A.法洛四联征
	B.动脉导管未闭
	C.原发性肺动脉高压
	D.肺动脉瓣狭窄
	E.高位室间隔缺损
70、单项选择题 正常成人腰椎侧隐窝前后径是()
	A.>2mm
	B.>3mm
	C.>4mm
	D.>5mm
	E.>6mm
71、单项选择题 儿童四脑室内占位性病变,呈“塑形”或“钻孔”样生长,首先考虑()
	A.脉络丛乳头状瘤
	B.表皮样囊肿
	C.淋巴瘤
	D.生殖细胞瘤
	E.室管膜瘤
72、单项选择题
	患者食道部分切除术后,影像检查如图,最可能的诊断是()
	A.脓肿
	B.正常术后改变
	C.肌肉坏死
	D.纤维神经瘤
	E.淋巴瘤
73、单项选择题 下面对胸部CT扫描技术叙述错误的是()
	A.患者仰卧、头先进
	B.有时为了区别少量胸水与胸膜肥厚,可以改为俯卧位
	C.常规胸部CT扫描采用螺旋扫描,层厚5mm,间隔5mm
	D.扫描基线从肺尖开始
	E.常规扫描一个胸部前后正位像做定位像
74、单项选择题 子宫体癌病理上最常见的是()
	A.子宫内膜腺癌
	B.未分化癌
	C.鳞腺癌
	D.腺棘癌
	E.鳞状上皮癌
75、单项选择题 2岁女性,右侧眼突1个月。CT示右眼球内团块状钙化。视神经增粗,周围有软组织密度阴影,最可能的诊断是()
	A.脑膜瘤
	B.甲状腺性突眼
	C.黑色素瘤
	D.视网膜血管瘤
	E.视网膜母细胞瘤
76、单项选择题
	根据所提供的图像,可除外下列哪种诊断()
	A.十二指肠癌
	B.胃肠道间质瘤
	C.十二指肠溃疡
	D.淋巴瘤
	E.以上都不是
77、单项选择题 下列哪项CT技术,对肾盏旁囊肿的诊断与鉴别诊断有重要价值()
	A.薄层扫描
	B.窄窗技术
	C.冠状面重建图像
	D.螺旋扫描
	E.增强扫描
78、单项选择题 男,30岁,头颅外伤5小时,CT轴位平扫示左额骨骨折,头皮血肿,额顶部双凸形不均匀高密度,中线结构右移,最可能的诊断为()
	A.急性硬膜外血肿 
	B.急性硬膜下血肿 
	C.急性脑血肿伴硬膜外血肿 
	D.脑挫裂伤伴硬膜下血肿 
	E.亚急性硬膜下血肿
79、多项选择题 CT的硬件构成包括()
	A.扫描架
	B.X线发生器
	C.数据采集系统
	D.数据处理系统
	E.检查床
80、单项选择题
	男,12岁,发热、右上腹痛、压痛,影像检查如图,最可能的诊断是()
	A.肝脓肿
	B.膈下脓肿
	C.肝包膜下出血
	D.包裹性腹腔积液
	E.肝硬化肝水
81、单项选择题
	成人,外伤后1小时,CT检查如图,最可能的诊断为()
	A.脑出血
	B.脑膜瘤
	C.脑转移瘤
	D.脑挫裂伤
	E.钙化灶
82、单项选择题 关于鼻咽癌CT扫描技术,描述错误的是()
	A.常规平扫
	B.扫描范围上至蝶鞍、下至第三颈椎下缘
	C.颅底部分的图像应加骨窗
	D.图像显示一般采用软组织窗
	E.常规平扫+增强
83、多项选择题 关于泪腺混合瘤,下列说法正确的是()
	A.占泪腺上皮性肿瘤的50%
	B.80%为良性,20%恶性
	C.泪腺肿瘤中最常见的一种
	D.肿瘤组织只起源于泪腺上皮组织的内层
	E.瘤内不会见到软骨及骨化
84、单项选择题 指出下列描述中,哪项不属于软组织血管瘤的CT典型表现()
	A.软组织内有钙化的静脉石影
	B.增强效应显著
	C.附近骨骼可有改变
	D.软组织内可有环形或斑点状钙化
	E.平扫呈不均匀低密度影像
85、单项选择题 下列关于假囊肿型腹膜后脂肪肉瘤的描述,正确的是()
	A.肿瘤坏死液化形成类似水密度
	B.肿瘤中的黏液性组织成分类似水密度
	C.脂肪组织的部分容积效应类似水密度
	D.是各型中分化程度最低的脂肪肉瘤
	E.以上都不对
86、单项选择题 下列哪项不是引起输尿管梗阻的常见原因()
	A.输尿管结石
	B.输尿管肿瘤
	C.输尿管炎性狭窄
	D.下腔静脉后输尿管
	E.输尿管结核
87、多项选择题 关于鞍上池横断面解剖部位正确的是()
	A.池内前部有"V"字形交叉
	B.位于两个颅中窝之间
	C.五角形的鞍上池左缘邻接大脑脚
	D.鞍上池可呈"五角形"或"六角形"
	E.鞍上池的后角位于后缘中央,为脚间池
88、单项选择题
	女,34岁,咳嗽,腰背疼痛二年,CT检查如图,最可能的诊断是()
	A.结核性脓肿
	B.囊肿
	C.淋巴管瘤
	D.卵巢囊肿
	E.卵巢囊腺瘤
89、单项选择题 下述哪项不符合肾细胞癌的CT表现()
	A.单侧多见
	B.“快进快出型”强化
	C.瘤内可出血、坏死、囊变,但无钙化
	D.CT平扫呈等密度或略低密度
	E.有假包膜
90、单项选择题
	女,69岁,阵发性腹痛伴恶心呕吐7h,10年前因右侧腹股沟斜疝行手术治疗,因急性肠梗阻行CT扫描如图,最可能的诊断是()
	A.急性肠梗阻
	B.股疝
	C.腹外斜疝
	D.半月线疝
	E.闭孔疝
91、单项选择题 下列关于肝静脉的描述错误的是()
	A.肝静脉包括肝左、中、右静脉
	B.肝静脉包括肝左、中、右静脉,肝右后静脉和尾状叶静脉
	C.肝左、中、右静脉出肝处称为第二肝门
	D.肝右后下静脉和尾状叶静脉出肝处称为第三肝门
	E.第二和第三肝门是相互移行的
92、单项选择题
	男,56岁,咳嗽,咯血1月余,有吸烟史30余年,结合CT检查,最可能的诊断是()
	A.肺结核
	B.肺炎
	C.结节病
	D.肺错构瘤
	E.中央型肺癌
93、单项选择题 CT平扫时,正常脑灰质的CT值为()
	A.20HU
	B.25~32HU
	C.0~10HU
	D.30~40HU
	E.50~70HU
94、单项选择题 肝转移癌“靶征”外晕环的病理基础是()
	A.液化坏死
	B.纤维结缔组织形成和凝固性坏死
	C.生长活跃的肿瘤细胞和细胞坏死
	D.脂肪浸润
	E.肿瘤出血
95、单项选择题 静脉注射对比剂后,CT扫描不出现环状增强的病变是()
	A.脑脓肿晚期
	B.恶性胶质瘤
	C.转移癌
	D.慢性颅内血肿
	E.松果体细胞瘤
96、单项选择题 腹部CT扫描患者的准备工作中,与图像的清晰度最有关的是()
	A.呼吸屏气训练
	B.禁食
	C.碘过敏试验
	D.1:3服1%~2%泛影葡胺500ml
	E.胃肠道清洁
97、单项选择题 脑出血CT水肿高峰发生于发病后()
	A.12小时
	B.24小时
	C.72小时
	D.4~6天
	E.10天左右
98、单项选择题
	女,47岁,曾患乙肝,现右上腹及肝区疼痛、腹胀,消瘦乏力半月,AFP阳性,CT扫描如图,最可能的诊断是()
	A.肝癌
	B.肝血管瘤
	C.肝脓肿
	D.肝转移癌
	E.肝包虫病
99、单项选择题 有关脏器组织增强形式与机理,错误的论述是()
	A.对比剂进入血管和细胞外腔隙是组织增强的原因
	B.血流量越大,脏器增强效应越不明显
	C.当细胞间质内含碘量最高时,受检器官浓度最大
	D.异常组织的增强往往低于周围正常组织
	E.大血管增强必须在注入对比剂后立即扫描
100、单项选择题 小肝血管瘤与小肝癌的鉴别主要点是()
	A.平扫时血管瘤多呈等密度
	B.增强后动脉期小肝癌整个病灶强化
	C.小血管瘤没有假包膜
	D.延迟扫描血管瘤缩小或等密度充填
	E.以上都不是
101、单项选择题
男,59岁,右眼视力缺陷,结合图像,最可能的诊断是()
	
	A.脑室内脑膜瘤
	B.脑室内囊肿
	C.脑膜炎
	D.松果体瘤
	E.脑转移瘤
102、单项选择题
	男,26岁,转移性右下腹痛,麦氏点压痛、反跳痛,结合CT图像,最可能的诊断是()
	A.盲肠炎
	B.阑尾炎合并结石
	C.阑尾脓肿
	D.阑尾憩室炎
	E.正常阑尾
103、单项选择题 患儿,男,15岁,反复鼻血1年,CT示翼腭窝软组织肿块,压迫上颌窦后壁弯曲前移,增强扫描明显强化,应诊断为()
	A.淋巴瘤
	B.神经鞘瘤
	C.副节瘤
	D.鼻咽癌
	E.鼻咽纤维血管瘤
104、单项选择题 移行细胞癌最好发的部位是()
A.肾小盏  
B.肾盂  
C.肾实质  
D.输尿管  
E.膀胱
105、多项选择题
	女,38岁,左腰部胀痛不适,CT平扫+增强如图所示,下列说法正确的是()
	A.平扫时可见左肾一类圆形囊性病灶
	B.病灶边界清晰,表面光整
	C.增强扫描皮质期和实质期该病灶均未见强化
	D.考虑为左肾囊性肾癌
	E.考虑为左肾囊肿
106、单项选择题 曝光时,X线管和探测器不动,而床带动病人动,称其()
	A.增强扫描
	B.定位扫描
	C.连续扫描
	D.动态扫描
	E.重叠扫描
107、单项选择题 胰头癌时CT影像中出现的"双管征"同时增宽、扩张是指()
	A.门静脉和肝动脉
	B.肝内胆管和胆总管
	C.胆总管和胰腺导管
	D.胰导管和肝内胆管
	E.脾静脉和肠系膜上静脉
108、单项选择题
	男,56岁,下腹疼痛、大便潜血阳性,结合图像,最可能的诊断是()
	A.直肠息肉
	B.直肠癌
	C.直肠腺瘤
	D.直肠间质瘤
	E.直肠淋巴瘤
109、多项选择题 下腔静脉受肝癌侵犯和癌栓形成CT表现()
	A.管腔不规则狭窄 
	B.完全被肿瘤包绕 
	C.腔内充盈缺损 
	D.下腔静脉不显影 
	E.可以继发奇静脉扩张
110、单项选择题 成人最常见的肾肿瘤是()
	A.血管平滑肌脂肪瘤
	B.肾盂癌
	C.肾腺瘤
	D.肾母细胞瘤
	E.肾细胞癌
111、单项选择题
	男,42岁,头痛、恶心半年余,逐步加重,右侧肌力减弱,CT检查如图,最可能的诊断是()
	
	A.脑膜瘤 
	B.胶质瘤 
	C.转移瘤 
	D.畸胎瘤 
	E.室管膜瘤
112、多项选择题 CT诊断脊椎结核的优于X线平片的表述中,正确的为()
	A.容易显示轻微的骨质破坏
	B.容易显示轻微的椎间隙狭窄
	C.容易显示椎旁脓肿
	D.容易显示椎管是否受累
	E.增强扫描可以显示椎旁脓肿有环形强化
113、单项选择题 CTAP检查时,导管应置于()
	A.腹腔动脉内
	B.肝动脉内
	C.肠系膜上动脉或脾动脉内
	D.门静脉内
	E.肠系膜上静脉内
114、多项选择题 目前CT常用的检测器不包括()
A.晶体管检测器  
B.液体检测器  
C.绝缘体检测器  
D.气体检测器  
E.闪烁检测器
115、单项选择题
	男,12岁,手指细长,手臂弯曲,全身多发骨折,蓝色巩膜,结合图像,最可能的诊断是()


	A.马方综合征
	B.成骨不全
	C.软骨发育不全
	D.石骨症
	E.特发性骨质溶解症
116、单项选择题 下列关于胰腺癌的描述,错误的是()
	A.大多数肿块边界不清
	B.起源于腺管或腺泡细胞
	C.胰头瘤以围管浸润方式侵犯总胆管
	D.常形成乳头状息肉突入总胆管内
	E.胰腺癌较其他肿瘤转移早
117、单项选择题 腰椎间盘突出症直接CT征象是()
	A."局限性"软组织影
	B.硬膜囊前缘受压
	C.硬膜囊外脂肪间隙消失
	D.神经根肿胀
	E.反应性骨质硬化
118、单项选择题
	女,23岁,胸闷、气促1个月余,左侧锁骨上触及无痛性肿大淋巴结。胸部CT增强扫描片如图,最可能的诊断为()
	A.淋巴瘤
	B.肺动脉栓塞
	C.右上肺肺癌
	D.非侵袭性胸腺瘤
	E.结节病
119、单项选择题
	女,58岁,背部隐痛2月余,1年前行乳癌根治术,结合影像学检查,最可能的诊断()
	A.脊椎结核
	B.脊膜瘤
	C.神经鞘瘤
	D.室管膜瘤
	E.脊柱转移瘤
120、单项选择题 临床疑肝左叶病变,轴位扫描显示不理想,应变换()
	A.冠状位
	B.矢状位
	C.左侧卧位
	D.右侧斜位
	E.俯卧位或右侧卧位
121、单项选择题 牙髓塑化治疗时,拔髓的要求为()
	A.尽量去净根髓
	B.保留根尖1/3根髓
	C.保留根尖1/2根髓
	D.不拔除根髓
	E.要穿透根尖孔
122、单项选择题 以下属于气肿性肾盂肾炎CT表现的是()
	A.肾外形增大
	B.肾功能明显减退或丧失
	C.肾实质多处破坏
	D.肾内及肾周弥漫性气体与低密度软组织影并存,肾筋膜增厚
	E.以上均对
123、多项选择题
	女,64岁,左侧腰部胀痛,行CT扫描,如图所示,下列说法正确的是()
	A.左肾区可见一巨大的占位性病灶,境界较清楚,胰腺尾部受压向前推移
	B.该病灶密度不均匀,其内可见脂肪密度影,且呈不均匀强化
	C.考虑为左肾来源的血管平滑肌脂肪瘤
	D.考虑为左侧肾上腺来源的髓样脂肪瘤
	E.考虑为腹膜后来源的脂肪肉瘤
124、多项选择题 有关肝硬化的CT表现,正确的是()
	A.肝左叶及尾状叶增大较为常见
	B.肝实质密度一般与正常肝无明显变化
	C.肝表面凹凸不平,肝缘变钝
	D.肝硬化再生结节CT动态增强扫描无强化
	E.胃底部可见小球形或扭曲的绦虫样影
125、单项选择题 吸入性肺脓肿的好发部位是下列哪项()
	A.上叶尖段
	B.上叶后段或下叶背段
	C.左舌叶
	D.右中叶
	E.双下肺
126、单项选择题
	女,35岁,7月前无诱因出现左下肢阵发性疼痛,左骶髂部活动受限,进行性加重,排便困难,根据所提供的图像,最可能的诊断是()
	A.脊索瘤
	B.软骨肉瘤
	C.骨巨细胞瘤
	D.转移瘤
	E.滑膜肉瘤
127、单项选择题 脊索瘤好发于()
	A.颅骨
	B.胸椎
	C.颈椎
	D.骶椎
	E.腰椎
128、单项选择题
	患者,男,56岁,无明显诱因突然咯血入院,作CT检查如图,病变的肺叶(段)定位应为()
	A.右肺下叶内基底段
	B.右肺上叶尖、后段
	C.右肺中叶
	D.右肺上叶前段
	E.右肺下叶后基底段
129、单项选择题 下列哪项不是肾上腺腺瘤的CT表现()
	A.密度均匀的类圆形实性肿块
	B.边缘光滑清晰与肾上腺相连
	C.常可见条或斑片状钙化
	D.常因含有脂类而呈低密度
	E.增强扫描呈轻度强化
130、单项选择题
	根据所提供的图像,患者右下象限病灶的最可能的诊断为()
	A.阑尾炎
	B.阑尾脓肿
	C.盲肠癌
	D.盲肠癌并阑尾梗阻
	E.以上都不是
131、单项选择题
	男,32岁,左侧下颌部肿块,CT如图所示,最可能的诊断是()

	A.造釉细胞瘤
	B.颌骨囊肿
	C.鳃裂囊肿
	D.颈部淋巴管瘤
	E.舌下腺囊肿
132、单项选择题
一养鸽女,48岁,发热,咳嗽,咳脓痰带血半月余,结合CT检查,最可能的诊断是()
	
	A.原发性肺结核
	B.肺曲菌病
	C.肺癌
	D.间质性肺炎
	E.支气管扩张
133、多项选择题
	男,29岁,反复发作血尿1年余,CT如图所示,下列说法正确的是()
	A.左侧肾盂扩张积水
	B.左侧输尿管扩张
	C.左侧输尿管末端,膀胱入口处可见高密度影
	D.左输尿管结石
	E.膀胱结石
134、单项选择题
	女,40岁,右眼反复溢泪伴眼球渐进性突出2年余,眼球运动受限,CT检查如图所示,最可能的诊断是()
	A.泪腺囊肿
	B.泪囊囊肿
	C.泪腺血肿
	D.泪囊血肿
	E.眶内结核
135、单项选择题 在化脓性鼻窦炎的CT征象中不应包括()
	A.鼻甲肥大,鼻窦黏膜增厚
	B.如黏膜水肿显著则可呈分叶状息肉样肥厚
	C.增厚的黏膜多与窦壁垂直
	D.窦内分泌物潴留,呈现气液平面,可随体位变动
	E.窦壁骨质硬化增厚
136、单项选择题 关于胆管细胞癌,下列描述哪项不对()
	A.多数患者AFP阴性
	B.肝硬化发生率比原发性肝癌高
	C.局限性肝内胆管扩张
	D.居肝脏原发性恶性肿瘤第二位
	E.可有小的不规则钙化
137、单项选择题 关于面神经管第二段表述,错误的是()
	A.又称水平段
	B.也称为迷路段
	C.位于中耳内
	D.位于外半规管以下
	E.冠状位CT上可以显示
138、单项选择题
	胃壁增厚,结合图像,该病例的鉴别诊断包括()
	A.淋巴瘤
	B.腺癌
	C.转移
	D.以上都是
	E.以上都不是
139、单项选择题 男,40岁,CT平扫肝脏密度大片减低,肝内血管清晰呈较高密度,其分布走行规则,多考虑()
	A.肝癌
	B.重度脂肪肝
	C.肝硬化
	D.肝血管瘤
	E.不能做出初步诊断
140、多项选择题 良、恶性胸膜间皮瘤的鉴别()
	A.胸膜增厚伴大量胸水,多为恶性
	B.纵隔胸膜增厚一起形成环形增厚包绕肺组织,多为恶性
	C.胸膜明显增厚超过2cm时几乎都是恶性
	D.胸膜增厚呈结节状或肿块状多为恶性
	E.纵隔固定无移位,多为恶性
141、单项选择题
	女,57岁,颈部不适,CT如图所示,最可能的诊断是()
	A.咽囊囊肿
	B.鳃裂囊肿
	C.甲状舌管囊肿
	D.颈部淋巴管瘤
	E.颈部神经鞘瘤
142、单项选择题
	男,53岁,腰骶部持续性隐痛,可扪及肿大包块3月余,结合影像学检查,最可能的诊断是()
	A.骨巨细胞瘤
	B.骨肉瘤
	C.骨囊肿
	D.脊索瘤
	E.骨脓肿
143、多项选择题 肺泡微石症的CT表现包括()
	A.弥漫对称性分布的小结节钙化影
	B.蝶翼状浸润性阴影
	C.胸膜下肺表面线状钙化影
	D.胸膜下肺大泡
	E.网状条索影
144、多项选择题 肝静脉阻塞(Budd-Chiari)综合征CT表现()
	A.肝弥漫性肿大
	B.可有肝区域性密度不均
	C.肝段下腔静脉阻塞
	D.常见肝静脉扩张
	E.增强后可见脐静脉增粗
145、单项选择题
	男,32岁,偶然发现有高血压,结合所示图像,最可能的诊断是()
	A.双侧肾动脉瘤
	B.双侧假性肾动脉瘤
	C.双侧肾动脉出血血肿形成
	D.双侧肾动脉狭窄
	E.双侧肾动脉夹层动脉瘤
146、单项选择题
	根据所提供的图像,该病例最可能的诊断为()
	A.溃疡性结肠炎
	B.缺血坏死性结肠炎
	C.巨细胞包涵体病毒感染性结肠炎
	D.结肠癌
	E.淋巴瘤
147、单项选择题 颧弓平面以下是()
	A.颞下窝
	B.颞窝
	C.翼腭窝
	D.蝶额孔
	E.咽旁间隙
148、单项选择题 胸部CT常规为仰卧位,需同时采用俯卧位的是()
	
	A.肺癌的分期诊断
	B.观察肺内肿物形态
	C.测量肺内病变大小
	D.了解胸水流动性
	E.对肺弥漫性病变观察
149、单项选择题 下列何种疾病不属于肾先天性发育异常()
	A.异位肾 
	B.孤立肾 
	C.肾囊肿 
	D.游走肾 
	E.融合肾& nbsp;
150、多项选择题 MSCT心脏检查的后处理技术包括()
	A.冠状动脉钙化积分
	B.多平面重组
	C.最大密度投影
	D.容积再现
	E.心功能测量技术
151、单项选择题 临床怀疑蛛网膜下腔出血应采用以下哪种扫描方式()
	A.增强扫描
	B.平扫
	C.快速CT扫描
	D.灌注扫描
	E.动态扫描
152、单项选择题 男,18岁,CT扫描发现脊柱旁软组织肿块,邻近椎体骨质压迫吸收,增强扫描肿瘤内可见低密度区,首先考虑的诊断是()
	A.椎旁血管瘤
	B.椎旁神经纤维瘤
	C.血肿机化
	D.转移瘤
	E.淋巴瘤
153、多项选择题 应与继发性胆脂瘤鉴别的疾病有()
	A.结核性乳突炎
	B.中耳癌
	C.真性胆脂瘤
	D.嗜酸性肉芽肿
	E.慢性肉芽肿性乳突炎
154、多项选择题 脑结核瘤的病理改变包括下述哪些()
	A.常位于血运丰富的白质内
	B.呈结节状或分叶状,大小2~6cm
	C.外围为纤维膜,中间有干酪坏死物质
	D.少数有钙化,形成脓液者极少
	E.周围炎性细胞少,但有星形细胞增生
155、单项选择来源:91 考试网题 胸导管经何横膈裂孔进入胸腔?()
	A.下腔静脉孔
	B.胸腹裂孔
	C.主动脉裂孔
	D.食管裂孔
	E.胸导管裂孔
156、单项选择题 大动脉炎是一种()
	A.以内膜损害为主的非特异性内层动脉炎
	B.以中膜损害为主的非特异性中层动脉炎
	C.以外膜损害为主的非特异性外层动脉炎
	D.以中膜损害为主的非特异性全层动脉炎
	E.以全层损害为主的非特异性全层动脉炎
157、多项选择题
	女,28岁,阴道有异常液体流下,CT和MRI扫描如图,下列说诊断正确的是()
	 
	A.CT增强示对比剂由膀胱进入阴道
	B.MRI的T2加权像示宫颈阴道内有大片状高信号影
	C.膀胱后下缘可见鸟嘴状突起
	D.考虑为左侧输尿管异位开口
	E.考虑为膀胱阴道瘘
158、单项选择题
	女性,21岁,上切牙后方发现一囊性突起1年,无明显疼痛。CT表现如下图所示,最可能的诊断为()
	A.上颌骨含牙囊肿
	B.上颌骨造釉细胞瘤
	C.牙根囊肿并感染
	D.腭正中囊肿
	E.始基囊肿
159、单项选择题 下列关于主动脉夹层描述错误的是()
	A.平扫时不易发现内膜瓣
	B.增强扫描通常可见主动脉内两个腔
	C.真腔通常小于假腔
	D.CT容易显示内膜破裂口
	E.多数可见主动脉扩张
160、多项选择题 幕上良性Ⅰ、Ⅱ级星形细胞肿瘤影像CT征象为()
	A.约1/4的病例侧有钙化
	B.大多数表现为脑内混合密度病灶
	C.肿瘤边界大多数清楚
	D.增强扫描Ⅰ级星形细胞的肿瘤多无明显变化
	E.90%瘤周出现水肿
161、多项选择题 常见的咽旁间隙肿瘤有()
	A.神经鞘膜瘤
	B.脂肪瘤
	C.血管瘤
	D.混合瘤
	E.淋巴瘤
162、单项选择题 CT摄片与常规X线摄片相同之处是()
	A.曝光方式 
	B.胶片类型 
	C.照片冲洗 
	D .灰度调节 
	E.图像格式
163、单项选择题 关于骨纤维异常增殖症的描述正确的是()
	A.骨增生肥厚、髓腔闭塞,皮质变薄,呈硬化、囊状或混合型改变
	B.可致视神经管扩大
	C.多见于中老年
	D.常为双侧,也可为单侧
	E.眶窝变大、变形
164、多项选择题
	男,62岁,因排尿困难2年,加重伴二段排尿1月,CT扫描如图,下列说法正确的是()
	A.膀胱后方可见多个囊性病灶
	B.病灶壁薄,其囊内容物CT值与膀胱内尿液相同
	C.增强后延迟扫描可见病灶内对比剂充盈,与膀胱之间可见一孔状通道
	D.考虑为膀胱憩室
	E.考虑为盆腔囊肿
165、单项选择题 肝转移癌少血供者常见表现为()
	A.病理血管
	B.供血血管增粗
	C.血管受压弯曲
	D.肿瘤染色
	E.动静脉瘘
166、多项选择题 关于Dandy-Walker综合征的CT和MRI表现特征有()
	A.小脑蚓部缺如或体积变小
	B.第四脑室扩大
	C.枕大池扩大
	D.枕骨为薄
	E.第四脑室侧隐窝消失
167、单项选择题 眶内壁骨折的CT表现不包括()
	A.眶内容物向筛窦移位
	B.眼内直肌向眶内移位
	C.眶内可见积气眶内壁骨折的CT表现眼球发育异常永存原发玻璃体增生症
	D.眼内直肌疝入筛窦内
	E.筛窦密度增高
168、单项选择题 CT用含碘造影剂进行增强扫描,关于碘过敏反应,下列哪项不对()
	A.用同一批号造影剂做过敏试验
	B.属过敏体质的患者,应用前可给以一定量的抗过敏药
	C.碘过敏试验阴性则不会发生碘过敏反应
	D.检查室应备足抢救设备和药品
	E.多见于血管内给药
169、单项选择题 CT的管电流一般在()
	A.10~100mA
	B.20~200mA
	C.30~200mA
	D.40~200mA
	E.50~300mA
170、单项选择题 女,30岁,闭经,溢乳1年。CT检查技术采用()
	A.头颅轴位平扫
	B.头颅冠状位平扫
	C.蝶鞍矢状位增强扫描
	D.蝶鞍冠状位薄层增强扫描
	E.蝶鞍矢状位薄层增强扫描
171、单项选择题 有关CT球管预热的论述,错误的是()
A.每日开机后首先对CT机球管预热  
B.球管预热时管电压由低逐渐升高  
C.球管预热使球管内真空度提高  
D.开机后3小时没作病人亦应重新预热  
E.球管预热增加了曝光次数,不利于保护球管
172、判断题 CT用于大叶性肺炎检查的目的一是发现空洞,二是鉴别诊断。
173、单项选择题 肿块合并肺不张时,增强扫描的目的是为了()
	A.明确肿块血供来源
	B.显示肿块大小和边界
	C.观察纵隔淋巴结肿大
	D.了解支气管浸润程度
	E.更清楚显示肺不张边缘
174、单项选择题 放射性肺炎描述错误的是()
	A.放射野密度增高影
	B.肺纤维化
	C.不伴支气管扩张
	D.边缘平直
	E.纵隔移位
175、单项选择题
	男,56岁,间歇性血尿半年余,根据所示图像,最可能的诊断是()
	A.膀胱结石
	B.膀胱血块
	C.膀胱结核
	D.膀胱癌
	E.膀胱息肉
176、单项选择题 生殖细胞瘤与松果体瘤鉴别,最有利于生殖细胞瘤诊断的CT表现是()
	A.肿瘤在三脑室后部
	B.松果体钙化被肿瘤包埋
	C.松果体钙化受压移位
	D.松果体无钙化
	E.梗阻性脑积水
177、单项选择题 代表听眶线的英文缩写是()
	A.EML
	B.OML
	C.RBL
	D.SML
	E.TBL
178、多项选择题
	女,64岁,反复尿频尿急尿痛6年余,尿常规检查:红细胞(++),白细胞(++)。CT扫描如图示,下列说法正确的是()
	A.右侧输尿管下段管壁增厚,管腔狭窄
	B.右肾积水
	C.右侧输尿管上段扩张
	D.考虑为慢性输尿管炎
	E.考虑为输尿管移行细胞癌
179、单项选择题 指出下列中纵隔病变的CT鉴别要点:恶性淋巴瘤()
	A.非对称性淋巴结肿大
	B.气管旁囊状病灶
	C.块状病灶,常压迫上腔静脉
	D.对称性淋巴结肿大
	E.膨胀性搏动肿块
180、单项选择题 下列关于乳腺癌CT平扫哪项不正确()
	A.瘤体密度一般低于腺体密度
	B.CT值多为25~56HU
	C.肿瘤内有坏死液化后可出现低密度区
	D.明显显示肿瘤内的短杆状、泥沙样钙化
	E.累及胸壁者可见乳腺后间隙消失
181、多项选择题
	女,21岁,活动后呼吸困难,CT扫描如图,最可能的诊断是()
	A.肺静脉异位引流
	B.肺静脉异位引流根据引流肺静脉支数可分部分性及完全性
	C.根据引流部位不同分为心上型、心脏型、心下型
	D.该病例肺静脉异位引流入下腔静脉
	E.该病例为心下型肺静脉异位引流
182、单项选择题 对四肢进行CT扫描时,如何区分左右肢()
	A.双侧对比摆位
	B.包括邻近关节
	C.包括软组织
	D.采用连续扫描法
	E.输入注释标记
183、多项选择题 烟雾病CT平扫的表现有()
	A.蛛网膜下腔出血
	B.脑室缩小
	C.高密度病灶
	D.局部脑萎缩
	E.低密度病灶
184、单项选择题
	该新生儿右下肺团块,CT血管造影提示诊断为()
	A.假性囊肿
	B.肺隔离症
	C.肺炎
	D.动静脉畸形
	E.以上都不是
185、单项选择题 房间沟、后室间沟和冠状沟的交叉处称为()
	A.心房交点
	B.心室交点
	C.房室交点
	D.心房切迹
	E.以上都不是
186、单项选择题
	女,55岁,右上腹痛,消瘦乏力3月,结合图像,最可能的诊断是()
	A.肝血管瘤
	B.肝腺瘤
	C.肝癌
	D.肝脓肿
	E.肝转移癌
187、单项选择题 与高血压脑出血比较,脑淀粉样变性出血好发于()
	A.基底节
	B.皮层
	C.脑干
	D.脑室旁
	E.小脑
188、多项选择题 关于肾动脉CTA,哪些说法正确()
	A.属于CT扫描的特殊检查方法
	B.用于检查肾血管病变
	C.团注对比剂后约30秒进行容积扫描
	D.应用MPR进行多方位重建
	E.应用MIP、SSD、VRT对肾动脉进行3D重建
189、单项选择题 钙乳症肾囊肿一般出现在()
	A.肾小盏内
	B.多发性肾囊肿内
	C.肾盂源性囊肿内
	D.孤立性囊肿内
	E.肾锥体内
190、多项选择题 神经纤维瘤病的CT和MRI表现有()
	A.颅内单发或多发神经纤维瘤
	B.颅内有异常钙化
	C.伴发其他颅内肿瘤
	D.颅骨的发育异常
	E.脊柱骨质的发育异常
191、单项选择题 关于门静脉瘤栓的描述,错误的是()
	A.平扫时瘤栓密度与门静脉无大差异
	B.巨块型肝癌形成门静脉瘤栓的比例最高
	C.若门静脉分支直径大于主干,则提示分支有瘤栓形成
	D.增强扫描瘤栓呈低密度充盈缺损
	E.可向两端延伸至肝内和(或)肠系膜上静脉
192、单项选择题 急性硬膜下血肿指损伤后几天内()
	A.2天
	B.2周
	C.2小时
	D.>2周
	E.3天
193、单项选择题 以下关于对比剂副反应救治的论述哪项是错误的()
	A.对于对比剂副反应一般采用对症治疗
	B.症状不明显的轻度反应不必处理
	C.注射对比剂发生副反应时应注意保留静脉内的针头
	D.对于中度副反应病人的主要处理为留院观察
	E.重度副反应的病人在CT检查室及时处理后应尽快转科治疗
194、单项选择题 肥厚型心肌病的病理生理学改变包括()
	A.左室流出道梗阻;收缩功能异常
	B.左室流出道梗阻;心肌缺血
	C.心肌缺血;收缩功能异常
	D.右室流出道梗阻;舒张功能异常
	E.以上都不对
195、单项选择题 细支气管的直径为()
	A.2mm
	B.1.5mm
	C.0.25mm
	D.0.5mm
	E.1mm
196、单项选择题 关于腹膜壁层肿瘤,下列说法哪项是错误的()
	A.肿瘤沿腹膜面生长
	B.一般不形成腹腔积液
	C.呈板块状增厚
	D.瘤结节向腹腔内突起
	E.病变弥漫,常合并腹腔积液
197、单项选择题
	男,69岁,于1天前饮酒后突发左侧肢体无力,CT检查,最可能的诊断是()
	A.右侧基底节及顶枕叶多发梗死
	B.星形细胞瘤
	C.脑脓肿
	D.少枝胶质细胞瘤
	E.脑囊肿
198、单项选择题
	截瘫患者,影像检查如图所示,最可能的诊断是()
	A.骨肉瘤
	B.枪伤
	C.异位骨化
	D.骨髓炎
	E.转移瘤
199、单项选择题 女性,52岁,右上腹疼痛伴黄疸,CT平扫见肝左内叶及右前叶密度减低,肝内胆管轻度扩张,正常胆囊不显示,局部见与肝密度相似的软组织肿块影,最可能的诊断是()
	A.急性胆囊炎
	B.慢性胆囊炎
	C.胆囊结石
	D.肝癌
	E.胆囊癌
200、多项选择题 肝癌门脉癌栓的CT征象可表现为()
	A.受累血管扩张
	B.增强后癌栓呈低密度充盈缺损
	C.增强后可见管壁强化
	D.主干周围侧枝形成
	E.门脉高压加剧