时间:2018-08-22 13:06:51


1、多项选择题 滤线栅使用不当,会造成射线切割的是()
	A.栅斜置
	B.栅反置
	C.中心线纵向偏距
	D.中心线纵向倾角
	E.焦-片距与栅-焦距一致
2、多项选择题
	男,24岁,鼻部被击伤,如图所示,最可能的诊断是()
	A.鼻骨中段见透亮线影
	B.鼻骨远端稍塌陷
	C.鼻骨骨折处可见小骨片影向下方分离
	D.考虑为鼻骨线性骨折
	E.鼻骨粉碎性骨折
3、单项选择题 从肘静脉注入对比剂后,最迟到的是下列中的哪一部位()
	A.上腔静脉
	B.右心房
	C.左心室
	D.锁骨下静脉
	E.降主动脉
4、单项选择题
	女,79岁,双手肿块,疼痛,结合图像,最可能的诊断是()
	A.骨脓肿
	B.骨囊肿
	C.骨结核
	D.原发性肿瘤样钙质沉着症
	E.骨肉瘤
5、单项选择题 幼儿胸部正位摄片中心线应()
	A.经胸骨角垂直入射 
	B.经剑突垂直入射 
	C.经下颌角垂直入射 
	D.向足侧倾斜10° 
	E.向头侧倾斜10°
6、单项选择题 骨折后24小时内摄片时X线征象为()
	A.骨折邻近骨密度减低
	B.骨折线模糊
	C.骨痂
	D.平行型骨膜反应
	E.骨折线清晰、锐利
7、多项选择题 根据作用力的方式和骨折本身的情况,将骨折分为()
	A.创伤性骨折
	B.疲劳性骨折
	C.病理性骨折
	D.不稳定性骨折
	E.稳定性骨折
8、单项选择题
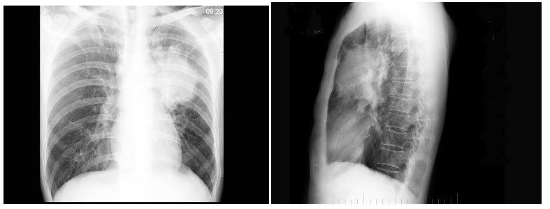
男,56岁,胸痛2月余,最近感右臂疼痛、活动受限,胸片如图,最可能的诊断是()
	

	A.右肺癌
	B.右上肺不张
	C.右肺上沟瘤
	D.右侧胸膜肥厚
	E.右肺结核
9、单项选择题
男,28岁,轻咳2个月,有盗汗。胸片如图
	
	A.痰细菌培养
	B.痰抗酸杆菌检查
	C.Kveim试验
	D.红细胞沉降率
	E.血常规
10、单项选择题 鼻窦中恶性肿瘤最多发生在()
	A.额窦
	B.前组筛窦
	C.后组筛窦
	D.上颌窦
	E.蝶窦
11、多项选择题 关于脊柱曲度变化的说法,哪些是正确的()
	A.腰肌劳损 
	B.脊柱创伤 
	C.椎间盘病变 
	D.强直性脊柱炎 
	E.脊柱结核
12、单项选择题 减少与抑制散射线的方法中,错误的是()
	A.降低管电压
	B.减小焦-片距离
	C.缩小照射野
	D.使用后盖贴有金属膜的暗盒
	E.正确使用遮线器
13、多项选择题 关于乳房脓肿切开引流,下列哪些是正确的()
	A.一般应作放射状切开
	B.乳晕下脓肿应沿乳晕边缘作弧形切口
	C.乳腺后脓肿可沿乳腺下缘作弧形切口
	D.脓腔较大时,可在脓腔的最低部位另加切口作对口引流
	E.以上都对
14、单项选择题 发生“碘过敏反应”的症状中,下列哪种最危险()
	A.面部潮红
	B.皮肤丘疹
	C.皮肤瘙痒
	D.喉头发痒
	E.喷嚏
15、单项选择题 下述骨肿瘤,哪项无多发倾向()
	A.转移瘤
	B.血管瘤
	C.骨母细胞瘤
	D.骨髓瘤
	E.软骨瘤
16、单项选择题
	男,24岁,中上腹痛,柏油样便,面色苍白,钡餐检查如图,可能的诊断为()
	A.胃癌
	B.胃溃疡伴良性狭窄
	C.平滑肌肉瘤
	D.胃间质瘤
	E.胃淋巴瘤
17、单项选择题 股骨干轴线与胫腓骨轴线的偏斜角度是()
	A.5° 
	B.10° 
	C.15° 
	D.20° 
	E.25°
18、单项选择题 眼球内细小玻璃碎片属于()
	A.不透性异物
	B.半透性异物
	C.透光性异物
	D.金属性异物
	E.磁性异物
19、单项选择题 ⅣP的简称是()
	A.腹部平片
	B.逆行性肾盂造影
	C.静脉性尿路造影
	D.膀胱造影
	E.尿道造影
20、多项选择题 关于X线防护原则,正确的是()
	A.合理降低个人受照剂量
	B.缩短受照时间
	C.建立屏蔽防护
	D.缩短照射距离
	E.合理降低全民X线检查频率
21、单项选择题 头颅平片用来确定颅内压增高的主要依据是()
	A.颅骨骨质吸收,脑回压迹增多
	B.蝶鞍改变,颅骨骨质吸收
	C.颅缝增宽,脑回压迹增多、增宽
	D.颅缝增宽,蝶鞍改变,脑回压迹增多、增宽
	E.颅缝增宽,颅骨骨质吸收
22、单项选择题 下列哪项不是佝偻病的X线征象()
	A.骺板先期钙化带不规则变薄、模糊
	B.干骺端增宽,中央部凹陷呈杯口状
	C.干骺端骨小梁稀疏、粗糙、紊乱呈毛刷状
	D.骺板先期钙化带向两旁突出于干骺端之外,形成骨刺样改变即骨刺征(Pelkan征)
	E.骨骺骨化中心出现延迟、密度低、边缘模糊
23、单项选择题 左心房增大的X线表现,下列哪项应除外()
	A.左心缘出现4个弓,第3弓特别突出
	B.降主动脉左移
	C.双心房或双心缘阴影
	D.心尖明显下移
	E.左主支气管受压抬高
24、单项选择题 桡骨小头半脱位是由于()
	A.尺侧副韧带松弛
	B.桡侧副韧带松弛
	C.桡骨环状韧带松弛
	D.尺骨环状韧带松弛
	E.以上均不是
25、单项选择题 颅骨骨髓瘤的典型X线表现为()
	A.溶骨性骨质破坏
	B.瘤骨形成
	C.葱皮样骨膜反应
	D.穿凿样骨质破坏
	E.放射状骨针
26、单项选择题
男,52岁,从事矿井工作32年,近几年出现气喘,呼吸困难,胸片如图,其最可能的诊断为()
	
	A.双肺浸润性结核
	B.双肺真菌感染
	C.两肺弥漫性间质性肺炎
	D.两肺弥漫性纤维化
	E.矽肺
27、单项选择题 控制电路最终控制的是()
	A.灯丝电路的通断
	B.电源电路的通断
	C.高压次级电路的通断
	D.高压初级电路的通断
	E.保护电路的通断
28、多项选择题 摄片条件选择中可变因素的叙述,正确的是()
	A.同厚度健康人的胸片,摄片条件一致
	B.病理因素对摄片条件的影响非常重要
	C.脂肪多的人需要增加照射量
	D.骨结核与慢性骨髓炎相比,需增加摄片条件
	E.组织构成比例是摄片条件选择的重要可变因素
29、多项选择题 下列哪些是肺炎性假瘤的X线特点()
	A.可发生于两肺的任何部位,以肺表浅部位多见
	B.形态不一,可呈圆形、椭圆形或类圆形
	C.多数直径在2~4cm,少数甚至大于10cm
	D.一般为中等密度,大多均匀
	E.可在数年之内无明显增大
30、单项选择题 下列关于纵隔囊肿的说法,错误的是()
	A.支气管囊肿壁的结构与支气管壁结构相同
	B.支气管囊肿常与支气管相通
	C.食管囊肿多见于婴儿和儿童
	D.食管囊肿远较支气管囊肿发病率低
	E.心包囊肿右侧较左侧多见
31、单项选择题
男,3岁,腕部变形,胸廓畸形,应诊断为()
	A.坏血病
	B.佝偻病
	C.粘多糖病
	D.克汀病
	E.脂质沉积病
32、单项选择题
	女,6个月,身体发育异常,眼巩膜呈蓝色,结合图像,最可能的诊断为()
	A.成骨不全
	B.粘多糖病
	C.软骨发育不全
	D.佝偻病
	E.侏儒症
33、单项选择题 左主支气管与气管中线成多少度角()
	A.10°~20°
	B.20°~30°
	C.30°~40°
	D.40°~55°
	E.50°~60°
34、单项选择题 关于“骨囊肿”的描述,不包括哪项()
	A.不跨越骺板
	B.股骨、肱骨、跟骨好发
	C.可为单房或多房囊肿
	D.局部骨皮质变薄,但不向外膨隆
	E.易发生病理性骨折
35、单项选择题 下列哪一项不是骨囊肿的特点()
	A.好发股骨、肱骨的骨干或干骺端
	B.横径大于骨骺板宽度
	C.男多于女,11~20岁好发
	D.常合并病理性骨折
	E.长轴与骨干纵轴一致
36、单项选择题
	女,51岁,胸痛数月,痰血2天,X线检查如图,最可能的诊断是()
	A.左肺癌
	B.左肺炎性假瘤
	C.左侧纵隔肿瘤
	D.左肺转移瘤
	E.左肺结核瘤
37、单项选择题
	女,41岁,身材矮小,背痛,结合图像,最可能的诊断是()

	A.腰椎退行性变
	B.腰椎间盘突出
	C.软骨发育不全
	D.石骨症
	E.马方综合征
38、单项选择题 正常气管隆突的分叉角度为()
	A.55°~95°
	B.70°~100°
	C.60°~95°
	D.60°~85°
	E.65°~90°
39、单项选择题 右侧输尿管“S”形,应首先考虑()
	A.腔静脉后输尿管
	B.腹膜后纤维化
	C.游离肾
	D.迷走血管压迫
	E.输尿管正常弯曲
40、单项选择题 动力过快,指口服钡剂多长时间达到盲肠()
	A.2.5小时
	B.1.5小时
	C.4小时
	D.3.5小时
	E.3小时
41、单项选择题 伦琴发现X线的日期是()
	A.1895年11月8日
	B.1895年8月11日
	C.1901年11月8日
	D.1901年8月11日
	E.1985年11月8日
42、多项选择题 左心室增大多见于下列哪些疾病()
	A.肺源性心脏病
	B.扩张型心肌病
	C.主动脉瓣狭窄
	D.动脉导管未闭
	E.高血压性心脏病
43、单项选择题 静脉尿路造影常用对比剂为()
	A.硫酸钡 
	B.泛影葡胺 
	C.碘化油 
	D.碘化钠 
	E.泛影酸钠
44、单项选择题 从颈椎开口位照片中,判断摄片体位正确的依据是()
	A.上门齿与枕骨边缘投影重叠
	B.上门齿与枕骨边缘稍分离
	C.上门齿投影在枕骨边缘的下方
	D.上门齿投影在枕骨边缘的上方
	E.上 门齿与枕骨边缘分离约0.5cm
45、多项选择题 肺静脉高压可见于()
	A.二尖瓣狭窄
	B.左房黏液瘤
	C.肥厚性心肌病
	D.反复发作的肺栓塞
	E.二尖瓣关闭不全
46、单项选择题
	女,32岁,感胸闷、胸痛,X线检查如图,最可能的诊断是()
	A.畸胎瘤
	B.胸腺瘤
	C.淋巴瘤
	D.胸骨后甲状腺肿
	E.神经源性肿瘤
47、单项选择题 较少发生腹膜种植性转移的肿瘤是()
	A.肝癌
	B.胃癌
	C.结肠癌
	D.子宫癌
	E.卵巢癌
48、多项选择题 四肢创伤行影像学检查的目的是()
	A.明确有无骨折或肌腱韧带断裂
	B.了解骨折错位情况
	C.透视监视下行复位治疗
	D.复位固定后摄片,观察复位情况
	E.定期复查,观察愈合过程及有无并发症
49、单项选择题 下列关于肺转移瘤的描述哪项是错误的()
	A.人体许多部位的原发性肿瘤都可转移至肺内
	B.血行转移X线表现为两中下肺野散在小结节或球形阴影
	C.血行转移多见于肝癌、胰腺癌、甲状腺癌或绒癌等
	D.淋巴转移X线表现为两中下肺野多发小结节、粟粒状或网格状阴影
	E.以上都不是
50、多项选择题 关于标准侧位胸片的描述,正确的有()
	A.正常情况下前后肋膈角显示清晰
	B.正常情况下后肋膈角境界不清
	C.气管前壁的外缘通常可见
	D.取右侧位投照,心脏遮盖邻近的左侧膈肌有特征性
	E.胸椎愈向下透亮度愈增加
51、单项选择题 男,63岁,进行性吞咽困难1月。食管钡餐示:食管下段粘膜不规则充盈缺损,管腔狭窄,贲门扩张欠佳。 发现肝内转移,则转移途径为()
	A.直接浸润
	B.淋巴转移
	C.种植转移
	D.血行转移
	E.消化道粘膜下浸润
52、单项选择题 下述肺动脉高压的诊断标准,错误的是()
	A.肺动脉平均超2.66kPa即可诊断
	B.肺动脉平均压>6.65kPa时为重度
	C.肺动脉平均压在2.79~3.99kPa时为轻度
	D.肺动脉平均压在4.12~6.65kPa时为中度
	E.以上都不是
53、单项选择题 脾脏最常见的原发恶性肿瘤是() 来源:91考试网
	A.转移性肿瘤
	B.恶性淋巴瘤
	C.网织细胞肉瘤
	D.纤维肉瘤
	E.血管肉瘤
54、单项选择题 不能用碘化油做对比剂的造影检查是()
	A.瘘管造影
	B.椎管造影
	C.心血管造影
	D.支气管造影
	E.子宫输卵管造影
55、单项选择题 软骨瘤的主要成分是()
	A.透明软骨
	B.钙化的软骨
	C.退化软骨所形成的假囊肿
	D.骨化的软骨
	E.骨细胞
56、单项选择题 胸骨后前位摄影条件正确的选择是()
	A.低千伏高毫安长曝光时间
	B.高千伏高毫安长曝光时间
	C.低千伏低毫安短曝光时间
	D.高千伏高毫安短曝光时间
	E.低千伏低毫安长曝光时间
57、单项选择题 肋骨斜位摄片,常用于检查()
	A.肋软骨
	B.锁骨中线区肋骨
	C.腋中线区肋骨
	D.肩胛中线肋骨
	E.肋骨小头
58、单项选择题
	男,22岁,滑冰时摔倒右手撑地时受伤,结合CR片,最可能的诊断是()
	A.柯莱斯骨折
	B.蒙泰贾骨折
	C.加莱阿齐骨折
	D.桡骨远端骨折
	E.反柯莱斯骨折
59、单项选择题
	女,23岁,上腹部疼痛半月,消化不良,X线检查如图,可能的诊断为()
	A.十二指肠球部溃疡
	B.十二指肠憩室
	C.胃窦炎
	D.十二指肠癌
	E.十二指肠淤积症
60、单项选择题 最常见的侵袭性胸腺瘤转移扩散途径为()
	A.血行转移
	B.沿胸膜腔种植性转移
	C.淋巴转移
	D.经支气管扩散
	E.直接侵犯肺和横膈
61、单项选择题 输尿管结石最常见停留的部位是在()
	A.肾盂漏斗部
	B.输尿管起始部
	C.跨过髂总动脉处
	D.进入膀胱壁处
	E.骨盆入口处
62、单项选择题 下述关于小肠Crohn病的影像表现,错误的是()
	A.口疮样小溃疡
	B.小肠多发狭窄
	C.鹅卵石征
	D.肠壁增厚
	E.环肠壁对称性侵犯
63、多项选择题 高千伏摄片特点的叙述,正确的是()
	A.获得层次丰富的X线照片
	B.缩短曝光时间,减少被照体移动模糊
	C.减少管电压,延长X线管寿命
	D.散射线减少,照片对比度较高
	E.有利于病人防护
64、单项选择题 哪个部位的化脓性骨髓炎最易形成的脓肿()
	A.手指骨
	B.髂骨
	C.股骨干骺端
	D.胫骨下端
	E.脊柱
65、单项选择题
	男,13岁,因轻微外伤后感左肱骨上部疼痛,软组织肿胀,摄片见左肱骨上段局限性骨质沿髓腔膨胀性破坏,骨皮质变薄,部分骨皮质不连续,最可能的诊断是()
	A.左肱骨骨折
	B.左肱骨骨囊肿伴病理性骨折
	C.左肱骨骨纤伴病理性骨折
	D.左肱骨巨细胞瘤伴病理性骨折
	E.以上均不正确
66、单项选择题 维生素A过多症的X线表现不包括()
	A.干骺端骺板下骨小梁稀少,排列紊乱、边缘模糊 
	B.关节软骨下骨板变薄,骨性关节面模糊或断续不连 
	C.骨干收缩变细,皮质边缘模糊或皮质中有线条状透亮影 
	D.骨干骨膜下新骨形成,呈波浪状、薄壳状或层状 
	E.骨骺边缘相当于先期钙化带区密度增高,使骨骺呈环形
67、单项选择题 胸部照片中肺纹理的影像,主要形成组织是下列哪一个()
	A.血管
	B.支气管
	C.淋巴管
	D.肺泡
	E.胸膜
68、多项选择题 下列关于骨瘤的描述,正确的是()
	A.骨瘤分致密型、松质型、混合型三种
	B.颅骨外板发病率高于内板
	C.额、顶、枕骨发病率高于鼻窦区
	D.鼻窦区发病率高于额、顶、枕骨
	E.一般在全身骨骼发育成熟后停止生长
69、多项选择题 胸片上,肺内孤立性结节见于()
	A.错构瘤
	B.肺转移瘤
	C.肺结核
	D.小叶性肺炎
	E.原发性肺癌
70、单项选择题 下列关于骨关节投照体位的选择哪项不对()
	A.立位双足弓水平侧位;扁平足
	B.肩关节盂前后位:肩关节间隙
	C.膝关节侧位、轴位;髌骨骨折
	D.腕关节内收位:舟状骨中段横行骨折
	E.双肩关节后前持重位;肩锁关节有否脱位
71、单项选择题 骨巨细胞瘤的好发年龄()
	A.40岁以上
	B.20~40岁
	C.0~20岁
	D.新生儿
	E.青春期
72、单项选择题 “多发性骨软骨瘤”诊断要点是()
	A.病变局部骨骼增宽
	B.无软组织肿胀
	C.终生缓慢生长
	D.好发于干骺端肌骺线旁
	E.属遗传性疾病
73、多项选择题 乳腺X线摄片线质的特点是()
	A.波长较短
	B.波长较长
	C.X线能量低
	D.X线穿透力较强
	E.X线穿透力较弱
74、单项选择题 关于正常肺纹理的表现,错误的是()
	A.肺纹理呈树枝状,越分越细
	B.上肺纹理细,下肺纹理粗
	C.右下肺纹理比左下肺纹理明显
	D.两上肺纹理相比右上肺比左上肺多
	E.肺纹理向下伸延可与肝影重叠
75、多项选择题 下列哪些是尿路梗阻的X线征象()
	A.肾脏增大,肾盏呈球形扩大
	B.肾脏缩小,肾盏杯口变钝
	C.肾脏长径变长,肾盂与输尿管交界处扭曲狭窄
	D.输尿管延长、迂曲、狭窄,近段扩张
	E.扩张的输尿管突然中断
76、单项选择题 上叶大叶性肺炎吸收期主要需鉴别的疾病是()
	A.支气管肺炎
	B.支原体肺炎
	C.化脓性肺炎
	D.肺脓肿
	E.肺结核
77、单项选择题 X线机的分类下列哪项不正确()
	A.用于透视、摄影和特殊检查的X线机属诊断用X线机
	B.按机械结构和运输方式可分为携带式、移动式和固定式
	C.用于疾病治疗的属于治疗用X线机
	D.按机器的体积分为大、中、小型
	E.按机器应用特点分为综合用X线机和专用X线机
78、单项选择题
	男,21岁,手部不慎摔伤,局部疼痛,结合图像,最可能的诊断是()
	A.大多角骨骨折
	B.小多角骨骨折
	C.三角骨骨折
	D.月骨骨折
	E.舟状骨骨折
79、单项选择题 胸部平片上,下列哪项不属于左心室扩大的表现()
	A.可呈靴形心
	B.反向搏动点上移
	C.心尖圆钝、上翘
	D.心尖向左下方延长
	E.左前斜位,心后间隙变小、消失
80、单项选择题 “先天性骨梅毒”诊断要点为()
	A.新生儿血清学检查均为阳性
	B.不经治疗,骨膜炎不会逐渐吸收
	C.囊肿形成
	D.干骺端透亮线.
	E.胫骨近端内侧对称性、侵蚀性改变
81、单项选择题 下述“腺性膀胱炎”特点,不正确的是()
	A.女性多见
	B.尿常规、活检提示有细菌感染
	C.影像表现有时与膀胱癌鉴别困难
	D.部分病例可恶变
	E.可能与炎症慢性刺激有关
82、单项选择题
	膀胱造影片见下图,你考虑什么诊断可能性大()
	A.膀胱炎
	B.膀胱癌
	C.膀胱结石
	D.膀胱息肉
	E.以上都不是
83、单项选择题 关于数字成像方法的叙述,错误的是()
	A.胶片数字化仪不是数字化X线成像方式
	B.计算机放射摄影是数字化X线成像方式
	C.非直接转换技术是数字化X线成像方式
	D.直接转换技术是数字化X线成像方式
	E.硒鼓技术用于直接放射成像技术
84、单项选择题 X线信息影像转换成可见密度影像的介质,不含()
	A.屏-片系统
	B.影像增强系统
	C.电影胶片
	D.观片灯
	E.荧光屏
85、单项选择题 正常双侧眼球突出度相差多少有病理意义()
	A.1mm
	B.2mm
	C.3mm
	D.4mm
	E.5mm
86、单项选择题 拟诊上颌窦癌并骨质侵犯的患者应首选的摄影位置是()
	A.俯卧瓦氏位
	B.站立瓦氏位
	C.汤氏位
	D.柯氏位
	E.头颅侧位
87、单项选择题 观察左心房大小的最佳检查方法是()
	A.后前位吞钡
	B.左前斜位吞钡
	C.右前斜位吞钡透视或摄片
	D.右侧位
	E.左侧位
88、单项选择题 与平片相比,下列哪项不是CT优势()
	A.横断面成像
	B.解剖分辨率高
	C.密度分辨率高
	D.空间分辨率高
	E.增强扫描,有利于病变定性
89、单项选择题 关于特殊类型的溃疡,下列说法不正确的是()
	A.穿孔性溃疡,龛影大而深,深度超过1cm,口部有宽大的透亮带
	B.穿透性溃疡,龛影大如囊袋状,立位上可出现气、液、钡分层现象
	C.胼胝性溃疡,直径不超过2cm,常伴有黏膜纠集,易与恶性溃疡区别
	D.多发性溃疡,胃内同时出现两个或两个以上的溃疡
	E.复合溃疡,胃和十二指肠内同时出现溃疡
90、多项选择题 右心室流出道增宽,主要观察体位是()
	A.后前位
	B.右前斜位
	C.左前斜位
	D.左侧位
	E.右侧位
91、单项选择题 色素沉着绒毛结节性滑膜炎病理特点为()
	A.关节滑膜明显增生
	B.绒毛结节形成
	C.血管翳样团块形成,并自边缘开始侵犯关节软骨,进而侵蚀骨组织
	D.含铁血黄素沉着
	E.以上都是
92、多项选择题 婴幼儿和儿童的骨髓炎的特点有()
	A.骨生长障碍
	B.骨骺早期闭合和发育畸形
	C.骨破坏广泛容易造成大块骨干坏死
	D.发病急
	E.全身中毒症状重
93、多项选择题
	下列关于肾囊肿的描述,不正确的是()
	 
	A.平片可以明确诊断
	B.尿路造影可见到肾盏受压拉长、分开或变形,但边缘光滑
	C.CT平扫为低密度灶,边界清,增强后无强化
	D.MRI平扫,T1加权像为低信号,T2加权像也为低信号
	E.肾动脉造影可见到肾动脉受压、移位和拉直
94、多项选择题 结肠钡灌肠有下列哪些检查方法()
	A.无管法
	B.传统常规法
	C.插管法
	D.双重造影法
	E.以上都不是
95、单项选择题 下列哪种疾病不表现为右心房增大()
	A.房间隔缺损
	B.Ebstein畸形
	C.三尖瓣关闭不全
	D.三尖瓣闭锁
	E.先天性左侧心包缺如
96、单项选择题 下列关于“多发性骨髓瘤”错误的是()
	A.常有病理骨折
	B.扁骨、不规则骨多见
	C.多部位、多发性病灶
	D.常有广泛性骨质疏松
	E.骨质以溶骨破坏为主,骨皮质无膨胀、硬化
97、多项选择题 胸片上,肺内网状、蜂窝状阴影可见于()
	A.间质纤维化
	B.间质性肺炎
	C.尘肺
	D.急性粟粒型肺结核
	E.小叶性肺炎
98、单项选择题 双乳肿块,月经前胀痛,月经来潮后缓解,应首先考虑()
	A.乳腺纤维腺瘤
	B.乳腺癌
	C.急性乳腺炎
	D.乳腺结核
	E.乳腺囊性增生病
99、单项选择题 胶片按比例记录被照体密度范围的能力称为()
	A.密度
	B.感光度
	C.感色性
	D.MTF
	E.宽容度
100、单项选择题 骨骺Salter-HarrisⅣ型损伤是指()
	A.骨骺与干骺端完全分离,整个骺板的所有层均断裂
	B.部分骺板断裂,可有干骺端小的骨折片仍与骨骺相连
	C.骨骺骨折延伸到干骺端,并波及关节面,部分与干骺端分离
	D.骨折线穿过干骺端、骺板和骨骺,多数也穿过关节软骨
	E.骺板的压缩性损伤,一般不伴有骨损伤,最初多无异常X线表现
101、多项选择题 下述哪些原因属毛细血管内静水压升高引起的肺水肿()
	A.心肌病致左心衰竭
	B.心肌炎致左心衰竭
	C.左心瓣膜病变致左心衰竭
	D.急性肾小球肾炎致左心衰竭
	E.急性心肌梗死致左心衰竭
102、单项选择题 观察左侧乳房时,常将其分为若干象限,下述哪种说法不正确()
	A.时钟12~3点为外上象限
	B.时钟3~6点为外下象限
	C.时钟6~9点为内下象限
	D.时钟9~12点为内上象限
	E.乳头及乳晕区属外上象限
103、单项选择题 CR与DR系统的应用比较,相同点是()
	A.成像方式
	B.操作方式
	C.床旁摄影
	D.应用于常规摄影
	E.与原有X线设备匹配
104、单项选择题 在胸部平片上,无肺血增多表现的是()
	A.室间隔缺损
	B.肺动脉狭窄
	C.房间隔缺损
	D.二尖瓣关闭不全
	E.动脉导管未闭
105、单项选择题 脑回生理性压迹,下列哪个时期最明显()
	A.新生儿
	B.老年人
	C.成年人
	D.2岁左右
	E.20岁以后
106、单项选择题
	男,21岁,腰部不适,晨起加重半年余,X线检查如图,最可能的诊断是()

	A.类风湿关节炎
	B.脊椎退行性变
	C.强直性脊柱炎
	D.化脓性脊柱炎
	E.阻滞椎
107、单项选择题 扁平足,正确的摄影体位是()
	A.单足水平侧位
	B.双足水平侧位
	C.单足倾斜侧位
	D.单足负重水平侧位
	E.双足负重水平侧位
108、单项选择题 颈椎右前斜位摄影,观察的是()
	A.右侧椎间孔
	B.左侧椎间孔
	C.右侧横突孔
	D.左侧横突孔
	E.椎孔
109、多项选择题 消化道黏膜的改变包括()
	A.黏膜皱襞增粗、扭曲
	B.龛影
	C.黏膜皱襞破坏
	D.黏膜皱襞纠集
	E.微皱襞的改变
110、多项选择题 骨组织内的细胞有()
	A.骨细胞
	B.破骨细胞
	C.成骨细胞
	D.未分化的间叶细胞
	E.干细胞
111、单项选择题 关于手部退行性骨关节病,下列哪项不是其X线表现()
	A.指骨基底及掌骨头骨刺
	B.关节间隙狭窄
	C.关节面硬化
	D.关节边缘部骨侵蚀
	E.关节半脱位
112、多项选择题 头颅平片可以显示()
	A.前床突
	B.后床突
	C.脑垂体
	D.鞍结节
	E.蝶鞍
113、单项选择题 冠状动脉的分支中,下述别名为猝死动脉的是()
	A.左室后支
	B.后室间支
	C.前室间支
	D.旋支
	E.窦房结支
114、多项选择题 骨与关节X线摄片检查常规要求()
	A.一般摄取正、侧位片
	B.两侧对称的骨与关节,改变轻微,难以确诊时,应拍摄对侧相应部位对照
	C.应包括周围软组织和邻近的关节
	D.脊椎、手足等部位应加摄斜位片
	E.髌骨、跟骨可取切线位摄片
115、单项选择题 肺小叶由几个呼吸小叶构成()
	A.1~2个 
	B.4~6个 
	C.3~5个 
	D.8~10个 
	E.4~8个
116、多项选择题 关于慢性化脓性骨髓炎,正确的表述是()
	A.可由急性化脓性骨髓炎转化而来
	B.常见死骨
	C.可见骨包壳形成
	D.Garre骨髓炎最初即为慢性过程
	E.骨膜反应不如急性明显
117、单项选择题 不可用碘化油的造影检查是()
	A.瘘管造影
	B.椎管造影
	C.心血管造影
	D.支气管造影
	E.输卵管造影
118、单项选择题
	女,40岁,右桡骨远端疼痛5月余,局部压痛。结合右腕关节正侧位片,最可能的诊断为()
	A.成软骨细胞瘤
	B.骨巨细胞瘤
	C.骨囊肿
	D.动脉瘤样骨囊肿
	E.骨纤维异常增殖症
119、多项选择题 经肾脏排泄的对比剂在尿中浓度与哪些因素有关()
	A.肾脏的大小
	B.肾脏的形态
	C.肾脏的功能
	D.对比剂的剂量
	E.对比剂的浓度
120、单项选择题 有关乳腺摄片配套设备的叙述,错误的是()
	A.使用单页增感屏
	B.只用后屏
	C.高分辨率胶片
	D.特制或自动压迫装置
	E.铝质暗盒
121、单项选择题 关于下列X线解剖的描述,哪项是错误的()
	A.一般情况下,左肺门比右肺门位置高
	B.心胸比例为0.5
	C.上腔静脉通过右肺动脉背侧
	D.左主支气管比右主支气管长
	E.气管分叉部在右肺动脉背侧
122、单项选择题 下列关于“成骨肉瘤”诊断要点中,哪项是错误的()
	A.最常见的原发性恶性骨肿瘤
	B.好发于长骨干骺端
	C.可有葱皮样骨膜反应
	D.肿瘤内无钙化、骨化
	E.肿瘤内既有成骨性,又有溶骨性改变
123、单项选择题
	男,21岁,1月前触及颈部淋巴结肿大,现有上腔静脉综合征,结合胸片,最可能的诊断()
	A.结节病
	B.淋巴结核
	C.转移性淋巴结肿大
	D.淋巴瘤
	E.胸腺瘤
124、多项选择题 酒精性慢性胰腺炎的特点有()
	A.大导管扩张,小导管正常
	B.管腔内有蛋白类物质或栓子
	C.胰管结石和胰体钙化
	D.小导管和主导管均扩张
	E.管腔内无堵塞物且很少钙化
125、单项选择题 下列关于“胃窦炎”描述,错误的是()
	A.胃窦粘膜粗大
	B.粘膜皱襞斜行、横行或交叉排列紊乱
	C.肩胛征
	D.胃窦张力增高
	E.充盈像时,胃窦轮廓呈细齿状
126、单项选择题 关于肩关节前后位摄影,错误的是()
	A.显示肱骨头与关节盂关节间隙的切线像
	B.身体矢状面必须平行于胶片
	C.肩胛骨喙突对准胶片中心
	D.中心线对准喙突投射
	E.可检查肱骨近端骨质病变
127、单项选择题 肠结核好发于()
	A.结肠
	B.回肠
	C.回盲部
	D.直肠
	E.空肠
128、多项选择题 属于常染色体显性遗传的疾病有()
	A.软骨发育不全
	B.颅锁骨发育不全
	C.皮肤骨膜肥厚症
	D.马方(Marfan)综合征
	E.重型石骨症
129、单项选择题
	男,32岁,头晕、头痛多年,额窦X线检查如图所示,最可能的诊断是()
	A.右侧额窦骨瘤
	B.右侧额窦囊肿
	C.右侧额窦骨岛
	D.正常额窦
	E.右侧额窦软骨瘤
130、多项选择题 关于乳腺癌治疗的说法哪些正确()
	A.手术、化疗、放疗、内分泌治疗均是综合治疗的重要部分
	B.术前化疗可以使肿瘤缩小,使更多的患者获得保乳机会
	C.术前化疗应选择敏感性化疗方案
	D.细针穿刺细胞涂片见到恶性细胞即行术前化疗
	E.手术范围越大,乳腺癌的治疗效果越好
131、单项选择题 在纵隔肿瘤的组织来源中,不正确的是()
	A.胸腺瘤起源于未退化的胸腺组织
	B.畸胎瘤为胚胎期胸腺始基发育时,部分多潜力组织脱落,随心血管发育,入胸内演变而成
	C.神经源性肿瘤起源于胚胎组织
	D.恶性淋巴瘤起源于淋巴组织
	E.支气管囊肿为胚胎期支气管胚芽发育异常
132、单项选择题 下述哪项为胰岛D细胞瘤()
	A.生长抑素瘤
	B.胰岛素瘤
	C.舒血管肠肽瘤
	D.胃泌素瘤
	E.胰高血糖素瘤
133、单项选择题 下列有关肝局灶性结节增生的病理描述哪项是错误的()
	A.含正常肝细胞
	B.含枯否细胞
	C.含正常肝小叶结构
	D.含血管组织
	E.含胆管组织
134、多项选择题 腹部泌尿系平片(KUB)诊断学要求可见的结构是()
	A.骨骼
	B.肾脏轮廓
	C.腰大肌影
	D.腹壁脂肪线
	E.膀胱
135、多项选择题 化脓性骨髓炎的X线表现有()
	A.骨膜增生
	B.骨质破坏
	C.死骨形成
	D.新生骨
	E.肌间隙模糊
136、多项选择题 有关头颅正位摄片的叙述,错误的是()
	A.病人呈俯卧姿势
	B.听眦线垂直台面
	C.矢状面平行台面
	D.下颌内收,靠近台面
	E.两外耳孔到台距等高
137、多项选择题 下列哪几项属于乳腺恶性肿瘤的X线征象()
	A.肿块边缘模糊
	B.密度较均匀
	C.肿块呈类圆形
	D.密度增高
	E.边缘有长或短毛刺
138、单项选择题 导致X线照片运动模糊的因素,可暂时控制的是()
	A.呼吸
	B.心脏搏动
	C.胃肠蠕动
	D.痉挛
	E.血流
139、多项选择题 腹腔脓肿的主要X线表现有()
	A.脓肿有气体时可见气液空腔或气泡征象
	B.脓腔无气体时表现软组织肿块
	C.脓肿相邻器官受压移位
	D.脓肿周围炎性浸润
	E.炎症扩散时呈腹膜炎改变
140、单项选择题 下列除哪项外均为中央型肺癌转移的表现()
	A.膈肌矛盾运动
	B.膈膨升
	C.肺内结节
	D.胸腔积液
	E.肋骨破坏
141、单项选择题
	男,12岁,平时无明显不适,结合图像,最可能的诊断是()
	A.正常胸片
	B.左旋心
	C.右旋心
	D.镜面右位心
	E.以上都不是
142、单项选择题 下列疾病中,适用深呼气曝光的是()
	A.肺炎
	B.肺脓肿
	C.肺大泡
	D.肺癌
	E.肺结核
143、单项选择题 骨膜增生的病因包括()
	A.肿瘤
	B.骨膜下出血
	C.炎症或外伤
	D.血管性病变
	E.以上都是
144、单项选择题 纵隔积气可见于()
	A.结核性空洞破入纵隔
	B.Marfan综合征
	C.肝硬化所致腹腔积液
	D.肺泡蛋白沉积症
	E.糖尿性酮症酸中毒
145、多项选择题 肾动脉的肾外分支有()
	A.膈下动脉
	B.性腺动脉
	C.输尿管上段动脉
	D.肠系膜上动脉
	E.肾上腺下动脉
146、单项选择题 放射工作人员全身均匀照射时,防止随机性效应的年剂量当量限值是()
	A.10mSv/年
	B.20mSv/年
	C.30mSv/年
	D.40mSv/年
	E.50mSv/年
147、单项选择题 第几肋骨前端有肋软骨与胸骨相连()
	A.第1~10肋
	B.第1~12肋
	C.第4~10肋
	D.第1~3肋
	E.第4~12肋
148、单项选择题 视神经孔增大多见于()
	A.视神经胶质瘤
	B.先天发育异常
	C.蝶骨嵴脑膜瘤
	D.畸形性骨炎
	E.石骨症
149、单项选择题 构成肺门阴影的最主要结构是()
	A.肺动脉
	B.肺静脉
	C.支气管
	D.神经
	E.淋巴组织
150、单项选择题 关于心胸比率,下列哪项描述正确()
	A.心脏最大横径与胸廓最大横径的比率
	B.心脏最大横径是左心室最大横径
	C.胸廓最大横径为最大胸廓处的外径
	D.充分呼气后这一比率为1:2
	E.未成年人可能较小
151、单项选择题 动脉导管未闭出现右心室肥厚时提示()
	A.肺静脉高压
	B.肺水肿
	C.肺栓塞
	D.肺动脉高压
	E.心力衰竭
152、单项选择题 在胸部正位取后前立位摄片的原因中,下列哪项是错误的()
	A.立位能正确反映胸部脏器的确切形态
	B.立体能观察到产生气液面的病理改变
	C.后前位肺组织更靠近胶片,影像清晰
	D.后前位肩胛骨易于投影在肺野之外
	E.后前位心脏放大率小
153、单项选择题 吸收X线能力最强的组织结构是()
	A.肌肉
	B.脂肪
	C.骨骼
	D.肺组织
	E.肝脏
154、单项选择题 “颅缝闭合延迟”见于下述哪种病变()
	A.甲状腺功能减退
	B.佝偻病
	C.低磷酸盐血症
	D.眼-颌-面综合征
	E.磷酸酯酶过少
155、单项选择题
	女,6岁,低热,盗汗,咳痰,呼吸困难1月余,结合图像,最可能的诊断是()
	A.肺脓肿
	B.大叶性肺炎
	C.右肺中叶综合征
	D.肺癌
	E.胸腔积液
156、多项选择题 肺栓塞的X线表现有()
	A.肺体积缩小
	B.肺淤血
	C.肺缺血
	D.肺段性梗死
	E.心影增大
157、多项选择题 关于Chamberlain线,下列描述正确的是()
	A.硬腭后缘至枕大孔后唇的连线
	B.硬腭后缘至枕鳞外板最低点的连线
	C.齿状突上缘超过此线3mm为异常
	D.又称腭枕线
	E.主要用于颅底凹陷症的测量
158、单项选择题 下面肺脓肿的描述中,错误的是()
	A.肺脓肿分急性、慢性两种
	B.血源性肺脓肿常多发,一般为单侧
	C.急性肺脓肿形成的空洞,壁厚,不规则,空洞内常有液平面
	D.急性肺脓肿炎症阶段X线片上呈片絮状阴影,浓密较均匀
	E.慢性肺脓肿阴影浓密,空洞可长时间无变化
159、单项选择题
	男,44岁,间断性背部疼痛1月余,结合影像学检查,最可能的诊断是()
	A.脊髓空洞症
	B.L4/5椎间孔狭窄
	C.脊膜瘤
	D.强直性脊柱炎
	E.脊柱结核
160、单项选择题
	女,46岁。下腰部不适半年,加重2周。静脉尿路造影见图。最可能的诊断是()
	A.膀胱癌
	B.膀胱乳头状瘤
	C.膀胱内血块
	D.膀胱阴性结石
	E.输尿管囊肿
161、单项选择题 消除呼吸运动模糊正确的方法是()
	A.延长时间曝光
	B.增加管电压
	C.屏气后曝光
	D.增大物-片距
	E.应用滤线栅
162、多项选择题 汤氏位摄片,中心线向足倾斜25°~30°角,可观察()
	A.枕骨
	B.迷路
	C.内听道
	D.顶骨后部
	E.枕骨大孔
163、单项选择题 下述哪种疾病不能见到肺门舞蹈征()
	A.慢性肺源性心脏病
	B.高原性心脏病
	C.克山病
	D.房间隔缺损(1孔型)
	E.房间隔缺损(2孔型)
164、单项选择题 下列哪种疾病,不出现局限性颅骨“竖发”表现()
	A.白血病
	B.先天性溶血性贫血
	C.重度缺铁性贫血
	D.血管瘤
	E.继发于紫绀型先天性心脏病的红细胞增多症
165、多项选择题 下列哪些改变属于神经源性膀胱()
	A.脊髓病变引起的尿失禁
	B.大脑病变引起的尿失禁
	C.脊髓反射中枢病变引起的尿失禁
	D.婴幼儿神经功能发育不全引起的尿失禁
	E.脊髓背根神经和感觉传导束病变引起的尿失禁
166、单项选择题 早期脑梗死的脑血管造影的主要征象为()
	A.动脉排空延迟
	B.循环时间延长
	C.动静脉短路
	D.血管闭塞
	E.动脉血流缓慢
167、多项选择题 CR的空间频率处理,减影处理的叙述,正确的是()
	A.空间频率处理是系统对空间频率响应的调节
	B.频率处理三个参数:RN、RT、RE
	C.可完成血管造影与非造影影像的减影职能
	D.时间减影是作对比剂注射前后的影像减影
	E.能量减影是两幅以不同能量曝光的影像
168、多项选择题 类风湿性关节炎早期X线表现有()
	A.骨膜增厚和骨化
	B.关节邻近骨质疏松
	C.关节周围软组织肿胀
	D.关节间隙增宽
	E.骨质侵蚀和假囊形成
169、单项选择题 下述“尤文肉瘤”知识,哪项正确()
	A.成年人多见
	B.常有骨、肺转移
	C.常有特征性骨膜反应
	D.好发于长骨干骺端
	E.髓腔内可有成骨性改变
170、单项选择题
	女,12岁,脊柱侧弯畸形,双下肢长短不一,结合图像,最可能的诊断是()
	A.骨纤维结构不良
	B.骨巨细胞瘤
	C.内生软骨瘤
	D.非骨化性纤维瘤
	E.Paget病
171、单项选择题 腰椎间盘疝可以形成椎间盘游离体,下列关于游离体的描述中,哪项错误()
 	A.游离体与椎间盘可以在同一层面上
	B.游离体可以在椎间盘以上或以下层面
	C.游离体密度一般高于硬膜囊
	D.游离体密度一般低于硬膜囊
	E.游离体一般不增强
172、单项选择题 腰椎斜位片,正常椎弓及附件的影像呈""猎狗形""。 椎弓崩裂易累及()
	A.椎板后部
	B.椎弓峡部
	C.上关节突
	D.下关节突
	E.椎弓根
173、单项选择题 氟骨症的主要X线表现为()
	A.关节改变 
	B.骨质疏松 
	C.骨间断性生长痕 
	D.骨质软化 
	E.骨质硬化
174、多项选择题 Albright综合征临床表现不包括()
	A.内分必紊乱
	B.软组织肿物
	C.血管瘤
	D.性早熟
	E.皮肤色素沉着
175、单项选择题 左心房增大一般最先向哪一方向增大()
	A.向上增大
	B.向右增大
	C.向左增大
	D.向后增大
	E.左心耳增大
176、多项选择题 肝胆显像的临床应用价值()
	A.肝移植的监测
	B.胆管闭锁及新生儿肝炎的鉴别诊断
	C.肠胃反流的诊断
	D.黄疸的鉴别诊断
	E.胆管旁路手术后检测引流异常及梗阻部位的定位
177、单项选择题 继发性胆脂瘤多发生于()
	A.鼓窦入口
	B.外耳道
	C.上鼓室
	D.中鼓室
	E.下鼓室
178、单项选择题 在以下胃双重对比技术中,哪项对于病变早期检出没有帮助()
	A.用触变性、复混悬性好的钡剂
	B.检查前5分钟肌注654-2
	C.检查前洗胃
	D.服钡前服适量产气消泡剂
	E.用高浓度高黏度钡剂
179、单项选择题 致密性骨发育不全与石骨症的X线鉴别中哪项是错误的()
	A.全身骨骼非均匀性硬化
	B.干骺端无致密带
	C.末节指(趾)骨远端部分缺如
	D.颅缝增宽,前囟不闭
	E.下颌角消失
180、单项选择题 下列“心脏形态-相关疾病”组合中,哪项正确()
	A.绒毛心:二尖瓣狭窄
	B.悬滴心:尿毒症
	C.梨形心:法洛四联征
	D.靴形心:肺源性心脏病
	E.雪人征:完全型肺静脉异位引流
181、单项选择题 尿路造影中常见肾盂肾盏、输尿管及膀胱内充盈缺损,最常见病因是()
	A.肿瘤
	B.结核
	C.炎症
	D.结石
	E.血块
182、单项选择题 40岁女性,进行乳腺癌普查时,下列哪一项检查最合适()
	A.近红外线扫描
	B.液晶热图检查
	C.细针穿刺细胞学检查
	D.超声波检查
	E.钼靶X线摄片
183、多项选择题 增殖性肠结核的X线表现有()
	A.回盲瓣常受侵犯而肥厚
	B.粘膜呈息肉状充盈缺损
	C.可出现肠梗阻表现
	D.盲肠、升结肠狭窄、缩短
	E.有激惹征
184、多项选择题 关于垂体瘤X线平片检查,下列叙述哪项正确()
	A.垂体瘤是鞍内型肿瘤,引起蝶鞍扩大是其特点
	B.垂体瘤向单侧性生长较大时,可致一侧鞍底下陷呈双重鞍底
	C.蝶鞍没有扩大不能考虑垂体瘤
	D.不同类型的垂体瘤引起的蝶鞍扩大形态上往往相同
	E.鞍旁型肿瘤可出现明显双重鞍底,应与垂体瘤鉴别
185、单项选择题 无菌性骨坏死最常见的部位是()
	A.肱骨头
	B.髌骨
	C.膝部股骨外髁
	D.桡骨小头
	E.股骨头
186、多项选择题 急性肺水肿与肺炎急性期的鉴别点为()
	A.肺水肿病变发生迅速、动态变化快
	B.肺水肿有间隔线阴影
	C.肺水肿X线表现为大片状高密度影,边缘清楚
	D.肺水肿患者多有心脏及肾脏的原发病
	E.肺水肿无发热等肺炎的临床表现
187、单项选择题 下列主动脉瓣关闭不全诊断要点,哪项不对()
	A.主动脉瓣区舒张期吹风样杂音
	B.主动脉弓迂曲、延长,搏动增强
	C.心尖圆钝、上抬
	D.侧位胸片示心前间隙缩小
	E.心尖向左下方移位
188、多项选择题 引起“小肠梗阻”病因有()
	A.腹腔手术后
	B.肠结核
	C.回肠类癌
	D.小肠蛔虫症
	E.卵巢癌腹腔种植转移
189、单项选择题 结节病较少累及的部位为()
	A.骨 
	B.淋巴结 
	C.胸膜 
	D.肺 
	E.皮肤
190、单项选择题
	男,72岁,手足小关节红肿热痛,白细胞升高,血沉快,血尿酸升高,结合图像,最可能诊断是()
	A.类风湿关节炎
	B.退行性骨关节病
	C.痛风性关节炎
	D.假痛风
	E.滑膜炎
191、单项选择题
	男,28岁,右肱骨上段肿痛1个月,疼痛以夜间明显,摄片如图所示,提示骨肉瘤最为主要的征象是()
	A.溶骨性破坏
	B.骨膜增生
	C.肿瘤骨形成
	D.软组织肿块影
	E.Codman三角
192、单项选择题 椎旁脓肿在哪种脊柱结核中出现的概率最多()
	A.腰骶椎结核
	B.胸椎结核
	C.腰椎结核
	D.胸腰椎结核
	E.颈椎结核
193、单项选择题 下列影像,哪项与“返流性食管炎”无关()
	A.食管下端浅小溃疡
	B.食管粘膜皱襞肥厚
	C.常合并十二指肠球部溃疡
	D.鹅卵石样表现
	E.食管下端良性狭窄
194、单项选择题 下列有关摄影体位错误的叙述是()
	A.右前斜位也称第1斜位
	B.左前斜位也称第2斜位
	C.左侧位摄影X线由右侧投射到左侧
	D.顶颌位又称下上轴位
	E.右前斜位与左后斜位效果相似
195、多项选择题 有关胆道系统疾病的检查方法有()
	A.PTC 
	B.静脉胆道造影 
	C.口服胆囊造影 
	D.ERCP 
	E.B超
196、单项选择题
	男,18岁,肩部外伤,疼痛、活动受限,结合图像,最可能的诊断是()
	A.肩关节盂下脱位
	B.肩关节喙突下脱位
	C.肩关节锁骨下脱位
	D.肩锁关节脱位
	E.肩关节未见脱位
197、单项选择题 新生儿摄取胸部正位时应选择()
	A.站立前后位
	B.站立后前位
	C.仰卧后前位
	D.半坐后前位
	E.仰卧前后位
198、单项选择题 缩窄性心包炎的X线表现有:①上腔静脉扩张、②肺淤血、③间质性肺水肿、④右心房增大、⑤左心房增大,其中反映左心室缩窄表现的是()
	A.①②④
	B.①②⑤
	C.②③⑤
	D.②③④
	E.①③⑤
199、单项选择题 在下列病变中,对"输尿管移位"特点描述,错误的是()
	A.肾上极肿瘤:输尿管可不移位
	B.腹膜后纤维化:输尿管中段向内移位
	C.恶性淋巴瘤:输尿管中段向外移位
	D.子宫肌瘤:输尿管下段向外移位
	E.肾旋转不良:输尿管上段向内移位
200、多项选择题 软骨肉瘤的X线表现包括()
	A.中心型软骨肉瘤髓腔内呈溶骨性破坏
	B.邻近骨皮质不同程度膨胀、变薄,骨皮质破坏形成软组织肿块
	C.骨破坏区和软组织肿块内可见环形、半环形或砂粒样钙化影
	D.偶见骨膜反应和Codman三角
	E.周围型软骨肉瘤多由骨纤维异常增殖症恶变而来