时间:2017-12-05 13:15:30


1、单项选择题 慢性化脓性骨髓炎瘘管经久不愈的原因是()
	A.骨质增生
	B.脓腔或死骨存在
	C.骨干增粗
	D.新生骨形成
	E.骨髓腔闭塞
2、单项选择题 X线透视的优点,错误的是()
	A.可直接观察器官的运动 功能
	B.可任意旋转病人的体位,多方位进行观察
	C.可观察身体组织的细微变化
	D.操作简单,立即可得结果
	E.费用低廉
3、多项选择题 “肠套叠灌肠复位”适应证有()
A.全身情况尚好  
B.果酱油色便  
C.大量血便  
D.了解结肠以下低位套叠  
E.套叠时间较长
4、单项选择题 在X线摄影的能量范围内,以下哪种形式利用了X线与物质相互作用()
	A.康普顿散射
	B.光蜕变
	C.电子产生
	D.光核反应
	E.以上都不是
5、单项选择题 膀胱壁分层包括()
	A.1层
	B.2层
	C.3层
	D.4层
	E.5层
6、单项选择题 有关骨质增生的描述不妥的是()
	A.骨质增生硬化就是骨量的增多
	B.大多数机体代偿反应
	C.骨质增生硬化是成骨增多
	D.骨质增生硬化是破骨减少
	E.骨质增生硬化是成骨增多、破骨减少
7、单项选择题 变换体位或深呼吸时肾上下移动的范围为()
	A.1~5cm
	B.5~10cm
	C.2~6cm
	D.1~2cm
	E.8~12cm
8、单项选择题 在正位胸部X线片上,老年人右心缘上部是()
	A.上腔静脉
	B.升主动脉
	C.奇静脉
	D.无名动脉
	E.右心房
9、多项选择题 齿突骨折,正确的摄片体位是()
	A.颈椎斜位
	B.颈椎过屈位
	C.颈椎正侧位
	D.高颈椎仰卧水平侧位
	E.第1、2颈椎开口位
10、单项选择题 腰椎斜位标准片所见,错误的是()
	A.第1~5腰椎及腰骶关节呈斜位,于照片正中显示
	B.各椎弓根投影于椎体正中或前1/3处
	C.各椎弓根投影于椎体后1/3处
	D.椎间隙显示良好,第3腰椎上下面的两侧缘应重合
	E.与椎体相重叠的椎弓部结构,应显示清晰
11、单项选择题 无紫绀先天性心脏病中,肺血减少的是()
	A.房间隔缺损
	B.室间隔缺损
	C.主动脉口狭窄
	D.动脉导管未闭
	E.先天性二尖瓣狭窄
12、多项选择题 “ERCP”适应证包括()
	A.急性胰腺炎
	B.慢性胰腺炎
	C.胆道先天性异常
	D.胆管肿瘤
	E.严重胆管感染
13、多项选择题 肺水肿与肺炎性病变的重要鉴别点包括()
	A.发生迅速
	B.完全左右对称分布
	C.变化快
	D.无发热、咳嗽等表现
	E.有心、肾疾病或其他可成为肺水肿病因的疾病存在
14、单项选择题 血管造影时引入对比剂的方法属于()
	A.口服法
	B.灌注法
	C.直接引入法
	D.间接引入法
	E.生理排泄法
15、单项选择题 棘孔内通过的结构为()
	A.上颌神经
	B.下颌神经
	C.脑膜中动脉
	D.颈内动脉
	E.视神经
16、单项选择题 肺病灶内有多发空洞,则可除外()
	A.慢性肺脓肿
	B.组织细胞增生症X
	C.支气管囊肿
	D.类风湿结节
	E.嗜酸性肉芽肿
17、单项选择题 DR使用的检测装置是()
	A.影像板
	B.影像增强器
	C.平板探测器
	D.电离室
	E.光电管
18、单项选择题 正常成年人胸椎椎管前后径范围为()
	A.12~21mm
	B.15~25mm
	C.8~12mm
	D.14~15mm
	E.16~27mm
19、单项选择题 骨骼摄影距离最佳选择是()
	A.150cm
	B.100cm
	C.80cm
	D.60cm
	E.50cm
20、单项选择题 靶面倾角是X线管的()
	A.电参数
	B.结构参数
	C.容量参数
	D.极限参数
	E.以上都是
21、单项选择题 目前矽肺分期的主要手段为()
	A.HRCT
	B.高千伏X线胸片
	C.薄层胸部CT
	D.普通胸部CT
	E.正位胸片
22、单项选择题 不可用碘化油的造影检查是()
	A.瘘管造影
	B.椎管造影
	C.心血管造影
	D.支气管造影
	E.输卵管造影
23、单项选择题 迷走右锁骨下动脉在食管后方的压迹是()
	A.由右侧向左上的螺旋形的压迹
	B.由右侧向右上的螺旋形的压迹
	C.由左侧向左上的螺旋形的压迹
	D.由左侧向右上斜行的螺旋形压迹
	E.以上都不是
24、单项选择题 关于"颈干角",下列观点哪项不正确()
	A.1岁幼儿,正常值145°左右
	B.10岁儿童,正常值为138°左右
	C.成人,正常值125°左右
	D.股骨骨干纵轴与股骨颈纵轴的夹角
	E.骨盆骨折时,颈干角变小
25、多项选择题 主动脉型心脏的表现不包括()
	A.肺动脉段凹陷
	B.心尖上翘
	C.主动脉结凸出
	D.心尖下移
	E.右心室增大
26、单项选择题 腹部平片的简称是()
	A.IVP
	B.PTC
	C.PCN
	D.PTA
	E.KUB
27、单项选择题 下列哪一项是逆行肾盂造影检查的禁忌证()
	A.IVP不满意者
	B.碘过敏者
	C.肝功能损害者
	D.下尿路感染者
	E.肾功能严重损害者
28、多项选择题 下列哪些可在X线平片上形成伪影()
	A.发辫
	B.橡皮筋
	C.膏药
	D.皮肤皱褶
	E.发卡
29、单项选择题 腕骨脱位中,以哪一种骨的脱位较多见()
	A.舟骨
	B.月骨
	C.豆骨
	D.大多角骨
	E.小多角骨
30、单项选择题 碘苯酯主要用于哪项造影检查()
	A.支气管造影
	B.逆行肾盂造影
	C.脑血管造影
	D.椎管造影
	E.关节腔造影
31、多项选择题 化脓性骨髓炎的X线表现有()
	A.骨膜增生
	B.骨质破坏
	C.死骨形成
	D.新生骨
	E.肌间隙模糊
32、多项选择题 肺内进行性大块纤维化可见于()
	A.煤尘肺
	B.石棉肺
	C.农民肺
	D.吸入二氧化氮
	E.矽肺
33、单项选择题 下列哪项不是直接引入造影法()
	A.口服法
	B.灌注法
	C.穿刺注入法
	D.静脉注入排泄法
34、多项选择题 颞骨X线摄片主要用于观察()
	A.中耳
	B.蝶鞍
	C.颞骨岩部
	D.颞骨乳突气房
	E.鼻窦
35、单项选择题 提示骨折不愈合下列哪项是错误的()
	A.骨折端膨大,密度增高,骨折面硬化
	B.骨折端吸收,萎缩
	C.骨皮质增厚,髓腔闭锁,骨折端有梭形软组织肿块
	D.骨折面硬化,但无骨桥连接
	E.骨折端因有血肿,软组织膨隆
36、单项选择题 男性,56岁。有动脉粥样硬化病史。突然感到剧烈刀割样胸痛2小时,向背部放射。体检发现主动脉瓣区可闻及舒张期杂音,考虑为主动脉夹层可能。夹层内膜撕裂的好发部位是()
	A.升主动脉
	B.主动脉弓
	C.降主动脉
	D.主动脉峡部
	E.升主动脉根部和主动脉峡部
37、单项选择题 X线照片密度影响因素的叙述,错误的是()
	A.感光效应与管电压的n次方成正比例
	B.感光效应与焦-片距的平方成反比
	C.正确选择屏-片匹配
	D.密度随被照体的厚度增大而增高
	E.密度与显影加工条件有关
38、单项选择题 目前世界公认的医学图像传输与存储的标准是()
	A.ACR-NEMA1.0
	B.ACR-NEMA2.0
	C.DICOM3.0
	D.HL7
	E.TCP/IP
39、单项选择题 下列支原体肺炎的描述,错误的是()
	A.小儿及成人均可患病
	B.病变早期可仅有肺纹理增多,边缘模糊
	C.血清冷凝集试验在2~3周值较低
	D.肺炎支原体肺炎与浸润型肺结核X线表现相似
	E.占据一个大叶的支原体肺炎较少见
40、单项选择题 关于贫血性心脏病,下列表现哪项不对()
	A.肺动脉段突出
	B.左心房明显增大
	C.双心室增大,以左心室为著
	D.肺血正常或轻度增多
	E.贫血纠正后,部分患者心影可恢复正常
41、单项选择题 下列哪项为头颅X线平片的最基本摄片位置()
	A.后前及侧位
	B.斯氏位
	C.53°后前斜位
	D.颏顶位
	E.额枕位
42、单项选择题 指出下列摄片技术中,不正确的是()
	A.柯氏位可显示筛窦的前后两组影
	B.眼眶肿物应选择柯氏位、瑞氏位和眶缘切线位
	C.上颌窦肿瘤取瓦特位外,还应摄取颅底减角位(半轴位)
	D.瓦特位,两侧密度不一致(非病变所致)的原因,主要是中心线偏斜或滤线栅侧向倾斜造成的切割效应
	E.眶下裂摄片采用取头颅后前正位,中心线向头侧倾斜20°
43、单项选择题 肺淤血的早期X线表现为()
	A.上肺静脉扩张
	B.肺门影增大模糊
	C.肺血管纹理增多模糊
	D.肺野透过度减低
	E.肺含铁血黄素沉着
44、多项选择题 良性胃溃疡有下列哪些X线征象()
	A.环堤
	B.腔内龛影
	C.放射状粘膜纠集
	D.腔外龛影
	E.裂隙征
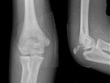
45、单项选择题
	男,6岁,右肘部外伤,结合图像,最可能的诊断是()
	A.右肱骨远端骨折
	B.右肱骨内上髁骨折
	C.右肱骨外上髁骨折
	D.右尺骨鹰嘴骨骺损伤
	E.右尺桡脱位
46、单项选择题 “骨龄提前”,见于下列哪种疾病()
	A.苯丙酮尿症 
	B.颅咽管瘤 
	C.先天性紫绀型心脏病 
	D.呆小病 
	E.Albright综合征
47、多项选择题 在正常腹平片上,不能显影的软组织影是()
	A.肾脏
	B.肝脏
	C.肾上腺
	D.腰大肌线
	E.胰腺
48、单项选择题&nbs来源:91考试网 www.91eXam.orgp; 诊断额窦恶性肿瘤时,下列哪种位置摄影最佳()
	A.华氏位
	B.前额切线位
	C.头颅侧位
	D.柯氏位
	E.汤氏位
49、单项选择题 所谓近距离摄影,是指焦-片距为()
	A.15~20cm
	B.25~30cm
	C.35~50cm
	D.55~60cm
	E.65~70cm
50、单项选择题 符号+Ⅱ表示下列哪个牙齿()
	A.上颌左侧切牙
	B.上颌左侧乳Ⅱ切牙
	C.上颌左侧尖牙
	D.上颌左侧乳尖牙
	E.上颌左侧第二磨牙
51、单项选择题 下列哪种X线征象是食管静脉曲张与食管癌的鉴别要点()
	A.串珠状充盈缺损
	B.管腔边缘凹凸不平
	C.蠕动减弱,钡剂通过缓慢
	D.纵行粘膜皱襞消失
	E.管腔扩张及舒缩性存在
52、单项选择题
	8岁,男孩,外伤后感左肘关节肿痛,左肘关节正侧位摄片如图,下列哪项描述错误()
	A.“八”字征
	B.“X”线白线不连续
	C.软组织肿胀
	D.左肱骨小头骺线增宽
	E.以上均正确
53、单项选择题 下述关于“肋骨先天性畸形”,哪项错误()
A.颈肋  
B.腰肋  
C.肋骨发育不全  
D.肋软骨钙化  
E.叉状肋
54、单项选择题 引起回盲瓣肥厚的最常见原因是()
	A.Crohn病
	B.回盲瓣粘膜脱垂
	C.单纯性回盲瓣肥厚
	D.回盲瓣结核
	E.回盲瓣肿瘤侵犯
55、单项选择题 肥胖病人心影呈()
	A.滴状心
	B.横位心
	C.靴形心
	D.主动脉型心
	E.梨形心
56、单项选择题 关于“小肠Crohn病”影像的描述,错误的是()
	A.环肠壁对称性侵犯
	B.鹅卵石征
	C.小肠多发狭窄
	D.肠壁增厚
	E.口疮样小溃疡
57、单项选择题 后前位胸片上,高血压心脏病患者右心缘第一弓通常由哪种结构构成()
	A.上腔静脉
	B.升主动脉
	C.左室流出道
	D.降主动脉
	E.右室流出道
58、单项选择题 不透光性肾结石的首选影像学检查方法是()
	A.超声检查
	B.腹部平片
	C.CT扫描
	D.MRI
	E.IVP
59、单项选择题 胎儿出生前受X线照射,引起智力低下的主要时期是()
	A.5~7周
	B.8~15周
	C.16~20周
	D.21~25周
	E.26~30周
60、单项选择题 肺-肾综合征的病理变化中,应除外()
	A.肾小球肾炎
	B.缺铁性贫血
	C.肺门淋巴结肿大
	D.肺间质纤维化
	E.肺部实变
61、单项选择题 下述为节育器在盆腔正位投照时的正常形态,但除外()
	A.扁圆形
	B.长圆形
	C.圆形
	D.纵“一”字形
	E.横“一”字形
62、单项选择题
患者,女,28岁,轻咳两月,有盗汗。胸片如图:
	
	A.Ⅰ
	B.Ⅱ
	C.Ⅲ
	D.Ⅳ
	E.Ⅵ
63、单项选择题 诊断肾下垂,下列哪项检查最合适()
	A.腹部卧位平片
	B.逆行肾盂造影片
	C.静脉肾盂造影后摄立位全尿路X线片
	D.腹部立位平片
	E.静脉肾盂造影片
64、单项选择题 继发性肺结核以渗出浸润为主型的X线表现,下列哪项不正确()
	A.散在或较广泛的支气管播散灶
	B.肺门淋巴结常增大
	C.可见薄壁、张力和纤维空洞
	D.病灶为斑片状或云絮状
	E.病多位于两肺锁骨上、下区域
65、单项选择题 下列转移性骨肿瘤特点中,哪项是错的()
A.脊柱转移最常见  
B.同一原发灶,可兼有溶骨性、成骨性转移  
C.可有软组织肿块或肿胀  
D.膀胱癌多为成骨性转移  
E.甲状腺癌转移者,局部骨可膨胀
66、多项选择题 下列那些疾病可能发生乳头内陷()
	A.乳腺癌
	B.浆细胞性乳腺炎
	C.乳腺脂肪坏死
	D.乳腺囊性增生
	E.乳腺结核
67、单项选择题 黏多糖贮积症Ⅳ型,下述哪个部位可以正常()
	A.骨盆
	B.脊柱
	C.颅骨
	D.手部
	E.腕部
68、单项选择题 DR与CR相比()
	A.时间分辨力和空间分辨力均不足
	B.时间分辨力好,空间分辨力不足
	C.时间分辨力不足,空间分辨力好
	D.时间分辨力和空间分辨力均较高
	E.均可进行透视
69、单项选择题
	男,60岁,左股骨痛1年余,结合图像,最可能的诊断是()
	A.骨纤维异常增殖症
	B.Paget病
	C.髋关节结核
	D.股骨头缺血坏死
	E.化脓性骨髓炎
70、单项选择题 包裹性胸腔积液的好发部位是()
	A.后胸壁和侧胸壁
	B.前、后肋膈角
	C.叶间裂
	D.前胸壁
	E.肺尖部
71、单项选择题 诊断造釉细胞瘤主要X线表现是()
	A.下颌骨角及升支内单房或多房呈圆形透光区
	B.囊壁边缘常不规则呈半月形切迹
	C.肿瘤较大时常引起颌骨膨大
	D.肿瘤内常有间隔呈多房形
	E.瘤内含有牙齿或未发育完全的牙齿结构
72、单项选择题 椎间小关节囊是指()
	A.包绕关节突后、外侧
	B.包绕关节突前、后侧
	C.包绕关节突前、内侧
	D.若肥厚,可压迫神经根
	E.关节囊松弛对关节稳定性无影响
73、单项选择题 膈下脓肿的典型X线表现()
	A.膈下液平面
	B.膈肌活动度受限
	C.膈肌局限性凸起
	D.膈肌抬高
	E.膈面模糊
74、单项选择题
	女,3岁,身体发育异常,如图所示,最可能的诊断为()
	A.成骨不全
	B.粘多糖病
	C.软骨发育不全
	D.佝偻病
	E.侏儒症
75、单项选择题 关于产生X线条件的叙述,错误的是 ( )
	A.电子源
	B.高速电子流
	C.阻碍电子流的靶面
	D.高速电子与靶物质相互作用的结果
	E.X线管的靶面均由钼制成
76、单项选择题 造影时发生碘油栓塞,患者应取的位置是()
	A.头高足低右侧卧位
	B.头低足高左侧卧位
	C.头高足低左侧卧位
	D.头低足高右侧卧位
	E.平卧位
77、单项选择题 PTC一般不用于以下哪种诊断()
	A.诊断先天性胆管疾病
	B.鉴别胆总管远端病变
	C.诊断胆囊摘除后遗症
	D.诊断胆道功能紊乱
	E.鉴别黄疸原因
78、单项选择题 胸部摄片常规体位是()
	A.站立位
	B.仰卧位
	C.俯卧位
	D.坐位
	E.侧卧位
79、单项选择题
下列各肺叶肺不张的摄影位置的选择,哪项是错误的()
	A.下叶肺不张--常规正侧位加斜位 
	B.中叶肺不张--常规正位加弓位或侧位 
	C.左小叶肺不张--左侧位 
	D.右上叶肺不张--常规正位 
	E.盘状肺不张--常规正位
80、单项选择题
	患者,男,23岁,患者自述后枕部隆起3年,枕部见一局部隆起,质硬,无活动,无明显压痛,无局部红肿热痛,拍片如下,最可能的诊断为()
	A.骨样骨瘤
	B.骨软骨瘤
	C.骨瘤
	D.颅骨纤维异常增殖症
	E.血管瘤
81、单项选择题 颅底凹陷症,标准摄片体位是()
	A.颅底颌顶位
	B.颅底顶颌位
	C.头颅汤氏位
	D.高颈椎侧位
	E.高颈椎颅底侧位
82、单项选择题 间质性肺水肿发生水肿液聚积的部位不包括()
	A.肺泡间隔
	B.小叶间隔
	C.支气管及血管周围结缔组织
	D.胸膜下结缔组织
	E.肺泡导管
83、多项选择题
	男,24岁,鼻部被击伤,如图所示,最可能的诊断是()
	A.鼻骨中段见透亮线影
	B.鼻骨远端稍塌陷
	C.鼻骨骨折处可见小骨片影向下方分离
	D.考虑为鼻骨线性骨折
	E.鼻骨粉碎性骨折
84、多项选择题 血供丰富的肝转移癌多表现为()
	A.供血血管增粗
	B.动静脉瘘
	C.病理血管
	D.肿瘤染色
	E.血管受压弯曲
85、单项选择题 关于周围型肺癌X线表现,下列哪项描述不对()
	A.反"S"征
	B.可有厚壁空洞,壁厚薄不均,少有液平面
	C.可有肺内转移灶
	D.有分叶、毛刺
	E.可有阻塞性肺炎
86、单项选择题 十二指肠溃疡最常见的部位是()
	A.水平部
	B.球部
	C.降部
	D.球后部
	E.小弯侧
87、单项选择题 增殖型肠结核的X线表现主要为()
	A.跳跃征
	B.肠腔扩张
	C.肠管收缩
	D.肠壁增厚
	E.以上都是
88、单项选择题 类风湿关节炎易侵犯颈椎时易发生环枢关节半脱位,下列描述中哪项不是半脱位的典型表现()
	A.环枢关节向前半脱位
	B.齿状突向上移位
	C.颈1侧块向两侧半脱位
	D.颈1向上半脱位
	E.环枢关节向上半脱位合并齿状突受侵蚀
89、单项选择题 钡餐示“胃粘膜皱襞增粗”,则可除外()
	A.ZollingerEllison综合征
	B.革袋胃
	C.Crohn病
	D.Menetrier病
	E.原发性胃非何杰金淋巴瘤
90、多项选择题 下列哪些先天性心脏病,易合并肺动脉高压()
	A.Lutembacher综合征
	B.房间隔缺损
	C.室间隔小缺损
	D.室间隔大缺损
	E.肺动脉狭窄
91、单项选择题 下述疾病的肺血均属正常,但应除外()
	A.原发性肺动脉高压
	B.特发性肺动脉扩张
	C.先天性主动脉瓣狭窄
	D.先天性主动脉缩窄
	E.特发性升主动脉扩张
92、单项选择题 下述“骨纤维异常增殖症”影像表现,哪项不对()
	A.骨改变以板障增宽为特征
	B.囊状膨胀性病变,有硬化缘
	C.可有硬化和斑点样钙化
	D.病理骨折后,局部囊络”样
93、单项选择题 关节退行性变X线表现不包括()
	A.关节间隙变窄
	B.关节强直
	C.关节软骨下骨质囊变
	D.骨缘骨赘形成
	E.骨性关节面硬化
94、多项选择题 引起肝脓肿常见的细菌为()
	A.大肠杆菌
	B.金黄色葡萄球菌
	C.绿脓杆菌
	D.变形杆菌
	E.肠炎杆菌
95、单项选择题 X线平片不能显示的异常征象是()
	A.肾区高密度钙化影
	B.肾囊肿
	C.肾轮廓改变
	D.膀胱区钙化影
	E.输尿管钙化影
96、单项选择题 下列畸形,与“Klippel-Feil综合征”无关的是()
	A.脊髓空洞症
	B.Sprengel畸形
	C.“颈椎间盘突出”发病率升高
	D.颈椎融合畸形
	E.融合处椎间孔闭合
97、单项选择题 正常骨膜内一般不含有()
	A.成骨细胞
	B.破骨细胞
	C.神经
	D.淋巴管
	E.血管
98、单项选择题 汤氏位照片显示,以下不正确的是()
	A.照片包括全部枕骨、岩骨、眶骨及下颌骨升支
	B.矢状缝与鼻中隔连线位于照片正中
	C.两侧内听道位于岩骨正中清晰显示
	D.鞍背于枕骨大孔内1/2处清晰显示
	E.圆孔、卵圆孔、棘孔可清晰显示
99、多项选择题 肺充血的X线表现为()
	A.两侧肺门阴影缩小
	B.右下肺动脉干扩张>1.5cm
	C.肺动脉段凸出,搏动增强
	D.肺野透明度减低
	E.肺纹理增粗增重,边缘清楚
100、单项选择题 腹部仰卧前后位摄片的叙述错误的是()
	A.患者仰卧于摄片床上
	B.腹部正中矢状面与床面垂直
	C.剑突末端向上2~3cm处平胶片上缘
	D.耻骨联合下2~3cm处平胶片下缘
	E.中心线入射点为脐上3cm
101、单项选择题 下列关于急性肺脓肿的描述,不正确的是()
	A.葡萄球菌、肺炎链球菌为常见致病菌
	B.常有高热、寒战、大量脓痰
	C.邻近胸膜增厚,甚至脓胸形成
	D.多数急性空洞为薄壁空洞
	E.急性空洞常有“液平面”
102、多项选择题 下列符合脊椎滑脱的叙述有()
	A.分真性滑脱和假性滑脱两种
	B.假性滑脱即退变性脊椎滑脱,椎弓(峡部)骨质无断裂
	C.包括前滑脱、后滑脱及侧方滑脱,其中以前滑脱多见
	D.滑脱程度的测量以Meyerding法较适用,分为四度
	E.真性滑脱指椎体滑脱的同时伴有椎弓(峡部)骨质缺损
103、多项选择题 关于DR成像的叙述,正确的是()
	A.X线数字摄片——Digitalradiography
	B.硒鼓技术利用硒接受X线照射后直接转换为电信号
	C.直接放射成像是直接读取感应介质记录的X线信息
	D.直接放射成像以数字化图像方式重放和记录
	E.以上都正确
104、单项选择题 下列哪种疾病,没有龛影表现()
	A.食管憩室
	B.胃溃疡
	C.胃癌
	D.食管癌
	E.肠结核
105、单项选择题 产生X线对比度小的组织与器官()
	A.消化道,血管,脂肪
	B.血管,生殖系统,脂肪
	C.泌尿系统,血管,脂肪
	D.消化道,血管,生殖系统
	E.生殖系统,泌尿系统,脂肪
106、多项选择题 慢性肺气肿常见的X线征象包括()
	A.肺纹理增多、扭曲
	B.双侧膈面上抬
	C.肺动脉高压
	D.肋间隙增宽
	E.双侧肺野透亮度增加
107、多项选择题 单纯性小肠梗阻常见原因是()
	A.肠粘连
	B.小肠扭转
	C.炎性狭窄
	D.粘连索带压迫
	E.肿瘤
108、单项选择题 关于常规上臂侧位摄片的说法,哪项错误()
	A.是一个常规位置
	B.应包括肩肘两关节
	C.上臂长轴应与胶片长轴平行
	D.取仰卧位摄片
	E.上肢伸直,桡侧近暗盒
109、单项选择题 下列哪项不属于膀胱造影的术前准备()
	A.排尿
	B.清洁肠道
	C.备好导尿管
	D.碘过敏试验
	E.备好注射用水和容器
110、多项选择题 右下叶支气管的分支包括()
	A.内基底支
	B.前基底支
	C.外基底支
	D.后基底支
	E.背支
111、单项选择题 颅骨侧位片从颅中窝迂曲上行、在冠状缝后分为两支的血管压迹是()
	A.脑膜中静脉压迹 
	B.板障静脉压迹 
	C.导静脉压迹 
	D.脑膜中动脉压迹 
	E.板障动脉压迹
112、多项选择题 放射防护的基本原则是()
	A.实践的正当化
	B.放射防护最优化
	C.个人剂量限值
	D.机房的防护
	E.患者的防护
113、多项选择题 关于胶片对比度的叙 述,正确的是()
	A.胶片对射线对比度的放大能力,称胶片对比度
	B.照片影像对比度与射线对比度之比,称反差系数
	C.反差系数是直线部分的斜率
	D.平均斜率也称曲线的最大斜率
	E.平均斜率等于反差系数
114、单项选择题 下述单纯煤肺影像特点,错误的是()
	A.类圆形小阴影
	B.不规则形小阴影
	C.常有大阴影
	D.罕有胸膜斑
	E.肺间质纤维化
115、单项选择题
	男,52岁,体检胸片如图,最可能的诊断是()

	A.肺不张
	B.胸膜肥厚
	C.包裹性积液
	D.肺炎
	E.气胸
116、多项选择题 纵隔向患侧移位,见于()
	A.慢性纤维空洞型肺结核
	B.肺不张
	C.大叶性肺炎
	D.先天性肺不发育
	E.胸腔积液
117、多项选择题 下列有关石棉肺的说法,正确的是()
	A.较滑石肺患者症状出现晚且轻
	B.胸膜斑比肺内阴影出现早
	C.胸膜改变包括胸膜斑形成、胸膜斑钙化和胸腔积液
	D.早期肺部表现为双下肺纹理增强
	E.常合并支气管肺炎
118、单项选择题 关于肠结核的描述,正确的是()
	A.平片常有“狗耳征”
	B.肠结核好发于回盲部
	C.通常分溃疡型、平坦型和增生型
	D.病变肠段明显增宽、延长
	E.原发灶以腹腔结核最常见
119、多项选择题 关于心包积液,下列哪些项正确()
	A.心尖和主动脉搏动减弱
	B.中等量积液见心影普遍增大
	C.心影呈烧瓶状
	D.上纵隔影增宽
	E.心包积液在300ml以下者,心影大小和形态可无明显改变
120、多项选择题 关于X线防护原则,正确的是()
	A.合理降低个人受照剂量
	B.缩短受照时间
	C.建立屏蔽防护
	D.缩短照射距离
	E.合理降低全民X线检查频率
121、单项选择题 旋转阳极X线管的代表容量是指三相六脉冲整流中,多少曝光时间所能承受的最大负荷()
	A.0.05s
	B.0.1s
	C.0.5s
	D.0.8s
	E.1.0s
122、单项选择题 男,14岁,左小腿近端疼痛半年余,间断持续性局部软组织隆起,质硬、皮温高,X线片示胫骨骨骺均匀性致密呈象牙样及棉絮状,骨膜反应不明显,应考虑是()
	A.骨纤维异常增殖症
	B.硬化性骨髓炎
	C.软骨母细胞瘤
	D.内生软骨瘤
	E.成骨型骨肉瘤
123、多项选择题 可引起眶内骨质破坏的疾病,包括以下哪些()
	A.视网膜母细胞瘤
	B.视神经胶质瘤
	C.视神经脑膜瘤
	D.泪腺混合瘤
	E.以上都不是
124、单项选择题 下列骨髓瘤的X线表现中,错误的是()
	A.好发于颅骨、脊柱、骨盆和肋骨等部位
	B.骨质普遍稀疏
	C.骨呈多发性穿凿样骨质破坏
	D.椎弓根破坏
	E.骨质破坏周边常无硬化
125、单项选择题 静脉肾盂造影时,在注射对比剂后30分钟拍片,利于下列哪种疾病的诊断()
	A.慢性肾盂肾炎
	B.肾积水
	C.海绵肾
	D.肾囊肿
	E.Wilms瘤
126、单项选择题
	椎间盘脱出的部位常见于()
	 
	A.C1-2
	B.T3-4
	C.L1-2
	D.C7~T1
	E.L5~S1
127、多项选择题 下列关于骨瘤的描述,正确的是()
	A.骨瘤分致密型、松质型、混合型三种
	B.颅骨外板发病率高于内板
	C.额、顶、枕骨发病率高于鼻窦区
	D.鼻窦区发病率高于额、顶、枕骨
	E.一般在全身骨骼发育成熟后停止生长
128、单项选择题 管电压的单位是()
	A.V
	B.mV
	C.nV
	D.kV
	E.dV
129、多项选择题 短管骨骨干结核的X线表现为()
	A.骨干内圆形、卵圆形骨质破坏
	B.病灶内有时可见粗大而不整的残存骨嵴
	C.病灶边缘大多比较清楚,可有轻度增生
	D.可见有层状骨膜增生或骨皮质硬化
	E.严重的骨破坏可延及整个指骨骨干
130、单项选择题
	男,17岁,来右前臂疼痛,肿胀近2年,2周前疼痛加剧,查体右前臂压痛明显,皮肤稍显红肿,结合图像,最可能诊断是()
	A.骨囊肿
	B.骨巨细胞瘤
	C.动脉瘤样骨囊肿
	D.软骨瘤
	E.骨血管球瘤
131、单项选择题
	男,24岁,低热、乏力数周,夜间偶有盗汗,胸片如图,最可能的诊断是()
	A.细支气管肺泡癌
	B.肺转移瘤
	C.两肺炎症
	D.血型播散型肺结核
	E.结节病
132、单项选择题
	女,1天早产儿,呼吸困难、发绀,结合图像,最可能的诊断是()
	A.呼吸窘迫综合征
	B.新生儿肺炎
	C.法洛四联征
	D.新生儿支气管炎
	E.肺不张
133、单项选择题
男性,10岁。胸闷、气短,呼吸困难。X线检查如图,最可能的诊断为()
	
	A.心包炎 
	B.心包积液 
	C.先天性ASD 
	D.先天性VSD 
	E.心肌炎
134、单项选择题 下列哪种肾形态无临床意义是()
	A.马蹄肾
	B.驼峰肾
	C.油灰肾
	D.海绵肾
	E.多囊肾
135、单项选择题 水溶性碘对比剂不包括()
	A.碘化油
	B.泛影葡胺
	C.碘帕醇
	D.碘海醇
136、多项选择题 下述哪些为贲门失弛缓症中期的X线表现有()
	A.患者食管中度扩张
	B.食管内有较多滞留物
	C.食管边缘呈锯齿状
	D.食管下段不规则运动明显减少
	E.食管下端呈漏斗状狭窄
137、单项选择题 维生素D缺乏症的早期最早出现X线表现是()
	A.胫骨远侧干骺端
	B.桡骨近侧干骺端
	C.肋骨胸骨端
	D.尺骨远侧干骺端
	E.以上都不是
138、单项选择题
男性,26岁,发育尚可。反复发生上呼吸道感染,近来出现气急,心悸,易疲劳。听诊肺动脉瓣区第二心音亢进,可听到收缩期杂音。行胸部X线平片检查如下图:
	
	A.X线三相位片
	B.超声心动图和彩色多普勒
	C.X线心血管造影
	D.多层螺旋CT
	E.磁共振检查
139、单项选择题 利用以下何种手段可使组织结构影像产生对比最明显()
	A.利用天然对比
	B.用生理功能
	C.利用人工对比
	D.利用专用设备
	E.利用高反差胶片
140、单项选择题 下列哪种体位最适宜观察双侧肺尖的病变()
	A.肺尖放大摄影
	B.肺尖前弓位
	C.肺尖后弓位
	D.胸部后前位
	E.胸部前后位
141、单项选择题 头颅平片的诊断价值,下述观点哪项不正确()
	A.显示颅内血肿
	B.显示颅内金属异物
	C.显示骨折
	D.显示颅骨发育情况
	E.显示颅内病理性钙化
142、多项选择题 乳腺X线摄片线质的特点是()
	A.波长较短
	B.波长较长
	C.X线能量低
	D.X线穿透力较强
	E.X线穿透力较弱
143、单项选择题 与椎骨有关的是哪项()
	A.棘突
	B.翼状突
	C.髁状突
	D.后床突
	E.喙状突
144、单项选择题 胸片显示为双侧性弧形肿块,密度均匀,且无钙化,可能是以下哪种肿瘤()
	A.胸内甲状腺肿
	B.神经源性肿瘤
	C.胸腺瘤
	D.淋巴瘤
	E.畸胎瘤
145、单项选择题 下列诊断肺隔离症最有价值的X线方法是()
	A.支气管造影
	B.主动脉造影
	C.体层摄影
	D.胸部平片
	E.肺动脉造影
146、单项选择题 正确选择乳突梅氏位的摄影角度,应是()
	A.双25°
	B.双35°
	C.双45°
	D.双55°
	E.双65°
147、多项选择题 下列哪些不是早期食管癌的X线征象()
	A.粘膜增粗、消失
	B.浅小溃疡
	C.小的充盈缺损
	D.管壁广泛性僵硬
	E.管腔明显狭窄
148、单项选择题 关于胸部摄片的描述,错误的是()
	A.左前斜位,冠状面与暗盒成40~45°
	B.右前斜位,冠状面与暗盒成45~55°
	C.胸正位——冠状面平行暗盒
	D.胸侧位——冠状面垂直暗盒
	E.前凸位——胸部冠状面与暗盒不小于45°
149、单项选择题
	男,21岁,1月前触及颈部淋巴结肿大,现有上腔静脉综合征,结合胸片,最可能的诊断()
	A.结节病
	B.淋巴结核
	C.转移性淋巴结肿大
	D.淋巴瘤
	E.胸腺瘤
150、单项选择题
	女,4岁,左腿跛行2个月。结合图像,最可能的诊断是()
	A.骨囊肿
	B.软骨肉瘤
	C.骨肉瘤
	D.髋关节结核
	E.股骨头骨骺缺血坏死
151、多项选择题 淋巴瘤纵隔肿大淋巴结的分布以哪组最常见()
	A.前纵隔
	B.支气管旁组
	C.气管与支气管组
	D.隆突下组
	E.中纵隔组
152、单项选择题 导致X线行进中衰减的原因是()
	A.X线频率
	B.X线波长
	C.X线能量
	D.物质和距离
	E.X线是电磁波
153、单项选择题 “硬化型”食管癌的特征性影像表现是()
	A.食管局限性狭窄
	B.食管腔内充盈缺损
	C.不规则龛影
	D.牵引性憩室
	E.食管扩张下端呈鸟嘴状
154、单项选择题 骨囊肿的X线表现中,哪项应除外()
	A.囊肿一般为单发,很少多发
	B.病灶大多为卵圆形,长径与骨长轴一致
	C.囊肿向外膨胀性生长
	D.膨胀的程度一般不超过干骺端的宽度
	E.囊内可见明显骨嵴
155、多项选择题 广泛性骨质疏松不常见于哪些情况()
	A.豆状骨骨折后
	B.绝经后
	C.甲状旁腺功能亢进
	D.肢端肥大症
	E.多发性骨髓瘤
156、单项选择题 关于直肠正常影像描述,下列错误的是()
	A.直肠骶曲凸向后方
	B.乙状结肠、直肠交界处常有生理性狭窄
	C.直肠会阴曲凸向前方
	D.直肠后壁与骶骨前缘间距离,应小于1.5cm
	E.对排便困难患者,结肠低张双对比造影价值最高
157、单项选择题 下列哪种疾病不表现双肺弥漫粟粒样阴影()
	A.血源播散型肺结核
	B.肺转移瘤
	C.支气管肺炎
	D.结节病
	E.矽肺
158、多项选择题 在平片上,蝶鞍增大和(或)破坏见于下列哪种情况()
	A.垂体瘤
	B.蝶鞍或后组筛窦囊肿或肿瘤
	C.视交叉胶质瘤
	D.颅咽管瘤
	E.以上都不是
159、单项选择题 有关牛皮癣性关节炎的叙述中,哪项不正确()
	A.常有指甲改变
	B.一般不侵犯腕和跗间关节
	C.常对称性地侵犯远侧指间关节
	D.指间关节或掌指关节出现脱位或半脱位,形成毁形性关节炎
	E.一般无骨质疏松
160、单项选择题 下列不宜做子宫输卵管造影的是()
	A.不孕症
	B.了解输卵管结扎术后效果
	C.生殖器官畸形
	D.了解子宫出血的原因
	E.子宫恶性肿瘤
161、单项选择题 一般不引起左心房增大的是()
	A.风湿性心脏病,左房室瓣狭窄
	B.先天性心脏病,房间隔缺损
	C.风湿性心脏病,左房室瓣关闭不全
	D.心肌病
	E.以上都不是
162、多项选择题 尿路造影中常见肾盂、肾盏破坏,其常见于下列哪些病因()
	A.肾结核
	B.肾盂癌
	C.肾炎
	D.肾癌
	E.黄色肉芽肿性肾盂肾炎
163、多项选择题 骨折线需与以下哪几项区别()
	A.骨骺线
	B.营养动脉血管
	C.颅缝
	D.生长障碍线
	E.关节间隙
164、单项选择题 下列哪种疾病不出现主动脉根部不扩张表现()
	A.法洛四联征
	B.Marfan综合征
	C.梅毒性心脏病
	D.主动脉瓣狭窄
	E.心内膜纤维弹性组织增生症
165、单项选择题
	男,3岁,走路跛行,两下肢不等长,左脚外展受限,结合图像,最可能的诊断是()
	A.髋关节前脱位
	B.髋关节后脱位
	C.髋关节中心脱位
	D.先天性髋内翻
	E.髋关节结核
166、单项选择题 下列关于支气管动脉的解剖叙述,错误的是()
	A.支气管动脉直径正常为2~3mm,当肺部有肿瘤时相应的血管可增粗
	B.正常支气管动脉从纵隔向肺门方向行走,可与纵隔内动脉、肋间动脉或对侧支气管动脉相通
	C.右侧支气管动脉大多为一支且与肋间动脉共干,并以与第三肋间动脉共干为最常见
	D.支气管动脉起源均在胸主动脉4~9胸椎水平
	E.70%~90%起自第5-6胸椎水平
167、单项选择题
	女,79岁,双手肿块,疼痛,结合图像,最可能的诊断是()
	A.骨脓肿
	B.骨囊肿
	C.骨结核
	D.原发性肿瘤样钙质沉着症
	E.骨肉瘤
168、单项选择题 下列关于心血管功能的说法,哪项是不正确的()
	A.心的传导系统包含窦房结、房室结和房室束
	B.正常心的起搏点是房室结
	C.动脉是运血离心的管道
	D.静脉是引导血流回心的管道
	E.静脉血管的管壁薄、管腔大、血容量大
169、单项选择题 肾自截的X线征象为()
	A.肾功能丧失,尿路造影不显影,肾实质钙化
	B.肾小盏扩大,显影变淡
	C.肾盏呈虫蚀样破坏
	D.肾脏轮廓增大
	E.以上都不是
170、多项选择题 气胸的X线表现包括()
	A.患侧胸壁下方见无肺纹理区
	B.患侧肺萎陷、密度增高,向肺门压缩
	C.张力性气胸时,纵隔向患侧移位
	D.患侧膈肌下降变平
	E.可见压缩肺的脏层胸膜线
171、单项选择题 X线诊断大叶性肺炎最主要的影像依据是()
	A.肺大叶性阴影
	B.含气支气管像
	C.两肺多发大片影
	D.肺纹理模糊增多
	E.横膈运动受限
172、多项选择题 引起“小肠梗阻”病因有()
	A.腹腔手术后
	B.肠结核
	C.回肠类癌
	D.小肠蛔虫症
	E.卵巢癌腹腔种植转移
173、单项选择题
	女,45岁,寒战、高热1周,WBC:1.8×109/L,胸片如图,应首先考虑()
	A.肺结核
	B.肺癌
	C.肺脓肿
	D.肺隔离症
	E.大叶性肺炎
174、单项选择题 当柯氏位投照时,听眦线与暗盒的夹角为()
	A.0°
	B.23°
	C.45°
	D.37°
	E.15°
175、单项选择题
	男,46岁,腹部不适多年,结合图像,最可能的诊断为()
	A.正常空肠
	B.空肠结核
	C.克罗恩病
	D.空肠多发憩室
	E.空肠占位
176、多项选择题 肺泡性肺水肿的X线征象有()
	A.间隔线阴影
	B.病变动态变化较快
	C.胸腔积液
	D.蝶翼征
	E.上肺静脉扩张
177、单项选择题 X线检查腰椎前后位时,中心线应对准()
	A.脐上2cm
	B.肚脐
	C.脐下2cm
	D.肚脐与耻骨连线中点下4cm
	E.剑突
178、单项选择题 下列关于“膀胱结核”的诊断要点,错误的是()
	A.多继发于生殖系统结核
	B.多继发于肾结核
	C.膀胱体积缩小
	D.膀胱壁线样钙化
	E.输尿管开口附近可见充盈缺损
179、单项选择题
	女,23岁,行按摩时,听到“咔”一声后感手指剧痛,结合图像,最可能的诊断是()
	A.血管瘤
	B.骨囊肿
	C.骨巨细胞瘤
	D.上皮样囊肿
	E.内生软骨瘤并骨折
180、单项选择题 有关脊索瘤的好发部位和X线主要特点,错误的是()
	A.肿瘤好发生于脊柱两端,居中线部位
	B.常为膨胀性溶骨性破坏,其中可残存碎骨片或小梁沟隔
	C.绝大多数病人可有骨质增生和硬化
	D.50%病人可有钙化
	E.以上都不是
181、单项选择题
	男,38岁,左膝痛,受伤时出血较多,结合图像,最可能的诊断是()
	A.白血病
	B.血友病性关节炎
	C.骨巨细胞瘤
	D.退行性骨关节病
	E.类风湿关节炎
182、多项选择题 骨附属组织发生的肿瘤,指起源于()
	A.血管
	B.神经
	C.脂肪
	D.骨髓
	E.骨
183、单项选择题
	女,72岁,上腹不适,结合图像,最可能的诊断为()
	A.球部憩室
	B.球部溃疡
	C.降段憩室
	D.降段占位
	E.水平段憩室
184、多项选择题 常用作屏蔽防护的器械为()
	A.X线管壳
	B.滤过板
	C.铅屏
	D.铅橡皮围裙
	E.墙纸
185、单项选择题
	女,71岁,吞咽困难数月,结合图像,最可能的诊断为()

	A.正常表现
	B.食管静脉曲张
	C.食管平滑肌瘤
	D.食管上段癌
	E.食管下段癌
186、单项选择题 关于“多发性骨髓瘤”影像表现,错误的是()
	A.影像改变常迟于临床症状
	B.骨质硬化少见
	C.穿凿样、蜂窝状等多种形态的骨质破坏
	D.常有骨膜反应
	E.广泛性骨质疏松
187、多项选择题 以下属于软骨内化骨者的是()
	A.锁骨两端
	B.脊柱
	C.躯干
	D.面骨
	E.四肢骨
188、单项选择题 婴幼儿胸片见沿肺纹理走行的小三角形或斑点状密度增高影及泡性小透亮区,最先考虑的诊断为()
	A.病毒性肺炎
	B.原发性肺结核
	C.支原体肺炎
	D.支气管肺炎
	E.大叶性肺炎
189、单项选择题
	女,31岁,左侧髋部疼痛1月余,有压痛,压之有捏乒乓球感,结合影像学检查,最可能的诊断是()
	A.骨囊肿
	B.骨巨细胞瘤
	C.动脉瘤样骨囊肿
	D.成软骨细胞瘤
	E.骨结核
190、单项选择题 围绕视神经周围的是()
	A.脂肪组织
	B.少突胶质细胞
	C.雪旺细胞
	D.脑膜
	E.无任何组织
191、单项选择题 四肢长管状骨摄片时至少应包括()
	A.长骨的两端
	B.邻近两个关节
	C.长骨的上端或下端
	D.长骨的软组织
	E.邻近一个关节
192、单项选择题 标准后前位立位胸片,焦片距应为()
	A.0~0.5m
	B.0.5~1.0m
	C.1.0~1.5m
	D.1.5~2.0m
	E.1.8~2.0m
193、多项选择题 肺纹理聚拢见于()
	A.肺结核
	B.支气管扩张
	C.阻塞性肺气肿
	D.胸腔积液
	E.肺不张
194、单项选择题 关于数字成像方法的叙述,错误的是()
	A.胶片数字化仪不是数字化X线成像方式
	B.计算机放射摄影是数字化X线成像方式
	C.非直接转换技术是数字化X线成像方式
	D.直接转换技术是数字化X线成像方式
	E.硒鼓技术用于直接放射成像技术
195、多项选择题 后颅凹自鞍背及岩嵴开始至枕内粗隆为止,内有()
	A.小脑、脑桥和延髓
	B.破裂孔
	C.两侧内听道
	D.卵圆孔
	E.脑桥和延髓
196、单项选择题 第3~7颈椎前后位摄影时,中心线应()
	A.向头侧倾斜20°
	B.向头侧倾斜10°
	C.垂直入射胶片
	D.向足侧倾斜10°
	E.向足侧倾斜20°
197、单项选择题 肩胛征常见于()
	A.胃体部癌
	B.胃窦癌
	C.十二指肠溃疡
	D.胃溃疡
	E.结肠癌
198、单项选择题 关于正常食管下端防止胃-食管反流的作用机制,下列哪项是正确的()
	A.锐利的食管胃角,在胃压力作用下使贲门关闭
	B.横膈的张力和弹性作用,深吸气时食管裂孔缩小
	C.在腹腔内压力作用下,胃食管前庭使食管裂孔管壁紧密靠拢
	D.贲门部黏膜在贲门关闭时凸向胃腔,起防止反流活瓣作用
	E.以上都是
199、多项选择题 闭袢性肠梗阻的X线征象是()
	A.长液平征
	B.短液平征
	C.空回肠转位征
	D.咖啡豆征
	E.假肿瘤征
200、多项选择题 肺静脉高压可见于()
	A.二尖瓣狭窄
	B.左房黏液瘤
	C.肥厚性心肌病
	D.反复发作的肺栓塞
	E.二尖瓣关闭不全