时间:2017-10-16 03:11:38


1、多项选择题
	男,59岁,反复尿频尿急尿痛4年余,尿常规检查:红细胞(+),白细胞(++),CT扫描如图示,下列说法正确的是()
	A.左侧输尿管中下段输尿管管壁增厚,管腔狭窄
	B.左侧侧输尿管上段扩张
	C.考虑为输尿管结核
	D.考虑为慢性输尿管炎
	E.考虑为输尿管移行细胞癌
2、单项选择题 软组织脂肪肉瘤的CT诊断中,错误的是()
	A.多发生于深部软组织,最常见于大腿和腹膜后
	B.呈圆形或不规则形软组织肿块
	C.浸润性生长,边界不清,密度不均
	D.恶性度越高,则CT值越低
	E.增强扫描呈不均匀性强化
3、单项选择题 关于“肾盂积气”,常见于下列哪项疾病()
	A.肾盂输尿管炎性囊肿
	B.糖尿病性肾盂肾炎
	C.黄色肉芽肿性肾盂肾炎
	D.潜水病
	E.肾盂癌
4、多项选择题
	男,8岁,发绀、气促,易感冒,CT检查如图,最可能的诊断是()
	A.考虑为单心室共同动脉干
	B.为一种较为复杂的先天性疾病
	C.目前诊断一般不用心血管造影
	D.最常并发肺动脉瓣及瓣下畸形
	E.可伴有内脏心房异位、房间隔缺损、共同心房、双上腔静脉等畸形
5、单项选择题
	根据所提供图像,最可能的诊断是()
	A.淋巴瘤
	B.肾癌转移
	C.肺癌转移
	D.以上都是
	E.以上都不是
6、单项选择题
	患者踝痛,如图所示,最可能诊断为()
	A.跟距骨桥
	B.缺血坏死
	C.骨髓炎
	D.骨伤
	E.以上都不是
7、单项选择题 不适宜做CT检查的脏器是()
	A.肺脏
	B.肝脏
	C.脾脏
	D.肾脏
	E.肠道
8、单项选择题 关于对比剂增强的“四腔心”层面,下列哪项描述是错误的()
	A.可见左心室
	B.可见右心室
	C.可见左心房
	D.可见右心房
	E.可见升主动脉
9、单项选择题 颈动脉体瘤的CT表现中,颈总动脉分叉表现为()
	A.无扩大
	B.轻度扩大
	C.扩大,呈杯状
	D.向前移位
	E.缩小
10、单项选择题
	男,60岁,曾患乙肝、肝硬化多年,右上腹胀痛1月余,AFP为80.8μg/L,CT检查如图所示,最可能的诊断是()
	A.肝硬化结节增生、右肾上腺瘤
	B.肝、右肾上腺均为转移癌
	C.肝癌右肾上腺转移
	D.肝腺瘤、右肾上腺腺瘤
	E.肾上腺癌肝转移
11、单项选择题 CT重点观察肾脏疾病,图像的窗宽、窗位是() 91exam .org
	A.W250~350;L35~50
	B.W150~250;L30~40
	C.W350~500;L35~50
	D.W800~1000;L300~400
	E.W1300~1500;L350~500
12、单项选择题 喉腔最狭窄的部位为()
	A.喉前庭
	B.假声带
	C.喉室
	D.声门
	E.声门下腔
13、单项选择题
	男,52岁,贲门癌术后3年,肝脏CT增强扫描如图所示,考虑的疾病为()
	A.贲门癌肝转移
	B.原发性肝细胞癌
	C.肝海绵状血管瘤
	D.多囊肝
	E.肝囊肿
14、多项选择题 Conn综合征的CT检查可见下列哪些征象()
	A.单侧肾上腺孤立性小肿块
	B.肿块呈类圆或椭圆形边缘清楚
	C.病变较小,直径多在2cm以下
	D.密度均一,近于水样密度
	E.增强检查,肿块呈轻度强化
15、单项选择题 最有助于鉴别听神经瘤与三叉神经鞘瘤的征象是()
	A.瘤体与颅板呈锐角
	B.增强幅度
	C.合并出血,坏死
	D.岩骨尖骨质破坏
	E.中、颅后窝骑跨生长
16、单项选择题 下列与胸部CT增强扫描技术不相关的是()
	A.静脉团注对比剂60~70ml
	B.流速2~2.5ml/s
	C.延迟扫描时间20秒
	D.扫描范围和扫描参数同平扫
	E.采用螺旋扫描
17、单项选择题 下列关于肝豆状核变性的描述,哪项是错误的()
	A.是一种遗传性铜代谢障碍性疾病
	B.神经系统主要为豆状核变性
	C.由于铜在肝内蓄积而引起肝脏CT值明显增高
	D.眼角膜有Kayser-Fleioker环出现
	E.肝脏主要为坏死后肝硬化
18、多项选择题 关于肾血管 平滑肌脂肪瘤,叙述错误的是()
	A.肿瘤含血管、横纹肌、脂肪成分
	B.肿瘤可发生破裂出血
	C.为独立的肿瘤,不属于其他综合征
	D.肿瘤多以脂肪为基本成分
	E.肿瘤内均会显示脂肪成分
19、多项选择题 下列哪些是典型肝脓肿的CT表现()
	A.平扫示低密度占位,中心区CT值略高于水
	B.多为圆或椭圆形,部分腔内有分隔
	C.脓肿内可见小气泡
	D.脓肿周围出现不同密度环形带
	E.增强扫描脓肿壁有较明显的强化,但强化持续时间很短
20、单项选择题 关于“脑膜瘤”的病理、影像描述,下列哪项不对()
	A.是最常见的脑外肿瘤
	B.易引起颅骨增厚,破坏,变薄
	C.不发生于脑室内
	D.脑膜中动脉供血为主,脉络膜动脉次之
	E.囊变、坏死与肿瘤良恶性无关
21、单项选择题 图像显示技术中,应用最多而且最重要的技术是()
	A.黑白反转
	B.放大
	C.窗口
	D.图像方向旋转
	E.三维图像重建
22、单项选择题 关于增强扫描腹部脏器的CT检查,错误的是()
	A.增强扫描通常在平扫后进行
	B.采用静脉内团注法
	C.对比剂用量60~80ml,流速2~3ml/s
	D.肝脏、脾脏增强通常采用三期扫描
	E.肝动脉期延迟扫描时间60秒
23、单项选择题
	男,57岁,腹部隐痛不适伴低热2月余,腋下可触及数个肿大的淋巴结,结合所示图像,最可能的诊断是()
	A.左侧肾上腺癌并胃脾转移
	B.左侧恶性嗜铬细胞瘤侵及胃脾
	C.左侧肾上腺淋巴瘤且胃脾受累
	D.左侧肾上腺腺瘤
	E.左侧肾上腺转移癌
24、单项选择题 中年女性,右上腹隐痛半年,伴黄疸2月。肝内胆管轻度扩张,正常胆囊未显示。其局部见与肝密度相似的软组织肿块影,肿块轻度增强,最可能的诊断是()
	A.急性胆囊炎
	B.慢性胆囊炎
	C.胆囊结石
	D.肝癌
	E.胆囊癌
25、单项选择题
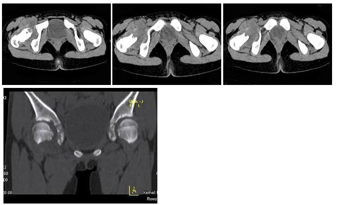
	根据所提供的图像,该病例最可能的诊断为()
	A.溃疡性结肠炎
	B.缺血坏死性结肠炎
	C.巨细胞包涵体病毒感染性结肠炎
	D.结肠癌
	E.淋巴瘤
26、单项选择题
	女,11岁,肺部有结核病史,二个月前右髋关节有外伤史,右髋关节部逐渐肿胀疼痛,休息后可减轻,结合图像,最可能的诊断是()
	A.右髋关节结核
	B.化脓性关节炎
	C.右髋关节退行性变
	D.右髋关节类风湿关节炎
	E.右髋关节痛风
27、单项选择题 关于CT机的工作原理描述,错误的是()
	A.利用窄束X线穿透被检部位
	B.透过被检体的X线被探测器接收直接成像
	C.X线穿透被检部位时,其强度呈负指数关系衰减
	D.计算机将模拟信号变成数字信号,再重建图像
	E.A/D转换是将模拟信号转换成数字信号
28、单项选择题 关于视神经的解剖部位描述,下列哪项正确()
	A.视乳头至视交叉 
	B.黄斑至视交叉 
	C.视交叉至视束 
	D.视乳头至视束 
	E.黄斑至视束
29、单项选择题 肝脏的不规则增强是由于()
	A.动脉期成像
	B.肝转移
	C.门静脉栓塞
	D.胰腺癌
	E.以上都不是
30、多项选择题 男,CT示左顶4cm×3cm囊性肿块,左侧脑室受压变窄。关于影像学分析,下列哪些是正确的()
	A.诊断应考虑:皮样囊肿、胆脂瘤、蛛网膜囊肿等
	B.囊壁有无钙化对皮样囊肿与蛛网膜囊肿的鉴别无帮助
	C.占位效应有助于皮样囊肿与蛛网膜囊肿的鉴别
	D.壁有无强化有助于皮样囊肿与蛛网膜囊肿的鉴别
	E.周围有无水肿有助于皮样囊肿与星形细胞瘤的鉴别
31、单项选择题 右下肺门的主要构成为()
	A.右下肺动脉及下肺静脉
	B.右下肺动脉及上下肺静脉
	C.右下肺静脉及动脉(除后回归支外)
	D.右下肺静脉及相应支气管、淋巴结
	E.右下肺动脉
32、单项选择题
	男,64岁,发热,腰部疼痛半月余,结合影像学检查,最可能的诊断是()
	A.脊椎结核
	B.椎体压缩性骨折
	C.脊椎转移瘤
	D.脊椎骨髓瘤
	E.脊椎骨髓炎
33、单项选择题 全小叶型肺气肿的典型CT表现是()
A.两肺弥漫分布低密度区,无壁  
B.呈散在小圆形低密度区,无壁  
C.胸膜下肺大泡  
D.肺内肺大泡形成  
E.蜂窝状改变
34、多项选择题 蝶鞍层面解剖结构可显示()
	A.后床突
	B.脑桥
	C.枕大池
	D.四脑室
	E.垂体
35、多项选择题 观察分析心脏CT图像时,正确的方法是()
	A.根据扫描层面的顺序,依次观察心脏大血管病变
	B.心脏和胸腔内大血管病变观察范围从主动脉弓上平面直至膈平面
	C.根据病变情况还可确定特殊的平面和范围
	D.根据病变的性质分别采用平扫、薄层扫描、增强或动态增强扫描
	E.对病灶常需同时观察时间.密度曲线,有利于作出正确的诊断
36、单项选择题 “罕见于成人”的脑肿瘤是()
	A.胶质瘤
	B.转移瘤
	C.垂体瘤
	D.髓母细胞瘤
	E.脑膜瘤
37、单项选择题 CT扫描广泛应用于临床的根本原因是()
	A.密度分辨力高
	B.空间分辨力高
	C.可获得冠状面、矢状面图像
	D.患者接受X线少
	E.显示的范围大
38、单项选择题 CT扫描示左下肺后基底段可见囊实性肿块,中央为液性成分,边缘光整,壁厚强化明显,病灶内侧可见异常供血动脉,最可能的诊断是()
	A.肺癌
	B.肺隔离症
	C.肺脓肿
	D.肺结核
	E.支气管源性囊肿
39、单项选择题 一般脑血肿多少天后可进入低密度期()
	A.10天
	B.20天
	C.30天
	D.40天
	E.50天
40、单项选择题
男,56岁,头部被弹片炸伤,CT检查如图,最可能的诊断是()
	
	A.结核钙化
	B.动静脉畸形
	C.脑囊虫病钙化
	D.脑血吸虫病
	E.颅内异物(弹片)
41、单项选择题 关于腹部脏器的增强扫描CT检查,错误的是()
A.采用静脉内团注法  
B.门脉期延迟扫描时间60~70秒  
C.实质期延迟扫描时间85~90秒  
D.怀疑肝血管瘤,则实质期的延迟扫描时间为30~50分钟  
E.肾脏增强扫描通常应扫描皮质期、髓质期和分泌期
42、单项选择题
女,9岁,视力下降1月余,CT检查如图,最可能的诊断为()
	
	A.胶质瘤
	B.脑膜瘤
	C.脊索瘤
	D.垂体瘤
	E.颅咽管瘤
43、单项选择题 CT辐射防护中,局部剂量测量常用X线管电流量为()
	A.80mAs
	B.100mAs
	C.120mAs
	D.150mAs
	E.200mAs
44、单项选择题
	男,16岁,大腿可触及柔软、无痛性肿块,结合图像,最可能的诊断是()
	A.滑膜肉瘤
	B.脂肪肉瘤
	C.脂肪瘤
	D.血管瘤
	E.淋巴管瘤
45、单项选择题 声带癌侵犯声门下的标准是肿瘤向下超过声带突()
A.1mm  
B.3mm  
C.4mm  
D.5mm  
E.10mm
46、单项选择题 血管瘤的CT检查中,下列哪项征象描述不对()
A.球后肌锥内圆形、类圆形肿块、边界清楚  
B.密度可因血窦和间质比例不同而异  
C.部分可有斑点状或圆形高密度钙化  
D.增强检查肿瘤强化明显  
E.肿瘤较大可压迫眶骨变形,骨质破坏
47、多项选择题
	男,20岁,右腰部胀痛不适,MRI如图示,下列说法正确的是()
	A.右侧肾盂积水
	B.右侧输尿管上段扩张积水
	C.右侧输尿管走行异常,呈“S”形向中线移位
	D.考虑为右侧腔静脉后输尿管
	E.考虑为右侧输尿管自身的扭曲
48、单项选择题 正常肝脏平扫CT值为()
	A.0~20HU
	B.20~40HU
	C.40~60HU
	D.60~90HU
	E.90~100HU
49、单项选择题 “眼直肌增粗”,最常见于下列哪种疾病()
A.结节病  
B.肢端肥大症  
C.眼眶蜂窝织炎  
D.痛性眼肌麻痹  
E.突眼性甲状腺肿
50、单项选择题 关于软组织血肿,描述正确的是()
	A.如没有外伤,不应怀疑血肿
	B.X线平片可初步确定血肿的范围
	C.急性血肿显示为囊性密度减低区
	D.血肿的囊壁无强化效应
	E.增强扫描仅在于发现血肿与周围组织的关系
51、单项选择题 眼眶CT扫描采用()
	A.听眦线25°横轴位和冠状位
	B.听眦线30°横轴位和冠状位
	C.听眦线横轴位和冠状位
	D.听眦线横轴位和矢状位
	E.听眦线20°横轴位和冠状位
52、单项选择题
	男,46岁,无痛性腹部肿块10月余,进行性增大伴消瘦2个月,结合图像,最可能的诊断是()
	A.脂肪肉瘤
	B.纤维肉瘤
	C.神经源性肿瘤
	D.滑膜肉瘤
	E.转移瘤
53、单项选择题
	女,58岁。左腰部不适、血尿2月余。CT增强扫描如下图。最可能的诊断是()
	A.肾癌
	B.肾盂癌
	C.肾错构瘤
	D.肾囊肿
	E.肾脓肿
54、单项选择题 下列哪项疾病容易发生腹膜腔种植转移()
	A.宫颈癌
	B.卵巢癌
	C.宫体癌
	D.直肠癌
	E.子宫肌瘤
55、单项选择题 肾上腺的CT图片,需测量肾上腺的长度及厚度,其主要原因是()
	A.肾上腺太小,医生读片时无法测量
	B.除外肾上腺皮质增生
	C.测量其形状,协助诊断
	D.肾上腺很小,可提醒诊断读片时注意
	E.以上都是
56、单项选择题 关于门静脉瘤栓的描述,不正确的是()
	A.平扫时瘤栓密度与门静脉无大差异
	B.巨块型肝癌形成门脉瘤栓的比例最高
	C.若门静脉分支直径大于主干,则提示分支有瘤栓形成
	D.增强扫描瘤栓呈低密度充盈缺损
	E.可向两端延伸至肝内和(或)肠系膜上静脉
57、多项选择题 下列哪些参与鼻腔顶部的构成()
	A.筛板
	B.蝶骨
	C.额骨鼻部
	D.眶骨
	E.鼻骨
58、单项选择题
男,42岁,胸痛1周余,X线片发现肺部阴影,CT检查如图,最可能的诊断为()
	
	A.肺部感染
	B.肺放线菌感染并脓胸侵犯胸壁
	C.肺类风湿病侵犯胸壁
	D.肺结核并胸腔积液
	E.肺霉菌感染并脓胸侵犯胸壁
59、单项选择题 肾细胞癌的病理改变,哪项是错误的()
	A.肾细胞癌起源于肾小管上皮,有包膜
	B.肿瘤常发生出血
	C.可出现坏死、囊变
	D.肿瘤可有钙化、纤维化
	E.易于发生转移
60、单项选择题 过敏性鼻炎和鼻窦炎的影像学特点,错误的是()
	A.息肉常见
	B.急性期上颌窦粘膜呈分叶状
	C.慢性期可见粘膜下囊肿
	D.双侧粘膜肿胀,少见积液
	E.蝶窦内为息肉好发区
61、单项选择题 下列卵巢癌的CT表现中,不正确的是()
	A.盆腔肿块
	B.淋巴转移和血行播散也较常见
	C.可见腹水
	D.腹膜腔播散
	E.大网膜转移
62、多项选择题 进展期中央型肺癌的瘤体CT征象可以有()
	A.支气管狭窄
	B.支气管梗阻
	C.支气管壁增厚
	D.支气管管腔内结节
	E.肺门肿块
63、单项选择题 有关CT图像伪影的概念,正确的论述是()
	A.图像中不正常的解剖影像
	B.被检体以外物质影像的显示
	C.被检体内不存在的假像
	D.图像中密度过高或过低的影像
	E.影片中图像的变形
64、单项选择题 “小膀胱征”多见于()
	A.膀胱息肉
	B.膀胱结石
	C.膀胱结核
	D.膀胱移行上皮癌
	E.急性膀胱炎
65、多项选择题 眼眶炎性假瘤的分型,包括()
	A.眶隔前型
	B.肌炎型
	C.泪腺炎型
	D.巩膜周围炎型
	E.神经束膜炎型
66、单项选择题 与骨样骨瘤的CT表现不符的是()
	A.圆形或类圆形的境界清晰的低密度灶
	B.瘤巢中可有不规则钙化周围环绕低密度晕环
	C.瘤巢增强后中度强化
	D.瘤巢周不同程度的反应性骨增生可致瘤巢被隐匿
	E.邻近骨膜增生
67、单项选择题 关于碘对比剂的叙述,正确的是()
	A.泛影葡胺属无机碘化物
	B.碘对比剂均为阳性对比剂
	C.离子型对比剂是阴性对比剂
	D.非离子对比剂不能用于心血管造影
	E.复方泛影葡胺是非碘对比剂
68、单项选择题
女,52岁,头痛、恶心、步态不稳,胸部和颅脑增强CT检查如图,最可能的诊断为()
	
	A.星形细胞瘤
	B.脑脓肿
	C.肺癌脑转移
	D.脑膜瘤
	E.脑梗死
69、多项选择题 垂体微腺瘤在CT扫描时的间接征象包括以下哪几项()
	A.垂体高度增加
	B.垂体内有出血
	C.垂体柄偏移
	D.颈内动脉被包绕
	E.鞍底局限性下陷或局部骨质吸收
70、单项选择题 对多发性骨髓瘤检出率最高的影像检查是()
	A.平片
	B.断层
	C.CT平扫
	D.增强CT
	E.MRI
71、单项选择题 骨样骨瘤特征性X线、CT表现为()
	A.好发于胫骨和股骨干骺端
	B.骨质破坏形成圆形或卵圆形低密度、透亮瘤巢,直径不超过2cm,周围有反应性骨硬化,其中央常见斑点状钙化或骨化影
	C.发生于松质骨,很少出现钙化
	D.起源于骨膜下者表现为紧贴骨皮质的软组织肿块
	E.好发于颅骨
72、单项选择题 下述哪项不符合肾细胞癌的CT表现()
	A.单侧多见
	B.“快进快出型”强化
	C.瘤内可出血、坏死、囊变,但无钙化
	D.CT平扫呈等密度或略低密度
	E.有假包膜
73、单项选择题
	男,17岁,右侧小腿疼痛,肿胀1月余,结合影像学检查,最可能的诊断是()
	A.骨干结核
	B.骨髓炎
	C.骨脓肿
	D.骨转移瘤
	E.骨嗜酸性肉芽肿
74、单项选择题
	肺内结节病灶具有CT值为-32HU的地方,最可能的诊断为()
	A.腺癌
	B.转移瘤
	C.错构瘤
	D.梗死液化
	E.结核球
75、单项选择题
	主动脉后的团块是()
	A.腺瘤
	B.神经纤维瘤
	C.主动脉瘤
	D.扩大的奇静脉
	E.以上都不是
76、单项选择题 显示野不变,矩阵缩小一半和显示野增加一倍,矩阵不变,其像素大小()
	A.前者较后者大
	B.后者较前者大
	C.两者相等
	D.前者是后者两倍
	E.后者是前者两倍
77、多项选择题 “脑萎缩”影像包括()
	A.健侧脑组织向患侧移位
	B.脑沟增宽,脑回变窄
	C.侧脑室周围低密度水肿带
	D.侧脑室顶部夹角大于40°
	E.视隐窝变钝、变浅、消失
78、单项选择题
	女,40岁,眼眶周围软组织发红、肿胀3周,CT扫描如图,最可能的诊断是()
	A.左侧眼眶黏液瘤
	B.左侧眼眶脓肿
	C.左侧眼眶黏液囊肿并感染
	D.左侧眼眶脂肪瘤
	E.左侧眼眶血管瘤
79、单项选择题 胸部CT高分辨率扫描主要用于检查()
	A.中心型肺癌
	B.气胸
	C.胸腔积液
	D.胸膜增厚
	E.间质性病变
80、单项选择题 与化脓性脑膜炎的临床表现不符合的是()
	A.发热
	B.脑脊液压力降低
	C.精神、意识和运动障碍
	D.白细胞增高
	E.脑膜刺激征
81、多项选择题 恶性骨巨细胞瘤或良性骨巨细胞瘤恶变的CT表现为()
	A.病灶明显强化
	B.有骨膜反应
	C.病变边界模糊
	D.病灶向骨外扩展
	E.有软组织肿块
82、单项选择题 颈椎病发病率最高的是()
	A.脊髓型
	B.椎动脉型
	C.交感型
	D.神经根型
	E.混合型D
83、单项选择题
	女,56岁,左肩部持续性疼痛,夜间加重1月余,3月前被确诊为肾细胞癌,结合影像学检查,最可能的诊断是()
	A.肱骨头骨折
	B.肱骨转移瘤
	C.肱骨骨肉瘤
	D.肱骨骨巨细胞瘤
	E.肱骨结核
84、单项选择题
	女,52岁,有高血压病史,半小时前突感头晕,剧烈头痛,CT检查如图,最可能的诊断为()
	A.脑梗死
	B.脑出血
	C.脑膜瘤
	D.转移瘤
	E.胶质瘤
85、单项选择题 发生于幕下第四脑室的室管膜瘤应与下述哪种肿瘤相鉴别()
	A.松果体肿瘤
	B.星形细胞瘤
	C.胶样囊肿
	D.髓母细胞瘤
	E.神经节细胞瘤
86、单项选择题 颌面部CT扫描技术的适应证不包括()
	A.腮腺肿瘤
	B.甲状腺癌
	C.颌面部骨折
	D.美容整形
	E.化脓性腮腺炎
87、单项选择题 关于胆管结石的CT表现,下列哪项是错误的()
	A.出现靶征或新月征
	B.胆管内环型或圆形致密影
	C.扩张的胆总管逐渐变细中断,未见肿块
	D.胆管结石只含有胆固醇成分
	E.同时可以有肝内外胆管结石和胆囊结石
88、单项选择题
	中年患者,女性,偶然发现肝团块,结合图像,最可能的诊断是()
	A.肝癌
	B.肝血管平滑肌瘤
	C.局灶性结节增生
	D.肝腺瘤
	E.转移癌
89、单项选择题 下列哪项CT技术,对肾盏旁囊肿的诊断与鉴别诊断有重要价值()
	A.薄层扫描
	B.窄窗技术
	C.冠状面重建图像
	D.螺旋扫描
	E.增强扫描
90、单项选择题 等密度硬膜下血肿与颅内肿瘤鉴别的最有效方法()
	A.行薄层(2~4mm)扫描
	B.改为冠状位扫描
	C.进行增强扫描
	D.调整扫描角度
	E.1周后复查对比
91、单项选择题 室管膜瘤发病率最高的部位是()
	A.四脑室
	B.三脑室前部
	C.三脑室后部
	D.侧脑室
	E.室间孔旁
92、单项选择题 女,14岁,头痛2周。CT平扫示左侧裂池消失。脑室轻度扩大,拟诊脑膜炎,进一步检查方法是()
	A.冠状位平扫
	B.矢状位平扫
	C.动态扫描
	D.CT三维成像
	E.增强扫描
93、单项选择题 关于脾钝性外伤CT检查,下列哪项说法错误()
	A.伤后即行CT平扫检查阴性,可除外脾破裂
	B.脾内血肿的密度随时间而变化
	C.增强扫描易发现包膜下血肿
	D.脾撕裂伤时可见脾边缘裂纹
	E.脾破裂出血多储积于左侧结肠旁沟
94、单项选择题 以下哪项不是CTA增强扫描动脉期的影像表现()
	A.原发性肝癌明显强化
	B.肝实质明显强化
	C.肾脏强化不明显
	D.脾脏花斑状强化
	E.腹主动脉强化不明显
95、单项选择题
	女,35岁,查体发现右下前纵隔占位性病变,CT如图,最可能的诊断为()
	A.淋巴瘤
	B.支气管囊肿
	C.心包囊肿
	D.脂肪瘤
	E.畸胎瘤
96、来源:91考试网单项选择题
	女,38岁,因右大腿远端部有疼痛,可摸到肿块,结合图像,最可能的诊断是()
	A.非骨化性纤维瘤
	B.骨囊肿
	C.骨纤维异常增殖症
	D.动脉瘤样骨囊肿
	E.骨巨细胞瘤
97、单项选择题 “肾上腺脑白质营养不良”CT特点,下列描述哪项不对()
	A.三角区周围白质内对称分布
	B.“蝶翼状”密度减低区,可边缘性强化
	C.三角区白质内弥漫分布小钙化灶
	D.晚期以弥漫性脑萎缩表现为主
	E.多有明显占位效应
98、单项选择题
	如图所示,最可能的诊断是()
	A.骨髓瘤
	B.神经纤维瘤病
	C.马方综合征
	D.转移瘤
	E.以上都不是
99、多项选择题 下列哪项对诊断肝癌意义较大()
	A.AFP>500mg/ml持续1月
	B.肝区痛,腹胀
	C.上腹部肿块
	D.AFP200~500mg/ml持续2月
	E.黄疸腹水
100、单项选择题 下列哪项不是中纵隔的疾病()
A.Castleman病  
B.胸腺瘤  
C.支气管囊肿  
D.心包囊肿  
E.淋巴瘤
101、单项选择题 女,52岁,右眼突.CT示视神经肿瘤,内有钙化,视神经孔扩大,骨质增生,增强明显,应诊断为()
	A.胶质瘤
	B.横纹肌瘤
	C.脑膜瘤
	D.转移瘤
	E.炎性假瘤
102、单项选择题 下列哪项是诊断肺隔离症的最有特征性的影像学表现()
	A.病变多位于下叶后基底段 
	B.若不充气,表现为膈上椎旁高密度病变 
	C.若与支气管交通,表现囊性病变,内有液平面 
	D.增强扫描显示来自主动脉的血管进入病变区 
	E.必须具备A、B、C、D四项
103、单项选择题 鼻和鼻窦最常用的检查方法()
	A.平片
	B.断层摄影
	C.MRI
	D.CT横冠状扫描
	E.CT横断面扫描
104、多项选择题 有关视网膜母细胞瘤描述正确的有()
	A.儿童常见
	B.成人多见
	C.多为单眼发生
	D.有家族遗传史
	E.易侵入颅内
105、多项选择题 下列哪些病变可发生膀胱壁钙化()
	A.药物导致的膀胱炎如环磷酰胺
	B.放疗导致的膀胱炎
	C.膀胱结核
	D.肿瘤
	E.埃及血吸虫病
106、单项选择题
	女,54岁,直肠癌放疗后1月,阵发性腹痛腹胀,呕吐,CT表现如图,最可能的诊断为()
	A.小肠淋巴瘤
	B.小肠结核
	C.小肠Crohn病
	D.放射性小肠炎
	E.肠易激综合征
107、单项选择题 蛛网膜下腔出血首选的检查方法应为()
	A.MRI
	B.PET
	C.ECG
	D.CT
	E.ECT
108、单项选择题
	男,66岁,肥胖,有糖尿病史,CT检查如图,最可能的诊断是()
	A.局灶性脂肪肝
	B.肝硬化肝癌
	C.肝血管瘤
	D.肝胆管细胞癌
	E.肝淋巴管瘤
109、单项选择题 与颅咽管瘤特点不符的是()
	A.为常见的鞍上肿瘤
	B.好发于儿童
	C.好发于40~60岁患者
	D.密度常较均匀
	E.肿瘤边界清楚
110、单项选择题
	对右肺的描述如图,正确的是()
	A.右肺分2叶
	B.右肺有肺小舌
	C.右肺宽且短
	D.可分为8个支气管肺段
	E.居右侧胸膜腔内
111、单项选择题 下列脊柱病变中,椎间盘破坏发展最快的是()
	A.强直性脊柱炎
	B.结核
	C.化脓性骨髓炎
	D.布氏杆菌病
	E.伤寒
112、单项选择题 CT扫描的优点不包括()
	A.密度分辨力高
	B.极限分辨力高
	C.可作定量分析
	D.真正的断面图像
	E.图像无层面以外结构的干扰
113、单项选择题 CT诊断椎间盘膨出的特征性表现是()
	A.椎间盘局限性超出椎体边缘
	B.椎间盘内示气体密度影
	C.椎间盘对称性、均匀一致地超出椎体边缘
	D.椎间盘后缘出现弧形钙化
	E.椎体终板边缘骨质增生
114、单项选择题 CT摄片要求,下列哪项对诊断关系最大()
	A.摄片时,按照解剖顺序进行图像排列
	B.摄片时,平扫与增强图像不要交叉
	C.摄片时,应将带有定位线的定位片摄入
	D.摄片时,正确地选择窗宽、窗位
	E.摄片时,对放大、测量、重建的图像排列在后面
115、多项选择题
	女,31岁,腰腹部疼痛半年,加重2天,CT扫描如图示,下列说法正确的是()
	A.右侧输尿管中上段扩张,右侧附件区可见一囊性肿物
	B.右侧输尿管下段受压变窄,与该囊性肿物间分界尚清
	C.右侧输尿管下段受压变窄,被该囊性肿物包绕
	D.考虑为右卵巢 囊腺癌压迫输尿管下段导致狭窄
	E.考虑为右卵巢囊肿压迫输尿管下段导致狭窄
116、单项选择题
	男,18岁,患者皮肤挫伤,用林可霉素预防感染,次日大便次数增多、出现黏液便,结合图像,最可能的诊断是()
	A.结肠淋巴瘤
	B.假膜性肠炎
	C.结肠间质瘤
	D.结肠结核
	E.结肠癌
117、单项选择题 胸部CT后处理技术正确的是()
	A.胸部图像的显示和摄影常规用双窗技术,即肺窗和纵隔窗
	B.纵隔窗:窗宽300~500HU,窗位20~30HU
	C.肺窗:窗宽800~1500HU,窗位800~600HU
	D.肺窗:窗宽800~1500HU,窗位-800~-500HU
	E.纵隔窗:窗宽300~500HU,窗位-30~50HU
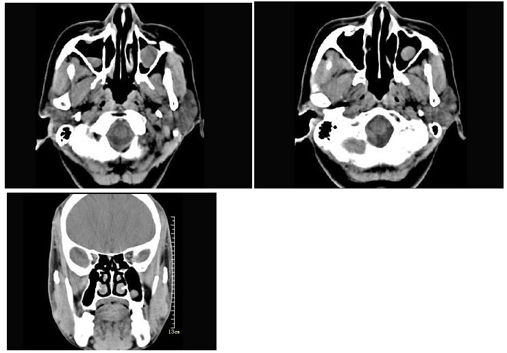
118、单项选择题
	男,7岁,无明显症状,CT如图所示,最可能的诊断是()
	A.上颌窦淋巴瘤
	B.上颌窦炎
	C.上颌窦粘膜下囊肿
	D.上颌窦乳头状瘤
	E.鼻炎及副鼻窦粘膜下囊肿
119、单项选择题 CT轴位图像上,关于鞍上池的描述,下列哪项是错误的哪项()
	A.可以是四角形
	B.可以是五角形
	C.可以是六角形
	D.其前部毗邻是额下回
	E.垂体柄居鞍上池中部
120、单项选择题
	男,34岁,近1年来左髂骨部疼痛,活动后加重,3周前由于剧烈运动后活动受限,查体:左髂骨部压痛明显,皮肤稍显红肿,结合图像,最可能的诊断是()
	A.动脉瘤样骨囊肿
	B.骨巨细胞瘤
	C.骨囊肿
	D.软骨瘤
	E.非骨化性纤维瘤
121、多项选择题 关于髓外硬膜下肿瘤X线造影表现正确者()
	A.脊髓受压,向健侧移位
	B.脊髓膨大,无移位
	C.脊髓受压,向患侧移位
	D.脊髓常常无变化
	E.阻塞近端蛛网膜下腔呈小杯口状,远端逐渐移行为正常
122、单项选择题 以下哪一项CT表现提示直肠癌失去手术机会()
	A.肿块外缘毛糙
	B.直肠全周受累
	C.直肠周围脂肪内肿大淋巴结
	D.直肠周围筋膜增厚
	E.直肠周围脂肪密度增高
123、单项选择题 70岁,女性,间断性咳嗽10余年,近来加重,有少量粘痰,CT扫描示双肺纹理增多,胸膜下区纹理更明显,呈网格状,结构欠清,肺内未见明显肿块影,最可能的诊断是()
	A.慢性支气管炎
	B.支气管扩张
	C.间质性肺炎
	D.特发性间质纤维化
	E.矽肺
124、多项选择题 肝局灶性结节增生与肝小腺瘤鉴别诊断中,前者具备以下特点()
	A.纤维组织小梁分隔
	B.中心星形瘢痕
	C.肝细胞形态正常
	D.无包膜
	E.有小胆管增生
125、单项选择题 女,46岁。两眼不能完全睁开,全身无力,前纵隔内发现肿块,最可能的是()
	A.胸腺瘤
	B.畸胎瘤
	C.胸内甲状腺肿
	D.心包囊肿
	E.气管囊肿
126、单项选择题 54岁男性,右侧面部肿胀、麻木2个月余,伴流涕,CT示右侧上颌窦内软组织密度,伴钙化,后外侧壁骨质消失,最可能的诊断是()
	A.上颌窦黏液囊肿
	B.上颌窦骨化性纤维瘤
	C.上颌窦炎
	D.上颌窦血管瘤
	E.上颌窦癌
127、单项选择题 CT扫描发现第10胸椎体骨小梁稀少、粗大、低密度背景中有圆点状致密影,附件也受累,骨皮质尚完整,应考虑的诊断为()
	A.血管瘤
	B.转移瘤
	C.多发性骨髓瘤
	D.骨质疏松
	E.嗜酸性肉芽肿
128、单项选择题 不属于脑外伤后常见的合并症是()
	A.脑血管损伤
	B.脑萎缩
	C.脑穿通畸形
	D.脑积水
	E.脑室钙化
129、单项选择题 双侧大脑半球最大的连接结构是()
	A.大脑镰 
	B.透明隔 
	C.脑干 
	D.胼胝体 
	E.内囊
130、单项选择题 关于颅咽管瘤的病理特征,下列描述不正确的是()
	A.80%为囊性
	B.20%为实性
	C.85%有钙化
	D.囊内含胆固醇结晶液体或浓稠脱屑物
	E.肿瘤边界模糊不清
131、单项选择题 关于腹腔壁层肿瘤,下列说法错误的是()
	A.肿瘤沿腹膜面生长,呈板块状
	B.肿瘤结节以腹膜壁层为基底向腹内突起
	C.腹内脏器表面有肿块或板块状增厚
	D.肿瘤结节可多发
	E.合并大量积液
132、单项选择题 眶内海绵状血管瘤,最有特征的CT表现为()
	A.肿瘤位于肌锥内
	B.肿瘤增强扫描早期呈不均匀强化
	C.肿瘤增强明显
	D.肿瘤内致密结节影
	E.肿瘤与眼球相邻
133、单项选择题 颞叶底部血肿,出血动脉是()
	A.颈内动脉
	B.大脑前动脉
	C.大脑中动脉
	D.大脑前、中动脉
	E.大脑后动脉
134、单项选择题 半卵圆中心是下列哪一组神经纤维组成的()
	A.投射纤维,联络纤维,连合纤维
	B.投射纤维,联络纤维
	C.联络纤堆,连合纤维
	D.投射纤维,连合纤维
	E.以上都是
135、多项选择题 骨髓瘤好发部位为()
	A.颅骨
	B.脊椎
	C.肋骨
	D.骨盆
	E.胫腓骨
136、单项选择题 关于周围间隙现象的理解,哪个是正确的()
A.周围间隙现象与部分容积效应产生的原因不相干  
B.在同一层面上与其相垂直且密度不同的组织,其边缘CT值会出现误差  
C.相邻组织中密度高的边缘CT值大  
D.相邻组织中密度低的边缘CT值小  
E.周围间隙现象并不是CT图像质量控制的重要内容
137、单项选择题
	女,2岁,两侧耳廓发育不对称,左侧听力差,如图所示,最可能的诊断为()
	A.左侧外耳道闭锁
	B.左侧中耳炎
	C.左侧内耳道畸形
	D.左侧胆脂瘤
	E.左侧中耳炎胆脂瘤形成
138、单项选择题 下列哪项CT表现是诊断主动脉瓣狭窄的特征性征象()
	A.主动脉瓣口缩小
	B.主动脉瓣增厚
	C.主动脉瓣缩短
	D.主动脉瓣钙化
	E.主动脉瓣纤维化
139、单项选择题 Cushing综合征最常见原因是()
	A.嗜铬细胞瘤
	B.肾上腺腺瘤
	C.功能性肾上腺癌
	D.胰岛细胞瘤
	E.肾上腺皮质增生
140、单项选择题
	女,44岁,头痛1周。结合鼻窦CT平扫及来源:91考试网 www.91eXam.org重组图像(MPR),最可能的诊断是()
	A.骨软骨瘤
	B.骨瘤
	C.内生软骨瘤
	D.真菌感染(曲菌球)
	E.骨化性纤维瘤
141、单项选择题
	男,32岁,有头颅外伤史,结合CT图像,最可能的诊断是()
	A.硬膜下血肿
	B.硬膜外血肿
	C.硬膜下积液
	D.蛛网膜下腔出血
	E.脑挫裂伤
142、多项选择题 急性单纯性胰腺炎的CT表现有()
	A.少数轻型患者,CT可无阳性表现
	B.胰腺体积呈弥漫性增大
	C.胰腺密度正常或轻度下降
	D.胰腺轮廓清楚或模糊
	E.增强扫描胰腺均匀增强,无坏死区域
143、单项选择题 关于腹部脏器的增强扫描CT检查叙述错误的是()
	A.胰腺增强扫描,动脉期延迟扫描时间35~40秒
	B.胰腺增强扫描,静脉期延迟扫描时间65~70秒
	C.肾脏增强扫描,皮质期延迟扫描时间25~30秒
	D.肾脏增强扫描,髓质期延迟扫描时间60~70秒
	E.肾脏增强扫描,分泌期延迟扫描时间5~10分钟
144、多项选择题 硬膜下血肿的CT征象为()
	A.亚急性期表现为高、等、低或混合密度
	B.慢性期表现为颅板下方新月形高密度影
	C.由于常合并脑挫裂伤,故占位征象显著
	D.少数慢性硬膜下血肿内可形成分隔
	E.慢性硬膜下血肿可以形成盔甲脑
145、单项选择题 下列疾病中,可以发生交通性脑积水的是()
	A.桥小脑角肿瘤
	B.先天性中脑导水管狭窄
	C.脑膜炎
	D.松果体瘤
	E.小脑胶质瘤
146、单项选择题 肾动脉狭窄经皮穿刺动脉成形术的禁忌症是()
	A.造影发现肾动脉中度狭窄,有临床症状者
	B.造影发现肾动脉狭窄,无临床症状者
	C.造影发现肾动脉重度狭窄,有临床症状者
	D.造影发现肾动脉重度狭窄,无有临床症状者
	E.系列影像检查发现肾体积逐渐缩小者
147、单项选择题
男,58岁,上腹部剑突下胀痛3个月余,近期症状加重,伴消瘦、乏力及柏油样便,无黄疸。体检发现左锁骨上两个肿大淋巴结,无压痛,可移动。肝脾肋下未触及。上腹部CT图像如下
	

	A.发现癌肿胃壁外侵犯
	B.观察胃壁增厚的程度
	C.显示肝转移和肿大淋巴结
	D.常用于明确胃癌的诊断
	E.术后复查确定复发征象
148、单项选择题 高分辨率CT扫描,层厚必须采用()
	A.1~2mm扫描层厚
	 91EXAM.orgB.3~4mm扫描层厚
	C.5~6mm扫描层厚
	D.8~10mm扫描层厚
	E.10~20mm扫描层厚
149、单项选择题 CT对于诊断前列腺癌的主要意义在于()
	A.早期诊断
	B.与良性前列腺增生肥大鉴别
	C.确定晚期病变范围
	D.确定肿瘤是否穿破包膜
	E.判断有无骨转移
150、多项选择题 下列关于恶性胸膜间皮瘤的说法,正确的是()
	A.病因方面,绝大多数患者与接触石棉有关
	B.通常起于先前存在的胸膜斑
	C.可表现为局限性胸膜肿块
	D.胸腔积液为常见征象
	E.在病变过程中,早期破坏邻近的肋骨是其特征
151、单项选择题
	女,67岁,乳癌术后1年,胸部CT如图,首先应考虑()
	A.石棉肺
	B.金葡菌肺炎
	C.粟粒性肺结核
	D.淋巴瘤
	E.肺转移瘤
152、单项选择题
	根据所提供的图像,可除外下列哪种诊断()
	A.肝癌
	B.胰岛细胞瘤转移
	C.血管瘤
	D.恶性肿瘤转移
	E.以上都不是
153、单项选择题
	男,13岁,右髋部疼痛不适,无红肿,结合所提供的图像,最可能的诊断是()
	A.非骨化性纤维瘤
	B.骨巨细胞瘤
	C.畸形性骨炎
	D.内生软骨瘤
	E.骨纤维结构不良
154、单项选择题 颌面部CT增强扫描技术不包括()
	A.静脉注射对比剂50~60ml
	B.流速2.5~3ml/s
	C.延迟扫描时间20~25秒
	D.扫描范围、层厚及层间距同颌面部平扫
	E.扫描方式可用连续扫描或螺距为1.5的螺旋扫描
155、单项选择题 根据CT工作原理,指出下列哪一项是错误的()
	A.计算机控制扫描数据采集图像重建显示和存储各个环节
	B.探测器接受的信号须放大并经过模/数转换
	C.模/数转换后的数据为显示数据
	D.Ap(阵列处理机)处理后的数据为显示数据
	E.图像存储
156、单项选择题 急性硬膜外血肿典型的CT表现不包括()
	A.梭形
	B.高密度
	C.内缘光滑,锐利
	D.内缘模糊不清
	E.皮层挤压内移
157、单项选择题 在肺不张内可见不规则钙化、空洞和支气管扩张,多见于()
	A.肺癌
	B.肺炎
	C.肺结核
	D.矽肺
	E.组织胞浆菌病
158、多项选择题 肝血管瘤的诊断标准为()
	A.平扫呈低密度增强等密度充填时间大于7分钟
	B.强化区域进行性向病灶中央扩散
	C.早期病灶边缘呈高密度强化
	D.平扫呈低密度增强后,等密度充填时间大于3分钟
	E.延迟扫描病灶呈等密度充填
159、单项选择题 不符合弥漫性脂肪肝中残留正常肝岛的CT表现的是()
	A.为正常肝组织密度
	B.增强扫描可见小血管进入其内,相邻血管有移位
	C.增强前后密度始终均匀
	D.边缘常较清楚且规则
	E.通常位于胆囊附近或包膜下
160、单项选择题 有关CT球管预热的论述,错误的是()
A.每日开机后首先对CT机球管预热  
B.球管预热时管电压由低逐渐升高  
C.球管预热使球管内真空度提高  
D.开机后3小时没作病人亦应重新预热  
E.球管预热增加了曝光次数,不利于保护球管
161、单项选择题 患者,男,36岁,胸痛、咳嗽、活动后气急1周,查体:双肺呼吸音粗,心脏听诊无异常,血压124/80mmHg;胸部CT见对称性蝶翼状分布的自肺门向外围延伸的弥漫性边缘模糊细小结节影,其内可见支气管充气征;纵隔内未见明显肿大淋巴结;支气管镜肺泡灌洗物PAS染色阳性,则最可能的诊断为()
	A.肺泡性肺水肿
	B.细支气管肺泡癌
	C.肺淀粉样变性
	D.肺泡蛋白沉积症
	E.肺含铁血黄素沉着症
162、单项选择题
	患者约30岁,结合图像,最可能的诊断为()
	A.缺血坏死性肠炎
	B.炎性腹泻
	C.克罗恩病
	D.腺癌
	E.溃疡性结肠炎
163、单项选择题 在脊髓内肿瘤中,下列哪种组织学类型最常见()
	A.神经母细胞瘤
	B.血管母细胞瘤
	C.神经上皮性囊肿
	D.胶质瘤
	E.错构瘤
164、单项选择题 肺部CT的应用指征不包括()
	A.肺部弥漫性病变
	B.肺气肿
	C.咯血
	D.大范围气胸
	E.肿瘤分期
165、单项选择题
	根据所提供的图像,该患者右肾积水的原因为()
	A.肾癌
	B.结石梗阻
	C.狭窄
	D.肾动静脉交叉
	E.以上都不是
166、单项选择题
	结合图像,最可能的诊断为()
	A.淋巴瘤
	B.胃腺癌
	C.卵巢癌
	D.间皮瘤
	E.以上都不是
167、单项选择题 下述中,关于像素和体素的不准确的概念是哪项()
	A.CT图像的基本组成单元称为体素
	B.像素大小与图像的分辨率高低成反比
	C.体素是一个三维概念
	D.体素是被按矩阵排列分隔的基本成像单元
	E.像素实际上是体素在成像时的表现
168、单项选择题 对于窗宽的说法,下列哪项不对()
	A.通常窗宽除以16等于每个灰阶包含的CT值
	B.缩小窗宽使图像中组织的密度对比缩小
	C.组织CT值超过窗宽规定的范围时为全白密度
	D.调节窗宽的大小可改变图像中组织的密度对比
	E.窗宽规定了显示CT值的范围
169、单项选择题 肾盂积脓病人的影像检查,显示梗阻原因和部位以及并发症的最佳方法是()
	A.B超
	B.CT
	C.IVP
	D.MRI
	E.X线平片
170、单项选择题 提示直肠癌失去手术机会的CT征象为()
	A.肿块外缘毛糙
	B.直肠全周受累
	C.直肠周围脂肪内肿大淋巴结
	D.直肠周围筋膜增厚
	E.直肠周围脂肪密度增高
171、多项选择题 关于肝囊肿的CT表现,正确的为()
	A.单发或多发
	B.圆形水样密度
	C.边界光滑锐利
	D.平扫囊壁一般不显示
	E.增强扫描囊肿内无强化,囊壁强化而显影
172、单项选择题 关于甲状腺肿物CT检查的描述,不正确的是()
	A.确定肿瘤性与非肿瘤性病变非常困难
	B.有时鉴别肿瘤的良恶性存在一定困难
	C.不能确定肿瘤的范围
	D.增强扫描有助于病变检出
	E.可判断有无淋巴结转移
173、单项选择题 关于肝脓肿脓腔影像,下列描述哪项不对()
	A.脓腔不强化
	B.急性期可见不到脓腔
	C.脓腔CT值多为60~80HU
	D.可有“液-液面”
	E.脓腔内偶可见到气体影
174、多项选择题 关于肾上腺增生,正确的说法是()
	A.CT检查是诊断肾上腺增生的首选影像学检查方法
	B.CT的软组织分辨率较高,可以显示软组织成分
	C.MRI判断肾上腺病变内的组织成分好于CT,是CT检查的必要补充
	D.超声检查是婴幼儿肾上腺异常的首选影像学检查方法
	E.MRI空间分辨率高,可以发现小病灶
175、多项选择题 关于鼻乳头状瘤的CT征象,正确的有()
	A.鼻腔和同侧上颌窦内见略高密度软组织肿块
	B.肿瘤内可见点条状钙化
	C.增强扫描因肿瘤血管较少,无明显或轻度强化
	D.骨壁破坏以上颌窦内侧壁为主
	E.窦腔扩大多不明显
176、单项选择题 不属于NF-Ⅰ型神经纤维瘤CT表现的是()
	A.可并发脑膜病
	B.蝶骨大翼发育不全
	C.颞角脉络丛钙化
	D.颞叶向眼眶疝出
	E.双侧内听道扩大
177、单项选择题 球形增大的肝右叶下段称为()
	A.獭尾肝
	B.尾状叶
	C.利德尔叶
	D.右前叶
	E.右后叶
178、多项选择题
	男,73岁,呼吸急促半天,CT扫描如图,正确的描述或诊断是()
	A.冠状动脉壁可见钙化影,右侧明显
	B.右侧冠状动脉局限性梭形扩张
	C.心包肥厚
	D.右侧冠状动脉瘤
	E.左侧冠状动脉瘤
179、单项选择题 国际上CT的英文全称统一采用的名称是()
	A.ComputerAidedTomography
	B.ComputerTrans-AxialTomography
	C.ComputerizedTomography
	D.ComputerTomography
	E.ComputerizedTransverseTomography
180、单项选择题 喉癌中伴淋巴结转移者多见于下列哪种疾病()
	A.假声带癌
	B.声门下癌
	C.声带癌
	D.声门上癌
	E.喉室癌
181、单项选择题 女,10岁,头痛、发作性抽搐1年。CT示右颅中窝有一3cm×4cm脑脊液样密度影,边界清晰,蝶骨大翼变薄,颞骨变薄并向外膨隆,最可能的诊断为()
	A.脑发育不全
	B.表皮样囊肿
	C.脑萎缩
	D.蛛网膜囊肿
	E.神经纤维瘤病
182、单项选择题 原发性“癫痫”患者CT扫描,影像上最常见为()
	A.颅脑CT无异常发现
	B.脑血管畸形
	C.脑梗死
	D.脑胶质瘤
	E.脑穿通畸形
183、单项选择题
	女,34岁,反复咳嗽20余年,结合图像,最可能的诊断是()


	A.左肺脓肿
	B.肺炎
	C.先天性支气管闭锁
	D.支气管囊肿
	E.肺隔离症
184、单项选择题
	男,59岁,呼吸困难,胸痛,有发热,结合CT图像,最可能的诊断是()

	A.脓胸
	B.肺脓肿
	C.大叶性肺炎
	D.肺囊虫病
	E.肺癌
185、单项选择题 无论肾结石是否透光,诊断价值最大的检查方法应为()
	A.IVP
	B.腹部平片
	C.B超
	D.螺旋CT
	E.MRU
186、单项选择题 关于“脑转移瘤”,下列描述哪项不对()
	A.原发灶以肺癌最常见
	B.瘤体周围“指压状”水肿
	C.转移灶多位于灰白质交界处
	D.瘤体常有钙化
	E.多呈结节性均匀强化
187、单项选择题 关于胸腺瘤,下列特征中哪项说法是正确的()
	A.常见于儿童及20岁以下者
	B.直径>10cm者,恶性变的可能性明显增加
	C.无论良恶性,胸腺瘤均有完整的包膜
	D.肿瘤内部有钙化,则提示良性
	E.恶性者易发生血行转移,但很少发生胸膜转移
188、多项选择题 “Parkinson病”患者,CT扫描上可见到()
	A.中央型脑萎缩
	B.外周型脑萎缩
	C.局限性脑萎缩
	D.苍白球对称性钙化
	E.基底节区偶有低密度灶
189、单项选择题
	根据所提供的图像,最可能的诊断是()
	A.单纯囊肿
	B.囊肿出血
	C.肾细胞癌
	D.腺瘤
	E.以上都不是
190、单项选择题 关于鼻咽癌CT表现的描述,错误的是()
	A.一侧咽隐窝变浅
	B.一侧腭肌肥大
	C.同侧鼓室含气消失
	D.咽旁间隙向内移位
	E.两侧咽腔不对称
191、单项选择题 关于高分辨率CT技术条件,不正确的是()
	A.薄层扫描
	B.软组织算法重建
	C.高KVP
	D.宽窗宽(>1000)
	E.低窗位(<-600)
192、单项选择题 男,15岁,反复鼻衄1年。CT示翼腭窝软组织肿块,压迫上颌窦后壁弯曲前移,明显强化,最可能的诊断是()
	A.淋巴瘤
	B.肉瘤
	C.恶性肿瘤
	D.癌
	E.血管纤维瘤
193、单项选择题 下列病变中,哪种罕有出血()
	A.转移瘤
	B.胶质瘤
	C.听神经瘤
	D.垂体瘤
	E.脑血管畸形
194、单项选择题 下列关于HRCT的间质性阴影,错误的描述是()
	A.正常人HRCT常可见的清晰的小叶间隔影
	B.结节病患者的HRCT可见串珠状小叶间隔增厚
	C.肺长线状影通常提示明显的间质纤维化
	D.胸膜下线也可见于非石棉肺的其他间质性肺疾病
	E.与蜂窝阴影相连的胸膜常呈轻度增厚
195、单项选择题 因探测器灵敏度不一致,采集系统故障造成的伪影形态为()
	A.移动条纹伪影
	B.放射状伪影
	C.模糊伪影
	D.帽状伪影
	E.环状伪影
196、单项选择题
	男,55岁,腰背痛,反复感染,尿蛋白(+),本周蛋白(+),血钙升高,结合图像,最可能的诊断是()
	A.恶性淋巴瘤
	B.转移瘤
	C.骨髓瘤
	D.尤文肉瘤
	E.恶性纤维组织细胞瘤
197、单项选择题 一小儿因一侧眼有黄光反射,做眼眶CT平扫:一侧眼环内后极部见软组织团块,伴有较大不规则钙化,相邻视神经明显增厚。首先考虑为()
	A.视网膜血管瘤
	B.视网膜母细胞瘤
	C.脉络膜骨瘤
	D.黑色素瘤
	E.视网膜星形细胞瘤
198、单项选择题
	女,49岁,午后低热,咳嗽2月余,结合影像学检查,最可能的诊断是()
	A.肺癌
	B.肺结核
	C.肺脓肿
	D.肺囊肿
	E.支气管扩张
199、单项选择题
	男,12岁,发热、右上腹痛、压痛,影像检查如图,最可能的诊断是()
	A.肝脓肿
	B.膈下脓肿
	C.肝包膜下出血
	D.包裹性腹腔积液
	E.肝硬化肝水
200、单项选择题 后鼻孔闭锁,最佳检查方法是()
	A.副鼻窦瓦氏位
	B.副鼻窦柯氏位
	C.副鼻窦侧位
	D.副鼻窦正位体层
	E.副鼻窦横断CT扫描