时间:2017-10-02 11:37:22


1、多项选择题 隐孢子 虫病的主要临床症状有()
A.水样腹泻
B.黄疸
C.腹痛
D.乏力
E.发热
2、填空题 隐孢子虫的传播途径主要是__________。
3、填空题 ______________是引起人类隐孢子虫病的主要病原体。
4、判断题 隐孢子虫病的临床表现和转归与病人的免疫功能状态密切相关,免疫功能正常者的潜伏期长,一般为20~30天,而免疫功能低下者,潜伏期则较短,一般为7~10天。
5、多项选择题 隐孢子虫的传染源包括()
A.隐孢子虫病患者
B.无症状隐孢子虫卵囊排出者
C.新生小牛
D.感染隐孢子虫的动物(牛、羊、猫和兔)
E.蚊子
6、填空题 隐孢子虫病的预后与__________有关。
7、填空题 隐孢子虫病最主要的临床表现是__________。
8、名词解释 隐孢子虫Ⅱ型裂殖体
9、单项选择题
隐孢子虫病的病原体是()

A.杜氏利什曼原虫
B.隐孢子虫
C.疟原虫
D.阿米巴滋养体
E.并殖吸虫
10、填空题 隐孢子虫的传染源是________________________。
11、问答题 临床上如何诊断隐孢子虫病?
12、问答题 简述免疫功能正常者隐孢子虫病的临床特点。
13、单项选择题 隐孢子虫病最主要的临床表现为()
A.水样腹泻
B.恶心
C.黄疸
D.发热
E.咳嗽
14、问答题
男,2岁,因腹泻、腹痛2天,发热1天于2004年8月20日入院。
患者于8月18始排水样便,有时伴有粘液,4~6次/日,白天多于夜晚。排便时哭闹不安。给予思密达等药物治疗后无明显好转。8月19日出现发热,未测量体温,无寒战。起病以来,精神、食欲一般,小便正常。
查体:T38.7℃,神志清楚,皮肤粘膜略干燥。腹平软,肠鸣音4~6次/分。
实验室检查:大便常规:镜检发现少许白细胞。大便涂片染色检查发现大量隐孢子虫卵囊。
15、填空题 隐孢子虫病的病变主要累及__________。
16、单项选择题 隐孢子虫病最主要的传染途径是()
A.性传播
B.血液传播
C.消化道传播
D.空气传播
E.虫媒传播
17、多项选择题 隐孢子虫主要经过哪些途径传播()
A.消化道
B.血液
C.空气
D.虫媒
E.口-肛性交
18、配伍题 具有感染性()滋养体经过3次核分裂发育()含4个裂殖子()含8个小核()有性生殖阶段()
A.卵囊
B.滋养体
C.I型裂殖体
D.Ⅱ型裂殖体
E.配子体
19、多项选择题
图示隐孢子虫卵囊,检查卵囊常用的染色法有()

A.法瑞氏染色法
B.吉姆萨染色
C.改良抗酸染色法
D.荧光素染色法
E.蕃红-亚甲蓝染色法
20、判断题 隐孢子虫的生活周期5~11天,电镜下可在病变肠粘膜标本中观察到滋养体、裂殖子与裂殖体,雌、难配子体,子孢子与卵囊等不同发育阶段。
21、单项选择题 商事仲裁裁决书自()起发生法律效力。
A.作出后15日
B.送达当事人之日
C.作出后10日
D.作出之日
22、填空题 隐孢子虫的感染阶段是__________
23、名词解释
纳虫空泡(parasitophorous vacuole)
24、单项选择题
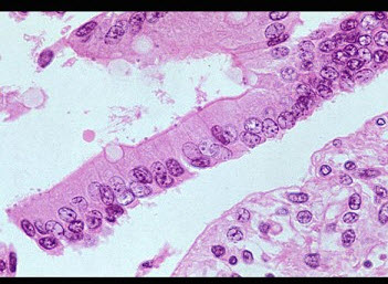
图示关隐孢子虫,下列关于其生活特性的说法正确的是()

A.专性细胞外生长
B.专性细胞内生长
C.细胞内外均可生长
D.细胞内的胞浆外生长
E.以上均不是
25、问答题 简述免疫功能缺陷者隐孢子虫病的临床特点。
26、单项选择题 消化道中隐孢子虫最多的部位是()
A.空肠
B.回肠
C.盲肠
D.结肠
E.食道
27、单项选择题 隐孢子病的确诊依据是()
A.酶联免疫试验检测血液中隐孢子虫抗体
B.免疫荧光试验检测血液中隐孢子虫抗体
C.粪便中检测隐孢子虫卵囊
D.PCR法检测血中的隐孢子虫的核酸
E.酶联免疫试验检测血液、十二指肠液及粪便中的特异性IgM和IgA抗体
28、单项选择题 免疫功能正常的隐孢子虫感染者临床表现为()
A.自限性腹泻
B.呕吐
C.高热
D.脓血便
E.难以控制的腹泻
29、多项选择题 隐孢子虫的生活史包括下列哪些形态()
A.卵囊
B.合子
C.裂殖体
D.配子体
E.滋养体
30、单项选择题 下列易患隐孢子虫病且常常难以控制的人群是()
A.儿童
B.老年人
C.牧民
D.妇女
E.艾滋病患者
31、单项选择题
患者,男,3岁,因腹泻20多天于2003年11月3日入院。患者于10月开始腹泻,每日5~6次,有粘液脓血便,无发热,发病后一直在当地医院用头孢菌素、思密达等治疗无好转。大便直接涂片检查发现大量隐孢子虫卵囊。
患者的诊断是()
A.急性血吸虫病
B.伤寒
C.隐孢子虫病
D.细菌性痢疾
E.流行性出血热
32、单项选择题
如所图示,隐孢子虫的生活史中无下列哪种形态()

A.卵囊
B.孢子囊
C.滋养体
D.裂殖体
E.配子体
33、填空题 隐孢子虫病的生活史分为__________、__________和__________三个阶段。
34、填空题 诊断隐孢子虫病最可靠且简便的方法是___________________________________。
35、名词解释 隐孢子虫Ⅰ型裂殖体
36、多项选择题 下列可以检测到隐孢子虫卵囊的标本有()
A.胃液
B.血液
C.粪便
D.痰液
E.呕吐物
37、单项选择题 隐孢子虫病的病原学诊断一般不采取下列哪项检查()
A.从粪便中查卵囊
B.从呕吐物中查卵囊
C.从痰液中查卵囊
D.从胃液中查卵囊
E.从血液中培养隐孢子虫
38、单项选择题 以下哪种说法是错误的()
A.按基本化学成分分,高速钢可分为钨系、钨钼系和钼钨系
B.按切削性能分,高速钢可分为普通高速钢、高性能高速钢
C.按制造方法分,高速钢可分为熔炼高速钢和粉末冶金高速钢
D.YT30是一种高速钢
39、问答题 简述隐孢子虫病的治疗现状。