时间:2025-09-22 04:03:56


1、单项选择题 下列病变多见于骨干的是()
A.骨囊肿
B.骨巨细胞瘤
C.尤文肉瘤
D.软骨肉瘤
E.以上都不是
2、单项选择题 下述过敏性肺炎的影像特点,错误的是()
A.多发片状边缘模糊影
B.斑点状或结节状模糊影
C.病变位置固定,无游走性改变特点
D.可有少量胸水
E.短期内可自行消失
3、单项选择题 腰椎斜位标准片所见,错误的是()
A.第1~5腰椎及腰骶关节呈斜位,于照片正中显示
B.各椎弓根投影于椎体正中或前1/3处
C.各椎弓根投影于椎体后1/3处
D.椎间隙显示良好,第3腰椎上下面的两侧缘应重合
E.与椎体相重叠的椎弓部结构,应显示清晰
4、多项选择题 脊柱结核的感染途径有()
A.直接扩散
B.消化系统传播
C.血行播散
D.淋巴系统传播
E.沿蛛网膜下腔播散
5、多项选择题 慢性铅中毒的主要临床表现为()
A.便秘
B.腹绞痛
C.贫血
D.末梢神经炎
E.铅中毒性脑病
6、单项选择题 腰椎前后位的中心线入射点是()
A.胸骨剑突
B.脐上3cm
C.脐
D.脐下3cm
E.髂前上棘连线中点
7、单项选择题
男,21岁,腰部不适,晨起加重半年余,X线检查如图,最可能的诊断是()

A.类风湿关节炎
B.脊椎退行性变
C.强直性脊柱炎
D.化脓性脊柱炎
E.阻滞椎
8、单项选择题 下列肿瘤性病变中,不属于椎管髓内肿瘤范畴的是()
A.室管膜瘤
B.血管母细胞瘤
C.星形细胞瘤
D.少突神经胶质瘤
E.神经纤维瘤
9、多项选择题 下列关于筛窦的描述,正确的是()
A.筛窦分为前中后三组
B.前筛窦气房扩展至额窦底部,称为筛额气房
C.扩展至中鼻甲的气房称为筛甲气房
D.后筛窦气房扩展至上颌窦内上角称为筛颌气房
E.后筛窦气房扩展至蝶骨称为筛蝶气房
10、多项选择题 马方(Marfan)综合征病变主要侵犯()
A.肺
B.眼
C.心血管
D.骨骼
E.神经
11、单项选择题 胆囊造影脂肪餐后首次摄片时间应为()
A.5分钟
B.10分钟
C.15分钟
D.30分钟
E.60分钟
12、单项选择题 50岁男性,咳嗽、痰中带血3月余。胸片示右肺门区4cm圆形肿块,右上肺不张,痰查癌细胞阴性,最可能的诊断是()
A.右上肺中央型肺癌
B.右上肺周围型肺癌
C.右上肺慢性纤维空洞型肺结核
D.过敏性肺炎
E.肺隔离症
13、多项选择题 在逆行性尿路造影检查中,可出现哪些肾脏回流征象()
A.肾小盏回流
B.肾大盏回流
C.肾小管回流
D.肾窦回流
E.淋巴管回流
14、多项选择题 慢性支气管炎的X线表现包括()
A.肺纹理扭曲、紊乱
B.肺大泡
C.水滴形心影
D.肋间隙增宽,双膈面低平
E.肺动脉高压
15、单项选择题 下述主动脉硬化胸片所见,错误的是()
A.左心缘第一弓突出
B.右心缘第一弓突出
C.侧位片上,主动脉窗扩大
D.降主动脉迂曲,多向右侧突出
E.主动脉弓可有线样或斑片状钙化
16、单项选择题 关于CR的工作原理,错误的是()
A.IP由基层荧光体层和保护层构成
B.透过人体的X线光子以潜影形式储存在荧光层的晶体内
C.透过人体的X线光子被IP转换成数字图像
D.IP在读出装置接受激光束扫描
E.激发束激发出的荧光与潜影成正比
17、多项选择题 系统性红斑狼疮的胸片有以下特点()
A.肺部游走性斑片状浸润影或间质性改变
B.肺门淋巴结肿大
C.胸腔积液
D.心包积液
E.胸膜钙化
18、单项选择题 下列哪项不属于中耳结构()
A.听小骨
B.咽鼓管
C.鼓室
D.前庭
E.乳突窦
19、单项选择题 X线上,在心膈角发现团状阴影,最常见的是()
A.支气管肺炎
B.心包脂肪垫
C.麻疹肺炎
D.心包囊肿
E.心包憩室
20、单项选择题 X线机的分类下列哪项不正确()
A.用于透视、摄影和特殊检查的X线机属诊断用X线机
B.按机械结构和运输方式可分为携带式、移动式和固定式
C.用于疾病治疗的属于治疗用X线机
D.按机器的体积分为大、中、小型
E.按机器应用特点分为综合用X线机和专用X线机
21、多项选择题 常为一侧肾影增大的疾病()
A.肾静脉血栓
B.肾细胞癌
C.多囊肾
D.肾动脉狭窄症
E.肾硬变
22、多项选择题 骨骼基本病变的X线表现为()
A.骨质疏松
B.骨质软化
C.骨质破坏
D.骨膜增生
E.软组织肿块
23、单项选择题 脊柱结核常见于()
A.青年人
B.儿童
C.幼儿
D.无年龄区别
E.老年人
24、多项选择题 主要依靠现代影像学检查的是()
A.胃肠道病变
B.骨骼病变
C.肝、胆、胰病变
D.脊髓病变
E.神经病变
25、单项选择题 DR与CR相比()
A.时间分辨力和空间分辨力均不足
B.时间分辨力好,空间分辨力不足
C.时间分辨力不足,空间分辨力好
D.时间分辨力和空间分辨力均较高
E.均可进行透视
26、单项选择题 关节退行性变X线表现不包括()
A.关节间隙变窄
B.关节强直
C.关节软骨下骨质囊变
D.骨缘骨赘形成
E.骨性关节面硬化
27、单项选择题 在减少与抑制散射线的方法中,错误的是()
A.使用滤线器
B.空气间隙法
C.增加附加滤过
D.扩大照射野
E.使用准直(遮线)器
28、单项选择题 颅底凹陷症,标准摄影体位是()
A.颅底颌顶位
B.颅底顶颌位
C.头颅汤氏位
D.高颈椎侧位
E.高颈椎颅底侧位
29、多项选择题 关于脑血管疾病钙化,下列哪些正确()
A.颈内动脉虹吸部钙化呈弧线状
B.慢性硬膜下血肿钙化呈梭形
C.颅内血肿钙化呈团块状
D.司-威(Sturge-Weber)综合征呈平行的线状钙化
E.以上都不对
30、单项选择题 尾骨是由几块椎骨组成()
A.3块
B.4块
C.5块
D.6块
E.4节退化椎骨融合成1块
31、单项选择题 下列造影表现,哪项与“结肠癌”无关()
A.肠梗阻
B.苹果核征
C.充盈缺损
D.肠套叠
E.笔尖征
32、多项选择题 影响X线强度分布的因素是()
A.靶面倾角
B.辐射时间的长短
C.阳极的类型(固定或旋转)
D.靶面出现过热熔解的程度
E.管内阳极与阴极间的距离
33、单项选择题 眼眶外侧壁由下列哪些结构组成()
A.额骨眶板、蝶骨小翼
B.上颌骨额突、蝶骨和筛板
C.颧骨、颞骨
D.颧骨、蝶骨
E.额骨眶突、蝶骨大翼
34、单项选择题 有关腕部的描述哪项是正确的()
A.八块腕骨近侧排是大多角骨、小多角骨、头状骨和钩状骨
B.远侧排是舟骨、月骨、三角骨、豆骨
C.近侧腕关节由舟骨、月骨和桡骨形成
D.腕部仅有三个具有功能的关节尺桡、腕间、腕掌关节
E.以上均正确
35、单项选择题 大多数结肠癌的病理类型是()
A.类癌
B.黏液癌
C.腺癌
D.乳头状腺癌
E.胶样癌
36、单项选择题
男,5岁,临床考虑先心病室间隔缺损,结合图像,下列描述正确的是()
A.肺淤血
B.正常肺
C.肺泡性肺水肿
D.间质性肺水肿
E.肺充血
37、单项选择题 辐射的生物效应分为()
A.致癌效应和皮肤效应
B.遗传效应和致癌效应
C.非随机性效应和随机性效应
D.胚胎死亡效应和致癌效应
E.遗传效应和皮肤效应
38、多项选择题 代谢性骨病的常见X线表现有()
A.骨质软化
B.骨髓腔扩大
C.骨质疏松
D.骨皮质变薄
E.病理性骨折
39、多项选择题 在尿路造影中,关于输尿管正确的表现有()
A.注入对比剂后30分钟,肾盂肾盏显示满意,松开腹压即可显示双侧输尿管
B.输尿管全长为25~30cm
C.输尿管宽3~7mm
D.输尿管分三段
E.输尿管有三个狭窄
40、多项选择题 间质性肺水肿的X线征象有()
A.双侧上肺静脉扩张
B.蝶翼征
C.双侧胸腔积液
D.病变动态变化较快
E.间隔线阴影
41、单项选择题 判断右心房增大较可靠的征象为()
A.右前斜位心房段超过心前缘的一半以上
B.右前斜位心房段超过心前缘的四分之三以上
C.左前斜位心房段超过心前缘的一半以上
D.右侧位心房段超过心前缘四分之三以上
E.以上都不是
42、单项选择题 胸膜转移瘤的原发肿瘤最多见()
A.支气管肺癌
B.乳腺癌
C.胃癌
D.肾癌
E.卵巢恶性肿瘤
43、多项选择题 眶下壁由下列哪些结构组成()
A.上颌骨眶面
B.蝶骨小翼
C.泪骨
D.颧骨眶面
E.腭骨眶突
44、单项选择题 男,14岁,左小腿近端疼痛半年余,间断持续性局部软组织隆起,质硬、皮温高,X线片示胫骨骨骺均匀性致密呈象牙样及棉絮状,骨膜反应不明显,应考虑是()
A.骨纤维异常增殖症
B.硬化性骨髓炎
C.软骨母细胞瘤
D.内生软骨瘤
E.成骨型骨肉瘤
45、单项选择题 下列造影,对比剂的引入方式属生理排泄的是()
A.胃肠道钡餐造影
B.逆行肾盂造影
C.口服胆囊造影
D.腹膜后充气造影
E.颈内动脉造影
46、多项选择题 关于股骨正位摄片条件选择,正确的是()
A.使用滤线器
B.平静呼吸方式
C.FFD为75~120cm
D.总滤过≤25mm的铝
E.体表入射剂量≥1.0mGy
47、单项选择题 内听道病变通常选用的摄影位置是()
A.柯氏位、瓦氏位
B.头颅侧位、后前位
C.汤氏位、许氏位、梅氏位
D.斯氏位、颅底位、汤氏位
E.伦氏位、头颅前后位
48、多项选择题 椎体外伤性压缩骨折的X线表现有()
A.相邻椎体骨质破坏
B.椎间隙正常
C.椎旁冷脓肿形成
D.椎体压缩呈楔形
E.椎体后突畸形
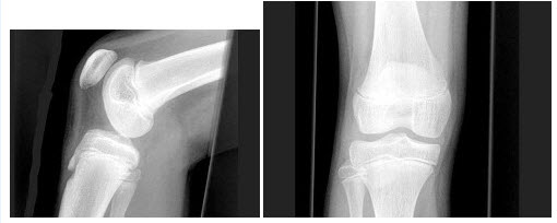
49、单项选择题
男,38岁,左膝痛,受伤时出血较多,结合图像,最可能的诊断是()
A.白血病
B.血友病性关节炎
C.骨巨细胞瘤
D.退行性骨关节病
E.类风湿关节炎
50、单项选择题 诊断纵隔恶性畸胎瘤的指征是()
A.位于前纵隔
B.肿瘤直径超过5cm
C.含脂肪信号
D.局部受侵,肿瘤边缘不规则
E.以上均是
51、单项选择题 在平片上,关于颅骨血管压迹的描述,正确的哪项()
A.脑膜中动脉压迹:星芒状
B.板障静脉压迹:最常见
C.静脉窦压迹:矢状窦居多
D.偶可见到导静脉影
E.蛛网膜颗粒压迹:冠状缝两侧5cm范围内
52、单项选择题 关于乳腺摄影的叙述,错误的是()
A.通常使用钼靶X线机
B.常摄取侧位和轴位片
C.用40kV以上的管电压
D.屏气曝光
E.焦-片距为40~50cm
53、单项选择题 男,50岁,慢性支气管炎病史10余年,近3个月来病情加重,痰中找到硫磺颗粒,右胸壁出现瘘管,胸片示右下叶片状阴影,累及局部胸膜、胸壁,最可能合并了()
A.肺放线菌病
B.肺吸虫病
C.肺曲菌病
D.肺隐球菌病
E.包虫病
54、单项选择题 下列哪项不是佝偻病的X线征象()
A.骺板先期钙化带不规则变薄、模糊
B.干骺端增宽,中央部凹陷呈杯口状
C.干骺端骨小梁稀疏、粗糙、紊乱呈毛刷状
D.骺板先期钙化带向两旁突出于干骺端之外,形成骨刺样改变即骨刺征(Pelkan征)
E.骨骺骨化中心出现延迟、密度低、边缘模糊
55、单项选择题
男,3岁,腕部变形,胸廓畸形,应诊断为()
A.坏血病
B.佝偻病
C.粘多糖病
D.克汀病
E.脂质沉积病
56、多项选择题 影响X线量的因素是()
A.靶物质的原子序数
B.高压电缆长度
C.X线管灯丝加热电流
D.管电压
E.自耦变压器
57、单项选择题 陈旧性关节脱位是指脱位时间()
A.<2周
B.>2周
C.<3周
D.>3周
E.<4周
58、单项选择题 引起纵隔增宽的病变中,哪类最常见()
A.炎症性
B.出血性
C.肿瘤性
D.淋巴性
E.血管性
59、单项选择题 下列哪种疾病不出现主动脉根部不扩张表现()
A.法洛四联征
B.Marfan综合征
C.梅毒性心脏病
D.主动脉瓣狭窄
E.心内膜纤维弹性组织增生症
60、多项选择题 关于骨髓瘤的分型,下列哪些正确()
A.按发病数目可分为单发和多发性骨髓瘤
B.按是否分泌免疫球蛋白可分为分泌型和非分泌型骨髓瘤
C.分泌型骨髓瘤少见
D.非分泌型骨髓瘤多见
E.分泌型骨髓瘤中,以IgG型多见
61、单项选择题 下列不属于肺实质的是()
A.肺泡管
B.肺泡囊
C.肺泡
D.肺泡壁
E.肺泡间隔
62、单项选择题 肺静脉高压诊断的重要指征是()
A.间隔线出现
B.上肺静脉扩张
C.胸腔少量积液
D.钙化灶
E.含铁血黄素沉着
63、单项选择题 关于头颅指数的叙述,错误的是()
A.是头颅最大前后径与最大横径之比
B.中头型的头颅指数70%~80%
C.短头型的头颅指数大于80%
D.长头型的头颅指数小于70%
E.头颅指数因人而异
64、单项选择题 X线表现为粗大树枝样阴影,尖端指向肺门,应考虑()
A.肺气肿
B.肺不张
C.黏液嵌塞征
D.阻塞性肺炎
E.肺门区及纵隔肿块
65、单项选择题 下述单纯煤肺影像特点,错误的是()
A.类圆形小阴影
B.不规则形小阴影
C.常有大阴影
D.罕有胸膜斑
E.肺间质纤维化
66、单项选择题 ⅣP的简称是()
A.腹部平片
B.逆行性肾盂造影
C.静脉性尿路造影
D.膀胱造影
E.尿道造影
67、单项选择题 关于“Whipple病”的特点,错误的是()
A.病变早期,四环素治疗效果好
B.空肠粘膜皱襞增厚
C.小肠绒毛显示率较高
D.平片常可见到关节异常
E.常伴低蛋白血症
68、单项选择题 关于遮线器的作用,错误的是()
A.显示照射野
B.显示中心线
C.屏蔽多余原射线
D.吸收二次射线
E.让病人尽可能少接受辐射
69、单项选择题 不属于胃癌基本X线表现的是()
A.Garman综合征
B.胃壁僵硬、边缘不齐
C.项圈征及狭颈征
D.粘膜皱襞破坏中断
E.胃呈皮革状变形
70、单项选择题 输尿管结核患者,静脉肾盂造影的典型表现为()
A.输尿管不规则狭窄和扩大,呈串珠状,边缘呈虫蚀状
B.输尿管囊样扩张
C.输尿管内见圆形致密影
D.输尿管扭曲
E.输尿管内见不规则透光影
71、单项选择题 脑外肿瘤向内压迫脑皮质,使之受压变平的现象,称为()
A.脑灰质塌陷征
B.脑外征
C.硬膜外征
D.脑实质受压征
E.脑白质塌陷征
72、多项选择题 容易引起肋骨切迹的有()
A.肺静脉异位引流
B.动脉导管未闭
C.引流术后的法洛四联征
D.主动脉缩窄
E.腹主动脉血栓
73、单项选择题 下述ARDS影像,哪项不对()
A.7天以后:少数数病人可遗留肺纤维化
B.1天以内,多数患者胸片可无明显异常
C.1~3天:大片状融合影,内带分布
D.3~7天:两肺广泛大片影,可合并感染
E.1天以内:肺纹理增多、模糊,有斑片影
74、单项选择题
男,18岁,右锁骨轻微疼痛,伴局部肿胀,结合图像,最可能的诊断是()
A.右锁骨正常
B.右锁骨嗜酸性肉芽肿
C.右锁骨骨囊肿
D.右锁骨骨结核
E.右锁骨骨巨细胞瘤
75、单项选择题 X线显示成人关节间隙组成包括()
A.骨端和关节腔
B.骨端和关节软骨
C.关节软骨和关节滑液
D.关节软骨、关节腔和关节滑液
E.关节腔和关节滑液
76、多项选择题 KUB检查前应当做的准备有()
A.除去皮肤表面阻光物如膏药等
B.检查前1周不吃矿物类中成药
C.检查前1周不作上消化道钡剂造影
D.检查当日禁饮食
E.必要时先做腹部透视
77、单项选择题 新生儿摄取胸部正位时应选择()
A.站立前后位
B.站立后前位
C.仰卧后前位
D.半坐后前位
E.仰卧前后位
78、单项选择题 房间隔缺损第2孔型的血流动力学改变中,下列哪项不正确()
A.右心房血流量减少
B.右心室血流量增加
C.左心房血流量增加
D.肺动脉血流量增加
E.左心室血流量减少
79、多项选择题 关于对比剂的叙述,正确的是()
A.对比剂与造影剂不同
B.分为阴性及阳性两类
C.阳性对比剂不易被X线透过
D.阴性对比剂易被X线透过
E.碘剂和钡剂均为有机碘化物
80、单项选择题 肠梗阻患者X线检查显示气液平面的最早时间是()
A.腹痛时
B.梗阻后3~6小时
C.发现明显腹胀后
D.发生第一次呕吐后
E.发病后12小时
81、单项选择题 “二尖瓣”型心的基本特征是()
A.右心室增大
B.肺动脉圆锥膨隆
C.主动脉结突出
D.右心房增大
E.心尖向左下延伸
82、单项选择题 早期胃癌的分型依肉眼形态为()
A.2型和4亚型
B.3型和3亚型
C.3型和4亚型
D.4型和3亚型
E.5型和2亚型
83、单项选择题 室间隔缺损的X线平片表现为()
A.肺血增多,右心房、室增大,主动脉结小
B.肺血增多,左、右心室增大,主动脉结正常
C.肺血减少,右心房、室增大,主动脉结小
D.肺淤血,左心房、右心室增大,主动脉结小
E.肺淤血,右心房、左心室增大,主动脉结正常
84、多项选择题 用呼气相X线片诊断有重要价值的疾病是()
A.支气管异物
B.肺气肿
C.肺炎
D.细支气管炎
E.胸膜炎
85、单项选择题
女,12岁,右小腿肿胀,疼痛,发热3月余,摄片如图所示,下列征象哪项是错误的()
A.骨质呈溶骨性破坏
B.骨质增生硬化
C.骨膜呈层状增生不明显
D.可见软组织肿块
E.软组织肿胀
86、多项选择题 胸片上,双肺弥漫粟粒样阴影可见于()
A.肺转移瘤
B.支气管肺炎
C.结节病
D.矽肺
E.血行播散型肺结核
87、多项选择题 有关运动模糊的叙述,正确的是()
A.设备移动与被照体移动
B.暗盒移动
C.屏-片密着不良
D.除呼吸外,生理性移动不受控制
E.意外性移动如肢体移动
88、多项选择题 关于黄韧带的断层解剖,正确的是()
A.宽度不超过5mm
B.黄韧带位于关节突和椎板的内侧缘
C.呈尖端向后的“V”形线条影
D.黄韧带后缘紧贴椎管内缘
E.前方与硬膜囊之间隔以低密度的脂肪组织
89、单项选择题
男,28岁,右上肢疼痛,夜间加重,服用止痛药可缓解,结合图像,最可能的诊断是()
A.骨瘤
B.骨软骨瘤
C.骨样骨瘤
D.骨囊肿
E.成骨细胞瘤
90、单项选择题 婴儿间质性肺炎最重要的改变是()
A.肺不张
B.间质纤维化
C.肺实变
D.支气管扩张
E.肺气肿
91、单项选择题 下列关于“霍奇金病”骨质改变,哪项错误()
A.可有椎旁软组织肿块
B.可由硬化型向溶骨型转变
C.放疗后,可由溶骨型向硬化型转变
D.椎体可呈硬化、膨大改变
E.肋骨溶骨型者不伴骨膨胀
92、单项选择题 人胚骨化开始于胚胎第6周,最先骨化的是()
A.股骨
B.胫骨
C.锁骨
D.掌骨
E.肩胛骨
93、单项选择题 减少与抑制散射线的方法中,错误的是()
A.降低管电压
B.减小焦-片距离
C.缩小照射野
D.使用后盖贴有金属膜的暗盒
E.正确使用遮线器
94、单项选择题 急性粟粒型肺结核X线可见()
A.肺野呈毛玻璃样密度增高
B.均匀分布、大小密度相同的粟粒状病灶
C.正常肺纹理常不能显示
D.以上都是
E.以上都不是
95、单项选择题 矽肺与混合性尘肺比较,少见的X线征象是()
A.矽结节多分布于中、上叶
B.肺门淋巴结易肿大钙化
C.矽结节可融合成团块
D.肺间质纤维化严重、广泛
E.易合并肺结核
96、单项选择题 对X线管管套的解释,错误的是()
A.防散射
B.由塑料制成
C.油浸式
D.固定保护X线管
E.防电击
97、单项选择题 不属于胸部摄片位置的是()
A.后前位
B.轴位
C.斜位
D.侧位
E.前弓位
98、单项选择题 Lutembacher综合征特征为()
A.早期左向右分流
B.三尖瓣下移
C.晚期双向或右向左分流
D.室间隔缺损伴二尖瓣狭窄
E.房间隔缺损合并二尖瓣狭窄
99、单项选择题 关于椎间盘“赤道征”,下列观点哪项正确()
A.见于正常儿童椎间盘
B.有十分重要的临床意义
C.是椎间盘退变的早期征象
D.是椎间盘退变的晚期征象
E.见于正常成人椎间盘
100、单项选择题 水痘病毒性肺炎的影像特征()
A.数天内仅见双肺纹理增粗、毛糙
B.病理、影像表现演变快
C.伴弥漫性肺气肿的广泛间质性炎症改变
D.呈典型的支气管肺炎表现
E.间质纤维化伴肺大泡
101、单项选择题
男,7岁,外伤后突发呼吸困难伴胸痛,结合图像,最可能的诊断是()
A.胸腔积液
B.肺大泡
C.气胸
D.液气胸
E.肺脓肿
102、多项选择题 哪些部位的恶性肿瘤均易转移到肺部()
A.乳腺
B.肾
C.骨
D.消化系统
E.头颈部
正确答案:ABCDE
103、单项选择题 使用碘对比剂时下列哪项不正确()
A.行碘过敏试验
B.必须备好抢救药品及器械
C.遇到严重反应应立即停止检查并实施抢救
D.检查前无需与患者及其家属解释
104、单项选择题
男,22岁,左侧膝部肿胀,疼痛2月余,结合影像学检查,最可能的诊断是()
A.骨脓肿
B.骨肉瘤
C.骨髓炎
D.动脉瘤样骨囊肿
E.软骨肉瘤
105、单项选择题 心房间隔缺损主要X线征象是()
A.主动脉结缩小或正常
B.肺门舞蹈征
C.右心房增大
D.左心室增大
E.肺动脉段突出
106、单项选择题 拟诊上颌窦积液的患者应首选的摄影位置是()
A.俯卧瓦氏位
B.站立瓦氏位
C.汤氏位
D.柯氏位
E.头颅侧位
107、单项选择题 需稀释造影剂进行造影检查的是()
A.口服胆囊造影
B.静脉胆道造影
C.静脉肾盂造影
D.CTA
E.膀胱造影
108、单项选择题 在胸部后前位上左心缘的下部是()
A.右心房
B.右心室
C.左心房
D.左心室
E.升主动脉
109、单项选择题
患者,男,76岁,食管钡餐造影检查示食管壁张力降低,蠕动减弱,钡剂排空延迟,并在食管中下段见到串珠状充盈缺损影。钡餐检查如下图所示:

A.食管癌
B.食管下段黏膜下平滑肌瘤
C.反流性食管炎
D.食管裂孔疝
E.食管中下段静脉曲张
110、多项选择题 头颅侧位片,正常蝶鞍形态可以表现为()
A.圆形
B.椭圆形
C.扁平形
D.桥形蝶鞍
E.双鞍底
111、单项选择题 我国的放射卫生防护标准叙述,错误的是()
A.辐射实践正当化为放射防护的综合原则
B.我国放射卫生防护标准是GB4792
C.放射防护水平最优化为放射防护的综合原则
D.以剂量当量限值或最大允许剂量为唯一指标
E.个人剂量当量限值为放射防护的综合原则
112、单项选择题 下列哪项描述最符合过敏性结肠炎的结肠造影表现()
A.降结肠呈线样,粘膜无破坏
B.降结肠边缘呈锯齿样,充盈像见腔内多发小充盈缺损,粘膜破坏
C.乙状结肠局限性狭窄,粘膜消失,管壁僵硬,其内见龛影
D.回盲部、回肠末端呈线样,钡剂通过呈“跳跃”征,粘膜皱襞紊乱破坏
E.回肠、结肠呈节段性狭窄,粘膜破坏,见“卵石征”,有瘘管形成
113、单项选择题 造影中发生气体栓塞,应将病人置于哪种体位()
A.半卧位
B.头低足高右侧卧位
C.头低足高左侧卧位
D.头高足低右侧卧位
E.头高足低左侧卧位
114、单项选择题 小肠出血确诊的主要依据为()
A.钡餐透视
B.双重造影
C.CT
D.B型超声
E.血管造影
115、单项选择题 眶内异物定位方法很多,常用的定位方法为()
A.几何定位法
B.超声定位法
C.手术中定位法
D.普通头颅侧位片定位法
E.头颅正位片定位法
116、单项选择题
如图所示,图中数字1所代表的结构为()
A.冠状缝
B.人字缝
C.矢状缝
D.颞骨岩部
E.枕骨骨折线
117、单项选择题 下述肺动脉高压的诊断标准,错误的是()
A.肺动脉平均超2.66kPa即可诊断
B.肺动脉平均压>6.65kPa时为重度
C.肺动脉平均压在2.79~3.99kPa时为轻度
D.肺动脉平均压在4.12~6.65kPa时为中度
E.以上都不是
118、单项选择题 下列哪项不是良性胃溃疡的X线征象()
A.项圈征
B.黏膜线
C.狭颈征
D.指压迹征
E.黏膜集中
119、多项选择题 下列脊椎结核的X线表现有()
A.椎体破坏
B.椎间隙变窄
C.椎旁软组织阴影增宽
D.椎旁韧带钙化
E.脊柱后突畸形
120、单项选择题 下列诊断颅底骨折的依据中最确切的是()
A.皮下溢血斑
B.脑脊液漏
C.意识障碍
D.耳道或鼻腔出血
E.X线检查可疑颅底骨折
121、单项选择题 慢性化脓性中耳乳突炎单纯型X线表现中,下列说法哪项错误()
A.乳突窦及其周围骨质硬化增生
B.锤骨或砧骨骨质破坏
C.乳突气房透光度减低
D.气房间隔骨质增厚、结构模糊
E.乳突气房外围骨质有明显增生
122、单项选择题 显示脊索瘤时,CT和X线平片不同点在于()
A.CT可见肿瘤强化
B.巨大软组织肿块
C.骨质破坏
D.肿瘤钙化
E.CT易于显示骶尾部脊索瘤
123、单项选择题 在典型的胃良性溃疡与恶性溃疡鉴别要点中,哪一项是良性溃疡的特征()
A.蠕动减弱
B.粘膜皱襞紊乱
C.龛影位于胃轮廓之内
D.龛影突出于胃轮廓之外
E.局部胃腔狭窄
124、单项选择题 关于右肺中叶不张的X线表现,下列错误的是()
A.后前位胸片上右下野中内带呈底向右心缘之三角形阴影
B.右心缘模糊
C.斜裂向上向前移位
D.水平裂下移
E.前弓位置显示该叶不明显
125、单项选择题 下列组合中,关系最密切的是()
A.甲状旁腺——脑室
B.松果体——蝶鞍
C.泪腺——上颌窦
D.晶状体——基底核
E.脑垂体——蝶骨
126、单项选择题 下列关于支气管动脉的解剖叙述,错误的是()
A.支气管动脉直径正常为2~3mm,当肺部有肿瘤时相应的血管可增粗
B.正常支气管动脉从纵隔向肺门方向行走,可与纵隔内动脉、肋间动脉或对侧支气管动脉相通
C.右侧支气管动脉大多为一支且与肋间动脉共干,并以与第三肋间动脉共干为最常见
D.支气管动脉起源均在胸主动脉4~9胸椎水平
E.70%~90%起自第5-6胸椎水平
127、单项选择题 急性化脓性骨髓炎的最大危害是()
A.骨内、外脓肿的形成
B.骨膜下脓肿形成
C.干骺端骨质破坏
D.感染侵入关节
E.死骨形成
128、单项选择题 下面结节病的X线表现中,错误的是()
A.可见指骨囊性病变
B.肺门淋巴结也肿大
C.有时纵隔淋巴结也肿大
D.在肺野可见索条、颗粒、斑状阴影,呈离心分布
E.多两肺受累
129、单项选择题 最常用于“子宫输卵管造影”的造影剂是以下哪项()
A.Gd-DTPA
B.钡剂
C.碘泛酸
D.40%碘化油
E.空气
130、多项选择题 关于标准化前位胸片描述,正确的有()
A.双侧斜裂的任何部分都不能显示
B.锁骨胸骨端与第6肋后端重叠
C.脊柱左侧心脏的密度比脊柱右侧心脏的密度要高
D.颈胸段的椎体终板能清楚地显示
E.左侧心膈角可能显示不清
131、单项选择题 视神经管位(Rhees’s)摄片,正确的定位是()
A.听眉线垂直于台面
B.听眦线垂直于台面
C.听眶线垂直于台面
D.听鼻线垂直于台面
E.听口线垂直于台面
132、单项选择题 用于X线成像的波长为()
A.0.0006~50mm
B.0.0006~50nm
C.0.031~0.008mm
D.0.031~0.008nm
133、单项选择题 保持感光效应不变,摄片距离增加一倍后管电流量应为原来的()
A.1倍
B.2倍
C.3倍
D.4倍
E.5倍
134、单项选择题 膈上肋骨摄影,采用的呼吸方式为()
A.浅呼吸屏气
B.深呼气屏气
C.深吸气屏气
D.平静呼吸屏气
E.腹式呼吸屏气
135、单项选择题 下列有关“非梗阻性胃扩张”原因中,错误的是()
A.用吗啡制剂
B.尿毒症昏迷
C.糖尿病胃病
D.急性腹膜炎
E.先天性肥厚型幽门狭窄
136、单项选择题 “肾乳头坏死”与下列哪种病变无关()
A.酒精中毒
B.镰状细胞贫血
C.肾小球肾炎
D.地中海贫血
E.肾结核
137、单项选择题 造影时病人出现重度碘过敏反应,最有效的措施是()
A.立即请医生处理
B.头高足低左侧卧位
C.平卧或头低足高位
D.头高足低右侧卧位
E.立即停止造影并进行急救
138、单项选择题 支气管阻塞征象中,最早的改变为()
A.阻塞性炎症
B.局限性阻塞性肺气肿
C.支气管扩张
D.肺脓肿形成
E.阻塞性肺不张
139、单项选择题
男,22岁,滑冰时摔倒右手撑地时受伤,结合CR片,最可能的诊断是()
A.柯莱斯骨折
B.蒙泰贾骨折
C.加莱阿齐骨折
D.桡骨远端骨折
E.反柯莱斯骨折
140、单项选择题
早产儿,男,生后12小时,生后8小时出现呼吸困难,如图,最可能的诊断为()
A.新生儿肺炎
B.新生儿湿肺
C.新生儿肺出血
D.新生儿特发性呼吸窘迫综合症
E.胎粪吸入综合征
141、单项选择题 “假肾征”指的是哪个脏器病变()
A.肾
B.肝
C.肠
D.肝、肾
E.肾、肠
142、多项选择题 肺透亮度局限性增加,可见于()
A.Macleod综合征(单侧透明肺综合征)
B.乳癌根治术后
C.Scimitar综合征(镰刀综合征)
D.脊柱侧弯
E.肺含铁血黄素沉着病
143、单项选择题 以下对感光效应有影响的因素中,哪项不对()
A.管电压小于60时,增感效应受电压影响较大
B.与曝光时间成正比
C.与管电压的n次方成正比
D.与焦片距成反比
E.与管电流成正比
144、单项选择题 某患者右髋痛1个月,需进行髋关节摄影检查。 有关髋关节前后位摄影,叙述正确的是()
A.髋关节定位点是:被检侧髂前上棘与耻骨联合上缘连线中点向内下作垂线5cm处
B.股骨颈及闭孔无投影变形
C.申通线不能显示
D.双下肢稍外旋
E.患者屈髋屈膝
145、多项选择题 早期胃癌浅表型(Ⅱ型)的X线表现为()
A.肿瘤呈类圆形凸向胃腔,高度超过5mm
B.肿瘤表浅、平坦,沿黏膜皱襞及皱襞下层生长
C.形态不规则,多数病变边界清楚
D.三个亚型隆起与凹陷均不超过5mm
E.双重法及压迫法呈不规则颗粒状杂乱影
146、单项选择题 胸骨后前位摄影条件正确的选择是()
A.低千伏高毫安长曝光时间
B.高千伏高毫安长曝光时间
C.低千伏低毫安短曝光时间
D.高千伏高毫安短曝光时间
E.低千伏低毫安长曝光时间
147、单项选择题 增感屏结构中,吸收层的作用是()
A.提高发光效率
B.提高清晰度
C.改善颗粒度
D.控制量子斑点
E.提高对比度
148、单项选择题
女,13岁,发热、乏力数天,X线检查如图,最可能的诊断是()

A.胸腺瘤
B.淋巴瘤
C.畸胎瘤
D.间皮囊肿
E.神经源性肿瘤
149、单项选择题 静脉肾盂造影见输尿管膀胱开口处有一圆形充盈缺损,轮廓光滑,呈“蛇头状”或“光晕”征,常见于下列哪种病变()
A.膀胱憩室
B.输尿管下段结石
C.膀胱癌
D.膀胱结石
E.输尿管囊肿
150、单项选择题 腕骨脱位中,以哪一种骨的脱位较多见()
A.舟骨
B.月骨
C.豆骨
D.大多角骨
E.小多角骨
151、单项选择题 上叶大叶性肺炎吸收期主要需鉴别的疾病是()
A.支气管肺炎
B.支原体肺炎
C.化脓性肺炎
D.肺脓肿
E.肺结核
152、单项选择题 关于肺泡蛋白沉着症的有关叙述中错误的是()
A.弥漫密集分布的粟粒样致密影
B.肺门周围蝶翼形阴影
C.局限性肺气肿及肺不张
D.弥漫分布的网织、结节影
E.自限性疾病预后良好
153、多项选择题 关于胸部后前位综合评价诊断学要求的叙述,正确的是()
A.成像技术标准
B.肺野评价重点是对血管向肺野外带末梢的连续追踪
C.纵隔部评价重点是对低密度区低对比影像的分辨力
D.物理因素的评价包括锐利度及颗粒度
E.使用高电压摄片
154、单项选择题 X线摄影中,对体位的描述均以解剖学姿势为准。 将人体纵切为左右两部分的切面为()
A.水平面
B.横切面
C.冠状面
D.额状面
E.矢状面
155、多项选择题 眶距过宽,常见于下列哪些疾病()
A.骨性狮面
B.冠状缝晚闭
C.自发性高钙血症
D.鼻肿瘤
E.生长期脑积水
156、单项选择题
女,25岁,腕部疼痛,结合图像,最可能的诊断是()
A.肥大性骨关节病
B.骨髓炎
C.骨肉瘤
D.嗜酸性肉芽肿
E.骨膜下出血
157、单项选择题 患者,女性,27岁,发现右乳单发肿块1年,边界清,表面光滑,肿块活动度好,1年来肿块无明显增大,最可能的诊断是()
A.浆细胞性乳腺炎
B.乳腺囊性增生
C.乳腺纤维腺瘤
D.乳腺癌
E.乳腺脂肪坏死
158、单项选择题 下述“腺性膀胱炎”特点,不正确的是()
A.女性多见
B.尿常规、活检提示有细菌感染
C.影像表现有时与膀胱癌鉴别困难
D.部分病例可恶变
E.可能与炎症慢性刺激有关
159、单项选择题 固定阳极X线管的阳极结构组成正确的是()
A.靶面、阳极柄、阳极帽
B.阳极头、转子、阳极帽
C.阳极头、阳极柄、阳极帽
D.靶面、转子、阳极帽
E.靶面、钼杆、阳极帽
160、单项选择题 右前斜位,心脏前缘自上而下依次为()
A.左心房、左心室
B.右心房、右心室
C.右心室、左心室
D.左心房、右心室
E.左心室、右心房
161、单项选择题 关于X线强度分布的叙述,正确的是()
A.与靶面倾斜角度无关
B.阴极端X线强度弱
C.照射野内分布均匀
D.X线管短轴方向两侧对称
E.与靶面状况无关
162、单项选择题 诊断颅脑疾病的最常用的检查方法是()
A.磁共振成像
B.脑室造影
C.头颅平片
D.CT
E.脑血管造影
163、多项选择题 下列关于提携角的描述,正确的有()
A.肱骨纵轴与桡骨在内下方夹角
B.肱骨纵轴与尺骨在内下方夹角
C.女大于男
D.男大于女
E.正常范围5~2O之间
164、单项选择题
男,根据其正常手的影像图像,判断其最可能的年龄()
A.16岁左右
B.26岁左右
C.36岁左右
D.76岁左右
E.56岁左右
165、单项选择题 关于“Colles骨折”,下列哪项不对()
A.桡骨远侧3cm以内骨折
B.骨折远端向背侧移位
C.骨折远端向尺侧移位并旋转
D.可合并尺骨茎突骨折和下尺桡关节脱位
E.手腕呈“勺状”畸形
166、单项选择题 “黄色肉芽肿性肾盂肾炎”的诊断要点,下述哪项错误()
A.反复尿路感染
B.双侧多见
C.变形杆菌感染所致
D.尿检发现泡沫细胞
E.肾窦脂肪堆积
167、单项选择题 脊柱摄片时体表定位标记,哪一种不妥()
A.甲状软骨--第5颈椎
B.剑突--第8胸椎
C.胸骨颈静脉切迹--第3胸椎
D.肋骨弓下缘--第3腰椎
E.耻骨联合上缘--尾骨
168、单项选择题
男,3岁,走路跛行,两下肢不等长,左脚外展受限,结合图像,最可能的诊断是()
A.髋关节前脱位
B.髋关节后脱位
C.髋关节中心脱位
D.先天性髋内翻
E.髋关节结核
169、单项选择题 视神经孔后前轴位摄片,矢状面与台面呈()
A.33°
B.43°
C.53°
D.63°
E.73°
170、单项选择题
男,49岁,进行性吞咽困难1月,结合图像,最可能的诊断为()
A.正常食管
B.食管炎
C.食管癌
D.食管静脉曲张
E.胃炎
171、单项选择题 易与胰头肿块混淆的是()
A.门腔淋巴结
B.右肾上腺
C.右侧膈肌脚
D.十二指肠
E.胃幽门管
172、多项选择题 气管肿瘤的定性诊断应从哪些方面作分析()
A.基底宽窄与夹角大小
B.是否带蒂
C.密度与边缘
D.邻近侵犯情况
E.肿大淋巴结
173、单项选择题
根据图像,最可能的诊断是()
A.肺气肿
B.慢性支气管炎
C.气胸
D.纵隔气肿
E.肺转移瘤
174、单项选择题 早期中耳癌的X线摄影以何种位置摄影最佳()
A.汤氏位摄影
B.伦氏位摄影
C.斯氏位摄影
D.头颅前后位摄影
E.颅底摄影
175、单项选择题
男,5岁,足背肿痛,结合图像,最可能的诊断是()
A.跗舟骨缺血坏死
B.跗舟骨骨折
C.成骨不全
D.软骨发育不全
E.剥脱性骨软骨炎
176、单项选择题 下述钡餐征象中,哪项与“胰头癌”无关()
A.垫征
B.双边征
C.十二指肠圈扩大
D.笔杆征
E.反“3”字征
177、多项选择题 下列疾病X线摄片诊断价值最高的是()
A.胰腺癌
B.肾结石
C.肠梗阻
D.阑尾炎
E.胆囊炎
178、单项选择题 骨组织属于下述哪一种()
A.致密结缔组织
B.胶原纤维
C.弹力纤维
D.嗜银纤维
E.疏松结缔组织
179、单项选择题
男,3岁,咳嗽、低热2周余,不咯血、咳痰,X线检查如图,最可能的诊断是()
A.左肺炎症
B.左肺结核(Ⅰ型)
C.左肺结核(Ⅱ型)
D.左肺结核(Ⅲ型)
E.肺癌
180、单项选择题 先天性髋内翻的X线表现中,不包括()
A.干颈角增大
B.股骨颈短
C.股骨头向下移位
D.骺软骨板增宽
E.股骨大粗隆向上移位
181、单项选择题 男,28岁,反复右上腹痛1年,进食后可缓解,有时夜间疼痛明显。 若影像学检查显示胃幽门痉挛,开放延迟,胃分泌液增多,最有可能的诊断为()
A.胃癌
B.胃溃疡
C.十二指肠溃疡
D.慢性胃炎
E.慢性胰腺炎
182、单项选择题
男,38岁,咳嗽、胸痛、咯血1天,X线检查如图,最可能的诊断是()

A.炎性假瘤
B.原发性肺癌
C.肺结核球
D.肺转移瘤
E.结节病
183、单项选择题 关于X线影像信息的形成与传递的叙述,下述错误的是()
A.X线管射出的X线强度分布是均匀的
B.X线透过被照体后就形成了X线信息影像
C.被照体是信息源
D.X线是信息源
E.可见光透过照片后在视网膜形成视觉影像
184、单项选择题 锁骨正位片:锁骨显示为∽形弯曲为()
A.肩关节旋转所致
B.肩关节抬高所致
C.肩关节外展所致
D.肩关节内收所致
E.肩关节倾斜所致
185、单项选择题 正确选择乳突梅氏位的摄影角度,应是()
A.双25°
B.双35°
C.双45°
D.双55°
E.双65°
186、单项选择题 关于视神经的叙述,下列哪项是错误的()
A.视神经是真正的神经
B.视神经有鞘膜,但其中无雪旺细胞
C.视神经鞘膜由软脑膜、硬脑膜及蛛网膜构成
D.视神经鞘膜存在蛛网膜下腔
E.视神经鞘膜存在硬膜下间隙
187、单项选择题 下列哪些X线表现可作为间质性肺水肿的诊断依据()
A.两肺野透亮度减低
B.肺门影模糊不清
C.心影增大
D.Kerley线
E.肋膈角闭塞
188、单项选择题 有关骨质增生的描述不妥的是()
A.骨质增生硬化就是骨量的增多
B.大多数机体代偿反应
C.骨质增生硬化是成骨增多
D.骨质增生硬化是破骨减少
E.骨质增生硬化是成骨增多、破骨减少
189、单项选择题
女,47岁,腰背痛并向髋部和下肢放射,结合图像,最可能的诊断是()
A.腰5压缩性骨折
B.移行椎
C.脊椎裂
D.腰5椎弓峡部不连
E.Klipple-Feil综合征
190、单项选择题 肺循环阻力增高性肺动脉高压与高流量性肺动脉高压主要不同点在于前者()
A.肺动脉段凸出
B.肺门动脉增粗
C.肺动脉截断征
D.右心室增大
E.肺血管搏动增强
191、多项选择题 在泌尿系统影像学检查中,尿路造影是常用的检查方法,其主要是指哪些检查()
A.X线排泄性尿路造影
B.X线逆行性尿路造影
C.CT尿路造影
D.MR尿路造影
E.核素扫描
192、多项选择题 石棉肺的胸膜改变有()
A.胸膜斑形成
B.胸膜纤维化
C.胸腔积液
D.胸膜间皮瘤
E.胸膜斑钙化
193、多项选择题 下列那些疾病可能发生乳头溢液()
A.乳腺纤维腺瘤
B.乳腺囊性增生
C.导管内乳头状瘤
D.浆细胞性乳腺炎
E.乳腺癌
194、单项选择题 正确的“肱骨髁上骨折”分型是()
A.内收型+外展型+粉碎型
B.屈曲型+内收型+外展型
C.伸直型+外型+粉碎型
D.伸直型+内收型+外展型
E.伸直型+屈曲型+粉碎型
195、单项选择题 每个肾脏肾大盏数为()
A.1~3个
B.2~4个
C.3~5个
D.4~6个
E.5~7个
196、多项选择题 关于增感屏对影像效果影响的叙述,错误的是()
A.增加影像对比度
B.降低影像清晰度
C.降低影像颗粒性
D.提高信息传递功能
E.增加影像的层次
197、多项选择题 以下关于眼眶骨折的描述,正确的是()
A.眼部软组织肿胀
B.眼球内陷或突出
C.眼眶爆裂骨折多见于眶内下壁
D.平片显示眶下壁骨折较好
E.内侧壁骨折伴发筛窦透光度减低
198、单项选择题 男,63岁,进行性吞咽困难1月。食管钡餐示:食管下段粘膜不规则充盈缺损,管腔狭窄,贲门扩张欠佳。 病变侵及食管的()
A.粘膜层
B.粘膜下层
C.肌层
D.外膜
E.粘膜肌层
199、单项选择题 下列关于X线球管组件的散热方式不包括()
A.密封管套,空调散热
B.密封管套,自然散热
C.密封管套,风扇散热
D.闭路油循环风冷散热
E.管套内冷水循环散热
200、单项选择题 眼球异物定位检查的主要目的是()
A.确定有无异物
B.确定异物的大小
C.确定异物的位置
D.确定异物的性质
E.确定手术方案
201、单项选择题
女,60岁,左肘关节肿痛1年余,局部无红肿。左肘关节活动受限。结合左肘关节正侧位片,应诊断为()
A.类风湿性关节炎
B.滑膜骨软骨瘤病
C.关节结核
D.神经营养性关节病(Charcot关节)
E.色素沉着绒毛结节性滑膜炎
202、单项选择题 下述“结节病”的胸部影像,哪项不正确()
A.双侧对称性肺门淋巴结肿大
B.半数病例仅有肺门淋巴结肿大
C.两肺弥漫分布细网状结节影
D.半数为单侧
E.半数伴有纵隔淋巴结肿大
203、单项选择题 支气管扩张的X线平片表现,下列哪项对诊断价值大()
A.肺纹理改变
B.肺内炎症
C.肺不张
D.囊状或蜂窝状影
E.局限性胸膜增厚粘连
204、单项选择题 脑疝种类较多,海马回向鞍上池或幕下移位者称为()
A.天幕孔疝
B.扣带回疝
C.小脑扁桃体疝
D.大脑镰疝
E.钩回疝
205、单项选择题 “法洛四联征”基本改变不包括()
A.主动脉骑跨
B.三尖瓣下移
C.右心室肥厚
D.高位室间隔缺损
E.漏斗部肺动脉狭窄
206、单项选择题 不适用高千伏摄影的部位是()
A.胸部
B.脊柱
C.胸腺
D.骨盆
E.消化道
207、单项选择题 铅线最易发生的部位是()
A.中部肋骨前端
B.尺桡骨近端
C.胫腓骨远端
D.胫腓骨近端
E.尺桡骨远端
208、单项选择题 下列类风湿肺结节影像特点,错误的是()
A.多分布在肺野中内带
B.大小不等,多为1~2cm
C.边缘光整
D.可形成空洞
E.见于重度类风湿关节炎和多发皮下结节者
209、单项选择题 色素沉着绒毛结节性滑膜炎病理特点为()
A.关节滑膜明显增生
B.绒毛结节形成
C.血管翳样团块形成,并自边缘开始侵犯关节软骨,进而侵蚀骨组织
D.含铁血黄素沉着
E.以上都是
210、单项选择题 维生素A过多症的X线表现不包括()
A.干骺端骺板下骨小梁稀少,排列紊乱、边缘模糊
B.关节软骨下骨板变薄,骨性关节面模糊或断续不连
C.骨干收缩变细,皮质边缘模糊或皮质中有线条状透亮影
D.骨干骨膜下新骨形成,呈波浪状、薄壳状或层状
E.骨骺边缘相当于先期钙化带区密度增高,使骨骺呈环形
211、单项选择题 关于恶性胸膜间皮瘤,下列诊断要点哪项不对()
A.约50%患者胸水为淡黄色
B.胸膜结节可均匀强化
C.胸廓可变形,纵隔可移位
D.胸膜弥漫性、结节样增厚
E.胸膜局限性肿块
212、多项选择题 胸片上,肺内网状、蜂窝状阴影可见于()
A.间质纤维化
B.间质性肺炎
C.尘肺
D.急性粟粒型肺结核
E.小叶性肺炎
213、多项选择题 系统性红斑狼疮的X线表现有()
A.斑点或片状浸润性阴影
B.网状或结节状阴影
C.绒毛状或蝴蝶状实变阴影
D.胸腔积液或胸膜增厚
E.心脏阴影增大
214、多项选择题 与胰腺毗邻关系密切的大血管有哪些()
A.肠系膜上动脉
B.腔静脉、门静脉
C.脾动脉、脾静脉
D.腹腔动脉、腹主动脉
E.肠系膜下动脉
215、单项选择题 肾血管性高血压,其下列哪种方法适于诊断()
A.腹部X线平片
B.肾动脉CTA
C.静脉肾盂造影
D.超声检查
E.逆行尿路造影
216、单项选择题
图示为正常胃的分型,结合图像,最可能的诊断为()
A.胃扭转
B.牛角型胃
C.钩型胃
D.瀑布型胃
E.无力型胃
217、单项选择题 下述疾病对骨化中心的出现及愈合均具有促进作用,但除外()
A.甲状腺功能亢进
B.性腺功能亢进
C.肾上腺皮质肿瘤
D.骨纤维异常增殖症
E.伸舌样痴呆
218、单项选择题 在胸部右前斜位片反映右心室增大的早期征象是()
A.肺动脉圆锥部膨突
B.心前缘膨隆
C.心前下间隙缩小
D.膈面延长
E.无特异性
219、单项选择题
女,42岁,双下肢疼痛,结合图像,最可能的诊断是()
A.Paget病
B.内生软骨瘤
C.非骨化性纤维瘤
D.骨巨细胞瘤
E.骨纤维异常增殖症
220、单项选择题
男,52岁,从事矿井工作32年,近几年出现气喘,呼吸困难,胸片如图,其最可能的诊断为()

A.双肺浸润性结核
B.双肺真菌感染
C.两肺弥漫性间质性肺炎
D.两肺弥漫性纤维化
E.矽肺
221、单项选择题 下列肾形态无临床意义的是()
A.马蹄肾
B.驼峰肾
C.侏儒肾
D.海绵肾
E.多囊肾
222、多项选择题 下列关于胃癌的描述,正确的是()
A.胃癌好发于胃窦部,其次为贲门和胃小弯
B.早期胃癌分为隆起型、浅表型、凹陷型
C.中晚期胃癌是指浸润至肌层或超过肌层
D.胃癌淋巴结转移常首先转移至左锁骨上淋巴结
E.胃癌常通过门静脉转移到肝内
223、单项选择题 维生素D缺乏病初期最早出现X线改变的部位是()
A.肋骨胸骨端
B.胫骨远侧干骺端
C.桡骨近侧干骺端
D.尺骨远侧干骺端
E.肱骨远侧干骺端
224、单项选择题 成人骨折后,骨痂塑形期一般需()
A.3~6个月
B.6个月~1年
C.1~2年
D.2~4年
E.4~5年
225、多项选择题 腹膜腔肿瘤X线腹部平片检查时可表现为()
A.腹腔积液
B.部分脏器受压移位
C.腹腔软组织密度肿块
D.异常钙化斑
E.肠壁增厚
226、单项选择题 钡餐检查可见“跳跃”征的是()
A.慢性阑尾炎
B.溃疡型肠结核
C.阿米巴性肠炎
D.溃疡性结肠炎
E.局限性肠炎
227、单项选择题 有关溃疡性结肠炎的说法中,错误的是()
A.是一种非特异性大肠粘膜的慢性炎症性病变
B.多数学者认为与免疫异常、感染、遗传等因素有关
C.起病多急骤,发展迅速,中毒症状重
D.病变多发生在结肠下段,也可遍及整个结肠甚至末端回肠
E.常发生于青壮年,20~40岁之间
228、单项选择题 可复性食管裂孔疝的典型征象是()
A.膈上出现胃粘膜
B.食管下括约肌上升和收缩
C.食管胃环上升出现在膈上
D.部分胃底位于膈上
E.胃食管前庭管腔增宽
229、单项选择题 眼眶内侧壁由哪些结构组成()
A.额骨眶板、蝶骨小翼
B.上颌骨额突、泪骨和筛板
C.上颌骨、颞骨
D.泪骨、额骨眶板
E.额骨眶突、蝶骨大翼
230、单项选择题 成人下颌角的正常值为()
A.110度
B.115度
C.120度
D.125度
E.130度
231、单项选择题 在纵隔肿瘤的组织来源中,不正确的是()
A.胸腺瘤起源于未退化的胸腺组织
B.畸胎瘤为胚胎期胸腺始基发育时,部分多潜力组织脱落,随心血管发育,入胸内演变而成
C.神经源性肿瘤起源于胚胎组织
D.恶性淋巴瘤起源于淋巴组织
E.支气管囊肿为胚胎期支气管胚芽发育异常
232、单项选择题
下列关于胸膜斑知识,哪项正确()
A.接触石棉15年左右出现
B.常累及壁层胸膜
C.10cm2以上
D.多数厚度大于2cm
E.边缘模糊
233、单项选择题 在立位透视时,节育环正常位置通常在()
A.与耻骨联合重叠
B.耻骨联合上2~5cm
C.耻骨联合上5~8cm
D.耻骨联合上8cm以上
E.耻骨联合下2~5cm
234、多项选择题 关于头颅侧位投照,正确的体位是()
A.矢状面与台面平行
B.听眦线与台面平行
C.听眦线与台面垂直
D.瞳间线与台面垂直
E.听眶线与台面平行
235、多项选择题 X线胶片的结构主要包括()
A.乳剂膜
B.保护膜
C.结合膜
D.片基
E.荧光体层
236、多项选择题 肺内空腔影可见于()
A.肺大泡
B.含气肺囊肿
C.肺气囊
D.周围型肺癌
E.囊状支气管扩张
237、多项选择题
男,64岁,进食梗阻感半月。体检:咽充血少许滤泡,结合图像,最可能的诊断为()
A.会厌征
B.颈椎退变
C.食管癌
D.食管型颈椎病
E.以上都不是
238、多项选择题 增感屏保护层的作用是()
A.有助于防止静电现象
B.对质脆的荧光体进行物理保护
C.进行表面清洁时可保护荧光体不受损害
D.增强对X线的吸收
E.增强荧光的转换效率
239、单项选择题 KerleyB线常见于哪种疾病()
A.慢性支气管炎
B.周围型肺癌
C.肺结核
D.室间隔缺损
E.二尖瓣狭窄
240、单项选择题 下列哪种情况下,不出现“主动脉壁间动脉瘤”表现()
A.妊娠
B.高血压
C.主动脉梅毒
D.主动脉缩窄
E.Marfan综合征
241、单项选择题 X线信息影像转换成可见密度影像的介质,不含()
A.屏-片系统
B.影像增强系统
C.电影胶片
D.观片灯
E.荧光屏
242、单项选择题 X线透视在骨关节疾病诊治中的应用是()
A.金属异物的寻找和定位及外伤性骨折、脱位的整复
B.显示青枝骨折优于摄片
C.对部位厚、层次多的结构显示更佳
D.显示骨小梁结构
E.显示低密度异物和软组织层次
243、单项选择题 影响X线照片质量的物理因素,不包括()
A.密度
B.对比度
C.锐利度
D.颗粒度
E.失真度
244、单项选择题 手正位片上,拇指显示为()
A.轴位影像
B.正位影像
C.斜位影像
D.侧位影像
E.切线位影像
245、单项选择题
男,9岁,左肘外伤,结合图像,最可能的诊断为()
A.左肱骨内上髁骨骺1度分离
B.左肱骨内上髁骨骺2度分离
C.左肱骨内上髁骨骺3度分离
D.左肱骨内上髁骨骺4度分离
E.左肱骨内上髁骨骺5度分离
246、单项选择题
女,根据其正常膝关节影像图像,判断其最可能的年龄()
A.5岁左右
B.11岁左右
C.17岁左右
D.23岁左右
E.29岁左右
247、多项选择题 提示恶性骨巨细胞瘤的临床、影像征象包括()
A.骨破坏区与正常骨交界处模糊,呈虫蚀状、筛孔状
B.骨性包壳和骨嵴残缺不全
C.骨膜增生较显著,出现Codman三角
D.软组织肿块较大
E.肿瘤突然生长迅速并有恶病质
248、单项选择题 脊柱骨软骨瘤多发生于()
A.椎体
B.棘突
C.小关节突
D.横突
E.椎弓
249、单项选择题 膈肌的矛盾运动以哪种体位观察最佳()
A.站立性
B.侧卧位
C.仰卧位
D.俯卧位
E.半坐位
250、单项选择题 诊断肾下垂,下列哪项检查最合适()
A.腹部卧位平片
B.逆行肾盂造影片
C.静脉肾盂造影后摄立位全尿路X线片
D.腹部立位平片
E.静脉肾盂造影片
251、多项选择题 周围型肺癌主要见于哪些组织学类型()
A.细支气管肺泡癌
B.腺癌
C.鳞状上皮癌
D.大细胞癌
E.类癌
252、多项选择题 观察上颌窦病变的基本X线摄片位置为()
A.侧位片
B.顶颏位
C.鼻颌位
D.切线位
E.视神经孔位
253、多项选择题 膝关节前后正位摄片要求清晰可见的结构是()
A.股骨远端骨小梁
B.胫骨近端骨小梁
C.膝关节周围软组织
D.髌骨
E.半月板
254、单项选择题
男,68岁,从2米高的平台坠落后颈部疼痛6小时,结合影像学检查,最可能的诊断是()
A.脊椎结核
B.椎体压缩性骨折
C.脊椎转移瘤
D.化脓性脊柱炎
E.强直性脊柱炎
255、单项选择题 椎体一次化骨中心缺血坏死的特征性X线表现是()
A.多个椎体压缩似薄骨板,密度增高
B.脊柱呈圆驼状后突畸形
C.单个椎体前缘呈阶梯状改变
D.单个椎体显著变扁,呈钱币样
E.多个椎体前缘呈阶梯状改变
256、单项选择题 椎旁脓肿在哪种脊柱结核中出现的概率最多()
A.腰骶椎结核
B.胸椎结核
C.腰椎结核
D.胸腰椎结核
E.颈椎结核
257、多项选择题 主要分布于中纵隔的肿瘤有()
A.心包囊肿
B.霍奇金病(Hodgkindisease,HD.
C.神经源性肿瘤
D.支气管囊肿
E.畸胎瘤
258、单项选择题 正常主胰管的管径在胰头、胰体、胰尾部分别为()
A.3mm、3mm、2mm
B.3mm、3mm、3mm
C.3mm、2mm、1mm
D.4mm、3mm、2mm
E.2mm、2mm、1mm
259、单项选择题 诊断肠结核最主要的X线征象是()
A.左半结肠袋影消失
B.直、乙状结肠交界处狭窄
C.结肠肝区充盈缺损
D.盲肠缩短狭窄
E.回肠呈节段状腊肠状改变
260、单项选择题 柯氏位摄影,中心线与听眦线夹角是()
A.15°
B.23°
C.37°
D.45°
E.53°
261、单项选择题 新生儿有几个囟门()
A.4个
B.2个
C.5个
D.6个
E.7个
262、单项选择题
男,52岁,肩痛四月余,手臂旋转时疼痛加剧,结合影像,最可能的诊断是()
A.软骨瘤
B.骨结核
C.冈上肌腱钙化
D.骨囊肿
E.骨脓肿
263、单项选择题 心包积液的液体可为()
A.浆液性
B.浆液血性
C.血性
D.乳糜性
E.以上都是
264、多项选择题 关于X线强度的叙述,正确的是()
A.KVP代表X线的质
B.X线强度指的是管电压的高低
C.靶物质的原子序数越高,X线强度越大
D.X线强度与管电压成正比
E.脉冲电压越接近峰值,X线强度越大
265、多项选择题 关于气胸下列哪项正确()
A.胸部平片不易发现微量气胸
B.所有气胸都有加重甚至发展为张力性气胸的可能
C.气胸在胸部平片上大多能得到明确诊断
D.CT检查的目的是发现少量气胸及少见部位的气胸
E.检查微量气胸时,宜用呼气相扫描
266、单项选择题 不能用做静脉肾盂造影的对比剂是()
A.碘苯酯
B.泛影葡胺
C.碘酞葡胺
D.甲泛葡糖
E.复方泛影葡胺
267、多项选择题 右位主动脉可伴有()
A.永存动脉干
B.主动脉缩窄
C.法洛四联症
D.房间隔缺损
E.Ebstein畸形
268、单项选择题 下列胸腔积液诊断知识,哪项正确()
A.显示斜裂叶间积液,以侧位片为佳
B.中等量积液常有纵隔移位
C.包裹性积液多位于前胸壁
D.立位胸片,肺底积液呈外高内低的致密影
E.立位胸片,可显示100ml以下积液
269、单项选择题
女,28岁,反复骨骼疼痛,结合图像,最可能的诊断是()
A.地中海贫血
B.镰状细胞贫血
C.白血病
D.脊椎退行性变
E.椎间盘突出
270、单项选择题 下列关于乳腺病变的钙化特点描述,错误的是()
A.乳腺癌:成堆分布细盐状钙化
B.浆细胞乳腺炎:较大的圆形、卵圆形钙化
C.纤维腺瘤:环状、块状、斑点钙化
D.乳腺导管扩张症:放射状分布、短管状钙化
E.不同的钙化特征诊断乳腺病变的准确性极高
271、单项选择题 在常规后前位胸片上不能完全显示影像的左肺段为()
A.内基底段
B.前基底段
C.外基底段
D.后基底段
E.背(尖)段
272、单项选择题
鉴别肝癌与肝血管瘤时,可采用的方法是 ( )
A.高分辨率扫描方法
B.肝血管灌注方法
C.薄层扫描方法
D.放大扫描方法
E.注射对比剂后的动态扫描
273、单项选择题 下列表现,哪项与主动脉瘤无关()
A.可有钙化
B.主动脉搏动可减弱
C.邻近骨骼无异常发现
D.主动脉瘤状、梭状扩张
E.可压迫支气管,造成肺不张
274、单项选择题
男,5岁,反复呛咳,张口呼吸,有鼾声,鼻腔分泌物多。X线检查如图所示,最可能的诊断是()
A.鼻窦炎
B.鼻息肉
C.扁桃体炎
D.腺样体肥大
E.鼻炎
275、单项选择题 下列心脏影像中,哪项不太重要()
A.位置
B.大小
C.形态
D.密度
E.搏动状态
276、单项选择题 下述肺动静脉瘘影像特点,错误的是()
A.单发或多发结节
B.圆形或分叶状
C.病变边缘锐利
D.呼气相病灶体积比吸气相小
E.无钙化
277、单项选择题 来自神经内分泌细胞的癌是()
A.小细胞癌
B.大细胞癌
C.腺癌
D.鳞癌
E.细支气管肺泡癌
278、多项选择题 泌尿系统常规X线检查包括()
A.X线平片
B.尿路造影
C.血管造影
D.子宫输卵管造影
E.肾上腺静脉造影
279、单项选择题
男,16岁,长期的骨骼肌肉畸形,听力障碍,结合图像,最可能的诊断是()

A.马方综合征
B.成骨不全
C.肾性骨病
D.甲状旁腺功能亢进
E.维生素D缺乏症
280、单项选择题 关于肾盂造影的叙述,错误的是()
A.静脉法简单易行
B.静脉法必须行碘过敏试验
C.能显示肾盂肾盏的形态变化
D.肾功能丧失时尽量采用静脉法
E.静脉法可了解肾脏的排泄功能
281、多项选择题 下列肺挫伤的诊断要点,正确的是()
A.胸痛、咯血、呼吸急促
B.肺内大片状或斑点状密度增高影
C.液气胸
D.肺部阴影需2周以上时间才能完全吸收
E.肺段或肺叶木张
282、单项选择题 Albright综合征是指()
A.腰椎结核并骨脓肿形成
B.多发性软骨瘤并多发性血管癌
C.骨纤维异常增殖症合并性早熟,皮肤色素沉着
D.骨糖尿病合并夏科关节
E.骨盆发育畸形并髋关节脱位
283、单项选择题 下列胸腔积液影像,哪项不对()
A.正位片,100ml积液即可有肋膈角变钝、消失
B.立位片,中等量胸腔积液时不能显示患侧膈肌
C.正位片,后胸壁包裹性积液为边缘模糊致密影
D.切线位,包裹性积液为梭形致密影
E.正位片,斜裂叶间积液为片状模糊影
284、多项选择题 下列疾病中,哪些钙化少见()
A.矽肺
B.肺癌
C.错构瘤
D.慢性肺炎
E.肺结核
285、单项选择题 对肺内球形病灶所致的血管集束征,下列描述不正确的是()
A.血管穿过球形病灶
B.血管向球形病灶内聚集
C.血管在球形病灶边缘截断
D.血管集束征常见于恶性肿瘤
E.肺错构瘤常见血管集束征
286、多项选择题 乳腺病变进行导管造影时,可见哪些X线征象()
A.导管扩张
B.导管僵直
C.导管受压移位、分支减少
D.管腔内充盈缺损
E.导管截断
287、单项选择题 关于轴位,以下错误的是()
A.有髌骨轴位摄影位置
B.有跟骨轴位摄影位置
C.中心线与被照体边缘相切
D.有颞骨岩部轴位
E.是指中心线与被照体长轴平行的摄影体位
288、单项选择题 患儿,新生儿出生评分8分,出生约6小时后出现呼吸困难,进行性加重,并出现皮肤青紫及吸气性三凹征,胸片示双肺密实,呈“白肺”表现,下列诊断的是()
A.肺出血
B.新生儿肺透明膜病
C.-侧肺不发育
D.吸入性肺炎
E.新生儿湿肺
289、单项选择题 下列关于“多发性骨髓瘤”错误的是()
A.常有病理骨折
B.扁骨、不规则骨多见
C.多部位、多发性病灶
D.常有广泛性骨质疏松
E.骨质以溶骨破坏为主,骨皮质无膨胀、硬化
290、单项选择题 病变常对称性地侵犯四肢关节的疾病是()
A.关节结核
B.化脓性关节炎
C.类风湿性关节炎
D.色素沉着绒毛结节性滑膜炎
E.滑膜骨软骨瘤病
291、单项选择题 髓内肿瘤中以哪种组织学类型最常见()
A.错构瘤
B.血管母细胞瘤
C.神经母细胞瘤
D.胶质瘤
E.神经上皮性囊肿
292、单项选择题 下列哪项不是纵轴型胃扭转的X线表现()
A.两个胃泡,两处液平
B.贲门位置低,食管与胃粘膜纹呈十字交叉
C.胃大弯上翻构成胃的顶缘
D.胃形态呈斜置的大虾状
E.十二指肠环高于幽门
293、单项选择题 关于麻痹性肠梗阻的X线表现,错误的是()
A.易合并腹水
B.不易与低位结肠梗阻鉴别
C.在仰卧位及立位上,气体的形状及位置的变化大
D.因积气而扩张的肠管范围广泛
E.有的来自机械性肠梗阻
294、单项选择题 二尖瓣狭窄早期X线征象是()
A.左心室缩小
B.右心室增大
C.左心房增大
D.右心房增大
E.主动脉结缩小
295、单项选择题
8岁男孩,外伤后感左肘关节肿痛,行左肘关节正侧位摄片如图所示,最可能的诊断是()
A.左肱骨髁上骨折
B.左肱骨小头骨骺Ⅰ度分离
C.左肱骨髁上细微骨折
D.软组织挫伤
E.以上均不正确
296、单项选择题 子宫输卵管造影的禁忌证是()
A.子宫输卵管慢性炎症
B.子宫输卵管结核
C.子宫输卵管良性肿瘤
D.子宫输卵管位置形态异常
E.子宫输卵管出血
297、单项选择题 胸部后前位摄片胶片下缘应包括()
A.第6胸椎
B.第8胸椎
C.第10胸椎
D.第12胸椎
E.第3腰椎
298、单项选择题
女,23岁,反复上腹部疼痛伴黑便2年余,呕吐3天。有血吸虫病史,曾行脾脏切除。结合图像,最可能的诊断为

A.正常食管
B.食管静脉曲张
C.食管胃底静脉曲张
D.贲门失弛缓
E.食管癌
299、单项选择题 下列哪种肿瘤通常在肺部发生转移之后才被诊断,在X线上表现为多发性、无钙化,边缘整齐的圆形病灶()
A.前列腺癌
B.恶性甲状腺肿
C.绒毛膜上皮癌
D.成骨肉瘤
E.乳癌
300、单项选择题 关于常规手后前位摄片的叙述,错误的是()
A.患者侧坐于摄片床旁
B.暗盒平放于摄片床上
C.被检手掌面向下
D.五指伸直略分开
E.中心线向近端倾斜10°