时间:2025-09-22 00:17:51


1、单项选择题 24岁女患者,发现右侧乳房硬性肿物1个月,无自觉疼痛.超声检查右乳外上象限椭圆形1.0cm×0.6cm肿物,边界光滑、整齐,内部均匀低回声,后方回声增强,有侧边声影,最可能的诊断是()
A.乳腺囊肿
B.乳腺囊肿合并囊内出血
C.乳腺囊肿合并囊内感染
D.乳腺实性肿瘤
E.以上均不正确
2、单项选择题 葡萄胎常与下列哪项并发()
A.黄体囊肿
B.黄素囊肿
C.皮样囊肿
D.滤泡囊肿
E.巧克力囊肿
3、单项选择题
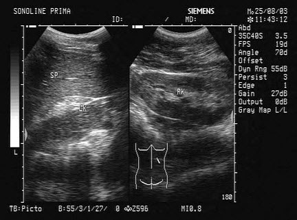
男,18岁,外伤1小时就诊。结合超声声像图,诊断为()
A.脾外伤血肿
B.脾淋巴管瘤
C.膈下积液
D.脾皮样囊肿
E.脾血管瘤
4、单项选择题 目前了解胎儿状态的影像诊断学方法首选的是()
A.腹部平片
B.磁共振检查
C.腹部透视
D.B超检查
E.CT检查
5、单项选择题 下列哪一项不是超声判断胎儿宫内生长迟缓的指标()
A.双顶径
B.羊水
C.腹围
D.头围
E.股骨长
6、单项选择题 指出下列正常肢体静脉的多谱勒超声表现哪项是错误的()
A.中等大小以上的静脉,无论在休息和活动状态都有血流信号
B.静脉血流速度随呼吸运动而加快或减慢
C.乏氏(Valsalva)反应阳性
D.人工挤压远端肢体后血流信号减弱
E.呈单向回心血流
7、单项选择题 位于肝圆韧带内的血管是()
A.胃左静脉
B.门脉左内分支
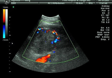
C.左肝动脉分支
D.脐静脉
E.左肝静脉
8、单项选择题
风心病最易累及的部位是()

A.二尖瓣
B.三尖瓣
C.主动脉瓣
D.肺动脉瓣
E.以上均是
9、单项选择题 肝细胞肝癌的临床征象包括()①腹水②黄疸③肝大④脾大
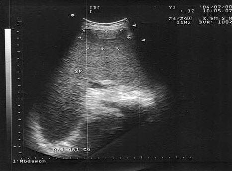
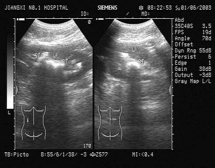
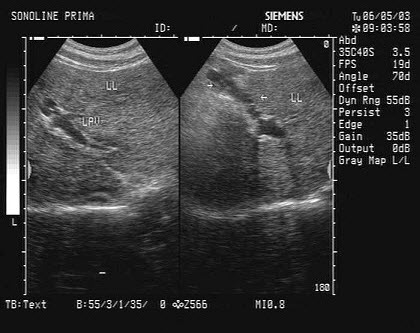
A.①②③
B.②③④
C.①②③④
D.①③④
E.①②④
10、单项选择题
男、30岁,体检时发现脾门处光团,根据超声声像图诊断为()
A.副脾
B.淋巴结
C.转移癌
D.脾脓肿
E.左肾上腺肿瘤
11、单项选择题 除下列哪项外均可发生急性鞘膜积液()
A.肿瘤
B.睾丸及附睾的感染
C.外伤
D.睾丸扭转
E.以上都不是
12、单项选择题 脐静脉直径测量对下列哪项是有用的指标()
A.宫内发育迟缓
B.Rh同种免疫
C.胎龄
D.估计胎儿体重
E.腹围
13、单项选择题
超声耦合剂的作用是()
①润滑
②排除空气
③增加透声性
④可以不用
A.①
B.②
C.②③
D.④
E.③
14、单项选择题 卵巢实质性恶性肿瘤临床表现与声像图特点,下列哪一项是错误的()
A.主要见于儿童及青年
B.多发生于生殖细胞的肿瘤
C.肿瘤形态不规则,内部回声强弱不一
D.彩色多普勒超声检查常可显示较丰富血流
E.频谱多普勒仅能测到静脉血流
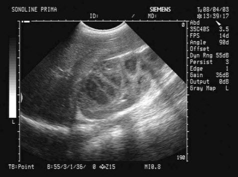
15、问答题 简述多普勒超声心动图?
16、问答题 经阴道超声检查有哪些优缺点?
17、单项选择题 腭裂的声像图所见是()①上颌骨冠状断面显示鼻骨以下骨缺失②上颌骨冠状断面显示鼻骨以上骨缺失③囊状肿物从唇部突出④颧骨断裂
A.①
B.③④
C.②③
D.①②③④
E.②③④
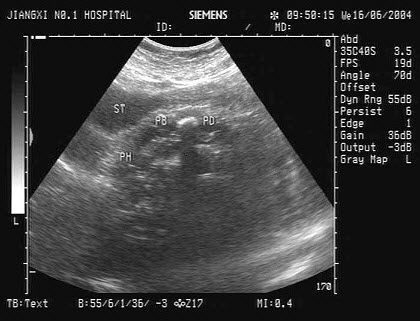
18、单项选择题
女性,41岁,有阵发性高血压病史,超声检查如图所示,该病例最可能诊断()
A.腺瘤
B.肾脏肿瘤
C.嗜络细胞瘤
D.髓样脂肪瘤
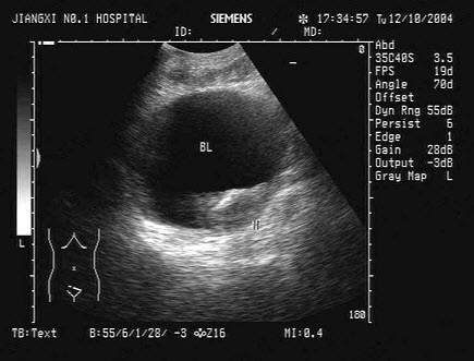
E.肾上腺转移瘤
19、单项选择题 假性妊娠囊的声像图特征是()
A.有双重蜕膜暗区
B.呈单环状暗区
C.有双重蜕膜高回声区
D.呈单环状高回声区
E.呈无回声暗区
20、单项选择题 多囊卵巢的声像图表现,错误的是()
A.卵巢髓质内可见较丰富的血流
B.一个超声切面可见10个以上卵泡
C.卵泡大小多小于5mm
D.双卵巢肿大
E.卵巢髓质回声明显减弱
21、单项选择题 两个或两个以上界面之间的多个反射造成的假回声信号称()
A.折射
B.多重反射
C.排斥
D.散射
E.衍射
22、单项选择题 二尖瓣关闭不全M型超声心动图时检查时哪项表现有错误()
A.二尖瓣叶增厚、活动受限
B.关闭时二尖瓣叶不能合拢
C.左心房及左心室增大
D.左心室壁运动增强
E.左心房、右心室增大
23、单项选择题 下列哪种眼疾病声像图表现为凹面向前的“V”字形膜状回声()
A.完全性视网膜脱离
B.部分性视网膜脱离
C.脉络膜脱离
D.玻璃体后脱离
E.玻璃体机化膜
24、单项选择题 彩色多普勒血流成像时使用高通滤波可达到什么目的()
A.便于检查流量大小
B.检测高速血流时不受低速运动多普勒信号的干扰
C.可以用于显示血流的方向
D.便于检查极低速的血流
E.增大检测深度
25、单项选择题 长期肾积水时肾最常见的声像图是()
A.吹胀的袋状无回声
B.无回声分隔
C.椰菜花状无回声
D.哑铃状无回声
E.巨大囊肿型
26、单项选择题 下列哪项是心肌收缩功能的主要测量指标()
A.左室压力最大下降速率
B.舒张期压力减半时间
C.左室短轴缩短率、室壁收缩期增厚率、室壁应力
D.等容舒张期时间
E.左室心肌松弛时间常数
27、单项选择题 检查肺动脉瓣狭窄时,彩色多普勒血流显像的滤波(filter)应怎样调节()
A.用中等频率滤波,使血流显示充满肺动脉
B.不用滤波器,以免干扰血流信号
C.用低通滤波,使血流不失真
D.选用高通滤波,以减少、消除低速信号干扰
E.以上都不是
28、单项选择题 青年女性,经期下腹疼痛,超声见盆腔囊性肿块,最可能的诊断为()
A.子宫内膜肌腺症
B.纵隔子宫
C.输尿管囊肿
D.巧克力囊肿
E.畸胎瘤
29、单项选择题 胰腺假性囊肿USG表现中,哪项不正确()
A.胰腺某一局部或胰腺相邻部位出现无回声区
B.囊肿大小不等,直径自1~2cm至儿头大小
C.囊肿形态一般为圆形或椭圆形
D.较小囊肿多位于胃后方,较大者为贴近前腹壁
E.胰腺均匀、弥漫性肿大,且内部回声呈均匀低回声
30、单项选择题
根据心尖四腔切面声像图所示,超声诊断为()

A.右房血栓
B.三尖瓣赘生物
C.右房黏液瘤
D.正常声像图
E.二尖瓣脱垂
31、单项选择题 心血管系的超声造影检查应用,下列哪项是错误的()
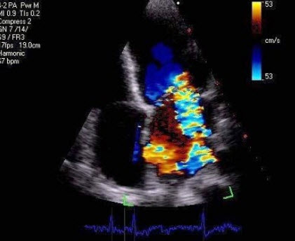
A.观察左向右分流
B.测量室壁增厚率
C.观察右向左分流
D.使心内膜界限清楚
E.观察瓣膜返流
32、单项选择题 葡萄胎刮宫术后,黄素囊肿消退常需要多长时间()
A.1~2周
B.4~5周
C.6个月
D.2~4个月
E.8周
33、单项选择题 下列肾脏疾病哪一项不属于肾先天性异常()
A.重复肾
B.肾发育不良
C.马蹄肾
D.肾自截
E.异位肾
34、单项选择题
男,11岁,右侧阴囊空虚,左侧睾丸可触及,右侧腹股沟区可探及低回声肿块,如图所示,考虑为()
A.隐睾
B.淋巴结
C.腹股沟疝
D.腹股沟肿瘤
E.以上都不是
35、单项选择题 心脏原发性肿瘤最常见者为()
A.横纹肌瘤
B.纤维瘤
C.脂肪瘤
D.间皮瘤
E.黏液瘤
36、单项选择题 哪种超声聚焦方法是新发展的技术()
A.晶片凹陷
B.声透镜
C.分段电子聚焦
D.动态实时跟踪和面阵聚焦(矩阵聚焦)
E.动态权中重聚焦
37、单项选择题 异位妊娠的声像图表现是()
A.子宫增大,内膜增厚
B.附件区不规则肿物
C.子宫直肠窝积液
D.子宫颈管内见胚囊样结构
E.以上都是
38、单项选择题 子宫内膜异位症声像图特征是()①子宫增大,形态饱满②子宫肌壁回声粗糙不均匀,与宫壁无明显界限③子宫内膜线移位④易与子宫肌瘤相混淆
A.①
B.①②
C.①②③
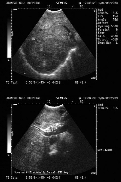
D.①②③④
E.①③④
39、多项选择题 肝脓肿USG检查可见()
A.晕环征
B.环中环征
C.慧星尾征
D.靶征
E.蝌蚪尾征
40、单项选择题
某患者自诉乳腺可触及一包块,光滑可移动,超声图像如图,诊断为()
A.纤维瘤
B.囊肿
C.乳腺癌
D.小叶增生
E.乳腺导管扩张
41、单项选择题
某患者肝脏发现肿块回声,根据CDFI声像图表现,最可能的诊断是()
A.肝血管瘤
B.肝脓肿
C.肝炎性假瘤
D.肝囊肿
E.肝癌
42、单项选择题 门脉高压时,反向压力可导致脾()
A.肿大并充血
B.脾门淋巴结肿大
C.梗死
D.萎缩
E.占位
43、单项选择题 声波垂直入射到两层相邻的介质时()
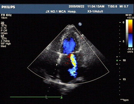
A.两个介质特性阻抗差异越大,反射越强
B.两个介质特性阻抗差异越大,反射越弱
C.反射能量小于折射能量
D.反射能量与折射能量相同
E.以上都不对
44、单项选择题
男性,45岁,因出现无痛性血尿半月余就诊,根据超声声像图提示,最可能的诊断是()
A.肾细胞癌
B.肾结核
C.肾囊肿
D.肾脓肿
E.肾结石
45、单项选择题 欲了解所检测的血管的血流是否为高阻力,应用频谱多普勒测量什么()
A.收缩期速度(Vs)
B.阻力指数(RI)
C.平均速度(Vm)
D.速度时间积分(VTI)
E.舒张期速度(Vd)
46、单项选择题 孕20周后下列哪项是胎儿脑积水的诊断依据()
A.双顶径
B.头围
C.羊水多少
D.脑室率
E.腹围
47、单项选择题 超声生物效应的物理机制是()
A.机械效应
B.热效应
C.辐射效应
D.空化效应
E.多普勒效应
48、名词解释 “键盘征”(“鱼刺征”)
49、单项选择题 关于影响声束形态、大小和能量分布的因素,错误的是()
A.探头的形状和大小
B.探头阵元数及其排列
C.分辨率
D.探头频率
E.聚焦方式
50、单项选择题 子宫肌瘤彩色多普勒经腹超声特征是()
A.肌瘤中心见丰富血流,分布规则
B.肌瘤中心见丰富血流,分布杂乱
C.肌瘤周围显示血流,呈环状或半环状
D.肌瘤内多见极丰富血流
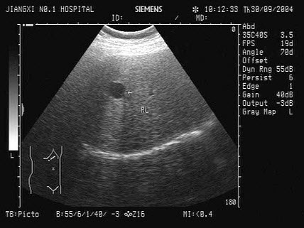
E.无血流
51、单项选择题 布-加综合征是指()
A.门脉高压发生阻塞产生的症候群
B.充血性心衰所致的功能性肝静脉流出道阻塞
C.下腔静脉闭塞产生的一系列症候群
D.肝与右心房之间肝静脉或下腔静脉阻塞引起肝静脉回流受阻产生的一系列症候群
E.上腔静脉闭塞产生的一系列症候群
52、单项选择题
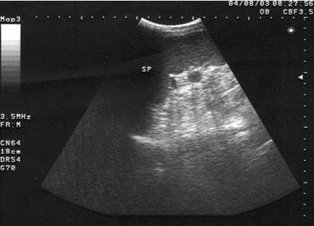
女性,29岁,停经28周,产前超声检查如图,最可能的诊断为()
A.胎儿畸形,脑积水
B.胎儿畸形,腹壁裂
C.胎儿畸形,室间隔缺损
D.胎儿畸形,无脑儿
E.胎儿畸形,露脑畸形
53、单项选择题
根据超声声像图,提示结构为()
A.脐带
B.胎盘
C.胎儿躯干
D.胎儿臀部
E.子宫肌层
54、单项选择题 当声波穿过两种不同介质的界面时会发生折射是因为什么不同()
A.声阻抗
B.声速
C.密度
D.传播路径
E.传播方式
55、单项选择题 晚期妊娠双顶径测量误差范围是()
A.2~3mm
B.4~5mm
C.6~7mm
D.8~9mm
E.5~6mm
56、单项选择题 该肺动脉狭窄最可能为哪一型()
A.肺动脉闭锁
B.肺动脉瓣狭窄
C.肺动脉瓣下狭窄
D.肺动脉瓣上狭窄
E.肺动脉扩张
57、单项选择题 沿声束轴测量的被探测物与探头间的距离叫()
A.声场
B.范围
C.间期
D.厚度
E.强度
58、单项选择题 关于彩色多普勒血流成像下述哪一种性能是正确的()
A.能显示平均速度为零的灌注区的血流
B.血流成像对超声入射角度的相对非依赖性
C.不出现彩色血流信号混叠
D.不能显示血流速度快慢
E.能显示血流方向
59、单项选择题 关于脉络膜黑色素瘤的描述,哪项是错误的()
A.是成年人最常见的眼内恶性肿瘤
B.居眼内恶性肿瘤的第2位
C.在葡萄膜肿瘤中占61.5%
D.视力减退或视野缺损
E.白瞳孔是最常见的体征
60、单项选择题
患者发现颈部肿块数年,无明显不适。甲状腺超声如图,最可能的诊断为()
A.甲状腺癌
B.结节性甲状腺肿
C.甲状腺炎
D.甲状腺腺瘤并囊变
E.甲状腺囊肿
61、单项选择题 前列腺增生声像图直接征象有()①前列腺各径线>正常值②增大呈圆形、球形、前后径增大比横径明显③内、外腺比例异常④出现增生结节⑤内外腺间出现弧形排列的结石
A.①②③④⑤
B.①③⑤
C.①②③⑤
D.①④⑤
E.①②③④
62、单项选择题
某患者因血尿就诊,前列腺超声声像图如下,生化检查PSA增高,最可能的诊断为()
A.前列腺脓肿
B.前列腺炎
C.前列腺良性增生
D.前列腺癌
E.前列腺囊肿
63、填空题 USG显示肝内胆管内径_______mm,肝外胆管内径____mm以上可诊断胆道扩张。
64、单项选择题 人体组织与体液中,下列哪种最能使声衰减程度加重()
A.胆汁
B.血液
C.脂肪
D.胶原纤维
E.钙质
65、单项选择题 超声诊断早孕直接征象为()
A.子宫增大
B.宫壁肌层内见暗区伴丰富血供
C.宫腔内见孕囊回声
D.双侧卵巢增大
E.以上均不是
66、单项选择题 关于卵巢浆液性囊腺癌,下列哪一项是错误的()
A.儿童及青少年最常见的卵巢恶性肿瘤
B.肿瘤生长快,常伴出血坏死
C.多为部分囊性,部分实性
D.彩色多普勒血流显像,乳头内显示较丰富血流
E.多为双侧性
67、单项选择题 彩色多普勒血流成像在检测腹部血流时,常有彩色信号闪烁现象,如何减轻或消除这种干扰()
A.减低滤波频率
B.减低测速度的速度标尺,增大取样框
C.屏住呼吸,提高滤波频率
D.降低速度标尺
E.深呼吸,提高速度标尺
68、问答题 子宫腺肌症的声像图表现有哪些?
69、单项选择题
患者,女,35岁,有急性胰腺炎病史,现感上腹不适。结合中上腹超声声像图表现,诊断是()
A.胰腺占位并胰管扩张
B.急性胰腺炎
C.慢性胰腺炎并胰管结石
D.胆总管结石
E.胰腺癌
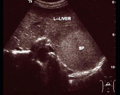
70、单项选择题
男,48岁,上腹隐痛,有胃病史。结合超声声像图,最可能的诊断为()
A.肝包虫病
B.肝多发性血管瘤
C.肝癌
D.脂肪肝
E.肝囊肿
71、填空题 胎盘分为____________、_____________和____________3部分,其中____________靠近胎儿,__________靠近母体。
72、单项选择题 连续波多普勒的用途最适合哪项()
A.测量高速血流
B.测量低速血流
C.测量静脉血流
D.测量中速血流
E.测量动脉血流
73、单项选择题 下列哪一项临床和超声表现与葡萄胎无关()
A.妊娠剧吐
B.血清β-HCG升高
C.阴道流血
D.子宫小于妊娠月份
E.阴道流出葡萄状水泡
74、单项选择题 慢性淋巴性甲状腺炎(桥本氏病)的超声声像图表现是()
A.甲状腺峡部明显增厚,回声低,血流丰富
B.甲状腺正常大小,回声低,血流丰富
C.甲状腺正常大小,回声低,分布均匀,血流不丰富
D.甲状腺轻度肿大,回声低,分布不均匀,血流不丰富
E.甲状腺轻度肿大,回声强,分布不均匀,血流不丰富
75、单项选择题
该病例最可能的诊断()

A.冠状动脉瘤
B.右冠状动脉瘘
C.川崎病
D.冠状动脉起源异常
E.室间隔缺损
76、单项选择题 肝肿大的原因包括()①黄疽②充血性心衰③癌症
A.①
B.①②
C.①②③
D.②③
E.①③
77、单项选择题 有关输卵管积水,下列哪项是错误的()
A.输卵管粘连、闭锁,渗出物积聚而成的
B.输卵管积脓、脓液逐渐吸收形成
C.肿物囊性,常与周围组织粘连
D.常为双侧腊肠形,壁较薄而光滑
E.由盆腔结缔组织增生,子宫固定而形成
78、单项选择题 采用低频滤波装置时,保留的超声信号来自()
A.心壁
B.腱索
C.瓣膜
D.血管壁
E.血流
79、单项选择题 超声波是如何发生的()
A.换能器的逆压电效应
B.换能器的压电效应
C.换能器向人体发送电信号
D.换能器的热效应
E.换能器的磁效应
80、判断题 USG对肾结核的诊断比较准确,还较容易发现无明显积水的输尿管结石。
81、单项选择题 超声辐射剂量与下列哪项无关()
A.受辐射时间长短
B.声束发射功率大小
C.发射声束的频率高低
D.声束在组织中的传播速度大小
E.超声束横截面积大小
82、单项选择题 患者高热后两侧耳下区红肿,超声显示:局部增大,回声减低,血流信号略增多。最可能的诊断是()
A.腮腺肿瘤
B.颈淋巴结肿大
C.急性腮腺炎
D.何杰金肿瘤
E.甲状腺炎
83、单项选择题 最常见的肾脏良性肿瘤是()
A.肾错构瘤
B.海绵肾
C.肾上腺瘤
D.肾柱肥大
E.以上都是
84、单项选择题
彩色多谱勒血流显像的彩色图通常采用什么彩色表示血流方向()

A.红色表示血流朝向探头,蓝色表示血流背离探头
B.红色表示血流背离探头,蓝色表示血流朝向探头
C.蓝色表示血流朝向探头,白色表示血流背离探头
D.红色表示血流背离探头,白色表示血流朝向探头
E.可随意设定
85、单项选择题 李某,男,15岁,数年来多处骨折伴有关节疼痛,肝肾功能正常,超声显示甲状腺下极背侧1.0cm×1.5cm,低回声结节,包膜完整,血流丰富,最可能的诊断是()
A.甲状旁腺增生
B.甲状旁腺癌
C.低血钙症
D.甲状腺腺瘤
E.甲状旁腺腺瘤
86、单项选择题 下列哪项不符合子宫内膜癌超声表现()
A.子宫内膜不规则增厚
B.病灶内部及周边可见血流信号
C.病灶内呈低阻血流,RI<0.5
D.一般只侵犯子宫、附件,不转移至盆腔以外的器官
E.子宫体积增大
87、单项选择题 正常人的膀胱容量约为()
A.300ml以下
B.400ml左右
C.500ml左右
D.600mL左右
E.700mL左右
88、单项选择题 患者28岁,为室间隔缺损,左向右分流,用彩色多普勒技术检查分流血流,对仪器的调节,下述哪一项是错误的()
A.低通滤波
B.高频(7MHz以上)电子相控阵探头
C.电子线阵探头(5MHz以上)
D.高速档速度标尺(高脉冲重复频率)
E.彩色图选用两色彩图
89、单项选择题 子宫输卵管声学造影检查,下述哪一项是错误的()
A.对于子宫内膜息肉诊断有帮助
B.最常用对比剂是碘油
C.造影应避免选择在月经期进行
D.造影时需严格注意无菌操作
E.可用于输卵管阻塞的诊断
90、单项选择题
患者,男性,甲状腺一侧可触及包块,超声见边界清晰的低回声光团,包膜完整。如图所示,最可能的诊断为()
A.甲状腺腺瘤并囊性变
B.甲状腺炎
C.结节性甲状腺肿
D.甲状腺癌
E.甲状腺囊肿
91、单项选择题 正常主动脉瓣口血流多谱勒频谱的特点是()
A.频谱幅度比肺动脉口高
B.频谱为双峰型
C.舒张期出现
D.频谱幅度比肺动脉口低
E.频谱为双向型
92、单项选择题 肾移植后肾周出现无回声暗区,声像图可能的诊断为()①淋巴囊肿②尿性囊肿③肾周脓肿④肾周血肿
A.①
B.①②
C.①②③
D.①②③④
E.①④
93、单项选择题
超声检查如图,最可能的诊断是()
A.正常声像图
B.淋巴管囊肿
C.下颚裂
D.唇裂
E.上腭裂
94、单项选择题 粉碎性骨折声像图特点()①断端间有强回声斑或块状强回声,后伴声影②断端间有强回声斑或块状强回声,后方无声影③骨折处可探及骨断裂回声④骨皮质回声中断,骨质中出现不规则低或较强回声
A.①
B.①②
C.①②③
D.②④
E.①②③④
95、单项选择题 凸阵扫描探头,临床常用于何部位的检查()
A.腹部
B.乳房
C.睾丸
D.甲状腺
E.头颅
96、单项选择题
患者女48岁,上腹部疼痛不适3个月,皮肤巩膜黄染1个月余。B超检查如图所示,根据超声声像图诊断为()
A.胆总管下段癌
B.壶腹部癌
C.胰头癌
D.腹主动脉旁肿大淋巴结
E.结肠癌
97、单项选择题 正常颈动脉的血流在彩色多谱勒血流显像图中表现为()
A.层流
B.湍流、层流
C.湍流、层流、逆流
D.湍流
E.层流、逆流
98、单项选择题 不孕症伴有痛经,常发生于()
A.多囊卵巢综合征
B.子宫内膜异位症
C.子宫内膜增殖症
D.卵巢囊肿
E.粘膜下子宫肌瘤
99、单项选择题 腮腺炎的声像图表现是()
A.不同程度的弥漫性肿大
B.急性期轮廓不清,呈低回声
C.腮腺血流信号增多
D.慢性期界限清晰,呈强回声
E.以上都是
100、单项选择题 为测量主动脉瓣关闭不全的血流,应选用何种方式()
A.速度标尺的设置在高速档
B.速度标尺的设置在中速档
C.速度标尺的设置在低速档
D.应采用脉冲多谱勒
E.应采用M型超声
101、单项选择题 超声检测鞘膜积液分几型()①睾丸鞘膜积液②精索鞘膜积液③交通型鞘膜积液④婴儿型鞘膜积液
A.①②
B.①②③
C.①②④
D.①②③④
E.①③④
102、单项选择题 人体软组织在37℃时,超声声速为()
A.1540米每秒
B.1540英里每秒
C.1500英里每秒
D.1500米每秒
E.1540千米每秒
103、单项选择题 下列哪些结构超声不易显示()①闭孔内肌②梨状肌③髂腰肌④髂窝三角
A.①
B.①②
C.①②③
D.①②③④
E.②③④
104、单项选择题 下列哪一项是腹水影响肝脏声像图的情况()
A.没有影响
B.肝脏回声显示增强
C.腹水使声波衰减导致肝回声减弱
D.肝内管状结构不清
E.肝脏形态改变
105、单项选择题 下列眼部超声检查法中,哪种方法最简便实用()
A.经眼睑法
B.水囊法
C.探头块法
D.经水法
E.软探头法
106、单项选择题 肾积水声像图的表现下列哪一项是错误的()
A.肾盂回声分离
B.肾体积可增大
C.肾实质可变薄
D.肾窦内可出现强回声团伴声影
E.肾实质内出现无回声区
107、单项选择题
某患者因血尿就诊,下腹部声像图如图,根据图中表现及所标志的体位,最可能的超声诊断为()
A.前列腺增生并钙化
B.膀胱结石
C.膀胱癌
D.前列腺癌
E.膀胱血块
108、单项选择题
二尖瓣M型超声心动图,图中尖头所示两点称为 ( )

A.E点和A点
B.D点和C点
C.F点和G点
D.高点和底点
E.前点和后点
109、单项选择题 关于原发性输卵管癌,下述哪项说法是错误的()
A.常伴有不孕症
B.发病率仅次于卵巢癌
C.阴道排液为间断性
D.主要症状是阴道多量排液
E.可能与结核性输卵管炎有关
110、单项选择题 冠状动脉粥样硬化性心脏病(冠心病)的主要病理改变是什么()
A.动脉内膜上形成粥样硬化斑块,使管腔狭窄
B.冠脉与心室交通形成冠状动脉瘘
C.冠脉中层(肌层)代偿性增生
D.冠脉内膜破损,形成夹层动脉瘤
E.冠脉瘤样扩张形成动脉瘤
111、单项选择题 以下哪项病变不会出现声影伪像()
A.胆囊结石
B.皮肤瘢痕组织
C.肝内钙化灶
D.肝肿瘤伴坏死、液化
E.陈旧性动脉粥样硬化性斑块
112、单项选择题 CDFI检查时导致血流方向和速度表达错误的常见原因有()
A.频谱滤波设置过高、闪烁伪像、组织震颤
B.频谱滤波设置过低、闪烁伪像、快闪伪像
C.彩色混叠、方向翻转键设置不当、探头倒置
D.频谱滤波设置过高、多普勒超声衰减、呼吸
E.心搏、大血管搏动、结石
113、单项选择题 心肌和脑组织的衰减程度属于()
A.极低
B.低
C.中等
D.高
E.极高
114、单项选择题 以下哪种病不是膀胱的先天畸形()
A.良性增生
B.膀胱颈梗阻
C.脐尿管开放
D.膀胱外翻
E.以上都不是
115、单项选择题 中孕时双顶径每周增长多少可诊断胎儿宫内生长迟缓()
A.<2mm
B.2.0mm~2.5mm
C.2.6mm~3.0mm
D.3.1mm~3.5mm
E.3.6mm~4.0mm
116、单项选择题 关于经阴道超声检查方法学的描述,下述哪一项是错误的()
A.子宫肌瘤较大时,应同时进行经腹超声检查
B.卵巢肿瘤位置较高时,应同时进行经腹超声检查
C.经阴道超声检查常用于胎儿心脏畸形诊断
D.与经腹超声相比,常能清晰显示子宫内膜形态
E.检查前需排空膀胱
117、单项选择题 谐波成像在临床中应用,不包括()
A.基波显像良好的脏器
B.增强心肌和心内膜显示
C.增强心腔内声学造影剂的回声信号
D.增强细微病变的分辨力
E.减少近场伪像及近场混响
118、单项选择题
该食管超声心动图显示图像为()

A.房间隔缺损(上腔型)
B.房间隔缺损(下腔型)
C.房间隔缺损(中央型)
D.房间隔缺损(混合型)
E.冠状静脉窦扩张
119、单项选择题 正常宫颈测量值为()
A.长度不超过3cm
B.前后径不小于3cm
C.前后径不超过3cm
D.长度不超过5cm
E.以上都不是
120、单项选择题
某患者肝脏声像图表现,最可能的诊断是()
A.肝转移癌
B.原发性肝癌并门脉癌栓
C.弥漫性肝癌
D.肝硬化并门脉海棉样变性
E.肝硬化并门脉血栓形成
121、单项选择题
如图可诊断为()
A.小肝癌
B.肝转移癌
C.肝脓肿
D.多发肝血管瘤
E.肝囊肿
122、问答题 恶性滋养叶疾病的声像图表现有哪些?
123、单项选择题 先天性髋关节完全脱位的声像图特点是()①股骨头从髋臼内全部脱出②股骨头向后上方软组织内移位③股骨头与髋臼间出现较宽间隙④髋臼窝变形
A.①
B.①②
C.①②③
D.①②③④
E.②③④
124、单项选择题 彩色多普勒血流显像仪的自相关技术的作用是()
A.灰阶变换
B.分析信号相位差,得出血流速度均值和方向
C.放大回波信号的幅度
D.高通滤波
E.将回波信号增加
125、单项选择题 要求在图像的近、中、远声场中都能得到最清晰的显示,此称为()
A.空间分辨力
B.速度分辨力
C.动态分辨力
D.图像的均匀性
E.最大穿透力
126、名词解释 全程聚焦
127、单项选择题 羊水过少,超声诊断标准是羊水深度小于()
A.3cm
B.4cm
C.5cm
D.6cm
E.7cm
128、单项选择题 以下何者不是右心容量超荷的超声表现()
A.右心腔扩大
B.三尖瓣运动幅度增大
C.室间隔运动平坦
D.右室流出道及肺动脉增宽
E.左心腔扩大
129、单项选择题 有关主动脉,以下哪项不对()
A.主动脉根部与左室相连
B.主动脉根部膨大称为主动脉窦,又称乏氏窦
C.主动脉窦分为右前窦、右后窦及左后窦
D.三个窦内各有一支冠状动脉开口
E.冠状动脉开口于窦壁中部
130、单项选择题 天冬氨酸是()
A.酸性氨基酸
B.碱性氨基酸
C.支链氨基酸
D.芳香族氨基酸
E.含硫氨基酸
131、单项选择题 在胎儿胸部同一平面,正常胎儿心脏横径与胸部横径的比值应小于()
A.0.32
B.0.42
C.0.52
D.0.62
E.0.25
132、单项选择题 超声可探测到,在尿路造影术或X线平片中看不到的肾结石是()
A.草酸钙结石
B.胱氨酸、黄嘌呤结石
C.磷酸盐结石
D.尿酸结石
E.以上都不是
133、单项选择题
患者老慢支疾病多年,该病例最有可能诊断()

A.原发性肺动脉扩张
B.右流增宽
C.肺动脉瓣关闭不全
D.肺动脉高压
E.动脉导管未闭
134、单项选择题 股骨长径与腹围比率是多少可诊断非对称性胎儿宫内发育迟缓()
A.<20
B.>22
C.<24
D.>24
E.<22
135、单项选择题 急性胆囊炎可伴有()①右上腹痛②Murphy征阳性③结石嵌顿于胆囊管④发热及白细胞升高
A.①
B.①②
C.①②③
D.②④
E.以上各项均是
136、单项选择题 声波入射到两个介质的界面上,如果界面的线度远远大于波长,则产生()
A.反射
B.衍射
C.散射
D.衰减
E.增强
137、单项选择题
女性,出现腰痛并血尿3天,超声检查如图所示,该病例最可能诊断()
A.肾钙质沉积症
B.肾结石
C.肾内钙化灶
D.肾窦灶性纤维化
E.海绵肾
138、单项选择题 门静脉系统扩张可由以下哪些病变所致()①右心衰②肝硬化③二尖瓣狭窄④主动脉瓣狭窄
A.①②
B.②③
C.①③
D.①②③
E.①②③④
139、单项选择题 声在介质中的传播有纵波、横波和表面波三种方式,下列正确的是()
A.在固体中有纵波和横波两种方式
B.在液体中有纵波和横波两种方式
C.在气体中有纵波和横波两种方式
D.在真空中有纵波和横波两种方式
E.在生物组织中以纵波为主
140、单项选择题 下列哪项与睾丸恶性畸胎瘤无关()
A.睾丸增大,表面高低不平,呈分叶状
B.内部回声极不均匀
C.不可能出现液化
D.有时可见钙化强回声及声影
E.病变睾丸血供丰富
141、单项选择题
某患者高热,肾区疼痛,肾脏超声声像图如下,最可能的诊断为()
A.肾囊肿
B.急性肾炎
C.脓肾
D.肾癌
E.肾结核
142、单项选择题 为避免混叠,脉冲重复频率至少应为最高多普勒频移的几倍()
A.1倍
B.2倍
C.3倍
D.4倍
E.5倍
143、单项选择题 如果用颈内动脉速度/颈总动脉速度作为诊断近端颈内动脉狭窄的指标,以下哪个收缩期峰值流速比值,提示颈内动脉管径狭窄率超过70%()
A.1.5
B.2.0
C.4.0
D.5.0
E.5.5
144、单项选择题 能量多普勒的优点是()
A.帧频更高
B.对微弱的多普勒信号更敏感
C.计算流速更准确
D.计算流量更准确
E.混叠
145、问答题 试述原发性肝癌病理分型及声像图表现。
146、单项选择题 下列哪一项是胎儿食管闭锁诊断要点()
A.胃泡不显示,合并羊水过多
B.肠管扩张
C.肠管内可见无回声区
D.胃泡增大
E.食管呈管状无回声区
147、单项选择题 超声测量胎儿股骨长度,怎样才能避免较大的测量误差()
A.用线阵式超声探头
B.采用凸阵式超声探头
C.采用扇扫式或小凸阵探头
D.声束与胎儿股骨尽可能保持垂直
E.声束与胎儿股骨尽可能保持平行
148、单项选择题 宫内胎儿生长停滞的第一个超声指征是()
A.胎儿腹围小于胸围
B.胎儿头、体比例失调
C.股骨长径减小
D.宫内总容积小
E.肱骨长径减小
149、单项选择题 下列哪些情况可引起胎盘增厚增大()①妊娠高血压综合征②高血压③糖尿病④血型不合
A.①②
B.③④
C.①②③④
D.①②③
E.以上各项均不是
150、单项选择题
彩色血流信号“溢出”血管外的原因是()
①取样容积过大
②滤波器频率过低
③增益过高
④对高速血流使用过低速度标尺
A.①
B.①②
C.①②③
D.①②③④
E.②③④
151、单项选择题 关于卵巢无性细胞瘤,下列哪一项是错误的()
A.卵巢恶性生殖细胞实性肿瘤
B.常见于儿童及青年妇女
C.肿瘤彩色多普勒血流显像可显示丰富血流
D.卵巢实性良性肿瘤
E.卵巢少见良性肿瘤
152、单项选择题 超声波有纵波、横波和表面波三种振态,下列哪项是错误的()
A.在固体中有纵波、横波、表面波
B.在液体和气体中有纵波
C.在真空中有横波和表面波
D.在生物组织中有纵波
E.在人体组织中有纵波
153、单项选择题 判断视网膜中央静脉栓塞预后(病期在3个月内),其血流速度标准是()
A.<2.0cm/s
B.<2.5cm/s
C.<3.0cm/s
D.<3.5cm/s
E.<4.0cm/s
154、单项选择题 M型超声心动图的主动脉根部波群不能检查什么解剖标志()
A.右室流出道
B.左室后壁
C.主动脉瓣
D.主动脉
E.左房腔
155、单项选择题 关于卵巢黏液性囊腺瘤声像图表现,下列哪一项是错误的()
A.肿瘤呈圆形或椭圆形无回声区
B.囊壁呈均匀厚壁型
C.呈多房结构
D.肿瘤体积一般较小,常为双侧性
E.少数肿瘤内有乳头状物
156、单项选择题 哪些是目前常用的热切除物理能源()
A.射频
B.激光
C.高强度聚焦超声
D.微波
E.以上均是
157、单项选择题
女,38岁。根据超声声像图,可诊断为()
A.肝脓肿
B.肝血管瘤
C.肝癌
D.局限性脂肪肝
E.肝内钙化灶
158、单项选择题 下列哪一项不是卵巢实质性恶性肿瘤()
A.绒毛膜上皮癌
B.纤维上皮瘤
C.无性细胞瘤
D.内胚窦瘤
E.肉瘤
159、单项选择题
女性,于膀胱输尿管位置见一囊性光团,有规律收缩,增大。如图所示,考虑为()
A.膀胱肿瘤
B.膀胱憩室
C.输尿管结石
D.输尿管囊肿
E.膀胱异物
160、单项选择题
患者体检发现肝脏体积增大,超声见右叶巨大的强回声光团,边界见声晕,门脉见实质性光团充填,如图所示,考虑为()
A.肝癌并门脉癌栓
B.肝脓肿
C.肝囊肿
D.肝结核
E.肝血管瘤
161、单项选择题 乳腺纤维腺瘤的超声特征是()
A.边界光滑、有包膜、回声均匀、后方多增强
B.边界不光滑、有包膜、回声均匀、后方多增强
C.边界光滑、无包膜、回声均匀、后方多增强
D.边界光滑、有包膜、回声不均、后方多增强
E.边界光滑、有包膜、回声均匀、后方不增强
162、单项选择题 关于黄体囊肿的描述,下列哪一项是错误的()
A.黄体形成过程中,黄体血肿液化所致
B.囊肿直径一般为3cm左右
C.妊娠黄体囊肿产后才消失
D.较大的黄体囊肿可自发破裂,发生急腹症
E.黄体囊肿破裂声像图表现,酷似宫外孕破裂表现
163、单项选择题 等容收缩期在心动周期指的是什么时间()
A.左心室被快速充盈的时间
B.二尖瓣关闭到主动脉瓣开放的时间
C.左心室血液快速射入主动脉的时间
D.左心室被缓慢充盈的时间
E.肺动脉被右心室血液充盈的时间
164、单项选择题 葡萄胎声像图上,多数直径3~5mm无回声的囊泡,最大可能是什么()
A.宫腔积液
B.钙化
C.黄体囊肿
D.水肿绒毛
E.胎儿部分
165、单项选择题
该男,30岁,血压正常范围,心电图正常,T3,T4正常,该病例最可能的诊断()

A.冠心病
B.高血压心脏病晚期
C.甲状腺功能亢进型心脏病
D.扩张型心肌病
E.肥厚性心肌病
166、填空题 胎儿畸形包括__________、__________、___________、_____________、_____________、__________________、__________________、______________或___________等。
167、单项选择题 减少肠气对肾扫查的影响,可采用()
A.病人取俯卧位
B.降低仪器灵敏度
C.提高仪器灵敏度
D.采用高频探头
E.降低仪器增益
168、问答题 异位妊娠超声声像图表现?
169、单项选择题 经腹超声测量正常成人前列腺的大小约()
A.长3cm,宽4cm,厚2cm
B.长4cm,宽3cm,厚2cm
C.长3cm,宽4cm,厚3cm
D.长2cm,宽3cm,厚4cm
E.长2cm,宽4cm,厚3cm
170、单项选择题 紧邻于肾后方的肌肉是()
A.腰大肌
B.多裂肌
C.闭孔外肌
D.腹外斜肌
E.臀肌
171、单项选择题
女,16岁,有性生活史,因停经35天。根据B超检查声像图如下,合理的超声诊断意见为()
A.动态观察
B.早孕
C.宫外孕可能,建议经阴道超声检查
D.抗感染治疗
E.内膜过度增生
172、单项选择题 实质性病变的声像图中,哪项错误()
A.边缘光滑或不光滑
B.外形规则或不规则
C.内部无回声衰减
D.后方回声不变或减弱
E.侧方声影有或无
173、单项选择题 正常成年男性睾丸大小约为()
A.长3~4cm,宽2~3cm,厚1~2cm
B.长4~5cm,宽1~2cm,厚2~3cm
C.长4~5cm,宽3~4cm,厚2~3cm
D.长5~6cm,宽4~5cm,厚2~3cm
E.长4~6cm,宽3~4cm,厚2~3cm
174、填空题 腹膜后肿块在USG上可分为4种表现类型,即___________________、________________、________________和_______________。
175、单项选择题
如图所示,该频谱为下列那支血管的频谱特点()

A.颈外动脉
B.颈内动脉
C.颈总动脉
D.颈内静脉
E.椎动脉
176、单项选择题 正常肝静脉频谱特点()
A.单相
B.双相
C.三相
D.双变
E.复杂
177、单项选择题 患者出现右上腹疼、发热、白细胞升高,超声检查胆囊明显增大,内见粗斑点状不均匀非沉积性回声,这可能提示为()
A.胆囊癌
B.胆囊积液
C.水肿胆囊
D.瓷瓶状胆囊
E.胆囊积血
178、问答题 超声诊断前置胎盘的要点是什么?
179、单项选择题
如图所示,双肾结构清晰,左肾体积小,该病例最可能诊断是()
A.肾发育不良
B.肾萎缩
C.慢性肾炎
D.肾结核
E.慢性肾衰
180、单项选择题 急性胆囊炎USG表现中,哪项不正确()
A.胆囊增大
B.胆囊壁增厚、毛糙
C.回声模糊
D.胆汁透声差
E.超声Murphy征阴性
181、单项选择题 经产妇,末次月经不详,超声测量胎囊最大直径是1cm,计算孕龄是()
A.4~5周
B.8周
C.10周
D.10~12周
E.9周
182、单项选择题
某患者左室长轴切面超声心动图如图所示,诊断为()

A.正常声像图
B.主动脉瓣关闭不全
C.二尖瓣关闭不全
D.室间隔缺损
E.房间隔缺损
183、单项选择题
该病例最可能的诊断()

A.三房心
B.部分性肺静脉畸形引流
C.完全性肺静脉畸形引流
D.瓣上环
E.部分型心内膜垫缺损
184、单项选择题 当超声波经过声阻抗相差较大的介质形成的界面时()
A.分辨力增强
B.混响增强
C.界面形成透声层
D.被吸收的声能增加
E.被反射的声能增加
185、问答题 前列腺的超声扫查途径有哪些?
186、单项选择题 患者无痛性血尿,超声示膀胱三角区乳头状隆起性病灶3cm×2cm,基底部较宽,不随体位移动,首选诊断是()
A.膀胱结石
B.膀胱内血凝块
C.血管瘤
D.膀胱癌
E.膀胱内异物
187、判断题 脐带绕颈时,若绕颈1周USG为V字形压迹,绕2周为W字形压迹。
188、判断题 对于各种部位、类型的骨折,USG为首选检查方法。
189、单项选择题
在两种不同介质的界面上,决定反射量的因素是()
①折射系数
②超声波频率
③声特性阻抗
A.①
B.②
C.③
D.②③
E.①②③
190、单项选择题 心包肿瘤最重要的超声所见是()
A.在心包脏层或壁层有形状不规则的团块状回声
B.心包增厚、钙化
C.心包腔内有条索状回声
D.心包有大量积液
E.心包脏层、壁层有粘连
191、单项选择题
男性,60岁,排尿不适,无痛性血尿,膀胱声像图如图,根据图中表现及所标志的体位,最可能的超声诊断为()
A.膀胱息肉
B.膀胱结石
C.膀胱癌
D.膀胱血块
E.前列腺癌
192、单项选择题 穿过界面后,声束方向的改变,是由于()
A.入射角度
B.折射
C.正常反射
D.后散射
E.衰减
193、单项选择题 下列哪些是陈旧性宫外孕的临床症状及超声表现()①有停经史、阴道不规则出血及腹痛,疼痛缓解后无明显不适,但仍无月经②盆腔可触及包块③血HCG高于正常④正常大小子宫,附件区较大中等回声,甚至将子宫包绕其中,边界清晰⑤腹腔内无游离液体⑥腹腔内有游离液体
A.①②③④
B.①②④⑤
C.①②③④⑤
D.①②③④⑥
E.①③⑤
194、单项选择题 关于卵巢恶性肿瘤分期中,Ⅲ期是指()
A.肿瘤局限于一侧卵巢
B.肿瘤伴盆腔以外的腹腔内转移,有腹膜后淋巴结转移
C.肿瘤有盆腔内扩散
D.肿瘤伴远处转移,胸水中找到癌细胞或肝转移
E.以上都不是
195、单项选择题 完全性心内膜垫缺损Ⅲ型超声声像图特征是()
A.房间隔下端连续中断
B.左右房室瓣分离各有腱索与室间隔相连
C.二尖瓣前叶腱索附着于室间隔右室面
D.左右房室瓣共瓣,无腱索相连
E.右房室及肺动脉扩张
196、单项选择题 下列关于腮腺混合瘤的描述,哪项是错误的()
A.又称多形性腺瘤
B.为涎腺中发病率最高的良性肿瘤
C.肿瘤生长迅速,多不伴其他症状
D.发病多在一侧
E.与周围组织无粘连,可有一定限度的活动
197、单项选择题 骨巨细胞瘤病理基础主要表现为肿瘤组织质地疏松、出血、坏死和囊性变。与其相对应的声像图表现()
A.病变发生于骨骺端的松质骨内
B.病变部位呈偏心性肿大
C.肿瘤与正常骨质界限清楚
D.肿瘤透声性良好,后部边界回声增强
E.彩色多普勒血流显像见少许点状血流或较丰富的血流
198、单项选择题 关于卵巢囊性畸胎瘤,下列哪一项是错误的()
A.可产生声影
B.也称为皮样囊肿
C.最常见于青年女性
D.脂肪层浮在液体上方,可见脂液平面
E.经阴道彩色多普勒血流显像囊壁常显示丰富低阻血流
199、单项选择题 胚胎发育分几期,分别是哪些期,超声最早在哪期可显示胎囊()
A.Ⅲ期,孕卵期、胚胎期、胎儿期;胚胎期
B.Ⅱ期,孕卵期、胎儿期;胎儿期
C.Ⅱ期,胚胎期、胎儿期;胎儿期
D.Ⅱ期,孕卵期、胚胎期;胚胎期
E.Ⅲ期,孕卵期、胚胎期、胎儿期;孕卵期
200、单项选择题 用7MHz~10MHz高频探头,检查正常阴囊的主要内容物是()
A.睾丸、附睾及精索
B.睾丸、附睾及输精管
C.睾丸、附睾
D.附睾、精索
E.睾丸、附睾头及睾丸附件
201、单项选择题 囊性肿物的声像图特点是()①增强增益仍为无回声②壁光滑,边界清楚③后方回声增强④后方声影
A.①②
B.①②③
C.①②④
D.②④
E.①②③④
202、单项选择题 慢性胰腺炎声像图表现,下列哪一项不正确()
A.轮廓不清
B.边界常不规则
C.实质回声增强,分布不均
D.主胰管不扩张
E.胰管内可见强回声,后方伴声影
203、单项选择题 颈动脉-海绵窦瘘USG的主要表现为()
A.眼上静脉扩张
B.用探头压迫眼球时搏动消失
C.眶脂体扩大
D.眼外肌肥厚
E.泪腺肿大
204、多项选择题 腹膜液性无回声肿块见于()
A.囊性淋巴管瘤
B.包虫囊肿
C.血肿吸收期
D.腹膜后脓肿
E.横纹肌肉瘤
205、单项选择题
某患者摔伤左腹部,左腹部疼痛不适,恶心,无呕吐。急诊超声检查,根据左腹部超声声像图,诊断为()
A.正常声像图
B.脾破裂
C.脾淋巴管囊肿
D.脾梗死
E.脾结核
206、单项选择题 腮腺炎的超声表现是()
A.弥漫性增大
B.急性期呈低回声区
C.慢性期呈强回声区
D.腮腺血流信号增多
E.以上都是
207、单项选择题 下列哪项指标不是判断颈动脉狭窄的常规血流动力学指标()
A.狭窄处峰值速度
B.狭窄处舒张末期血流速度
C.狭窄处血流阻力指数
D.峰值血流速度比
E.舒张末期血流速度比
208、单项选择题 胎囊的双囊可能是()①双胎妊娠②流产受阻或植入性出血③枯萎卵④两层蜕膜之间的无回声区
A.①
B.①②
C.①②③
D.①②③④
E.②③④
209、单项选择题 人体中声衰减高并可能伴有声影的组织结构,不包括()
A.骨骼表面
B.含气的肺组织
C.胆结石
D.陈旧瘢痕组织
E.肝、脾包膜
210、单项选择题 下列哪一项不是腮腺混合瘤的声像图表现()
A.病变轮廓完整,界限清晰,呈圆形、椭圆形或表面呈分叶状
B.内部为均匀低回声或等回声
C.内部为均匀低回声中有蜂窝状小分隔
D.均匀分布的等回声中有无回声液区
E.CDFI显示边缘包绕型血流图,PSV>50cm/s
211、问答题 脐带绕颈的声像图表现有哪些?
212、单项选择题 肝脓肿与肝囊肿的区别是()
A.脓肿不透声,而囊肿透声好
B.脓肿边界不规则,囊肿边界清晰
C.脓肿是坏死性肿瘤,囊肿是良性肿物
D.脓肿回声强,囊肿回声弱
E.以上均是
213、单项选择题
患儿,出生3周,食欲旺盛,吮奶急,但几乎每次喂奶后立即或不久即吐,呈喷射状。X光钡餐检查,见胃窦与幽门管近端连接处呈喙状突出阴影称鸟喙征。超声检查如图,最可能的诊断是()
A.幽门狭窄
B.胃食管返流
C.胃溃疡
D.食管裂孔疝
E.肠套叠
214、单项选择题 对卵巢黏液性囊腺癌的描述,下列哪一项不正确()
A.多由黏液性囊腺瘤演变而来
B.多为双侧性
C.囊内有较多分隔,不均匀性增厚
D.增厚的囊壁可向周围浸润
E.囊瘤频谱呈低阻波形
215、单项选择题 宫内生长迟缓常发生在多少孕周后()
A.15周
B.20周
C.26周
D.32周
E.24周
216、单项选择题
女性,26岁,停经23周。产前B超检查如图,结合超声图像,最可能的诊断为()
A.前置胎盘
B.正常晚期妊娠
C.胎儿畸形,脑积水
D.胎儿畸形,腹壁裂
E.脉络膜囊肿
217、单项选择题 下列哪种声像图最易与宫外孕相混淆()
A.葡萄胎
B.附件肿块
C.过期流产
D.宫内孕并黄体囊肿
E.盆腔炎
218、单项选择题 脉冲式多谱勒的技术优势在于()
A.可测定高速血流
B.可测定低速血流
C.有距离选通作用
D.连续发射脉冲波
E.主要用于返流的检测
219、多项选择题 引起闪烁伪像的原因包括()
A.大血管搏动
B.结石
C.呼吸运动
D.组织震颤
E.心脏搏动
220、单项选择题 超声造影对临床在冠心病的介入治疗上有什么作用()
A.作为介入治疗的方法
B.评价介入治疗的疗效
C.不应使用,因减低介入治疗的疗效
D.明显增大介入治疗的疗效
E.对介入治疗无任何应用价值
221、多项选择题 根据棘球蚴囊USG表现特征,可分为()
A.单囊型
B.多囊型
C.囊沙型
D.混合型
E.母子囊型
222、单项选择题 孕几周是胎儿股骨长度的最易测量时间()
A.9~12周
B.14~22周
C.24~28周
D.32~36周
E.37~40周
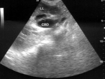
223、单项选择题
女,25岁,上腹部剧烈疼痛数小时。皮肤巩膜无黄染,无发热,声像图如图所示,诊断为()
A.胆总管引流管回声
B.胆总管结石
C.胆总管蛔虫
D.胆总管胆汁淤积
E.胆总管癌
224、单项选择题 胎儿死亡的定义是()①≥20周胎儿死亡②任何胎龄的胎儿死亡③体重≥500g的胎儿死亡④36周以后的胎儿死亡
A.①③
B.②③
C.④
D.①②③④
E.②③④
225、单项选择题 行胆囊超声检查的病人在检查前应禁食几小时()
A.4~6小时
B.6~8小时
C.8~12小时
D.18小时
E.3小时
226、多项选择题 USG在骨骼系统的一般适应证为()
A.骨折后愈合情况
B.膝关节半月板损伤
C.先天性髋关节脱位
D.肌营养不良
E.结核性脓肿
227、单项选择题 以下何者不支持法洛四联征诊断()
A.紫绀
B.杵状指
C.P2亢进
D.胸骨左缘收缩期杂音
E.蹲踞现象
228、单项选择题
某患者肝脏声像图表现如图,提示肝脏回声不均匀致密,肝内可见一管状结构,诊断为()
A.肝内胆管扩张
B.肝淤血
C.脐静脉重开
D.肝血管瘤
E.门脉海棉样变性
229、单项选择题 宫内避孕器的并发症包括()
A.子宫肌层嵌顿
B.节育器穿孔、外游
C.子宫穿孔
D.盆腔积液
E.以上各项均是
230、单项选择题 下腔静脉的主要属支有()
A.髂总静脉、肝静脉、肠系膜上静脉
B.髂总静脉、肝静脉、脾静脉
C.髂总静脉、肝静脉、肾静脉
D.髂总静脉、肾静脉、肠系膜下静脉
E.髂总静脉、肝静脉、门静脉
231、单项选择题 没有被腹膜所覆盖的肝脏部分称为()
A.方叶
B.尾状叶
C.裸区
D.右后叶
E.左叶
232、单项选择题
图中肝脏图像最长的管道为()
A.肝右静脉
B.肝中静脉
C.门静脉右支
D.下腔静脉肝段
E.门脉左支
233、单项选择题 尿路梗阻的常见原因是()
A.前列腺增生症
B.输尿管结石
C.输尿管狭窄
D.输尿管囊肿
E.以上均是
234、单项选择题 切面(断层)厚度伪像也称部分容积效应伪像与下列哪项有关()
A.超声束较宽
B.超声发射频带过宽
C.超声发射频率较低
D.超声发射能量较低
E.超声发射的重复频率过低或过高
235、多项选择题
超声示意图为一患者剑突下横切图,显示了肝脾叠影图像,下列哪些患者最可能出现这种现象()
A.慢性活动性肝炎
B.慢性粒细胞白血病
C.急性乙型肝炎
D.肝脓肿
E.胃癌
236、单项选择题
男性,70岁,左下肢橡皮肿,阴囊肿大如橄榄球大小,阴囊壁增厚,B超声像图如下,患者有可能是下列哪个疾病()
A.丝虫病
B.华枝睾吸虫病
C.肾病综合征
D.下肢静脉曲张
E.阴囊血肿
237、单项选择题
患者女53岁,上腹部疼痛不适半年余,皮肤、巩膜黄染进行性加重。B超检查如图所示,根据超声声像图诊断为()
A.胆总管下段癌
B.胰头癌
C.胆总管炎性狭窄
D.胆总管结石
E.胆总管蛔虫
238、单项选择题
SonoCT技术包括()
①电子声束偏转技术
②数字化图像处理技术
③谐波技术
④X线CT技术
A.①②
B.③④
C.②④
D.①②③
E.以上都是
239、单项选择题 肾超声检测常用的频率是多少MHz()
A.1~2MHz
B.1.5~2.5MHz
C.3.0~4.0MHz
D.3.5~5.0MHz
E.7.5~12.0MHz
240、单项选择题 胎盘边缘抬高并见血肿回声,同时伴腹痛阴道出血应考虑()
A.绒毛膜血管瘤
B.边缘性前置胎盘
C.胎盘早剥
D.子宫肌腺症
E.子宫肌瘤
241、单项选择题 卵泡监测一般从月经周期第几日开始()
A.8~9天
B.10~11天
C.12~13天
D.13~14天
E.6~7天
242、单项选择题 超声能检出阴道哪一部位肿瘤()
A.上1/3
B.中1/3
C.下1/3
D.中下部
E.以上都是
243、填空题
如图,二维超声心动图中,此为____________切面。

244、单项选择题 使用5MHz的探头,在某一材料中的波速为每秒1500米,其波长为()
A.0.3mm
B.0.3cm
C.0.6mm
D.0.6cm
E.0.8mm
245、单项选择题
患者上肢可扪及一包块,质软、活动度差,加压可变形。如图,提示为()
A.脂肪瘤
B.纤维瘤
C.软组织局限增厚
D.炎性包块
E.以上均不是
246、单项选择题 左肾静脉位于()
A.下腔静脉后方
B.与门静脉并行
C.腹主动脉与肠系膜上动脉之间
D.腹主动脉后方
E.腹腔干与腹主动脉之间
247、问答题 肾盂肿瘤的声像图表现有哪些?
248、单项选择题 赵某,男,15岁,发现多处自发性骨折。近2个月病情发展很快,超声显示:甲状腺后下方见一巨大、分叶状实性肿物,边界不清。CDFI:测出动静脉瘘,临床拟诊断甲状旁腺功能亢进,最可能诊断()
A.甲状腺瘤
B.甲状旁腺瘤
C.甲状腺囊肿
D.甲状旁腺增生
E.甲状旁腺囊肿
249、单项选择题 下列哪一项不是子宫肌瘤声像图表现()
A.子宫增大或出现局限性隆起
B.肌瘤结节一般呈圆形低回声区
C.子宫内膜移位与变形
D.宫腔内见无回声区
E.膀胱受压变形
250、问答题 急性胰腺炎超声声像图表现?
251、单项选择题 B型超声诊断仪是指()
A.振幅调制型
B.辉度调制型
C.彩色血流显像
D.多普勒频谱显示
E.以上都不是
252、单项选择题 肝脏局部脂肪浸润的常见部位是()
A.邻近胆囊窝的肝实质
B.ReiDel’s叶
C.邻近右肾上腺的肝实质
D.邻近右肾的肝实质
E.邻近膈顶的肝实质
253、单项选择题 超声对多大的膀胱肿瘤难以检出()
A.1cm
B.2cm
C.0.5cm
D.1cm和2cm
E.1cm和0.5cm
254、单项选择题
根据肝脏声像图表现,诊断为()
A.转移性肝癌
B.肝血管瘤
C.肝脓肿
D.肝囊肿
E.肝内胆管囊状扩张
255、单项选择题 胎儿消化道畸形声像图表现,下列哪一项不正确()
A.食管闭锁常合并羊水过多
B.十二指肠梗阻时可见胃泡增大
C.回肠梗阻时,腹部可见多个无回声区
D.十二指肠梗阻“双泡征”,大泡是十二指肠,小泡是胃
E.胎儿异常吞咽动作
256、单项选择题
下列哪种介质中,超声难以传播()
①空气
②骨骼
③硫酸钡
④肝
A.①
B.①②
C.①②③
D.①④
E.①②③④
257、单项选择题
该病例最可能的诊断()

A.主动脉二叶瓣
B.主动脉单瓣
C.主动脉四叶瓣
D.主动脉三叶瓣
E.主动脉五叶瓣
258、单项选择题 增加脉冲重复周期可()
A.改善分辨力
B.增加最大显示深度
C.减少最大显示深度
D.增大折射
E.无意义
259、单项选择题 下列哪种扫查平面最易观察到脊柱裂()
A.横切面
B.纵切面
C.斜切面
D.冠状面
E.斜冠状面
260、单项选择题 改善轴向分辨力可通过()
A.减小空间脉冲长度
B.增大空间脉冲长度
C.降低探头频率
D.增大时间增益补偿
E.以上各项均不可
261、单项选择题
如图,正常甲状腺中部横切面的超声声像图,中央气管环状软骨前方组织为()
A.甲状腺峡部
B.皮下组织
C.甲状旁腺
D.淋巴结
E.以上均不对
262、单项选择题
如图,初步超声诊断为()

A.二尖瓣返流
B.三尖瓣返流
C.主动脉瓣返流
D.肺动脉瓣返流
E.以上均不是
263、单项选择题
患者全身骨关节疼痛,有肾结石病史。行超声检查甲状腺,如图。最可能的诊断为()
A.甲状腺腺瘤
B.甲状腺癌
C.甲状旁腺腺瘤
D.甲状腺囊肿
E.以上均不是
264、单项选择题 腹部纵断面扫查的解剖标志为()
A.以腹正中线或背部正中线为标志
B.以乳突肌正中线为标志
C.以第7肋间隙为标志
D.可随意取标志线
E.以上都不对
265、单项选择题
患者女27岁,体检B超检查如图所示,根据超声声像图,诊断为()
A.胆囊息肉
B.胆囊结石
C.胆囊腺瘤
D.胆囊癌
E.胆囊蛔虫
266、单项选择题 左心腔超声造影,用直径小于红细胞的造影剂,下述哪一项是错误的()
A.造影剂从末梢静脉经腔静脉进入右心
B.造影剂进入右心后通过肺循环
C.造影剂通过肺循环经肺静脉进入左心腔
D.经外周动脉注入造影剂
E.经末梢静脉注入造影剂,通过肺毛细血管网从静脉回右心
267、单项选择题
结节性甲状腺肿的声像图表现()
①左右甲状腺不对称增大,有多发结节,无包膜
②左右甲状腺不对称增大,有单发结节,有包膜
③甲状腺内结节边界模糊,不规整,结节周围无正常甲状腺组织
④甲状腺内结节边界清晰,形态规整,结节与周围正常甲状腺组织界限清楚
⑤CDFI呈多彩状,可见血管绕行征、彩球征
⑥CDFI呈少血流改变
A.①③⑤
B.②④⑥
C.①④⑥
D.②③⑤
E.①③⑥
268、填空题 腹部USG检查主要用于检查_______________、__________、___________、___________、_____________、______________、__________、____________、_______________________、_____________等,均具有一定诊断价值。
269、问答题 肾外伤的声像图表现有哪些?
270、单项选择题 下列哪一项对诊断胎儿食管闭锁无帮助()
A.胃泡未显示
B.羊水多
C.胎儿异常吞咽动作
D.肠管扩张
E.胎儿反吐
271、单项选择题 当障碍物的直径小于1/2λ时,将发生()
A.折射
B.反射
C.衍射
D.不折射
E.不衍射
272、判断题 USG对软组织病变有较高的敏感性,所以对某些疾病可作出定位、定性诊断。
273、单项选择题 引起胎儿轻度肾盂肾盏扩张的原因是()
A.超声检查前,母亲摄入大量液体
B.胎儿肾脏利尿
C.胎儿膀胱过度充盈
D.输尿管收缩节律失调
E.以上都是
274、单项选择题 早孕最常并发的盆腔肿块是()
A.子宫肌瘤
B.黄体囊肿
C.皮样囊肿
D.内膜囊肿
E.滤泡囊肿
275、单项选择题 以下哪项不符合扩张型心肌病超声表现()
A.左室明显扩大
B.二尖瓣活动幅度增大
C.EPSS增大
D.室壁活动减弱
E.各瓣口血流速度减慢
276、单项选择题 关于三尖瓣下移畸形,下列何者有误()
A.右房明显扩大
B.右心容量超荷
C.下移的瓣叶多为三尖瓣前叶
D.解剖右室变小
E.伴三尖瓣返流
277、单项选择题 M型超声心动图的二尖瓣水平波群可观察哪种结构的运动曲线()
A.主动脉瓣曲线
B.乳头肌曲线
C.主动脉根部曲线
D.肺动脉瓣曲线
E.二尖瓣前叶、后叶曲线
278、单项选择题 反映心室舒张功能减低不包括哪项()
A.IVRT
B.EPSS
C.E峰流速
D.E/A
E.△D%
279、单项选择题 以下何者不符合完全性肺静脉异位引流()
A.左房增大
B.左房外侧可见共同肺静脉腔
C.常有肺淤血
D.合并房间隔缺损
E.可分为心上型、心内型和心下型
280、单项选择题 下列哪项是葡萄胎灰阶图像的特征()
A.暴风雪状
B.小囊状
C.斑点状
D.钙化
E.以上全部
281、单项选择题
该病例最可能的诊断()

A.黏液瘤
B.心房血栓
C.心房云雾影
D.房壁增厚
E.赘生物
282、问答题 血管平滑肌脂肪瘤(错构瘤)的声像图表现有哪些?
283、单项选择题 提高肝外胆管下段显示的方法有()①饮水②脂餐③胸膝位④侧转探头
A.①
B.①②
C.①②③
D.①②③④
E.①③④
284、单项选择题 引起输尿管扩张的最常见原因是()
A.输尿管肿瘤
B.输尿管结核
C.输尿管结石
D.腹膜后肿瘤
E.输尿管畸形
285、单项选择题 下列哪种肿瘤与麦格综合征有关()
A.子宫肌瘤
B.子宫体癌
C.卵巢纤维瘤
D.输卵管癌
E.库肯勃瘤
286、单项选择题
患者发现颈部无痛性肿块数年。甲状腺超声见左侧甲状腺一肿块,如图。最可能的诊断为()
A.甲状腺癌
B.结节性甲状腺肿
C.甲状腺炎
D.甲状腺囊腺瘤
E.甲状腺囊肿
287、单项选择题 缩窄性心包炎用二维超声检测心包有什么异常所见()
A.心包腔内有积液及心包上有团、块状回声
B.心包增厚(>2mm)并常有粘连
C.心包腔内有大量心包积液的无回声区
D.心包腔内积液随体位而变动
E.心包变薄
288、单项选择题 肝脏被一层厚的胶原纤维膜与弹性结构所包裹,这层膜称为()
A.Glisson包膜
B.Gerota筋膜
C.BoWman包膜
D.Diaphragm膈肌
E.假包膜
289、多项选择题 诊断用超声的安全原则和规定包括()
A.目前使用的简单的B超成像设备在致热方面无禁忌证
B.某些多普勒诊断仪存在显著的升温效应
C.减少声束照射时间可以减少升温效应
D.对生殖系统器官应严格控制照射时间
E.对胎儿和眼睛的检查应严格控制时间及输出功率
290、单项选择题
图示6所指部位()
A.脾静脉
B.腹主动脉
C.胰尾
D.肠系膜上动脉
E.肠系膜上静脉
291、单项选择题 超声检测膀胱有助于诊断()
A.膀胱肿瘤
B.膀胱异物
C.膀胱结石
D.膀胱内血块
E.以上都是
292、多项选择题 胆囊结石与胆囊息肉超声最主要鉴别点是()
A.是否有声影
B.回声强度
C.是否随体位改变而移动
D.是否有血流
E.体积大小
293、单项选择题 主动脉缩窄最常发生在哪个部位()
A.主动脉起始部
B.升主动脉
C.腹主动脉
D.主动脉峡部
E.主动脉弓
294、单项选择题 腹腔动脉的主要分支是()
A.肝动脉、脾动脉
B.胃左动脉、脾动脉、肠系膜上动脉
C.脾动脉、肾左动脉、肠系膜上动脉
D.肝动脉、胃左动脉
E.肝动脉、脾动脉、胃左动脉
295、单项选择题 子宫先天性发育异常常伴有哪个器官异常()
A.肾脏
B.消化道
C.颅脑
D.心脏
E.脊柱
296、单项选择题 前列腺大小与年龄的关系()①随年龄增长,50岁以后均有不同程度增大②50~70岁前列腺重量每10年约增加1倍③随年龄增长,55岁以后可出现不同程度增大④>60岁前列腺重量每5年增加0.75倍
A.①②
B.①④
C.②③
D.③④
E.①②③④
297、单项选择题 超声三维重建技术目前的临床应用情况是()
A.正处于发展改进阶段
B.作为常规已成功的用于临床
C.图像已非常逼真
D.用于心脏实时成像已变得简单、易行
E.现在已能取代二维超声及彩超
298、单项选择题 彩色多普勒是使用什么方法检测血细胞的动态信息()
A.增益
B.STC(TGC)
C.速度
D.FFT技术
E.MTI
299、单项选择题
患者,消瘦,于左上腹触及一包块,超声见一大小5×7cm的呈假肾征的光团,如图所示,考虑为()
A.胰腺癌
B.胆囊癌
C.肝癌
D.胃癌
E.左肾癌
300、单项选择题 快速舒张期在血流动力学上的意义()
A.血液快速从左心室射到主动脉
B.血液在主动脉反弹回流到左心室
C.血液在这期间快速、大量从左心房充盈到左心室
D.血液从右心房缓慢充盈到右心室
E.血液从左心房缓慢地充盈到左心室