时间:2025-09-21 23:14:01


1、单项选择题 足月孕期宫内胎盘的厚度平均为()
A.1.2~1.5cm
B.2.6~2.9cm
C.3.6~3.8cm
D.4.2~4.4cm
E.5.0~6.0cm
2、单项选择题
患者颈部肿大,可扪及肿块。如图,提示为()
A.甲状腺腺瘤
B.结节性状腺肿大
C.甲状腺癌
D.甲状腺炎症
E.甲状腺囊肿
3、单项选择题 绝经后子宫内膜正常厚度是()
A.0.1cm~0.2cm
B.0.3cm~0.5cm
C.0.6cm~0.8cm
D.0.8cm~1.0cm
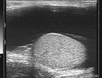
E.1.0cm~2.0cm
4、单项选择题 关于原发性输卵管癌,下述哪项说法是错误的()
A.常伴有不孕症
B.发病率仅次于卵巢癌
C.阴道排液为间断性
D.主要症状是阴道多量排液
E.可能与结核性输卵管炎有关
5、单项选择题 采用聚焦技术的主要目的是()
A.抑制旁瓣效应
B.改善横向和侧向分辨率
C.提高帧频
D.减少超声伪像
E.改善超声的指向性
6、填空题
如图,二维超声心动图中,此为____________切面。

7、单项选择题 超声造影对临床在冠心病的介入治疗上有什么作用()
A.作为介入治疗的方法
B.评价介入治疗的疗效
C.不应使用,因减低介入治疗的疗效
D.明显增大介入治疗的疗效
E.对介入治疗无任何应用价值
8、单项选择题 孕几周后仍为0级胎盘,则应疑有妊娠糖尿病、母子Rh因子不合引起胎盘成熟延迟()
A.20周
B.24周
C.28周
D.32周
E.26周
9、单项选择题 下列卵巢黏液性囊腺瘤声像图特点,哪一项是错误的()
A.肿瘤体积较大
B.囊腔内有较多的分隔
C.囊内有细小点状回声
D.少数有乳头状生长
E.囊腔内无分隔
10、单项选择题 正常主动脉瓣口血流多谱勒频谱的特点是()
A.频谱幅度比肺动脉口高
B.频谱为双峰型
C.舒张期出现
D.频谱幅度比肺动脉口低
E.频谱为双向型
11、单项选择题
右室双出口的概念下列何者不正确 ( )
A.两支大动脉皆出自右室
B.两组大动脉下皆有圆锥肌
C.室缺可位于主动脉或肺动脉瓣下
D.可不出现左向右分流
E.多伴有肺动脉狭窄或肺动脉高压
12、单项选择题 睾丸绒毛膜上皮癌的声像图特点是()
A.内部回声不均匀,为中强回声
B.内部回声不均匀,为中等回声
C.内部回声均匀,为中强回声
D.内部回声均匀,为中等回声
E.以上都不是
13、名词解释 B/M模式
14、问答题 膀胱肿瘤的声像图表现有哪些?
15、单项选择题 胎囊平均径线是1cm,胎龄大约是()
A.4~5周
B.5~6周
C.7周
D.8周
E.9周
16、单项选择题 子宫内膜异位症的声像图表现,下列哪一项不正确()
A.囊内可见不均匀点状回声
B.在月经期检测时,常可发现肿快缩小
C.无回声区内细小强回声可随体位移动
D.呈圆形或不规则形
E.囊壁厚
17、单项选择题 位于肝圆韧带内的血管是()
A.胃左静脉
B.门脉左内分支
C.左肝动脉分支
D.脐静脉
E.左肝静脉
18、单项选择题
某患者肝脏声像图表现如图,诊断为()
A.肝海绵样血管瘤
B.肝癌并布加综合征
C.肝脓肿并血栓形成
D.肝淤血
E.肝硬化并门脉血栓形成
19、单项选择题 赵某,男,50岁,颈前偏右有一实性结节,质硬。2周后发现声音嘶哑,超声显示:甲状腺右叶单发,境界不清,低回声结节,内有细点状强回声,伴有右颈部淋巴结肿大,最可能的诊断是()
A.甲状腺腺瘤
B.甲状腺癌
C.甲状腺囊肿
D.结节性甲状腺肿
E.桥本病
20、单项选择题 肝囊肿的声像图表现,下列哪一项是错误的()
A.囊壁薄而光滑
B.囊壁较厚,光滑,呈双层
C.侧壁出现回声失落
D.后方回声增强
E.彩色多普勒显示囊壁处短条状血流信号
21、单项选择题 门脉高压最常见的原因是()
A.肝静脉梗阻
B.胆总管梗阻
C.肝硬化
D.肝大
E.肝动脉梗阻
22、单项选择题 下列哪一结构将肾实质分为皮质和髓质()
A.肾盂
B.弓形血管
C.肾脂肪
D.肾小球
E.小叶间动脉
23、单项选择题
患者,男,8岁,因腹痛伴呕吐1个月,持续加重1周入院,行心脏及腹部超声检查,下图为胸骨上窝大动脉长轴切面,根据图像显示,该患者最有可能诊断为()

A.动脉导管未闭
B.主-肺动脉间隔缺损
C.主动脉缩窄
D.肺动脉狭窄
E.室间隔缺损
24、单项选择题
胆总管出现图中所示特点,称为()
A.双筒枪征
B.海鸥征
C.鸟嘴征
D.鼠尾征
E.平行管征
25、单项选择题 声波入射到两个介质的界面上,如果界面的线度远远大于波长,则产生()
A.反射
B.衍射
C.散射
D.衰减
E.增强
26、单项选择题 胆囊结石与胆囊肿瘤诊断的鉴别要点()
A.胆囊肿大
B.胆囊缩小
C.强光团伴声影
D.强光团随体位改变移动
E.伴声影的强光团随体位改变移动
27、单项选择题 关于房间隔,以下哪项不对()
A.是左右心房之间的薄层纤维隔膜
B.其中部浅的凹陷称卵圆窝
C.卵圆瓣位于胎儿右房侧
D.若成人卵圆孔未能闭合称为房间隔缺损
E.以继发性房缺最为多见
28、单项选择题 列有关人体组织、体液回声的描述哪项不妥()
A.透明软骨发生钙化回声增强
B.凝血块自溶以后回声减低,甚至接近无回声
C.脓腔内混合低密度的气泡时回声增强
D.血管内发生血栓时回声增强
E.肿瘤中央发生组织坏死时回声一定会减低
29、单项选择题 男性,40岁,脾脏肿大,回声轻度减低,实质内探及多个圆形低回声及无回声结节,边界清楚。可提示诊断为()
A.脾恶性淋巴瘤
B.脾结核
C.脾梗死
D.脾血管瘤
E.脾转移癌
30、单项选择题 约50%宫内生长迟缓的胎盘表现为()
A.小胎盘
B.大胎盘
C.胎盘水肿
D.无异常
E.环形胎盘
31、单项选择题 单一脐动脉异常多见于()
A.多胎妊娠
B.胎儿宫内发育迟缓
C.畸形儿
D.胎儿宫内窘迫
E.正常儿
32、单项选择题 反映心室舒张功能减低不包括哪项()
A.IVRT
B.EPSS
C.E峰流速
D.E/A
E.△D%
33、单项选择题 肝脏转移癌的最常见表现为()
A.牛眼征
B.低回声病灶
C.囊性病灶
D.强回声病灶
E.以上均不是
34、单项选择题 下列不符合双胎双顶径测量特点的是()
A.双胎之间双顶径差应在4mm之内
B.双胎之间双顶径的差应在1~2cm之间
C.双胎中甲胎比乙胎双顶径小6mm,应认为甲胎宫内发育迟缓
D.双胎双顶径稍小于单胎双顶径
E.双胎双顶径稍大于单胎双顶径
35、单项选择题 下列哪一项不是典型腮腺囊肿的声像图表现()
A.形态不规则,呈多边形
B.囊后方回声增强
C.轮廓完整,界限清晰
D.有时可见轮廓线
E.囊内为均匀无回声,透声性良好
36、单项选择题 超声检查至少在妊娠几周后才能较好地看到胎儿()
A.2周
B.4周
C.6周
D.8周
E.9周
37、单项选择题 心肌和脑组织的衰减程度属于()
A.极低
B.低
C.中等
D.高
E.极高
38、单项选择题 CDFI检查时造成彩色信号过多的原因有()
A.多普勒超声衰减伪像
B.厂商设置的“彩色优先”
C.快速伪像
D.闪烁伪像
E.彩色混叠
39、单项选择题
图中所示为()
A.输尿管喷尿征
B.膀胱裂
C.膀胱占位
D.膀胱憩室
E.以上都不是
40、单项选择题 胎儿中枢神经系统畸形常见的有()①脑积水②无脑儿③脑脊膜膨出④脊柱裂⑤脑膜膨出
A.①②
B.①②③
C.①②③④
D.①②③④⑤
E.①②④
41、单项选择题 下列哪一项不是多囊卵巢声像图表现()
A.双侧卵巢呈均匀性增大
B.卵巢一个切面卵泡数目多在10个以上
C.卵泡直径多小于5mm
D.卵巢髓质回声减弱
E.卵巢髓质面积增大,卵泡被挤向卵巢周边
42、名词解释 数模转化
43、单项选择题 半月板损伤的特异声像图是()
A.半月板内的线状、带状及斑块状强回声
B.边缘局限性回声增强
C.向周边移位与韧带分离
D.关节腔内的无回声
E.独立光团的软骨剥离
44、单项选择题 以下哪项病变不会出现声影伪像()
A.胆囊结石
B.皮肤瘢痕组织
C.肝内钙化灶
D.肝肿瘤伴坏死、液化
E.陈旧性动脉粥样硬化性斑块
45、单项选择题 伴发羊水过多的胎儿畸形是()①脊柱裂②骨骼系统异常③膈疝④尿道闭锁
A.①
B.①②
C.①②③
D.①②③④
E.②③
46、单项选择题 下列哪项可引起下腔静脉扩张()
A.肾盂积水
B.右心衰竭
C.Valsalva动作
D.左心衰竭
E.肝炎
47、单项选择题 全数字化技术的内涵下列哪项是正确的()
A.波束发射时是数字形式
B.波束接收时是数字形式
C.以数字化技术形成精确的延时发射
D.用多个开关电路形成延时
E.A/D转换是最关键的技术
48、单项选择题 彩色多普勒技术不可以与下列哪种技术并用()
A.二维超声显像
B.频谱多普勒
C.三维超声显像
D.M型超声心动图
E.以上都不是
49、单项选择题 盆腔腹膜反折位于阴道后穹窿水平,从子宫的后面到直肠的前面称为()①子宫直肠陷窝②Dauglas腔③膀胱子宫陷窝④膀胱直肠陷窝
A.①
B.②
C.①②
D.①②③
E.①②③④
50、单项选择题 胎儿消化道闭锁常伴发()
A.胎儿水肿
B.羊水过多
C.羊水过少
D.子宫小于孕周
E.以上都是
51、单项选择题 腹膜后淋巴结弥漫肿大,超声表现为()
A.钙化
B.囊性改变
C.蜂窝状
D.锯齿状
E.以上均是
52、单项选择题 患者阴道出血,停经60天,尿HCG(+),超声见子宫稍增大,宫腔内未见胎囊及胎芽,应考虑()
A.先兆流产
B.难免流产
C.过期流产
D.完全流产
E.异位妊娠
53、单项选择题 胆囊内可移动、无声影的病变可能是()①泥沙样小结石②胆泥③出血④寄生虫
A.①
B.①②
C.①②③
D.④
E.以上均可能
54、单项选择题 肌瘤与肌壁间有衰减裂隙,为低回声区,这是哪种子宫肌瘤的声像图特点()
A.肌壁间肌瘤
B.粘膜下肌瘤
C.浆膜下肌瘤
D.阔韧带肌瘤
E.以上都是
55、单项选择题 “双泡”征是哪种疾病的声像图特点()
A.胎儿水肿
B.胎儿梗阻性黄疸
C.胎儿十二指肠梗阻
D.胎儿脐疝
E.胎儿脑脊膜膨出
56、单项选择题
某男,因左阴囊疼痛不适数日,B超检查声像图如下,根据彩色声像图及血流特征,最可能的诊断为()
A.睾丸肿瘤
B.睾丸结核
C.睾丸炎
D.睾丸扭转
E.附睾炎
57、单项选择题 卵巢浆液性囊腺瘤的声像图特点是()①伴有腹水②分隔及壁上见菜花状乳头③菜花状乳头穿破囊壁向外生长④囊壁或隔膜或乳头上可见动脉血流,且RI<0.5
A.①
B.①②
C.①②③
D.①②③④
E.①③④
58、单项选择题 下列哪一支血管不是右冠状动脉的分支()
A.右圆锥支
B.后降支
C.左回旋支
D.右室后支
E.右冠状动脉主干
59、单项选择题 B超探及胎儿臀部实性肿物,内见钙化区后伴声影,考虑是()
A.骶尾实性畸胎瘤
B.胎粪
C.脑膨出
D.输尿管肾盂梗阻
E.脊柱裂
60、单项选择题
该病例最有可能诊断是()

A.原发孔房缺
B.继发孔房缺
C.冠状静脉窦隔缺损
D.部分性肺静脉畸形引流
E.部分型心内膜垫缺损
61、单项选择题 于某,女,50岁,偶然发现右乳有一小硬结节,不活动,超声显示:低回声实性结节,0.8cm×0.7cm.后方衰减明显,CDFI无血流信号,同侧腋窝淋巴结肿大,它最可能是()
A.慢性乳腺炎
B.乳腺囊性增生
C.髓样癌
D.硬癌
E.以上都不是
62、单项选择题 引起脂肪肝的常见原因()①营养性原因,肥胖或营养缺乏②代谢性原因,糖尿病、肝糖原累积、高脂血症③药物原因,乙醇、皮质类固醇及细胞毒药物④特发性,原因不明
A.①
B.①②
C.①②③
D.①②③④
E.②④
63、单项选择题 患者绝经后不规则阴道出血,声像图无明显改变,应怀疑什么疾病,最后确诊要靠哪项检查()
A.粘膜下小肌瘤,血HCG
B.子宫内膜小息肉,诊断性刮宫
C.早期子宫肉瘤,血HCG
D.早期子宫内膜癌,诊断性刮宫
E.粘膜下小肌瘤,宫腔镜检
64、单项选择题 M型超声心动图的心室波群可检查哪种结构的运动曲线()
A.主动脉根部曲线
B.左房后壁曲线
C.室间隔曲线
D.主动脉瓣后叶曲线
E.三尖瓣曲线
65、单项选择题 怎样消除彩色多普勒技术的彩色信号闪烁(flash)()
A.屏住呼吸
B.用低的滤波
C.用大的取样框
D.低的速度标尺
E.深呼吸
66、单项选择题 二尖瓣脱垂,以下哪项不对()
A.多见于老年男性
B.可闻及心尖区收缩期吹风样杂音
C.超声显示前后叶对位不良
D.M型超声心动图显示CD段呈“吊床样”改变
E.CDFI可见左房内蓝色返流彩柱
67、单项选择题 成人型多囊肾中下列哪一项是错误的()
A.该病一般在40~60岁出现症状,有家族性
B.超声显示两肾内无数大小不等的囊肿,常合并多囊肝等其他脏器多囊性疾病
C.本病属常染色体隐性遗传病
D.本病为双侧性,临床上少数病例两肾发展可不一致
E.本病出现症状愈早,预后愈差;晚期症状为高血压、肾功能减退
68、单项选择题
女,38岁,上腹部经常疼痛,加重2天。声像图如图所示,诊断为()
A.左肝内胆管多发性结石
B.左肝血管瘤
C.左肝钙化灶
D.左肝内胆管蛔虫
E.左肝内胆管积气
69、单项选择题
根据超声图像,最可能的诊断为()
A.附睾炎
B.睾丸扭转
C.卵巢囊肿蒂扭转
D.子宫腺肌瘤
E.以上都不是
70、单项选择题
图中标记处为()
A.肝左外上叶占位
B.肿大淋巴结
C.肝尾状叶
D.肝内占位性病变
E.肿大淋巴结
71、单项选择题 当骨盆骨折时,易受损的是哪一部分尿道()
A.前列腺部尿道
B.膜部尿道
C.球部尿道
D.阴部尿道
E.悬垂部位
72、单项选择题 常规心脏扫查过程,使用率最高的是哪一项?()
A.胸骨左缘区和心尖区
B.胸骨左缘区和剑突下区
C.心尖区和剑突下区
D.心尖区和胸骨上凹区
E.胸骨左缘和胸骨右缘区
73、单项选择题 下列对风心病二尖瓣狭窄的超声检测,哪一项是错误的()
A.彩色多谱勒血流显像显示血流从左心室流向左心房
B.二尖瓣增厚、纤维化甚至有钙化
C.左心房扩大
D.二尖瓣口的血流速度增快
E.二尖瓣口变小
74、单项选择题 孕几周后超声可显示胎儿脊柱()
A.9周
B.12周
C.16周
D.20周
E.8周
75、单项选择题
男,50岁,右上腹疼痛,乏力,纳差。结合超声声像图,诊断为()
A.肝血吸虫病
B.巨块型肝癌
C.肝血管瘤
D.肝脓肿
E.肝囊肿
76、单项选择题
为了计算一个反射物的距离,必须知道()
①传播速度
②脉冲往返时间
③反射因素
A.①②③
B.①②
C.①③
D.②③
E.①
77、单项选择题 以下哪项属于子宫肌瘤良性退行性变()①玻璃样变②钙化③脂肪变性④肉瘤样变
A.①
B.①②
C.①②③
D.①②③④
E.④
78、单项选择题 后方回声增强效应不常见于()
A.肝囊肿
B.肝内血管瘤
C.正常胆囊
D.肾囊肿
E.充盈的膀胱
79、单项选择题 彩色多普勒血流显像主要与下列哪项因素有关()
A.与血流中的血红蛋白含量有关
B.与血流中的白细胞移动有关
C.与血流中的血小板移动有关
D.与血流中的红细胞移动有关
E.与血脂高低有关
80、单项选择题 用7MHz~10MHz高频探头,检查正常阴囊的主要内容物是()
A.睾丸、附睾及精索
B.睾丸、附睾及输精管
C.睾丸、附睾
D.附睾、精索
E.睾丸、附睾头及睾丸附件
81、判断题 变换体位进行检查,肿块内有可活动的水平分隔线是腹膜后皮肤囊肿和畸胎瘤的表现特征。
82、单项选择题
图中为胰周围组织声像图,其显示腹主动脉前方横行血管为()

A.肠系膜上动脉
B.腹腔动脉
C.左肾静脉
D.肠系膜上静脉
E.肠系膜下动脉
83、单项选择题
该病例最可能的诊断()

A.右室流出道狭窄
B.室间隔缺损
C.主动脉右冠窦瘤破裂
D.主动脉右冠瓣脱垂
E.房间隔膨出瘤
84、单项选择题 关于肾脏解剖描述中下列哪项是错误的()
A.肾脏位于腹膜后脊柱两旁的肾窝内
B.左肾较右肾略大
C.左肾较右肾位置高1~2cm
D.肾门部结构从前向后依次为肾静脉、肾动脉、肾盂
E.肾门结构从上向下依次为肾静脉、肾动脉、肾盂
85、单项选择题
女性,62岁,1周前疑诊为宫颈癌。超声检查如图,最可能的诊断是()
A.子宫肌瘤
B.宫腔积液并感染
C.子宫内膜癌
D.子宫内膜炎
E.正常声像图
86、单项选择题 下列哪一项不是早孕超声观察的内容()
A.妊娠囊
B.胎芽
C.胎儿搏动
D.胎儿心脏结构
E.卵黄囊
87、单项选择题 子宫肌瘤彩色多普勒经腹超声特征是()
A.肌瘤中心见丰富血流,分布规则
B.肌瘤中心见丰富血流,分布杂乱
C.肌瘤周围显示血流,呈环状或半环状
D.肌瘤内多见极丰富血流
E.无血流
88、单项选择题 动脉导管位于()
A.主动脉弓与主肺动脉之间
B.主动脉降部与主肺动脉之间
C.主动脉降部与右肺动脉根部之间
D.主动脉降部与左肺动脉根部之间
E.头臂干与上腔静脉之间
89、单项选择题 在左心长轴切面无法显示下列哪种结构()
A.左心室
B.右心室
C.左心房
D.右心房
E.主动脉
90、单项选择题 患者无月经,无临床症状,子宫极小,长径<2cm,无子宫内膜回声,诊断为()
A.幼稚子宫
B.单角子宫
C.先天性无子宫
D.始基子宫
E.正常子宫
91、多项选择题 对胎儿的超声检查中,正确的选择是()
A.尽可能选择最低输出功率
B.缩短检查时间
C.选用经阴道探头以获得清晰图像
D.减少超声检查次数
E.采用脉冲多普勒测量脐带血流
92、单项选择题 以下何者不符合完全性肺静脉异位引流()
A.左房增大
B.左房外侧可见共同肺静脉腔
C.常有肺淤血
D.合并房间隔缺损
E.可分为心上型、心内型和心下型
93、单项选择题 关于卵巢浆液性囊腺癌,下列哪一项是错误的()
A.儿童及青少年最常见的卵巢恶性肿瘤
B.肿瘤生长快,常伴出血坏死
C.多为部分囊性,部分实性
D.彩色多普勒血流显像,乳头内显示较丰富血流
E.多为双侧性
94、单项选择题 当发现肾脏肿块从下极延伸时应注意()
A.继续检查,注意胰腺有无转移
B.继续检查,注意下腔静脉及肾静脉有无转移
C.继续检查,注意腹主动脉有无转移
D.继续检查,注意盆腔有无转移
E.结束检查
95、单项选择题
X线无法显示而超声可显示的异物为()
①玻璃
②塑料
③木屑
A.②③
B.①②③
C.①②
D.①
E.③
96、单项选择题 当声频在20kHz以上的我们称为()
A.超声
B.次声
C.可听声
D.不可听声
E.以上均不是
97、单项选择题 正常心肌背向散射积分的最大值在()
A.舒张末期
B.收缩末期
C.舒张早期
D.收缩早期
E.以上都不对
98、单项选择题 由超声多次发射而引起的伪像叫()
A.切面厚度伪像
B.混响
C.声影
D.旁瓣伪像
E.折射伪像
99、判断题 血管三维可用于分析其分布、走行、空间定位。
100、单项选择题
该病例最可能的诊断()

A.主动脉窦瘤
B.主动脉瓣脱垂
C.主动脉瓣下狭窄
D.主动脉瓣畸形
E.以上都不是
101、名词解释 声全息
102、单项选择题 当各个物体间有清楚的分隔时,在扫查中所能发现的最小间隙取决于声束的()
A.强度
B.波长
C.衰减
D.速度
E.频率
103、单项选择题 腭裂的声像图所见是()①上颌骨冠状断面显示鼻骨以下骨缺失②上颌骨冠状断面显示鼻骨以上骨缺失③囊状肿物从唇部突出④颧骨断裂
A.①
B.③④
C.②③
D.①②③④
E.②③④
104、单项选择题
如图可诊断为()
A.小肝癌
B.肝转移癌
C.肝脓肿
D.多发肝血管瘤
E.肝囊肿
105、多项选择题 USG在骨骼系统的一般适应证为()
A.骨折后愈合情况
B.膝关节半月板损伤
C.先天性髋关节脱位
D.肌营养不良
E.结核性脓肿
106、单项选择题 下列哪项不是睾丸胚胎癌的声像图特征()
A.睾丸增大,内见肿块回声,正常睾丸组织受侵犯而缺损
B.肿块边界欠整齐
C.肿块内部可见到结节
D.肿块内部回声为均匀低回声
E.睾丸血流信号明显较健侧多
107、单项选择题
该病例最可能诊断()

A.主动脉瓣钙化
B.先天性主动脉瓣畸形(二叶式)
C.风湿性瓣膜病
D.主动脉瓣脱垂
E.主动脉窦瘤
108、单项选择题 关于电子相控阵聚焦的说法,错误的是()
A.利用延迟发射使声束偏转
B.在长轴上对整条声束的回声途径自动、不断地进行全程接收聚焦
C.利用环阵探头进行环阵相控聚焦
D.探头表面贴附有声透镜
E.二维多阵元探头为其新技术
109、单项选择题 与超声成像相关的超声波物理性质有()。
A.指向性
B.反射、折射与散射
C.衰减与吸收
D.多普勒效应
E.以上都是
110、单项选择题 绒毛膜癌超声检测时,应注意哪些器官()①脑和肺②肝③肾④消化道
A.③④
B.②③
C.①
D.①②③
E.①②③④
111、单项选择题 心肌超声造影不可以用于检测下列哪中情况()
A.心肌缺血区
B.冠脉血流储备
C.心肌梗死区
D.显示搭桥血管
E.心肌存活
112、多项选择题 肝破裂USG的表现中,哪些描述正确()
A.肝内血肿-呈无回声区
B.肝内血凝块-呈低回声区
C.肝急性破裂-呈强回声区
D.肝包膜破裂-呈无回声区
E.肝血肿纤维化-呈低回声区
113、单项选择题 关于声强的表述中,不正确的是()
A.声强指超声束在单位时间内通过单位截面积的能量
B.声强的单位可用瓦特每cm表示
C.空间峰值脉冲平均声强大于最大声强
D.最大瞬间声强大于最大声强
E.空间峰值时间平均值声强与脉冲持续时间和脉冲重复频率有关
114、单项选择题 室间隔前2/3部分由下列哪支冠脉供血()
A.左旋支
B.右主干支
C.右后降支
D.左前降支
E.对角支
115、单项选择题 下列哪一项不是视网膜母细胞瘤的超声表现()
A.眼内实性肿物
B.瘤组织内钙斑反射
C.肿物有后运动
D.高速、高阻型动脉频谱
E.肿物内可见与视网膜中央动、静脉相连续的血流频谱
116、单项选择题 关于界面反射的表述,哪项不正确()
A.大界面指长度大于声波波长的界面
B.回声反射存在角度依赖性
C.界面反射的能量和界面形状无关
D.界面反射的能量由反射系数决定
E.两种界面存在声阻差是界面反射的必要条件
117、单项选择题 异位妊娠最常见种植在下()
A.卵巢
B.腹腔内
C.输卵管
D.后腹膜间隙内
E.肠壁上
118、单项选择题 声束通过囊肿边缘可因折射而引起回声失落,出现边缘声影,此称为()
A.声速差异伪像
B.折射声影
C.混响
D.部分容积效应
E.旁瓣效应
119、填空题 对于注水井井管()、()等造成注水能力减弱事故,采用(),使其注水通道通畅,恢复注水能力。
120、单项选择题 结节性甲状腺囊肿的超声特点,哪一项是错误的()
A.颈前部肿大、增粗
B.甲状腺内多个结节
C.结节大小不等、分布不均
D.CDFI示血流丰富,沿结节绕行
E.结节都是实性的
121、单项选择题
患者女33岁,右上腹剧痛5小时,体检:右上腹压痛及叩击痛(弱阳性),B超检查如图所示,根据超声声像图,诊断为()
A.胆总管结石
B.胆总管引流管回声
C.胆总管蛔虫
D.胆总管胆泥淤积
E.胆总管癌
122、名词解释 全程聚焦
123、单项选择题 孕几周超声可清楚显示胎儿膀胱()
A.9周
B.12周
C.15周
D.20周
E.8周
124、单项选择题 四肢血管正常的多谱勒频谱是()
A.单相波
B.双相波、单相波
C.双相波
D.三相波
E.单相波、三相波
125、单项选择题 下列人物中不属于拜伦作品中的“拜伦式英雄”形象的是()。
A、曼弗雷德
B、康拉德
C、恰尔德•哈洛尔德
D、唐•璜
126、单项选择题 原发孔房间隔缺损在二维超声检查时有什么所见()
A.显示房间隔最低位处(房、室间隔连接处)缺损
B.显示左心室扩大
C.显示房间隔最上部(近心房顶部处)缺损
D.显示室间隔上段缺损
E.显示房间隔中央部缺损
127、单项选择题 胎盘出血的超声表现,下列哪一项是错误的()
A.胎盘血管丰富故胎盘内及其周围很容易发生出血
B.胎盘内出血范围多数很小
C.胎盘后出血可引致胎盘早剥
D.彩色多普勒血流显像可鉴别胎盘后出血与胎盘静脉窦
E.胎盘内出血临床症状最重
128、单项选择题 子宫大于孕月见于()①多胎②子宫肌瘤③羊水过多④月经日期不准确⑤葡萄胎⑥羊水过少
A.①②③
B.①②③④
C.①②③④⑤
D.①②③④⑤⑥
E.⑥
129、单项选择题 精原细胞瘤声像图表现为()
A.单个小的囊性肿块
B.超声无法探测
C.实质均匀性肿块
D.大而多个囊性肿块
E.以上都不是
130、单项选择题 以下何者不是右心容量超荷的超声表现()
A.右心腔扩大
B.三尖瓣运动幅度增大
C.室间隔运动平坦
D.右室流出道及肺动脉增宽
E.左心腔扩大
131、单项选择题
某患者,男,45岁,肝区不适,肝功能异常。行超声检查如图,诊断为()
A.弥漫性肝癌
B.结节状肝硬化
C.多发性血管瘤
D.血吸虫肝
E.不均匀性脂肪肝
132、单项选择题 空腹病人,声像图上胆囊不能显示的常见原因是什么()
A.慢性胆囊炎胆囊收缩
B.胆汁淤积
C.不活动的结石
D.在超声检查前使用了X线口服造影剂
E.胆囊占位
133、单项选择题 下列哪一项与淋巴乳状囊腺瘤无关()
A.实性均匀性低回声团块
B.形态尚规则,与周围组织分界清晰
C.无被膜轮廓线
D.后方回声无增强,亦无衰减
E.CDFI显示分支型血流分布,PSV<60cm/s,RI0.55~0.80
134、单项选择题 为更好显示彩色多普勒血流信号并测速,不宜采用哪种频率探头()
A.颅内血管(经颅超声)采用2MHz~2.5MHz
B.成人心脏采用5MHz
C.表浅器官采用≥7MHz
D.成人腹部血管采用3.5MHz
E.腔内超声应采取≥5MHz
135、单项选择题 至妊娠几周,卵黄囊缩小并入脐带()
A.7周
B.8周
C.9周
D.10周
E.11周
136、多项选择题 热指数在不同器官要求的限值不同,正确的是()
A.通常一般调在1.0以下
B.对胎儿调至0.2以下
C.对胎儿调至0.4以下
D.对眼球应调至0.2以下
E.对神经系统组织应调到0.6以下
137、单项选择题
女性,25岁,婚前妇科体检。超声检查如图,最可能的诊断为()
A.畸胎瘤
B.盆腔血肿
C.子宫浆膜下肌瘤
D.双子宫
E.双角子宫
138、单项选择题 从心尖部可检查哪个心脏超声切面图()
A.大动脉短轴切面图
B.上腔静脉长轴切面图
C.主动脉弓长轴切面图
D.四腔心切面图
E.主肺动脉短轴切面图
139、问答题 膀胱检查的扫查途径有哪些?需要如何准备?
140、单项选择题 肠系膜上动脉一般与腹主动脉前壁间呈一角度,正常不应超过()
A.90度
B.80度
C.60度
D.50度
E.30度
141、单项选择题 前列腺大小与年龄的关系()①随年龄增长,50岁以后均有不同程度增大②50~70岁前列腺重量每10年约增加1倍③随年龄增长,55岁以后可出现不同程度增大④>60岁前列腺重量每5年增加0.75倍
A.①②
B.①④
C.②③
D.③④
E.①②③④
142、单项选择题
图为胎儿鼻唇区显像,“+”处标出的为()
A.鼻唇沟
B.伪像
C.右侧鼻孔
D.唇裂
E.以上都不是
143、单项选择题 正常膀胱描述中,下列哪一项是错误的()
A.成年人的膀胱位于盆腔内
B.婴幼儿膀胱位置偏高,可位于下腹部
C.膀胱壁大致可分为浆膜层、肌层、粘膜下层、粘膜层
D.膀胱三角区由左右输尿管口及膀胱内口构成
E.膀胱粘膜层均是借助粘膜下层与肌层连接
144、单项选择题 转移性卵巢癌能够并发()
A.腹水
B.腹膜转移
C.大网膜转移
D.肝转移
E.以上都是
145、单项选择题 脉冲在探头和界面之间往返2次以上而产生的伪像称为()
A.多途径伪像
B.旁瓣伪像
C.混响伪像
D.散射伪像
E.折射伪像
146、单项选择题 二尖瓣关闭不全时不出现哪项()
A.左房扩大
B.左室扩大
C.肺动脉增宽
D.室壁活动增强
E.室壁活动减弱
147、单项选择题 声阻抗产生与下列哪项最有关系()
A.声束宽度和交界面曲度
B.振荡频率和晶片的体积
C.超声在组织中的声速和组织密度
D.声波能量和组织敏感度
E.声波能量和组织密度
148、单项选择题 正常妊娠期大约多少天()
A.200天
B.230天
C.280天
D.320天
E.360天
149、问答题 血管平滑肌脂肪瘤(错构瘤)的声像图表现有哪些?
150、单项选择题 指出下列正常肢体静脉的多谱勒超声表现哪项是错误的()
A.中等大小以上的静脉,无论在休息和活动状态都有血流信号
B.静脉血流速度随呼吸运动而加快或减慢
C.乏氏(Valsalva)反应阳性
D.人工挤压远端肢体后血流信号减弱
E.呈单向回心血流
151、单项选择题 假性胎囊最可能由下列哪项产生()
A.卵黄囊
B.子宫蜕膜管型
C.卵巢肿瘤
D.盆腔炎性病变
E.饮水后扫描
152、单项选择题 2~4岁儿童肾脏最常见的恶性肿瘤是()
A.婴儿型多囊肾
B.神经母细胞瘤
C.Wilms'瘤
D.肾上腺样瘤
E.肾癌
153、问答题 羊水的超声测值正常范围是多少?
154、判断题 脂肪肝USG表现为光亮肝,肝血色素沉着病MRI表现为黑肝。
155、单项选择题
女性,43岁,因月经量多,经期时间长,月经周期短就诊。体检:子宫体积大,表面不平整。结合超声图像,最可能的诊断为()
A.子宫内膜癌
B.宫颈癌
C.多发性子宫肌瘤
D.葡萄胎
E.子宫腺肌瘤
156、单项选择题 进入或离开肝脏且充满液体的结构包括()①肝实质内动脉②肝动脉③胆管④腹腔动脉
A.①②
B.②③
C.②③④
D.①④
E.①③
157、单项选择题 关于眼眶肿瘤的描述,哪项是错误的()
A.海绵状血管瘤和部分表皮样囊肿是回声最强的肿瘤
B.淋巴细胞浸润型假性肿瘤和含液囊肿内回声较少或缺乏
C.硬化型假性肿瘤和脑膜瘤声衰减较显著
D.囊肿吸收声能少
E.血肿吸收声能多
158、单项选择题
患者,女性,甲状腺肿大。探及多个结节状的强回声光团,其内可见暗区。如图所示,最可能的诊断为()
A.甲状腺功能亢进
B.甲状腺腺瘤
C.甲状腺炎
D.结节性甲状腺肿
E.甲状腺癌
159、单项选择题 5.0~10.0MHz探头适用于检测()①骨骼②浅表组织③肌腱④半月板⑤关节软骨⑥婴幼儿⑦术中
A.①②③④
B.①②③④⑤
C.①②③④⑤⑥
D.②③④⑤⑥⑦
E.①②③④⑤⑥⑦
160、单项选择题
患者男65岁,上腹部疼痛3个月余,进行性加重1周余,进食后呕吐。上腹部B超检查如图所示,根据超声声像图诊断为()
A.胃溃疡
B.胃炎
C.胃癌
D.肝癌
E.胰头癌
161、单项选择题
女,34岁,B超检查,盆腔内可见一肿块,声像图如下,最可能的诊断为()
A.巧克力囊肿
B.畸胎瘤
C.炎性包块
D.宫外孕
E.附件囊肿
162、单项选择题 女性,38岁,停经3月余,阴道不规则出血20余天。体检:子宫体积大于停经周数,宫旁触及囊性肿块。血HCG1280μg/ml,超声诊断为()
A.中期妊娠
B.早期妊娠
C.宫外孕
D.葡萄胎
E.绒癌
163、单项选择题 TGC是下列哪一名词的英文缩写()
A.组织增益特性
B.时间增益补偿
C.信号发生器控制
D.温度发生器控制
E.频率发生器控制
164、单项选择题
男性,阴囊肿大,表皮温度高,触痛明显,超声见附睾尾体积增大,CDFI:血流信号丰富,如图所示,考虑为()
A.附睾炎
B.睾丸炎
C.附睾结核
D.睾丸结核
E.精索静脉曲张
165、单项选择题 男,46岁,超声体检发现左肾病变,呈圆形,边界清晰,整齐光滑,直径1.0cm,肿物内无回声,后方回声明显增强。根据声像图特征,诊断是()
A.肾囊肿
B.肾囊肿合并感染
C.肾囊肿合并出血
D.肾肿瘤
E.以上都不正确
166、单项选择题
如图,正常甲状腺中部横切面的超声声像图,中央气管环状软骨前方组织为()
A.甲状腺峡部
B.皮下组织
C.甲状旁腺
D.淋巴结
E.以上均不对
167、单项选择题 下列哪种肾上腺疾病,超声检查最易诊断()
A.Cushing腺瘤
B.非功能性腺瘤
C.肾上腺转移癌
D.肾上腺囊肿
E.嗜铬细胞瘤
168、单项选择题 下列哪一项与子宫内膜癌超声鉴别诊断无关()
A.子宫肌瘤变性
B.绒毛膜上皮癌
C.子宫颈囊肿
D.子宫平滑肌肉瘤
E.多发性子宫肌瘤
169、多项选择题 肝脓肿USG检查可见()
A.晕环征
B.环中环征
C.慧星尾征
D.靶征
E.蝌蚪尾征
170、单项选择题
女,28岁,经常上腹不适。声像图如图所示,诊断为()
A.胆囊蛔虫
B.胆囊结石
C.胆囊腺瘤
D.胆囊内胆汁淤积
E.胆囊癌
171、单项选择题 脑中央低回声蝶状结构是指()
A.丘脑
B.大脑脚
C.侧脑室
D.透明隔
E.第三脑室
172、填空题 多功能救援()用于高处、悬崖及井下等救援作业。
173、单项选择题
患者男25岁,转移性右下腹痛1天。体检:右下腹叩击痛及反跳痛(+),血WBC1.3万,中性粒细胞82%。B超检查声像图如图所示,根据超声声像图,诊断为()
A.回盲部肿瘤
B.肠套叠
C.肠穿孔
D.急性阑尾炎
E.肠梗阻
174、单项选择题 超声检查盆腔之前,适度充盈膀胱的目的是()①作为透声窗②推开肠管③作为辨认脏器的标志④作为解剖的参照结构⑤有助于提高子宫位置,以便充分暴露脏器
A.①②
B.①②③
C.①②③④
D.①③④
E.以上全是
175、单项选择题 关于子宫内膜的叙述,下面哪一项是正确的()
A.在矢状面上测量时应包括双层内膜的厚度
B.横切面测量最可靠
C.只应包括一层内膜
D.经腹部超声检查时测量最可靠
E.在整个月经周期变化不大
176、多项选择题 胆囊癌的USG可分为哪些类型()
A.小结节型
B.蕈伞型
C.厚壁型
D.混合型
E.实块型
177、单项选择题 以下哪项不是诊断急性胆囊炎的标准()
A.胆囊结石
B.Murphy征阳性
C.胆囊壁厚<3mm
D.胆囊积液
E.胆囊内胆泥淤积
178、单项选择题 超声生物显微镜最适于检查()
A.眼内容物
B.眼球壁
C.眼前段结构
D.视神经乳头
E.以上均不是
179、单项选择题 肺动脉瓣血流特点以下哪项不对()
A.位于收缩期
B.呈负向频谱
C.正常时两支对称,呈钝圆形空心层流
D.肺动脉高压时,频谱流速峰值前移
E.肺动脉狭窄时,血流速度明显减低
180、单项选择题 大量心包积液(500ml以上)用二维超声如何做半定量测定()
A.无回声区包绕心室前、外、后方及心尖部,心室前、后方无回声区≥10mm
B.心包明显增厚
C.只心室前方出现明显无回声区
D.只心室后方出现明显无回声区
E.心包脏层与壁层间有明显粘连表现
181、单项选择题 宫内生长迟缓常发生在多少孕周后()
A.15周
B.20周
C.26周
D.32周
E.24周
182、单项选择题
该病例最可能的诊断()

A.动脉导管未闭
B.共同动脉干
C.主肺动脉间隔缺损
D.大动脉异位
E.肺动脉狭窄
183、单项选择题
患者,急性胰腺炎治疗后,超声见胰管内多个强回声光团,后伴声影,如图所示,考虑为()
A.胰腺胰管结石
B.胰腺脓肿
C.胰腺肿瘤
D.胰腺假性囊肿
E.胰腺胰管钙化
184、填空题 正常肾实质USG,当断面未通过肾窦时,肾实质呈_____形回声区,通过肾窦时则为_____形回声区。
185、单项选择题
患者,女,42岁。3周前患急性胰腺炎,并给予治疗,现超声复查胰腺如图,诊断为()
A.急性胰腺炎
B.胰腺真性囊肿
C.胰腺假性囊肿
D.后腹膜肿瘤
E.胰腺囊腺癌
186、单项选择题 超声检查半月板,错误的是()
A.后角取俯卧、伸膝或屈膝15°~30°
B.半月板外侧距皮肤近、间隙宽、易显示
C.前角取仰卧、屈膝30°~90°
D.半月板前、中部显示困难
E.半月板内侧表浅、间隙宽,扫查并不困难
187、单项选择题 成人甲状腺正常超声测量值是()
A.长径3.0~4.0cm,宽径1.5~2.0cm,厚径0.5~1.0cm,峡部厚<0.4cm
B.长径4.0~5.0cm,宽径2.0~2.0cm,厚径1.0~1.5cm,峡部厚≤0.4cm
C.长径5.0~6.0cm,宽径2.5~3.0cm,厚径1.5~2.0cm,峡部厚>0.4cm
D.长径5.5~6.5cm,宽径3.5~4.5cm,厚径2.5~3.5cm,峡部厚≥0.5cm
E.长径4.0~5.0cm,宽径2.5~3.0cm,厚径0.5~1.0cm,峡部厚≤0.4cm
188、单项选择题 超声检测所能发现的肾上腺异常是下列哪项()
A.肾上腺体积增大
B.肾上腺腺体分泌增多
C.肾解剖学变异
D.肾上腺腺体萎缩
E.以上均是
189、单项选择题
图中显示图像为()
A.牛眼征
B.靶环征
C.套筒征
D.蟹钳征
E.以上都不是
190、单项选择题 VTI的中文意思是指血流速度积分,其单位是()
A.米
B.秒
C.米/秒
D.米/秒2
E.千克
191、单项选择题 最不适用于成人颅脑超声检查的探头频率是()
A.2.0MHz
B.2.5MHz
C.3.5MHz
D.4.0MHz
E.5.0MHz
192、单项选择题 关于多次内部混响的表述,正确的是()
A.超声在靶内来回反射形成的彗星尾征
B.常见于含气的肺
C.含气的肠腔
D.可见于胆结石
E.改变探头方向有助于鉴别伪像
193、判断题 肾实质、脾等正常组织和肾癌等病变组织可表现为实质暗区。
194、单项选择题 骨骼肌正常声像图表现()①纵切肌肉边缘呈强回声线②纵切肌肉边缘呈低回声线③纵切肌肉内部纤维呈均匀细线样回声④纵切肌肉内部呈点状均匀回声⑤横切肌肉内部呈点状均匀回声⑥横切肌肉之间呈强回声⑦横切肌肉之间呈低回声
A.①③⑤⑥
B.②④⑤⑥
C.①④⑤⑦
D.②③⑤⑦
E.①③⑤⑦
195、单项选择题 超声难以显示的乳腺癌为()
A.<3cm
B.<2cm
C.>2cm
D.<1cm
E.>3cm
196、单项选择题
超声见胆囊壁上大小约3mm的稍强回声光团,无声影,无移动,如图所示,考虑为()
A.胆囊结石
B.胆汁淤积
C.胆囊息肉
D.胆囊癌
E.以上都不是
197、单项选择题 胎儿腹裂的临床特点与声像图表现,下列哪项是错误的()
A.肠管凸入脐带内
B.位于脐带入口处右侧
C.一般还伴有染色体异常
D.肠管漂浮于羊水当中
E.要注意观察脐血管入腹壁处
198、单项选择题 为了调节灰阶超声仪器的工作条件达到最佳状况,下列哪项内容不重要()
A.提高空间分辨力
B.提高时间分辨力
C.选择适当的图像前后处理及动态范围
D.调节M型的扫描速度
E.选择适宜的灰阶数
199、单项选择题
该病例最有可能诊断是()

A.左房黏液瘤
B.左房巨大血栓
C.左房恶性肿瘤
D.左房转移瘤
E.以上都不是
200、单项选择题
女性,48岁,取环术后3天,述左下腹疼痛。B超检查如图,最可能的诊断为()
A.畸胎瘤
B.盆腔血肿
C.子宫浆膜下肌瘤
D.宫外孕
E.附件囊肿
201、单项选择题 典型的后方回声增强不常见于哪项含液性结构()
A.囊肿
B.新鲜的血肿
C.囊状扩张的肝内胆管
D.扩张的肾盂和输尿管
E.胸膜腔积液
202、单项选择题 超声可用以诊断哪些骨骼、关节、肌肉疾病()①可显示正常骨的完整声像图②无法显示正常骨的完整声像图③可显示子宫内胎儿、新生儿及1岁以内婴儿的骨骼④无法显示子宫内胎儿、新生儿及1岁以内婴儿的骨骼⑤骨膜下血肿⑥关节间隙病变⑦外生性骨肿瘤骨质破坏⑧表浅骨骼肌炎⑨实时评价肌腱和肌肉运动
A.①③⑤⑥⑦⑨
B.②④⑤⑥⑦⑧
C.②③⑤⑥⑦⑧⑨
D.①④⑤⑥⑦
E.①③⑤⑦⑧⑨
203、单项选择题 侵蚀性葡萄胎可以发生于()
A.葡萄胎以后
B.流产以后
C.足月产以后
D.异位妊娠以后
E.过期流产以后
204、单项选择题 下列哪一项对前列腺癌的诊断帮助不大()
A.前列腺增大,不对称,内回声不均匀
B.前列腺内部散在杂乱的斑点状及团状不规则强回声
C.血清PSA明显升高
D.双肾积水,膀胱小梁小房形成
E.盆腔扫查髂血管旁出现肿大淋巴结
205、单项选择题
该病例最有可能诊断是()

A.高血压病
B.主动脉瓣下狭窄
C.肥厚型梗阻性心肌病
D.非梗阻性心肌病
E.主动脉瓣狭窄
206、单项选择题 中晚期妊娠无痛性阴道出血的最常见的原因是()
A.创伤
B.前置胎盘
C.胎盘早剥
D.异位妊娠
E.子宫收缩
207、单项选择题 关于超声分辨率的描述,错误的是()
A.超声分辨力受超声波的脉冲宽度、声束宽度和探头类型影响
B.超声的频率越高,轴向分辨力越好
C.理论上轴向分辨力为λ/2
D.超声纵向分辨力与探头厚度方向上声束宽度和曲面的聚焦性能有关
E.超声聚焦声束越宽,侧向分辨能力越好
208、单项选择题 多囊卵巢的声像图表现,错误的是()
A.卵巢髓质内可见较丰富的血流
B.一个超声切面可见10个以上卵泡
C.卵泡大小多小于5mm
D.双卵巢肿大
E.卵巢髓质回声明显减弱
209、单项选择题 动脉导管未闭的超声表现,下列哪项不正确()
A.右心室、右心房扩大
B.肺动脉扩张,搏动增强
C.可直接显示未闭的动脉导管
D.可显示导管口血流呈连续性湍流频谱
E.彩色血流沿肺动脉外侧上行
210、单项选择题 一般来说,胎囊指的是妊娠()
A.小于2周
B.4~10周
C.10~12周
D.10~15周
E.6~8周
211、问答题 移植肾的声像图表现有哪些?
212、问答题 超声如何判断肾积水的严重程度?
213、单项选择题 男,37岁,既往有肝炎史,超声发现脾脏显著肿大,肝表面不光滑,肝实质回声不均匀。右肝可见3cm的圆形病变,边缘整齐光滑,有弱回声晕,内部为均匀低回声,诊断最可能是()
A.慢性肝炎
B.慢性肝炎合并肝硬化
C.肝硬化合并肝囊肿
D.肝硬化合并肝肿瘤
E.肝硬化合并门静脉高压
214、单项选择题 胎盘位于子宫哪个部位,超声最易显示()
A.前壁
B.后壁
C.宫底
D.侧壁
E.以上都是
215、单项选择题
患者,暴饮暴食,血淀粉酶升高,超声见胰腺体积增大,边界不清,如图所示,考虑为()
A.胰腺癌
B.胰腺炎
C.胰腺囊肿
D.胰腺脓肿
E.以上都不是
216、单项选择题 下列哪项是葡萄胎灰阶图像的特征()
A.暴风雪状
B.小囊状
C.斑点状
D.钙化
E.以上全部
217、单项选择题 男,26岁,4年前因车祸脾切除现无明显不适。超声检查见脾区有一类圆形结节,实质回声与脾脏相似,边界清楚。其可能的提示为()
A.血管瘤
B.陈旧性血肿
C.副脾
D.炎性肿块
E.以上都不是
218、单项选择题 等水平回声见于()。
A.肝实质
B.骨骼
C.胆结石
D.肌腱
E.血管壁
219、单项选择题 镜面右位心不正确的是()
A.心房反位
B.心脏右位
C.心尖朝右
D.可有大动脉转位
E.内脏位置正常
220、单项选择题 死胎滞留宫腔内超过5周,其潜在危险是()
A.血纤维蛋白原减少
B.巨细胞包涵体病毒增多
C.成红细胞增多症
D.风疹病毒感染
E.以上都不是
221、单项选择题 刘某,女,18岁,尿毒症,肾功能衰竭。超声发现颈前部甲状腺背侧有多个低回声结节。最可能的诊断是()
A.颈淋巴结肿大
B.甲状腺腺瘤
C.结节性甲状腺肿
D.甲状旁腺增生
E.甲状旁腺腺瘤
222、单项选择题 超声的纵向分辨率是分辨前后两个点最小距离的能力,其理论计算值应是()
A.1/4λ(λ波长)
B.1/3λ
C.1/2λ
D.1λ
E.>1λ
223、单项选择题 甲状腺炎临床分型是()
A.①急性②慢性
B.①急性②亚急性
C.①急性②亚急性③慢性
D.①临床下型②急性③亚急性④慢性
E.①急性②临床下型③慢性
224、单项选择题
某患者左腹部疼痛,根据左肾区超声声像图,最可能的诊断为()
A.左肾结石并左肾积水
B.左输尿管结石并左肾重度积水
C.左输尿管结石
D.左肾结石
E.左输尿管结石并左肾轻度积水
225、单项选择题
如图,初步超声诊断为()

A.二尖瓣返流
B.三尖瓣返流
C.主动脉瓣返流
D.肺动脉瓣返流
E.二尖瓣狭窄
226、单项选择题 关于影响声束形态、大小和能量分布的因素,错误的是()
A.探头的形状和大小
B.探头阵元数及其排列
C.分辨率
D.探头频率
E.聚焦方式
227、多项选择题 评价灰阶声像图的质量主要依据()
A.细微分辨力
B.对比分辨力
C.图像均匀性
D.动态分辨力
E.速度分辨力
228、单项选择题 囊性甲状腺肿(Graves’病)的超声表现是()
229、单项选择题 妇科肿瘤的病人,应进一步扫查下列哪个器官()
A.脾
B.乳腺
C.肝
D.肾
E.心脏
230、单项选择题 葡萄胎声像图表现()
A.子宫明显增大,宫腔内无妊娠囊
B.子宫明显增大,宫腔内无妊娠囊,宫腔内见雪片状回声
C.子宫明显增大,宫腔内见雪片状回声,子宫两侧见黄素囊肿
D.子宫明显增大,宫腔内无妊娠囊,宫腔内见雪片状回声,子宫两侧见黄素囊肿
E.子宫明显增大,宫腔内见雪片状回声
231、单项选择题
某患者阴囊超声声像图如下,最可能的诊断为()
A.睾丸鞘膜积液
B.精索鞘膜积液
C.阴囊水肿
D.附睾囊肿
E.交通性鞘摸积液
232、单项选择题 彩色多普勒能量图的成像原理为()
A.血流速度
B.信号强度
C.血流方向
D.速度变化
E.速度方向
233、单项选择题 组织的平均声衰减最低的是()
A.血清
B.脂肪
C.肝脏
D.皮肤
E.骨骼、肺
234、单项选择题 成人最常见的鞘膜积液是()
A.睾丸鞘膜积液
B.精索鞘膜积液,交通型鞘膜积液
C.睾丸鞘膜积液,交通型鞘膜积液
D.鞘膜积液,精索鞘膜积液
E.精索鞘膜积液
235、单项选择题
患者,女,14岁,眼部外伤两小时。超声检查如图,最可能的诊断为()
A.玻璃体积血
B.玻璃体混淆
C.脉络膜脱离
D.视网膜脱离
E.以上均不是
236、单项选择题 声像图的纵向分辨力与什么有关()
A.信号的频率
B.声阻抗
C.组织密度
D.声速的大小
E.以上都不对
237、单项选择题 急性肾病时,超声检测肾脏大小()
A.没有变化
B.一般增大
C.异常增大
D.减小
E.异常减小
238、单项选择题 正常睾丸的回声特点()
A.均匀强回声
B.均匀中等回声
C.多种类型回声
D.不均匀增强回声
E.均匀低回声
239、单项选择题 头臀长度测量是判断多少周孕龄的最准确方法()
A.4~6周
B.7~12周
C.13~14周
D.>16周
E.15周
240、单项选择题 下列对前列腺增生描述错误的是()
A.中叶是增生好发部位
B.两侧叶是增生好发部位
C.后叶是增生好发部位
D.前叶较小,无临床意义
E.中叶位于精阜上方,尿道与射精管之间
241、单项选择题
患者低热,咽喉肿痛1周。发现甲状腺肿大,左侧局部压痛,结合超声声像图,最可能的诊断是()
A.结节性甲状腺肿
B.亚急性甲状腺炎
C.甲状腺瘤
D.甲状腺癌
E.甲状腺功能亢进
242、单项选择题 有关肺动脉的描述,以下哪项是正确的()
A.肺动脉起自左心室
B.左肺动脉经主动脉弓下方经过
C.肺动脉位于主动脉的左前方
D.动脉导管常位于右肺动脉根部
E.肺动脉瓣呈“晶字形”排列
243、单项选择题
女,25岁,因急性胰腺炎禁食5天。声像图如图所示。结合超声声像图,诊断为()
A.胆囊泥沙样结石
B.胆囊内胆汁淤积
C.胆囊多发性息肉
D.胆囊多发性胆固醇结晶
E.胆囊癌
244、单项选择题 孕几周以前胎盘实质呈均匀点状回声,基底层无增强回声()
A.29周
B.32周
C.36周
D.38周
E.40周
245、单项选择题 当Rh不合时,超声检查的目的是()
A.确定羊膜穿刺的部位
B.确定胎儿的大小
C.排除伴随的盆腔肿物
D.确定妊娠时间
E.确定胎盘的位置
246、单项选择题 不宜用哪种技术提高多普勒检测灵敏度()
A.降低发射超声波的基础频率
B.提高接收线路的信噪比(S/N)
C.选择最佳的探头位置及角度
D.增加超声波发射的输出强度
E.提高多普勒增益
247、单项选择题 脾静脉位于()
A.腹腔动脉的尾侧
B.腹主动脉的前方
C.肠系膜上动脉前方
D.胰腺后方
E.以上各项均是
248、单项选择题
女性,59岁,右上腹痛。腹胀1周。病人于1991年因直肠癌行手术治疗。如果拟诊为继发性肝癌,超声表现错误的是()
A.肝内单个强回声结节
B.多发的强回声结节
C.病灶呈多样性
D.病灶彩色血流不明显
E.病灶边界清楚,周围有声晕,呈牛眼征
249、单项选择题 进行心肌超声造影,对造影剂有什么要求()
A.微气泡直径小于5μm
B.微气泡要有厚的包裹膜
C.微气泡的压缩系数要小
D.微气泡密度要高
E.微气泡直径要大(大于红细胞)
250、单项选择题 亚急性甲状腺炎的临床及超声表现是()
A.初期咽痛、低热、有上呼吸道症状
B.实验室T、T增高,白细胞上升,血沉快
C.甲状腺中度增大,内有均质稀疏弱回声点
D.彩色多谱勒血流显像显示血流较丰富或不丰富
E.以上都是
251、问答题 乳腺USG检查时应如何注重手法技巧?
252、单项选择题 横跨下腔静脉在肝门处进入肝脏的结构是()
A.肝静脉
B.胆总管
C.肝动脉
D.门静脉
E.胆囊管
253、单项选择题
某小儿其右腹股沟区B超检查声像图如图,最可能的诊断为()
A.隐睾
B.肿大淋巴结
C.正常腹股沟声像图
D.盆腔肿瘤
E.斜疝
254、单项选择题
患儿,出生3周,喂奶后立即或不久即吐,呈喷射状,吐物为奶及奶块。根据超声中腹部检查如图,最可能的诊断为()
A.先天性肥厚型幽门狭窄
B.先天性胆管狭窄
C.胃溃疡
D.肠套叠
E.正常声像图
255、单项选择题 关于卵巢浆液性囊腺癌,下列哪一项是错误的()
A.成人最常见的卵巢恶性肿瘤
B.肿瘤生长很快,常伴出血坏死
C.多为部分囊性,部分实性
D.经阴道彩色多普勒血流显像,乳头内可显示较丰富血流
E.90%为单侧性
256、问答题 脐带绕颈的声像图表现有哪些?
257、单项选择题 脾脓肿USG表现中错误的有()
A.脾轻至中度增大
B.脾内出现无回声区
C.周边有较强回声带环绕
D.回声区可见团状、带状回声
E.脾轻至中度缩小
258、单项选择题 频谱多普勒技术可用来监测血流的种类和性质,下列哪一项不能检测()
A.动脉血流
B.静脉血流
C.血流宽度
D.层流
E.湍流
259、单项选择题 超声遇到运动的反射界面时当反射波的频率发生改变,这称为()。
A.入射角度
B.多普勒效应
C.传播
D.自然反射
E.混响
260、单项选择题 肾细胞癌的典型声像图特征是()①肾内圆形、椭圆形占位性病灶,常向肾表面隆起,可伴有肾窦受压表现②肾癌小:边界尚清;肾癌大:边界欠清,形态不规则,周边有低回声晕-假包膜声像③内部回声呈多样性;瘤体小,较强回声。瘤体较大,中低回声。内部坏死、液化、出血出现混合性回声④肾静脉、下腔静脉、肝、对侧肾及腹膜后淋巴结转移征象⑤肾内肿瘤生长很大,形态不规则,边缘整齐的实性肿块
A.①②③④
B.①④⑤
C.①②④
D.①②③
E.①②③④⑤
261、单项选择题 有关输卵管积水,下列哪项是错误的()
A.输卵管粘连、闭锁,渗出物积聚而成的
B.输卵管积脓、脓液逐渐吸收形成
C.肿物囊性,常与周围组织粘连
D.常为双侧腊肠形,壁较薄而光滑
E.由盆腔结缔组织增生,子宫固定而形成
262、单项选择题
女,33岁,因月经不调就诊,超声声像图如下,最可能的诊断为()
A.附件炎
B.子宫肌瘤
C.子宫腺肌症
D.子宫内膜癌
E.卵巢肿瘤
263、单项选择题 下列哪一项最有可能产生假性胎囊超声图像()
A.卵黄囊
B.黄体囊肿
C.子宫蜕膜管型
D.盆腔炎性包块
E.卵巢实性肿瘤
264、单项选择题 常规观察的肝静脉系统包括()
A.②④
B.②③④
C.①②③④
D.②③
E.③④
265、单项选择题 超声三维重建技术目前的临床应用情况是()
A.正处于发展改进阶段
B.作为常规已成功的用于临床
C.图像已非常逼真
D.用于心脏实时成像已变得简单、易行
E.现在已能取代二维超声及彩超
266、单项选择题 超声检测肾脏时,病人通常取什么体位()①站立②侧卧③俯卧④仰卧
A.①②
B.②③
C.②③④
D.①②③④
E.①③④
267、单项选择题 关于彩色多普勒血流显像下列哪项是错误的()
A.血流朝向探头,显示红色
B.血流背向探头,显示蓝色
C.能量显示为混合色
D.出现紊流为混合色
E.血流速度高显示彩色亮度大
268、单项选择题 胎盘早剥是指妊娠20周后或分娩期正常位置胎盘在胎儿娩出前部分或全部从子宫壁剥离,其病理变化是()①底蜕膜血管破裂出血②底蜕膜层血肿形成③胎盘绒毛膜出血④胎盘附着部子宫收缩
A.①
B.①②
C.①②③
D.①②③④
E.②
269、单项选择题 宫内宫外同时妊娠的诊断依据是()①有停经史、阴道出血、下腹痛病史②子宫增大,内见胎囊、胎芽、胎心③子宫外附件区可探及包块或完整的胎囊④子宫直肠窝见无回声区
A.①②
B.①②③
C.②③④
D.①②③④
E.②③
270、单项选择题 能量多普勒的优点是()
A.帧频更高
B.对微弱的多普勒信号更敏感
C.计算流速更准确
D.计算流量更准确
E.混叠
271、单项选择题 下列对三房心(左侧)的二维超声显像所见的叙述,哪一项是错误的()
A.左心房内有一隔膜,左心房被分为两部分
B.左心房内的隔膜上有空,左心房的两腔互相通连
C.肺静脉血只回流到右心房
D.左心房内的隔膜把左心房分为两部分,合并房缺使左心房与右心房交通
E.肺静脉血仍回流到左心房
272、单项选择题
根据胎儿声像图,可见清晰脊柱和头颅光环,该胎儿至少应大于多少周()
A.12周
B.8周
C.6周
D.28周
E.32周
273、问答题 子宫内膜月经周期变化的声像图表现有哪些?
274、单项选择题
结合甲状腺横断面超声声像图,甲状腺为()
A.均质体
B.非均质体
C.无界面区
D.强回声区
E.以上均不是
275、名词解释 成像帧率
276、单项选择题 下列哪一项属于彩色多普勒技术()
A.二维灰阶显像
B.多普勒频谱图
C.造影剂增强血流信号
D.伪彩色编码二维显像
E.能量多普勒血流显像
277、单项选择题
患者女,56岁,急性胰腺炎1周。B超图像如图,诊断为()
A.胰腺假性囊肿
B.胰腺囊腺癌
C.小网膜囊肿
D.后腹膜占位
E.以上都不是
278、单项选择题 彩色多普勒是使用什么方法检测血细胞的动态信息()
A.增益
B.STC(TGC)
C.速度
D.FFT技术
E.MTI
279、单项选择题 超声造影在心血管的用途,下列哪一项是错误的()
A.观察心包积液
B.确定心腔界限
C.观察瓣膜口返流
D.判断解剖结构属性
E.观察心腔间的右向左分流
280、判断题 非梗阻性肥厚型心肌病患者M型超声心动图常见到SAM征。
281、单项选择题 哪一类扫查可以显示以上肾脏图形()
A.横向扫查
B.经肝纵向扫查
C.肋缘下斜行扫查
D.背部纵向扫查
E.经侧腰部冠状扫查
282、单项选择题 关于心房黏液瘤,何者错误()
A.90%位于左心房内
B.听诊可闻及收缩期吹风样杂音
C.常有一蒂与房间隔相连
D.可引起二尖瓣口阻塞致猝死
E.术后有复发倾向
283、单项选择题
女性,出现腰痛并血尿3天,超声检查如图所示,该病例最可能诊断()
A.肾钙质沉积症
B.肾结石
C.肾内钙化灶
D.肾窦灶性纤维化
E.海绵肾
284、单项选择题 经腹壁胃肠超声检查前准备,下列哪一项是正确的()
A.检查应安排在X线钡剂检查之后
B.检查中可饮水500ml-700ml,以充盈胃腔
C.禁食4小时
D.大肠检查前需禁食
E.胃镜检查之后
285、单项选择题
女,39岁,上腹部经常疼痛数年,加重3天,低烧,结合超声声像图,诊断为()
A.胆囊结石并急性化脓性胆囊炎
B.胆囊息肉
C.胆囊结石
D.胆囊腺瘤
E.胆囊癌
286、单项选择题
该图基线下方频谱速度为4.2米/秒,提示肺动脉高压程度为()

A.轻度
B.中度
C.重度
D.轻微
E.无
287、单项选择题 膀胱异常声像图表现中,哪项正确()
A.膀胱壁弥漫性增厚并回声减低,腔内有较多的点、絮状回声,为慢性膀胱炎的声像图表现
B.膀胱壁弥漫性增厚,并回声增强,膀胱容量减少,为急性膀胱炎的声像图表现
C.膀胱腔内强回声团,后方伴声影,并可随体位改变而移动,为膀胱血块的声像图表现
D.膀胱腔中有中低回声病变,且可随体位变化而移动,为膀胱结石的声像图表现
E.CDFI显示肿块周边或内部有丰富血流信号并呈动脉血流频谱,为膀胱肿瘤表现
288、单项选择题
该病例最可能的诊断()

A.矫正型大动脉转位
B.右室双出口
C.完全性大动脉转位
D.主动脉骑跨
E.单心室
289、单项选择题 血液、尿液、胆汁、胸腹水在人体体液中声衰减程度谁最低()
A.血液
B.尿液
C.胆汁
D.胸腹水
E.声衰减一样
290、问答题 子宫肌瘤超声声像图表现?
291、单项选择题 谐波成像在临床中应用,不包括()
A.基波显像良好的脏器
B.增强心肌和心内膜显示
C.增强心腔内声学造影剂的回声信号
D.增强细微病变的分辨力
E.减少近场伪像及近场混响
292、单项选择题 早孕期间经阴道超声检查不能诊断的是()
A.异位妊娠
B.鉴别正常与异常的宫内孕
C.前置胎盘
D.确定早期宫内孕的孕龄
E.鉴别附件包块性质
293、单项选择题 二尖瓣关闭不全M型超声心动图时检查时哪项表现有错误()
A.二尖瓣叶增厚、活动受限
B.关闭时二尖瓣叶不能合拢
C.左心房及左心室增大
D.左心室壁运动增强
E.左心房、右心室增大
294、单项选择题 腹部超声特定断面扫查时可遇到棱镜伪像,如:肠系膜上动脉或宫内胎囊出现重复图像,下列哪个腹部断面可能出现()
A.正中矢状断面
B.正中旁矢状断面
C.横断面
D.斜断面
E.冠状断面
295、单项选择题 扫查腹主动脉最为恒定的分支是()
A.右肾动脉
B.腹腔动脉
C.肠系膜上动脉
D.右髂动脉
E.左肾动脉
296、单项选择题 有关混响说法,不正确的是()
A.混响与超声波的散射特性有关
B.超声垂直照射到平整的界面上,超声波在探头和界面之间来回反射产生混响
C.混响的形态呈等距离多条回声,回声强度依深度递增
D.“气体反射”是混响的一种
E.适当侧动和加压探头可有助识别混响
297、单项选择题
图为胃内超声所见胃各层表现,自内向外第一层为()
A.粘膜
B.粘膜下层
C.固有肌层
D.浆膜层
E.浆膜下层
298、单项选择题
患者体检发现肝脏体积增大,超声见右叶巨大的强回声光团,边界见声晕,门脉见实质性光团充填,如图所示,考虑为()
A.肝癌并门脉癌栓
B.肝脓肿
C.肝囊肿
D.肝结核
E.肝血管瘤
299、单项选择题 下列哪一项是胎儿食管闭锁诊断要点()
A.胃泡不显示,合并羊水过多
B.肠管扩张
C.肠管内可见无回声区
D.胃泡增大
E.食管呈管状无回声区
300、单项选择题 经腹壁超声检查女性盆腔的优点是()①不受年龄限制,对小女孩及未婚者更为适用②能清晰显示子宫、卵巢较大肿物及与邻近脏器的关系③能清晰显示盆腔较大肿块并判断来源④早期发现子宫腔内膜小病变
A.①
B.①②
C.①②③
D.①②③④
E.①③④