时间:2025-09-17 02:11:06
1、单项选择题 前列腺增生可继发的疾病声像图,表现为()
A.膀胱小梁小房形成
B.肾积水
C.膀胱结石
D.输尿管尿液逆流
E.以上均是
2、判断题 USG可作为肾上腺病变的初查方法,其可发现较小的肾上腺肿块。
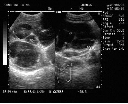
3、单项选择题
根据超声图像所示,判断致病人肾脏积水的梗阻在输尿管哪一段()
A.下段
B.中段
C.上段
D.膀胱内
E.肾盂内
4、单项选择题 以下哪项不是主动脉瓣狭窄的超声所见()
A.主动脉瓣叶增厚,回声增强
B.瓣口面积缩小
C.左室腔明显增大
D.左室壁普遍性增厚
E.升主动脉内探及高速射流频谱
5、单项选择题 对疑有心内黏液瘤的患者,超声诊断主要应用哪种技术进行确诊()
A.频谱多谱勒检测心腔与大动脉间有无异常血流
B.对心房肿瘤用多谱勒技术检测收缩期血流有无异常
C.二维超声显示肿瘤的部位、大小、活动性与室壁的关系
D.彩色多谱勒观察有无心内分流血流
E.M型超声观察心腔壁的运动
6、单项选择题 睾丸内微钙化灶与新生物生长有一定相关性,微钙化灶一般出现于()
A.睾丸精细管钙化
B.精液内芽肿钙化
C.静脉结石
D.结核侵犯的组织
E.睾丸肿瘤
7、单项选择题
女性,43岁,因月经时间长就诊。超声检查如图,最可能的诊断为()
A.节育环下移
B.子宫内膜癌
C.子宫肌瘤
D.宫腔残留
E.子宫内膜钙化
8、单项选择题 肝细胞肝癌的临床征象包括()①腹水②黄疸③肝大④脾大
A.①②③
B.②③④
C.①②③④
D.①③④
E.①②④
9、单项选择题 门脉高压时,反向压力可导致脾()
A.肿大并充血
B.脾门淋巴结肿大
C.梗死
D.萎缩
E.占位
10、单项选择题 声强的准确定义()
A.超声换能器发射脉冲超声,其发出的最大时间峰值
B.描述超声能量大小的一种物理量,即超声束在单位时间通过单位横截面积的超声能量
C.在脉冲重复频率的最长间隔时间内平均声强
D.超声波穿过组织时的强度
E.超声的频率
11、单项选择题 以下哪项不是诊断急性胆囊炎的标准()
A.胆囊结石
B.Murphy征阳性
C.胆囊壁厚<3mm
D.胆囊积液
E.胆囊内胆泥淤积
12、填空题 超声扫查乳腺应由浅至深,包括_______、_______、_______和_______。
13、单项选择题
患者,女,14岁,眼部外伤两小时。超声检查如图,最可能的诊断为()
A.玻璃体积血
B.玻璃体混淆
C.脉络膜脱离
D.视网膜脱离
E.以上均不是
14、单项选择题 股骨长径与腹围比率正常值是()
A.20±2
B.22±2
C.26±2
D.>28
E.18±2
15、单项选择题 宫内胎儿生长停滞的第一个超声指征是()
A.胎儿腹围小于胸围
B.胎儿头、体比例失调
C.股骨长径减小
D.宫内总容积小
E.肱骨长径减小
16、单项选择题
女,16岁,有性生活史,因停经35天。根据B超检查声像图如下,合理的超声诊断意见为()
A.动态观察
B.早孕
C.宫外孕可能,建议经阴道超声检查
D.抗感染治疗
E.内膜过度增生
17、单项选择题 子宫肌瘤声像图表现的描述,哪一项是错误的()
A.肌瘤变性时,内部可见无回声区
B.肌瘤结节一般呈低回声区
C.有粘膜下肌瘤时,内膜显示更清晰
D.子宫增大
E.膀胱受压变形
18、单项选择题 一中年女性,颈部肿大。超声显示:甲状腺不规则、非对称性肿大,实质回声增粗,内见多个结节,结节边界欠清晰,有的内部可见液性暗区,CDFI:血流丰富,粗大迂曲的分支血管在结节间穿行、绕行。最可能的诊断是()
A.甲状腺腺瘤
B.甲状腺癌
C.结节性甲状腺肿
D.桥本病
E.毒性甲状腺肿
19、填空题
如图,根据二尖瓣M型超声心动图特征,可见CD段呈_______样改变。

20、单项选择题 二尖瓣狭窄时,以下超声检查哪项不正确()
A.瓣口血流速度明显增快
B.肺静脉血流速度亦增快
C.狭窄早期瓣口血流A峰增高
D.合并心房纤颤时,A峰消失
E.左室内可出现湍流信号
21、单项选择题 子宫大于孕月见于()①多胎②子宫肌瘤③羊水过多④月经日期不准确⑤葡萄胎⑥羊水过少
A.①②③
B.①②③④
C.①②③④⑤
D.①②③④⑤⑥
E.⑥
22、单项选择题 镜面反射通常出现在下列哪一组织周围()
A.肝脏
B.胆囊
C.脾脏
D.膈肌
E.胰腺
23、问答题 肾上腺皮质腺癌的声像图表现有哪些?
24、单项选择题 肝静脉血汇入下列何结构()
A.门静脉
B.肝
C.下腔静脉
D.胃静脉
E.上腔静脉
25、单项选择题 晚期妊娠时阴道无痛性流血,首先应考虑()
A.脑积水
B.羊水过少
C.前置胎盘
D.环形胎盘
E.胎儿发育迟缓
26、单项选择题 人体不同组织和体液回声强度是不同的,下列哪一项是错误的()
A.液体均是无回声的,固体均是有回声的
B.实质性组织如肝脾是中等水平回声
C.脂肪组织是低水平回声
D.纤维化和钙化引起组织回声增强
E.脏层胸膜—肺组织(含气)界面产生很强的反射
27、单项选择题 关于M型超声心动图主动脉瓣曲线,下列何者有误()
A.呈六边盒形结构与单一曲线交替图形
B.瓣盒高度代表主动脉瓣开放幅度
C.瓣盒宽度代表左室射血时间
D.主动脉瓣关闭不全时可见关闭线呈双线
E.正常时主动脉瓣叶无收缩期震颤
28、单项选择题 关于卵巢浆液性囊腺癌,下列哪一项是错误的()
A.成人最常见的卵巢恶性肿瘤
B.肿瘤生长很快,常伴出血坏死
C.多为部分囊性,部分实性
D.经阴道彩色多普勒血流显像,乳头内可显示较丰富血流
E.90%为单侧性
29、单项选择题 紫绀型先天性心脏病最常见的畸形为()。
A.法乐氏四联症
B.右室双出口
C.大动脉转位
D.单心室
E.永存动脉干
30、单项选择题 异位妊娠最常见种植在下()
A.卵巢
B.腹腔内
C.输卵管
D.后腹膜间隙内
E.肠壁上