时间:2025-09-17 00:58:26
1、单项选择题 房间隔缺损第Ⅱ孔型的USG表现中,哪项错误()
A.右心房、右心室内径增大
B.左心房、左心室内径增减小
C.室间隔运动幅度降低、平坦
D.房间隔的连续性中断
E.主肺动脉及右肺动脉缩小
2、问答题 纯性肾囊肿的声像图表现有哪些?
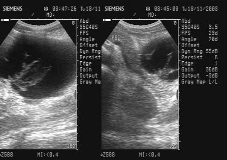
3、单项选择题
患者,女,42岁。3周前患急性胰腺炎,并给予治疗,现超声复查胰腺如图,诊断为()
A.急性胰腺炎
B.胰腺真性囊肿
C.胰腺假性囊肿
D.后腹膜肿瘤
E.胰腺囊腺癌
4、单项选择题 脉冲在探头和界面之间往返2次以上而产生的伪像称为()
A.多途径伪像
B.旁瓣伪像
C.混响伪像
D.散射伪像
E.双重反射伪像
5、填空题 常见的腹膜后恶性肿瘤有________、________、__________、_________。
6、名词解释 动态聚焦
7、单项选择题 脾门处低回声最常见的是().
A.淋巴结、肿瘤
B.血管
C.副脾
D.淋巴结、血管
E.血管、副脾
8、单项选择题 宫内生长迟缓常发生在多少孕周后()
A.15周
B.20周
C.26周
D.32周
E.24周
9、单项选择题 复合扫描的含义为()
A.同时使用多普勒技术和B超技术
B.使用不同聚焦长度的多种探头
C.用综合不同方向扫描信息的方法形成扫描图像
D.增加远场的增益
E.使用变频探头
10、单项选择题 引起月经过多的常见病因是()
A.浆膜下子宫肌瘤
B.粘膜下子宫肌瘤
C.Asherman综合征
D.卵巢畸胎瘤
E.输卵管妊娠
11、单项选择题 欲了解所检测的血管的血流是否为高阻力,应用频谱多普勒测量什么()
A.收缩期速度(Vs)
B.阻力指数(RI)
C.平均速度(Vm)
D.速度时间积分(VTI)
E.舒张期速度(Vd)
12、单项选择题 有关左心室,以下哪项不对()
A.左心室位于右心室右前方
B.左心室横切时呈圆形
C.左心室壁较右心室壁厚
D.左心室腔内有两组乳头肌附着
E.左心室的右缘为室间隔的左室面
13、单项选择题 下列哪项肿瘤的声像图呈实性回声()
A.子宫肌瘤玻璃样变
B.畸胎瘤
C.卵巢囊腺癌
D.卵巢纤维瘤
E.卵巢囊腺瘤
14、单项选择题 以下哪项不是正常膀胱腔内常见的伪像()
A.肠气旁瓣伪像
B.腹壁混响伪像
C.巴切片厚度伪像
D.镜面伪像
E.部分容积效应
15、单项选择题 子宫肌瘤彩色多普勒经腹超声特征是()
A.肌瘤中心见丰富血流,分布规则
B.肌瘤中心见丰富血流,分布杂乱
C.肌瘤周围显示血流,呈环状或半环状
D.肌瘤内多见极丰富血流
E.无血流
16、单项选择题 主动脉瓣血流速度加快不见于下列哪项()
A.主动脉瓣狭窄
B.主动脉瓣关闭不全
C.甲状腺功能亢进
D.左心衰竭
E.二尖瓣关闭不全
17、单项选择题 对肝脏局部脂肪浸润与肝脏占位性病变鉴别,最有帮助的是()
A.边界不清
B.不影响血管走行
C.在CT片上表现为衰减增强
D.通常位于胆囊附近
E.多普勒血流信号增多
18、单项选择题 下列对肥厚型梗阻性心肌病超声所见的叙述,哪一项是错误的()
A.主动脉瓣收缩中期部分关闭
B.室间隔厚径明显增厚
C.左室后壁厚径增厚,但增厚程度小于室间隔
D.心室壁呈弥漫性向心性肥厚
E.室间隔厚径与左室后壁厚径比值大于1.5
19、单项选择题 下列哪一项是腹水影响肝脏声像图的情况()
A.没有影响
B.肝脏回声显示增强
C.腹水使声波衰减导致肝回声减弱
D.肝内管状结构不清
E.肝脏形态改变
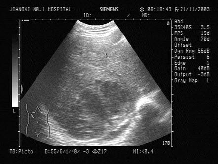
20、单项选择题
患者女36岁,反复上腹部疼痛不适数10年,偶尔皮肤、巩膜黄染。B超检查如图所示,根据超声声像图,诊断为()
A.左肝内胆管癌
B.左肝内胆管蛔虫
C.左肝内胆管胆泥淤积
D.左肝内胆管结石
E.左肝钙化灶
21、单项选择题 黏液表皮样癌的声像图表现是()
A.腮腺区可探及囊性病灶
B.病灶界限边缘不清,轮廓不完整
C.病灶以液性回声为主,内部可见不均质低回声与致密较强回声交错分布
D.液性回声中出现致密较强回声团块
E.以上都是
22、单项选择题 冠状动脉粥样硬化好发部位()
A.左前降支
B.右冠脉
C.左旋支
D.左主干
E.右后降支
23、单项选择题 下列眼部超声检查法中,哪种方法最简便实用()
A.经眼睑法
B.水囊法
C.探头块法
D.经水法
E.软探头法
24、单项选择题 下列哪种界面可产生“彗星尾征”伪像()
A.肝-胆界面
B.肌肉-骨界面
C.组织-气体界面
D.气-液界面
E.脂肪-骨界面
25、单项选择题
淋巴结转移癌的超声表现()
①淋巴结肿大,短轴增大长(L)/宽(S)<2
②淋巴结肿大,长轴增大长(L)/宽(S)>2
③肿大淋巴结被膜不完整,数个淋巴结融合在一起
④肿大淋巴结被膜完整,数个淋巴结融合在一起
⑤肿大淋巴门部偏心
⑥肿大淋巴门部增大
⑦CDFI:血流多丰富,呈高速高阻型,则>0.7
⑧CDFI:血流丰富,呈高速低阻型,RI<0.5
A.①③⑤⑦
B.②④⑥⑧
C.①④⑥⑦
D.②③⑤
E.①③⑤⑧
26、单项选择题 心脏原发性肿瘤最常见者为()
A.横纹肌瘤
B.纤维瘤
C.脂肪瘤
D.间皮瘤
E.黏液瘤
27、单项选择题 肝细胞肝癌的临床征象包括()①腹水②黄疸③肝大④脾大
A.①②③
B.②③④
C.①②③④
D.①③④
E.①②④
28、单项选择题 超声诊断仪的工作环境,下列哪项不宜()
A.监视器避免阳光直射
B.整机不应放置在高温,潮湿环境
C.用紫外线照射或消毒液对探头消毒
D.使用稳压器,保持正常供电
E.远离高电场,高磁场
29、单项选择题 以下哪种肝脏肿块在囊肿内有子囊()
A.多囊肝
B.包囊虫病
C.肝癌
D.肝血管瘤
E.肝脓肿
30、单项选择题
一患者,发热,右上腹痛,血常规检查白细胞增多。结合超声声像图,诊断为()
A.肝脓肿
B.肝血管瘤
C.肝癌
D.脂肪肝
E.肝囊肿