时间:2025-09-13 04:48:13


1、单项选择题 超声波在人体不同组织的衰减程度不同,明显衰减时,其后方回声消失而出现()。
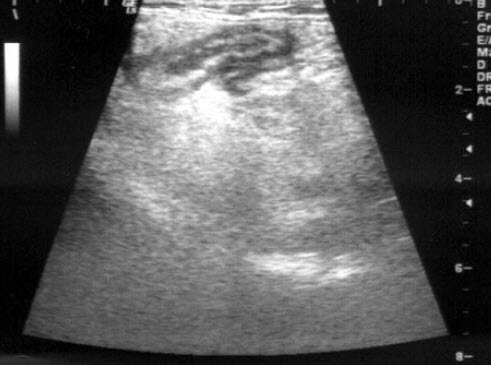
A.反射
B.声影
C.混响
D.折射
E.增强效应
2、单项选择题
男,18岁,外伤1小时就诊。结合超声声像图,诊断为()
A.脾外伤血肿
B.脾淋巴管瘤
C.膈下积液
D.脾皮样囊肿
E.脾血管瘤
3、单项选择题
超声引导穿刺前仪器调整()
①选用B型扫描方式
②选用B型、彩色多普勒扫描方式
③总增益的调节以肝脏作为参考
④总增益的调节以穿刺部位作为参考
⑤通过近场抑制,远场增益使图像纵深的回声强度均匀一致
⑥通过近场增益,远场抑制使图像纵深的回声强度均匀一致
⑦穿刺深度在8cm以内时选用第1、2段聚焦
⑧穿刺深度在8cm以内时选用第3段聚焦
A.①④⑤⑦
B.②④⑦⑧
C.①③⑥⑦
D.①③⑤⑦
E.②③⑤⑦
4、问答题 肾结石的声像图表现有哪些?
5、单项选择题 绝经后妇女超声测量子宫内膜厚度正常值是()
A.子宫内膜呈线状或厚度≤4mm
B.子宫内膜厚度≤6mm
C.子宫内膜厚度≤8mm
D.子宫内膜厚度≤10mm
E.子宫内膜厚度≤12mm
6、单项选择题
男,70岁,上腹胀痛,腹膨隆。脾大,门静脉增宽。结合超声声像图,诊断为()
A.肝血管瘤
B.肝癌
C.血吸虫肝纤维化并腹水
D.肝脓肿
E.脂肪肝
7、单项选择题
扇形扫查仪的缺点有下列哪几种()
①在所有平面上缺乏焦点变化性
②缺乏探头操作灵活性
③探头口径太小
A.①②③
B.①③
C.①②
D.②③
E.以上都不是
8、单项选择题
男,30岁。根据超声声像图,可诊断为()

A.肝囊肿
B.肝包虫病
C.肝血管瘤
D.局限性脂肪肝
E.肝脓肿
9、单项选择题 羊水量少于多少毫升称羊水过少()
A.300~400ml
B.1000ml
C.15000ml
D.2000ml
E.1500ml
10、单项选择题 关于子宫内膜的叙述,下面哪一项是正确的()
A.在矢状面上测量时应包括双层内膜的厚度
B.横切面测量最可靠
C.只应包括一层内膜
D.经腹部超声检查时测量最可靠
E.在整个月经周期变化不大
11、单项选择题 与毒性甲状腺肿无关的是()
A.甲状腺炎火海征
B.甲状腺海岛征
C.甲状腺上下动脉增宽
D.甲状腺上下动脉为高阻高速频谱,峰值速度70cm/s,静脉为低速宽带频谱
E.血流速度的增加随T、T的升高而加快
12、单项选择题 血尿病人可见于以下哪种疾病()
A.膀胱癌
B.膀胱结石
C.膀胱异物
D.急性膀胱炎
E.以上均可
13、单项选择题 彩色多普勒血流成像规定()。
A.朝向探头的血流为红色
B.背向探头的血流为红色
C.朝向探头的血流为蓝
D.背向探头的血流为绿色
E.朝向探头的血流为绿色
14、单项选择题 频谱多普勒超声检测到从零位基线向上的血流频谱,表明血流是()
A.反向的动脉血流
B.反向的静脉血流
C.流向探头的血流
D.背离探头的动脉血流
E.背离探头的静脉血流
15、单项选择题 下述哪项不是扩张型心肌病超声表现()
A.心腔明显扩大
B.收缩功能减退
C.舒张功能正常
D.室壁运动普遍减低
E.室壁收缩期增厚率减低
16、判断题 胆囊癌实块型USG表现为胆囊增大,胆囊腔被肿瘤所闭塞,呈弱回声或粗而不均的实性肿块。
17、单项选择题 发生在妊娠早期的卵巢非赘生性囊肿是()
A.卵泡囊肿
B.黄体囊肿
C.黄素化囊肿
D.巧克力囊肿
E.多囊卵巢
18、单项选择题 中年女性,突发上腹疼痛,伴恶心、呕吐,超声显示胆囊多发结石,胰腺肿大,轮廓不清,回声减低,周围见少量液性暗区,最可能的诊断是()
A.急性胰腺炎
B.慢性胰腺炎
C.急性胃炎
D.急性胆囊炎
E.急性胆管炎
19、单项选择题 下列哪些是陈旧性宫外孕的临床症状及超声表现()①有停经史、阴道不规则出血及腹痛,疼痛缓解后无明显不适,但仍无月经②盆腔可触及包块③血HCG高于正常④正常大小子宫,附件区较大中等回声,甚至将子宫包绕其中,边界清晰⑤腹腔内无游离液体⑥腹腔内有游离液体
A.①②③④
B.①②④⑤
C.①②③④⑤
D.①②③④⑥
E.①③⑤
20、单项选择题 前列腺的分叶及分区()
A.前列腺分左、右侧叶、后叶、中叶、前叶;内、外腺两区
B.前列腺分左、右侧叶、后叶、中叶、前叶;内腺尿道周围组织和移行区、外腺周缘区和中央区
C.前列腺分左、右侧叶;内、外腺两区
D.前列腺分左、右侧叶;后、中、前区
E.前列腺分左、右侧叶;内、中、外腺三区
21、单项选择题 李某,男,15岁,数年来多处骨折伴有关节疼痛,肝肾功能正常,超声显示甲状腺下极背侧1.0cm×1.5cm,低回声结节,包膜完整,血流丰富,最可能的诊断是()
A.甲状旁腺增生
B.甲状旁腺癌
C.低血钙症
D.甲状腺腺瘤
E.甲状旁腺腺瘤
22、单项选择题 患者高热后两侧耳下区红肿,超声显示:局部增大,回声减低,血流信号略增多。最可能的诊断是()
A.腮腺肿瘤
B.颈淋巴结肿大
C.急性腮腺炎
D.何杰金肿瘤
E.甲状腺炎
23、单项选择题 穿刺活检针是以内、外两种径中的哪种径划分,何为粗针,何为细针()
A.外径>1.0mm为粗针,<1.0mm为细针
B.内径>1.2mm为粗针,<0.8mm为细针
C.外径>0.8mm为粗针,<0.8mm为细针
D.内径>0.7mm为粗针,<0.6mm为细针
E.内径>1.0mm为粗针,<1.0mm为细针
24、单项选择题 关于人体组织和体液的回声强度说法,不正确的是()
A.一般分为高、中、低、无四级
B.介于两级之间的回声可用“中高回声”和“中低回声”表示
C.可在高回声和低回声之前加用形容词
D.强回声后一定有声影
E.典型的中等回声水平见于肝脾实质
25、单项选择题 关于房间隔缺损的血流频谱,哪项不对()
A.应采用CW检测
B.显示为正向湍流频谱
C.始于收缩中晚期
D.持续全舒张期
E.分流速度在60~80cm/s以上
26、单项选择题
患者有风心病史,该病诊断是()

A.左房黏液瘤
B.左房赘生物
C.左房良性肿瘤
D.左房血栓
E.以上都不是
27、单项选择题
图中脑室内高回声区域为()

A.室管膜下出血
B.脉络丛
C.肿瘤
D.脑室出血
E.脑室扩张
28、单项选择题
该M型图提示()

A.风湿性心脏病二尖瓣狭窄
B.高血压心脏病
C.左房黏液瘤
D.扩张型心脏病
E.肥厚性心肌病
29、单项选择题
超声引导穿刺前用水槽实验证实探头引导穿刺的准确性应注意观察()
①针尖呈清晰强回声
②针尖呈清晰弱回声
③针尖正好沿穿刺引导线推进
④针尖沿穿刺引导线推进,允许偏差程度:引导线左右5度
⑤穿刺者刺中目标后停针不动,仅观察荧屏,助手观察针尖是否刺中目标
⑥穿刺者刺中目标后,观察荧屏和针尖是否刺中目标
A.①③⑤
B.②④⑥
C.①④⑥
D.②③⑤
E.①④⑤
30、问答题 经腹部超声检查盆腔脏器为什么要充盈膀胱?
31、单项选择题 超声检测所能发现的肾上腺异常是下列哪项()
A.肾上腺体积增大
B.肾上腺腺体分泌增多
C.肾解剖学变异
D.肾上腺腺体萎缩
E.以上均是
32、单项选择题 男,32岁,突发性左季肋部绞痛4小时,无发热,血像正常。尿常规:红细胞20~30个。超声检查见左肾集合系统轻度分离,该侧输尿管上段约0.6cm,其远侧段显示不清。该病例不能除外()
A.肾癌
B.急性肾盂肾炎
C.急性肾小球肾炎
D.输尿管结石
E.肾平滑肌脂肪瘤
33、单项选择题
女,34岁,经常反复发作剧烈的右上腹痛,加重1天。声像图如图所示,最可能的诊断为()
A.肝内胆管结石
B.肝内胆管癌
C.肝内胆管蛔虫
D.肝内胆管积气
E.引流管回声
34、单项选择题
女,54岁。反复便秘,腹泻就诊。PE:左中腹可扪及一肿块,质硬,结节状,OB(Ⅱ),结合超声声像图,诊断为()
A.左肾
B.结肠癌
C.肠系膜淋巴结
D.腹膜后肿块
E.肠结核
35、问答题 肾积水的声像图表现有哪些?
36、单项选择题 孕几周前后超声可检测到多胎妊娠()
A.6周
B.7周
C.8周
D.9周
E.10周
37、单项选择题 胎儿食管闭锁合并气管食管瘘常合并哪些畸形()①先天性心脏畸形②胃肠畸形③脊柱裂④小头
A.①
B.①②
C.①②③
D.①②③④
E.③④
38、单项选择题 以下哪一项不属于超声检测骨骼系统的应用范围()
A.显示正常骨的完整声像图
B.骨折
C.骨肿瘤
D.诊断关节疾病
E.骨软骨病变
39、多项选择题 囊性和实性肿瘤的声像图之间相互比较包括()
A.外形和边界
B.大小
C.内部回声
D.后方回声增强
E.侧边声影
40、单项选择题 下列描述波长与频率关系的结论,哪个是错误的()
A.波长与频率成反比
B.频率越高,波长越短
C.频率越低,波长越长
D.频率越高,纵向分辨力越好
E.波长与频率成正比
41、单项选择题 闪烁伪像表现为()
A.无血流但出现彩色信号
B.有血流但彩色信号缺失
C.有血流但彩色信号过多
D.血流方向显示有误
E.血流速度显示有误
42、单项选择题 关于声场的特性,不正确的是()
A.声束有一个大的主瓣和一些小的旁瓣组成
B.超声频率越高,近场越长
C.超声成像主要依靠探头发射的主瓣
D.声场可分近场、中场和远场
E.声束的近场集中,远场分散
43、单项选择题 子宫动脉起自哪条动脉()
A.左肾动脉(左侧),腹主动脉(右侧)
B.腹主动脉
C.髂内动脉
D.髂外动脉
E.髂总动脉
44、单项选择题 “早期胆囊癌”的诊断,应首选哪项检查()
A.CT
B.DSA
C.MRI
D.口服胆囊造影
E.US
45、单项选择题 左肾静脉走行位置是()
A.在腹主动脉后方
B.腹主动脉与肠系膜上静脉之间
C.腹主动脉与肠系膜上动脉之间
D.门静脉后方并伴行
E.以上均不对
46、单项选择题 关于室间隔的描述,以下哪项不正确()
A.室间隔分为膜性和肌性两个部分
B.肌部间隔可分为光滑区、小梁区和漏斗区
C.膜部位于主动脉右及无冠瓣交界处下方
D.三尖瓣膈瓣将膜部分为两个部分
E.肌部间隔为室间隔缺损的高发区
47、单项选择题
男,6岁,阵发性腹痛,呕吐数小时就诊。PE:肠鸣音亢进,呈气过水音。根据超声声像图诊断为()
A.急性肠梗阻
B.急性肠炎
C.肠套叠
D.肠穿孔
E.胃癌
48、单项选择题
患者男25岁,转移性右下腹痛1天。体检:右下腹叩击痛及反跳痛(+),血WBC1.3万,中性粒细胞82%。B超检查声像图如图所示,根据超声声像图,诊断为()
A.回盲部肿瘤
B.肠套叠
C.肠穿孔
D.急性阑尾炎
E.肠梗阻
49、单项选择题
某患者25岁,高热,肝区疼痛。肝脏声像图表现如图,结合病史,最可能的诊断是()
A.肝血管瘤
B.肝脓肿
C.肝硬化
D.肝癌
E.肝囊肿
50、单项选择题 下列除外哪一项,均可引起肾积水()
A.急性肾小球肾炎
B.卵巢癌
C.后尿道瓣
D.后腹膜肿瘤
E.输卵管结石
51、问答题 前列腺增生的声像图表现有哪些?
52、单项选择题 前列腺增生症,尿道可能发生的形态改变是()
A.尿道内口移位
B.后尿道拉长超过3cm
C.后尿道曲度改变
D.排尿期尿道腔变细或不规则
E.以上均是
53、单项选择题 彩色多普勒血流显像检查的彩色增益过高,会出现什么现象()
A.血流信号显示不连续,有中断现象
B.彩色血流信号溢出到血管外,使血流假性增宽
C.血流充盈不好,血管内有假性充盈缺损
D.血流信号缺乏,假性闭塞
E.彩色信号出现翻转(倒错),歪曲了血流行走方向
54、单项选择题 主动脉缩窄最常发生在哪个部位()
A.主动脉起始部
B.升主动脉
C.腹主动脉
D.主动脉峡部
E.主动脉弓
55、单项选择题 能量多普勒的优点是()
A.帧频更高
B.对微弱的多普勒信号更敏感
C.计算流速更准确
D.计算流量更准确
E.混叠
56、单项选择题 双子宫双阴道的声像图特点是()①纵切可见两个宫体,两个宫腔线,而宫颈及阴道只有一个②纵切可见两个子宫、宫颈、阴道回声③横切时子宫底呈蝶状,各有宫腔线回声④横切宫体呈平角形,宫腔线呈分叶状⑤宫颈较宽呈哑铃状,可见两个宫颈管回声⑥阴道较宽,可见两个气体线
A.①④⑤⑥
B.②③⑤⑥
C.①③⑤⑥
D.②③④⑤⑥
E.①⑤⑥
57、单项选择题 当血流频移信号大于1/2PRF(脉冲重复频率)时出现折返,1/2PRF是()
A.快速傅立叶变换(FFT)
B.尼奎斯特(Nyquist)极限
C.运动目标显示器(MTI)
D.自相关处理
E.壁滤波限制
58、单项选择题 液体中含蛋白成分和钙质越多,声衰减()
A.越高
B.越低
C.不变
D.都有可能
E.与钙质、蛋白成分无关
59、单项选择题 下列不符合双胎双顶径测量特点的是()
A.双胎之间双顶径差应在4mm之内
B.双胎之间双顶径的差应在1~2cm之间
C.双胎中甲胎比乙胎双顶径小6mm,应认为甲胎宫内发育迟缓
D.双胎双顶径稍小于单胎双顶径
E.双胎双顶径稍大于单胎双顶径
60、单项选择题
患者发现颈部肿块两年余,无明显不适。甲状腺超声显示甲状腺及血管旁异常光团,如图。最可能的诊断为()
A.甲状腺癌
B.结节性甲状腺肿
C.甲状腺炎
D.甲状腺腺瘤
E.以上均不是
61、单项选择题
女,现在正在行肺癌放疗治疗。结合超声声像图,诊断为()
A.转移性癌
B.脾血肿
C.脾梗死
D.脾脓肿
E.脾血管瘤
62、单项选择题 男,37岁,既往有肝炎史,超声发现脾脏显著肿大,肝表面不光滑,肝实质回声不均匀,肝周探及液性暗区.诊断最可能是()
A.慢性肝炎
B.慢性肝炎合并肝硬化,腹水
C.肝硬化合并肝囊肿
D.肝硬化合并肝肿瘤
E.肝硬化合并门静脉高压
63、单项选择题 孕几周以后可作胎头测量()
A.9周
B.10周
C.11周
D.12周
E.8周
64、单项选择题
女性,18岁,月经不来潮就诊。超声检查如图,最可能的诊断为()
A.畸胎瘤
B.先天性无子宫
C.子宫肌瘤
D.双子宫
E.始基子宫
65、单项选择题 横跨下腔静脉在肝门处进入肝脏的结构是()
A.肝静脉
B.胆总管
C.肝动脉
D.门静脉
E.胆囊管
66、问答题 膀胱憩室的声像图表现有哪些?
67、单项选择题 不同的含液器官或病变,后方回声增强强度不尽相同。其中后方回声增强相对较不显著的是()
A.胆汁
B.囊肿液体
C.胸腔积液
D.血液
E.尿液
68、单项选择题 前列腺横切面扫查应注意()
A.成0°角扫查
B.向头侧成15°角扫查
C.探头向头侧成20°角扫查
D.向尾侧成15°角扫查
E.向尾侧成30°角扫查
69、单项选择题 羊水过多的声像图是()
A.羊水量少
B.脐带漂浮在羊水内
C.羊水量超过正常
D.胎儿脑积水
E.胎盘早剥
70、单项选择题 实质性病变的声像图中,哪项错误()
A.边缘光滑或不光滑
B.外形规则或不规则
C.内部无回声衰减
D.后方回声不变或减弱
E.侧方声影有或无
71、单项选择题 肾积水的声像图表现()
A.肾盂分离中间为液性暗区
B.肾盂分离中间为液性暗区,液性暗区与输尿管相通
C.肾盂分离中间为液性暗区,液性暗区与输尿管相通,液性暗区不相通
D.肾盂分离中间为液性暗区,液性暗区与输尿管相通,液性暗区互不相通,液性暗区液腔饱满
E.肾盂分离中间为液性暗区,液性暗区与输尿管相通,液性暗区液腔饱满
72、判断题 USG检查女性生殖系统病变的局限是不能发现早期子宫癌。
73、单项选择题 对快速射血期心血管功能变化的叙述,下列哪一项有错误()
A.心室压超过动脉舒张末压
B.半月瓣开放
C.血液快速从心室排入大血管
D.快速射血期血量占心室30%左右
E.心室压力迅速明显下降
74、单项选择题 可以出现后方回声增强的有()
A.脂肪
B.脑
C.软骨
D.肺(含气)
E.囊液
75、单项选择题 移植肾正常声像图表现()
A.肾窦增大
B.较正常肾脏回声更多
C.皮质薄而髓质锥体增加
D.与正常肾脏声像图一致
E.常位于肾窝内
76、单项选择题 下列哪一项不是超声诊断胎儿宫内生长迟缓指标()
A.胎头双顶径
B.胎儿头围
C.胎儿腹围
D.胎儿股骨长度
E.胎盘厚度
77、单项选择题 关于彩色多普勒超声仪器的调节,不正确的是()
A.调整彩色速度标尺,使之接近实际血流速度大小
B.使彩色取样框尽可能大,以便获取尽可能多的血流信息
C.适当调节彩色偏转使声束与血流夹角尽可能小
D.调节彩色增益直至适当显示血管内血流信号
E.设定朝向探头血流为红色,背离探头血流为蓝色
78、单项选择题 正常羊水量是()
A.随孕龄增加
B.随孕龄减少,接近预产期时增加
C.随孕龄增加,接近预产期时减少
D.整个妊娠期,保持同等量
E.随孕龄减少
79、判断题 对于各种部位、类型的骨折,USG为首选检查方法。
80、单项选择题 M型超声的特点哪项是错误的()
A.单声束取样获得界面回声
B.Y轴代表界面深浅
C.X轴可另加时基扫描线
D.可用于心脏功能的测量计算
E.也可同时用于Z轴上显示的回波
81、单项选择题 先心病中房间隔缺损血液动力学改变正确的是()
A.全心扩大
B.右心扩大,右室容量负荷过重
C.左心扩大,左室容量负荷过重
D.心脏不大
E.右心扩大,左室容量负荷过重
82、单项选择题 5MHz表示()
A.每秒50万周
B.每秒5千万周
C.每秒5千周
D.每秒5百万周
E.每秒5万周
83、单项选择题
某患者,胸部不适,可见二尖瓣面容,超声心动图检查如图,心腔内异常光团考虑为()

A.左房血栓
B.黏液瘤
C.左房肿瘤
D.赘生物
E.主动脉窦瘤
84、单项选择题 Doppler超声在诊断中居有重要地位,其原因是()
A.可用于各个区域的检查
B.能发现组织界面的运动
C.不引起生物效应
D.用于小器官的检查
E.在各个方面优于一般超声
85、单项选择题 腹内实质性脏器病变宜先采用何种检查()
A.透视
B.摄片
C.CT
D.B超
E.脑血管造影
86、单项选择题 继发孔型房间隔缺损在二维超声检查时有什么所见()。
A.显示房间隔最位处(房、室间隔连接处)缺损
B.显示左心室扩大
C.显示房间隔最上部(近心房顶部处)
D.显示室间隔上移缺损
E.显示房间隔央部缺损
87、单项选择题 二尖瓣关闭不全时不出现哪项()
A.左房扩大
B.左室扩大
C.肺动脉增宽
D.室壁活动增强
E.室壁活动减弱
88、单项选择题 库肯勃瘤是转移性卵巢肿瘤,常见的原发部位肿瘤是()①胃肠道②乳腺③盆腔器官④子宫
A.①
B.①②
C.①②③
D.①②③④
E.①③④
89、单项选择题 关于子宫内膜息肉的描述,下列哪一项是错误的()
A.经阴道超声表现为子宫内膜局限性增厚隆起
B.息肉是非赘生性的
C.息肉是内膜局限性部位受激素刺激而形成
D.息肉内常可见极丰富的血流信号
E.非弥漫性子宫内膜增生可产生子宫内膜息肉
90、单项选择题 下列哪一支血管不是左冠状动脉的分支()
A.左冠状动脉主干
B.右圆锥支
C.左回旋支
D.斜角支
E.左前降支
91、单项选择题 下列哪一项不是典型腮腺囊肿的声像图表现()
A.形态不规则,呈多边形
B.囊后方回声增强
C.轮廓完整,界限清晰
D.有时可见轮廓线
E.囊内为均匀无回声,透声性良好
92、单项选择题 下列关于超声波的表述,正确的是()
A.频率不同的声波在同一介质中的传播速度不同
B.波长和频率成正比
C.超声在人体软组织中的平均传播速度是1460m/s
D.相同频率的超声在不同介质中传播声速相同。
E.声速与介质的密度成正比
93、单项选择题 约孕几周前后声像图上可显示胎盘()
A.4周
B.6周
C.9周
D.12周
E.14周
94、单项选择题
女,34岁,上腹疼痛不适数年,加重二天。声像图如图所示。结合超声声像图,诊断为()
A.胆囊颈部结石并化脓性胆囊炎
B.胆囊颈部息肉
C.胆囊颈部腺瘤
D.胆囊颈部蛔虫
E.胆囊癌
95、多项选择题 根据棘球蚴囊USG表现特征,可分为()
A.单囊型
B.多囊型
C.囊沙型
D.混合型
E.母子囊型
96、单项选择题 宫腔内环状强回声,后伴彗星尾征,应考虑是()
A.子宫内膜过度增生
B.子宫内膜息肉
C.子宫肌瘤钙化
D.宫内节育器
E.以上都不是
97、单项选择题 超声用于骨折的主要目的是()
A.辅助诊断骨折,指导手法复位
B.鉴别血肿与软组织水肿
C.复杂骨折的实质性器官的排除性检查
D.评价骨折延迟愈合和骨不连接的原因
E.以上都是
98、单项选择题 心脏超声检查最常用的探头是()
A.线阵探头
B.凸阵探头
C.TEE食管探头
D.相控阵探头
E.矩阵探头
99、单项选择题 女性腹腔最低部位是()
A.子宫直肠窝
B.肝肾间隙
C.膀胱直肠窝
D.脾肾间隙
E.以上都不是
100、单项选择题 探头匹配层的最主要作用是()
A.间接保护压电振子
B.减少声波的谐振
C.使探头与皮肤声阻抗相匹配,有利于声波传播
D.降低横向耦合力
E.增加有效振子数目
101、单项选择题 正常情况下,超声无法显示的女性生殖系统结构是()
A.子宫
B.卵巢
C.输卵管
D.子宫动脉
E.阴道
102、单项选择题 超声伪像的产生,以下哪种看法最正确()
A.静态双稳态超声诊断仪,最常见
B.实时双稳态超声诊断仪,也很常见
C.实时灰阶超声诊断仪,相对常见
D.数字化高档超声诊断仪,不常见
E.以上均不正确
103、单项选择题
超声检测甲状腺周围可显示哪些重要结构()
①4条颈前肌群,由前至后依次为胸锁乳突肌、颈阔肌、胸骨舌骨肌、胸骨甲状肌
②2条颈前肌群,前外方为胸锁乳突肌、甲状腺前方为胸骨甲状肌
③颈动脉鞘:位于甲状腺两侧叶旁,内有颈内静脉、颈总动脉、迷走神经
④颈动脉鞘:位于甲状腺左、右叶旁、内有颈外静脉、颈内动脉、交感神经
⑤甲状旁腺:位于甲状腺背面上下极、左右各2枚
⑥甲状旁腺:位于甲状腺腹侧上下极、左右各1枚
⑦喉返神经、喉上神经
⑧喉返神经、食管
A.②④⑥⑧
B.①④⑥⑦
C.②③⑤⑧
D.①③⑤⑦
E.③④⑥⑦
104、单项选择题 目前了解胎儿状态的影像诊断学方法首选的是()
A.腹部平片
B.磁共振检查
C.腹部透视
D.B超检查
E.CT检查
105、单项选择题 前列腺癌好发于()
A.10%发生于周缘区,70%发生于移行区,20%发生于中央区
B.20%发生于周缘区,10%发生于移行区,70%发生于中央区
C.20%发生于周缘区,70%发生于移行区,10%发生于中央区
D.70%发生于周缘区,20%发生于移行区,10%发生于中央区
E.10%发生于周缘区,20%发生于移行区,70%发生于中央区
106、单项选择题 彩色多普勒成像时不影响帧频的因素是()
A.角度大小
B.深度
C.探头频率
D.滤波器
E.脉冲重复频率
107、单项选择题 在超声评分胎盘成熟度中,0级胎盘绒毛膜板表现为()
A.有弥散性暗区
B.有稠密的线状回声
C.有不完全的分叶
D.光滑,平整
E.与基底层有切迹状的交通
108、单项选择题 以下哪项不属于左冠状动脉()
A.窦房结动脉
B.对角支
C.穿支
D.前降支
E.左旋支
109、单项选择题 患者陈某,有风湿性关节炎病史,心脏听诊主动脉瓣区有舒张期杂音,X线胸片示左心室扩大,心电图示左心室高电压,疑有主动脉瓣关闭不全,用彩色多谱勒技术检查应有什么表现()
A.左心室在收缩期有血流射入肺动脉
B.显示有血流从主动脉瓣口在舒张期流向左心室
C.收缩期有血流从右心房流入右心室
D.左心室在收缩期无血流射入主动脉
E.收缩期有血流从左房流入左心室
110、问答题 肾移植术后肾排异的声像图表现有哪些?
111、单项选择题
根据超声图像,该病例最可能的诊断()
A.肾上极囊肿
B.肾脏积水
C.肾脏肿瘤
D.重复肾
E.肾脓肿
112、单项选择题 腹部超声特定断面扫查时可遇到棱镜伪像,如:肠系膜上动脉或宫内胎囊出现重复图像,下列哪个腹部断面可能出现()
A.正中矢状断面
B.正中旁矢状断面
C.横断面
D.斜断面
E.冠状断面
113、单项选择题 超声诊断前置胎盘时应()
A.膀胱过度充盈
B.膀胱适度充盈
C.在孕20周前诊断准确性最高
D.测量胎盘下缘距宫颈外口的距离
E.膀胱无需充盈,直接腹部检查
114、单项选择题 转移性肝癌表现为不规则强回声后伴声影,多来自于()
A.肺癌
B.结肠或直肠腺癌
C.乳腺癌
D.恶性淋巴瘤
E.肾癌
115、单项选择题 下列眼部超声检查法中,哪种方法最简便实用()
A.经眼睑法
B.水囊法
C.探头块法
D.经水法
E.软探头法
116、单项选择题
某患者高热,肾区疼痛,肾脏超声声像图如下,最可能的诊断为()
A.肾囊肿
B.急性肾炎
C.脓肾
D.肾癌
E.肾结核
117、单项选择题 房间隔缺损第Ⅱ孔型的USG表现中,哪项错误()
A.右心房、右心室内径增大
B.左心房、左心室内径增减小
C.室间隔运动幅度降低、平坦
D.房间隔的连续性中断
E.主肺动脉及右肺动脉缩小
118、单项选择题 眼球有几个腔,眼球内容物有()
A.眼球为一圆形腔隙,内容物有晶状体、玻璃体
B.眼球有两腔:前房、后房,内容物有晶状体、玻璃体
C.眼球有三腔:前房、后房、玻璃体腔,内容物有晶状体、玻璃体
D.眼球有四腔:前房、后房、晶状体腔、玻璃体腔,内容物有晶状体、玻璃体
119、单项选择题
患者,男性,甲状腺一侧可触及包块,超声见边界清晰的低回声光团,包膜完整。如图所示,最可能的诊断为()
A.甲状腺腺瘤并囊性变
B.甲状腺炎
C.结节性甲状腺肿
D.甲状腺癌
E.甲状腺囊肿
120、单项选择题 嗜铬细胞瘤的声像图表现,哪一项不正确()
A.肿瘤大小差别较大
B.多呈圆形或椭圆形
C.边界呈强回声带
D.肿瘤内为中等回声,有时可见液性无回声
E.都在肾上腺区
121、单项选择题 甲状腺炎临床分型是()
A.①急性②慢性
B.①急性②亚急性
C.①急性②亚急性③慢性
D.①临床下型②急性③亚急性④慢性
E.①急性②临床下型③慢性
122、单项选择题
女,48岁,上腹部剧烈疼痛2天。皮肤巩膜轻度黄染。声像图如图所示,诊断为()
A.胆总管蛔虫
B.胆总管胆汁淤积
C.胆总管结石
D.胆总管癌
E.胆总管腺瘤
123、单项选择题 彩色多普勒血流显像技术检测主动脉瓣口血流,速度标尺应如何选用()
A.选择高速档
B.选择低速档(例如0.20m/s)
C.随意,不需注意调节
D.选择中等速度(例如0.6m/s)
E.以上都不是
124、单项选择题
某患者因左腰部疼痛不适、发热就诊,肾脏超声声像图如下,最可能的诊断为()
A.肾囊肿
B.急性肾炎
C.肾脓肿
D.肾癌
E.肾血肿
125、单项选择题 甲状腺腺瘤的超声特征,哪一项不正确()
A.圆形或椭圆形
B.边界光滑、包膜完整
C.内部呈低回声,质地均匀
D.肿瘤周围见声晕,有丰富的血流信号
E.常为多发性
126、单项选择题 正常妊娠期大约多少天()
A.200天
B.230天
C.280天
D.320天
E.360天
127、单项选择题 胎儿肛门闭锁,超声表现是()
A.单泡征
B.胎儿上腹部双泡征
C.近端小肠显著扩张
D.胎儿骨盆断面“双叶形”囊性肿物
E.食管成管状无回声区
128、单项选择题 下列关于压电效应和压电材料的描述,正确的是()
A.在压电晶片上施加机械压力其表面可产生电荷,这种现象为逆压电效应
B.在压电晶片上施加交变电信号可产生晶片的机械振动,这种现象为正压电效应
C.压电材料的厚度与超声响应频率无关
D.压电材料一般需要磁场极化处理
E.与高频率超声探头相比,低频率超声探头采用较薄的压电材料
129、单项选择题 腮腺炎的超声表现是()
A.弥漫性增大
B.急性期呈低回声区
C.慢性期呈强回声区
D.腮腺血流信号增多
E.以上都是
130、单项选择题
某患者肝脏声像图表现如图,诊断为()
A.肝血管瘤
B.肝癌
C.肝囊肿
D.肝脓肿
E.肝内胆管囊状扩张
131、单项选择题
女性,46岁,发现腹部肿块1个月余。妇科检查:盆腔触及包块。超声检查如图,最可能的诊断为()
A.囊腺癌
B.囊腺瘤
C.黄体囊肿
D.转移性卵巢癌
E.包裹性积液
132、单项选择题 以下彩色血流显像的特点哪一项不对()
A.血流方向朝向探头,显示红色
B.血流方向背离探头,显示蓝色
C.血流流速越高,显示的亮度越亮
D.血流出现紊流时显示为红蓝相杂的五彩色
E.动脉血流显示为红色,静脉血流为蓝色
133、单项选择题 下列哪一项不是视网膜母细胞瘤的超声表现()
A.眼内实性肿物
B.瘤组织内钙斑反射
C.肿物有后运动
D.高速、高阻型动脉频谱
E.肿物内可见与视网膜中央动、静脉相连续的血流频谱
134、单项选择题 正常成人妇女乳腺通常不包括的组成内容是()
A.平滑肌
B.腺叶
C.小叶
D.腺泡
E.导管
135、单项选择题 超声检测甲状腺,其解剖标志是()
A.气管在其内侧,颈长肌在后方,颈动脉和颈内静脉在外侧,带状肌在内侧
B.气管在其内侧,颈长肌在外侧,颈动脉和带状肌在其后方
C.气管和带状肌在内侧,颈长肌在后,颈动脉在下方
D.气管在其内侧,颈长肌在后方、颈动脉及颈内静脉在其外侧,带状肌在其前外侧
E.以上都不是
136、单项选择题
男,19岁。上腹部不适,肥胖。结合超声声像图,诊断为()

A.肝癌
B.肝硬化
C.脂肪肝
D.肝炎
E.肝豆状核变性
137、单项选择题 下列哪一项不是诊断前置胎盘的条件()
A.膀胱适度充盈
B.显示子宫颈内口
C.观察胎头与子宫颈内口的位置关系
D.显示胎盘下缘
E.观察胎盘下缘与子宫颈内口的位置关系
138、单项选择题 杨某,男,60岁,查体时发现颈前偏右有一实性肿物,不活动,质硬,同侧淋巴结肿大,超声显示:甲状腺右叶探及单个、不规则实性的低回声结节,境界不清,CDFI有高速血流信号。最可能的诊断是()
A.甲状腺囊肿
B.甲状腺腺瘤
C.甲状腺癌
D.亚急性甲状腺炎
E.颈淋巴瘤
139、判断题 扩张型心肌病M型超声心动图见二尖瓣前、后叶开放幅度小且时间短呈钻石样改变。
140、单项选择题 男,46岁,超声体检发现左肾病变,呈圆形,边界清晰,整齐光滑,直径1.0cm,肿物内无回声,后方回声明显增强。根据声像图特征,诊断是()
A.肾囊肿
B.肾囊肿合并感染
C.肾囊肿合并出血
D.肾肿瘤
E.以上都不正确
141、单项选择题 俯卧扫查腹主动脉周围腹膜后淋巴结有一定难度,是因为()
A.髂腰肌干扰图像
B.俯卧位时淋巴结肿大
C.俯卧时淋巴结降入腹腔
D.脊柱产生声影伪像
E.以上均是
142、单项选择题 下列哪一支血管不是右冠状动脉的分支()
A.右圆锥支
B.后降支
C.左回旋支
D.右室后支
E.右冠状动脉主干
143、单项选择题 如果脉冲重复频率是10KHz,下面哪种多普勒频移可导致混叠()
A.2KHz
B.3KHz
C.4KHz
D.5KHz
E.6KHz
144、单项选择题 肠套叠的超声表现不正确的是()
A.短轴图像上可见多环同心圆征象
B.套叠的肠壁全周性增厚
C.远端肠管扩张
D.套入的肠系膜血管血流异常
E.套叠的肠壁均匀性增厚
145、单项选择题 关于婴儿型多囊肾的叙述,下面哪一项是正确的()
A.胎儿期肾脏出现少数囊泡是正常的
B.主要为大囊泡
C.在晚孕之前总有表现
D.肾脏可表现为实质性强回声
E.肾脏体积较正常小
146、单项选择题 膀胱内出现的异常回声,最可能的诊断为()
A.膀胱血块
B.膀胱肿瘤
C.膀胱异物
D.导尿管
E.膀胱内囊肿
147、单项选择题
晚孕胎儿脑部声像图,最可能的诊断是()
A.正常声像图
B.淋巴管囊肿
C.脑膜膨出
D.脑积水
E.露脑畸形
148、单项选择题 肝囊肿的声像图表现,下列哪一项是错误的()
A.囊壁薄而光滑
B.囊壁较厚,光滑,呈双层
C.侧壁出现回声失落
D.后方回声增强
E.彩色多普勒显示囊壁处短条状血流信号
149、单项选择题 超声波有纵波、横波和表面波三种振态,下列哪项是错误的()
A.在固体中有纵波、横波、表面波
B.在液体和气体中有纵波
C.在真空中有横波和表面波
D.在生物组织中有纵波
E.在人体组织中有纵波
150、单项选择题
男,63岁,因左侧腰部疼痛不适伴无痛血尿1月余就诊,B超显示左肾集合系统分离3.9cm,如图所示,最可能的诊断为()
A.左输尿管结石
B.左输尿管癌
C.左输尿管炎性狭窄
D.左输尿管畸形
E.左输尿管血块
151、单项选择题
根据超声声像图,最可能的诊断为()
A.睾丸鞘膜积液
B.精索鞘膜积液
C.睾丸囊肿
D.交通性鞘膜积液
E.附睾头囊肿
152、单项选择题 孕几周是胎儿股骨长度的最易测量时间()
A.9~12周
B.14~22周
C.24~28周
D.32~36周
E.37~40周
153、单项选择题 由多振子电子探头超声束形成的伪影叫()
A.混响
B.切片厚度伪影
C.旁瓣效应
D.声影
E.后方回声增强
154、单项选择题 回声增强发生在下列哪类物体后方()
A.强衰减体
B.弱衰减体
C.强衍射体
D.弱衍射体
E.固体
155、单项选择题 子宫肌瘤的声像图表现是()①子宫增大,局限性隆起②子宫表面不平③子宫内膜线移位④膀胱受压变形
A.①
B.①②
C.①②③
D.①②③④
E.②
156、单项选择题 胎儿死亡的定义是()①≥20周胎儿死亡②任何胎龄的胎儿死亡③体重≥500g的胎儿死亡④36周以后的胎儿死亡
A.①③
B.②③
C.④
D.①②③④
E.②③④
157、单项选择题 超声检查部分型心内膜垫缺损的最重要所见是()
A.原发孔房间隔缺损
B.三尖瓣位置异常,上移或下移
C.室间隔缺损
D.二尖瓣脱垂
E.继发孔房间隔缺损
158、单项选择题 妊娠超声检查中,不正确的是()
A.尽量选择低输出声强
B.缩短对胎囊或胎儿同一位置的检查时间
C.采用阴道探头探查胎儿脐带彩色血流
D.探头频率多采用3.5~10MHz
E.减少妊娠期内超声检查的次数
159、单项选择题 葡萄胎分几种()①完全性葡萄胎②部分性葡萄胎③完全性葡萄胎与正常胎儿共存④胎盘水泡状变性
A.①②
B.①②③
C.①③④
D.①②③④
E.②③④
160、判断题 肾实质、脾等正常组织和肾癌等病变组织可表现为实质暗区。
161、单项选择题
某患者阴囊增大,自诉用力时阴囊可增大,平卧缩小,无外伤史。B超检查超声声像图如下,最可能的诊断为()
A.鞘膜积液
B.附睾炎性包块
C.斜疝
D.附睾结核
E.股疝
162、单项选择题 除哪一项外,均为晚期脂肪肝表现()
A.腹水
B.肝脏缩小
C.胆管扩张
D.门静脉高压
E.血管显示不清
163、单项选择题 附加的劳动者效应体现T()特点。
A.劳动力供给的经济周期
B.劳动力供给的生命周期
C.劳动力需求的经济周期
D.劳动力需求的生命周期
164、单项选择题 胆囊颈由以下哪项与肝总管连接()
A.肝胰壶腹(Vater壶腹)
B.胆总管
C.肝左、右管
D.胆囊管
E.肝内胆管
165、单项选择题 宫内早孕声像图特点是()①子宫增大②宫腔内可见妊娠囊③妊娠囊内可见胚芽④妊娠囊内可见胎心搏动
A.①
B.①②
C.①②③
D.①②③④
E.③
166、单项选择题
该病例最有可能诊断是()

A.布-加综合征
B.川崎病
C.动脉瘤
D.以上都不是
E.门静脉高压
167、多项选择题 限制性心肌病的超声表现正确者为()
A.相应的室壁、室间隔增厚,室壁运动僵硬、低下
B.相应部位的心室内膜增厚呈不均分布;回声增强
C.心房极度扩大,可有低速云雾状旋涡血流回声
D.房室瓣EF斜率减慢
E.心包增厚伴少至大量心包积液
168、单项选择题 肾肿瘤CDFI特点()①无血流型②丰富血流型③星点状血流型④少血流型⑤抱球型
A.①
B.②③④⑤
C.②⑤
D.③④
E.①②③④⑤
169、单项选择题 急性睾丸疼痛常见疾病声像图有()①睾丸扭转:睾丸明显增大;位置上移,CDFI:血流减少或没有血流信号②睾丸脱臼:一侧阴囊空虚,同侧股部的皮下组织与肌层间可见正常睾丸回声,伴同侧精索轻度扭转③睾丸梗死:睾丸形态异常,内见圆形边界清晰的异常低回声区,伴附睾肿大;CDFI:睾丸内极低速血流④急性睾丸炎:睾丸均匀肿大,点、片状低回声;CDFI:血流信号增多,Vmax增快,RI减低
A.①③
B.①③④
C.①②③④
D.②
E.②③④
170、单项选择题 下列对镜面右位心的二维超声检查的叙述,哪一项是错误的()
A.心尖位于胸腔右侧
B.心室位置互换,左心室在右,右心室在左侧
C.肺动脉与右心室连接
D.主动脉与右心室连接
E.心房位置互换,左心房在右,右心房在左侧
171、单项选择题
中年女性,中下腹横切面如图,箭头所示为()
A.子宫钙化环
B.宫内节育器
C.子宫肌瘤
D.孕囊
E.子宫肌瘤钙化
172、单项选择题
如图,36周胎儿,最可能的诊断是()
A.正常声像图
B.脑疝
C.脑积水
D.泪滴状侧脑室
E.以上都不是
173、单项选择题
良性淋巴结的声像图特点是()
①淋巴结均匀性肿大,长(L)/宽(S)>2
②淋巴结分叶状增大,长(L)/宽(S)<2
③呈椭圆形,被膜回声强而完整
④被膜回声强而不完整
⑤血流丰富,分布规律呈高速低阻,RI<0.5
⑥血流丰富,分布不规则呈高速高阻,R1>0.
A.①③⑤
B.②④⑥
C.①④⑥
D.②③⑤
E.①③④
174、单项选择题 膀胱肿瘤的分期标准是根据()
A.肿瘤大小
B.肿瘤侵犯膀胱壁的深度
C.临床症状
D.肿瘤部位
E.有无肾积水
175、填空题
如图,二维超声心动图中,此为____________切面。

176、单项选择题 M型超声心动图,正常成人主动脉瓣开放幅度应不小于()
A.10mm
B.30mm
C.18mm
D.20mm
E.16mm
177、单项选择题 尿路梗阻的常见原因是()
A.前列腺增生症
B.输尿管结石
C.输尿管狭窄
D.输尿管囊肿
E.以上均是
178、单项选择题 妊娠时子宫峡部称为()
A.Crucial三角
B.子宫颈内口
C.子宫颈外口
D.子宫下段
E.子宫体
179、单项选择题 四肢血管正常的多谱勒频谱是()
A.单相波
B.双相波、单相波
C.双相波
D.三相波
E.单相波、三相波
180、单项选择题
某患者脾脏声像图表现如图,诊断为()
A.正常脾脏
B.脾大
C.脾破裂
D.脾梗死
E.以上都不是
181、填空题
如图,根据M型超声心动图特征,此为哪种病变的特点_______。

182、单项选择题 当骨盆骨折时,易受损的是哪一部分尿道()
A.前列腺部尿道
B.膜部尿道
C.球部尿道
D.阴部尿道
E.悬垂部位
183、单项选择题 利用超声检测技术最早在几周能显示胎心搏动()
A.5~6周
B.6~7周
C.7~8周
D.8~9周
E.10~12周
184、单项选择题 可用超声观察区别的眼眶组织有()①眼球壁②眼球内容物③视神经间隙④眶内脂肪组织⑤眼外肌
A.①②
B.①②③
C.①②③④
D.①②③④⑤
E.②③④
185、单项选择题
男性,阴囊肿大,于右侧腹股沟见一混杂回声光团,探头压可回纳腹腔。如图所示,考虑为()
A.隐睾
B.腹股沟斜疝
C.精原细胞瘤
D.睾丸脓肿
E.以上都不是
186、单项选择题 下列对主动脉的叙述哪项是错误的()
A.起始部为升主动脉
B.从主动脉分出右颈总动脉、头臂干
C.起自左心室
D.腹主动脉是其末端
E.主动脉弓连接升主动脉与降主动脉
187、单项选择题 入射角为多少度时,几乎检测不到回声反射而表现为“回声失落”()
A.310°
B.320°
C.330°
D.345°
E.360°
188、单项选择题 划分肝脏左内叶与左外叶的分界标志()
A.肝左静脉与门静脉左支横段
B.肝左静脉近端与门静脉左支矢状段
C.肝中静脉与门静脉左支矢状段
D.肝中静脉与门静脉左支横段
E.肝右静脉
189、单项选择题
女性,29岁,停经28周,产前超声检查如图,最可能的诊断为()
A.胎儿畸形,脑积水
B.胎儿畸形,腹壁裂
C.胎儿畸形,室间隔缺损
D.胎儿畸形,无脑儿
E.胎儿畸形,露脑畸形
190、单项选择题 下列哪种是多数有家族性的先天性肝脏疾病()
A.孤立性囊肿
B.梗阻性黄疸
C.多囊肝
D.肝脓肿
E.脂肪肝
191、问答题 简述多普勒超声心动图?
192、单项选择题 脾静脉位于()
A.腹腔动脉的尾侧
B.腹主动脉的前方
C.肠系膜上动脉前方
D.胰腺后方
E.以上各项均是
193、单项选择题 超声探头的核心是压电晶片,其作用是()
A.能将电能转换为机械能,亦能将机械能转换为电能
B.能将电能转换为机械能,但不能将机械能转换为电能
C.不能将电能转换为机械能,但能将机械能转换为电能
D.不能将电能转换为机械能,亦不能将机械能转换为电能
E.以上都不对
194、单项选择题 在急性病毒性肝炎早期,病人的肝实质显示为()
A.回声不均
B.回声增强
C.低于正常
D.回声无改变
E.肝实质结节回声
195、单项选择题 超声检查常见的胰腺囊肿是().
A.先天性囊肿
B.真性囊肿
C.假性囊肿
D.滞留性囊肿
E.寄生虫性囊肿
196、填空题 儿童的管状骨的超声声像为:皮质为____________,骨髓腔为_________________,远处骨皮质显示为_______________,表面的关节软骨为__________。
197、判断题 USG对软组织病变有较高的敏感性,所以对某些疾病可作出定位、定性诊断。
198、单项选择题
男性,于晨前起床时阴囊急剧疼痛,超声见睾丸肿大,CDFI:血流信号消失。如图所示,考虑为()
A.附睾炎
B.睾丸炎
C.睾丸扭转
D.睾丸肿瘤
E.睾丸结核
199、单项选择题 关于回声强度的描述,不正确的是()
A.皮下脂肪组织为低回声
B.肾皮质为等回声
C.均质的固体可呈无回声
D.正常软骨为高回声
E.血液中混有微气泡时可引起回声增强
200、单项选择题 下列哪项不是盆腔良性肿瘤()
A.卵巢纤维瘤
B.皮样囊肿
C.库肯勃瘤
D.子宫内膜腺肌瘤
E.子宫浆膜下肌瘤
201、单项选择题
患者,暴饮暴食,血淀粉酶升高,超声见胰腺体积增大,边界不清,如图所示,考虑为()
A.胰腺癌
B.胰腺炎
C.胰腺囊肿
D.胰腺脓肿
E.以上都不是
202、单项选择题 移植肾特别适于超声观察,因它位于()
A.肾原位的侧方
B.表浅处,无肠或骨结构的干扰
C.肾原位的后方
D.胰腺后方
E.肾原位处
203、单项选择题 下列不符合子宫肌腺症特点的是()
A.子宫内膜异位至子宫肌层
B.痛经,进行性加重
C.子宫增大,肌壁散在分布,无回声
D.CDFI示病灶区血流信号丰富
E.CDFI示病灶区无血流信号
204、单项选择题
一患者有介入手术史,具体病史不祥。肝脏超声检查声像图如下,图中箭头所示最可能的是()
A.支架
B.蛔虫
C.结石
D.正常结构
E.肝静脉
205、单项选择题
患者女27岁,体检B超检查如图所示,根据超声声像图,诊断为()
A.胆囊息肉
B.胆囊结石
C.胆囊腺瘤
D.胆囊癌
E.胆囊蛔虫
206、单项选择题 正常成人胆囊超声测量的前后径一般不超过()
A.2.0cm
B.2.5cm
C.3.0cm
D.3.5cm
E.4.0cm
207、单项选择题
患者女32岁,反复上腹部疼痛10年余,加重时皮肤、巩膜黄染。B超检查如图所示,根据超声声像图,诊断为()
A.胆总管蛔虫
B.胆总管癌
C.胆总管结石
D.胆总管内胆泥淤积
E.胆总管内引流管回声
208、单项选择题 超声诊断装置的基本构成不包括()
A.发射与接收单元
B.数字扫描转换器
C.超声图像显示装置
D.超声工作站
E.电源
209、单项选择题 下列哪种气体不能用于超声造影()
A.空气
B.二氧化碳气体
C.氧气
D.纯氮气体
E.氟碳气体
210、单项选择题 下列哪项不是数字变换器(DSC)的功能()
A.将超声模拟信号转变成数字信号
B.将不同扫描方式(扇形、线阵)转变为标准电视制式显示
C.进行线性内插补,增加图像的线密度
D.对血流频移信号进行FFT变换
E.对图像信号进行多种数字化处理
211、单项选择题 脉冲在探头和界面之间往返2次以上而产生的伪像称为()
A.多途径伪像
B.旁瓣伪像
C.混响伪像
D.散射伪像
E.双重反射伪像
212、单项选择题
该病例最可能的诊断()

A.右室双出口并室间隔缺损
B.主动脉骑跨
C.室间隔缺损
D.大动脉异位
E.左室双出口
213、单项选择题 关于慢性胰腺炎的叙述中错误的是()
A.与酗酒有关
B.主胰管可扩张
C.可形成假性囊肿
D.胰腺呈水肿样低回声
E.可急性发作
214、单项选择题 在生物效应研究中,空化指()
A.气泡的生成和活动
B.坏死
C.细胞膜破裂
D.染色体破裂
E.细胞畸变
215、单项选择题 肾周血肿的病因分类有几类()
A.有3类:外伤性、医源性、自发性
B.有2类:外伤性、医源性
C.只有l类:外伤性
D.有4类:外伤性、医源性、感染性、自发性
E.以上分类均不是
216、单项选择题 患者出现右上腹疼、发热、白细胞升高,超声检查胆囊明显增大,内见粗斑点状不均匀非沉积性回声,这可能提示为()
A.胆囊癌
B.胆囊积液
C.水肿胆囊
D.瓷瓶状胆囊
E.胆囊积血
217、单项选择题 关于胎儿头臀长的描述,下面哪项是错误的()
A.是胎儿头顶到臀部的最大直线距离
B.是最准确的估测孕龄的超声监测指标之一
C.测量应包括卵黄囊
D.是测量胎儿长度的指标
E.胎儿前屈或后倾均可影响测量结果
218、名词解释 腹膜后肿块
219、单项选择题 胎儿头皮与颅骨间距增宽呈低回声,躯干、四肢、皮肤与皮下组织分离呈双线样,横切呈双环征是下列哪种病变的声像图特点()
A.脑积水
B.头皮水肿
C.胎儿水肿
D.脑膜膨出
E.无脑儿
220、单项选择题 观察不同器官和部位彩色多普勒血流信号,何项选择不妥()
A.心脏、大血管选用2.5MHz探头
B.成人肝内门静脉:2.5~3.5MHz
C.乳房:7~10MHz
D.甲状腺:7MHz
E.周围血管:2.5~3.5MHz
221、单项选择题 关于嗜铬细胞瘤的描述,正确的是()
A.肿瘤体积一般较小
B.肿瘤多呈圆形或椭圆形
C.边界呈强回声带
D.肿瘤内为中等回声,有时可见液性无回声
E.肾外嗜铬细胞瘤常位于盆腔
222、单项选择题 包绕羊水的薄膜是()
A.胚外体腔
B.卵黄囊
C.羊膜
D.绒毛膜
E.底蜕膜
223、单项选择题 下列诊断法中属于辉度调节型的是()
A.B超声诊断法
B.A超声诊断法
C.M超声诊断法
D.超声频移诊断法
E.多普勒诊断法
224、单项选择题 亚急性甲状腺炎的临床及超声表现是()
A.初期咽痛、低热、有上呼吸道症状
B.实验室T、T增高,白细胞上升,血沉快
C.甲状腺中度增大,内有均质稀疏弱回声点
D.彩色多谱勒血流显像显示血流较丰富或不丰富
E.以上都是
225、单项选择题 膝关节前交叉韧带损伤的声像图表现()
A.股骨外侧髁处滑膜增厚、增强、不规则
B.内侧副韧带肿胀增厚,回声不均匀减低
C.内侧副韧带肿胀边界模糊不清
D.韧带回声中断或缺如
E.韧带分离,出现低回声裂隙
226、单项选择题 谐波成像在临床中应用,不包括()
A.基波显像良好的脏器
B.增强心肌和心内膜显示
C.增强心腔内声学造影剂的回声信号
D.增强细微病变的分辨力
E.减少近场伪像及近场混响
227、单项选择题 超声声像图上,宫颈内见数个小无回声区,后方回声加强,最可能的诊断为()
A.阴道横隔
B.宫颈肥厚
C.宫颈妊娠
D.宫颈纳氏囊肿
E.宫颈癌
228、单项选择题
女性,26岁,停经29周,产前B超检查如图,超声诊断为()
A.胎盘早期剥离
B.正常中期妊娠
C.胎儿脐带绕颈
D.胎儿畸形,腹壁裂
E.畸胎瘤
229、单项选择题 眼动脉是由哪根动脉发出的第几分支()
A.颈内,第一
B.颈外,第三
C.颈总,第二
D.椎动脉,颅内
E.颈内,第三
230、填空题 污染物是指()。
231、单项选择题 声像图中,形成强回声,其后方有声影的是()
A.皮肤
B.脂肪
C.纤维组织
D.结石
E.实质脏器
232、单项选择题 用彩色多普勒血流成像技术检测末端小动脉血流时,下列哪项调节正确()
A.较大的取样容积
B.高通滤波器
C.高速度标尺
D.彩色图选用两色图
E.减低多普勒增益
233、单项选择题 声束通过囊肿边缘可因折射而引起回声失落,出现边缘声影,此称为()
A.声速差异伪像
B.折射声影
C.混响
D.部分容积效应
E.旁瓣效应
234、单项选择题
某胎儿超声声像图如下,最可能的诊断为()
A.脐带绕颈1周
B.脐带绕颈2周
C.脑积水
D.正常声像图
E.脐带绕颈3周
235、单项选择题
该病例最可能的诊断()

A.三房心
B.部分性肺静脉畸形引流
C.完全性肺静脉畸形引流
D.瓣上环
E.部分型心内膜垫缺损
236、单项选择题 下列不符合重度脑积水超声表现的是()
A.脑中线明显偏移
B.脑实质回声消失
C.侧脑室过度扩张
D.头围等于腹围
E.脑室率大于0.5
237、单项选择题
图示7所指部位()
A.脾静脉
B.胃
C.胰尾
D.第二肝门
E.左肾上腺
238、单项选择题 典型的后方回声增强不常见于哪项含液性结构()
A.囊肿
B.新鲜的血肿
C.囊状扩张的肝内胆管
D.扩张的肾盂和输尿管
E.胸膜腔积液
239、单项选择题
如图,初步超声诊断为()

A.二尖瓣返流
B.三尖瓣返流
C.主动脉瓣返流
D.肺动脉瓣返流
E.主动脉瓣狭窄
240、单项选择题 彩色多普勒血流显像仪安全性标准,下列哪项是关键性要求()
A.检出彩色的敏感性
B.超声输出功率不大于规定值
C.功能丰富
D.可使用录像、热敏打印
E.是全数字化技术
241、单项选择题 异位妊娠须与下列哪些情况相鉴别()①宫内妊娠②黄体囊肿破裂③盆腔炎性包块④卵巢囊肿
A.①
B.①②
C.①②③
D.①②③④
E.③
242、单项选择题 肾柱肥大声像图表现如下()
A.肾窦回声的前外侧近中部出现低回声区
B.低回声区与肾皮质间无分界
C.低回声区大小一般不超过3cm
D.低回声区肾表面不隆起
E.以上均正确
243、单项选择题
用于左心声学造影的造影剂有()

A.生理盐水
B.葡萄糖溶液
C.双氧水
D.声振微气泡造影剂
E.一氧化碳气体
244、单项选择题 关节的基本结构有()①关节面②关节囊③关节腔④滑囊⑤筋膜
A.①②
B.①②③
C.①②③④
D.①③④⑤
E.①②③④⑤
245、单项选择题 声像图毗邻回声一般不包括下述哪项()
A.病变与毗邻脏器间有无粘连、挤压
B.病变是否侵犯周围邻近脏器
C.有无周围淋巴结肿大,周围血管有无异常
D.有无继发性管道扩张(胆管等)
E.邻近脏器是否有器质性病变
246、单项选择题 20%~50%葡萄胎并发()
A.卵泡囊肿
B.皮样囊肿
C.黄素囊肿
D.黄体囊肿
E.多囊卵巢
247、单项选择题 人体中哪些组织声衰减系数高并可能伴有声影()
A.肌腱
B.肌肉
C.脑
D.脂肪
E.肝脏
248、单项选择题 干扰肾上腺显示的因素是()
A.脾肿大
B.肝肿大
C.间位结肠
D.脂肪肝
E.胃切除
249、单项选择题
女性,25岁,停经35周。产前超声检查,图像显示的是胎儿的()
A.脊柱
B.肢体
C.颜面部
D.胸腔
E.胎头
250、单项选择题 关于卵巢黏液性囊腺瘤声像图表现,下列哪一项是错误的()
A.肿瘤呈圆形或椭圆形无回声区
B.囊壁呈均匀厚壁型
C.呈多房结构
D.肿瘤体积一般较小,常为双侧性
E.少数肿瘤内有乳头状物
251、单项选择题
男,23岁,发现肝脏内有一个增强回声,结合超声声像图,提示最可能是()
A.海绵状血管瘤
B.肝癌
C.肝囊肿
D.脓肿
E.肝腺瘤
252、单项选择题 下列哪一项是胎儿食管闭锁诊断要点()
A.胃泡不显示,合并羊水过多
B.肠管扩张
C.肠管内可见无回声区
D.胃泡增大
E.食管呈管状无回声区
253、单项选择题 心肌收缩特性不包括哪项内容()
A.心肌收缩性能
B.心脏泵血能力
C.心脏后负荷
D.心室顺应性
E.心脏前负荷
254、单项选择题 肝豆状核变性与下列哪项元素代谢失常有关()
A.锌
B.铁
C.硒
D.铜
E.铝
255、单项选择题 腹部横切在哪一水平可显示门静脉()
A.第10胸椎
B.第11胸椎
C.第12胸椎
D.第1腰椎
E.第2腰椎
256、单项选择题 下列不符合子宫增大的原因是()
A.腺肌病
B.先天性子宫畸形
C.子宫肌瘤
D.原发性卵巢功能衰竭
E.子宫体癌
257、单项选择题
甲状腺的动脉血供来源于()
①颈外动脉分出两对甲状腺上动脉,分布甲状腺上部,CDFI容易显示
②颈内动脉分出两条甲状腺上动脉,分布甲状腺上部,CDFI容易显示
③锁骨下动脉分出两对甲状腺下动脉,分布甲状腺下部,CDFI不易显示
④锁骨下动脉分出两条甲状腺下动脉,分布甲状腺下部,CDFI不易显示
A.①③
B.②④
C.①④
D.②③
E.①③④
258、单项选择题 关于前列腺正常解剖的描述,哪项不对()
A.分周边带、中央带、移行带
B.CT横断面测量与前列腺实际大小一致
C.良性增生,移行带居多
D.前列腺癌,多起于周边带
E.MRI扫描,常能清晰显示前列腺段尿道
259、单项选择题 多普勒频谱技术中哪个是基础技术()
A.探头振子、振元
B.FFT(快速傅立叶变换)
C.通道
D.音频放大器
E.信号增益
260、单项选择题 枯萎孕囊声像图表现是()①宫腔内形态不规则胎囊②胎囊内无胎芽、无胎心搏动③胎囊内可见小胎块④随访观察胎囊可增大,可出现胎盘回声
A.①④
B.②④
C.③④
D.①②③
E.①③④
261、单项选择题
该图表明为()

A.心内膜垫缺损部分型
B.心内膜垫缺损完全型
C.I孔型房间隔缺损
D.二尖瓣,三尖瓣关闭不全
E.上腔型房间隔缺损
262、单项选择题 下列选项除哪一项外,均为融合肾()
A.马蹄肾
B.S型肾
C.同侧融合肾
D.重复肾
E.对侧融合肾
263、单项选择题
患者体检发现睾丸小肿块,结合超声图像,最可能的诊断是()
A.睾丸囊肿
B.睾丸结核
C.白膜囊肿
D.睾丸腺癌
E.附睾囊肿
264、单项选择题 先心病当左向右分流较大时,可致肺高压及右室压力增高。当右心接近或超过左心压力时,出现双向甚至右向左分流,病人出现紫绀,此时称为()
A.鲁登巴和综合征
B.陶宾氏综合征
C.艾森曼格综合征
D.马方综合征
E.布查氏综合征
265、单项选择题 赵某,男,50岁,颈前偏右有一实性结节,质硬。2周后发现声音嘶哑,超声显示:甲状腺右叶单发,境界不清,低回声结节,内有细点状强回声,伴有右颈部淋巴结肿大,最可能的诊断是()
A.甲状腺腺瘤
B.甲状腺癌
C.甲状腺囊肿
D.结节性甲状腺肿
E.桥本病
266、单项选择题 2岁男孩,突发性腹痛,大便带血,腹部可触及包块,包块处探及多层强弱回声团,呈“同心圆征”,最可能诊断是()
A.肠套叠
B.肠扭转
C.小肠肿瘤
D.急性阑尾炎
E.坏死性小肠炎
267、单项选择题
某患者左肾超声声像图如下,最可能的诊断为()
A.多发性肾囊肿
B.肾结核
C.多囊肾
D.重度肾积水
E.中度肾积水
268、单项选择题 造成前置胎盘的假阳性超声诊断的原因有()①膀胱过度充盈②子宫局部收缩③子宫肌瘤④羊膜腔外血块⑤膀胱未充盈
A.①②
B.①②③
C.①②③④
D.①②③④⑤
E.①③⑤
269、单项选择题 进入或离开肝脏且充满液体的结构包括()①肝实质内动脉②肝动脉③胆管④腹腔动脉
A.①②
B.②③
C.②③④
D.①④
E.①③
270、问答题 纯性肾囊肿的声像图表现有哪些?
271、单项选择题 人体组织与体液中,下列哪种最能使声衰减程度加重()
A.胆汁
B.血液
C.脂肪
D.胶原纤维
E.钙质
272、单项选择题 左肝管与右肝管汇合形成肝总管常见于()
A.肝门部
B.肝实质内
C.胰腺水平
D.胆囊窝
E.壶腹部
273、单项选择题 IVRT是指()
A.从主动脉瓣关闭到二尖瓣开放之间的时间
B.从主动脉瓣开放到主动脉瓣关闭之间的时间
C.从二尖瓣开放到二尖瓣关闭之间的时间
D.从主动脉瓣关闭到肺动脉瓣关闭之间的时间
E.从二尖瓣关闭到三尖瓣关闭之间的时间
274、单项选择题
患者,3岁,发现瞳孔区黄白色反光。眼底检查发现玻璃体浑浊。结合超声声像图,最可能的诊断是()
A.视网膜母细胞瘤
B.新生儿视网膜脱离
C.原始玻璃体增生症
D.先天性白内障
E.玻璃体后脱离
275、问答题 如何利用超声监测卵泡发育?
276、单项选择题 频谱多普勒技术可用来监测血流的种类和性质,下列哪一项不能检测()
A.动脉血流
B.静脉血流
C.血流宽度
D.层流
E.湍流
277、单项选择题
该病例最有可能诊断()

A.左房黏液瘤
B.主动脉瓣关闭不全
C.二尖瓣狭窄
D.二尖瓣关闭不全
E.二尖瓣脱垂
278、单项选择题 双胎妊娠最常见的胎位是()
A.双胎均为头位
B.双胎均为臀位
C.一个头位和一个臀位
D.一个头位和一个横位
E.双胎均为横位
279、单项选择题
女性,月经过少,不孕就诊,超声图像可提示()
A.多囊卵巢
B.卵泡发育不良
C.卵巢巧克力囊肿
D.正常卵巢
E.以上都不是
280、单项选择题 70岁女性,不规则阴道流血7天,阴道镜示阴道及子宫颈形态尚可,宫颈管口有少量血性分泌物,声像图示子宫体积增大。首先考虑的病变是()
A.子宫肌瘤
B.子宫平滑肌肉瘤
C.葡萄胎
D.子宫内膜癌
E.子宫腺肌瘤
281、单项选择题
如图,最可能的诊断是()
A.软骨成长不全
B.致死性骨发育不全
C.窒息性胸廓发育不良
D.肢体屈曲综合征
E.无肢畸形
282、问答题 经阴道超声检查有哪些优缺点?
283、单项选择题 二尖瓣脱垂,以下哪项不对()
A.多见于老年男性
B.可闻及心尖区收缩期吹风样杂音
C.超声显示前后叶对位不良
D.M型超声心动图显示CD段呈“吊床样”改变
E.CDFI可见左房内蓝色返流彩柱
284、单项选择题 心上型的完全型肺静脉异常回流,二维超声检测所见()
A.显示四条肺静脉分别回流到冠状静脉窦
B.在左房后上方可显示肺总静脉回流入上腔静脉
C.肺静脉回流到下腔静脉
D.显示肺静脉直接回流到右房
E.在右房后方显示四支肺静脉回流到右冠状静脉
285、填空题 由于使用了高性能超声仪,明显提高了超声对________、___________、______、________等软组织及________、__________等组织结构和血流的显现力。
286、单项选择题
患者,女,43岁,腹部不适,腹泻2周,体温37.9℃。右下腹部超声声像图表现如图,肠管蠕动不明显,最可能的诊断是()
A.克罗恩病
B.肠结核
C.肠梗阻
D.结肠癌
E.肠穿孔
287、单项选择题
该病例最可能的诊断()

A.主动脉窦瘤
B.室间隔缺损
C.右室流出道狭窄
D.室间隔膜部瘤并破裂
E.以上都不是
288、单项选择题 输卵管分为哪几部分()
A.峡部、壶腹部、漏斗部、伞部
B.间质部、峡部、壶腹部、漏斗部
C.角部、间质部、壶腹部、漏斗部
D.角部、峡部、壶腹部、伞部
E.角部、峡部、壶腹部、漏斗部、伞部
289、单项选择题 在舒张期,压力最低的腔室是()
A.心室
B.心房
C.主动脉
D.肺动脉
E.腔静脉
290、单项选择题 肝肿大的原因包括()①黄疽②充血性心衰③癌症
A.①
B.①②
C.①②③
D.②③
E.①③
291、单项选择题
女,19岁,有淋巴瘤病史。结合超声声像图,诊断为()
A.脾淋巴瘤
B.脾血管瘤
C.脾结核
D.脾错构瘤
E.脾脓肿
292、单项选择题
该病例最可能的诊断()

A.冠状动脉瘤
B.右冠状动脉瘘
C.川崎病
D.冠状动脉起源异常
E.室间隔缺损
293、单项选择题 腹围(AC)测量的公式是(D1:胎腹前后径;D2:胎腹横径)()
A.AC=D1+D2
B.AC=2π/(D1+D2)
C.AC=(D1+D2)/2π
D.AC=π(D1+D2)/2
E.AC=(D1+D2)/2
294、单项选择题 肝实质回声增强可能由于()①酒精中毒②糖尿病③化学治疗④细胞毒药物
A.①
B.①②
C.①②③
D.①②③④
E.②④
295、单项选择题 镜面反射发生在下面哪种情况下()
A.频率的波长太低
B.引起反射的物质太小
C.反射物与波长相比太大
D.入射角与反射角至少相差30度
E.以上都不是
296、单项选择题
图为孕34周的胎儿声像表现。根据图像特点,最可能的诊断为()
A.多囊肾
B.肾积水
C.肾囊肿
D.肾肿瘤
E.以上都不是
297、单项选择题
该病例最可能的诊断()

A.主动脉二叶瓣
B.主动脉单瓣
C.主动脉四叶瓣
D.主动脉三叶瓣
E.主动脉五叶瓣
298、单项选择题 正常肝静脉频谱特点()
A.单相
B.双相
C.三相
D.双变
E.复杂
299、单项选择题 扫查锁骨下动脉较适宜的探头频率是()
A.2.0MHz
B.2.5MHz
C.5.0MHz
D.10.0MHz
E.12MHz
300、单项选择题 膀胱残余尿测定时,以下哪一种说法不对()
A.残余尿测量应排尿后立即测定
B.膀胱顶部易受肠气掩盖,可适当加压推开肠气,加以纠正
C.测量膀胱各径线时,纵切和横切的加压程度相同
D.测残余尿时应嘱病人多饮水,使膀胱过度充盈后,其排尿后测量残尿更准确
E.超声测定残尿量同膀胱剩余尿量间有一定的误差