时间:2025-09-13 04:43:37


1、单项选择题
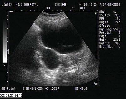
某患者右肾区疼痛数日,体温38℃。根据该患者右肾声像图表现,最可能的超声诊断为()
A.肾周围炎
B.肾炎
C.肾结石
D.肾结核
E.肾周血肿
2、单项选择题
男,56岁,上腹经常疼痛不适多年。结合超声声像图,诊断为()
A.胆囊多发性胆固醇结晶
B.胆囊多发性息肉
C.胆囊多发性结石
D.胆囊癌
E.胆泥淤积
3、单项选择题
女性,36岁,行常规超声妇科体检。声像图表现如图。血HCG为2258μg/ml。最可能的诊断是()
A.绒癌
B.子宫腺肌瘤
C.早期妊娠
D.子宫肌瘤
E.良性葡萄胎
4、单项选择题
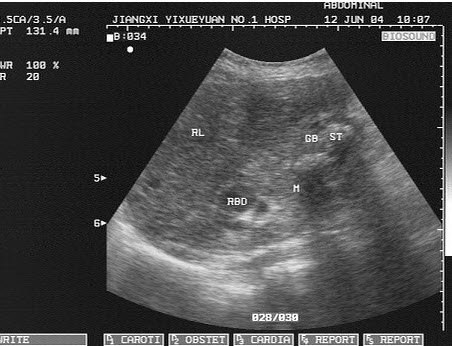
患者男52岁,皮肤、巩膜黄染进行性加重,上腹部胀痛不适1个月余,B超检查,胰管扩张,如图所示,根据超声声像图,诊断为()
A.胆总管下段癌
B.肝门部胆管癌
C.壶腹部癌
D.胆总管下段结石
E.胰头癌
5、单项选择题 利用超声检测技术最早在几周能显示胎心搏动()
A.5~6周
B.6~7周
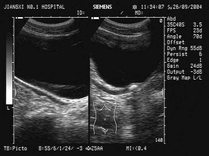
C.7~8周
D.8~9周
E.10~12周
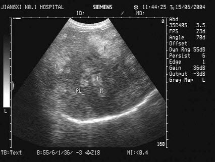
6、单项选择题
女,47岁,上腹部疼痛十多年,加重2个月余,皮肤巩膜黄染,进行性加重,皮肤搔痒,声像图如图所示(肝内胆管扩张),结合超声声像图,诊断为()
A.肝癌
B.右肾癌
C.胆囊结石并胆囊炎
D.胆囊结石并胆囊癌
E.肝脓肿
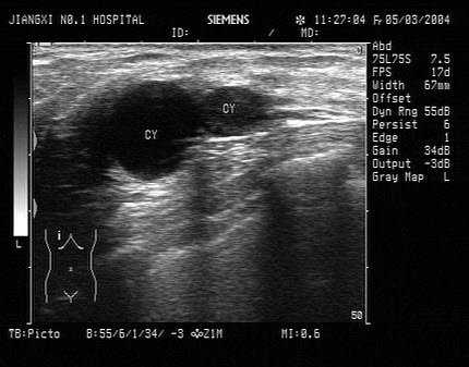
7、单项选择题
根据声像图,最可能的诊断为()
A.肝囊肿
B.肾囊肿
C.肾上腺囊肿
D.嗜咯细胞瘤
E.肾脓肿
8、多项选择题 超声检查能发现哪些病变,并多能作出正确诊断()
A.肾结石
B.肾囊肿
C.肾实质肿瘤
D.肾外伤
E.膀胱炎
9、单项选择题 以下选项中,哪项检查对诊断“眼底肿瘤”最好()
A.超声或眼底镜
B.MRI
C.血管造影
D.CT
E.眼眶正侧位平片
10、单项选择题 羊水过少常与哪一种胎儿先天异常并发()
A.食管闭锁
B.胆管异常
C.无脑儿
D.肾发育不全
E.肠部分闭锁
11、单项选择题 正常三尖瓣与二尖瓣血流多谱勒频谱有什么不同()
A.三尖瓣血流频谱呈负向,二尖瓣则呈正向
B.三尖瓣血流频谱缺乏收缩期部分
C.三尖瓣血流频谱幅度(速度)明显大于二尖瓣血流
D.三尖瓣血流频谱幅度(速度)小于二尖瓣
E.三尖瓣血流舒张早期速度大于二尖瓣
12、单项选择题 胎盘分几级,Ⅲ级胎盘绒毛膜板声像图表现是()
A.三级,直而清晰、光滑平整
B.四级,波状起伏
C.四级,切迹伸入胎盘,未达基底层
D.四级,切迹深入基底膜
E.四级,直而清晰,光滑平整
13、单项选择题 对子宫内膜癌手术范围选择及预后判断重要的超声表现是()
A.肿瘤血流丰富
B.肿瘤大小
C.肿瘤形态
D.肿瘤内回声不均质
E.肿瘤浸润子宫肌层大于50%
14、单项选择题 彩色多普勒血流成像时,使用高通滤波器的主要作用是()
A.便于检测低速血流
B.精确显示血流方向
C.增大检测深度
D.增大血流速度显示范围
E.减少低速信号干扰
15、单项选择题 影响彩色多普勒成像帧频最重要的因素是()
A.彩色增益及深度补偿
B.滤波器的调节
C.彩色标尺的设定
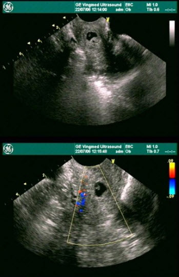
D.彩色取样框大小及深度
E.探头的发射频率
16、名词解释 CPA
17、填空题 由于使用了高性能超声仪,明显提高了超声对________、___________、______、________等软组织及________、__________等组织结构和血流的显现力。
18、单项选择题 彩色多普勒血流显像主要与下列哪项因素有关()
A.与血流中的血红蛋白含量有关
B.与血流中的白细胞移动有关
C.与血流中的血小板移动有关
D.与血流中的红细胞移动有关
E.与血脂高低有关
19、单项选择题 早期妊娠利用超声检测技术最先显示的是()
A.胎囊
B.卵黄囊
C.胚芽
D.桑葚胚
E.双顶颈
20、填空题 腹膜后肿块在USG上可分为4种表现类型,即___________________、________________、________________和_______________。
21、单项选择题 软组织肿瘤来自()①脂肪②纤维③平滑肌④横纹肌⑤血管⑥淋巴⑦间皮⑧滑膜⑨组织细胞⑩软骨
A.①②③④⑤⑥
B.①②③④⑤⑥⑦
C.①②③④⑤⑥⑦⑧
D.①②③④⑤⑥⑦⑧⑨
E.以上各项均是
22、单项选择题 彩色多普勒技术对检测脏器肿瘤的用途是()
A.检测肿瘤大小
B.判断肿瘤的物理性质
C.检测肿瘤有无包膜
D.检测肿瘤的血供丰富与否及血供特点
E.检测肿瘤的回声分布
23、单项选择题 婴幼儿时期,肾多囊性疾病常见于()
A.肾多发性单纯性囊肿
B.多囊性肾发育不全
C.多囊肾
D.重度肾积水
E.以上均是
24、单项选择题 异位妊娠的声像图表现是()
A.子宫增大,内膜增厚
B.附件区不规则肿物
C.子宫直肠窝积液
D.子宫颈管内见胚囊样结构
E.以上都是
25、单项选择题 正常肾皮质伸向髓质锥体间的组织块,是下列哪项()
A.肥大肾柱
B.肾盂肿瘤
C.肾脂肪瘤
D.肾错构瘤
E.以上都不是
26、单项选择题 锁骨下动脉盗血综合征最重要的超声诊断依据是()
A.患侧上肢脉搏减弱或消失
B.患侧上肢动脉二维图像无异常改变
C.患侧上肢动脉脉冲多谱勒频谱反向血流减少或消失,血流速度减慢
D.患侧椎动脉脉冲及彩色多谱勒呈现反向血流
E.患侧椎动脉仍存在舒张期正向血流
27、单项选择题 脑积水的声像图特征是()①脑室率>0.5②轻度脑积水双顶径与孕周相符③脑实质被压缩④合并脊柱裂、脑脊膜膨出
A.①
B.①②
C.①②③
D.①②③④
E.①③④
28、单项选择题 超声检查常见的胰腺囊肿是().
A.先天性囊肿
B.真性囊肿
C.假性囊肿
D.滞留性囊肿
E.寄生虫性囊肿
29、单项选择题 对肝脏局部脂肪浸润与肝脏占位性病变鉴别,最有帮助的是()
A.边界不清
B.不影响血管走行
C.在CT片上表现为衰减增强
D.通常位于胆囊附近
E.多普勒血流信号增多
30、单项选择题 患者于肝右前叶下段与左内叶交界处发现低回声不均匀实性肿块,边缘欠清,其内见多个强回声团伴声影,胆囊腔内无回声区消失,最可能诊断为()
A.胆囊癌实块型
B.肝细胞肝癌
C.炎性假瘤
D.胆管细胞肝癌
E.肝腺瘤
31、单项选择题 改善轴向分辨力可通过()
A.减小空间脉冲长度
B.增大空间脉冲长度
C.降低探头频率
D.增大时间增益补偿
E.以上各项均不可
32、单项选择题
某患者因血尿就诊,下腹部声像图如图,根据图中表现及所标志的体位,最可能的超声诊断为()
A.前列腺增生并钙化
B.膀胱结石
C.膀胱癌
D.前列腺癌
E.膀胱血块
33、单项选择题
胆总管出现图中所示特点,称为()
A.双筒枪征
B.海鸥征
C.鸟嘴征
D.鼠尾征
E.平行管征
34、问答题 膀胱检查的扫查途径有哪些?需要如何准备?
35、单项选择题 二维超声检测左心室用以判断有无冠心病的主要依据是什么()
A.左心室形状改变
B.左心室壁厚径增加
C.节段性室壁运动异常
D.左心室壁收缩期增厚率减低
E.左心室壁收缩运动幅度增大
36、单项选择题 阴囊纵向扫查,位于正常睾丸上方的结构是()
A.白膜
B.附睾头
C.精索
D.输精管
E.附睾体
37、单项选择题 股骨长径与腹围比率是多少可诊断非对称性胎儿宫内发育迟缓()
A.<20
B.>22
C.<24
D.>24
E.<22
38、问答题 乳腺USG检查时应如何注重手法技巧?
39、单项选择题 镜面反射通常出现在下列哪一组织周围()
A.肝脏
B.胆囊
C.脾脏
D.膈肌
E.胰腺
40、单项选择题 应用Crucial三角识别胎盘下缘的位置,由此可判定胎盘的哪个壁低置、边缘或部分性前置()
A.前壁
B.左侧壁
C.后壁
D.右侧壁
E.宫底
41、单项选择题 下列对肥厚型梗阻性心肌病超声所见的叙述,哪一项是错误的()
A.主动脉瓣收缩中期部分关闭
B.室间隔厚径明显增厚
C.左室后壁厚径增厚,但增厚程度小于室间隔
D.心室壁呈弥漫性向心性肥厚
E.室间隔厚径与左室后壁厚径比值大于1.5
42、单项选择题 男,50岁,因下肢疼痛4天,肿胀1天就诊。查体下肢皮温度稍高,足背动脉波动尚可。诊断为()
A.动脉血肿
B.动脉囊肿
C.真性动脉瘤
D.假性动脉瘤
E.动静脉瘘
43、单项选择题 最不适用于成人颅脑超声检查的探头频率是()
A.2.0MHz
B.2.5MHz
C.3.5MHz
D.4.0MHz
E.5.0MHz
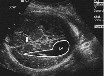
44、单项选择题
该病例最有可能诊断是()

A.布-加综合征
B.川崎病
C.动脉瘤
D.以上都不是
E.门静脉高压
45、单项选择题 肝胰壶腹部梗阻的病人,出现胆囊肿大和无痛性黄疸,称为()
A.胆囊水肿
B.胆总管囊肿
C.Courvoisier征
D.哈德门袋
E.胆囊扩张
46、单项选择题 子宫肌瘤彩色多普勒经腹超声特征是()
A.肌瘤中心见丰富血流,分布规则
B.肌瘤中心见丰富血流,分布杂乱
C.肌瘤周围显示血流,呈环状或半环状
D.肌瘤内多见极丰富血流
E.无血流
47、单项选择题
该病例最有可能诊断()

A.肺动脉内径增宽
B.动脉导管未闭
C.肺动脉瓣狭窄
D.肺动脉瓣关闭不全
E.右室流出道狭窄
48、单项选择题 介入性超声可分为几大类,下列哪个是正确答案()
A.两类,介入性诊断和介入性治疗
B.三类,经皮穿刺、体腔内超声和手术中超声
C.四类,穿刺活检、造影、抽吸引流、注药导入能量
D.五类,穿刺活检、体腔内超声、造影、抽吸引流、注药导入能量
E.以上都不对
49、问答题 肾移植术后肾排异的声像图表现有哪些?
50、单项选择题
根据超声图像,该病例最可能的诊断()
A.肾上极囊肿
B.肾脏积水
C.肾脏肿瘤
D.重复肾
E.肾脓肿
51、单项选择题
患者老慢支疾病多年,该病例最有可能诊断()

A.原发性肺动脉扩张
B.右流增宽
C.肺动脉瓣关闭不全
D.肺动脉高压
E.动脉导管未闭
52、单项选择题 彩色多普勒及脉冲多普勒诊断肾移植术后急性排异的标准()①CDFI:肾内血流明显减少呈断续、星点状、斑块状②肾动脉RI≥0.80,PI>1.8③CDFI:肾内血流明显增多④肾动脉RI≤0.80,PI<1.8
A.①②
B.①④
C.②③
D.①②③
E.以上都不是
53、单项选择题 以下人体组织、体液回声强度的描述,哪一项不正确()
A.均质性液体如胆汁、囊液、尿液通常为无回声
B.非均质性液体如囊肿内合并出血,回声可以增多、增强
C.均质性实质器官如肝脏和脾脏,内部呈中等回声
D.软骨属于固体,内部回声较多、较强
E.骨骼和钙化的组织,回声显著增强
54、单项选择题 关于彩色多普勒血流成像下述哪一种性能是正确的()
A.能显示平均速度为零的灌注区的血流
B.血流成像对超声入射角度的相对非依赖性
C.不出现彩色血流信号混叠
D.不能显示血流速度快慢
E.能显示血流方向
55、单项选择题
超声检查如图所示,该病例最可能诊断()
A.肾外肾盂扩张
B.肾积水
C.输尿管上段积水
D.肾盂输尿管狭窄
E.输尿管畸形
56、单项选择题 中年男性,发现肝炎、肝硬化5年,超声见肝右叶约6×5cm中等回声分叶状肿块,边界尚清楚,可见低回声晕,其内回声不均匀,呈镶嵌样改变。彩色多普勒超声于肿块内记录到高速动脉血流信号,可提示诊断为()
A.肝血管瘤
B.局限性脂肪肝
C.腺瘤
D.炎性假瘤
E.肝细胞肝癌
57、单项选择题 下列肾脏疾病哪一项不属于肾先天性异常()
A.重复肾
B.肾发育不良
C.马蹄肾
D.肾自截
E.异位肾
58、单项选择题 沿声束轴测量的被探测物与探头间的距离叫()
A.声场
B.范围
C.间期
D.厚度
E.强度
59、单项选择题 正常心肌背向散射积分的最大值在()
A.舒张末期
B.收缩末期
C.舒张早期
D.收缩早期
E.以上都不对
60、单项选择题 哪种疾病超声易诊断()
A.膀胱较小肿瘤
B.肾结核
C.肾淋巴瘤
D.肾转移癌
E.肾结石
61、单项选择题
女性,41岁,有阵发性高血压病史,超声检查如图所示,该病例最可能诊断()
A.腺瘤
B.肾脏肿瘤
C.嗜络细胞瘤
D.髓样脂肪瘤
E.肾上腺转移瘤
62、单项选择题 下列眼部超声检查法中,哪种方法最简便实用()
A.经眼睑法
B.水囊法
C.探头块法
D.经水法
E.软探头法
63、单项选择题
穿刺活检后是否须留观()
①无须留观
②细针活检后无须留观
③18G活检后留观2小时左右
④>18G针活检后留观2小时左右
⑤>18G针活检后须住院留观
A.①④
B.②③⑤
C.①③⑤
D.②④
E.①②③④
64、单项选择题 羊水过多,超声诊断标准是羊水深度大于()
A.5cm
B.6cm
C.7cm
D.10cm
E.4cm
65、单项选择题
女性,27岁,停经49天,尿妊娠试验阳性。如图所示,超声诊断为()
A.宫腔积液
B.早孕,多胎妊娠
C.绒癌
D.葡萄胎
E.稽留流产
66、单项选择题 肥厚型梗阻性心肌病,下列正确的是?()
A.室间隔及左室后壁明显增厚,左房内径增大
B.二尖瓣前叶(SAM)征象
C.主动脉瓣中期关闭现象
D.左室流出道高速射流
E.以上都是
67、问答题 输尿管囊肿的声像图表现有哪些?
68、单项选择题 女性腹腔最低部位是()
A.子宫直肠窝
B.肝肾间隙
C.膀胱直肠窝
D.脾肾间隙
E.以上都不是
69、单项选择题 功能性子宫出血是指()
A.子宫肌瘤引起出血
B.子宫内膜异位症引起月经过多
C.子宫内膜息肉出血
D.丘脑一垂体一卵巢轴功能紊乱
E.妊娠并发症引起出血
70、单项选择题 经腹壁超声检查女性盆腔的优点是()①不受年龄限制,对小女孩及未婚者更为适用②能清晰显示子宫、卵巢较大肿物及与邻近脏器的关系③能清晰显示盆腔较大肿块并判断来源④早期发现子宫腔内膜小病变
A.①
B.①②
C.①②③
D.①②③④
E.①③④
71、单项选择题 下列卵巢皮样囊肿声像图的表现,哪一项是错误的()
A.脂液分层征
B.面团征
C.瀑布征
D.杂乱结构征
E.实性团块征
72、单项选择题
超声检查如图所示,该病例最可能诊断()
A.肾多囊性发育异常
B.肾肿瘤
C.肾囊肿
D.多囊肿
E.肾局限性积水
73、单项选择题 肝细胞肝癌的临床征象包括()①腹水②黄疸③肝大④脾大
A.①②③
B.②③④
C.①②③④
D.①③④
E.①②④
74、单项选择题 彩色血流频移大于1/2PRF(脉冲重复频率)时出现折返,这称为()
A.Nyquist(内奎斯特)极限
B.快速傅立叶变换
C.运动目标显示器(MTI)
D.自相关技术
E.彩色血流显像的滤波
75、单项选择题 嗜铬细胞瘤的声像图表现,哪一项不正确()
A.肿瘤大小差别较大
B.多呈圆形或椭圆形
C.边界呈强回声带
D.肿瘤内为中等回声,有时可见液性无回声
E.都在肾上腺区
76、单项选择题 成年女性乳房的主要构成包括()
A.皮肤、皮下脂肪及韧带
B.脂肪、腺叶及小叶
C.皮肤、皮下脂肪及腺体
D.皮肤、皮下脂肪及肌肉
E.腺叶、腺泡及脂肪
77、单项选择题 膀胱肿瘤好发部位是()
A.前后壁
B.左右侧壁
C.三角区
D.颈部
E.底部
78、单项选择题 以下哪种声像图最易诊断为肾积水()
A.肾盂、肾盏集合系统充满无回声
B.肾盂、肾盏集合系统回声增强
C.肾失常扭曲
D.肾实质多发无回声
E.肾盂内局限性高张囊性无回声
79、单项选择题 下列哪项与甲状腺腺瘤无关()
A.圆形或椭圆形肿物,边缘光滑,有包膜,周围有晕征
B.内部为实性低回声、增强回声、等回声
C.囊性变或出血时呈混合性回声,甚至无回声,乳头状囊腺瘤的囊壁可见乳头状或团块状突起
D.肿物后方回声明显衰减
E.肿物周边声晕处可见丰富的动静脉血流,内部乳头上可见少量血流分布
80、单项选择题 大量心包积液(500ml以上)用二维超声如何做半定量测定()
A.无回声区包绕心室前、外、后方及心尖部,心室前、后方无回声区≥10mm
B.心包明显增厚
C.只心室前方出现明显无回声区
D.只心室后方出现明显无回声区
E.心包脏层与壁层间有明显粘连表现
81、单项选择题 肝脏局部脂肪浸润的常见部位是()
A.邻近胆囊窝的肝实质
B.ReiDel’s叶
C.邻近右肾上腺的肝实质
D.邻近右肾的肝实质
E.邻近膈顶的肝实质
82、问答题 肾盂肿瘤的声像图表现有哪些?
83、单项选择题 人眼可区别多少级灰阶()
A.大约16级左右
B.32~64级
C.64级以上
D.256级以上
E.512级以上
84、单项选择题 侵蚀性葡萄胎可以发生于()
A.葡萄胎以后
B.流产以后
C.足月产以后
D.异位妊娠以后
E.过期流产以后
85、单项选择题 关于肾脏炎症性肿块的症状,错误的是()
A.低血糖
B.胁腹部痛
C.寒战
D.发热
E.血尿
86、单项选择题 超声检测前列腺的意义在于()
A.前列腺声像图不能确定小肿瘤
B.经直肠探测,对可疑病变区活检
C.除非活检它不能区别良恶性
D.A及C二者
E.A和B
87、单项选择题 脑室率的测量方法是()
A.中线至颅骨内缘距离/中线至侧脑室壁距离
B.中线至侧脑室壁距离/中线至颅骨内缘距离
C.侧脑室之间距离/颅骨内缘之间距离
D.颅骨内缘之间距离/侧脑室之间距离
E.以上都不是
88、单项选择题
在两种不同介质的界面上,决定反射量的因素是()
①折射系数
②超声波频率
③声特性阻抗
A.①
B.②
C.③
D.②③
E.①②③
89、单项选择题 超声成像的特点,错误的是()
A.层面图像
B.可得到任意方位的超声图像
C.可观察活动器官的运动情况
D.以明暗不同的灰阶反映回声有无或强弱
E.图像空间分辨力高于X线片
90、单项选择题 天冬氨酸是()
A.酸性氨基酸
B.碱性氨基酸
C.支链氨基酸
D.芳香族氨基酸
E.含硫氨基酸
91、单项选择题 含液性病变的声像图特点中,下列哪项是错误的()
A.外形呈圆形或椭圆形
B.边缘光滑、整齐
C.内部低回声或强回声
D.后方回声增强
E.侧方声影有内收
92、单项选择题 中年女性,突发上腹疼痛,伴恶心、呕吐,超声显示胆囊多发结石,胰腺肿大,轮廓不清,回声减低,周围见少量液性暗区,最可能的诊断是()
A.急性胰腺炎
B.慢性胰腺炎
C.急性胃炎
D.急性胆囊炎
E.急性胆管炎
93、单项选择题 子宫内膜异位症的临床表现有()①月经失调②痛经③不孕症④大便坠胀
A.①②
B.①②③
C.①②③④
D.②
E.②③④
94、单项选择题
良性淋巴结的声像图特点是()
①淋巴结均匀性肿大,长(L)/宽(S)>2
②淋巴结分叶状增大,长(L)/宽(S)<2
③呈椭圆形,被膜回声强而完整
④被膜回声强而不完整
⑤血流丰富,分布规律呈高速低阻,RI<0.5
⑥血流丰富,分布不规则呈高速高阻,R1>0.
A.①③⑤
B.②④⑥
C.①④⑥
D.②③⑤
E.①③④
95、单项选择题
某女患者子宫附件超声声像图如下,患者月经正常,有痛经及人流史,月经后7天检查。根据病史和图像,最可能的诊断为()
A.巧克力囊肿
B.滤泡囊肿
C.黄体囊肿
D.黄素囊肿
E.正常卵泡
96、单项选择题 人体中不同组织和体液回声强度通常的分级是()
A.强回声,中等回声,低回声,无回声
B.强回声,中等回声,无回声
C.强回声,无回声
D.强回声,低回声
E.中等水平回声,无回声
97、单项选择题 上腔静脉血流的多谱勒频谱不具有下述哪项特点()
A.频谱是连续起伏波型
B.频谱幅度不受呼吸影响
C.深吸气时血流速度增块
D.从胸骨上窝检查为负向频谱
E.深呼吸时血流速度减慢
98、单项选择题 评价超声指向性优劣的指标是()
A.近场长度和扩散角
B.声束大小
C.声束形状
D.探头频率
E.聚焦程度
99、单项选择题 正常胆囊长多少厘米()
A.6.5~12.5cm
B.7.5~10cm
C.9.5~15cm
D.10~20cm
E.4~6cm
100、单项选择题 对子宫内膜癌手术范围选择及预后判断最重要的声像图表现是()
A.肿瘤血流丰富
B.肿块大小
C.子宫肌层浸润深度大于50%
D.肿块形态
E.肿块回声不均
101、单项选择题 CDFI检查时造成彩色信号过多的原因有()
A.多普勒超声衰减伪像
B.厂商设置的“彩色优先”
C.快速伪像
D.闪烁伪像
E.彩色混叠
102、单项选择题 彩色多普勒血流成像中规定()
A.朝向探头的血流为红色
B.背向探头的血流为红色
C.朝向探头的血流为蓝色
D.背向探头的血流为绿色
E.朝向探头的血流为绿色
103、单项选择题 孕几周前出现Ⅲ级胎盘则应考虑胎盘早熟()
A.37周
B.38周
C.39周
D.40周
E.38.5周
104、单项选择题 患者上腹部不适,超声显示胰腺体积轻度缩小,表面不平整,实质回声不均匀,主胰管扩张,呈串珠状,内见结石,提示诊断为()
A.急性胰腺炎
B.胰腺癌
C.胰腺结核
D.慢性胰腺炎
E.胰腺囊腺瘤
105、单项选择题 空腹病人,声像图上胆囊不能显示的常见原因是什么()
A.慢性胆囊炎胆囊收缩
B.胆汁淤积
C.不活动的结石
D.在超声检查前使用了X线口服造影剂
E.胆囊占位
106、判断题 肠系膜下动脉、肾上腺动脉、生殖动脉等由于细长,USG检查常难以显示。
107、单项选择题
女性,出现腰痛并血尿3天,超声检查如图所示,该病例最可能诊断()
A.肾钙质沉积症
B.肾结石
C.肾内钙化灶
D.肾窦灶性纤维化
E.海绵肾
108、单项选择题 孕几周前后超声可检测到多胎妊娠()
A.6周
B.7周
C.8周
D.9周
E.10周
109、单项选择题 胎盘静脉窦发生于下列哪个部位()
A.胎盘绒毛叶中心部分无绒毛处
B.胎盘与子宫肌层之间
C.绒毛膜板下
D.胎盘实质中
E.子宫肌层内
110、单项选择题 超声观察几周,胎囊不增大,应考虑胚胎停止生长()
A.<1周
B.1~2周
C.2~3周
D.3~4周
E.4周以上
111、单项选择题 下列关于脉冲重复频率的叙述中,正确的是()
A.当频移大于脉冲重复频率时,发生混叠
B.脉冲重复频率与最大取样深度成反比
C.测定深部血流,必须提高脉冲重复频率
D.欲测高速血流,应降低脉冲重复频率
E.降低脉冲重复频率可减少伪像的产生
112、单项选择题 腹部纵断面扫查的解剖标志为()
A.以腹正中线或背部正中线为标志
B.以乳突肌正中线为标志
C.以第7肋间隙为标志
D.可随意取标志线
E.以上都不对
113、单项选择题 远区回声过低,声像图不清楚时,应调节下列哪一项()
A.增大检测深度
B.使用增益(TGC)补偿调节
C.减小增益
D.用变频探头扫查
E.调节监视器的显示
114、单项选择题 凸阵扫描探头,临床常用于何部位的检查()
A.腹部
B.乳房
C.睾丸
D.甲状腺
E.头颅
115、问答题 经阴道超声检查有哪些优缺点?
116、单项选择题 超声检测妊娠囊内首先显示的结构是()
A.卵黄囊
B.胚芽
C.羊膜囊
D.胚盘
E.心管
117、名词解释 动态聚焦
118、单项选择题 葡萄胎声像图上,多数直径3~5mm无回声的囊泡,最大可能是什么()
A.宫腔积液
B.钙化
C.黄体囊肿
D.水肿绒毛
E.胎儿部分
119、单项选择题 检查心血管病如瓣膜狭窄,彩色多普勒血流成像的彩色图(colormap)应选择下列什么模式()
A.选择低速度标尺的彩色图
B.选择红黄绿三色彩色图
C.用零位基线移动显示一种彩色的彩色图
D.选择两色彩色图
E.以上都不是
120、单项选择题 关于葡萄胎超声表现,下列哪项是正确的()
A.子宫小于孕期
B.双侧卵巢正常
C.子宫大于孕期
D.宫腔内无血流显像
E.卵巢黄素囊肿是诊断葡萄胎的唯一征象
121、单项选择题 左肝管与右肝管汇合形成肝总管常见于()
A.肝门部
B.肝实质内
C.胰腺水平
D.胆囊窝
E.壶腹部
122、单项选择题 胎盘出血的超声表现,下列哪一项是错误的()
A.胎盘血管丰富故胎盘内及其周围很容易发生出血
B.胎盘内出血范围多数很小
C.胎盘后出血可引致胎盘早剥
D.彩色多普勒血流显像可鉴别胎盘后出血与胎盘静脉窦
E.胎盘内出血临床症状最重
123、单项选择题
甲状腺腺瘤的超声特点为()
①肿瘤单发,圆形,边界清,有包膜,周边有晕环
②肿瘤多发,圆形,边界欠清,有包膜
③肿瘤呈均匀低或中等回声,后方有侧影,无声衰减
④肿瘤呈不均匀中等以上回声,后方声衰减
⑤CDFI:肿瘤周边有血管绕行,患侧甲状腺上动脉Vmax增高
⑥CDFI:肿瘤内部有较丰富动、静脉血流信号,患侧甲状腺上动脉Vmax减低
A.①③⑤
B.②④⑥
C.①④⑥
D.②③⑤
E.①②④
124、单项选择题 肺动脉瓣血流特点以下哪项不对()
A.位于收缩期
B.呈负向频谱
C.正常时两支对称,呈钝圆形空心层流
D.肺动脉高压时,频谱流速峰值前移
E.肺动脉狭窄时,血流速度明显减低
125、单项选择题 视网膜母细胞瘤常见于()
A.婴幼儿时期的肿瘤
B.青年时期的肿瘤
C.成年时期的肿瘤
D.老年时期的肿瘤
E.以上都对
126、单项选择题 除哪一项外均为肝硬化晚期的的超声表现()。
A.肝脏缩小,形态失常
B.实质弥漫性增强,光点增粗,可有结节样回声
C.肝静脉走行及管腔无异常改变
D.胆囊壁呈双边影样增厚
E.门静脉扩张,脾大,腹水
127、多项选择题 限制性心肌病的超声表现正确者为()
A.相应的室壁、室间隔增厚,室壁运动僵硬、低下
B.相应部位的心室内膜增厚呈不均分布;回声增强
C.心房极度扩大,可有低速云雾状旋涡血流回声
D.房室瓣EF斜率减慢
E.心包增厚伴少至大量心包积液
128、单项选择题 关于卵巢黏液性囊腺瘤声像图表现的描述,下列哪项不正确()
A.囊壁均匀性增厚
B.无回声区内有细小点状回声
C.少数有乳头状物
D.直径多在10cm以上
E.增厚的囊壁可向周围浸润
129、单项选择题 若两侧副中肾管没有汇合或汇合不完全,除形成双子宫、双角子宫外,还有()
A.鞍形子宫
B.全隔子宫
C.残角子宫
D.重复子宫
E.始基子宫
130、单项选择题 对于胰腺癌的诊断,不正确的是()
A.胰头好发
B.边界不清楚
C.胰头处病变,一定伴有胆道扩张及黄疸
D.不均匀低回声肿块
E.主胰管均匀扩张
131、单项选择题 子宫内膜癌的临床与超声表现,下列哪项是错误的()
A.绝经期出血
B.多为老年妇女
C.阴道排液
D.超声表现宫腔积液
E.常合并卵巢囊肿
132、单项选择题 脐静脉直径测量对下列哪项是有用的指标()
A.宫内发育迟缓
B.Rh同种免疫
C.胎龄
D.估计胎儿体重
E.腹围
133、单项选择题 正常肾脏中间的综合回声代表()
A.肾窦
B.肾集合系统、肾血管、肾窦
C.肾实质
D.肾周脂肪、肾筋膜
E.肾柱
134、单项选择题 目前了解胎儿状态的影像诊断学方法首选的是()
A.腹部平片
B.磁共振检查
C.腹部透视
D.B超检查
E.CT检查
135、单项选择题 下列乳腺癌中哪一种癌在超声显示上有特征性()
A.黏液癌
B.导管内乳头状癌
C.未分化癌
D.腺癌
E.以上都不是
136、单项选择题 肾的异常声像图表现中,错误的是()
A.肾盂结石:肾窦内有强回声光团伴后方声影
B.肾盂积水:肾窦分离,强回声肾窦一部分或全部为液性暗区替代
C.肾盂肿瘤:肾窦分离,内有低回声区,其后方回声无增强
D.多囊肾:肾实质内单发或多发边缘光滑的液体无回声区,后方回声增强内收
E.较大肾癌:肾实质内低回声肿块,边界较清,后方回声增强
137、单项选择题 女性超声检查中,经阴道超声检查的优点是()①不需充盈膀胱,便于急诊,免受憋尿痛苦②可发现宫腔内较小病变③便于卵泡检测④可清晰显示盆腔大肿块与邻近器官的关系⑤患者需要充盈膀胱,形成良好透声窗
A.①②
B.①②③
C.①②③④
D.①②③④⑤
E.①②③⑤
138、单项选择题 下述哪项不是扩张型心肌病超声表现()
A.心腔明显扩大
B.收缩功能减退
C.舒张功能正常
D.室壁运动普遍减低
E.室壁收缩期增厚率减低
139、单项选择题 下面哪种情况不需要评价肾段动脉的阻力指数()
A.急性肾小管坏死
B.药物性肾病
C.急性尿路梗阻
D.肾内动静脉瘘
E.移植肾排异
140、单项选择题 除哪一项外,均可为肝脏脂肪浸润表现()
A.肝大
B.一个局灶性高回声肿块
C.血管结构减少
D.透声减少
E.回声增强
141、单项选择题
超声检查如图所示,该病例最可能诊断()
A.肥大肾柱
B.肾脏局灶性炎症
C.肾脏肿瘤
D.肾脏错构瘤
E.肾脏脂肪瘤
142、单项选择题
根据肝脏声像图表现,最可能的诊断是()
A.原发性肝癌
B.转移性肝癌
C.肝脓肿
D.肝血管瘤
E.肝囊肿
143、单项选择题
某患者二年前行左肾癌切除术,现B超复查。根据其肝脏超声声像图,诊断为()
A.肝多发血管瘤
B.肝多发转移癌
C.原发性肝癌
D.结节性肝硬化
E.肝多发性囊肿
144、单项选择题 人体中声衰减高并可能伴有声影的组织结构,不包括()
A.骨骼表面
B.含气的肺组织
C.胆结石
D.陈旧瘢痕组织
E.肝、脾包膜
145、单项选择题 肝脓肿的超声表现不正确的是()。
A.病灶为单发或多发的回声或无回声区
B.脓肿壁薄厚不等,内壁不光滑
C.脓肿后壁见回声明显衰减
D.脓肿侧壁见回声失落
E.脓肿周围见环状水肿带
146、单项选择题
男性,60岁,排尿不适,无痛性血尿,膀胱声像图如图,根据图中表现及所标志的体位,最可能的超声诊断为()
A.膀胱息肉
B.膀胱结石
C.膀胱癌
D.膀胱血块
E.前列腺癌
147、单项选择题 眼球超声检查最常采用的方法是()
A.直接法
B.眼睑法
C.水袋法
D.探头法
E.经水法
148、问答题 胚胎停止发育的声像图表现有哪些?
149、单项选择题 下述关于用频谱多谱勒对主动脉瓣血流检测的参数,哪一项是错误的()
A.收缩期峰值速度(Vs)
B.阻力指数(RI)
C.射血时间(ET)
D.加速时间(AT)
E.血流速度时间积分(VTI)
150、单项选择题 70岁女性,不规则阴道流血7天,阴道镜示阴道及子宫颈形态尚可,宫颈管口有少量血性分泌物,声像图示子宫体积增大。首先考虑的病变是()
A.子宫肌瘤
B.子宫平滑肌肉瘤
C.葡萄胎
D.子宫内膜癌
E.子宫腺肌瘤
151、单项选择题 下列哪一项属于彩色多普勒技术()
A.二维灰阶显像
B.多普勒频谱图
C.造影剂增强血流信号
D.伪彩色编码二维显像
E.能量多普勒血流显像
152、单项选择题 超声三维重建技术目前的临床应用情况是()
A.正处于发展改进阶段
B.作为常规已成功的用于临床
C.图像已非常逼真
D.用于心脏实时成像已变得简单、易行
E.现在已能取代二维超声及彩超
153、单项选择题 检测高速血流应选用()
A.高频超声
B.低频超声
C.与频率无关
D.大口径探头
E.小口径探头
154、单项选择题 纵切胎儿脊柱平行光带间距变宽、缺损或形成角度,可提示()
A.脊柱融合
B.胎儿骶尾部畸胎瘤
C.脊柱裂
D.胎儿背部畸胎瘤
E.正常脊柱
155、单项选择题 成年人在哪种体位时,结石的重力移动能被最佳显示()
A.右前斜
B.侧卧
C.左前斜
D.俯卧
E.仰卧位
156、单项选择题 关于眼眶肿瘤的描述,哪项是错误的()
A.海绵状血管瘤和部分表皮样囊肿是回声最强的肿瘤
B.淋巴细胞浸润型假性肿瘤和含液囊肿内回声较少或缺乏
C.硬化型假性肿瘤和脑膜瘤声衰减较显著
D.囊肿吸收声能少
E.血肿吸收声能多
157、单项选择题 经腹壁胃肠超声检查前准备,下列哪一项是正确的()
A.检查应安排在X线钡剂检查之后
B.检查中可饮水500ml-700ml,以充盈胃腔
C.禁食4小时
D.大肠检查前需禁食
E.胃镜检查之后
158、单项选择题
女,27岁,上腹部剧烈疼痛2天。声像图如图所示,诊断为()
A.胆道蛔虫
B.胆道结石
C.胆道胆汁淤积
D.引流管回声
E.胆管癌
159、单项选择题
图中胆囊声像图最为可能诊断为()
A.单纯性胆囊炎
B.急性化脓性胆囊炎
C.胆囊穿孔
D.慢性胆囊炎
E.胆囊癌
160、单项选择题
图示6所指部位()
A.脾静脉
B.腹主动脉
C.胰尾
D.肠系膜上动脉
E.肠系膜上静脉
161、单项选择题
结合超声图像,该病例肾结石为哪一部位()
A.下极肾盏
B.中极肾盏
C.上极肾盏
D.肾门
E.肾乳头处
162、单项选择题 识别混响伪像最好的方法是()
A.将探头在胸壁表面平行移动
B.将探头在腹壁表面平行移动
C.将探头适当侧动,勿垂直于胸壁或腹壁,多次气体反射消失
D.将探头适当侧动,并适当加压,观察多次反射有无变化
E.将探头垂直于胸壁或腹壁表面,看到特征性多次气体反射即可
163、单项选择题 当血流频移信号大于1/2PRF(脉冲重复频率)时出现折返,1/2PRF是()
A.快速傅立叶变换(FFT)
B.尼奎斯特(Nyquist)极限
C.运动目标显示器(MTI)
D.自相关处理
E.壁滤波限制
164、单项选择题 下列哪项不是盆腔良性肿瘤()
A.卵巢纤维瘤
B.皮样囊肿
C.库肯勃瘤
D.子宫内膜腺肌瘤
E.子宫浆膜下肌瘤
165、单项选择题 关节的基本结构有()①关节面②关节囊③关节腔④滑囊⑤筋膜
A.①②
B.①②③
C.①②③④
D.①③④⑤
E.①②③④⑤
166、单项选择题 融合肾的共同声像图表现是()
A.双侧肾同侧连接融合,有各自的集合系统
B.双侧肾在对侧连接融合,有共同的集合系统
C.双侧肾在同侧或对侧连接融合,具有各自的集合系统
D.双侧肾在同侧或对侧连接融合,有共同的集合系统
E.以上都不是
167、单项选择题
宫底呈“羊角形”,两角内可见分叶状宫腔线,宫体下段及宫颈形态正常。该超声图像是指()
A.双子宫
B.残角子宫
C.双角子宫
D.纵隔子宫
E.以上均是
168、单项选择题 下面叙述中错误的是()
A.声波在不同组织中传播速度相同
B.组织硬度越大,声速越大
C.组织密度越低,声速越小
D.空气中声速低于骨组织中声速
E.医用超声诊断设备均以软组织中的声速作为校正标准
169、单项选择题 常向子宫浸润,并向肺、脑转移的滋养细胞病变是()
A.绒毛膜癌
B.完全性葡萄胎
C.胎盘水泡状变性
D.部分性葡萄胎
E.以上都是
170、问答题 多囊肾的声像图表现有哪些?
171、单项选择题 对镜面反射体而言()
A.入射角等于反射角
B.入射角大于反射角
C.不取决于声束的角度
D.入射角等于透射角
E.入射角等于折射角
172、单项选择题 声波入射到两个介质的界面上,如果界面的线度远远大于波长,则产生()
A.反射
B.衍射
C.散射
D.衰减
E.增强
173、单项选择题
鞘膜积液分四种,如图所示为哪种()
A.睾丸鞘膜积液
B.精索鞘膜积液
C.睾丸精索鞘膜积液
D.交通性鞘膜积液
E.以上都不是
174、单项选择题 关于心尖四腔切面以下哪项不正确()
A.探头置心尖呈水平扫查
B.图像近场为心尖,远场为心底
C.十字交叉位于心脏中间处
D.左心室在右侧,右心室在左侧
E.可清晰显示左右房室瓣的活动
175、单项选择题 包绕羊水的薄膜是()
A.胚外体腔
B.卵黄囊
C.羊膜
D.绒毛膜
E.底蜕膜
176、单项选择题 能量多普勒在移植肾排异的声像图特点()
A.显示移植肾血管树丰富完整,肾皮质内小叶间动脉可显示
B.显示移植肾血管异常丰富,肾皮质内小叶间动脉显示异常清晰
C.移植肾内血流信号明显减少,血流断续呈星点状或斑块状
D.移植肾血管树显示完整,皮质内小叶间动脉显示不清晰
E.移植肾内血管信号丰富
177、单项选择题 关于声衰减的表述,不正确的是()
A.组织内含水分越多,声衰减越低
B.组织中含胶原蛋白越多,声衰减越低
C.组织中含胶原蛋白越多,声衰减越高
D.液体中含微气泡越多,声衰减越高
E.液体中含蛋白成分越多,声衰减越高
178、单项选择题 心包积液时,超声表现下列哪项不对()
A.当液性暗区超过25mm时,积液量常大于1000ml
B.少量积液即可显示清楚
C.少量积液多见于右室前壁之前
D.大量积液时,下腔静脉增宽
E.坐位探查时心尖部液性暗区加宽
179、单项选择题 下列哪一项不符合完全型大血管转位()
A.心房正位
B.心室右袢
C.二维超声示:肺动脉位与主动脉左前方
D.主动脉与右心室连接
E.二维超声示:主动脉位于肺动脉右前方
180、问答题 试述前置胎盘超声表现。
181、问答题 膀胱憩室的声像图表现有哪些?
182、问答题 肾母细胞瘤的声像图表现有哪些?
183、单项选择题 肾柱肥大常混淆为肿瘤见于()
A.肾盏较小时如同残留的肾盏
B.肾盏较大时如同残留的输尿管
C.肾皮质延伸至肾包膜外
D.在肾皮质深入髓质环绕分隔肾锥体的部分异常
E.以上都是
184、单项选择题
患者女53岁,上腹部疼痛不适半年余,皮肤、巩膜黄染进行性加重。B超检查如图所示,根据超声声像图诊断为()
A.胆总管下段癌
B.胰头癌
C.胆总管炎性狭窄
D.胆总管结石
E.胆总管蛔虫
185、单项选择题
某患者舒张期二尖瓣口心动图所示,提示()

A.二尖瓣狭窄
B.二尖瓣关闭不全
C.二尖瓣脱垂
D.正常声像图
E.二尖瓣赘生物
186、单项选择题 胎儿肾发育不全常并发()①肺发育不全②宫内生长迟缓③羊水过少④无羊水
A.①④
B.①②
C.①②③
D.①②③④
E.④
187、单项选择题 声强的准确定义()
A.超声换能器发射脉冲超声,其发出的最大时间峰值
B.描述超声能量大小的一种物理量,即超声束在单位时间通过单位横截面积的超声能量
C.在脉冲重复频率的最长间隔时间内平均声强
D.超声波穿过组织时的强度
E.超声的频率
188、单项选择题 左肾静脉位于()
A.下腔静脉后方
B.与门静脉并行
C.腹主动脉与肠系膜上动脉之间
D.腹主动脉后方
E.腹腔干与腹主动脉之间
189、单项选择题 关于人体正常、病理组织和体液的回声特点下述哪一项不正确()
A.液体是无回声的,所有的实性组织是有回声的
B.胸膜-肺界面回声很强,其后方伴有声影
C.肝脾实质呈中等水平回声,比肾皮质回声略强
D.尿液和胆汁通常是无回声的
E.结石为强回声,多数伴有声影
190、单项选择题 背向散射系数的定义是:与入射声波成多大角度的方向上,单位体积和单位立体角的微分散射截面()
A.90
B.180
C.60
D.45
E.各个方向
191、问答题 膀胱结石的声像图表现有哪些?
192、单项选择题 减少肠气对肾扫查的影响,可采用()
A.病人取俯卧位
B.降低仪器灵敏度
C.提高仪器灵敏度
D.采用高频探头
E.降低仪器增益
193、单项选择题
图中脑室内高回声区域为()

A.室管膜下出血
B.脉络丛
C.肿瘤
D.脑室出血
E.脑室扩张
194、单项选择题 主动脉瓣的解剖结构特点()
A.三个近似三角形的帆状瓣膜
B.三个半月瓣,分别称为前、左、右瓣
C.一大瓣,称欧氏瓣
D.三个半月形的瓣膜,分别称为左、右、无冠状瓣
E.两个近似三角形的帆状瓣膜
195、单项选择题 门脉海绵样变的原因()①门脉高压②门脉血栓③门脉癌栓④门脉闭塞
A.①
B.②③
C.①②③④
D.④
E.①②③
196、单项选择题
患者女33岁,右上腹剧痛5小时,体检:右上腹压痛及叩击痛(弱阳性),B超检查如图所示,根据超声声像图,诊断为()
A.胆总管结石
B.胆总管引流管回声
C.胆总管蛔虫
D.胆总管胆泥淤积
E.胆总管癌
197、问答题 腹主动脉瘤的USG声像图特点有哪些?
198、单项选择题
患者,右下腹压痛,体温38.5℃。根据右下腹声像图表现,诊断是()
A.腹膜炎
B.结肠癌
C.阑尾脓肿
D.单纯性阑尾炎
E.腹水
199、单项选择题 羊水量少于多少毫升称羊水过少()
A.300~400ml
B.1000ml
C.15000ml
D.2000ml
E.1500ml
200、单项选择题 下列哪种疾病不属于不孕症的病因()
A.生殖器结核
B.子宫粘膜下肌瘤
C.宫颈糜烂
D.子宫内膜异位症
E.多囊卵巢综合征
201、单项选择题
两个月患儿如图所示,该病例诊断最可能是()

A.主动脉弓扩张
B.主动脉弓狭窄
C.升主动脉扩张
D.主动脉粥样斑块
E.以上都不是
202、单项选择题
某患者月经量多就诊,经阴道超声声像图如下,最可能的超声诊断为()
A.子宫内膜癌
B.子宫粘膜下肌瘤
C.绒癌
D.子宫腺肌症
E.子宫浆膜下肌瘤
203、单项选择题 数字化彩色多普勒超声诊断仪性能高、功能多的关键技术是()
A.宽频技术
B.变频技术
C.探头阻抗匹配技术
D.多段聚焦技术
E.数字波束形成器
204、单项选择题 孕20周后正常胎儿脑室率小于()
A.0.5
B.0.6
C.0.7
D.0.8
E.0.9
205、问答题 先兆流产的声像图表现有哪些?
206、单项选择题 引起脂肪肝的常见原因()①营养性原因,肥胖或营养缺乏②代谢性原因,糖尿病、肝糖原累积、高脂血症③药物原因,乙醇、皮质类固醇及细胞毒药物④特发性,原因不明
A.①
B.①②
C.①②③
D.①②③④
E.②④
207、单项选择题 脐带内有()
A.两条动脉,一条静脉
B.两条动脉,两条静脉
C.两条静脉,一条动脉
D.一条动脉,一条静脉
E.一条动脉,几条静脉
208、单项选择题 约孕几周时能辨清胎儿肾脏内部结构()
A.12周
B.16周
C.20周
D.24周
E.14周
209、单项选择题 用彩色多普勒血流成像技术检测末端小动脉血流时,下列哪项调节正确()
A.较大的取样容积
B.高通滤波器
C.高速度标尺
D.彩色图选用两色图
E.减低多普勒增益
210、问答题 室壁瘤断面超声心动图表现有哪些?
211、单项选择题
患者,女性,超声见乳房内无回光团,边清壁薄,CDFI未见血流,如图所示考虑为()
A.乳腺癌
B.乳腺腺瘤
C.乳腺脓肿
D.乳腺囊肿
E.以上都不是
212、单项选择题 关于经阴道超声检查方法学的描述,下述哪一项是错误的()
A.子宫肌瘤较大时,应同时进行经腹超声检查
B.卵巢肿瘤位置较高时,应同时进行经腹超声检查
C.经阴道超声检查常用于胎儿心脏畸形诊断
D.与经腹超声相比,常能清晰显示子宫内膜形态
E.检查前需排空膀胱
213、单项选择题 下列子宫肌瘤病理特点和声像图的表现,哪一项是错误的()
A.肌瘤由平滑肌与纤维结缔组织交叉组成
B.肌瘤周围有被压缩的肌纤维所组成的假包膜
C.假包膜与肌瘤间有疏松的结缔组织
D.肌瘤变性时,声像图可为圆形无回声区
E.肌瘤结节多呈圆形无回声区
214、单项选择题 胎儿单侧肾盂积水,超声常同时发现()
A.先天性巨大膀胱
B.多囊肾
C.膀胱过度充盈
D.输尿管肾盂接合处梗阻
E.对侧肾发育不全
215、单项选择题 肾积水最常见于()
A.先天性肾发育不全
B.肾异位
C.输尿管-肾盂集合部梗阻
D.肾囊性肿物
E.肾癌
216、单项选择题 关于卵巢无性细胞瘤,下列哪一项是错误的()
A.卵巢恶性生殖细胞实性肿瘤
B.常见于儿童及青年妇女
C.肿瘤彩色多普勒血流显像可显示丰富血流
D.卵巢实性良性肿瘤
E.卵巢少见肿瘤
217、多项选择题 内脏声像图描述的内容包括()
A.外观表述
B.外形和大小
C.内部回声和肿物性质
D.脏器位置和毗邻关系
E.血供情况
218、单项选择题
某患者右侧阴囊根部可触及小包块,超声声像图如下,最可能的诊断为()
A.精索鞘膜积液
B.睾丸鞘膜积液
C.附睾囊肿
D.睾丸肿瘤
E.附睾血肿
219、单项选择题 下列哪种肾上腺疾病,超声检查最易诊断()
A.Cushing腺瘤
B.非功能性腺瘤
C.肾上腺转移癌
D.肾上腺囊肿
E.嗜铬细胞瘤
220、单项选择题 肝脏转移癌的最常见表现为()
A.牛眼征
B.低回声病灶
C.囊性病灶
D.强回声病灶
E.以上均不是
221、单项选择题 一般在妊娠多少周才能清楚显示胎头光环()
A.8周
B.8~9周
C.10周
D.11周
E.12周
222、问答题 前列腺的超声扫查途径有哪些?
223、单项选择题 李某,男,15岁,数年来多处骨折伴有关节疼痛,肝肾功能正常,超声显示甲状腺下极背侧1.0cm×1.5cm,低回声结节,包膜完整,血流丰富,最可能的诊断是()
A.甲状旁腺增生
B.甲状旁腺癌
C.低血钙症
D.甲状腺腺瘤
E.甲状旁腺腺瘤
224、单项选择题
根据肝脏声像图表现,诊断为()
A.转移性肝癌
B.肝血管瘤
C.肝脓肿
D.肝囊肿
E.肝内胆管囊状扩张
225、单项选择题 对快速射血期心血管功能变化的叙述,下列哪一项有错误()
A.心室压超过动脉舒张末压
B.半月瓣开放
C.血液快速从心室排入大血管
D.快速射血期血量占心室30%左右
E.心室压力迅速明显下降
226、单项选择题 心肌超声造影不可以用于检测下列哪中情况()
A.心肌缺血区
B.冠脉血流储备
C.心肌梗死区
D.显示搭桥血管
E.心肌存活
227、单项选择题 关于眼球赤道部扫查的描述,正确的是()
A.眼球尽量向上看,探头与眼球赤道平行扫查,可检出晶体、角膜、玻璃体腔、球壁、球后脂肪
B.眼球尽量向下看,探头与眼球赤道平行扫查,可检出玻璃体腔、球壁、球后脂肪
C.眼球尽量向前看,探头与眼球赤道平行扫查,仅可检出玻璃体腔
D.眼球尽量向下看,探头与眼球赤道平行扫查,仅可检出玻璃体腔
E.以上各项均是
228、单项选择题 有关输卵管积水,下列哪项是错误的()
A.输卵管粘连、闭锁,渗出物积聚而成的
B.输卵管积脓、脓液逐渐吸收形成
C.肿物囊性,常与周围组织粘连
D.常为双侧腊肠形,壁较薄而光滑
E.由盆腔结缔组织增生,子宫固定而形成
229、单项选择题 下列关于腮腺混合瘤的描述,哪项是错误的()
A.又称多形性腺瘤
B.为涎腺中发病率最高的良性肿瘤
C.肿瘤生长迅速,多不伴其他症状
D.发病多在一侧
E.与周围组织无粘连,可有一定限度的活动
230、单项选择题 女性,35岁,因发热、下腹疼痛二天就诊。体检:T38.9℃,HR94次/分,心肺(-)妇科检查示左附件区压痛明显,超声诊断为()
A.附件炎性包块
B.宫外孕
C.卵巢癌
D.子宫肌瘤
E.巧克力囊肿
231、单项选择题 青年女性,乳腺超声发现边界光滑整齐,均匀的低回声()
A.乳腺囊肿
B.乳腺叶状囊性肉瘤
C.乳腺纤维瘤
D.乳腺囊性增生
E.乳腺髓样癌
232、问答题 妇科超声检查方法有哪些?检查前如何准备?
233、单项选择题 下列哪一项常不引起肾积水()
A.肾结石
B.输尿管囊肿
C.前列腺增生
D.前列腺炎
E.神经源性膀胱
234、单项选择题 风湿性瓣膜病时,最常受累的两个瓣膜是()
A.二尖瓣和三尖瓣
B.二尖瓣和主动脉瓣
C.二尖瓣和肺动脉瓣
D.主动脉瓣和肺动脉瓣
E.肺动脉瓣和三尖瓣
235、单项选择题 下列哪一项不是卵巢非赘生性囊肿()
A.滤泡囊肿
B.皮样囊肿
C.黄体囊肿
D.黄素囊肿
E.多囊卵巢
236、单项选择题
女性,25岁,停经43天,尿妊娠试验阳性。结合超声图像,最可能的诊断为()
A.黄体囊肿
B.囊腺瘤
C.附件炎性包块
D.黄素囊肿
E.巧克力囊肿
237、单项选择题 试述影响左心房压的直接因素()
A.主动脉压的大小
B.三尖瓣有无狭窄
C.右室压的大小
D.主动脉瓣口有无关闭不全
E.肺静脉对左心房的充盈及二尖瓣口通畅程度
238、单项选择题 关于心房黏液瘤,何者错误()
A.90%位于左心房内
B.听诊可闻及收缩期吹风样杂音
C.常有一蒂与房间隔相连
D.可引起二尖瓣口阻塞致猝死
E.术后有复发倾向
239、单项选择题
超声横向分辨力为()
①与深度、纵向和区域分辨力相同
②区分垂直于超声束两个物体的能力
③区分平行于超声束的两个物体的能力
④与方位、角度及横向分辨力相同
A.①③
B.①②
C.③④
D.②④
E.①②③
240、多项选择题 卵巢癌USG声像图表现为()
A.盆腹腔内较大肿块,可为双侧性
B.肿块形态不规则,边界不清
C.肿块回声杂乱
D.分隔形成的带状回声厚薄不均
E.可发现肿瘤的腹膜种植及肝转移等异常
241、单项选择题 血流速度增快,流量加大,彩色多普勒显像的血流信号将会有何变化()
A.亮度提高
B.亮度降低
C.亮度不定
D.亮度变换不定
E.以上都不是
242、单项选择题
某患者右下腹痛,血尿,根据超声声像图,最可能的诊断为()
A.右肾结石
B.右输尿管下段结石
C.阑尾炎
D.膀胱结石
E.输尿管肿瘤
243、单项选择题
如图,36周胎儿,最可能的诊断是()
A.正常声像图
B.脑疝
C.脑积水
D.泪滴状侧脑室
E.以上都不是
244、单项选择题
该病例最可能的诊断()

A.主动脉窦瘤
B.室间隔缺损
C.右室流出道狭窄
D.室间隔膜部瘤并破裂
E.以上都不是
245、单项选择题 “早期胆囊癌”的诊断,应首选哪项检查()
A.CT
B.DSA
C.MRI
D.口服胆囊造影
E.US
246、单项选择题 下列哪一项不是卵巢实质性恶性肿瘤()
A.绒毛膜上皮瘤
B.无性细胞瘤
C.实性畸胎瘤
D.内胚窦瘤
E.肉瘤
247、单项选择题
女性,43岁,因月经时间长就诊。超声检查如图,最可能的诊断为()
A.节育环下移
B.子宫内膜癌
C.子宫肌瘤
D.宫腔残留
E.子宫内膜钙化
248、单项选择题
女性,32岁,因停经42天行超声检查,经阴道超声检查提示,初步判断为()
A.宫颈妊娠
B.宫颈囊肿
C.黄体囊肿
D.葡萄胎
E.以上都不对
249、单项选择题 胎儿水肿的原因是()①先天性心脏病②Rh因子不合③糖尿病④ABO溶血
A.①
B.③④
C.②③
D.①②③④
E.①②③
250、单项选择题 最早于妊娠几周可显示胎盘()
A.4周
B.8周
C.10周
D.20周
E.24周
251、单项选择题 声像图的纵向分辨力与什么有关()
A.信号的频率
B.声阻抗
C.组织密度
D.声速的大小
E.以上都不对
252、单项选择题 关于聚焦技术的表述,错误的是()
A.声透镜聚焦只能提高横向分辨率
B.电子环阵相控阵可提高横向和侧向分辨率
C.电子聚焦可达到全程动态接收聚焦
D.非电子聚焦的焦点位置可以固定或不固定
E.二维多阵元探头的聚焦效果更好
253、单项选择题
女,42岁,反复上腹疼痛不适多年,加重3天。声像图如图所示,最可能的诊断为()
A.胆囊泥沙样结石
B.胆囊蛔虫
C.胆囊癌
D.胆囊息肉
E.胆汁淤积
254、单项选择题 仰卧位下腹部探测输尿管与髂动脉的关系()
A.从前方交叉跨过髂动脉
B.从后方穿过髂动脉
C.与髂动脉内侧平行走形
D.与髂动脉外侧平行走形
E.以上都不是
255、单项选择题 脉冲式多谱勒的技术优势在于()
A.可测定高速血流
B.可测定低速血流
C.有距离选通作用
D.连续发射脉冲波
E.主要用于返流的检测
256、单项选择题 正常附睾的声像图表现是()
A.附睾头、尾分别位于睾丸的后上方和下极下方,呈半圆形或新月形
B.附睾体最薄,连于头、尾之间
C.其内部回声略低于睾丸回声
D.头、尾与睾丸紧贴,体部疏松相连
E.以上都是
257、单项选择题 压电效应只有通过哪种材料才能表现出来()
A.金属材料
B.水晶不对称材料
C.天然存在的材料
D.塑料材料
E.合金材料
258、单项选择题 以下哪条不符合主动脉瓣关闭不全超声表现()
A.左心室增大
B.左室流出道变窄
C.室壁活动幅度增大
D.主动脉运动幅度增大
E.主动脉瓣关闭呈双线
259、单项选择题 胎儿肛门闭锁,超声表现是()
A.单泡征
B.胎儿上腹部双泡征
C.近端小肠显著扩张
D.胎儿骨盆断面“双叶形”囊性肿物
E.食管成管状无回声区
260、单项选择题 超声用于骨折的主要目的是()
A.辅助诊断骨折,指导手法复位
B.鉴别血肿与软组织水肿
C.复杂骨折的实质性器官的排除性检查
D.评价骨折延迟愈合和骨不连接的原因
E.以上都是
261、单项选择题 下列哪一项不是卵巢实质性恶性肿瘤()
A.绒毛膜上皮癌
B.纤维上皮瘤
C.无性细胞瘤
D.内胚窦瘤
E.肉瘤
262、单项选择题 下列不符合子宫增大的原因是()
A.腺肌病
B.先天性子宫畸形
C.子宫肌瘤
D.原发性卵巢功能衰竭
E.子宫体癌
263、单项选择题 胎儿的肾脏位于()
A.盆腔
B.脊柱两旁
C.下腹部
D.胁腹
E.以上都不是
264、单项选择题 腹部横切在哪一水平可显示门静脉()
A.第10胸椎
B.第11胸椎
C.第12胸椎
D.第1腰椎
E.第2腰椎
265、单项选择题 反映心室舒张功能减低不包括哪项()
A.IVRT
B.EPSS
C.E峰流速
D.E/A
E.△D%
266、单项选择题 在急性病毒性肝炎早期,病人的肝实质显示为()
A.回声不均
B.回声增强
C.低于正常
D.回声无改变
E.肝实质结节回声
267、单项选择题
图示4所指部位()
A.脾静脉
B.腹主动脉
C.肠系膜上动脉
D.胰头
E.下腔静脉
268、单项选择题 超声诊断仪的工作环境,下列哪项不宜()
A.监视器避免阳光直射
B.整机不应放置在高温,潮湿环境
C.用紫外线照射或消毒液对探头消毒
D.使用稳压器,保持正常供电
E.远离高电场,高磁场
269、单项选择题
某患者左室长轴切面超声心动图如图所示,诊断为()

A.正常声像图
B.主动脉瓣关闭不全
C.二尖瓣关闭不全
D.室间隔缺损
E.房间隔缺损
270、单项选择题 肝脏左叶的分叶是()
A.内侧及外侧叶
B.左外上及外下段
C.头侧部及尾侧部
D.尾叶及方叶
E.上侧叶及下侧叶
271、单项选择题 经眼睑进行眼部二维超声检查,最佳探头频率是()
A.3.0MHz
B.3.5MHz
C.4.0MHz
D.5.0MHz
E.7.5MHz
272、单项选择题 多普勒超声是指()
A.振幅调制型
B.辉度调制型
C.彩色血流显像
D.多普勒频谱显示
E.以上都不是
273、单项选择题 彩色多普勒检查时使用低速标尺的主要作用()
A.便于检查流量大小
B.消除彩色信号混叠
C.消除彩色信号的闪烁
D.能显示低速血流
E.能显示高速血流
274、单项选择题 以下何者不是右心容量超荷的超声表现()
A.右心腔扩大
B.三尖瓣运动幅度增大
C.室间隔运动平坦
D.右室流出道及肺动脉增宽
E.左心腔扩大
275、单项选择题 关于实性肿瘤声像图特征,下列哪项是错误的()
A.边界回声可光滑、整齐或不规则
B.外形常呈圆形、椭圆形或不规则
C.内部有回声
D.后方回声均有衰减
E.侧方声影可有可无
276、单项选择题 女性生殖器官最常见的良性肿瘤是()
A.子宫肌瘤
B.卵巢皮样囊肿
C.卵巢浆液性囊腺瘤
D.卵巢黏液性囊腺瘤
E.以上都不是
277、单项选择题 超声检查半月板,错误的是()
A.后角取俯卧、伸膝或屈膝15°~30°
B.半月板外侧距皮肤近、间隙宽、易显示
C.前角取仰卧、屈膝30°~90°
D.半月板前、中部显示困难
E.半月板内侧表浅、间隙宽,扫查并不困难
278、单项选择题 超声可以显示的骨结构是()①骨皮质②骨髓③骨膜④软骨组织
A.①
B.①②
C.①②③
D.①④
E.①②③④
279、单项选择题 下列哪项不是胃充盈后超声检查的主要目的()
A.胃癌的早期诊断
B.显示胃壁厚度及层次
C.鉴别胃壁增厚和粗大粘膜皱襞
D.判断肿瘤浸润深度
E.提高胃后方结构的显示能力
280、单项选择题
根据心尖四腔心切面声像图所示,超声诊断为()

A.左房血栓
B.二尖瓣赘生物
C.左房黏液瘤
D.正常声像图
E.以上都不是
281、名词解释 腹膜后肿块
282、问答题 如何利用超声监测移植肾?
283、单项选择题 心搏出量与心输出量有什么不同()
A.心搏出量在数值上与心输出量相等
B.心率不变时,心搏出量增大反而使心输出量减低
C.心输出量是心搏出量乘以心率,心搏出量是每次心搏的排出量
D.心搏出量大于心输出量
E.心输出量不乘以心率,心搏出量需计算心率
284、单项选择题 高强度聚焦超声还可称为()
A.体外聚焦高温疗法
B.聚焦超声外科
C.超声聚焦刀
D.超声切割
E.以上各项均是
285、单项选择题 热切除(凝固性坏死)局部温度需达到或超过以下哪种温度()
A.50℃
B.60℃
C.90℃
D.100℃
E.120℃
286、单项选择题 超声检查乳房病变先选用哪一种频率的探头()
A.3.5MHz
B.5MHz和7.5MHz
C.3.5MHz和7.5MHz
D.5MHz
E.7.5MHz
287、单项选择题 成人甲状腺正常超声测量值是()
A.长径3.0~4.0cm,宽径1.5~2.0cm,厚径0.5~1.0cm,峡部厚<0.4cm
B.长径4.0~5.0cm,宽径2.0~2.0cm,厚径1.0~1.5cm,峡部厚≤0.4cm
C.长径5.0~6.0cm,宽径2.5~3.0cm,厚径1.5~2.0cm,峡部厚>0.4cm
D.长径5.5~6.5cm,宽径3.5~4.5cm,厚径2.5~3.5cm,峡部厚≥0.5cm
E.长径4.0~5.0cm,宽径2.5~3.0cm,厚径0.5~1.0cm,峡部厚≤0.4cm
288、单项选择题
患者,女,35岁,发现颈部稍大3年,无明显不适。甲状腺超声见右侧甲状腺一单发异常光团,声像图如下,最可能的诊断为()
A.甲状腺癌
B.结节性甲状腺肿
C.甲状腺炎
D.甲状腺腺瘤
E.甲状腺囊肿
289、单项选择题 最不适于超声波检查的器官是()
A.肺段
B.乳房
C.前列腺
D.甲状腺
E.肝
290、单项选择题 胆总管上段位于门静脉()
A.右前方
B.前方
C.左方
D.后方
E.左前方
291、问答题 肝硬化超声声像图表现?
292、单项选择题 肾窦脂肪沉积过多,肾窦声像图显示为()①增大②减小③回声多增强④回声减低
A.①③
B.①④
C.②③
D.②④
E.①③④
293、单项选择题 布-加综合征是指()
A.门脉高压发生阻塞产生的症候群
B.充血性心衰所致的功能性肝静脉流出道阻塞
C.下腔静脉闭塞产生的一系列症候群
D.肝与右心房之间肝静脉或下腔静脉阻塞引起肝静脉回流受阻产生的一系列症候群
E.上腔静脉闭塞产生的一系列症候群
294、单项选择题
如图,最可能的诊断是()
A.软骨成长不全
B.致死性骨发育不全
C.窒息性胸廓发育不良
D.肢体屈曲综合征
E.无肢畸形
295、单项选择题 角度对超声多谱勒的影响,下列哪项不对()
A.速度矢量与超声夹角影响流速的检测
B.角度增大时,频谱振幅被压缩
C.当角度为零时,频谱无法检测
D.检测时应选择合适部位以减小角度对测量的影响
E.血流量测定,角度造成6%的误差是临床所允许的
296、多项选择题 囊性和实性肿瘤的声像图之间相互比较包括()
A.外形和边界
B.大小
C.内部回声
D.后方回声增强
E.侧边声影
297、单项选择题 超声检测发现无脑畸形常并发()①脊柱裂②脑脊膜膨出③脊髓脊膜膨出④腭裂⑤脐疝⑥羊水过多
A.①②③
B.①②③④
C.①②③④⑤
D.①②③④⑤⑥
E.①②③④⑥
298、单项选择题
男,有高血压病史,腰部触及包块,超声检查如图所示,最可能的诊断是()
A.肾重度积水
B.多发性肾囊肿
C.多囊肾
D.肾多囊性发育异常
E.肾脓肿
299、单项选择题 肌瘤与肌壁间有衰减裂隙,为低回声区,这是哪种子宫肌瘤的声像图特点()
A.肌壁间肌瘤
B.粘膜下肌瘤
C.浆膜下肌瘤
D.阔韧带肌瘤
E.以上都是
300、单项选择题 长期肾积水时肾最常见的声像图是()
A.吹胀的袋状无回声
B.无回声分隔
C.椰菜花状无回声
D.哑铃状无回声
E.巨大囊肿型