时间:2025-09-13 02:11:43


1、问答题 心力衰竭的X线表现有哪些?
2、单项选择题 下述室间隔缺损的X线表现,错误的是()
A.缺损小者,可无异常
B.左心房增大
C.左右心室扩大
D.肺动脉段突出
E.主动脉结增大
3、单项选择题 下述肺源性心脏病X线表现,哪项不对()
A.多有双肺纹理减少,纤细表现
B.双肺体积增大
C.肺动脉段突出
D.右下肺动脉直径大于13mm
E.右心室增大
4、判断题 维生素C缺乏症病理改变为普遍性关节软骨坏死,骺板软骨增殖层细胞基质减少。
5、多项选择题 原发性甲状旁腺功能亢进发生骨质破坏的主要原因是()
A.骨质吸收加速
B.钙、磷大量丢失
C.骨样组织成骨障碍
D.纤维结缔组织取代成骨组织
E.成骨细胞活力下降
6、单项选择题 以下除哪种造影外,都能了解胆管结构()
A.PTC
B.IVU
C.ERCP
D.术中胆道造影
E.T型管造影
7、单项选择题 X线表现的严重程度与临床症状不相称,为下述哪种肿瘤骨转移的特征()
A.乳癌骨转移
B.肾癌骨转移
C.前列腺癌骨转移
D.鼻咽癌骨转移
E.甲状腺癌骨转移
8、多项选择题 病灶密度均匀、边缘模糊影见于()
A.干酪性肺炎
B.支原体肺炎
C.肺脓肿早期
D.矽肺晚期
E.大叶性肺炎
9、单项选择题 泌尿系统结核最常见的感染途径是()
A.淋巴系统途径
B.呼吸系统途径
C.消化系统途径
D.血行播散
E.接触传染途径
10、填空题 寰椎骨折也称为___________,分为______________、_____________、_____________和______________4种。
11、单项选择题 胃肠道穿孔最常见于()
A.外伤性
B.肿瘤性
C.溃疡性
D.感染性
E.医源性
12、单项选择题 法洛四联征包括()
A.肺动脉狭窄,室间隔缺损,主动脉狭窄,右心室肥大
B.肺动脉扩张,室间隔缺损,主动脉扩张,右心室肥大
C.肺动脉狭窄,房间隔缺损,主动脉骑跨,左右心室肥大
D.肺动脉狭窄,室间隔缺损,主动脉骑跨,右心室肥大
E.肺动脉扩张,房间隔缺损,主动脉骑跨,左心室肥大
13、单项选择题 关于“肾血管平滑肌脂肪瘤”描述,错误的是()
A.孤立性肿瘤多见于女性
B.双侧多发者,常有皮脂腺瘤
C.DSA,肿瘤血供丰富
D.可伴发微小动脉瘤
E.常转移至肺
14、问答题 小叶性肺炎的X线表现有哪些?
15、填空题 根据骨化性肌炎的发病机制可分为________________和________________两类。
16、单项选择题 幼儿胸部正位摄片的叙述,下列哪项是错误的()
A.不用滤线器
B.抓时机瞬间曝光
C.眼睛及性腺不受辐射
D.照射野不超出使用胶片的面积
E.使用低毫安
17、单项选择题 下列麻痹性肠梗阻的X线表现中,哪项不正确()
A.若不合并有腹膜炎,则扩张的肠曲互相靠近,肠间隙正常
B.立位可见液平面,但液面多于机械性小肠梗阻
C.多次复查肠管形态改变不明显
D.若合并腹腔内感染,则肠间隙可增宽,腹脂线模糊
E.胃、小肠和大肠等均积气、扩张
18、单项选择题 食管癌好发于食管的()
A.上段
B.中段
C.中上段
D.中下段
E.胃食管前庭段
19、单项选择题 下列哪项无肺内多发空洞()
A.肺结核
B.肺泡细胞癌
C.转移性肺癌
D.肺吸虫病
E.韦格肉芽肿
20、单项选择题 关于仰卧位摄片,下列组合中哪个是不正确的()
A.骶髂关节正位——中心线向头侧倾斜15°~30°
B.骶髂关节斜位——人体矢状面倾斜15°~20°
C.骶髂关节左后斜位——显示左侧骶髂关节
D.腰椎左后斜位——显示左侧椎间关节
E.胸椎右后斜位——显示右侧椎间关节
21、问答题 气胸的X线表现有哪些?
22、单项选择题 骨肉瘤主要临床表现是()
A.局部进行性疼痛
B.功能障碍
C.浅表静脉怒张
D.局部皮温增高
E.以上均是
23、单项选择题 下列大叶性肺炎诊断要点,哪项不对()
A.早期:表现先于影像改变
B.吸收期:临床表现迟于影像改变
C.临床多以亚段肺炎形成出现
D.少数可转化为机化性肺炎、肺脓肿、脓胸等
E.典型影像为边缘模糊、密度均匀的片状致密影
24、单项选择题
男,40岁,腹胀痛1月余。体检:脾肋下5cm,结合图像,最可能的诊断为()

A.正常食管
B.食管静脉曲张
C.食管胃底静脉曲张
D.贲门失弛缓
E.食管癌
25、单项选择题 不能用做静脉肾盂造影的对比剂是()
A.碘苯酯
B.泛影葡胺
C.碘酞葡胺
D.甲泛葡糖
E.复方泛影葡胺
26、填空题 1998年8月中华结核病学会制定的结核病分类法将结核病分为________________、________________、______________、________________和_______________。
27、单项选择题 影响X线量和质的因素不包括()
A.管电流
B.靶物质
C.高压波形
D.管电压
E.散射线
28、单项选择题 退行性骨关节病与夏科关节鉴别点为()
A.关节间隙可见游离体
B.关节严重破坏,与症状轻微不符
C.关节变形
D.关节骨质增生
E.关节间隙狭窄
29、单项选择题
男,28岁,右上臂肿胀、疼痛,结合图像,最可能的诊断是()
A.骨肉瘤
B.成骨性骨转移瘤
C.化脓性骨髓炎
D.滑膜肉瘤
E.骨巨细胞瘤
30、填空题 原发性骨肿瘤包括________________和________________,以及__________________和___________________。
31、单项选择题 关于正常肾脏大体解剖,下列说法哪项不正确()
A.肾外形呈蚕豆状
B.左肾比右肾略小
C.长:10~12cm
D.宽:5~6cm
E.厚:3~4cm
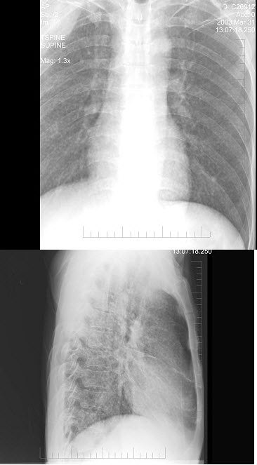
32、单项选择题
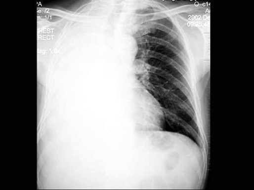
男,65岁,胸痛,胸片检查如图,下列诊断中最可能的是()

A.右肺胸膜肥厚
B.右肺不张
C.右侧胸腔积液
D.右肺炎症
E.以上都不对
33、判断题 骨母细胞瘤与骨样骨瘤同属于良性成骨细胞性肿瘤。
34、单项选择题 胸腔积液可为()
A.血性
B.脓性
C.乳糜性
D.以上都可以
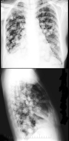
E.以上都不是
35、判断题 右心室增大时则使心脏逆时针旋转,使右心室完全在心脏的前方。
36、单项选择题 下列肺部病变好发部位的描述,错误的是()
A.支气管肺炎:双下肺
B.肺结核:上叶尖后段或下叶背段
C.特发性肺间质纤维化:胸膜下区
D.中央型肺癌:肺门附近
E.肺隔离症:右肺上叶
37、单项选择题 下述哪种肿瘤来源于骨髓()
A.软骨肉瘤
B.骨样骨瘤
C.骨软骨瘤
D.尤文肉瘤
E.骨巨细胞瘤
38、判断题 髓核脱出以腰椎4~5及腰椎5~骶椎1最多见,患者常有脊髓及脊神经根压迫症状。
39、单项选择题 矢状面与胶片平行的摄影体位有()
A.胸部正位
B.RAO位
C.乳突轴位
D.腕关节正位
E.心脏左侧位
40、单项选择题
男,进行性吞咽困难1月余,结合图像,最可能的诊断为()

A.贲门失弛缓
B.食管癌
C.贲门癌
D.胃底癌
E.贲门癌侵及胃底
41、单项选择题
患者,男,3岁,突发左侧胸痛伴呼吸困难3小时入院,如图所示,最可能的诊断为()

A.左侧肺气肿
B.左侧气胸
C.左肺门淋巴结结核
D.右肺小叶性肺炎
E.以上都不正确
42、多项选择题 根据作用力的方式和骨折本身的情况,将骨折分为()
A.创伤性骨折
B.疲劳性骨折
C.病理性骨折
D.不稳定性骨折
E.稳定性骨折
43、单项选择题 尾骨前后位,中心线应()
A.向足侧倾斜15°~30°
B.向头侧倾斜15°~30°
C.向足侧倾斜10°
D.与检查床垂直
E.向前沿侧倾斜10°
44、多项选择题 酒精性慢性胰腺炎的特点有()
A.大导管扩张,小导管正常
B.管腔内有蛋白类物质或栓子
C.胰管结石和胰体钙化
D.小导管和主导管均扩张
E.管腔内无堵塞物且很少钙化
45、名词解释 软组织肿瘤钙化
46、判断题 神经纤维瘤病约80%有骨骼异常,主要为发育异常及神经纤维瘤的侵蚀。
47、多项选择题 骨嗜酸性肉芽肿好发于()
A.颅骨
B.骨盆
C.肋骨
D.脊柱
E.股骨
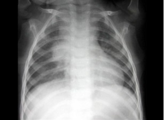
48、单项选择题
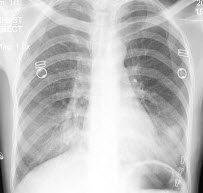
女,31岁,咳嗽发热1周,胸片检查如图,最可能的诊断是()

A.两肺结核
B.两肺炎症
C.两侧胸膜炎
D.两肺不张
E.慢性支气管炎
49、单项选择题 疑有“急性膀胱炎”时,应避免以下哪种检查()
A.逆行插管膀胱造影
B.尿常规检查
C.骨盆区平片
D.CT
E.顺行膀胱造影
50、单项选择题
女,3岁,身体发育异常,如图所示,最可能的诊断为()
A.成骨不全
B.粘多糖病
C.软骨发育不全
D.佝偻病
E.侏儒症
51、单项选择题 脂肪肉瘤中哪一类型恶性程度最高()
A.圆细胞型
B.黏液型
C.分化良好型
D.多形性型
E.混合型
52、多项选择题 输尿管结石X线平片可见()
A.呈卵圆形致密阴影
B.结石边缘多毛糙不整齐
C.其长轴与输尿管走行一致
D.结石常见于输尿管三个生理狭窄处
E.梗阻上方输尿管及肾盂肾盏不同程度扩张积水
53、名词解释 泪滴征
54、单项选择题 “原发性骨肿瘤”最好发的部位()
A.股骨、胫骨
B.胫骨、肱骨
C.脊柱、股骨
D.骨盆、颅骨
E.股骨、肱骨
55、单项选择题
患儿,男,1天,生后呼吸困难,羊水见胎粪污染,如图,最可能的诊断为()

A.新生儿肺炎
B.新生儿湿肺
C.新生儿肺出血
D.新生儿呼吸窘迫综合症
E.胎粪吸入综合征
56、多项选择题 以下可以见到钙化的疾病是()
A.错构瘤
B.淋巴结结核
C.周围型肺癌
D.中央型肺癌
E.肺泡微石症
57、单项选择题 影响X线照片清晰度的观察条件,不包括()
A.观片灯亮度
B.照明用电源电压
C.肉眼的MTF
D.室内照明条件
E.环境明暗程度
58、单项选择题 肺部慢性炎症通常表现是()
A.增殖
B.渗出
C.空洞
D.纤维化
E.钙化
59、判断题 Wolfe认为在P2和DY型的乳腺,其乳腺癌发病率明显高于NoP1型。
60、单项选择题 胸片示厚壁空洞性病变,则可除外()
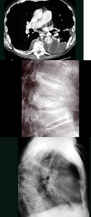
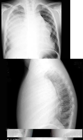
A.支气管囊肿
B.肺结核
C.肺梗死
D.叶内型隔离肺
E.坏死性肉芽肿
61、判断题 颅内血管畸形,一般不引起正常脑血管的移位,这是同恶性肿瘤的区别点之一。
62、单项选择题 输尿管生理狭窄区中最窄的部位是()
A.肾盂起始部
B.输尿管起始部
C.跨过髂总动脉处
D.跨过骨盆入口处
E.进入膀胱壁处
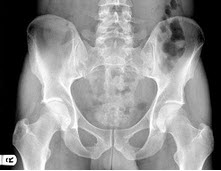
63、单项选择题
男,3岁,走路跛行,两下肢不等长,左脚外展受限,结合图像,最可能的诊断是()
A.髋关节前脱位
B.髋关节后脱位
C.髋关节中心脱位
D.先天性髋内翻
E.髋关节结核
64、单项选择题 经肾脏排泄的非离子型对比剂是()
A.胆影酸钠
B.碘番酸
C.胆影葡胺
D.泛影葡胺
E.甲泛葡糖
65、单项选择题 多发性骨髓瘤的X线诊断,下列摄片部位选择哪个没有意义()
A.腰椎
B.肋骨
C.颅骨
D.长骨
E.骨盆
66、单项选择题
女,61岁,腹痛腹胀2年,结合图像,最可能的诊断为()

A.正常肠圈
B.十二指肠炎
C.降段憩室
D.水平段憩室
E.占位
67、判断题 疲劳骨折好发于第2跖骨、胫骨和尺桡骨,骨折线多不明显。
68、单项选择题
女,50岁,颈部无痛性肿块,逐渐增大,听诊可闻及杂音,DSA检查如图所示,最可能诊断()
A.颈动脉体瘤
B.假性动脉瘤
C.颈动脉夹层
D.颈动脉硬化
E.动静脉瘘
69、单项选择题 “膈倒转”常见于哪种疾病()
A.膈肿瘤
B.横膈疝
C.横膈麻痹
D.两下肺实变
E.大量胸腔积掖
70、配伍题 左上叶肺不张典型征象是()右下叶肺不张典型征象是()
A.薄饼征
B.右上三角征
C.平腰征
D.心后三角征
E.左上肺索条影
71、单项选择题 下列哪种体位对观察肺门帮助不大()
A.正位
B.右侧位
C.左侧位
D.左前斜位
E.右前斜位
72、单项选择题 节段性肺不张的影像特征是()
A.近肺底的横行条状致密
B.尖端指向肺门的三角形致密影
C.弥漫分布斑片状影
D.一侧肺致密影伴纵隔向患侧移位
E.3~5cm大小肿块影,伴“彗星尾”征
73、单项选择题 关于X线影像分析与诊断的叙述,错误的是()
A.X线影像形成的技术条件应满足诊断的要求
B.应首先观察病灶本身
C.要区分正常与异常
D.观察病灶分布数量、形态、密度与邻近组织关系
E.X线影像的分析与诊断必须结合临床
74、单项选择题 关于正常纵隔解剖,下列概念错误的是()
A.主要由心脏、大血管和气管构成
B.后前位片,纵隔位于胸部中央
C.心脏位于中下纵隔
D.肺门位于后下纵隔
E.四分法,上纵隔位于胸骨柄下缘与第四胸椎下缘连线以上
75、单项选择题 增殖性病变的胸片表现特点是()
A.云絮状浅淡模糊影
B.条索状密度增高影
C.边缘清楚致密影,密度比肋骨低
D.边缘清楚致密影,密度比肋骨高
E.肺透亮度增加,局部肺纹理缺如
76、多项选择题 骨膜内含有下述哪些组织()
A.血管
B.神经
C.淋巴管
D.成骨细胞
E.破骨细胞
77、单项选择题
男,28岁,右肱骨上段肿痛1个月,疼痛以夜间明显,摄片如图所示,提示骨肉瘤最为主要的征象是()
A.溶骨性破坏
B.骨膜增生
C.肿瘤骨形成
D.软组织肿块影
E.Codman三角
78、单项选择题 肘关节侧位摄影,叙述错误的是()
A.肘关节屈曲呈90°角
B.尺侧靠近台面
C.手掌面与台面垂直
D.五指紧贴台面
E.肩部与肘部平齐
79、填空题 骨转移瘤的X线表现可分为__________、________和__________,以_________多见。
80、名词解释 Von Hippel-Lindau综合征
81、单项选择题 下述肺放线菌病的特点中,错误的是()
A.痰中可有硫磺颗粒
B.下叶居多,呈节段性分布
C.不会出现脓胸或胸膜肥厚
D.侵犯胸壁易引起肋骨骨髓炎和胸壁窦道
E.早期肺泡浸润、空洞形成
82、单项选择题 减少与抑制散射线的方法中,错误的是()
A.降低管电压
B.减小焦-片距离
C.缩小照射野
D.使用后盖贴有金属膜的暗盒
E.正确使用遮线器
83、单项选择题 白星是指星状形中央的肿块影,常见于()
A.乳腺纤维瘤透明变性
B.乳腺硬化性导管增生
C.乳腺浸润性导管癌
D.乳腺术后瘢痕
E.乳腺脓肿
84、单项选择题 骨化中心出现延迟的疾病是()
A.甲状腺功能减退
B.肾上腺皮质肿瘤
C.骨囊肿
D.以上都是
E.以上都不是
85、单项选择题
男,55岁,左侧舌下肿胀不适2个月余,体检发现左侧舌下肿胀,舌下阜处可见脓苔黏附,触痛,按之可见淡黄色脓液从舌下阜溢出,摄片如图所示,最可能诊断()
A.左侧颌下腺涎石
B.左侧舌下腺涎石
C.左侧腮腺涎石
D.正常影像
E.左侧下颌骨含牙囊肿
86、单项选择题 下列哪项不属于头颅摄片定位标志线()
A.听眶线
B.听眦线
C.听鼻线
D.听颧线
E.听口线
87、多项选择题 肺纹理聚拢见于()
A.肺结核
B.支气管扩张
C.阻塞性肺气肿
D.胸腔积液
E.肺不张
88、单项选择题 肺动脉高压的典型表现为()
A.出现间隔线
B.残根征
C.肺野透亮度减低
D.多继发于左心衰
E.肺纹理增粗,结构模糊
89、配伍题 摄照胸骨后前位时()腹部平片摄片时()膈上肋骨后前位时()头颅平面摄片()心脏平片摄片()
A.平静呼吸下屏气
B.深吸气后屏气
C.深吸气再呼出后屏气
D.缓慢连续呼吸
E.平静呼吸不屏气
90、单项选择题 下列中央型错构瘤影像特点,错误的是()
A.肺内肿块
B.局限性肺不张
C.局限性阻塞性肺炎
D.支气管腔内半球形肿块
E.支气管壁不增厚
91、名词解释 杜纳(Turner)综合征
92、名词解释 贲门癌
93、单项选择题 下列选项中,表示X线量的是()
A.半值层
B.靶物质
C.kV
D.mAs
E.电压波形
94、单项选择题 有关石骨症的描述,下列哪一项不正确()
A.石骨症为成骨异常所致
B.全身骨骼广泛性致密硬化
C.临床症状与骨的病变程度平行
D.维生素D缺乏病为其常见的并发症
E.骨髓外造血器官常继发性增大
95、单项选择题 甲状旁腺功能亢进的早期骨骼改变主要是()
A.骨质密度普遍减低
B.骨骼变形和病理性骨折
C.骨膜下骨吸收
D.骨内囊状透光区
E.以上都不是
96、判断题 成骨不全的基本X线征象为多发骨折、骨皮质菲薄和骨密度减低。
97、单项选择题 骨皮质外1/3的血供主要来源于()
A.骨膜动脉
B.滋养动脉升支
C.滋养动脉降支
D.干骺动脉
E.骨骺动脉
98、配伍题 颧骨弓()胸骨()肺底积液()
A.立位+卧位
B.立位或水平位
C.侧位+斜位
D.倒立正侧位
E.轴位
99、单项选择题 关于阴性对比剂的叙述,错误的是()
A.空气是阴性对比剂
B.空气在器官内吸收较快
C.空气易产生气体栓塞
D.二氧化碳的溶解度较大
E.二氧化碳不易产生气体栓塞
100、单项选择题 下列有关尤文肉瘤的描述哪项是错误的()
A.好发生于长骨的骨干或干骺端
B.骨髓腔内出现斑片状骨质破坏
C.骨膜呈葱皮样改变
D.破坏区周围常无硬化缘
E.以上都不是
101、单项选择题 “贲门失弛缓症”的造影表现,哪项不正确()
A.食管明显扩张,并迂曲、延长
B.食管蠕动减弱、消失
C.钡剂通过障碍,服解痉剂可缓解
D.食管末端截断性狭窄、表面不平
E.引起食管炎改变
102、判断题 对诊断早期肾结核,USG、CT和MRI检查优于尿路造影。
103、单项选择题 需稀释造影剂进行造影检查的是()
A.口服胆囊造影
B.静脉胆道造影
C.静脉肾盂造影
D.CTA
E.膀胱造影
104、单项选择题 下列组合,无关的是()
A.颅前窝——筛骨板
B.颅前窝——嗅神经
C.颅前窝——前筛骨神经
D.颅前窝——前筛骨动静脉
E.颅前窝——视神经管
105、单项选择题 左主支气管与气管中线成多少度角()
A.10°~20°
B.20°~30°
C.30°~40°
D.40°~55°
E.50°~60°
106、单项选择题 有关前列腺肥大的描述,正确的是()
A.CT检查价值不大
B.多发生在侧叶及中叶
C.X线平片检查有较大价值
D.主要症状为发热、尿频
E.青少年发病率较高
107、单项选择题 慢性胃炎按Schindler分类法是()
A.萎缩性胃炎、增生性胃炎、肠上皮化生
B.浅表性胃炎、萎缩性胃炎、肥大性胃炎
C.浅表性胃炎、增生性胃炎、肥大性胃炎
D.萎缩性胃炎、肥大性胃炎、肠上皮化生
E.肥大性胃炎、浅表性胃炎、肠上皮化生
108、单项选择题
女婴,7月。经常呕吐,腹部饱满、膨隆,消瘦。如图所示,最可能的诊断为()

A.消化道闭锁
B.十二指肠闭锁
C.消化道穿孔
D.肠套叠
E.肠扭转
109、填空题 乳腺癌分型方式有多种,主要有_______、_______、_______、______和_______等五种。
110、单项选择题 引起肝内胆管、胆总管、胰管扩张,胆囊肿大的病变是()
A.胆总管结石
B.肝门部肿瘤
C.胰头癌
D.胆囊结石
E.胰腺炎
111、单项选择题 关于“间质性膀胱炎”描述,下列哪项是错误的()
A.好发于中年女性
B.免疫、神经内分泌功能异常者发病率较高
C.活检和尿培养常有阳性发现
D.多位于膀胱前壁和顶部
E.造影表现与单纯性膀胱炎类似
112、单项选择题 下述疾病均可出现Schmorl结节,但应除外哪项()
A.库欣综合征
B.化脓性脊椎炎
C.脊椎退行性骨关节病
D.椎体骺板缺血性坏死
E.椎间盘脱出症
113、多项选择题 下述哪些为成软骨性肿瘤()
A.单发性骨软骨瘤
B.多发性骨软骨瘤
C.单发性内生软骨瘤
D.多发性软骨瘤
E.成软骨细胞瘤
114、单项选择题 夜间痛明显及水杨酸类药物可缓解疼痛的肿瘤是()
A.骨样骨瘤
B.软骨肉瘤
C.骨肉瘤
D.骨瘤
E.骨软骨瘤
115、单项选择题 女,35岁,右肺上叶后段薄壁空洞,直径3cm,内有较小的液面,空洞周围肺内有渗出病变,右下叶及左肺中下野有多发斑片状渗出影,最可能的诊断是()
A.肺结核病(干酪性肺炎)
B.肺脓肿
C.血源性肺脓肿
D.空洞型肺癌
E.肺霉菌病
116、单项选择题 以下哪种疾病可使右心室增大,肺动脉段凹陷()
A.二尖瓣狭窄
B.房间隔缺损
C.肺动脉狭窄
D.法洛四联征
E.肺源性心脏病
117、单项选择题 下列不属于乳腺组织的是()
A.腺体
B.导管
C.胸大肌
D.纤维组织
E.脂肪组织
118、单项选择题 关于声门上型喉癌,下列哪项不是其X线表现()
A.会厌和会厌披裂皱襞增厚、肿胀、僵硬
B.喉前庭腔影不规则狭窄
C.假声带区域软组织密度增高
D.会厌前间隙增大,密度增高
E.声带的喉室面局限性隆起不平整
119、单项选择题
关于岩骨摄片位置的叙述,哪个是正确的()
a.斯氏位(Stenver位)时,岩骨锥体长轴与胶片平行
b.许氏位(Schuller位)时,非检测的锥体向头侧(上方)投影
c.梅氏位(Mayer位)时,锥体长轴与胶片垂直
d.汤氏位(ToWne位)时,两侧锥体部可以同时显示
A.a,c,d
B.a,b
C.b,c
D.d
E.a~d全部
120、单项选择题 肺源性心脏病主要X线表现是()
A.左心房、右心室增大
B.右心室肥大
C.全心增大
D.右心房、左心室增大
E.左心室增大
121、单项选择题 下列说法,哪项是正确的()
A.胃与十二指肠相连的部分为幽门
B.附着于骨骼,起着运动作用的肌肉是平滑肌
C.大肠、小肠均有肠系膜
D.在甲状腺前方有二块甲状旁腺
E.视神经管在眼眶外侧壁
122、多项选择题 X线诊断时应考虑到患者的()
A.年龄
B.性别
C.职业史
D.生长和居住地区
E.接触史
123、名词解释 白肿
124、单项选择题 腰椎峡部不连,X线摄片清晰显影于()
A.正位像
B.侧位像
C.斜位像
D.过伸侧位像
E.过屈侧位像
125、单项选择题 急性化脓性骨髓炎典型X线表现是()
A.骨质破坏
B.死骨形成
C.骨质增生
D.软组织窦道形成
E.以上都是
126、单项选择题 正常胰腺钩突位于()
A.肠系膜上动脉前方
B.脾静脉后方
C.下腔静脉后方
D.十二指肠内侧
E.肠系膜上静脉后方
127、判断题 色素沉着绒毛结节性滑膜炎通常为多关节受累,病变关节周围骨质不疏松为其特点。
128、单项选择题 下述哪种肺炎好发于右心隔角处()
A.支气管肺炎
B.支原体肺炎
C.流感病毒性肺炎
D.腺病毒肺炎
E.麻疹肺炎
129、单项选择题
男,14岁。左大腿下段疼痛,伴高热,体温达39℃。查体:左股骨下段深压痛。
为明确诊断,首先应进行的辅助检查为()
A.B超检查
B.X线检查
C.核素骨显像
D.血管造影
E.MRI检查
130、多项选择题 属于腹主动脉分支的有哪些()
A.胃左动脉
B.脾动脉
C.肠系膜下动脉
D.结肠动脉
E.肝总动脉
131、判断题 孤立肾和单纯异位肾一般无任何临床表现。
132、多项选择题 下列哪些为厌骨性转移性肿瘤()
A.皮肤癌
B.子宫癌
C.食管癌
D.乳癌
E.鼻咽癌
133、单项选择题
男,71岁,背部酸痛,低热,乏力,消瘦2月余,结合影像学表现,最可能的诊断是()
A.脊柱转移瘤
B.化脓性脊柱炎
C.脊椎结核
D.椎体压缩骨折
E.阻滞椎
134、单项选择题 造影中发生气体栓塞,应将病人置于哪种体位()
A.半卧位
B.头低足高右侧卧位
C.头低足高左侧卧位
D.头高足低右侧卧位
E.头高足低左侧卧位
135、单项选择题 胸部CR摄影时为了显示被肋骨遮蔽的肺部病变,应选用哪种后处理方法()
A.灰阶处理
B.窗位处理
C.能量减影法
D.时间减影法
E.放大摄影
136、单项选择题 下列关于X线球管组件的散热方式不包括()
A.密封管套,空调散热
B.密封管套,自然散热
C.密封管套,风扇散热
D.闭路油循环风冷散热
E.管套内冷水循环散热
137、单项选择题 “霉菌球”是哪种疾病的影像特征()
A.曲菌病
B.隐球菌病
C.组织胞浆菌病
D.奴卡菌病
E.放线菌病
138、多项选择题 输尿管结石易停留的部位是()
A.肾盂与输尿管交界处
B.膀胱三角区
C.肾盏
D.输尿管与髂总动脉交界处
E.输尿管的膀胱开口处
139、判断题 中央型错构瘤主要由软骨组织构成,并混杂有纤维结缔组织。
140、问答题 肺上沟瘤的X线表现有哪些?
141、单项选择题 Eisenmenger综合征的X线表现中,应除外()
A.肺动脉主干及肺门动脉显著扩张
B.肺外围的动脉纤细
C.心脏明显增大
D.心脏大小可基本正常或轻度增大
E.肺门处出现了残根状表现
142、单项选择题 鼻窦不包括下列哪项()
A.蝶窦
B.直窦
C.上颌窦
D.额窦
E.筛窦
143、单项选择题 与CT比较,MRI用于心脏的检查,具有下列优势,哪项除外()
A.可获得标准的三维图像和斜位图像
B.对心脏形态、结构和病变的显示能力更高
C.改变扫描序列可提高病变的识别和鉴别能力
D.检查的时间更短
E.无X线的副作用
144、单项选择题 不适用高千伏摄影的部位是()
A.胸部
B.脊柱
C.胸腺
D.骨盆
E.消化道
145、单项选择题
男,63岁,进行性吞咽困难1月。食管钡餐示:食管下段粘膜不规则充盈缺损,管腔狭窄,贲门扩张欠佳。
病变侵及食管的()
A.粘膜层
B.粘膜下层
C.肌层
D.外膜
E.粘膜肌层
146、单项选择题 在组织学上周围型错构瘤主要由什么成分组成()
A.骨组织
B.软骨组织
C.脂肪组织
D.平滑肌组织
E.纤维结缔组织
147、单项选择题
女,53岁,胸闷乏力数月,偶感胸痛,不发热,X线检查如图,最可能的诊断是()

A.原发性肺癌
B.亚急性血行播散型肺结核
C.肺转移瘤
D.细支气管肺泡癌
E.结节病
148、单项选择题 骨巨细胞瘤的典型X线征象是()
A.位于骨端的膨胀性偏心性囊性骨破坏,内有皂泡性骨间隔
B.骨端的囊性破坏区,其透光区模糊,皮质变薄
C.远距骨干骺端的偏心性囊性骨破坏,边缘硬化
D.位于骨骺的多发性骨质破坏,内有钙化
E.位于骨端的多发性骨质破坏,内有钙化
149、问答题 如何判断肺门阴影是否增大和密度增高?
150、单项选择题 右肋缘下扪及肿块最常见原因是()
A.膈下脓肿
B.肿大的肝脏
C.肿大的胆囊
D.肝曲肿瘤
E.下垂的右肾
151、单项选择题 关于X线物理效应的叙述,错误的是()
A.穿透作用
B.电离作用
C.荧光作用
D.热作用
E.着色作用
152、填空题 肺转移瘤的转移途径有___________、_____________和_____________。
153、单项选择题 恶性骨肿瘤最常见的是()
A.骨肉瘤
B.纤维肉瘤
C.软骨肉瘤
D.骨髓瘤
E.尤文肉瘤
154、问答题 何谓Wolfe乳腺分型。
155、单项选择题
男,28岁,无临床症状,体检时摄片如图,结合图像,最可能的诊断是()
A.氟骨症
B.转移性骨肿瘤
C.骨样骨瘤
D.骨岛
E.骨斑点症
156、单项选择题 支气管断裂伤最常见的征象是()
A.双肺含气不足,合并渗出性病变
B.张力性气胸合并纵隔和皮下气肿
C.肺气肿,纵隔增宽
D.肺不张,纵隔移位
E.纵隔移位合并双肺含气不足
157、填空题 肺脓肿按感染途径的不同可分为_________、__________和___________________。
158、单项选择题 X线检查的选择原则,下述哪项是错误的()
A.从病人的实际情况出发
B.以临床检查要求为依据
C.考虑检查部位的特点
D.采用先简后繁的原则
E.各类检查方法联合应用
159、单项选择题 日本内镜协会对早期胃癌的定义是根据()
A.肿瘤的大小
B.有无溃疡
C.有无转移
D.有无穿孔
E.肿瘤限于粘膜和粘膜下层
160、单项选择题 正常肾脊角的角度应为()
A.15°~25°
B.10°~15°
C.20°~25°
D.15°~40°
E.10°~30°
161、多项选择题 下列哪些是肺炎性假瘤的X线特点()
A.可发生于两肺的任何部位,以肺表浅部位多见
B.形态不一,可呈圆形、椭圆形或类圆形
C.多数直径在2~4cm,少数甚至大于10cm
D.一般为中等密度,大多均匀
E.可在数年之内无明显增大
162、单项选择题
男,5岁,低热,盗汗,咳嗽2月余,结合图像,最可能的诊断是()

A.肺癌
B.大叶性肺炎
C.支气管肺炎
D.肺结核
E.过敏性肺炎
163、多项选择题 Albright综合征临床表现不包括()
A.内分必紊乱
B.软组织肿物
C.血管瘤
D.性早熟
E.皮肤色素沉着
164、名词解释 Page肾
165、单项选择题
男,8岁。跌倒时手掌着地,查体:肘部明显肿胀,有压痛,肘关节呈半屈曲状向外突出畸形,肘后三角尚存。
首先应做进行的肘部辅助检查为()
A.超声检查
B.DSA
C.关节造影术
D.X线检查
E.MRI检查
166、单项选择题
男,36岁,半年前痰中带血,发现有肺癌,近几天感胸痛、咳嗽,X线检查如图,最可能的诊断是()

A.血行播散型肺结核
B.细支气管肺泡癌
C.肺转移瘤
D.正常胸片
E.结节病
167、单项选择题 以下“解剖结构-最佳显示体位”组合中,哪项不正确()
A.内听道:首选斯氏位
B.眶下缘、泪囊:首选瓦氏位
C.枕骨大孔:首选汤氏位
D.中耳:首选伦氏位
E.视神经孔:首选瑞氏位
168、单项选择题 急腹症按病变性质分类,不包括()
A.脏器扭转性
B.肿瘤性
C.穿孔性
D.炎症性
E.损伤性
169、单项选择题 依发生部位,股骨近端骨折分型不包括()
A.粗隆间骨折
B.股骨颈骨折
C.股骨髁上骨折
D.大粗隆骨折
E.小粗隆骨折
170、单项选择题 心脏右前斜位,暗盒应与身体成多少夹角()
A.15°~25°
B.45°~55°
C.55°~65°
D.35°~45°
E.25°~35°
171、单项选择题 下列组合,错误的是()
A.髌骨骨折--侧位及轴位
B.膝内翻--正位及双侧对照
C.膝关节副韧带损伤--正位及双侧对照
D.胫骨结节骨软骨炎--双侧胫骨结节侧位对照
E.小儿髋关节脱位--双髋正位
172、单项选择题 致密性骨发育不全与石骨症的X线鉴别中哪项是错误的()
A.全身骨骼非均匀性硬化
B.干骺端无致密带
C.末节指(趾)骨远端部分缺如
D.颅缝增宽,前囟不闭
E.下颌角消失
173、单项选择题 关于心脏摄影的叙述,下列哪项错误()
A.常规取站立后前位
B.右前斜位应服钡
C.摄-片距为200cm
D.常规取左侧位
E.深吸气后屏气曝光
174、多项选择题 参与右肺门构成的有()
A.右上肺动脉
B.右下肺支气管
C.右下肺动脉
D.右下肺静脉
E.以上都是
175、单项选择题 右肺门角是哪两种结构的夹角()
A.右中叶静脉和右下肺动脉
B.右下肺动脉干和右主支气管
C.右上叶下后静脉干和右下肺动脉
D.右上叶下后静脉干和气管
E.右上叶下后静脉和右主支气管
176、单项选择题 溃疡型胃癌的X线特点中,哪项是错误的()
A.龛影位于胃轮廓之外,边缘隆起、质硬
B.胃癌向壁内生长,中心形成大溃疡
C.与正常相邻胃壁境界清楚
D.粘膜纠集但中断于环堤外
E.龛影多呈半月形,外缘平直,内缘不整齐
177、单项选择题 下述KerleyB线特点,哪项不对()
A.周围小叶间隔增厚所致
B.水平走向
C.可见于矽肺
D.是肺静脉压升高最早期表现
E.胸片上,其厚度约为1mm,长度为2~6cm
178、单项选择题 胶片感光发生的光化学反应,实质上属于()
A.水解反应
B.合成反应
C.氧化-还原反应
D.光合作用
E.光化学反应
179、名词解释 绝经期乳腺
180、判断题 脑膜中动脉压迹,因前支较细小常显示欠清。
181、单项选择题 X线表现结肠移动度较大,腔内发现边缘欠光滑,加压后可变形的充盈缺损,最可能的诊断为()
A.息肉
B.腺癌
C.血管瘤
D.粪块
E.淋巴瘤
182、判断题 寰枢椎损伤包括寰枢关节脱位、寰椎骨折和齿突骨折等。
183、单项选择题 关于切线投影的叙述,错误的是()
A.将中心线从被检部位边缘通过,称切线投影
B.此法可使相邻部分X线吸收差异减小
C.对于某些边缘凸出,可采用此法
D.对某些边缘凹陷,可采用此法
E.对某些表面病灶,可采用此法
184、填空题 淋巴管瘤在镜下可分3型,即_______________、____________________和________________。
185、单项选择题 有关锁骨的描述哪项是正确的()
A.锁骨内1/3向后凸
B.锁骨外1/3向前凸
C.锁骨的外侧端为肩峰端
D.锁骨内2/3段下缘可见喙突粗隆
E.锁骨外1/3段下缘可见菱形切迹
186、单项选择题
男,根据其正常手的影像图像,判断其最可能的年龄()
A.16岁左右
B.26岁左右
C.36岁左右
D.76岁左右
E.56岁左右
187、单项选择题 双乳剂X线胶片结构中,不包括()
A.片基
B.保护层
C.底层
D.乳剂层
E.防反射层
188、多项选择题 下列需与非骨化性纤维瘤鉴别的肿瘤或肿瘤样病变有()
A.骨样骨瘤
B.骨巨细胞瘤
C.纤维性骨皮质缺损
D.骨纤维结构不良
E.良性间叶瘤
189、名词解释 液体渗液曲线
190、单项选择题 下列哪项不属于膀胱造影的术前准备()
A.排尿
B.清洁肠道
C.备好导尿管
D.碘过敏试验
E.备好注射用水和容器
191、单项选择题
男,50岁,进食梗阻1年,结合图像,最可能的诊断为()

A.食管下段癌
B.贲门癌
C.食管静脉曲张
D.贲门失弛缓
E.胃底癌
192、单项选择题 立柱式X线管头支持装置的组成不包括()
A.立柱
B.移动轨道
C.滑架
D.胸片架
E.横臂
193、多项选择题 下列恶性骨肿瘤中呈多发性表现的是()
A.软骨肉瘤
B.骨肉瘤
C.转移瘤
D.骨髓瘤
E.纤维肉瘤
194、单项选择题 下述类风湿关节炎的X线表现错误的是()
A.关节肿胀
B.骨质疏松
C.关节间隙变窄
D.皮下组织钙化
E.以上都不是
195、单项选择题 在纵隔肿瘤中位置最高者为()
A.胸腺瘤
B.恶性淋巴瘤
C.胸内甲状腺肿
D.支气管囊肿
E.囊性畸胎瘤
196、单项选择题 关于X线滤过的说法,错误的是()
A.滤过是把X线束中的低能成分吸收掉
B.固有滤过,是指X线管本身的滤过
C.固有滤过用铅当量表示
D.总滤过为附加滤过与固有滤过之和
E.一般对低能量射线采用铝滤过板
197、单项选择题 下列哪项不是心包积液的典型X表现()
A.心影普遍性向两侧扩大,呈烧瓶样或球状
B.上腔静脉影增宽
C.心影在短期内迅速增大并肺淤血
D.心脏搏动明显减弱而主动脉搏动正常
E.主动脉影变短
198、单项选择题 常见的心包疾病主要有()
A.心包钙化
B.心包肥厚
C.心包腔积液
D.缩窄性心包炎
E.心包肿瘤
199、多项选择题 肺肾综合征的X线表现为()
A.多发结节状
B.小叶斑片状
C.大片融合状
D.纤维条索状
E.多发空洞状
200、单项选择题 在临床上经常见到纵隔向健侧移位,以下病变不能引起纵隔向健侧移位()
A.肺广泛纤维化
B.一侧气胸
C.一侧胸腔积液
D.主支气管不完全狭窄
E.膈疝
201、填空题 胃溃疡在组织学上分为4层,表面为____________,内含很多的白细胞和红细胞,次层为_________________;第3层为_______________,含有丰富的血管;底层为________________,可向外延伸超出粘膜缺损的边缘。
202、单项选择题 肺叶内型肺隔离症的供血动脉多来自()
A.腹主动脉
B.降主动脉
C.下腔静脉
D.肺静脉
E.升主动脉
203、多项选择题 肺结核病的全身中毒症状有()
A.盗汗
B.咯血
C.低热
D.乏力
E.咳嗽
204、单项选择题
男,24岁,低热2周,咳少量痰。胸片示右上肺不均密度增高影,其中有空洞形成,血沉45mm/h。
下列哪项检查对诊断最有意义()
A.血常规
B.痰细菌培养
C.纤维支气管镜
D.痰抗酸杆菌检查
E.血沉
205、单项选择题 下列哪项不是过敏性肺炎的诊断要点()
A.症状轻或无症状
B.血嗜酸性细胞增多
C.病灶具有迁移性
D.病灶易形成空洞
E.病变短期内吸收
206、单项选择题 手正位片上,拇指显示为()
A.轴位影像
B.正位影像
C.斜位影像
D.侧位影像
E.切线位影像
207、单项选择题 下列“心脏形态-相关疾病”组合中,哪项正确()
A.绒毛心:二尖瓣狭窄
B.悬滴心:尿毒症
C.梨形心:法洛四联征
D.靴形心:肺源性心脏病
E.雪人征:完全型肺静脉异位引流
208、判断题 十二指肠癌常于第1段或第2段形成狭窄和充盈缺损。
209、单项选择题 腰椎斜位摄片身体冠状面与床面呈()
A.5°
B.10°
C.30°
D.45°
E.60°
210、问答题 试述巨人症与肢端肥大症的CT表现?
211、判断题 乳腺腺体随年龄的增长在X线片上无明显差异。
212、单项选择题 脊髓室管膜瘤的特点是()
A.均可发生显著异常对比增强
B.发生于脊髓中央管及终丝
C.种植转移与空洞形成
D.最多见的髓内肿瘤
E.以上全对
213、单项选择题 风湿性心脏瓣膜病二尖瓣狭窄在X线平片上表现为()
A.肺血增多,右心房、室增大,主动脉结小
B.肺血增多,左、右心室增大,主动脉结正常
C.肺血减少,右心房、室增大,主动脉结小
D.肺淤血,左心房、右心室增大,主动脉结小
E.肺淤血,右心房、左心室增大,主动脉结正常
214、多项选择题 影响X线强度分布的因素是()
A.靶面倾角
B.辐射时间的长短
C.阳极的类型(固定或旋转)
D.靶面出现过热熔解的程度
E.管内阳极与阴极间的距离
215、单项选择题 关于胃癌的基本X线表现,错误的是()
A.Carman综合征
B.粘膜皱襞破坏中断
C.革袋胃
D.胃壁僵硬
E.项圈征及狭颈征
216、配伍题 左心房增大可见于()左心室增大可见于()法洛四联征可见于()
A.左支气管抬高征
B.心后三角消失
C.心尖抬高
D.靴形心脏
E.肺门舞蹈
217、配伍题 胃癌的好发部位为()胃溃疡的好发部位在()哪个部位见到的溃疡性病变应疑为癌()十二指肠溃疡好发于()
A.小弯
B.大弯
C.胃角
D.胃窦
E.十二指肠球部
218、单项选择题 下列有关骨折基本X线征象中,哪项错误()
A.密度增高骨折线
B.骨小梁扭曲/中断
C.密度减低骨折线
D.碎骨片
E.骨骺移位
219、单项选择题 胸部后前位摄片胶片下缘应包括()
A.第6胸椎
B.第8胸椎
C.第10胸椎
D.第12胸椎
E.第3腰椎
220、多项选择题 肺泡性肺水肿的X线征象有()
A.间隔线阴影
B.病变动态变化较快
C.胸腔积液
D.蝶翼征
E.上肺静脉扩张
221、单项选择题 下列颅面骨改变,不属“正常变异”()
A.双上颌窦不对称
B.单侧额窦
C.眶上筛窦气房
D.“8”字形视神经孔
E.鼻额缝
222、多项选择题 X线影像变形的叙述,正确的是()
A.被照体平行胶片时,放大变形最小
B.被照体接近中心线时,位置变形较小
C.中心线过被照体部位且垂直胶片,形状变形最小
D.被照体接近中心线时,位置变形较大
E.中心线过被照体部位且垂直胶片,放大变形最小
223、单项选择题 可造成纵隔向患侧移位的是()
A.一侧性肺气肿
B.气胸
C.胸腔积液
D.广泛性胸膜肥厚
E.较大肺肿瘤
224、单项选择题 下述哪项是儿童最常见肾肿瘤()
A.肾盂乳头状瘤
B.肾腺瘤
C.肾腺癌
D.肾血管瘤
E.肾胚胎瘤
225、单项选择题 与外科手术相比,人们容易接受介入治疗的主要原因在于()
A.安全可靠
B.并发症少
C.少创伤以至无创伤
D.术后效果好
E.术中时间短
226、单项选择题 关于心房黏液瘤,下列描述哪项不对()
A.30~60岁多见
B.临床可有体温上升、体重下降、贫血
C.临床常有室上性心动过速表现
D.体循环、肺循环栓塞
E.左心房者占3/4
227、单项选择题 X线诊断心包积液较可靠方法是()
A.左前斜位X线片看室间沟深浅
B.心影是否呈烧瓶样
C.右前斜位吞钡食管压迹有无加深
D.透视下心脏搏动情况
E.以上都不是
228、单项选择题 下列婴幼儿肺部疾病中,哪种没有弥漫粟粒性肺结节表现()
A.肺透明膜病
B.衣原体肺炎
C.组织细胞增生症X
D.原发综合征
E.完全性肺静脉异常引流
229、单项选择题
右髋关节疼痛,跛行1年多,无明显外伤史,双髋关节摄片如图,最可能的诊断是()
A.右髋关节退行性关节病
B.右髋关节创伤性关节病
C.右髋关节结核
D.右髋关节化脓性关节炎
E.右髋关节神经性关节炎
230、单项选择题
男,63岁,进行性吞咽困难1月。食管钡餐示:食管下段粘膜不规则充盈缺损,管腔狭窄,贲门扩张欠佳。
最可能的诊断是()
A.食管下段炎症
B.食管下段溃疡侵及贲门
C.食管下段癌侵及贲门
D.食管下段静脉曲张
E.以上都不对
231、单项选择题 下述“Peutz-Jegher综合征”病理特点,哪项正确()
A.结肠息肉呈弥漫性分布
B.小肠息肉,腺瘤居多
C.结肠内息肉,易恶变
D.没有胃息肉
E.常有结肠梗阻
232、单项选择题 先天性肩胛骨高位症,正确的摄片体位是()
A.双侧腕关节正位
B.双侧踝关节正位
C.双侧肩关节正位
D.双侧肩胛骨正位
E.双肩锁关节正位
233、单项选择题
男,35岁,左侧腹痛半年,阵发性。结合图像,最可能的诊断为()

A.正常肠圈
B.十二指肠炎
C.球部溃疡
D.降段憩室
E.水平段憩室
234、配伍题 进行X线摄片检查是利用什么作用()测试辐射量的闪烁晶体是利用什么作用制成的()
A.穿透作用
B.荧光作用
C.电离作用
D.感光作用
E.着色作用
235、单项选择题 左心房增大最早出现的X线征象是()
A.轻度肺淤血
B.左心房耳部突出
C.左前斜位左主支气管抬高
D.心脏右缘出现双房影
E.吞钡检查见食管局限性压迹
236、单项选择题 骨骺、干骺端结核的特征性X线表现为()
A.破坏区边缘有硬化
B.破坏区常横跨骺线
C.破坏区较局限
D.死骨及窦道形成
E.以上都是
237、多项选择题 关于标准化前位胸片描述,正确的有()
A.双侧斜裂的任何部分都不能显示
B.锁骨胸骨端与第6肋后端重叠
C.脊柱左侧心脏的密度比脊柱右侧心脏的密度要高
D.颈胸段的椎体终板能清楚地显示
E.左侧心膈角可能显示不清
238、判断题 非骨化性纤维瘤少数病灶可以自愈。
239、判断题 奇副裂呈细线状,自右肺尖部向内、下走行至右肺门上方。
240、单项选择题 关于类风湿患者的胸部影像,下述错误的是()
A.胸腔积液最常见
B.弥漫性肺间质纤维化
C.空洞型肺结节
D.肺部病变可先于关节病变
E.大叶性肺实变
241、单项选择题 胸片检查,浸润型肺结核见不到()
A.球形阴影
B.絮状模糊影
C.垂柳状肺纹理
D.肺段、肺叶阴影,空洞形成
E.粟粒状、结节状多发病灶
242、单项选择题 包裹性胸腔积液的好发部位是()
A.后胸壁和侧胸壁
B.前、后肋膈角
C.叶间裂
D.前胸壁
E.肺尖部
243、单项选择题 甲种工作条件是指1年照射的有效量剂量有可能超过()
A.20mSv
B.15mSv
C.10mSv
D.5mSv
E.25mSv
244、多项选择题 肺癌支气管动脉造影的异常表现是()
A.支气管动脉迂曲扩张
B.支气管动脉分支紊乱呈网状
C.支气管动脉闭塞
D.支气管动脉起源异常
E.支气管动脉与肺循环分流
245、单项选择题
男,根据其正常骨盆影像图像,判断其最可能的年龄()
A.68岁左右
B.58岁左右
C.18岁左右
D.48岁左右
E.28岁左右
246、单项选择题 高血压心脏病心影呈()
A.主动脉型心
B.靴形心
C.梨形心
D.滴状心
E.横位心
247、判断题 低张力胃、十二指肠气钡双重造影可显示胃小区、胃小沟。
248、单项选择题
男,71岁,脾大、腹水、肝管结石2年,结合图像,最可能的诊断为()

A.正常表现
B.会厌征
C.食管多发憩室
D.食管溃疡
E.食管癌
249、单项选择题 肺部大范围炎症破坏,坏死组织液化并经支气管排出后的结果是()
A.渗出
B.钙化
C.增殖
D.纤维化
E.空洞
250、单项选择题 关于腰椎正位标准片的说法,下列哪项不妥()
A.第1~5腰椎,腰骶关节、两侧骶髂关节对称显示
B.第3腰椎位于照片正中,棘突序列位于椎体正中
C.除第3腰椎各缘呈切线显示外,其余椎体均呈双边显示
D.除腰椎结核外,腰椎正位照片可不包括两侧腰大肌
E.各椎体及其附件结构易于分辨,骨纹理清晰显示
251、填空题 椎弓根峡部不连时,在斜位片上,正常附件的投影形似“猎狗”:被检测横突的投影似___________;椎弓根的轴位投影似一只_________;上关节突的投影似__________;上下关节突之间的峡部似__________;椎弓为____________;同侧和对侧的下关节突似_____________;对侧侧横突为_____________。当峡部出现椎弓裂时,“猎狗”的颈部出现一纵向的_____________。
252、问答题 十二指肠、小肠、结肠正常造影时X线表现如何?
253、填空题 纵隔炎症分为4种类型,即_____________、_____________、__________和________________。
254、单项选择题 膈上肋骨摄影,采用的呼吸方式为()
A.浅呼吸后屏气
B.深呼气后屏气
C.深吸气后屏气
D.平静呼吸后屏气
E.腹式呼吸后屏气
255、单项选择题 组成颅顶各骨之间的颅缝,正位片上可见()
A.矢状缝
B.冠状缝
C.人字缝
D.冠状缝及人字缝
E.矢状缝与人字缝
256、单项选择题 关于髌骨侧位摄片的叙述,错误的是()
A.体位与膝关节侧位相同
B.可用于检查周围软组织病变
C.中心线经髌骨后缘垂直入射
D.髌骨与股骨下端应略有重叠
E.为常规投照体位
257、单项选择题 “良性骨肿瘤”发病率的顺序依次为()
A.骨软骨瘤>巨细胞瘤>软骨瘤>骨瘤
B.骨软骨瘤>软骨瘤>巨细胞瘤>骨瘤
C.骨瘤>巨细胞瘤>软骨瘤>骨软骨瘤
D.巨细胞瘤>骨软骨瘤>软骨瘤>骨瘤
E.骨瘤>骨软骨瘤>巨细胞瘤>软骨瘤
258、单项选择题 下列先天性心脏病循环特征描述,哪项不对()
A.主动脉瓣狭窄:肺血正常的无紫绀先天性心脏病
B.肺动脉瓣闭锁:伴肺血减少的紫绀性先天性心脏病
C.完全性大血管转位:伴肺血增多的紫绀性先天性心脏病
D.佛氏窦瘤破入右心室:伴肺血增多的无紫绀先天性心脏病
E.动脉导管未闭:伴肺血增多的紫绀性先天性心脏病
259、名词解释 病理性关节脱位
260、多项选择题 先天性主动脉缩窄的X线表现为()
A.肋骨切迹
B.3字征
C.升主动脉扩张
D.上纵隔阴影增宽
E.降主动脉上段的狭窄后扩张
261、问答题 肺错构瘤的X线表现有哪些?
262、问答题 十二指肠良性肿瘤常见的共同X线表现有哪些?
263、单项选择题 下列关于“乳腺病变”,说法错误的是()
A.“Paget病”有转变为导管癌可能
B.髓样癌,边缘光整
C.只要见到腋下淋巴结,就提示转移
D.细小钙化多见于乳腺管内肿瘤
E.触诊比影像显示的肿块大,则提示恶性可能
264、单项选择题 鼻咽顶前部厚度正常绝对值不超过()
A.5mm
B.10mm
C.15mm
D.20mm
E.6mm
265、填空题 表面骨肉瘤包括___________、__________和_________________。
266、单项选择题 关于肺泡蛋白沉着症的有关叙述中错误的是()
A.弥漫密集分布的粟粒样致密影
B.肺门周围蝶翼形阴影
C.局限性肺气肿及肺不张
D.弥漫分布的网织、结节影
E.自限性疾病预后良好
267、多项选择题 下列脊椎结核的X线表现有()
A.椎体破坏
B.椎间隙变窄
C.椎旁软组织阴影增宽
D.椎旁韧带钙化
E.脊柱后突畸形
268、单项选择题
男,14岁。左大腿下段疼痛,伴高热,体温达39℃。查体:左股骨下段深压痛。
该患者最可能的诊断为()
A.左股骨化脓性骨髓炎
B.左股骨结核
C.左股骨骨瘤
D.左股骨骨肉瘤
E.左股骨囊肿
269、配伍题 纵隔气肿可见于()肺气肿可见于()肺下积液可见于()
A.横膈矛盾运动
B.横膈连续征
C.横膈下降
D.横膈上升
E.假横膈
270、单项选择题 最常用于“子宫输卵管造影”的造影剂是以下哪项()
A.Gd-DTPA
B.钡剂
C.碘泛酸
D.40%碘化油
E.空气
271、判断题 肾返流是肾盂造影检查中出现的一种异常X线表现。
272、单项选择题
女,53岁,因摔倒时手掌着地,感右肘关节肿痛、畸形,X线摄片如图所示,正确的诊断是()
A.右肱骨外髁骨折
B.右肱骨内上髁骨折
C.右肱骨外上髁骨折
D.右肱骨小头骨骺分离
E.以上均不正确
273、单项选择题 中心线以外的射线称()
A.平行线
B.垂直线
C.轴线
D.斜射线
E.中心线
274、多项选择题 影响辐射损伤的因素是()
A.剂量率
B.照射方式
C.照射部位和范围
D.辐射线性质
E.辐射线剂量
275、单项选择题
头颅侧位平片摄片,不能显示的结构有哪些()
a.蝶鞍
b.脑室
c.大脑中心沟
d.血管沟
e.钙化
A.a,b
B.a,e
C.b,c
D.c,d
E.d,e
276、单项选择题
男,38岁,生活在沿海一带,腰背部疼痛半年余,根据所提供的图像,最可能诊断是()
A.石骨症
B.肾性骨病
C.氟骨症
D.成骨性转移瘤
E.骨纤维异常增殖症
277、问答题 强直性脊椎炎的X线表现有哪些?
278、单项选择题 肺血减少见于下列哪种先天性心脏病的()
A.动脉导管未闭
B.室间隔缺损
C.房间隔缺损
D.艾森门格综合征
E.法洛四联征
279、名词解释 反柯莱斯(reversedColles)骨折
280、单项选择题 有关胸腔内生殖细胞瘤,错误的是()
A.多见于20~40岁
B.多起源于胸腺
C.多位于中纵隔
D.可见有脂肪信号
E.可见有囊性信号
281、单项选择题 关于常规上臂侧位摄片的说法,哪项错误()
A.是一个常规位置
B.应包括肩肘两关节
C.上臂长轴应与胶片长轴平行
D.取仰卧位摄片
E.上肢伸直,桡侧近暗盒
282、多项选择题 腹部X线摄影时,右膈下见到气体影的有()
A.内脏转位症
B.肝硬化
C.胃癌
D.肾癌
E.消化道溃疡穿孔
283、单项选择题 CR系统影像信息具有的动态范围是()
A.1:10
B.1:100
C.1:1000
D.1:10000
E.1:100000
284、问答题 泌尿系统X线检查有哪些方法?各有何优势与限度?
285、填空题 脂肪肉瘤按肿瘤所含主要细胞成分不同,可分为________、__________、____________、____________及___________。
286、名词解释 多发溃疡
287、填空题 根据跟骨骨折是否波及距骨下关节分为两大类,即_________________和________________。此外,还有________________、_____________、___________和_________________等不同类型。
288、单项选择题
男,4个月,阴茎、排尿异常4个月,行尿道造影如图所示,最可能的诊断是()
A.正常尿道
B.尿道瓣膜形成
C.尿道下裂畸形
D.尿道憩室
E.尿道重复畸形
289、单项选择题
男,19岁,感胸闷、胸前区隐痛,X线检查如图,最可能的诊断是()

A.胸膜肥厚
B.肺部炎症
C.前纵隔肿瘤
D.中纵隔肿瘤
E.后纵隔肿瘤
290、单项选择题
男,45岁,胸痛,痰中带血2月余,胸片检查如图,最可能的诊断是()

A.右肺结核瘤
B.右肺不张
C.右肺癌
D.右肺炎性假瘤
E.右肺错构瘤
291、多项选择题 下列有关子宫肌瘤的描述,正确的是()
A.常见症状为子宫出血,经量多
B.30岁以上妇女有50%患此病
C.是常见的子宫良性肿瘤
D.有的仅因腹部包块就诊
E.以上均正确
292、单项选择题 升主动脉扩张一般不见于()
A.动脉导管未闭
B.继发孔型房间隔缺损
C.主动脉瓣狭窄
D.梅毒性主动脉炎
E.Marfan综合征
293、多项选择题 痛风的X线表现有()
A.早期为关节周围软组织肿胀
B.骨皮质出现硬化或多处波浪状凹陷
C.关节周围软组织出现结节状钙化影
D.骨性关节面不规则或穿凿状破坏
E.关节间隙变窄,甚至纤维性或骨性强直
294、单项选择题 下列骨肿瘤样病变中,骨质膨胀呈“皂泡状”征象的是()
A.畸形性骨炎
B.孤立性骨囊肿
C.上皮样骨囊肿
D.动脉瘤样骨囊肿
E.骨纤维异常增殖症
295、单项选择题 椎体与椎弓愈合最早的部位是()
A.颈椎
B.胸椎
C.腰椎
D.骶椎
E.尾椎
296、多项选择题 肺动脉狭窄的X线表现有()
A.心脏大小正常或轻度增大
B.肺动脉段明显突向前上方
C.右肺门大于左肺门
D.主动脉结正常
E.肺血较少
297、单项选择题 下列关于乳腺摄影技术中不正确的是()
A.不用或只用单面增感屏
B.低电压
C.只需拍侧位片
D.低电流
E.钼靶
298、单项选择题 连续X线的辐射方式称为()
A.自发辐射
B.受激辐射
C.轫致辐射
D.特征辐射
E.热辐射
299、问答题 哪些X线征象有利于纵隔肿瘤的定性诊断?
300、配伍题 骨质软化是指()骨质增生是指()
A.单位体积内骨组织有机成分正常,而矿物质含量减少
B.单位体积内骨组织无机成分正常,而矿物质含量减少
C.单位体积内骨组织有机成分正常,而矿物质含量增多
D.单位体积内骨量增多
E.单位体积内骨量减少