时间:2025-08-28 06:52:19


1、单项选择题
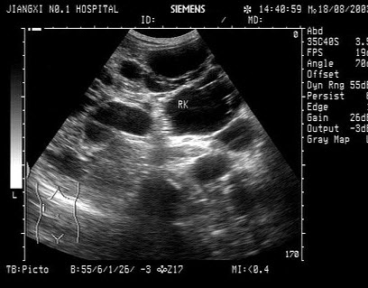
男性,右侧阴囊空虚,左侧可触及,于腹腔见一个椭圆形低回声光团,边界清晰,回声尚均匀,CDFI:血流信号丰富。如图所示,考虑为()
A.隐睾并精原细胞瘤
B.腹腔囊肿
C.腹腔淋巴结
D.畸胎瘤
E.腹腔淋巴瘤
2、单项选择题 眼球有几个腔,眼球内容物有()
A.眼球为一圆形腔隙,内容物有晶状体、玻璃体
B.眼球有两腔:前房、后房,内容物有晶状体、玻璃体
C.眼球有三腔:前房、后房、玻璃体腔,内容物有晶状体、玻璃体
D.眼球有四腔:前房、后房、晶状体腔、玻璃体腔,内容物有晶状体、玻璃体
3、单项选择题 肾盂肿瘤声像图表现()①肾盂内边缘不规则的实性团块②肾集合系统扩张③肿瘤浸润肾实质时肾窦回声杂乱④转移时肾门、肾周淋巴结肿大⑤累及输尿管膀胱⑥CDFI:肾血管移位,分布紊乱,50%显示肿瘤内点状血流信号,高阻血流频谱
A.①②④⑤⑥
B.①②④⑥
C.①②③④⑥
D.①②③④⑤⑥
E.①②④⑤
4、判断题 图像的均匀性是要求在图像的近、中声场中都能得到最清晰的显示。
5、单项选择题
该病例最可能诊断()

A.真性动脉瘤
B.假性动脉瘤
C.夹层动脉瘤
D.以上都不是
E.主动脉瓣狭窄
6、单项选择题 异位妊娠须与下列哪些情况相鉴别()①宫内妊娠②黄体囊肿破裂③盆腔炎性包块④卵巢囊肿
A.①
B.①②
C.①②③
D.①②③④
E.③
7、单项选择题 肝内胆管不包括()
A.毛细胆管
B.小叶间胆管
C.左胆管
D.右胆管
E.胆总管
8、判断题 异位妊娠绝大部分发生在卵巢和宫颈。
9、多项选择题 诊断用超声的安全原则和规定包括()
A.目前使用的简单的B超成像设备在致热方面无禁忌证
B.某些多普勒诊断仪存在显著的升温效应
C.减少声束照射时间可以减少升温效应
D.对生殖系统器官应严格控制照射时间
E.对胎儿和眼睛的检查应严格控制时间及输出功率
10、单项选择题 2~4岁儿童肾脏最常见的恶性肿瘤是()
A.婴儿型多囊肾
B.神经母细胞瘤
C.Wilms'瘤
D.肾上腺样瘤
E.肾癌
11、单项选择题 关于胰腺假性囊肿的叙述错误的是()
A.由胰腺周围积液组成
B.发病后4—6周形成
C.内壁为上皮组织
D.可合并感染
E.可合并有囊壁钙化
12、问答题 如何利用超声监测移植肾?
13、问答题 先兆流产的声像图表现有哪些?
14、单项选择题 结节性甲状腺囊肿的超声特点,哪一项是错误的()
A.颈前部肿大、增粗
B.甲状腺内多个结节
C.结节大小不等、分布不均
D.CDFI示血流丰富,沿结节绕行
E.结节都是实性的
15、问答题 二维超声心动图常用基本切面的图像有哪些?
16、单项选择题 超声声像图上膀胱与直肠间的两个袋状低回声结构是()
A.附睾头
B.前列腺
C.精囊腺
D.睾丸
E.输精管
17、单项选择题 超声能检出阴道哪一部位肿瘤()
A.上1/3
B.中1/3
C.下1/3
D.中下部
E.以上都是
18、判断题 扩张型心肌病M型超声心动图见二尖瓣前、后叶开放幅度小且时间短呈钻石样改变。
19、单项选择题
眶海绵窦瘘的超声表现()
①眼上静脉明显扩张,球后饱满呈多个无回声
②CDFI:扩张的眼上静脉呈红色血流或五彩镶嵌样血流
③CDFI:扩张的眼上静脉呈蓝色血流或五彩镶嵌样血流
④PW:显示动脉静脉化
⑤PW:显示静脉动脉化
⑥同侧颈内动脉血流量增高,Vmax增加,RI降低
⑦对侧颈内动脉血流量减低,Vmax减低,RI增高
A.①②⑤⑥
B.①③⑤⑦
C.①②④⑥⑦
D.①③④⑥⑦
E.①②⑥⑦
20、单项选择题 超声测量以1540cm/s设置速度标尺,下列关于测量的叙述中哪项正确()
A.测量肝、胰、脾、肾的误差小
B.脂肪组织的测量小于真实值
C.胎儿股骨长径的测量大于真实值
D.晶状体的测量无偏差
E.声束垂直时测量误差偏大
21、单项选择题 葡萄胎的声像图特征是()
A.结中结征
B.半岛征
C.牛眼征
D.蜂窝状
E.火海征
22、单项选择题 大腿深部骨组织病变,探测深度达到15cm~18cm,应选用哪种频率的探头()
A.2.0MHz
B.3.5MHz
C.5.0MHz
D.7.5MHz
E.10.0MHz
23、单项选择题 纵切胎儿脊柱平行光带间距变宽、缺损或形成角度,可提示()
A.脊柱融合
B.胎儿骶尾部畸胎瘤
C.脊柱裂
D.胎儿背部畸胎瘤
E.正常脊柱
24、单项选择题 超声最早能在几周诊断早孕()
A.3周
B.4周
C.5周
D.7周
E.6周
25、单项选择题
接收器的功能包括()
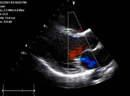
①检波
②压缩
③排斥
④放大
A.②③④
B.①②③④
C.②④
D.①②
E.①②③
26、单项选择题 影响彩色多普勒成像帧频最重要的因素是()
A.彩色增益及深度补偿
B.滤波器的调节
C.彩色标尺的设定
D.彩色取样框大小及深度
E.探头的发射频率
27、单项选择题 下列肝脏疾病哪个不会产生复杂声像图()
A.先天性囊肿
B.血肿
C.出血性囊肿
D.感染性囊肿
E.脓肿
28、单项选择题 声像图上与膀胱肿瘤回声相似而又容易鉴别的疾病是()
A.腺性膀胱炎
B.膀胱内血块
C.前列腺肥大
D.膀胱结核
E.子宫内膜异位症
29、单项选择题 睾丸急性炎症的超声特点是()①睾丸明显增大,表面光滑②睾丸减小,表面不光滑③睾丸回声呈均匀或点片状低回声④睾丸回声明显不均匀,呈增强回声⑤CDFI:睾丸内血流信号明显增多,PW:Vmax增快,RI<0.5⑥CDFI:睾丸内血流信号减少,PW:Vmax减低,RI>0.5
A.①③⑤
B.②④⑥
C.①④⑥
D.②③⑤
E.①③⑥
30、单项选择题 肾脏扫查应在什么时进行()
A.屏气时
B.吸气时
C.呼气时
D.Valsalva动作时
E.以上都是
31、名词解释 动态聚焦
32、问答题 肾上腺嗜铬细胞瘤的声像图表现有哪些?
33、单项选择题 不属于腔内探头的是()
A.阴道探头
B.直肠探头
C.食管探头
D.胃镜探头
E.普通扇型探头
34、单项选择题 关于经阴道超声检查方法学的描述,下述哪一项是错误的()
A.子宫肌瘤较大时,应同时进行经腹超声检查
B.卵巢肿瘤位置较高时,应同时进行经腹超声检查
C.经阴道超声检查常用于胎儿心脏畸形诊断
D.与经腹超声相比,常能清晰显示子宫内膜形态
E.检查前需排空膀胱
35、单项选择题 患者王某,干下型室间隔缺损,左向右分流,用超声检测,要了解其峰值跨隔压差,应检测什么参数()
A.分流血流的收缩期峰值速度(Vs)
B.分流血流的收缩期、舒张期速度比值(S/D)
C.分流血流的平均速度(Vm)
D.分流血流的阻力指数(RI)
E.分流血流的时间速度积分(VTI)
36、单项选择题 超声检测深部骨骼选用多少MHz探头()
A.2.5MHz
B.3.0~3.5MHz
C.5.0~7.5MHz
D.7.5~10MHz
E.10~12MHz
37、单项选择题
女,54岁。反复便秘,腹泻就诊。PE:左中腹可扪及一肿块,质硬,结节状,OB(Ⅱ),结合超声声像图,诊断为()
A.左肾
B.结肠癌
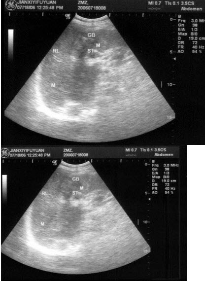
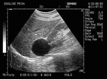
C.肠系膜淋巴结
D.腹膜后肿块
E.肠结核
38、单项选择题 中晚期妊娠常采用下列哪些参数估算孕龄,以提高诊断准确性()①BPD②HC③AC④FL
A.①
B.①②
C.①②③
D.①②③④
E.①③
39、单项选择题 女性,35岁,因发热、下腹疼痛二天就诊。体检:T38.9℃,HR94次/分,心肺(-)妇科检查示左附件区压痛明显,超声诊断为()
A.附件炎性包块
B.宫外孕
C.卵巢癌
D.子宫肌瘤
E.巧克力囊肿
40、单项选择题 临床常用E峰流速,A峰流速,E/A比值及IVRT反映下列哪项()
A.左心局部舒张功能
B.左心整体舒张功能
C.左心收缩功能
D.右心收缩功能
E.心肌传导功能
41、多项选择题 灰阶断面图像的伪影(伪差)有()
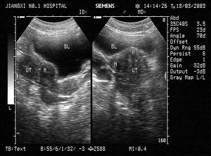
A.混响
B.部分容积效应
C.旁瓣效应
D.折射声影
E.声速差异伪像
42、单项选择题 造成胆囊底部诊断的假阳性或假阴性的主要原因是()
A.肥胖
B.含气肠襻干扰
C.胰腺遮挡
D.胃蠕动
E.消瘦
43、单项选择题 下列不符合子宫增大的原因是()
A.腺肌病
B.先天性子宫畸形
C.子宫肌瘤
D.原发性卵巢功能衰竭
E.子宫体癌
44、单项选择题 从主动脉瓣关闭到二尖瓣开放这一时期称为()
A.等容舒张期
B.等容收缩期
C.心房收缩期
D.快速射血期
E.快速舒张期
45、单项选择题 超声检测阴囊的重要性是()
A.可助诊断阴囊内亚临床的肿块
B.可用于指导睾丸活检
C.可以鉴别睾丸内外的异常
D.以上各项均是
E.以上都不是
46、问答题 肾移植术后肾排异的声像图表现有哪些?
47、单项选择题
声学造影剂须符合下列哪些项要求()
①微泡小,能安全稳定通过肺循环
②可进人心肌或全身血池
③无毒副作用
④能停留相对较长时间
A.①
B.①②
C.①②③
D.②③④
E.以上均须符合
48、单项选择题 二维超声检测左心室用以判断有无冠心病的主要依据是什么()
A.左心室形状改变
B.左心室壁厚径增加
C.节段性室壁运动异常
D.左心室壁收缩期增厚率减低
E.左心室壁收缩运动幅度增大
49、问答题 肝囊肿超声声像图表现?
50、问答题 心房间隔缺损在多谱勒超声心动图上的表现有哪些?
51、单项选择题 主动脉瓣血流速度加快不见于下列哪项()
A.主动脉瓣狭窄
B.主动脉瓣关闭不全
C.甲状腺功能亢进
D.左心衰竭
E.二尖瓣关闭不全
52、单项选择题 为了调节灰阶超声仪器的工作条件达到最佳状况,下列哪项内容不重要()
A.提高空间分辨力
B.提高时间分辨力
C.选择适当的图像前后处理及动态范围
D.调节M型的扫描速度
E.选择适宜的灰阶数
53、单项选择题
正常淋巴结的结构()
①淋巴结表面有一层被膜
②淋巴结表面无被膜
③淋巴结包括皮质和髓质,皮质的淋巴窦致密,髓质的淋巴窦疏松
④淋巴结包括皮质和髓质,皮质的淋巴窦疏松,髓质的淋巴窦致密
⑤淋巴液由皮质淋巴结-淋巴输入管-结内-淋巴窦-淋巴输出管-淋巴门
⑥淋巴液由淋巴门-淋巴输入管-淋巴窦-结内-淋巴输出管-皮质淋巴结
A.①③⑤
B.②④⑥
C.①④⑥
D.②③⑤
E.①③⑥
54、单项选择题
某患者左室长轴切面超声心动图如图所示,诊断为()

A.正常声像图
B.主动脉瓣关闭不全
C.二尖瓣关闭不全
D.室间隔缺损
E.房间隔缺损
55、单项选择题 胎盘早剥的临床和超声表现,下列哪一项是错误的()
A.妊娠晚期阴道出血
B.胎盘覆盖宫颈内口
C.分为胎盘后与边缘出血
D.可导致早产、胎儿死亡
E.系底蜕膜出血,形成血肿
56、单项选择题 一房缺患者,测得三尖瓣返流的最大流速为3m/s,若右房压以10mmHg计,此时估计肺动脉收缩压约为()
A.30~40mmHg
B.40~50mmHg
C.50~60mmHg
D.60~80mmHg
E.>80mmHg
57、单项选择题 双胎间输血综合征主要发生在()
A.双卵双胎
B.单卵双胎
C.A和B均是
D.A和B均不是
E.以上都不是
58、单项选择题 宫内宫外同时妊娠的诊断依据是()①有停经史、阴道出血、下腹痛病史②子宫增大,内见胎囊、胎芽、胎心③子宫外附件区可探及包块或完整的胎囊④子宫直肠窝见无回声区
A.①②
B.①②③
C.②③④
D.①②③④
E.②③
59、单项选择题 嗜铬细胞瘤的声像图表现,哪一项不正确()
A.肿瘤大小差别较大
B.多呈圆形或椭圆形
C.边界呈强回声带
D.肿瘤内为中等回声,有时可见液性无回声
E.都在肾上腺区
60、单项选择题 无并发症的急性附睾炎声像图特征是()
A.附睾头局限性无回声,内有低回声
B.附睾均匀性增大内回声低于正常
C.附睾均匀性增大内回声高于正常
D.阴囊肿大伴局限性或普遍性附睾增厚
E.附睾均匀性增大,血流稀疏
61、单项选择题 脾脓肿USG表现中错误的有()
A.脾轻至中度增大
B.脾内出现无回声区
C.周边有较强回声带环绕
D.回声区可见团状、带状回声
E.脾轻至中度缩小
62、单项选择题 仰卧位下腹部探测输尿管与髂动脉的关系()
A.从前方交叉跨过髂动脉
B.从后方穿过髂动脉
C.与髂动脉内侧平行走形
D.与髂动脉外侧平行走形
E.以上都不是
63、单项选择题 胎儿肾脏最常见畸形是()
A.多囊肾
B.肾脏缺如
C.游走肾
D.肾多发囊肿
E.肾发育不良
64、单项选择题 造成前置胎盘的假阳性超声诊断的原因有()①膀胱过度充盈②子宫局部收缩③子宫肌瘤④羊膜腔外血块⑤膀胱未充盈
A.①②
B.①②③
C.①②③④
D.①②③④⑤
E.①③⑤
65、单项选择题
结合超声图像,该病例肾结石为哪一部位()
A.下极肾盏
B.中极肾盏
C.上极肾盏
D.肾门
E.肾乳头处
66、单项选择题 移植肾特别适于超声观察,因它位于()
A.肾原位的侧方
B.表浅处,无肠或骨结构的干扰
C.肾原位的后方
D.胰腺后方
E.肾原位处
67、单项选择题 超声检查中常用的切面有()
A.矢状面
B.横切面
C.斜切面
D.冠状切面
E.以上都是
68、单项选择题 凸阵扫描探头,临床常用于何部位的检查()
A.腹部
B.乳房
C.睾丸
D.甲状腺
E.头颅
69、单项选择题 组织内的声衰减程度的一般规律下列哪项是错误的()
A.血液较肝脏声衰减小
B.肝脾比骨组织衰减程度大
C.液体内含蛋白成分的声衰减增加
D.肌肉组织比肌腱衰减小
E.组织内含胶原和钙质越多,声衰减越大
70、单项选择题 在异位妊娠中超声显示宫内假性胎囊占()
A.60%
B.50%
C.40%
D.20%
E.10%
71、单项选择题 正常附睾的声像图表现是()
A.附睾头、尾分别位于睾丸的后上方和下极下方,呈半圆形或新月形
B.附睾体最薄,连于头、尾之间
C.其内部回声略低于睾丸回声
D.头、尾与睾丸紧贴,体部疏松相连
E.以上都是
72、单项选择题 眼部超声检查的频率应选择()
A.2.5MHz
B.3.5MHz
C.5.0MHz
D.大于或等于7.5MHz
E.以上都不对
73、问答题 经腹部超声检查盆腔脏器为什么要充盈膀胱?
74、单项选择题
患者,男性,70岁,出现无痛性血尿,如图所示,该病例最可能的诊断为()
A.膀胱结石
B.膀胱血块
C.膀胱异物
D.膀胱肿瘤
E.前列腺增生
75、单项选择题 肝脓肿的临床表现包括()①寒冷②发热③右上腹疼痛
A.①
B.①②
C.①②③
D.②③
E.①③
76、单项选择题 移植肾正常声像图表现()
A.肾窦增大
B.较正常肾脏回声更多
C.皮质薄而髓质锥体增加
D.与正常肾脏声像图一致
E.常位于肾窝内
77、单项选择题 孕8个月,无痛性阴道流血,首先应考虑()
A.输卵管妊娠并出血
B.前置胎盘
C.胎盘早剥
D.葡萄胎
E.先兆流产
78、多项选择题 卵巢癌USG声像图表现为()
A.盆腹腔内较大肿块,可为双侧性
B.肿块形态不规则,边界不清
C.肿块回声杂乱
D.分隔形成的带状回声厚薄不均
E.可发现肿瘤的腹膜种植及肝转移等异常
79、单项选择题
男,62岁,直肠肿瘤术后半年。结合超声声像图,诊断为()
A.肝血管瘤
B.肝囊肿
C.结节性肝硬化
D.转移性肝癌
E.肝脓肿
80、单项选择题 进行心肌超声造影,对造影剂有什么要求()
A.微气泡直径小于5μm
B.微气泡要有厚的包裹膜
C.微气泡的压缩系数要小
D.微气泡密度要高
E.微气泡直径要大(大于红细胞)
81、单项选择题
女性,41岁,有阵发性高血压病史,超声检查如图所示,该病例最可能诊断()
A.腺瘤
B.肾脏肿瘤
C.嗜络细胞瘤
D.髓样脂肪瘤
E.肾上腺转移瘤
82、判断题
如图,颈动脉壁上异常光团提示动脉壁粥样斑块硬斑形成。

83、单项选择题 关于精索静脉曲张的超声描述,哪一项是错误的()
A.多发生于左侧
B.发现于阴囊根部
C.精索静脉≤2mm
D.检出静脉反流信号
E.精索静脉≥3mm
84、单项选择题 下列哪项不是盆腔良性肿瘤()
A.卵巢纤维瘤
B.皮样囊肿
C.库肯勃瘤
D.子宫内膜腺肌瘤
E.子宫浆膜下肌瘤
85、单项选择题 下列关于卵巢巧克力囊肿的描述,错误的是()
A.半数以上累及双侧卵巢
B.囊肿直径多>5cm
C.单发或多发囊肿
D.病理为黄体囊肿
E.囊肿常与邻近结构粘连
86、单项选择题
患者男46岁,既往有胆囊结石病史,上腹部疼痛不适年余,加重1个月,皮肤、巩膜轻度黄染,B超检查如图所示,根据超声声像图,诊断为()


A.胆囊结石并胆囊炎,肝血管瘤
B.胆囊结石并胆汁淤积,肝血管瘤
C.胆囊结石并胆囊癌,肝转移性癌
D.胆囊结石并肝癌
E.胆囊结石并胆息肉,肝转移性癌
87、单项选择题
患者,男,42岁,腹痛、呕吐。结合超声声像图,最可能的诊断是()
A.腹膜炎
B.阑尾炎
C.肠梗阻
D.肠道占位
E.肠穿孔
88、名词解释 妊娠囊
89、单项选择题 肝门中部较强回声由下列哪部分组织引起()
A.血管
B.淋巴结
C.胆管结构
D.神经
E.韧带
90、单项选择题 彩超技术中,MTI的主要作用是()
A.高速数据处理
B.滤除室壁运动的强回声信号
C.调节分层增益
D.数模转换
E.彩色编码
91、单项选择题 超声系统可控制的最大能量与最小能量之比为下列哪种()
A.动态范围
B.抑制
C.增益
D.放大因数
E.分贝
92、单项选择题 切面(断层)厚度伪像也称部分容积效应伪像与下列哪项有关()
A.超声束较宽
B.超声发射频带过宽
C.超声发射频率较低
D.超声发射能量较低
E.超声发射的重复频率过低或过高
93、单项选择题
图示3所指部位()
A.脾静脉
B.腹主动脉
C.肠系膜上动脉
D.胰头
E.左肾静脉
94、单项选择题
超声纵向分辨力为()
①区分平行于超声束的两个物体的能力
②区分垂直于超声束的两个物体的能力
③与深度、纵向和区域分辨力相同
④与方位、角度及横向分辨力相同
A.①③
B.②④
C.①②③
D.①②④
E.①②
95、填空题 USG可作为肾上腺病变的初查方法,其可发现较大的_____。
96、单项选择题 葡萄胎声像图上,多数直径3~5mm无回声的囊泡,最大可能是什么()
A.宫腔积液
B.钙化
C.黄体囊肿
D.水肿绒毛
E.胎儿部分
97、单项选择题
某患者右肾区疼痛数日,体温38℃。根据该患者右肾声像图表现,最可能的超声诊断为()
A.肾周围炎
B.肾炎
C.肾结石
D.肾结核
E.肾周血肿
98、单项选择题 目前临床上腹部最常用的超声仪器是()
A.A型超声仪
B.B型超声仪
C.D型超声仪
D.M型超声仪
E.以上都不是
99、单项选择题 超声检查见颈总动脉壁内膜分离,将血管分成真假两个腔,分离的内膜回声随心动周期不停的摆动。彩色多谱勒超声见真腔内血流大致正常,假腔内血流紊乱,呈五彩镶嵌样表现,请就此超声表现作出诊断()
A.真性颈动脉瘤
B.假性颈动脉瘤
C.夹层颈动脉瘤
D.颈动脉扭曲
E.颈动脉体瘤
100、单项选择题 关于葡萄胎超声表现,下列哪项是正确的()
A.子宫小于孕期
B.双侧卵巢正常
C.子宫大于孕期
D.宫腔内无血流显像
E.卵巢黄素囊肿是诊断葡萄胎的唯一征象
101、单项选择题 畸胎瘤内容物可由下列哪些组织构成()①脂肪②毛发③骨骼④牙齿
A.②③④
B.①②③
C.①③④
D.①②③④
E.①③
102、单项选择题
患者全身骨关节疼痛,有肾结石病史。行超声检查甲状腺,如图。最可能的诊断为()
A.甲状腺腺瘤
B.甲状腺癌
C.甲状旁腺腺瘤
D.甲状腺囊肿
E.以上均不是
103、单项选择题 弥漫性恶性葡萄胎CDFI的特点是()
A.子宫肌层大小不等无回声区内血供不丰富,偶见动脉血流信号,RI>0.5
B.子宫肌层呈非均匀性混合回声,内见明亮、丰富、五彩斑斓低速血流,RI<0.4
C.子宫肌层弥漫性分布大小不等无回声区,内见扩张的血管,血流丰富呈繁星点状或花环状,为低速动脉血流,RI<0.4~0.5
D.子宫肌层回声杂乱,内见明亮、丰富、五彩斑斓高速血流,RI>0.4~0.5
E.以上都错
104、单项选择题 关于影响声束形态、大小和能量分布的因素,错误的是()
A.探头的形状和大小
B.探头阵元数及其排列
C.分辨率
D.探头频率
E.聚焦方式
105、单项选择题 胎囊长径1cm,前后径1cm,横径2cm,计算胎囊平均直径是()
A.1.1cm
B.1.3cm
C.1.5cm
D.2.5cm
E.2.0cm
106、单项选择题 甲状腺炎声像图表现是()
A.甲状腺缩小,回声增强
B.弥漫性甲状腺肿大回声无改变
C.甲状腺内多个无回声
D.弥漫性甲状腺肿大回声减低
E.甲状腺体积增大,回声增强
107、单项选择题 超声可以显示最小多少厘米的甲状腺结节()
A.甲状腺内所有结节
B.甲状腺内>1cm结节
C.甲状腺内<0.5cm结节超声无法显示
D.甲状腺内>0.2cm结节超声均可显示
E.以上均不是
108、单项选择题 宫内生长迟缓常发生在多少孕周后()
A.15周
B.20周
C.26周
D.32周
E.24周
109、单项选择题 对诊断胎儿十二指肠闭锁最有帮助的声像图表现是()
A.肠管脱向脐带
B.双泡征
C.胃腔明显增大
D.声像图不能显示胃泡
E.羊水多
110、单项选择题 肌瘤与肌壁间有衰减裂隙,为低回声区,这是哪种子宫肌瘤的声像图特点()
A.肌壁间肌瘤
B.粘膜下肌瘤
C.浆膜下肌瘤
D.阔韧带肌瘤
E.以上都是
111、单项选择题 胸骨左缘声窗检查心脏的短轴切面图,下列哪一项是错误的()
A.主动脉弓短轴切面图
B.乳头肌水平短轴切面图
C.腱索水平短轴切面图
D.二尖瓣水平短轴切面图
E.大动脉短轴切面图
112、判断题 脂肪肝USG表现为光亮肝,肝血色素沉着病MRI表现为黑肝。
113、单项选择题
根据声像图,最可能的诊断为()
A.肝囊肿
B.肾囊肿
C.肾上腺囊肿
D.嗜咯细胞瘤
E.肾脓肿
114、单项选择题
如图,初步超声诊断为()

A.二尖瓣返流
B.三尖瓣返流
C.主动脉瓣返流
D.肺动脉瓣返流
E.二尖瓣狭窄
115、单项选择题 当进行彩色多普勒检查时,如彩色血流显示不佳,有许多辅助调节,下列哪一项是重要的调节()
A.调节监视器的亮度
B.调节监视器的对比度
C.调节灰阶图像的动态范围
D.调节灰阶图像的前后处理
E.调节多普勒的增益
116、单项选择题 下列哪一项对诊断胎儿食管闭锁无帮助()
A.胃泡未显示
B.羊水多
C.胎儿异常吞咽动作
D.肠管扩张
E.胎儿反吐
117、单项选择题 声强的准确定义()
A.超声换能器发射脉冲超声,其发出的最大时间峰值
B.描述超声能量大小的一种物理量,即超声束在单位时间通过单位横截面积的超声能量
C.在脉冲重复频率的最长间隔时间内平均声强
D.超声波穿过组织时的强度
E.超声的频率
118、多项选择题 引起闪烁伪像的原因包括()
A.大血管搏动
B.结石
C.呼吸运动
D.组织震颤
E.心脏搏动
119、单项选择题 腮腺囊肿的超声表现是()
A.形态规整,多呈圆形或多边形
B.轮廓边界完整,呈锯齿状
C.内呈不均质混合回声
D.透声性欠佳,后方轻度衰减
E.边界完整,内为无回声,后方回声增强
120、单项选择题 人体组织与体液中,下列哪种最能使声衰减程度加重()
A.胆汁
B.血液
C.脂肪
D.胶原纤维
E.钙质
121、单项选择题
为了计算一个反射物的距离,必须知道()
①传播速度
②脉冲往返时间
③反射因素
A.①②③
B.①②
C.①③
D.②③
E.①
122、单项选择题 子宫内膜异位症的声像图表现,下列哪一项不正确()
A.囊内可见不均匀点状回声
B.在月经期检测时,常可发现肿快缩小
C.无回声区内细小强回声可随体位移动
D.呈圆形或不规则形
E.囊壁厚
123、单项选择题
某患者下腹部声像图表现,根据箭头提示,最可能的诊断为()
A.前列腺囊肿
B.膀胱憩室
C.前列腺癌
D.精液囊肿
E.膀胱肿瘤
124、单项选择题 完全性心内膜垫缺损Ⅲ型超声声像图特征是()
A.房间隔下端连续中断
B.左右房室瓣分离各有腱索与室间隔相连
C.二尖瓣前叶腱索附着于室间隔右室面
D.左右房室瓣共瓣,无腱索相连
E.右房室及肺动脉扩张
125、单项选择题 以下哪项不会引起肝脏上移()
A.结肠极度扩大
B.腹水
C.腹部肿瘤
D.膈下脓肿
E.腹部极度肿大脏器
126、单项选择题
某患者血管超声彩色多谱勒检查,如图所示,诊断为()

A.正常动脉层流频谱
B.正常静脉层流频谱
C.异常动脉频谱
D.异常静脉频谱
E.以上都不是
127、单项选择题
图中标记处为()
A.肝左外上叶占位
B.肿大淋巴结
C.肝尾状叶
D.肝内占位性病变
E.肿大淋巴结
128、填空题
如图,二维超声心动图中,此为____________切面。

129、单项选择题 异位妊娠时,人类绒毛膜促性腺激素(HCG)滴度一般是()
A.比正常宫内妊娠稍高
B.比正常宫内妊娠低
C.比正常宫内妊娠高50%
D.比正常宫内妊娠高100%
E.与正常宫内妊娠相同
130、单项选择题 肝内血管纹理减少最常见于()
A.肝硬化
B.门静脉梗阻性疾病
C.布加综合征
D.急性重症肝炎
E.脂肪肝
131、单项选择题 肝豆状核变性与下列哪项元素代谢失常有关()
A.锌
B.铁
C.硒
D.铜
E.铝
132、单项选择题 腹围主要反应哪个内脏器官发育情况()
A.胃
B.脐静脉
C.肾
D.肝
E.脾
133、单项选择题 用于医学上的超声频率通常为()
A.1MHz以下
B.2MHz
C.40MHz
D.20~40MHz
E.2.5~10MHz
134、填空题
某患者心脏二维超声示意图,图中异常光团,最可能诊断为________。

135、单项选择题 胎盘早剥是指()
A.胎盘后出血
B.胎盘边缘出血
C.A和B均是
D.A和B均不是
E.胎盘覆盖于宫颈内口
136、单项选择题 下列哪项与甲状腺腺瘤无关()
A.圆形或椭圆形肿物,边缘光滑,有包膜,周围有晕征
B.内部为实性低回声、增强回声、等回声
C.囊性变或出血时呈混合性回声,甚至无回声,乳头状囊腺瘤的囊壁可见乳头状或团块状突起
D.肿物后方回声明显衰减
E.肿物周边声晕处可见丰富的动静脉血流,内部乳头上可见少量血流分布
137、单项选择题 子宫内膜异位症用性激素治疗的主要作用是()
A.调节月经周期
B.减轻痛经程度
C.安慰性治疗
D.抑制排卵
E.促使排卵
138、单项选择题 以下哪种成像技术,不属于“数字影像”范畴()
A.DSA
B.DR
C.CT
D.CR
E.US
139、单项选择题 关于前列腺正常解剖的描述,哪项不对()
A.分周边带、中央带、移行带
B.CT横断面测量与前列腺实际大小一致
C.良性增生,移行带居多
D.前列腺癌,多起于周边带
E.MRI扫描,常能清晰显示前列腺段尿道
140、单项选择题 以下哪一种技术属于频谱多普勒技术()
A.彩色M型
B.连续脉冲多普勒技术
C.彩色多普勒能量图
D.伪彩色编码二维显像
E.彩色多普勒血流显像
141、单项选择题
用超声作为软组织显像技术的优点为()
①无损伤
②对病人和操作者都安全
③可明确地显示出软组织的功能
A.①
B.①②
C.①②③
D.①③
E.②③
142、问答题 什么情况下需要作胎儿超声心动图?
143、单项选择题 心下型的完全型肺静脉异常回流超声所见()
A.四条肺静脉回流到冠状静脉窦
B.肺总静脉回流到上腔静脉
C.肺静脉回流到下腔静脉
D.肺静脉直接回流到右房
E.四条肺静脉回流到颈静脉
144、单项选择题 心包积液时,超声表现下列哪项不对()
A.当液性暗区超过25mm时,积液量常大于1000ml
B.少量积液即可显示清楚
C.少量积液多见于右室前壁之前
D.大量积液时,下腔静脉增宽
E.坐位探查时心尖部液性暗区加宽
145、单项选择题 晚孕时测量双顶径8.6cm(35周)、头围32.5cm(36周)、腹围32.7cm(37周)、股骨长7.3cm(38周),经多参数测量孕龄是多少周()
A.36周
B.36.5周
C.37周
D.37.5周
E.38周
146、单项选择题 下列不符合重度脑积水超声表现的是()
A.脑中线明显偏移
B.脑实质回声消失
C.侧脑室过度扩张
D.头围等于腹围
E.脑室率大于0.5
147、单项选择题 心肌和脑组织的衰减程度属于()
A.极低
B.低
C.中等
D.高
E.极高
148、单项选择题 非镜面反射体是()
A.肝脏表面
B.膈肌
C.红细胞
D.不产生强回声的任一结构
E.以上都不是
149、单项选择题
女性,25岁,停经47天,阴道不规则出血1周。尿妊娠试验阳性。结合超声图像,最可能的诊断为()
A.附件炎性包块
B.宫外孕
C.卵巢癌
D.子宫肌瘤
E.畸胎瘤
150、单项选择题 室间隔的解剖要点,下述哪一项是错误的()
A.分为膜部与肌部
B.位于左右心室间
C.大部由心肌组成
D.膜部在下,肌部在上
E.其上部紧邻主动脉
151、单项选择题 下列哪种超声检测方法诊断宫内死胎最可靠()
A.多参数实时扫查
B.多普勒
C.M型
D.音频数据
E.二维超声
152、单项选择题 关于回声强度的描述,不正确的是()
A.皮下脂肪组织为低回声
B.肾皮质为等回声
C.均质的固体可呈无回声
D.正常软骨为高回声
E.血液中混有微气泡时可引起回声增强
153、单项选择题 前列腺解剖学分叶中,易发生增生的腺叶是()
A.前叶和中叶
B.中叶和后叶
C.中叶和左右侧叶
D.左右侧叶与后叶
E.左右侧叶与前叶
154、单项选择题 患者绝经后不规则阴道出血,声像图无明显改变,应怀疑什么疾病,最后确诊要靠哪项检查()
A.粘膜下小肌瘤,血HCG
B.子宫内膜小息肉,诊断性刮宫
C.早期子宫肉瘤,血HCG
D.早期子宫内膜癌,诊断性刮宫
E.粘膜下小肌瘤,宫腔镜检
155、单项选择题
甲状腺恶性肿瘤的超声特点为()
①肿瘤边界不规整呈蟹足样改变,分化程度高的癌瘤边缘整齐,有晕环
②肿瘤边界不规整呈蟹足样改变,分化程度低的癌瘤边缘整齐,有晕环
③肿块呈低回声伴砂粒体钙化,大小1~2mm,后方衰减或无变化
④肿块呈低回声伴钙化斑,后伴声影
⑤CDFI:血供极丰富,肿块内及周边有动脉频谱
⑥CDFI:血供不丰富,肿块内少许星点状血流信号
A.①④⑤
B.②③⑥
C.①③⑤
D.②④⑥
156、单项选择题 随着超声仪器的更新,现扫查甲状腺采用的探头频率及方法()
A.3.5兆赫探头,加用水囊法
B.5兆赫探头,采用直接接触法
C.<7兆赫探头,采用直接接触法
D.7~10兆赫探头,采用直接接触法
E.10兆赫探头,加用水囊法
157、单项选择题 传播超声波的媒介物质叫()
A.耦合剂
B.介质
C.探头
D.晶片
E.超声波
158、单项选择题 血流速度增快,流量加大,彩色多普勒显像的血流信号将会有何变化()
A.亮度提高
B.亮度降低
C.亮度不定
D.亮度变换不定
E.以上都不是
159、名词解释 腹膜后肿块
160、单项选择题 乳腺炎的超声特征是()
A.乳腺内回声增强,分布不均,边界清
B.乳腺内回声增强,分布不均,边界模糊欠清
C.乳腺内回声中等,分布不均,边界清
D.乳腺内回声减低,分布均,边界模糊欠清
E.乳腺内回声减低,分布不均,边界清
161、单项选择题 关于空间分辨率的影响因素,下列叙述中正确的是()
A.频率越高,则纵向分辨率越差
B.实际上,轴向分辨率约为波长的1/2
C.横向分辨率仅与声束宽度有关
D.声束越宽,侧向分辨率越差
E.近场与远场的空间分辨率相同
162、问答题 子宫腺肌症的声像图表现有哪些?
163、单项选择题 超声诊断利用超声的主要物理原理是()
A.辐射
B.反射
C.衍射
D.散射
E.折射
164、单项选择题 心肌收缩功能的主要测量指标是()
A.左室压力最大下降速率
B.舒张期压力减半时间
C.室壁收缩期增厚率
D.心输出量
E.Simpson公式测心室容积
165、单项选择题 下列哪项是眼球内异物的声像图表现()
A.斑点状强回声,部分后伴声影
B.斑点状强回声,大多不伴声影
C.星状回声
D.尾随回声与隆起现象
E.以上都是
166、单项选择题 二尖瓣血流频谱哪项不对()
A.系收缩期正向血流频谱
B.呈双峰型
C.正常时E峰流速大于A峰
D.呈空心层流
E.在老年人中可表现为A峰>E峰
167、单项选择题 股骨长径与腹围比率正常值是()
A.20±2
B.22±2
C.26±2
D.>28
E.18±2
168、单项选择题
女性,56岁,消瘦、腹部膨隆3月余。妇科检查:盆腔触及包块。超声检查如图,最可能的诊断为()
A.转移性卵巢癌
B.囊腺癌
C.黄体囊肿
D.黄素囊肿
E.囊腺瘤
169、单项选择题 下列哪项是葡萄胎灰阶图像的特征()
A.暴风雪状
B.小囊状
C.斑点状
D.钙化
E.以上全部
170、单项选择题
患者男56岁,上腹部不适1年余,B超检查如图所示,根据超声声像图,诊断为()
A.胆囊结石
B.胆囊息肉
C.胆囊癌
D.胆囊腺瘤
E.胆囊腺肌瘤
171、单项选择题 介入性超声可分为几大类,下列哪个是正确答案()
A.两类,介入性诊断和介入性治疗
B.三类,经皮穿刺、体腔内超声和手术中超声
C.四类,穿刺活检、造影、抽吸引流、注药导入能量
D.五类,穿刺活检、体腔内超声、造影、抽吸引流、注药导入能量
E.以上都不对
172、单项选择题 产生声影可能性最小的是()
A.骨质界面
B.手术钢夹
C.胆结石
D.气体界面
E.肾结石
173、单项选择题 患者下肢水肿、心悸,该病例诊断最可能是()
A.心包积液
B.心包缩窄
C.心包肿瘤
D.室壁瘤
E.限制性心肌病
174、名词解释 B模式
175、判断题 血管三维可用于分析其分布、走行、空间定位。
176、单项选择题 卵巢黏液性囊腺瘤声像图表现,不正确的是()
A.囊壁均匀光整
B.囊壁边界不清晰
C.无回声区内有细小点状回声
D.少数有乳头状物
E.直径多在10cm以上
177、单项选择题 以下哪种情况是彩色多普勒血流显像仪质量好的主要标志()
A.灰阶显像分辨率高
B.检出低速血流的敏感度高,抗低频噪音信号能力强
C.可连接外设多
D.功能多、性能价格比高
E.具备升级潜能
178、单项选择题 子宫大于孕月见于()①多胎②子宫肌瘤③羊水过多④月经日期不准确⑤葡萄胎⑥羊水过少
A.①②③
B.①②③④
C.①②③④⑤
D.①②③④⑤⑥
E.⑥
179、单项选择题
女性,43岁,因月经量多,经期时间长,月经周期短就诊。体检:子宫体积大,表面不平整。结合超声图像,最可能的诊断为()
A.子宫内膜癌
B.宫颈癌
C.多发性子宫肌瘤
D.葡萄胎
E.子宫腺肌瘤
180、单项选择题 肝方叶与尾状叶的分界标志()
A.静脉韧带
B.门静脉左支矢状段
C.门静脉左支横段
D.肝左静脉
E.肝圆韧带
181、问答题 荡击波征是什么?
182、单项选择题 频谱多普勒可以测量血流的哪些数据()①收缩期峰值速度(Vs),cm/s②舒张期峰值速度(Vd),cm/s③全心动周期的平均速度(Vm),cm/s④速度时间积分(VTⅠ),即频谱包络线下的面积⑤搏动指数(PⅠ),PI=Vs-Vd/Vm;阻力指数(RⅠ),RI=Vs-Vd/Vs⑥收缩期与舒张期速度比值(S/D)⑦加速时间(AT)⑧平均加速度(Mav)⑨减速时间(DT)⑩平均减速度(Mdv)
A.①②③
B.④⑤⑥
C.⑦⑧
D.⑨⑩
E.以上各项均可
183、单项选择题 超声波是如何发生的()
A.换能器的逆压电效应
B.换能器的压电效应
C.换能器向人体发送电信号
D.换能器的热效应
E.换能器的磁效应
184、单项选择题
患儿青紫,存室间隔缺损,如图所示,诊断最可能()

A.肺动脉瓣狭窄
B.主动脉内径增宽
C.法洛四联症
D.法洛三联症
E.房间隔缺损
185、单项选择题
该男,30岁,血压正常范围,心电图正常,T3,T4正常,该病例最可能的诊断()

A.冠心病
B.高血压心脏病晚期
C.甲状腺功能亢进型心脏病
D.扩张型心肌病
E.肥厚性心肌病
186、单项选择题 没有被腹膜所覆盖的肝脏部分称为()
A.方叶
B.尾状叶
C.裸区
D.右后叶
E.左叶
187、单项选择题
室间隔缺损,以上室间隔缺损属于哪型()

A.膜部室间隔
B.干下型
C.隔瓣下型
D.肌型
E.脊内型
188、单项选择题 增加脉冲重复周期可()
A.改善分辨力
B.增加最大显示深度
C.减少最大显示深度
D.增大折射
E.无意义
189、单项选择题
超声引导穿刺前用水槽实验证实探头引导穿刺的准确性应注意观察()
①针尖呈清晰强回声
②针尖呈清晰弱回声
③针尖正好沿穿刺引导线推进
④针尖沿穿刺引导线推进,允许偏差程度:引导线左右5度
⑤穿刺者刺中目标后停针不动,仅观察荧屏,助手观察针尖是否刺中目标
⑥穿刺者刺中目标后,观察荧屏和针尖是否刺中目标
A.①③⑤
B.②④⑥
C.①④⑥
D.②③⑤
E.①④⑤
190、单项选择题 下列哪一项不是卵巢实质性恶性肿瘤()
A.绒毛膜上皮瘤
B.无性细胞瘤
C.实性畸胎瘤
D.内胚窦瘤
E.肉瘤
191、单项选择题 下列哪项属于彩色多普勒技术()
A.二维灰阶显像
B.多普勒频谱
C.造影剂增强血流信号
D.伪彩色编码二维显像
E.M型超声(超声心动图)
192、单项选择题 子宫肌瘤彩色多普勒经腹超声特征是()
A.肌瘤中心见丰富血流,分布规则
B.肌瘤中心见丰富血流,分布杂乱
C.肌瘤周围显示血流,呈环状或半环状
D.肌瘤内多见极丰富血流
E.无血流
193、单项选择题
患者男,21岁,发现睾丸无痛肿块,局部不规则,结合超声图像,最可能的诊断是()
A.精原细胞瘤
B.睾丸畸胎瘤
C.精母细胞瘤
D.睾丸腺癌
E.睾丸囊肿
194、单项选择题 急性胆囊炎可伴有()①右上腹痛②Murphy征阳性③结石嵌顿于胆囊管④发热及白细胞升高
A.①
B.①②
C.①②③
D.②④
E.以上各项均是
195、单项选择题
根据超声图像,该病例最可能的诊断()
A.肾上极囊肿
B.肾脏积水
C.肾脏肿瘤
D.重复肾
E.肾脓肿
196、单项选择题
患者发现颈部无痛性肿块数年。甲状腺超声见左侧甲状腺一肿块,如图。最可能的诊断为()
A.甲状腺癌
B.结节性甲状腺肿
C.甲状腺炎
D.甲状腺囊腺瘤
E.甲状腺囊肿
197、单项选择题
男性,阴囊肿大,表皮温度高,触痛明显,超声见附睾尾体积增大,CDFI:血流信号丰富,如图所示,考虑为()
A.附睾炎
B.睾丸炎
C.附睾结核
D.睾丸结核
E.精索静脉曲张
198、单项选择题
患者,男性,甲状腺一侧可触及包块,超声见边界清晰的低回声光团,包膜完整。如图所示,最可能的诊断为()
A.甲状腺腺瘤并囊性变
B.甲状腺炎
C.结节性甲状腺肿
D.甲状腺癌
E.甲状腺囊肿
199、单项选择题 室间隔的解剖特点,下列哪一项是正确的()
A.比房间隔薄
B.由纤维组织构成
C.胚胎时期有卵圆孔使两侧心室相通
D.分隔左、右心室
E.构成肺动脉壁
200、单项选择题 关于肾脏炎症性肿块的症状,错误的是()
A.低血糖
B.胁腹部痛
C.寒战
D.发热
E.血尿
201、单项选择题 彩色多普勒技术不可以与下列哪种技术并用()
A.二维超声显像
B.频谱多普勒
C.三维超声显像
D.M型超声心动图
E.以上都不是
202、单项选择题 男性,40岁,脾脏肿大,回声轻度减低,实质内探及多个圆形低回声及无回声结节,边界清楚。可提示诊断为()
A.脾恶性淋巴瘤
B.脾结核
C.脾梗死
D.脾血管瘤
E.脾转移癌
203、单项选择题
男,有高血压病史,腰部触及包块,超声检查如图所示,最可能的诊断是()
A.肾重度积水
B.多发性肾囊肿
C.多囊肾
D.肾多囊性发育异常
E.肾脓肿
204、单项选择题
从多普勒频谱图上能了解到血流的参数是()
①血流性质
②时相
③方向
④速度
A.①②
B.③④
C.①②③④
D.①④
E.①③
205、单项选择题 肾皮质脓肿声像图特点是()
A.患部肾外形增大,局部隆突
B.肾内局部出现低回声区,边界不清
C.低回声区处与肾周围组织粘连,使肾活动明显受限,此为主要诊断依据
D.经抗感染治疗后低回声肿块逐渐消散
E.以上均是
206、单项选择题 观察不同器官和部位彩色多普勒血流信号,何项选择不妥()
A.心脏、大血管选用2.5MHz探头
B.成人肝内门静脉:2.5~3.5MHz
C.乳房:7~10MHz
D.甲状腺:7MHz
E.周围血管:2.5~3.5MHz
207、单项选择题 视神经全长多少毫米,分几段,超声检测可显示哪几段()
A.<33mm,3段,各段
B.33~55mm,4段,球壁、眶内段
C.33~55mm,4段,球壁、眶内、管内段
D.55mm,4段,球壁、眶内、颅内段
E.60mm,4段,球壁、眶内、颅内段
208、单项选择题 下列哪项与超声波灰阶无关()
A.信号动态范围
B.增益及深度增益补偿
C.图像后处理
D.M型的扫描速度
E.聚焦点数或聚焦范围
209、单项选择题 人体软组织在37℃时,超声声速为()
A.1540米每秒
B.1540英里每秒
C.1500英里每秒
D.1500米每秒
E.1540千米每秒
210、单项选择题 子宫正常位于()
A.膀胱前方,直肠后方
B.膀胱后方,直肠前方
C.膀胱上方,直肠前方
D.膀胱下方,直肠后方
E.膀胱左侧,直肠右侧
211、单项选择题 正常人的膀胱容量约为()
A.300ml以下
B.400ml左右
C.500ml左右
D.600mL左右
E.700mL左右
212、单项选择题 男,26岁,4年前因车祸脾切除现无明显不适。超声检查见脾区有一类圆形结节,实质回声与脾脏相似,边界清楚。其可能的提示为()
A.血管瘤
B.陈旧性血肿
C.副脾
D.炎性肿块
E.以上都不是
213、单项选择题 肥厚型梗阻性心肌病,下列正确的是?()
A.室间隔及左室后壁明显增厚,左房内径增大
B.二尖瓣前叶(SAM)征象
C.主动脉瓣中期关闭现象
D.左室流出道高速射流
E.以上都是
214、单项选择题
如图切面称为哪种超声心动图切面()

A.心尖四腔
B.心尖短轴
C.左室长轴
D.心尖二腔
E.大动脉短轴
215、单项选择题
患者女27岁,体检B超检查如图所示,根据超声声像图,诊断为()
A.胆囊息肉
B.胆囊结石
C.胆囊腺瘤
D.胆囊癌
E.胆囊蛔虫
216、单项选择题
图示5所指部位()
A.脾静脉
B.腹主动脉
C.胰头
D.下腔静脉
E.肠系膜上静脉
217、填空题
如图,二维超声心动图中,此为____________切面。

218、单项选择题
两个月患儿如图所示,该病例诊断最可能是()

A.主动脉弓扩张
B.主动脉弓狭窄
C.升主动脉扩张
D.主动脉粥样斑块
E.以上都不是
219、单项选择题 以下哪项不属于左冠状动脉()
A.窦房结动脉
B.对角支
C.穿支
D.前降支
E.左旋支
220、填空题 脐带绕颈时,若绕颈1周USG表现为___________,绕颈2周表现为___________,绕颈3周或4周表现为____________。
221、单项选择题 完全型大动脉转位时下列何者不对()
A.主动脉位于右前
B.肺动脉位于右后
C.主动脉发自右室
D.肺动脉发自左室
E.同时左右心房心室位置互换
222、单项选择题 孕几周后超声可显示胎儿脊柱()
A.9周
B.12周
C.16周
D.20周
E.8周
223、单项选择题 超声探头频率的临床应用,下列哪项是错误的()
A.200000Hz~1MHz,用于一般脏器检查
B.2.5~5MHz,用于腹部及心脏检查
C.5~5MHz,用于小器官、眼科检查
D.10~30MHz,用于皮肤及血管内检查
E.40~100MHz,用于生物显微镜成像
224、单项选择题 超声造影对临床在冠心病的介入治疗上有什么作用()
A.作为介入治疗的方法
B.评价介入治疗的疗效
C.不应使用,因减低介入治疗的疗效
D.明显增大介入治疗的疗效
E.对介入治疗无任何应用价值
225、单项选择题 胆总管依行程可分为几段()
A.二段
B.三段
C.四段
D.五段
E.六段
226、单项选择题 乳腺良性与恶性肿瘤的超声鉴别特点,错误的是()
A.边界是否光滑、完整
B.内部回声增强或减低
C.肿物后方是否衰减
D.纵横比是否大于1
E.肿块大小
227、单项选择题
一患者,发热,右上腹痛,血常规检查白细胞增多。结合超声声像图,诊断为()
A.肝脓肿
B.肝血管瘤
C.肝癌
D.脂肪肝
E.肝囊肿
228、单项选择题 超声观察几周,胎囊不增大,应考虑胚胎停止生长()
A.<1周
B.1~2周
C.2~3周
D.3~4周
E.4周以上
229、单项选择题 下列描述波长与频率关系的结论,哪个是错误的()
A.波长与频率成反比
B.频率越高,波长越短
C.频率越低,波长越长
D.频率越高,纵向分辨力越好
E.波长与频率成正比
230、单项选择题 以下彩色血流显像的特点哪一项不对()
A.血流方向朝向探头,显示红色
B.血流方向背离探头,显示蓝色
C.血流流速越高,显示的亮度越亮
D.血流出现紊流时显示为红蓝相杂的五彩色
E.动脉血流显示为红色,静脉血流为蓝色
231、单项选择题 下列描述哪个正确()
A.二侧肾脏位置在同一水平
B.右肾略高于左肾
C.右肾略低于左肾
D.右肾常位于胆囊内下方
E.以上均不是
232、单项选择题 胎儿宫内儿生长迟缓的因素有哪几方面()①母亲②胎儿③子宫④胎盘
A.①
B.①②
C.①②③
D.①②③④
E.②③④
233、单项选择题 选择下列之一来完成组织衰减的补偿()
A.边缘增强作用
B.时间增益补偿(TGC)功能
C.显示类型
D.发射器
E.耦合剂
234、填空题 肾实质内肿块,表现为强回声,但后方无声影,是___________________较为特征性的表现。
235、单项选择题 法洛四联征诊断中,不包括下列哪项()
A.肺动脉狭窄
B.房间隔缺损
C.室间隔缺损
D.主动脉骑跨
E.右心室肥大
236、单项选择题 甲状腺疾病超声表现中,“晕圈”征常见于()
A.甲状腺炎
B.囊肿
C.腺瘤
D.腺癌
E.以上均是
237、单项选择题 彩色多普勒血流显像的工作流程不包括下列哪项内容()
A.采用FFT技术处理血流信息
B.经自相关处理,计算血流的平均速度、方向和速度分散
C.依血流方向及流速进行彩色编码
D.彩色血流图与灰阶图像叠加,构成完整的声像图
E.完成图像的编辑及病历管理
238、单项选择题 彩色多普勒检查时使用低速标尺的主要作用()
A.便于检查流量大小
B.消除彩色信号混叠
C.消除彩色信号的闪烁
D.能显示低速血流
E.能显示高速血流
239、单项选择题 在收缩期,压力最高的腔室()
A.主动脉
B.肺动脉
C.左心室
D.右心室
E.左心房
240、单项选择题 输尿管中段是指()
A.输尿管与肾盂交界处
B.自肾盂输尿管连接部到跨越髂动脉处
C.髂动脉到膀胱壁
D.膀胱壁内
E.以上都不是
241、判断题 胆囊癌实块型USG表现为胆囊增大,胆囊腔被肿瘤所闭塞,呈弱回声或粗而不均的实性肿块。
242、单项选择题 可以出现后方回声增强的有()
A.脂肪
B.脑
C.软骨
D.肺(含气)
E.囊液
243、单项选择题 下列哪种扫查平面最易观察到脊柱裂()
A.横切面
B.纵切面
C.斜切面
D.冠状面
E.斜冠状面
244、单项选择题 孕几周超声可清楚显示胎儿膀胱()
A.9周
B.12周
C.15周
D.20周
E.8周
245、单项选择题 房间隔缺损第Ⅱ孔型的USG表现中,哪项错误()
A.右心房、右心室内径增大
B.左心房、左心室内径增减小
C.室间隔运动幅度降低、平坦
D.房间隔的连续性中断
E.主肺动脉及右肺动脉缩小
246、单项选择题 肺动脉瓣血流特点以下哪项不对()
A.位于收缩期
B.呈负向频谱
C.正常时两支对称,呈钝圆形空心层流
D.肺动脉高压时,频谱流速峰值前移
E.肺动脉狭窄时,血流速度明显减低
247、单项选择题
女,52岁,右上腹不适,CT示卵巢占位,结合超声声像图,诊断为()
A.肝囊肿
B.肝包虫病
C.转移性肝癌
D.肝脓肿
E.肝血管瘤
248、单项选择题 动态扫查仪的类型包括()①程序②电子③机械
A.①②
B.①②③
C.②③
D.①③
E.③
249、单项选择题 甲状腺的静脉有几条,收容甲状腺哪些部位的血液,进入哪条静脉()
A.二条,上、下,颈内静脉
B.三条,上、中、下,颈内静脉
C.三条,上、中、下,颈内静脉、无名静脉
D.四条,上、中、下、峡,颈内静脉、无名静脉
E.以上均不是
250、单项选择题 为显示流速极低的血流灌注信号,宜用()
A.A型超声
B.B型超声
C.M型超声
D.CDFI
E.CDE
251、单项选择题 彩色多普勒血流显像技术检测主动脉瓣口血流,速度标尺应如何选用()
A.选择高速档
B.选择低速档(例如0.20m/s)
C.随意,不需注意调节
D.选择中等速度(例如0.6m/s)
E.以上都不是
252、判断题 边缘性前置胎盘,USG见胎盘覆盖部分子宫颈内口。
253、单项选择题 妊娠达到或超过多少周称过期妊娠()
A.40周
B.41周
C.42周
D.43周
E.38周
254、单项选择题
某患者因血尿就诊,下腹部声像图如图,根据图中表现及所标志的体位,最可能的超声诊断为()
A.前列腺增生并钙化
B.膀胱结石
C.膀胱癌
D.前列腺癌
E.膀胱血块
255、单项选择题
患者男37岁,乙肝患者肝硬化。B超检查如图所示,脾门处包块,根据超声声像图,诊断为()
A.脾门淋巴结肿大
B.副脾
C.脾门占位
D.腹腔占位
E.肾上腺肿瘤
256、单项选择题 选用超声耦合剂错误的是()
A.应满足阻抗匹配条件
B.耦合剂越厚越好
C.让超声尽量多进入人体
D.排除空气,增加透声性
E.特性阻抗接近人体(软组织)的特性阻抗
257、单项选择题 哪一类扫查可以显示以上肾脏图形()
A.横向扫查
B.经肝纵向扫查
C.肋缘下斜行扫查
D.背部纵向扫查
E.经侧腰部冠状扫查
258、单项选择题
女,51岁,肛门停止排便排气1天。腹痛、无呕吐,有乙状结肠手术史。结合超声声像图,诊断为()
A.肠梗阻
B.输卵管积液
C.肠套叠
D.盆腔积液
E.结肠癌
259、单项选择题 呼吸对上腔静脉血流的多谱勒频谱有什么影响()
A.呼吸时使血流频谱幅度都会明显增大
B.吸气时使频谱幅度降低,呼气时使频谱幅度增大
C.呼吸时对血流频谱都无影响
D.呼吸时使血流频谱幅度都明显降低
E.吸气时使频谱幅度(速度)增大,呼气时减低
260、单项选择题 胎儿双侧肾积水声像图表现是()①膀胱增大②下尿路梗阻③上尿路梗阻④膀胱缩小
A.①
B.①②
C.③④
D.①②③④
E.③
261、问答题 血管平滑肌脂肪瘤(错构瘤)的声像图表现有哪些?
262、单项选择题 骨巨细胞瘤病理基础主要表现为肿瘤组织质地疏松、出血、坏死和囊性变。与其相对应的声像图表现()
A.病变发生于骨骺端的松质骨内
B.病变部位呈偏心性肿大
C.肿瘤与正常骨质界限清楚
D.肿瘤透声性良好,后部边界回声增强
E.彩色多普勒血流显像见少许点状血流或较丰富的血流
263、单项选择题 早孕时常用什么方法估测胎龄()
A.测量宫底高度、子宫大小
B.测量双顶径、头围
C.测量胎囊和头臀长度
D.胎儿腹围、股骨长径
E.胎儿胸围、腹围
264、单项选择题 正常睾丸CDFI特点()①双侧睾丸血流对称,内见枝状血管②双侧睾丸血流对称,内见丰富血管③睾丸内多为动脉血流,Vmax12~13cm/s④睾丸内多为动脉血流,Vmax20~30cm/s⑤睾丸血流RI<0.55⑥睾丸血流RI>0.6⑦正常睾丸静脉不易显示⑧正常睾丸静脉易显示
A.①③⑤⑦
B.②④⑥⑧
C.①④⑤⑧
D.②③⑥⑦
E.①④⑤⑦
265、单项选择题 超声引导穿刺时导致针干显示不清的原因是()
A.侧方声影
B.部分容积效应
C.内部混响
D.镜面伪像
E.声速失真
266、单项选择题 指出下列正常肢体静脉的多谱勒超声表现哪项是错误的()
A.中等大小以上的静脉,无论在休息和活动状态都有血流信号
B.静脉血流速度随呼吸运动而加快或减慢
C.乏氏(Valsalva)反应阳性
D.人工挤压远端肢体后血流信号减弱
E.呈单向回心血流
267、单项选择题
某患者,超声心动图检查如图,考虑()

A.左房血栓
B.黏液瘤
C.左房肿瘤
D.赘生物
E.以上均不是
268、单项选择题 以下哪种病不是膀胱的先天畸形()
A.良性增生
B.膀胱颈梗阻
C.脐尿管开放
D.膀胱外翻
E.以上都不是
269、单项选择题 彩色多普勒血流显像的特点,哪一项是错误的()
A.血流方向朝向探头,显示红色
B.血流方向背离探头,显示蓝色
C.动脉血流显示为红色
D.出现湍流为混合色
E.血流速度高显示亮度大
270、单项选择题 颈内动脉血流频谱形态为()
A.低阻力频谱
B.高阻力频谱
C.舒张期三峰频谱
D.宽频毛刺样频谱
E.窄频三峰递减型频谱
271、单项选择题 男,46岁,超声体检发现左肾病变,呈圆形,边界清晰,整齐光滑,直径1.0cm,肿物内无回声,后方回声明显增强。根据声像图特征,诊断是()
A.肾囊肿
B.肾囊肿合并感染
C.肾囊肿合并出血
D.肾肿瘤
E.以上都不正确
272、单项选择题 以下关于二尖瓣M型超声心动图波群描述中,哪项不正确()
A.前叶运动呈双峰型
B.后叶与前叶呈浅倒影
C.EF斜率反映二尖瓣柔顺性
D.二尖瓣狭窄时,EF斜率呈“城墙垛”样改变
E.左室舒张末压升高时,EF斜率加快
273、单项选择题 二维超声检测颅内的占位病变,下列哪个部位检出最困难、容易出现假阴性结果()
A.颞叶
B.额叶
C.枕叶
D.顶叶
E.第四脑室周围
274、单项选择题 常用的压电材料不包括()
A.石墨
B.钛酸钡
C.锆钛酸铅
D.天然石英晶体
E.PVDF
275、单项选择题 肝内有三条韧带对超声检查很重要,它们是圆韧带、静脉韧带和镰状韧带。圆韧带是()①存在于左叶间裂②脐静脉的残留③在严重肝硬化时可见再通④在横切面上是一个回声增强光点⑤常见在门静脉之上
A.①②
B.①②③
C.①②③④
D.①③④⑤
E.①②③④⑤
276、单项选择题 肝脓肿的超声表现不正确的是()。
A.病灶为单发或多发的回声或无回声区
B.脓肿壁薄厚不等,内壁不光滑
C.脓肿后壁见回声明显衰减
D.脓肿侧壁见回声失落
E.脓肿周围见环状水肿带
277、单项选择题 正常颅外动脉血流频谱是下列哪种形态()
A.低阻力频谱
B.高阻力频谱
C.收缩期双峰、舒张期三峰频谱
D.三相血流频谱
E.宽频双峰递减型频谱
278、单项选择题 超声诊断装置的基本构成不包括()
A.发射与接收单元
B.数字扫描转换器
C.超声图像显示装置
D.超声工作站
E.电源
279、单项选择题 腮腺炎的声像图表现是()
A.不同程度的弥漫性肿大
B.急性期轮廓不清,呈低回声
C.腮腺血流信号增多
D.慢性期界限清晰,呈强回声
E.以上都是
280、单项选择题 已婚女子,末次月经不详,宫腔探及胎儿回声,头臀长2cm,计算孕龄是()
A.4~5周
B.6周
C.8.5周
D.10.5周
E.7周
281、单项选择题
某患者因血尿就诊,前列腺超声声像图如下,生化检查PSA增高,最可能的诊断为()
A.前列腺脓肿
B.前列腺炎
C.前列腺良性增生
D.前列腺癌
E.前列腺囊肿
282、单项选择题 晚期妊娠的羊水量一般是()
A.400~800ml
B.600~1400ml
C.800~1200ml
D.500~1000ml
E.500~600ml
283、单项选择题 肝脏的两个面称什么面()
A.前和后
B.膈和脏
C.上和左
D.方和尾
E.左和右
284、单项选择题 卵巢浆液性囊腺瘤的声像图特点是()①伴有腹水②分隔及壁上见菜花状乳头③菜花状乳头穿破囊壁向外生长④囊壁或隔膜或乳头上可见动脉血流,且RI<0.5
A.①
B.①②
C.①②③
D.①②③④
E.①③④
285、多项选择题 胰腺真性囊肿USG征象为()
A.囊肿较小,呈圆形或椭圆形
B.边界光滑、完整,囊肿壁回声清晰、稍强
C.胰腺某一局部或胰腺相邻部位出现无回声区
D.潴留性囊肿常多发,同时合并多囊肾或多囊肝
E.胰腺包虫囊肿常与肝包虫病伴发
286、单项选择题
男,60岁,胆囊结石病史多年,脾大小正常,有疫区接触史。结合超声声像图,诊断为()
A.肝血管瘤
B.血吸虫肝
C.肝癌
D.肝硬化
E.脂肪肝
287、单项选择题 超声检测所能发现的肾上腺异常是下列哪项()
A.肾上腺体积增大
B.肾上腺腺体分泌增多
C.肾解剖学变异
D.肾上腺腺体萎缩
E.以上均是
288、问答题 膀胱结石的声像图表现有哪些?
289、单项选择题
中年女性,中下腹横切面如图,箭头所示为()
A.子宫钙化环
B.宫内节育器
C.子宫肌瘤
D.孕囊
E.子宫肌瘤钙化
290、单项选择题 干扰肾上腺显示的因素是()
A.脾肿大
B.肝肿大
C.间位结肠
D.脂肪肝
E.胃切除
291、单项选择题 下列哪一支血管不是右冠状动脉的分支()
A.右圆锥支
B.后降支
C.左回旋支
D.右室后支
E.右冠状动脉主干
292、单项选择题 穿刺活检针是以内、外两种径中的哪种径划分,何为粗针,何为细针()
A.外径>1.0mm为粗针,<1.0mm为细针
B.内径>1.2mm为粗针,<0.8mm为细针
C.外径>0.8mm为粗针,<0.8mm为细针
D.内径>0.7mm为粗针,<0.6mm为细针
E.内径>1.0mm为粗针,<1.0mm为细针
293、单项选择题
男,67岁,呕血,有胃溃疡病史,治疗后可缓解。根据超声声像图诊断为()
A.结肠肝曲癌
B.肝癌
C.胃癌
D.腹膜后肿块
E.胃溃疡
294、单项选择题 肾脏超声测量正常值是()
A.长6.0~9.0cm,宽3.0~5.0cm,厚4.0~5.0cm
B.长9.0~12.0cm,宽3.5~6.5cm,厚4.0~5.0cm
C.长12.0~15.0cm,宽5.5~7.5cm,厚4.0~5.0cm
D.长8.0~10.0cm,宽5.0~7.0cm,厚3.0~5.0cm
E.以上都不是
295、单项选择题 成年女性乳房的主要构成包括()
A.皮肤、皮下脂肪及韧带
B.脂肪、腺叶及小叶
C.皮肤、皮下脂肪及腺体
D.皮肤、皮下脂肪及肌肉
E.腺叶、腺泡及脂肪
296、单项选择题 测量双顶径应注意()
A.保证胎头显示呈柠檬形
B.保证胎头显示呈圆形
C.在透明隔和丘脑水平获得声像图
D.在大脑镰和侧脑室水平获得声像图
E.在小脑水平获得声像图
297、单项选择题 视网膜母细胞瘤常见于()
A.婴幼儿时期的肿瘤
B.青年时期的肿瘤
C.成年时期的肿瘤
D.老年时期的肿瘤
E.以上都对
298、单项选择题 彩色多普勒血流显像仪的工作流程不包括下列哪项内容()
A.将多普勒信号进行A/D转换
B.经自相关技术计算多普勒平均速度、方向和速度分散
C.依血流方向及流速做彩色处理
D.彩色血流图与灰阶图像叠加
E.不需再经D/A转换
299、单项选择题 患者陈某,有风湿性关节炎病史,心脏听诊主动脉瓣区有舒张期杂音,X线胸片示左心室扩大,心电图示左心室高电压,疑有主动脉瓣关闭不全,用彩色多谱勒技术检查应有什么表现()
A.左心室在收缩期有血流射入肺动脉
B.显示有血流从主动脉瓣口在舒张期流向左心室
C.收缩期有血流从右心房流入右心室
D.左心室在收缩期无血流射入主动脉
E.收缩期有血流从左房流入左心室
300、单项选择题
主动脉夹层的声像图特征()

A.动脉内膜分离
B.纵切动脉呈平行线状,横切呈“双环”征
C.动脉分成真、假两腔
D.通常假腔内径>真腔内径
E.以上均是