时间:2025-05-26 03:16:35


1、单项选择题 慢性胰腺炎声像图表现,下列哪一项不正确()
A.轮廓不清
B.边界常不规则
C.实质回声增强,分布不均
D.主胰管不扩张
E.胰管内可见强回声,后方伴声影
2、单项选择题 异位妊娠须与下列哪些情况相鉴别()①宫内妊娠②黄体囊肿破裂③盆腔炎性包块④卵巢囊肿
A.①
B.①②
C.①②③
D.①②③④
E.③
3、单项选择题 附睾炎在不同阶段的声像图表现是()
A.附睾增大
B.附睾显示中等回声
C.化脓时附睾出现无回声区
D.如有钙化,后方出现声影
E.以上都是
4、单项选择题
以下哪种声像图,最易诊断为肾积水()
A.肾皮质变薄
B.肾盂、肾盏、集合系统充满无回声
C.肾盂、肾盏、集合系统回声增强
D.肾形态失常
E.肾实质多发无回声
5、单项选择题 脐静脉直径测量对下列哪项是有用的指标()
A.宫内发育迟缓
B.Rh同种免疫
C.胎龄
D.估计胎儿体重
E.腹围
6、单项选择题 女性,35岁,因发热、下腹疼痛二天就诊。体检:T38.9℃,HR94次/分,心肺(-)妇科检查示左附件区压痛明显,超声诊断为()
A.附件炎性包块
B.宫外孕
C.卵巢癌
D.子宫肌瘤
E.巧克力囊肿
7、单项选择题 CDFI检查时造成彩色信号过少或缺失的原因是()
A.多普勒超声衰减伪像
B.厂商设置的“彩色优先”
C.快速伪像
D.闪烁伪像
E.频谱滤波设置过低
8、单项选择题
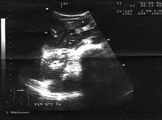
患者,女,35岁,有急性胰腺炎病史,现感上腹不适。结合中上腹超声声像图表现,诊断是()
A.胰腺占位并胰管扩张
B.急性胰腺炎
C.慢性胰腺炎并胰管结石
D.胆总管结石
E.胰腺癌
9、问答题 肾细胞癌的声像图表现有哪些?
10、单项选择题 超声检查中常用的切面有()
A.矢状面
B.横切面
C.斜切面
D.冠状切面
E.以上都是
11、单项选择题
某患者五日前阴囊碰伤,现感右侧阴囊不适,超声声像图如下,最可能的诊断为()
A.睾丸血肿
B.精原细胞瘤
C.睾丸炎
D.睾丸扭转
E.睾丸脓肿
12、单项选择题 俯卧位时横切靠近腹后壁形态为卵形或豆状结构的器官是()
A.肾上腺
B.腹腔内隐睾
C.肾
D.腹腔淋巴结
E.胰腺
13、单项选择题 回声至少可分为几级()。
A.两级
B.三级
C.四级
D.五级
E.无分别
14、单项选择题 角膜增厚最适宜用哪种技术确诊()
A.M型超声扫描技术
B.B型超声扫描技术
C.A型超声扫描技术
D.超声生物显微镜
E.以上均不是
15、单项选择题 测量双顶径时,如果中线回声呈连续而不中断,说明扫查平面()
A.正常
B.太高
C.太低
D.探头损坏
E.以上都不是
16、单项选择题
图中睾丸上方囊性回声为()
A.附睾囊肿
B.精索囊肿
C.睾丸附件囊肿
D.附睾附件囊肿
E.附睾炎
17、单项选择题 女,40岁,间断无痛性血尿1年,声像图示右肾中下部6cm×5cm中等偏低回声肿块,边界清楚,内部回声欠均匀,肿块向肾表面隆起,并推挤肾窦,右肾静脉内实填。考虑诊断是()
A.肾血管平滑肌脂肪瘤
B.肾母细胞瘤
C.肾细胞癌
D.肾盂癌
E.肾腺瘤
18、单项选择题
超声引导穿刺前用水槽实验证实探头引导穿刺的准确性应注意观察()
①针尖呈清晰强回声
②针尖呈清晰弱回声
③针尖正好沿穿刺引导线推进
④针尖沿穿刺引导线推进,允许偏差程度:引导线左右5度
⑤穿刺者刺中目标后停针不动,仅观察荧屏,助手观察针尖是否刺中目标
⑥穿刺者刺中目标后,观察荧屏和针尖是否刺中目标
A.①③⑤
B.②④⑥
C.①④⑥
D.②③⑤
E.①④⑤
19、单项选择题 二次谐波成像增强超声造影效果的原理是()
A.增大微气泡的浓度
B.二次谐波的回声强度最大
C.谐振时造影剂的散射面积变小
D.只接收造影剂的散射面积变小
E.只接收造影剂的二次谐波回声
20、单项选择题 亚急性甲状腺炎的临床及超声表现是()
A.初期咽痛、低热、有上呼吸道症状
B.实验室T、T增高,白细胞上升,血沉快
C.甲状腺中度增大,内有均质稀疏弱回声点
D.彩色多谱勒血流显像显示血流较丰富或不丰富
E.以上都是
21、单项选择题 左心室的解剖结构及其与邻近结构的关系,哪一项是错误的()
A.左室流入道
B.左室流出道
C.左室壁
D.左房室口、通过房室口与左心房相连
E.与肺动脉连接
22、单项选择题 先天性两侧肾脏下极相连接的称为()
A.马蹄肾
B.肾柱肥大
C.驼峰征
D.重复肾
E.一侧肾缺如
23、单项选择题 转移性卵巢癌能够并发()
A.腹水
B.腹膜转移
C.大网膜转移
D.肝转移
E.以上都是
24、单项选择题 心包积液时,超声表现下列哪项不对()
A.当液性暗区超过25mm时,积液量常大于1000ml
B.少量积液即可显示清楚
C.少量积液多见于右室前壁之前
D.大量积液时,下腔静脉增宽
E.坐位探查时心尖部液性暗区加宽
25、多项选择题 限制性心肌病的超声表现正确者为()
A.相应的室壁、室间隔增厚,室壁运动僵硬、低下
B.相应部位的心室内膜增厚呈不均分布;回声增强
C.心房极度扩大,可有低速云雾状旋涡血流回声
D.房室瓣EF斜率减慢
E.心包增厚伴少至大量心包积液
26、单项选择题 彩色多普勒血流显像与伪彩(B彩)的区别是()
A.彩超就是伪彩
B.彩超是由灰阶转换而来
C.伪彩是彩色血流显像
D.彩超与伪彩完全不同
E.以上都对
27、单项选择题 对从外周血管行左心腔超声造影原理的叙述,哪一项是正确的()
A.经股动脉注入造影剂
B.造影剂经腔静脉直接进入左心
C.造影剂微气泡的直径小于10μm
D.造影剂微气泡直径大于10μm
E.必须用白蛋白包裹空气的造影剂
28、单项选择题
如图,初步超声诊断为()

A.二尖瓣返流
B.三尖瓣返流
C.主动脉瓣返流
D.肺动脉瓣返流
E.以上均不是
29、单项选择题 脐带内含Warton氏胶,下列哪些病理情况胶质含量较少()①胎儿营养不良②过熟胎儿③胎儿水肿④胎儿有某种畸形
A.①
B.①②
C.①③
D.①④
E.①②③④
30、填空题 超声扫查乳腺应由浅至深,包括_______、_______、_______和_______。
31、单项选择题 检查表浅器官选用下列哪个频率()
A.2.0~2.5MHz
B.2.5~3.0MHz
C.3.0~3.5MHz
D.3.5~5.0MHz
E.7.5~10.0MHz
32、单项选择题 回声增强发生在下列哪类物体后方()
A.强衰减体
B.弱衰减体
C.强衍射体
D.弱衍射体
E.固体
33、单项选择题 密度是()
A.阻尼单位
B.单位面积上的力
C.力乘以位移
D.单位体积的质量
E.单位面积的质量
34、单项选择题 前列腺增生声像图直接征象有()①前列腺各径线>正常值②增大呈圆形、球形、前后径增大比横径明显③内、外腺比例异常④出现增生结节⑤内外腺间出现弧形排列的结石
A.①②③④⑤
B.①③⑤
C.①②③⑤
D.①④⑤
E.①②③④
35、单项选择题 青春期前子宫停止发育;青春后期宫颈比宫体长;宫体小,前后径<2cm。符合下列哪项诊断()
A.幼稚子宫
B.单角子宫
C.先天性无子宫
D.始基子宫
E.正常子宫
36、单项选择题
女性,25岁,停经33周。阴道无痛性出血2天。B超检查如图,最可能的诊断为()
A.中央性前置胎盘
B.胎盘早期剥离
C.胎儿脐带绕颈
D.胎儿畸形
E.边缘性前置胎盘
37、单项选择题 列有关人体组织、体液回声的描述哪项不妥()
A.透明软骨发生钙化回声增强
B.凝血块自溶以后回声减低,甚至接近无回声
C.脓腔内混合低密度的气泡时回声增强
D.血管内发生血栓时回声增强
E.肿瘤中央发生组织坏死时回声一定会减低
38、单项选择题 鉴别眼球内的异物为金属还是非金属,最有效的方法是()
A.窗试验法
B.彩阶显示法
C.灰阶直方图法
D.超声磁性试验
E.漂浮试验
39、单项选择题 下列哪项不符合卵黄囊的特点()
A.在卵黄囊内可测量头臀长度
B.卵黄囊随妊娠增长而萎缩
C.卵黄囊可提示宫内妊娠,胚胎组织存在
D.卵黄囊为小圆形无回声,直径3~7mm,占孕囊横径的1/3
E.孕9周时并入脐带
40、单项选择题 关于卵巢浆液性囊腺癌,下列哪一项是错误的()
A.成人最常见的卵巢恶性肿瘤
B.肿瘤生长很快,常伴出血坏死
C.多为部分囊性,部分实性
D.经阴道彩色多普勒血流显像,乳头内可显示较丰富血流
E.90%为单侧性
41、单项选择题
乳腺超声普查发现乳房包块,声像图如上,最可能的诊断是()
A.乳腺纤维肉瘤
B.乳腺囊性增生
C.乳腺癌
D.乳腺纤维瘤
E.以上都不是
42、单项选择题 超声检测深部骨骼选用多少MHz探头()
A.2.5MHz
B.3.0~3.5MHz
C.5.0~7.5MHz
D.7.5~10MHz
E.10~12MHz
43、单项选择题 膀胱残余尿测定时,以下哪一种说法不对()
A.残余尿测量应排尿后立即测定
B.膀胱顶部易受肠气掩盖,可适当加压推开肠气,加以纠正
C.测量膀胱各径线时,纵切和横切的加压程度相同
D.测残余尿时应嘱病人多饮水,使膀胱过度充盈后,其排尿后测量残尿更准确
E.超声测定残尿量同膀胱剩余尿量间有一定的误差
44、单项选择题 目前四维成像技术主要应用于()
A.心脏
B.产科
C.腹部
D.小器官
E.头颅
45、单项选择题
男性,4岁,因左肾区不适就诊,无外伤史,无发热,左腹部可扪及肿块。根据其声像图,可能的诊断为()
A.肾母细胞癌
B.急性肾炎
C.肾血管平滑肌脂肪瘤
D.肾脓肿
E.肾癌
46、单项选择题
男,48岁,肝区胀痛,脾肿大。结合超声声像图,诊断为()
A.肝血管瘤
B.肝脓肿
C.肝癌
D.血吸虫肝纤维化
E.脂肪肝
47、单项选择题 在胆囊扫查中,最容易显示胆囊、下腔静脉、右肾和胆总管的体位是()
A.直立位
B.半侧卧位
C.仰卧位
D.侧卧位
E.坐位
48、单项选择题 盆腔腹膜反折位于阴道后穹窿水平,从子宫的后面到直肠的前面称为()①子宫直肠陷窝②Dauglas腔③膀胱子宫陷窝④膀胱直肠陷窝
A.①
B.②
C.①②
D.①②③
E.①②③④
49、单项选择题 下列对肺循环的叙述哪一项有错误()
A.肺静脉血流入左心房
B.右心室血流排入肺动脉
C.肺动脉血流入右心房
D.肺动脉血经肺进入肺静脉
E.右心房的血来自腔静脉
50、单项选择题 除下列哪项外均可发生急性鞘膜积液()
A.肿瘤
B.睾丸及附睾的感染
C.外伤
D.睾丸扭转
E.以上都不是
51、单项选择题 超声在介质传播时,其声能逐渐缩小称为()。
A.吸收
B.声阻抗
C.衰减
D.失落
E.转换
52、填空题 腹膜后具有水平分隔线(脂-液平面)回声的肿块为_____________________的特征;实质性肿块内有大片液性无回声区,多为____________________的表现。
53、单项选择题
用超声作为软组织显像技术的优点为()
①无损伤
②对病人和操作者都安全
③可明确地显示出软组织的功能
A.①
B.①②
C.①②③
D.①③
E.②③
54、单项选择题 下列骨及软骨的正常声像图哪项错误()
A.骨皮质为平直连续光滑的强回声
B.骨髓若显示,呈弱回声
C.骨的骺端膨大,表面薄而光整
D.纤维软骨为中等回声,透明软骨为强回声
E.骨松质为内部有散在强斑点的弱回声
55、单项选择题 前列腺增生较少发生的部位是()
A.左、右侧叶
B.内腺
C.中叶
D.后叶
E.前叶
56、单项选择题
患者,急性胰腺炎治疗后,超声见胰管内多个强回声光团,后伴声影,如图所示,考虑为()
A.胰腺胰管结石
B.胰腺脓肿
C.胰腺肿瘤
D.胰腺假性囊肿
E.胰腺胰管钙化
57、单项选择题 为获得最大多普勒频移,超声束和血管夹角应该为()
A.0度
B.45度
C.90度
D.135度
E.180度
58、填空题 乳腺的超声检查适用于_______和_______妇女乳腺疾病的筛选和普查。
59、单项选择题 下列哪一支血管不是左冠状动脉的分支()
A.左冠状动脉主干
B.右圆锥支
C.左回旋支
D.斜角支
E.左前降支
60、单项选择题
患者,低热,清洁灌肠后,中腹部超声声像图可见融合成团的异常光团,最可能的诊断是()
A.胰腺癌
B.淋巴瘤
C.结肠癌
D.腹腔结核
E.腹膜后肿瘤
61、单项选择题 超声图像,形成线状高回声的是()。
A.皮肤
B.脂肪
C.纤维组织
D.结石
E.实质脏器
62、单项选择题 调节“彩超”中的速度标尺及滤波范围,下列哪项是错误的()
A.高速血流选择高速标尺
B.低速血流选择低速标尺
C.消除低频信号干扰,应采用高速标尺
D.低通道滤波适合检查低速血流
E.高通滤波适合检查高速血流
63、单项选择题 造成前置胎盘的假阳性超声诊断的原因有()①膀胱过度充盈②子宫局部收缩③子宫肌瘤④羊膜腔外血块⑤膀胱未充盈
A.①②
B.①②③
C.①②③④
D.①②③④⑤
E.①③⑤
64、单项选择题 快速舒张期在血流动力学上的意义()
A.血液快速从左心室射到主动脉
B.血液在主动脉反弹回流到左心室
C.血液在这期间快速、大量从左心房充盈到左心室
D.血液从右心房缓慢充盈到右心室
E.血液从左心房缓慢地充盈到左心室
65、单项选择题
男性,阴囊肿大,于右侧腹股沟见一混杂回声光团,探头压可回纳腹腔。如图所示,考虑为()
A.隐睾
B.腹股沟斜疝
C.精原细胞瘤
D.睾丸脓肿
E.以上都不是
66、单项选择题 在超声评分胎盘成熟度中,0级胎盘绒毛膜板表现为()
A.有弥散性暗区
B.有稠密的线状回声
C.有不完全的分叶
D.光滑,平整
E.与基底层有切迹状的交通
67、单项选择题 影响频谱多普勒血流速度测量的因素,不包括()
A.取样容积的大小
B.取样容积的位置
C.角度校正
D.速度标尺的大小
E.探头频率
68、单项选择题
女性,26岁,停经29周,产前B超检查如图,超声诊断为()
A.胎盘早期剥离
B.正常中期妊娠
C.胎儿脐带绕颈
D.胎儿畸形,腹壁裂
E.畸胎瘤
69、单项选择题 心下型的完全型肺静脉异常回流超声所见()
A.四条肺静脉回流到冠状静脉窦
B.肺总静脉回流到上腔静脉
C.肺静脉回流到下腔静脉
D.肺静脉直接回流到右房
E.四条肺静脉回流到颈静脉
70、单项选择题 关于彩色多普勒超声仪器的调节,不正确的是()
A.调整彩色速度标尺,使之接近实际血流速度大小
B.使彩色取样框尽可能大,以便获取尽可能多的血流信息
C.适当调节彩色偏转使声束与血流夹角尽可能小
D.调节彩色增益直至适当显示血管内血流信号
E.设定朝向探头血流为红色,背离探头血流为蓝色
71、问答题 膀胱憩室的声像图表现有哪些?
72、单项选择题
胆总管出现图中所示特点,称为()
A.双筒枪征
B.海鸥征
C.鸟嘴征
D.鼠尾征
E.平行管征
73、单项选择题 怀疑胆囊有病变,应首选以下哪项检查()
A.腹部平片
B.CT
C.MRI
D.US
E.口服胆囊造影
74、单项选择题 彩色多普勒血流显像的工作流程不包括下列哪项内容()
A.采用FFT技术处理血流信息
B.经自相关处理,计算血流的平均速度、方向和速度分散
C.依血流方向及流速进行彩色编码
D.彩色血流图与灰阶图像叠加,构成完整的声像图
E.完成图像的编辑及病历管理
75、单项选择题
患者女32岁,反复上腹部疼痛10年余,加重时皮肤、巩膜黄染。B超检查如图所示,根据超声声像图,诊断为()
A.胆总管蛔虫
B.胆总管癌
C.胆总管结石
D.胆总管内胆泥淤积
E.胆总管内引流管回声
76、判断题 慢性泪腺炎USG显示泪腺呈杏核状增大,边界清楚,内回声中等或较弱。
77、单项选择题 下述哪一种技术属于频谱多普勒技术()
A.M型彩色多普勒
B.连续波多普勒
C.彩色多普勒能量图
D.伪彩色编码二维超声显像
E.彩色多普勒血流显像
78、单项选择题
患儿,出生3周,食欲旺盛,吮奶急,但几乎每次喂奶后立即或不久即吐,呈喷射状。X光钡餐检查,见胃窦与幽门管近端连接处呈喙状突出阴影称鸟喙征。超声检查如图,最可能的诊断是()
A.幽门狭窄
B.胃食管返流
C.胃溃疡
D.食管裂孔疝
E.肠套叠
79、单项选择题 声阻抗产生与下列哪项最有关系()
A.声束宽度和交界面曲度
B.振荡频率和晶片的体积
C.超声在组织中的声速和组织密度
D.声波能量和组织敏感度
E.声波能量和组织密度
80、单项选择题
男,25岁,例行体检时超声发现脾内占位。根据超声声像图诊断为()
A.血管瘤
B.淋巴管瘤
C.畸胎瘤
D.淋巴瘤
E.脾内钙化灶
81、单项选择题 彩色多普勒血流显像仪安全性标准,下列哪项是关键性要求()
A.检出彩色的敏感性
B.超声输出功率不大于规定值
C.功能丰富
D.可使用录像、热敏打印
E.是全数字化技术
82、单项选择题 用彩色多普勒技术检测低速血流(<0.05m/s)的正确方法是()
A.高速标尺
B.深呼吸
C.低速标尺
D.高通滤波器
E.用最大的取样框
83、单项选择题
某患者因左肾区疼痛、血尿就诊,根据其超声声像图,最可能的诊断为()
A.正常图像
B.左肾结核
C.输尿管结石
D.左肾结石
E.左肾多发性结石并肾积水
84、单项选择题 下列哪项表现与结节性甲状腺肿无关()
A.甲状腺不规则,非对称性增大
B.实质回声增粗,内呈多个中等偏强回声结节
C.结节内可见液性暗区、强光点
D.CDFI显示血流丰富,血流呈花环状包绕结节,并有细小分支伸入结节内
E."冲洗征"
85、单项选择题 急性睾丸疼痛常见疾病声像图有()①睾丸扭转:睾丸明显增大;位置上移,CDFI:血流减少或没有血流信号②睾丸脱臼:一侧阴囊空虚,同侧股部的皮下组织与肌层间可见正常睾丸回声,伴同侧精索轻度扭转③睾丸梗死:睾丸形态异常,内见圆形边界清晰的异常低回声区,伴附睾肿大;CDFI:睾丸内极低速血流④急性睾丸炎:睾丸均匀肿大,点、片状低回声;CDFI:血流信号增多,Vmax增快,RI减低
A.①③
B.①③④
C.①②③④
D.②
E.②③④
86、单项选择题 数字化彩色多普勒超声诊断仪性能高、功能多的关键技术是()
A.宽频技术
B.变频技术
C.探头阻抗匹配技术
D.多段聚焦技术
E.数字波束形成器
87、单项选择题 超声检测妊娠囊内首先显示的结构是()
A.卵黄囊
B.胚芽
C.羊膜囊
D.胚盘
E.心管
88、单项选择题
男性,右侧阴囊空虚,左侧可触及,于腹腔见一个椭圆形低回声光团,边界清晰,回声尚均匀,CDFI:血流信号丰富。如图所示,考虑为()
A.隐睾并精原细胞瘤
B.腹腔囊肿
C.腹腔淋巴结
D.畸胎瘤
E.腹腔淋巴瘤
89、单项选择题 肝脏转移癌的最常见表现为()
A.牛眼征
B.低回声病灶
C.囊性病灶
D.强回声病灶
E.以上均不是
90、问答题 子宫内膜癌的声像图表现有哪些?
91、单项选择题 哪一项最可能引起声影()
A.胆囊
B.充液肿物
C.钙化性肿物
D.膀胱
E.实性肿物
92、问答题 关节异常的声像图表现有哪些?
93、单项选择题 男,46岁,超声体检发现左肾病变,呈圆形,边界清晰,整齐光滑,直径1.0cm,肿物内无回声,后方回声明显增强。根据声像图特征,诊断是()
A.肾囊肿
B.肾囊肿合并感染
C.肾囊肿合并出血
D.肾肿瘤
E.以上都不正确
94、单项选择题 超声波有纵波、横波和表面波三种振态,下列哪项是错误的()
A.在固体中有纵波、横波、表面波
B.在液体和气体中有纵波
C.在真空中有横波和表面波
D.在生物组织中有纵波
E.在人体组织中有纵波
95、单项选择题 中晚期妊娠常采用下列哪些参数估算孕龄,以提高诊断准确性()①BPD②HC③AC④FL
A.①
B.①②
C.①②③
D.①②③④
E.①③
96、单项选择题 下列数字扫描变换器(DSC)所实现的功能哪个是错误的()
A.将超声模拟信号转换成电视制式信号
B.比较容易的实现图像放大
C.完成线性内插补并实现丰富的灰阶
D.实现字符显示及图像存储
E.增强了滤波器性能
97、单项选择题 下列哪种肿瘤与麦格综合征有关()
A.子宫肌瘤
B.子宫体癌
C.卵巢纤维瘤
D.输卵管癌
E.库肯勃瘤
98、单项选择题 哪种类型室缺在心底短轴切面不能显示()
A.干下型
B.嵴上型
C.嵴下型
D.膜部
E.肌部
99、单项选择题
女性,25岁,停经35周。产前超声检查,图像显示的是胎儿的()
A.脊柱
B.肢体
C.颜面部
D.胸腔
E.胎头
100、单项选择题 下列哪项是左心整体舒张功能的超声测量指标()
A.左室收缩末容积
B.等容收缩时间
C.左室每搏量
D.左室快速充盈分数
E.室间隔收缩期增厚率
101、单项选择题
男,16岁,转移性右下腹痛数小时。麦氏点压痛(+),肠鸣音减弱。结合超声声像图,诊断为()
A.输尿管结石
B.肠套叠
C.肠梗阻
D.急性阑尾炎
E.回盲部肿瘤
102、单项选择题
宫底呈“羊角形”,两角内可见分叶状宫腔线,宫体下段及宫颈形态正常。该超声图像是指()
A.双子宫
B.残角子宫
C.双角子宫
D.纵隔子宫
E.以上均是
103、单项选择题
男,48岁,上腹胀痛,纳差,血吸虫病多年。结合超声声像图,诊断为()

A.血吸虫肝纤维化
B.脂肪肝
C.细菌性肝脓疡
D.肝豆状核变性
E.肝炎
104、单项选择题 一中年女性,颈部肿大。超声显示:甲状腺不规则、非对称性肿大,实质回声增粗,内见多个结节,结节边界欠清晰,有的内部可见液性暗区,CDFI:血流丰富,粗大迂曲的分支血管在结节间穿行、绕行。最可能的诊断是()
A.甲状腺腺瘤
B.甲状腺癌
C.结节性甲状腺肿
D.桥本病
E.毒性甲状腺肿
105、单项选择题
正常淋巴结的结构()
①淋巴结表面有一层被膜
②淋巴结表面无被膜
③淋巴结包括皮质和髓质,皮质的淋巴窦致密,髓质的淋巴窦疏松
④淋巴结包括皮质和髓质,皮质的淋巴窦疏松,髓质的淋巴窦致密
⑤淋巴液由皮质淋巴结-淋巴输入管-结内-淋巴窦-淋巴输出管-淋巴门
⑥淋巴液由淋巴门-淋巴输入管-淋巴窦-结内-淋巴输出管-皮质淋巴结
A.①③⑤
B.②④⑥
C.①④⑥
D.②③⑤
E.①③⑥
106、单项选择题 下列肾脏疾病哪一项不属于肾先天性异常()
A.重复肾
B.肾发育不良
C.马蹄肾
D.肾自截
E.异位肾
107、问答题 胚胎停止发育的声像图表现有哪些?
108、单项选择题 改变彩色血流图的基线,使其向红色标尺方向调节,结果()
A.红色增多,正向血流测量范围扩大
B.蓝色增多,反向血流测量范围扩大
C.正向/反向血流速度显示无变化
D.使二维图像更加清晰
E.彩色血流能量图显示更鲜明
109、单项选择题 含液性病变的声像图特点中,下列哪项是错误的()
A.外形呈圆形或椭圆形
B.边缘光滑、整齐
C.内部低回声或强回声
D.后方回声增强
E.侧方声影有内收
110、单项选择题 下列哪项对彩色多谱勒的依赖较小()
A.瓣膜疾病
B.肥厚型心肌病
C.先心病
D.心包疾病
E.夹层动脉瘤
111、单项选择题 胰头的钩突部后方为下腔静脉,前方为()
A.门静脉
B.胆总管
C.肝动脉
D.肠系膜上动脉
E.肠系膜上静脉
112、单项选择题
某患者收缩期超声心动图所示,提示()

A.二尖瓣狭窄
B.二尖瓣关闭不全
C.房间隔缺损
D.动脉导管未闭
E.以上都不是
113、单项选择题
一腹痛患者,根据右下腹声像图表现,最可能的诊断是()
A.肠梗阻
B.阑尾炎
C.正常阑尾
D.结肠癌
E.肠套叠
114、单项选择题
超声于左侧附睾头可探及圆形的无回声暗区,边清。如图所示,考虑为()
A.附睾头囊肿
B.附睾附件
C.睾丸囊肿
D.附睾尾囊肿
E.精索鞘膜积液
115、问答题 肝硬化超声声像图表现?
116、单项选择题
反射回来的超声信号的强度决定于()
①被反射回来的超声量
②超声的衰减
③声波进入界面的入射角度
A.①②
B.②③
C.①③
D.①②③
E.以上都不对
117、单项选择题
患者体检发现睾丸小肿块,结合超声图像,最可能的诊断是()
A.睾丸囊肿
B.睾丸结核
C.白膜囊肿
D.睾丸腺癌
E.附睾囊肿
118、单项选择题 卵巢恶性肿瘤蔓延到子宫或输卵管,伴有腹水,是指()
A.Ⅰ期
B.Ⅱ期
C.Ⅲ期
D.Ⅳ期
E.无法分清
119、单项选择题 轴(纵)向分辨力直接与什么有关()
A.穿透深度
B.脉冲波的长度
C.阻尼
D.入射的角度
E.声束的宽度
120、单项选择题 异位妊娠发生于输卵管妊娠的百分率是()
A.30%
B.50%
C.70%
D.80%
E.95%
121、单项选择题 彩色血流图是指()
A.振幅调制型
B.辉度调制型
C.彩色血流显像
D.多普勒频谱显示
E.以上都不是
122、单项选择题 超声波是如何发生的()
A.换能器的逆压电效应
B.换能器的压电效应
C.换能器向人体发送电信号
D.换能器的热效应
E.换能器的磁效应
123、单项选择题 如果一侧颈内动脉阻塞或高度狭窄,同侧颈总动脉将出现哪种变化()
A.阻力指数降低
B.阻力指数升高
C.收缩期峰值流速升高
D.舒张期峰值流速升高
E.血流反向
124、单项选择题 一患者心脏检查数据如下:SV86ml,EF0.61,FS30%,E峰流速60cm/s,A峰流速112cm/s,DTE200ms,IVRT144ms,据此,你初步判定该患者心功能属于()
A.心脏收缩和舒张功能正常
B.心脏收缩功能正常
C.心脏收缩功能异常
D.心脏舒张功能正常
E.心脏舒张功能异常
125、单项选择题 超声检测羊水过少,下列哪项可能性最小()
A.无脑儿
B.过期妊娠
C.肾发育不全
D.羊膜早破
E.胎儿水肿
126、单项选择题 超声造影对临床在冠心病的介入治疗上有什么作用()
A.作为介入治疗的方法
B.评价介入治疗的疗效
C.不应使用,因减低介入治疗的疗效
D.明显增大介入治疗的疗效
E.对介入治疗无任何应用价值
127、单项选择题 脉络膜黑色素瘤的超声声像图表现是()
A.半圆形或蘑菇形实性肿物自眼球壁突入玻璃体腔
B.肿物前部回声密集明亮,向后渐衰减
C.肿物局部眼球壁较周围正常区回声低下
D.继发视网膜脱离
E.以上都对
128、单项选择题 超声声像图上,宫颈内见数个小无回声区,后方回声加强,最可能的诊断为()
A.阴道横隔
B.宫颈肥厚
C.宫颈妊娠
D.宫颈纳氏囊肿
E.宫颈癌
129、单项选择题
女,51岁,纳差、消瘦。结合超声声像图,诊断为()
A.胰腺癌
B.腹膜后肿块
C.胰岛细胞瘤
D.胃癌
E.胰腺炎
130、单项选择题 彩色多普勒是使用什么方法检测血细胞的动态信息()
A.增益
B.STC(TGC)
C.速度
D.FFT技术
E.MTI
131、单项选择题
女性,28岁,停经46天,阴道不规则出血5天。血HCG68μg/ml。结合超声图像,最可能的诊断为()
A.畸胎瘤
B.附件炎性包块
C.子宫浆膜下肌瘤
D.宫外孕
E.囊腺瘤
132、单项选择题 孕几周前后超声可检测到多胎妊娠()
A.6周
B.7周
C.8周
D.9周
E.10周
133、单项选择题 B超探及胎儿臀部实性肿物,内见钙化区后伴声影,考虑是()
A.骶尾实性畸胎瘤
B.胎粪
C.脑膨出
D.输尿管肾盂梗阻
E.脊柱裂
134、单项选择题 女性,24岁,葡萄胎刮宫术3个月,血β-HCG121U/L。对该病例病情判断,下列哪项是错误的()
A.再次妊娠
B.葡萄组织宫内残留
C.绒毛膜癌
D.侵蚀性葡萄胎
E.术后血β-HCG正常下降过程
135、单项选择题 下颈内动脉第一分支为()
A.眼动脉
B.视网膜中央动脉
C.睫状后长动脉
D.睫状后短动脉
E.睫状前动脉
136、单项选择题
患者,女,35岁,发现颈部稍大3年,无明显不适。甲状腺超声见右侧甲状腺一单发异常光团,声像图如下,最可能的诊断为()
A.甲状腺癌
B.结节性甲状腺肿
C.甲状腺炎
D.甲状腺腺瘤
E.甲状腺囊肿
137、单项选择题
患者腹痛3小时,超声检查左下腹显像如图,诊断可能为()
A.肠道扩张
B.肠道肿瘤
C.肠套叠
D.肠道蛔虫症
E.肠结核
138、单项选择题 超声检测发现无脑畸形常并发()①脊柱裂②脑脊膜膨出③脊髓脊膜膨出④腭裂⑤脐疝⑥羊水过多
A.①②③
B.①②③④
C.①②③④⑤
D.①②③④⑤⑥
E.①②③④⑥
139、单项选择题 成年女性乳房的主要构成包括()
A.皮肤、皮下脂肪及韧带
B.脂肪、腺叶及小叶
C.皮肤、皮下脂肪及腺体
D.皮肤、皮下脂肪及肌肉
E.腺叶、腺泡及脂肪
140、单项选择题 李某,男,15岁,数年来多处骨折伴有关节疼痛,肝肾功能正常,超声显示甲状腺下极背侧1.0cm×1.5cm,低回声结节,包膜完整,血流丰富,最可能的诊断是()
A.甲状旁腺增生
B.甲状旁腺癌
C.低血钙症
D.甲状腺腺瘤
E.甲状旁腺腺瘤
141、单项选择题
女性,25岁,停经47天,阴道不规则出血1周。尿妊娠试验阳性。结合超声图像,最可能的诊断为()
A.附件炎性包块
B.宫外孕
C.卵巢癌
D.子宫肌瘤
E.畸胎瘤
142、单项选择题 当障碍物的直径大于1/2波长时,将会发生什么反应()
A.反射
B.折射
C.衍射
D.不反射
E.不折射
143、单项选择题
男,36岁,患乙肝大三阳十多年,现发现腹腔内大量腹水。声像图如图所示,结合超声声像图,诊断为()
A.急性化脓性胆囊炎,胆汁淤积
B.慢性肾病引起低蛋白血症,胆囊壁水肿,胆汁淤积
C.肝硬化所致低蛋白血症,胆囊壁水肿,胆汁淤积
D.心衰引起胆囊壁水肿,胆汁淤积
E.胆囊癌
144、单项选择题 心脏超声检查最常用的探头是()
A.线阵探头
B.凸阵探头
C.TEE食管探头
D.相控阵探头
E.矩阵探头
145、单项选择题 血尿病人可见于以下哪种疾病()
A.膀胱癌
B.膀胱结石
C.膀胱异物
D.急性膀胱炎
E.以上均可
146、单项选择题
根据超声声像图,提示结构为()
A.脐带
B.胎盘
C.胎儿躯干
D.胎儿臀部
E.子宫肌层
147、单项选择题 胆总管上段位于门静脉()
A.右前方
B.前方
C.左方
D.后方
E.左前方
148、单项选择题
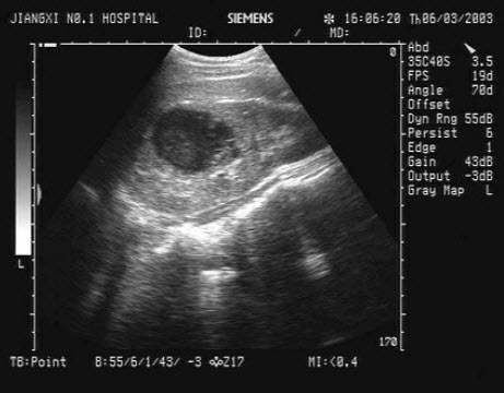
女,20岁,上腹痛并呕吐,入院诊断“急性胰腺炎”。结合超声声像图,诊断为()
A.胰腺脓肿
B.胰腺假性囊肿
C.胰腺囊肿
D.胰囊肿性腺瘤
E.胰腺癌
149、单项选择题 采用下列哪些测量方法可推测胎儿死亡时间()①双顶径②股骨长③头围④腹围
A.①
B.①②
C.①②③
D.①②③④
E.①③
150、单项选择题 进入或离开肝脏且充满液体的结构包括()①肝实质内动脉②肝动脉③胆管④腹腔动脉
A.①②
B.②③
C.②③④
D.①④
E.①③
151、单项选择题 室间隔前2/3部分由下列哪支冠脉供血()
A.左旋支
B.右主干支
C.右后降支
D.左前降支
E.对角支
152、单项选择题
患者全身骨关节疼痛,有肾结石病史。行超声检查甲状腺,如图。最可能的诊断为()
A.甲状腺腺瘤
B.甲状腺癌
C.甲状旁腺腺瘤
D.甲状腺囊肿
E.以上均不是
153、单项选择题 下列哪项与多囊卵巢不相关()
A.库兴综合征
B.月经稀发
C.不排卵
D.多毛
E.肥胖
154、单项选择题
男,27岁,健康体检,超声图中箭头所指为()
A.肠系膜上动脉
B.肠系膜上静脉
C.胆总管
D.肝动脉
E.门静脉
155、问答题 腹膜腔肿瘤的USG表现有哪些?
156、单项选择题 频谱多普勒超声检测到从零位基线向上的血流频谱,表明血流是()
A.反向的动脉血流
B.反向的静脉血流
C.流向探头的血流
D.背离探头的动脉血流
E.背离探头的静脉血流
157、单项选择题 超声可探测到,在尿路造影术或X线平片中看不到的肾结石是()
A.草酸钙结石
B.胱氨酸、黄嘌呤结石
C.磷酸盐结石
D.尿酸结石
E.以上都不是
158、单项选择题
根据超声图像,最可能的诊断为()
A.附睾炎
B.睾丸扭转
C.卵巢囊肿蒂扭转
D.子宫腺肌瘤
E.以上都不是
159、单项选择题 对子宫内膜癌手术范围选择及预后判断最重要的声像图表现是()
A.肿瘤血流丰富
B.肿块大小
C.子宫肌层浸润深度大于50%
D.肿块形态
E.肿块回声不均
160、填空题 正常肾脏USG在冠状和矢状断面上,呈_____形,横断面上则为______________形。
161、单项选择题
某患者因血尿就诊,下腹部声像图如图,根据图中表现及所标志的体位,最可能的超声诊断为()
A.前列腺增生并钙化
B.膀胱结石
C.膀胱癌
D.前列腺癌
E.膀胱血块
162、单项选择题
患者,男,高热,右上腹痛,肝区扣击痛。结合超声声像图,诊断为()
A.肝血管瘤
B.肝脓肿
C.肝癌
D.脂肪肝
E.肝囊肿
163、单项选择题 彩色多普勒血流显像技术检测主动脉瓣口血流,速度标尺应如何选用()
A.选择高速档
B.选择低速档(例如0.20m/s)
C.随意,不需注意调节
D.选择中等速度(例如0.6m/s)
E.以上都不是
164、单项选择题 若怀疑有主动脉瓣狭窄,为取得狭窄的高速湍流,取样容积应置于()
A.心尖部
B.左室流入道
C.左室二尖瓣瓣尖水平
D.主动脉瓣下
E.主动脉瓣上
165、单项选择题 肺动脉瓣血流的多谱勒频谱有什么特点()
A.舒张期出现,双峰形状,正向
B.收缩中期出现,负向,尖峰形状
C.收缩期为正向,舒张期为负向,尖峰形状
D.收缩期正向,双峰,舒张期负向,波峰园钝
E.持续全收缩期,负向,正弦波形状
166、单项选择题
该切面未显示法洛四联症哪一症()

A.主动脉骑跨
B.室间隔缺损
C.肺动脉狭窄
D.右室肥厚
E.左心缩小
167、单项选择题
某患者收缩期三尖瓣口超声心动图如图所示,提示()

A.三尖瓣狭窄
B.三尖瓣关闭不全
C.房间隔缺损
D.正常声像图
E.室间隔缺损
168、单项选择题 宫内避孕器的并发症包括()
A.子宫肌层嵌顿
B.节育器穿孔、外游
C.子宫穿孔
D.盆腔积液
E.以上各项均是
169、单项选择题 下列哪项与超声波灰阶无关()
A.信号动态范围
B.增益及深度增益补偿
C.图像后处理
D.M型的扫描速度
E.聚焦点数或聚焦范围
170、单项选择题 最常见的儿童肾实质性肿瘤是()
A.中胚层的肾肿瘤
B.Wilms瘤
C.神经母细胞瘤
D.肾癌
E.肾错构瘤
171、单项选择题 正常成年人肾脏大小应为()
A.长10~12cm,宽5~7cm,厚3~5cm
B.长8~9cm,宽5~7cm,厚3~5cm
C.长11~13cm,宽6~8cm,厚4~6cm
D.长10~12cm,宽6~8cm,厚2~3cm
E.长10~13cm,宽6~8cm,厚4~6cm
172、单项选择题 超声可以显示最小多少厘米的甲状腺结节()
A.甲状腺内所有结节
B.甲状腺内>1cm结节
C.甲状腺内<0.5cm结节超声无法显示
D.甲状腺内>0.2cm结节超声均可显示
E.以上均不是
173、单项选择题 胎儿死亡的定义是()①≥20周胎儿死亡②任何胎龄的胎儿死亡③体重≥500g的胎儿死亡④36周以后的胎儿死亡
A.①③
B.②③
C.④
D.①②③④
E.②③④
174、单项选择题 成人型多囊肾中下列哪一项是错误的()
A.该病一般在40~60岁出现症状,有家族性
B.超声显示两肾内无数大小不等的囊肿,常合并多囊肝等其他脏器多囊性疾病
C.本病属常染色体隐性遗传病
D.本病为双侧性,临床上少数病例两肾发展可不一致
E.本病出现症状愈早,预后愈差;晚期症状为高血压、肾功能减退
175、问答题 肾上腺转移癌的声像图表现有哪些?
176、单项选择题 超声图像的后处理功能,不包括()
A.灰阶变换
B.彩色编码变化
C.图像储存
D.图像平滑化
E.图像补插处理
177、单项选择题 下列哪一项与子宫内膜癌超声鉴别诊断无关()
A.子宫肌瘤变性
B.绒毛膜上皮癌
C.子宫颈囊肿
D.子宫平滑肌肉瘤
E.多发性子宫肌瘤
178、单项选择题
根据以下肝超声检查声像图,诊断为()
A.肝癌并门脉癌栓
B.肝硬化
C.脂肪肝
D.肝炎
E.血吸虫性肝硬化并门脉血栓
179、单项选择题 经产妇,末次月经不详,超声测量胎囊最大直径是1cm,计算孕龄是()
A.4~5周
B.8周
C.10周
D.10~12周
E.9周
180、单项选择题 除哪一项外,均为晚期脂肪肝表现()
A.腹水
B.肝脏缩小
C.胆管扩张
D.门静脉高压
E.血管显示不清
181、单项选择题 以下哪项属于子宫肌瘤良性退行性变()①玻璃样变②钙化③脂肪变性④肉瘤样变
A.①
B.①②
C.①②③
D.①②③④
E.④
182、单项选择题 哪种子宫畸形具备下列声像图特点:子宫外形正常,宫底较宽,宫体中央可见条样衰减回声,将子宫分成对称或不对称两部分,各有宫角回声()
A.单角子宫
B.残角子宫
C.双子宫
D.纵隔子宫
E.正常子宫
183、单项选择题
某患者阴囊增大,自诉用力时阴囊可增大,平卧缩小,无外伤史。B超检查超声声像图如下,最可能的诊断为()
A.鞘膜积液
B.附睾炎性包块
C.斜疝
D.附睾结核
E.股疝
184、单项选择题 肝的脏面向()
A.下、后和左
B.下、后和右
C.上、后和左
D.上、后和右
E.前和左
185、单项选择题 男性,血尿时伴尿中断,最可能的诊断为()
A.膀胱血块
B.膀胱结石
C.膀胱肿瘤
D.膀胱憩室
E.膀胱壁钙化
186、判断题 USG检查女性生殖系统病变的局限是不能发现早期子宫癌。
187、单项选择题 提高肝外胆管下段显示的方法有()①饮水②脂餐③胸膝位④侧转探头
A.①
B.①②
C.①②③
D.①②③④
E.①③④
188、单项选择题 彩色多普勒血流成像在检测腹部血流时,常有彩色信号闪烁现象,如何减轻或消除这种干扰()
A.减低滤波频率
B.减低测速度的速度标尺,增大取样框
C.屏住呼吸,提高滤波频率
D.降低速度标尺
E.深呼吸,提高速度标尺
189、单项选择题 子宫内节育器正常位置是上缘距宫底外缘多少厘米以内()
A.1cm
B.1.5cm
C.2cm
D.2.5cm
E.3cm
190、单项选择题
图中标记处为()
A.腹腔积液
B.肾周积液
C.肠管内液体
D.肾结核
E.以上都不是
191、单项选择题 青春期无月经来潮,渐重性周期性下腹痛,超声显示阴道、宫颈、子宫内透声不清亮的无回声区,考虑为()
A.宫颈肌瘤变性
B.处女膜闭锁
C.先天性无阴道
D.阴道纵隔
E.子宫腺肌病
192、单项选择题 关于心房黏液瘤,何者错误()
A.90%位于左心房内
B.听诊可闻及收缩期吹风样杂音
C.常有一蒂与房间隔相连
D.可引起二尖瓣口阻塞致猝死
E.术后有复发倾向
193、多项选择题 胰腺真性囊肿USG征象为()
A.囊肿较小,呈圆形或椭圆形
B.边界光滑、完整,囊肿壁回声清晰、稍强
C.胰腺某一局部或胰腺相邻部位出现无回声区
D.潴留性囊肿常多发,同时合并多囊肾或多囊肝
E.胰腺包虫囊肿常与肝包虫病伴发
194、单项选择题
女,54岁。反复便秘,腹泻就诊。PE:左中腹可扪及一肿块,质硬,结节状,OB(Ⅱ),结合超声声像图,诊断为()
A.左肾
B.结肠癌
C.肠系膜淋巴结
D.腹膜后肿块
E.肠结核
195、单项选择题
图为胃内超声所见胃各层表现,自内向外第一层为()
A.粘膜
B.粘膜下层
C.固有肌层
D.浆膜层
E.浆膜下层
196、单项选择题
该病例最有可能诊断是()

A.高血压病
B.主动脉瓣下狭窄
C.肥厚型梗阻性心肌病
D.非梗阻性心肌病
E.主动脉瓣狭窄
197、单项选择题 超声可以显示的骨结构是()①骨皮质②骨髓③骨膜④软骨组织
A.①
B.①②
C.①②③
D.①④
E.①②③④
198、单项选择题 测量双顶径应注意()
A.保证胎头显示呈柠檬形
B.保证胎头显示呈圆形
C.在透明隔和丘脑水平获得声像图
D.在大脑镰和侧脑室水平获得声像图
E.在小脑水平获得声像图
199、名词解释 成像帧率
200、单项选择题 急性期肌腱撕裂的声像图表现有()①肌腹端回缩,断端分离,肌腱回声中断、消失②断端呈梭形低回声③断裂处呈小锥形低回声区,肌腱边缘不光滑④断端呈中等或强回声
A.①
B.①②
C.①②③
D.①③④
E.①②③④
201、判断题 目前超声已可能发现1.0cm左右的肝癌。
202、单项选择题
患者,胃癌手术后2年,髂窝处声像图表现如图,诊断是()
A.正常声像图
B.肿大淋巴结
C.阑尾脓肿
D.肠道转移灶
E.动脉瘤
203、单项选择题
根据超声声像图,最可能的诊断为()
A.睾丸鞘膜积液
B.精索鞘膜积液
C.睾丸囊肿
D.交通性鞘膜积液
E.附睾头囊肿
204、单项选择题 室间隔的解剖特点,下列哪一项是正确的()
A.比房间隔薄
B.由纤维组织构成
C.胚胎时期有卵圆孔使两侧心室相通
D.分隔左、右心室
E.构成肺动脉壁
205、单项选择题
患者女28岁,反复右上腹疼痛二年余,反射肩背部疼痛,B超检查如图所示,根据超声声像图,诊断为()
A.胆囊息肉
B.胆囊癌
C.胆囊结石
D.胆囊蛔虫
E.胆囊腺瘤
206、单项选择题
肝脏组织穿刺活检注意事项()
⑴选择最短穿刺入路
⑵选择最短穿刺入路,应经过至少1cm正常肝组织
⑶穿刺针勿穿透胸、腹膜壁层
⑷选择肿块边缘取材,囊实成分兼有避免取囊性部分
⑸选择肿块中央取材,囊实成分应取囊性部分
⑹非均匀脂肪肝,对高、低回声分别取材
⑺非均匀脂肪肝,对高、低回声只取任意一种回声即可
⑻不同病灶可用同一活检针取材
⑼不同病灶不用同一活检针取材
⑽同一病灶可用同一活检针取材
⑾同一病灶可用同一活检针取材,每次取材后用75%乙醇纱布仔细擦拭针杆、针尖2遍
A.⑴⑶⑸⑹⑻⑽
B.⑵⑶⑷⑹⑼⑾
C.⑵⑶⑸⑺⑼⑾
D.⑴⑶⑷⑹⑻⑾
E.⑴⑶⑸⑺⑼⑽
207、单项选择题 紫绀型先天性心脏病最常见的畸形为()。
A.法乐氏四联症
B.右室双出口
C.大动脉转位
D.单心室
E.永存动脉干
208、单项选择题 哪种超声聚焦方法是新发展的技术()
A.晶片凹陷
B.声透镜
C.分段电子聚焦
D.动态实时跟踪和面阵聚焦(矩阵聚焦)
E.动态权中重聚焦
209、单项选择题 约50%宫内生长迟缓的胎盘表现为()
A.小胎盘
B.大胎盘
C.胎盘水肿
D.无异常
E.环形胎盘
210、单项选择题 探头匹配层的最主要作用是()
A.间接保护压电振子
B.减少声波的谐振
C.使探头与皮肤声阻抗相匹配,有利于声波传播
D.降低横向耦合力
E.增加有效振子数目
211、单项选择题 频谱多普勒超声可直接测量的血流参数是()
A.阻力指数(RI)
B.压力阶差(PG)
C.搏动指数(PI)
D.收缩/舒张期速度比(S/D)
E.收缩期峰值速度(Vs)
212、单项选择题 单发右位心(右旋心)的二维超声检查主要所见是()
A.心房、心室位置正常,心尖朝左
B.心房、心室位置正常,心尖在右胸腔
C.心房反位,心室右袢(正常位置),心尖朝右
D.心房正位,心室左袢(反位),心尖朝右
213、单项选择题 子宫解剖分为()
A.子宫底、子宫角、子宫体
B.子宫角、子宫体、子宫颈
C.子宫底、子宫体、子宫峡部
D.子宫底、子宫体、子宫颈
E.子宫底、子宫角、子宫颈
214、单项选择题 二尖瓣关闭不全时不出现哪项()
A.左房扩大
B.左室扩大
C.肺动脉增宽
D.室壁活动增强
E.室壁活动减弱
215、单项选择题 以下哪项不是乳腺纤维腺瘤的超声表现()
A.边界光滑
B.有包膜
C.内部呈均质低回声区
D.导管扩张
E.单发或多发
216、单项选择题
患者男46岁,既往有胆囊结石病史,上腹部疼痛不适年余,加重1个月,皮肤、巩膜轻度黄染,B超检查如图所示,根据超声声像图,诊断为()


A.胆囊结石并胆囊炎,肝血管瘤
B.胆囊结石并胆汁淤积,肝血管瘤
C.胆囊结石并胆囊癌,肝转移性癌
D.胆囊结石并肝癌
E.胆囊结石并胆息肉,肝转移性癌
217、单项选择题 腹围主要反应哪个内脏器官发育情况()
A.胃
B.脐静脉
C.肾
D.肝
E.脾
218、单项选择题 下列实时超声成像的主要扫描方式中哪一种最适用于心脏检查()
A.电子线性扫描
B.电子凸阵扫描
C.电子扇形相控阵扫描
D.机械扇形扫描
E.环阵扇形扫描
219、单项选择题
女性,27岁,停经49天,尿妊娠试验阳性。如图所示,超声诊断为()
A.宫腔积液
B.早孕,多胎妊娠
C.绒癌
D.葡萄胎
E.稽留流产
220、名词解释 多频探头
221、单项选择题 介入性超声可分为几大类,下列哪个是正确答案()
A.两类,介入性诊断和介入性治疗
B.三类,经皮穿刺、体腔内超声和手术中超声
C.四类,穿刺活检、造影、抽吸引流、注药导入能量
D.五类,穿刺活检、体腔内超声、造影、抽吸引流、注药导入能量
E.以上都不对
222、单项选择题 为了调节灰阶超声仪器的工作条件达到最佳状况,下列哪项内容不重要()
A.提高空间分辨力
B.提高时间分辨力
C.选择适当的图像前后处理及动态范围
D.调节M型的扫描速度
E.选择适宜的灰阶数
223、单项选择题
某患者因左腰部疼痛不适、发热就诊,肾脏超声声像图如下,最可能的诊断为()
A.肾囊肿
B.急性肾炎
C.肾脓肿
D.肾癌
E.肾血肿
224、名词解释 “WES”征
225、单项选择题 下列关于超声分辨率的描述,错误的是()
A.实际轴向分辨力大于理论值(λ/2)
B.聚焦后,横向分辨力提高
C.提高帧频时,探测深度和扫描线数将相应减少
D.彩色血流显像时,帧频不能小于10~12帧/秒
E.聚焦后,侧向分辨力提高
226、单项选择题 下列哪种气体不能用于超声造影()
A.空气
B.二氧化碳气体
C.氧气
D.纯氮气体
E.氟碳气体
227、单项选择题
男性,70岁,左下肢橡皮肿,阴囊肿大如橄榄球大小,阴囊壁增厚,B超声像图如下,患者有可能是下列哪个疾病()
A.丝虫病
B.华枝睾吸虫病
C.肾病综合征
D.下肢静脉曲张
E.阴囊血肿
228、单项选择题 双顶径的测量方法是()
A.不包括大脑帘、颅骨壁的回声
B.从一侧颅骨壁外缘至对侧颅骨壁外缘
C.从一侧颅骨壁内缘至对侧颅骨壁内缘
D.从一侧颅骨壁外缘至对侧颅骨壁内缘
E.以上都不是
229、单项选择题 下列卵巢非赘生性囊肿临床表现和声像图特征,哪一项是错误的()
A.黄体囊肿是黄体形成过程中黄体血肿液化形成
B.黄素囊肿与滋养细胞肿瘤伴发
C.黄素囊肿多呈双侧性
D.绝经后妇女常见且多能自行消退
E.卵巢非赘生性囊肿是一种囊性结构而不是卵巢肿瘤
230、问答题 肾结核的声像图表现有哪些?
231、单项选择题 膀胱肿瘤的分期标准是根据()
A.肿瘤大小
B.肿瘤侵犯膀胱壁的深度
C.临床症状
D.肿瘤部位
E.有无肾积水
232、单项选择题 关于肾脏解剖描述中下列哪项是错误的()
A.肾脏位于腹膜后脊柱两旁的肾窝内
B.左肾较右肾略大
C.左肾较右肾位置高1~2cm
D.肾门部结构从前向后依次为肾静脉、肾动脉、肾盂
E.肾门结构从上向下依次为肾静脉、肾动脉、肾盂
233、问答题 经阴道超声检查有哪些优缺点?
234、单项选择题 反映心室舒张功能减低不包括哪项()
A.IVRT
B.EPSS
C.E峰流速
D.E/A
E.△D%
235、单项选择题
一患者,发热,右上腹痛,血常规检查白细胞增多。结合超声声像图,诊断为()
A.肝脓肿
B.肝血管瘤
C.肝癌
D.脂肪肝
E.肝囊肿
236、单项选择题 心肌收缩功能的主要测量指标是()
A.左室压力最大下降速率
B.舒张期压力减半时间
C.室壁收缩期增厚率
D.心输出量
E.Simpson公式测心室容积
237、单项选择题 关于子宫内膜癌的描述,下列哪一项是错误的()
A.患者多为老年妇女
B.临床表现有绝经期后出血、阴道排液
C.声像图可见宫腔积液
D.声像图表现可与子宫肌瘤变性类似
E.常合并卵巢囊肿
238、单项选择题 TGC是下列哪一名词的英文缩写()
A.组织增益特性
B.时间增益补偿
C.信号发生器控制
D.温度发生器控制
E.以上均不正确
239、单项选择题 频谱多普勒可以测量血流的哪些数据()①收缩期峰值速度(Vs),cm/s②舒张期峰值速度(Vd),cm/s③全心动周期的平均速度(Vm),cm/s④速度时间积分(VTⅠ),即频谱包络线下的面积⑤搏动指数(PⅠ),PI=Vs-Vd/Vm;阻力指数(RⅠ),RI=Vs-Vd/Vs⑥收缩期与舒张期速度比值(S/D)⑦加速时间(AT)⑧平均加速度(Mav)⑨减速时间(DT)⑩平均减速度(Mdv)
A.①②③
B.④⑤⑥
C.⑦⑧
D.⑨⑩
E.以上各项均可
240、单项选择题 超声的声波频率应该大于以下哪项()
A.2000Hz
B.5000Hz
C.10000Hz
D.20000Hz
E.50000Hz
241、单项选择题
男性,阴囊肿大,表皮温度高,触痛明显,超声见附睾尾体积增大,CDFI:血流信号丰富,如图所示,考虑为()
A.附睾炎
B.睾丸炎
C.附睾结核
D.睾丸结核
E.精索静脉曲张
242、单项选择题 下列哪种疾病不属于肝弥漫性病变()
A.肝硬化
B.肝淤血
C.脂肪肝、酒精性肝病
D.肝血吸虫病
E.布加综合征
243、单项选择题
如图,正常甲状腺中部横切面的超声声像图,中央气管环状软骨前方组织为()
A.甲状腺峡部
B.皮下组织
C.甲状旁腺
D.淋巴结
E.以上均不对
244、单项选择题 关于M型超声心动图二尖瓣前叶波群,以下哪项不正确()
A.正常人呈双峰型
B.E峰位于舒张早期
C.A峰位于舒张晚期
D.CD段位于舒张中期
E.收缩期呈一平直向上的曲线
245、单项选择题 切片厚度伪像的产生与下列因素有关()
A.脏器位置较深
B.脏器厚度较大
C.探头近场较长
D.超声束较宽
E.探头横径过大
246、单项选择题 前列腺组织中易发生肿瘤及炎症的部位是()
A.前叶和两侧叶
B.中叶和后叶
C.后叶或外腺
D.内腺
E.两侧叶
247、名词解释 动态聚焦
248、单项选择题 一般在妊娠多少周才能清楚显示胎头光环()
A.8周
B.8~9周
C.10周
D.11周
E.12周
249、单项选择题 移植肾正常声像图表现()
A.肾窦增大
B.较正常肾脏回声更多
C.皮质薄而髓质锥体增加
D.与正常肾脏声像图一致
E.常位于肾窝内
250、单项选择题 成人脾脏长径超声测量正常值()
A.<9.0cm
B.<10cm
C.<11cm
D.<12cm
E.<13cm
251、单项选择题 超声诊断软组织肿瘤的局限性表现在哪个方面()
A.显示肿瘤的大小和形态
B.判定肿瘤的部位及其与相邻组织的关系
C.鉴别肿瘤的物理性质是囊性或实性
D.确定肿瘤的病理性质是良性或恶性
E.了解相邻骨骼是否受到侵犯
252、单项选择题 人体中的强回声组织声衰减极高并伴有声影,以下哪个不是()
A.软骨
B.钙化
C.肺
D.瘢痕
E.结石
253、单项选择题
超声仪的分辨率可定义为()
①可在显示仪上区别开来的两点间目标最小的空间间隔
②在显示仪上趋于被单独一个点的目标所占据的区域或距离
③在显示仪上区别出的两种独立的活动状态的最短时间间隔
A.①
B.①②
C.①②③
D.②③
E.①③
254、单项选择题 患者于肝右前叶下段与左内叶交界处发现低回声不均匀实性肿块,边缘欠清,其内见多个强回声团伴声影,胆囊腔内无回声区消失,最可能诊断为()
A.胆囊癌实块型
B.肝细胞肝癌
C.炎性假瘤
D.胆管细胞肝癌
E.肝腺瘤
255、问答题 三维超声在产科临床的应用价值有多大?
256、单项选择题 采用低频滤波装置时,保留的超声信号来自()
A.心壁
B.腱索
C.瓣膜
D.血管壁
E.血流
257、单项选择题 肝门内三结构是()
A.肝动脉、肝静脉和肝门
B.门静脉、肝动脉和胆总管
C.脾静脉、门静脉和肝静脉
D.胆总管、胆囊管和左右肝管
E.以上都不是
258、单项选择题
根据超声声像图,最可能的诊断为()
A.睾丸鞘膜积液
B.精索鞘膜积液
C.阴囊壁水肿
D.肠疝
E.睾丸精索鞘膜积液
259、单项选择题
女,33岁,因月经不调就诊,超声声像图如下,最可能的诊断为()
A.附件炎
B.子宫肌瘤
C.子宫腺肌症
D.子宫内膜癌
E.卵巢肿瘤
260、单项选择题 正常睾丸CDFI特点()①双侧睾丸血流对称,内见枝状血管②双侧睾丸血流对称,内见丰富血管③睾丸内多为动脉血流,Vmax12~13cm/s④睾丸内多为动脉血流,Vmax20~30cm/s⑤睾丸血流RI<0.55⑥睾丸血流RI>0.6⑦正常睾丸静脉不易显示⑧正常睾丸静脉易显示
A.①③⑤⑦
B.②④⑥⑧
C.①④⑤⑧
D.②③⑥⑦
E.①④⑤⑦
261、单项选择题 关于电子相控阵聚焦的说法,错误的是()
A.利用延迟发射使声束偏转
B.在长轴上对整条声束的回声途径自动、不断地进行全程接收聚焦
C.利用环阵探头进行环阵相控聚焦
D.探头表面贴附有声透镜
E.二维多阵元探头为其新技术
262、名词解释 M模式
263、单项选择题
某患者高热,肾区疼痛,肾脏超声声像图如下,最可能的诊断为()
A.肾囊肿
B.急性肾炎
C.脓肾
D.肾癌
E.肾结核
264、单项选择题 数字扫描转换器的作用中,不包括()
A.储存图像
B.把图像转换成标准的电视扫描制式信号进行显示
C.可提高图像稳定性
D.进行图像补插处理
E.图像后处理功能
265、单项选择题 动态扫查仪的类型包括()①程序②电子③机械
A.①②
B.①②③
C.②③
D.①③
E.③
266、单项选择题
该病例最可能的诊断()

A.冠状动脉瘤
B.右冠状动脉瘘
C.川崎病
D.冠状动脉起源异常
E.室间隔缺损
267、单项选择题 功能失调性子宫出血的特点是()①由于调节生殖的神经内分泌机制失常引起的异常子宫出血②临床表现是不规则子宫出血、月经量多、贫血③超声表现为子宫均匀性增大,子宫内膜增厚④卵巢一般多萎缩、变小、功能下降
A.①
B.①②
C.①②③
D.①②③④
E.②④
268、判断题 扩张型心肌病M型超声心动图见二尖瓣前、后叶开放幅度小且时间短呈钻石样改变。
269、单项选择题 男,37岁,既往有肝炎史,超声发现脾脏显著肿大,肝表面不光滑,肝实质回声不均匀,肝周探及液性暗区.诊断最可能是()
A.慢性肝炎
B.慢性肝炎合并肝硬化,腹水
C.肝硬化合并肝囊肿
D.肝硬化合并肝肿瘤
E.肝硬化合并门静脉高压
270、单项选择题
患者,男性,70岁,出现无痛性血尿,如图所示,该病例最可能的诊断为()
A.膀胱结石
B.膀胱血块
C.膀胱异物
D.膀胱肿瘤
E.前列腺增生
271、单项选择题
某患者右侧阴囊根部可触及小包块,超声声像图如下,最可能的诊断为()
A.精索鞘膜积液
B.睾丸鞘膜积液
C.附睾囊肿
D.睾丸肿瘤
E.附睾血肿
272、问答题 经腹部超声检查盆腔脏器为什么要充盈膀胱?
273、单项选择题
男,近视,四肢细长,行超声检查心脏如图,最可能诊断为()

A.正常心脏图像
B.高血压心脏病
C.马方综合征
D.以上均不是
E.以上均是
274、填空题 腹主动脉内径大于______即可认为是腹主动脉瘤。
275、单项选择题 关于经阴道超声检查方法学的描述,下述哪一项是错误的()
A.子宫肌瘤较大时,应同时进行经腹超声检查
B.卵巢肿瘤位置较高时,应同时进行经腹超声检查
C.经阴道超声检查常用于胎儿心脏畸形诊断
D.与经腹超声相比,常能清晰显示子宫内膜形态
E.检查前需排空膀胱
276、单项选择题 一般认为宫颈长度≤多少厘米,则为宫颈功能不全()
A.2cm
B.3cm
C.4cm
D.5cm
E.6cm
277、单项选择题 下列哪项符合巧克力囊肿声像图改变()①含有强回声颗粒的囊肿②不规则壁的囊肿③边界相对光滑无回声区④囊肿与子宫密切粘着致使子宫有“缺损”或“压迹”表现
A.①
B.①②
C.①②③
D.①②③④
E.②③④
278、单项选择题 正常成人妇女的乳房(不包括胸壁和肌肉)在超声断面图上,主要分为几部分()
A.3部分
B.4部分
C.5部分
D.6部分
E.7部分
279、单项选择题 俯卧扫查腹主动脉周围腹膜后淋巴结有一定难度,是因为()
A.髂腰肌干扰图像
B.俯卧位时淋巴结肿大
C.俯卧时淋巴结降入腹腔
D.脊柱产生声影伪像
E.以上均是
280、单项选择题 绝经后子宫内膜正常厚度是()
A.0.1cm~0.2cm
B.0.3cm~0.5cm
C.0.6cm~0.8cm
D.0.8cm~1.0cm
E.1.0cm~2.0cm
281、单项选择题 患者颈部包块5年,结合超声声像图,最可能的诊断是()
A.甲状腺瘤
B.甲状腺癌
C.甲状腺结节
D.甲状腺炎
E.桥本氏甲状腺炎
282、单项选择题 下列哪些是异位妊娠()①腹腔妊娠②子宫角妊娠③残角子宫妊娠④子宫颈妊娠⑤输卵管妊娠⑥卵巢妊娠
A.②③
B.①②③
C.①②③④
D.①②③④⑤⑥
E.⑤
283、单项选择题 关于室间隔的描述,以下哪项不正确()
A.室间隔分为膜性和肌性两个部分
B.肌部间隔可分为光滑区、小梁区和漏斗区
C.膜部位于主动脉右及无冠瓣交界处下方
D.三尖瓣膈瓣将膜部分为两个部分
E.肌部间隔为室间隔缺损的高发区
284、单项选择题 多普勒频谱技术中哪个是基础技术()
A.探头振子、振元
B.FFT(快速傅立叶变换)
C.通道
D.音频放大器
E.信号增益
285、单项选择题
某患者血管超声彩色多谱勒检查,如图所示,诊断为()

A.正常动脉层流频谱
B.正常静脉层流频谱
C.异常动脉频谱
D.异常静脉频谱
E.以上都不是
286、单项选择题
根据胎儿声像图,可见清晰脊柱和头颅光环,该胎儿至少应大于多少周()
A.12周
B.8周
C.6周
D.28周
E.32周
287、单项选择题 风心病二尖瓣狭窄M型超声心动图叙述正确的是()
A.二尖瓣双峰消失,呈“城垛”样改变,前后叶同向运动
B.二尖瓣双峰消失,呈“城垛”样改变,前后叶逆向运动
C.二尖瓣双峰,前后叶逆向运动
D.二尖瓣单峰,前后叶逆向运动
E.以上都是
288、单项选择题
如图所示,双肾结构清晰,左肾体积小,该病例最可能诊断是()
A.肾发育不良
B.肾萎缩
C.慢性肾炎
D.肾结核
E.慢性肾衰
289、单项选择题 超声诊断成熟卵泡的标准是()①卵泡表面无卵巢组织覆盖②卵泡长径≥20mm③卵泡张力高,壁薄而光滑④子宫直肠窝少量积液
A.①
B.①②
C.①②③
D.①②③④
E.①③
290、单项选择题
超声横向分辨力为()
①与深度、纵向和区域分辨力相同
②区分垂直于超声束两个物体的能力
③区分平行于超声束的两个物体的能力
④与方位、角度及横向分辨力相同
A.①③
B.①②
C.③④
D.②④
E.①②③
291、单项选择题
男,63岁,因左侧腰部疼痛不适伴无痛血尿1月余就诊,B超显示左肾集合系统分离3.9cm,如图所示,最可能的诊断为()
A.左输尿管结石
B.左输尿管癌
C.左输尿管炎性狭窄
D.左输尿管畸形
E.左输尿管血块
292、单项选择题
超声探查,子宫旁边有一类似肾脏的光团,最可能诊断为()
A.游走肾
B.异位肾
C.肾下垂
D.融合肾
E.盆腔占位
293、单项选择题 正常宫颈测量值为()
A.长度不超过3cm
B.前后径不小于3cm
C.前后径不超过3cm
D.长度不超过5cm
E.以上都不是
294、单项选择题
某患者因血尿就诊,前列腺超声声像图如下,生化检查PSA增高,最可能的诊断为()
A.前列腺脓肿
B.前列腺炎
C.前列腺良性增生
D.前列腺癌
E.前列腺囊肿
295、单项选择题 经腹壁胃肠超声检查前准备,下列哪一项是错误的()
A.检查应安排在X线钡剂检查之后
B.检查前1天晚餐宜进流食
C.禁食8小时-12小时
D.大肠检查不必禁食
E.胃内潴留物较多时可考虑洗胃
296、单项选择题
超声检查如图,最可能的诊断是()
A.正常声像图
B.淋巴管囊肿
C.下颚裂
D.唇裂
E.上腭裂
297、单项选择题 正常人的膀胱容量约为()
A.300ml以下
B.400ml左右
C.500ml左右
D.600mL左右
E.700mL左右
298、单项选择题 肾柱肥大声像图表现如下()
A.肾窦回声的前外侧近中部出现低回声区
B.低回声区与肾皮质间无分界
C.低回声区大小一般不超过3cm
D.低回声区肾表面不隆起
E.以上均正确
299、单项选择题 天冬氨酸是()
A.酸性氨基酸
B.碱性氨基酸
C.支链氨基酸
D.芳香族氨基酸
E.含硫氨基酸
300、单项选择题 用于医学上的超声频率通常为()
A.1MHz以下
B.2MHz
C.40MHz
D.20~40MHz
E.2.5~10MHz