时间:2025-05-26 01:14:25


1、单项选择题
该食管超声心动图显示图像为()

A.房间隔缺损(上腔型)
B.房间隔缺损(下腔型)
C.房间隔缺损(中央型)
D.房间隔缺损(混合型)
E.冠状静脉窦扩张
2、单项选择题 超声对多大的膀胱肿瘤难以检出()
A.1cm
B.2cm
C.0.5cm
D.1cm和2cm
E.1cm和0.5cm
3、单项选择题 一般认为宫颈长度≤多少厘米,则为宫颈功能不全()
A.2cm
B.3cm
C.4cm
D.5cm
E.6cm
4、单项选择题
某患者脾脏声像图表现如图,诊断为()
A.正常脾脏
B.脾大
C.脾破裂
D.脾梗死
E.以上都不是
5、单项选择题 囊肿的声像图特征是()
A.边界回声不定
B.外形不定
C.内部无回声
D.后方回声衰减
E.侧缘声影不定
6、单项选择题 当障碍物的直径大于1/2波长时,将会发生什么反应()
A.反射
B.折射
C.衍射
D.不反射
E.不折射
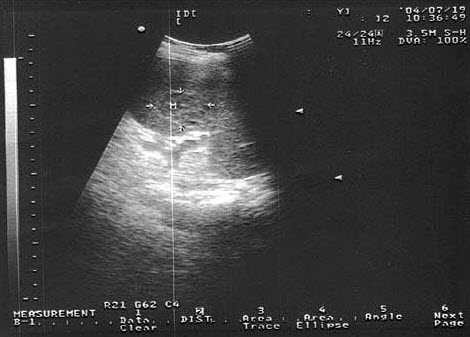
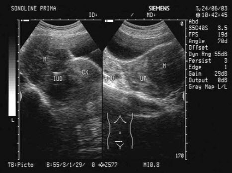
7、单项选择题
女,已放置节育器;腹痛,镜下血尿,超声显像如图,最可能的诊断为()
A.膀胱肿瘤
B.膀胱结石
C.节育器异位膀胱
D.右输尿管末端囊肿
E.以上都不是
8、单项选择题 有关输卵管积水,下列哪项是错误的()
A.输卵管粘连、闭锁,渗出物积聚而成的
B.输卵管积脓、脓液逐渐吸收形成
C.肿物囊性,常与周围组织粘连
D.常为双侧腊肠形,壁较薄而光滑
E.由盆腔结缔组织增生,子宫固定而形成
9、单项选择题
女,50岁,上腹不适。结合超声声像图,诊断为()
A.肝血管瘤
B.肝癌
C.炎性假瘤
D.肝脓肿
E.肝囊肿
10、单项选择题 紧邻于肾后方的肌肉是()
A.腰大肌
B.多裂肌
C.闭孔外肌
D.腹外斜肌
E.臀肌
11、单项选择题 无并发症的急性附睾炎声像图特征是()
A.附睾头局限性无回声,内有低回声
B.附睾均匀性增大内回声低于正常
C.附睾均匀性增大内回声高于正常
D.阴囊肿大伴局限性或普遍性附睾增厚
E.附睾均匀性增大,血流稀疏
12、单项选择题 弥漫浸润型胃癌的声像图,下列哪一项描述是错误的()
A.病变多呈低回声
B.病变多呈“火山口”征
C.胃壁五层结构消失
D.胃腔狭窄呈“假肾征”
E.胃壁显著增厚
13、单项选择题 超声检测妊娠囊内首先显示的结构是()
A.卵黄囊
B.胚芽
C.羊膜囊
D.胚盘
E.心管
14、单项选择题
甲状腺腺瘤的超声特点为()
①肿瘤单发,圆形,边界清,有包膜,周边有晕环
②肿瘤多发,圆形,边界欠清,有包膜
③肿瘤呈均匀低或中等回声,后方有侧影,无声衰减
④肿瘤呈不均匀中等以上回声,后方声衰减
⑤CDFI:肿瘤周边有血管绕行,患侧甲状腺上动脉Vmax增高
⑥CDFI:肿瘤内部有较丰富动、静脉血流信号,患侧甲状腺上动脉Vmax减低
A.①③⑤
B.②④⑥
C.①④⑥
D.②③⑤
E.①②④
15、单项选择题 按传播速度从高到低排列下列介质,正确的是()
A.空气、脂肪、肌肉、骨
B.骨、脂肪、空气、肌肉
C.骨、肌肉、脂肪、空气
D.肌肉、空气、脂肪、骨
E.骨、空气、脂肪、肌肉
16、单项选择题 不作为彩超颅内动脉各分支段常规测量的是()
A.收缩其峰值速度
B.舒张期最低速度
C.搏动指数
D.阻力指数
E.血管检测深度
17、单项选择题
患者,男,50岁,发热半月余,全身不适,乏力,食欲不振。根据超声心动图,最可能的诊断是()


A.风湿性心脏病
B.感染性心内膜炎
C.老年退行改变
D.主动脉瓣狭窄
E.冠心
18、单项选择题
男,60岁,便血就诊。PE:左下腹可扪及一肿块,质硬。结合超声声像图,诊断为()
A.Crohn’s病
B.肠梗阻
C.肠癌
D.肠套叠
E.肠结核
19、单项选择题 哪种超声聚焦方法是新发展的技术()
A.晶片凹陷
B.声透镜
C.分段电子聚焦
D.动态实时跟踪和面阵聚焦(矩阵聚焦)
E.动态权中重聚焦
20、单项选择题 以下哪种病声像图改变是睾丸周围呈无回声()
A.鞘膜积液
B.附睾炎性改变
C.睾丸炎性改变
D.睾丸肿瘤
E.阴囊壁水肿改变
21、单项选择题
图中标记处为()
A.肝左外上叶占位
B.肿大淋巴结
C.肝尾状叶
D.肝内占位性病变
E.肿大淋巴结
22、单项选择题 声波垂直入射到两层相邻的介质时()
A.两个介质特性阻抗差异越大,反射越强
B.两个介质特性阻抗差异越大,反射越弱
C.反射能量小于折射能量
D.反射能量与折射能量相同
E.以上都不对
23、单项选择题 超声检测阴囊的重要性是()
A.可助诊断阴囊内亚临床的肿块
B.可用于指导睾丸活检
C.可以鉴别睾丸内外的异常
D.以上各项均是
E.以上都不是
24、单项选择题 异位妊娠多发生于()
A.输卵管
B.腹腔
C.阔韧带
D.卵巢
E.宫颈
25、单项选择题 膀胱内出现的异常回声,最可能的诊断为()
A.膀胱血块
B.膀胱肿瘤
C.膀胱异物
D.导尿管
E.膀胱内囊肿
26、单项选择题
该病例最可能的诊断()

A.右室双出口并室间隔缺损
B.主动脉骑跨
C.室间隔缺损
D.大动脉异位
E.左室双出口
27、单项选择题 多囊肾依据出现初始临床表现的时间不同,分为哪几型()①围生期型②新生儿型③婴儿型④成人型
A.①②
B.③④
C.①③④
D.①②③④
E.②④
28、问答题 子宫颈癌的声像图表现有哪些?
29、单项选择题 骨巨细胞瘤病理基础主要表现为肿瘤组织质地疏松、出血、坏死和囊性变。与其相对应的声像图表现()
A.病变发生于骨骺端的松质骨内
B.病变部位呈偏心性肿大
C.肿瘤与正常骨质界限清楚
D.肿瘤透声性良好,后部边界回声增强
E.彩色多普勒血流显像见少许点状血流或较丰富的血流
30、单项选择题 5MHz表示()
A.每秒50万周
B.每秒5千万周
C.每秒5千周
D.每秒5百万周
E.每秒5万周
31、单项选择题 利用超声检测技术最早在几周能显示胎心搏动()
A.5~6周
B.6~7周
C.7~8周
D.8~9周
E.10~12周
32、单项选择题
根据超声声像图,提示为()
A.肾下垂
B.肾发育不良
C.异位肾
D.马蹄肾
E.游走肾
33、单项选择题
男,64岁,右上腹反复疼痛不适数10年,加重5天。声像图如图所示,诊断为()
A.肝内钙化带
B.胆囊充满型结石并萎缩性胆囊炎
C.胆囊蛔虫
D.肠襻回声
E.胆囊癌
34、单项选择题
某患者右下腹痛,血尿,根据超声声像图,最可能的诊断为()
A.右肾结石
B.右输尿管下段结石
C.阑尾炎
D.膀胱结石
E.输尿管肿瘤
35、单项选择题 脉冲在探头和界面之间往返2次以上而产生的伪像称为()
A.多途径伪像
B.旁瓣伪像
C.混响伪像
D.散射伪像
E.折射伪像
36、单项选择题 干扰肾上腺显示的因素是()
A.脾肿大
B.肝肿大
C.间位结肠
D.脂肪肝
E.胃切除
37、单项选择题
多普勒超声技术可分为()
①脉冲多普勒
②彩色多普勒
③连续多普勒
④频谱多普勒
A.①②
B.②④
C.①②③
D.①②③④
E.①③
38、单项选择题 人体组织内引起超声波反射的条件是()
A.相邻两种物质的声阻抗相等
B.两种物质之间声阻抗存在差别(>1/1000)
C.声波与界面平行
D.界面径线小于波长的二分之一
E.以上均不是
39、问答题 膀胱检查的扫查途径有哪些?需要如何准备?
40、单项选择题 弥漫性恶性葡萄胎CDFI的特点是()
A.子宫肌层大小不等无回声区内血供不丰富,偶见动脉血流信号,RI>0.5
B.子宫肌层呈非均匀性混合回声,内见明亮、丰富、五彩斑斓低速血流,RI<0.4
C.子宫肌层弥漫性分布大小不等无回声区,内见扩张的血管,血流丰富呈繁星点状或花环状,为低速动脉血流,RI<0.4~0.5
D.子宫肌层回声杂乱,内见明亮、丰富、五彩斑斓高速血流,RI>0.4~0.5
E.以上都错
41、单项选择题 下列哪项符合巧克力囊肿声像图改变()①含有强回声颗粒的囊肿②不规则壁的囊肿③边界相对光滑无回声区④囊肿与子宫密切粘着致使子宫有“缺损”或“压迹”表现
A.①
B.①②
C.①②③
D.①②③④
E.②③④
42、单项选择题 对疑有心内黏液瘤的患者,超声诊断主要应用哪种技术进行确诊()
A.频谱多谱勒检测心腔与大动脉间有无异常血流
B.对心房肿瘤用多谱勒技术检测收缩期血流有无异常
C.二维超声显示肿瘤的部位、大小、活动性与室壁的关系
D.彩色多谱勒观察有无心内分流血流
E.M型超声观察心腔壁的运动
43、单项选择题
一患者有介入手术史,具体病史不祥。肝脏超声检查声像图如下,图中箭头所示最可能的是()
A.支架
B.蛔虫
C.结石
D.正常结构
E.肝静脉
44、单项选择题 超声波的波长()
A.与介质的声速和频率成正比
B.等于声速与频率的乘积
C.等于声速与周期的乘积
D.与声速和频率无关
45、单项选择题
根据超声图像,该病例最可能诊断为()
A.膀胱结石
B.膀胱血块
C.膀胱异物
D.膀胱肿瘤
E.腺性膀胱炎
46、单项选择题 肝的脏面向()
A.下、后和左
B.下、后和右
C.上、后和左
D.上、后和右
E.前和左
47、单项选择题 连续式多谱勒的优势在于()
A.距离选通
B.单探头发射和接收超声
C.存在明显尼奎斯特极限
D.可检测高速射流
E.可确定血流深度
48、问答题 简述多普勒超声心动图?
49、单项选择题 骨骼肌正常声像图表现()①纵切肌肉边缘呈强回声线②纵切肌肉边缘呈低回声线③纵切肌肉内部纤维呈均匀细线样回声④纵切肌肉内部呈点状均匀回声⑤横切肌肉内部呈点状均匀回声⑥横切肌肉之间呈强回声⑦横切肌肉之间呈低回声
A.①③⑤⑥
B.②④⑤⑥
C.①④⑤⑦
D.②③⑤⑦
E.①③⑤⑦
50、单项选择题 房间隔缺损最常见类型是()
A.原发孔型
B.下腔型
C.静脉窦型
D.卵圆孔型
E.混合型
51、单项选择题 附睾炎在不同阶段的声像图表现是()
A.附睾增大
B.附睾显示中等回声
C.化脓时附睾出现无回声区
D.如有钙化,后方出现声影
E.以上都是
52、填空题
如图,二维超声心动图中,此为____________切面。

53、单项选择题 超声可以显示的骨结构是()①骨皮质②骨髓③骨膜④软骨组织
A.①
B.①②
C.①②③
D.①④
E.①②③④
54、单项选择题 轴向分辨率直接与下列哪项有关()
A.信号的频率
B.脉冲波的长度
C.阻尼
D.入射角度
E.声束的宽度
55、单项选择题 关于卵巢浆液性囊腺癌,下列哪一项是错误的()
A.成人最常见的卵巢恶性肿瘤
B.肿瘤生长很快,常伴出血坏死
C.多为部分囊性,部分实性
D.经阴道彩色多普勒血流显像,乳头内可显示较丰富血流
E.90%为单侧性
56、单项选择题 下述哪项不是扩张型心肌病超声表现()
A.心腔明显扩大
B.收缩功能减退
C.舒张功能正常
D.室壁运动普遍减低
E.室壁收缩期增厚率减低
57、单项选择题 中孕时双顶径每周增长多少可诊断胎儿宫内生长迟缓()
A.<2mm
B.2.0mm~2.5mm
C.2.6mm~3.0mm
D.3.1mm~3.5mm
E.3.6mm~4.0mm
58、问答题 肾盂肿瘤的声像图表现有哪些?
59、单项选择题
该病例最可能的诊断()

A.右室流出道狭窄
B.室间隔缺损
C.主动脉右冠窦瘤破裂
D.主动脉右冠瓣脱垂
E.房间隔膨出瘤
60、单项选择题 两个或两个以上界面之间的多个反射造成的假回声信号称()
A.折射
B.多重反射
C.排斥
D.散射
E.衍射
61、单项选择题 输尿管中段是指()
A.输尿管与肾盂交界处
B.自肾盂输尿管连接部到跨越髂动脉处
C.髂动脉到膀胱壁
D.膀胱壁内
E.以上都不是
62、单项选择题 前列腺超声检测的最佳途径是()
A.经腹壁探测法
B.经尿道探测法
C.经会阴探测法
D.经直肠探测法
E.以上都不是
63、单项选择题
图为胎儿鼻唇区显像,“+”处标出的为()
A.鼻唇沟
B.伪像
C.右侧鼻孔
D.唇裂
E.以上都不是
64、单项选择题 关于经阴道超声检查方法学的描述,下述哪一项是错误的()
A.子宫肌瘤较大时,应同时进行经腹超声检查
B.卵巢肿瘤位置较高时,应同时进行经腹超声检查
C.经阴道超声检查常用于胎儿心脏畸形诊断
D.与经腹超声相比,常能清晰显示子宫内膜形态
E.检查前需排空膀胱
65、单项选择题 镰状韧带的肝内部分()
A.走行于下腔静脉与胆囊之间
B.伴腹水时可见到
C.连接肝脏至小网膜囊
D.走行于门静脉矢状部左侧与腹壁之间
E.走行于肝左静脉与腹壁之间
66、单项选择题 肝囊肿的声像图表现,下列哪一项是错误的()
A.囊壁薄而光滑
B.囊壁较厚,光滑,呈双层
C.侧壁出现回声失落
D.后方回声增强
E.彩色多普勒显示囊壁处短条状血流信号
67、单项选择题 下列不符合重度脑积水超声表现的是()
A.脑中线明显偏移
B.脑实质回声消失
C.侧脑室过度扩张
D.头围等于腹围
E.脑室率大于0.5
68、单项选择题 关于原发性输卵管癌,下述哪项说法是错误的()
A.常伴有不孕症
B.发病率仅次于卵巢癌
C.阴道排液为间断性
D.主要症状是阴道多量排液
E.可能与结核性输卵管炎有关
69、单项选择题
女,35岁,上腹经常疼痛不适。声像图如图所示。结合超声声像图,诊断为()
A.胆囊多发性息肉
B.胆泥淤积
C.胆囊多发性腺瘤
D.胆囊蛔虫残骸
E.胆囊多发性结石
70、单项选择题
某患者左室长轴切面超声心动图如图所示,诊断为()

A.正常声像图
B.主动脉瓣关闭不全
C.二尖瓣关闭不全
D.室间隔缺损
E.房间隔缺损
71、单项选择题 关于部分容积效应伪像的表述,不正确的是()
A.又称切片厚度伪像
B.形成的原因主要是超声断层较厚
C.将探头适当加压或侧动可识别部分容积效应伪像
D.肝小囊肿内出现的点状回声属部分容积效应伪像
E.超声束越窄引起部分容积效应伪像的可能性越小
72、单项选择题
患者女36岁,反复上腹部疼痛不适数10年,偶尔皮肤、巩膜黄染。B超检查如图所示,根据超声声像图,诊断为()
A.左肝内胆管癌
B.左肝内胆管蛔虫
C.左肝内胆管胆泥淤积
D.左肝内胆管结石
E.左肝钙化灶
73、单项选择题 非镜面反射体是()
A.肝脏表面
B.膈肌
C.红细胞
D.不产生强回声的任一结构
E.以上都不是
74、单项选择题 门静脉系统扩张可由以下哪些病变所致()①右心衰②肝硬化③二尖瓣狭窄④主动脉瓣狭窄
A.①②
B.②③
C.①③
D.①②③
E.①②③④
75、单项选择题
如图,最可能的诊断是()
A.软骨成长不全
B.致死性骨发育不全
C.窒息性胸廓发育不良
D.肢体屈曲综合征
E.无肢畸形
76、单项选择题 关于M型超声心动图二尖瓣前叶波群,以下哪项不正确()
A.正常人呈双峰型
B.E峰位于舒张早期
C.A峰位于舒张晚期
D.CD段位于舒张中期
E.收缩期呈一平直向上的曲线
77、单项选择题 成人最常见的鞘膜积液是()
A.睾丸鞘膜积液
B.精索鞘膜积液,交通型鞘膜积液
C.睾丸鞘膜积液,交通型鞘膜积液
D.鞘膜积液,精索鞘膜积液
E.精索鞘膜积液
78、填空题 胎盘分为____________、_____________和____________3部分,其中____________靠近胎儿,__________靠近母体。
79、单项选择题 肾动脉狭窄的诊断标准()
A.狭窄处血流亮度增加,流速加快,Vmax≥180cm/s
B.Vmax狭窄处:Vmax邻近的腹主动脉内径≥3.5cm
C.AT≥0.07s,AS<3m/s
D.RI<0.5
E.以上均是
80、单项选择题 肝脏外分泌功能包括产生()
A.糖原
B.尿素
C.肝素
D.胆汁
E.胰液
81、单项选择题 孕几周是胎儿股骨长度的最易测量时间()
A.9~12周
B.14~22周
C.24~28周
D.32~36周
E.37~40周
82、单项选择题 以下哪项不是诊断急性胆囊炎的标准()
A.胆囊结石
B.Murphy征阳性
C.胆囊壁厚<3mm
D.胆囊积液
E.胆囊内胆泥淤积
83、单项选择题
患者女,20岁,健康体检如图,根据胆囊声像图,提示()
A.胆囊癌
B.胆泥
C.胆囊泥沙样结石
D.混响伪像
E.以上都不是
84、单项选择题 约孕几周时能辨清胎儿肾脏内部结构()
A.12周
B.16周
C.20周
D.24周
E.14周
85、单项选择题 女性生殖器官最常见的良性肿瘤是()
A.子宫肌瘤
B.卵巢皮样囊肿
C.卵巢浆液性囊腺瘤
D.卵巢黏液性囊腺瘤
E.以上都不是
86、单项选择题
女,34岁,B超检查,盆腔内可见一肿块,声像图如下,最可能的诊断为()
A.巧克力囊肿
B.畸胎瘤
C.炎性包块
D.宫外孕
E.附件囊肿
87、单项选择题 腮腺炎的声像图表现是()
A.不同程度的弥漫性肿大
B.急性期轮廓不清,呈低回声
C.腮腺血流信号增多
D.慢性期界限清晰,呈强回声
E.以上都是
88、单项选择题 由于瓣膜的先天畸形,二维超声显示和测量出功能性右心室、房化右心室及固有右心房,这是什么疾病()
A.三尖瓣下移畸形
B.三尖瓣先天裂加赘生物
C.三尖瓣裂
D.三尖瓣一个瓣叶缺如
E.三尖瓣闭锁
89、单项选择题
根据超声图像所示,判断致病人肾脏积水的梗阻在输尿管哪一段()
A.下段
B.中段
C.上段
D.膀胱内
E.肾盂内
90、单项选择题 轴(纵)向分辨力直接与什么有关()
A.穿透深度
B.脉冲波的长度
C.阻尼
D.入射的角度
E.声束的宽度
91、单项选择题 TGC是下列哪一名词的英文缩写()
A.组织增益特性
B.时间增益补偿
C.信号发生器控制
D.温度发生器控制
E.频率发生器控制
92、单项选择题
患者女32岁,右上腹剧烈疼痛3小时就医,体检无发热,上腹痛叩击痛(弱阳性)。B超检查如图所示,根据超声声像图,诊断为()
A.胆总管癌
B.胆总管结石
C.胆总管胆泥淤积
D.胆总管蛔虫
E.胆总管内引流管回声
93、单项选择题 海绵状血管瘤在声像图上很少表现为()
A.回声增强的病灶
B.低回声团块
C.壁光滑的无回声
D.多个病灶
E.类圆形团块
94、单项选择题 肝内血管纹理减少最常见于()
A.肝硬化
B.门静脉梗阻性疾病
C.布加综合征
D.急性重症肝炎
E.脂肪肝
95、单项选择题 关于声衰减的表述,不正确的是()
A.组织内含水分越多,声衰减越低
B.组织中含胶原蛋白越多,声衰减越低
C.组织中含胶原蛋白越多,声衰减越高
D.液体中含微气泡越多,声衰减越高
E.液体中含蛋白成分越多,声衰减越高
96、单项选择题 在异位妊娠中超声显示宫内假性胎囊占()
A.60%
B.50%
C.40%
D.20%
E.10%
97、单项选择题 从使用角度评价彩色多普勒血流显像仪,下列哪项是质量差的标志()
A.空间分辨力、速度分辨力、动态分辨力均高
B.检出血流敏感度高
C.显示图像均匀性好
D.彩色血流效果佳
E.提高灰阶图像增益时,彩色图像质量即下降
98、单项选择题 检测末梢小静脉血流,彩色多普勒血流显像速度标尺应选择()
A.用最高速档(例如1.0m/s以上)
B.用较高速档(例如0.8m/s以上)
C.应用低速档(例如0.15m/s以上)
D.随意
E.以上都不是
99、单项选择题 声像图中,形成强回声,其后方有声影的是()
A.皮肤
B.脂肪
C.纤维组织
D.结石
E.实质脏器
100、单项选择题 粉碎性骨折声像图特点()①断端间有强回声斑或块状强回声,后伴声影②断端间有强回声斑或块状强回声,后方无声影③骨折处可探及骨断裂回声④骨皮质回声中断,骨质中出现不规则低或较强回声
A.①
B.①②
C.①②③
D.②④
E.①②③④
101、单项选择题 急性睾丸疼痛常见疾病声像图有()①睾丸扭转:睾丸明显增大;位置上移,CDFI:血流减少或没有血流信号②睾丸脱臼:一侧阴囊空虚,同侧股部的皮下组织与肌层间可见正常睾丸回声,伴同侧精索轻度扭转③睾丸梗死:睾丸形态异常,内见圆形边界清晰的异常低回声区,伴附睾肿大;CDFI:睾丸内极低速血流④急性睾丸炎:睾丸均匀肿大,点、片状低回声;CDFI:血流信号增多,Vmax增快,RI减低
A.①③
B.①③④
C.①②③④
D.②
E.②③④
102、单项选择题 动脉导管未闭超声诊断的主要根据是()
A.肺动脉增宽
B.主动脉增宽
C.从降主动脉向肺动脉有收缩期分流血流
D.从降主动脉向肺动脉有双期分流血流;舒张期明显。
E.肺动脉内检出收缩期血流明显大于舒张期血流
103、单项选择题 “早期胆囊癌”的诊断,应首选哪项检查()
A.CT
B.DSA
C.MRI
D.口服胆囊造影
E.US
104、单项选择题 指出下列正常肢体静脉的多谱勒超声表现哪项是错误的()
A.中等大小以上的静脉,无论在休息和活动状态都有血流信号
B.静脉血流速度随呼吸运动而加快或减慢
C.乏氏(Valsalva)反应阳性
D.人工挤压远端肢体后血流信号减弱
E.呈单向回心血流
105、单项选择题
某患者肝脏声像图表现,最可能的诊断是()
A.肝转移癌
B.原发性肝癌并门脉癌栓
C.弥漫性肝癌
D.肝硬化并门脉海棉样变性
E.肝硬化并门脉血栓形成
106、单项选择题 异位妊娠最常见种植在下()
A.卵巢
B.腹腔内
C.输卵管
D.后腹膜间隙内
E.肠壁上
107、单项选择题
患者有明显胸痛史,其诊断可能是()

A.右冠窦膨隆
B.嵴上型室缺
C.右冠窦瘤破裂
D.右冠瓣脱垂
E.左冠瓣脱垂
108、问答题 肾母细胞瘤的声像图表现有哪些?
109、单项选择题 压电效应是()
A.组织的密度及声在组织中的速度
B.高电压加在晶体表面产生机械形变并由此产生超声
C.压电晶体受压后在其表面产生电荷
D.高电压引起在晶体上的阻尼效应
E.以上均不是
110、单项选择题 妇科恶性肿瘤的血流频谱特点是()
A.低速低阻
B.低速高阻
C.高速高阻
D.高速低阻
E.以上都不是
111、单项选择题
女,27岁,下腹部疼痛数月,体检:右侧附件区增厚、增大,B超检查如图所示,最可能的诊断为()
A.右侧卵巢囊肿
B.右侧输尿管扩张
C.右侧输卵管积液
D.盆腔积液
E.以上都不是
112、单项选择题
女,42岁,反复上腹疼痛不适多年,加重3天。声像图如图所示,最可能的诊断为()
A.胆囊泥沙样结石
B.胆囊蛔虫
C.胆囊癌
D.胆囊息肉
E.胆汁淤积
113、单项选择题 超声波在人体不同组织的衰减程度不同,明显衰减时,其后方回声消失而出现()。
A.反射
B.声影
C.混响
D.折射
E.增强效应
114、单项选择题 子宫内膜异位症常发生在()
A.子宫肌层内
B.子宫直肠陷凹
C.卵巢
D.子宫骶骨韧带
E.腹壁瘢痕内
115、单项选择题 下列哪项是3D成像的原理()
A.利用光学原理与系统进行3D成像
B.利用光学系统和图像叠加原理
C.利用计算机辅助进行3D重建
D.基于二维平面重建
E.以上均是
116、问答题 膀胱肿瘤的声像图表现有哪些?
117、单项选择题 有关肺动脉的描述,以下哪项是正确的()
A.肺动脉起自左心室
B.左肺动脉经主动脉弓下方经过
C.肺动脉位于主动脉的左前方
D.动脉导管常位于右肺动脉根部
E.肺动脉瓣呈“晶字形”排列
118、单项选择题 在舒张期,压力最低的腔室是()
A.心室
B.心房
C.主动脉
D.肺动脉
E.腔静脉
119、单项选择题 脾静脉位于()
A.腹腔动脉的尾侧
B.腹主动脉的前方
C.肠系膜上动脉前方
D.胰腺后方
E.以上各项均是
120、单项选择题 人体中哪些组织声衰减系数高并可能伴有声影()
A.肌腱
B.肌肉
C.脑
D.脂肪
E.肝脏
121、单项选择题 羊水过少,超声诊断标准是羊水深度小于()
A.3cm
B.4cm
C.5cm
D.6cm
E.7cm
122、单项选择题
根据超声图像,最可能的诊断为()
A.附睾炎
B.睾丸扭转
C.卵巢囊肿蒂扭转
D.子宫腺肌瘤
E.以上都不是
123、单项选择题 宫腔内环状强回声,后伴彗星尾征,应考虑是()
A.子宫内膜过度增生
B.子宫内膜息肉
C.子宫肌瘤钙化
D.宫内节育器
E.以上都不是
124、单项选择题 视神经全长多少毫米,分几段,超声检测可显示哪几段()
A.<33mm,3段,各段
B.33~55mm,4段,球壁、眶内段
C.33~55mm,4段,球壁、眶内、管内段
D.55mm,4段,球壁、眶内、颅内段
E.60mm,4段,球壁、眶内、颅内段
125、单项选择题 中年女性,突发右腰部及右下腹部剧痛,伴恶心。超声显示右肾轻度积水,最可能的诊断是()
A.阑尾炎
B.右侧附件炎
C.右输尿管结石
D.右输尿管肿瘤
E.膀胱结石、膀胱炎
126、单项选择题 正常膀胱描述中,下列哪一项是错误的()
A.成年人的膀胱位于盆腔内
B.婴幼儿膀胱位置偏高,可位于下腹部
C.膀胱壁大致可分为浆膜层、肌层、粘膜下层、粘膜层
D.膀胱三角区由左右输尿管口及膀胱内口构成
E.膀胱粘膜层均是借助粘膜下层与肌层连接
127、单项选择题 肾细胞癌的描述,不正确的是()
A.分为透明细胞型、颗粒细胞型和未分化型三种
B.可伴有肉眼血尿
C.2~3cm直径的小肿瘤,有时呈强回声
D.彩色多普勒有助于肾癌诊断
E.不会发生肾静脉和下腔静脉癌栓
128、多项选择题 急性胆囊炎的USG的表现为()
A.胆囊增大、胆囊壁轮廓线模糊,外壁线不规则
B.胆囊壁弥漫性增厚,增厚的胆囊壁呈增强回声带
C.胆囊腔内出现弥漫性低回声、云雾状回声等提示胆囊积脓
D.胆囊窝显示无回声带,提示胆囊周围液体潴留或积脓
E.胆囊壁内无回声的散在小囊样憩室结构
129、单项选择题 超声的纵向分辨率是分辨前后两个点最小距离的能力,其理论计算值应是()
A.1/4λ(λ波长)
B.1/3λ
C.1/2λ
D.1λ
E.>1λ
130、问答题 卵巢赘生性囊肿有哪些?声像图表现如何?
131、单项选择题
女,25岁,停经50天,B超检查如图所示,最可能的诊断为()
A.早孕(单胎)
B.早孕(双胎)
C.葡萄胎
D.宫腔积血
E.以上都不是
132、单项选择题 下列哪一项与子宫内膜癌超声鉴别诊断无关()
A.子宫肌瘤变性
B.绒毛膜上皮癌
C.子宫颈囊肿
D.子宫平滑肌肉瘤
E.多发性子宫肌瘤
133、单项选择题
患者,3岁,发现瞳孔区黄白色反光。眼底检查发现玻璃体浑浊。结合超声声像图,最可能的诊断是()
A.视网膜母细胞瘤
B.新生儿视网膜脱离
C.原始玻璃体增生症
D.先天性白内障
E.玻璃体后脱离
134、单项选择题 超声检测发现无脑畸形常并发()①脊柱裂②脑脊膜膨出③脊髓脊膜膨出④腭裂⑤脐疝⑥羊水过多
A.①②③
B.①②③④
C.①②③④⑤
D.①②③④⑤⑥
E.①②③④⑥
135、单项选择题 彩色多普勒技术不可以与下列哪种技术并用()
A.二维超声显像
B.频谱多普勒
C.三维超声显像
D.M型超声心动图
E.以上都不是
136、单项选择题 下列哪一项与子宫肌瘤鉴别诊断最不相关()
A.子宫内膜癌
B.子宫腺肌瘤
C.不全纵隔子宫
D.子宫内膜息肉
E.宫颈囊肿
137、单项选择题 指出混响伪像产生的条件哪项是最正确的()
A.仪器增益灵敏度调节过高
B.仪器的时间增益补偿(TGC)调节不当
C.声束遇到组织内金属异物,在异物中引起来回反射
D.探头声束通过肺气或肠气引起气体反射
E.探头声束垂直投射到平整的界面,在探头与平整界面间引起来回反射。
138、单项选择题 关于CDFI原理中,下列哪项不正确()
A.彩色编码以红蓝两色表示血流方向,一般人为规定为红迎蓝离
B.若有湍流存在时用绿色表示
C.红、蓝、绿三种颜色构成三基色
D.红和青色互为补色
E.五彩镶嵌颜色提示为层流
139、问答题 急性胆囊炎超声声像图表现?
140、单项选择题 超声生物显微镜采用多少MHz的探头()
A.5~10MHz
B.10~20MHz
C.<50MHz
D.50~100MHz
E.﹥100MHz
141、单项选择题 有关混响说法,不正确的是()
A.混响与超声波的散射特性有关
B.超声垂直照射到平整的界面上,超声波在探头和界面之间来回反射产生混响
C.混响的形态呈等距离多条回声,回声强度依深度递增
D.“气体反射”是混响的一种
E.适当侧动和加压探头可有助识别混响
142、单项选择题
某患者左肾超声声像图如下,最可能的诊断为()
A.多发性肾囊肿
B.肾结核
C.多囊肾
D.重度肾积水
E.中度肾积水
143、单项选择题 发生在下列哪一层的子宫肌瘤最可能带蒂()①肌层②浆膜下③粘膜下④平滑肌肉瘤
A.②③
B.①④
C.①②③
D.②③④
E.②
144、单项选择题 密度是()
A.阻尼单位
B.单位面积上的力
C.力乘以位移
D.单位体积的质量
E.单位面积的质量
145、单项选择题 经胸骨上窝不可以检查哪种心血管结构()
A.主动脉
B.上腔静脉
C.降主动脉
D.右肺动脉
E.下腔静脉
146、单项选择题 儿童肾母细胞瘤(Wilms)声像图特点是()①瘤体较大,边界清晰②内回声不均,呈混合性回声③瘤体小,边界不清晰④内回声低、均质⑤残余肾组织受压肾盂变形,可合并肾盏积水
A.①②⑤
B.③④⑤
C.①⑤
D.②⑤
E.①②④⑤
147、单项选择题 关于帧频,不正确的是()
A.帧频过低会发生图像闪烁
B.彩色取样框越大,帧频越低
C.脉冲重复频率越高,帧频也越高
D.帧频越高,探测深度越大
E.多点聚焦的数目越多,帧频越低
148、单项选择题 肠系膜上动脉一般与腹主动脉前壁间呈一角度,正常不应超过()
A.90度
B.80度
C.60度
D.50度
E.30度
149、单项选择题
该病例最有可能诊断()

A.左房黏液瘤
B.主动脉瓣关闭不全
C.二尖瓣狭窄
D.二尖瓣关闭不全
E.二尖瓣脱垂
150、单项选择题 胎儿肾脏畸形的声像图表现,下列哪一项不正确()
A.正常胎儿肾脏集合系统可有轻度分离(<4mm)
B.婴儿型多囊肾常合并羊水少
C.双侧肾不发育者,多合并羊水多
D.孤立性肾囊肿,肾区可见圆形无回声区
E.双侧肾不发育者,常不能观察到肾脏图像
151、问答题 经腹部超声检查盆腔脏器为什么要充盈膀胱?
152、单项选择题 心肌收缩功能的主要测量指标是()
A.左室压力最大下降速率
B.舒张期压力减半时间
C.室壁收缩期增厚率
D.心输出量
E.Simpson公式测心室容积
153、名词解释 M模式
154、单项选择题 下列哪种气体不能用于超声造影()
A.空气
B.二氧化碳气体
C.氧气
D.纯氮气体
E.氟碳气体
155、单项选择题 双胎间输血综合征主要发生在()
A.双卵双胎
B.单卵双胎
C.A和B均是
D.A和B均不是
E.以上都不是
156、单项选择题 肾锥体位于()
A.髓质
B.皮质
C.肾盂
D.肾窦
E.肾盏
157、单项选择题 长期肾积水时肾最常见的声像图是()
A.吹胀的袋状无回声
B.无回声分隔
C.椰菜花状无回声
D.哑铃状无回声
E.巨大囊肿型
158、问答题 脾转移癌USG表现有哪些?
159、单项选择题 用频谱多谱勒测肺动脉高压的肺动脉血流有什么特点()
A.血流加速时间及射血时间延长(AT、ET),射血前时间延长(PEP)
B.AT、PEP延长,ET缩短
C.血流加速时间缩短(AT),射血时间缩短(ET),射血前时间延长(PEP)
D.AT、ET、PEP均缩短
E.AT、ET无变化,PEP延长
160、单项选择题 中期妊娠羊膜穿刺适应证是()①有畸胎史者②高龄孕妇③不明原因流产、早产史者④夫妇中有染色体异常疾病及家族史
A.①
B.①②
C.①②③
D.①②③④
E.②③④
161、单项选择题 以下哪一种技术属于频谱多普勒技术()
A.彩色M型
B.连续脉冲多普勒技术
C.彩色多普勒能量图
D.伪彩色编码二维显像
E.彩色多普勒血流显像
162、单项选择题 对快速射血期心血管功能变化的叙述,下列哪一项有错误()
A.心室压超过动脉舒张末压
B.半月瓣开放
C.血液快速从心室排入大血管
D.快速射血期血量占心室30%左右
E.心室压力迅速明显下降
163、单项选择题 十二指肠水平段位于()
A.肠系膜上动脉上方
B.肠系膜上动脉前方
C.肠系膜上动脉后方
D.下腔静脉后方
E.腹腔动脉后方
164、单项选择题
女,52岁,右上腹不适,CT示卵巢占位,结合超声声像图,诊断为()
A.肝囊肿
B.肝包虫病
C.转移性肝癌
D.肝脓肿
E.肝血管瘤
165、单项选择题 超声诊断睾丸扭转的主要依据是()
A.睾丸缩小
B.睾丸肿大
C.睾丸内血流丰富
D.睾丸内无血流信号
E.睾丸周围积液
166、单项选择题 脑中央低回声蝶状结构是指()
A.丘脑
B.大脑脚
C.侧脑室
D.透明隔
E.第三脑室
167、单项选择题 声束能量的丧失是由于反射和吸收等原因,称为()
A.吸收
B.反射
C.松弛
D.衰减
E.转换
168、填空题 腹主动脉内径大于______即可认为是腹主动脉瘤。
169、单项选择题 视网膜母细胞瘤容易发生坏死、钙化,在声像图上表现为“钙斑”,“钙斑”的超声检出率是()
A.40%
B.50%
C.60%
D.70%
E.80%
170、单项选择题
如图切面称为哪种超声心动图切面()

A.心尖四腔
B.心尖短轴
C.左室长轴
D.心尖二腔
E.大动脉短轴
171、单项选择题 用一句话表达异位妊娠的定义是()
A.输卵管妊娠
B.腹腔妊娠
C.卵巢妊娠
D.任何位于子宫腔以外的妊娠
E.宫颈妊娠
172、单项选择题 异位妊娠的声像图表现是()
A.子宫增大,内膜增厚
B.附件区不规则肿物
C.子宫直肠窝积液
D.子宫颈管内见胚囊样结构
E.以上都是
173、单项选择题 声像图毗邻回声一般不包括下述哪项()
A.病变与毗邻脏器间有无粘连、挤压
B.病变是否侵犯周围邻近脏器
C.有无周围淋巴结肿大,周围血管有无异常
D.有无继发性管道扩张(胆管等)
E.邻近脏器是否有器质性病变
174、单项选择题 下列哪一结构将肾实质分为皮质和髓质()
A.肾盂
B.弓形血管
C.肾脂肪
D.肾小球
E.小叶间动脉
175、单项选择题 前列腺增大最容易引起排尿困难的是()
A.外侧叶
B.前叶
C.中叶
D.后叶
E.后叶和前叶
176、单项选择题 孕几周前后超声可检测到多胎妊娠()
A.6周
B.7周
C.8周
D.9周
E.10周
177、单项选择题 关于嗜铬细胞瘤的描述,正确的是()
A.肿瘤体积一般较小
B.肿瘤多呈圆形或椭圆形
C.边界呈强回声带
D.肿瘤内为中等回声,有时可见液性无回声
E.肾外嗜铬细胞瘤常位于盆腔
178、单项选择题
男,30岁。超声声像图如图,诊断为()

A.肝小血管瘤
B.肝脓肿
C.肝囊肿
D.小肝癌
E.炎性假瘤
179、单项选择题 成年人在哪种体位时,结石的重力移动能被最佳显示()
A.右前斜
B.侧卧
C.左前斜
D.俯卧
E.仰卧位
180、单项选择题 腹围主要反应哪个内脏器官发育情况()
A.胃
B.脐静脉
C.肾
D.肝
E.脾
181、单项选择题 下肢静脉频谱多普勒的时相变化代表了()
A.进行乏氏(Valsalva)动作时血流的变化
B.患者进行体位改变致血流变化
C.腓肠肌收缩时的血流变化
D.呼吸时的血流变化
E.探头频率改变时血流的变化
182、单项选择题 正常情况下,超声无法显示的女性生殖系统结构是()
A.子宫
B.卵巢
C.输卵管
D.子宫动脉
E.阴道
183、单项选择题 早孕时常用什么方法估测胎龄()
A.测量宫底高度、子宫大小
B.测量双顶径、头围
C.测量胎囊和头臀长度
D.胎儿腹围、股骨长径
E.胎儿胸围、腹围
184、问答题 超声诊断在产科临床有何意义?
185、单项选择题
根据心尖四腔切面声像图所示,超声诊断为()

A.右房血栓
B.三尖瓣赘生物
C.右房黏液瘤
D.正常声像图
E.二尖瓣脱垂
186、单项选择题 下列对前列腺增生描述错误的是()
A.中叶是增生好发部位
B.两侧叶是增生好发部位
C.后叶是增生好发部位
D.前叶较小,无临床意义
E.中叶位于精阜上方,尿道与射精管之间
187、单项选择题 检测高速血流应选用()
A.高频超声
B.低频超声
C.与频率无关
D.大口径探头
E.小口径探头
188、问答题 急性胰腺炎超声声像图表现?
189、单项选择题 肺动脉瓣口血流的多谱勒频谱在肺动脉高压时的变化,下述哪一项是错误的()
A.频谱上升支陡峭
B.频谱波峰前移
C.频谱幅度明显增大
D.频谱波形似匕首形状
E.频谱持续时间短
190、单项选择题 以下哪种成像技术,不属于“数字影像”范畴()
A.DSA
B.DR
C.CT
D.CR
E.US
191、单项选择题 卵巢浆液性囊腺瘤的声像图特点是()①伴有腹水②分隔及壁上见菜花状乳头③菜花状乳头穿破囊壁向外生长④囊壁或隔膜或乳头上可见动脉血流,且RI<0.5
A.①
B.①②
C.①②③
D.①②③④
E.①③④
192、单项选择题 常规心脏扫查过程,使用率最高的是哪一项?()
A.胸骨左缘区和心尖区
B.胸骨左缘区和剑突下区
C.心尖区和剑突下区
D.心尖区和胸骨上凹区
E.胸骨左缘和胸骨右缘区
193、单项选择题
某患者左侧阴囊下部疼痛不适3天,曾患前列腺炎,无外伤史,无结核病史,超声声像图如下,最可能的诊断为()
A.睾丸肿瘤
B.附睾尾炎性包块
C.睾丸炎
D.附睾结核
E.附睾肿瘤
194、单项选择题 以下选项中,哪项检查对诊断“眼底肿瘤”最好()
A.超声或眼底镜
B.MRI
C.血管造影
D.CT
E.眼眶正侧位平片
195、单项选择题 胎盘早剥是指妊娠20周后或分娩期正常位置胎盘在胎儿娩出前部分或全部从子宫壁剥离,其病理变化是()①底蜕膜血管破裂出血②底蜕膜层血肿形成③胎盘绒毛膜出血④胎盘附着部子宫收缩
A.①
B.①②
C.①②③
D.①②③④
E.②
196、单项选择题 二尖瓣关闭不全最常见的病因是()
A.风湿性心脏病
B.二尖瓣脱垂
C.冠心病乳头肌功能不全
D.感染性心内膜炎
E.外伤
197、单项选择题 超声遇到运动的反射界面时当反射波的频率发生改变,这称为()。
A.入射角度
B.多普勒效应
C.传播
D.自然反射
E.混响
198、单项选择题 桥本甲状腺炎的声像图表现是()
A.两叶不规则肿大,边缘模糊不清,峡部厚度相对正常
B.多数可见大小不等的结节回声
C.结节周围见环状血流,并见丰富分支伸入结节内
D.甲状腺实质光点粗,分布不均,回声低,对增益调节不大敏感
E.以上都对
199、问答题 纯性肾囊肿的声像图表现有哪些?
200、单项选择题 淋巴管囊肿是指()
A.甲状腺恶性囊性肿瘤
B.淋巴系统发育异常
C.脑膜脑膨出
D.卵巢良性肿瘤
E.小脑发育异常
201、单项选择题 下列哪一项不是视网膜母细胞瘤的超声表现()
A.眼内实性肿物
B.瘤组织内钙斑反射
C.肿物有后运动
D.高速、高阻型动脉频谱
E.肿物内可见与视网膜中央动、静脉相连续的血流频谱
202、单项选择题 子宫动脉起自哪条动脉()
A.左肾动脉(左侧),腹主动脉(右侧)
B.腹主动脉
C.髂内动脉
D.髂外动脉
E.髂总动脉
203、单项选择题
该病例最可能的诊断()

A.主动脉窦瘤
B.室间隔缺损
C.右室流出道狭窄
D.室间隔膜部瘤并破裂
E.以上都不是
204、单项选择题 CDFI检测输尿管膀胱开口处结石的特点()①输尿管膀胱开口喷尿频率减少②输尿管膀胱开口喷尿尿流变短③输尿管膀胱开口喷尿消失④输尿管膀胱开口喷尿频率增多⑤输尿管膀胱开口喷尿尿流变粗
A.①②③
B.④⑤
C.③
D.②③
E.③④⑤
205、单项选择题
女性,27岁,停经49天,尿妊娠试验阳性。如图所示,超声诊断为()
A.宫腔积液
B.早孕,多胎妊娠
C.绒癌
D.葡萄胎
E.稽留流产
206、多项选择题 眼眶蜂窝织炎USG表现为()
A.球后脂肪垫扩大
B.内回声均匀
C.内回声不均匀
D.病灶周边不规则
E.与周围组织界限不清楚
207、单项选择题 前列腺结石有哪几种类型()①散在小结石无声影②弧形结石多无声影③成堆小结石④单个大结石伴声影⑤散在小结石伴声影⑥弧形结石多伴声影⑦单个大结石不伴声影
A.①②③④
B.②③④⑤
C.③④⑤⑥
D.④⑤⑥⑦
E.③⑤⑥
208、单项选择题
患者,女,65岁,近半月颈部明显增大。超声检查如图,最可能的诊断为()
A.甲状腺囊肿
B.结节性甲状腺肿
C.甲状腺腺瘤并囊变
D.甲状腺乳头状囊腺癌
E.甲状腺炎
209、单项选择题 正常颅外动脉血流频谱是下列哪种形态()
A.低阻力频谱
B.高阻力频谱
C.收缩期双峰、舒张期三峰频谱
D.三相血流频谱
E.宽频双峰递减型频谱
210、单项选择题 在软组织中,超声衰减值通常为()
A.2dB/(cm.Hz)
B.1dB/(cm.Hz)
C.2dB/(cm.MHz)
D.1dB/(cm.MHz)
E.3dB/(cm.MHz)
211、单项选择题
右室双出口的概念下列何者不正确 ( )
A.两支大动脉皆出自右室
B.两组大动脉下皆有圆锥肌
C.室缺可位于主动脉或肺动脉瓣下
D.可不出现左向右分流
E.多伴有肺动脉狭窄或肺动脉高压
212、单项选择题 下列哪种界面可产生“彗星尾征”伪像()
A.肝-胆界面
B.肌肉-骨界面
C.组织-气体界面
D.气-液界面
E.脂肪-骨界面
213、单项选择题 引起月经过多的常见病因是()
A.浆膜下子宫肌瘤
B.粘膜下子宫肌瘤
C.Asherman综合征
D.卵巢畸胎瘤
E.输卵管妊娠
214、单项选择题 M型超声心动图的二尖瓣水平波群可观察哪种结构的运动曲线()
A.主动脉瓣曲线
B.乳头肌曲线
C.主动脉根部曲线
D.肺动脉瓣曲线
E.二尖瓣前叶、后叶曲线
215、单项选择题 患者李某,患大隐静脉功能不全,用脉冲多谱勒超声检测,使用它的什么功能,可以确定有返流血流()
A.确定血流的种类,如静脉、动脉
B.确定血流的性质,如层流、射流
C.测量血流速度
D.确定血流方向
E.测定血流的速度时间积分
216、单项选择题 卵巢黏液性囊腺瘤声像图表现,不正确的是()
A.囊壁均匀光整
B.囊壁边界不清晰
C.无回声区内有细小点状回声
D.少数有乳头状物
E.直径多在10cm以上
217、填空题 腹膜后具有水平分隔线(脂-液平面)回声的肿块为_____________________的特征;实质性肿块内有大片液性无回声区,多为____________________的表现。
218、单项选择题 最常与葡萄胎并发的卵巢囊肿是()
A.滤泡囊肿
B.皮样囊肿
C.卵巢冠囊肿
D.黄素囊肿
E.黄体囊肿
219、单项选择题
患者男46岁,既往有胆囊结石病史,上腹部疼痛不适年余,加重1个月,皮肤、巩膜轻度黄染,B超检查如图所示,根据超声声像图,诊断为()


A.胆囊结石并胆囊炎,肝血管瘤
B.胆囊结石并胆汁淤积,肝血管瘤
C.胆囊结石并胆囊癌,肝转移性癌
D.胆囊结石并肝癌
E.胆囊结石并胆息肉,肝转移性癌
220、单项选择题
该病例最可能的诊断()

A.真性室壁瘤
B.假性室壁瘤
C.室壁憩室
D.扩张型心肌病
E.膜部瘤
221、单项选择题 B型显示指的是()
A.基本调制器
B.声束运动
C.声束调制器
D.辉度调制
E.幅度调制器
222、单项选择题
女,19岁,有淋巴瘤病史。结合超声声像图,诊断为()
A.脾淋巴瘤
B.脾血管瘤
C.脾结核
D.脾错构瘤
E.脾脓肿
223、单项选择题
患者体检超声见右肝一点状的强回声光斑,不伴声影,不沿肝管走行,如图所示,考虑为()
A.肝脓肿
B.肝结核
C.肝管结石
D.钙化灶
E.肝内胆管积气
224、单项选择题 下列哪一项不是胎儿十二指肠闭锁的超声表现()
A.双泡征
B.双泡征中大的无回声区是胃泡
C.双泡征中小的无回声区是十二指肠
D.羊水过多
E.结肠扩张
225、单项选择题
女性,44岁,取环术后下腹疼痛1天。B超检查如图,最可能的诊断为()
A.子宫血肿
B.盆腔血肿
C.子宫肌瘤
D.子宫腺肌瘤
E.肌瘤囊变
226、单项选择题 哪种疾病可完全由超声检查发现()
A.肝肿瘤
B.肝脓肿
C.胆管梗阻
D.肝转移
E.肝炎
227、单项选择题 如何利用频谱多普勒判断动脉血流?()
A.血流频谱为连续不断的波形
B.血流频谱为博动性尖峰脉冲波形且频谱速度高
C.血流频谱速度
D.血流颜色为红色
E.以上都正确
228、单项选择题 脂肪肝的超声表现()①肝内脂肪含量>5%②肝轻、中度增大,边缘钝③肝回声增强、密集,后方回声衰减④肝血管纹理显示不清
A.①③
B.②③
C.②③④
D.②④
E.①②③④
229、单项选择题
女,33岁,因月经不调就诊,超声声像图如下,最可能的诊断为()
A.附件炎
B.子宫肌瘤
C.子宫腺肌症
D.子宫内膜癌
E.卵巢肿瘤
230、单项选择题 声像图表现为“镶嵌样”结构的实性占位性病变一般是指()
A.原发性肝癌
B.肝转移癌
C.肝腺癌
D.肝脂肪癌
E.肝局灶性结节增生
231、单项选择题 关于室间隔的描述,以下哪项不正确()
A.室间隔分为膜性和肌性两个部分
B.肌部间隔可分为光滑区、小梁区和漏斗区
C.膜部位于主动脉右及无冠瓣交界处下方
D.三尖瓣膈瓣将膜部分为两个部分
E.肌部间隔为室间隔缺损的高发区
232、单项选择题
某患者右肾区疼痛数日,体温38℃。根据该患者右肾声像图表现,最可能的超声诊断为()
A.肾周围炎
B.肾炎
C.肾结石
D.肾结核
E.肾周血肿
233、单项选择题 关于甲状腺癌的描述,下列哪项是错误的()
A.肿块形态不规则,以单发性为多,多无包膜和晕环,呈蟹足样向周围组织浸润
B.内部以实性不均质强回声为主
C.髓样癌常表现为均质低回声,边缘清晰
D.滤泡状腺癌常见后方衰减
E.部分可发生囊变,其囊变部分所占比例较小,囊壁不光滑,常有钙化
234、单项选择题 葡萄胎常与下列哪项并发()
A.黄体囊肿
B.黄素囊肿
C.皮样囊肿
D.滤泡囊肿
E.巧克力囊肿
235、单项选择题 回声至少可分为几级()。
A.两级
B.三级
C.四级
D.五级
E.无分别
236、单项选择题 正常睾丸的回声特点()
A.均匀强回声
B.均匀中等回声
C.多种类型回声
D.不均匀增强回声
E.均匀低回声
237、单项选择题 妊娠晚期羊水量达到或超过多少毫升称羊水过多()
A.300~400ml
B.1000ml
C.1500ml
D.2000ml
E.800ml
238、单项选择题 睾丸绒毛膜上皮癌的声像图特点是()
A.内部回声不均匀,为中强回声
B.内部回声不均匀,为中等回声
C.内部回声均匀,为中强回声
D.内部回声均匀,为中等回声
E.以上都不是
239、单项选择题 正常成年人肾脏大小应为()
A.长10~12cm,宽5~7cm,厚3~5cm
B.长8~9cm,宽5~7cm,厚3~5cm
C.长11~13cm,宽6~8cm,厚4~6cm
D.长10~12cm,宽6~8cm,厚2~3cm
E.长10~13cm,宽6~8cm,厚4~6cm
240、单项选择题 灰阶超声波的回声来源是()
A.超声波的全反射
B.超声波的背向散射及反射
C.超声波的衍射和折射
D.超声波的多普勒效应
E.超声波的绕射
241、单项选择题 缩窄性心包炎用二维超声检测心包有什么异常所见()
A.心包腔内有积液及心包上有团、块状回声
B.心包增厚(>2mm)并常有粘连
C.心包腔内有大量心包积液的无回声区
D.心包腔内积液随体位而变动
E.心包变薄
242、单项选择题 除下列哪项外均可发生急性鞘膜积液()
A.肿瘤
B.睾丸及附睾的感染
C.外伤
D.睾丸扭转
E.以上都不是
243、单项选择题
肝脏组织穿刺活检注意事项()
⑴选择最短穿刺入路
⑵选择最短穿刺入路,应经过至少1cm正常肝组织
⑶穿刺针勿穿透胸、腹膜壁层
⑷选择肿块边缘取材,囊实成分兼有避免取囊性部分
⑸选择肿块中央取材,囊实成分应取囊性部分
⑹非均匀脂肪肝,对高、低回声分别取材
⑺非均匀脂肪肝,对高、低回声只取任意一种回声即可
⑻不同病灶可用同一活检针取材
⑼不同病灶不用同一活检针取材
⑽同一病灶可用同一活检针取材
⑾同一病灶可用同一活检针取材,每次取材后用75%乙醇纱布仔细擦拭针杆、针尖2遍
A.⑴⑶⑸⑹⑻⑽
B.⑵⑶⑷⑹⑼⑾
C.⑵⑶⑸⑺⑼⑾
D.⑴⑶⑷⑹⑻⑾
E.⑴⑶⑸⑺⑼⑽
244、单项选择题 下列哪一项对前列腺癌的诊断帮助不大()
A.前列腺增大,不对称,内回声不均匀
B.前列腺内部散在杂乱的斑点状及团状不规则强回声
C.血清PSA明显升高
D.双肾积水,膀胱小梁小房形成
E.盆腔扫查髂血管旁出现肿大淋巴结
245、单项选择题
女性,25岁,停经43天,尿妊娠试验阳性。结合超声图像,最可能的诊断为()
A.黄体囊肿
B.囊腺瘤
C.附件炎性包块
D.黄素囊肿
E.巧克力囊肿
246、问答题 房间隔缺损超声声像图表现?
247、单项选择题 存在于胆囊或胆管中,且后方无声影的回声团不可能为()
A.息肉
B.胆泥
C.气体
D.血块
E.肿瘤
248、单项选择题 关于电子相控阵聚焦的说法,错误的是()
A.利用延迟发射使声束偏转
B.在长轴上对整条声束的回声途径自动、不断地进行全程接收聚焦
C.利用环阵探头进行环阵相控聚焦
D.探头表面贴附有声透镜
E.二维多阵元探头为其新技术
249、单项选择题
患者,胃癌手术后2年,髂窝处声像图表现如图,诊断是()
A.正常声像图
B.肿大淋巴结
C.阑尾脓肿
D.肠道转移灶
E.动脉瘤
250、判断题 细微分辨力是指在荧光屏上被分别显示两点的最小距离,包括纵向、横向分辨力和图像中像素的数目。
251、单项选择题 M型超声的特点哪项是错误的()
A.单声束取样获得界面回声
B.Y轴代表界面深浅
C.X轴可另加时基扫描线
D.可用于心脏功能的测量计算
E.也可同时用于Z轴上显示的回波
252、单项选择题 成人骨骼正常声像图上能显示什么结构()
A.骨外膜
B.骨内膜
C.骨皮质
D.骨松质
E.骨髓
253、单项选择题
女,35岁,上腹疼痛不适十年余,加重一月。结合超声声像图,诊断为()
A.胃癌
B.腹膜后肿块
C.左肝癌
D.胰腺癌
E.胃溃疡
254、单项选择题 由各个超声探头阵元边缘所产生的外加声束称之为()
A.边缘声影
B.阻抗伪像
C.旁瓣
D.声误差
E.主瓣
255、单项选择题
该病例最可能的诊断()

A.三房心
B.瓣上环
C.完全性肺静脉畸形引流
D.冠状静脉窦扩张
E.主动脉,肺动脉间隔缺损
256、单项选择题
男,46岁,上腹经常疼痛不适十多年,加重2天。声像图如图所示,诊断为()
A.胆囊蛔虫
B.胆囊多发性腺瘤
C.胆囊多发性结石
D.胆囊胆汁淤积
E.胆囊多发息肉
257、单项选择题
该病例最有可能诊断是()

A.原发孔房缺
B.继发孔房缺
C.冠状静脉窦隔缺损
D.部分性肺静脉畸形引流
E.部分型心内膜垫缺损
258、单项选择题 下列卵巢囊性病变影像,哪项不对()
A.滤泡囊肿多<3cm
B.CT能准确区分浆性、黏液性囊腺瘤
C.单纯囊肿多为单房性
D.单纯囊肿多<5cm
E.多囊卵巢病,双侧卵巢常同时受累
259、单项选择题 关于盆腔肾脏的说法,正确的是()
A.在异常位置的正常表现
B.在正常部位的异常表现
C.在正常位置的正常表现
D.在异常部位的异常表现
E.以上都是
260、单项选择题 眼部超声检查的频率应选择()
A.2.5MHz
B.3.5MHz
C.5.0MHz
D.大于或等于7.5MHz
E.以上都不对
261、问答题 卵巢非赘生性囊肿有哪些?声像图表现如何?
262、单项选择题 下面哪项不是二维超声心动图基本切面?()
A.胸骨旁主动脉短轴切面图
B.胸骨旁二尖瓣短轴切面
C.主动脉弓长轴切面
D.四腔心切面图
E.胸骨旁左心长轴切面
263、单项选择题
女性,25岁,停经55天,腹痛、阴道出血1周。尿妊娠试验阴性。结合超声图像,最可能的诊断为()
A.正常早孕
B.完全流产
C.先兆流产
D.难免流产
E.宫腔积液
264、单项选择题 永存动脉干的二维超声检查有什么特殊所见()
A.两个大动脉显示平行并列
B.肺动脉显示明显大于主动脉
C.从各个切面图均不能显示独立存在的主肺动脉或其分支,只能从动脉干处显示其存在
D.肺动脉与左心室连接
E.肺动脉从冠状动脉起源
265、单项选择题 患者绝经后不规则阴道出血,声像图无明显改变,应怀疑什么疾病,最后确诊要靠哪项检查()
A.粘膜下小肌瘤,血HCG
B.子宫内膜小息肉,诊断性刮宫
C.早期子宫肉瘤,血HCG
D.早期子宫内膜癌,诊断性刮宫
E.粘膜下小肌瘤,宫腔镜检
266、单项选择题 超声脉冲所含的频率范围称为()
A.传播
B.带宽
C.折射
D.抑制
E.宽频
267、单项选择题
患者,男性,甲状腺一侧可触及包块,超声见边界清晰的低回声光团,包膜完整。如图所示,最可能的诊断为()
A.甲状腺腺瘤并囊性变
B.甲状腺炎
C.结节性甲状腺肿
D.甲状腺癌
E.甲状腺囊肿
268、单项选择题 彩色多普勒血流成像规定()。
A.朝向探头的血流为红色
B.背向探头的血流为红色
C.朝向探头的血流为蓝
D.背向探头的血流为绿色
E.朝向探头的血流为绿色
269、单项选择题
图中的胎盘为()
A.完全性前置胎盘
B.部分性前置胎盘
C.边缘性前置胎盘
D.低置胎盘
E.以上都不是
270、单项选择题 股骨长度测量是()
A.从近端股骨颈到远端股骨髁
B.从股骨头到内上髁
C.从大转子到远端股骨髁
D.不包括股骨颈及远端骨骺的股骨骨干全长
E.以上都不是
271、判断题 妊娠6周超声可探测到心率A.对
272、单项选择题 超声检查盆腔之前,适度充盈膀胱的目的是()①作为透声窗②推开肠管③作为辨认脏器的标志④作为解剖的参照结构⑤有助于提高子宫位置,以便充分暴露脏器
A.①②
B.①②③
C.①②③④
D.①③④
E.以上全是
273、单项选择题 正常主动脉瓣口血流多谱勒频谱的特点是()
A.频谱幅度比肺动脉口高
B.频谱为双峰型
C.舒张期出现
D.频谱幅度比肺动脉口低
E.频谱为双向型
274、单项选择题 列有关人体组织、体液回声的描述哪项不妥()
A.透明软骨发生钙化回声增强
B.凝血块自溶以后回声减低,甚至接近无回声
C.脓腔内混合低密度的气泡时回声增强
D.血管内发生血栓时回声增强
E.肿瘤中央发生组织坏死时回声一定会减低
275、单项选择题 子宫直肠陷窝积液的常见原因是()①黄体囊肿破裂②排卵后③异位妊娠破裂④卵巢肿瘤
A.①
B.①②
C.①②③
D.①②③④
E.②③④
276、单项选择题 探头匹配层的最主要作用是()
A.间接保护压电振子
B.减少声波的谐振
C.使探头与皮肤声阻抗相匹配,有利于声波传播
D.降低横向耦合力
E.增加有效振子数目
277、单项选择题 关于肾上腺皮脂腺瘤,下列说法错误的是()
A.单侧多见
B.多呈圆形或椭圆形
C.边界清楚
D.低回声结节
E.双侧多见
278、单项选择题 半月板损伤的特异声像图是()
A.半月板内的线状、带状及斑块状强回声
B.边缘局限性回声增强
C.向周边移位与韧带分离
D.关节腔内的无回声
E.独立光团的软骨剥离
279、单项选择题 关于影响声束形态、大小和能量分布的因素,错误的是()
A.探头的形状和大小
B.探头阵元数及其排列
C.分辨率
D.探头频率
E.聚焦方式
280、单项选择题 关于子宫内膜息肉的描述,下列哪一项是错误的()
A.经阴道超声表现为子宫内膜局限性增厚隆起
B.息肉是非赘生性的
C.息肉是内膜局限性部位受激素刺激而形成
D.息肉内常可见极丰富的血流信号
E.非弥漫性子宫内膜增生可产生子宫内膜息肉
281、单项选择题 下列哪项不是彩色血流显像时可能出现的伪像()
A.色彩倒错
B.振铃效应
C.室壁幻影
D.瓣叶赝影
E.镜像反射
282、单项选择题 子宫先天性发育异常常伴有哪个器官异常()
A.肾脏
B.消化道
C.颅脑
D.心脏
E.脊柱
283、问答题 关节异常的声像图表现有哪些?
284、单项选择题 关于脐疝的临床特点与超声表现的叙述,下列哪项是错误的()
A.超声检查要观察脐血管入腹壁处
B.肠管脱向脐带
C.常伴有染色体异常
D.肝脏脱向脐带
E.肠管漂浮于羊水之中
285、单项选择题 实验:抽取静脉血液10ml分别置于A和B试管内。然后,在B管内加入数滴抗凝剂肝素,轻轻混匀,用瓶塞塞紧试管口,静置数分钟。将有塞A试管剧烈震荡,使血液与空气混合后静置。分别超声检查发现以下现象,请指出何种现象不可能出现()
A.非抗凝血液试管A出现凝血块,回声增多
B.抗凝血液内部回声无明显增多(试管B)
C.因抗凝药与血液混合,回声明显增多(试管B)
D.抗凝血液振荡后回声明显增多
E.抗凝血液振荡后回声明显增多,回声因静置而略减少
286、单项选择题 关于CDE,以下正确的是()
A.成像对超声入射角的相对非依赖性
B.可显示高速血流
C.可显示血流的方向
D.常出现彩色信号混叠现象
E.对平均速度为零的灌注区血流难以显示
287、单项选择题
男,37岁,健康体检,偶感上腹不适。声像图如图所示,诊断为()
A.胆囊结石
B.胆囊息肉
C.胆汁淤积
D.胆囊腺瘤
E.胆囊癌
288、单项选择题 胆囊结石的典型声像图表现,不包括()
A.胆囊腔内形态稳定的强回声团
B.后方伴声影
C.强回声团随体位改变而移动
D.可单发或多发
E.胆囊缩小
289、单项选择题 脉冲在探头和界面之间往返2次以上而产生的伪像称为()
A.多途径伪像
B.旁瓣伪像
C.混响伪像
D.散射伪像
E.双重反射伪像
290、名词解释 多频探头
291、单项选择题
某患者无明显不适,根据其肝右叶-右肾区超声声像图,最可能的诊断为()
A.正常图像
B.肾上腺髓样脂肪瘤
C.肾上腺嗜铬细胞瘤
D.肾脓肿
E.肾上腺腺瘤
292、名词解释 探头
293、单项选择题 关于子宫内膜的叙述,下面哪一项是正确的()
A.在矢状面上测量时应包括双层内膜的厚度
B.横切面测量最可靠
C.只应包括一层内膜
D.经腹部超声检查时测量最可靠
E.在整个月经周期变化不大
294、单项选择题 超声在介质传播时,其声能逐渐缩小称为()。
A.吸收
B.声阻抗
C.衰减
D.失落
E.转换
295、单项选择题 凸阵扫描探头,临床常用于何部位的检查()
A.腹部
B.乳房
C.睾丸
D.甲状腺
E.头颅
296、问答题 超声对于“无功能肾”的检查有何临床意义?
297、单项选择题 声在介质中的传播有纵波、横波和表面波三种方式,下列正确的是()
A.在固体中有纵波和横波两种方式
B.在液体中有纵波和横波两种方式
C.在气体中有纵波和横波两种方式
D.在真空中有纵波和横波两种方式
E.在生物组织中以纵波为主
298、单项选择题 动脉导管未闭的超声表现,下列哪项不正确()
A.右心室、右心房扩大
B.肺动脉扩张,搏动增强
C.可直接显示未闭的动脉导管
D.可显示导管口血流呈连续性湍流频谱
E.彩色血流沿肺动脉外侧上行
299、单项选择题 葡萄胎刮宫术后,黄素囊肿消退常需要多长时间()
A.1~2周
B.4~5周
C.6个月
D.2~4个月
E.8周
300、单项选择题 下列实时超声成像的主要扫描方式中哪一种最适用于心脏检查()
A.电子线性扫描
B.电子凸阵扫描
C.电子扇形相控阵扫描
D.机械扇形扫描
E.环阵扇形扫描