时间:2025-05-24 06:16:54


1、判断题 肠系膜下动脉、肾上腺动脉、生殖动脉等由于细长,USG检查常难以显示。
2、问答题 腹主动脉瘤的USG声像图特点有哪些?
3、单项选择题 下列哪项不是数字变换器(DSC)的功能()
A.将超声模拟信号转变成数字信号
B.将不同扫描方式(扇形、线阵)转变为标准电视制式显示
C.进行线性内插补,增加图像的线密度
D.对血流频移信号进行FFT变换
E.对图像信号进行多种数字化处理
4、单项选择题 临床常用的超声探头频率约为()
A.2.5MHz
B.3.5MHz
C.5.0MHz
D.7.5MHz
E.以上都对
5、单项选择题 当血流频移信号大于1/2PRF(脉冲重复频率)时出现折返,1/2PRF是()
A.快速傅立叶变换(FFT)
B.尼奎斯特(Nyquist)极限
C.运动目标显示器(MTI)
D.自相关处理
E.壁滤波限制
6、单项选择题 心肌和脑组织的衰减程度属于()
A.极低
B.低
C.中等
D.高
E.极高
7、单项选择题 下列哪项描述可排除前置胎盘()
A.胎盘部分或全部掩盖子宫颈管内口
B.子宫颈内口距胎盘下缘距离>7cm
C.无痛性阴道出血
D.胎盘定位超声检查时间最好在孕20周以前,因>20周胎盘因胎儿掩盖显示不清
E.检查时无需膀胱充盈
8、单项选择题 男,37岁,既往有肝炎史,超声发现脾脏显著肿大,肝表面不光滑,肝实质回声不均匀。右肝可见3cm的圆形病变,边缘整齐光滑,有弱回声晕,内部为均匀低回声,诊断最可能是()
A.慢性肝炎
B.慢性肝炎合并肝硬化
C.肝硬化合并肝囊肿
D.肝硬化合并肝肿瘤
E.肝硬化合并门静脉高压
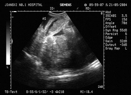
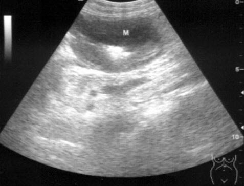
9、单项选择题
男,有胃癌手术史。根据超声声像图诊断为()
A.脾梗死
B.脾淋巴肉瘤
C.脾错构瘤
D.脾转移性癌
E.脾血管瘤
10、单项选择题
某患者右下腹痛,血尿,根据超声声像图,最可能的诊断为()
A.右肾结石
B.右输尿管下段结石
C.阑尾炎
D.膀胱结石
E.输尿管肿瘤
11、单项选择题 胎儿腹围应在什么水平测量()
A.胎儿肾脏
B.胎儿心脏
C.胎儿胆囊
D.胎儿肝内门脉左支和胃
E.脐带入腹壁处
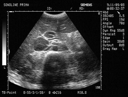
12、单项选择题
男,60岁,上腹疼痛不适数10年。结合超声声像图,诊断为()
A.胆囊多发性结石
B.胆囊多发性息肉
C.胆囊泥沙样结石
D.胆囊充满性结石并萎缩性胆囊炎
E.胆囊胆固醇结晶
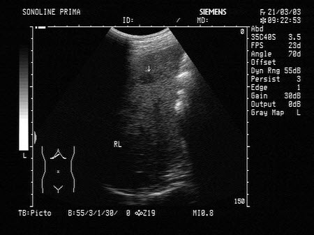
13、单项选择题 彩色多普勒及频谱多普勒显示下腔静脉血流并测速的方法,以下哪项不正确()
A.使声束与血管长轴垂直
B.使声束勿与血管长轴垂直
C.选择适当的血流速度标尺(scale)
D.彩色血流取样框尽可能地缩小
E.使取样容积放置在静脉中央,血流与取样线夹角θ<60°
14、问答题 前列腺癌的声像图表现有哪些?
15、单项选择题
某患者,男,45岁,肝区不适,肝功能异常。行超声检查如图,诊断为()
A.弥漫性肝癌
B.结节状肝硬化
C.多发性血管瘤
D.血吸虫肝
E.不均匀性脂肪肝
16、填空题 乳腺的超声检查适用于_______和_______妇女乳腺疾病的筛选和普查。
17、单项选择题 不同的含液器官或病变,后方回声增强强度不尽相同。其中后方回声增强相对较不显著的是()
A.胆汁
B.囊肿液体
C.胸腔积液
D.血液
E.尿液
18、单项选择题
女,26岁,停经3个月,HCG阳性。根据B超检查声像图如下,最可能的诊断为()
A.葡萄胎
B.子宫肌瘤
C.稽留流产
D.不全流产
E.绒癌
19、单项选择题
正常淋巴结的结构()
①淋巴结表面有一层被膜
②淋巴结表面无被膜
③淋巴结包括皮质和髓质,皮质的淋巴窦致密,髓质的淋巴窦疏松
④淋巴结包括皮质和髓质,皮质的淋巴窦疏松,髓质的淋巴窦致密
⑤淋巴液由皮质淋巴结-淋巴输入管-结内-淋巴窦-淋巴输出管-淋巴门
⑥淋巴液由淋巴门-淋巴输入管-淋巴窦-结内-淋巴输出管-皮质淋巴结
A.①③⑤
B.②④⑥
C.①④⑥
D.②③⑤
E.①③⑥
20、单项选择题 用彩色多普勒血流成像技术检测手指末端小动脉,下列哪项调节是错误的()
A.用低的速度标尺
B.彩色图选用两色图
C.小的取样容积
D.低通滤波器
E.高通滤波器
21、单项选择题 下列哪种扫查平面最易观察到脊柱裂()
A.横切面
B.纵切面
C.斜切面
D.冠状面
E.斜冠状面
22、单项选择题
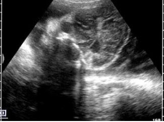
根据以下肝超声检查声像图,诊断为()
A.肝癌并门脉癌栓
B.肝硬化
C.脂肪肝
D.肝炎
E.血吸虫性肝硬化并门脉血栓
23、单项选择题 宫内生长迟缓常发生在多少孕周后()
A.15周
B.20周
C.26周
D.32周
E.24周
24、单项选择题 二维超声检测左心室用以判断有无冠心病的主要依据是什么()
A.左心室形状改变
B.左心室壁厚径增加
C.节段性室壁运动异常
D.左心室壁收缩期增厚率减低
E.左心室壁收缩运动幅度增大
25、单项选择题 在收缩期,压力最高的腔室()
A.主动脉
B.肺动脉
C.左心室
D.右心室
E.左心房
26、单项选择题 正常腮腺的声像图表现是()
A.表面为整齐平滑的边缘
B.腺体为光点细小、分布均匀的低回声区
C.低回声区内可见一平行强回声光带,为腮腺主导管
D.以上都对
E.以上都不对
27、单项选择题 以下哪种声像图最易诊断为肾积水()
A.肾盂、肾盏集合系统充满无回声
B.肾盂、肾盏集合系统回声增强
C.肾失常扭曲
D.肾实质多发无回声
E.肾盂内局限性高张囊性无回声
28、单项选择题 下列哪项不符合子宫内膜异位症()
A.随月经周期变化
B.发生于子宫肌层称子宫肌腺症
C.发生于卵巢称巧克力囊肿
D.良性疾病,不发生远处转移和种植
E.可种植于盆腔
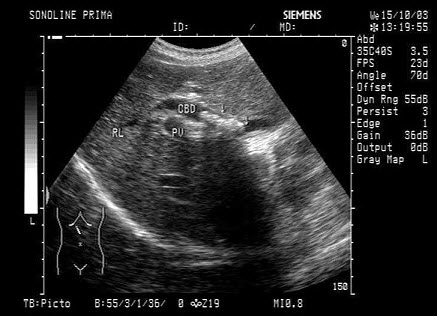
29、单项选择题
图示7所指部位()
A.脾静脉
B.胃
C.胰尾
D.第二肝门
E.左肾上腺
30、单项选择题 下述关于用频谱多谱勒对主动脉瓣血流检测的参数,哪一项是错误的()
A.收缩期峰值速度(Vs)
B.阻力指数(RI)
C.射血时间(ET)
D.加速时间(AT)
E.血流速度时间积分(VTI)
31、单项选择题
女,28岁,无任何不适,体检。声像图如图所示,诊断为()
A.胆囊结石
B.胆囊息肉
C.胆囊胆固醇结晶
D.胆囊腺瘤
E.胆囊癌
32、单项选择题 频谱多普勒超声检测到从零位基线向上的血流频谱,表明血流是()
A.反向的动脉血流
B.反向的静脉血流
C.流向探头的血流
D.背离探头的动脉血流
E.背离探头的静脉血流
33、单项选择题 传播超声波的媒介物质叫()
A.耦合剂
B.介质
C.探头
D.晶片
E.超声波
34、单项选择题 患者无痛性血尿,超声示膀胱三角区乳头状隆起性病灶3cm×2cm,基底部较宽,不随体位移动,首选诊断是()
A.膀胱结石
B.膀胱内血凝块
C.血管瘤
D.膀胱癌
E.膀胱内异物
35、单项选择题 绒毛膜癌是恶性滋养叶疾病中恶性程度最高的肿瘤,百分之几继发于葡萄胎()
A.20%~30%
B.40%~50%
C.60%~70%
D.>80%
E.10%~20%
36、单项选择题 用7MHz~10MHz高频探头,检查正常阴囊的主要内容物是()
A.睾丸、附睾及精索
B.睾丸、附睾及输精管
C.睾丸、附睾
D.附睾、精索
E.睾丸、附睾头及睾丸附件
37、单项选择题
女,23岁,停经45天,阴道无异常分泌物,子宫附件声像图如下,图中所示为()
A.正常早孕孕囊及胚外体腔
B.双胎妊娠双孕囊
C.难免流产
D.子宫肌瘤
E.早孕并宫腔积液
38、多项选择题 下述哪些属死胎的声像图表现()
A.胎儿各生长参数小于孕周预计值
B.胎心搏动、胎动均消失
C.胎儿颅骨变形,颅缝重叠
D.胎儿全身水肿,皮肤呈双层改变
E.内脏结构紊乱清楚
39、单项选择题 主动脉瓣关闭不全最主要的病理生理变化是()
A.左室充盈减少
B.左室充盈增加
C.左室压力超荷
D.左室容量超荷
E.主动脉运动幅度增大
40、问答题 荡击波征是什么?
41、单项选择题
女性,27岁,停经45天,阴道不规则出血1周余。尿妊娠试验阳性。结合超声图像,最可能的诊断为()
A.宫外孕
B.附件炎性包块
C.子宫肌瘤
D.宫腔残留
E.卵巢囊肿
42、单项选择题 患者高年妇女,发热,右上腹疼痛2天,超声检查显示胆囊肿大,胆囊底部轮廓模糊,囊壁局部强回声线连续性中断,周围见局限性积液,胆囊腔内见多发结石及稀疏的粗斑点状非沉积性回声,最可能诊断为()
A.急性化脓性胆囊炎伴胆囊穿孔
B.慢性胆囊炎,急性发作
C.急性化脓性胆囊炎
D.急性单纯性胆囊炎
E.以上都不是
43、单项选择题
女,38岁,上腹部经常疼痛,加重2天。声像图如图所示,诊断为()
A.左肝内胆管多发性结石
B.左肝血管瘤
C.左肝钙化灶
D.左肝内胆管蛔虫
E.左肝内胆管积气
44、单项选择题
晚孕胎儿脑部声像图,最可能的诊断是()
A.正常声像图
B.淋巴管囊肿
C.脑膜膨出
D.脑积水
E.露脑畸形
45、单项选择题
患者,男,23岁,发现睾丸内无痛性肿块1月余。透光试验阳性。结合超声图像,最可能的诊断是()
A.睾丸囊肿
B.精索鞘膜积液
C.附睾结核
D.精液囊肿
E.附睾囊肿
46、单项选择题 睾丸淋巴瘤的声像图特点为()
A.两侧睾丸受累,内部回声极低
B.两侧睾丸受累,内部回声中等
C.一侧睾丸受累,内部回声中等
D.一侧睾丸受累,内部回声极低
E.两侧附睾受累,内部回声中等
47、单项选择题 下列诊断法中属于辉度调节型的是()
A.B超声诊断法
B.A超声诊断法
C.M超声诊断法
D.超声频移诊断法
E.多普勒诊断法
48、单项选择题 胆总管上段位于门静脉()
A.右前方
B.前方
C.左方
D.后方
E.左前方
49、判断题 超声波可以穿透儿童和成人骨骼,清晰显示骨皮质和骨髓腔内的结构。
50、单项选择题
某患者右侧阴囊根部可触及小包块,超声声像图如下,最可能的诊断为()
A.精索鞘膜积液
B.睾丸鞘膜积液
C.附睾囊肿
D.睾丸肿瘤
E.附睾血肿
51、单项选择题 肝内胆管不包括()
A.毛细胆管
B.小叶间胆管
C.左胆管
D.右胆管
E.胆总管
52、单项选择题 谐波成像在临床中应用,不包括()
A.基波显像良好的脏器
B.增强心肌和心内膜显示
C.增强心腔内声学造影剂的回声信号
D.增强细微病变的分辨力
E.减少近场伪像及近场混响
53、单项选择题 下列关于卵巢滤泡囊肿的描述,哪项不对()
A.单侧卵巢发病
B.囊壁菲薄
C.囊液水样密度
D.直径多>5cm
E.可自行消失
54、单项选择题 超声可用以诊断哪些骨骼、关节、肌肉疾病()①可显示正常骨的完整声像图②无法显示正常骨的完整声像图③可显示子宫内胎儿、新生儿及1岁以内婴儿的骨骼④无法显示子宫内胎儿、新生儿及1岁以内婴儿的骨骼⑤骨膜下血肿⑥关节间隙病变⑦外生性骨肿瘤骨质破坏⑧表浅骨骼肌炎⑨实时评价肌腱和肌肉运动
A.①③⑤⑥⑦⑨
B.②④⑤⑥⑦⑧
C.②③⑤⑥⑦⑧⑨
D.①④⑤⑥⑦
E.①③⑤⑦⑧⑨
55、单项选择题 超声评价子宫——胎盘循环最常检测的血管是()
A.胎儿主动脉
B.胎儿肾动脉
C.母体子宫动脉
D.脐动脉
E.脐静脉
56、单项选择题 关于盆腔肾脏的说法,正确的是()
A.在异常位置的正常表现
B.在正常部位的异常表现
C.在正常位置的正常表现
D.在异常部位的异常表现
E.以上都是
57、单项选择题 患者于肝右前叶下段与左内叶交界处发现低回声不均匀实性肿块,边缘欠清,其内见多个强回声团伴声影,胆囊腔内无回声区消失,最可能诊断为()
A.胆囊癌实块型
B.肝细胞肝癌
C.炎性假瘤
D.胆管细胞肝癌
E.肝腺瘤
58、单项选择题 青年女性,乳腺超声发现边界光滑整齐,均匀的低回声()
A.乳腺囊肿
B.乳腺叶状囊性肉瘤
C.乳腺纤维瘤
D.乳腺囊性增生
E.乳腺髓样癌
59、单项选择题
女,24岁,人流术1个月后阴道不规则出血。根据超声所示,应考虑为()
A.宫内残留
B.葡萄胎
C.绒癌
D.早孕
E.子宫肌瘤
60、单项选择题
男,36岁,患乙肝大三阳十多年,现发现腹腔内大量腹水。声像图如图所示,结合超声声像图,诊断为()
A.急性化脓性胆囊炎,胆汁淤积
B.慢性肾病引起低蛋白血症,胆囊壁水肿,胆汁淤积
C.肝硬化所致低蛋白血症,胆囊壁水肿,胆汁淤积
D.心衰引起胆囊壁水肿,胆汁淤积
E.胆囊癌
61、单项选择题 主动脉弓离断的临床及超声表现不包括()
A.主动脉弓部以下连续中断
B.动脉导管连接肺动脉与降主动脉
C.常合并室间隔缺损
D.常不伴有肺动脉高压
E.可无导管未闭的杂音
62、单项选择题 胎盘静脉窦发生于下列哪个部位()
A.胎盘绒毛叶中心部分无绒毛处
B.胎盘与子宫肌层之间
C.绒毛膜板下
D.胎盘实质中
E.子宫肌层内
63、单项选择题 脉络膜黑色素瘤的超声声像图表现是()
A.半圆形或蘑菇形实性肿物自眼球壁突入玻璃体腔
B.肿物前部回声密集明亮,向后渐衰减
C.肿物局部眼球壁较周围正常区回声低下
D.继发视网膜脱离
E.以上都对
64、单项选择题 声波垂直入射到两层相邻的介质时()
A.两个介质特性阻抗差异越大,反射越强
B.两个介质特性阻抗差异越大,反射越弱
C.反射能量小于折射能量
D.反射能量与折射能量相同
E.以上都不对
65、单项选择题 输卵管分为哪几部分()
A.峡部、壶腹部、漏斗部、伞部
B.间质部、峡部、壶腹部、漏斗部
C.角部、间质部、壶腹部、漏斗部
D.角部、峡部、壶腹部、伞部
E.角部、峡部、壶腹部、漏斗部、伞部
66、单项选择题
男,18岁,外伤1小时就诊。结合超声声像图,诊断为()
A.脾外伤血肿
B.脾淋巴管瘤
C.膈下积液
D.脾皮样囊肿
E.脾血管瘤
67、单项选择题
该病例最可能的诊断()

A.右室流出道狭窄
B.室间隔缺损
C.主动脉右冠窦瘤破裂
D.主动脉右冠瓣脱垂
E.房间隔膨出瘤
68、单项选择题 宫内死胎声像图征象是()①头颅光环变形②胎儿轮廓变形③胎心胎动消失④胎儿水肿
A.①②
B.③
C.①②③
D.①②③④
E.④
69、单项选择题 儿童出现黄疸最常见于()
A.肝炎
B.脂肪浸润
C.胆管闭锁
D.肝硬化
E.肝血管瘤
70、单项选择题 超声最早能在几周诊断早孕()
A.3周
B.4周
C.5周
D.7周
E.6周
71、单项选择题 前列腺增生可继发的疾病声像图,表现为()
A.膀胱小梁小房形成
B.肾积水
C.膀胱结石
D.输尿管尿液逆流
E.以上均是
72、单项选择题 孕几周时胎头生长稳定,生物变异性小,双顶径估计孕龄最准确()
A.9~11周
B.12~20周
C.21~28周
D.28~36周
E.37~40周
73、单项选择题
患者发现颈部肿块数年,无明显不适。甲状腺超声如图,最可能的诊断为()
A.甲状腺癌
B.结节性甲状腺肿
C.甲状腺炎
D.甲状腺腺瘤并囊变
E.甲状腺囊肿
74、单项选择题 葡萄胎刮宫术后,黄素囊肿消退常需要多长时间()
A.1~2周
B.4~5周
C.6个月
D.2~4个月
E.8周
75、单项选择题
某患者下腹部声像图表现,根据箭头提示,最可能的诊断为()
A.前列腺囊肿
B.膀胱憩室
C.前列腺癌
D.精液囊肿
E.膀胱肿瘤
76、单项选择题 左肾静脉位于()
A.下腔静脉后方
B.与门静脉并行
C.腹主动脉与肠系膜上动脉之间
D.腹主动脉后方
E.腹腔干与腹主动脉之间
77、单项选择题
患者,急性胰腺炎治疗后,超声见胰管内多个强回声光团,后伴声影,如图所示,考虑为()
A.胰腺胰管结石
B.胰腺脓肿
C.胰腺肿瘤
D.胰腺假性囊肿
E.胰腺胰管钙化
78、问答题 心房间隔缺损在多谱勒超声心动图上的表现有哪些?
79、多项选择题 眼眶横纹肌肉瘤USG检查,可见()
A.圆形、椭圆形或不规则的实质性状回声
B.因有假包膜故边界较清晰
C.内部呈均匀的弱回声影
D.内部呈不均匀的强回声影
E.视神经及球壁侵犯、破坏改变
80、单项选择题 关于CDFI,以下不对的是()
A.能显示血流方向
B.能显示血流速度的快慢
C.能显示血流的性质和种类
D.成像不受超声入射角的影响
E.当超过尼奎斯特极限时可出现彩色反转
81、单项选择题 恶性病变的声像图特点中,应除外()
A.形态较规则
B.边缘不光滑或断续
C.内部回声低弱或增强
D.后方回声衰减明显
E.周围组织呈浸润性改变
82、问答题 什么情况下需要作胎儿超声心动图?
83、单项选择题 股骨长径与腹围比率正常值是()
A.20±2
B.22±2
C.26±2
D.>28
E.18±2
84、单项选择题 超声检查至少在妊娠几周后才能较好地看到胎儿()
A.2周
B.4周
C.6周
D.8周
E.9周
85、单项选择题 附睾炎在不同阶段的声像图表现是()
A.附睾增大
B.附睾显示中等回声
C.化脓时附睾出现无回声区
D.如有钙化,后方出现声影
E.以上都是
86、单项选择题 下列哪项不是超声成像()
A.B型扫描
B.A型扫描
C.彩色多普勒
D.二次谐波
E.三维重建
87、单项选择题 下列乳腺癌中哪一种癌在超声显示上有特征性()
A.黏液癌
B.导管内乳头状癌
C.未分化癌
D.腺癌
E.以上都不是
88、单项选择题 非镜面反射体是()
A.肝脏表面
B.膈肌
C.红细胞
D.不产生强回声的任一结构
E.以上都不是
89、单项选择题 结节性甲状腺肿最常见的病因是()
A.甲状腺炎
B.合并甲状腺功能亢进
C.碘缺乏
D.碘过量
E.甲状腺癌
90、单项选择题 彩色多普勒及脉冲多普勒诊断肾移植术后急性排异的标准()①CDFI:肾内血流明显减少呈断续、星点状、斑块状②肾动脉RI≥0.80,PI>1.8③CDFI:肾内血流明显增多④肾动脉RI≤0.80,PI<1.8
A.①②
B.①④
C.②③
D.①②③
E.以上都不是
91、单项选择题 眼部超声检查发现:一侧眼球壁内较强回声异物,异物周围可见无回声裂隙环绕。最可能的诊断是()
A.眼球内异物
B.早期巩膜异物
C.陈旧性巩膜异物
D.视网膜下异物
E.眼眶内异物
92、单项选择题 下列哪项不符合脐带特点()
A.脐带正常长度30~70cm,平均直径1.5~2.0cm
B.脐动脉绕脐静脉呈螺旋状走行
C.脐静脉绕脐动脉呈螺旋状走行
D.超声无法测量脐带的长度
E.由两根脐动脉,一根脐静脉组成
93、单项选择题 数字扫描转换器的作用中,不包括()
A.储存图像
B.把图像转换成标准的电视扫描制式信号进行显示
C.可提高图像稳定性
D.进行图像补插处理
E.图像后处理功能
94、单项选择题
X线无法显示而超声可显示的异物为()
①玻璃
②塑料
③木屑
A.②③
B.①②③
C.①②
D.①
E.③
95、单项选择题
根据肝脏声像图表现,诊断为()
A.转移性肝癌
B.肝血管瘤
C.肝脓肿
D.肝囊肿
E.肝内胆管囊状扩张
96、单项选择题 宫腔回声显著增强常见于()①子宫内膜肥厚②子宫内膜息肉③异位妊娠④早期宫内妊娠⑤子宫肌瘤玻璃样变性⑥宫腔积液
A.①②③
B.①②③④
C.①②③④⑤
D.①②③④⑤⑥
E.①②④⑥
97、单项选择题 对肝细胞肝癌有特异性的检查是()
A.甲胎蛋白
B.碱性磷酸酶
C.胆红素
D.血尿素氮
E.胰岛素
98、单项选择题 有关对前列腺结石描述错误的是()
A.前列腺结石分四型
B.散在小结石型
C.弧形结石型
D.结石多位于腺泡间
E.成堆小结石和单个大结石型
99、单项选择题 胆道出血、感染时,胆汁回声强度变化规律错误的是()
A.感染的胆汁可出现回声
B.混有血细胞的胆汁回声增多
C.混有血凝块的胆汁回声增多显著
D.混有微气泡的胆汁回声减少显著
E.脓性胆汁回声增多
100、问答题 脐带绕颈的声像图表现有哪些?
101、单项选择题 关于肾上腺扫查方法,错误的是()
A.仰卧经侧腰部扫查,右肾上腺在右肾上极的外上方寻找
B.仰卧经侧腰部扫查,左肾上腺在脾、肾、腹主动脉之间查找
C.仰卧经侧腰部扫查,右肾上腺在右肾上极的内上方找
D.仰卧经背部扫查,于左肾上极的前方寻找左肾上腺
E.仰卧经腹右肋缘下斜切扫查,在右肾上极与下腔静脉之间寻找右肾上腺
102、多项选择题 根据棘球蚴囊USG表现特征,可分为()
A.单囊型
B.多囊型
C.囊沙型
D.混合型
E.母子囊型
103、单项选择题
患者,发热,颈部及腹股沟可触及包块。清洁灌肠后,行中腹部超声检查,声像图表现如图,最可能的诊断是()
A.淋巴瘤
B.胰头癌
C.结肠癌
D.腹腔结核
E.腹膜后肿瘤
104、单项选择题
男,19岁。上腹部不适,肥胖。结合超声声像图,诊断为()

A.肝癌
B.肝硬化
C.脂肪肝
D.肝炎
E.肝豆状核变性
105、多项选择题 急性胆囊炎的USG的表现为()
A.胆囊增大、胆囊壁轮廓线模糊,外壁线不规则
B.胆囊壁弥漫性增厚,增厚的胆囊壁呈增强回声带
C.胆囊腔内出现弥漫性低回声、云雾状回声等提示胆囊积脓
D.胆囊窝显示无回声带,提示胆囊周围液体潴留或积脓
E.胆囊壁内无回声的散在小囊样憩室结构
106、单项选择题 M型超声心动图的二尖瓣水平波群可观察哪种结构的运动曲线()
A.主动脉瓣曲线
B.乳头肌曲线
C.主动脉根部曲线
D.肺动脉瓣曲线
E.二尖瓣前叶、后叶曲线
107、单项选择题 慢性肾小球病变时,肾皮质回声常明显增强,应选用哪一脏器的回声与肾皮质对比最佳()
A.肝脏
B.脾脏
C.胰腺
D.对侧肾皮质
E.肾周脂肪
108、问答题 异位妊娠的声像图表现有哪些?
109、单项选择题
调节超声仪灵敏度的方法()
①通过发射频率放大器改变回声波幅
②用输出衰减器调节由探头发出的声脉冲强度
③调节焦点,使测量尺光点不易看到
A.①
B.①②
C.①③
D.①②③
E.②③
110、单项选择题 当骨盆骨折时,易受损的是哪一部分尿道()
A.前列腺部尿道
B.膜部尿道
C.球部尿道
D.阴部尿道
E.悬垂部位
111、单项选择题 约孕几周时能辨清胎儿肾脏内部结构()
A.12周
B.16周
C.20周
D.24周
E.14周
112、单项选择题
女性,48岁,取环术后3天,述左下腹疼痛。B超检查如图,最可能的诊断为()
A.畸胎瘤
B.盆腔血肿
C.子宫浆膜下肌瘤
D.宫外孕
E.附件囊肿
113、单项选择题 经腹壁胃肠超声检查前准备,下列哪一项是正确的()
A.检查应安排在X线钡剂检查之后
B.检查中可饮水500ml-700ml,以充盈胃腔
C.禁食4小时
D.大肠检查前需禁食
E.胃镜检查之后
114、单项选择题 若振幅增大2倍,那么强度将如何改变()
A.增加4倍
B.减少一半
C.增大3倍
D.减少1/4
E.无变化
115、单项选择题 孕30~36周双顶径平均每周增长约()
A.1.0mm
B.1.5mm
C.2.0mm
D.2.5mm
E.3.0mm
116、单项选择题
患者女,56岁,急性胰腺炎1周。B超图像如图,诊断为()
A.胰腺假性囊肿
B.胰腺囊腺癌
C.小网膜囊肿
D.后腹膜占位
E.以上都不是
117、单项选择题 羊水量少于多少毫升称羊水过少()
A.300~400ml
B.1000ml
C.15000ml
D.2000ml
E.1500ml
118、单项选择题 正常腮腺的解剖部位是()
A.咀嚼肌前部的皮下,下颌后窝
B.下颌前窝,外耳道下方
C.上抵颧弓,下达下颌肌后部,相当耳屏水平
D.前缘位于咀嚼肌后部,后壁位于乳突部
E.前缘位于咀嚼肌中部,后界位于胸锁乳突肌后缘
119、单项选择题
超声仪的分辨率可定义为()
①可在显示仪上区别开来的两点间目标最小的空间间隔
②在显示仪上趋于被单独一个点的目标所占据的区域或距离
③在显示仪上区别出的两种独立的活动状态的最短时间间隔
A.①
B.①②
C.①②③
D.②③
E.①③
120、单项选择题
男,30岁。超声声像图如图,诊断为()

A.肝小血管瘤
B.肝脓肿
C.肝囊肿
D.小肝癌
E.炎性假瘤
121、单项选择题 边缘性前置胎盘的声像图特点是()
A.胎盘下缘部分覆盖子宫颈内口
B.胎盘完全将子宫颈内口覆盖
C.胎盘下缘抵达子宫颈内口,但未覆盖宫颈内口
D.胎盘部分在子宫下段,距宫颈内口约5cm
E.胎盘部分在子宫下段,距宫颈内口约7cm
122、单项选择题
女,35岁,上腹经常疼痛不适。声像图如图所示。结合超声声像图,诊断为()
A.胆囊多发性息肉
B.胆泥淤积
C.胆囊多发性腺瘤
D.胆囊蛔虫残骸
E.胆囊多发性结石
123、单项选择题 超声诊断装置的基本构成不包括()
A.发射与接收单元
B.数字扫描转换器
C.超声图像显示装置
D.超声工作站
E.电源
124、单项选择题
右室双出口的概念下列何者不正确 ( )
A.两支大动脉皆出自右室
B.两组大动脉下皆有圆锥肌
C.室缺可位于主动脉或肺动脉瓣下
D.可不出现左向右分流
E.多伴有肺动脉狭窄或肺动脉高压
125、单项选择题 声像图,形成很强回声,其后方留有声影的是()。
A.皮肤
B.脂肪
C.纤维组织
D.结石
E.实质脏器
126、问答题 房间隔缺损超声声像图表现?
127、单项选择题 胚胎死亡2个月以上尚未自然排出者称()
A.过期流产
B.不全流产
C.难免流产
D.先兆流产
E.以上都不是
128、问答题 肾积水的声像图表现有哪些?
129、单项选择题 超声检测甲状腺,其解剖标志是()
A.气管在其内侧,颈长肌在后方,颈动脉和颈内静脉在外侧,带状肌在内侧
B.气管在其内侧,颈长肌在外侧,颈动脉和带状肌在其后方
C.气管和带状肌在内侧,颈长肌在后,颈动脉在下方
D.气管在其内侧,颈长肌在后方、颈动脉及颈内静脉在其外侧,带状肌在其前外侧
E.以上都不是
130、单项选择题 肝方叶与尾状叶的分界标志()
A.静脉韧带
B.门静脉左支矢状段
C.门静脉左支横段
D.肝左静脉
E.肝圆韧带
131、单项选择题 彩色多普勒血流成像的核心基础技术之一是()
A.血流频移的FFT技术
B.多相位同步处理技术
C.血流信息的自相关处理技术
D.最佳应用条件的预设技术
E.宽频带、高密度探头技术
132、单项选择题 肝的脏面向()
A.下、后和左
B.下、后和右
C.上、后和左
D.上、后和右
E.前和左
133、名词解释 全数字化超声诊断仪
134、单项选择题
该图表明为()

A.心内膜垫缺损部分型
B.心内膜垫缺损完全型
C.I孔型房间隔缺损
D.二尖瓣,三尖瓣关闭不全
E.上腔型房间隔缺损
135、单项选择题 转移性肝癌表现为不规则强回声后伴声影,多来自于()
A.肺癌
B.结肠或直肠腺癌
C.乳腺癌
D.恶性淋巴瘤
E.肾癌
136、单项选择题 胎儿宫内生长迟缓者宫内总容量则()
A.不变
B.减少
C.增加
D.与双顶径成正比
E.宫高与孕周相符
137、单项选择题 不作为彩超颅内动脉各分支段常规测量的是()
A.收缩其峰值速度
B.舒张期最低速度
C.搏动指数
D.阻力指数
E.血管检测深度
138、问答题 法洛四联症的二维超声表现?
139、单项选择题 淋巴管囊肿的声像图特征是()①颈背部较大无回声,壁厚内有分隔②全身水肿、浆膜腔积液③颈前囊性包块④胎头颅骨缺损处膨出囊性肿物
A.①
B.①②
C.①②③
D.①②③④
E.①③④
140、填空题
某患者心脏二维超声示意图,图中异常光团,最可能诊断为________。

141、单项选择题
女性,于膀胱输尿管位置见一囊性光团,有规律收缩,增大。如图所示,考虑为()
A.膀胱肿瘤
B.膀胱憩室
C.输尿管结石
D.输尿管囊肿
E.膀胱异物
142、单项选择题 乳腺良性与恶性肿瘤的超声鉴别特点,错误的是()
A.边界是否光滑、完整
B.内部回声增强或减低
C.肿物后方是否衰减
D.纵横比是否大于1
E.肿块大小
143、单项选择题 继发孔型房间隔缺损在二维超声检查时有什么所见()。
A.显示房间隔最位处(房、室间隔连接处)缺损
B.显示左心室扩大
C.显示房间隔最上部(近心房顶部处)
D.显示室间隔上移缺损
E.显示房间隔央部缺损
144、单项选择题 心搏出量与心输出量有什么不同()
A.心搏出量在数值上与心输出量相等
B.心率不变时,心搏出量增大反而使心输出量减低
C.心输出量是心搏出量乘以心率,心搏出量是每次心搏的排出量
D.心搏出量大于心输出量
E.心输出量不乘以心率,心搏出量需计算心率
145、单项选择题 关于卵巢黏液性囊腺瘤声像图表现的描述,下列哪项不正确()
A.囊壁均匀性增厚
B.无回声区内有细小点状回声
C.少数有乳头状物
D.直径多在10cm以上
E.增厚的囊壁可向周围浸润
146、单项选择题
患者男65岁,上腹部疼痛3个月余,进行性加重1周余,进食后呕吐。上腹部B超检查如图所示,根据超声声像图诊断为()
A.胃溃疡
B.胃炎
C.胃癌
D.肝癌
E.胰头癌
147、多项选择题 孕18周后USG可发现哪些先天性心脏畸形()
A.室间隔缺损
B.心内膜垫缺损
C.左心内膜纤维化
D.三尖瓣下移畸形
E.单心室、右室或左室发育不全
148、单项选择题 股骨长径与腹围比率是多少可诊断非对称性胎儿宫内发育迟缓()
A.<20
B.>22
C.<24
D.>24
E.<22
149、判断题 扩张型心肌病M型超声心动图见二尖瓣前、后叶开放幅度小且时间短呈钻石样改变。
150、单项选择题 用彩色多普勒及能量多普勒检测脑动脉,调节仪器的方法中,错误的是()
A.较大的发射功率
B.低滤波
C.长余波
D.较大的取样框
E.较大的取样容积
151、单项选择题
该病例最可能的诊断()

A.右室双出口并室间隔缺损
B.主动脉骑跨
C.室间隔缺损
D.大动脉异位
E.左室双出口
152、单项选择题 女性,35岁,因发热、下腹疼痛二天就诊。体检:T38.9℃,HR94次/分,心肺(-)妇科检查示左附件区压痛明显,超声诊断为()
A.附件炎性包块
B.宫外孕
C.卵巢癌
D.子宫肌瘤
E.巧克力囊肿
153、单项选择题 关于透声层的描述,错误的是()
A.透声层又称阻抗匹配层
B.透声层的条件是厚度等于1/4波长
C.当压电材料和人体的特性阻抗一定后,可选用适当的器材满足阻抗匹配的条件
D.选用耦合剂应注意符合阻抗匹配条件
E.透声层只是一种理想状态,现实中无法满足其条件
154、单项选择题 妇科恶性肿瘤的血流频谱特点是()
A.低速低阻
B.低速高阻
C.高速高阻
D.高速低阻
E.以上都不是
155、单项选择题 关于腮腺管结石(涎石病)的超声表现的描述,哪一项是错误的()
A.腮腺大小、形态正常
B.腮腺内可探及致密强回声斑点或斑块
C.较大结石可引起导管阻塞
D.腮腺导管无扩张
E.较大结石后方伴声影
156、单项选择题 数字化彩超技术不包括()
A.数字波束形成技术
B.A/D转换
C.电阻——电感延迟聚焦技术
D.数字动态变远技术
E.数字动态可变孔径技术
157、单项选择题 晚期妊娠时阴道无痛性流血,首先应考虑()
A.脑积水
B.羊水过少
C.前置胎盘
D.环形胎盘
E.胎儿发育迟缓
158、多项选择题 卵巢癌USG声像图表现为()
A.盆腹腔内较大肿块,可为双侧性
B.肿块形态不规则,边界不清
C.肿块回声杂乱
D.分隔形成的带状回声厚薄不均
E.可发现肿瘤的腹膜种植及肝转移等异常
159、单项选择题 肾脏扫查应在什么时进行()
A.屏气时
B.吸气时
C.呼气时
D.Valsalva动作时
E.以上都是
160、单项选择题 经产妇,末次月经不详,超声测量胎囊最大直径是1cm,计算孕龄是()
A.4~5周
B.8周
C.10周
D.10~12周
E.9周
161、单项选择题 下列眼部超声检查法中,哪种方法最简便实用()
A.经眼睑法
B.水囊法
C.探头块法
D.经水法
E.软探头法
162、单项选择题
某胎儿超声声像图如下,最可能的诊断为()
A.脐带绕颈1周
B.脐带绕颈2周
C.脑积水
D.正常声像图
E.脐带绕颈3周
163、判断题 USG是腹膜后大血管病变诊断的金标准。
164、单项选择题 高频探头(7.5MHz),其()
A.穿透力好
B.横向分辨力高
C.侧向分辨力高
D.纵向分辨力低
E.纵向分辨力高,但穿透力差
165、单项选择题 卵巢非赘生性囊肿临床表现和声像图特征,不正确的是()
A.黄体囊肿是黄体形成过程中黄体血肿液化形成
B.黄素囊肿与滋养细胞瘤伴发
C.黄素囊肿多呈双侧性
D.卵巢非赘生性囊肿是卵巢囊性肿瘤,多不能自行消退
E.绝经后妇女较少见
166、单项选择题 选用超声耦合剂错误的是()
A.应满足阻抗匹配条件
B.耦合剂越厚越好
C.让超声尽量多进入人体
D.排除空气,增加透声性
E.特性阻抗接近人体(软组织)的特性阻抗
167、单项选择题 超声系统可控制的最大能量与最小能量之比为下列哪种()
A.动态范围
B.抑制
C.增益
D.放大因数
E.分贝
168、多项选择题 胰腺真性囊肿USG征象为()
A.囊肿较小,呈圆形或椭圆形
B.边界光滑、完整,囊肿壁回声清晰、稍强
C.胰腺某一局部或胰腺相邻部位出现无回声区
D.潴留性囊肿常多发,同时合并多囊肾或多囊肝
E.胰腺包虫囊肿常与肝包虫病伴发
169、单项选择题 肝囊肿的超声表现不正确的是().
A.病灶为圆形、类圆形无回声暗区
B.囊壁薄,光滑
C.囊肿后壁见回声增强
D.囊肿侧壁见回声失落
E.囊肿后壁见声影
170、单项选择题 CDFI、PW在阴囊内容物检查中的价值()①可判断有无血管②可观察血管走行方向③可测量血流速度的高低④可测量PI、RI⑤可判断血流是否对称
A.①③④
B.①②③④⑤
C.①②⑤
D.③④⑤
E.②③④
171、单项选择题 下列卵巢肿瘤中,哪种肿瘤不产生性激素()
A.黏液性囊腺瘤
B.原发性绒毛膜癌
C.畸胎瘤
D.卵泡膜细胞瘤
E.颗粒细胞瘤
172、单项选择题 女性,38岁,停经3月余,阴道不规则出血20余天。体检:子宫体积大于停经周数,宫旁触及囊性肿块。血HCG1280μg/ml,超声诊断为()
A.中期妊娠
B.早期妊娠
C.宫外孕
D.葡萄胎
E.绒癌
173、单项选择题 心脏超声造影不用于()
A.检测心肌梗死区
B.鉴别心肌存活与否
C.评价介入治疗效果
D.显示心肌细胞
E.检测心肌缺血区
174、单项选择题 可用超声观察区别的眼眶组织有()①眼球壁②眼球内容物③视神经间隙④眶内脂肪组织⑤眼外肌
A.①②
B.①②③
C.①②③④
D.①②③④⑤
E.②③④
175、单项选择题
某患者腰部不适,根据其肾脏超声声像图,最可能的诊断为()
A.肾结石并轻度肾积水
B.输尿管结石并肾积水
C.肾积水
D.肾肿瘤
E.肾结石并肾重度积水
176、单项选择题
眶海绵窦瘘的超声表现()
①眼上静脉明显扩张,球后饱满呈多个无回声
②CDFI:扩张的眼上静脉呈红色血流或五彩镶嵌样血流
③CDFI:扩张的眼上静脉呈蓝色血流或五彩镶嵌样血流
④PW:显示动脉静脉化
⑤PW:显示静脉动脉化
⑥同侧颈内动脉血流量增高,Vmax增加,RI降低
⑦对侧颈内动脉血流量减低,Vmax减低,RI增高
A.①②⑤⑥
B.①③⑤⑦
C.①②④⑥⑦
D.①③④⑥⑦
E.①②⑥⑦
177、多项选择题 内脏声像图描述的内容包括()
A.外观表述
B.外形和大小
C.内部回声和肿物性质
D.脏器位置和毗邻关系
E.血供情况
178、单项选择题 下列哪项不是脐带绕颈自行解脱或缠绕的因素()
A.妊娠月份较大而羊水较少
B.胎儿活跃,胎动频繁
C.脐带过长
D.诊断时间过早
E.羊水多,妊娠月份小
179、单项选择题 肝硬化时CDFI肝动脉显示()
A.血流增加
B.血流减少
C.血流无变化
D.不易显示
E.血流增加或减少
180、单项选择题
反射回来的超声信号的强度决定于()
①被反射回来的超声量
②超声的衰减
③声波进入界面的入射角度
A.①②
B.②③
C.①③
D.①②③
E.以上都不对
181、单项选择题 不属于卵巢非赘生性囊肿的是()
A.滤泡囊肿
B.黄体囊肿
C.妊娠黄体囊肿
D.巧克力囊肿
E.黄素囊肿
182、单项选择题 等水平回声见于()。
A.肝实质
B.骨骼
C.胆结石
D.肌腱
E.血管壁
183、问答题 肾上腺皮质腺癌的声像图表现有哪些?
184、单项选择题 当各个物体间有清楚的分隔时,在扫查中所能发现的最小间隙取决于声束的()
A.强度
B.波长
C.衰减
D.速度
E.频率
185、单项选择题 正常宫颈测量值为()
A.长度不超过3cm
B.前后径不小于3cm
C.前后径不超过3cm
D.长度不超过5cm
E.以上都不是
186、单项选择题 膀胱肿瘤好发部位是()
A.前后壁
B.左右侧壁
C.三角区
D.颈部
E.底部
187、单项选择题
患者,男,高热,右上腹痛,肝区扣击痛。结合超声声像图,诊断为()
A.肝血管瘤
B.肝脓肿
C.肝癌
D.脂肪肝
E.肝囊肿
188、单项选择题 除哪一项外,以下结构在肾窦内均可见到()
A.主肾盏
B.肾锥体
C.小肾盏
D.肾盂血管
E.以上都是
189、单项选择题
某患者肝脏及下腔静脉肝段内见异常回声。声像图表现如图,诊断为()
A.艾森曼格综合征
B.布加综合征
C.麦格综合征
D.川畸病
E.马方综合征
190、单项选择题 经腹扫查,妊娠几周时可显示妊娠囊结构()
A.4周
B.4~5周
C.5周
D.5~6周
E.7周
191、单项选择题
超声引导下经皮经肝穿刺胆管造影应注意()
①需做碘过敏试验
②穿刺日禁食、水
③常用>16G细针
④常用20-23GPTC针
⑤穿刺成功后抽取胆汁送细菌培养及细胞学检查
⑥抽液后直接注入造影剂
⑦抽液后更换注射器缓注入造影剂
⑧术后卧床12小时
⑨术后卧床24小时
A.①②③⑤⑥⑧
B.①②④⑤⑥⑧
C.①②④⑤⑦⑨
D.①②③⑤⑦⑨
E.②③⑤⑦⑨
192、单项选择题 孕几周后仍为0级胎盘,则应疑有妊娠糖尿病、母子Rh因子不合引起胎盘成熟延迟()
A.20周
B.24周
C.28周
D.32周
E.26周
193、单项选择题 二尖瓣血流频谱呈舒张早期单峰型频谱,提示()
A.二尖瓣狭窄合并关闭不全
B.二尖瓣狭窄合并肺动脉高压
C.二尖瓣狭窄合并房间隔缺损
D.二尖瓣狭窄合并右心功能不全
E.二尖瓣狭窄合并心房纤颤
194、单项选择题 2岁男孩,突发性腹痛,大便带血,腹部可触及包块,包块处探及多层强弱回声团,呈“同心圆征”,最可能诊断是()
A.肠套叠
B.肠扭转
C.小肠肿瘤
D.急性阑尾炎
E.坏死性小肠炎
195、单项选择题 试述影响左心房压的直接因素()
A.主动脉压的大小
B.三尖瓣有无狭窄
C.右室压的大小
D.主动脉瓣口有无关闭不全
E.肺静脉对左心房的充盈及二尖瓣口通畅程度
196、单项选择题
在两种不同介质的界面上,决定反射量的因素是()
①折射系数
②超声波频率
③声特性阻抗
A.①
B.②
C.③
D.②③
E.①②③
197、单项选择题 过期妊娠时检测脐带血流,当PI或A/B比值在下列哪种情况下,提示胎盘功能下降()
A.PI增大,A/B比值增大
B.PI增大,A/B比值减小
C.PI减小,A/B比值增大
D.PI减小,A/B比值减小
E.以上都不是
198、单项选择题 下列哪项表现与结节性甲状腺肿无关()
A.甲状腺不规则,非对称性增大
B.实质回声增粗,内呈多个中等偏强回声结节
C.结节内可见液性暗区、强光点
D.CDFI显示血流丰富,血流呈花环状包绕结节,并有细小分支伸入结节内
E."冲洗征"
199、单项选择题 李某,男,15岁,数年来多处骨折伴有关节疼痛,肝肾功能正常,超声显示甲状腺下极背侧1.0cm×1.5cm,低回声结节,包膜完整,血流丰富,最可能的诊断是()
A.甲状旁腺增生
B.甲状旁腺癌
C.低血钙症
D.甲状腺腺瘤
E.甲状旁腺腺瘤
200、单项选择题 关于“肝血管瘤”影像,下列描述哪项不对()
A.超声,低回声结节
B.核素延迟扫描,过度充填
C.CT,充填式强化
D.MRI,电灯泡征
E.对小血管瘤诊断与鉴别,MRI价值明显优于核素扫描
201、单项选择题
女,48岁,上腹部剧烈疼痛2天。皮肤巩膜轻度黄染。声像图如图所示,诊断为()
A.胆总管蛔虫
B.胆总管胆汁淤积
C.胆总管结石
D.胆总管癌
E.胆总管腺瘤
202、单项选择题 干扰肾上腺显示的因素是()
A.脾肿大
B.肝肿大
C.间位结肠
D.脂肪肝
E.胃切除
203、填空题 脐带绕颈时,若绕颈1周USG表现为___________,绕颈2周表现为___________,绕颈3周或4周表现为____________。
204、单项选择题 正常三尖瓣与二尖瓣血流多谱勒频谱有什么不同()
A.三尖瓣血流频谱呈负向,二尖瓣则呈正向
B.三尖瓣血流频谱缺乏收缩期部分
C.三尖瓣血流频谱幅度(速度)明显大于二尖瓣血流
D.三尖瓣血流频谱幅度(速度)小于二尖瓣
E.三尖瓣血流舒张早期速度大于二尖瓣
205、单项选择题 镜面反射发生在下面哪种情况下()
A.频率的波长太低
B.引起反射的物质太小
C.反射物与波长相比太大
D.入射角与反射角至少相差30度
E.以上都不是
206、问答题 卵巢非赘生性囊肿有哪些?声像图表现如何?
207、问答题 血管平滑肌脂肪瘤(错构瘤)的声像图表现有哪些?
208、单项选择题
患者,男,50岁,发热半月余,全身不适,乏力,食欲不振。根据超声心动图,最可能的诊断是()


A.风湿性心脏病
B.感染性心内膜炎
C.老年退行改变
D.主动脉瓣狭窄
E.冠心
209、单项选择题
男性,65岁,排尿困难,尿线细,滴淋,尿后不尽感等症状,如图所示。最可能的诊断为()
A.膀胱癌
B.前列腺增生
C.前列腺肉瘤
D.前列腺癌
E.前列腺炎
210、单项选择题 弥漫浸润型胃癌的声像图,下列哪一项描述是错误的()
A.病变多呈低回声
B.病变多呈“火山口”征
C.胃壁五层结构消失
D.胃腔狭窄呈“假肾征”
E.胃壁显著增厚
211、单项选择题 在心血管多谱勒检查中,反射超声波的主要因素是()
A.红细胞
B.白细胞
C.血小板
D.血浆
E.血管壁
212、单项选择题 超声诊断仪的工作环境,下列哪项不宜()
A.监视器避免阳光直射
B.整机不应放置在高温,潮湿环境
C.用紫外线照射或消毒液对探头消毒
D.使用稳压器,保持正常供电
E.远离高电场,高磁场
213、单项选择题 对于胰腺癌的诊断,不正确的是()
A.胰头好发
B.边界不清楚
C.胰头处病变,一定伴有胆道扩张及黄疸
D.不均匀低回声肿块
E.主胰管均匀扩张
214、问答题 移植肾的声像图表现有哪些?
215、单项选择题 女,30岁,尿频、尿急、尿痛1年,声像图示右肾轻度肿大,实质结构紊乱,多个大小不等的不规则液性腔及钙化灶,部分液性腔相互通连并与扩张的肾盂沟通,液性腔及肾盂壁不规则,右输尿管全程扩张,膀胱壁弥漫性增厚、僵硬,容积明显缩小,最可能诊断为()
A.急性肾盂肾炎
B.肾结核
C.慢性肾盂肾炎
D.肾积水
E.肾囊肿
216、单项选择题
女性,25岁,停经47天,阴道不规则出血1周。尿妊娠试验阳性。结合超声图像,最可能的诊断为()
A.附件炎性包块
B.宫外孕
C.卵巢癌
D.子宫肌瘤
E.畸胎瘤
217、单项选择题 患者28岁,为室间隔缺损,左向右分流,用彩色多普勒技术检查分流血流,对仪器的调节,下述哪一项是错误的()
A.低通滤波
B.高频(7MHz以上)电子相控阵探头
C.电子线阵探头(5MHz以上)
D.高速档速度标尺(高脉冲重复频率)
E.彩色图选用两色彩图
218、单项选择题 葡萄胎声像图上,多数直径3~5mm无回声的囊泡,最大可能是什么()
A.宫腔积液
B.钙化
C.黄体囊肿
D.水肿绒毛
E.胎儿部分
219、问答题 经腹部超声检查盆腔脏器为什么要充盈膀胱?
220、单项选择题 如果用颈内动脉速度/颈总动脉速度作为诊断近端颈内动脉狭窄的指标,以下哪个收缩期峰值流速比值,提示颈内动脉管径狭窄率超过70%()
A.1.5
B.2.0
C.4.0
D.5.0
E.5.5
221、单项选择题 紧邻于肾后方的肌肉是()
A.腰大肌
B.多裂肌
C.闭孔外肌
D.腹外斜肌
E.臀肌
222、单项选择题 用彩色多谱勒技术检测左向右分流的主动脉窦瘤破裂(流向右心室流出道)有什么特征所见()
A.显示有血流信号从窦瘤到左心室
B.显示有血流信号从右心室流向窦瘤
C.显示有血流信号从冠状动脉流向窦瘤
D.显示有血流信号从肺动脉流向窦瘤
E.显示舒张期、收缩期均有从窦瘤流向右心室流出道的信号
223、单项选择题 扫查锁骨下动脉较适宜的探头频率是()
A.2.0MHz
B.2.5MHz
C.5.0MHz
D.10.0MHz
E.12MHz
224、单项选择题
用超声作为软组织显像技术的优点为()
①无损伤
②对病人和操作者都安全
③可明确地显示出软组织的功能
A.①
B.①②
C.①②③
D.①③
E.②③
225、单项选择题 胎盘部分分布在子宫下段,接近于宫颈内口,称为下列哪种前置胎盘()
A.中央性
B.边缘性
C.低置
D.部分性
E.以上都不是
226、单项选择题
男,49岁,肥胖,血脂增高。结合超声声像图诊断为()

A.炎性假瘤
B.非均匀性脂肪肝
C.肝硬化
D.肝结节病
E.肝炎
227、单项选择题 子宫内膜异位症用性激素治疗的主要作用是()
A.调节月经周期
B.减轻痛经程度
C.安慰性治疗
D.抑制排卵
E.促使排卵
228、单项选择题 关于心房黏液瘤,何者错误()
A.90%位于左心房内
B.听诊可闻及收缩期吹风样杂音
C.常有一蒂与房间隔相连
D.可引起二尖瓣口阻塞致猝死
E.术后有复发倾向
229、单项选择题 以下哪项不是主动脉瓣狭窄的超声所见()
A.主动脉瓣叶增厚,回声增强
B.瓣口面积缩小
C.左室腔明显增大
D.左室壁普遍性增厚
E.升主动脉内探及高速射流频谱
230、单项选择题 库肯勃瘤是()
A.良性卵巢肿瘤
B.原发于胃肠道的卵巢转移性肿瘤
C.囊性肿瘤
D.子宫肿瘤
E.卵巢恶性肿瘤
231、单项选择题
患者,女性,超声见乳房内无回光团,边清壁薄,CDFI未见血流,如图所示考虑为()
A.乳腺癌
B.乳腺腺瘤
C.乳腺脓肿
D.乳腺囊肿
E.以上都不是
232、单项选择题 无法进食并给予静脉营养的病人胆囊将会产生()
A.下垂
B.病理性扩张
C.收缩
D.病变
E.憩室
233、单项选择题
女性,43岁,因月经量多,经期时间长,月经周期短就诊。体检:子宫体积大,表面不平整。结合超声图像,最可能的诊断为()
A.子宫内膜癌
B.宫颈癌
C.多发性子宫肌瘤
D.葡萄胎
E.子宫腺肌瘤
234、单项选择题
女性,26岁,停经29周,产前B超检查如图,超声诊断为()
A.胎盘早期剥离
B.正常中期妊娠
C.胎儿脐带绕颈
D.胎儿畸形,腹壁裂
E.畸胎瘤
235、单项选择题
该病例最可能的诊断()

A.主动脉窦瘤
B.主动脉瓣脱垂
C.主动脉瓣下狭窄
D.主动脉瓣畸形
E.以上都不是
236、单项选择题 下列肾脏疾病哪一项不属于肾先天性异常()
A.重复肾
B.肾发育不良
C.马蹄肾
D.肾自截
E.异位肾
237、单项选择题 与原发性肝癌相比较,下列哪项最有利于继发性肝癌的诊断()
A.绕以较窄声晕的低回声结节
B.非癌组织呈肝硬化改变
C.门静脉内找到癌栓
D.中高回声结节周围有较宽弱回声环
E.中高回声结节
238、单项选择题 脑室率的测量方法是()
A.中线至颅骨内缘距离/中线至侧脑室壁距离
B.中线至侧脑室壁距离/中线至颅骨内缘距离
C.侧脑室之间距离/颅骨内缘之间距离
D.颅骨内缘之间距离/侧脑室之间距离
E.以上都不是
239、单项选择题 胎儿单侧肾盂积水,超声常同时发现()
A.先天性巨大膀胱
B.多囊肾
C.膀胱过度充盈
D.输尿管肾盂接合处梗阻
E.对侧肾发育不全
240、单项选择题 确定探头声能输出的主要因素是()
A.探头大小
B.电压峰强度
C.接收器的放大值
D.增益的大小
E.电流大小
241、单项选择题
如图,最可能的诊断是()
A.软骨成长不全
B.致死性骨发育不全
C.窒息性胸廓发育不良
D.肢体屈曲综合征
E.无肢畸形
242、单项选择题 子宫内膜异位症的临床表现有()①月经失调②痛经③不孕症④大便坠胀
A.①②
B.①②③
C.①②③④
D.②
E.②③④
243、单项选择题 俯卧扫查腹主动脉周围腹膜后淋巴结有一定难度,是因为()
A.髂腰肌干扰图像
B.俯卧位时淋巴结肿大
C.俯卧时淋巴结降入腹腔
D.脊柱产生声影伪像
E.以上均是
244、单项选择题 关于Roger氏病,以下哪项不对()
A.系室间隔小缺损
B.临床无明显症状
C.左向右分流量小
D.肺血管阻力正常
E.一旦发现需手术治疗
245、单项选择题 肝细胞肝癌的临床征象包括()①腹水②黄疸③肝大④脾大
A.①②③
B.②③④
C.①②③④
D.①③④
E.①②④
246、单项选择题 目前较常用的方法是将前列腺分为内腺和外腺,其划分的依据是()
A.腺体与尿道的关系
B.腺体对性激素的敏感性
C.腺体与射精管的关系
D.腺体与膀胱颈的关系
E.以上均不是
247、问答题 肾上腺转移癌的声像图表现有哪些?
248、单项选择题 彩色多普勒成像时不影响帧频的因素是()
A.角度大小
B.深度
C.探头频率
D.滤波器
E.脉冲重复频率
249、单项选择题 眼部超声检查的频率应选择()
A.2.5MHz
B.3.5MHz
C.5.0MHz
D.大于或等于7.5MHz
E.以上都不对
250、单项选择题 对子宫内膜癌手术范围选择及预后判断最重要的声像图表现是()
A.肿瘤血流丰富
B.肿块大小
C.子宫肌层浸润深度大于50%
D.肿块形态
E.肿块回声不均
251、单项选择题 关于腮腺的解剖形态特点,错误的是()
A.形态不规则
B.大致呈三角形
C.导管开口于口腔
D.导管长3cm~6cm
E.导管宽1cm~2cm
252、单项选择题
根据肝脏声像图表现,最可能的诊断是()
A.原发性肝癌
B.转移性肝癌
C.肝脓肿
D.肝血管瘤
E.肝囊肿
253、单项选择题 哪种超声聚焦方法是新发展的技术()
A.晶片凹陷
B.声透镜
C.分段电子聚焦
D.动态实时跟踪和面阵聚焦(矩阵聚焦)
E.动态权中重聚焦
254、单项选择题 超声声像图上膀胱与直肠间的两个袋状低回声结构是()
A.附睾头
B.前列腺
C.精囊腺
D.睾丸
E.输精管
255、单项选择题 腹围(AC)测量的公式是(D1:胎腹前后径;D2:胎腹横径)()
A.AC=D1+D2
B.AC=2π/(D1+D2)
C.AC=(D1+D2)/2π
D.AC=π(D1+D2)/2
E.AC=(D1+D2)/2
256、单项选择题 下列哪项可以既提高轴向分辨力又提高横向分辨力()
A.缩短脉冲长度
B.使束宽变窄
C.增大声束直径
D.提高探头频率
E.以上均可
257、单项选择题 下列不符合重度脑积水超声表现的是()
A.脑中线明显偏移
B.脑实质回声消失
C.侧脑室过度扩张
D.头围等于腹围
E.脑室率大于0.5
258、单项选择题 异位妊娠须与下列哪些情况相鉴别()①宫内妊娠②黄体囊肿破裂③盆腔炎性包块④卵巢囊肿
A.①
B.①②
C.①②③
D.①②③④
E.③
259、单项选择题 青蛙无()。
A.下颌骨
B.胸骨
C.肋骨
D.尾椎骨
260、单项选择题 盆腔腹膜反折位于阴道后穹窿水平,从子宫的后面到直肠的前面称为()①子宫直肠陷窝②Dauglas腔③膀胱子宫陷窝④膀胱直肠陷窝
A.①
B.②
C.①②
D.①②③
E.①②③④
261、问答题 恶性滋养叶疾病的声像图表现有哪些?
262、单项选择题
男,23岁,发现肝脏内有一个增强回声,结合超声声像图,提示最可能是()
A.海绵状血管瘤
B.肝癌
C.肝囊肿
D.脓肿
E.肝腺瘤
263、单项选择题
图为小儿超声心动图,根据此切面可以看到哪些腔室结构()

A.左房、左室、主动脉、右室、右房
B.左房、左室、主动脉、右室、右室流出道
C.左房、左室、主动脉、右室
D.左房、左室、右室、右房
E.左房、左室、主动脉、左心耳、右室、右房、右室流出道
264、单项选择题 关于精索静脉曲张的超声描述,哪一项是错误的()
A.多发生于左侧
B.发现于阴囊根部
C.精索静脉≤2mm
D.检出静脉反流信号
E.精索静脉≥3mm
265、单项选择题 镜面右位心不正确的是()
A.心房反位
B.心脏右位
C.心尖朝右
D.可有大动脉转位
E.内脏位置正常
266、单项选择题 肾窦脂肪沉积过多,肾窦声像图显示为()①增大②减小③回声多增强④回声减低
A.①③
B.①④
C.②③
D.②④
E.①③④
267、单项选择题 脐动脉S/D比值()
A.在妊娠过程中不断下降
B.不断升高
C.不断波动
D.保持恒定
E.先下降后上升
268、单项选择题
超声检查如图所示,该病例最可能诊断()
A.肾外肾盂扩张
B.肾积水
C.输尿管上段积水
D.肾盂输尿管狭窄
E.输尿管畸形
269、单项选择题 患者王某,干下型室间隔缺损,左向右分流,用超声检测,要了解其峰值跨隔压差,应检测什么参数()
A.分流血流的收缩期峰值速度(Vs)
B.分流血流的收缩期、舒张期速度比值(S/D)
C.分流血流的平均速度(Vm)
D.分流血流的阻力指数(RI)
E.分流血流的时间速度积分(VTI)
270、单项选择题 视网膜母细胞瘤常见于()
A.婴幼儿时期的肿瘤
B.青年时期的肿瘤
C.成年时期的肿瘤
D.老年时期的肿瘤
E.以上都对
271、多项选择题 “羊水过多”常出现的并发症是()
A.呼吸系统畸形
B.消化系统畸形
C.循环系统畸形
D.泌尿系统畸形
E.神经系统畸形
272、单项选择题
某患者阴囊部疼痛不适,超声声像图如下,最可能的诊断为()
A.附睾炎
B.睾丸炎
C.睾丸肿瘤
D.附睾结核
E.附睾肿瘤
273、单项选择题
穿刺活检后是否须留观()
①无须留观
②细针活检后无须留观
③18G活检后留观2小时左右
④>18G针活检后留观2小时左右
⑤>18G针活检后须住院留观
A.①④
B.②③⑤
C.①③⑤
D.②④
E.①②③④
274、单项选择题 睾丸网扩张的声像图特点是()①睾丸纵隔呈无回声和匍匐行管状结构②睾丸纵隔呈增强回声和网状结构③CDFI:无血流信号④CDFI:血流信号丰富
A.①③
B.②④
C.①④
D.②③
E.①②③
275、单项选择题 适当缩小取样框对彩色多普勒血流显像的主要作用是()
A.防止血流信号“外溢”到血管外
B.即使血流速度过高也不出现信号混叠现象
C.提高彩色信号灵敏度,提高帧频
D.可使血流速度随意增大
E.可减低血流速度
276、单项选择题 下列哪种肿瘤与麦格综合征有关()
A.子宫肌瘤
B.子宫体癌
C.卵巢纤维瘤
D.输卵管癌
E.库肯勃瘤
277、单项选择题
女性,28岁,停经46天,阴道不规则出血5天。血HCG68μg/ml。结合超声图像,最可能的诊断为()
A.畸胎瘤
B.附件炎性包块
C.子宫浆膜下肌瘤
D.宫外孕
E.囊腺瘤
278、单项选择题 胎囊长径1cm,前后径1cm,横径2cm,计算胎囊平均直径是()
A.1.1cm
B.1.3cm
C.1.5cm
D.2.5cm
E.2.0cm
279、问答题 简述超声诊断仪的主要组成部分。
280、单项选择题 若怀疑有主动脉瓣狭窄,为取得狭窄的高速湍流,取样容积应置于()
A.心尖部
B.左室流入道
C.左室二尖瓣瓣尖水平
D.主动脉瓣下
E.主动脉瓣上
281、判断题 非梗阻性肥厚型心肌病患者M型超声心动图常见到SAM征。
282、单项选择题 下列哪一项不是影响超声传播速度的因素?()
A.声阻系数
B.频率
C.介质密度
D.温度
E.介质弹性
283、问答题 肝囊肿超声声像图表现?
284、单项选择题
眼部超声特殊检查法是()
①磁性试验
②眼球后运动试验
③压缩试验
A.①②
B.②③
C.①③
D.①②③
E.以上各项均是
285、单项选择题
一患者有介入手术史,具体病史不祥。肝脏超声检查声像图如下,图中箭头所示最可能的是()
A.支架
B.蛔虫
C.结石
D.正常结构
E.肝静脉
286、单项选择题 人体中的强回声组织声衰减极高并伴有声影,以下哪个不是()
A.软骨
B.钙化
C.肺
D.瘢痕
E.结石
287、单项选择题 甲状腺的静脉有几条,收容甲状腺哪些部位的血液,进入哪条静脉()
A.二条,上、下,颈内静脉
B.三条,上、中、下,颈内静脉
C.三条,上、中、下,颈内静脉、无名静脉
D.四条,上、中、下、峡,颈内静脉、无名静脉
E.以上均不是
288、单项选择题 二尖瓣关闭不全M型超声心动图时检查时哪项表现有错误()
A.二尖瓣叶增厚、活动受限
B.关闭时二尖瓣叶不能合拢
C.左心房及左心室增大
D.左心室壁运动增强
E.左心房、右心室增大
289、单项选择题
某患者,左阴囊肿大,疼痛,数小时前曾与人殴斗。根据超声声像图,最可能的诊断为()
A.睾丸鞘膜积液
B.阴囊内血肿及血块
C.睾丸破裂
D.睾丸扭转
E.睾丸肿瘤
290、单项选择题 从移动的发射体获得的多普勒频移()
A.当多普勒入射角接近0°时最大
B.是发射和接收频率之和
C.多普勒角度为90°时最强
D.多普勒角度小于90°时为负向频移
E.是频率的平方根
291、单项选择题 肾细胞癌的典型声像图特征是()①肾内圆形、椭圆形占位性病灶,常向肾表面隆起,可伴有肾窦受压表现②肾癌小:边界尚清;肾癌大:边界欠清,形态不规则,周边有低回声晕-假包膜声像③内部回声呈多样性;瘤体小,较强回声。瘤体较大,中低回声。内部坏死、液化、出血出现混合性回声④肾静脉、下腔静脉、肝、对侧肾及腹膜后淋巴结转移征象⑤肾内肿瘤生长很大,形态不规则,边缘整齐的实性肿块
A.①②③④
B.①④⑤
C.①②④
D.①②③
E.①②③④⑤
292、单项选择题 声束能量的丧失是由于反射和吸收等原因,称为()
A.吸收
B.反射
C.松弛
D.衰减
E.转换
293、单项选择题
女,51岁,乏力,右上腹痛半个月。结合超声声像图,诊断为()
A.肝癌
B.局限性脂肪肝
C.肝包虫病
D.肝囊肿
E.肝脓肿
294、单项选择题 如果总增益降低,那么()
A.施加于患者的能量降低
B.所有回声的强度都降低相同水平
C.探头频率降低
D.仅远场的回声亮度降低
E.分辨力降低
295、单项选择题 关于脐疝的临床特点与超声表现的叙述,下列哪项是错误的()
A.超声检查要观察脐血管入腹壁处
B.肠管脱向脐带
C.常伴有染色体异常
D.肝脏脱向脐带
E.肠管漂浮于羊水之中
296、单项选择题 为评价胆囊生理功能而进行的声像图检查需要有()①脂餐②缩胆素③胆影钠
A.①②③
B.②③
C.③
D.①②
E.①③
297、单项选择题 肝脏的含液性病变在声像图上表现为:Ⅰ—边界清晰Ⅱ—内部呈无回声或有细弱光点Ⅲ—其后壁和后方回声呈增强效应()
A.Ⅰ,Ⅱ
B.Ⅱ
C.Ⅰ,Ⅲ
D.Ⅰ
E.Ⅰ,Ⅱ,Ⅲ
298、单项选择题
男,48岁,上腹胀痛,纳差,血吸虫病多年。结合超声声像图,诊断为()

A.血吸虫肝纤维化
B.脂肪肝
C.细菌性肝脓疡
D.肝豆状核变性
E.肝炎
299、单项选择题 下列哪一项与葡萄胎超声鉴别无关()
A.过期流产
B.子宫肌瘤变性
C.子宫腺肌病
D.子宫内膜癌
E.子宫颈囊肿
300、单项选择题 应用壁滤波的目的是()
A.去除运动的组织(如血管壁)的低频多普勒频移
B.去除反向血流信号
C.去除运动的组织(如血管壁)的高频多普勒频移
D.去除高速血流的高速多普勒频移
E.测量血流